Метастазы в шее на мрт
Боли в шее, её припухлость, асимметрия, изменения голоса – такие симптомы могут свидетельствовать о патологии органов и тканей, расположенных в области шеи. Одним из методов, который поможет установить причины таких проявлений, является МРТ.
- Владимир Владимирович, часто ли в ваш центр обращаются пациенты с вопросом о том, выполняется ли у вас МРТ шеи?
– Да, сравнительно часто. МРТ мягких тканей шеи довольно актуальное обследование. Но всё же не такое частое, как, например, исследование головного мозга или каких–то отделов позвоночника (в частности, шейного, грудного, поясничного).
- МРТ шеи и МРТ шейного отдела позвоночника – это одно и то же? Если нет, то в чём разница?
– Это немного разные вещи. МРТ шейного отдела позвоночника – узконаправленное обследование. При выполнении данной процедуры видны только позвоночник и спинной мозг. МРТ мягких тканей шеи – обследование более расширенное. При его проведении просматриваются и оцениваются мышцы, слюнные железы (подъязычная, нижнечелюстная, околоушная), щитовидная железа, пищевод, гортань, а также межфасциальные пространства. Просматривается также корень языка, грушевидные синусы, лимфоузлы, парафарингеальные (окологлоточные) области. Позвоночник и спинной мозг на МРТ шеи тоже видны, но не так детально, как на МРТ шейного отдела позвоночника.
Необходима МРТ шейного отдела позвоночника? На это исследование можно записаться здесь
ВНИМАНИЕ: услуга доступна не во всех городах
- Какие симптомы могут указывать на то, что в шее есть проблемы?
- припухлость в области шеи, которая видна невооружённым глазом, асимметрия;
- покраснение на шее;
- Какую патологию может обнаружить МРТ шеи? В диагностике каких заболеваний она может помочь врачу?
– Как и при любом МРТ-обследовании это могут быть доброкачественные и злокачественные новообразования (например, различные типы кист шеи), воспалительные изменения. Причём данные образования могут находиться как в мягких тканях и мышцах шеи, так и в железах, пищеводе.
Конкременты (камни) лучше видны на КТ, но если в слюнных железах есть камень, то, соответственно, на МРТ мы увидим последствия: расширение слюнных протоков и т.д. Абсцессы, признаки инфекции также будут визуализироваться.
Хотите больше узнать об МРТ слюнных желез? Читайте здесь
- Как делается МРТ шеи?
– Пациент ложится на стол томографа и ему выполняется сканирование в трёх проекциях. Специалист в это время управляет аппаратом из соседней комнаты и по необходимости связывается с пациентом посредством двусторонней связи. Данные передаются на монитор, и врач оценивает состояние органов по полученным изображениям. Результаты отражаются в заключении. При необходимости данные могут быть записаны на электронный носитель, который пациент забирает с собой.
- Сколько длится процедура?
– МРТ шеи без контрастирования занимает около 20 – 30 минут, с контрастированием – примерно час.
– Нужна ли специальная подготовка, чтобы сделать МРТ шеи?
- Имеются ли противопоказания к МРТ шеи?
– Они такие же, как и к обычной МРТ: наличие в организме пациента кардиостимулятора, ферромагнитного металла и ряд других.
Подробнее о противопоказаниях к МРТ можно узнать из нашей статьи
- Как часто можно проходить МРТ шеи?
– Как и все другие МРТ-обследования. Если это необходимо, то можно каждый день.
- В каких ситуациях требуется проведение МРТ шеи с контрастом? Есть ли ограничения для применения контрастного препарата?
– Если в процессе обследования, например, мы находим какое–либо образование, то определить его характер (доброкачественный или злокачественный) можно по характеру накопления контрастного вещества.
Ограничения стандартные для всех МРТ. Это почечная недостаточность, первый триместр беременности, лактация, индивидуальная непереносимость препарата.
Читайте материал по теме: Для чего нужен контраст при МРТ?
– В каких случаях может понадобиться КТ шеи? И чем она отличается от МРТ?
– В основе этих методов – разные физические феномены. МРТ – обследование на основе магнитного резонанса, помещение человека в магнитное поле. КТ действует на основе ионизирующего рентгеновского излучения. Но это методы взаимодополняющие. В идеале, если есть показания, надо делать и то, и другое.
Какая-то патология лучше видна на КТ. Допустим, сиалоаденит (камни в протоках слюнных желез, с последующим воспалением). Хорошо заметны такие органы, как гортань, её хрящи. Окружающие пространства лучше видны на МРТ.
Когда КТ незаменима? Подробнее о компьютерной томографии можно узнать здесь
- К какому доктору следует обратиться, чтобы получить направление на МРТ шеи?
– Для того, чтобы сделать МРТ шеи, направление не обязательно. Можно обратиться в наш центр и пройти МРТ с целью профилактики, если что–то беспокоит. В зависимости от выявленной патологии доктор, который делал МРТ, подскажет и обязательно отметит в заключении, к какому специалисту пациенту стоит обратиться. Но если пациент хочет пойти сначала именно к врачу-клиницисту, то это может быть невролог, оториноларинголог (ЛОР-врач), онколог.
Записаться на МРТ мягких тканей шеи можно здесь
ВНИМАНИЕ: услуга доступна не во всех городах
Беседовала Марина Воловик
Редакция рекомендует:
Тулинов Владимир Владимирович
Выпускник Рязанского государственного медицинского университета 2010 года
С 2010 по 2011 год проходил интернатуру по рентгенологии в Курском государственном медицинском университете.
Видны ли метастазы на МРТ позвоночника?
МР-сканирование активно используют в онкологии для обнаружения рака и прочих опухолей. По результатам исследования можно обнаружить даже мельчайшие патологические изменения в мягких тканях на ранних стадиях развития заболевания.
Для оценки состояния костных структур обычно используют КТ. Однако МРТ имеет преимущество перед методами лучевой диагностики:
- процедура дает возможность выявить ранние отсевы опухолей;
- МРТ информативна еще до развития грубых морфологических изменений в позвоночнике, на стадии вытеснения атипичными клетками структур красного костного мозга.
- МР-сканирование считают методом выбора для выявления поражений нервной ткани, которые не отражают рентгеновские способы диагностики.
Чтобы обнаружить метастазы в позвоночник, МРТ обычно проводят с контрастированием. Препараты на основе редкоземельного металла (гадолиния) накапливаются в структурах с активным кровоснабжением и делают опухоли и их отсевы более заметными.

Опухолевое образование, вероятно метастатической природы, в пояснично-крестцовом отделе позвоночника на МРТ
Как выглядят метастазы в позвоночнике на МРТ?
Результатами МР-сканирования являются послойные снимки исследуемой области в нескольких проекциях. Рентгенолог имеет возможность рассмотреть любую зону позвоночника и выявить малейшие отклонения от нормы. Патологические процессы проявляются изменениями импульсов от тканей. Сигнал может быть гипо-, изо- и гиперинтенсивным.

Вторичное очаговое поражение позвоночника (зоны деструкции выделены)
В зависимости от используемого протокола импульсных последовательностей рентгенолог делает выводы о возможном происхождении нехарактерного МР-сигнала.
Чаще в позвоночник метастазируют опухоли молочной железы у женщин и предстательной у мужчин, легких. Несколько реже отсевы в эту область дают лимфома, меланома и почечно-клеточная карцинома. Чаще поражаются тела нижних грудных и поясничных позвонков.

МР-сканирование: вверху объемное паравертебральное образование, внизу — вторичное поражение костей таза
Вторичные опухоли различных типов неодинаково видны на снимках МРТ:
- остеолитические метастазы. Хорошо накапливают контрастный препарат. На Т1 взвешенных изображениях дают гипо- или изоинтенсивный сигнал. То есть, выглядят темнее окружающих тканей или соответствуют им. При применении Т2 последовательностей дают изо- или гиперинтенсивный сигнал. Остеолитические метастазы хорошо видны в режиме с подавлением сигнала от жировой ткани. Данные образования на снимках выглядят как очаги гиперинтенсивные;
- остеобластические метастазы. Слабо накапливают контрастное вещество. На Т1 и Т2 взвешенных изображениях выглядят темными. При подавлении сигнала от жировой ткани выглядят как изо- или слабо гиперинтенсивные участки;
- вторичные опухоли смешанной природы. На Т1 последовательностях могут давать как гипо-, так и гиперинтенсивный сигнал.
Чувствительность метода составляет около 90%. Однако МР-сканирование только подтверждает диагноз или позволяет предположить его. По результатам томографии невозможно отличить метастазы от первичных опухолей позвоночника. С целью дифференциальной диагностики применяют аспирационную или обычную биопсию с последующим цитологическим и гистологическим исследованием.

Метастазы в позвоночнике на МРТ (указаны стрелками)
Как описывают метастазы на МРТ?
По результатам МР-сканирования врач-рентгенолог составляет заключение на бумаге. В протоколе исследования специалист должен указать выявленные отклонения от нормы, подробно их описать. Данную информацию лечащий врач использует для постановки диагноза и назначения дополнительных обследований с целью уточнения патологических изменений.
При подозрениях на метастазы в протоколе МРТ указывают наличие признаков остеолитического, остеобластического или смешанного поражения позвонков. Врач обязательно обозначает локализацию очагов (C1-C7 — шейный отдел, T1-T12 — грудной, L1-L5 — поясничный, S1-S5 — крестцовый), их количество и распространение (единичные, множественные или диффузные). В заключении указывают размеры метастазов, наличие эрозий на позвонках, объемную часть поражения, стабильность вовлеченных в патологический процесс костей. В результатах МРТ описывают мягкотканные компоненты, признаки компрессии спинного мозга и нервных корешков, суставов, сосудов.

Метастаз в лимфатический узел на МРТ

МРТ позвоночника

МРТ недорого
Что важно знать о метастазах в лимфоузлы
- 40%- это метастазы в лимфоузлах, размер которых менее 1 см.
- Частота метастазирования из различных областей: ротоглотка - 70%, гортанная часть глотки - 70%, носоглотка - 60%, большие слюнные железы - 50%, полость рта - 45%, среднее ухо - 30%, гортань - 25%, полость носа и придаточные пазухи носа - 20%
- Основная масса первичных опухолей располагается в области головы и шеи
- Источником лимфогенных метастазов, особенно в глоточное кольцо, в большинстве случаев становится плоскоклеточный рак
- Лимфоэпителиальные опухоли также метастазируют в голову и шею
- Метастатические поражения головы и шеи при злокачественной меланоме встречаются реже
- Пути метастазирования обусловлены направлением лимфооттока от первичной опухоли.
Регионарные метастазы опухолей головы и шеи в лимфатические узлы (классификация TNM), исключая щитовидную железу:
- N1: Метастазы размерами 6 см.
Классификация лимфатических узлов по уровням (AJCC):
- I уровень: Выше подъязычной кости, ниже челюстно-подъязычной мышцы, кпереди от задней границы поднижнечелюстной железы.
- II уровень: Простирается в краниокаудальном направлении от основания черепа до подъязычной кости, позади задней границы поднижнечелюстной железы, кпереди от задней границы грудино-ключичнососцевидной мышцы.
- III уровень: Простирается в краниокаудальном направлении от подъязычной кости до нижней границы перстневидного хряща, кпереди от задней границы грудино-ключично-сосцевидной мышцы.
- IV уровень: Простирается в краниокаудальном направлении от нижней границы перстневидного хряща до уровня ключицы, кпереди от линии, проведенной между задней границей грудино-ключично-сосцевидной мышцы и заднебоковой границей передней лестничной мышцы.
- V уровень: Простирается в краниокаудальном направлении от основания черепа до ключицы, позади линии, проведенной между задней границей грудино-ключично-сосцевидной мышцы и заднебоковой границей передней лестничной мышцы.
- VI уровень: Простирается в краниокаудальном направлении от нижней границы подъязычной кости до рукоятки грудины, медиальнее общей сонной артерии.
- VII уровень: Ниже верхней границы рукоятки грудины, медиальнее общей соннойартерии.
Клинические проявления
Типичные симптомы метастазов в лимфоузлах:
- Метастазы в лимфоузлах имеют неспецифические симптомы
- Это плотное безболезненное округлое образование
- Метастазы в поверхностные лимфатические узлы в связи с их малыми размерами в 10% случаев остаются незамеченными
- Пальпация глубоко расположенных узлов затруднена.
Какой метод диагностики метастазов в лимфоузлах выбрать: МРТ, КТ, ЭХО-КГ, ангиографию
- КТ с контрастированием, MPT с USPIO.
- Поперечный размер лимфатического узла более 1 см
- Круглая форма
- Усиление после введения контрастного вещества может быть равномерным, неравномерным или периферическим
- В центре узла может образовываться полость
- Отсутствуют признаки наличия жировой ткани в воротах узла.
- Увеличенные, округлые лимфатические узлы
- Три и более лимфатических узла расположены группой
- Неспецифические характеристики сигнала на Т1- и Т2-взвешенном изображении без контрастирования
- Зона некроза в центре опухоли гиперинтенсивна на Т2-взвешенном изображении и выраженно гипоинтенсивна по отношению к периферическому кольцу на Т1-взвешенном изображении, особенно после введения гадолиния
- МРТ с USPIO обеспечивает высокую точность и чувствительность исследования •
- Расположенные по периферии и в центре лимфатического узла участки с высокой интенсивностью сигнала на Т2-взвешенном изображении после введения USPIO представляют зоны, пораженные опухолью.
- Округлая форма лимфатических узлов (соотношение продольного размера к поперечному 0,8).
- Размеры лимфатических узлов >4 см
- Соотношение продольного размера к поперечному Хирургическое удаление первичной опухоли и иссечение клетчатки шеи, чтобы убрать пораженные лимфатические узлы.
Операция Крайла: Резекция лимфатических узлов I-V уровня , грудино-ключично-сосцевидной мышцы, внутренней яремной вены и XI черепного нерва.
Фасциально-футлярное иссечение клетчатки шеи: Резекция лимфатических узлов I-V уровня (с. 289), без удаления мышцы, вены и нерва.
Селективное иссечение клетчатки шеи: Селективное удаление одной и более группы лимфатических узлов I-V уровня. Послеоперационная лучевая терапия.
Врачи каких специальностей диагностируют и лечат метастазы в шейных лимфоузлах
- Онколог (определение тактики лечения)
- Хирург (удаление метастазов)
Прогноз
- Недифференцированный рак чаще дает метастазы, чем высокодифференцированный
- При спаянности лимфатических узлов с окружающими тканями прогноз неблагоприятный
- Случаи с инвазией наружной или внутренней сонной артерии неоперабельные
- Метастаз рака в шейные лимфоузлы это не благоприятный прогноз, метастазирование в лимфоузлы снижает долговременную выживаемость более чем на 50%.
Возможные осложнения и последствия
- Снижение продолжительности жизни в два раза

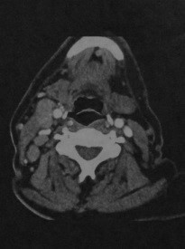
Метастазы. Пациент, страдающий раком языка. КТ в горизонтальной проекции: множественные увеличенные лимфатические узлы в нервно-сосудистом пучке шеи справа. Наблюдается вогнутость контура внутренней яремной вены и смещение грудино-ключично-сосцевидной мышцы кзади.

MPT, Т1 -взвешенное изображение во фронтальной плоскости (а): множественные увеличенные лимфатические узлы в правой половине шеи. Узлы имеют промежуточную или низкую интенсивность сигнала и расположены вдоль нервно-сосудистого пучка. Последовательность STIR (Ь): выраженное увеличение интенсивности сигнала в лимфатических узлах с метастазами в правой половине шеи.
МРТ шейного отдела позвоночника сегодня назначается больным довольно часто. Однако далеко не все пациенты понимают, для чего это делается и что процедура даст для постановки правильного диагноза. Выполнение МРТ шейного отдела позвоночника позволяет визуализировать хрящевые структуры, кости, нервные волокна, связки и мягкие ткани. Благодаря большому количеству снимков, врач может детально изучить любую из перечисленных структур и безошибочно выявить малейшие отклонения от нормы. В некоторые случаях для более четкого изображения, прибегают к использованию контрастирующего вещества. Наиболее часто это делается для оценки состояния нервных структур и сосудов.
МРТ шейного отдела позвоночника для визуализации хрящевых структур
Преимуществом МРТ шейного отдела позвоночника над другими диагностическими методами (в том числе и КТ), является то, что эта процедура позволяет рассмотреть измененные ткани даже в самых труднодоступных и ограниченных участках. Благодаря высокой степени безопасности МРТ шейного отдела позвоночника может проводиться детям, ослабленным болезнью пациентам, беременным и кормящим женщинам. Также исследование может повторяться столько раз, сколько нужно для оценки динамики заболевания и эффективности лечения.
В чем отличие МРТ от КТ можно узнать в приведенном ниже видео.
Когда врач назначает МРТ шейного отдела позвоночника?
Шея является одним из наиболее сложных для диагностики участков тела. В этой области располагается большое количество нервов и сосудов, сложный связочный аппарат, фасции, позвонки и мышечные структуры. Заболевание любого элемента шеи могут вызывать весьма неприятные ощущения и существенно ухудшать уровень жизни пациента. Сложность диагностики патологий в области шеи заключается в том, что различные структуры могут вызывать довольно схожие симптомы. МРТ шейного отдела позвоночного столба позволяет провести точную дифференциальную диагностику, а значит, поставить правильный диагноз.

МРТ шейного отдела позвоночного столба часто сочетается с одновременной томографией головы. Связано это с тем, что сосуды, питающие головной мозг, располагаются в каналах позвоночника. Больной проходит данное исследование, если у него имеются следующие состояния:
- болевой синдром, локализованный в шее, но отдающий в верхние конечности;
- развитие парапареза либо тетрапареза (частичная потеря способности к движению в двух или четырех конечностях);
- синдром уменьшения просвета позвоночной артерии (онемение в шее, руке и плече);
- упорные головные боли, шаткость походки, головокружение, галлюцинации;
- кривошея;
- возможность выявления грыжевого выпячивания;
- сдавление спинномозгового тяжа;
- подозрение на опухолевое новообразование в области шеи;
- рассеянный склероз;
- нестабильность шейных позвонков;
- сосудистые аномалии;
- аномальное внутриутробное развитие костной либо нервной системы.
Когда не стоит прибегать к МРТ шеи?
МРТ считается одним из наиболее безопасных методов диагностики. Однако имеется несколько противопоказаний к его проведению. К противопоказаниям для магнитно-резонансной томографии относят:
- наличие в теле пациента приборов либо конструкций с металлическими элементами (спицы, клипсы, пластины и прочее);
- татуировки, нанесенные с помощью металлосодержащих красок;
- наличие в организме исследуемого электронных устройств (помпа, кардиостимулятор, стент);
- ранний срок беременности.
Не стоит проводить МРТ шеи лицам с клаустрофобией и другими расстройствами психики. Слишком большой вес больного (свыше 120 кг) может стать также причиной отказа от данного исследования. При невозможности выполнения МРТ, врач рассматривает возможность выполнение КТ.
Подробнее о противопоказаниях можно узнать в приведенном видео.
Что дает МРТ шейного отдела позвоночника?
В результате сканирования врач получает большое количество снимков среза шеи на различных уровнях и в разных проекциях. В отличие от КТ, МРТ позволяет получить четкие изображения не только костей и суставов, но и всех мягкотканых структур. Так, специалист может безошибочно определить наличие опухоли в области шеи либо выявить различные повреждения тканей.

наличие опухоли в области шеи
При необходимости, врач может с помощью специальной программы получить трехмерное изображение структур на основании полученных снимков. Это позволяет получить максимум информации от исследования. Результаты исследования в завершение переносятся на пленку либо электронный носитель, а расшифровка снимков представлена в виде описания на бумаге. Сколько времени потребуется для расшифровки результатов, зависит от клиники и специалистов.
Как проходит исследование, можно увидеть в приведенном видео.
МРТ шеи в норме?
Здоровая шея имеет на снимках позвонки без шероховатостей и дефектов, диски между ними одинаковой высоты и ширины. Структуры шеи при этом расположены симметрично, без каких-либо смещений. Также снимок дает четкое изображение костного мозга, по которому врач может легко оценить структуру его тканей. Нервные волокна свободно выходят из просвета позвоночного столба и не пережимаются какими-либо структурами. На серии снимков не должно быть признаков воспалительного процесса структур шеи, дефектов либо опухолевидных образований.

Особенности МРТ шеи при наличии опухолевого образования либо травме
При наличии травматического повреждения позвонков, врач увидит на снимках линию разлома, костные осколки, деформацию костей. В случае компрессионного перелома позвонков, специалист определит на полученных срезах участки остеопороза, а возможно, и другие патологические структуры.
Опухолевые образования наиболее часто выявляются в области оболочек спинномозгового тяжа. МРТ шеи позволяет оценить не только структуру тканей новообразования, но и определить ее связь с прилежащими сосудистыми либо нервными элементами, а также с другими мягкоткаными структурами. Исследование позволяет безошибочно определить причину сдавления спинномозгового тяжа и разрушения его тканей.
Особенности МРТ шеи при наличии миеломаляции либо грыжи
Частой патологией позвоночника является грыжа. МРТ шеи при наличии грыжевого выпячивания покажет уменьшение высоты межпозвоночного диска. Края его при этом могут быть деформированы, наружная оболочка разрушена, внутреннее содержимое его выходит за пределы мембраны через дефекты. При наличии грыжи, часто повреждаются либо сдавливаются расположенные вблизи нервные структуры. В большинстве случаев грыжа позвоночника сопровождается развитием остеохондроза, а значит, разрушением и самих позвонков.
МРТ шеи при наличии миеломаляции
Об особенностях МРТ при грыже позвоночника можно узнать в приведенном видео.
Миомаляция представляет собой нарушение структуры мягких тканей. Пораженные ткани вначале на снимке определяются как отечные, далее развивается некроз. Последующим этапом развития заболевания является рубцевание тканей в месте поражения. Участки такого повреждения на снимке могут быть нечеткими. В случае вовлечения в патологический процесс спинномозгового канала может наблюдаться его деформация.
ЧАСТОТА МЕТАСТАЗИРОВАНИЯ РАЗЛИЧНЫХ ОПУХОЛЕЙ В ПОЗВОНОЧНИК
Метастазированием называется распространение злокачественной опухоли по организму с формированием вторичных образований в других органах. Позвонки – излюбленная локализация метастазов многих новообразований: рака предстательной железы, почек, надпочечников, молочной железы, яичников, щитовидной железы и легкого (согласно данным проф. Тагер И. Л.). Реже метастазируют в позвоночный столб новообразования желудка и матки, еще реже – пищевода, глотки, гортани, языка. Кроме рака давать отсевы в позвоночник могут различные саркомы (лимфо-, фибро-, мио-), но частота встречаемости вторичных поражений позвоночного столба при этих опухолях ниже. Такое злокачественное поражение лимфатических узлов, как лимфогранулематоз, также часто распространяется по губчатым костям.
Согласно данным исследования Spiro, Adams и Goldstein на основе 1000 случаев злокачественных новообразований, была выявлена следующая частота спинального метастазирования различных видов рака: в 73,1% — вторичные образования были обнаружены при онкологии молочной железы, в 32,5% — легкого, в 24,4% — почки, в 13% — поджелудочной железы, в 10,9% — желудка, 9,3% — толстого кишечника, в 9,0% — яичников.
КЛИНИЧЕСКИЕ СИМПТОМЫ И ПРИЗНАКИ МЕТАСТАЗИРОВАНИЯ В ПОЗВОНКИ
Очень часто основным симптомом и проявлением метастазов в позвоночник, с которым сталкиваются пациенты, являются боли в спине. Это частое явление, которое может быть обусловлено остеохондрозом, поэтому на него обычно долго не обращают внимания. Боли могут иррадиировать в ногу, ягодицу, правую или левую части поясницы, напоминая таковые при остеохондрозе с корешковым синдромом. И только при прорастании новообразования в позвоночный канал возникают нарушения движений в виде нижней параплегии, а также симптомы потери чувствительности (гипо- и анестезия).
Из-за сдавления или прорастания опухоли в спинной мозг нарушается двигательная иннервация мышц, расположенных ниже места поражения. В результате появляется снижение силы мышц в конечностях, нарушение самостоятельных движений вплоть до полной невозможности их произвести. При прорастании образования в корешковый канал со сдавлением спинномозгового нерва появляется симптом нижней лево- или правосторонней моноплегии (отсутствие активных движений в правой или левой ноге) или парез.
КЛАССИФИКАЦИЯ МЕТАСТАЗОВ В ПОЗВОНОЧНИК
В зависимости от структуры и рентгенологических проявлений вторичные опухолевые участки в костной ткани принято делить на остеобластические (склеротические), остеолитические и смешанные.
Остеолитические метастазы являются участками деструкции, разрушения скелета, и могут прорастать в позвоночный канал, в корешковые каналы, в паравертебральную клетчатку и ближайшие органы, включая кровеносные сосуды. В определенной степени описанная структура зависит от гистологического строения первичного рака: например, аденокарцинома предстательной железы практически всегда дает плотные, склеротические участки, аденокарцинома щитовидной железы — литические. Рак молочной железы у разных пациенток способен давать и литические, и склеротические очаги.
По степени злокачественности все вторичные процессы в костной ткани можно разделить на злокачественные, с неблагоприятным прогнозом (литического типа), с относительно неблагоприятным прогнозом (смешанного типа) и относительно благоприятным прогнозом (склеротические). Характер роста узлов бывает инфильтративным – с прорастанием в замыкательные пластинки и в окружающие ткани, и экспансивным – более благоприятный вариант – без прорастания.
КАК ВЫГЛЯДЯТ МЕТАСТАЗЫ ПОЗВОНОЧНИКА ПРИ РЕНТГЕНОГРАФИИ И КТ

На рисунке – пример вторичных очагов различной структуры и гемангиомы (для сравнения). Цифрой 1 отмечен внутрикостный объемный процесс преимущественно литического характера, вызывающий локальное вздутие кортикального слоя, 2 – очаг склеротического характера с инфильтративным типом роста, распространяющийся в краниальную замыкательную пластинку. 3 – типичная кавернозная гемангиома – локальный участок изменения структуры костной ткани за счет утолщения и разрежения трабекул.
Метастазы литического характера хорошо видны на рентгене или КТ, они проявляются на снимках изменением костной структуры в виде разрежения трабекул губчатого вещества за счет множественных очагов просветления с нечеткими краями, часто сливающихся друг с другом. Целостность замыкательных пластинок может быть нарушена, иногда визуализируется мягкотканный компонент за пределами замыкательной пластинки. В межпозвонковые диски такие опухоли обычно не прорастают. На фоне лизиса часто происходит патологический компрессионный перелом – тело позвонка становится клиновидным со снижением высоты в передних и средних отделах. При лучевом лечении или химиотерапии вторичные костные образования могут изменить свою структуру и стать склеротическими.


Метастазы в позвоночник при раке молочной железы. Слева — пример метастатического поражения литического типа в задней дужке второго шейного позвонка. Стрелкой отмечен мягкотканый компонент в области дужки, не исключено прорастание в позвоночный канал. Справа – пример патологического компрессионного перелома со сдавлением спинного мозга вследствие резкого сужения позвоночного канала отломками.


Примеры смешанных очагов – склеротического и литического характера при компьютерной томографии на одном уровне (слева) и на разных (справа).
Остеобластические метастазы выглядят на рентгенограммах и компьютерных томограммах как плотные участки округлой формы, различного размера (в среднем 0,5-3,0 см). Межпозвонковые диски не изменены, патологическая компрессия при этом типе не характерна. Выживаемость при остеобластическом типе на позвоночнике в целом выше, чем при литическом и смешанном типах.


Компьютерная томография показывает, как проявляются остеобластические метастазы в поясничном и грудном отделах. У пациента выявлена онкопатология простаты.
Частота метастазирования опухолей различных органов в позвоночник (по данным М. Прокоп)
| Пораженный орган | Остеобластические | Остеолитические | Смешанные |
| Молочная железа | 20% | 60% | 20% |
| Простата | 75% | 10% | 15% |
| Почка | Менее 1% | 90% | 10% |
| Легкие | Около 5% | 75% | 20% |
| Щитовидная железа | Менее 1% | 55% | 45% |
| Кишечник | Менее 1% | 95% | 5% |
КАК ВЫГЛЯДЯТ МЕТАСТАЗЫ РАКА РАЗЛИЧНЫХ ОРГАНОВ В ПОЗВОНКАХ?
Рак почки: характерно появление участков литического характера. Чаще поражаются шейный и верхний грудной отделы. Темп роста невысокий, редко наблюдается экспансивный характер роста, чаще инфильтративный. Лучевая и химиотерапия зачастую малоэффективны.
Аденокарцинома простаты: чаще всего дает остеобластические очаги в крестце, в поясничном отделе, в тазовых и бедренных костях. В грудном и шейном отделе при раке простаты патологические зоны остеосклероза выявляются редко, почти никогда. Характер роста обычно инфильтративный, темпы роста невысокие.
Рак легких: как правило, тип изменений в позвоночном столбе литический, реже бластический. Характерна склонность к поражению небольшого количества позвонков (1-2), обычно поражаются грудные. Темпы роста высокие, характер роста – инфильтративный.
Рак молочной железы: структура бывает любая, но чаще встречаются литические. Характерна локализация во всех отделах, но в шейном отделе реже. Рост литических очагов, как правило, быстрый, остеобластических – более медленный. Одновременно могут быть выявлена деструкция в ребрах и узелки в паренхиме легкого.


Слева – множественные остеобластические участки отсева рака молочной железы у пациентки 53 лет. Справа – также множественные склеротические зоны уплотнения в поясничнои и грудном отделах у пациента с умеренно дифференцированной аденокарциномой простаты.
ЧТО ДЕЛАТЬ, ЕСЛИ В ПОЗВОНОЧНИКЕ НАШЛИ МЕТАСТАЗЫ?
При множественном поражении костей, особенно литического характера, лечение преимущественно паллиативное, направленное на поддержание приемлемого уровня качества жизни пациента. В некоторых случаях применяется лучевая терапия обнаруженных вторичных образований с целью приостановить их рост и замедлить деструкцию костной ткани, не допустить распространения на спинной мозг и корешки. Цементирование позвонка при метастазах возможно только при одиночных (солитарных) очагах. Однако необходимо всегда принимать во внимание, что обнаружение вторичного поражения скелета – неблагоприятная ситуация, прогноз при которой весьма серьезен.
Отличить метастазы в позвонках от других видов изменений (гемангиома, спондилит, миелома) помогает получение Второго мнения с пересмотром снимков КТ или МРТ опытным специалистом. Если вы или ваши лечащие врачи сомневаются в том, действительно ли имеет место вторичное поражение скелета, можно отправить снимки на консультацию высококвалифицированному рентгенологу, который не первый год специализируется на онкологических заболеваниях. Получить такую консультацию можно через систему Национальной телерадиологической сети — эта служба объединяет врачей диагностов из крупных медицинских центров Москвы и Санкт-Петербурга, которые консультируют присланные им сложные случаи.
Читайте также:


