Анатомия: Рентгеноанатомия сердца. Контуры сердца
Добавил пользователь Евгений Кузнецов Обновлено: 21.11.2025
Рентгенологическое исследование сердца живого человека производится преимущественно путем рентгеноскопии грудной клетки в различных ее положениях. Благодаря этому удается осмотреть сердце со всех сторон и получить представление о его форме, величине и положении, а также о состоянии его отделов (желудочков и предсердий) и связанных с ними крупных сосудов (аорта, легочная артерия, полые вены).
Основным положением для исследования является переднее положение обследуемого (ход лучей сагиттальный, дорсовентральный). В этом положении видны два светлых легочных поля, между которыми расположена интенсивная темная, так называемая срединная, тень. Она образована наслоившимися друг на друга тенями грудного отдела позвоночного столба и грудины и находящимися между ними сердцем, крупными сосудами и органами заднего средостения. Однако эту срединную тень рассматривают только как силуэт сердца и крупных сосудов, ибо остальные упомянутые образования (позвоночник, грудина и др.) обычно не вырисовываются в пределах сердечно-сосудистой тени. Последняя в нормальных случаях как справа, так и слева заходит за края позвоночного столба и грудины, которые становятся видимыми в переднем положении лишь в патологических случаях (искривление позвоночника, смещение сердечно-сосудистой тени и пр.)
Названная срединная тень имеет в верхней части форму широкой полосы, которая расширяется книзу и влево в виде неправильной формы треугольника, обращенного основанием книзу. Боковые контуры этой тени имеют вид выступов, отделенных друг от друга вдавлениями . Выступы эти называются дугами. Они соответствуют тем отделам сердца и связанным с ним крупным сосудам, которые образуют края сердечно-сосудистого силуэта.
В переднем положении боковые контуры сердечно-сосудистой тени имеют две дуги справа и четыре - слева. На правом контуре хорошо выращена нижняя дуга, которая соответствует правому предсердию; верхняя слабо выпуклая дуга расположена медиальнее нижней и образована восходящей частью аорты и верхней полой веной. Эту дугу называют сосудистой. Выше сосудистой дуги видна еще небольшая дуга, направляющаяся вверх и кнаружи, к ключице; она соответствует плечеголовной вене. Внизу дуга правого предсердия образует острый угол с диафрагмой. В этом углу при низком стоянии диафрагмы на высоте глубокого вдоха удается видеть вертикальную теневую полоску, которая соответствует нижней полой вене.
На левом контуре самая верхняя (первая) дуга соответствует дуге и началу нисходящей части аорты, вторая - легочному стволу, третья - левому ушку и четвертая - левому желудочку. Левое предсердие, расположенное в большей своей части на задней поверхности, не является краеобразующим при дорсовентральном ходе лучей и поэтому не видимо в переднем положении. По этой же причине не контурируется расположенный на передней поверхности правый желудочек, который к тому же внизу сливается с тенью печени и диафрагмы. Место перехода дуги левого желудочка в нижний контур сердечного силуэта отмечается рентгенологически как верхушка сердца.
В области второй и третьей дуг левый контур сердечного силуэта имеет характер вдавления или перехвата, который называют "талией" сердца. Последняя как бы отделяет само сердце от связанных с ним сосудов, составляющих так называемый сосудистый пучок.
Поворачивая обследуемого вокруг вертикальной оси, можно увидеть в косых положениях те сегменты, которые в переднем положении не видны (правый желудочек, левое предсердие, большая часть левого желудочка). Наибольшее применение получили так называемые первое (правое сосковое) и второе (левое сосковое) косые положения.
При исследовании в левом сосковом положении (обследуемый стоит косо, прилегая к экрану областью левого соска), видны четыре легочных поля, отделенные друг от друга грудиной сердечно-сосудистой тенью и позвоночным столбом: 1) престернальное, лежащее впереди тени грудины и образуемое наружной частью пробразован вверху восходящей частью аорты, затем левым предсердием и внизу - правым предсердием и нижней полой веной; передний контур восходящей частью аорты, легочным стволом и левым желудочком.
Рентгеноанатомия сердца в прямой проекции
Перфузионная сцинтиграфия сердца, выполняемая с помощью ОФЭКТ и ПЭТ, применяются для оценки жизнеспособности миокарда, причём эти методы являются более чувствительные, чем перфузионная МРТ. В качестве РФП применяются 99м Тс-тетрафосмин, 123 I, 11 С -жирные кислоты (ЖК), 11 С-ацетат, 18 F-дезоксиглюкоза. Выбор ЖК и дезоксиглюкозы объясняется тем, что основным энергетическим субстратом миокарда являются жирные кислоты и глюкоза, поэтому их недостаток, обусловленный коронаросклерозом, сразу сказывается на жизненной способности миокарда, а значит на его сократительной способности. В частности, ПЭТ с 18 F-дезоксиглюкозой используется для определния жизнеспособности миокарда: отсутсвие перфузии и метаболизма в области ишемии миокарда свидетельствует о его нежизнеспособности, накопление же 18 F-дезоксиглюкозы в зоне аперфузии говорит о наличии в зоне ишемии функционально активных кардиомиоцитов, которые находится в состоянии гибернации (засыпания), и которые после после полного восстановления кровотока будут полноценно функционировать. Таким образом, данные ОФЭКТ или ПЭТ позволяют распознать инфаркт миокарда в первые часы после его развития, а в дальнейшем выбрать правильную тактику хирургического лечения ИБС.
Сцинтиграфия зоны инфаркта миокарда основана на использовании РФП, накапливающегося в поврежденном участке миокарда («позитивная сцинтиграфия»). Для этого используют внутривенное введение препарата 99м Тс-пирофосфат, который обладает тропностью к некротизированной ткнаи, и накапливается в зоне инфаркта к концу 9-10 часа после введения. Метод обладает большой чувствительность и специфичностью (в 95% при трансмуральных и в 75% при субэндокардиальных инфарктах). Поскольку препарат одновременно может накапливаться в костных образованиях грудной клетки (грудина, ребра, позвоночник), визуальная оценка сцинтиграмм сердца не всегда проста.
Сердце в прямой проекции имеет тень косо расположенного овала (рис. 30). Выделяют обычное, косое положение оси сердца, когда ось сердца (она проводится от верхушки сердца - место пересечения левого контура сердечной тени с левым куполом диафрагмы, до правого атриовазального угла - выемка на правом контуре сердца между двумя дугами) образует с горизонтальной линией, проведенной через верхушку сердца, угол 40-45°. В этом случае правый атрио-вазальный угол занимает середину правого контура сердечной тени. При вертикальном положении сердца угол оси сердца с горизонталью равен более 45°, а правый атрио-вазальный угол смещается вверх, то есть нижняя дуга правого контура становится длиннее верхней. При горизонтальном положении сердца угол между осью сердца и горизонталью равен менее 40°, а правый атрио-вазальныйугол смещается вниз (длиннее становится верхняя дуга правого контура тени сердца).
Кроме определения положения оси сердца необходимо выяснить его положение по отношению к срединной линии тела, то есть исключить смещение сердца вправо (декстрокардия) или влево (левокардия.). При косом положении оси сердца соотношение правого поперечника сердца (линия от срединной линии тела до правого контура сердца на уровне нижней дуги) к левому (линия от срединной линии тела до левого контура на уровне нижней левой дуги) равно 1:2. При вертикальном положении сердца это соотношение составляет 1:1,5, а при горизонтальном - 1:3.
Правый контур сердечной тени образован двумя дугами: верхняя (первая) дуга образована верхней полой веной у детей и восходящей аортой у взрослых, нижняя (вторая) дуга образована правым предсердием. Правая граница сердца на уровне дуги правого предсердия должна выбухать от правого края позвоночника на 1,5-2 см, и степень выбухания правого предсердия в норме всегда больше верхней дуги.
Левый контур сердечной тени образован четырьмя дугами. Первая дуга образована дугой аорты, и в норме она выбухает от левого края позвоночника на 1-1,5 см. Вторая дуга образована легочной артерией, и в норме она всегда выбухает меньше, чем дуга аорты. Третья дуга образована левым предсердием, четвертая - левым желудочком. Они не дифференцируются между собой, то есть после западения контура сердца на уровне легочной артерии (а это западение называется левым атриовазальным углом или талией сердца) идет одна большая дуга до самой диафрагмы, верхний отрезок которой длиной 2 - 3 см и образован левым предсердием.
Левая граница сердца определяется по степени выбухания четвертой дуги, то есть дуги левого желудочка, и в норме эта дуга обычно соответствует левой срединно-ключичной линии. Для точного определения размеров сердца определяется кардиоторакальный индекс (КТИ), который в норме не превышает 50%. Он определяется следующим образом: правый поперечник сердца (расстояние от срединной линии до наиболее выступающей точки правой нижней дуги) суммируется с левым поперечником сердца (расстояние от срединной линии до наиболее выступающей точки левой нижней дуги), полученный результат делят на ½ поперечника грудной клетки (горизонталь, проведенная на уровне правого купола диафрагмы - передний отрезок 6-го ребра до внутренних краёв рёбер) и умножают на 100.
Далее оценивается величина кардио-диафрагмальных углов: правый должен быть прямым или острым, левый - тупым.
Подробное описание сердечной тени на рентгенограмме грудной клетки идёт в следующей последовательности:
Нормальная рентгеноанатомия сердца
Сердце расположено в грудной полости верхушкой влево, вниз и кпереди, а основанием - вправо, вверх и кзади. При этом 2/3 массива - слева от средней линии и 1/3 - справа. Положения во многом зависит от высоты стояния диафрагмы и конституционального типа. Различают три типа положения сердца по величине угла отклонения оси сердца; косое положение - на 45°; вертикальное положение более чем на 45°; горизонтальное положение менее чем - на 45°.

ПОЛОЖЕНИЕ СЕРДЦА.
Сердце расположено в грудной полости верхушкой влево, вниз и кпереди, а основанием — вправо, вверх и кзади. При этом 2 /з массива —слева от средней линии и 7з — справа. Положение сердца во многом зависит от высоты стояния диафрагмы и конституционального типа. Различают три типа положения сердца по величине угла наклонения оси сердца; косое положение — на 45° (1); вертикальное положение — более чем на 45° (2); горизонтальное положение—менее чем на 45°
Сердце выглядит как однородное, интенсивное затемнение. Контуры тени сердца выступают на 2-3 см. вправо от правого контура позвоночника. Контур верхушки слева не доходит на 2-3 см. до средне-ключичной линии. Кверху изображение сердца переходит в тень средостения, которое на этом уровне составлено крупными сосудами - аортой, верхней полой веной и легочной артерией.
Между контурами сосудистого пучка и сердечным обвалом образуются сердечно-сосудистые углы. Эта выемка называется талией сердца. Углы между контурами сердца и диафрагмой называются сердечно-диафрагмальными углами.
В норме контуры сердца равные, четкие имеют вид дуги.
Лучевое исследование функций сердца:
R-скопия - оценивает сокращение, расслабление сердца, пульсацию аорты и легочной артерии.
Рентгенография сердца - выявляет положение, форму, величину сердца и магистральных сосудов, размеры грудной клетки, состояние легких, диафрагмы.
Проводят 4 стандартных проекциях: передняя, I (правая) косая, II (левая) косая и Λ боковая.

СХЕМА ПРОЕКЦИИ СЕРДЦА В ПЕРЕДНЕМ ПОЛОЖЕНИИ
1 — контур левого желудочка; 2—контур восходящей аорты; 3 — правый желудочек; 4 — контур правого предсердия; 5 — контур ушка левого предсердия; в — контур верхней полой иены; 7 — легочная артерия; 8 — срединная линия: 9 — позвоночник; 10—правый кардио-диафрагмальный угол; 11—левый кардио-диафрагмальный угол; 12 — дуга аорты; 13 — правый атриовазальный угол.
В рентгеновском изображении форма сердца определяется конфигурацией отдельных его полостей и магистральных сосудов.

РЕНТГЕНОГРАММА НОРМАЛЬНОЙ ГРУДНОЙ КЛЕТКИ В ПЕРЕДНЕМ ПОЛОЖЕНИИ.
1 — дуга левого желудочка; 2 — дуга восходящей аорты; 3 — дуга правого предсердия; 4 — дуга ушка левого предсердия; 5 — дуга легочной артерии; 6 — правый кардио-диафрагмаль-ный угол; 7 — левый кардио-диафрагмальный угол; 8 — дуга аорты; 9 — правый атриовазалытый угол.

СХЕМА ПРОЕКЦИИ СЕРДЦА В ПЕРВОМ КОСОМ ПОЛОЖЕНИИ (поворот правым плечом к экрану на 45°).
1 —контур левого желудочка; 2 — контур аорты; 3 — правый желудочек; 4—контур правого предсердия; 5—контур левого предсердия; 6 — контур артериального конуса; 7 — ретрокардиальное пространство; 8 — ретростерналыюе пространство.

РЕНТГЕНОГРАММА НОРМАЛЬНОЙ ГРУДНОЙ КЛЕТКИ В ПЕРВОМ КОСОМ ПОЛОЖЕНИИ.
1 - дуга левого желудочка; 2 — аорта; 3 — дуга правого предсердия; 4 — дуга левого предсердия; 5 — дуга артериального конуса.

СХЕМА ПРОЕКЦИИ СЕРДЦА ВО ВТОРОМ КОСОМ ПОЛОЖЕНИИ (поворот левым плечом к экрану на 50—60°).
1 — контур левого желудочка; 2 — контур аорты; 3 — контур правого желудочка; 4 — контур правого предсердия; 5 — контур левого предсердия;
6 — трахея; 7 — бифуркация трахеи; 8 — ретрокардиальное пространство; 9 — ретростернальное пространство; 10 — левый бронх.

РЕНТГЕНОГРАММА НОРМАЛЬНОЙ ГРУДНОЙ КЛЕТКИ ВО ВТОРОМ КОСОМ ПОЛОЖЕНИИ.
1 — дуга левого желудочка; 2— восходящая часть аорты; 3 — дуга правого желудочка; 4 — дуга правого предсердия; 5 — дуга левого предсердия.

СХЕМА ПРОЕКЦИИ СЕРДЦА В ЛЕВОМ БОКОВОМ ПОЛОЖЕНИИ.
1 — контур левого желудочка; 2 — контур восходящей аорты; 3 — контур правого желудочка; 4 — контур левого предсердия.

РЕНТГЕНОГРАММА НОРМАЛЬНОЙ ГРУДНОЙ КЛЕТКИ В ЛЕВОМ БОКОВОМ ПОЛОЖЕНИИ.
1 — дуга левого желудочка; 2 — дуга начальной части аорты; 3 — дуга правого желудочка; 4 — дуга левого предсердия.
УЗИ 1) одномерная методика - эхокардиография,
2) двумерная методика - сонография,
Эхокардиография имеет вид кривых, каждая из которых соответствует определенной структуре сердца. Амплитуда указывает на размах систолических движений анатомической структуры.
Сонография дает возможность по экрану монитора наблюдать движения стенок сердца и клапанов в реальном масштабе времени.
Доплерография- проводят в импульсном режиме, изучают движения клапанов и стенок сердца в любой фазе сердечного цикла и измеряют скорость движения крови, направление и характер ее течения.
Лучевая анатомия сердца. КТ, МРТ, рентгеноанатомия сердца
На рентгенограмме грудной клетки в передней проекции оцениваются положение и размеры сердца. Положение сердца зависит от величины угла наклона, образованного длинником сердца и поперечником грудной клетки. Сердце может занимать косое (угол наклона равен 45°), вертикальное (более 45°) и горизонтальное (менее 45°) положение в зависимости от типа строения грудной клетки и положения диафрагмы. В первые годы жизни сердце у большинства детей занимает горизонтальное положение, к 3 годам оно принимает косое положение, которое сохраняется у большинства взрослых людей. Однако для большого числа подростков и для людей астенического сложения характерно вертикальное положение сердца. У людей гиперстенической конституции положение сердца чаще бывает горизонтальным.
Количественная оценка поперечника сердца проводится с помощью определения сердечно-легочного коэффициента (СЛК) — процентного отношения поперечника сердца к поперечнику грудной клетки, измеренному на уровне правой половины купола диафрагмы.
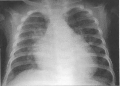
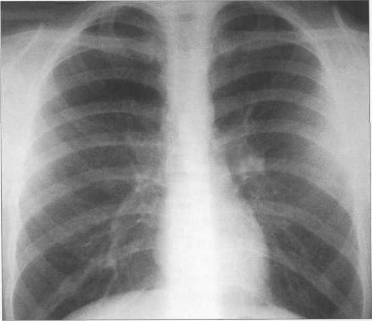
У новорожденных сердце имеет относительно большую величину, СЛК у них может достигать 58% (рис. 9.22). У более старших детей и у взрослых СЛК составляет 44—48%, для большого числа подростков характерны небольшие размеры сердца (СЛКменее 40%) (рис. 9.23),улюдей пожилого возраста поперечные размеры сердца увеличиваются, СЛК у них, как правило, более 50%.

Рис. 9.22. Рентгенограмма грудной клетки ребенка 3 месяцев. Задняя проекция.

Рис. 9.23. Рентгенограмма грудной клетки подростка. Передняя проекция.

Рис. 9.24. Рентгенограмма грудной клетки. Передняя проекция.
1 — восходящая часть аорты; 2 — дуга аорты; 3 — нисходящая часть аорты; 4— верхняя полая вена; 5 — правое предсердие; 6 — легочный ствол; 7 — ушко левого предсердия; 8 — левый желудочек.
Состояние отдельных полостей сердца и крупных сосудов оценивается с помощью анализа краеобразующих дуг сердца (рис. 9.24).
Если сердце занимает косое положение, то ‘/3 его расположена справа, 2 /, — слева; расстояние от правого края позвоночника до наиболее удаленной точки правого контура сердца составляет 15—20 мм.
Правый контур образован двумя дугами: восходящая часть аорты и правое предсердие. Точка их пересечения носит название правого атриовазального угла. Протяженность первой и второй дуг должна быть одинаковой. У новорожденных правый желудочек имеет относительно большие размеры, поэтому протяженность второй дуги больше (см. рис. 9.22).
Левый контур образуют 4 дуги: дуга аорты, легочный ствол, ушко левого предсердия, левый желудочек. В детском возрасте (приблизительно до 7 лет) протяженность дуги легочного ствола преобладает над протяженностью дуги аорты, в дальнейшем протяженность дуг становится одинаковой. У подростков и людей астенического сложения дуга легочного ствола выпрямленная или выпуклая (см. рис. 9.23), у взрослых она, как правило, вогнутая. Левая граница сердца на уровне левого желудочка находится на уровне среднеключичной линии или на 1 см кнутри от нее.

Рис. 9.25. Рентгенограмма грудной клетки. Левая боковая проекция.
1 — правый желудочек; 2 — левое предсердие; 3 — левый желудочек; 4 — нижняя полая вена; 5 — пищевод.
В левой боковой проекции (рис. 9.25) передний контур сердца образован правым желудочком. Задний контур сердца в верхнем отделе образован левым предсердием, которое вплотную прилежит к пищеводу, в нижнем отделе — левым желудочком, кзади от которого виден контур нижней полой вены. Правый желудочек образует с передней грудной стенкой угол, вершина которого находится на уровне наибольшего глубинного диаметра сердца. Протяженность прилегания правого желудочка к передней грудной стенке и левого желудочка к диафрагме должны быть одинаковыми.
КТ АНАТОМИЯ СЕРДЦА
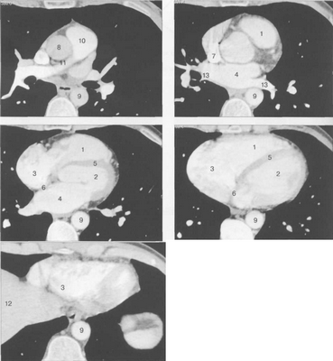
КТ-исследование позволяет получать поперечные (аксиальные) сечения сердца. Стандартная пошаговая КТ и даже спиральная КТ не получили распространения для исследования морфологии и функции сердца. Более тщательный анализ внутрисердечных структур возможен с помощью многослойной спиральной КТ (МСКТ) в условиях внутривенного контрастирования. КТ-изображения сердца и сосудов на различных уровнях представлены на рис. 9.34.

Рис. 9.34. КТ сердца и сосудов.
1 — правый желудочек; 2 — левый желудочек; 3 — правое предсердие; 4 — левое предсердие; 5 — межжелудочковая перегородка; 6 — межпредсердная перегородка; 7 — верхняя полая вена; 8 — восходящая часть аорты; 9 — нисходящая часть аорты; 10 — легочный ствол; 11 — правая легочная артерия; 12 — диафрагма; 13 — легочные вены.
МСКТ в условиях внутривенного болюсного контрастирования позволяет визуализировать коронарные артерии (МСКТ-коронарография). Анализ состояния коронарных артерий выполняется сначала на аксиальных срезах (рис. 9.35). В постпроцессинговой обработке изображений используются различные виды реконструкций: многоплоскостные реформации (MPR), проекция максимальной интенсивности (MIP), трехмерные (VRT) (рис. 9.36).
Наиболее распространенным методом оценки состояния сосудов сердца является селективная катетерная коронарография. Метод заключается в пункции под местной анестезией крупной артерии (чаще всего, бедренной или лучевой), подведении специально сформированного катетера к устью коронарной артерии и селективного болюсного введения контрастирующего вещества последовательно в левую, а затем в правую коронарную артерии.

Рис. 9.35. МСКТ-коронарограммы. Поперечные срезы.
Здесь и на рис. 9.36:
LM — ствол левой коронарной артерии, LAD — левая передняя нисходящая артерия, LCX — левая огибающая артерия, RCA — правая коронарная артерия.

Рис. 9.36. МСКТ-коронарограммы.
а, б — VRT-реконструкции; в — проекция максимальной интенсивности; г — многоплоскостная реформация.

Рис. 9.37. Левая коронарная артерия. Правая косая проекция.
Здесь и на рис. 9.38—9.46:
1 — левая коронарная артерия; 2 — проксимальная треть передней нисходящей артерии; 3 — первая диагональная ветвь передней нисходящей артерии; 4 — дистальная часть передней нисходящей артерии; 5 — септальная ветвь передней нисходящей артерии; 6 — проксимальная часть огибающей артерии; 7 — первая маргинальная ветвь огибающей артерии; 8 — промежуточная артерия; 9 — дистальная часть огибающей артерии; 10 — проксимальная часть правой коронарной артерии; 11 — ветвь синусного узла правой коронарной артерии; 12 — ветвь острого края правой коронарной артерии; 13 — бифуркация правой коронарной артерии; 14 — правая левожелудочковая ветвь правой коронарной артерии; 15 — задняя нисходящая ветвь правой коронарной артерии.

Фиксация изображения коронарных артерий производится последовательно в нескольких плоскостях.
На рис. 9.37—9.41 изображены левая и правая коронарные артерии и их ветви при равномерном типе коронарного кровообращения в обычной последовательности проекций.
На следующих рисунках представлены два типа коронарного кровообращения — правый и левый и характеризующиеся неравномерным развитием правой коронарной и огибающей (ветвь левой коронарной артерии) артерий. При левом типе отмечается выраженная периферия огибающей артерии при значительной гипоплазии правой коронарной артерии. При правом типе чаще всего хорошо развита маргинальная ветвь и гипоплазирована основная ветвь огибающей артерии. Периферия правой коронарной и, в особенности, правая левожелудочковая ветвь значительно выражены и превосходят огибающую по размерам зоны кровоснабжения.
Рис. 9.42-9.44 — левый тип коронарного кровообращения.
Рис. 9.45 и 9.46 — правый тип коронарного кровообращения.

Рис. 9.42. Левая коронарная артерия. Правая косая проекция.
Рис. 9.43. Левая коронарная артерия. Проекция «паук».
Рис. 9.44. Правая коронарная артерия. Левая косая проекция.
Рис. 9.45. Левая коронарная артерия в правой косой проекции.

Рис. 9.46. Правая коронарная артерия в переднезадней проекции.
МРТ АНАТОМИЯ СЕРДЦА
МРТ позволяет получать изображения сердца в поперечной (аксиальной), фронтальной (корональной) и сагиттальной плоскостях (ортогональные сечения). Поскольку анатомические оси сердца и магистральных сосудов (за исключением аорты в нисходящем отделе и полых вен) не совпадают со стандартными ортогональными плоскостями исследования, общепринятыми при исследованиях других органов и систем организма, для МРТ-исследования сердечно-сосудистой системы разработаны дополнительные наклонные срезы (двухкамерное сечение, четырехкамерное сечение, сечение по короткой оси левого желудочка).

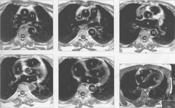
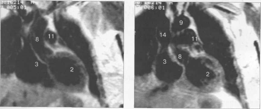
Рис. 9.47. МРТ сердца. Аксиальная плоскость.
Здесь и на рис. 9.48—9.52:
I — правый желудочек, 2 — левый желудочек, 3 — правое предсердие, 4 — левое предсердие, 5 — межжелудочковая перегородка, 6 — межпредсердная перегородка, 7 — задняя стенка левого желудочка, 8 — восходящая часть аорты, 9 — дуга аорты, 10 — нисходящая часть аорты, 11 — легочный ствол, 12 — правая легочная артерия. 13 — левая легочная артерия, 14 — верхняя полая вена, 15 — нижняя полая вена, 16 — трахея.


Рис. 9.48. MPT сердца. Сагиттальная плоскость.

Рис. 9.49. МРТ сердца. Двухкамерные сечения.

Рис. 9.50. МРТ сердца. Фронтальные сечения.

Рис. 9.51. МРТ сердца. Сечения по короткой оси левого желудочка.

Рис. 9.52. МРТ сердца. Четырехкамерные сечения.
На рис. 9.47—9.52 представлены Т1-ВИ наиболее часто используемых МР-сечений сердца.
Нормальная рентген анатомия сердца / Нормальная рентген анатомия сердца
Лучевое исследование морфологии сердца и магистральных сосудов можно производить с применением неинвазивной и инвазивной техники. К неинвазивным методам относятся: рентгенография и рентгеноскопия; ультразвуковые исследования; компьютерная томография; магнитно-резонансная томография; сцинтиграфия и эмиссионная томография (одно- и двухфотонная). Инвазивными процедурами являются: искусственное контрастирование сердца венозным путем - ангиокардиография; искусственное контрастирование левых полостей сердца артериальным путем - вентрикулография, коронарных артерий - коронарография и аорты - аортография.
Рентгенологические методики - рентгенография, рентгеноскопия, компьютерная томография - позволяют с наибольшей степенью достоверности определить положение, форму и величину сердца и магистральных сосудов. Эти органы находятся среди легких, поэтому их тень отчетливо выделяется на фоне прозрачных легочных полей.
Опытный врач никогда не начинает исследование сердца с анализа его изображения. Он прежде всего бросит взгляд на обладателя этого сердца, так как знает, как сильно положение, форма и величина сердца зависят от телосложения человека. Затем он по снимкам или данным просвечивания оценит размеры и форму грудной клетки, состояние легких, уровень стояния купола диафрагмы. Эти факторы тоже влияют на характер изображения сердца. Очень важно, что при этом рентгенолог имеет возможность обозреть легочные поля. Такие изменения в них, как артериальное или венозное полнокровие, интерстициальный отек, характеризуют состояние малого круга кровообращения и способствуют диагностике ряда заболеваний сердца.
Во-первых, с развитием ультразвукового метода, обладающего великолепными возможностями анализировать функцию сердца, потребность в рентгеноскопии как методе исследования деятельности сердца практически отпала. Во-вторых, в настоящее время созданы ультраскоростные компьютерные рентгеновские и магнитно-резонансные томографы, позволяющие проводить трехмерную реконструкцию сердца. Аналогичными, но менее
Нормальная рентген анатомия сердца Стр. 2
« продвинутыми» возможностями обладают некоторые новые модели ультразвуковых сканеров и аппаратов для эмиссионной томографии. В результате этого врач имеет реальную, а не мнимую, как при рентгеноскопии, возможность судить о сердце как о трехмерном объекте исследования.
На протяжении многих десятилетий рентгенографию сердца выполняли в 4 фиксированных проекциях: прямой, боковой и двух косых - левой и правой. В связи с развитием ультразвуковой диагностики теперь основной проекцией рентгенографии сердца является одна - прямая передняя, при которой обследуемый прилегает к кассете грудью. Для того чтобы избежать проекционного увеличения сердца, его съемку выполняют при большом расстоянии трубкакассета (телерентгенография). При этом для увеличения резкости изображения время рентгенографии предельно уменьшают - до нескольких миллисекунд. Однако для того чтобы получить представление о рентгенологической анатомии сердца и магистральных сосудов, необходим многопроекционный анализ изображения этих органов, тем более что со снимками грудной клетки клиницисту приходится встречаться очень часто.
На рентгенограмме в прямой проекции сердце дает однородную интенсивную тень, располагающуюся посредине, но несколько асимметрично: примерно 1/3 сердца проецируется правее срединной линии тела, a Vi - левее этой линии. Контур тени сердца иногда выступает на 2-3 см вправо от правого контура позвоночника, контур верхушки сердца слева не доходит до срединно-ключичной линии. В целом тень сердца напоминает косо расположенный овал. У лиц гиперстенической конституции он занимает более горизонтальное положение, а у астеников - более вертикальное. Краниально изображение сердца переходит в тень средостения, которая на этом уровне представлена в основном крупными сосудами - аортой, верхней полой веной и легочной артерией. Между контурами сосудистого пучка и сердечным овалом образуются так называемые сердечно-сосудистые углы - выемки, которые создают талию сердца. Внизу изображение сердца сливается с тенью брюшных органов. Углы между контурами сердца и диафрагмы называют сердечно-диафрагмальными.
Несмотря на то что на рентгенограммах тень сердца абсолютно однотонна все же с известной долей вероятности можно дифференцировать его отдельные камеры, особенно если в распоряжении врача имеются рентгенограммы, выполненные в нескольких проекциях, т.е. при разных ракурсах съемки. Дело в том, что контуры сердечной тени, в норме ровные и четкие, имеют форму дуг. Каждая дуга представляет собой отображение выходящей на контур поверхности того или иного отдела сердца.
Все дуги сердца и сосудов отличаются гармоничной закругленностью. Выпрямленность дуги или какого-либо ее участка свидетельствует о патологических изменениях в стенке сердца или прилежаших тканях.
Нормальная рентген анатомия сердца Стр. 3
Форма и положение сердца у человека вариабельны. Они обусловлены конституциональными особенностями пациента, положением его во время исследования, фазой дыхания. Был период, когда очень увлекались измерениями сердца на рентгенограммах. В настоящее время обычно ограничиваются определением сердечнолегочного коэффициента - отношения поперечника сердца к поперечнику грудной клетки, которое в норме у взрослых колеблется в пределах от 0,4 до 0,5 (у гиперстеников больше, у астеников меньше). Основным же методом, определяющим параметры сердца, является ультразвуковой. С его помощью точно измеряют не только размеры сердечных камер и сосудов, но и толщину их стенок. Измерить камеры сердца, причем в различные фазы сердечного цикла, можно также посредством синхронизированной с электрокардиографией компьютерной томографии, дигиталъной вентрикулографии или сцинтиграфии.
У здоровых людей тень сердца на рентгенограмме однородна. При патологии могут обнаруживаться отложения извести в клапанах и фиброзных кольцах клапанных отверстий, стенках коронарных сосудов и аорты, перикарде. В последние годы появилось немало больных с имплантированными клапанами и водителями ритма сердца. Отметим, что все эти плотные включения, как естественные, так и искусственные, наглядно выявляются при сонографии и компьютерной томографии.
Компьютерную томографию производят при горизонтальном положении пациента. Основной срез сканирования выбирают таким образом, чтобы его плоскость проходила через центр митрального клапана и верхушку сердца. На томограмме этого слоя вырисовываются оба предсердия, оба желудочка, межпредсердная и межжелудочковая перегородки. На этом же срезе дифференцируются венечная борозда, место прикрепления сосочковой мышцы и нисходящая аорта. Последующие срезы выделяют как в краниальном, так и в каудальном направлении. Включение томографа синхронизировано с записью ЭКГ. Для того чтобы получить четкое изображение полостей сердца, томограммы выполняют после быстрого автоматического введения контрастного вещества. На полученных томограммах выбирают два изображения, сделанных в конечные фазы сокращения сердца - систолическую и диастолическую. Сопоставив их на экране дисплея, можно рассчитать регионарную сократительную функцию миокарда.
Новые перспективы в изучении морфологии сердца открыла МРТ, особенно выполняемая на последних моделях аппаратов - ультраскоростных. При этом можно наблюдать сокращения сердца в реальном времени, производить съемку в заданные фазы сердечного цикла и, естественно, получать параметры функции сердца.
Ультразвуковое сканирование в разных плоскостях и при различном положении датчика позволяет получить на дисплее изображение структур сердца: желудочков и предсердий, клапанов, папиллярных мышц, хорд; кроме того, удается выявить и дополнительные патологические внутрисердечные образования. Как уже отмечалось, важным достоинством сонографии является возможность оценить с ее помощью все параметры сердечных структур.
Допплерэхокардиография позволяет регистрировать направление и скорость движения крови в полостях сердца, выявлять участки турбулентных завихрений на месте возникающих преград нормальному кровотоку.
Инвазивные методики исследования сердца и сосудов связаны с искусственным контрастированием их полостей. Эти методики применяют как для изучения морфологии сердца, так и для исследования центральной гемодинамики. При ангиокардиографии 20-40 мл рентгено-контрастного вещества вводят с помощью автоматического шприца через сосудистый катетер в одну из полых вен или в правое предсердие. У ж е во время введения контрастного вещества начинают видеосъемку на кинопленку или магнитный носитель. За все время исследования, которое продолжается 5 - 7 с, контрастное вещество последовательно заполняет правые отделы сердца, систему легочной артерии и легочные вены, левые отделы сердца и аорту. Однако из-за разбавления контрастного вещества в легких изображение левых отделов сердца и аорты оказывается нечетким, поэтому ангиокардиографию используют преимущественно для изучения правых отделов сердца и малого круга кровообращения. С ее
Нормальная рентген анатомия сердца Стр. 4
Для детального анализа состояния желудочков сердца контрастное вещество вводят непосредственно в них. Исследование левого желудочка сердца (левая вентрикулография) производят в правой косой передней проекции под углом 30". Контрастное вещество в количестве 40 мл вливают автоматически со скоростью 20 мл/с. Во время введения контрастного вещества начинают выполнять серию кинокадров. Съемку продолжают спустя некоторое время после окончания введения контрастного вещества, вплоть до полного его вымывания из полости желудочка. Из серии кадров выбирают два, сделанные в конечносистолическую и конечно-диастолическую фазы сокращения сердца. Сопоставив эти кадры, определяют не только морфологию желудочка, но и сократительную способность сердечной мышцы. Таким методом можно выявить как диффузные нарушения функции сердечной мышцы, например при кардиосклерозе или миокардиопатии, так и локальные зоны асинергии, которые наблюдаются при инфаркте миокарда.
Нормальная рентген анатомия сердца
Для исследования коронарных артерий контрастное вещество вводят непосредственно в левую и правую коронарные артерии (селективная коронарография). На снимках, выполненных в различных проекциях, изучают положение артерий и их основных ветвей, форму, контуры и просвет каждой артериальной ветви, наличие анастомозов между системами левой и правой венечных артерий. Необходимо отметить, что в подавляющем большинстве случаев коронарографию выполняют не столько для диагностики инфаркта миокарда, сколько в качестве первого, диагностического этапа интервенционной процедуры - коронарной ангиопластики .
В последнее время для исследования полостей сердца и сосудов в условиях их искусственного контрастирования все чаще применяют дигитальную субтракционную ангиографию (ДСА). Как уже отмечалось в предыдущей главе, ДСА на основе компьютерной технологии позволяет получать изолированное изображение сосудистого русла без теней костей и окружающих мягких тканей. При соответствующих финансовых возможностях ДСА со временем полностью заменит обычную аналоговую ангиографию.
Портал о здоровье iLive.
Внимание! Информация, опубликованная на портале, предназначена только для ознакомления. Описанные методы диагностики, лечения и т.д.
самостоятельно использовать не рекомендуется. Обязательно проконсультируйтесь со специалистом, чтобы не нанести вред своему здоровью!
Читайте также:
