Альвеолит. Остеомиелит лунки удаленного зуба
Добавил пользователь Владимир З. Обновлено: 22.11.2025
Что такое остеомиелит челюсти? Причины возникновения, диагностику и методы лечения разберем в статье доктора Дунаевской Натальи Вадимовны, стоматолога-ортопеда со стажем в 16 лет.
Над статьей доктора Дунаевской Натальи Вадимовны работали литературный редактор Вера Васина , научный редактор Пётр Козлов и шеф-редактор Маргарита Тихонова
Определение болезни. Причины заболевания
Остеомиелит челюсти (osteomyelitis of the jaws) — это гнойно-некротический процесс, который развивается в кости и костном мозге челюсти с вовлечением окружающих мягких тканей. Другое название заболевания — «некроз челюсти».
При острой форме остеомиелита в области повреждённого зуба возникает боль, которая усиливается при надавливании на челюсть. Наблюдается выраженный отёк, покраснение и припухлость, лицо становится несимметричным. Пациент жалуется на головные боли и общую слабость, температура тела повышается до 39 °C.
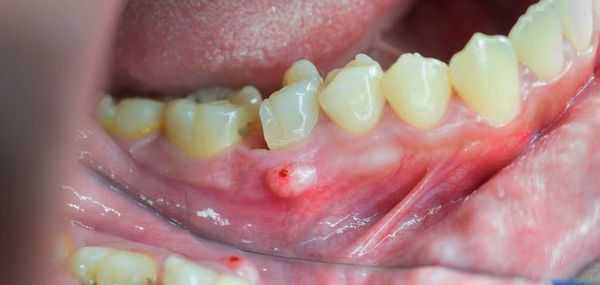
![Остеомилеит челюсти [19]](/pimg3/alveolit-osteomielit-lunki-F99BD5.jpg)
Распространённость
Острым и хроническим остеомиелитом болеют люди всех возрастов и обоих полов. Однако чаще заболевание встречается у мужчин, потому что они, как правило, несвоевременно обращаются за медицинской помощью [8] . Средний возраст пациентов составляет 39 лет [7] .
Выделяют следующие виды остеомиелита челюсти:
- Одонтогенные — развиваются из-за инфекции в зубе и составляют 74,2 % от всех случаев остеомиелита [18] .
- Травматические — возникают после травмы, например при переломе челюсти. Зачастую заболевание развивается, когда пациент обращается в больницу только на 7-10-й день после повреждения [5] .
- Гематогенные — инфекция попадает с током крови из какого-либо органа. Встречаются при хронических и острых инфекциях: скарлатине, дифтерии и хроническом тонзиллите.
Согласно статистике, 15 % больных остеомиелитом поступают в отделение в состоянии алкогольного опьянения и при опросе указывают на частый приём алкогольных напитков, 13 % сейчас или в прошлом употребляли наркотики, следовательно страдают иммунодефицитами.
У 45,7 % больных остеомиелитом, поступивших в стационар, выявлено обострение хронического процесса и нагноение мягких тканей, из которых 47,6 % случаев составляют флегмоны, а 52,4 % — абсцессы.
У 13 % пациентов с остеомиелитом челюсти выявляются гепатиты В и С, а у 2 % — ВИЧ-инфекция [5] .
Причины остеомиелита челюсти
- Позднее обращение к стоматологу — зуб долго болел, но дискомфорт подавлялся домашними методами лечения, например полосканиями с содой и солью.
- Хронические инфекционные и вирусные болезни: тонзиллит, синусит, гайморит и ангина.
- Инъекции или переливание крови, при которых инфекция может попасть в кровоток. В стоматологии часто применяют плазмолифтинг — в область слизистой оболочки дёсен инъекционно вводят обогащённую тромбоцитами плазму собственной крови пациента. При нарушении правил безопасности микробы могут попасть в кровоток.
- Травматизм, частые переломы и ранения.
- Туберкулёз и сифилис суставов.
- Аллергия.
- Иммунодефицит на фоне заболеваний или длительного приёма некоторых препаратов, например при химиотерапии.
- Стрессы, физическое и нервное истощение. При длительном стрессе нарушаются защитные функции организма и человек становится восприимчивым к инфекциям [17] .
- В очень редких случаях — нарушение функции височно-нижнечелюстного сустава.
При обнаружении схожих симптомов проконсультируйтесь у врача. Не занимайтесь самолечением - это опасно для вашего здоровья!
Симптомы остеомиелита челюсти
Симптомы зависят от типа остеомиелита, течения болезни и степени поражения тканей.
Симптомы острой формы остеомиелита подразделяются на два вида:
- Местные симптомы:
- В области повреждённого зуба возникает боль. Она усиливается при ощупывании, постукивании и лёгком надавливании на челюсть и мягкие ткани. Неприятные ощущения чаще более выражены на участках рядом с больным зубом и снижаются при давлении на него.
- Поражённый зуб постепенно расшатывается, и возникает синдром «клавиш» — соседние зубы тоже становятся подвижными.
- Шейные и подчелюстные лимфатические узлы увеличиваются и болят.
- В некоторых случаях нарушается чувствительность губ и ухудшаются вкусовые ощущения.
- Общие симптомы:
- возникают головные боли, особенно в области висков;
- развивается общая слабость и утомляемость, нарушается сон;
- температура тела повышается до 39 °C.
После острой стадии наступает подострая. На десне образуется гнойничок или свищ, через который гнойные выделения и воспалительная жидкость выходят наружу.

Затем боль утихает, но очаг инфекции остаётся, поэтому сохраняется высокая температура и нарастает слабость. Если в этот период не обратиться к врачу, то инфекция распространится по всему организму и человек может погибнуть.
Хроническая форма длится от нескольких месяцев до нескольких лет. Описанные выше симптомы то появляются, то стихают или даже полностью исчезают. При длительном течении болезни зубы становятся подвижными, челюсть утолщается и могут измениться контуры лица.
Как правило, при хроническом остеомиелите пациенты не обращают внимания на болезненные симптомы, а повышение температуры и слабость связывают с простудными заболеваниями [4] .
Патогенез остеомиелита челюсти
Выделяют три теории происхождения остеомиелита:
- Инфекционно-эмболическая теория. Основоположники этой теории считали, что костная ткань воспаляется из-за нарушения кровоснабжения. Инфекция оседает в кровеносных сосудах и закупоривает мелкие капилляры. В результате этого питательные вещества и кислород не поступают к кости, возникает гнойное воспаление и некроз. Данная теория признана некорректной после того, как было подробно исследовано строение кровеносной системы, костей и окружающих тканей [7] .
- Нервно-трофическая теория. Её приверженцы полагают, что остеомиелит развивается при обострениях болезней зубов, например при периодонтите. Также к болезни приводят нарушения в работе иммунной системы. При частых обострениях заболеваний зубов наступает сенсибилизация — иммунные клетки перестают распознавать инфекцию и развивается гнойно-некротический процесс.
- Гематогенная теория. Первоначально воспаление развивается в костном мозге и проявляется отёком и покраснением кожи. Из-за отёка увеличивается внутрикостное давление и, как следствие, сдавливаются сосуды в костном канале. Это приводит к закупорке сосудов и развитию гнойно-некротического процесса [13][14][15] .
Остальные причины — травмы, аллергия, стрессы, нарушение функции височно-нижнечелюстного сустава — провоцируют развитие остеомиелита без хронического воспаления в зубе. Такой остеомиелит можно отнести к неодонтогенному: травматическому и аллергическому. Но и в этом случае заболевание развивается на фоне нарушенного движения крови по сосудам, ухудшения её свёртываемости и гнойно-некротических процессов.
Классификация и стадии развития остеомиелита челюсти
Остеомиелит классифицируют в зависимости от распространённости, источника инфицирования и рентгенологических признаков.
Виды остеомиелита челюсти
Отдельно выделяют нетипичный остеомиелит челюсти, когда процесс протекает бессимптомно: температура тела не повышается, костная ткань разрушается незначительно, свищи не образуются. Такую форму называют первично-хроническим остеомиелитом [7] [8] .
Стадии остеомиелита челюстей
- Острая — длится 14 суток.
- Подострая — наступает на 15-20-е сутки.
- Хроническая — от 30 суток до нескольких лет.
- Обострение хронического остеомиелита [8] .
Осложнения остеомиелита челюсти
Среди осложнений остеомиелита можно выделить местные и общие. Местные возникают непосредственно в полости рта, а общие затрагивают весь организм. Общие осложнения приводят к тяжёлым последствиям, долго лечатся и иногда заканчиваются гибелью пациента.
Местные осложнения:
- разрушение кости;
- выпадение зубов из-за увеличения их подвижности;
- хроническое воспаление в полости рта;
- появление кист внутри челюсти, что характерно для острой фазы заболевания;
- контрактура височно-нижнечелюстного сустава — состояние, при котором сложно или невозможно открыть рот; ;
- флегмона — разлитое гнойное воспаление мягких тканей;
- лимфаденит — множественное увеличение лимфатических узлов [4][9] .

Общие осложнения:
Диагностика остеомиелита челюсти
Диагностика заболевания включает:
- сбор жалоб;
- визуальный осмотр;
- лабораторные исследования;
- инструментальные методы.
Сбор жалоб
Пациенты обычно жалуются на слабость, недомогание, плохое самочувствие и высокую температуру тела. Они отмечают, что зуб стал подвижным, нарушилась речь, трудно открывать рот и принимать пищу. Некоторые пациенты указывают на отёк лица с «больной» стороны.
- спрашивает о недавних травмах челюстно-лицевой области;
- выясняет, есть ли общие соматические заболевания, например сахарный диабет, болезни мочеполовой системы и желчнокаменная болезнь;
- уточняет, когда возникли симптомы, проявились ли они впервые или уже были раньше;
- узнаёт, как давно пациент посещал стоматолога.
Осмотр
Врач обращает внимание на бледность кожи и асимметричность лица, вызванную отёком мягких тканей. При ощупывании выявляется, что регионарные лимфатические узлы с поражённой стороны увеличены и болезненны. Пациент с трудом открывает рот, язык обложен налётом, изо рта исходит неприятный запах [7] .
При осмотре полости рта заметны покраснение и отёк слизистой оболочки в области больного зуба и близлежащих тканей. Зуб разрушен, подвижен при пальпации, боль усиливается при постукивании по нему. Подвижными и болезненными также могут быть несколько неповреждённых зубов в зоне поражения.
Лабораторные исследования
- Общий анализ крови. На активный воспалительный процесс указывают:
- повышение СОЭ до 40-70 мм/ч;
- лейкоцитоз, сдвиг лейкоцитарной формулы влево;
- положительная проба на С-реактивный белок;
- уменьшение альбуминов и повышение глобулинов;
- рост показателей активности щелочной и кислой фосфатазы.
- Биохимический анализ крови — позволяет исключить сахарный диабет и оценить функции почек и печени.
- Общий анализ мочи — при остеомиелите в ней появляется белок, клетки крови, гиалиновые и зернистые цилиндры.
Инструментальные методы диагностики
Компьютерная томография (КТ) — самый информативный метод диагностики остеомиелита челюсти. Это 3D-исследование, которое позволяет определить очаг инфекции и степень выраженности воспаления, его длительность и характер. С помощью КТ можно выявить не только крупные, но и мелкие образования, единичные и групповые, а также проанализировать, насколько далеко распространилась инфекция.

В некоторых случаях в свищевой ход вводят контрастное вещество. Такой метод исследования с контрастом называется фистулографией [9] [10] .
Рентгенография в первую неделю, как правило, не выявляет изменения в кости — в этот период воспалена только верхушка корня зуба. К концу второй недели кость разрушается и становится прозрачнее.
Дифференциальная диагностика
- между видами остеомиелита: одонтогенным, травматическим и гематогенным;
- острым периоститом;
- добро- и злокачественными новообразованиями;
- поражением полости рта специфическими инфекционными заболеваниями: туберкулёзом, сифилисом, актиномикозом.
Лечение остеомиелита челюсти
Лечение проводится только в стационаре под наблюдением врача и может быть медикаментозным и хирургическим [9] . По отдельности эти методы мало результативны и даже могут навредить пациенту. Схемы лечения зависят от стадии заболевания.
Лечение острого и подострого остеомиелита
При первом посещении срочно удаляют запущенный повреждённый зуб. Затем полость рта тщательно промывают антибиотиками. Это необходимо сделать, чтобы убрать из раны микробов и гной.
В следующие дни рану обрабатывают дезинфицирующими средствами и вводят инъекции противомикробных препаратов. С их помощью удаётся воздействовать непосредственно на очаг инфекции и не дать ей распространиться. В дополнение к основному лечению применяют питательные составы с витаминами С и группы В.
На подострой стадии болезни важно сдержать распространение инфекции и не дать воспалению перейти на окружающие ткани.
Для этого применяют:
- капельницы с антибиотиками;
- препараты, снижающие или подавляющие воспаление;
- резиновый дренаж для оттока экссудата.

Также в кровоток вводят витаминные комплексы и препараты, очищающие организм от микробов и продуктов их жизнедеятельности. Конкретные лекарства и дозировки подбирает лечащий врач.
Дополнительной терапией после основного лечения могут стать методы физиотерапии: УВЧ-терапия или лечение непостоянными токами. Считается, что они ускоряют процессы заживления [7] [16] .
Лечение хронического остеомиелита
При появлении некротизированных полостей с распадом кости и окружающих её тканей потребуется операция. Для этого повреждённую область рассекают, поражённые участки убирают и накладывают шину. В дальнейшем с помощью рентгенологических методов врач контролирует, как восстанавливается костная ткань [11] .
Чтобы помочь организму бороться с инфекцией, дополнительно принимают антибиотики в таблетках. Чаще всего назначают Метронидазол и усиливают его эффект препаратами из группы цефалоспоринов 3-4-го поколения.
Если состояние пациента не улучшается, то добавляют фторхинолоны или Рифампицин. Основная задача антибиотиков — не дать бактериям размножаться [7] . Лекарства помогают уменьшить воспаление и удержать патологический процесс в пределах поражённого участка.
Также ротовую полость ежедневно обрабатывают бактерицидными средствами, применяют капельницы с витаминами и плазмозамещающими жидкостями, которые очищают организм от токсинов.
Дополнительно рекомендовано полоскать рот настоями ромашки, зверобоя, мяты и окопника. Фитосредства уменьшают воспаление, ускоряют выздоровление и практически не имеют побочных эффектов.
Прогноз. Профилактика
Если пациент при первых признаках остеомиелита обращается к врачу, то прогноз благоприятный. Если же болезнь запущена, то делать какие-либо выводы сложно: неизвестно, хватит ли у организма сил для борьбы с инфекцией. В тяжёлых случаях могут развиться опасные осложнения, от которых человек может погибнуть [9] .
Самым непредсказуемым является гематогенный остеомиелит. Развитие всех других форм, как правило, можно предотвратить. Для этого достаточно придерживаться простых правил:
Альвеолит после удаления зуба - симптомы и лечение
Что такое альвеолит после удаления зуба? Причины возникновения, диагностику и методы лечения разберем в статье доктора Юрченко Михаила Вадимовича, стоматолога-хирурга со стажем в 9 лет.
Над статьей доктора Юрченко Михаила Вадимовича работали литературный редактор Елена Бережная , научный редактор Сергей Федосов
Альвеолит (альвеолярный остеит, «сухая лунка») — воспаление лунки (альвеолы) зуба после его удаления. Развитие альвеолита зависит от множества факторов, которые в конечном счете либо препятствуют формированию кровяного сгустка в лунке после удаления, либо ускоряют его дезинтеграцию (распад). [1] В результате оголенная костная ткань лунки оказывается под неблагоприятным воздействием факторов внешней среды (полости рта), вызывая типичные симптомы.
Альвеолит — самое распространенное осложнение после удаления зуба. [1] Его частота, по разным данным литературы, варьирует от 3-4% до 45% (в случае нижних зубов мудрости). [2] Сухая лунка чаще возникает при удалении моляров; на нижней челюсти чаще, чем на верхней (10:1); [3] по некоторым данным чаще у женщин, чем мужчин (5:1). [4] [5]

Факторы развития заболевания
Возникновение альвеолита зависит от множества предрасполагающих факторов. К основным факторам риска относятся:
- Хирургическая травма и сложность операции. Чем сложнее и травматичнее удаление зуба, тем более выражено послеоперационное воспаление костной ткани, как следствие — увеличивается выброс прямых активаторов плазминогена. [12] Сложные удаления (связанные с сегментацией зуба, остеотомией и отслаиванием слизисто-надкостничного лоскута) в 10 раз увеличивают риск развития альвеолита. [4]
- Опыт хирурга определяет сложность и травматичность операции, особенно в случае нижних зубов мудрости. [14]
- Нижние третьи моляры (зубы мудрости). Альвеолит чаще всего возникает после удаления нижних третьих моляров (до 45% удалений). Считается, что более плотная, менее васкуляризованная костная ткань в этом регионе и ее пониженная способность гранулировать ответственны за такую высокую частоту сухих лунок. [15]
- Общие заболевания. Сопутствующие заболевания пациента могут быть связаны с риском альвеолита. [12][16] Так, иммуннокомпрометированные лица или пациенты с сахарным диабетом более подвержены альвеолиту из-за нарушения процессов заживления. [4]
- Оральные контрацептивы — единственные препараты, прием которых повышает риск альвеолита. Считается, что эстроген косвенно усиливает фибринолитический процесс (увеличивая факторы II, VII, VIII, X и плазминоген), что вызывает распад кровяного сгустка. [17]
- Курение. Многочисленные исследования продемонстрировали связь между курением и альвеолитом. Среди группы пациентов, которым в общей сложности было удалено 4000 нижних третьих моляров, у лиц, выкуривающих полпачки сигарет в день, риск альвеолита увеличивался в 4-5 раз (12% против 2,6%) по сравнению с некурящими. Частота альвеолита увеличивалась более, чем на 20% у пациентов, выкуривающих по 1 пачке в день, и на 40% среди пациентов, куривших в день операции. [17]
- Физическая дислокация сгустка. Дислокация сгустка, вызванная неаккуратным обращением с лункой или отрицательным давлением из-за питья через соломинку, может быть причиной альвеолита. [18]
- Бактериальная инфекция. Большинство исследований говорят о бактериальной инфекции как главном факторе риска в возникновении сухой лунки. [19] Частота альвеолита выше у лиц с неудовлетворительной гигиеной и предшествующим инфекционным процессом в виде перикоронита или тяжелого пародонтита. [20]
- Локальный анестетик с вазоконстриктором. Некоторые исследования сообщают, что избыточное применение анестетика с высокой концентрацией вазоконстриктора может вызывать ишемию и затруднять заполнение лунки кровью, что увеличивает риск альвеолита. [21]
- Возраст. Считается, что частота альвеолита увеличивается с возрастом. Этот факт может быть связан с замедлением метаболизма, ослаблением иммунитета и регенеративных способностей организма. [22]
Симптомы альвеолита после удаления зуба
Жалобы, характерные для альвеолита, обычно возникают на 2-3 день после удаления, однако, в отдельных случаях могут развиться спустя несколько часов после операции. [1] Так или иначе, 95%-100% случаев возникают в течение недели. [6] [7] [8] [9] Продолжительность заболевания в среднем от 5 до 10 дней, в зависимости от тяжести.

К симптомам альвеолита относятся:
- Основная жалоба — боль. В начальной стадии возникает непостоянная ноющая боль в лунке, которая усиливается во время еды. Лунка частично заполнена рыхлым, распадающимся сгустком крови. Иногда сгусток полностью отсутствует. При дальнейшем развитии появляется интенсивная, резкая, «стреляющая» боль, иррадиирущая (распространяющаяся) в висок, затылок, ухо, соседние зубы, челюсть соответствующей половины головы.
- Из-за отсутствия кровяного сгустка лунка зияет, видна кость, она может быть покрыта налетом серого цвета, слизистая оболочка вокруг лунки гиперемирована, отечна, болезненна при пальпации.
- Неприятный (гнилостный) запах или привкус во рту. Вызван распадающимся кровяным сгустком, а также остатками пищи и налетом, накапливающимися в лунке.
- В некоторых случаях возможно повышение температуры тела и увеличение регионарных лимфатических узлов. [9][10][11]
Патогенез альвеолита после удаления зуба
В норме после удаления зуба его лунка заполняется кровяным сгустком, который, с одной стороны, служит естественной повязкой для образовавшейся раны, с другой — основанием для будущего заполнения лунки молодой костной тканью внутри и слизистой оболочкой снаружи.
Процесс нормального заживления выглядит следующим образом: при участии тромбина и фибриногена в лунке формируется кровяной сгусток, на который сверху начинает мигрировать эпителий десны. В процессе созревания молодой грануляционной ткани на стенках альвеолы в сгусток начинают врастать молодые сосуды из кости, и постепенно под влиянием клеток-фибробластов и процесса фибринолиза (разрушения фибрина) кровяной сгусток деградирует, затем начинается созревание молодой костной ткани.

При альвеолите фибринолиз ускоряется, что приводит к преждевременной дезинтеграции кровяного сгустка. Фибринолиз реализуется за счет превращения плазминогена в плазмин — белка, разрушающего фибриновые сгустки. Активация плазминогена может осуществляться за счет прямых (физиологических) и непрямых (нефизиологических) субстанций. [12] Прямые активаторы (tPA, фактор XII, урокиназа) высвобождаются в результате травмы костных клеток альвеолы. Непрямые активаторы выделяются бактериями. [5] [13]
Классификация и стадии развития альвеолита после удаления зуба
Альвеолит не классифицируется и не имеет определенных стадий развития. Симптомы начинаются на 2-3 день после удаления, продолжаются в течение 7-10 дней, затем наступает выздоровление. [1]
В некоторых источниках упоминаются серозный, гнойный и гипертрофический альвеолит, но врачи такие формы не выделяют. Нет такого разделения и в Международной классификации болезней (МКБ-10). В ней альвеолит относится к рубрике K10 Другие болезни челюстей и кодируется как K10.3 Альвеолит челюстей.
Осложнения альвеолита после удаления зуба
Несмотря на то, что альвеолит обычно характеризуется довольно выраженным дискомфортом и болью, воспаление почти всегда самоограничивается стенками лунки и не приводит к каким-либо серьезным осложнениям, хотя и требует лечения. Некоторые авторы сообщают о таких осложнениях альвеолита, как остеомиелит челюсти, абсцесс, флегмона, лимфаденит. [10]
Чтобы не допустить развития осложнений, лунку промывают тёплым физиологическим раствором и помещают в неё антисептическую повязку с препаратами на основе хлоргексидина, анестезина, лидокаина, прополиса и прочих. Подробнее об этом можно почитать в разделе "Лечение".
Диагностика альвеолита после удаления зуба
Диагноз альвеолита обычно не вызывает затруднений и устанавливается преимущественно на основании типичной клинической картины, [10] а также анамнеза (удаление зуба несколько дней назад). В качестве дополнительного метода обследования может быть выполнена рентгенография лунки для выявления в ней остатков зуба, фрагментов костной ткани и других инородных тел (если снимок не был сделан непосредственно после удаления).
Клиническая картина сухой лунки может быть сходна с другими патологиями челюстно-лицевой области или накладываться на них.
Поэтому альвеолит стоит дифференцировать от:
- острых краев альвеолы;
- необратимого пульпита и травм соседних зубов;
- травм челюстей;
- одонтогенных инфекций (периапикальный абсцесс, периостит, остеомиелит и т. д.);
- верхнечелюстного синусита в стадии обострения;
- нейрогенных причин челюстно-лицевой боли (например, невралгии тройничного нерва).
Лечение альвеолита после удаления зуба
В среднем, необходимо 7-10 дней для того, чтобы оголенные стенки лунки начали покрываться грануляционной тканью.
На первых этапах развития альвеолита требуется симптоматическая терапия, направленная на уменьшение боли и дискомфорта. [1] Лечение заболевания проводится в домашних условиях.
Местное лечение
Заключается в медикаментозной обработке (ирригации) и помещении в лунку антисептической повязки, защищающей альвеолу до момента появления грануляций. При необходимости можно выполнить очень осторожный кюретаж, не касаясь стенок лунки, чтобы не повредить хрупкую грануляционную ткань. В случае обнаружения в лунке свободных фрагментов костной ткани, остатков зуба или инородных тел стоит рассмотреть возможность полноценного кюретажа с использованием местного обезболивания.
Как промыть лунку от пищевых остатков. Ирригация помогает удалить налет и некротизированные ткани, инородные фрагменты и бактерии из лунки. Для этого можно использовать теплый физиологический раствор, протеолитические ферменты, раствор хлоргексидина биглюконата и прочие антисептики. [23]
В качестве антисептической/местно-обезболивающей повязки для лунки доступны разнообразные средства, выбор которых зависит от предпочтений и клинического опыта врача. К ним относятся препараты на основе цинк-оксид эвгенола, йодоформа, хлоргексидина, антибиотиков, анестезина, лидокаина, прополиса и прочих или их комбинации. Они могут быть внесены в лунку как самостоятельно, так и на полоске марли (турунде). Повязку необходимо периодически менять до тех пор, пока болевые ощущения не уменьшатся. [1] [5] [23] [24]
При лечении альвеолита после удаления зуба мудрости применяют те же методы, что и после удаления остальных зубов.
Общее лечение
Заключается в назначении нестероидных противовоспалительных средств (НПВС) для купирования болевого синдрома. [1]
Лечение на поздней стадии
При угрозе распространения воспалительного процесса на окружающие ткани может потребоваться антибактериальная терапия и лечение в больнице. [10]
Особенностей лечения альвеолита у детей нет — можно применять те же препараты, что и у взрослых, но с поправкой на возраст.
При своевременном выявлении и терапии прогноз отличный.
Профилактика альвеолита направлена на модификацию факторов риска, указанных выше.
Со стороны пациента: отказ от курения на период заживления лунки, поддержание адекватного уровня гигиены полости рта до и после удаления зуба, тщательное следование послеоперационным рекомендациям. Дополнительно для женщин: в случае предстоящей операции рекомендуется консультация гинеколога по вопросу временной отмены оральных контрацептивов.
Со стороны врача: максимально щадящее и атравматичное удаление зуба, контроль за количеством анестетика, вводимого в операционную область.
Поскольку альвеолит — наиболее частое осложнение после удаления зуба, многие исследователи пытаются найти эффективный метод профилактики. Тем не менее, этот вопрос остается спорным, т. к. универсальный рецепт не найден. [1] Ниже указаны некоторые наиболее популярные подходы к предотвращению сухой лунки.
Альвеолит ( Альвеолярный остеит , Сухая лунка )
Альвеолит - это посттравматическое инфицирование и воспаление зубной лунки после удаления зуба. Характеризуется сильной болью в лунке, нарушением общего состояния (слабостью, повышенной температурой тела, головной болью), увеличением подчелюстных лимфоузлов, неприятным, гнилостным запахом изо рта. В течение нескольких дней альвеолит может развиться в ограниченный остеомиелит (гнойное расплавление кости челюсти). Лечение альвеолита заключается в очищении лунки с последующим регулярным промыванием ее раствором антисептика. При своевременной санации лунки - прогноз благоприятный.
МКБ-10

Общие сведения
Альвеолит - это острое воспаление стенок лунки на месте удаленного зуба. Вместе с альвеолитом наблюдается повреждение самой лунки и размозжение окружающей ее десны. Постэкстракционным альвеолитом осложняется около 3% всех операций по удалению зубов. При удалении нижних коренных зубов альвеолит диагностируется чаще. Удаление нижних зубов мудрости с затрудненным прорезыванием в 20% случаев осложняется альвеолитом. Это самое частое постэкстракционное осложнение в хирургической стоматологии, приводящее к нетрудоспособности пациентов.
Причины альвеолита
Альвеолит встречается после экстракции зубов. В норме лунка должна заживать за несколько дней, и интенсивных болей уже через сутки после удаления зуба быть не должно. В результате того, что сгусток крови, прикрывающий ранку, был сдвинут или же не сформировался вообще, лунка инфицируется. Возникает альвеолит, заживление раневой поверхности затягивается.
Нарушения постоперационного режима, когда активное полоскание полости рта приводит к вымыванию тромба и обнажению раневой поверхности с последующим ее инфицированием, являются основными причинами альвеолитов. К альвеолиту может привести нарушения гигиены полости рта, попадание в лунку пищи. Нелеченый кариес соседних зубов и воспалительные процессы в полости рта приводят к альвеолитам. Поэтому если нет экстренных показаний для экстракции зуба, то сначала проводят лечение кариеса.
Симптомы альвеолита
После экстракции зуба болезненные ощущения являются нормальным явлением. По мере заживления лунки боль утихает и через несколько дней проходит. При альвеолите дискомфорт и боль сначала стихают, но на 3-5 день после экстракции зуба, появляется сильная, иногда пульсирующая боль в лунке. По мере развития инфекционного процесса боль усиливается. Тяжесть альвеолита характеризует болевой синдром: боль может быть умеренной или пульсирующей нестерпимой. Болезненность наблюдаются только в области удаленного зуба, но иногда при альвеолите боль иррадиирует на всю половину лица.
При альвеолите температура может подниматься до субфебрильных цифр, повышается чувствительность зубов к холодной/горячей пище. Иногда увеличиваются регионарные лимфатические узлы, появляется горький привкус во рту и зловонное дыхание. Из-за болезненных ощущений снижается аппетит, повышается слюноотделение. Если лунка зуба была довольно большого размера, то альвеолит сопровождается припухлостью лица. Иногда страдает общее состояние, появляется слабость, повышенная утомляемость, иногда на слизистой оболочке полости рта возникают вторичные инфекционные очаги.
Диагностика
Появления острой боли на 3-5 день после экстракции зуба и затянувшийся процесс заживления лунки являются основными признаками альвеолита. Хронический альвеолит может выявиться во время профилактических осмотров, когда на месте давно удаленного зуба имеется совершенно пустая без грануляционных тканей лунка, на ее дне нередко видна кость. Выявить наличие изменений тканей и подтвердить диагноз альвеолита помогает рентгенография или радиовизиография области удаленного зуба.
Лечение альвеолита

Целью лечения альвеолита является устранение очага инфекции, предотвращение осложнений и сохранение остального зубного ряда.
Местно прибегают к механическому очищению лунки и к последующему вымыванию гнойных остатков с помощью раствора нитрофуранов или перекиси водорода. Для купирования болевого синдрома используют местные аппликации с анальгетиками и анестетиками. Примочку прикладывают на полчаса, потом удаляют ее, чтобы предотвратить в ней размножение микробов. Процедуру можно повторять несколько раз в день. Применение таблетированных анальгетиков нецелесообразно, так как требует больших дозировок, что чревато острыми гастритами.
При наличии сопутствующих заболеваний и снижении иммунитета применяют антибиотики. Если симптомы альвеолита в течение нескольких дней не стихают, то это указывает на развитие ограниченного остеомиелита. При своевременном обращении к стоматологу и лечении альвеолит проходит в течение нескольких дней, остаточные луночные боли могут затягиваться на 2-3 недели.
1. Профилактика и лечение альвеолита/ Родионов Н.Т., Андреева Е.П., Доброродова С.В., Столетняя Т.П.// Вестник Смоленской государственной медицинской академии. - 2010.
2. Эволюция методов лечения альвеолитов челюстей/ Трифонов Б.В., Овчинников И.В.// Актуальные проблемы медицины. - 2011.
3. Результаты лечения альвеолита лунки зуба с применением пасты "Альвожил"/ Мирзакулова У.Р., Агибаева Г.А.// Вестник Казахского Национального медицинского университета. - 2019.
4. Альвеолит. Частота развития осложнения по данным официальной статистики муниципальных стоматологических поликлиник и кабинетов/ Н. М. Стефанцов, Д. В. Желанов// Вестник Смоленской государственной медицинской академии. - 2009.
Альвеолит после удаления зуба — симптомы и лечение
Альвеолит лунки после удаления зуба — воспалительное осложнение, развивающееся вследствие проникновения инфекции в рану. Составляет около 20% от всех неблагоприятных последствий, встречающихся после экстракции зубной единицы. Заболевание полиэтиологическое, имеет выраженную клиническую картину. Состояние требует незамедлительного лечения. Наша клиника семейной стоматологии диагностирует патологию и поможет избежать серьезных осложнений.
Описание заболевания
Не все пациенты хирурга-стоматолога знают о том, что после удаления возможно развитие воспаления, поэтому часто задают вопрос: «Альвеолит — это что такое, и почему он возникает?». Другие названия заболевания: «сухая лунка», «альвеолярный локальный остеит». В основе патогенеза состояния лежит нарушение формирования физиологического сгустка или его выпадение из лунки после удаления зуба, что чаще всего происходит из-за нарушения послеоперационного режима или низкой иммунорезистентности человека.
Воспаление альвеолы возможно только вследствие удаления сегмента. Альвеолит после лечения зуба развиться не может, так как лунка образуется только в результате экстракции единицы.
Основные причины появления альвеолита после удаления зуба
Удаление зуба — хирургическая манипуляция, которая сопровождается образованием раны. В ней формируется кровяной сгусток, защищающий ее от проникновения микроорганизмов. Воспаление лунки зуба после удаления происходит вследствие нарушения процесса формирования или смещения тромба. Наиболее частые причины патологии:
- Сложная экстракция. Чем выше травматичность операции, тем больше снижается способность тканей к регенерации и возрастает вероятность инфицирования. Строение корневой системы третьих моляров отличается сложным строением, поэтому их экстракция всегда травматична. Кроме того, кость в зоне восьмерок имеет повышенную плотность и менее васкуляризирована по сравнению с другими зонами, что также создает условия для образования сухой лунки.
- Сопутствующие соматические заболевания пациента (сахарный диабет, иммунодефицитные состояния).
- Перикоронарит в анамнезе (воспаление мягких тканей вокруг зуба).
- Наличие очагов инфекции во рту до операции. Проникая в рану со слюной, патогенная флора вызывает альвеолит.
- Неадекватная санация альвеолы. После удаления необходим тщательный кюретаж раны от обломков костной ткани, корней, кусочков пломбы, грануляций. Посторонние фрагменты нарушают заживление, приводят к альвеолиту.
- Превышение дозы анестетика. Приводит к сужению просвета капилляров, развитию местной ишемии, что нарушает заполнение лунки кровью.
- Механическое повреждение сгустка. Несоблюдение рекомендаций врача в послеоперационный период (полоскание рта, неосторожная чистка зубов, др.).
- Нарушение гемостаза. Вследствие плохой свертываемости крови сгусток не образуется.
Спровоцировать альвеолит могут курение, прием гормональной контрацепции, недостаточная гигиена ротовой полости. Определенное значение для развития альвеолита после удаления зуба играет возраст: чем старше пациент, тем больше вероятность развития патологии. Это связано с замедлением метаболических процессов, снижением регенеративной способности клеток тканей.
Симптомы альвеолита лунки
Альвеолит проходит несколько этапов развития, каждому из которых соответствует своя клиническая картина:
| Стадия | Описание |
| Серозное воспаление | Первые клинические симптомы появляются на следующий день или по истечении 3 — 4 суток после операции. Негнойное воспаление проявляется появлением эпизодической болезненности и отечности мягких тканей вокруг альвеолы. |
| Гнойный альвеолит | Если не были приняты меры на предыдущей стадии, в течение нескольких дней развивается гнойный процесс. Боль приобретает постоянный характер, иррадиирует в ушную раковину, челюсть, соседние зубы. Инфекция распространяется на близлежащие лимфоузлы, что приводит к их увеличению. Внутри лунки появляется серо-зеленый налет. Повышается температура. |
| Гнойно-некротическая стадия | Боль усиливается, становится пульсирующей. Изо рта появляется гнилостный запах. Прогрессирование приводит к нарушению микроциркуляции, ишемии, развитию некроза. Самочувствие пациента значительно ухудшается, появляются признаки интоксикации. |
| Гипертрофическое изменение тканей | Отсутствие врачебного вмешательства в течение 14 дней приводит к хронизации процесса. Болезненность и отечность становятся не такими выраженными. Мягкие ткани разрастаются, заполняют луночковое отверстие. При надавливании на грануляции выделяется гной. Слизистая отечна, синюшного цвета. |
При отсутствии лечения альвеолит имеет неблагоприятный исход. Основные осложнения после альвеолита:
- флегмона (обширное гнойное воспаление);
- острый периостит (воспалительный процесс надкостницы);
- остеомиелит (гнойно-некротическое воспаление челюстной кости);
- сепсис (гнойно-септическое заболеванием крови).
Альвеолит после удаления зуба мудрости
Показания для удаления восьмых сегментов в ряду могут быть разными: глубокий кариес, неправильное прорезывание, ортодонтическое исправление прикуса челюсти, дистопия, др. Экстракция третьих моляров всегда сопряжена с травматизацией рядом расположенных тканей, что повышает развитие воспаления. Патологический процесс наблюдается в 45% случаев вследствие удаления нижних зубов мудрости.

Симптомы альвеолита после удаления зуба мудрости аналогичны общей симптоматике заболевания. Однако, при такой локализации воспаления может возникать боль в горле, нарушение функциональности височно-нижнечелюстного сустава со стороны поражения (затрудненное и болезненное открывание рта).
Методы диагностики альвеолита
От своевременной диагностики и лечения зависит, как долго будет заживать альвеолит. Поэтому при первых признаках болезни необходимо обратиться к стоматологу. Выявление патологии происходит после выслушивания жалоб, сбора анамнеза (где присутствует недавняя экстракция зуба) и осмотра луночковой полости.
Иногда врач назначает рентгенографическое исследование, помогающее обнаружить обломки зуба, другие посторонние фрагменты в альвеоле. В редких случаях при диагнозе альвеолит зубной лунки назначают компьютерную томографию с целью дифдиагностики других заболеваний (травма, опухоль, др.).
Как лечить альвеолит после удаления зуба
Основная задача коррекции направлена на устранение причины, вызвавшей патологию и купирование воспалительного процесса. Чем лечить альвеолит после удаления зуба решает врач. Тактика терапии зависит от стадии патологического процесса. Она может включать ревизию (при необходимости кюретаж) лунки, медикаментозное лечение, физиотерапию (лазер, магнит, флюктуоризация, УФО). Все манипуляции проводят под местным обезболиванием.
Программа лечебных мероприятий:
- Местное обезболивание.
- Антисептическая обработка раны (удаление слюны, пищевых остатков, гноя).
- Освобождение полости от распавшегося кровяного сгустка, инородных включений (осколки зуба, остатки корней, т. д.), гранулированной ткани.
- Повторная обработка антисептиком, наложение турунды, пропитанной обезболивающим препаратом.
- Наложение лекарственной антисептической повязки.
При лечении альвеолита врач может использовать протеолитические энзимы (трипсин, химотрипсин), которые расщепляют некротизированную ткань, чем способствуют очищению лунки. Для снижения болевых ощущений делают блокаду местными анестетиками, которые вводят в мягкие ткани возле воспаленной альвеолы. Для подавления инфекционного процесса назначают курс антибиотикотерапии.
Остеомиелит нижней и верхней челюсти: причины, симптомы и лечение
Остеомиелит носит инфекционный характер, классифицируется на несколько основных видов и чаще всего проявляется у мужской части населения. Тактика лечения остеомиелита челюсти зависит от выраженности симптомов и этиологии болезни.

Что такое остеомиелит челюсти
Остеомиелит в стоматологии - это воспаление костной ткани челюсти инфекционного и гнойного характера. К возбудителям болезни относятся:
- стафилококки;
- кишечная палочка;
- туберкулезная палочка;
- риккетсии;
- стрептококки;
- синегнойная палочка;
- клебсиелла;
- грамотрицательные бактерии;
- вирусы.
Чаще всего встречается стрептококковое и стафилококковое инфицирование челюстных тканей. Нередко заболевание приводит к генерализации инфекции, из-за чего происходит заражение всей костной системы человека и тканей, находящихся неподалеку.
Остеомиелит - это мультифакторная болезнь, на вероятность ее развития влияют:
- инфицирование патогенными микроорганизмами;
- состояние иммунной системы;
- нарушение местного кровообращения.
Причины возникновения
Челюстной остеомиелит возникает из-за проникновения в организм болезнетворных бактерий или вирусов. Дальнейшее течение болезни зависит от состояния иммунитета человека. Если он в порядке, то заболевание переходит в хроническую стадию или вовсе не развивается. Но при иммунодефиците воспалительный процесс начнет прогрессировать.
Какие болезни провоцируют остеомиелит
Все причины развития остеомиелита можно разделить на несколько разновидностей:
Источник заражения - больной зуб. Вредные вещества попадают в кость через пульпу при:
- пульпите;
- альвеолите;
- периодонтите;
- кисте корня зуба.
Патогенные микроорганизмы попадают в костную систему из первичного источника воспаления:
- тонзиллит (хроническая и острая форма заболевания);
- фурункулез;
- отит;
- скарлатина;
- грипп;
- омфалит.
- переломы челюсти;
- глубокие порезы;
- огнестрельные ранения;
- повреждение слизистой оболочки носа;
- инфицирование во время операции.
Тактика лечения зависит от точного диагностирования, но при любом виде патологии сначала надо уничтожить источник воспаления, а только потом воздействовать на органы и системы, которые были заражены вторично. Если пациент страдает сахарным диабетом, патологией кроветворных органов или онкологическим заболеванием, прогнозы ухудшаются.
Остеомиелит после удаления зуба
Остеомиелит может возникнуть после удаления зуба. В этом случае инфекция попадает в лунку из-за недостаточно качественной обработки полости рта. Из лунки болезнетворные микроорганизмы проникают в костную ткань. Одним из основных признаков заболевания становится повышенная подвижность зубов, находящихся рядом с лункой.

Остеомиелит при наличии молочных зубов
Кариозная полость в молочном зубе, которую вовремя не вылечили, также может стать причиной развития патологии. Причем инфекция нередко разрушает зачатки основного зуба, поэтому при появлении любых проблем с молочными зубами, их надо быстро лечить, а не надеяться на то, что они скоро выпадут. Молочные зубы тоже удаляют, если они стали источником воспаления в организме.
Виды и симптомы остеомиелита челюсти
Симптоматика заболевания зависит от локализации очага инфекции, вида и формы патологии. При остеомиелите верхней челюсти к симптомам развития патологии можно отнести иррадиирующие боли в глазное яблоко, висок или ухо, а при нижнечелюстной патологии боль отдает в шею или даже в плечо.
Одонтогенный
В стоматологии обычный одонтогенный остеомиелит считают наиболее распространенной формой заболевания. Эта болезнь возникает в качестве осложнения зубных патологий.

На фото признаки острого одонтогенного остеомиелита
Симптомами патологии считаются:
- резкое увеличение температуры;
- отек лица, особенно у края глазницы;
- увеличение лимфоузлов;
- появление гноя в носовых ходах;
- возникновение свищевых ходов;
- болезненность лица при пальпации.
Травматический

На фото показан травматический остеомиелит нижней челюсти
Главными симптомами травматического остеомиелита являются:
- сильный озноб;
- выделение экссудата из места травмирования;
- болезненные ощущения в раневой зоне;
- интоксикация организма.
Самые частые симптомы остеомиелита нижней челюсти - отечность и появление ложного сустава. Ложный сустав возникает из-за нарушения регенерирующего процесса костной ткани после перелома. Отломки соединяются рыхлой тканью, а не костной мозолью, из-за чего они неплотно зафиксированы друг с другом.
На ранних стадиях патологии клиническая картина может быть стерта из-за травмы, она начинает активно проявляться лишь на 3-5 день после инфицирования.
Гематогенный
Развитие гематогенного остеомиелита связано с попаданием патогенной микрофлоры в челюсть из другой воспаленной области.
- вялость;
- отек слизистой;
- высокая температура;
- бледность кожных покровов;
- появление свищей;
- общая интоксикация организма.
Болезнь нередко сопровождается воспалением костей всего черепа и поражением некоторых внутренних органов.
Острая форма болезни
Острый остеомиелит челюсти возникает внезапно и характеризуется общими и локальными симптомами. К признакам заболевания относятся:
- увеличение температуры до 40 °C;
- бледность кожных покровов;
- сильные боли в месте нахождения патогенного зуба, со временем они теряют четкую локализацию и распространяются на всю челюсть;
- расшатывание болезненного зуба;
- внезапная слабость;
- артрит челюстного сустава;
- болевые ощущения при глотании;
- зловонный запах изо рта;
- отек и гиперемия мягких тканей;
- повышенная потливость;
- ярко выраженная асимметрия лица;
- увеличение лимфоузлов.
При наличии этих симптомов показано проводить дифференциальную диагностику:
- со специфической формой туберкулеза, сифилиса или актиномикоза;
- с гнойным периоститом;
- с онкологическими болезнями челюсти.
Хроническая форма
Хронический остеомиелит образуется на фоне острой формы заболевания и сильного иммунитета. Иногда болезнь переходит в хроническую стадию из-за неправильно подобранного лечения. Симптоматика патологии:
Фото рецидивирующего одонтогенного остеомиелита нижней челюсти
Перед началом лечения требуется провести лабораторные исследования, на их основании можно определить наличие воспаления в организме:
- повышение СОЭ;
- лейкоцитоз;
- лейкопения (при генерализованной форме);
- большое содержание палочкоядерных нейтрофилов;
- гемолитическая анемия;
- гипоальбуминемия;
- гиперглобулинемия;
- наличие C-реактивного белка;
- рост трансаминаз печени;
- снижение уровня калия, хлора и натрия;
- повышение уровня фосфора и кальция.
- эритроцитов;
- эритроцитарных цилиндров;
- следов белка.
- забора биоптата из гнойного очага воспаления;
- определения возбудителя.
Показывает классические признаки остеомиелита:
Одонтогенный остеомиелит на рентген-снимке
Лечение остеомиелита при воспалении кости челюсти
Лечение зависит от этиологии и симптоматики заболевания. Оно должно включать следующие разновидности терапии:
- антибактериальную;
- иммуномодулирующую;
- десенсибилизирующую.
Если нет возможности вылечить болезнь таблетированными средствами, показано оперативное вмешательство.
Принимать обезболивающие таблетки можно только после консультации с врачом, неконтролируемый прием подобных препаратов может привести к серьезным осложнениям. Эти лекарства направлены на снятие болевого синдрома, а не на устранение очага инфицирования.
Антибиотики при остеомиелите
Антибиотики назначаются при остеомиелите челюсти до хирургического вмешательства и санации очага инфицирования, что помогает ускорить процесс угнетения болезнетворных микроорганизмов и предотвратить их активное размножение.
Классификация
Для лечения остеомиелита чаще всего используются следующие антибактериальные препараты:
- пенициллины: Амоксицилин, Бензилпенициллин, Нафциллин;
- цефалосорины особенно эффективны в отношении стафилококкового остеомиелита: Цефтриаксон, Цефуроксим;
- фторхинолы: Левофлоксацин, Ципрофлоксацин;
- аминогликозиды: Амикацин, Торбамицин;
- гликопептиды: Ванкомицин, Тейкопланин.
Для предупреждения развития микотической (грибковой) инфекции, помимо антибиотиков, следует принимать Флуконазол, Нистатин или Кетоконазол.
Пробиотики после антибиотиков
После курсового приема антибиотиков показаны пробиотики:
- монокомпонентные: Лактобактерин, Бифидумбактерин, Бактиспорин;
- поликомпонентные: Бифилонг, Ацилакт, Ацинол, Линекс;
- комбинированные: Бифилиз, Бифидумбактерин форте.
Оперативное лечение в стоматологической клинике
Оперативное лечение остеомиелита состоит из различных шагов, которые выполняются в зависимости от клиники заболевания и результатов комплексного обследования. К ним относятся:
- Радикальная хирургическая обработка: секвестрэктомия, секвестрнекрэктомия, трепанация длинной кости, резекция челюстной кости.
- Проведение остеосинтеза.
- Замещение полостей васкуляризованными тканями.
- Лечение дефектов мягких тканей.
- Хирургическая обработка очага инфицирования.
- Удаление зуба.
Операции при остеомиелите проводятся во всех крупных городах России (не только в Москве или Санкт-Петербурге). Перед тем как согласиться на хирургическое вмешательство, целесообразно запросить у клиники лицензию на проведение манипуляций такого плана.
Местная терапия
Сразу же после оперативного вмешательства необходимо обработать поверхность раны антисептиками - Левосином, Хинифурилом, Йодопироном или Мирамистином. Помимо этого, следует применять пенообразующие аэрозоли Диоксизоль и Аминитрозол, а также раневые покрытия (стерильные листы) Альгимаф, Гентацикол и Альгипор. Такая обработка поможет предупредить послеоперационное гнойное воспаление челюсти.
Физиотерапия
К наиболее эффективным методам физиотерапии при заболеваниях челюстей относятся:
- электрофорез с растворами антибиотиков;
- ультравысокочастотная терапия;
- УФ-облучение.
Средства народной медицины
Препараты народной медицины - это необязательная часть комплексного лечения остеомиелита. Эту болезнь нельзя лечить в домашних условиях примочками из трав, но для снятия некоторых воспалительных симптомов можно использовать следующие средства (при условии подходящей антибактериальной терапии и разрешения врача):
- мумие;
- прополис и продукты пчеловодства;
- раствор соды и соли;
- травяные отвары.
Эти средства обладают слабовыраженным лечебным действием, но они могут использоваться в комплексной терапии остеомиелита, так как практически не имеют побочных эффектов.
Осложнения
Если не заниматься лечением первичного или хронического остеомиелита верхней и нижней челюсти, болезнь может привести к серьезным осложнениям:
- инфицирование мягких тканей лица, шеи и даже спины;
- сепсис и генерализация инфекции;
- воспаление орбитальной области, что может привести к потере зрения;
- менингит.
Если выбрать неправильный способ лечения, остеомиелит может перерасти в остеонекроз - отмирание клеток кости, поэтому нельзя затягивать обращение к доктору.
Другие заболевания челюсти у людей
Остеомиелит челюсти можно спутать с иными заболеваниями, наиболее распространенные:
| Название заболевания | Определение | Краткое описание |
|---|---|---|
| Остит | Воспаление костной ткани за пределами периодонта зуба. | Как самостоятельное заболевание остит существует недолго, он быстро перерастает в периостит. |
| Периостит | Воспаление надкостницы. | Бывает острым и хроническим, гнойным и серозным. Гнойная форма болезни развивается как осложнение гнойного периодонтита, серозная - из-за травм. Гнойный периостит сопровождается расплавлением мягких тканей и надкостницы, что приводит к формированию свищей. |
| Сепсис | Инфекционное воспаление костных тканей. | Возникает из-за наличия в организме очага инфекции, часто приводит к смерти больного. |
| Киста | Полость на корне зуба или в самой кости с эпителиальной выстилкой или без нее. | Имеют одонтогенный (из-за заболеваний зубов) и неодонтогенный генез. |
| Фиброзная дисплазия | Образование доброкачественной опухоли. | Процесс сопровождается существенной деформацией формы лица. Причины заболевания неизвестны, врачи не исключают влияние наследственности. |
| Остеосаркома, хондросаркома, лимфома | Злокачественные опухоли. | Развиваются в любых костных тканях и даже в челюсти. |
При малейшем подозрении на остеомиелит костной ткани верхней или нижней челюсти нужно обращаться к стоматологам, не дожидаясь усиления симптомов и возникновения осложнений. Лучше удалить проблемный зуб, а не ждать образования отека или опухоли. К тому же признаки недомогания могут указывать на более серьезное заболевание, выявить которое может только врач.
Читайте также:
