Что такое рыбьи позвонки у человека
Поскольку ткань межпозвонкового диска не связана с системой кровообращения напрямую, она участвует в общей реакции организма на системное заболевание лишь спустя какое-то время, если участвует вообще. Продемонстрировать физиологический тургор ткани , диффузионные процессы и колебания объема межпозвонковых дисков in vitro удается даже через несколько часов после смерти (крайний случай системного нарушения!). Наши собственные изыскания показали, что ткань диска сравнительно нечувствительна к таким внешним влияниям, как гипоксия, колебания температуры и изменения pH. Системный сепсис в младенчестве теоретически может привести к гематогенному дисциту, но на практике такое наблюдается очень редко. Другие тяжелые системные нарушения: кома, ацидоз, алкалоз, нарушение питания и метаболические нарушения — не производят в ткани диска никаких видимых изменений. Единственными системными заболеваниями, которые регулярно поражают межпозвонковые диски, являются генерализованные заболевания соединительной ткани, а также все патологические состояния, сопровождающиеся изменениями в тканях, соседствующих с дисками, чаще всего — в телах позвонков.
Ахондроплазия
При этом аутосомно-доминантном генетическом заболевании имеет место неадекватная пролиферация хрящевых клеток в зонах роста. У больного выявляются дефицит роста и аномалии развития позвоночника. У новорожденных центры оссификации тел позвонков представляют собой плоские пластинки с неровным, зигзагообразным передним краем. У взрослых, страдающих ахондроплазией, тела позвонков бывают патологически низкими; они выдаются кзади, сужая спинномозговой канал в его переднем отделе. В то же время канал сужается и в заднем отделе, что связано с преждевременным сращением дуг позвонков (пластинок) по средней линии. Соответственно, исследования позвоночника при ахондроплазии, выполненные Donath и Vogt, Bergstrom и Nelson, показали наличие сужения спинномозгового канала, уменьшение межножкового расстояния и укорочение дуг позвонков. Данное заболевание -парадигматический пример генетически обусловленного стеноза спинномозгового канала. Поэтому представляется излишним постулировать существование дополнительной, генетически обусловленной аномалии межпозвонковых дисков для объяснения большой частоты и интенсивности жалоб, связанных с поражением диска, среди пациентов, страдающих ахондроплазией, однако такое предположение обычно высказывается. В литературе описано много случаев пролапса диска у лиц, страдающих ахондроплазией, с последующим развитием синдрома конского хвоста и параплегии. Kuhlendahl и Hensell считали ахондроплазию системным заболеванием, из-за которого поясничный отдел позвоночника в большей степени, чем в норме, подвержен пролапсам дисков на фоне механической нагрузки. Сегодня, когда прошло более 50 лет, мы так и не располагаем основополагающими трудами, посвященными гистологическим и биохимическим изменениям ткани диска при ахондроплазии.
Работы Verbiest показали, что выраженное сужение спинномозгового канала чревато развитием синдромов компрессии нервных корешков. Таким образом, при ахондроплазии даже сравнительно небольшие протрузии дисков или смещения тел позвонков могут вызвать серьезные неврологические дефекты.
Охроноз (алкаптонурия)
Охроноз — еще одно системное заболевание, поражающее среди прочих органов межпозвонковые диски. При этом редком наследственном метаболическом расстройстве нарушается расщепление ферментами некоторых аминокислот, в частности тирозина и фенилаланина. Они распадаются лишь до стадии гомогентизиновой кислоты, и это вещество откладывается в тканях с медленным обменом веществ, в том числе в межпозвонковых дисках.

В литературе описания поражения межпозвонковых дисков при охронозе до сих пор ограничивались разбором клинических случаев. Во всех этих случаях пациенты жаловались на боль в спине, а у некоторых она иррадиировала в ноги. Незначительное количество случаев данной патологии не позволяет установить причинную связь между охронозом и жалобами, связанными с другими поражениями диска.
Снижение плотности костной ткани в телах позвонков
Когда тургорное давление ткани межпозвонкового диска превосходит сопротивление тела позвонка, высота диска увеличивается за счет высоты тела позвонка. Поскольку наибольшее давление растяжения диска отмечается в области пульпозного ядра, концевые пластинки в дорсальной части тела позвонка подвергаются характерной двояковогнутой деформации. Эта деформация снижает гидростатическое механическое давление в срединной части диска, которая, следовательно, захватывает большее количество жидкости в соответствии с отношением, описанным ранее. Могут развиться кистозные расширения полости фиброзного кольца; на рентгенограммах они видны как участки пониженной плотности в межпозвонковом пространстве. Гистологическое исследование показывает наличие хрящевых клеток, вздутых из-за захвата воды.
Остеопороз относится к заболеваниям позвоночника, которые, как правило, вызывают вторичные изменения в межпозвонковых дисках. Скорость образования костной ткани при остеопорозе снижена, тогда как ее распад продолжается с обычной скоростью. Таким образом, нарушается прочность как коркового, так и губчатого костного вещества. Костные трабекулы истончены, а некоторые из них исчезают, так что костномозговое пространство расширяется. Патологически сниженное механическое сопротивление кости создает возможность для протрузии межпозвонковых дисков в тела позвонков — не локальным образом, как при узлах (грыжах) Шморля, а в виде ровных, имеющих широкое основание вдавлений в концевые пластинки (рис. 5.6). Диски увеличиваются в объеме из-за собственного внутреннего давления, тогда как тела позвонков уменьшаются. Распад тела позвонка наиболее выражен в участках, где кость подвергается наибольшему давлению со стороны соседствующего диска. В грудном отделе позвоночника давление бывает наибольшим спереди, и позвонки приобретают клиновидную форму. На стыке грудного и поясничного отделов и в поясничном отделе давление оказывается в основном осевым (по центру тела позвонка), так что образуется двояковогнутая деформация позвонка. Вдавления в две поверхности тела отдельного позвонка могут быть выраженными настолько, что почти встречаются в середине, так что два диска почти соприкасаются друг с другом (рыбьи позвонки).

Размягченная костная ткань позвонка деформируется в ответ на давление со стороны соседствующего межпозвонкового диска лишь в случае, когда сохраняется тургор пульпозного ядра. Из этого понятно, почему рыбьи позвонки появляются только тогда, когда остеопороз развивается в молодом возрасте.
Другие заболевания костей тоже могут ослабить костную ткань позвоночника так, что диски образуют широкие вдавления в концевых пластинках тел позвонков. Процесс дезинтеграции тела позвонка и компенсаторного расширения диска, по сути, всегда один и тот же, независимо от причины. Точный этиологический диагноз можно поставить лишь исходя из других признаков: локализации, объема и прогрессирования таких изменений и др. У взрослых пациентов нормальные или увеличенные диски в соседстве с дезинтегрированными позвонками наблюдаются не только при остеопорозе, но и при метастатическом раке, плазмоцитоме, остеомаляции, фиброзно-кистозном остеите (поражении костей при болезни Реклингхаузена, т.е. костных изменениях, связанных с прогрессирующим гиперпара-тиреозом) и переломах. С другой стороны, поражение диска, как и тела позвонка, патологическим процессом свидетельствует скорее об инфекционном процессе, нежели об одном из этих заболеваний.
Ослабление костной ткани позвонков с вторичными изменениями межпозвонковых дисков возможно и в детском возрасте. Главной причиной является osteogenesis imperfecta — несовершенный остеогенез. При этом наследственном заболевании несовершенный синтез матрикса во всех тканях мезенхимального происхождения приводит к патологическому размягчению и хрупкости костей. Отличительными проявлениями этой болезни также являются голубой оттенок склер и отосклероз. Врожденная форма (osteogenesis imperfecta congenita) обычно приводит к смерти в младенчестве или раннем детском возрасте, но существует и форма с поздним дебютом, при которой в позвонках и межпозвонковых дисках развиваются типичные изменения. Грудные клиновидные позвонки и поясничные рыбьи позвонки возникают в подростковом возрасте, напоминая позвонки пожилых людей, страдающих остеопорозом. В крайних случаях диски бывают очень высокими, а тела позвонков уплощены. Асимметричная дегенерация тел позвонков приводит к сколиозу и усилению кифоза. Похоже, что в некоторых семьях, страдающих osteogenesis imperfecta, число здоровых в других отношениях индивидов с пресенильным остеопорозом превышает среднее; Idelberger считает такой остеопороз forme Jruste (болезнью, приостановленной в развитии).
Генерализованное размягчение тел позвонков и вторичные изменения дисков могут возникнуть как заболевание, приобретенное в детстве. При рахите диски в кифотических сегментах подвергаются значительно более высокой нагрузке и потому демонстрируют ранние признаки изнашивания. Однако рыбьи позвонки и плоские позвонки при рахите наблюдаются редко, так как эта болезнь отличается преимущественным поражением быстро растущих длинных костей конечностей.
Кальцификация и оссификация дисков
Кальцификация происходит в тканях с медленным обменом веществ путем кристаллизации солей кальция. В межпозвонковом диске кальцификация возможна либо в пульпозном ядре, либо в фиброзном кольце. Если пульпозное ядро кальцифицировано, то его параметры удается измерить на обычных рентгенограммах (что в других ситуациях невозможно). Такие явления кальцификации были продемонстрированы рентгенологически еще Calve и Galland. Шморль описал несколько случаев кальцификации межпозвонковых дисков на основе своей богатой коллекции препаратов позвоночного столба. Имели место отложения либо кальция карбоната, либо кальция фосфата. При подагре в межпозвонковых дисках также присутствуют кристаллы уратов. На томограммах видны мелкозернистые отложения в интерстиции пульпозного ядра или пятна кальцификации в фиброзном кольце.
Кальцификация межпозвонковых дисков происходит в инактивированных двигательных сегментах (рис. 5.7) и как дегенеративный феномен у пожилых людей. Это сравнительно редкая находка, и поражается обычно только один или несколько дисков; никакой особой связи ее с системными метаболическими расстройствами продемонстрировано не было.

Рентгенологическая плотность кальцификатов в межпозвонковом диске может совпадать с плотностью участков истинного формирования костной ткани (оссификации). Оссификация возможна лишь после васкуляризации диска и врастания сосудистой соединительной ткани, что, в свою очередь, чаще всего бывает результатом предшествующего воспалительного процесса или травмы. Клетки, образующие костную ткань, мигрируют в диск вместе с соединительной тканью. Замениться губчатой костью может даже весь диск, что часто наблюдается, например, при анкилозирующем спондилите (болезнь Бехтерева, рис. 5.8).
В литературе есть много сообщений и о кальцификации дисков у детей и подростков. Bar и Fischer сообщили о кальцификации межпозвонкового диска у 10-летнего мальчика после спортивной травмы. Причины кальцификации в таких случаях неизвестны; высказываются предположения о воспалительном (ревматическом) процессе, бактериальной инфекции и травме. Кальцификация дисков у пациентов молодого возраста способна регрессировать, по аналогии с параартикулярной кальцификацией при плечелопаточной периартропатии.
Частичная или полная иммобилизация двигательного сегмента вследствие кальцификации соответствует конечной стадии выздоровления, к которой фактически стремимся и мы, когда выполняем процедуру спондилодеза или внутридисковые инъекции.
Ревматический артрит
При ревматизме часто поражается срединный атлантоосевой сустав, дугоотростчатые суставы тпейного отдела позвоночника и развивается синовит атлантозатылочньтх суставов. На рентгенограммах отмечается множественный передний спондилолистез шейных позвонков, повреждение атлантозатылочпой мембраны (выявляется при КТ, МРТ), передние атлантоосевые подвывихи.
Асептический некроз — болезнь Кальве (рис. 295) — асептический некроз одного, реже — нескольких позвонков.
Встречается у детей 5-6 лет. Клиника: выраженные боли, часто ребенок ночью кричит. Местная болезненность шейного отдела позвоночника. На рентгенограмме — уплощение тела позвонка, повреждение костной структуры.
Спондилодисплазия
Костная дисплазия — несовершенный остеогенез. В практической деятельности с проявлениями костной дисплазии в позвоночнике приходится сталкиваться часто, как при обращении больных с жалобами на боли в позвоночнике, так и в качестве случайной находки при патологии другой локализации.
Другие проявления костной дисплазии в позвоночнике (рис. 297).
Мраморная болезнь (Альберс—Шенберга)
Рентгенологическая картина: остеосклероз, слоистость позвонков.
Остеохондропатия апофизов позвонков — болезнь Шсйерманна—May (рис. 298). В отечественной литературе данную патологию рассматривают как проявление хондродисилазии (спондилодисилазии). В иижнегрудном отделе позвоночника постепенно формируется кифоз с дугой короткого радиуса без сколиоза. Характерна ригидность и фиксированность кифоза.
Течение болезни благоприятное. Структура позвонков восстанавливается, однако деформация и кифоз остаются на всю жизнь. Рентгенологическая симптоматика: изменения локализуются в средних и нижних грудных позвонках (поражаются 3 -4 позвонка, чаще Th7-Thl0).
Выделяются 3 стадии течения заболевания:
I стадия — апофизарные треугольные тени приобретают пестрый вид, разрыхляются, сегментируются, становятся неровными, извилистыми, как и прилежащие поверхности тел позвонков;
II стадия — постепенно развивается деформация тел позвонков: апофизы как бы вдавливаются в переднюю часть пораженного позвонка, который заостряется, начиная с середины тела, в виде усеченного клина. Появляется склероз вокруг вдавленных хрящевых узелков, что обусловливает неровность контуров замыкательных пластинок позвонков, их извитость;
III стадия — структурный рисунок восстанавливается, апофизы сливаются. Передний край тела позвонка становится выше, чем в I-II стадии, но остается ниже, чем задний край, На фоне кифоза тела позвонков сближаются вытянутыми навстречу друг другу заостренными передними краями.
Дифференциальный диагноз болезни Шейерманна—May необходимо проводить со спондилодисплазией, статическим кифозом, ювенильным кифозом Гюнтца и фиксированной круглой спиной Линдсрмана (табл. 14). Для спондилодиеплазии характерно равномерное системное снижение высоты позвонков по типу платиспондилии, изменения отмечаются и в других отделах скелета. При статическом кифозе имеет место умеренная деформация отдельных позвонков на большом протяжении, структурные изменения позвонков отсутствуют. Ювенильный кифоз Гюнтца сопровождается болевым синдромом. Спина пациента приобретает круглое очертание, имеется сутулость. Межпозвонковые диски становятся клиновидными с основанием, обращенным кзади. Тела позвонков имеют правильную прямоугольную форму.
Замыкательные пластинки не изменены, дефекты и грыжи Шморля отсутствуют. Фиксированная круглая спина Линдермана проявляется сутулостью, тугоподвижностью позвоночника в зоне деформации. Позвонки и диски приобретают клиновидность с основанием клина, обращенным кпереди. Замыкательные пластинки не изменены, грыж нет.
Частичная клиновидная остеохондропатия тела позвонка, се еще называют асептическим некрозом, частичным остеохондрозом, рассекающим остеохондритом. Изменения позвонков чаще всего локализуются на уровне Th11-12, L1, L2.
Остеопороз (рис. 300) — клинический синдром, развивающийся в результате уменьшения общей костной массы скелета, приводящий к нарушению структуры костей и возникновению переломов. Развитие синдрома зависит от многих факторов: от пола, возраста пациента, расовой принадлежности, характера питания, сопутствующих заболеваний, эндокринного фона.
В одних случаях нарушается костсобразование, в других — усиливается рассасывание костной массы. Важно учитывать дна фактора: дефицит эстрогенов и дефицит кальция. Рассасывание кости усиливается при ее иммобилизации, при алкоголизме, недостатке витамина D и избытке фосфатов в пище. Остеопороз широко распространен, достигая пика к 55-75 годам.
Лучевая диагностика остеопороза на ранних этапах развития процесса малоинформативна. Рентгенографические признаки остеопении появляются лишь при потере не менее 30% минеральных веществ костной ткани. Самым надежным критерием остеопороза является обнаружение переломов тел позвонков (при исключении других причин этого перелома).
Чаще всего основным диагностическим признаком остеопороза является деформация тел позвонков, которые хорошо видны на боковых рентгенограммах грудного и поясничного отделов позвоночника (рис. 300).
Выделяют три основных типа деформации позвонков:
1) полпая компрессия снижение высоты тел позвонков па всем протяжении позвоночника;
2) клиновидная деформация позвонков, снижение высоты передней или задней части;
3) деформация верхней или нижней поверхности или обеих одновременно, позвонки приобретают форму рыбьих позвонков.
Рентгенологическое исследование должно выполняться в динамике. Перелом тела позвонка — это относительно поздний признак остсопороза, отсутствие перелома не исключает наличие остсопороза.
Самым современным методом лучевой диагностики остеопороза является остеоденситометрия — двойная энергетическая рентгеновская абсорбционометрия, В диагностике остеопороза определенное значение имеют биопсия гребешка подвздошной кости и биохимические исследования.
И.А. Реуцкий, В.Ф. Маринин, А.В. Глотов
Рентгенография до настоящего остается одним из важнейших и наиболее доступных методов в диагностике остеопороза. Важно реально оценивать и использовать возможности этого метода. Причиной диагностических трудностей является вариабельность врачебной оценки рентгенограмм, толщины мягких тканей и укладки , особенностей проявления, качества и чувствительности пленки, экспозиции и множество других факторов. Считается, что достоверно поставить диагноз остеопороза при помощи рентгенографического исследования одной какой-либо локализации можно лишь при потере около 20-40% костной массы (это далеко не ранняя диагностика).
Во многих случаях только по обычной рентгенограмме почти невозможно различить остеопороз, остеомаляцию, гиперпаратиреоз, плазмоцитому и т.д., разве что можно обнаружить такие типичные проявления как лоозеровские зоны перестройки при остеомаляции, образование кист при гиперпаратиреозе или штампованные дефекты в своде черепа при плазмоцитоме. Тем не менее, R-графия является простым и недорогим методом исследования предоставляющим важную диагностическую информацию необходимую для выбора правильной врачебной тактики.
R-признаки остеопороза:
Не характерно для ОП:
- Деформации позвонков выше Th4 (подозрительна на метастаз или спондилит)
- Равномерно компрессированный позвонок (плоский)
Степень выраженности остеопороза (Smith, Rizek, 1966).
Рентгеноморфометрия:

Рентгеноморфометрия позвоночника. На боковых спондилограммах грудного и поясничного отделов, выполненных с соблюдением ряда требований (фокусное расстояние 120 см, центрация на Th6 в грудной части и на L2-3 в поясничном отделе, устранение сколиотической деформации, возникающей при укладке пациента), производят разметку и измерения, по которым определяют линейные размеры передних (А), средних (М), и задних (Р) отделов тел от уровня четвертого грудного до четвертого поясничного позвонков. Для исключения влияния на полученные данные проекционных особенностей исследования, особенностей возраста, пола и роста пациента вычисляют отношения полученных величин - индексы тел позвонков: передне-задний (А/Р), средне-задний (М/Р) и задне-задний (Р/Рn - отношение реального размера заднего края к его величине в норме.) Полученные значения индексов сопоставляют с их средними статистическими величинами в норме с учетом пола, возраста и особенности популяции.
- передняя клиновидная деформация - снижение высоты передних и в меньшей степени средних отделов (наибольшее уменьшение А/Р, менее выраженное М/Р и неизмененное значение Р/Рn)
- двояковогнутая деформация - или деформация по типу "рыбьих позвонков" - снижение центральных отделов позвонков (А/Р и P/Pn не изменены, уменьшен М/Р)
- задняя клиновидная деформация - уменьшение преимущественно задних отделов тел (снижение P/Pn и некоторое увеличение значений А/Р и М/Р)
- компрессионная деформация - относительно равномерное снижение высоты всего тела.
Использование различных индексов может быть также полезно для динамического наблюдения у конкретного пациента из-за доступности простоты выполнения. Однако точность и воспроизводимость результатов значительно уступает таковым при фотонной и рентгеновской абсорбциометрии.
| Индекс бедренной кости = CD+XY/AB. У здоровых людей превышает 54%. (по Barnett, Nordin, 1960). Измеряется толщина кортикального слоя бедренной кости примерно на 10 см ниже малого вертела | |
| | Индекс 2 пястной кости = CD+XY/AB. У здоровых людей превышает 43%. |
| Центральный индекс = AB/CD. для центрального индекса высоту тела L2 или L3 в вентральном отделе и в середине на боковой рентгенограмме поясничного отдела позвоночника. У здоровых людей превышает 80% |
У здоровых людей индекс пястной кости превышает 43%, бедренной 54% и позвоночника 80%. Подобный кортикальный индекс можно, само собой разумеется, измерить также в других костях;
Индекс ключицы (Helela, 1969)
Индекс ребра IV или V (Fischer, Hausser, 1969);
| Индекс Singh (Singh et al., 1970). Метод оценки по обзорному снимку таза. Вполне пригоден для оценки степени сенильной атрофии кости. Для диагностики пресенильного идиопатического остеопороза он, по видимому менее ценен. Некоторые авторы считают его бесполезным для предсказания риска переломов костей у лиц, угрожаемых по остеопорозу. Цифры обозначают степень остеопороза. Достоверный остеопороз начинается с 3-й степени. |
| Индекс Dambaher (Dambaher, 1982). Количественная классификация деформаций тел позвонков, которая, несомненно, полезна при динамических и популяционных исследованиях. |
| Индекс Saville (Saville, 1967). Количественная классификация деформаций тел позвонков, которая, несомненно, полезна при динамических и популяционных исследованиях. |
Микрорадиоскопия:
Является чрезвычайно важным методом подтверждения диагноза метаболических остеопатий. Принцип метода основывается на распознавании различных форм костной резорбции в пястных костях. Рентгенограмму кистей исследуемого снимают в прямой проекции на мелкозернистой (технической) пленке, при этом применяют рентгеновы лучи несколько повышенной жесткости (10 мГр). После проявления снимка рассматривают с помощью лупы (6-8 кратное увеличение) пястье. Таким образом можно без труда разграничить эндостальную, интракортикальную и периостальную резорбцию и получить тем самым указание на генез имеющейся остеопатии.
Увеличенная эндостальная резорбция обнаруживается при физиологической возрастной атрофии, при локальных процессах декальцинации (ревматоидный артрит, опухоли костей) или является выражением остеопороза от бездействия. Если имеется чрезмерная эндостальная резорбция, то с большой вероятностью можно думать, что перед нами выраженный инфолютивный остеопороз или даже гипертиреоз.
Интракортикальная резорбция часто проявляется в форме туннелизации в субэндостальной зоне при заболеваниях протекающих со значительной костной перестройкой, таких как гипертиреоз, гиперпаратиреоз, акромегалия.
При гипертиреозе и при гипертиреозе дело доходит до субпериостальной костной резорбции .;
Резорбционные изменения в периостальной области при обеих этих болезнях довольно хорошо отличимы друг от друга, так как субпериостальные резорбционные полости при гиперпаратиреозе кажутся короче и шире, чем при гипертиреозе, при котором они вытянуты, туннелевидны.
При почечной остеопатии часто происходит отчетливая тунеллизация в области кортикального слоя пястных костей.
Наблюдение за изменениями пястных костей (а отчасти и фаланговых костей пальцев рук) можно использовать при этом в качестве контроля за заболеванием на протяжении длительного времени, так как они при улучшении обмена веществ часто претерпевают обратное развитие. Никакие другие (сравнительно простые) методы не способны лучше документировать подобный терапевтический эффект, чем микрорадиоскопия.
Библиография:
"Остеопороз" Ю.Франке, Г. Рунге перевод с немецкого к.м.н. А.Ю. Болотиной, к.м.н. Н.М. Мылова. Москва. "Медицина" 1995. стр 117-121.
Рентгеновская морфометрия позвоночника в диагностике остеопороза. Н.Н.Белосельский. "Остеопороз и остеопатии" №1.2000. стр 23-26.
Всем добрый вечер!
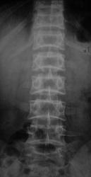
Ребенок 8 лет поступил в детское травматологическое отделение с болями в спине. На мой взгляд позвонки не нормальные. Изменены по типу рыбьих. может это вариант нормы или какая то система. Дистрофический процесс? Какие ваши мнения. и при каких состояниях, если это патология, мы можем видеть данные изменения. Буду рад полезным ссылкам)
![]()
прошу прощенья. ребенку 14 лет.
![]()
Рыбьи позвонки описывает Майкова-Строганова как результат остеопоротических изменений.(Кости и суставы в рентгеновском изображении. Туловище). БМЭ и Рейнберг такие позвонки относят к врожденным деформациям.
И еще:"Рыбьи позвонки — позвонки с двояковогнутыми краниальной и каудальной пластинками. Характерны для несовершенного остеогенеза, некоторых эндокринных спондилопатий, гемобластозов, хронического отравления солями тяжелых металлов." Э.В. Ульрих, А.Ю.Мушкин. Вертебрология в терминах, цифрах и рисунках, Спб, 2005
![]()

а что с анамнезом, не спортсмен?
![]()
Я разглядел несколько патологий:
1. Красным - межпозвонковые диски, которые выпирают за пределы нормы
2. Желтым - антеолистез 4-5 поясничных позвонков.
![]()

по моему ни антелистеза ни ретролистеза нет. а диски помеченные красныи я лично не разглядываю, это же удел КТ и МРТ.
![]()
Видится люмболизация S1 (в этом случае еще и добавочные ребра L1), Spina bifida posterior S1. Патологии дисков не вижу - но если выполнить функциональные можт и появиться.
![]()
Я разглядел несколько патологий:
1. Красным - межпозвонковые диски, которые выпирают за пределы нормы
2. Желтым - антеолистез 4-5 поясничных позвонков.
То что вы отметили это уж тогда ретролистез, ведь по Рейнбергу - "соскальзывание вышележащего относительно нижележащего".
По-поводу дисков, их там разве видно? Они вроде как прозрачны для рентгеновских лучей. А как насчет содержимого кишечника? Может Вы его приняли за диски?
![]()
Видится люмболизация S1 (в этом случае еще и добавочные ребра L1), Spina bifida posterior S1. Патологии дисков не вижу - но если выполнить функциональные можт и появиться.
А мне видиться наоборот сакрализация L5 с гипоплазией 12-х ребер и Spina bifida L5.
А на рентгенограмме мы видим ее начало именно на Th12.
В любом случае переходный позвонок имеется.

я бы досняла ГОП чтоб уж определить какой переходный позвонок, вариантов много бывает. А ретролистеза всетаки нет, если прицельно доснять интересующий отдел его не будет, сама не раз так попадалась.

я тоже за сакрализацию L5, плохо видно, но вроде полная двусторонняя, форма либо суставная либо хрящевая, а может и костная я не могу разглядеть.
![]()
На счет "выпирания"дисков для меня сомнительно. При ф-х пробах все ок. Про смещения позвонков тоже недостоверно-смещение должно быть смещением(для меня). Про spina bifida - вполне согласен. Про анамнез уточню в понедельник, также про спорт и тд. Но мой главный вопрос - это двояковогнутые позвонки - норма или нет . и где предел нормы. За мнения спасибо.
а на счет сакрализации или люмболизации - достовернее посчитать с атлатна) Хотя, наверно, для пациента важнее указать сакрализацию.

пример полной левосторонней сакрализации L5, суставная форма, с признаками артроза. беспокоят периодические боли в ПОП с 99 г.
![]()
![]()
И я вижу сакрализацию L5 и расщепление дужки.
И еще раскопала у себя книгу "Гормональная спондилопатия", авторы Герман и Кетрарь. При этой патологии формируются сначала "рыбьи позвонки", затем остеопроз приводит к патологическим переломам. Плюс куча всякой сопутствующей гадости. И отдельно выделена гиперпаратиреоидная дистрофия- болезнь Реклингаузена.

лично я думаю,однозначно эти позвонки не норма, а по национальности мальчик русский?. спрашиваю не просто так, у не русских (дигестан, чечня) частенько выраженный дегенеративный процесс наблюдать приходится, ну и молодых спортсменов тоже.
![]()
Если это ребенок, то скорее всего рыбьи позвонки результат дисплазии
![]()
Поддерживаю последний пост ( солидарен в мненнии), но это конечно ИМХО.
![]()
Постчитал люмболизацией т.к на позвонке с ребрами (последнем или первом))) - видны межпозвоночные суставы - а это признак поясничного позвонка, вдобавок форма последнего межпозвонкового диска характерна как раз для S1-2, чем для L5-S1, ну и плюс Spina bifida, более характкрна для S1.
Но все решит конечно же только подсчет всех позвонков.))))
![]()
Ремарка не по форме позвонков, а по поводу люмбализации-сакрализации. не проще ли говорить о переходном (симетричном-несиметричном, подвижном-неподвижном, одностороннем-двустороннем, с неоарторозом-без такового) пояснично-крестцовом позвонке.
![]()
да. детская рентгенология оставляет загадки. так норма или нет? хотя в будущем такой позвоночник перейдет в разряд врослой рентгенологии. так может градации детская или взрослая рентгенология не существует. ) одно переходит в другое. а ответа точного мы с вами дать пока не можем.
![]()
пример полной левосторонней сакрализации L5, суставная форма, с признаками артроза. беспокоят периодические боли в ПОП с 99 г.
Здесь описание могло бы звучать так: переходный ассиметричный, левосторонний, подвижный, с образованием неоартроза, пояснично-крестцовый позвонок (и не надо гадать, кто от кого ушел и к кому пришел).
![]()
да. детская рентгенология оставляет загадки. так норма или нет? хотя в будущем такой позвоночник перейдет в разряд врослой рентгенологии. так может градации детская или взрослая рентгенология не существует. ) одно переходит в другое. а ответа точного мы с вами дать пока не можем.
Нормальным может быть "слегка вогнутая" поверхность тел позвонков в боковой проекции. Но не "столь вогнутая", как в данном случае. Тем более, что к 14 годам все уже почти как у взрослых. Вывод однозначен - не норма.
![]()
Коллеги, мне тоже видится не норма. НО надо дать (мне конечно) вразумительный ответ клиницистам , а им - родителям ребенка. Ответ "не норма" или даже спондилопатия и дисплазия ни тем ни другим ничего в общем не даст. получится перекладывание ответственности на следующее звено. хотелось бы конкретики. поймите только правильно, я не вымагаю от вас ответа , который просто перепишу. для меня увиделся пробел в работе , хочется его закрыть.
![]()
Та же спондилопатия - "Изменения в позвоночнике могут отличаться по распространенности и в зависимости от возраста больного, степени выраженности остеопороза, резорбтивных и репаративных процессов. Патологической перестройке наиболее подвержены грудные позвонки. У молодых они уплощаются, становятся двояковогнутыми за счет пролабирования в разрушенные замыкательные пластинки сохранившегося межпозвоночного диска. При более выраженной патологии возникают компрессионные переломы тел одного или нескольких позвонков."
![]()
А вообще то - мальчика надо хорошенько еще "прощупать" со стороны клиники и наследственности, вот тогда и с заключением проясниться, как мне кажется.
"Основные причины болей в спине у детей:
— связанные с положением тела (осанка);
— остеохондропатии и межпозвонковые грыжи;
— спондилолиз/спондилолистез и диспластическая спондилопатия;
— инфекция: межпозвонковых дисков, тел позвонков (остеомиелит, туберкулез);
— остеопороз: идиопатический, при эндокринопатиях, ятрогенный;
— опухолевые заболевания: спинного мозга, костно-хрящевых структур и связок, метастатические;
— гематологические заболевания (серповидно-клеточная анемия, наследственная сфероцитарная анемия);
— заболевания внутренних органов: проекционная боль при заболеваниях, врожденных аномалиях и опухолях органов желудочно-кишечного тракта (ЖКТ) и урогенитальной сферы.
Дифференциальная диагностика болей в спине (дорсалгий) у детей начинается с топической диагностики источника болевой импульсации. Возможными источниками дорсалгий являются: 1 — межпозвонковый сустав; 2 — диск позвонка; 3 — реберно-позвонковый сустав; 4 — связка; 5 — мышца; 6 — нерв. Несомненно, что деструкция тел позвонков также может являться морфологическим субстратом для болевого синдрома."
Диспластическая спондилопатия также может являться причиной интенсивного болевого синдрома в позвоночнике, особенно в случае аномалии строения пояснично-крестцового перехода. Частичная и полная двусторонняя или односторонняя сакрализация последнего поясничного позвонка или люмбализация I крестцового позвонка не всегда выявляется в силу недостаточной информированности врачей, а также не диагностируется из-за некачественно проведенного рентгенологического исследования. Особенно выражен бывает болевой синдром в случае формирования патологической сочленяющейся поверхности — неоартроза
Читайте также:


