Алгоритм обследования при образовании средней черепной ямки
Добавил пользователь Евгений Кузнецов Обновлено: 21.01.2026
Симптомы: систематические боли головные, возникновение проблем в произношении слов, возникновение слабости мышц - данное проявление коснулось именно правой руки, возникли определенные асимметричные явления в мимике лица.
Диагностирование: МРТ, производилось с усилением контрастного типа.

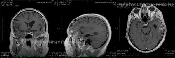
Менингиома средней черепной ямки (до операции)
Лечение: на основании произведенных исследований назначено оперативное вмешательство.
После удаления образования отмечается быстрое восстановление силы мышц в работе правой руки. Полностью прекратились боли головного типа, устранены все нарушения речевого характера. После удаления менингиомы средней черепной ямки производится контроль посредством МРТ.

Менингиома средней черепной ямки (после операции)
Общая информация
Патологии средней черепной ямки сочетаются с возникновением различных нарушений неврологического характера. Нередко проявляются проблемы с памятью, возникают определенные нарушения речевого типа, также проявляются боли головного характера, потеря сознания, эпилептические симптомы. Так как образование растет достаточно медленно, то проявления на первых стадиях развития являются практически незаметными. Соответственно, если головные боли человека беспокоят достаточно существенное количество времени (они формируются на основании сдавливания), то следует обратиться к врачу. Врач непременно должен внимательно изучить симптоматику и произвести обследование, которое может стать основой диагностирования опухолевого образования.
На ранних стадиях операция по иссечению опухоли средней черепной ямки является более простой и не требует серьезного травматизма. На более поздних стадиях процесс лечения будет сочетаться с обязательным облучением, чтобы исключить формирование рецидивных образований.
Нередко бывают ситуации, когда оперативное вмешательство является невозможным по причине того, что менингиома является очень крупной или же затрагивает окружающие вены и кровеносные сосуды или же они располагаются в местах, где есть большая вероятность травмировать важные отделы мозга. В данном случае используется радиохирургия стереотаксическая, которая позволяет убрать поражение и восстановить нормальную жизнь человека. Также данная методика будет применяться в том случае, если невозможно осуществить полное отсечение опухолевых тканей.
Если же такое внедрение также является невозможным, то применяется терапия лучевого характера.
Нужно отметить, что менингиома чаще всего проявляется у женщин в возрасте от 40 до 60 лет, поэтому врачи говорят о том, что существует неоспоримая взаимосвязь с женскими гормонами, а также присутствует возрастной фактор. Также причиной образования могут быть старые серьезные травмы. Нередко такая патология диагностируется у тех, кто проходил лечение облучением или же получил определенное облучение по месту работы, у тех, кто все время соприкасается с токсическими веществами.
Симптоматика заболевания может быть достаточно разной, так как изначально она зависит от того, где именно располагается новообразование. Поэтому при обращении пациента врачу нужно быть предельно внимательным. Ведь именно на начальной стадии развития патологии можно обойтись минимальным количеством методов воздействия, достигая поставленных целей. После проведения операции назначается терапевтическое лечение. Кроме того, пациент все время находится под наблюдением, что позволяет оперативно отреагировать в том случае, если образование восстановит свой рост. Поэтому нужно все время контролировать пациента даже в том случае, если у него не отмечается никакой симптоматики и период восстановления после операции протекает невероятно успешно.
Перелом черепа ( Перелом костей черепа )
Перелом черепа - это нарушение целостности костей черепа. Чаще его причиной становится тяжелая прямая травма. Патология сопровождается локальной болью в месте повреждения. Остальные симптомы зависят от тяжести травмы, поражения мозговых структур и развития осложнений. Диагностика базируется на жалобах, данных анамнеза и объективного осмотра, результатах рентгенографии, КТ, МРТ и других исследований. Лечение определяется видом перелома и тяжестью черепно-мозговой травмы, может быть как консервативным, так и оперативным.
МКБ-10



Общие сведения
Перелом черепа - травматическое нарушение целостности черепа. Обычно сопровождается повреждением мозга и его оболочек, поэтому относится к группе состояний, представляющих опасность для жизни. Тактика лечения зависит от вида перелома черепа и особенностей повреждения мозговых структур и может быть как консервативной, так и оперативной.
Переломы черепа составляют около 10% от всех переломов и около 30% от общего количества тяжелых черепно-мозговых травм и чаще наблюдаются либо у активных людей молодого и среднего возраста, либо у социально неблагополучных граждан (алкоголиков, наркоманов и т. д.). Высокая частота подобных повреждений у первой группы пациентов объясняется их активностью (травмы на производстве, поездки на автомобилях, занятия спортом, в том числе - экстремальным и т. д.). Травмы представителей второй группы чаще связаны с криминалом, либо с несчастными случаями в состоянии алкогольного или наркотического опьянения.

Причины
Как правило, перелом черепа возникает в результате тяжелых травм: падений с большой высоты, автомобильных аварий, ударов по голове твердым массивным предметом и пр. Выделяют два механизма перелома черепа:
- Прямой. В этом случае кость ломается непосредственно в месте приложения силы,
- Непрямой. Действие удара передается на поврежденную кость с других отделов черепа или других костей скелета.
Переломы свода черепа обычно формируются в результате прямой травмы. При этом кости черепа прогибаются внутрь, а первой повреждается внутренняя пластинка черепной кости. Однако, возможны и непрямые переломы свода черепа, при которых поврежденная кость выпячивается кнаружи.
Переломы основания черепа чаще развиваются вследствие непрямой травмы, например, в результате падения с высоты на ноги и таз (в этом случае травматическое воздействие передается через позвоночник) или в результате падения на голову (при этом удар передается с костей свода на кости основания черепа).
Классификация
Выделяют переломы мозгового и лицевого черепа. Изучение и лечение переломов лицевого черепа представляет собой отдельный раздел медицины, находящийся в ведении челюстно-лицевых хирургов. Лечением переломов мозгового черепа занимаются врачи-нейрохирурги, а в деревнях и небольших городах, не имеющих собственных нейрохирургических отделений - травматологи или хирурги.
Все переломы мозгового черепа подразделяются на две большие группы: переломы свода и основания. Переломы основания в травматологии и ортопедии встречаются относительно редко и составляют около 4% от общего количества черепно-мозговых травм. По своему характеру переломы свода, в свою очередь, делятся на:
- Линейные переломы. Повреждение кости напоминает тонкую линию. Смещение костных фрагментов отсутствует. Такие переломы сами по себе наименее опасны, однако они могут становиться причиной повреждения оболочечных артерий и образования эпидуральных гематом.
- Вдавленные переломы. Кость вдавливается в черепную коробку. Из-за этого может повреждаться твердая мозговая оболочка, сосуды и мозговое вещество, следствием чего становятся ушибы и размозжения мозга, внутримозговые и субдуральные гематомы.
- Оскольчатые переломы. При повреждении образуется несколько осколков, которые могут повреждать мозг и мозговые оболочки, вызывая те же последствия, что при вдавленных переломах.
Переломы основания черепа подразделяются на переломы передней, средней и задней черепной ямки. Возможно также сочетание переломов свода и основания черепа.

КТ головы (3D-реконструкция). Перелом лицевого черепа (скуловой дуги) и перелом в области лобно-скулового шва.
Симптомы перелома черепа
Перелом свода черепа
При повреждениях свода черепа обнаруживается рана или гематома волосистой части головы. В области перелома могут иметься видимые или выявляемые при ощупывании вдавления. Следует учитывать, что при линейных переломах такие вдавления отсутствуют. Общие симптомы зависят от тяжести травмы и степени повреждения мозговых структур. Возможны любые нарушения сознания, от его кратковременной потери в момент травмы до комы. При поражении мозга и черепных нервов возникают нарушения чувствительности, парезы и параличи. Может развиваться отек мозга, сопровождающийся тошнотой, рвотой, распирающими головными болями, нарушением сознания и появлением очаговой симптоматики. При сдавлении ствола мозга отмечаются нарушения дыхания и кровообращения, а также угнетение реакции зрачков.
Обычно выявляется закономерность: чем тяжелее черепно-мозговая травма, тем сильнее выражено нарушение сознания. Однако из этого правила есть исключение - внутричерепная гематома, для которой характерен период просветления, сменяющийся потерей сознания. Поэтому удовлетворительное состояние больного не стоит расценивать, как свидетельство отсутствия или незначительной тяжести травмы.
Еще один фактор, который необходимо принимать во внимание - пациенты с переломом черепа нередко находятся в состоянии алкогольного опьянения, которое может затруднять диагностику. Поэтому объективные подтверждения травмы головы (ушибы, раны, гематомы) и свидетельства очевидцев в таких случаях должны становиться поводом для направления больного на немедленное обследование в специализированное отделение.
Перелом основания черепа
При переломах основания черепа симптоматика зависит от сопутствующего повреждения мозга. Кроме того, выявляются признаки, характерные для повреждения определенной черепной ямки. О переломе передней черепной ямки свидетельствует симптом «очков» - кровоизлияния в клетчатку вокруг глаз и истечение спинномозговой жидкости с примесью крови из носа. Иногда наблюдается экзофтальм (выпучивание глаз вследствие кровоизлияния в клетчатку, расположенную позади глаза). При повреждении воздухоносных полостей может выявляться подкожная эмфизема.
Перелом средней черепной ямки сопровождается истечением спинномозговой жидкости из слуховых проходов и образованием кровоподтека на задней стенке глотки. Для перелома задней черепной ямки характерны тяжелые расстройства дыхания и кровообращения (свидетельство повреждения ствола мозга) и кровоподтеки в области сосцевидного отростка (костного выступа за ухом). Следует учесть, что симптом «очков» и кровоподтеки в область сосцевидного отростка появляются не сразу, а через 12-24 часов после травмы.
Диагностика
Перелом черепа положено исключать у всех пациентов с черепно-мозговой травмой. Врач опрашивает больного, выясняя обстоятельства травмы, оценивает его общее состояние, проводит неврологическое обследование (оценивает чувствительность и силу мышц, проверяет рефлексы и т. д.). В ходе осмотра он проверяет состояние зрачков (реакция на свет, равномерность, ширина), наличие или отсутствие отклонения языка от средней линии и равномерность оскала зубов, а также измеряет пульс, чтобы выявить брадикардию, характерную для черепно-мозговой травмы.
Обязательно выполняется обзорная рентгенограмма черепа в двух проекциях, а при необходимости - и в специальных укладках. Назначается компьютерная томография черепа и магнитно-резонансная томография (МРТ головного мозга).

Существует ряд объективных обстоятельств, затрудняющих диагностику переломов черепа, в том числе - тяжелое состояние больного, из-за которого невозможно провести ряд исследований, особенности строения черепа из-за которых на обзорных снимках повреждение костей основания выявляется менее чем у 10% пострадавших и т. д. Поэтому диагноз перелома черепа в ряде случаев выставляется на основании клинической картины и в последующем, после улучшения состояния больного, подтверждается данными объективных исследований.
Лечение перелома черепа
Первая помощь
Всех пациентов с черепно-мозговой травмой необходимо немедленно доставлять в стационар. На этапе первой помощи больного укладывают в горизонтальное положение. Если пострадавший находится в сознании, его кладут на спину. Пациентов в бессознательном состоянии укладывают вполоборота. Для создания такого положения под спину с одной стороны можно подложить небольшие подушки или верхнюю одежду. Голову больного поворачивают в сторону, чтобы при рвоте он не захлебнулся рвотными массами.
Голове создают покой, используя подручные средства: одежду, подушки или валики. Останавливают кровотечение, накладывая на рану давящую повязку. К месту травмы прикладывают холод. Проверяют проходимость дыхательных путей, при необходимости устраняют западение языка, освобождают дыхательные пути от рвотных масс и т. д. По показаниям вводят аналептики (цитизин, диэтиламид никотиновой кислоты) и сердечные гликозиды.
Консервативная терапия
На этапе стационара лечение переломов черепа чаще консервативное, операции проводят по строгим показаниям. Консервативную терапию назначают пациентам с переломами основания черепа, закрытыми переломами свода черепа, субарахноидальными кровоизлияниями, сотрясением и ушибом головного мозга. Всем больным показан постельный режим, длительность которого зависит от тяжести травмы, и гипотермия головы (используются пузыри со льдом). Проводится дегидратационная терапия, назначаются антибиотики и обезболивающие. При переломах основания черепа выполняются повторные люмбальные пункции либо накладывается люмбальный дренаж.
Тактика лечения в каждом конкретном случае определяется тяжестью и особенностями черепно-мозговой травмы. Так, при сотрясениях головного мозга пациентам назначают вазотропные и ноотропные препараты. При ушибах мозга спектр лечебных мероприятий расширяется и включает в себя не только средства для улучшения мозгового кровотока и энергообеспечения мозга, но и метаболическую и противовоспалительную терапию и т. д. В восстановительном периоде применяют ноотропные препараты и лекарственные средства для улучшения мозговой микроциркуляции (циннаризин, винпоцетин).
Хирургическое лечение
Хирургическое лечение может потребоваться при тяжелых переломах черепа, особенно - вдавленных. Под общим наркозом выполняется трепанация, в ходе которой врач создает отверстие в черепе, удаляет из мозга внедрившиеся осколки, инородные тела и разрушенные ткани. Образование внутричерепных гематом в подавляющем большинстве случаев является показанием для срочной операции, в процессе которой хирург удаляет скопившуюся кровь, промывает полость, выявляет и устраняет источник кровотечения.
Показанием к хирургическому вмешательству при переломах основания черепа в остром периоде может стать повреждение лицевого или зрительного нерва, а в отдаленном - продолжающееся истечение спинномозговой жидкости из ушных проходов или носовых ходов. Прогноз при переломах черепа зависит от тяжести черепно-мозговой травмы. Возможно как полное восстановление, так и тяжелые последствия, становящиеся причиной инвалидности больного.
Ультразвуковое исследование мозга новорожденных детей (нормальная анатомия)

Профессиональные диагностические инструменты. Оценка эластичности тканей, расширенные возможности 3D/4D/5D сканирования, классификатор BI-RADS, опции для экспертных кардиологических исследований.
Показания для проведения эхографии мозга
- Недоношенность.
- Неврологическая симптоматика.
- Множественные стигмы дисэмбриогенеза.
- Указания на хроническую внутриутробную гипоксию в анамнезе.
- Асфиксия в родах.
- Синдром дыхательных расстройств в неонатальном периоде.
- Инфекционные заболевания у матери и ребенка.
Для оценки состояния мозга у детей с открытым передним родничком используют секторный или микроконвексный датчик с частотой 5-7,5 МГц. Если родничок закрыт, то можно использовать датчики с более низкой частотой - 1,75-3,5 МГц, однако разрешение будет невысоким, что дает худшее качество эхограмм. При исследовании недоношенных детей, а также для оценки поверхностных структур (борозд и извилин на конвекситальной поверхности мозга, экстрацеребрального пространства) используют датчики с частотой 7,5-10 МГц.
Акустическим окном для исследования мозга может служить любое естественное отверстие в черепе, но в большинстве случаев используют большой родничок, поскольку он наиболее крупный и закрывается последним. Маленький размер родничка значительно ограничивает поле зрения, особенно при оценке периферических отделов мозга.
Для проведения эхоэнцефалографического исследования датчик располагают над передним родничком, ориентируя его так, чтобы получить ряд корональных (фронтальных) срезов, после чего переворачивают на 90° для выполнения сагиттального и парасагиттального сканирования. К дополнительным подходам относят сканирование через височную кость над ушной раковиной (аксиальный срез), а также сканирование через открытые швы, задний родничок и область атланто-затылочного сочленения.
По своей эхогенности структуры мозга и черепа могут быть разделены на три категории:
- гиперэхогенные - кость, мозговые оболочки, щели, кровеносные сосуды, сосудистые сплетения, червь мозжечка;
- средней эхогенности - паренхима полушарий мозга и мозжечка;
- гипоэхогенные - мозолистое тело, мост, ножки мозга, продолговатый мозг;
- анэхогенные - ликворсодержащие полости желудочков, цистерны, полости прозрачной перегородки и Верге.
Нормальные варианты мозговых структур
Визуализация структур островкового комплекса также зависит от зрелости новорожденного ребенка. У глубоко недоношенных детей он остается открытым и представлен в виде треугольника, флага - как структуры повышенной эхогенности без определения в нем борозд. Закрытие сильвиевой борозды происходит по мере формирования лобной, теменной, затылочной долей; полное закрытие рейлева островка с четкой сильвиевой бороздой и сосудистыми образованиями в ней заканчивается к 40-й неделе гестации.
Боковые желудочки. Боковые желудочки, ventriculi lateralis - это полости, заполненные цереброспинальной жидкостью, видимые как анэхогенные зоны. Каждый боковой желудочек состоит из переднего (лобного), заднего (затылочного), нижнего (височного) рогов, тела и атриума (треугольника) - рис. 1. Атриум расположен между телом, затылочным и теменным рогом. Затылочные рога визуализируются с трудом, их ширина вариабельна. Размер желудочков зависит от степени зрелости ребенка, с увеличением гестационного возраста их ширина снижается; у зрелых детей в норме они щелевидны. Легкая асимметрия боковых желудочков (различие размеров правого и левого бокового желудочка на корональном срезе на уровне отверстия Монро до 2 мм) встречается довольно часто и не является признаком патологии. Патологическое расширение боковых желудочков чаще начинается с затылочных рогов, поэтому отсутствие возможности их четкой визуализации - серьезный аргумент против расширения. О расширении боковых желудочков можно говорить, когда диагональный размер передних рогов на корональном срезе через отверстие Монро превышает 5 мм и исчезает вогнутость их дна.

Рис. 1. Желудочковая система мозга.
1 - межталамическая связка;
2 - супраоптический карман III желудочка;
3 - воронкообразный карман III желудочка;
4 - передний рог бокового желудочка;
5 - отверстие Монро;
6 - тело бокового желудочка;
7 - III желудочек;
8 - шишковидный карман III желудочка;
9 - клубочек сосудистого сплетения;
10 - задний рог бокового желудочка;
11 - нижний рог бокового желудочка;
12 - сильвиев водопровод;
13 - IV желудочек.
Сосудистые сплетения. Сосудистые сплетения (plexus chorioideus) - это богато васкуляризованный орган, вырабатывающий цереброспинальную жидкость. Эхографически ткань сплетения выглядит как гиперэхогенная структура. Сплетения переходят с крыши III желудочка через отверстия Монро (межжелудочковые отверстия) на дно тел боковых желудочков и продолжаются на крышу височных рогов (см. рис. 1); также они имеются в крыше IV желудочка, но эхографически в этой области не определяются. Передние и затылочные рога боковых желудочков не содержат сосудистых сплетений.
Сплетения обычно имеют ровный гладкий контур, но могут быть и неровности, и легкая асимметрия. Наибольшей ширины сосудистые сплетения достигают на уровне тела и затылочного рога (5-14 мм), образуя в области атриума локальное уплотнение - сосудистый клубочек (glomus), который может иметь форму пальцеобразного выроста, быть слоистым или раздробленным. На корональных срезах сплетения в затылочных рогах выглядят как эллипсоидные плотности, практически полностью выполняющие просвет желудочков. У детей с меньшим гестационным возрастом размер сплетений относительно больше, чем у доношенных.
Сосудистые сплетения могут быть источником внутрижелудочковых кровоизлияний у доношенных детей, тогда на эхограммах видна их четкая асимметрия и локальные уплотнения, на месте которых затем образуются кисты.
III желудочек. III желудочек (ventriculus tertius) представляется тонкой щелевидной вертикальной полостью, заполненной ликвором, расположенной сагиттально между таламусами над турецким седлом. Он соединяется с боковыми желудочками через отверстия Монро (foramen interventriculare) и с IV желудочком через сильвиев водопровод (см. рис. 1). Супраоптический, воронкообразный и шишковидный отростки придают III желудочку на сагиттальном срезе треугольный вид. На корональном срезе он виден как узкая щель между эхогенными зрительными ядрами, которые взаимосоединяются межталамической спайкой (massa intermedia), проходящей через полость III желудочка. В неонатальном периоде ширина III желудочка на корональном срезе не должна превышать 3 мм, в грудном возрасте - 3-4 мм. Четкие очертания III желудочка на сагиттальном срезе говорят о его расширении.
Сильвиев водопровод и IV желудочек. Сильвиев водопровод (aquaeductus cerebri) представляет собой тонкий канал, соединяющий III и IV желудочки (см. рис. 1), редко видимый при УЗ исследовании в стандартных позициях. Его можно визуализировать на аксиальном срезе в виде двух эхогенных точек на фоне гипоэхогенных ножек мозга.
IV желудочек (ventriculus quartus) представляет собой небольшую полость ромбовидной формы. На эхограммах в строго сагиттальном срезе он выглядит малым анэхогенным треугольником посередине эхогенного медиального контура червя мозжечка (см. рис. 1). Передняя его граница отчетливо не видна из-за гипоэхогенности дорсальной части моста. Переднезадний размер IV желудочка в неонатальном периоде не превышает 4 мм.
Мозолистое тело. Мозолистое тело (corpus callosum) на сагиттальном срезе выглядит как тонкая горизонтальная дугообразная гипоэхогенная структура (рис. 2), ограниченная сверху и снизу тонкими эхогенными полосками, являющимися результатом отражения от околомозолистой борозды (сверху) и нижней поверхности мозолистого тела. Сразу под ним располагаются два листка прозрачной перегородки, ограничивающие ее полость. На фронтальном срезе мозолистое тело выглядит тонкой узкой гипоэхогенной полоской, образующей крышу боковых желудочков.

Рис. 2. Расположение основных мозговых структур на срединном сагиттальном срезе.
1 - варолиев мост;
2 - препонтинная цистерна;
3 - межножковая цистерна;
4 - прозрачная перегородка;
5 - ножки свода;
6 - мозолистое тело;
7 - III желудочек;
8 - цистерна четверохолмия;
9 - ножки мозга;
10 - IV желудочек;
11 - большая цистерна;
12 - продолговатый мозг.
Полость прозрачной перегородки и полость Верге. Эти полости расположены непосредственно под мозолистым телом между листками прозрачной перегородки (septum pellucidum) и ограничены глией, а не эпендимой; они содержат жидкость, но не соединяются ни с желудочковой системой, ни с субарахноидальным пространством. Полость прозрачной перегородки (cavum cepti pellucidi) находится кпереди от свода мозга между передними рогами боковых желудочков, полость Верге расположена под валиком мозолистого тела между телами боковых желудочков. Иногда в норме в листках прозрачной перегородки визуализируются точки и короткие линейные сигналы, происходящие от субэпендимальных срединных вен. На корональном срезе полость прозрачной перегородки выглядит как квадратное, треугольное или трапециевидное анэхогенное пространство с основанием под мозолистым телом. Ширина полости прозрачной перегородки не превышает 10-12 мм и у недоношенных детей шире, чем у доношенных. Полость Верге, как правило, уже полости прозрачной перегородки и у доношенных детей обнаруживается редко. Указанные полости начинают облитерироваться после 6 мес гестации в дорсовентральном направлении, но точных сроков их закрытия нет, и они обе могут обнаруживаться у зрелого ребенка в возрасте 2-3 мес.
Базальные ядра, таламусы и внутренняя капсула. Зрительные ядра (thalami) - сферические гипоэхогенные структуры, расположенные по бокам от полости прозрачной перегородки и формирующие боковые границы III желудочка на корональных срезах. Верхняя поверхность ганглиоталамического комплекса делится на две части каудоталамической выемкой - передняя относится к хвостатому ядру, задняя - к таламусу (рис. 3). Между собой зрительные ядра соединены межталамической спайкой, которая становится четко видимой лишь при расширении III желудочка как на фронтальном (в виде двойной эхогенной поперечной структуры), так и на сагиттальном срезах (в виде гиперэхогенной точечной структуры).

Рис. 3. Взаиморасположение структур базально-таламического комплекса на парасагиттальном срезе.
1 - скорлупа чечевицеобразного ядра;
2 - бледный шар чечевицеобразного ядра;
3 - хвостатое ядро;
4 - таламус;
5 - внутренняя капсула.
Базальные ядра - это подкорковые скопления серого вещества, расположенные между таламусом и рейлевым островком. Они имеют сходную эхогенность, что затрудняет их дифференцировку. Парасагиттальный срез через каудоталамическую выемку - самый оптимальный подход для обнаружения таламусов, чечевицеобразного ядра, состоящего из скорлупы, (putamen), и бледного шара, (globus pallidus), и хвостатого ядра, а также внутренней капсулы - тонкой прослойки белого вещества, отделяющей ядра полосатого тела от таламусов. Более четкая визуализация базальных ядер возможна при использовании датчика 10 МГц, а также при патологии (кровоизлиянии или ишемии) - в результате нейронального некроза ядра приобретают повышенную эхогенность.
Герминальный матрикс - это эмбриональная ткань с высокой метаболической и фибринолитической активностью, продуцирующая глиобласты. Эта субэпендимальная пластинка наиболее активна между 24-й и 34-й неделями гестации и представляет собой скопление хрупких сосудов, стенки которых лишены коллагеновых и эластичных волокон, легко подвержены разрыву и являются источником периинтравентрикулярных кровоизлияний у недоношенных детей. Герминальный матрикс залегает между хвостатым ядром и нижней стенкой бокового желудочка в каудоталамической выемке, на эхограммах выглядит гиперэхогенной полоской.
Цистерны мозга. Цистерны - это содержащие ликвор пространства между структурами мозга (см. рис. 2), в которых также могут находиться крупные сосуды и нервы. В норме они редко видны на эхограммах. При увеличении цистерны выглядят как неправильно очерченные полости, что свидетельствует о проксимально расположенной обструкции току цереброспинальной жидкости.
Большая цистерна (cisterna magna, c. cerebromedullaris) расположена под мозжечком и продолговатым мозгом над затылочной костью, в норме ее верхненижний размер на сагиттальном срезе не превышает 10 мм. Цистерна моста - эхогенная зона над мостом перед ножками мозга, под передним карманом III желудочка. Она содержит в себе бифуркацию базиллярной артерии, что обусловливает ее частичную эхоплотность и пульсацию.
Базальная (c. suprasellar) цистерна включает в себя межножковую, c. interpeduncularis (между ножками мозга) и хиазматическую, c. chiasmatis (между перекрестом зрительных нервов и лобными долями) цистерны. Цистерна перекреста выглядит пятиугольной эхоплотной зоной, углы которой соответствуют артериям Виллизиева круга.
Цистерна четверохолмия (c. quadrigeminalis) - эхогенная линия между сплетением III желудочка и червем мозжечка. Толщина этой эхогенной зоны (в норме не превышающая 3 мм) может увеличиваться при субарахноидальном кровоизлиянии. В области цистерны четверохолмия могут находиться также арахноидальные кисты.
Мозжечок (cerebellum) можно визуализировать как через передний, так и через задний родничок. При сканировании через большой родничок качество изображения самое плохое из-за дальности расстояния. Мозжечок состоит из двух полушарий, соединенных червем. Полушария слабосреднеэхогенны, червь частично гиперэхогенен. На сагиттальном срезе вентральная часть червя имеет вид гипоэхогенной буквы "Е", содержащей цереброспинальную жидкость: вверху - квадригеминальная цистерна, в центре - IV желудочек, внизу - большая цистерна. Поперечный размер мозжечка прямо коррелирует с бипариетальным диаметром головы, что позволяет на основании его измерения определять гестационный возраст плода и новорожденного.
Ножки мозга (pedunculus cerebri), мост (pons) и продолговатый мозг (medulla oblongata) расположены продольно кпереди от мозжечка и выглядят гипоэхогенными структурами.
Паренхима. В норме отмечается различие эхогенности между корой мозга и подлежащим белым веществом. Белое вещество чуть более эхогенно, возможно, из-за относительно большего количества сосудов. В норме толщина коры не превышает нескольких миллиметров.
Вокруг боковых желудочков, преимущественно над затылочными и реже над передними рогами, у недоношенных детей и у некоторых доношенных детей имеется ореол повышенной эхогенности, размер и визуализация которого зависят от гестационного возраста. Он может сохраняться до 3- 4 нед жизни. В норме его интенсивность должна быть ниже, чем у сосудистого сплетения, края - нечеткими, расположение - симметричным. При асимметрии или повышении эхогенности в перивентрикулярной области следует проводить УЗ исследование мозга в динамике для исключения перивентрикулярной лейкомаляции.
Стандартные эхоэнцефалографические срезы
Корональные срезы (рис. 4). Первый срез проходит через лобные доли перед боковыми желудочками (рис. 5). Срединно определяется межполушарная щель в виде вертикальной эхогенной полоски, разделяющей полушария. При ее расширении в центре виден сигнал от серпа мозга (falx), не визуализируемый отдельно в норме (рис. 6). Ширина межполушарной щели между извилинами не превышает в норме 3-4 мм. На этом же срезе удобно измерять размер субарахноидального пространства - между латеральной стенкой верхнего сагиттального синуса и ближайшей извилиной (синокортикальная ширина). Для этого желательно использовать датчик с частотой 7,5-10 МГц, большое количество геля и очень осторожно прикасаться к большому родничку, не надавливая на него. Нормальный размер субарахноидального пространства у доношенных детей - до 3 мм, у недоношенных - до 4 мм.
КТ основания черепа

КТ основания черепа - метод медицинской визуализации, основанный на использовании рентгеновских лучей, и применяющийся для диагностики патологических процессов, локализующихся в нижних отделах черепной коробки. Позволяет получать серии послойных снимков области интереса, толщиной от 0,5 мм, с высоким разрешением и четкостью. Благодаря этому компьютерная томография - один из самых точных и достоверных методов диагностики, незаменимый при некоторых патологиях и заболеваниях мозговой части черепа.

Схематическое изображение основания черепа
Основание черепа - область, образуемая затылочной, височными, решетчатой, лобной и клиновидной костями. Внутренняя поверхность данной анатомической структуры играет роль площадки, на которой покоится головной мозг. Через большое отверстие затылочной кости проходит ствол мозга. Наружная поверхность основания черепа богата нервными волокнами, кровеносными сосудами, связками и сухожилиями.

Основание черепа: вид изнутри и снизу
Из-за данных анатомических особенностей любая патология, возникающая в этой области, как правило, приводит к тяжелым последствиям. В подобных условиях для диагностики с успехом используется компьютерная томография основания черепа. Более того, КТ основания черепа может быть более информативным и специфичным методом обследования, по сравнению с магнитно-резонансной томографией.
Показания для КТ основания черепа
Компьютерная томография основания черепа применяется для диагностики следующих патологий и заболеваний:
доброкачественные и злокачественные новообразования, локализующиеся в области передней, средней и задней черепной ямки;
метастазы области основания черепа;
закрытые и открытые переломы передней, средней и задней черепных ямок , трещины затылочной, височной, клиновидной, лобной или решетчатой костей;
фиброзная дисплазия костей основания черепа;
миеломная болезнь, протекающая с поражением костей рассматриваемой анатомической области ;
кисты, абсцессы, остеомиелит костей основания черепа, воспалительные заболевания височной (мастоидит), решетчатой (этмоидит), лобной (фронтит) или клиновидной (сфеноидит) кости;
подготовка и планирование хирургических вмешательств в области основания черепа.

3D-реконструкция с помощью компьютерной томографии
Показанием для проведения КТ основания черепа могут служить следующие жалобы больного:
нарушение зрения, выпадение полей зрения, двоение в глазах;
ухудшение слуха, шум в ушах, головокружение;
неврологические симптомы поражения черепномозговых нервов - невропатия лицевого нерва, парезы, параличи мягкого неба, языка; косоглазие; изменение способности различать запахи; затруднения при глотании, жевании; расстройства артикуляции; повышенное слюноотделение; нарушение тактильной, тепловой чувствительности кожи лица и пр.;
черепно-мозговая травма, протекающая с признаками повреждения целостности костей основания черепа (симптом “очков” - кровоизлияние в периорбитальную клетчатку, истечение спинномозговой жидкости из носа, наружного слухового прохода и другие симптомы);
судороги, потеря сознания, коматозное состояние, рвота и прочее .
Противопоказания для КТ основания черепа
КТ основания черепа противопоказано в следующих случаях:
Беременность: использование рентгеновских лучей в компьютерной томографии сильно снижает возможность применения метода у женщин на любом сроке беременности, из-за выраженного негативного воздействия на развивающийся плод. По этой причине обследование проводят только в исключительных случаях, когда потенциальная польза от КТ превосходит возможный вред;
Детский возраст: негативное воздействие рентгеновского излучения более выражено у детей. По этой причине компьютерная томография противопоказана у пациентов младше 5 лет. Детям в возрасте от 5 до 18 лет исследование проводится только при наличии четких показаний и направления лечащего врача;
Масса тела пациента и обхват туловища, превышающие предельно допустимые для томографа (150 кг и 150 см соответственно).
КТ основания черепа с контрастом
Компьютерная томография поддерживает использование контрастных препаратов. Это расширенная методика проведения обследования, предусматривающая введение в кровоток пациента неионного раствор йода. Контраст, распределяясь по организму, проникает во все органы и ткани, избирательно накапливаясь в тех местах, где нарушен гематоэнцефалический барьер, или имеется воспаление, инфекция, опухоль. Йод, входящий в состав контрастного препарата, задерживает почти 100% рентгеновских лучей, из-за чего возникает эффект “подсветки” патологии, облегчающий диагностику соответствующего заболевания.

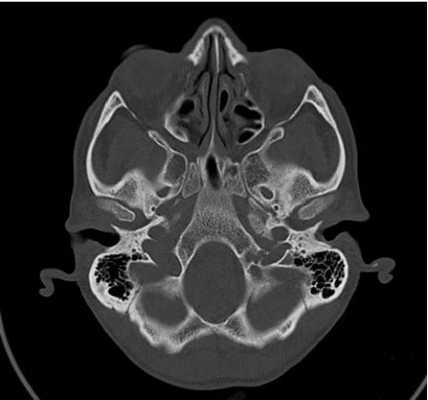
Снимок КТ основания черепа
Противопоказания для КТ основания черепа с контрастом
КТ с контрастом противопоказано при наличии следующих патологий и состояний:
Почечная недостаточность: контраст в основном выводится почками. При нарушении их функции выведение контрастного препарата нарушается, что сопровождается острым повреждением тканей почек. Клинически это проявляется прогрессирующим увеличением уровня сывороточного креатинина в течение 1-2 суток после обследования. Данная патология известна как контраст-индуцированная нефропатия. Факторы риска: пожилой возраст, хронические заболевания почек, сахарный диабет, обезвоживание, высокие дозы контрастных препаратов. Обязательное проведение анализа крови на креатинин позволяет выявить скрытую почечную недостаточность и предупредить осложнения;
Аллергия на йод: в большинстве случаев аллергические реакции не представляют опасности для здоровья и протекают в виде кожного зуда, высыпаний на коже, тошноты, рвоты. Однако у пациентов с анафилаксией введение рентгеноконтрастных препаратов может спровоцировать отек верхних дыхательных путей, потерю сознания, остановку дыхания. По этой причине наличие аллергии на йод - противопоказание для введения контраста;
Индивидуальная непереносимость рентгеноконтрастных препаратов: клинически проявляется в виде тяжелой реакции на введение контраста и сопровождается рвотой, потерей сознания, коматозным состоянием. Является абсолютным противопоказанием для КТ с контрастным усилением. Встречается исключительно редко;
Сахарный диабет на фоне лечения метформином, использующемся для снижения уровня глюкозы крови, который в сочетании с контрастом, может провоцировать кетоацидоз - патологическое увеличение концентрации азотистых продуктов обмена веществ и кетоновых основания. Это грозное осложнение наблюдается у больных сахарным диабетом, сопровождается потерей сознания, комой. Для профилактики подобного осложнения следует обратиться к эндокринологу, который изменит схему лечения;
Заболевания щитовидной железы, сопровождающиеся гипертиреозом: йод - основной компонент гормонов щитовидной железы. При введении контраста их уровни в организме резко увеличиваются, что может служить провоцирующим фактором, вызывающим тиреотоксический криз - грозное осложнение заболеваний щитовидной железы, сопровождающееся тошнотой, рвотой, сердечно-сосудистой недостаточностью, нарушением функции почек, лихорадкой, острым психозом, комой;
Грудное вскармливание: контрастные препараты проникают в грудное молоко. Избыток йода в них может вызвать нарушении функции щитовидной железы у грудных детей. По этой причине при проведении КТ основания черепа с контрастом необходимо: временно перейти на искусственное вскармливание или питание заранее сцеженным грудным молоком. Контраст полностью выводится из организма в течение нескольких часов - в это время необходимо минимум дважды сцеживать излишки молока, чтобы предупредить лактостаз.
Как подготовиться к КТ основания черепа
Проведение компьютерной томографии основания черепа не требует специальной подготовки. В день обследования разрешается легкий завтрак. Следует предупредить обезвоживание, провоцируемое интенсивными физическими нагрузками, приемом алкоголя. Рекомендуется отказаться от курения.

Трехмерные реконструкции, выполненные с помощью КТ
Методика проведения КТ основания черепа
Компьютерная томография проводится на специальном оборудовании - томографе. Это устройство в виде кольца, в котором находится подвижный источник рентгеновских лучей и детекторы, вращающийся по окружности вокруг тела пациента. Для этого в центре томографа имеется отверстие, называемое апертурой. Во время сканирования пациент находится в положении лежа головой к устройству, на столе, проходящем через аппарат.
Само обследование не сопровождается неприятными ощущениями, абсолютно безболезненно. Следует четко выполнять указания медицинского персонала, соблюдать неподвижность. Само сканирование занимает всего пару минут. При использовании контрастных препаратов обследование может длиться более 15 минут. Контраст вводится внутривенно в середине процедуры.

Методика выполнения КТ основания черепа
Перед обследованием обязательно сообщите сотрудникам нашей клиники об имеющихся у пациента проблемах со здоровьем, хронических заболеваниях, перенесенных травмах, оперативных вмешательствах, аллергических реакциях.
Расшифровка полученных снимков может занять до 2 часов, в зависимости от количества пациентов. Результаты обследования в виде письменного заключения врача-рентгенолога и компакт-диска с полученными изображениями необходимо передать вашему лечащему врачу. Вы также можете получить консультацию врача-диагноста, чтобы узнать, что обнаружило обследование.
Что покажет КТ основания черепа
На снимках, полученных во время обследования, визуализируются анатомические и костные структуры основания черепа, включающие в себя основание мозга, ствол мозга, черепно-мозговые нервы, краниовертебральную область, область таламуса, гипоталамуса, гипофиза, турецкого седла, перекреста зрительных нервов. Исследуется нормальное строение вышеперечисленных анатомических образований, обнаруживаются участки с отклонениями от нормы в виде новообразований, кист, воспалительных процессов. Оценивается протяженность обнаруженных патологий, их связь с окружающими органами и тканями. Изучается влияние патологического процесса на функции ЦНС.
КТ основания черепа при переломах
Перелом основания черепа - последствие избыточных нагрузок на тело человека, соответствующих травмам при падении с высоты, дорожно-транспортных происшествиях, авариях, ударном воздействии. Состояние пациентов в таких случаях оценивается как тяжелое и крайне тяжелое. По этой причине КТ основания черепа у таких больных требует экстренной госпитализации в специализированное лечебное учреждение, оснащенное всем необходимым оборудованием. Обследование проводится с участием узких специалистов, таких как нейрохирурги, хирурги, реаниматологи, травматологи, невропатологи. По этой причине наш медицинский центр напоминает - при подозрении на переломы основания черепа необходимо срочно обратится за специализированной медицинской помощью, а не заниматься самодиагностикой.
Новый ультразвуковой признак в оценке срединных структур головного мозга плода в 11-14 недель беременности в норме
Московский областной НИИ акушерства и гинекологии, Москва.
Российская медицинская академия постдипломного образования, кафедра генетики, Москва.

УЗИ сканер HS50
Доступная эффективность. Универсальный ультразвуковой сканер, компактный дизайн и инновационные возможности.
Введение
Пренатальная диагностика открытых расщелин позвоночника на протяжении многих лет была уделом ультразвукового исследования во II и III триместрах беременности. Всем известны ультразвуковые признаки, описанные K. Nicolaides и соавт. [1] в 1986 году: мозжечок "банан", голова "лимон", визуализация которых облегчает поиск расщелин позвоночника. Очевидно, что эти признаки являются маркерами не расщелины позвоночника, как таковой, а синдрома Арнольда-Киари (смещение мозжечка в большое затылочное отверстие), который сопровождает открытую spina bifida в 98% случаев во II триместре беременности и является следствием утечки спинномозговой жидкости в околоплодные воды и гипотонии субарахноидального пространства. Однако было также доказано, что с увеличением срока беременности прогностическая ценность этих маркеров для диагностики патологии позвоночника уменьшается. Признак "лимона" можно визуализировать до срока гестации 24 недель у 98% плодов с расщелиной позвоночника, после 24 недель этот признак определяется лишь у 13%. Признак "банана" диагностируется после 24 недель не чаще, чем у 81% плодов [2]. Предпринимались попытки "перенести" эти признаки на срок 11-14 недель, однако ни один из 29 случаев открытой расщелины позвоночника не был выявлен при сканировании почти 62 тыс. беременных в этом сроке гестации [3].
В последние годы появились публикации, посвященные возможности диагностики открытой расщелины позвоночника в I триместре беременности. Так, в 2009 г. R. Chaoui и соавт. [4] было предложено оценивать интракраниальное пространство, которое измеряется в среднесагиттальном скане и представляет собой не что иное, как IV желудочек мозга. Этот необходимый скан выводится в обязатель ном порядке для корректного измерения толщины воротникового пространства и оценки носовых костей плода в срок 11-14 недель беременности. Были созданы процентильные таблицы зависимости размера интракраниального пространства от копчико-теменного размера (КТР) плода. Для врачей практического здравоохранения, занимающихся скринингом I триместра беременности важно знать, что это среднее значение диаметра интракраниального пространства при КТР 45 мм должно быть более 1,5 мм, а при КТР 84 мм - более 2,5 мм. Исследования показали, что интракраниальное пространство при наличии у плода открытой расщелины позвоночника уменьшается [4, 5].
Правильная интерпретация увиденного позволяет заподозрить не только пороки развития позвоночника, но и оценить структуру задней черепной ямки для диагностики патологии мозжечка, что открывает огромные перспективы для ранней диагностики синдрома Денди-Уокера, кисты кармана Блэйка, гипоплазии мозжечка, арахноидальных кист, что раньше никогда в I триместре не проводилось и считалось невозможным [6]. Также для диагностики патологии задней черепной ямки и расщелин позвоночника в I триместре было предложено изучение как сагиттальной, так и аксиальной плоскости сканирования головного мозга плода. Было доказано, что при различных патологических состояниях соотношение размеров таких структур, как ствол мозга, IV желудочек и большая цистерна меняется, предложено измерение и применение некоторых оценочных коэффициентов [7]. Неоднократно предпринимались попытки исследования головного мозга в ранние сроки при помощи новых технологий объемной визуализации 3D/4D. Было введено понятие "соноэмбриология" головного мозга плода [8, 9].
Все измерения и оценку структур среднего и заднего мозга провести несложно, нужно лишь знать закономерности их взаиморасположения, так называемую, ультразвуковую анатомию этой зоны и уметь правильно выводить среднесагиттальный скан.
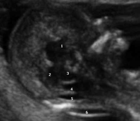
Ультразвуковая анатомия среднесагиттального скана головного мозга плода
Одним из критериев среднесагиттального корректного скана головного мозга плода в срок 11-14 недель беременности является отсутствие визуализации сосудистого сплетения и скуловой кости верхней челюсти, наличие визуализации кости носа и небного отростка верхней челюсти (рис. 1). Обязательным является наличие на скане диэнцефалона-таламуса (Thalamus), который продолжается в ствол мозга (brain stem), а также чуть ниже в средний мозг (midbrain), с продолжением в интракраниальное пространство, представляющее собой IV желудочек мозга, в котором можно визуализировать гиперэхогенное сосудистое сплетение. Между стенкой IV желудочка и затылочной костью видна анэхогенная большая цистерна головного мозга (cisterna magna). Между затылочной костью и кожей визуализируется воротниковое пространство. Для полноценной оценки структур среднего и заднего мозга необходимо оценить их наличие, размер, взаимоотношение, так как при патологии головного мозга и позвоночника эти критерии меняются.

Рис. 1. Ультразвуковая соноэмбриология структур головного мозга в среднесагиттальном скане в 13 недель беременности.
1 - диэнцефалон;
2 - средний мозг;
3 - ствол мозга;
4 - интракраниальное пространство, или IV желудочек;
5 - большая цистерна;
6 - воротниковое пространство.
Особенностями визуализации этих структур является их гипо/анэхогенность. Так, при сроках 11-14 недель беременности таламус, ствол мозга, средний мозг выглядят практически анэхогенными. Итак, нормальная ультразвуковая анатомия этих структур головного мозга плода имеет следующие особенности: ствол и IV желудочек выглядят как анэхогенные продолговатые структуры, имеющие непосредственную близость (как бы выходящие) из диэнцефалона и среднего мозга. Все выше перечисленные анатомические структуры могут быть измерены и должно быть оценено их взаиморасположение (рис. 2, а).

а) На эхограмме:
1 - ствол мозга;
2 - интракраниальное пространство, или IV желудочек;
3 - большая цистерна головного мозга;
4 - воротниковое пространство.

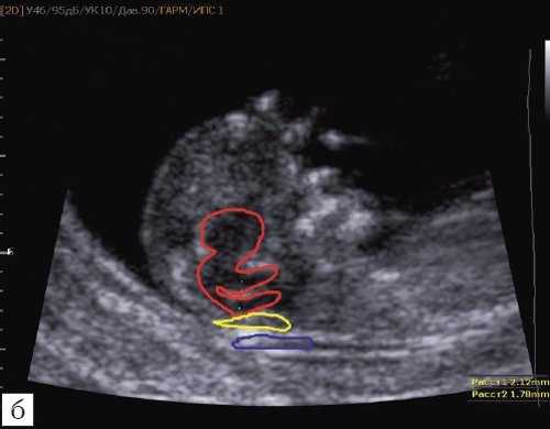
б) Вид "осьминожки":
- красный цвет - диэнцефалон (таламус), со стволом мозга (верхняя ножка) и IV желудочком (нижняя ножка);
- желтый цвет - большая цистерна головного мозга;
- синий цвет - воротниковое пространство.
Новый ультразвуковой маркер в изучении нормальной ультразвуковой анатомии головного мозга плода в срок 11-14 недель беременности
Особенности визуализации изложенных выше структур в данном сроке позволили нам выделить и назвать новый ультразвуковой маркер нормальной ультразвуковой анатомии мозга плода. Структуры головного мозга плода в этой области схожи с осьминогом, у которого есть голова и две приблизительно равновеликие по диаметру ножки, представляющие собой ствол мозга и IV желудочек. Ниже ножек "осьминожки" визуализируется 2 "подушки осьминожки" - это два анэхогенных пространства - большая цистерна и воротниковое пространство (рис. 2, б).
Так как речь идет о сроках первого скрининга, т.е. раннего осмотра, новый ультразвуковой маркер мы назвали "осьминожкой" (рис. 3).

а) Стрелками указана голова "осьминожки" - диэнцефалон (таламус).

б) Красный цвет - диэнцефалон (таламус), со стволом мозга (верхняя ножка) и IV желудочком (нижняя ножка); желтый цвет - большая цистерна головного мозга; синий цвет - воротниковое пространство.
Как сказано выше, имеет значение и измерение ножек "осьминожки", так среднее значение диаметра нижней ножки, т.е. IV желудочка в зависимости от КТР в срок 11-14 недель варьирует от 1,5 до 2,5 мм (рис. 4).
Рис. 4. Измерение и взаимоотношение ножек "осьминожки" - ствола мозга и IV желудочка у плода, беременность 12 недель.

Измерение ножек "осьминожки".

Красный цвет - диэнцефалон (таламус), со стволом мозга (верхняя ножка) и IV желудочком (нижняя ножка); желтый цвет - большая цистерна головного мозга; синий цвет - воротниковое пространство.
Новый ультразвуковой маркер при патологии в сроки 11-14 недель беременности
Открытая расщелина позвоночника (spina bifida)
При наличии у плода открытой расщелины позвоночника, в большинстве случаев развивается синдром Арнольда-Киари 2-го типа, проявляющийся смещением мозжечка в большое затылочной отверстие вследствие утечки спинномозговой жидкости в околоплодные воды.
При изучении среднесагиттального скана будет отсутствовать визуализация IV желудочка и большой цистерны, а размер среднего мозга будет увеличен. Изучая "осьминожку", можно увидеть лишь одну верхнюю ножку, большого размера (увеличенный ствол мозга), а нижняя ножка (IV желудочек) - отсутствует. Также не визуализируется большая цистерна (одна из "подушек", на которой лежит "осьминожка") (рис. 5).

Отсутствие визуализации IV желудочка, большой цистерны.

Красный цвет - одноногая "осьминожка"; синий цвет - воротниковое пространство.
При изучении стандартных ультразвуковых сканов (рис. 6-8) было подтверждено наличие синдрома Арнольда-Киари, вентрикуломегалии, открытой расщелины позвоночника - рахисхиза без кистозного компонента в поясничном отделе у плода в 12,4 недель беременности.

Рис. 6. Проявление синдрома Арнольда-Киари - смещение мозжечка, признак "банана" у плода со spina bifida, беременность 12,4 недель.

Рис. 7. Вентрикуломегалия у плода со spina bifida, беременность 12,4 недель.

Рис. 8. Рахисхиз в поясничном отделе позвоночника плода, беременность 12,4 недель.
Патология задней черепной ямки
До настоящего времени исследования и выявления патологии задней черепной ямки плода проводились во II триместре беременности. Однако сдвиг области интереса исследователей всего мира на срок ранней диагностики любой врожденной патологии плода, появление современных ультразвуковых технологий объемной визуализации головного мозга в I триместре открывают новые перспективы раннего выявления патологии в этой области. Такие пороки, как аномалия Денди-Уокера, киста кармана Блэйка, гипоплазия червя мозжечка, арахноидальные кисты уже описаны и опубликованы в единичных исследованиях ведущих пренатальных клиник мира.
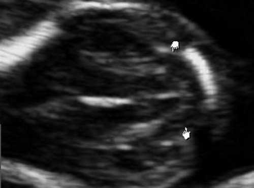
Самый тяжелый и инвалидизирующий порок в области задней черепной ямки - аномалия Денди-Уокера, характеризующаяся наличием кистозного образования в области большой цистерны с аплазией червя мозжечка. Наш опыт показывает, что в I триместре в срок 12 недель при осмотре аксиального среза головы плода можно визуализировать кистозное образование в области задней черепной ямки, однако провести дифференциальный диагноз между различными патологиями этой области, имеющими разный прогноз, по этому скану невозможно (рис. 9).

Рис. 9. Аксиальный срез головы плода, киста задней черепной ямки, беременность 12 недель.
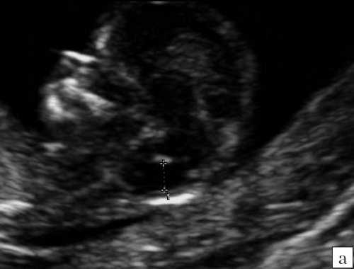
В то же время в среднесагиттальном скане была найдена расширенная большая цистерна, которая "сливалась" с IV желудочком, из-за отсутствия червя мозжечка. При осмотре "осьминожки" отсутствовала полноценная нижняя ножка, ввиду слияния ее с кистой в области большой цистерны (рис. 10).
Рис. 10. Аномалия Денди-Уокера, беременность 12 недель. Среднесагиттальный скан. Киста в области большой цистерны, сливающаяся с IV желудочком.

Визуализируется сосудистое сплетение IV желудочка на границе слияния.

Красный цвет - деформированная "осьминожка"; желтый цвет - киста в области большой цистерны; синий цвет - воротниковое пространство.
Надеемся, что предложенный новый ультразвуковый признак оценки срединных структур головного мозга плода поможет врачам в их ежедневной практике.
Литература
- Nicolaides K.H., Campbell S., Gabbe S.G., Guidetti R. Ultrasound screening for spina bifida: cranial and cerebellar signs // Lancet. 1986. V. 2. P. 72-74.
- Van den Hof M.C., Nicolaides K.H., Campbell J., Campbell S. Evaluation of the lemon and banana signs in one hundred and thirty fetuses with open spina bifida // Am J Obstet Gynecol. 1990. V. 62. P. 322-327.
- Sebire N.J., Noble P.L., Thorpe-Beeston J.G. et al. Presence of the ‘lemon` sign in fetuses with spina bifida at the 10-14-week scan // Ultrasound Obstet Gynecol. 1997. V. 10. P. 403-405
- Chaoui R., Benoit B., Mitkowska-Wozniak H. et al. Assessment of intracranial translucency (IT) in the detection of spina bifida at the 11- to 13-week scan // Ultrasound Obstet Gynecol. 2009. V. 34. P. 249-252.
- Lachmann R., Chaoui R., Moratalla J., Picciarelli G., Nicolaides K.H. Posterior brain in fetuses with spina bifida at 11-13 weeks // Prenat Diagn. 2011. V. 31. P. 103-106.
- Kypros H. Nicolaides Turning the Pyramid of Prenatal Care // Fetal Diagn Ther. 2011. V. 29. P. 183-196.
- Egle D. et al. Appearance of the fetal posterior fossa at 11 + 3 to 13 + 6 Gestational weeks on transabdominal ultrasound examination // Ultrasound Obstet Gynecol. 2011. V. 38. P. 620-624.
- Kim M.S., Jeanty P., Turner C., Benoit B. Threedimensional sonographic evaluations of embryonic brain development // J Ultrasound Med. 2008. V. 27. P. 119-124.
- Blaas H.G., Eik-Nes S.H. Sonoembryology and early prenatal diagnosis of neural anomalies // Prenat Diagn. 2009. V. 29. P. 312-325.
- Cuckle J.H., Boreham J., Stirrat G. Small Biparietal Diameter of Fetuses with Spina Bifida: Implications for Antenatal Screening // British Journal of Obstetrics and Gynaecology. 1980. V. 87. P. 927-928.
Читайте также:
