Агенезия мозолистого тела. Отсутствие (агенезия) черепных нервов
Добавил пользователь Евгений Кузнецов Обновлено: 21.01.2026
Агенезия мозолистого тела — это врожденное отсутствие мозолистого тела либо его части. Аномалия обусловлена генетическими нарушениями, сосудистыми мальформациями, тератогенными факторами. Основные признаки заболевания: двигательные расстройства, задержка психоречевого развития, судорожные приступы. При негрубом (частичном) варианте патологии возможно малосимптомное течение. Для диагностики состояния назначается церебральные КТ или МРТ, нейросонография у новорожденных, генетические исследования. Лечение симптоматическое: медикаментозная коррекция осложнений, реабилитационные программы.
МКБ-10

Общие сведения
Агенезия мозолистого тела (АМТ) — один из наиболее частых пороков нервной системы. Распространенность болезни в популяции составляет от 0,05% до 7% среди новорожденных, причем в группе детей с замедленным становлением психики агенезия встречается у 2,3%. Калифорнийская программа по изучению врожденных пороков предоставляет другие данные по частоте агенезии — 1,4 на 10000 живых новорожденных. Впервые состояние было описано в 1812 году в ходе аутопсии, проведенной немецким анатомом И. Рэйлем, и названо «природной моделью рассеченного мозга».

Причины
Точные этиологические факторы заболевания не установлены. В современной неврологии преобладает мультифакториальная теория, согласно которой для формирования врожденного порока ЦНС требуется комбинация неблагоприятных экзогенных и эндогенных причин. Ученые выделяют несколько наиболее вероятных предпосылок развития агенезии:
- Генетические аномалии. Повреждения мозолистого тела отмечаются при различных наследственных синдромах: Миллер-Дикера, Рубинштейна-Тауби, Доннаи-Кугана. Состояние входит в состав не менее 7 аутосомно-доминантных, 23 аутосомно-рецессивных, 12 Х-сцепленных врожденных заболеваний.
- Сосудистые нарушения. Причиной недоразвития мозолистого тела могут выступать артериовенозные мальформации или аневризмы, которые характеризуются отсутствием нормальной капиллярной сети. При этом возникает феномен обкрадывания, клетки МТ не получают должного количества кислорода, питательных веществ.
- Токсические влияния. Болезнь связана с действием тератогенных химических факторов: лекарственных препаратов, солей тяжелых металлов, пестицидов и бытовой химии. Негативное влияние на формирование ЦНС плода оказывает вдыхание табачного дыма (активное или пассивное курение) или прием беременной алкоголя во время гестации.
- Внутриутробные инфекции. Аномалии формирования неврологических структур, в том числе агенезия мозолистого тела, встречаются при проникновении возбудителей в организм плода на 2-3 месяце беременности. Нейротропные свойства демонстрируют герпетические инфекции, токсоплазмоз, цитомегаловирус.
Основным фактором риска выступает недоношенность. У новорожденных, родившихся до 27-недельного срока гестации МТ истончено в задних отделах, между 28 и 30 неделями — только в области валика. У рожденных после 30 недели в неонатальном периоде изменения не обнаруживаются, хотя при нейропсихологическом исследовании у школьников зачастую выявляется дефицит межполушарной передачи познавательной информации.
Патогенез
Агенезия возникает при нарушении дифференциации нервной трубки в период со 2 до 5 месяца внутриутробного развития. При полном отсутствии МТ третий мозговой желудочек остается открытым, не формируются столбы свода мозга, отсутствуют прозрачные перегородки. В 60% случаев при АМТ передней комиссуры нет вообще. В 10% она увеличена и берет на себя часть функций мозолистого тела у новорожденных, а также на следующих этапах постнатального периода.
Характерным анатомическим изменением является колпоцефалия, при которой расширены задние отделы боковых церебральных желудочков. Состояние не относится к истинной гидроцефалии новорожденных, а обусловлено уменьшением кортикальных ассоциативных путей. Еще один типичный признак порока — пучки Пробста, представляющие собой неправильно ориентированные аксоны, расположенные параллельно межполушарной щели.
Классификация
В практической неврологии состояние подразделяют на тотальное, когда орган полностью отсутствует, и частичное (парциальное), при котором визуализационные методы не обнаруживают отдельные участки МТ. Это имеет решающее значение для тяжести клинической картины, возможных осложнений. В соответствии с патогенетическими особенностями формирования врожденных пороков, выделяют следующие 3 формы болезни:
- Агенезия. Закладка эмбрионального зачатка МТ отсутствует полностью.
- Аплазия. Эмбриональный зачаток мозолистого тела есть, но не развивается.
- Гипоплазия. МТ недостаточно развито из-за нарушений на одном из этапов эмбриогенеза: размеры и масса органа уменьшены, его функциональная активность снижена.
Симптомы
Клиническая картина агенезии мозолистого тела широко варьирует от практически бессимптомных форм (при гипоплазии) до критических нервно-психических расстройств при его грубом недоразвитии, сопровождающемся другими врожденными пороками ЦНС. У новорожденных признаки патологии могут вовсе отсутствовать и проявляться по мере взросления младенца задержкой психомоторного развития.
Двигательные нарушения определяются у 35-40% пациентов. Они проявляются мышечной гипотонией или дистонией, гипер- или гипорефлексией, нарушением глотательного и сосательного рефлексов. Дети позже начинают держать голову, испытывают затруднения при обучении сидению, ползанию, ходьбе. Могут отмечаться координационные нарушения, неуклюжая походка. Из пароксизмальных расстройств у новорожденных и детей первого года жизни преобладают судороги.
Мозолистое тело поддерживает связь между церебральными зонами, формирует межполушарную организацию высших психических процессов. При его агенезии либо гипоплазии у детей выявляются когнитивные расстройства. У новорожденных пациентов и в раннем детстве наблюдается задержка речи, снижение динамического компонента игровой деятельности. В дошкольном и школьном возрасте возникают проблемы с концентрацией внимания, расстройства памяти, при тотальной АМТ снижен коэффициент интеллекта.
Осложнения
Около 65% случаев заболевания сопровождаются сопутствующими врожденными патологиями, среди которых преобладают мальформации кортикального развития (22,8%), межполушарные кисты (14,3%), голопрозэнцефалия (14,3%). К более редким сопутствующим аномалиям относят кисты и гипоплазию мозжечка, синдром Арнольда-Киари. До 20% новорожденных, кроме структур ЦНС, имеют пороки нескольких внутренних органов.
У 75% больных с тотальным поражением наблюдается симптоматическая эпилепсия височно-лобной локализации, в 66% случаев выражены когнитивные нарушения. У 16% пациентов формируются расстройства аутистического спектра. Изредка встречаются патологии органа зрения в виде хориоретинальных лакунарных очагов, сочетанной аномалии зрительных нервов.
Диагностика
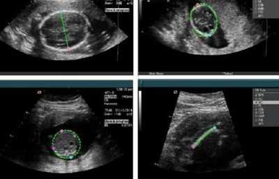
В качестве первичного метода обследования в пренатальном периоде проводится акушерское УЗИ. У новорожденных для скрининговой диагностики используется нейросонография, однако этот метод не всегда показывает хорошую информативность, особенно при парциальной агенезии. Для верификации диагноза назначаются следующие методы исследования:
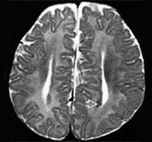
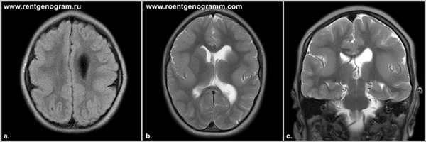
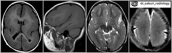
- КТ головного мозга. При компьютерной томографии определяются широко расставленные передние рога, высокое стояние третьего желудочка, параллельный ход медиальных стенок боковых желудочков. КТ производится в рамках постнатальной диагностики.
- МРТ головного мозга. Для максимально точной визуализации степени агенезии или гипоплазии мозолистого тела новорожденным выполняется магнитно-резонансная томография в трех плоскостях. По показаниям МРТ может рекомендоваться беременным женщинам для исключения несовместимых с жизнью сочетанных пороков ЦНС.
- Нейропсихологическое обследование. Для изучения когнитивных функций у детей применяется шкала интеллекта Векслера (WISC-Revised), адаптированное чтение и правописание (Schonnel Graded Reading and Spelling Tests), оценка вербальной беглости, тест контролируемых устных ассоциаций (Controlled Oral Word Association Test).
- Генетический анализ. Для подтверждения или исключения наследственных заболеваний, сопровождающихся агенезией мозолистого тела, показаны кариотипирование, секвенирование генома, проводимое как новорожденным, так и детям другого возраста. Исследования также проводят в антенатальном периоде для принятия решения о сохранении или прерывании беременности.
Лечение агенезии мозолистого тела
Специфическая терапия отсутствует. Медикаментозное лечение назначается неонатологом или педиатром индивидуально с учетом ведущих патологических синдромов: у новорожденных, детей раннего возраста используются антиконвульсанты, нейрометаболические препараты, дегидратационная терапия. Основу медицинской помощи составляет комплексная реабилитация, которая включает следующие составляющие:
- Нейрологопедические программы. Занятия с детским логопедом проводятся для становления речевой функции, ликвидации проявлений дизартрии, улучшения артикуляции.
- Дефектологические программы. Помощь коррекционных педагогов требуется детям с интеллектуальными нарушениями, которые не могут проходить обучение в обычных классах.
- Нейроакустические программы. Формирование и гармонизация высших психических функций производятся с помощью звуковой терапии, музыкотерапии.
Прогноз и профилактика
Прогноз определяется видом врожденной аномалии мозолистого тела, наличием сопутствующих пороков развития ЦНС. Благоприятный исход наблюдается при частичной гипоплазии МТ, а в случае комбинированных церебральных пороков у новорожденных могут быть жизнеугрожающие осложнения. Профилактические меры включают медико-генетическое консультирование, исключение тератогенных влияний в гестационном периоде.
1. Эпилептические проявления когнитивные и аутистические расстройства у пациентов с агенезией мозолистого тела: результаты нейропсихологического тестирования/ О.А. Милованова, О.А. Комиссарова, Т.Ю. Тараканова, С.В. Бугрий// Эпилепсия и пароксизмальные состояния. — 2018. — №4.
2. Влияние особенностей строения мозолистого тела и доминирующего полушария на протекание психических процессов в юношеском возрасте/ У.С. Чернышова, Т.Ю. Хабарова, Д.А. Соколов// Центральный научный вестник. — 2016.
4. Молекулярная эмбриология: на пути каталогизации генов врожденных пороков развития головного мозга/ В.П. Пишак, М.А. Ризничук// Международный журнал педиатрии, акушерства и гинекологии. — 2014. — №5.
Агенезия мозолистого тела: причины, лечение и последствия

Агенезией мозолистого тела называют врожденную патологию мозга, причиной возникновения которой в большинстве случаев является генетический фактор, развивается нарушение внутриутробно у плода. Встречается данная аномалия довольно редко.
Мозолистым телом называют сплетения нервов головного мозга, соединяющих правое и левое полушария. Форма мозолистого тела—плоская и широкая. Расположено оно под корой головного мозга.
При агенезии отсутствуют мозолистые спайки, соединяющие полушария, как частично, так и полностью. Эта патология развивается в одном случае из двух тысяч зачатий и может быть вызвана наследственностью или спонтанными необъяснимыми генными мутациями.
Патогенез и этиология нарушения
Как сказано выше, развитие агенезии может быть спровоцировано наследственностью, но чаще всего причины ее возникновения установить невозможно. У этой патологии есть два клинических синдрома.
В первом случае сохраняются интеллектуальные способности больного и его двигательная активность, а заболевание проявляет себя в качестве нарушений в процессах передачи импульсов от левого полушария к правому и наоборот. К примеру, больной, который является правшой, не может определить, какой предмет находится в его левой руке, потому что для этого нужна передача информации от правого полушария к левому, где расположена речевая зона.
Во втором случае совместно с агенезией мозолистого тела у больного присутствуют и другие пороки развития мозга, в том числе нарушения в процессах миграции нейронов или гидроцефалия. В таких случаях больные страдают от тяжелых судорожных припадков, а также отстают в умственном развитии.

Предрасполагающие факторы
В нормальном состоянии мозолистое тело представляет собой плотное сплетение из нервных волокон, призванное объединять правое полушарие мозга с левым и обеспечивать процессы обмена информацией между ними. Эта структура формируется с 10 по 20 неделю беременности, мозолистое тело образуется на сроке 6 недель.
Агенезия может проявляться в разной степени тяжести: отсутствием, частичным или неправильным формированием, а также недоразвитием мозолистого тела.
В большинстве случаев причину такого нарушения установить не удается, однако существует ряд факторов, способствующих возникновению подобной патологии. К предрасполагающим факторам можно отнести:

- процесс спонтанной мутации;
- наследственные причины;
- перестройку хромосом;
- действие токсинов вследствие приема лекарств в период беременности;
- недостаточное обеспечение плода питательными веществами в период внутриутробного развития;
- вирусные инфекции или травмы, перенесенные матерью в период беременности;
- нарушение обменных процессов в организме матери;
- алкоголизм в период беременности.
Выявление причин возникновения подобных патологий затруднительно, есть возможность всего лишь установить факторы, которые могут спровоцировать их развитие.
Проявления и признаки аномалии
Агенезия мозолистого тела головного мозга проявляет себя по-разному, в зависимости от степени нарушения, основные симптомы при наличии этой аномалии:
- процессы атрофии нервов в органах слуха и зрения;
- кисты и новообразования в той части мозга, где соединяются полушария;
- микроэнцефалия;
- склонность к припадкам;
- наличие лицевого дизморфизма;
- возникновение дефектов в развитии органов зрения;
- порэнцефалия;
- патологические изменения глазного дна;
- задержки в психомоторном развитии;
- шизэнцефалия;
- наличие липом;
- нарушения в процессах развития ЖКТ и наличие образований;
- раннее половое созревание и прочее.
Помимо перечисленного, заболевание может проявляться с синдромом Айкарди. Это генетическое заболевание встречается крайне редко и характеризуется аномалией развития мозга и органов зрения. Также агенезия вызывает изменения в костях и поражения кожи.
Постановка диагноза
Диагностика агенезии мозолистого тела достаточно затруднена и в большинстве случаев выявляется на 2-3 триместре беременности. К основным методам диагностирования относятся:

Однако эхография дает возможность для выявления заболевания далеко не во всех случаях, а если агенезия мозолистого тела частичная, то ее обнаружение еще более затруднено.
Трудности в диагностировании нарушения возникают по причине того, что эта патология зачастую сопряжена с рядом других нарушений и генетических симптомов. Для того чтобы провести более детальное обследование больного, специалисты прибегают к кариотипированию, ультразвуковому анализу и МРТ.
При помощи сочетания методик обследования есть возможность получить полную картину заболевания.

Основы терапии
В настоящее время не существует эффективных методик лечения такой аномалии, как агенезия мозолистого тела. Методы коррекции зависят от заболеваний, которые были вызваны этим нарушением, поэтому подбираются индивидуально.
Лечение направлено на то, чтобы сводить к минимуму проявления заболевания. Но, по оценке специалистов, оно не дает желаемого эффекта, к тому же методики не проработаны до конца. Терапия по большей части заключается в применении медикаментов сильного действия.
Могут использоваться следующие препараты:

- бензодиазепины и Фенобарбитал, которые позволяют корректировать частоту приступов при наличии инфантильных спазмов;
- кортикостероидные гормоны (Дексаметазон, Преднизолон) в сочетании с антиэлептическими препаратами базового типа;
- нейролептики и диазепамовые препараты, действие которых направлено на уменьшение поведенческих расстройств;
- ноотропы (Cемакс, Пирацетам) и нейропепидные препараты (Церебролизин);
- детям чаще всего назначают Аспаркам, Диакарб, Мексидол.
Помимо приема медикаментов, при возникновении необходимости проводятся и оперативные вмешательства, например проводится стимуляция блуждающего нерва. Но делать это можно лишь в тех случаях, когда агенезия послужила причиной серьезных нарушений в работе жизненно важных органов человека.
Эта патология может вызывать нарушения в костно-мышечной системе и являться причиной возникновения сколиоза, поэтому специалисты назначают физиотерапию и лечебную физкультуру. В некоторых случаях также прибегают к операции.
В наше время агенезию тщательно изучают, но добиться ощутимых результатов пока не удалось.
Сколько дней отведено пациентам?
В случаях, когда нарушение не сопряжено с возникновением других патологий в развитии прогнозы благоприятные. Около 80% детей не имеет никаких нарушений в развитии или же наблюдаются незначительные неврологические проблемы.

Однако в большинстве случаев агенезия мозолистого тела провоцирует возникновение различного рода последствий и сопутствующих патологий, и в такой ситуации о хорошем прогнозе не может быть и речи.
У больных наблюдаются нарушения интеллекта, неврологические проблемы, задержки в развитии и прочие симптомы, с которыми долго не живут. Пациентов лечат в соответствии с симптомами, и терапия не имеет особого эффекта.
Агенезию мозолистого тела можно отнести к заболеваниям с большим количеством аномалий в развитии и неблагоприятными прогнозами.
Остается только надеяться и молиться
Несмотря на то, что агенезия мозолистого тела не является крайне редким заболеванием, она мало изучена.
На сегодняшний день медики не располагают достаточными знаниями о причинах ее возникновения в каждом конкретном случае, выявлены лишь факторы, способные послужить толчком к развитию данной патологии.
Также не найдено и эффективных методов лечения этого состояния и оно проводится только по симптомам тех нарушений, которые были вызваны агенезией. В этом случае все меры направлены на следствие, но никак не воздействуют на причину.
Из этого можно сделать вывод, что эффективных мер по профилактике агенезии мозолистого тела не существует.
Агенезия мозолистого тела. Отсутствие (агенезия) черепных нервов
Септооптическая дисплазия (синдром de Morsier) является одной из форм лобарной голопрозэнцефалий. Характеризуется отсутствием прозрачной перегородки, гипоплазией зрительных нервов, хиазмы и воронки.
Эпидемиология
Чаще встречается у женщин.
Сочетанная гипоплазия зрительных нервов и отсутствие или гипогенезия прозрачной перегородки, в 2/3 случаев сопровождающаяся гипоталамо-гипофизарной дисфункцией.
Морфология
Прозрачная перегородка не формируется, таким образом отсутствует разделение боковых желудочков, так же отсутствуют межжелудочковые отверстия, связывающие боковые и третий желудочек и в результате образуется единая вентрикулярная полость. Кроме того имеется двустороннее недоразвитие зрительных нервов, диаметр их уже.

Сопутствующие изменения
Возможные сочетанные аномалии развития, сопровождающие септооптическую дисплазию включают:
- корковые дисплазии
- агенезия мозолистого тела
- шизэнцефалия
- гипогипуитаризм
- агенезия I пары черепных нервов
- шизэнцефалия
Дифференциальный диагноз
- с гидранэнцефалией,
- с кистами Денди-Уокера,
- с гидроцефалией тяжелой степени.
Отсутствие или частичное формирование фалькса и межполушарной щели свидетельствуют в пользу голопрозэнцефалии.
Клиническая картина, лечение и прогноз
Клиническая картина варьирует от легких нарушений зрения до амавроза, расстройства обоняния вплоть до аносмии, эпиприпадки могут возникать при корковых дисплазиях, а так же возможны гипоталамо-гипофизарные дисфункции и задержка психомоторного развития. Лечение симптоматическое, включает заместительную гормональную и противоэпелептическую терапию, прогноз благоприятный.
Полная или частичная перепечатка данной статьи, разрешается при установке активной гиперссылки на первоисточник
Если у вас остаются сомнения в выводах по результатам вашего МРТ - вы можете заказать пересмотр вашего исследования с подробной расшифровкой здесь:

Возможно вас так же заинтересует
Нейроэпителиальные кисты также называемые нейроглиальными или глио-эпендимными кистами, являются аномалиями развития, возникающими в результате поглощения части развивающейся нейроэктодермы, из лептоменингиальной нейроглиальной гетеротопии.
Расширенные пространства Вирхова-Робина появляются во всех возрастных группах. С возрастом пространства ВР обнаруживаются с большей частотой и большими кажущимися размерами.
Аномалия Киари - врожденное смещение структур задней черепной ямки в каудальном направлении.Основную роль сыграл Chiari, который в 1891 г. описал аномалии заднего мозга и дал их классификацию.
Цефалоцеле характеризуются дефектом свода или основания черепа, через которые выпячиваются структуры мозга. В зависимости от грыжевого черепного отверстия выделают менингоцеле, менингоэнцефалоцеле, атретическое целе и глиоцеле.
Агенезия мозолистого тела (АМТ) - редкое расстройство, которое присутствует при рождении (врожденное). Он характеризуется частичным или полным отсутствием (агенезией) мозолистого тела. Мозолистое тело состоит из поперечных волокон.
Внутричерепная липома представляет собой доброкачественное образование, которое состоит из жировой ткани. Данная патология преимущественно развивается бессимптомно. Липомы (жировики), не имеют склонности к раковой трансформации. Внутричерепная липома всегда врожденное образование и не связано с неоплазией, а является нарушением эмбриогенеза с формированием патологической области отложения жировой ткани.
Комплекс Денди-Уокера это полная или частичная агенезия червя мозжечка, вращение мозжечка против часовой стрелки с расширением IV желудочка на фоне расширения задней черепной ямки за счет смещения намета вверх.
Ромбэнцефалосинапсис - аномалия развития ромбовидного мозга (rhombencephalon). В состав ромбовидного мозга входит: мозжечок, мост и продолговатый мозг, окружающие ромбовидную ямку, которая является дном 4-го желудочка.
Голопрозэнцефалия - порок развития с нарушением формирования переднего мозга (prosencephalon), на ранних стадиях развития плода, на 3й неделе гестации (когда существуют 3-5 мозговых пузырей) при котором передний мозговой пузырь не разделен частично или полностью на два симметричных полушария.
Шизэнцефалия - расщепление коры головного мозга линейной формы или широким (но не обширным) проходом, которое распространяется от желудочков к субарахноидальному пространству.
Полимикрогирия - аномалия развития, при которой нейроны достигают коры, но вследствие неправильного распределения формируют множество мелких извилин. Наиболее часто ПМГ локализуется в области латеральной борозды (сильвиевой щели). Гистологические изменения коры могут быть выражены в различной степени.
Пахигирия - врожденный порок мозга, приводящий к сглаженности коры головного мозга . Как правило, дети с данным пороком имеют задержку развития и страдают от эпилепсии , начало и тяжесть проявления зависит от степени поражения коры головного мозга.
Изменение величины мозга - врожденная асимметрия размеров мозговых структур. Микроцефалия, или микроэнцефалия - аномально маленький головной мозг. Обычно это является результатом внутриутробного сосудистого инсульта или внутриутробной TORCH-инфекции, также причиной могут быть метаболические нарушения, в частности фенилкетонурия.
Порэнцефалия (porencephalia, греческий: poros - проход, отверстие, пора + enliephalos - головной мозг) — патологическое кистозное расширение полости желудочка головного мозга разной величины, сообщающееся с субарахноидальным пространством. В действительности граница между порэнцефалией и шизэнцефалией смазана.
Нейрофиброматоз I типа (болезнь Реклингхаузена) — наследственное заболевание, предрасполагающее к возникновению опухолей у человека. Впервые описано во второй половине XIX века в 1882 году учеником Рудольфа Вирхова - Фридрихом фон Реклингхаузеном.
Нейрофиброматоз II типа — наследственное заболевание с аутосомно-доминантным типом передачи, которое наследуется или возникает спонтанно, характеризующееся образованием множественных доброкачественных опухолей, преимущественно шванном и менингиом, локализующихся в центральной нервной системе и по ходу периферических нервов.
Энцефало-тригеминальный ангиоматоз (болезнь Стерджа-Вебера, синдром Штурге-Вебера или синдром Стерджа-Вебера-Краббе) — спорадически возникающее заболевание, с возникновением ангиом мягкой мозговой оболочки и кожи лица, как правило в области глазной и верхнечелюстной ветвей тройничного нерва.
Туберозный склероз (болезнь Бурневилля-Прингла) - генетически детерминированное заболевание, характеризующееся выраженным ростом глии в ткани мозга и сетчатки, а так же гиперплазией производных экто- и мезодермы, поражением кожи, нервной системы и наличием доброкачественных опухолей (гамартом) в различных органах.
Болезнь Гиппеля—Линдау (цереброретинальный ангиоматоз) — факоматоз, при котором гемангиобластомы мозжечка сочетаются с ангиомами спинного мозга, множественными врождёнными кистами поджелудочной железы и почек. У четверти больных развивается карцинома почки, часто первично-множественная.
Гамартома гипоталамуса - это редкое неопухолевое образование гипоталамуса. По морфологической классификации соответствует ганглиоцитоме (доброкачественная опухоль из элементов симпатических нервных ганглиев). На сегодня считается, что данное образование не представляет сложности в диагностики, но затрудняет лечение.
Общая схема форм черепа . Мезоцефалический череп (Мезокран) - нормальная анатомическая форма черепа, средняя статистически встречаемая форма - стандартная форма черепа. Долихоцефалический череп (Долихоцефал) - значительное преобладание передне-заднего размера черепа над фронтальным размером.
Киста шишковидной железы - доброкачественный вариант нормальной шишковидной железы. Киста шишковидной железы отличается от опухоли равномерной тонкой стенкой (до 0,2см) в которой могут быть петрификаты. Содержимое кисты может быть изоинтенсивна ликвору или серому веществу, а так же может быть гиперинтенсивна по Flair (что связано с отсутствием движения ликвора в кисте, а так же увеличенным количеством белка или дериватами гемоглобина).
Синдром Денди-Уокера
Синдром Денди-Уокера - это врожденная патология нервной системы, для которой характерна триада признаков: гидроцефалия, гипоплазия или аплазия мозжечка, кисты задней черепной ямки. Болезнь имеет полиэтиологическую природу, среди провоцирующих факторов выделяют генетические аномалии, тератогенные влияния. Клиническая симптоматика включает классические признаки гидроцефалии, многообразные неврологические нарушения. Диагностика порока требует проведения нейросонографии, МРТ, эхокардиографии, также возможна пренатальная постановка диагноза при УЗИ-скрининге. Лечение заключается в консервативных и хирургических методах коррекции гидроцефалии.


Пороки ЦНС занимают второе место в группе врожденных болезней, уступая только сердечно-сосудистым аномалиям. До 80% всех патологий сопровождаются гидроцефалией, как при синдроме Денди-Уокера. Данное заболевание было описано американским нейрохирургом В. Денди в 1914 году, спустя 28 лет канадско-американский нейрохирург А. Уокер с коллегами предложил оперативный способ лечения порока. Патология встречается с частотой 1:25000-1:35000, девочки болеют чаще. Среди младенцев с врожденной гидроцефалией патология регистрируется в 3,5-12% случаев.
Этиологические факторы синдрома Денди-Уокера до сих пор точно не выяснены. По современным данным, патология имеет мультифакториальную природу, ее развитию способствуют как внутренние причины (хромосомные и генные мутации), так и воздействие экзогенных тератогенов. Провоцирующими факторами заболевания могут выступать:
- вирусные инфекции (цитомегаловирус, краснуха);
- гестационный диабет;
- употребление алкоголя матерью во время беременности.
Новейшие исследования показывают четкую связь изолированной формы аномалии Денди-Уокера с мутациями генов ZIC1 и ZIC4. Риск развития заболевания повышается у младенцев с врожденными нарушениями обмена веществ. Чаще всего синдром ассоциирован с одной из форм 3-метилглутаконовой ацидурии, которая проявляется ретинопатией, почечной дисфункцией, метаболическим ацидозом и повышением активности печеночных ферментов.
Выделяют три основные гипотезы структурных поражений головного мозга при болезни Денди-Уокера. Согласно первой из них, пороки ЦНС вызваны замедлением эмбрионального развития на раннем этапе при закладке ромбовидного мозга. Такая ситуация наблюдается под действием тератогенных факторов либо на фоне генетических мутаций. Вторая гипотеза указывает на заращение выходного отверстия 4 желудочка мозга и позднее открытие апертуры Мажанди.
Новые экспериментальные данные подтверждают вероятность третьей гипотезы: типичные анатомические изменения развиваются при возникновении сосудистого сплетения на тонкой крыше ромбовидного мозга. Патология сопровождается внутриутробной гидроцефалией, вызывает серьезные неврологические нарушения. На фоне этого развивается большая киста в задних отделах черепа, которая препятствует формированию мозолистого тела и червя мозжечка.

Специалисты выделяют открытую и закрытую формы синдрома. В первом случае наблюдается окклюзия отверстий Люшка и Мажанди, что сопровождается серьезными нарушениями ликвородинамики. Второй вариант не имеет таких патологий, поэтому протекает в более благоприятной форме. В нейрохирургии важное значение имеет анатомическая классификация порока, согласно которой выделяют 2 формы синдрома Денди-Уокера:
- Полная. Характеризуется отсутствием червя мозжечка, наличием связи между полостью четвертого желудочка и мозжечково-мозговой цистерной.
- Неполная. Проявляется частичным недоразвитием мозжечкового червя в его нижней части, за счет чего коммуникация с большой цистерной реализуется не на всем протяжении.
В 1989 г. американским педиатром и нейрорадиологом Джеймсом Барковичем была предложена альтернативная классификация, базирующаяся на результатах МР-диагностики. Выделена группа заболеваний, названная «комплексом Денди-Уокера», который включает 4 клинических формы: классическую аномалию (полная форма), вариант Денди-Уокера (менее грубые нарушения), кисту кармана Блейка и mega cisterna magna.
Основное проявление синдрома Денди-Уокера - гидроцефалия, возникающая в первые месяцы жизни ребенка. Степень выраженности симптоматики зависит от варианта синдрома, скорости прогрессирования нарушений, общего состояния новорожденного. К ранним признакам относят беспокойное поведение, монотонный крик, нарушение питания и частые срыгивания. Внешне обнаруживается выбухание родничков, расширение черепных швов, быстрое увеличение окружности головы.
Характерный признак гидроцефалии при синдроме Денди-Уокера - симптом заходящего солнца: при взгляде вниз радужка частично скрывается нижним веком, над ней появляется белая полоска склеры. Неврологические симптомы также представлены нистагмом, экзофтальмом, косоглазием. Нередко у новорожденных отмечается судорожный синдром, парезы и параличи конечностей. При прогрессировании болезни характерно отставание в психомоторном развитии.
В 65-68% случаев синдром Денди-Уокера сопровождается другими структурными неврологическими аномалиями. Чаще всего диагностируется агенезия мозолистого тела, стеноз Сильвиева водопровода, гетеротопия извилин коры мозжечка. При тяжелых формах заболевания определяется недоразвитие ствола головного мозга, что сопряжено с глубоким угнетением витальных функций и высоким риском младенческой летальности.
До 55% детей имеют сопутствующие врожденные синдромы: Уокера-Варбурга, PHACE, Ritscher-Schinzel. Характерны различные формы хромосомных аберраций: делеции, дупликации, трисомии и триплоидии. Поражение кардиоваскулярной системы проявляется септальными дефектами и нарушениями постнатальной гемодинамики. Реже определяются офтальмологические пороки: ретинальная дисплазия, микрофтальмия.
Первичное обследование ребенка с неврологическими нарушениями проводится врачом-педиатром или неонатологом. При гидроцефалии и подозрении на синдром Денди-Уокера к диагностике подключается детский невролог, нейрохирург. Физикальный осмотр выявляет неспецифические признаки внутричерепной гипертензии, нарушения моторного развития, сопутствующие аномалии. Для постановки окончательного диагноза проводится:
- Нейросонография. При ультразвуковом сканировании головного мозга определяется крупное кистозное образование в задней части черепной коробки. На УЗИ мозжечковый червь не визуализируется, недоразвитые полушария мозжечка раздвинуты, желудочковая система мозга расширена и деформирована.
- МРТ головного мозга. Магнитно-резонансная томография в сагиттальной и аксиллярной проекции демонстрирует расширение четвертого желудочка, грубые нарушения развития мозжечка, другие структурные аномалии.
- Эхокардиография. УЗИ сердца рекомендовано всем детям с синдромом Денди-Уокера, поскольку он нередко ассоциирован с врожденной кардиальной патологией. По результатам ЭхоКГ можно определить аномалии развития клапанного аппарата, дефекты внутрисердечной перегородки, патологии расположения крупных сосудов.
- Кариотипирование. При комбинированных врожденных пороках развития необходима консультация генетика и тщательное изучение генетического материала ребенка. Углубленное исследование направлено на диагностику хромосомных аберраций.
- Пренатальная диагностика. При проведении УЗИ плода удается предположить аномалию на сроке 15-16 недель, более четкая визуализация структур IV желудочка возможна после 22 недели гестации. При сочетании патологии с расщелинами лица эхосонография может быть недостаточно информативна.
Дифференциальная диагностика
При постановке диагноза необходимо дифференцировать синдром с гипоплазией мозжечка другой этиологии, ретроцеребральными кистами и расширениями большой мозговой цистерны. Патогномоничным признаком синдрома Денди-Уокера считается дефект червя мозжечка, который не возникает при других вариантах пороков ЦНС. Проводится дифференциальная диагностика с арахноидальными кистами, которая требует дополнительных инструментальных методов исследования.

Лечение синдрома Денди-Уокера
Консервативная терапия
Наибольшую опасность для жизни и здоровья младенца представляет гидроцефалия, для коррекции которой показано лечение в отделении интенсивной терапии. Назначается массивная дегидратационная терапия, которая включает разные типы диуретиков, гипертонические инфузионные растворы. Усилия врачей направлены на уменьшение ликворопродукции и нормализацию внутричерепного давления, чтобы предупредить отек мозга и компрессию церебральных структур.
Хирургическое лечение
При неэффективности консервативных методов и неуклонном прогрессировании гидроцефалии требуется помощь детских нейрохирургов. Основным методом коррекции при синдроме Денди-Уокера являются шунтирующие операции с имплантацией дренажных трубок или клапанных регулируемых систем. Существует несколько типов шунтирования: вентрикуло-перитонеальное, вентрикуло-атриальное, вентрикулоцистерностомия.
Для коррекции окклюзии ликворных путей применяются методы эндоскопической вентрикулостомии, которые восстанавливают нормальный отток цереброспинальной жидкости, устраняют острую неврологическую симптоматику. При гипертензионно-гидроцефальном кризе показана вентрикулярная разгрузочная пункция, которая относится к вариантам экстренного временного дренирования.
Исход заболевания зависит от глубины поражения ЦНС, скорости нарастания гидроцефалии, наличия сочетанной патологии. Нарастающая гипертензия и грубые неврологические пороки в 90% случаев становятся причиной смерти пациента в первые годы жизни, для выживших детей с неполным вариантом аномалии прогноз более благоприятный. Вследствие недостаточной изученности этиопатогенеза болезни эффективные меры профилактика пока не разработаны.
1. Случая мальформации Денди-Уокера с доношенной беременностью и родами / Е.В. Беляева, Л.В. Лапшина, Е.В. Шапошникова, А.А. Молгачев // Журнал неврологии и психиатрии. - 2018. - №2.
2. Аномалия Денди-Уокера - редкая причина сирингомиелии у взрослых /Г.Ю. Евзиков// Неврология, нейропсихиатрия, психосоматика. - 2017. - №9.
3. Синдром Денди-Уокера у новорожденных/ Л.А. Петрова, А.В. Розанов, Ю.И. Барашнев, В.О. Панов// Российский вестник перинатологии и педиатрии. - 2010. - №1.
Пахигирия - врожденный порок мозга, приводящий к сглаженности коры головного мозга . Как правило, дети с данным пороком имеют задержку развития и страдают от эпилепсии , начало и тяжесть проявления зависит от степени поражения коры головного мозга.

Клиническая картина
Термин «пахигирия» напрямую не связан с определенной формой развития, а скорее используется для описания анатомических изменений мозга в сочетании с нарушениями миграции нейронов; чаще всего расстройства, связанные с различной степенью лиссэнцефалии. Лиссэнцефалия присутствует в 1 из 85 470 новорожденных, а продолжительность жизни у таких пациентов коротка, лишь немногие доживают до 20 лет. Пачигирия - это состояние, идентифицируемое по типу кортикальной генетической мальформации.
Связь с эпилепсией, лиссэнцефалией и подкорковой гетеротопией
Различные степени выраженности и проявления эпилепсии связаны с пороками развития коры. Исследователи полагают, что около 40% детей с диагнозом лекарственно-резистентной эпилепсии имеют некоторую степень аномалии развития коры.
Лиссенцефалия (с которой наиболее тесно связана пахигирия) связана с тяжелой умственной отсталостью , эпилепсией и двигательной недееспособностью . Две характеристики лиссенцефалии включают отсутствие извилин ( агирия ) и сглаженность извилин (пахигирия). Другие возможные симптомы лиссэнцефалии включают телекантус , эстропию , гипертелоризм , различные уровни умственной отсталости, гипоплазию мозжечка , аплазию мозолистого тела. Более 90% детей, страдающих лизенцефалией, имеют судороги.
Пациенты с субкортикальной гетеротопией (другое расстройство, связанное с пахигирией) обычно имеют более мягкие симптомы, и их когнитивная функция тесно связана с выраженностью субкортикальной гетеротопии и степенью присутствия пахигирии.

Пахигирия вызвана расстройством процесса миграции нейронов плода из-за генетических или, возможно, экологических воздействий. У пораженной коры головного мозга обычно будет только четыре развитых слоя вместо обычных шести. Одним из наиболее известных и наиболее распространенных типов нарушений миграции нейронов является лиссэнцефалия - диффузная кортикальная мальформация, относящаяся непосредственно к агирии и пахигирии.
Неполная миграция нейронов во время раннего развития мозга плода является предшественником лиссанцефалии. Если нейроны имели аномальную миграцию во время развития - возможны корковые дисплазии, включающие:
- классическая лиссанцефалия (как указано выше) и
- гетеропию в виде подкорковых полос (агирийно-пахигириевый спектр).
Пахигирия, лиссенцефалия (гладкий мозг) и полимикрогирия (множественные мелкие гири) - все это результаты аномальной миграции неврных клеток коры головного мозга. Аномальная миграция, как правило, связана с неорганизованной клеточной архитектоникой, отсутствием сформированных шести слоев кортикальных нейронов (обычно имеется четырехслойная кора) и функциональные нарушения. Аномальное образование головного мозга может повлечь наличие судорожных симптомов, задержку развития и умственные дисфункции .
Различные методы визуализации обычно используются для диагностики. Хотя компьютерная томография (КТ) обеспечивает более высокое пространственное разрешение изображения головного мозга, пороки развития коры головного мозга лучше визуализируются с использованием магнитно-резонансной томографии (МРТ), которая обеспечивает более высокую тканевую контрастность и лучшее разграничение белого и серого вещества.
Лечение
Поскольку пахигирия является структурным дефектом, в настоящее время этиопатогенетического лечения нет, кроме симптоматического лечения, особенно для пациентов с приступами эпилепсии. Другим распространенным методом лечения является гастростомия (введение питательной трубки) для снижения возможного плохого питания и повторной аспирационной пневмонии.
Септооптическая дисплазия (синдром de Morsier) является одной из форм лобарной голопрозэнцефалий. Характеризуется отсутствием прозрачной перегородки, гипоплазией зрительных нервов, хиазмы и воронки.
Читайте также:
- Больные шизофренией в семье. Влияние семьи на больных шизофренией
- Показания и техника тонкоигольной аспирационной биопсии
- Вестибулит. Доброкачественные новообразования наружных половых органов.
- Техника лапароскопии в гинекологии: диагностическая, стерилизация и разделение спаек
- Поражение сосудов глаз фтором. Профилактика интоксикаций фторными соединениями

