Как заниматься спортом при смещении шейного позвонка
Дело в том, что не бывает остеохондроза одного отдела. Это процесс, который затрагивает обязательно весь позвоночный столб.
Сегодня речь пойдёт об остеохондрозе, в частности, об остеохондрозе шейного позвоночного отдела. Дело в том, что не бывает остеохондроза одного отдела. Это процесс, который затрагивает обязательно весь позвоночный столб. Почему же тогда врачи ставят диагноз остеохондроз поясничного, шейного или грудного отдела?
Таким образом, они подчёркивают не локальность процесса, а его максимальность. То, что сейчас больше всего беспокоит, так и называется ваш остеохондроз. Поэтому, когда у вас проблемы с каким-то одним отделом, знайте, что, если вы ничего не предпримете, когда-нибудь будут страдать и другие отделы. Впоследствии ваши диагнозы будут расширяться.
Сейчас поговорим об упражнениях, которые только усугубляют такое заболевание, как шейный остеохондроз, и категорически вам противопоказаны.

Если у вас уже есть остеохондроз шейного отдела позвоночника или его пока нет, то такими упражнениями вы можете его спровоцировать. Это весьма распространённые упражнения, которые многие из вас выполняют, искренне полагая, что эти упражнения улучшают состояние здоровья и имеют лечебный эффект.
Речь пойдёт о трёх упражнениях. Два из них вы делаете дома. Третье применяется в бассейне. Все знают, что при остеохондрозе лучшее лечение — это плавание.
Итак, первое — это упражнения, с которых часто тренеры начинают свою тренировку, разминочные упражнения. Мы начинаем интенсивно махать руками и ногами, чтобы как-то включить свой организм.
То же самое некоторые тренера начинают делать с головы. То есть резкие повороты головой вверх-вниз, вправо-влево, крутящие движения. Это категорически плохо для шейного отдела позвоночника.
Такие движения могут вызывать соскальзывание позвонков. В этот момент ваши мышцы должны удержать позвонки на месте. Таким образом, они зажимают наши позвонки, но при этом ещё и артерии, которые идут к головному мозгу.
Поэтому последствия таких резких движений во время разминки, приводят к головокружениям и потемнением в глазах. Так же возрастает вероятность инсульта. Если вдруг на тренировке тренер начинает делать такие упражнения, вам следует остановиться или делать их с маленькой амплитудой.

Второе упражнение тоже очень распространённое. Вы его делайте в зале, на тренировках и дома. Когда мы качаем мышцы пресса, то это тоже следует делать правильно. Если его выполнять неправильно, то вся нагрузка будет ложиться не на мышцы пресса, а на мышцы шеи, перегружая их.
Когда вы заводите руки за головой и тянитесь к коленям, то напрягаются мышцы шеи, а мышцы живота у вас отдыхают.
Так делать нельзя!
Необходимо руки раздвинуть широко, локти в сторону, и все движения выполнять только лишь туловищем. Голова, в этом случае, должна просто идти вместе с туловищем, как его продолжение.
Третье упражнение. Это упражнение делается в воде. Любой невролог скажет, что плавание благоприятно воздействует на ваш позвоночник. Когда вы плаваете, снижается давление мышц, суставы расслаблены. В воде позвонки не испытывают давления вышестоящих отделов на нижестоящие. Поэтому мышцы накачиваются, а суставы не напрягаются.
Данные условия идеальные для лечения или коррекции остеохондроза.
Но в чём заключается ошибка?
Когда вы, чаще всего это женщины, плаваете брассом или кролем, то пытаетесь голову как можно меньше погружать в воду и сильно выгибаете шею назад, чтобы держать голову над водой.
Физиологически у нас уже устроено так, что на затылочной части головы уже имеется изгиб.
Если мы начинаем сильно разгибать этот естественный физиологический изгиб, очень большая нагрузка ложится на мышцы и соответственно на позвонки.
Происходит сильнейшая компрессия мышц и позвонков.
Чтобы избежать этого упражнения, когда вы плаваете, старайтесь просто голову опускать в воду и поднимать её только для дыхания, либо не старайтесь сильно поднимать подбородок. Таким образом, положение вашего тела будет более ровным, а изгибы физиологичны.
Понравилась статья? Напишите свое мнение в комментариях.
Подпишитесь на наш ФБ:
На шейный отдел возлагается большая нагрузка. Здесь проходят важные магистрали сосудов и артерий, снабжающих кровью головной мозг. Смещение шейных позвонков способствует изменению анатомического расположения ветвей и нарушению кровотока в церебральном отделе со всеми вытекающими последствиями.
Почему смещаются позвонки

Смещение рядом стоящих позвоночных тел относительно друг друга в медицине именуют спондилолистезом. В большинстве случаев диагностируют нарушение анатомического расположения 4 и 5 шейного позвонка.
Основной предрасполагающий фактор, который выступает причиной смещения позвоночных тел, – нарушение целостности позвоночной дужки, которая соединяет суставы. Это провоцирует соскальзывание смежных тел относительно правильной оси.
Существует несколько форм смещения позвонков – острое и постепенное. В первом случае причиной выступает внезапная травма (падение с высоты, резкий поворот шеи и др.), во втором – возрастные изменения, смещение при которых происходит постепенно.
Можно выделить следующие источники патологии:
- травма в анамнезе: перелом дуги позвонка, вывих тела, например, при сильном механическом ударе или вследствие ДТП;
- неправильная тактика ведения родов, родовая травма, врожденное недоразвитие или неправильное формирование костного аппарата шеи;
- перенапряжение шейного отдела вследствие поднятия тяжелого предмета;
- развитие дегенеративно-дистрофического процесса и возрастных изменений в костных или мягких тканях.

Учитывая источник патологии, медики выделяют несколько разновидностей спондилолистеза:
- травматический, обусловленный предшествующей травмой шейного отдела;
- диспластический, вызванный врожденным нарушением структуры позвоночных суставов;
- дегенеративный, обусловленный остеохондрозом, спондилоартритом, другими дегенеративно-дистрофическими процессами;
- патологический, вызванный деформацией костных или мягких тканей вследствие формирования опухоли или другого новообразования;
- истмический, обусловленный недостаточностью (врожденной или приобретенной) межсуставных тканей позвоночного тела.
Независимо от причины патологических изменений при всех формах заболевания наблюдается схожая клиническая картина.
Симптомы и признаки
Учитывая направление смещения позвонка, различают вентролистез (смещение вперед) и ретролистез (смещение кзади). Характерные признаки и симптомы любой формы заболевания:
- болевой синдром в области с патологией, которая носит временный или постоянный характер (в зависимости от степени тяжести болезни);
- нарушение сна за счет невозможности подобрать удобное положение туловища и боли;
- дискомфорт в шейном отделе при наклоне головы и повороте шеи;
- головная боль в области затылка;
- чувство скованности в плече-лопаточном отделе.
По мере прогрессии изменений клиническая картина становится более выраженной, дополняются осложнения, которые требуют срочного врачебного вмешательства.
Методы диагностики

Если возникли симптомы, которые указывают на смещение шейных позвонков, нужно сразу обратиться к ортопеду или травматологу. Подтвердить диагноз можно только по результатам комплексной диагностики:
- выслушивание жалоб пациента;
- осмотр болезненного отдела, пальпация;
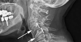
- рентгенологическое исследование позвоночного столба;
- компьютерная и магнитно-резонансная томография;
- ультразвуковой анализ.
Если есть подозрение на смещение атланта (первого шейного позвонка), проводится рентген через ротовую полость.

По результатам диагностики можно подтвердить факт смещения тел позвоночника и определить его степень:
- первая: позвонок на 25% отклонен от своего места локализации;
- вторая: тело смещено на 50%;
- третья: позвонок отклоняется на 75%;
- четвертая: тело смещено более чем на 75%.
Если не принимать меры, патология будет прогрессировать, повышая риск полного выпадения позвонка из своего анатомического местоположения. Исходя из особенностей смещения, различают устойчивую и неустойчивую его форму:
- в первом случае отсутствуют выраженные симптомы, изменения происходят постепенно;
- во втором случае смещение происходит во время движения головы, физических нагрузок и вызывает сильную боль.
При диагностике патологии врач исключает ложное смещение – псевдоспондилолистез. Состояние характеризуется отсутствием дефекта межсуставной дужки и вызвано индивидуальными особенностями строения позвоночных тел.
Лечение патологии

Метод терапии смещения позвоночных тел в шейном отделе подбирают в каждом конкретном случае отдельно. Полностью избавиться от заболевания можно, если начать соответствующее лечение на первой стадии развития патологии.
Консервативная терапия направлена на снятие клинической картины смещения. Это может быть прием лекарственных препаратов:
- обезболивающих для устранения болевых ощущений;
- нестероидных противовоспалительных для снятия отечности затронутых мягких тканей;
- хондропротекторов для восстановления хрящевых тканей.
В дополнение к медикаментозному лечению назначают лечебную физкультуру, массаж, мануальную терапию для расслабления и укрепления мышечного корсета шейно-плече-лопаточного отдела. Для поддержания позвоночника в естественном анатомическом положении нужно носить фиксирующий воротник ортопедического типа. Ускорить выздоровление помогают физиотерапевтические процедуры.
К хирургическому лечению прибегают, если консервативная терапия не помогает восстановить здоровье позвоночника. В таком случае практикуют встраивание в столб пластин из металла, которые соединяют смежные позвонки. Деформированные костные структуры при этом удаляют.
Хирургическое вмешательство позволяет зафиксировать позвоночник в шейном отделе, ограничив его подвижность. Несмотря на терапевтическую ценность метода, он имеет много рисков. После операции требуется соблюдение восстановительных мер не менее года.
Во время реабилитации пациенту нужно проходить сеансы стабилизирующих и корригирующих упражнений в амбулаторных условиях или специальном санатории, носить фиксирующий воротник, проходить физиотерапевтические процедуры.
Возможные осложнения и профилактика

Опасность смещения позвонков в шейном отделе в том, что в данной области сосредоточены артерии и сосуды, проходящие в церебральный отдел. Если костные фрагменты сдавливают ветви, возникает кислородное голодание мозга, так как нарушается ток крови и орган недополучает нужного объема питательных веществ.
В результате развивается характерная симптоматика:
- головокружение;
- головная боль;
- снижение или повышение артериального давления;
- шум в ушах;
- нарушение зрительной функции;
- снижение интеллектуальных способностей, памяти.
При смещении позвонков и нестабильности позвоночника усугубляется развитие дегенеративно-дистрофических процессов в шейном отделе, повышается риск появления изменений, характерных для артроза межпозвоночных суставов.
Спустя определенное время (не раньше нескольких лет) восстановление нестабильности позвоночного столба может произойти за счет формирования краевых костных разрастаний.
Для профилактики осложнений нужно начать лечение как можно раньше, идеально – при первых клинических проявлениях. Особенно важно соблюдать превентивные меры людям, у которых ослаблены связки и мышцы спинного отдела.
Превентивные мероприятия для поддержания здоровья позвоночника и укрепления структур органа:
- контроль правильной осанки, исключение сутулости во время сидения и ходьбы;
- ограничение повышенных физических нагрузок и поднятия тяжелых предметов;
- исключение из физкультурного комплекса упражнений, которые предполагают переразгибание позвоночника;
- посещение бассейна и регулярное плавание;
- сон на ортопедическом матрасе и такого же типа подушке.
Не нужно пренебрегать походом к врачу, если возникает боль в шейной области. Некоторые формы смещения долго не сопровождаются выраженными клиническими проявлениями. Присутствие дискомфорта может указывать на развитие осложнений.
Смещение, ротация позвонков часто становиться причиной выраженного болевого синдрома. Если нарушение локализуется в шейном отделе, боль может сопровождаться признаками нарушения кровоснабжения.
Содержание
- Вас мучают постоянные или периодические головные боли?
- Болевые ощущения распространяются в грудь и ключицу?
- Чувствуете напряженность мышц в области шеи?
- Часто меняется настроение или есть склонность к депрессии, апатии?
- Испытываете головокружения?
Это основные признаки смещения шейных позвонков. Уделите 5 минут своего времени и узнайте, как исправить ситуацию. Мы разберем все действенные способы лечения проблемы.
В этой статье вы узнаете: почему изменяется положение позвонков, как диагностировать, какие бывают разновидности и как вылечить заболевание.

Главная проблема в том, что в течение длительного времени, нарушения никак себя не проявляют. Пациент значительное время может не догадываться о том, что в шейном отделе позвоночника происходят процессы деформации. Когда появляются сильные боли и дискомфорт, которые мешают привычной жизни человека, это служит признаком значимого смещения.
Что такое смещение шейных позвонков?
Смещение, или подвывих, шейных позвонков представляет собой нарушение правильного положения межпозвонкового сустава. Первоначально смещение позвонков шейного отдела носит скрытый характер.
К основным факторам, которые влияют на движение позвонков, относят:
- Долгое пребывание в одном, неправильном положении;
- Пассивный образ жизни;
- Наличие межпозвоночной грыжи;
- Хрупкость костной ткани;
- Опухоли;
- Остеохондроз.
Важно знать, что смещение сопровождается защемлением нервных корешков. Это ведет к систематическим головным болям, утрате чувствительности кожи рук, пальцев. Развиваются прострелы, боли в грудной клетке.

При выраженном смещении нарушается работа органов, нервной системы, опорного аппарата.
Если Вы хотите понять, что такое боль при смещении позвонка, как она проявляется, смотрите следующее видео:
Причины: почему происходит смещение позвонков
Важно знать, причины, по которым сустав шейного отдела позвоночника может выйти из суставной ямки. Знание главных предпосылок позволяет остановить процесс и не допустить его прогрессирования.
- Ушибы, травмы позвоночника;
- Поражение и деформация межпозвонковых дисков;
- Врожденные патологии;
- Сидячий образ жизни или сон без подушки;
- Переохлаждение;
- Проведенные ранее операции;
- Возраст;
- Чрезмерные физические нагрузки.
У новорожденных детей часто происходит смещение шейных отделов позвоночника. Способствует этому наличие травм при родовой деятельности, неаккуратное обращение с новорожденным.
Часто родители неправильно придерживают голову, что может навредить шейной области.
У грудничков кости позвоночника мягкие, поэтому, чтобы избежать подвывихов позвонков шеи важно:
- следить за позой сна;
- избегать травмы, ушибы и падения;
- не заставлять ребенка садиться, ползать, вставать раньше положенного срока.
Возможными симптомами травмировании позвонков у ребенка будет постоянный плач, запрокидывание головы, асимметрия движений конечностей.
Нарушение движения 1 позвонка, или, как его еще называют Атланта, приносит человеку серьезные проблемы со здоровьем. Смещение провоцирует уменьшение диаметрального размера спинномозгового канала, что изменяет работу внутренних органов.

Мозг начинает в недостаточном количестве снабжаться кровью, а значит и кислородом. Возможны проблемы в работе среднего уха и ЦНС. Ухудшается сон, появляется раздражительность. Могут возникнуть головные боли. При значимом смещении, пациент может терять сознание и память. Ситуация может представлять опасность для жизни.
Аксис – такое название носит второй позвонок шейного отдела.
При его подвывихе происходит сужения спинномозгового канала. Возможно развитие воспаления спинного мозга или его оболочек. В результате появляется боль в ушах, возможна даже частичная потеря слуха. Страдает зрение, не исключена тошнота, потеря памяти и сознания. Можно наблюдать четкие симптомы неврологического характера.
Сместиться 2 позвонок может в результате наличия остеохондроза, хирургических операций, ушибов спины. Причиной может служить злокачественное или доброкачественное новообразование, метастазирование.
Если у человека происходит смещение 3 позвонка, появляются проблемамы с горлом, ЦНС. Пациент чувствует постоянное першение в горле, воспаляется слизистая гортани, нарушается сон. Возможно нарушение слуховой функции.
Данная патология может привести к серьезным последствиям, вплоть до паралича.
При подвывихе 4 позвоночника происходит защемление нервных корешков, сдавливается спинной мозг, страдает не только область шеи, но и вся верхняя часть спины.
Появляются проблемы со слухом, обонянием. Человек не редко испытывает жар, тошноту, и другие симптомы.
5 позвонок при смещении сдавливает нервный корешок, который обеспечивает работу плечевых суставов. Появляются заболевания: миозит, радикулопатия, спондилез.
Характерными признаками смещения пятого позвонка являются: сиплый голос, ангина в острой форме, воспаление слизистой гортани. Отмечаются проблемы с походкой и осанкой.
Шестой позвонок тесно граничит с мышцами спины. Подвывих 6 шейного позвонка влечет за собой появление тонзиллитов, болевых ощущений в грудной клетке, таких, что невозможно дышать. Может снизиться давление, ослабиться пульс.
Важно знать, что такое смещение часто сопровождается поражением грудопоясничного отдела позвоночника. При повреждении возможно не только онемение конечностей, но и парализация.
В случае смещения 7 шейного позвонка, защемляются нервные окончания шеи. Возможна боль в зоне верхних конечностей – от пальцев до плеча. Болевой синдром распространяется от шеи вниз по спине. Ощущения не проходят даже в состоянии покоя.
Смещение нескольких позвонков
Подвывих позвонков в 1 сторону называют лестничным. Лестничнокомбинированное смещение представляет собой сдвиг позвонков в противоположные стороны. Основными причинам являются заболевания суставов и остеохондроз. Поставить диагноз можно только после рентгена. Лечение таких смещений возможно на разных стадиях.

Необходимо незамедлительно обратиться к врачу, при наличии первых симптомов.
Патология может привести к следующим заболеваниям: арахноидиту, остеомиелиту, абсцессу спинного мозга.
Рекомендуется не затягивать поход к неврологу и проведение диагностических мероприятий.
Демонстрация смещения позвонка представлена на видео:
Диагностика
К какому врачу обратиться?
Всеми заболеваниями и воспалительными процессами в области позвоночника занимается невролог. При необходимости, он подключает ортопеда или травматолога. Диагностировать смещение шейных отделов позвоночника необходимо доверить опытному и квалифицированному врачу.
- Боли в шее и плечах;
- Головокружение;
- Отдышка, которая развивается в момент покоя;
- Отмечается онемение конечностей.
Это первые признаки смещения или подвывиха шейных позвонков.
Необходимо посетить врача. При несвоевременном обращении к специалисту, возможны тяжелые последствия, длительное лечение.
При первичном посещении, врач изучит историю болезни, соберет анамнез.
Далее врач приступает к осмотру и пальпации шейного отдела.
Для постановки диагноза, необходимо пройти обследование:
- Рентген;
- Магнитно-резонансная или компьютерная томография.

Когда обследование пациента подтвердило смещение позвонков, назначается лечение и ЛФК.
Лечение
Важно знать, что подвывихи шейных позвонков поддаются лечению.
Существуют 2 метода: хирургический и консервативный.
Выбирает, каким способом лечить пациента врач, на основании полученных результатов компьютерной диагностики. В любом случае, доктор старается решить проблему консервативным способом. Когда это не удается, хирургическое вмешательство неизбежно.
Проведение операции избавит от проблемы, но врачи стараются, по возможности, помочь пациенту без нее. Это связано с высоким риском выполнения вмешательства.
Любое оперативное вмешательство на позвоночнике может иметь свои последствия.
Даже при успешном завершении операции, не стоит забывать о длительном восстановительном периоде.
Пир смещении позвонков, можно обратиться к остеопату. Врач специализируется на ручной диагностике заболеваний костной структуры, обнаруживает мышечный спазм и болевой синдром. С помощью рук воздействует на определенные точки человеческого тела, устраняя дискомфорт и болевые ощущения. Такое лечение не навредит пациенту и почти не имеет побочных эффектов.
Консервативное лечение включает:
- Прием медикаментов;
- ЛФК;
- Массажи;
- Физиопроцедуры;
- Иглоукалывание;
- Посещение мануального терапевта или остеопата;
- Ношение ортезов;
- Использование специальных тренажеров-масажеров.

Только комплексное лечение позволяет избавиться от смещения шейных позвонков.
На практике, операция назначается тогда, когда консервативное лечение не дает результатов.
Хирургические манипуляции при смещении шейных позвонков необходимы при:
- Врожденных пороках развития;
- Травмах спины;
- Ушибах;
- ДТП.
Проводится операция: с помощью штифтов врач фиксирует правильное положение позвонков. Прибегают к хирургическим манипуляциям в редких случаях, из-за того, что восстановительный процесс после проведения операции длительный. Не исключены осложнения.
Лечебная физкультура – незаменимая составляющая комплексного лечения и профилактики подвывихов шейных позвонков. Каждому пациенту назначается определенный курс упражнений.
Только систематическое, ежедневное выполнение всех рекомендаций врача позволяет избавиться от заболевания. Занятия можно выполнять как в домашних условиях, так и в медицинском учреждении. ЛФК является лечебной процедурой и профилактикой прогрессирования заболевания.
Основные задачи комплекса лечебной физкультуры – нормализовать питание мозга, улучшить кровообращение, снять болевой синдром, убрать симптомы.
Упражнения необходимо выполнять по 20-30 минут в день, не меньше года, даже если вы себя чувствуете значительно лучше и забыли что такое боль в шее.
Стандартный комплекс упражнений для пациентов со смещением шейных позвонков:
- Медленно и плавно поворачивается голова – вправо и влево.
- Наклоны головы – плавные движения вперед и назад.
- Поместить руки на лоб и надавить ими, максимально напрягая мышцы шеи для сопротивления.
- Опускать, поднимать плечи, фиксируя их на 20 секунд.
- В течение 25 мин, лежа на удобной поверхности, помассировать плечи и шею.
Число повторений каждого упражнения – не меньше 10.

Сделать гимнастические упражнения более эффективными можно при помощи специального тренажера.
Каждый человек может выполнять определенные правила, чтобы избежать появления проблем с шейными позвонками и неприятных симптомов.
- Исключить силовой вид спорта;
- Не перегружать спину;
- Следить за осанкой;
- Вести здоровый образ жизни;
- Заниматься спокойными видами спорта: йога, спортивная ходьба;
- Правильно питаться и чаще бывать на свежем воздухе;
- Не переохлаждаться.
Важно следить за режимом дня – высыпаться, избегать стресса.
Родителям рекомендуется следить за тем, как: ребенок сидит за письменным столом; засиживается ли в одной позе; носит ли тяжелые вещи.
Тренажер Древмасс создан специально для людей, которые имеют проблемы с позвоночником. Представляет собой деревянный прибор с роликами, пользоваться которым достаточно просто.
- Лечение болезни, а не устранение ее симптомов;
- Улучшается кровообращение;
- Снижается мышечный спазм;
- Укрепляются мышцы позвоночника;
- Стимулируются нервные окончания;
- Устраняет боль, скованность, дискомфорт при смещении шейных позвонков.
Неоспоримым достоинством тренажера является то, что его можно использовать предназначен для домашних тренировок. Достаточно 5 минут в день заниматься на массажере, для того чтобы заметить улучшение состояния здоровья.
- Подойдет ли прибор при наличии смещения позвонка?
- Безопасно ли его использование?
- Нужна ли консультация врача?
Это далеко не полный перечень вопросов, которые могут возникнуть! Прибор физиологичен и разработан врачами. Он клинически апробирован и с успехом применяется в реабилитационных и клинических центрах лечения позвоночника.
Подробные отзывы о приборе, его использовании при разных патологиях, можно посмотреть здесь.
Сделать спину здоровой – это просто!
Ваша команда Drevmass

Признаки

Шейный остеохондроз — очень распространенное заболевание позвоночника, при котором деформируются хрящи межпозвоночных дисков. Шейные позвонки при этом давят на расположенные между ними нервы и сосуды.
Внезапные головные боли, головокружения, шум в ушах, хруст в шее, снижение зрения, онемение руки, боль в груди — все это, по отдельности или в совокупности, симптомы болезни.
Причины возникновения
Основные причины возникновения заболевания это:
- Малая подвижность.
- Микротравмы (при падении, в результате удара).
- Возраст и отягощенная наследственность.
- Лишний вес, повышающий давление на позвоночник.
Чего нельзя делать при ШОХ?
При появлении описанной выше симптоматики, обязательно обратитесь к врачу — неврологу. Врач проведет диагностику и назначит лечение, вероятнее всего включающее в себя мануальную терапию и иглоукалывание. Но необходимо помнить, что эти методики могут быть и противопоказаны.
Например, мануальная терапия недопустима в период обострения, когда болевой синдром ярко выражен. Так же она не показана при свежих травмах позвоночника и суставов и при патологии сосудов, таких как тромбоз или тромбофлебит.
Иглорефлексотерапия, при том, что является достаточно мягким воздействием на организм, также имеет противопоказания, среди которых:

- беременность;
- наличие инфекционных заболеваний;
- возраст младше 3 и старше 75 лет;
- любые заболевания крови.
К спортивным упражнениям следует тоже подходить с осторожностью. При остеохондрозе категорически противопоказаны:
- нагрузки со штангой, гантелями, гирей;
- борьба;
- любые упражнения, включающие в себя резкие движения.
Есть три противопоказанных при шейном остеохондрозе распространенных упражнения, про которые многие полагают, что они полезны для здоровья.
- Разминочные упражнения, включающие в себя резкие наклоны головы вверх-вниз, влево-вправо и круговые обороты. Это может вызвать соскальзывание позвонков, что приведет к головокружению и потемнению в глазах.
- Неправильная прокачка мышц пресса. При выполнении упражнений на пресс, нужно широко раздвинуть локти в стороны, и следить за тем, чтобы напрягалось только туловище, а шея была расслаблена. Недопустимо тянуть себя за шейный отдел к коленям.
- Третья ошибка часто возникает при плавании. Стараясь держать голову над водой как можно выше, вы сильно выгибаете шею назад, что приводит к компрессии мышц и позвонков. Правильнее будет опустить голову в воду, и поднимать ее только для вдоха, и не стремиться сильно задрать подбородок.
Все эти виды противопоказанных упражнений могут привести к неблагоприятным последствиям — обострениям болей в позвоночнике, головокружениям, головным болям, протрузии дисков и межпозвоночной грыже, повышению артериального давления, и, как следствие, даже к ишемическим инсультам.
Что же можно?

Массаж воротниковой зоны очень эффективен при начальных этапах развития заболевания. Боль в такой фазе чаще всего вызвана спазмами мышц, а значит сильных трансформаций в хрящевой ткани и позвонках еще нет.
Во время сеанса массажа мышцы расслабляются, активизируются обменные процессы, в кровь поступает кислород. После консультации со специалистом, такой массаж вполне можно делать дома самостоятельно.
Немаловажную роль при остеохондрозе играет исключение негативных факторов, провоцирующих болезнь.
-
Необходимо скорректировать образ жизни:
- изменить режим питания на диетический, делая упор на ежедневное присутствие большого количества белка в пище;
- избавиться от лишнего веса.

Если вы профессионально или любительски занимаетесь бодибилдингом, то, при остеохондрозе шейного отдела ваши упражнения должны соответствовать двум критериям:
- устранение любой нагрузки на шейные позвонк;
- тренировка мышц в районе шеи прямым или косвенным воздействием.
Категорически запрещены упражнения со свободными весами такие как:
- становая тяга;
- присед;
- жим стоя или сидя.
Для косвенного воздействия на мышечный корсет в районе шеи можно выполнять трапеции в положении стоя с гантелями, или с помощью тренажеров.
Тренировать мышцы спины можно регулярными подтягиваниями на турнике. При этом очень важно соблюдать правильную технику исполнения:
- руки располагаются прямым хватом на ширине плеч;
- подъем на вдохе, без рывка, спина прямая;
- медленный спуск на выходе до прямых рук.
Отжимания также хороши, как один из видов физической нагрузки при шейном остеохондрозе. Самое главное — соблюдать технику исполнения, чтобы вся нагрузка приходилась на руки, а спина и ноги образовывали ровную линию.
Для начинающих рекомендованный способ отжимания — с колен.
Очень полезны при таком заболевании занятия плаванием, особенно на спине. В воде тело становится легче, движения совершаются без напряжения мышц. При плавании на спине расслабляются мышцы в шейном и поясничном отделах позвоночника, уменьшаются его изгибы, что приводит к минимизации нагрузки на межпозвонковые диски.

Йога — это хорошая физическая активность, не требующая сильных нагрузок и помогающая укрепить мышечный корсет. Выполнять упражнения следует под присмотром специалиста, обязательно уведомив его о своей болезни. Профессиональный тренер по йоге подберет вам комплекс асан, направленных на:
- расслабление мышц;
- вытяжение всех отделов позвоночника;
- укрепление мышц шеи и плечевого пояса.
Какие упражнения выполняются?
Задача лечебной гимнастики или ЛФК при остеохондрозе шейного отдела:
- укрепить мышцы шеи;
- снять зажимы;
- улучшить кровообращение в проблемной области.
Общие правила выполнения упражнений:
- проконсультируйтесь с врачом перед началом занятий;
- все упражнения должны проводиться только в стадии ремиссии;
- при возникновении боли немедленно прервитесь;
- выполняйте комплекс регулярно, с периодичность 2-3 раза в неделю;
- начинайте и заканчивайте занятия с измерения пульса и давления;
- все движения должны быть плавными, без рывков;
- постепенно повышайте нагрузку и увеличивайте количество повторов.
Лечебная гимнастика поможет вам:
- предотвратить появление болезненных ощущений в шее;
- вернуть подвижность позвонкам;
- не допустить образования межпозвонковых грыж.
Комплексы для укрепления и расслабления мышц
Лечебный комплекс упражнений можно делать как в тренажерном зале, под присмотром тренера, так и самостоятельно. Существуют различные комплексы упражнений, как статические так и динамические, авторские методики (например, гимнастика Дикуля или кинезитерапия Бубновского).

Действенный и простой комплекс ЛФК включает в себя следующие упражнения:
- Сядьте на стул, выпрямите шею и спину, и выполните плавные повороты головы в одну и другую сторону по 5-10 раз.
- Из того же положения медленно опускайте голову вниз, до тех пор, пока подбородок не коснется груди, повторите 10 раз.
- Из того же положения выполните движения шеей назад, втягивая подбородок и не разгибая шею. Повторите 10-12 раз.
- Сидя за столом, с прямой спиной, облокотитесь рукой на поверхность стола и упритесь виском в ладонь. Выполняйте наклоны головой в сторону руки, при этом ладонь немного противодействует движению. После небольшого перерыва поменяйте руку. Повторите 8-10 раз.
- Из того же положения прижмите ладонь ко лбу и наклоняйте голову вперед, создавая сопротивление с помощью руки. Повторите 10 раз, и ,после перерыва, поменяйте руку.
- Из положения стоя с прямой спиной, руки вдоль туловища. Поднимите плечи как можно выше, задержите на несколько секунд, расслабьтесь и выдохните. Повторите 10-12 раз.
После выполнения комплекса можно сделать себе легкий расслабляющий массаж, принять теплый душ.
Профилактика
Профилактические мероприятия при шейном остеохондрозе включает несколько несложных рекомендаций:
- Избегайте переохлаждения, так как это ведет к напряжению мышц и обострению боли.
- Следите за осанкой, чтобы изгибы позвоночника постоянно были естественны. Особенно это актуально для людей, ведущих малоподвижный образ жизни — например, когда вы 8 часов подряд работаете за компьютером.
- При ремиссии обязательно регулярно выполняйте лечебную гимнастику.
- Избегайте резких рывков и круговых вращений головой.
- Исключите из образа жизни негативные факторы, провоцирующие развитие болезни — алкоголь, курение, переедание, малую подвижность.
Мнения и советы специалистов

Чтобы купировать боль при обострении болезни, нужно:
- Лечь на твердую поверхность на спину или живот так, чтобы отделы позвоночника и мышцы спины были максимально расслаблены. При необходимости можно подложить валики под поясницу и шейный отдел.
- Лежать следует до тех пор, пока боли не пройдут, в среднем 15-20 минут.
- Можно воспользоваться противовоспалительными мазями, такими как Диклофенак и Финалгон.
Остеохондроз шейного отдела — хроническое заболевание, к сожалению, полностью вылечить его не удастся. Но, вполне возможно, при соблюдении рекомендаций врача, не допустить развития болезни дальше, на другие отделы позвоночника, и минимизировать количество обострений.
Всем ли можно делать массаж при шейном остеохондрозе, кому он противопоказан и как усилить эффективность процедуры?
При упоминании об остеохондрозе у большинства из нас всплывают ассоциации с пожилыми людьми и мы считаем, что это точно не про нас. Статистика же показывает, что возрастной порог этого недуга давно снизился и очень сильно. Сидячий образ жизни, который преобладает у подавляющего населения нашей страны, играет злую шутку с нашим организмом. Подростки не вылезают из …
Могут ли быть последствия от приема алкоголя при шейном остеохондрозе? Рекомендации и мнения врачей
Остеохондроз – довольно распространенное заболевание. В развитых странах им болеет более половины взрослого населения. Есть разные виды патологии: шейный, грудной и поясничный остеохондроз. Вызывает это состояние дистрофический процесс в межпозвонковой пульпе, которая при этом превращается в окостеневшую субстанцию. Нарушается подвижность дисков и гибкость их сцепления. В этой статье повествуется о шейном остеохондрозе и последствиях беспечного …
Чем полезно плавание при шейном остеохондрозе и какие упражнения в воде наиболее эффективны?
Остеохондроз — распространенное заболевание по всему миру, страдает от него каждый 2 человек. Это патология встречается в большинстве случаев у людей после 30 лет, а все виновата сидячая работа, экология и много других факторов. Как же понять, что и тебя этот недуг не обошел стороной?
Разрешена ли баня при остеохондрозе шейного и других отделов позвоночника? Как правильно париться?
Баня издавна считалась особенным местом, где можно было не только расслабиться и отдохнуть, но и избавиться от некоторых болезней, закалить организм и справиться с усталостью. Не удивительно, что и в нынешнее время банные процедуры пользуются большой популярностью даже при наличии серьезных заболеваний. В некоторых случаях они действительно помогают избавиться от симптомов и в общем положительно …
Что делать, если болит шея? Можно ли ее греть при шейном остеохондрозе?
При шейном остеохондрозе происходят дегенеративно-дистрофические изменения межпозвоночных дисков. Недуг проявляется сильным болевым синдромом и значительно влияет на качество жизни. Прогревание шейного отдела позвоночника является одним из приёмов лечения этого заболевания, но прибегать к этому методу можно лишь соблюдая определённые правила.
Читайте также:


