Грыжи шморля в поясничном отделе позвоночника на рентгенограмме
Грыжа Шморля – это заболевание, при котором межпозвоночный диск выпячивается не в горизонтальной плоскости, а в вертикальной, и продавливает тело позвонка. Его костная структура разрушается и вдавливается вертикально – вверх или вниз, хрящевая ткань диска заполняет образовавшуюся полость.

Патология часто является наследственной, развивается преимущественно у детей подросткового возраста и пожилых людей при дегенеративных процессах в структурах позвоночного столба.
Что такое грыжа Шморля

В основном это безболезненный процесс, так как диск уходит внутрь позвонка и не выпячивается за его пределы, поэтому нервные окончания, артерии и спинной мозг не затрагиваются. Болезненные симптомы появляются при развитии и увеличении хрящевого выпячивания, в результате чего межпозвонковый диск почти полностью проваливается в тело вышележащего или нижележащего позвонка, уменьшается пространство между позвонками, возникает сдавливание нервных корешков и иногда — кровеносных сосудов позвоночного столба.
Грыжу Шморля также называют узелком Шморля или вертикальной грыжей. Ее описание сделал ученый Христиан Шморль в 1927 году. Именно его именем назвали эту патологию.
По данным последних исследований заболевание встречается примерно в 75% у людей пожилого возраста. Быстропрогрессирующие выпячивания повышают вероятность компрессионного перелома позвоночника примерно на 10%.
Места возникновения грыжи Шморля
Грыжи Шморля образуются в разных отделах позвоночника. От места нахождения выпячивания зависят симптомы и самочувствие больного.
Вертикальные выпячивания межпозвонкового диска в поясничной зоне появляются чаще, чем в других, так как на этот отдел позвоночника приходится самая большая нагрузка. В большинстве случаев диагностируются у пожилых пациентов.

При прогрессировании патологии возникают боли в спине в области поясницы. Такая локализация грыжи опасна тяжелым осложнением – компрессионным переломом позвоночника при провоцирующих факторах.
Это основное место, где возникают грыжи Шморля. Чаще патология развивается в подростковом возрасте и дает осложнения. У ребенка формируется сколиоз и другие дегенеративные заболевания позвоночного столба.

Поражение грудного отдела.
На начальных стадиях при маленьких размерах не дает болезненных проявлений. При прогрессировании происходит истончение ткани позвонков, хрящ разрастается, начинает касаться структур позвоночного столба, повышается риск развития неврологических нарушений.
Узелки Шморля в шейном отделе позвоночника опасны сдавлением позвоночной артерии, которая идет к головному мозгу и питает его. Это происходит при значительном разрушении структуры позвонков и разрастании межпозвонковых хрящей. У больного возникают головокружения, головные боли, нарушается кровоснабжение головного мозга, что опасно развитием инсульта.
По количеству очагов вертикальные грыжевые выпячивания бывают единичными и множественными. При множественной патологии хрящ входит в костную ткань тела позвонка одновременно в нескольких местах, диск становится ромбовидным, выпячивания появляются с двух его сторон.
Множественные узелки диагностируют примерно в 70% случаев. Они вызывают хронический болевой синдром, который усиливается, если больной вынужден постоянно находиться в одном положении – стоя или сидя.
Причины возникновения
Основное условие развития грыжи Шморля – наследственная предрасположенность. Факторы, которые провоцируют ее появление и дальнейшее прогрессирование:
- быстрый рост в подростковом возрасте – костные структуры развиваются неравномерно, скелет формируется медленнее, чем мягкие ткани, в губчатом теле позвонков появляются пустоты;
- пожилой возраст – начинаются дегенеративные процессы, сопровождающиеся снижением эластичности тканей и прочности костей (остеопороз);
- травма позвоночника, в результате которой деформируется межпозвонковый диск;
- дефицит кальция в организме;
- излишняя физическая активность, занятия профессиональными видами спорта, регулярное поднятие тяжестей.
Симптомы заболевания
Грыжа Шморля формируется постепенно и до определенного момента не касается прилегающих артерий и нервных корешков. Поэтому в течение продолжительного времени грыжа Шморля не вызывает каких-либо симптомов.
Постепенно может появляться болезненность в спине в следующих случаях:
- продолжительная физическая активность;
- подъем тяжелых вещей;
- длительное статичное пребывание в стоячем или сидячем положении;
- удар в спину или грудь.
При прогрессировании выпячивания и увеличении его размеров возникают такие симптомы:
- болезненность, покалывание в мышцах спины;
- ограничение подвижности в грудной зоне позвоночника;
- невозможность долго сидеть без поддержки спины;
- онемение конечностей;
- головокружения, головные боли.
Диагностика
Для подтверждения диагноза и подбора терапии при грыже Шморля пациенту назначают:
- рентгенографию;
- магниторезонансную томографию;
- компьютерную томографию.
Методы лечения грыжи Шморля
При выявлении мелких грыжевых выпячиваний, которые не вызывают боли и дискомфорта, терапия не нужна. Пациенту дают рекомендации относительно ведения здорового образа жизни, полноценного питания, умеренной физической нагрузки. Периодически необходимо проходить обследования для контроля за прогрессированием грыжи.
Если узелки разрастаются и дают болевой синдром, показано комплексное лечение, которое включает:
- прием лекарственных препаратов;
- физиотерапию;
- лечебную физкультуру.
При появлении осложнений, запущенных стадиях узелков Шморля, их сочетании с горизонтальными грыжами может проводиться операция.
Особенность медикаментозного лечения при вертикальных грыжах в том, что нет препаратов, которые могли бы полностью вылечить или устранить выпячивания. Цель терапии – снять болевой синдром, восстановить поврежденные ткани. После курса приема препаратов боль может снова появиться при воздействии провоцирующих факторов.

Что назначают больному:
- Мази и гели для местного применения с обезболивающим и противовоспалительным действием – Диклофенак, Вольтарен.
- Хондропротекторы – способствуют регенерации поврежденных тканей. Это препараты Хондроитин, Терафлекс.
- Миорелаксанты – снимают мышечный спазм, который является причиной болевого синдрома. Назначают Мидокалм, Баклофен.
- Витаминные комплексы – назначают для насыщения тканей необходимыми веществами и укрепления прочности костей.
- Препараты с кальцием и витамином D.
Физиотерапевтические методики при вертикальных грыжевых выпячиваниях направлены на улучшение кровоснабжения и лимфотока в позвоночных структурах, купирование воспаления и устранение застойных процессов. Назначают следующие методы физиотерапии:
- Электрофорез. Это введение лекарственных препаратов местно в очаг поражения с помощью создаваемого аппаратом электрического поля.
- Фонофорез. Предполагает введение активных лекарственных веществ в пораженные ткани путем ультразвука.
- Магнитотерапия. Это воздействие на ткани грыжевого выпячивания магнитным полем.
- Электростимуляция. Методика направлена на стимуляцию кровотока и обменных процессов слабыми разрядами электрического тока.
Физиотерапевтические методики, как и лекарственная терапия, не могут полностью избавить от грыжи. Но их применение в комплексе с другими способами лечения улучшает состояние больного до стойкой ремиссии.
Вытяжение позвоночника, или тракция, проводится на специальных тренажерах. Метод позволяет увеличить расстояние между позвонками за счет растяжения мышечных волокон и связок, в процессе укрепляются мышцы спины.

Процедура проводится под строгим контролем со стороны врача, который определяет нагрузку. Нарушение техники или избыточная нагрузка могут вызывать осложнения.
Хорошие результаты дает одна из современных авторских методик – сочетанное применение подводного вытяжения с подводной светотерапией позвоночника. Предполагает одновременное воздействие инфракрасного света и вытяжение с помощью бандажей в воде.
Один из методов рефлексотерапии – акупунктура. Это введение тонких металлических стерильных игл в биологические точки. Длительность сеанса около 30 – 40 минут.
Иглоукалывание снижает давление диска на позвонки, снимает боль, спазмы сосудов, приостанавливает дегенеративные процессы в костных тканях. Однако доказанной эффективностью, по принципам доказательной медицины, иглорефлексотерапия не обладает.
Цель лечебного массажа при узелках Шморля – облегчить самочувствие и устранить боль, ощущение усталости в спине. Процедуры восстанавливают обмен веществ в структурах позвоночного столба, улучшают общий кровоток и движение лимфы.
Специальной диеты при продавливании позвонков хрящевой тканью не требуется. Есть общие рекомендации:
- Контроль веса. Избыточная масса тела дает дополнительную нагрузку на позвоночник, а недостаток веса ослабляет мышечный корсет.
- Сбалансированное питание. В ежедневном рационе должны содержаться фрукты и овощи для насыщения организма необходимыми питательными веществами.
Необходимо употреблять в пищу продукты, содержащие:
- Кальций – молочные и кисломолочные продукты.
- Магний – шпинат, фасоль, семечки.
- Фосфор – рыба, морепродукты.
- Марганец – водоросли, яйца, куриное филе.
Больному следует отказаться от алкогольных напитков и никотина, это улучшит кровоснабжение и питание тканей.
Лечебная физкультура – обязательный компонент комплексной терапии при грыже Шморля. Комплекс упражнений составляет физиотерапевт с учетом локализации грыжевого выпячивания, его размеров и наличия симптомов.
- укрепить мышечный корсет;
- снять спазмы и напряжение с позвоночника.
Важное условие – упражнения должны выполняться регулярно. При возникновении боли или дискомфорта их следует прекратить.
При проведении мануальной терапии, и особенно с элементами растягивания, как и при тракционной терапии, в позвоночнике создается отрицательное давление. Это влияет на грыжу, заставляя хрящевую ткань возвращаться в исходное положение.
При правильной технике выполнения улучшается кровоснабжение всех структур позвоночника, снимается болевой синдром.
Если при узелках Шморля возникают частые болевые приступы, пациентам назначают ношение ортопедического корсета. Он фиксирует спину, что снимает нагрузку на позвоночник, устраняет боль, минимизирует риски развития неврологических симптомов.

Ортопедический корсет показан тем, кто в силу своей деятельности вынужден продолжительно находиться в одной позе – сидя или стоя.
Необходимости в хирургическом вмешательстве при грыже Шморля зачастую нет. Операцию назначают при сильном разрушении позвонков, больших размерах выпячивания, сочетании с горизонтальной грыжей, что вызывает компрессию спинного мозга.
Применяют следующие методики:
- Лазерная вапоризация. Под воздействием лазерного излучения из межпозвоночного диска выпаривают избыточную жидкость. Пульпозное ядро в середине диска становится меньше, снижается давление на пораженный позвонок.
- Радикальное хирургическое лечение показано при очень крупных размерах грыжи. В ходе операции полностью удаляют диск, заменяя его имплантом.
- Самый частый вид вмешательства на позвонках после ликвидации грыжи – это чрескожная пункционная вертебропластика. Да, грыжи нет, и она не увеличивается, но в позвонке осталась полость, которая ухудшает его прочность. Большая полость чревата переломом позвонка. Поэтому ее заполняют специальным костным цементом, превращая ее в единый монолит.
Возможные осложнения
Грыжа Шморля маленьких размеров не дает симптомов и не опасна для здоровья и жизни. Но при прогрессировании и отсутствии лечения дает осложнения:
- полное вдавливание диска и его дисфункция;
- развитие горизонтальной межпозвоночной грыжи;
- истончение позвонков;
- артроз, спондилоартроз;
- стеноз канала спинного мозга;
- компрессионный перелом позвоночника (при локализации грыжи Шморля в поясничном отделе позвоночника);
Чтобы избежать развития осложнений, лечение грыжи Шморля лучше проходить в клиниках Чехии. Применяемые там методики и комплексный подход значительно улучшат физическое самочувствие, повысят работоспособность и качество жизни.
Прогноз
Бессимптомное течение заболевания не оказывает негативного влияния на деятельность и самочувствие человека. При болевом синдроме необходимо комплексное лечение, сочетающее медикаментозную терапию и физиопроцедуры. Это стабилизирует состояние, приведет к ремиссии.
При отсутствии терапии выпячивание прогрессирует, приобретает большие размеры, начинает сдавливать важные структуры спинномозгового канала. Это опасно развитием осложнений вплоть до полного паралича, то есть обездвиживания больного.
Меры профилактики
Любая физическая активность, которая связана с нагрузкой на спину и выполняется регулярно или слишком активно, может вызвать развитие вертикальной грыжи позвоночника.
Чтобы предупредить формирование грыжевого выпячивания или предотвратить осложнения при уже диагностированных узелках Шморля, следует придерживаться профилактических мер. Необходимо исключить чрезмерную физическую активность на позвоночный столб, особенно в период его роста (в подростковом возрасте), контролировать массу тела, чтобы на позвоночник не ложилась дополнительная нагрузка, не поднимать тяжести. Важно соблюдать умеренность при занятиях силовыми видами спорта.
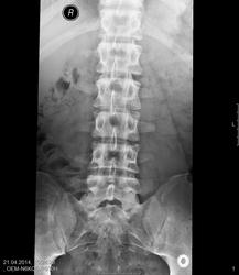
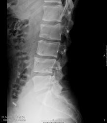
Указанное стрелочками - грыжи Шморля? Пациент 19 лет, ДДЗП.
![]()
![]()


![]()
"Предоставляя весь смысл и совершенство в распоряжение одного только Бога, вы избавляете себя от бездны хлопот." Джон Уитборн.
![]()
Да. Еще я бы отметил грыжу Шморля в L2 по нижней замыкательной пластинке и L3 по верхней замыкательной пластинке.
![]()
При общей оценке боковой сподилограммы обращают на себя внимание "пляшущие" позвонки, при чем каждый из них- сам по себе. Я бы сказал: "кто в лес, кто по дрова". Для примера снимки в 32, 53, 73 года и 60 лет. Здесь если и есть патология, то "пляшущих" позвонков точно нет:
![]()
![]()
![]()
![]()
С Уважением, Дмитрий.
![]()
Думаю эозинофильную гранулему и лейкоз, в данном случае, нужно рассматривать в первую очередь, нежели грыжи Шморля.
С Уважением, Дмитрий.
![]()
Если равмы не было, то о какой б-ни Кальве можно вести речь? Скорее всего человек спортсмен, не удивлюсь если тяжелоатлет или бодибилдинг.
![]()
Какого Шморля?) Центрального. Консолидированный перелом L2, а может и L4, судя по увеличению передне-заднего размера, сглаженность лордоза с посттравматическим кифозом. Или буйная фантазия)). А на счет травм в анамнезе - про свой перелом узнала, став рентгенологом)). Чаще мы не помним про детские травмы. Ну или +склероз))).
"Предоставляя весь смысл и совершенство в распоряжение одного только Бога, вы избавляете себя от бездны хлопот." Джон Уитборн.
![]()
![]()
Что, "грыжа Шморля" уже стала диагнозом?
![]()
Интересно, а в грудном отделе позвоночника не Шейерманн-Мау?
Или не делали грудного отдела?
![]()
Думаю эозинофильную гранулему и лейкоз, в данном случае, нужно рассматривать в первую очередь, нежели грыжи Шморля.
Дмитрий, Вы серьёзно? Или волнение создаёте и ум работать с удвоенной энергией заставляете, да?)
Относительно данного вида грыж следует уточнить то, что существуют принципиальные отличия от всем хорошо знакомых горизонтальных грыж. Изменения затрагивают непосредственно межпозвоночные диски. Формирование начинается, когда хрящевая ткань замыкательных пластинок проваливается в тела позвонков деформирую губчатую кость. Иными словами, происходит вдавливание диска в тела верхнего, нижнего позвонка.
В большинстве своем патология носит наследственный в своем происхождении либо показывает себя негативной симптоматикой в самом раннем, детском у пациента возрасте. Но постепенно мягкий тип тканей будет успешно вытягиваться по мере роста ребенка, при этом сами костные ткани будут отставать и в губчатом по своей структуре теле позвоночного столба будут постепенно образовываться пустоты. Так именно эти пустоты и провоцируют в будущем саму суть проблемы – постепенно в них проваливаются замыкательные пластины позвонков. Чаще всего такая патология как узелковое новообразование Шморля локализовано в грудном или поясничном отделе позвоночника (в средней или нижней части спины).
Узелки Шморля не считаются отдельной болезнью и сами по себе безобидны. Но в то же время они могут быть признаком разнообразных недугов, которые и проявляют себя появлением грыжи и поражением позвоночного у пациента столба.
Заболевание обычно начинает развиваться в пубертатный период, однако симптомы проявляются и в детском, и в преклонном возрасте. В юношеском возрасте организм развивается стремительно, а темп роста мягкой (мышечной) ткани превышает рост костной.
Причины развития грыжи Шморля
Сама патология не имеет четко прописанных возрастных ограничений — ее могут диагностировать как у ребенка, так и у пациента в возрасте. В основе формирования и развития негативных процессов в позвоночном столбе, образовании грыжи Шморля врачи выделяют несколько предрасполагающих факторов:
- Это, прежде всего, нарушение плотности структуры самого межпозвоночного хряща, хрящевой ткани.
- Сбой в обменных процессах и нехватке определенных витаминов, минеральных соединений.
Такие негативные и предрасполагающие факторы чаще всего диагностируются врачами в период активного роста ребенка, либо же при интенсивных физических или же эмоциональных нагрузках на организм, что характерно для спортсменов. Как следствие стечения негативных факторов – плотный узел хрящевой ткани будет изнутри давить на само тело позвоночного столба и провоцировать его деформирование. Это все достаточно четко видно на рентгеновских снимках.
Негативные и необратимые изменения
При отсутствии лечения и своевременного вмешательства врачей, это может спровоцировать патологии в позвоночном столбе, а именно:
- Снижение самой, анатомически правильной высоты позвонков.
- Постепенно снижается и эластичность тканей и связок меж пораженными в позвоночном столбе позвонками
- Снижаются амортизационные особенности всего позвоночного столба, и в месте поражения может развиваться очаг роста и развития фиброзного типа ткани.
- Поражаются суставы, снижается их подвижность, провоцируется рост артроза.
Сама по себе грыжа Шморля при отсутствии внимания и своевременного лечения со временем может провоцировать не только негативные симптомы виде приступов боли и скованности, но и провоцирует рост и развитие истиной грыжи.
Виды патологии
В зависимости от местоположения грыжи – она может быть центральной или же боковой, а также передней или же задней. А с учетом новообразований она может быть, как одиночная, так и множественной. Многое в данном вопросе определяет первопричина патологических изменений.
Узелки Шморля возникают из-за огромного количества причин. Заслуживают упоминания следующие факторы:
Но чаще всего эта проблема вызвана ускоренным взрослением подросткового организма. В медицине подобное явление называется акселерацией. Оно приводит к тому, что костные ткани межпозвоночных дисков развиваются медленнее мышц, из-за чего давление на межпозвоночный столб становится чересчур высоким.
Прежде чем читать далее статью, настоятельно советуем вам просмотреть видео профессора Сергея Бубновского о том что такое Грыжа Шморля.
Симптоматика
Лишь иногда грыжи Шморля имеют ярко выраженные симптомы. Обычно же они никак себя не проявляют.
Эти грыжи особо не влияют на качество жизни: они не вызывают болей в спине и не ограничивают подвижность тела. Но все же опасаться их стоит, ведь мелкие узелки Шморля делают кости хрупкими, а это уже чревато переломами, постепенным развитием артроза, а также других неприятных недугов.
В каких отделах позвоночника узелки Шморля встречаются ? Чем это опасно ?
Локализация мелких грыж Шморля
Чаще всего расположены в области поясничного, грудного отдела позвоночника и шейном отделе.
Это основное место их локализации. В нем грыжи Шморля обычно развиваются уже в пубертатном возрасте. Такая локализация опасна тяжелыми осложнениями, развитием сколиоза и других заболеваний. Симптоматика смазанная, может вообще отсутствовать. Лишь иногда болит спина, когда человек стоит или сидит.
Поражение поясничного отдела позвоночника, лечение которого должен назначать только врач, диагностируется специалистами редко. Разве что в некоторых случаях болит спина, когда человек стоит. Но такая локализация недуга чревата очень тяжелым осложнением, которое называется компрессионным переломом хребта.
Очень хрупкий участок позвоночника, поэтому там тоже нередко появляются узелки Шморля. Их основные симптомы – головные боли и головокружения, которые возникают из-за сдавливания артерии, снабжающей мозг кровью.
Множественные и единичные мелкие грыжи
Разновидность мелких узелков Шморля
Делятся на единичные и множественные.
Множественные узелки встречаются чаще (примерно в 70% случаев). Их отличает то, что межпозвоночные диски входят в позвонки сразу в нескольких местах. Такая разновидность грыж сопровождается достаточно сильными болевыми ощущениями. Их основные симптомы – это:
- Хронические мучительные боли, которые усиливаются в стоячем или сидячем положении;
- Быстрая утомляемость;
- Нарушения сна.

Что же касается единичных узелков, то они обычно являются симптомом заболевания Шойерман-Мау (это разновидность кифоза). Проявляется недуг сильными болями в районе хребта. Они обычно возникают, когда человек работает сидя в течение длительного времени или долго стоит. Шойерман-Мау нужно обязательно лечить, иначе можно заболеть остеохондрозом и другими тяжелыми недугами позвоночника.
Как мелкие грыжи диагностируются ?
Узелки Шморля обычно диагностируют с помощью рентгена, а также магнитно-резонансной или компьютерной томографии. Когда грыжи выявлены, доктор направляет пациента на сдачу мочи и общего анализа крови. Часто также требуются и разнообразные биохимические исследования.
Достаточно часто многие пациенты задаются вопросом – какой врач назначает лечение при постановке такого диагноза как грыжа Шморля, то стоит обратиться к ортопеду. В частности, в сфере ортопедии сегодня существует отдельная область медицинских знаний – вертебрология, которая и занимается данными вопросами. Именно в ее распоряжении существует масса методов диагностики и лечения, позволяя поставить пациента на ноги.
Методики лечения
Если грыжи не вызывают каких-либо болезненных симптомов, то врач ограничится назначением оздоровительных процедур:
- Плавание;
- Специальные массажи;
- Лечебные упражнения.
Благодаря им мышцы спины станут сильнее.
Ну, а если из-за грыж Шморля возникают болевые ощущения, тогда врач прописывает пациенту один из следующих противовоспалительных препаратов нестероидной группы. Их вводят внутримышечно по утрам на протяжении одной недели:
- Лорноксикам. Одноразово вводится 16 мг;
- Мелоксикам. Обычная доза 1,5 мл;
- Диклофенак. Одноразово вводится 3,0 мл.
Кроме того, от болей доктор обычно предписывает принимать 200 мг ибупрофена или нимесулида. Делать это нужно по вечерам в течение одного месяца – главное не практиковать самостоятельное назначение лекарств и их введение. В этом случае все должно идти под контролем врача.
В некоторых случаях врач также выписывает витамины группы B (B6, B12), релаксанты мышц (мидокалм) и местные противовоспалительные мази (диклафинак). Также врачи назначают и прием в виде таблеток или же уколов витамина Д, кальция, но только в том случае если патологические процессы в позвоночнике сопровождено такой патологией как остеопороз – чрезмерная хрупкость и ломкость кости.
Наравне с приемом медикаментозных составов – врачи часто, в индивидуальном порядке и с учетом общего состояния пациента назначают и курс прохождения лечебной физкультуры, несколько реже назначается и лечебное вытягивание самого позвоночника.
Поскольку сама патология обусловлена частыми приступами болями в области спины и поясничного отдела позвоночника – как элемент лечения и средство для купирования болевого синдрома, врачи часто назначают ношение пациентом мягкого или же жесткого корсета. Чаще всего ношение специальной фиксирующей конструкции – корсета назначают пациентам, чья работа или же образ жизни часто предусматривает нахождение долгое время в определенной, одной позе, например в положении лежа, стоя или же сидя. Сама конструкция помогает снять с позвоночника излишек нагрузки на сам пораженный патологией сегмент позвоночного столба и таким образом купирует болевой синдром, уменьшая в разы риски развития невралгии и межпозвонкового типа грыжи.

Сама практика применения рефлексотерапии, как и каждая медицинская процедура, направлена на полное восстановление пораженного участка позвоночника, полноценное лечение и восстановление пациента. Курс рефлексотерапии помогает увеличить и улучшит кровоток, питающий позвоночник и это помогает доставить к поврежденному участку больше кислорода и питательных веществ, помогая быстрее восстановить хрящевую, костную ткань.
В процессе лечения грыжи представленным методом – рефлексотерапией, стоит учитывать существующие к ее проведению противопоказания. Если не принимать их в расчет – это может спровоцировать обострение общего состояния пациента и спровоцировать негативное развитие таких патологических процессов как рост опухоли и повышение температуры тела, головные боли и ломоту.
Противопоказано проведение курса рефлексотерапии при диагностировании таких заболеваний как:
- Рост и развитие злокачественных и доброкачественных новообразований, в особенности сопровожденные метастазами.
- Повышение температуры тела, спровоцированное простудой.
- Туберкулез в активной стадии его течения.
- Не практикуют рефлексотерапию и в период вынашивания плода и грудного вскармливания.
- При диагностировании заболеваний крови, например, при лейкозе или же психическом перевозбуждении.
Не менее эффективным и действенным методом лечения грыжи Шморля и иных патологий, поражающих позвоночник есть и курс лечения медицинскими пиявками. Сеансы пиявок могут показаться кому-то неприятными, но именно они показывают положительные результаты лечения:
- Они помогают насытить кровь кислородом;
- Улучшить сам кровоток и поставку крови к пораженному участку позвоночного столба;
- Помогают снять повышенное давление;
- Снимают спазмический приступ и ликвидируют застой вредных веществ в тканях.
Тем не менее, при всей своей пользе сеансы лечения пиявками имеют и свои противопоказания:
- Диагностированные опухоли, поражающие ткани и органы метастазами;
- Период вынашивания плода и лактации;
- Заболевания, поражающие кровь, в частности диагностированная гемофилия, отмеченная плохой свертываемостью крови.
Курс лечебной ЛФК также оказывает положительные результаты лечения грыжи. Но прежде чем практиковать тот или иной комплекс упражнений – стоит проконсультироваться с лечащим врачом, который и составит индивидуальную программу упражнений, учитывая расположение грыжи, ее размеры и общее состояние пациента.
Сами гимнастические упражнения направлены на укрепление мышц спины и пресса, снимая напряжение и лишний вес с позвоночника, формируя крепкий мышечный корсет. Главное в этом случае – регулярное и правильное выполнение всех упражнений, их проведение под руководством опытного тренера. Если упражнения доставляют дискомфорт и боль – их выполнение немедленно стоит прекратить.
Читайте также:



