Бранхиогенная киста шеи что это такое
Происхождение боковой кисты шеи окончательно не установлено. Источником образования кист нередко бывают сохранившиеся эпителиальные остатки жаберного аппарата второй жаберной щели, третьего глоточного кармана и зобно-глоточного протока. Эти эпителиальные остатки в боковых отделах шеи редко проявляются в раннем детском возрасте и долго сохраняются в латентном состоянии. Лишь в более старшем возрасте под влиянием некоторых причин (воспаление, травма) они начинают расти, образуя кисты шеи. Они могут быть ошибочно приняты за абсцесс и вскрыты, после чего остаются незакрывающиеся свищи впереди и по ходу грудино-ключично-сосцевидной мышцы, серозное отделяемое из свища.
Боковые кисты шеи могут возникать в любом возрасте, но чаще наблюдаются у детей и юношей. Их появлению нередко предшествует инфекционное заболевание – ангина, грипп, ОРВИ и др. Вероятно, патогенная микрофлора, проникая по лимфатическим путям в бранхиогенные щели, вызывает воспаление эпителиальной оболочки и продукцию, клетками ее слизи и экссудата, что влечет за собою растяжение щелей и превращение их в кисты. О провоцирующей роли инфекции в образовании кист свидетельствует частое обнаружение в них гнойного содержимого.

Боковые кисты шеи, проявляются наличием припухлости в области сонного треугольника под углом нижней челюсти и как правило, не причиняют особых неудобств пациенту. Лишь при значительном увеличении или нагноении они могут затруднять прием пищи, вызывать боли, оказывая давление на сосудисто-нервный пучок шеи. Цвет кожи над боковой кистой не изменен. Пальпаторно ощущается мягкоэластичное образование, иногда с выраженной флюктуацией, подвижное и безболезненное. Лимфатические узлы шеи не изменены. В боковой поверхности глотки на стороне кисты иногда отмечается незначительное выпячивание ее стенки. Боковые кисты шеи могут растут медленно, размеры могут быть от грецкого ореха и более, иногда нагнаиваются. В последнем случае киста быстро увеличивается в объеме за счет скопления в ее полости гнойного экссудата, становится болезненной и плотной на ощупь. Лимфатические узлы шеи увеличиваются, пальпация становится болезненной. В этой стадии кисты нередко принимают за абсцесс и по ошибке вскрывают.
Боковые кисты шеи могут быть одно- и многокамерными. Внутренняя их поверхность выстлана многослойным плоским эпителием, под которым располагается лимфоидная ткань, часто формирующая фолликулы. Боковые кисты могут достигать больших размеров, что, как правило, влечет за собой нарушение функции того или иного граничащего с ней органа, компрессию магистральных сосудов или нервов шеи. При самопроизво льном вскрытии кисты формируется свищ.
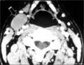
В диагностике боковой кисты шеи большое значение имеет КТ в режиме контрастирования, которая позволяет уточнить локализацию, топографические особенности ее расположения, размеры, плотность содержимого и состояние региональных лимфатических узлов.
На КТ шеи (слева) обозревается наличие инкапсулированной кисты, расположенная кпереди грудино-ключично-сосцевидной мышцы, на уровне подъязычной кости и щитовидного хряща. Форма кисты веретенообразная, размеры 3 см в переднезаднем и 2,5 см в поперечном измерение: вертикальный размер не менее 5 см. Внутри она имеет однородное кистозно-жидкостное содержимое (серозный мукоид) плотностью до 26 ед Н. Сонные артерии и внутренняя яремная вена расположены позади и медиальнее кисты - непосредственно прилегают к ее внутренней поверхности .


На КТ справа по переднебоковой поверхности шеи кпереди от сосудисто-нервного пучка, медиальнее от грудино-ключично-сосцевидной мышцы обозревается плотная тканевая структура которая проецируется на уровне подъязычной кости и щитовидного хряща. Размеры 4х2,5 см. Сонные артерии и внутренняя яремная вена оттеснены медиально.
Заключение: плотная тканевая структура по переднебоковой поверхности шеи (с права) расположенной кпереди от сосудисто-нервного пучка шеи (по структуре очевидно можно предполагать наличие смешенной доброкачественной опухоли).




Дифференцировать боковые кисты шеи следует с неспецифическим и туберкулезным лимфаденитом, каротидной хемодектомой, метастазами рака щитовидной железы или при не выявленном первичной очаге, лимфосаркомой, аневризмой сосудов, опухолями околоушной и поднижнечелюстной слюнных желез. При проведении дифференциальной диагностики целесообразны пункция и цитологическое исследование пунктата.
К осложнениям боковых кист относятся флегмона шеи и (редко) озлокачествление их эпителия, бранхиогенный рак. Флегмоны являются результатом острого воспаления кист вследствие проникновения в нее вирулентной патогенной микрофлоры. Протекают тяжело, с высокой температурой и интоксикацией, так как локализуются в области сосудов шеи. Гнойно-воспалительный процесс распространяется вдоль сосудистого пучка, на котором кисты располагаются, и при несвоевременном вмешательстве может переходить на переднее средостение. Припухлость при флегмонах иногда бывает столь твердой на ощупь, что ее можно принять за саркому шеи. Больные не могут сгибать шею в сторону флегмоны и голову держат прямо в связи с поражением грудино-ключично-сосцевидной мышцы. При осложнении кисты флегмоной больные нуждаются в экстренном хирургическом лечении. Иногда флегмоны имеют ограниченный характер и вследствие расплавления оболочки кисты и мягких тканей над ней вскрываются (обычно впереди грудино-ключично-сосцевидной мышцы), превращаясь в незаживающий боковой свищ.
Лечение - хирургическое (проводят в возрасте старше 3 лет). Операция сложная, так как оболочка кисты может быть интимно связана с сосудисто-нервным пучком шеи (особенно со стенкой внутренней яремной вены), а верхний полюс кисты посредством сухожильной связки — с шиловидным отростком. Разрез по переднему краю грудино-ключично-сосцевидной мышцы на 6 см, послойно рассекаются ткани, мышца отведена назад частично тупым, частично острым путем выделена боковая киста шеи, отделена от рубцовых спаек, удалена единым блоком вместе с подлежащими лимфатическими узлами.
При хорошо выполненной операции удается удалить кисту без вскрытия ее просвета. При достаточном навыке хирурга чаще всего это возможно и может быть выполнено. Если киста по ходу выделения оказывается вскрытой, то содержимое изливается в операционную рану, что несет риск инфицирования (если содержимое воспалительное) и усложняет ориентацию в ране, т.к. хирургу сложнее быть уверенным, что удалены все стенки кисты. При сохранении целостности такой вопрос просто не возникает.
Макроскопически стенка боковой кисты очень тонка и изнутри имеет вид атрофичной слизистой оболочки. Обязательным компонентом ее является лимфоузел у нижнего полюса. Гистологически состоит из плоскоклеточного эпителия и лимфоидной ткани.
При бактериологическом исследовании содержимого кисты, неосложненной флегмоной шеи, микрофлора обычно не обнаруживается. Лишь редко выделяют маловирулентные стрептококки и стафилококки.
При иссечении кисты следует производить полное препарирование и удаление тяжей, отходящих от кисты к сторону магистральных сосудов шеи. Необходимо учитывать анатомо-топографические особенности этой области, тесную связь оболочки кисты с сосудами и нервами шеи. Погрешности в технике - неполное удаление свищей, оставление боковых отверстий - ведут к рецидиву, частота которых достигает 10%. Минимальная травматизация тканей во время операции, использование современной техники, наложение косметических внутренних швов - все это позволяет вернуться к обычному образу жизни в минимальные сроки.
БРАНХИОГЕННАЯ КИСТА (греч, branchia, мн. ч., жабры, жаберные щели + gennao порождать; син. боковая жаберная киста) — ретенционная киста, формирующаяся из жаберных свищей, образовавшихся в результате порока развития — частичного незаращения жаберных щелей. Бранхиогенные кисты возникают на ранних этапах (3—9-я неделя) внутриутробного развития зародыша. К этому времени у зародыша между пятью жаберными дугами имеются внутренние (энтодермальные) карманы и наружные (эктодермальные) бороздки. В течение нескольких дней они превращаются в узкие ходы, которые, за исключением первой пары, постепенно исчезают. В редких случаях процесс инволюции этих каналов бывает неполным, и они превращаются в свищи: наружный, эктодермальный, открывающийся на боковой поверхности верхней части шеи, и внутренний, энтодермальный, открывающийся в глотку, реже в гортань или трахею. Вторые концы тех и других свищей слепо кончаются в мягких тканях шеи. Такие свищи называются неполными, в отличие от полных, образующихся при слиянии внутреннего и наружного свищей в результате исчезновения разделяющей их запирательной пластинки, состоящей из сомкнутых листков энто- и эктодермы. В некоторых случаях оба конца свища остаются закрытыми. Из таких замкнутых свищей в дальнейшем формируются кисты. Главное значение в образовании кист придается остаткам вторых и третьих жаберных карманов и бороздок. Топография, гистологическое строение и содержимое кист зависят от свищей, из которых они происходят: из наружного свища образуется более подвижная киста, расположенная ближе к поверхности, кнутри от грудино-ключично-сосцевидной мышцы; подобно названному свищу она выстлана ороговевающим многослойным плоским эпителием, под к-рым нередко встречаются дериваты кожи; содержимое ее — атероматозная масса, иногда с примесью волос (дермоидная Бранхиогенная киста). Киста, происходящая из внутреннего свища, лежит глубже, менее подвижна, выстлана, как и соответствующий свищ, многорядным цилиндрическим, обычно мерцательным, реже неороговевающим плоским эпителием. В подэпителиальном слое кист почти всегда находится в большем или меньшем количестве лимфоидная ткань, часто имеющая строение типичного лимф, узла. Энтодермальная киста содержит серозную или слизистую жидкость.
Содержание
- 1 Клиническая картина
- 2 Дифференциальный диагноз
- 2.1 Рентгенодиагностика бранхиогенных кист и свищей
- 3 Лечение
Клиническая картина
Б. к. не имеет типичных симптомов и только в редких случаях, когда кисты достигают значительных размеров, смещая гортань, пищевод, сосудисто-нервный пучок, наблюдаются затруднения дыхания и дисфагия. Б. к. представляет собой округлое образование плотноэластической консистенции размером 4—5 см, располагающееся по внутреннему краю грудино-ключично-сосцевидной мышцы, ближе к углу нижней челюсти. Киста подвижна, безболезненна при пальпации; кожа над ней не изменена. Воспаление является наиболее частым осложнением Б. к. и обычно связано с наличием тонких свищевых ходов, по к-рым киста сообщается с глоткой. В таких случаях развивается абсцесс шеи и после затихания воспаления формируется свищ.
Б. к. обычно диагностируется в детском возрасте и, как исключение, в пожилом возрасте и у новорожденных.
Дифференциальный диагноз
Б. к. имеют сходную клиническую картину с кистозной лимфангиомой. Иногда только гистологическое исследование позволяет уточнить диагноз. Инфицированную кисту дифференцируют с гнойным неспецифическим лимфаденитом: анамнестические данные помогают выявить существование кистозного образования до начала воспаления. В таких случаях показано оперативное лечение. В отличие от лимфаденита, после вскрытия кисты на месте разреза сформировывается свищ. В ряде случаев приходится дифференцировать Б. к. также с бранхиогенной карциномой, метастазами в лимф, узлы шеи, лимфогранулематозом, опухолями каротидной, щитовидной и околощитовидных желез, тератомами шеи, аневризмами сосудов, липомами, абсцессами и т. д. Пункция кисты обычно помогает установить диагноз путем микроскопического и хим. исследования содержимого. Особенно характерно для Б. к. наличие эпителиальных клеток в пунктате.
Бранхиогенные свищи нередко выявляются вскоре после рождения ребенка. При полных свищах наружное отверстие локализуется по медиальному краю грудино-ключично-сосцевидной мышцы; внутреннее — расположено за задней небной дужкой на уровне нижнего полюса миндалины. При неполных свищах отверстие чаще открывается снаружи. Отделяемое — слизистое или гнойное, обильное. Свищевой ход прощупывается в подкожной клетчатке в виде плотного тяжа.
Дифференцировать бранхиогенные свищи приходится со свищами туберкулезной этиологии или возникающими в связи с хроническим остеомиелитом нижней челюсти.
Уточнению диагноза помогает фистулография (см.), а при полных широких свищах — введение красящего вещества. Появление краски в полости глотки говорит о врожденном характере заболевания.
![]()
На обычных и послойных рентгенограммах шеи Б. к. не дает ясного изображения. Лишь при значительной величине кисты может определяться изменение нормальной структуры мягких тканей шеи. Рентгенологическое исследование приобретает важную роль при наличии наружного свища, обусловленного Б. к. В этих случаях через наружное свищевое отверстие вводят контрастное вещество, нагретое до t° 30—33°. Введение контрастной массы облегчается при наличии второго, внутреннего свища или при поверхностно расположенной кисте. После окончания введения производят переднюю и боковую рентгенограммы шеи (рис. 1) в сидячем положении исследуемого.
Фистулограммы позволяют установить направление, калибр и протяженность свищевого хода, местоположение, форму и размеры Б. к. и ее топографические отношения с органами шеи (глоткой, гортанью, трахеей). Эти данные необходимы для точной топической диагностики и выбора метода оперативного вмешательства.
Лечение
Лечение Б. к. и свищей только хирургическое. Операцию проводят под эндотрахеальным наркозом. Специальной подготовки обычно не требуется.
Иссечение Б. к. производят через поперечный разрез. Кисту осторожно отпрепаровывают (не вскрывая) от фасциального влагалища крупных сосудов. Затем полностью выделяют соединительнотканный тяж, идущий в глубину шеи. В ряде случаев для этого приходится пользоваться дополнительным разрезом по краю нижней челюсти (см. ниже). После удаления кисты рану послойно ушивают.
![]()
Операцию иссечения бранхиогенного свища начинают с овального иссечения наружного отверстия (рис. 2). Затем выделяют свищевой ход, осторожно отсепаровывая его от плотных сращений с влагалищами крупных сосудов шеи. Для облегчения дальнейших манипуляций производят дополнительный разрез у угла нижней челюсти (над проекцией свища), куда выводят мобилизованную часть свищевого хода.
Затем в просвет свища вводят пуговчатый зонд, по которому отсепаровывают свищевой ход возможно ближе к глотке, перевязывают кетгутовой нитью и отсекают. При широких полных свищах проксимальную часть их на зонде выворачивают в полость глотки, отсекают, а образовавшееся отверстие ушивают. Рану зашивают наглухо.
В послеоперационном периоде назначают на 5—6 дней антибиотики широкого спектра действия и физиотерапевтические процедуры (токи УВЧ). Швы снимают на 8—9-й день. Дети нуждаются в диспансерном наблюдении 6—12 мес., т. к. при нерадикальном проведении операции могут возникнуть рецидивы.
Библиография: Абрикосов А. Частная патологическая анатомия, с. 81, М., 1947; Баиров Г. А. Врожденные кисты и свищи шеи, в кн.: Хирургия пороков развития у детей, под ред. Г. А. Баирова, с. 94, Д., 1968; Всигловский Р. И. О боковых (так называемых жаберных) свищах и кистах шеи, Труды 7-го съезда российских хир., с. 191, Спб., 1908; Лурье Т. М. и Молоков С. А. К хирургическому лечению врожденных свищей и кист шеи, Хирургия, № 3, с. 63, 1961, библиогр.; Орлов В. С. К методике хирургического лечения боковых свищей шеи, Вестн, хир., т. 101, № 10, с. 118, 1968; он же, О методике фисту-лографии при врожденных боковых свищах шеи большой длины, там же, т. 100, № 2, с. 28; Bhaskar S. N. a. Bernier J. L. Histogenesis of branchial cysts, Amer. J. Path., v. 35, p. 407, 1959; Сaffey J. Pediatric X-ray diagnosis, Chicago, 1967; Kaufmann E. Lehrbuch der speziellen pathologischen, Anatomie, Bd 2, T. 3, S. 1488, B., 1960; Little J. W. a. Rickies N. H. The histogenesis of the branchial cyst, Amer. J. Path., v. 50, p. 533, 1967; Meyer H. W. Congenital cysts and fistulae of the neck, Ann. Surg., v. 95, p. 226, 1932.
Г. А. Баиров; И. М. Верткин (пат. ан ), Г. М. Земцов (рент.).
Причины развития боковой кисты шеи

Боковая киста шеи или бранхиогенная опухоль (название заболевания произошло от греческого слова "kystis"- пузырь) относится к врожденным доброкачественным опухолевым образованиям, которая является следствием патологического эмбрионального развития плода. Многолетние исследования указывают на прямую связь с аномальным внутриутробным развитием плода на начальном сроке беременности.
Признаки и симптомы боковой кисты шеи
Раннюю стадию развития шейной кисты обнаружить бывает крайне сложно. Это связано с тем, что существует довольно много других болезней, имеющих сходную симптоматику. Однако существуют параметры симптомов наличия боковой кисты шеи, проявляющиеся вследствие различных инфекционных воспалительных процессов или травматизации :
- появление небольшой по размерам припухлости в области сонной артерии;
- нарушение глотательного процесса пищи;
- болевые ощущения вследствие давления на сосудисто-нервный пучок;
- ощущение эластичного, безболезненного новообразования подвижного характера при пальпации;
- увеличение лимфатических узлов на шее;
- смещение гортани;
- нарушение дыхания и дикции, наличие стридора ( свистящего звука при дыхании);
- нагноение с образование абсцесса в случае инфицирования кисты.
Диагностика боковой кисты шеи
Как правило, диагностику боковой кисты шеи выполняют при наличии у пациента осложнения, при котором уже наблюдаются заметное увеличение кисты в размерах, флегмона или характерный абсцесс. Очень важно при проведении диагноза кисты шеи исключить другие заболевания в области шеи, имеющие подобные проявления и сходные симптомы. Бранхиогенная киста может дифференцироваться со следующими заболеваниями шеи : липома шеи, лимфосаркома, лимфангиома, тератома шеи, лимфаденит, включая неспецифическую туберкулезную форму, опухоль гломуса ( блуждающий нерв), бранхиогенная карцинома, метастазы при онкологии щитовидной железы.
Диагностика боковой кисты шеи состоит из следующих этапов:
- полный сбор анамнеза болезни, включая наследственный фактор;
- внешний осмотр с пальпацией области шеи и лимфоузлов;
- компьютерная томография шеи с контрастированием для уточнения размеров опухоли, ее локализации, вида свища, содержимого полости;
- УЗИ шеи;
- пункция кисты ( по показаниям);
- фистулограмма или окрашивание свищевого хода.
Лечение боковой кисты шеи

Лечение боковой (бранхиогенной) кисты проводится только хирургическим путем. Во избежание осложнений, развития воспалительных процессов и нагноений, проводить операцию по удалении кисты нужно как можно раньше. В наше время операции по радикальному рассечению кисты не относятся к сложным оперативным вмешательствам, но требуют высокого профессионализма, внимания и опыта, так как оставшиеся частички эпителия новообразования могут в дальнейшем вызвать рецидив с последующим хирургическим лечением.
Данные операции проводятся под эндотрахеальным наркозом (интубирование трахеи), длительность операции от 30 минут до одного часа в зависимости от локализации опухоли, возраста пациента и сложности случая. По окончании операции пациенту проводят антибактериальное, противовоспалительное лечение. Физиотерапевтические процедуры и УВЧ. Через пять-семь дней после операции снимаются швы. Для исключения рецидива пациент находится на диспансерном наблюдении в течение одного года.
Особенности развития шейной кисты и лечения в детском возрасте
Боковые кисты шеи у новорожденных и детей младшего возраста протекают в латентной форме и не выражаются клинической симптоматикой до тех пор, пока не появляется провоцирующий фактор – травматизация ребенка, появление респираторной инфекции или других воспалительных процессов. Иногда таким фактором может стать и гормональная перестройка организма.
Клиническая практика показывает, что у детей формированию боковой кисты всегда предшествуют ОРЗ, грипп и другие заболевания верхних дыхательных путей. Прослеживается связь опухоли с лимфатическими путями, при которых происходит проникновение микробов патогенного характера во внутреннюю полость кистозного образования, которые вызывают нагноение.
В детском возрасте хирургическое лечение боковой кисты проводят от трех лет вне стадии обострения. Но в случае серьезных осложнений, ведущих к угрозе жизни, хирургическое вмешательство показано и в раннем возрасте ребенка.
Прогноз лечения боковой кисты шеи
Прогноз боковой кисты шеи зависит от следующих факторов:
- общее состояние здоровья пациента;
- возраст;
- размер кисты и ее локализация по отношению к важным органам, крупным сосудам;
- длительность развития кисты;
- формы кисты – воспаление, нагноение;
- содержание полости – гной или экссудат;
- вид фистулы;
- наличие или отсутствие хронических заболеваний.
В целом прогноз от лечения боковой кисты шеи можно считать благоприятным. Риск перерождения боковой кисты в злокачественную форму крайне мал.
Существует ли профилактика бранхиогенной шейной кисты?
К сожалению, не существует профилактических мер по предупреждению развития данного заболевания в связи с ее характером аномального внутриутробного зарождения. Скорее всего это вопрос для генетиков, занимающихся проблемами этиологии и патогенеза врожденных аномалий эмбрионального развития. Но, если все-таки боковая киста определена, то малышам рекомендовано динамическое наблюдение до трех лет с периодическими осмотрами раз в 3-и месяца. Дети должны проходить регулярную диспансеризацию с обязательным осмотром ЛОР-врача, который сможет контролировать развитие опухоли и исключить различные риски и осложнения.
Клинический случай в отделении гортани ФГБУ НМИЦО ФМБА России
21.06.2016 года пациентке было выполнено удаление доброкачественного образования шеи.
Размер удаленной опухоли: 20 см на 6 см
В послеоперационном периоде пациентка М. получала антибактериальную терапию, шов удален на 7-е сутки.

- Боль при надавливании на новообразование
- Выделение гноя из свища
- Вялость
- Головокружение
- Интоксикация
- Невозможность полного сгибания шеи
- Отечность в пораженном месте
- Повышенная температура в пораженной области
- Покраснение кожи в месте поражения
- Рвота
- Ребенок не может держать голову
- Слабость
- Субфебрильная температура
- Тошнота
- Ухудшение общего состояния
- Шишка на шее
Киста шеи – опухолевидное образование полого типа, которое располагается на боковой или передней поверхности шеи, чаще всего врождённого характера, однако может быть следствием врождённого свища шеи. Боковые кисты являются следствием врождённой патологии развития плода, тогда как срединная киста шеи у ребёнка диагностируется в возрасте от 4 до 7 лет, довольно часто может протекать бессимптомно. В половине случаев новообразование нагнаивается, что приводит к опорожнению гнойника и формированию свища.
- Этиология
- Классификация
- Симптоматика
- Диагностика
- Лечение
- Профилактика
Лечение только хирургическое. Пункцию используют крайне редко, так как скапливание жидкости или кашеобразной массы через некоторое время происходит повторно. Согласно международной классификации болезней этот патологический процесс относится к другим врождённым аномалиям лица и шеи. Код по МКБ-10 – Q18.
Этиология
Боковая или бранхиогенная киста шеи, в большинстве случаев, является врождённой патологией и диагностируется при рождении. Происходит это из-за неправильного развития жаберной щели и дуг, формирование полого новообразования происходит на 4–6 неделе беременности.
Следует отметить, что боковая киста шеи опаснее срединной формы, так как в большинстве случаев, при условии отсутствия своевременного лечения, перерождается в злокачественное образование. Также при разрастании такая форма кисты шеи может сдавливать нервные окончания и близлежащие органы, что может приводить к сопутствующим патологическим процессам. Так же, как и другие формы полых опухолевидных образований, может самопроизвольно вскрываться и приводит к незаживающим жаберным свищам.
Срединная киста у взрослых (тиреоглоссальная) может быть следствием таких этиологических факторов:
- лимфаденит;
- развитие онкологического процесса в организме;
- травма;
- инфекционное заболевание.
В 60% случаев срединная киста шеи нагнаивается, что может вызывать нарушения глотательной функции и речи. В некоторых случаях такое новообразование самопроизвольно вскрывается, что приводит к формированию свища.
Точные причины развития патологии жаберной щели и дуг во время развития плода, не установлены. Однако клиницисты выделяют такие возможные предрасполагающие факторы:
При наличии такого симптома у ребёнка следует незамедлительно обращаться к врачу. Игнорировать такое клиническое проявление крайне опасно, так как велика вероятность перерождения новообразования в злокачественную опухоль.
Классификация
Выделяют два основных вида новообразований на шее:
- боковая или бранхиогенная;
- срединная или тиреоглоссальная.
Боковые кисты, в свою очередь, разделяются на:
- однокамерные:
- многокамерные.

По структуре и принципу образования выделяют такие формы новообразований:
- дермоидная киста шеи – относится к врождённым патологиям, лежит на поверхности, не прикрепляется к глотке. Как правило, такое новообразование наполнено клетками сальных и потовых желез, волосяных фолликул;
- жаберная — располагается в области кости под языком, состоит из эпителий карманов жабр.
Также может использоваться следующая классификация кист шеи, по характеру образования и локализации:
- гигрома — мягкое и гладкое образование, которое располагается в нижнем шейном отделе;
- венозная гемангиома;
- первичная лимфома – группа спаянных уплотнённых узлов;
- нейрофиброма – неподвижные, плотные по консистенции образования, диаметр от 1 до 4 сантиметров;
- щитовидная-язычковая – может локализоваться в области гортани и шеи, передвигается вверх или вниз в процессе глотания;
- жировые опухоли.
Вне зависимости от того, какая этиология у новообразования, оно подлежит хирургическому удалению, так как риск перехода в злокачественную форму есть практически всегда.
Симптоматика
Некоторые формы новообразования на шее у детей или взрослого длительное время могут протекать бессимптомно. По мере разрастания полой опухоли могут присутствовать такие симптомы:
- невозможность полного сгибания шеи;
- при пальпации новообразования ощущается боль;
- опухоль подвижна, кожные покровы неизменены, но возможно покраснение;
- ребёнок не может держать голову;
- слабость, вялость;
- субфебрильная температура тела, также возможно местное повышение температуры;
- признаки общей интоксикации организма — тошнота, рвота, общее недомогание.
Если начался процесс нагноения, то могут присутствовать такие симптомы клинической картины:
- местное покраснение кожи, отёчность;
- повышенная температура тела;
- слабость, головокружение;
- сильная болезненность при пальпации;
- гнойный экссудат вытекает наружу, реже в ротовую полость;
- кожа вокруг устья может покрываться корками.
При наличии таких клинических признаков следует незамедлительно обращаться за медицинской помощью. Гнойный процесс может привести к абсцессу, флегмоне и другим заболеваниям, опасным для жизни.

Следует понимать, что выход наружу гнойного экссудата нельзя расценивать как выздоровление и исключение потребности обращения к врачу. Образованный свищ никогда не заживает самостоятельно, а скопление жидкости в опухоли практически всегда происходит повторно через некоторое время. Кроме этого, существенно возрастает риск малигнизации.
Диагностика
В первую очередь проводится физикальный осмотр больного с пальпацией кисты на шее. Также во время первичного обследования врач должен собрать личный и семейный анамнез.
Для уточнения диагноза могут проводить такие лабораторно-инструментальные методы исследования:
- пункция жидкости из полого образования для последующего гистологического исследования;
- анализ крови на онкомаркеры;
- УЗИ шеи;
- фистулография;
- КТ при необходимости.
Общие клинические исследования крови и мочи, в этом случае, не представляют диагностической ценности, поэтому проводятся только при необходимости.
Лечение
В этом случае лечение только операбельное, консервативные методики не эффективны. Пункция используется только в самых крайних случаях, когда проведение операции не представляется возможным по медицинским показателям. Чаще всего это касается пожилых людей. В таком случае осуществляется аспирация содержимого опухоли с последующим промыванием антисептическими растворами.
Что касается традиционного удаления кисты шеи, то такая операция проводится под наркозом, иссечение может осуществляться как через рот, так и наружно, в зависимости от клинических показателей. Для предупреждения рецидива иссечение проводится вместе с капсулой.
Удаление боковых опухолей сложнее, так как новообразование локализуется около сосудов и нервных окончаний.
Если больной поступил уже с гнойным процессом и образованием, то выполнятся вскрытие и дренирование опухоли с последующим удалением свищей. Иссечению подлежат все свищи, даже тонкие и малозаметные, так как они могут стать причиной рецидива. Для уточнения их локализации хирург предварительно может вводить окрашивающий препарат (метиленовый синий, бриллиантовую зелень).
После операции больному назначается противовоспалительная и антибактериальная терапия. Также следует осуществлять регулярные перевязки с обязательной обработкой ротовой полости антисептическими веществами.
В постоперационный период больному следует соблюдать диету, которая подразумевает следующее:
- из рациона на период лечения нужно исключить кислую, острую и слишком солённую, грубую пищу;
- напитки и блюда нужно употреблять только тёплыми;
- блюда должна быть жидкими или пюреобразными.
Если оперативное вмешательство будет осуществлено своевременно, то риск рецидива или развития онкологического процесса практически отсутствует. Длительной реабилитации не требуется.
Профилактика
К сожалению, в этом случае нет действенных методов профилактики. Настоятельно рекомендуется не заниматься самолечением и своевременно обращаться к квалифицированному врачу. В таком случае риск развития осложнений минимальный.
Читайте также:


