Мрт шеи паращитовидные железы
Если железы функционируют со сбоями, будут развиваться системные расстройства в организме, требующие лечебной коррекции.
Важной частью результативного лечения является точная диагностика, которая позволит определить дисфункциональные расстройства паращитовидной железы.
МРТ околощитовидных желез
Месторасположение паращитовидных желез – это задняя поверхность щитовидной железы. Они отличаются минимальными размерами, но при этом обладают высокой значимостью для всего организма, и даже незначительные нарушения в их работе могут спровоцировать функциональные проблемы жизненно важных систем.
Сегодня существуют методики, которые позволяют с максимальной точностью определить патологические отклонения даже на начальном уровне развития и подобрать максимально эффективное лечение.
Сначала доктора назначают лабораторные исследования и параллельно инструментальные диагностические методы. Первое место среди аппаратной диагностики занимает магнитно-резонансная томография паращитовидной железы, так как методика обладает максимальным процентом точности. Диагностика проводится за счет высокочастотных сигналов, которые позволяют рассмотреть в разных проекциях даже минимальные отклонения от нормы.
- МРТ околощитовидных желез
- Для чего нужна МРТ паращитовидных желез
- Преимущества МРТ-диагностики паращитовидных желез
- Показания к МРТ-обследованию
- Алгоритм проведения МРТ-диагностики
- Противопоказания МРТ-обследования
- Недостатки МРТ-диагностики
Снимки, которые получает пациент посредством проведения МРТ-диагностики, нужно передать лечащему врачу для дальнейшего анализа, установления диагноза и подбора лечения. Результаты могут быть предоставлены в печатном виде и в электронном.
Для чего нужна МРТ паращитовидных желез
Назначить данный метод исследования может хирург либо эндокринолог. Чаще всего доктор интересуется не постановкой диагноза, так как этот момент, как правило, устанавливается на основе результатов лабораторных исследований микроэлементов и крови. МРТ назначают для того, чтобы максимально точно определить анатомическую структуру желез и их локализацию. Особенно данное исследование интересует хирургов при необходимости хирургического вмешательства, так как порой в период операции докторам среди шейных тканей и мышц сложно визуализировать и найти нужные железы.
Иными словами, после исследования доктора могут действовать уверенно, а не вслепую, а также исследование позволяет исключить либо определить наличие аденомы или гиперплазии. Проходить исследование необходимо сразу же после назначения и не затягивая, так как своевременная диагностика и лечение может уберечь от возникновения тяжелых и сложных заболеваний.
Преимущества МРТ-диагностики паращитовидных желез
- процедура проводится без ионизирующего небезопасного излучения (присутствует в рентгенологическом исследовании и в исследовании КТ);
- эффективность определения патологического изменения желез – 95%, что позволяет изучить даже минимальные ограничения в их работе;
- позволяет изучить паращитовидную железу с разных углов и в разрезе;
- для проведения процедуры нет необходимости использовать контрастное вещество на йодной основе ( что важно для людей с аллергическими реакциями на йод и при наличии сопутствующей патологии щитовидной железы, когда применение йода не допустимо ).
Показания к МРТ-обследованию
МРТ-обследование паращитовидной железы необходимо пройти при наличии следующих случаев: чувство стянутости кожи на лице либо онемевший язык; проявление остеопороза по неясным причинам; проявление новообразования в области шеи; судороги; раздражительность; эпилепсия; наличие камней в почках. При проявлении данной симптоматики рекомендуется сначала прийти к эндокринологу. Доктор назначит анализы ТТГ, Т3 и Т4, и только на основе результатов оформит назначение на прохождение МРТ.
Алгоритм проведения МРТ-диагностики
Чаще всего вся процедура занимает приблизительно полчаса, но эти временные рамки относительные, все зависит от сложности заболевания и диагностики. Пациент перемещается в горизонтальное положение на специальную кушетку. Для того чтобы в период диагностики исследуемый не двигался, его крепят специальными ремнями. Важно понимать, что статическое положение обеспечит максимально качественное изображение. Процедура хоть и безболезненная, но нужно потерпеть и полежать без движения.
Специальной подготовки к процедуре нет, важно только учесть несколько нюансов: полное отсутствие противопоказаний, снять все металлические предметы (украшения, предметы одежды с металлическими заклепками, молниями и т.д.), предупредить врача о наличии металлических протезов в организме.
Маленьким детям делают наркоз для того, чтобы они неподвижно лежали.
Если у пациентов повышенная нервозность, им дают успокоительные препараты.
Противопоказания МРТ-обследования
- Почему нельзя самостоятельно садиться на диету
- 21 совет, как не купить несвежий продукт
- Как сохранить свежесть овощей и фруктов: простые уловки
- Чем перебить тягу к сладкому: 7 неожиданных продуктов
- Ученые заявили, что молодость можно продлить
Хотя процедура максимально безопасная, но противопоказания к ее применению все же существуют. Среди самых распространенных из них стоит отметить: первый триместр беременности (важно обязательно проконсультироваться с гинекологом); наличие металлических имплантов , кардио и нейростимуляторов; вес пациента, превышающий 150 килограмм; наличие татуировок с красками на металлической основе.
Недостатки МРТ-диагностики
Среди недостатков магнитно-резонансной терапии стоит отметить сложность различий лимфатических патологий, тиреоидных узловых изменений и увеличение желез на фоне схожести характеристик их сигналов.
Важно при появлении каких либо дискомфортных ощущений в организме либо жалоб не пытаться справиться с проблемами самостоятельно, а обратиться за помощью к специалистам, ведь только своевременная правильная диагностика и эффективное лечение продемонстрируют быстрые и положительные результаты.
Специальность: терапевт, врач-рентгенолог .
Общий стаж: 20 лет .
Место работы: ООО “СЛ Медикал Груп” г. Майкоп .
Образование: 1990-1996, Северо-Осетинская государственная медицинская академия .
Повышение квалификации:
Опыт работы: терапевт – 18 лет, врач-рентгенолог – 2 года.

Из-за того, что паращитовидные железы находятся по задней поверхности щитовидки, а их структура практически одинаковая, УЗИ при заболеваниях дает мало информации. Томография является основным методом изучения этих органов. Ее роль возрастает в случае необычной локализации околощитовидных желез, наличия узловых изменений в соседних тканях. О плюсах и минусах МРТ, показаниях и противопоказаниях, способах проведения обследования и результатах читайте далее в нашей статье.
Преимущества и недостатки методики обследования
К преимуществам магнитно-резонансного вида томографии относятся:
Основным недостатком считается ее более высокая стоимость по сравнению с КТ. Также имеются и ограничения для применения у определенных категорий пациентов, большая длительность процедуры. Нужно учитывать, что при одновременном поражении щитовидной и паращитовидной желез отличить источник измененных сигналов достаточно сложно.
По результатам МРТ или КТ в большинстве случаев невозможно судить о том, является ли опухоль доброкачественной или злокачественной. Чувствительность МРТ при аденомах приближается к 95%, но для обнаружения разрастания тканей она менее информативна, чем сцинтиграфия.
А здесь подробнее об МРТ поджелудочной железы.
Показания к проведению МРТ паращитовидных желез
Основная задача томографии – выявление опухоли или ее исключение. Показаниями к исследованию могут быть:
- поиск причины повышенного образования паратгормона и избытка кальция в крови;
- признаки мочекаменной, язвенной болезни с непрерывно рецидивирующим течением;
- распространенный остеопороз, патологические переломы костей (при незначительной травме) после исключения других факторов для их появления;
- изменение очертаний шеи, хриплый голос, прощупывание уплотнения над проекцией щитовидной и околощитовидных желез;
- необходимость удаления ранее обнаруженной опухоли;
- выявление образования в средостении (пространстве между грудиной, легкими, крупными сосудами) неясного происхождения. Паращитовидная ткань может располагаться и в вилочковой железе;
- подозрение на врожденные аномалии строения, отсутствие желез или их необычную локализацию;
- оценка результатов проведенной операции.
Противопоказания и ограничения
К абсолютным противопоказаниям относится наличие у пациента кардиостимулятора и вживленных протезов из металла, стента в сонной артерии при наличии у него ферромагнитных свойств. При попадании в магнитное поле они нагреваются, вызывают ожоги тканей, а в работе кардиостимулятора происходит критический сбой.
Существуют также и ограничения к проведению процедуры. Это означает, что по жизненным показаниям она может быть назначена. К таким категориям пациентов относятся:
- протез клапана сердца;
- имплант в среднем ухе (не металлический);
- татуировка с ферромагнитным красителем;
- первый триместр беременности (из-за отсутствия убедительных данных о безопасности формирования органов плода);
- боязнь замкнутого пространства, психические расстройства (могут быть частично уменьшены введением успокаивающих средств, нейролептиков);
- высокая степень двигательного возбуждения, непроизвольные движения, нарушение сознания;
- тяжелая сердечная недостаточность или декомпенсация болезней внутренних органов;
- неспособность пациента выполнить распоряжения врача в ходе сканирования.
В том случае, если планируется введение контрастного вещества, то должна быть проведена предварительная проба на его переносимость. При обнаружении аллергической реакции от этого способа диагностики следует отказаться. Такие же ограничения могут быть вызваны и недостаточностью работы почек, анемией из-за разрушения (гемолиза) эритроцитов.
Как проводят МРТ обычное и с контрастом
Томограф представляет собой массивное кольцо, в которое передвигается кушетка. Пациент располагается на ней с подложенным валиком под шеей. Предварительно важно снять все металлические предметы, съемные протезы. Если необходимо контрастирование, то препарат вводится непосредственно перед исследованием, так как он быстро проникает в ткани околощитовидной железы.
В процессе диагностики обследуемый слышит шум от работы аппарата. После введения контраста бывают ощущения неприятного привкуса во рту или тошнота, легкое головокружение. Эти явления обычно проходят через несколько минут и не являются опасными для здоровья.
Общая длительность томографии – 30-40 минут. Все это время необходимо сохранить полную неподвижность, не напрягать мышцы тела, внимательно слушать указания врача, связь с которым поддерживается через микрофон на протяжении обследования.
После процедуры
Пациентам рекомендуется выпить 1,5 литра воды на протяжении 6 часов небольшими порциями. Это ускорит выведение контрастного вещества из организма. При сердечной недостаточности и нефротическом синдроме (повышенное давление и отеки) объем жидкости должен быть согласован с врачом.
На протяжении двух дней нужно отказаться от соленых и острых блюд, задерживающих воду в тканях. При отсутствии противопоказаний могут быть дополнительно рекомендованы мочегонные травы. Готовят настои с листьями брусники, почечного чая, пол-палы. Хорошим очищающим эффектом обладает тыква, компот из кураги.
А здесь подробнее об МРТ щитовидной железы.
МРТ паращитовидных желез является безопасным методом для выявления опухолевых процессов. Показана при поиске причин гиперпаратиреоза, остеопороза, а также перед операцией при уже установленном диагнозе. Не назначается при присутствии металлических имплантов, кардиостимулятора, имеются также и относительные противопоказания.
В зависимости от цели исследования врач назначает либо нативную МРТ (без контраста), либо с дополнительным контрастированием. Процедура продолжается около получаса, после нее важно пить больше жидкости, если вводились препараты.
Полезное видео
Смотрите на видео о принципе действия МРТ:
Метод сцинтиграфии паращитовидных желез назначается после УЗИ и анализов крови. Обследование выполняется с контрастом - технетрилом. Подготовка включает лишь исключение определенных препаратов. Побочные эффекты минимальны.
Если имеются подозрения на нарушения работы паращитовидной железы, анализы помогут подтвердить или опровергнуть диагноз. Обязательно следует сдать кровь на гормоны, а также в некоторых случаях провести УЗИ, сцинтиграфию, биопсию. Например, при подозрении на аденому, рак.
При подозрении на определенные патологии проводят КТ щитовидной железы. Зачастую ее делают с контрастом, что точнее показывает изменения в тканях, узлы. Как выглядит орган? Какие показания к исследованию щитовидной железы?
Назначается МРТ поджелудочной железы при невозможности точно выявить проблему на УЗИ. Требуется небольшая подготовка к обследованию. Показания к проведению: подозрения на диффузные изменения, рак, кисты. МРТ с контрастом поможет выявить самые маленькие размеры образований. Что лучше - КТ или МРТ?
Проводится МРТ щитовидной железы довольно редко. Его делают с контрастированием в том случае, когда исследование шеи, мягких тканей выполняется после удаления органа, опухоли.
Что необходимо знать об аденоме паращитовидной железы
- Часто развивается у женщин после менопаузы.
- Частота первичного гиперпаратиреоза (население Западной Европы): 0,001-0,002%
- 80% случаев - одиночная аденома паращитовидной железы
- 15-20% - гиперплазия паращитовидной железы
- 0,05% составляют множественные аденомы и рак паращитовидной железы
- Заболеваемость выше среди женщин (3:1)
- Доброкачественная гиперплазия паращитовидной железы с избыточной продукцией паратгормона
- В 85% случаев - одиночная опухоль
- В одних случаях имеет неустановленную этиологию, в других — генетическую
- В детском и подростковом возрасте следует исключить наследственные причины (семейная доброкачественная гиперкальциемия (семейная гипокальциурическая гиперкальциемия), МЭН типа I и На)
- Аденома паращитовидной железы - основная причина гиперкальциемии.
Симптомы аденомы паращитовидной железы
- У многих пациентов наблюдается гиперкальциемия, камни в почках, возможны переломы костей
- Иногда пальпируются плотные узелки размером 2-3 мм
Лабораторные исследования: Уровни кальция и паратгормона в сыворотке крови, исследование суточной мочи.
Признаки аденомы паращитовидной железы на МРТ и КТ снимках шеи
- МРТ
- Сочетание МРТ с однофотонной эмиссионной КТ с использованием 99Тс-МИБИ
- УЗИ.
- Часто неоднородное (гипоинтенсивное в центре) усиление в артериальной фазе и гомогенное усиление в венозной фазе.
- Округлое образование, иногда с фиброзными или геморрагическими изменениями
Локализация: перед пищеводом или около него; около, позади, редко - внутри щитовидной железы или эктопическое расположение в мягких тканях шеи и средостения
- При аденомах или гиперплазии паращитовидных желез наблюдается высокая интенсивность сигнала на Т2-взвешенном изображении и увеличение интенсивности сигнала на Т1- взвешенном изображении после введения гадолиния
- Диагноз обычно затруднен в послеоперационном периоде или у пациентов с зобом
- Чувствительность МРТ в выявлении аденом паращитовидной железы составляет 62-94%, в выявлении гиперплазии - 54-75%.
Нормальная паращитовидная железа: 3-10 х 2-6 х 2-4 мм.
Аденома паращитовидной железы: 6-30 х 5-15 х 3-8 мм.
- Характеристики сигнала фактически специфичны для аденом, расположенных в типичном месте и имеющих типичные размеры и структуру усиления.
Что хотел бы знать лечащий врач
- Диагноз
- Дифференциальная диагностика
Какие заболевания имеют симптомы, схожие с аденомой паращитовидной железы
Рак паращитовидной железы
- Часто достигает больших размеров
- Локальный инвазивный рост
- Метастазирование в лимфатические узлы
Увеличение лимфатических узлов (злокачественная опухоль, гранулематоз или воспаление)
- Часто множественное поражение
- Диффузное усиление после введения контраста
- Возможны очаги некроза в центре
- Перифокальная воспалительная реакция
Гамартома, аденолипома
Содержат жировую ткань (высокая интенсивность сигнала на Т1-взвешенном изображении)
Лечение
- Одно- или двусторонняя паратиреоидэктомия через открытый доступ или с помощью малоинвазивных методов
Врачи каких специальностей диагностируют и лечат аденому паращитовидной железы
-Эндокринолог (консультация пациента)
- Онколог (консультация и ведение больного)
- Хирург (операция по удалению аденомы паращитовидной железы)
Прогноз
- Полное выздоровление после одно- или двусторонней паратиреоидэктомии наступает в 98% случаев
- Симптомы заболевания после операции сохраняются редко
- Малоинвазивные методы удаления сопоставимы по эффективности с вмешательством открытым доступом, но реже приводят к осложнениям.
- Аденома паращитовидной железы имеет блягоприятный прогноз для жизни при вовремя начатом лечении
Возможные осложнения и последствия
- Гипокальциемия в послеоперационный период
- Повреждение возвратного гортанного нерва (1-3%) во время операции, повреждение сосудов, сохранение ткани паращитовидной железы с повышенной секреторной функцией.

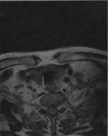
Аденома паращитовидной железы, расположенная справа и сзади от щитовидной железы. МРТ, Т2-взвешенное изображение без контрастирования: опухоль выглядит как округлое образование с высокой интенсивностью сигнала (стрелка).

КТ с контрастированием, горизонтальная проекция (а): аденома паращитовидной железы, расположенная слева и сзади от щитовидной железы (стрелка), рядом с пищеводом. Опухоль имеет плотность чуть ниже, чем щитовидная железа. КТ без контрастирования, горизонтальная проекция (b): опухоль имеет более высокую плотность, чем кровеносные сосуды (стрелка).
МРТ щитовидной железы – это информативный и безопасный метод обследования долей и перешейка щитовидной железы, паращитовидных желез, а также прилегающих к ним тканей.
В непосредственной близости от щитовидной железы располагаются паращитовидные железы. Обычно их четыре. МР томография щитовидной железы и паращитовидных желез являются самостоятельными обследованиями, так как выполняются они по разным показаниям и с разными целями.
Что показывает МРТ щитовидной железы
Магнитно-резонансная томография может дать сведения о любой патологии желез и окружающих их ткани:
- новообразования доброкачественные и злокачественные (чаще аденомы), метастазы;
- врожденные особенности строения и расположения желез: низкое расположение щитовидной железы, аномальное расположение или количество паращитовидных желез;
- изменение размеров желез (чаще увеличение щитовидной железы при зобе);
- воспаление (тиреоидит, флегмоны и абсцессы окружающих тканей);
- увеличение лимфатических узлов и проч.

Показания для проведения обследования
Щитовидная железа расположена поверхностно, поэтому проводить ее обследование можно разными методами. В большинстве случаев УЗИ щитовидной железы дает те же данные, что и МРТ. В связи с этим для назначения МР томографии щитовидной железы нужны очень серьезные показания:
- загрудинный зоб (увеличенная щитовидная железа расположена в грудной клетке за грудиной);
- отсутствие возможности провести сцинтиграфию по причине тиреостатической терапии;
- уточнение анатомического строения органов шеи перед операцией.
МРТ паращитовидных желез целесообразно проводить только для уточнения их количества и локализации перед операцией по поводу гиперпаратиреоза. По данным литературы добавочные или эктопированные паращитовидные железы встречаются почти у 15% пациентов. Если эти железы не будут обнаружены и удалены во время операции, то в ближайшем будущем пациента ждет рецидив заболевания и повторное хирургическое вмешательство.
Противопоказания для МРТ щитовидной железы
Не проводится исследование в следующих случаях:
- в организме пациента есть инородные тела из металла: штифты, пластины, металлические сосудистые клипсы и проч.;
- имплантированный кардиостимулятор и другие электронные устройства, которые могут быть повреждены магнитным полем.
Исключением являются инородные тела из титана, на которые не оказывает влияния магнитное поле томографа.
Выделяют ряд противопоказаний для проведения МР томографии с контрастным усилением:
- беременность;
- хроническая почечная недостаточность.
- грудное вскармливание;
Подготовка к обследованию
Специальной подготовки к МРТ щитовидной или паращитовидных желез проводить не требуется. Исключением могут быть следующие ситуации:
- ребенок до 5 лет: перед процедурой МР томографии необходимо проконсультироваться с анестезиологом для того, чтобы определить показания и противопоказания для проведения наркоза;
- клаустрофобия: за день-два до процедуры необходимо будет начать принимать успокоительные препараты;
- планируется введение контраста: лучше отказаться от приема пищи на 6-8 часов до исследования, чтобы уменьшить риск рвоты, которую может спровоцировать введение контрастного вещества в кровь;
- невозможно исключить хроническую почечную недостаточность: за несколько дней до МРТ с контрастированием необходимо сделать анализ мочи и биохимический анализ крови.
Как проходит процедура
Перед обследованием необходимо будет оставить все металлические предметы за пределами кабинета МРТ. Это касается украшений, заколок, сережек для пирсинга, металлических элементов на одежде. Желательно переодеться в предложенный медперсоналом халат или рубашку свободного кроя, так как в тесной узкой одежде лежать неподвижно в течение длительного времени может быть неудобно.

Для проведения обследования пациента помещают в томограф. В положении лежа на спине необходимо будет провести от 20 до 45 минут. Все то время, пока идет исследование, придется сохранять полную неподвижность. От этого зависит качество снимков и информативность обследования.
Для введения контраста в вену на руке пациента вводят специальный катетер. По нему контрастирующее вещество может подаваться в течение всей процедуры обследования. После окончания сканирования катетер из вены удаляется. На месте катетера может остаться небольшая гематома и точечный прокол кожи.
Расшифровка полученных данных
Магнитно-резонансная томография позволяет получить изображения исследуемого органа и окружающих его тканей. Интерпретировать данные снимков после процедуры предстоит врачу функциональной диагностики или рентгенологу. На расшифровку полученных данных у специалиста уходит около часа. Если у пациента нет возможности ждать результатов так долго, то снимки и заключение врача могут быть оправлены на электронный ящик. Забрать снимки и заключение также можно на следующий после процедуры день.
Как часто можно делать МРТ щитовидной железы
МР томографию можно проводить так часто, как это необходимо. Дело в том, что в магнитно-резонансном томографе не используется рентгеновское излучение или другие вредные для организма воздействия, поэтому обследование полностью безопасно даже при многократном повторении.
Паращитовидная железа относится к органам эндокринной системы и отвечает за выработку гормона, который контролирует кальциево-фосфорный обмен. Но иногда в железе начинаются нарушения, которые влияют на весь орган. Ультразвуковое исследование паращитовидных желез в этом случае может быть недостаточно информативным, так как дает не четкую картинку и не способно показать кисты небольшого размера, аденомы и опухоли. Именно поэтому назначается МРТ паращитовидных желез, КТ, биопсия и анализ крови на гормоны.
МРТ паращитовидных желез: все, что нужно знать о процедуре
Несмотря на свои небольшие размеры, железа может вызывать серьезные проблемы в функционировании всего организма.
Существует несколько информативных типов диагностики, и у каждой есть свои преимущества.
Исследование паращитовидной железы включает лабораторные и инструментальные методики. В первом случае речь идет о тонкоигольной биопсии, анализе крови на гормоны. Во втором случае прибегают к МРТ, КТ, рентенографии, УЗИ или сцинтиграфии.
Но только МРТ считают наиболее информативным анализом, так как в процессе получается детально визуализировать орган без вмешательства в него. Принцип действия – использование магнитного поля и высокочастотных импульсов.
Когда положительно заряженная частичка двигается, она выделяет энергию, что и фиксирует устройство. Полученные снимки можно распечатать, передавать через интернет или хранить на дисках.
Томография паращитовидных желез обладает рядом преимуществ по сравнению с похожими методиками:
- в отличие от рентгена или КТ, в процедуре нет ионизирующего излучения;
- точная детализация позволяет изучить состояние органа и увидеть любые отклонения от нормы;
- в снимках есть информация с тонких срезов ткани под разным углом, поэтому врачу не сложно отличить здоровую структуру от поврежденной;
- метод можно использовать при наличии аллергии на контрастное вещество.
Как проводится исследование?
Исследование паращитовидных желез (томография, КТ, УЗИ) способны определить заболевание еще на этапе развития.
Общая продолжительность процедуры МРТ – около 25 минут, во время которых пациент должен неподвижно лежать, ведь от этого зависит качество полученных снимков.
В процессе теста можно слышать стук или треск, это нормальное явление.
Подготовка не нужна, за исключением случаев, когда требуется анестезия. Такое бывает при клаустрофобии, с детьми или из-за травм, когда не получается лежать неподвижно. Также нужно предупредить врача о наличии имплантов.
Когда МРТ проводить нельзя?
Несмотря на то, что исследование считают безвредным, есть ряд противопоказаний, когда от анализа нужно отказаться:
- беременность – относительное противопоказание, так как вред от МРТ на плод не изучен до конца. Но при возможности процедуру лучше отложить, а вводить контрастное вещество строго запрещено;
- когда необходимо отслеживать жизненные показатели или проводить реанимацию;
- при некоторых операциях, которые проводились ранее;
- если есть импланты, на них нужно показать сертификат;
- когда вес пациента превышает 150 кг;
- при наличии татуировок, которые были сделаны с использованием металла в составе.
Важно понимать, что эффективность процедуры и точность результатов зависит от квалификации врача, клиники и оборудования. Поэтому нужно выбирать только проверенные и специализированные центры.
Эффективность исследования при гиперпаратиреозе
Заболевания, которые позволяет выявить МРТ:
- гиперплазия железы;
- аденома;
- гиперпаратиреоз;
- рак;
- кисту;
- зоб.
Если у пациента есть подозрение на гиперпаратиреоз или аденому железы, то без МРТ не обойтись. Изменения в тканях при первичной форме могут проявиться в виде одной или пары опухолей, гиперплазии.
На снимках МРТ они будут округлыми или овальными, с четкими краями, однородной текстуры. Также могут присутствовать участки кровоизлияния, фиброза и дегенерации. Если выявлены подобные факторы, требуется дифференциальная диагностика для уточнения диагноза.
Рак в ПЩ находят крайне редко, но даже тогда образование будет крупного размера, с нечеткими контурами, неоднородностью текстуры, увеличением лимфатических узлов. Иногда с поражением голосовой нерв, что вызывает речевой паралич.
Вторичный гиперпаратиреоз считается тяжелым осложнением почечной недостаточности, при этом наблюдается гипокальцемия, усиленная работа железы и развитие аденомы. Позднее присоединяется остеопороз, поражение костных структур, частые переломы.
На МРТ подобные отклонения будут выглядеть так:
- множественные или одиночные участки, заполненные фиброзной тканью;
- расположение костного-мозгового канала;
- экспансивное развитие;
- кортикальный слой может быть очень тонким или совсем незаметным;
- присутствуют области некроза с образованием кист, кровоизлияний;
- в костных тканях просматриваются переломы.
Несмотря на информативность метода, без дополнительных анализов и дифференциальной диагностики не обойтись. Ведь иногда даже МРТ не поможет отличить аденому от гиперплазии. Для этого врач назначает биопсию, сцинтиграфию, анализ крови на гормоны и УЗИ.
Если имеются нарушения в работе паращитовидных желез, МРТ поможет выявить даже небольшие отклонения. Ведь диагностика позволяет рассмотреть ткани изнутри, выявляя опухоли или кисты от 1 см.
Большой плюс в том, что исследование практически безвредно, не вызывает побочные эффекты и не приносит дискомфорта, при этом не нарушается целостность органа. Хотя на основании одной МРТ поставить диагноз невозможно, дополнительно нужно проходить комплексное обследование.
Читайте также:


