Что такое компьютерная томография сосудов головы и шеи

КТ ангиография сосудов шеи применяется для выявления патологии артерий и вен в данной анатомической зоне. Современные мультиспиральные томографы позволяют выявлять даже незначительные изменения в сосудах, а также прилежащих тканях и органах шеи.
Учитывая тесную взаимосвязь заболеваний брахиоцефальных сосудов и центральной нервной системы, часто одновременно проводят сканирование шеи и головы. Таким образом, за одно посещение удается полноценно обследовать пациента и установить точный диагноз.
- Что показывает компьютерная томография сосудов шеи
- Противопоказаниями для КТ сосудов шеи являются:
- КТ сосудов шеи с контрастом или без
- Подготовка к КТ сосудов шейного отдела
- Как проходит исследование
- КТ шеи ребенку
- Как выбрать диагностический центр
- Цены на КТ сосудов
Что показывает компьютерная томография сосудов шеи
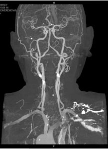
С помощью данного метода можно визуализировать артерии брахиоцефального бассейна (сонные, позвоночные), а также крупные венозные сосуды в данной области. Современные компьютерные программы позволяют создавать объемные изображения сосудистого русла, включая коллатерали и небольшие ветви.
На полученных в результате сканирования МР-снимках отчетливо видны костные ориентиры (шейные позвонки), что позволяет установить причину нарушений кровотока по позвоночным артериям. Также удается визуализировать мягкотканные структуры, которые могут косвенно влиять на проходимость брахиоцефальных сосудов.

КТ ангиография сосудов шеи позволяет выявлять следующие изменения:
врожденные патологии артерий и вен;
аневризматические расширения;
тромбоз сосудов;
поражение сосудистой стенки (васкулиты, расслоение);
атеросклеротическое сужение просвета;
новообразования шеи с прорастанием в сосудистую стенку;
компрессию артерии или вены, вызванную патологиями органов шеи.
Показания и противопоказания для КТ сосудов шеи
В большинстве случаев МСКТ предшествует ультразвуковое дуплексное сканирование. Выявленная патология может стать основанием для направления на ангиографию.
КТ ангиография сосудов шеи также показана при следующих состояниях:
отеке или боли в области шеи;
частых головных болях, головокружении, нарушении движений или чувствительности в конечностях;
травматических повреждениях с вовлечением артерий или вен;
перенесенном остром нарушении церебрального кровообращения, транзиторных ишемических атаках.
КТ ангиографию сосудов шеи очень часто рекомендуют сосудистые хирурги перед оперативным вмешательством. Это позволяет уточнить характер патологических изменений и выявить анатомические особенности у конкретного пациента. Также обследование используется для контроля после уже проведенной операции.
![]()
Противопоказаниями для КТ сосудов шеи являются:
беременность;
вес больного выше 130-150 килограмм (зависит от марки томографа);
непереносимость препаратов, содержащих йод;
тяжелые нарушения функции щитовидной железы;
хроническая почечная недостаточность.
Относительным противопоказанием для выполнения МСКТ является тремор головы или конечностей, клаустрофобия, период кормления грудью. В последнем случае выполнение томографии возможно, однако потребуется несколько раз сцедить молоко.
КТ сосудов шеи с контрастом или без
Проведение КТ ангиографии сосудов шеи предусматривает обязательное введение контрастирующего фармпрепарата. С этой целью в большинстве медицинских учреждений Санкт-Петербурга используют современные неионные контрасты (Ультравист, Оптирей и др.). Контрастирование делает изображения более отчетливыми, и имеет минимум побочных действий.
КТ ангиография сосудов шеи с контрастом обычно проходит без каких-либо побочных эффектов. Относительно редко после введения йодсодержащего вещества отмечается ощущение тепла в теле, головная боль или головокружение. Эти явления проходят в течение 5-10 минут и не требуют медицинского вмешательства.
Подготовка к КТ сосудов шейного отдела
Для того чтобы пройти обследование, необходимо заранее согласовать время в медицинском учреждении. Это можно сделать по телефону 8(812)317-00-37 , где проводится запись на компьютерную томографию.
Какая-либо сложная подготовка перед обследованием шеи не нужна. Достаточно иметь с собой направление врача и результаты исследования крови на креатинин. Желательно взять с собой результат ультразвукового сканирования сосудов, консультативные заключения специалистов. Также перед КТ-ангиографией нужно немного поесть, но не переедать.
Как проходит исследование
Перед сканированием сотрудник центра проведет небольшой инструктаж. Затем нужно будет расположиться на спине на столе томографа. С помощью специального автоматического инжектора пациенту введут контрастирующий фармпрепарат. Такой способ имеет преимущество перед обычным капельным введением контраста. Работу инжектора и томографа контролирует специальная компьютерная программа, это позволяет четко отследить артериальную и венозную фазы, что делает снимки более информативными.
Следующий этап обследования – это выполнение сканирования с получением послойных снимков исследуемый зоны. Обычно вся процедура обследования занимает не более пятнадцати минут.
Результаты обследования обычно выдают через 30-40 минут, максимум через два часа. Однако в некоторых медучреждениях, особенно государственных, заключение можно получить только на следующий день.
На руки больному отдают распечатанное на бумаге заключение и записанные на электронный носитель МР-снимки шеи и сосудов. Также есть диагностические центры, где дополнительно можно получить консультацию врача лучевой диагностики и задать ему вопросы относительно результатов обследования.
КТ шеи ребенку
Учитывая, что КТ ангиография сосудов шеи связана с воздействием рентгеновского излучения, детям она проводится только при наличии строгих показаний. КТ шеи ребенку делают только если другие методы диагностики (УЗИ, МРТ) неинформативны и не позволяют достоверно диагностировать ту или иную сосудистую патологию.
Поскольку ангиография требует обязательного введения контрастного препарата, то в большинстве диагностических центров ее проводят начиная с 12 лет. Обычно дети хорошо переносят процедуру контрастирования, крайне редко возникают аллергические реакции или побочные действия после введения контраста. Современные мультиспиральные томографы оказывают относительно небольшую лучевую нагрузку, а сам процесс получения снимков длится меньше минуты.
Перед диагностикой нужно обязательно психологически подготовить ребенка. Родители должны объяснить, как проходит процедура и для чего это нужно.
![]()
Как выбрать диагностический центр
При выборе медицинского учреждения для выполнения КТ необходимо ориентироваться на следующие критерии:
новизну установленного оборудования;
тип и модель аппарата;
квалификацию врача, который работает в центре;
наличие дополнительных услуг;
стоимость;
акции и скидки.
Наилучшим вариантом являются клиники, где установлены компьютерные томографы последнего поколения, позволяющие за один оборот сканера получать как минимум 16 срезов анатомической зоны. К таким относятся приборы производства компаний Siemens, Toshiba, General Electric.
В среднем МСКТ ангиография сосудов шеи на томографах такого типа в Санкт-Петербурге стоит от 6100 до 7500 рублей, в стоимость обследования также включена цена на израсходованный йодсодержащий контраст. В некоторых диагностических центрах действуют акции и скидки, поэтому всегда есть возможность пройти диагностику по относительно небольшой цене.
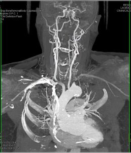
КТ-ангиография сосудов головы и шеи - диагностический метод, позволяющий послойно просканировать кровеносное русло и преобразовать снимки в детализированную трехмерную картинку. На основании полученных данных врач-рентгенолог делает заключение о наличии либо отсутствии нарушений.
Компьютерная томография сосудов головы и шеи - объемная реконструкция
Сосудистая система головы и шеи питает мозговое вещество, поставляя насыщенную кислородом артериальную кровь, и очищает ткани от продуктов обмена, унося их по венам. Сбои данных функций отчасти компенсируются, и человек какое-то время не догадывается о нарушениях. Если мозг перестает получать необходимое количество крови, развивается кислородное голодание, выражающееся в постоянной усталости, низкой работоспособности, головокружениях и других распространенных симптомах.
На компьютерной томограмме: аневризма левой внутренней сонной артерии
Что показывает КТ сосудов головы и шеи
Благодаря процедуре КТ сосудов головного мозга и шеи можно:
изучить особенности строения и взаимного расположения вен и артерий;
установить диаметр сосудов;
выявить атеросклероз стенок артерий;
диагностировать сужение сосудов и сделать предположение о возможной причине данной патологии;
выявить наличие коллатералей (обходных путей кровотока).
пороки развития (мальформации, аневризмы и пр.);
стенозы, тромбозы, эмболии;
сосудистые сети новообразований;
ангиопатии различной этиологии;
атеросклеротические бляшки на стенках артерий;
травматические повреждения сосудов.
КТ шейных артерий. Слева – двухмерное, справа – трехмерное изображение. Стрелками обозначен стеноз (сужение) сонной артерии
КТ сосудов головы и шеи с контрастом
Так как сосуды практически не выделяются на фоне других тканей, КТ-ангиографию головы и шеи обязательно выполняют с контрастом. Для улучшения четкости снимков используют йодсодержащие препараты, предназначенные для введения в кровь. Окрашивая артерии, вены и капилляры, контрастирующие вещества визуализируют мельчайшие сосуды, вследствие чего возможности диагностики значительно увеличиваются.
Компьютерная ангиография особенно информативна при:
необходимости изучения кровоснабжения опухолей;
подозрении на сдавление сосудов новообразованиями или распространение метастазов на стенки вен и артерий.
Нередко введение контраста вызывает появление специфических ощущений. Человек может почувствовать жар, прилив к лицу крови, привкус металла во рту. Изредка возникают осложнения в виде тошноты, рвоты, одышки, снижения артериального давления, покраснения и отека в месте инъекции. О любых изменениях своего состояния необходимо сообщить врачу, не дожидаясь окончания диагностической процедуры.
Контрастное вещество выводится из организма приблизительно через сутки после инъекции. Для ускорения этого процесса рекомендуют пить много жидкости.
Компьютерный томограф и инъекционная система для болюсного введения контраста (на фото слева)
Если за две-четыре недели до ангиографии Вы уже проходили исследование с применением рентгена или контраста, скажите об этом врачу. Не исключено, что специалист порекомендует перенести дату проведения процедуры.
Как делают КТ сосудов головы и шеи
На диагностику лучше прийти в просторной одежде из натуральной ткани. Важно убедиться что на ней нет фурнитуры, декоративных элементов и нитей из металла. Перед исследованием снимают украшения, очки, часы, предупреждают персонал о наличии зубных протезов или имплантов.
КТ-ангиография головного мозга - фото (3D-реконструкция)
КТ-ангиография сосудов головного мозга и шеи проходит следующим образом:
пациент ложится на кушетку томографа;
рентгенолаборант через капельницу вводит рентгеноконтрастный раствор;
стол перемещается в сторону сканирующей системы так, чтобы голова оказалась в зоне излучения;
рентгеновская трубка и датчики вращаются внутри кольца томографа, аппарат делает снимки и передает их на компьютер;
по окончании исследования прибор отключается.
Анализ сосудов головного мозга - безболезненная процедура. Единственное, что может вызвать незначительный дискомфорт, это шум и треск работающего томографа. Для решения этой проблемы во многих клиниках есть защитные наушники или беруши.
Сканирование длится 20-30 минут. Все это время следует лежать спокойно и не шевелиться, чтобы не испортить качество снимков.
Инструктаж перед процедурой компьютерной томографии
Сведения, полученные в процессе ангиографии, обрабатывают в специальной программе. Результаты сохраняют на диск или, по желанию пациента, распечатывают на пленке.
Подготовка к ангиографии
Компьютерная томография головы и шеи не предполагает сложной подготовки. Чтобы уменьшить проявление побочных эффектов от контрастирования перед выходом из дома желателен легкий перекус (бутерброд, йогурт или фрукт). Кормящим мамам надо сцедить и сохранить молоко, так как после ангиографии нельзя сразу прикладывать ребенка к груди.
Для КТ сосудов головы и шеи требуются результаты анализа крови на креатинин. В некоторых диагностических клиниках экспресс-тест делают прямо на месте. О наличии подобной услуги можно справиться при записи на обследование. Пациент должен поставить врача в известность о принимаемых лекарствах: ряд медикаментов нельзя сочетать с йодсодержащими препаратами. По согласованию со специалистом их отменяют или замещают, самое меньшее, за 12 часов до процедуры.
Забор крови для анализа на креатинин
Показания к КТ сосудов головы и шеи
КТ сосудов головы и шеи назначают при подозрении на:
атеросклероз стенок сосудов;
эмболию, стеноз артерий;
сосудистые опухоли или сеть, кровоснабжающую новообразования иной природы;
Атеросклероз, критический стеноз внутренней сонной артерии на КТ-ангиограмме (3D-реконструкция)
Компьютерная томография показана при:
регулярных головных болях неустановленной этиологии;
периодических потерях сознания;
стойком повышении внутричерепного давления;
болезненности и отечности в области шеи;
возобновляющихся приступах тошноты с рвотой;
появлении шума в ушах;
боли в глазах, ухудшении зрения;
онемении рук, ног;
трудностях с координацией движений;
повторяющихся потерях равновесия.
КТ-ангиография сосудов необходима людям, перенесшим инсульт, инфаркт, травму головы, страдающим нарушением церебрального кровообращения, вегетососудистой дистонией, пациентам, в анамнезе которых такие диагнозы, как ушиб мозга, энцефалопатия, аденома гипофиза, эпилепсия, болезнь Паркинсона, гидроцефалия.
КТ-ангиограмма сосудов головного мозга и шеи - фото снимок
Данное исследование выполняют перед операцией на головном мозге (с его помощью уточняют расположение магистральных ветвей, которые важно не повредить во время вмешательства) и для контроля процесса восстановления после хирургического лечения.
Сканирование на компьютерном томографе назначают при невозможности проведения магнитно-резонансного обследования.
Противопоказания к КТ-ангиографии головы и шеи
Противопоказания к компьютерной томографии
Ввиду задействования контрастирующих средств на основе йода у процедуры КТ сосудов головы и шеи существует ряд ограничений. Обследование противопоказано в следующих ситуациях:
аллергия на йод и морепродукты, непереносимость компонентов усилителя: контрастирование может вызвать покраснение кожи, появление сыпи, зуд, затруднение дыхания, спазм бронхов, отек Квинке, анафилактический шок;
превышение допустимого значения креатинина в крови: велика вероятность заболеваний почек, при которых средство для улучшения качества КТ-фото головного мозга и шеи не будет вовремя выведено из организма;
лечение диабета метформином: препарат уменьшает скорость почечной фильтрации и вместе с йодсодержащими средствами способен спровоцировать опасное для здоровья накопление молочной кислоты (лактоацидоз);
гиперфункция щитовидной железы: введение контраста усилит симптомы заболевания либо спровоцирует другие осложнения (аритмию и т.д.).
Из-за вредного воздействия рентгена на плод КТ-диагностику сосудов головы и шеи не проводят беременным женщинам. По строгим показаниям пациенткам в положении можно сделать магнитно-резонансное обследование. В отличие от КТ, МРТ не использует ионизирующее излучение, поэтому является более безопасной и показана даже детям. Но данный метод диагностики не подходит тем, у кого установлены несъемные металлические зубные протезы, брекет-системы, ушные имплантаты и т.п.
Конструктивные особенности аппаратов не позволяют осуществлять процедуру, если масса тела человека составляет более 150 кг либо окружность груди (живота) превышает 150 см. В таком случае следует отдать предпочтение иному методу исследования, например, магнитно-резонансной томографии с использованием сканирующего устройства открытого типа.
3D-КТ-ангиография сосудов головного мозга
Фото КТ сосудов головы и шеи
На снимках ангиографии шейных и головных сосудов визуализируются:
крупные артерии со своими ветвями:
передняя, средняя, задняя мозговые артерии и сосуды, участвующие в образовании Виллизиева круга вместе с ними;
сонные (общая, наружная, внутренняя);
позвоночные и основная артерия;
синусы твердой мозговой оболочки;
КТ шейных сосудов (объемная реконструкция). На изображении можно увидеть пример кинкинга (патологической извитости) и аневризм (колбовидных расширений) экстракраниальных сегментов внутренних сонных артерий
Также по фото компьютерной ангиографии выявляют коллатерали - обходные кровеносные пути, активизирующиеся при проблемах с проходимостью магистральных артерий (окклюзии, стенозе, повреждениях и т.д.).
Компьютерные томограммы сосудов головного мозга и шеи
Компьютерная томография головы – это быстрый, информативный, неинвазивный метод обследования, который позволяет выявить патологию головного мозга, сосудов, костей черепа, мягких тканей головы.
КТ головы применяется во многих областях медицины от травматологии и нейрохирургии до эндокринологии и онкологии. Метод позволяет получить послойные черно-белые изображения органов и тканей исследуемой области. Толщина срезов тканей может составлять порядка 1 мм. Это позволяет выявить даже небольшие патологические изменения, различные новообразования на ранней стадии развития болезни.
В большинстве случаев одновременно выполняют компьютерную томографию головы и шеи, так как для диагностики ряда заболеваний центральной нервной системы необходимо получить информацию о сосудах шеи, их строении и функционировании.
Что показывает КТ головы
Снимки, полученные во время проведения компьютерной томографии, позволяют выявить следующие виды патологических изменений:
- острая травма: повреждение костей и мягких тканей, раневой канал, наличие инородных тел;
- гематомы любой локализации;
- смещение срединных структур головного мозга (признак развития объемных образований, гематомы и проч. процессов, которые приводят к сдавливанию мозга с одной стороны);
- кровоизлияния в ткань мозга;
- очаги ишемии головного мозга;
- кисты;
- абсцессы, гной при менингите и проч. воспалительные процессы;
- изменения сосудов врожденные и приобретенные (мальформации, аневризмы, атеросклеротическое поражение артерий);
- объемные образования головного мозга, костей черепа, мозговых оболочек, мягких тканей головы.

Компьютерная томография головы и шеи с контрастом
Нативное исследование (выполняемое без контрастного усиления) позволяет получить четкие изображения костных структур, кровоизлияний в ткань мозга, гематом. Мягкие ткани головы, структуры головного мозга и сосуды на снимках, выполненных без использования контрастного препарата, отображаются как однообразная серая масса.
Чтобы повысить информативность обследования, применяются контрастные препараты на основе йода. Для проведения КТ головы контраст вводится пациенту внутривенно. В зависимости от цели и метода проведения обследования контраст может вводиться пациенту однократно перед началом или во время проведения КТ или болюсно все то время, пока идет обследование. Для болюсного введения препарата используется специальный аппарат – инжектор, который подает препарат в кровь с постоянной скоростью в течение определенного времени.
Показания для проведения обследования
Получить у врача направление на обследование можно в следующих случаях:
- черепно-мозговая травма с подозрением на внутричерепную гематому;
- последствия травмы головы в виде непрекращающихся головных болей и прочих неблагоприятных симптомов;
- подозрение на разрыв аневризмы с формированием субарахноидального кровотечения;
- повышение внутричерепного давления;
- подозрение на невриному слухового нерва при нарушении слуха;
- онкопоиск: злокачественные и доброкачественные новообразования области головы и шеи, метастазы, определение стадии онкологического заболевания;
- для контроля за состоянием пациента после оперативного вмешательства, выполненного на головном мозге;
- для проведения дифференциальной диагностики геморрагического и ишемического инсульта;
- контроль эффективности лечения, проводимого по поводу воспалительных заболеваний головного мозга (абсцесс, эмпиема, гранулема и проч.);
- травма костей лицевого черепа.
Противопоказания для проведения обследования
Запрещено проводить КТ головы и шеи в следующих случаях:
- беременность на любом сроке;
- вес пациента превышает конструктивные возможности аппарата (более 120 кг).
С осторожностью, при наличии серьезных показаний проводится обследование у следующих групп пациентов:
- детский возраст;
- кормление ребенка грудным молоком;
- аллергические реакции на введение препаратов йода в прошлом;
- тяжелые заболевания почек;
- миеломная болезнь.
Запрещено вводить контрастный препарат на основе йода:
- при непереносимости препаратов для проведения КТ;
- сахарный диабет;
- печеночная и почечная недостаточность;
- беременность;
- лактация.
Подготовка к процедуре
Если компьютерная томография головы и шеи будет проводиться с использованием контрастного препарата, то за 4-6 часов до процедуры необходимо будет воздержаться от принятия пищи и напитков. Можно пить только чистую воду.
Как проводится КТ головы
Пациента укладывают на выдвижной стол томографа в положении лежа на спине. Для того, чтобы мелкие движения головы и туловища не снизили качество получаемых изображений, голову пациента фиксируют специальными ремнями и подушкой или головодержателем.
Препарат для усиления контрастности снимков вводят внутривенно перед началом обследования или после того, как будут выполнены первые снимки. При болюсном введении контраста пациенту в вену на руке вводят специальный катетер, к которому подключают капельницу или тонкую трубку от инжектора.
Пациента вместе с подвижным столом задвигают внутрь томографа так, чтобы голова оказалась на одном уровне со сканером. Рентгенлаборант или медсестра выходит в соседнее помещение и включает аппарат. Все то время, пока идет обследование, медперсонал наблюдает за пациентом через специальное окно между помещениями. Также связаться с медперсоналом можно при помощи двусторонней голосовой связи.

По времени обследование занимает 2-3 минуты без использования контрастного вещества, 15-20 минут с контрастом. Все это время придется сохранять полную неподвижность. Врач может просить задерживать дыхание на 1-2 секунды.
Когда снимки готовы, врач проверяет их качество, детальность и информативность. Если со снимками все в порядке, обследование считается законченным, а полученные данные отправляются на расшифровку.
Расшифровка КТ снимков
Расшифровка занимает у врача лучевой диагностики от 30 до 60 минут. После этого пациент получает на руки снимки на цифровом носителе или распечатанные на пленке, а также заключение врача, заверенное личной подписью и печатью врача.
Как часто можно делать КТ головы
Для получения изображений в компьютерных томографах используется рентгеновское излучение. Доза облучения, которое получает пациент за одно обследование головы, равна 1,4±0,4 мЗв. Эта доза примерно равна половине годовой дозы допустимой лучевой нагрузки от фонового излучения на человека. Соответственно, повторять такое обследование можно не ранее чем через 6 месяцев, и только при наличии серьезных показаний. Оптимальный интервал между обследованиями составляет 12 месяцев.
Для изучения состояния кровеносных сосудов головного мозга как нельзя лучше подходит КТ-ангиография. Она предполагает использование специального контрастного вещества, позволяющего выявить все патологии и изменения, которые произошли в артериальной или венозной части кровотока головы и шеи. КТ-ангиография сосудов головного мозга является достаточно безопасной процедурой, которая практически не вызывает каких-либо побочных эффектов и неприятных последствий.
Что такое КТ-ангиография

Для начала стоит разобраться, что такое КТ-ангиография. Компьютерная томография-ангиография – один из современных методов рентгенологического обследования человеческого организма. Методика предоставляет возможность построить на экране трехмерную модель исследуемых лимфатических сосудов, вен и артерий головного мозга.
Ангиографический метод диагностики дает возможность произвести детальное исследование кровотока и определить глубину патологических процессов, которые происходят в сосудах. Это стало возможным благодаря использованию контрастного вещества, вводимого пациенту внутривенно.
Принцип действия контрастного вещества следующий:
- Препарат, попадая с током крови в сосуды головного мозга, окрашивает их просвет, тем самым улучшая визуализацию исследуемых структур.
- В момент своего распространения по кровотоку вещество окрашивает сосуды, а затем накапливается в тканях.
- Контраст полностью выводится из организма в течение последующих после процедуры 12–24 часов.
При помощи компьютерной ангиографии появляется возможность вовремя выявить:
- Закупорку и непроходимость сосудов.
- Аневризмы.
- Тромбы различного размера.
- Атеросклеротические бляшки.
- Патологические очаги.
- Травматические нарушения.
Чаще всего КТ назначают в случае, если другие методики диагностических исследований не дали результатов и не показали полную клиническую картинку состояния сосудов головы и шеи.
Достоинства и недостатки КТ-ангиографии
Компьютерная томография-ангиография является одним из наиболее часто используемых методов аппаратной диагностики. Такая высокая популярность и востребованность обусловлена наличием следующих достоинств:
1. Высокая информативность и детализация процесса.
2. Высокая точность полученного результата.
3. Сравнительно небольшая продолжительность процедуры диагностики (приблизительно 20 минут).
4. Пониженная лучевая нагрузка на организм пациента по сравнению с другими методами рентгенологических исследований.
5. Возможность выявить различные заболевания на их ранней стадии развития, а также провести анализ функциональных и морфологических изменений сосудов головного мозга.
КТ-ангиография, как и большинство методов аппаратной диагностики, обладает рядом недостатков. К ним следует отнести:
- Отсутствие возможности часто проводить диагностические исследования из-за лучевой нагрузки на организм пациента.
- Йод, который входит в состав контрастного вещества, часто вызывает аллергические реакции.
- Диагностику нельзя проводить во время беременности в независимости от ее срока.
Однако высокая точность и детализация метода полностью перечеркивает какие-либо недостатки.
С помощью КТ-ангиографии можно получить трехмерное изображение сосудистой системы и подробно исследовать кровоток. Для детализации исследований применяют контрастное вещество, которое изготавливают, как правило, на основе йода.
Перед проведением процедуры требуется предварительная подготовка. Она включает в себя:
- Проведение исследований на предмет наличия у пациента аллергии на йодосодержащие препараты.
- Анализ крови, позволяющий определить уровень содержания в крови креатинина. Без него обследование головного мозга не проводится.
- Перед началом манипуляции требуется снять с себя все украшения и предметы, которые изготовлены из металла. Если этого не сделать, то результат исследований может быть неточным, так как металл негативно воздействует на работу томографа.
- За 4–5 часов до диагностики нельзя принимать пищу или пить воду.
Процедура проводится амбулаторно. В аппаратной находится только пациент. Врач-специалист наблюдает за всем за стеклом.

Для того чтобы начать внутривенно через венозный катетер пациенту вводят контрастный препарат в объеме 100 мл. Чаще всего введение лекарства осуществляется в локтевую вену при помощи специального шприца. При этом пациент находится в положении лежа на подвижном столе томографа.
Параллельно с использованием контрастного вещества осуществляется сканирование исследуемого участка тела. При этом человек может ощущать легкое тепло во всем теле и небольшую тошноту. Не стоит пугаться этих симптомов, так как это своеобразная реакция организма на введенный контраст.
Во время процедуры следует сохранять неподвижное положение. Дело в том, что даже самые слабые движения могут послужить искажению картинки, которая выводится на компьютер. Периодически пациенту нужно будет задержать на 15-20 секунд дыхание.
Если обследуемый ощущает во время процесса дискомфорт и головокружение, лучше всего сказать об этом врачу. Их общение осуществляется с помощью специального прибора, установленного на томографе. В некоторых случаях манипуляция может быть остановлена.
Как правило, ангиография занимает в среднем 20-30 минут, так как скорость получения снимков является достаточно высокой. В некоторых случаях диагностика может затянуться на продолжительное время (до 60 минут).
После процедуры пациент получает на руки заключение от врача. Его составление длится от 40 до 70 минут.
Ангиографию сосудов шеи и головного мозга чаще всего назначают для подтверждения или опровержения наличия у пациента:
- Атеросклероза.
- Аневризмы.
- Тромбоза.
- Злокачественных образований.
- Мальформации.
- Дефектов развития сосудов.
- Стеноза.
- Травм и кровотечений головного мозга.
- Инсульта.
- Черепно-мозговых травм.
Ангиография головы и шеи с применением йодосодержащего контрастного вещества также может быть назначена опытным врачом при наличии у пациента следующих симптомов:
- Частых головокружениях и сильных головных болей.
- Ухудшение памяти и невнятной речи.
- Частых потерях равновесия.
- Проблемах с координацией движения.
- Повышении внутричерепного давления.
- Приступах эпилепсии.
- Помутнения в глазах.
Все вышеназванные симптомы могут свидетельствовать о развитии какого-либо серьезного заболевания или патологического процесса в организме. Поэтому важно вовремя обратить на них внимание и пройти необходимые диагностические исследования.
КТ сосудов головного мозга с применением контрастного вещества является достаточно сложной процедурой, обладающей рядом противопоказаний. Диагностика, как правило, не проводится при наличии у пациента:
- Индивидуальной непереносимости к компонентам контрастного вещества.
- Острых воспалительных процессах в организме.
- Инфекционных заболеваний, протекающих в тяжелой стадии.
- Психических расстройств.
- Бронхиальной астмы.
- Тяжелой почечной и сердечной недостаточности.
- Серьезных проблем с печенью.
- Тромбофлебита.
- Повышенном уровне креатинина.
- Беременности и периода лактации.
- Сахарного диабета.
- Проблем с щитовидной железой.
- Миеломы.
- Большого веса пациента (в силу конструктивных особенностей аппарата, провести диагностику при весе пациента более 200 кг будет невозможно).
Кроме этого, КТ не проводится в случае тяжелого состояния пациента и его плохого самочувствия, так как диагностика может усугубить это и послужить появлению нежелательных последствий вплоть до летального исхода.

Ангиография не делается маленьким детям, потому что процедура может негативно повлиять на развивающийся организм. Зачастую манипуляция назначается детям, старше 14 лет. Кроме того, она полностью противопоказана в период беременности.
Из-за большого количества серьезных ограничений к проведению диагностики, она осуществляется исключительно при наличии у пациента назначения от врача-специалиста. Для проведения ангиографии следует при себе иметь:
- Результаты предыдущих диагностических исследований.
- Амбулаторную карту.
- Направление врача с подписью и печатью.
- Прочие документы, которые касаются заболевания пациента.
Как правило, ангиография сосудов головы проходит без каких-либо неприятных ощущений или побочных эффектов. Человек в состоянии ощущать лишь тепло в теле от контрастного вещества и легкий дискомфорт из-за необходимости определенный промежуток времени находиться без движения.
Побочные эффекты могут возникнуть при аллергии на йод, который входит в состав контрастного вещества. Однако при наличии аллергической реакции на йодосодержащие препараты врачи чаще всего назначают другие методы диагностических исследований, например, МРТ.
Перед проведением манипуляции пациенту следует поставить в известность врача о приеме каких-либо лекарственных препаратов, так как они могут вызвать нежелательные последствия. Прием медицинских средств должен быть прекращен минимум за 12 часов до проведения диагностических исследований.
КТ-ангиография является одним из самых точных и информативных методов исследования состояния сосудистой системы головного мозга. Ее назначает врач при подозрении на развитие в организме пациента серьезных заболеваний или патологических процессов.
Читайте также:




