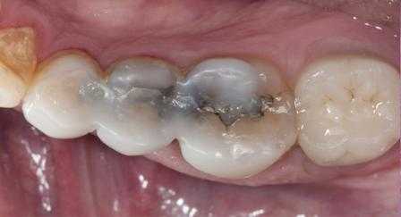
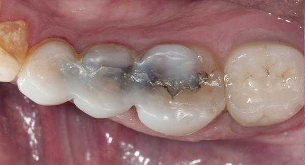
Альтернатива коронкам на дистальных зубах: пломбы из амальгамы, реставрация
Добавил пользователь Евгений Кузнецов Обновлено: 21.01.2026
Главной целью реставрации жевательных зубов является, прежде всего, функциональная реабилитация. Функциональность, в свою очередь, обусловлена анатомической правильностью и точностью изготавливаемой конструкции. Выпуклая и рельефная жевательная поверхность образует множественные точечные контакты с зубами-антагонистами, равномерно распределяя окклюзионную нагрузку. Контактные точки должны быть небольшими по площади, обеспечивая быстрое размыкание зубов при экскурсионных движениях.
Широкие и плоские смыкающиеся поверхности с большей вероятностью останутся в контакте при движениях нижней челюсти. При этом возникает трение, приводящее к более выраженному износу зубов и реставраций и снижению жевательной эффективности. Едва ли кто-нибудь станет оспаривать необходимость точного воспроизведения жевательной морфологии при проведении реставрации. Однако достижение этой цели для подавляющего большинства докторов сопряжено со значительными трудностями. Одной из самых распространенных проблем является то, что врачу после кропотливой и длительной моделировки жевательной поверхности приходится нещадно спиливать бором все бугорки и фиссуры на этапе интеграции зуба в окклюзию.
Подходы, которые будут рассмотрены в этой статье, призваны в значительной степени облегчить работу врачей
Вся красота, которую воссоздает специалист, превращается в итоге в бесформенную, неэстетичную и малофункциональную «лепешку». В стоматологической литературе описано большое количество всевозможных методик, позволяющих избежать подобных сложностей (метод циркуля, ориентировка на рядом стоящие зубы, окклюзионный компас, всевозможные схематизации, упрощенные алгоритмы построения и т. д.). Однако все эти решения дают лишь приблизительные результаты. Те подходы, которые будут рассмотрены в этой статье, призваны в значительной степени облегчить работу врачей и позволят изготавливать высокоточные реставрации. Главной идеей, взятой в качестве основы для данного подхода, является то, что в зависимости от степени разрушенности зуба используются соответственно разные методологические вариации восстановления. Следует, однако, отметить, что эти методики ориентированы на работу с витальными зубами, то есть в условиях, благоприятных для формирования прочного адгезивного соединения. По степени разрушенности можно выделить три условных класса (классификация разработана автором статьи).
Методика восстановления зубов 1-го класса разрушенности
Типичным представителем 1-го класса является кариес фиссур, встречающийся довольно часто. Эта патология очень непредсказуема, и нередко объемы поражения оказывается гораздо больше предполагаемой глубины. Фиссурная форма кариеса, как правило, характеризуется практически полным сохранением жевательной морфологии, и, каким бы высоким ни было мастерство реставратора, мы все равно не сумеем воссоздать жевательную поверхность лучше, чем она была. Поэтому вполне резонно было бы скопировать сохранившуюся анатомию и перенести ее в будущую реставрацию. Реализовать это можно с помощью методики окклюзионного ключа. Основным отличием этого подхода от традиционного варианта восстановления является то, что перед проведением препарирования с жевательной поверхности снимается ключ (небольшой оттиск), которым впоследствии можно было бы отдавить порцию композита для придания ей исходной формы зуба. Наиболее подходящим материалом для изготовления ключа являются твердые bite-силиконы для регистрации прикуса. Они обладают достаточной твердостью, чтобы продавить мельчайшие детали жевательной поверхности, и при этом практически не липнут к композиту.
Клинический случай
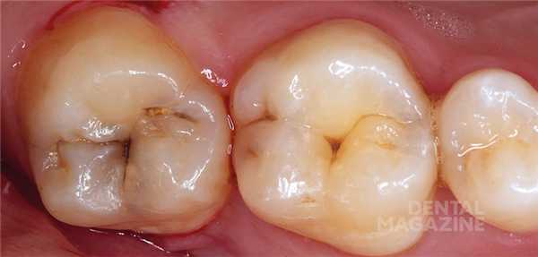
На рисунке 1 показана исходная ситуация.Классический фиссурный кариес зубов 16 и 17. Как и в большинстве подобных случаев, кариозный процесс протекает абсолютно бессимптомно.

После изоляции рабочего поля (рис. 2) и механической отчистки от налета с поверхности зубов снимается ключ bite-силиконом с учетом габаритов клампа (рис. 3) .


Внешний вид окклюзионного ключа показан на рисунке 4 .

Далее осуществляют препарирование и адгезивную подготовку системой XP Bond™ на основе терт-бутанола (рис. 5) .

После восстановления и полимеризации дентинного слоя (Ceram•X™ duo+) один за другим были внесены оттенки основной и поверхностной эмали (Esthet•X® HD A2 и АЕ) общей толщиной 1,5—2 мм, тщательно адаптированы к поверхности с разметкой приблизительных контуров без последующего отверждения (рис. 6) .

Наступает очередь окклюзионного ключа (рис. 7) .

Для предупреждения возможного склеивания следует нанести на поверхность силикона небольшое количество адгезива. Ключ накладывается на зуб и медленно прижимается. После того как силиконовый оттиск встанет на свое место, нужно медленно его снять легкими раскачивающими движениями. Не следует торопиться и пытаться извлечь ключ одним рывком: это приведет к деформации композитного материала. Если все сделано правильно, порция неотвержденного эмалевого композита должна принять точную форму исходной жевательной поверхности (рис. 8) .

Излишки пломбировочного материала легко убираются брашиком. При возникновении каких-либо деформаций допускается повторная установка ключа. Далее проводится полимеризация в течение 30—40 секунд с учетом толщины композитного слоя (рис. 9) .

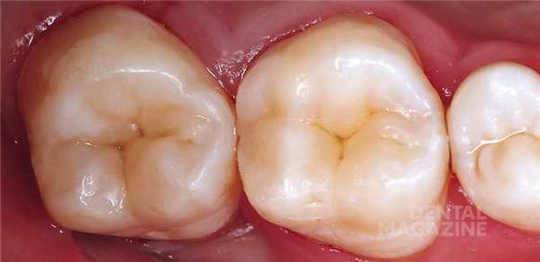
После этого, если есть желание, можно воспроизвести характеристики с помощью композитных красок. Вид после финишной отделки и полировки (рис. 10) .

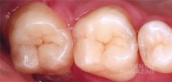
Окклюзионная коррекция, как правило, минимальна или вообще отсутствует. Вид реставраций через двое суток (рис. 11) .

Следует учесть, что важным условием успешного выполнения реставрации в методике окклюзионного силиконового ключа является использование композитных материалов, обладающих достаточно плотной консистенцией и способных удержать переданную силиконовым ключом форму. В этом плане очень удачным вариантом является композит Esthet•X® HD, который помимо прекрасных хроматических и механических характеристик обладает также и необходимой степенью плотности, прекрасно держит любую форму.
Методика восстановления зубов 2-го класса разрушенности
Среди клинических случаев этой категории чаще всего встречаются глубокие кариозные полости и несостоятельные пломбы. Главной особенностью второго класса является то, что при довольно высокой разрушенности — до 50 % жевательной поверхности — все еще сохраняются основные очертания бугорков, гребней, части валиков и т. д. Имея в распоряжении подобные ориентиры, мы можем легко продолжить внешние контуры сохранившихся окклюзионных элементов и получить жевательную поверхность, очень близкую к оригиналу. Для этого используется традиционная методика послойной реставрации, без каких-либо изменений. Единственным дополнением, которое могло бы помочь сделать реставрацию более удобной, является применение моделировочных инструментов в определенной последовательности.
Алгоритм восстановления жевательной поверхности. Концепция трех инструментов
На рисунке 12 показана исходная ситуация.

На рисунках 13—15 показано послойное внесение материала в полость: слой дентина, слой хроматической эмали (композит распределяется по полости без полимеризации), слой поверхностной эмали.
Что такое deep margin elevation или что делать если кариес "ниже некуда"?
Поддесневая локализация края дефекта в структуре зуба является весьма распространенной клинической проблемой. Особенно часто она отмечается в зубах, требующих эндодонтического лечения.

Концепция «deep margin elevation» (поднятие уровня глубокого края дефекта) впервые была предложена Dietschi and Spreafico в 1998 году. Но приобрела она значительную популярность после работ Pascal Magne и Roberto Spreafico «Deep margin elevation: a paradigm shift» в 2012 году.
Что такое поднятие уровня глубокого края дефекта (deep margin elevation - DME)?
DME - это, по сути, прямая реставрация, которая позволяет поднять край дефекта до уровня десны или даже выше ее уровня.
Почему мы используем DME?
Непрямыми реставрациями очень сложно восстановить глубокий край дефекта. Наличие последнего провоцирует проблемы с:
- изоляцией
- получением оттиска / цифровым сканированием
- фиксацией
Непрямые реставрации с адгезивным механизмом фиксации являются довольно частым выбором врачей-стоматологов, учитывая их эстетичность и консервативность. Данный тип реставраций также способствует сохранению большего объема тканей зуба. Однако при фиксации подобных конструкций необходимо контролировать уровень влажности рабочего поля, дабы не компрометировать силу бондинговой связи. Удаление излишков композитного цемента часто может вызвать кровотечение с поддесневой области, и таким образом нарушить весь адгезивный протокол. В долгосрочной перспективе такие последствия ассоциированы с эффектом микроподтекания и расцементировки коронки. DME может помочь решить подобные проблемы и оптимизирует условия для фиксации коффердама (фото 1).
Фото 1. Повторное эндодонтическое лечение и фиксация E.max накладки на зуб LR6 a) Рентгенограмма до ревизии канала. b) Повторное лечение корневого канала и формирование композитной культи. Пациент был направлен к своему лечащему стоматологу для выполнения реставрации с перекрытием бугров. с) Препарирование под накладку; дистальный край сформирован на композитной основе. d) Изоляция коффердама перед фиксацией. e) Изолирование соседних зубов при помощи тефлоновой ленты. f) Фиксация накладки на композитный цемент. g) Очистка излишков цемента. h) Вид после фиксации.


DME менее важен при использовании традиционных цементов (цинк-фосфатных или СИЦ) для фиксации непрямых реставраций. Данные материалы мене чувствительные к промахам изоляции, а их излишки могут быть удалены после полной полимеризации. Однако в подобных случаях достаточно сложно получить качественный оттиск (фото 2).
Фото 2. Лечение корневых каналов и формирование композитной культи на зубе LL6. Пациент был направлен к лечащему врачу для изготовления накладки с перекрытием бугров. Золотая накладка была зацементирована на Fuji Plus. Дистальный край находился под десной, а край накладки был сформирован на композитной реставрации (DME). Граница препарирования на всех поверхностях находилась в границах тканей зуба, кроме дистальной поверхности. Рентгенограмма, полученная через год, демонстрирует признаки заживления периапикального поражения.

Почему для поднятия уровня глубокого края реставрации лучше использовать прямой метод?
Дефект поддесневой локализации гораздо проще восстановить прямой реставрацией. Во-первых, требуется меньше времени, следовательно, контроль над влажностью может быть менее продолжительным. Кроме того, врачу доступны разные системы матриц, которые способствуют восстановлению поддесневого дефекта. Но при этом DME следует использовать лишь в том случае, если можно обеспечить надежное уплотнение композитного материала.
Каковы проблемы DME?
Основная проблема для DME - это адаптация матрицы к глубокому краю (фото 3). Для этого были разработаны специальные матричные системы. Для достижения более надежного результаты дополнительно могут быть использованы клинья, тефлоновая лента и жидкий коффердам (по типу Opaldam).
Фото 3. Большие кариозные дефекты зубов UL5 и UL6. Перед проведением эндодонтических вмешательств были выполнены реставрации с применением специальных матричных систем. Культи зубов восстанавливались при помощи стекловолоконных штифтов и композита. После поднятия уровня поддесневого края дефекта и препарирования на зубы фиксировали циркониевые коронки.


Когда следует проводить DME для зубов, требующих эндодонтического лечения?
Перед проведением эндодонтического лечения важно оценить, можно ли вообще восстановить зуб. Для этого первоначально нужно удалить весь кариес и прежние реставрации, а также установить, можно ли обеспечить выполнение новых герметичных реставраций. В процессе врач может провести DME и выполнить преэндодонтическую подготовку зуба. После лечения корневых каналов на край композитной пломбы может быть установлена непрямая реставрация. При выполнении преэндодонтического восстановления не всегда можно сформировать адекватный контакт (фото 4). Но на данном этапе это не так и важно, поскольку контактный пункт может быть восстановлен за счет окончательной реставрации. Куда более важно - удалить все нависающие края материала, поскольку они в последствии могут вызвать развитие пародонтальных проблем. Процедуру удаления излишков можно провести или скальпелем, или очень тонким бором. Если же зуб планируется восстановить лишь за счет композитной реставрации, то контактный пункт можно сформировать в конце, просто заново восстановив стенку, но уже с уровня, сформированного в ходе DME.
Фото 4. Лечение корневого канала, установка стекловолоконного штифта и восстановление культи зуба LL5. Глубокий край дефекта был восстановлен посредством DME. Контактный пункт будет откорректирован на финишном этапе реставрации.


Какие материала использовать для прямой реставрации?
Техника DMЕ изначально была разработана для восстановления глубокого края дефекта зуба посредством композитного материала. Ведь при фиксации непрямой окончательной реставрации за счет адгезивной связи таковая может «приклеится» непосредственно к поднятому из глубины композитному краю. Концепция DME также может быть реализована и за счет амальгамы или стеклоиономерного цемента. Для оценки адаптации реставраций необходимо использовать рентгенографию «в прикус» (bite-wing): это позволяет идентифицировать нависающие края или «недолеты» композитного восстановления.
В чем преимущества DME по сравнению с техникой удлинения коронки?
В качестве альтернатив DME можно рассматривать хирургическое удлинение коронки или ортодонтическую экструзию. Обе эти процедуры являются относительно дорогими и требуют реализации междудисциплинарного подхода при их выполнении. Кроме того, реализация данных подходов ассоциирована еще и с большими временными затратами. Удлинение коронки характеризуется развитием послеоперационного дискомфорта и провоцирует потерю пародонтального прикрепления. Кроме того, выполнение подобной манипуляции может быть ограничено за счет анатомических особенностей (локализация края коронки, близость соседних зубов или имплантатов, участков фуркации или вогнутости корней). Также следует учитывать общемедицинский анамнез пациента.
Есть ли негативные аспекты в концепции DME?
У DME есть некоторые недостатки, и их важно обсудить с пациентом до начала лечения.
В идеале непрямая реставрация должна опираться на здоровые ткани зуба. Однако иногда это невозможно из-за глубины имеющегося дефекта и применения композита для его восстановления. Но, с другой стороны, прямая реставрация имеет больше шансов адаптироваться более плотно к поддесневому краю, нежели непрямая. Коронки на дистальных зубах, восстановленных посредством DME, демонстрируют достаточно высокую эффективность даже через 12 лет мониторинга (Bresser et al, 2019).
Фото 5. Лечение корневого канала, стекловолоконный штифт и композитный основной материал UL4. Циркониевую коронку установил общий стоматолог (Dr Davesh Patel) с использованием DME.

2. Нарушение биологической ширины
Фото 6. Кариозное поражение зуба UR6 было достаточно обширным и распространялось на поддесневую область. Врачу удалось добиться восстановления глубокого края дефекта, однако при этом произошло нарушение первичных параметров биологической ширины.

Почему DME важно для эндодонтии?
В эндодонтии врачи часто встречаются с зубами, один из краев дефекта которых находиться глубоко под деснами. По сути, DME дает шанс зубу «выжить», ведь без подобного подхода такой зуб можно категоризировать как такой, что не подлежит восстановлению (фото 7). Эффективное восстановление глубокого края дефекта часто является наиболее сложной частью лечения и занимает больше всего клинического времени.
Фото 7. Пациент обратился за стоматологической помощь по поводу кариеса корня и возможности восстановления зуба LR6. В ходе первого визита был очищен весь кариес и удалена старая пломба, после чего приступили к DME. Эндодонтическое лечение проводили в ходе второго визита. В дистальный канал установили стекловолоконный штифт, а всю дистальную поверхность восстанавливали посредством композита. Пациент был направлен к лечащему врачу для изготовления непрямой реставрации.

Выводы
DME является полезным клиническим подходом, который эффективно работает в конкретных клинических случаях. Современные данные указывают на то, что непрямые реставрации зубов, предварительно прошедших процедуру DME, демонстрируют успешный результат функционирования на протяжении длительного времени. Во многих случаях DME остается последним шансом восстановления проблемных зубов с глубокими дефектами. Перед началом лечения пациент должен быть проинформирован о всех преимуществах и недостатках подобного алгоритма вмешательства, а также относительно потребности в проведении тщательной очистки проблемных участков с помощью межзубных ершиков, которые обеспечивают поддержку здорового состояния тканей пародонта.
Автор: Kreena Patel
Alexandre Sarfati - Deep Margin Elevation (DME) - Step by Step
Реставрация по типу Vonlay: консервативная эстетическая альтернатива коронкам
В современной реставрационной стоматологии врачи имеют несколько возможностей для улучшения параметров формы, цвета и положения зубов, которые обеспечиваются не только характеристиками используемых материалов, но и методами изготовления конструкций. При этом практикующий врач в качестве вариантов лечения может обратиться к винирам, вкладкам по типу-onlay, а также к комбинированным конструкциям "vonlay", которые объединяют в себе первые два варианта лечения и описаны в представленном случае.

Виниры
Виниры являются одним из вариантов, обеспечивающим эстетическую коррекцию дефекта зуба: будь то внутренняя или внешняя дисколорация, окклюзионная коррекция, перелом коронки, травма или признаки патологического стирания. В зависимости от объёма и сложности дефекта препарирование под винир может быть более или менее инвазивным: иногда оно предусматривает препарирование всего зуба под так называемый полный винир или трехчетвертную конструкцию, но чаще всего область препарирования ограничивается лицевой поверхностью, так как виниры редко устанавливают за областью премоляров.
Будучи в использовании уже 35 лет, виниры прошли путь от довольно хрупких конструкций с высоким риском перелома до значительно более надежного варианта лечения. Первые поколения виниров изготавливали из материалов, которые были клинически неприемлемыми, в том числе и с использованием макронаполненных композитов, метилметакрилата и подобных облицовочных систем. В 1975 году был разработан протокол бондинга керамики, после чего полевошпатовый фарфор стал материалом выбора в клинической практике врачей. К 1983 году врачи обнаружили преимущества адгезии керамики к протравленной эмали, что позже стало золотым стандартом, обеспечивающим силу и клиническую долговечность сцепления.
Сегодняшние виниры изготавливаются из керамических материалов по типу лейцит-полевого шпата и лития дисиликата или же из композитов, состоящих из очень мелких частиц, по типу микро- и наногибридов. При этому композитный винир может быть изготовлен прямым или непрямым методом, зависимо от конкретных клинических показаний. Прямой метод предусматривает изготовление виниров путем наслоения композитов и их светоотверждения. А при изготовлении реставраций непрямым методом (путем теплового прессования) можно добиться исключительных характеристик конструкции, как, например, износостойкости, аналогичной эмали, резистентности к стиранию, отличной маргинальной адаптации, хороших апроксимальных контактов, эстетики и прочности, адекватной для задней группы зубов.
Керамика приобрела популярность благодаря достижениям материаловедения. Не все облицовочные керамические системы показаны для абсолютно всех клинических ситуаций, но литий-дисиликат, учитывая его механические и оптические характеристики, наиболее часто используется для получения высокопрочных и эстетических результатов. Прозрачность материала отвечает повышенным эстетическим требованиям, которые в принципе и являются той причиной, по которой виниры изготавливают именно из керамики. Данные конструкции также можно отфрезеровать посредством CAD / CAM-технологий из моноблока или из спрессованной заготовки. Фрезерованные виниры показаны для использования в участках, где действие окклюзионных сил не очень высоко, поскольку они являются более хрупкими, чем их прессованные аналоги (360 МПа против 400 МПа соответственно). Кроме того, последние даже можно использовать в области жевательной группы зубов. Но независимо от метода изготовления, все керамические виниры обеспечивают точность посадки, низкий риск маргинальной дисколорации, небольшой процент клинической неудачи и оптимальный эстетический вид. Единственный недостаток состоит в том, что в некоторых случаях они могут провоцировать стирание зубов-антагонистов.
Вкладки типа onlay
Еще одним вариантом лечения являются вкладки типа onlay, которые используются при значительном разрушении тканей зуба. Оnlay вкладки также используются при замене старых реставраций, дефектных пломб из амальгамы и золота, металлокерамических конструкций. Как и в случае с винирами, степень инвазивности препарирования зависит в значительной степени от сложности дефекта зуба. Вкладки onlay использовались еще с конца 1800-х годов. Первично они изготавливались из золота, керамики или композитных материалов. Золото в качестве основного материала использовалось вплоть до конца 1980-х, когда после стремительного роста цен на благородные металлы золотые реставрации стали попросту экономически невыгодными. Такая былая популярность золота при изготовлении onlay конструкций была аргументирована легкостью при манипуляциях с данным металлом, свойствами его превосходной маргинальной адаптации и клинической долговечностью. Недостатки золота - его цена и несоответствие цвету зуба, что сегодня является важным эстетическим недостатком.
Композиты также могут использоваться при изготовлении onlay вкладок, хотя в определенное время они для этого были противопоказаны. Композиты первого поколения не отличались достаточными механическими свойствами и нужной износостойкостью, чтобы быть пригодными для изготовления подобного типа конструкций. Они демонстрировали быстрые темпы стирания материала, нарушение маргинального прилегания, полимеризационную усадку и недостаточную силу сцепления. Новые поколения композитов, отражая прогресс материаловедения, характеризируются уже более высоким соотношением наполнитель-матрица, что значительно улучшает их механические характеристики. Возможность оптимизации дизайна препарирования, а также технология изготовления позволили добиться улучшенного маргинального прилегания, повышенного уровня адгезии и эстетического вида данных конструкций.
Керамические onlay-вкладки также можно изготавливать посредством CAD / CAM-фрезерования или теплового прессования. Керамики, изготовленные из полевого шпата, стеклонаполненной слюды, лейцита или же литий-дисиликата - все они обеспечивают довольно высокий клинический успех современных безметалловых конструкций. Улучшения керамики помогают добиться консервативного препарирования под onlay вкладки, а прозрачность материала обеспечивает повышение эстетических характеристик. Также для них характерны отличный уровень краевой адаптации, возможность создания адекватных апроксимальных контактов, минимальные показатели износа и низкий риск перелома и при этом они не провоцируют стирание зубов-антагонистов.
Комбинированный подход
Традиционно, если пациент нуждается в реставрации задней группы зубов, врач прибегает к изготовлению полных коронок. Но популярность тенденции "минимально инвазивной стоматологии" предусматривает максимальное сохранение структуры зуба, что по своей сути означает отход от процедур изготовления полных коронок, препарирование под которые требует удаления также здоровых структур эмали и дентина. При этом не следует идти на компромисс, и менее инвазивные варианты лечения должны демонстрировать не меньшую эффективность, чем полные коронки. Комбинированный подход предусматривает использование винира на лицевой стороне и вкладки типа onlay на окклюзионной поверхности. При первоначальной презентации метода около 20 лет назад использовали полевошпатную керамику, что, по мнению Goldstein, ограничило широкую популярность подобных конструкций по причине опасений перелома в области жевательных зубов.
С учетом появления новых высокопрочных материалов по типу литий дисиликата, технологий по типу CAD / CAM и теплового прессования у стоматологов появилась возможность предложить пациенту высокоэстетический и в то же время высокопрочный вариант лечения. Подобные реставрации будут не только имитировать естественные ткани зуба, но могут выдерживать значительные окклюзионные нагрузки в области жевательной группы зубов. В результате эти реставрационные материалы можно использовать при имплементации инновационных микроинвазивных способов лечения, которые пользуются все большим спросом у пациентов.
Представленный ниже клинический случай демонстрирует, как vonlays могут быть использованы в качестве альтернативы полным коронкам для восстановления поврежденных задних зубов.
Клинический случай
Пациент обратился за помощью с несколькими основными жалобами, главной из которых являлась эстетическая дилемма: ему не нравился цвет, размер и форма зубов (фото 1). При этом он также желал по возможности закрыть диастему между 10 и 11 зубами. Он также был обеспокоен «объемом» собственной улыбки и хотел расширить форму зубной дуги так, чтобы улыбка казалась более полной. Во время стоматологического осмотра было установлено, что пациент имел умеренную степень стирания режущих и окклюзионных поверхностей, легкую генерализированную форму рецессии с локализированной умеренной рецессией в области первых моляров верхней челюсти. Большинство боковых зубов имели амальгамные реставрации небольших и средних размеров с признаками вторичного кариеса. На 18 и 29 присутствовали металлокерамические конструкции. Все передние зубы верхней челюсти и несколько передних зубов нижней челюсти имели композитные пломбы в интерпроксимальных зонах, которые со временем изменили свой цвет.
Фото 1. Вид зубов пациента перед вмешательством.

Дизайн восковой репродукции был адаптирован к желаемой новой форме зубов с учетом пожеланий пациента путем использования Adobe Photoshop Smile Design (фото 2).
План лечения состоял в том, чтобы немного открыть или даже восстановить вертикальные параметры прикуса ввиду нескольких причин:
- восстановления недостающей из-за стирания высоты зубов;
- избежания локализованного увеличения прикуса и эффекта чрезмерного перекрытия;
- создания оптимальных условий для минимизации количества удаленной структуры зуба при препарировании под реставрации и восстановлении эстетики.
Из восковой репродукции были сформированы матрицы для создания функционально-эстетического прототипа из специального инъекционного композитного материала (Reveal, BISCO Inc.) с новыми параметрами формы и цвета зубов, а также увеличенным вертикальным размером (фото 3). Повышение вертикальных параметров прикуса помогло добиться формирования дополнительного межокклюзионного пространства в области задних зубов для восстановительных целей. Пациент носил прототип в течение 3 месяцев, чтобы определиться с подходящим эстетическим видом и оптимальным функциональным состоянием до того, как произойдут необратимые изменения структуры зубов. С помощью данного метода также возможен сегментарный алгоритм лечения: а именно поэтапное восстановление отдельных участков.
Фото 2. Изготовление восковой репродукции, которую позже зафиксируют в центральном положении.

Фото 3. Функционально-эстетический прототип изготовлен с использованием матрицы и композита.

Фото 4-7. Окклюзионный вид до реставрации, удаление прототипа, признаков кариеса и старых реставраций, заполнение поднутрений и запечатывание дентина.






Оттиски можно делать обычным или цифровым методом, после чего из бис-акрилового материала изготавливают временные конструкции по стандартному протоколу. Важно отметить, что нужно использовать изолятор, чтобы бис-акриловый материал не присоединился к обработанной поверхности дентина. Небольшой участок дентина в центре зуба можно оставить обнаженным, чтобы обеспечить точечную связь временных конструкций с тканями зуба.
После этого в лаборатории были изготовлены vonlays (фото 10-14). Для этого авторы статьи обычно используют e.max в области моляров, ведь успехи подобного подхода уже хорошо задокументированы, но иногда можно использовать и полевошпатную керамику, особенно в случаях с достаточным количеством эмали, или когда премоляры лечат параллельно с установкой виниров на фронтальных зубах. Авторы по-прежнему предпочитают использовать протокол тотального протравливания с бондом 4-го поколения, хотя перспективы «универсальных» адгезивов и результаты, полученные в ходе их исследований, тоже не могут не радовать. На фото 15-29 продемонстрировано восстановление дуги верхней челюсти с использованием виниров во фронтальной области и керамических vonlays-конструкций на жевательной группе зубов.
Фото 10-13. В ходе работы были использованы модель Геллера и рефракторные штампики.




Фото 14. Вид vonlays (Vita Vm13).

Фото 15-21. Последовательность клинических процедур: вид до вмешательства, вид прототипа, удаление прототипа, дефектных амальгамных пломб и остальных реставраций, нанесение кариес-маркера, запечатывание дентина и заполнение поднутрений, установка окончательных реставраций.







Фото 22-25. Фиксацию проводили из дистальных сегментов в направлении к фронтальным.




Фото 26. Вид после вмешательства.

Фото 27. Фронтальный вид после вмешательства.



Выводы
В современной стоматологии материалы и техники изготовления конструкций дошли до той точки, когда даже в области задней группы зубов возможно восстановить дефекты с помощью минимально инвазивных реставраций. И клинически, и с точки зрения лабораторного изготовления, высокоэстетические и высокопрочные реставрации становятся все более экономически эффективными, при этом также следует учесть и отменную быстроту их изготовления. Vonlay являются хорошим примером того, как стоматология прогрессивно использует достижения современной науки в конкретных клинических ситуациях, обеспечивая при этом максимально функциональные и эстетические результаты посредством микроинвазивного подхода.
Авторы: Edward A. McLaren, DDS, MDC; Johan Figueira, DDS; Ronald E. Goldstein, DDS
Современные решения для прямых реставраций зубов дистальной группы
Статья была опубликована в журнале GC Get Connected 4 IDS 2015.
Чтобы эффективно заместить утраченные ткани зуба, выбираемый реставрационный материал должен обладать характеристиками, схожими со свойствами естественных зубов, а также демонстрировать хороший уровень адгезии, низкую полимеризационную усадку, высокую устойчивость к нагрузкам и антикариесогенные свойства.
Выбор материала также зависит от клинического случая: следует принимать во внимание возраст пациента, уровень риска развития кариеса у конкретного пациента, эстетические требования, возможность изоляции рабочего поля, функциональные требования к выполняемой реставрации [1] и, наконец, соображения экономической целесообразности.
Основной акцент в процессе оптимизации состава композитных материалов был сделан на упрочнении неорганического их компонента, который отвечает за такие физические и механические свойства материала, как твердость, прочность на изгиб, модуль эластичности, коэффициент термического расширения и износоустойчивость. Механические свойства композитного материала напрямую зависят от размера частиц наполнителя, входящего в его состав. Были разработаны нанонаполненные композитные материалы, которые легче поддаются полировке и обладают более высокой износоустойчивостью [ 3 ] . Повышенная износоустойчивость особенно важна при выполнении реставраций дистальной группы зубов. При использовании наноразмерных неорганических частиц увеличивается процент наполнителя в составе материала, частицы более равномерно распределяются в органической матрице, а объем свободного пространства между частицами наполнителя уменьшается, что усиливает органическую матрицу и защищает ее от повреждений [4—6]. Неорганические нанонаполнители могут входить в состав как традиционных композитных материалов, так и жидкотекучих композитов.
Традиционные композитные материалы, созданные на основе данной технологии, можно классифицировать по принципу наличия в них наномерных либо нанокластерных частиц наполнителя [7]. Наномеры — это отдельные дискретные частицы, чей размер варьируется от 5 до 100 нм, в то время как размер нанокластерных частиц наполнителя может значительно превышать 100 нм [8]. Наногибридные композиты содержат наполнитель из частиц стекла мелкого размола и нанонаполнители в форме предварительно полимеризованных наночастиц [9]. Примером наногибридного композитного материала является G — aenial ( GC , Токио, Япония), в состав которого входят частицы стронциевого стекла размером 400 нм, частицы лантаноид-фторида размером 100 нм и частицы диоксида кремния размером 16 нм, при этом все компоненты предварительно полимеризованы. Данный композит выпускается в версиях Anterior (для фронтальной группы зубов) и Posterior (для дистальной группы зубов). Разнообразие размеров частиц наполнителя и образуемых ими в теле материала G — aenial отражающих поверхностей позволяет максимально приблизить способность реставрации рассеивать световой поток к аналогичной способности естественных тканей зуба. Благодаря этому при использовании всего одного оттенка этого материала можно добиться весьма впечатляющих эстетических результатов (рис. 1—6).
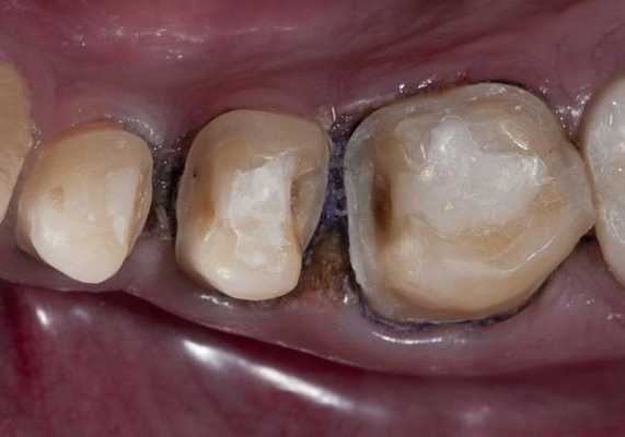
Рис. 1. Старая реставрация из амальгамы. Рис. 2. Подготовленная полость после удаления амальгамы и вторичного кариеса. Рис. 3. Стоматологический адгезив.
Рис. 4. Нанесение адгезива. Рис. 5. Жидкотекучий композит. Рис. 6. Реставрация с использованием G-aenial (оттенок А1).
Основными преимуществами жидкотекучих композитных материалов являются их высокая способность адаптироваться к краям и стенкам полости, а также повышенная эластичность по сравнению с традиционными композитными материалами, благодаря чему жидкотекучие композиты оказывают меньше давления на стенки полости. Основным же недостатком жидкотекучих композитных материалов традиционно считается тот факт, что их физические и механические свойства несколько хуже, чем аналогичные показатели традиционных композитов. В работе Bayn et al. [10] было указано , что жидкотекучие композиты первого поколения демонстрируют более высокий уровень полимеризационной усадки по сравнению с традиционными композитами, что обусловлено меньшим количеством неорганических наполнителей в составе первых.
Сравнительно недавно на рынок был выпущен новый жидкотекучий композитный материал G-aenial Universal Flo (GC, Токио , Япония ) , демонстрирующий улучшенные физические, механические и оптические свойства. Неорганический наполнитель в составе данного материала представляет собой частицы стронциевого стекла размером около 200 нм, что на сегодняшний день является наименьшим размером для частиц наполнителя, входящего в состав жидкотекучего композитного материала. Материал обладает повышенной прочностью адгезии между его органической и неорганической составляющими, что, в свою очередь, повышает эластичность материала; кроме того, повысились насыщенность его оттенка и износоустойчивость, материал обладает великолепной полируемостью и, наконец, выпускается в широком спектре оттенков.
Благодаря вышеперечисленным улучшениям данный материал можно использовать для выполнения реставраций дистальной группы зубов в окклюзионных и аппроксимальных областях, пользуясь стандартными методиками (рис. 7, 8).
Рис. 7. Реставрация с использованием G-aenial Universal Flo. Рис. 8. Реставрация с использованием G-aenial Universal Flo.
Согласно данным производителя, G-aenial Universal Flo является тиксотропным материалом и, в отличие от аналогичных жидкотекучих композитов, остается на месте после внесения. Это его свойство особенно ценно при реставрации пришеечных областей зубов (рис. 9, 10).
Рис. 9. Реставрация с использованием G-aenial Universal Flo. Рис. 10. Реставрация с использованием G-aenial Universal Flo.
В последнее время при выполнении реставраций зубов все более актуальной становится концепция минимальной интервенции; в связи с этим для реставраций дистальной группы зубов многообещающим представляется новый микроламинированный СИЦ, обладающий адгезивными и биоактивными свойствами и позволяющий обеспечить сохранение и реминерализацию твердых тканей зубов. Этот новый материал уже продемонстрировал успешные долговременные клинические результаты, что подтверждается научными данными [11, 12]. До недавнего времени основным недостатком стеклоиономерных материалов являлась их низкая механическая прочность, из-за которой их нельзя было применять в областях, подвергающихся повышенным нагрузкам, например в окклюзионных или аппроксимальных областях. Новая система EQUIA Forte состоит из двух материалов: EQUIA Forte Fil и EQUIA Forte Coat . Согласно данным производителя, физические свойства этой системы превосходят параметры существующей реставрационной системы EQUIA , появившейся на рынке в 2007 году. Высокореактивные мелкие частицы стекла, входящие в состав нового материала, способствуют повышению его прочности на изгиб, поскольку высвобождаемые ими ионы металла инициируют образование поперечных межмолекулярных связей с полиакриловой кислотой. В составе EQUIA Forte Fil присутствует полиакриловая кислота с высоким молекулярным весом, что делает матрицу цемента прочнее и химически более стабильной. EQUIA Forte Fil легко вносится одной порцией напрямую в подготовленную полость (рис. 11, 12). После отверждения материала и его окончательной обработки на поверхность реставрации наносится тонкий слой покрытия EQUIA Forte Coat (рис. 13), который затем полимеризуется в течение 20 секунд (рис. 14, 15).
Рис. 11. Удаление старой пломбы и внесение EQUIA Forte Fil. Рис. 12. Удаление старой пломбы и внесение EQUIA Forte Fil. Рис. 13. Защита поверхности покрытием EQUIA Forte Coat.
Рис. 14. Фотополимеризация в течение 20 сек. Рис. 15. Окончательный вид реставрации, выполненной с помощью системы EQUIA Forte.
Покрытие EQUIA Forte Coat производится на основе той же технологии, что и покрытие EQUIA Coat ; в жидкости покрытия равномерно распределен нанонаполнитель, а также в состав добавлен новый многофункциональный мономер с эффективной реакционной способностью. Благодаря данному мономеру слой покрытия получается более прочным и гладким. Поскольку EQUIA Forte обладает низкой чувствительностью к влажной среде, этот материал особенно полезен при работе с клиническими случаями, в которых невозможно добиться полностью сухого рабочего поля (рис. 16, 17).
Рис. 16. Замена старой амальгамовой реставрации с применением системы EQUIA Forte. Рис. 17. Замена старой амальгамовой реставрации с применением системы EQUIA Forte.
Отдельной проблемой является реставрация эндодонтически пролеченных зубов. Эндодонтическое лечение, как правило, применяется при значительной утрате твердых тканей зуба. Предыдущие кариозные поражения, уже имеющиеся реставрации, формирование полостей для доступа — все эти факторы уменьшают объем имеющегося здорового дентина, а значит, увеличивается вероятность растрескивания зуба при функциональных нагрузках. Panitivisai and Messer [13] указывают, что провисание бугорка зуба увеличивается при более обширном препарировании полости. В случаях, когда препарирование включало в себя формирование полости для доступа, наблюдаемая степень провисания бугорка зуба являлась максимальной. Таким образом, ключевым аспектом является разработка новых реставрационных материалов, которые помогали бы предотвратить растрескивание эндодонтически пролеченных зубов.
Недавно на рынке появился новый материал для замещения объема дентина — композит, усиленный стекловолокном; как следует из описания, в его состав входят стекловолокна, инкорпорированные в органическую матрицу композита. Благодаря комбинации волокон и композитного материала стало возможно преодолеть некоторые ограничения традиционных композитов, например их высокую полимеризационную усадку, хрупкость и низкое сопротивление развитию трещин [14]. Согласно заключениям Garoushi et al . [15], можно увеличить способность реставрации выдерживать нагрузку и ее предел усталости при сжатии путем добавления субструктур композита, содержащего длинные двунаправленные или короткие разнонаправленные волокна, под слои композита, наполненного частицами.
everX Posterior ( GC , Токио, Япония) — это композитный реставрационный материал, созданный именно на основе этой технологии усиления композита стекловолокном. Состав материала представляет собой комбинацию разнонаправленных волокон Е-стекла, частиц неорганического наполнителя и органической композитной матрицы ( bis — GMA , TEGDMA и PMMA ), которая формирует взаимопроникающую полимерную сетку ( Interpenetrating Polymer Network , IPN ). Структура IPN означает, что материал состоит из двух независимых полимерных сеток (линейной и поперечной), которые не связаны химическими связями. Еще одним преимуществом композитов, усиленных стекловолокном, является тот факт, что полимеризационная усадка материала контролируется направлением и ориентацией волокон в его составе [17, 18].
everX Posterior обладает анизотропными свойствами, поскольку в основном волокна в его составе ориентированы в разных направлениях (рис. 16). Однако при внесении материала в полость с помощью инструмента волокна в основном приобретают горизонтальную направленность (рис. 17, 18). В результате параметры полимеризационной усадки материала в горизонтальном направлении изменяются, благодаря чему снижается давление материала на стенки полости.
Рис. 18. Внесение everX Posterior. Рис. 19. Адаптация материала с помощью инструмента к стенкам и дну полости, а также поднутрениям. Рис. 20. Полость, заполненная everX Posterior.
Рис. 21. Финишный слой светоотверждаемого реставрационного композита G-aenial.
Новые разработки в области стоматологических материалов продолжают обеспечивать инновационные современные решения для любых клинических случаев. Эти разработки позволяют также отойти от традиционных подходов и методик лечения, опробовать альтернативные материалы и методы и получить новые преимущества в работе.
Для практикующего врача-стоматолога жизненно важно постоянно следить за появлением новых материалов и своевременно изучать их свойства и показания к применению. Лишь таким образом врач сможет предложить каждому пациенту индивидуальное решение, которое не только удовлетворит пожеланиям пациента, но и обеспечит максимальные шансы на успех всего лечебного процесса.
Полная прямая реставрация верхних центральных резцов
Эстетическое лечение фронтальной группы зубов требует не только современных функциональных материалов, но и высокого уровня практических навыков врача-стоматолога. Определенную значимость несет также теоретическая и научная подготовка специалиста, поскольку перед ним стоит задача рационального выбора средств и методов работы в стоматологии [2, 7]. Так, современная литература отражает многочисленные клинические наблюдения результатов ортопедического лечения, включая комбинированные либо цельнокерамические конструкции. Популярностью пользуются виниры, обеспечивающие высокую эстетику при минимальном препарировании [1, 7]. В терапевтической стоматологии широко применяются прямые реставрации, пломбирование в сочетании с изготовлением винирных покрытий, адгезивные конструкции [4].
В соответствии с положением биомедицинской этики и закона о здравоохранении соблюдается право пациента на выбор метода лечения после его информирования врачом-стоматологом об имеющихся альтернативах терапии конкретной патологии [3]. В процессе обсуждения рассматриваются не только методы лечения данного заболевания, но также длительность выполнения манипуляций, число посещений, финансовая стоимость эстетических реставраций. Данные факторы позволяют сделать оптимальный выбор средств и методов воздействия в определенной клинической ситуации, что снижает риск претензий и жалоб пациента в отношении результатов выполненной работы [5, 6].
Цель исследования
Целью настоящего исследования явилась оценка качества изготовления реставраций при использовании одного из альтернативных методов лечения кариеса постоянных зубов.
Материал и методы
Обследование пациента и постановка диагноза осуществлялись в соответствии с утвержденными протоколами. Для препарирования зубов использовались алмазные боры (NTI) различных форм и размеров. Пломбирование производилось фотоотверждаемым композитом Admira Fusion (VOCO), который представляет собой универсальный наногибридный пломбировочный материал на основе ORMOCER и показан для пломбирования полостей I-V класса, в качестве прокладочного материала (основа пломбы) в полостях I и II класса, при реконструкции травматически поврежденных фронтальных зубов, облицовки измененных в цвете фронтальных зубов, коррекции формы и цвета для улучшения эстетики, починки виниров, дефектов эмали и материалов временных коронок и мостов. Благодаря инновационной технологии ORMOCER отличается низкой полимеризационной усадкой (1,25 %) и усадочным напряжением. Высокая инертность обеспечивает биосовместимость и устойчивость цветового тона. Admira Fusion универсален в применении — отвечает высоким требованиям для фронтальных и боковых зубов; оптимально подобранная система расцветки обеспечивает совместимость при работе с несколькими оттенками.
В качестве бондинговой системы служил материал Futurabond U — универсальный адгезив двойного отверждения. Показан для прямых и непрямых реставраций, выполненных при помощи любых фотополимерных, самотвердеющих композитов и композитов двойного отверждения на основе метакрилатов, используемых для пломбирования, восстановления культи зуба и фиксации. Наносится одним слоем — общее время работы 35 секунд, имеет хорошие показатели сцепления. В технике тотального травления использовался гель Vococid (VOCO). Последний имеет голубой цвет для визуального контроля при нанесении на зуб. Легко смывается струей воды.
Результаты исследования
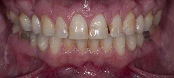
Пациентка, 46 лет, обратилась с жалобами на эстетический дефект передних зубов (рис. 1) . Объективно: в 11-м и 21-м зубах определяются обширные частичные реставрации с признаками вторичного кариеса и нарушением краевого прилегания. Центральная резцовая линия смещена влево. Патологическая стираемость по режущему краю. Цвет 21 незначительно изменен. Со слов пациентки, зуб потемнел после первичной эндодонтии много лет назад. После повторной эндодонтии цвет не изменился. Зуб не беспокоит. На рентгенограмме — обтурация канала до верхушки, периодонтальная щель не расширена.
Рис. 1. Дефекты пломб 11-го и 21-го зубов.
В соответствии с клинической картиной поставлен диагноз: вторичный кариес 11-го и 21-го зубов. Пациентка проинформирована об альтернативных методах ортопедического и терапевтического восстановительного лечения передних зубов. Ею выбран метод полной прямой реставрации 11 и 21, что согласуется с мнением стоматолога. Данный выбор обоснован следующим факторами:
- большой объем утраченных тканей зубов диктует необходимость коррекции высоты коронки и цвета, что исключает частичную реставрацию;
- относительная дешевизна метода, лечение в одно посещение оказывается привлекательным для пациентки в отличие от протезирования или непрямой реставрации;
- небольшое изменение цвета 21, временнóй и экономический факторы исключали проведение внутриканального отбеливания 21.
Пациенткой подписано предварительное согласие на выполнение необходимых манипуляций. Очищение зубов от налета осуществлялось механически с применением средства, не содержащего фтор и масла. С этой целью паста Кlint (VOCO) наносилась на специальную щеточку, вращающуюся на небольших оборотах. Чтобы избежать нагревания зуба, использовалось избыточное количество пасты. Затем зуб тщательно промывали струей воды.
Далее осуществлялось планирование размеров, формы, рельефа, которое представляет собой строго определенную последовательность действий, включающих одонтометрию и одонтоскопию центральных резцов. На основании визуальной оценки и результатов измерений планировалась прямоугольная форма коронки: боковые поверхности располагаются практически параллельно; горизонтальные размеры в средней и нижней трети близки по значению.
Оценка признаков принадлежности зубов к стороне показала преобладание по размеру дистального угла коронки. Признак кривизны коронки не выражен. Описание индивидуальных особенностей зуба заключалось в оценке типа макрорельефа вестибулярной поверхности.
Подбор нужных оттенков фотоотверждаемого композита Admira Fusion (VOCO) производился при естественном освещении по специальным эталонам путем сравнения их с интактным латеральным резцом до установки коффердама. Цвет композита уточнялся посредством нанесения «капли» композита на вестибулярную поверхность резца непосредственно из шприца (рис. 2, 3) . Выбраны следующие шприцы: пришеечная область — А3,5, тело — А2, прозрачная эмаль — Incisal. Материал позволяет интуитивный подбор оттенков, делает возможным создание цвета как за счет опаковых, так и за счет эмалевых оттенков.
Рис. 2. Выбор эмалевых оттенков композита.
Рис. 3. Выбор дентинных оттенков.
Учитывая незначительную разницу в цвете 11-го и 21-го зубов, принято решение провести коррекцию за счет эмалевых оттенков материала. Так, для пришеечной области 21-го зуба был выбран шприц GА3,25 (оригинальный оттенок между А3 и А3,5 по шкале Vita), для тела винира использовался оттенок А1.
Препарирование выполнено алмазными борами средней зернистости и начиналось с удаления некачественных пломб, выступающих краев эмали, некротомии дентина (рис. 4) . Обозначение контуров винирного покрытия осуществлялось при помощи шаровидного бора малого размера в виде желобков глубиной не более 0,5 мм.
Рис. 4. Комплект боров для препарирования зуба «под винир».
В проксимальных участках, чтобы скрыть край винира, границы распространялись на контактные поверхности. Пришеечная граница винира располагается вдоль границы с десной, чтобы избежать просвечивания пигментированных тканей зуба. Сформированы пришеечные уступы, произведено сглаживание внутренних углов. Цилиндрическим бором мелкой зернистости обработана вестибулярная поверхность резцов (рис. 5, 6) .
Рис. 5. Маркированный бор в стерильной упаковке.
Рис. 6. Алмазный бор помещен в турбинный наконечник.
Установлен коффердам с выведенными зубами 14 по 24, что позволит при создании формы и распределении цветовых областей ориентироваться на зубной ряд. Осуществлен контроль качества препарирования 11 и 21 (рис. 7) . Далее проведена техника тотального травления отпрепарированных поверхностей центральных резцов (рис. 8) .
Рис. 7. Отпрепарированы центральные резцы.
Рис. 8. Тотальное кислотное травление.
Использовался гель Vococid (VOCO) — 35%-ная фосфорная кислота. Гель смывался струей воды, зубы просушивались отраженной струей воздуха. Адгезивная подготовка осуществлялась универсальным бондом, подходящим для любой адгезивной техники (рис. 9) . На протравленную поверхность зубов кисточкой наносился тонкий слой Futurabond и отверждался светом галогеновой лампы (рис. 10) . Далее осуществлялось моделирование виниров с использованием следующих дентинных оттенков Grandio для 11-го зуба: пришеечная область — цвет ОА3,5, тело — ОА2 (рис. 11) .
Рис. 9. Адгезивная система Futurabond U.
Рис. 10. Адгезивная подготовка 11-го зуба.
Рис. 11. Фотоотверждаемый материал.
Изготовление классического винира начинали с нанесения на отпрепарированные поверхности опакового композита. Создается основа реставрации, которая включает в себя контур геометрической формы дентина для обозначения боковых и нижних границ винира. Моделируется признак угла коронки. Первый слой опакового пломбировочного материала Grandio помещался на срединный придесневой участок и смещался в направлении шейки зуба. Следующий слой накладывался поверх предыдущего и равномерно распределялся по всей площади. Боковые поверхности винира не доводились до контакта с соседними зубами на 1,0 мм, что обусловлено типом прозрачности эмали в этой области (рис. 12) .
Рис. 12. Нанесены опаковые слои композита.
В соответствии с инструкцией по применению композиционного материала, последний вносился слоями не более 2 мм толщины, уплотнялся к тканям зуба и отверждался галогеновым светом. Подготовленную опаковую основу, восполняющую по форме и объему дентин зуба, покрывали эмалевыми оттенками материала. Для формирования зубодесневого контура на центральный придесневой участок зуба наносилась порция эмалевого композита и разглаживалась от центра к периферии.
При моделировании эмалевого слоя применялись оттенки соответственно А3,5 и А2. Оставлено место для прозрачного оттенка Incisal в области режущего края и боковых граней (рис. 13) . Формирование контактных поверхностей завершали нанесением прозрачного композита, который распределялся с учетом индивидуальной степени прозрачности эмали. Этим же прозрачным материалом моделировали режущий край и покрывали углы винира.
Рис. 13. Моделирование эмалевого слоя.
Для реставрирования 21-го зуба цвета дентина избирались аналогично виниру 11. Шприцы эмалевого композита представлены оттенками GА3,25, А1, Incisal (рис. 14) . Дентинные оттенки для формирования винира на 21-м зубе вносились слоями до 2 мм толщины, которые в итоге восполняли объем отсутствующего дентина, не вовлекая границы эмалевого слоя (рис. 15) . Используя индивидуальные оттеночные эмалевые шприцы, достигали эффекта нейтрализации цветовых акцентов (рис. 16) . Поверхность реставрации покрывали прозрачным слоем в соответствии с типом прозрачности эмали.
Рис. 14. Шприц оттеночного композита.
Рис. 15. Опаковый слой 21-го зуба.
Рис. 16. Выполнена цветонейтрализация.
Сразу после изготовления эстетической конструкции осуществляется ее обработка: удаляется поверхностный гибридный слой, усиливается рельеф. Контурирование и полирование вестибулярной поверхности винира производили алмазными инструментами Dimanto (VOCO) (рис. 17) . После снятия коффердама контролируется адаптация по прикусу, шлифовка, полировка (рис. 18) .
Рис. 17. Полировочная система.
Рис. 18. Готовые эстетические реставрации.
Завершающим этапом лечения является покрытие окружающей реставрацию эмали фторсодержащим лаком Bifluorid 12 (рис. 19) . Контроль качества выполненной работы в отдаленные сроки показывает высокую эффективность применения метода изготовления прямого винира из фотоотверждаемого композита.
Заключение
Эстетическое реставрирование фронтальных зубов может осуществляться различными ортопедическими или терапевтическими методами. В случаях, когда для пациента имеет значение возможность сокращения финансовых затрат и длительности контакта со специалистом, в качестве альтернативы способам протезирования керамикой он выбирает прямые виниры из композиционных материалов. Последние изготавливаются в одно посещение, обеспечивая при этом эстетическую функцию зубов. Обязательным условием качественной реставрации является соблюдение этапов и правил работы фотополимерами.
Луцкая Ирина Константиновна, д. м. н., профессор, заведующая кафедрой терапевтической стоматологии БелМАПО, Беларусь, Минск
Lutskaya I.K., dms, professor, Head of the Department of Therapeutic Dentistry Belorussian Medical Academy of Postgraduate Education, Belarus, Minsk
Белоиваненко Ирина Олеговна, частнопрактикующий врач-стоматолог, Украина, Киев
Beloivanenko I. O., private practicing dentist, Ukraine, Kiev
Минск, ул. Киселева, 32
Тел: +(375) 17-334-72-86
Complete direct restoration of the upper central incisors
Аннотация. Наличие альтернативных методов эстетического лечения кариозных зубов обеспечивает пациенту возможность выбора средств и методов воздействия в соответствии с его финансовыми возможностями. Именно последний фактор в ряде случаев на первое место ставит способы прямой реставрации зубов. Так, винирные покрытия из фотоотверждаемых материалов менее затратны финансово и требуют меньшего периода времени для изготовления. В то же время они обеспечивают запросы пациента в плане эстетического восприятия, а потому находят широкое применение в эстетической стоматологии.
Annotation. The availability of alternative methods of aesthetic treatment of carious teeth provides the patient with the opportunity to choose the means and methods of influence in accordance with its financial capabilities. It is the last factor in some cases that puts the methods of direct restoration of teeth in the first place. Thus, vinyl coatings of photo-cured materials are less costly and require a shorter period of time for production. At the same time, they provide the patient’s needs in terms of aesthetic perception, and therefore are widely used in aesthetic dentistry.
Ключевые слова: прямые реставрации; виниры; фотоотверждаемые композиты.
Keyword: direct restorations; veneers; photo-curing composites.
Читайте также:
