Активность туберкулеза при резекции легких. Послеоперационная активность туберкулеза
Добавил пользователь Евгений Кузнецов Обновлено: 21.11.2025
Введение. В 2008г. по поводу туберкулеза органов дыхания наиболее часто выполняли сегментарные резекции легких (61,7%), доля пневмонэктомии составила 3,2%, а лобэктомии - 15,3% [1].
Эффект хирургического вмешательства на функцию легких зависит от объема удаляемой функционирующей легочной ткани. Резекция нефункционирующей или разрушенной легочной ткани может не влиять функцию легких, а резекция большой буллы может даже улучшить её [2]. В 1-й день после торакальной операции спирометрические показатели снижаются до 40% от исходных значений, а затем начинают постепенно увеличиваться. Они остаются сниженными на протяжении приблизительно 6 недель [3]. Снижение функции легких после торакотомии получило название «постторакотомический эффект». В случае сегментэктомии снижение функции легких определяется постторакотомическим эффектом. После его разрешения показатели спирометрии уменьшаются незначительно [2]. Через 3 месяца после лобэктомии показатели спирометрии могут уменьшаться приблизительно на 10-20% по сравнению с показателями до операции [2,4]. Уменьшение функции также зависит от функциональной способности удаляемой ткани. В случае, когда резецируется разрушенная или пораженная патологическим процессом доля (бронхоэктазы, абсцесс, пневмония), степень снижения функции легких будет небольшой [2]. Также как в случае лобэктомии, влияние пневмонэктомии на послеоперационную функцию легких определяется состоянием удаляемой легочной ткани. В целом, пневмонэктомия снижает все показатели спирометрии приблизительно на 30-40 % [2, 4].
Послеоперационное течение и состояние больного во многом зависит от потери функционирующей легочной ткани. Так, после экономных резекций послеоперационные осложнения возникали в 4,7%, после лобэктомии - в 10,2% случаев, а после пневмонэктомии - в 33,3% случаев. Летальность наблюдали только после лобэктомий и пневмонэктомий, в 0,6% и 3,9% случаев, соответственно [5].
Высокая частота осложнений после операций большого обьема показывает необходимость в последующем более тщательной и продолжительной терапии. Вместе с тем, вопросы дальнейшего лечения, улучшения качества жизни и функционального состояния оперированных больных изучены недостаточно.
Целью исследования было изучение качества жизни (КЖ) степени одышки и функционального состояния пациентов, излеченных от туберкулеза после пневмонэктомии и лобэктомии.
Материал и методы. Обследовано 22 пациента после пневмонэктомии (7 женщин и 15 мужчин) и 33 пациента после лобэктомии (11 женщин и 22 мужчины) в возрасте 51,5±10,3 и 50,9±12,9 лет, соответственно. Интервал от времени операции до момента осмотра составлял не менее 2-х лет. Все обследованные пациенты состояли на учете по III группе в противотуберкулезном диспансере или к моменту осмотра были уже сняты с диспансерного учета.
Функция внешнего дыхания была изучена с помощью спирометрии и бодиплетизмографии. В качестве функциональных показателей оценивали форсированную жизненную емкость легких (ФЖЕЛ), объем форсированного выдоха за 1 сек (ОФВ1), отношение ОФВ1/ФЖЕЛ, максимальную среднюю скорость форсированного выдоха на участке 25-75% ФЖЕЛ (МССВ25-75), пиковую скорость форсированного выдоха (ПСВ), общую емкость легких (ОЕЛ), функциональную остаточную емкость (ФОЕ), емкость вдоха (Евд), остаточный обьем легких (ООЛ). Спирометрия и бодиплетизмография были выполнены на аппарате "Master Screen Lab" фирмы "Erich Jaeger" (Германия). В работе использовали должные величины Европейского общества угля и стали [6].
Для оценки КЖ использовали анкету SF-36, анкету госпиталя Святого Георга для оценки дыхательной функции (SGRQ), прошедшие полный цикл языковой адаптации. Для оценки степени одышки использовали адаптированный русскоязычный вариант анкеты одышки университета Сан-Диего (SOBQ), исходный индекс одышки (BDI), диаграмму кислородной цены (OCD), а также шкалу MRC.
Анкета госпиталя Святого Георга для оценки дыхательной функции (SGRQ) состоит из 3-х компонентов, которые отражают частоту и выраженность имеющихся симптомов, физическую активность и влияние болезни на эмоциональное состояние пациента. Сумма, подсчитанная при ответе на все вопросы, дает общую оценку состояния здоровья пациента. Изменение любого показателя на 4 единицы считается клинически значимым [11]. В норме компонент «Симптомы» составляет в среднем 12% (от 9 до 15), «Активность» - 9% (от 7 до 12), компонент «Влияние» - 2% (от 1 до 3), а общий показатель - 6% (от 5 до 7) [8].
Анкета одышки университета Сан-Диего (SOBQ) состоит из 24 вопросов, каждый из которых оценивает одышку за последнюю неделю по шестибальной шкале. Изменение показателя на 5 баллов считается клинически значимым [12].
Исходный индекс одышки (BDI) состоит из 3-х компонентов и оценивает симптом от 0 до 12 баллов. Чем больше баллов, тем меньше степень одышки. Изменение общего показателя на 1 балл считается клинически значимым [13].
Диаграмма кислородной цены (Oxygen Cost Diagram - OCD) является шкалой, предназначенной для оценки одышки на основании уровней обычной дневной активности пациентов. Шкала представляет собой вертикальную линию (100 мм) с соответствующими 13 уровнями физической активности. Пациенту предлагают самому отметить на вертикальной шкале уровень, вызывающий одышку, оценка которой производится путем измерения расстояния от нижней нулевой линии до отметки, сделанной пациентом. Шкала MRC (Medical Research Council) представляет собой 5-ти бальную шкалу, которая показывает интенсивность ходьбы, при которой возникает одышка [14].
Для анализа и оценки полученных данных использованы методы описательной статистики. Достоверность различий между группами определяли с помощью критерия Стьюдента. Взаимосвязь качественных признаков определяли с помощью χ 2 . Различия считали достоверными при р
Результаты и обсуждение. Из 22 пациентов после пневмонэктомии (индекс массы тела 22,2±4,3 кг/м 2 ) 15 (68,2%) предъявляли жалобы на кашель, из них 8 - на кашель с мокротой; 17 (77,3%) жаловались на наличие одышки при выполнении повседневной активности.
Из 33 пациентов после лобэктомии (индекс массы тела 24,1±4,3 кг/м 2 ; р>0,05) 21 (63,6%) предъявляли жалобы на кашель, из них 15(45,5%) - на кашель с мокротой; 14 (42,4%) пациентов жаловались на наличие одышки при выполнении повседневной активности.
В табл. 1 приведены данные функции внешнего дыхания у пациентов, излеченных от туберкулеза после пневмонэктомии и лобэктомии. Почти все показатели спирометрии и бодиплетизмографии имели статистическое различие. Вместе с тем, у пациентов после лобэктомии обструктивные респираторные нарушения наблюдали в 45,5% случаев, в то время как у пациентов после пневмонэктомии - в 59,1%. Рестриктивные нарушения наблюдали у пациентов после пневмонэктомии в 86,4% случаев, а после лобэктомии - в 9,1% (p<0,001). Средняя величина ОФВ1/ФЖЕЛ% у пациентов после пневмонэктомии и лобэктомии были ниже нормы. Другие показатели форсированного экспираторного потока были заметно ниже у пациентов после пневмонэктомии. Среднее значение ОФВ1 у пациентов после пневмонэктомии было меньше на 37,3 единицы, чем аналогичный показатель у пациентов после лобэктомии. Снижение ОФВ1 менее 80% должных величин наблюдали у всех пациентов после пневмонэктомии и в 30,3% случаев после лобэктомии.
Таблица 1. Показатели спирометрии и бодиплетизмографии (M+/-σ)

Примечание: здесь и далее NS - отсутствие статистически достоверной разницы; † - % должной величины.
Для сравнения, в популяционном исследовании обструктивные нарушения функции внешнего дыхания были выявлены у 13,2% людей, а рестриктивные - в 6,6% случаев [7].
В табл. 2 и 3 приведены показатели качества жизни у обследованных лиц, излеченных от туберкулеза после пневмонэктомии и лобэктомии. Показатели общей анкеты качества жизни SF-36 были хуже у пациентов после пневмонэктомии (кроме РЭ), однако разница не достигала статистической достоверности. Кроме того, по всем показателям разница не была клинически значимой.
Таблица 2. Показатели анкеты SF-36 (M+/-σ)

Таблица 3. Показатели качества жизни и степени одышки (M+/-σ)

В то же время почти все показатели специальных анкет качества жизни у пациентов после пневмонэктомии были статистически хуже, чем в группе после лобэктомии. Разница по всем показателям была клинически значимой. Это означает, что после пневмонэктомии самочувствие пациентов значительно хуже, чем после лобэктомии (табл. 3.).
Одышка является основной причиной, ограничивающих физическую активность пульмонологических больных [15] и её степень во многом определяет качество жизни [14]. Все показатели, характеризующие одышку (MRC, OCD, BDI, SOBQ), были значительно хуже у больных после пневмонэктомии (табл. 3). Разница во всех случаях достигала статистической достоверности, а при оценке с помощью BDI и SOBQ была клинически достоверной (разница по BDI составила 2,2 балла; по SOBQ - 11,1 баллов). Статистическая достоверность и значительная разница между средними показателями свидетельствует о большей выраженности одышки у пациентов, излеченных от туберкулеза после пневмонэктомии, в сравнении с больными, перенесшими лобэктомию.
Таким образом, распространенный туберкулезный процесс, который потребовал выполнения большого обьема операции, высокая частота обструктивных нарушений и непосредственно обьем операции у больных после пневмонэктомии ведет к значительному снижению функции внешнего дыхания, ухудшению качества жизни и выраженной одышке.
Заключение. У всех пациентов после пневмонэктомии имеются выраженные нарушения функции внешнего дыхания и значительное снижение качества жизни. Это показывает необходимость спирометрического контроля, длительного наблюдения, назначения медикаментозной терапии и проведения реабилитационных мероприятий этой группы больных. Не смотря на то, что после лобэктомии показатели спирометрии значительно лучше, качество жизни остается ниже нормы, что также требует проведение обязательного спирометрического контроля, дополнительного лечения и назначения соответствующей терапии.
Список использованных источников:
Подписано в печать: 01.07.2015
Активность туберкулеза при резекции легких. Послеоперационная активность туберкулеза
Для цитирования: ХИРУРГИЧЕСКАЯ ТАКТИКА В УСЛОВИЯХ СОВРЕМЕННОГО ТЕЧЕНИЯ ТУБЕРКУЛЕЗА ЛЕГКИХ. РМЖ. 1998;17:11.
Хирургические методы используют в лечении больных туберкулезом органов дыхания более 100 лет. Разработаны методики оперативного лечения как ограниченных, так и распространенных форм туберкулеза, применяющиеся в сочетании с противотуберкулезной химиотерапией. До 1990 г. оперативное лечение преимущественно проводили при ограниченных поражениях легких. В настоящее время в связи с учащением случаев лекарственной полирезистентности микобактерий туберкулеза приоритет отдается хирургическому лечению распространенных прогрессирующих процессов в легких.
Surgical interventions are used in the treatment of patients with pulmonary tuberculosis over 100 years. Surgical techniques in combination with antituberculosis drug therapy both for restrictive and disseminated tuberculosis have been developed. Before 1990, surgery was made chiefly in restrictive pulmonary diseases. Due to the greater cases of Mycobacterium tuberculosis multiresistance, surgery for disseminated progressive processes in the lung is of high priority.
В.Н. Наумов — профессор, доктор мед.наук, руководитель отдела хирургии ЦНИИ туберкулеза РАМН
А.Я. Шайхаев — доктор мед. наук, ведущий научный сотрудник ЦНИИ туберкулеза РАМН
К.В. Токаев — доктор мед. наук, ведущий научный сотрудник ЦНИИ туберкулеза РАМН, Москва
V.N. Naumov — Prof., MD, Head, Department of Surgery, Central Research Institute of Tuberculosis, Russian Academy of Medical Sciences A.Ya.
A.Ya. Shaikhayev — MD, Leading Researcher, Central Research Institute of Tuberculosis, Russian Academy of Medical Sciences
K.V. Tokayev — MD, Leading Researcher, Central Research Institute of Tuberculosis, Russian Academy of Medical Sciences, Moscow
В России наблюдается рост показателей заболеваемости туберкулезом, в том числе с бактериовыделением, и смертности от него на 70% и более по сравнению с 1990 г. Особое значение имеет увеличение числа больных с тяжелыми остропрогрессирующими формами заболевания, первичной полирезистентностью микобактерий туберкулеза (МБТ) и вторичным иммунодефицитом, которые способствуют развитию эпидемии туберкулеза, а ее последствия, представленные в прогнозах для населения России и других стран мира, крайне неблагоприятны . Антибактериальная комбинированная полихимиотерапия при этих формах туберкулеза часто малоэффективна вследствие лекарственной резистентности МБТ, нарушений иммунитета и др. Поэтому особенно остро встает проблема повышения противоэпидемической роли фтизиохирургии, а также разработки методов спасения обреченных на неблагоприятный исход больных, как правило, молодого и среднего возраста.
Таблица 1. Виды оперативных вмешательств (в %) по поводу туберкулеза органов дыхания, проведенных в ЦНИИТ РАМН за период с 1975 по 1996 г.
Сроки выполнения
1975 - 1990 гг. (n=6416)
1992 - 1996 гг. (n=1008)
кавернопластика, торакопластика, ЛЭП)
Исторический путь развития хирургических методов лечения больных туберкулезом легких и плевры в мире и в России насчитывает более 100 лет. Хирургия туберкулеза легких стала важной проблемой во всем мире еще в доантибактериальный период. В нашей стране Н. Г. Стойко выполнял операции торакопластики, начиная с 1917 г. В 1936-1938 гг. Л.Л.Богуш в Нижнем Новгороде успешно проводил операции перевязки легочных вен, удаления доли пораженного туберкулезом легкого. К 60-м годам эпидемиологическая ситуация в Европе и Америке значительно улучшилась, и количество операций стало уменьшаться. В Советском Союзе в связи с сохраняющейся высокой распространенностью туберкулеза с 1961 г. была принята государственная программа по его хирургическому лечению. При областных противотуберкулезных диспансерах (ПТД) были открыты типовые хирургические отделения, подготовлены специалисты-фтизиохирурги.
Таблица 2. Эффективность хирургических вмешательств при туберкулезе органов дыхания, проведенных в 1992 - 1996 гг., в ЦНИИТ РАМН
Названия операций
Клинический эффект, %
Летальность, %
Количество операций по поводу торакального туберкулеза постоянно увеличивалось и к 1989 г. достигло 28 000 в год. Были разработаны методы хирургического лечения как ограниченных, так и распространенных туберкулезных поражений легких, исключая остро прогрессирующие формы, в том числе казеозную пневмонию.
Начиная с 90-х годов отмечено нарастание частоты развития остропрогрессирующих форм туберкулеза легких, включая казеозную пневмонию, плохо поддающихся противотуберкулезной терапии. Происшедшие изменения в клиническом течении туберкулеза легких потребовали коррекции хирургической тактики и разработки новых хирургических методов лечения, применимых при остропрогрессирующих формах туберкулеза.
Таблица 3. Пневмонэктомия при двустороннем туберкулезном поражении
В настоящее время фтизиохирургия должна ориентироваться в первую очередь на совершенствование методов хирургического лечения больных с заразными прогрессирующими формами туберкулеза, чтобы предотвратить рост резервуара инфекции и добиться снижения показателя смертности. Совершенствование методов химиотерапии, особенно внедрение новых программ противотуберкулезной терапии, новых мощных антибиотиков широкого спектра и иммуномодуляторов, совершенствование хирургической и анестезиологической техники, использование новых технических средств открывают новые возможности для расширения показаний к операциям у ранее бесперспективных больных, даже с двусторонними деструктивными процессами. Таким образом, сформировались условия для пересмотра хирургической тактики.
Табл. 1 показывает изменения в структуре хирургических операций у больных туберкулезом легких, проведенных в хирургическом отделе ЦНИИ туберкулеза РАМН за последние 20 лет.
Частичные, экономные и комбинированные резекции легких при ограниченных туберкулезных процессах ранее были основными во фтизиохирургической службе по стране и составляли более 80 % всех операций при туберкулезе. Показания к этим видам операций и техника их выполнения хорошо отработаны, прошли испытание временем и не претерпели существенных изменений. Общее сокращение числа частичных резекций с 27,4 до 13,9 % объясняется не столько поздней выявляемостью ограниченных форм туберкулеза (снижение роли профилактических осмотров, флюорографии), но и социально-экономическими причинами. Эффективность частичных резекций легких в нашей клинике остается на уровне 98,4 % (табл. 2) .
В арсенале фтизиохирургических вмешательств значительное место вновь приобретают нерезекционные методы лечения: варианты эндокавитарного, в том числе лазерного лечения, экстраплеврального пневмолиза (ЭПП), кавернотомия, кавернопластика, торакопластика, вскрытие полости эмпиемы, торакомиопластика, сроки выполнения которых необоснованно затягиваются на местах. Этот вид операций в нашей клинике составляет от 19,5 до 21,7 %. Основные показания к этим операциям остались прежними: большие (в том числе двусторонние) каверны на фоне обширной диссеминации как основной источник интоксикации при неэффективности полихимиотерапии и прогрессирующем течении заболевания, когда радикальные операции противопоказаны из-за распространенности процесса или ограниченности функциональных резервов пациента. В последние годы уменьшилось число пациентов, которым показана одномоментная кавернопластика. При этом наиболее часто использовались ЭПП, одно- и двухэтапные кавернотомии как самостоятельные (11 %) операции, которые не сопровождались серьезными осложнениями и у 85,7 % больных позволили прекратить бацилловыделение и стабилизировать распространенный туберкулезный процесс. Новый вариант открытого ЭПП весьма щадящий, выполняется с резекцией участков 2-3 ребер (в зоне над каверной), преимущественно из подмышечного доступа с последующим местным лечением каверны путем пункций с введением антибиотиков, использованием различных видов физического воздействия. Такие операции можно проводить в качестве предварительного эффективного лечения с целью стабилизации двустороннего туберкулезного процесса и подготовки к радикальному оперативному вмешательству на стороне основного поражения. Авторы использовали этот вид операций более чем у 40 больных, а за последние 5 лет - у 18 человек при поражении единственного легкого. Кроме того, ЭПП у 21 пациента сочетался с одномоментными этапными (в том числе комбинированными) вмешательствами на контрлатеральном легком. Разработанные в нашей клинике и используемые в настоящее время операции уникальны в мировой практике и могут сыграть еще большую роль в излечении распространенных прогрессирующих деструктивных форм туберкулеза.
Важным разделом современной фтизиохирургии является разработка методов предоперационной подготовки с целью стабилизации туберкулезного процесса, лечение сопутствующих заболеваний: интенсивное местное лечение (пункции, дренирование каверн, внутрилегочное и внутрикавитарное введение препаратов), коррекция легочно-сердечной недостаточности, компенсация сахарного диабета и др.. Прослеживается тенденция использования современных, иммунокорригирующих средств, методов экстракорпоральной детоксикации для эффективного и быстрого способа подготовки к обширным вмешательствам вплоть до плевропульмонэктомии у больных, которые ранее считались неоперабельными и некурабельными.
Классическая плеврэктомия, в том числе и с резекцией легкого, при эмпиеме плевры составила 1,2% против 2,3 % в 80-е годы.
Объясняется это не только уменьшением числа пациентов с постпневмотораксной эмпиемой плевры, но и возрастанием числа больных с хроническими экссудативными плевритами, в излечении которых роль хирургических методов часто незаслуженно принижается.
По данным ПТД, в последние годы увеличился поток больных с экссудативными плевритами среди вновь выявленных больных туберкулезом легких. Общая лечебная сеть отправляет их в ПТД, а последние практически не учитывают, что в случаях хронизации воспалительного процесса в плевре оперативное лечение (в сроки до года от начала заболевания) эффективно и позволяет полностью восстановить функцию дыхания. Поэтому фтизиохирургам следует ориентироваться на раннее (через 4 - 8 мес от момента начала заболевания) применение реконструктивных операций при хронических плевритах и начальных стадиях хронической эмпиемы плевры. Эффективность при этом достигает 98,1%. На операцию удаления легкого (пневмонэктомия, плевропневмонэктомия, доудаление остатков легкого) приходится сейчас 16,2 % вместо 13,4 % в прошлые годы. Послеоперационная летальность достигает 8,1 - 9,2%, эффективность - 86,3 %. Показания для пневмонэктомии при так называемом стабильном одностороннем распространенном деструктивном туберкулезе в настоящее время имеются значительно реже (не более 15%). Оказывается, удельный вес пневмонэктомий обусловлен ростом (до 55%) числа остропрогрессирующих форм фиброзно-кавернозного туберкулеза и его осложнений (пиопневмоторакса, легочных кровотечений), случаев полирезистентности МБТ, когда современная полихимиотерапия уже неэффективна и бесперспективна. При этом пневмонэктомия как одномоментная операция может быть выполнена только у 62,5 % пациентов. Эффективность операции удаления всего легкого при относительно стабильном варианте клинического течения составляет 92%, без летальных исходов. В остальных случаях пневмонэктомия является заключительным этапом комплексного хирургического лечения больных двусторонним осложненным прогрессирующим деструктивным туберкулезом легких (табл. 3) .
Эффективность этапной пневмонэктомии составляет 82,6 % при летальности 10-12,4 % случаев (см. табл. 2). Метод более эффективен, чем одномоментная пульмонэктомия у аналогичных групп больных.
Ключевым моментом новой хирургической тактики при развившихся осложнениях, таких как бронхиальные, торакальные свищи, остеомиелиты ребер, двусторонние осложненные процессы, является трансстернальная трансперикардиальная окклюзия главных бронхов и легочных сосудов на стороне основного поражения. При этом одновременно на стороне меньшего поражения (практически единственного легкого!) осуществляют такие вмешательства, как ЭПП с тампонадой, этапные кавернотомии, реже - частичные резекции. На стороне основного поражения одновременно производят вскрытие полости эмпиемы и каверны с открытой тампонадой. Для предотвращения тяжелой дыхательной недостаточности одномоментно производят трахеостомию с последующей длительной искусственной вентиляцией легких (иногда до 1 - 1,5 мес). Комплексное лечение после первого хирургического этапа, включающее использование полихимиотерапии, экстракорпоральных методов детоксикации, различных типов лазеров, УФО, парентерального питания, позволяет в большинстве случаев подготовить таких пациентов к заключительной операции - удалению легкого.
Таким образом, гармоничное применение всего арсенала фтизиохирургических вмешательств, которые могут выполняться у значительного числа нуждающихся, по нашему убеждению, позволяет значительно снизить резервуар инфекции, расширить возможности хирургического излечения наиболее тяжелой группы больных туберкулезом органов дыхания всех возрастов и определяет хирургическую тактику, соответствующую требованиям времени.
1. Богуш Л.К. Хирургическое лечение туберкулеза легких .- М., 1979.
2. Репин Ю.М. Хирургия отягощенных форм туберкулеза .- Л., 1984.
3. Перельман М.И., Стрельцов В.П., Наумов В.Н. / Органощадящие оперативные вмешательства во фтизиопульмонологии .- М., 1989 -. С.4-7.
Контент доступен под лицензией Creative Commons «Attribution» («Атрибуция») 4.0 Всемирная.
Пройдя регистрацию вы можете добавлять в избранное понравившиеся статьи, а также получите подборку статей по вашей специальности
Характерной особенностью последних десятилетий является увеличение частоты рецидивов туберкулеза как после терапевтического, так и после хирургического лечения [1, 2, 5, 8, 13]. Многие хирурги связывали это в первую очередь с увеличением частоты лекарственной устойчивости микобактерий туберкулеза [3, 6, 20, 21].
Несмотря на все возрастающую роль хирургии в лечении легочного туберкулеза и ее высокую непосредственную эффективность, проблема послеоперационных рецидивов туберкулеза остается серьезным сдерживающим фактором на пути ее широкого применения. Частота послеоперационных рецидивов, по данным изученной нами литературы, составляет в среднем 5,7% и имеет в последние годы тенденцию к увеличению.
Эффективность консервативного лечения послеоперационных реактиваций туберкулеза, по данным большинства авторов, невелика [6-8, 13-15, 18, 25, 26]. Согласно публикации В.Д. Ямпольской [26], интенсивным консервативным лечением удалось излечить только 7 из 23 послеоперационных реактиваций туберкулеза (30%). По данным В.А. Краснова [13], успешным консервативное лечение было лишь у 36% из 590 больных с послеоперационными рецидивами. Из опыта А.В. Елькина и соавт. [8] при лечении 241 пациента с послеоперационными реактивациями лишь в 78 (32%) случаях достигнут клинический эффект.
Закономерным следствием низкой эффективности химиотерапии послеоперационных рецидивов туберкулеза является высокая хирургическая активность (до 94,8%) у этой категории больных [16]. Проанализировав данные 9 публикаций [4-6, 8, 10, 16, 21, 26, 28] о частоте использования хирургических методов в лечении послеоперационных реактиваций туберкулеза (1684 случая), мы подсчитали, что повторное хирургическое лечение проведено 903 (53,6%) больным из их числа.

Чаще всего в лечении послеоперационных рецидивов туберкулеза используются такие оперативные вмешательства, как пневмонэктомия (удаление ранее резецированного легкого) и экстраплевральная торакопластика (табл. 1 ). Обобщив литературные публикации 18 авторов о хирургическом лечении 1723 пациентов с рецидивами туберкулеза, мы подсчитали, что до удаления легкого у половины оперированных (50%) были выполнены экстраплевральная торакопластика - у 371 (21,5%), резекции ранее оперированного или противоположного легкого - у 275 (15,9%) и кавернопластики - у 230 (13,3%) [3, 5-9, 11-13, 15, 18, 21-23, 26, 28], другие виды операций - лишь в 6,6% случаев.

В целом ререзекции применяются по поводу рецидивов туберкулеза крайне редко. Нами найдено лишь 6 публикаций [8, 11, 13, 18, 22, 27] за последние три десятилетия, в которых приводились результаты этих операций раздельно от других повторных операций (табл. 2 ) и описывались в общей сложности последствия 70 ререзекций. Однако суммарное число этих вмешательств, скорее всего, еще меньше, поскольку при описании наибольших групп этих операций в разные годы сотрудниками Санкт-Петербургского НИИ фтизиопульмонологии (Ю.М. Репин - 30 случаев [18], А.В. Елькин и соавт. - 26 случаев [8]) в последней публикации, обобщающей материал с 1989 по 2001 г., по видимому, частично включены и больные, описанные в 1994 г. [18].
Частота послеоперационных осложнений повторных резекций легких у больных туберкулезом, по данным доступной литературы, составляет в среднем 43%, а послеоперационная летальность - 4,3%, что намного превышает уровень осложнений и летальности первичных резекций легких по поводу туберкулеза.
Непосредственная эффективность всех хирургических методов лечения послеоперационных рецидивов туберкулеза в большинстве статистик остается невысокой (от 60 до 88%, а в отдаленном периоде она снижается до 50-72%) [8, 11, 13, 17, 18] при большой послеоперационной летальности (в среднем 9%) и летальности в отдаленный период до 25% и более [5-8, 12].
В литературе подчеркивается высокий травматизм повторных радикальных операций (большая кровопотеря, длительность операции), высокий риск интраоперационных осложнений (до 58%) [14] и, в частности, ранений крупных сосудов (в среднем 13,7% случаев). Радикальные резекционные операции, в том числе и ререзекции, сопровождаются высоким риском смерти во время операции от кровотечения (до 16%) [14].
Материал исследования
Материалом для настоящего исследования послужили повторные резекции легких по поводу послеоперационного рецидива туберкулеза в оперированном легком у 50 больных, выполненные первым автором этой статьи c 2004 по 2011 г. в клинике фтизиопульмонологии ГБОУ ВПО "Первый МГМУ им. И.М. Сеченова" и ФГБУ ЦНИИТ РАН. Были прооперированы 28 мужчин и 22 женщины в возрасте от 15 до 67 лет: 10% из них в возрасте до 18 лет,
30% - от 19 до 29 лет, 32% - от 30 до 39 лет и
28% - старше 40 лет. У всех больных до операции был установлен рецидив туберкулеза легких.
Анализ распространенности основного процесса в легком по сегментам показал, что при деструктивных процессах чаще всего поражалось 5 и более сегментов. Размеры каверн в большинстве случаев составляли от 2 до 4 см. Лишь у 8% пациентов размеры деструкции в легком превышали 6 см. Двустороннее поражение легких было у 24 (48%) больных, в том числе деструктивные формы - у 6 (12%).
Бациллярным на момент операции был 41 (82%) пациент. Данные о лекарственной чувствительности микобактерий туберкулеза (МБТ) к антибактериальным препаратам были получены в 34 (68%) случаях, о множественной и экстремальной лекарственной устойчивости - в 21 (42%) и 8 (16%) случаях соответственно.
Легочный процесс осложнялся у 40 (80%) больных. Самым частым осложнением была дыхательная недостаточность (35 случаев), реже отмечались эмпиема плевры (9), легочное кровотечение (4), кахексия (7). У 39 (78%) пациентов имелись сопутствующие заболевания (101 случай различной патологии), наиболее частыми среди них были: сердечно-сосудистая патология (а именно легочное сердце), нарушения сердечного ритма и миокардиодистрофия, хронические обструктивные заболевания легких.
При фибробронхоскопии изменения выявлены в 11 (22%) случаях: дренажный гнойный эндобронхит и рубцовый стеноз главного бронха (по одному случаю), туберкулез бронхов (2), диффузный хронический эндобронхит (6), микрофистула культи бронха после первичной операции (1).
После резекций легкого в отдаленный период показания к повторной резекции на стороне предшествующей операции чаще всего возникают при послеоперационных рецидивах деструктивного туберкулеза легких ограниченной распространенности без очаговой диссеминации и вне основной зоны поражения, не имеющих тенденции к закрытию полостей распада и абациллированию на фоне достаточно длительной (4-6 мес) химиотерапии. Дополнительными доводами в пользу операции в подобной ситуации является наличие множественной или широкой лекарственной устойчивости МБТ, а также непереносимости химиотерапии.
Наиболее частым показанием к ререзекции у наших больных был фиброзно-кавернозный туберкулез оперированного легкого (48%), причем часто при наличии очагового обсеменения остающихся отделов легкого к ререзекции приходилось прибегать вынужденно из-за низких функциональных резервов организма и поражения контралатерального легкого. Объемом ререзекций у больных ФКТ являются комбинированные резекции, лоб- и билобэктомии, требующие в послеоперационном периоде применения методов коррекции гемиторакса из-за малого объема остающейся легочной ткани и наличия очаговых изменений.
Более редким показанием для ререзекции легкого у наших больных служил кавернозный туберкулез оперированного легкого (16% оперированных). Все пациенты с этой формой туберкулеза лечились по поводу послеоперационного рецидива в терапевтических отделениях от 5 мес до 8 лет, в том числе четверо (50%) - с применением пневмоперитонеума, в 7 из 8 случаев срок консервативного лечения превысил 8 мес. Наиболее часто при рецидиве кавернозного туберкулеза выполнялись анатомические резекции легких.
На нашем опыте туберкулемы с распадом послужили показанием к выполнению ререзекций легкого у 24% больных. При этой форме туберкулеза во многих случаях оказались возможны атипичные ререзекции легкого небольшого объема, однако при множественных туберкулемах объем операции мог доходить до обширных комбинированных ререзекций. Более редким показанием к ререзекции явился цирротический туберкулез (1 случай, 2%) и эмпиема плевры или ложная каверна (5 случаев, 10%). При наличии эмпиемы плевры этим больным чаще
выполняются комбинированные ререзекции легких с плеврэктомией, плевролоб- и плевробилобэктомия, реже плеврэктомия с частичной ререзекцией легкого.
Особо следует подчеркнуть, что подавляющее большинство наших больных (66%) получали консервативное лечение по поводу послеоперационного рецидива в течение 12 и более месяцев без положительной клинико-рентгенологической динамики, а большинство даже с отрицательной динамикой. Столь длительная химиотерапия при резектабельном процессе только ухудшает прогноз хирургического лечения за счет усиления лекарственной устойчивости.
Среди первичных операций, после которых были выполнены ререзекции, отмечены атипичные (29 случаев), сегментарные анатомические (4) и комбинированные (7) резекции легкого, а также лоб- и билобэктомия (9 и 1 случай соответственно).
Авторами статьи было выполнено 85 операций 50 пациентам, включая резекции противоположного легкого при двусторонних процессах (2 случая), отсроченные корригирующие торакопластики (29) и повторные операции по поводу послеоперационных осложнений ререзекций (4). У 13 больных повторная резекция легкого сочеталась с плеврэктомией и декортикацией легкого.
Объем повторной резекции легкого в большинстве случаев был значительным. У 24 больных
выполнены комбинированные резекции, в том числе объемом более доли у 11 оперированных. Лобэктомия произведена в 1 случае, анатомические полисегментарные ререзекции - в 8, а частичные атипичные ререзекции - только в 17 (34%) случаях.
У 47 (94%) пациентов, с учетом большого объема произведенных резекций и высокого риска повторного рецидива, применены различные способы коррекции объема гемиторакса, в том числе торакопластика отсроченная (у 29), предшествующая (у 4), на противоположной стороне (у 1), а также одномоментное перемещение диафрагмы с ререзекцией (у 1), одномоментный экстраплевральный пневмолиз с пломбировкой (у 1), френикотрипсия (у 3) и пневмоперитонеум у 39, причем последний часто сочетался с другими методами уменьшения объема плевральной полости.
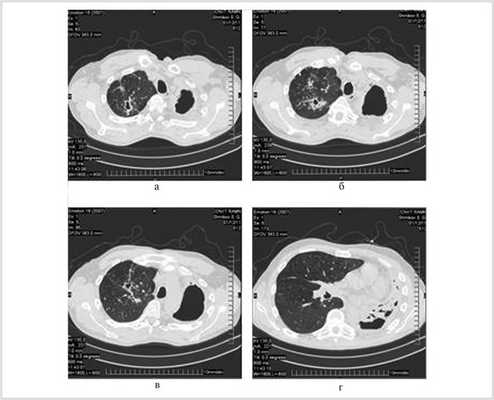
Из 85 операций, выполненных 50 нашим пациентам, 61 произведена из минидоступа с применением видеоторакоскопии. При этом для прошивания легочной ткани использовался сшиватель органов для малоинвазивной хирургии, разработанный проф. Д.Б. Гиллером совместно с фирмой "Уникон" (Россия). Примером подобной операции может служить наблюдение повторной резекции после ранее произведенной нижней лобэктомии слева (рис. 1-4 ).
Результаты и обсуждение
При выполнении 50 повторных резекций легкого у 50 пациентов мы обнаружили плевральные сращения во всех случаях, при этом в 2 (4%) они были ограниченными, в 13 (26%) субтотальными (более 1 / 2 поверхности плевральной полости) и в 35 (70%) тотальными. Длительность операции составила в среднем 220,7 мин, средняя интраоперационная кровопотеря - 346,6 мл. Гемотрансфузий удалось избежать у всех больных.
Интраоперационные осложнения отмечены у
7 (14%) пациентов, в том числе вскрытие полости эмпиемы и скальпированные ранения легкого по
2 случая, вскрытие прикультевого абсцесса, ранение v. azygas и разрыв мембранозной части трахеи перераздутой манжеткой интубационной трубки - по
В послеоперационном периоде у 5 (10%) больных развились осложнения, в том числе (по одному случаю) раннее, позднее интраплевральные кровотечения, эмпиема с бронхиальным свищом, остаточная плевральная полость и раневое осложнение. Эти послеоперационные осложнения были ликвидированы и послеоперационной летальности не отмечено. Все пациенты на момент выписки не выделяли МБТ в мокроте. Полный клинический эффект был достигнут в 48 (96%) случаях, 2 пациента были выписаны с кавернами в противоположном легком, отказавшись от операции на второй стороне.
Отдаленные результаты удалось проследить у
36 пациентов. Полный клинический эффект сохранялся в 35 (97,3%) случаях, реактивация туберкулеза отмечена в 1 (2,8%). Работали или учились в вузах
29 (80,6%) оперированных.
В доступной литературе нами найдено лишь
одно исследование, приводящее подробный анализ отдаленных результатов ререзекций легких у больных с рецидивами туберкулеза, с данными которого мы могли бы сравнить полученные нами результаты.
Согласно публикации А.В. Елькина и соавт. [8], после 26 ререзекций послеоперационные осложнения возникли в 11 (43,7%) случаях, умерли в стационаре 2 (7,7%) пациента. Непосредственная эффективность (87,5%) в отдаленном периоде снизилась до 50%. Реактивация туберкулеза произошла после ререзекций в 43% случаев, 2% оперированных умерли от туберкулеза в отдаленном периоде, а всего в срок до 5 лет погибли более 20% оперированных. Пятилетняя выживаемость у всей группы больных, по данным А.В. Елькина и соавт.,
составила 78,6% [8]. Сравнительно высокую эффективность операций в нашей серии больных
мы связываем с более частым использованием
различных методов уменьшения объема плевральной полости после повторных резекций легкого.
Коррекция объема гемиторакса при такого рода вмешательствах, по нашему мнению, показана во всех случаях и не была нами применена только у 3 пациентов, отказавшихся от корригирующей операции и имевших противопоказания (спаечный процесс в брюшной полости после абдоминальных операций) к наложению пневмоперитонеума. При резекции верхних отделов легких мы отдавали предпочтение отсроченным экстраплевральным торакопластикам, при резекции нижних отделов - френикотрипсии, перемещению диафрагмы или пневмоперитонеуму.
Заключение
Таким образом, несмотря на большую тяжесть состояния пациентов, техническую сложность и более высокий хирургический риск повторных резекций, чем у коллапсохирургических и органоуносящих вмешательств, хорошие отдаленные результаты и высокая частота трудовой реабилитации оперированных убедительно доказывают преимущество выполнения повторных резекций легких при рецидивах туберкулеза в ранее резецированном легком.
Впервые операция на единственном легком была выполнена в 1948 г. D. Waterman [44]. Больному 52 лет через 6 лет после левосторонней пневмонэктомии по поводу плоскоклеточного рака была произведена резекция X сегмента правого легкого с метастазами опухоли. Пациент умер через 2 года от метастазов в печень.
Первая публикация о хирургическом лечении туберкулеза единственного легкого принадлежала F. Woods и соавт. [46]. В 1956 г. ими опубликованы результаты хирургического лечения 6 больных, в том числе 2 была выполнена верхняя лобэктомия справа и 4 — сегментарная резекция легкого. Умерла одна больная на 4-е сутки после операции, полный клинический эффект был достигнут у 4 больных, еще у 1 пациента операция оказалась неэффективной.
В 1960 г. V. Bjork [27] представил наблюдения хирургического лечения трех больных кавернозным туберкулезом единственного легкого. Больной 26 лет была выполнена верхняя лобэктомия справа, больному 29 лет — резекция I, II и V сегментов слева, еще одной больной 29 лет — верхняя лобэктомия слева, через год — верхняя лобэктомия справа и через год — удаление оставшейся части левого легкого с торакопластикой по поводу рецидива заболевания.
В 1966 г. появилась первая статья с обзором литературы, посвященная результатам резекции единственного легкого. W. Lejawka и W. Rzepecki [33] обобщили данные о 21 резекции единственного легкого, выполненной 14 хирургами разных стран с летальностью 10% (умерли 2 больных). Авторы привели собственные результаты двух клиновидных резекций единственного легкого с помощью сшивающих аппаратов у женщин 25 и 27 лет. После обеих операций возникли осложнения, но обе сопровождались отдаленными результатами.
В последнее время статьи о резекции единственного легкого публиковались крайне редко и в основном представляли собой описание отдельных клинических случаев [1, 21, 31, 41—43, 45, 47].
Вообще хирургическому лечению туберкулеза единственного легкого посвящено очень мало работ. Наибольшее количество публикаций, описывающих все возможные варианты хирургических вмешательств у этой категории больных, вышло из клиники Л.К. Богуша [5, 7, 8, 10—12, 16—20, 26].
Одномоментная окклюзия элементов корня разрушенного легкого или пневмонэктомии из трансстернального доступа одномоментно с каким-либо вмешательством на остающемся легком являются очень редкими вариантами операции при двустороннем туберкулезе легких и описаны лишь в публикациях из клиники Л.К. Богуша [4, 5, 10, 16, 20] и В.А. Порханова [22]. В 1998 г. В.А. Порханов сообщил о 5 успешных одномоментных пневмонэктомиях слева с сегментарными резекциями правого легкого [22]. Однако основным методом лечения деструктивного туберкулеза единственного оставшегося после ранее выполненной пневмонэктомии легкого остается его резекция. При этом подавляющее большинство хирургов первоначально удаляли легкое на стороне большего поражения, рассчитывая на возможную положительную динамику в другом легком [5, 13, 15, 30, 45]. Несмотря на разработанные показания и технику оперции, резекция единственного легкого остается, по-видимому, самой редкой операцией в торакальной хирургии. Нами найдены в мировой литературе данные только о 160 резекциях единственного легкого, упомянутых в 32 публикациях [1, 2, 6, 9, 10, 13, 14, 21, 23, 25, 27—31, 33, 36—38, 41—47], в том числе у 90 больных туберкулезом, у 69 больных с опухолями и у 1 больного с буллезной эмфиземой (табл. 1).

Таблица 1. Результаты резекции единственного легкого
Проблема операций на единственном легком тесно связана с вопросом о минимальном объеме дыхательной поверхности, необходимой для существования человека. В экспериментах доказано, что животные выживают после удаления 75% легочной ткани, но большинство хирургов считают, что объем резекции единственного легкого необходимо ограничить тремя сегментами, т. е. удаление доли единственного легкого возможно только справа [16].
Из 30 описанных в литературе частичных резекций единственного легкого [1, 5, 13, 23, 25, 27, 28, 30, 37, 43, 45, 46] в 24 была выполнена верхняя лобэктомия справа, в 2 — средняя лобэктомия справа, в 2 — верхняя лобэктомия справа с резекцией VI сегмента, в 1 — нижняя лобэктомия справа и в 1 — нижняя лобэктомия слева.
Наибольшим объемом резекции единственного легкого, из описанных в литературе, является нижняя лобэктомия справа с сохранением 5 функционирующих сегментов [41]. Операция произведена по поводу метастаза остеосаркомы больной 37 лет, которая была жива через 10 лет после резекции единственного легкого.
Таким образом, хирургическое лечение различных заболеваний единственного легкого вплоть до сегодняшнего дня применяется очень редко. Опыт большинства клиник не превышает 2—3 десятков операций, поэтому многие вопросы техники вмешательств, показаний и противопоказаний к ним нельзя считать детально разработанными. Наиболее рискованными являются резекционные операции при туберкулезе единственного легкого, особенно в объеме лобэктомии.
Материал и методы
За 15 лет (с марта 1998 г. по март 2013 г.) в трех лечебных учреждениях (Челябинский областной противотуберкулезный диспансер, Центральный НИИ туберкулеза и Первый МГМУ им. И.М. Сеченова) одним хирургом по поводу деструктивного туберкулеза выполнено 18 резекций единственного легкого и 19 пневмонэктомий после ранее произведенной резекции остающегося легкого.
Всего были оперированы 21 мужчина и 16 женщин. Возраст больных от 14 до 54 лет. Пневмонэктомия по поводу фиброзно-кавернозного туберкулеза произведена в 34 наблюдениях, в связи с казеозной пневмонией — в 2 и кавернозного туберкулеза — в 1 наблюдении. Частичная резекция единственного оставшегося легкого в 22 наблюдениях ранее была выполнена по поводу фиброзно-кавернозного туберкулеза, в 6 — по поводу кавернозного туберкулеза, в 8 — по поводу туберкуломы с распадом и в 1 — в связи с казеозной пневмонией.
Одно или несколько осложнений легочного туберкулеза до операции отмечались у 28 (75,7%) больных: кровохарканье (5), эмпиема с бронхиальным свищом (10), кахексия (12), гемопневмоторакс (1) и легочно-сердечная недостаточность (15).
Микобактерии туберкулеза (МБТ) в мокроте на момент операции выделены у 36 (97,5%) больных. Множественная или широкая лекарственная устойчивость (МЛУ) до операции была установлена у 2 (70,3%) больных.
Сопутствующие заболевания отмечались у 33 (89,2%) больных.
В лечении двустороннего деструктивного туберкулеза легких мы применяли следующую тактику.
В случае тотального поражения одного легкого и ограниченного деструктивного процесса во втором легком выполняли пневмонэктомию, а затем частичную резекцию единственного легкого.
При субтотальном поражении одного легкого и ограниченном процессе в пределах одной доли второго легкого мы предпочитали начинать хирургическое лечение со стороны меньшего поражения с последующей пневмонэктомией.
Больным с тотальным поражением одного легкого, осложненным эмпиемой плевры и ограниченным деструктивным процессом во втором легком, и при очень низких функциональных резервах мы выполняли трансстернальную трансмедиастинальную окклюзию главного бронха и легочной артерии разрушенного легкого по разработанной нами методике (патент РФ № 2207066). Вторым этапом производили плевропневмонэктомию и третьим — частичную резекцию единственного легкого.
При тотальном разрушении одного легкого и ограниченном пределами доли поражении второго легкого в случае отсутствия выраженной дыхательной недостаточности в 2 наблюдениях мы выполнили первым этапом одномоментную окклюзию главного бронха разрушенного легкого и частичную резекцию остающегося легкого из трансстернального доступа.
Примером такого варианта лечения двустороннего деструктивного туберкулеза может быть следующее наблюдение.
Больной Ш., 44 лет, в течение 4 лет лечился по поводу деструктивного туберкулеза. Однако у него отмечена отрицательная клинико-рентгенологическая динамика в течении заболевания. Сформировался двусторонний фиброзно-кавернозный туберкулез легких, осложненный тотальной эмпиемой слева с бронхоплевральным свищом и рецидивирующими легочными кровотечениями, МБТ (+), МЛУ.
При поступлении 11.02.11 состояние больного средней тяжести. Он предъявлял жалобы на одышку при небольшой физической нагрузке, кашель с гнойной мокротой до 300 мл в сутки, часто с примесью крови.
При компьютерной томограмме выявлены цирротические изменения левого легкого с обширной полостью эмпиемы и множественными мелкими полостями в коллабированном легком. Правое легкое уменьшено в объеме за счет фиброзных изменений верхней доли, в которой определялись три каверны диаметром до 2 см, имелось очаговое обсеменение нижних долей (рис. 1).

Рис. 1. Компьютерные томограммы больного Ш. до операции.
В мокроте выявлены МБТ (+++), устойчивые к стрептомицину, изониазиду, рифампицину, канамицину и пиразинамиду.
После 2 мес интенсивной терапии 11.04.11 выполнена операция: трансстернальная трансмедиастинальная окклюзия левого главного бронха с одномоментной верхней лобэктомией справа.
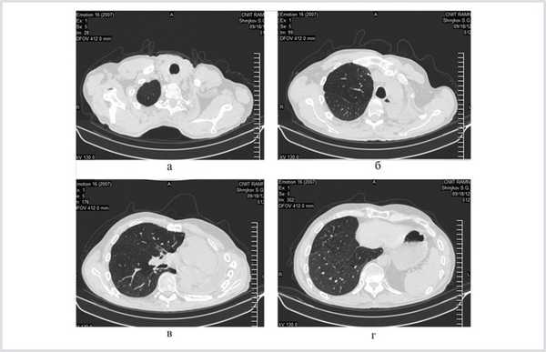
В удаленной доле на разрезе определялось несколько каверн с гнойным содержимым (рис. 2).

Рис. 2. Удаленная у больного Ш. верхняя доля правого легкого.
В течение 3-месячного послеоперационного лечения (ПАСК по 12,0 г в сутки per os, циклосерин по 250 мг 3 раза в сутки per os, капреомицин 1,0 г в день внутримышечно, этамбутол 400 мг 3 раза в сутки per os) больной окреп, прибавил в массе 5 кг.
Через 3,5 мес, 26.07, выполнен второй этап хирургического лечения — плевропневмонэктомия слева.
В удаленном препарате определялась тотальная эмпиема с толщиной стенки до 1 см (рис. 3, а), на разрезе легочная ткань была карнифицирована, с множественными кавернами, бронхоэктазами и очагами (см. рис. 3, б).

Рис. 3. Макропрепарат.
С целью профилактики послеоперационного рецидива туберкулеза и предупреждения перерастяжения единственного резецированного легкого, в котором оставались множественные очаги, больному через 22 дня после пневмонэктомии, 18.08, была выполнена видеоассистированная торакоскопическая корригирующая четырехреберная торакопластика слева.
При контрольном обследовании 27.02.13 (через 1 год и 6 мес после последней операции) состояние больного удовлетворительное, обострений туберкулеза не было. При многократных исследованиях мокроты МБТ не найдено. При компьютерной томографии отмечены рассасывание и уплотнение очагов в единственном резецированном легком (рис. 4).

Рис. 4. Компьютерные томограммы больного Ш. через 1 год и 6 мес после завершения хирургического лечения.
Динамика функциональных показателей на этапах хирургического лечения и при выписке представлена в табл. 2.
Таблица 2. Динамика функциональных показателей больного Ш.
Результаты
Всего 37 больным были выполнены 103 операции. Из них трансстернальные трансмедиастинальные или трансперикардиальные окклюзии главного бронха и легочной артерии разрушенного легкого произведены в 6 наблюдениях (в том числе 2 с одномоментной резекцией остающегося легкого), видеоассистированная торакоскопическая контралатеральная трансплевральная резекция бифуркации трахеи с одномоментной резекцией единственного легкого — в 1, пневмонэктомия или плевропневмонэктомия — в 34 (у 3 больных пневмонэктомия произведена в других лечебных учреждениях). Лобэктомия или комбинированная резекция легкого объемом более лобэктомии выполнена 13 больным, сегментарная и полисегментарная резекция остающегося легкого — 21, отсроченные торакопластики на стороне единственного легкого — 9 и пневмонэктомия — 22 больным.
Интраоперационные осложнения возникли у 4 больных: во время плевропневмонэктомии у 3 больных была вскрыта полость эмпиемы и у 1 произошло ранение диафрагмы. Интраоперационных осложнений во время резекций единственного легкого не отмечено.
В послеоперационном периоде в разные сроки после пневмонэктомии у 2 развились эмпиема плевры (у 1 с бронхиальным свищом), у 1 — остеомиелит ребер и у 1 — острая дыхательная недостаточность. После трансстернальной окклюзии главного бронха в одном наблюдении по поводу острого респираторного дистресс-синдрома потребовалась длительная вентиляция единственного легкого с наложением трахеостомы. Еще в одном наблюдении через 17 дней после резекции единственного легкого развился спонтанный пневмоторакс и потребовалось дренирование плевральной полости. Все послеоперационные осложнения были ликвидированы на госпитальном этапе. После операции летальных исходов не было.
Положительный результат лечения на момент выписки из стационара — отсутствие в легком полостей распада, бактериовыделения и данных об активности туберкулезного процесса — был достигнут у всех 37 больных.
Отдаленные результаты были изучены в сроки не менее 2 лет (март 2013 г.) у 27 выписанных из стационара больных.
В сроки от 2 до 8 лет реактивация туберкулезного процесса в единственном легком отмечена у 5 (18,5%) больных, из которых 3 были излечены консервативными мероприятиями. Умер от туберкулеза 1 (3,7%) больной. Полный клинический эффект на момент изучения отдаленных результатов отмечался у 25 (92,6%) больных. Информация о трудовой реабилитации была получена от 20 оперированных, в том числе 8 (40%) работали, 3 (15%) учились в вузах, 6 (30%) занимались домашним хозяйством и 3 (15%) были абсолютно нетрудоспособны.
Таким образом, хирургический метод лечения больных деструктивным туберкулезом единственного оставшегося легкого позволяет добиться положительного результата более чем в 90% наблюдений, однако частота его применения, по данным литературы, остается очень низкой. При деструктивном туберкулезе единственного оставшегося легкого показания к его частичной резекции чаще возникают в случае поражения фиброзно-кавернозным туберкулезом верхних отделов легкого в объеме до четырех сегментов и сохраняющихся на фоне адекватной химиотерапии бактериовыделения и лекарственной устойчивости возбудителя.
Читайте также:
- Показания, этапы и техника наложения перитонеовенозного шунта при асците
- Достоинство личности в медицине. Принципы нравственности, честности
- Показания для восстановления нормального голоса
- Показания для медиального оперативного доступа к локтевому суставу (хирургический доступ)
- Аномалии желточного протока у детей. Дивертикул Меккеля у ребенка
