Анестезия при операции по поводу абсцесса головного мозга. Прогноз
Добавил пользователь Владимир З. Обновлено: 13.12.2025
В неврологической практике абсцесс головного мозга встречается не так часто, но он опасный для жизни, требует своевременной диагностики и грамотного лечения. Болезнь не имеет возрастных ограничений, но чаще встречается у мужчин после 40 лет. Принято считать, что данное заболевание является вторичным, проявляется в результате поражения центральной нервной системы первичными патологиями. Болезнь не имеет специфической клинической картины, поскольку зависит от степени поражения и места расположения очага инфекции.
Что такое абсцесс головного мозга
Абсцесс головного мозга — очаговое скопление гнойного экссудата в структурах головного мозга. В основе этиологии лежит патогенная флора, которая после проникновения в полость черепа провоцирует инфекционные воспалительные процессы. Возбудителем болезни чаще являются протеи, стафилококки, стрептококки, кишечная палочка, анаэробные бактерии. Спусковым механизмом для развития патологии чаще выступают:
- травмы головы;
- болезни зубов;
- гайморит;
- гнойный отит;
- тонзиллит.
Важная роль отводится и состоянию иммунной системы. При крепком иммунитете риск заболеть инфекцией гораздо ниже, чем при слабой иммунной защите. Иногда причины абсцесса головного мозга невозможно определить, но случается это в том случае, когда в анамнезе человека присутствуют хронические инфекционные заболевания или сама патология слишком поздно диагностируется.
Выделяют на три основных вида:
- внутримозговое - гной скапливается в веществе мозга;
- субдуральное - гнойное воспаление находится под твердой мозговой оболочкой;
- эпидуральные - очаг инфекции присутствует над твердой оболочкой.
По месту локализации, выделяют:
- поражение мозжечка;
- височной области;
- теменной доли;
- лобной области;
- затылочной доли.
В процессе своего развития гнойный абсцесс головного мозга проходит 4 стадии развития, каждая их которых сопровождается определенными изменениями в структурах черепной коробки:
- 1 стадия — первичное воспаление, при котором присутствуют периваскулярные инфильтраты, отмечается видоизменения нервных клеток. На данном этапе врачи часто диагностируют энцефалит. Если вовремя начать лечение, прогрессирование болезни можно остановить.
- 2 стадия — развивается на 4 - 9 день с момента первых признаков. Гнойное воспаление нарастает, происходит отмирание клеток. Внутри образуется полость, где начинает скапливаться гнойный экссудат.
- 3 стадия — проявляется на 10 день болезни, сопровождается первичная инкапсуляцией, с образованием капсулы, которая оказывает давление на соседние структуры.
- 4 стадия — диагностируется через 2 недели. Внутри черепной коробки присутствует уплотненная капсула с гноем. Вокруг нее образуются глиозы, которые способствуют новым очагам инфекции.
Вне зависимости от локализации гнойного очага, причины и стадии развития, лечение нужно проводить как можно быстрее. Это поможет исключить тяжелые последствия болезни. Обращаясь в клинику Бурденко, можно пройти полное обследование, получить консультацию врача с последующим назначением лечебной терапии. В нейрохирургическом институте проводят самые тяжелые нейрохирургические операции с использованием современного оборудования.
Признаки и симптомы
Первые признаки абсцесса головного мозга заметны с первых дней развития болезни, но клинические признаки не являются специфическими, поэтому их легко перепутать с другими болезнями:
- головокружение;
- тошнота, позывы к рвоте;
- повышение температуры тела;
- головная боль разной интенсивности;
- озноб;
- гипертензия;
- нарушение сердечного ритма.
Все вышеперечисленные симптомы являются признаком сильнейшей интоксикации организма. Они характерны и для других заболеваний, поэтому требуют врачебного вмешательства и диагностических мероприятий.
Симптомы абсцесса головного мозга этапе образования капсулы с гноем дополняются и другими, более ужасающими клиническими признаками:
- отёк дисков зрительных нервов;
- непереносимость яркого света или шума;
- внутричерепная гипертензия;
- паралич;
- судороги;
- мышечная гипотония;
- тремор конечностей;
- слабость, апатия, потеря аппетита;
- аритмия, замедление пульса.
- снижение чувствительности определенных участков тела.
Одним из главных проявлений болезни считается головная боль, она может быть пульсирующей, острой, провялятся в одной части головы или распространятся на шею, лимфатические узлы, нижнюю челюсть.
Диагностика
Распознать симптомы абсцесса головного мозга без результатов обследования невозможно, поскольку симптоматику нужно дифференцировать от менингита, опухолей и других болезней центральной нервной системы. Диагностика абсцесса головного мозга включает:
- сбор анамнеза;
- осмотр пациента;
- офтальмоскопия;
- компьютерная томография (КТ);
- магнитно - резонансная томография (МРТ).
Результаты обследования позволяют определить размер гнойного воспаления, локализацию, состояние окружающих тканей. На фоне полученных результатов врач ставит заключительный диагноз, подбирает необходимое лечение.
Лечение абсцесса головного мозга в Москве
Если у пациента диагностировано гнойное воспаление в полости черепной коробки, терапия напрямую будет зависеть от размера образования, стадии, на которой находиться болезнь, особенностей организма. Лечение абсцесса головного мозга проводится консервативным или хирургическим способом. Вначале развития патологии можно обойтись без операции. Врачом назначаются антибиотики широкого спектра действия, ноотропные средства, витамины и другие аптечные препараты. Лечение рекомендуется проводить в стационаре, длительность терапии определяется индивидуально.
Когда абсцесс длится больше 2-х недель, размер образования свыше 3-х сантиметров, требуется оперативное вмешательство. Показанием к операции выступает и наличие абсцесса в желудочковой зоне, поскольку есть большой риск смерти.
В неврологической практике используют три основных методики по лечению абсцесса
- Приточно-отточное дренирование гнойной полости.
- Стереотаксическая биопсия внутримозговых абсцессов.
- Открытая операция по удалению гнойного образования.
Выбор методики зависит от нескольких факторов, поэтому больному нужно довериться лечащему врачу, который сможет выбрать лучший метод для решения проблемы. У нас работают врачи-нейрохирурги с большим опытом работы, которые успешно проводят операции разной сложности. После операции на абсцесс головного мозга, пациенту требуется длительная реабилитация, которая поможет восстановить функции мозга, вернуть к прежней жизни. Рекомендуется соблюдать диету, выполнять комплекс упражнений при абсцессе головного мозга, вести здоровый образ жизни.
Возможные осложнения
Если болезнь запущена или больной не прошел назначенного врачом лечения, последствия абсцесса головного мозга могут быть достаточно тяжелые. К распространенным осложнениям относят:
- парезы и параличи;
- снижение слуха;
- частичная или полная потеря зрения;
- снижение интеллекта;
- остеомиелит;
- летальный исход.
Практически в 50% случаях болезнь заканчивается инвалидностью. Поэтому очень важно не медлить с посещением врача при первых признаках. Чем раньше человек обратится за медицинской помощью, тем больше шансов на успешный прогноз после лечения.
Случай оперативного лечения хорошо отграниченного абсцесса головного мозга без оставления дренажа
Летом 2018 года в Областную больницу №3 г. Тобольска из сельского фельдшерско-акушерского пункта доставлена женщина 48 лет.
Жалобы
Женщина была доставлена из труднодоступного региона — "Тобольского Заболотья", в котором нет дороги, связывающей населённый пункт с "большой землёй". Это затрудняло транспортировку пациентки.
Анамнез
В связи с угнетённым сознанием поступившей собрать анамнез заболевания не удалось. Родственники больной, проживающие в Тобольске, общались с ней редко и что-либо рассказать не могли.
Информацию о поступившей пациентке направили в тюменский "Федеральный центр нейрохирургии" для оказания высококвалифицированной помощи, однако оформить направление на лечение не удалось, так как у женщины отсутствовал паспорт гражданина РФ: из документов при ней был только паспорт гражданина СССР, СНИЛС и медицинский полис от 2001 года.
Обследование
При осмотре офтальмологом выявлена гипертоническая ангиопатия (поражение) сосудов сетчатки. При осмотре нейрохирургом установлен характер нарушения сознания — наблюдается глубокое оглушение (11 баллов по шкале комы Глазго), левая часть тела глубоко парализована (гемипарез).
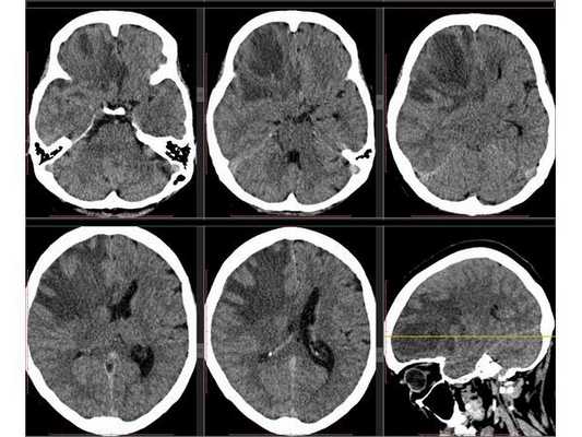
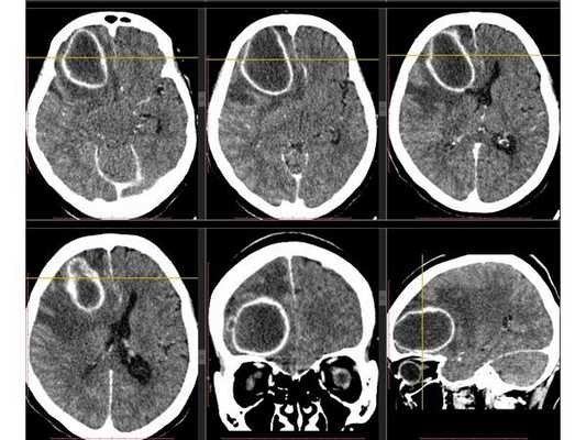
Рентгенография лёгких: без патологии. УЗИ органов брюшной полости: выявлены хронический холецистит, хронический панкреатит, диффузные изменения печени и поджелудочной железы. ЭКГ: в норме. На КТ головного мозга визуализировалось объёмное образование в правой лобной доли. Это вызвало подозрение на абсцесс, но отсутствие уровня жидкости, лихорадки и менингеального синдрома у пациентки в большей степени склонило клиническую мысль в сторону онкологического поражения. В связи с этим пациентку госпитализировали в отделении неврологии. Однако при осмотре онкологом и гинекологом данных, которые бы подтверждали наличие онкологии головного мозга, обнаружено не было. В качестве дообследования проведена КТ головного мозга с контрастным усилением. Она выявила объёмное образование в правой лобной доли с чётко очерченной капсулой. Рядом с образованием располагался отёк, срединные структуры были смещены влево примерно на 5 мм.
Диагноз



3D-реконструкция объёмного образования правой лобной доли головного мозга, выполненная на основании сканов КТ с контрастным усилением


Интраоперационная фотография, выполненная после аспирации гнойного содержимого из полости абсцесса и промывания полости антисептическими растворами
Лечение
На основании диагноза проведена краниотомия (трепанация черепа) и удаление абсцесса правой лобной доли: ⠀• выполнен дугообразный разрез мягких тканей в правой лобно-височной области; ⠀• наложено фрезевое отверстие у основания скулового отростка лобной кости, из которого краниотомом выпилен костный лоскут 6*5 см; ⠀• для остановки кровотечения использован хирургический воск и электрокоагуляция по ходу доступа; ⠀• произведено подковообразное вскрытие твёрдой мозговой оболочки основанием к сагиттальному синусу: абсцесс был хорошо отграничен капсулой и подпаянной к коре головного мозга твёрдой мозговой оболочкой; ⠀• тонким шпателем твёрдая мозговая оболочка постепенно отделена от коры, абсцесс вскрыт — получен гной, внешне напоминающий сливки, с гнилостным запахом; ⠀• аспирировано (удалено) около 60 мл гноя; ⠀• полость абсцесса многократно промыта водными растворами перекиси водорода и фурацилина, мозг запал, имеется хорошая пульсация; ⠀• твёрдая мозговая оболочка ушита, по периметру подшито трепанационное окно, костный лоскут уложен на место, на рану наложены послойные швы и асептическая повязка. При оперативных вмешательствах по поводу абсцесса головного мозга принято оставлять дренаж в полости абсцесса. Однако, с учётом наличия хорошо сформированной капсулы, которая была визуализирована после промывания полости антисептическими растворами, принято решение не оставлять дренаж.
В ходе лечения сознание стало ясным, общемозговые и менингеальные симптомы регрессировали, частично регрессировал паралич левой части тела. Рана после операции зажила первичным натяжением, швы сняты. Пациентка выписана на амбулаторное лечение.
Заключение
Представленный клинический случай может быть рассмотрен как возможный вариант хирургической тактики при хорошо отграниченном абсцессе. Так, аспирация гнойного содержимого абсцесса без удаления капсулы и без дренирования её с последующей антибактериальной терапией, в подобных случаях является достаточным. Единственное, что стоило бы добавить к тактике обследования подобного абсцесса — выполнение перед операцией диагностической люмбальной пункции.
Осложнения местной анестезии
Осложнения местной анестезии - это ежелательные реакции, возникающие в результате введения местных анестезирующих препаратов. В зависимости от вида осложнения у пациента могут отмечаться такие симптомы, как удушье, нарушение гемодинамики и внутрисердечной проводимости, изменения со стороны ЦНС, кожная сыпь. Диагноз устанавливается на основании анамнеза и клинических проявлений, в отдельных случаях назначается ЭКГ, КТ, рентгенография, УЗИ. Специфическое лечение включает введение антигистаминных средств и кортикостероидных гормонов, инфузионную терапию, прекращение использования анестетика. В тяжелых случаях требуется реанимационное пособие.
МКБ-10
Общие сведения
Опасные реакции на введение местноанестезирующих средств достаточно распространены. Частота их встречаемости составляет 1 случай на 150-200 использований препаратов этой группы. У 90% больных определяются признаки кожной аллергии (крапивница). Около 6% пациентов отвечают на инъекцию медикамента отеком лица, шеи, дыхательных путей. Анафилактический шок выявляется в 3% случаев. На долю общетоксических реакций, сопровождающихся поражением центральной нервной системы и проводящего аппарата сердца, приходится не более 1%. Зависимость от пола и возраста отсутствует, осложнения одинаково часто обнаруживаются у всех категорий населения. До 70% нежелательных реакций возникает у жителей развитых стран, в странах «третьего мира» аллергия диагностируется значительно реже.
Причины
Основной причиной аллергических реакций является гиперчувствительность к компонентам раствора. Препарат, попавший в организм, трансформируется в неполноценный антиген - гаптен. Далее гаптен образует комплекс с белком и воспринимается организмом как чужеродный агент. Провоцирующим фактором становятся особенности обмена веществ конкретного больного. Биотрансформация препарата может несколько отличаться от нормальной, что приводит к образованию комплексов, вызывающих аллергию. Интенсивность симптоматики зависит от степени сенсибилизации организма. Помимо реакций гиперчувствительности осложнения при введении местных анестетиков возникают по следующим причинам:
- Врачебная ошибка. Включает неправильный выбор обезболивающего или его дозировки, отказ от использования сосудосуживающих веществ в составе лекарственного раствора, нарушение техники манипуляции. Все это преимущественно приводит к токсическому воздействию препаратов на сердце и головной мозг, инфекционным процессам. При неправильном проведении процедуры могут иметь место повреждения нервных стволов, сосудов, других структур.
- Неадекватная реакция. Чрезмерная двигательная активность пациента в ответ на действия специалиста порой становится причиной отлома инъекционной иглы. Подобное чаще происходит с тонкими иглами диаметром 0,6 мм (23G). Кроме того, при резких движениях больного возможна излишняя травматизация мягких тканей, поражение сосудов и нервов (если инфильтрация производится вблизи сосудисто-нервных пучков).
- Длительная анестезия. При необходимости обеспечения продолжительной спинальной анестезии раствор подают в эпидуральное пространство через тонкий катетер. Анестетик депонируется вокруг нервов, его концентрация становится токсической. Развивается стойкий неврологический дефицит - синдром конского хвоста. Одномоментное введение большой дозы препарата провоцирует тотальную спинальную анестезию с двигательной блокадой и угнетением продолговатого мозга.
Патогенез
Классификация
Осложнения местной анестезии могут систематизироваться по причинам, однако такой способ деления более важен при профилактике патологических состояний, а не в случаях, когда необходимо купировать уже развившуюся реакцию. Для устранения последствий манипуляции необходимо четкое понимание процессов, происходящих в организме больного, поэтому наиболее используемой является классификация по типу нежелательных явлений и их распространенности:
- Поражение ЦНС. Диагностируется как при всасывании большого количества анестетика из места его введения, так и при ошибочном внутрисосудистом вливании. Характеризуется тяжелыми нейротоксическими явлениями, может быть спинальным и церебральным. При спинальной разновидности патологии отмечается тотальное угнетение рефлекторных дуг, работы продолговатого мозга. Церебральная интоксикация приводит к нарушению сознания, коммуникативных функций, координации.
- Поражение проводящей системы. Особенно часто наблюдается при использовании высоких доз мекаина, лидокаина. Эти препараты подавляют электрическую активность сердца, в токсических дозах замедляют AV-проводимость, усугубляют атриовентрикулярную блокаду при ее наличии. Все перечисленное может стать причиной брадикардии и нарушений сердечного ритма вплоть до остановки сердца.
- Аллергии. Протекают в виде крапивницы, ангионевротического отека, анафилактического шока. Последний считается наиболее тяжелой формой гиперчувствительности к препарату. Иногда аллергия на м/а развивается в виде неспецифических явлений: головокружения, общего ухудшения самочувствия, незначительного угнетения дыхания, вариативной кожной сыпи.
- Травматизация. Возникает при нарушении техники процедуры или резких движениях пациента. При повреждении нервного ствола определяется выраженный болевой синдром, нарушение функции конечности. При попадании в кровеносный сосуд формируется гематома. Возможно появление контрактур, участков ишемии кожи, явлений парестезии.
- Инфекционные осложнения. Могут протекать в виде регионального воспаления, абсцесса, флегмоны мягких тканей. Наиболее тяжелой разновидностью является систематизированный септический процесс (сепсис), относящийся к жизнеугрожающим состояниям и требующий экстренной госпитализации. При остальных бактериальных процессах обычно показано амбулаторное лечение, которое может быть консервативным или оперативным.
Симптомы
Аллергическая реакция в форме крапивницы сопровождается образованием множества красных пятен, несколько возвышающихся над неизмененными участками кожи. Отмечается выраженный зуд. При ангионевротическом отеке наблюдается одностороннее или двухстороннее увеличение размера ушей, губ, мягких тканей лица. Наиболее опасен АНО дыхательных путей, который проявляется в форме удушья, инспираторной одышки, свистящего дыхания, лающего кашля, акроцианоза губ, мочек ушей, ногтей. При отсутствии своевременной помощи развивается выраженная системная гипоксия, больной погибает от недостатка кислорода. К числу симптомов анафилактического шока относят бледность или мраморность кожи, резкое снижение АД, тахикардию, расширение зрачков, нарушение сознания, чувство удушья.
При поражении ЦНС наблюдаются головокружения, судороги, звон в ушах, металлический привкус во рту. Может выявляться нистагм, нарушения речи, головокружения, тремор, онемение полости рта, языка. Реакция со стороны ССС включает брадикардию, аритмию, расширение периферических сосудов, снижение АД, коллапс. Возможна фибрилляция и асистолия. Типичным симптомом травматизации сосудов является быстрое увеличение гематомы в пораженной области. При пальпации обнаруживается умеренная болезненность, отек. Попадание иглы в нервный ствол провоцирует резкий приступ боли, иррадиирующей по ходу поврежденной структуры. Впоследствии у некоторых больных отмечается тугоподвижность конечности, боли в спине, локальное нарушение чувствительности.
Для инфекционных процессов характерна местная и общая симптоматика. Местными симптомами являются отек тканей, локальная гиперемия, повышение температуры тела в области воспаления. При накоплении гноя определяется флюктуация, визуально в очаге может просматриваться беловатая зона (скопление гнойных масс). К системным проявлениям относят общую гипертермию, ухудшение самочувствия, боли в мышцах и костях, изменение психоэмоционального фона. При тяжелых процессах наблюдается угнетение сознания, бред, судороги. Развивается инфекционно-токсический шок, приводящий к централизации кровообращения, нарушению гемодинамики, гибели пациента.
Обычно осложнения развиваются вскоре после введения препарата, поэтому их диагностику осуществляет лечащий врач, чаще всего хирург или анестезиолог-реаниматолог. Отсроченные последствия (инфекция) могут быть выявлены поликлиническим хирургом или врачом общей практики при обращении пациента в поликлинику. В большинстве случаев тип и характер патологии определяется с учетом анамнеза и внешних признаков. Иногда для подтверждения диагноза требуется проведение лабораторных и инструментальных исследований. К числу диагностических методик относятся:
- Сбор анамнеза, осмотр. Врач выясняет, какие вмешательства выполнялись в недавнем прошлом, какой анестетик использовался. Если постановкой диагноза занимается специалист, проводивший манипуляцию, этот пункт исключают. При осмотре выявляют характерные клинические признаки того или иного патологического состояния.
- Лабораторные анализы. При инфекционных процессах в крови больного обнаруживают лейкоцитоз, увеличение СОЭ. При токсическом влиянии анестетика может отмечаться сдвиг pH в кислую сторону, поскольку водородный показатель анестетиков колеблется от 3,5 до 6 единиц. Тяжелые нарушения работы сердца приводят к росту активности КФК, КФК МВ, появлению специфических маркеров. При аллергии в крови увеличивается содержание иммуноглобулинов.
- Инструментальное обследование. При аллергии не назначается. Признаки поражения ЦНС требуют исключения органических заболеваний путем проведения компьютерной томографии. На ЭКГ определяют AV-блокаду, брадикардию. При гнойных процессах может потребоваться сонография, рентгенография, КТ для уточнения границ воспалительного очага.
Лечение осложнений местной анестезии
При крапивнице пациенту назначают системные антигистаминные препараты. Как правило, этого оказывается достаточно для устранения проявлений болезни. Отек дыхательных путей требует внутривенного вливания кортикостероидов, оксигенотерапии. В тяжелых ситуациях прибегают к экстренной коникотомии или трахеостомии для обеспечения проходимости дыхательных путей. При анафилактическом шоке показана инфузионная терапия с использованием коллоидных растворов, введением кардиотоников для поддержания работы сердца и артериального давления. Применяются гормональные, антигистаминные средства, адреналин.
При нарушениях деятельности ЦНС рекомендуются противосудорожные препараты. При необходимости больного вводят в наркоз с использованием инъекционных средств. Осуществляют дыхательную поддержку вплоть до ИВЛ. Для ускорения экскреции анестетика производят объемные инфузии солевых растворов с последующим введением петлевых диуретиков. Реакции со стороны сердца купируют с помощью атропина, прессорных аминов. При фибрилляции проводят химическую или электрическую дефибрилляцию. При остановке сердца показана сердечно-легочная реанимация.
При инфекционных осложнениях назначают антибактериальные средства. Выполняют санацию патологического очага с его вскрытием, удалением гнойных масс, установкой дренажей. Для устранения болевого синдрома применяют ненаркотические анальгетики. Под окклюзионную повязку накладывают противомикробные и ранозаживляющие мази. Гематомы, образующиеся при повреждении сосуда, обычно не требуют вмешательства, при сдавлении соседних анатомических структур осуществляют удаление скопившейся крови. При травмах нервных стволов используют препараты для улучшения нервно-мышечной проводимости, физиотерапию.
Прогноз и профилактика
Прогноз при большинстве реакций благоприятный, при своевременно оказанной помощи негативные явления удается полностью устранить. Гибель или инвалидизация возможна при развитии анафилактического шока, отека Квинке, брадиаритмии вне стен лечебного учреждения. Тяжелые осложнения инфекционных процессов наблюдаются крайне редко. Профилактика заключается в правильном подборе вида и дозы анестетика, владении техникой манипуляции, информировании пациента о целях и ходе процедуры. Необходимо строго соблюдать правила асептики и антисептики. Больному следует заранее сообщить врачу о наличии аллергии на лекарственные препараты, максимально сдержанно вести себя во время вмешательства, избегать резких движений.
2. Местные осложнения при проведении местной инъекционной анестезии/ Чудаков О.П., Максимович Е.В. - 2012.
Абсцесс головного мозга ( Церебральный абсцесс )
Абсцесс головного мозга — это ограниченное скопление гноя в полости черепа. Различают три вида абсцессов: внутримозговые, субдуральные и эпидуральные. Симптомы абсцесса головного мозга зависят от его месторасположения и размеров. Они не являются специфичными и могут составлять клинику любого объемного образования. Диагностируется абсцесс головного мозга по данным КТ или МРТ головного мозга. При абсцессах небольшого размера подлежат консервативному лечению. Абсцессы, расположенные вблизи желудочков головного мозга, а также вызывающие резкий подъем внутричерепного давления, требуют хирургического вмешательства, при невозможности его проведения - стереотаксической пункции абсцесса.
Абсцесс головного мозга — это ограниченное скопление гноя в полости черепа. Различают три вида абсцессов: внутримозговые (скопление гноя в веществе мозга); субдуральные (расположенные под твердой мозговой оболочкой); эпидуральные (локализованные над твердой мозговой оболочкой). Основными путями проникновения инфекции в полость черепа являются: гематогенный; открытая проникающая черепно-мозговая травма; гнойно-воспалительные процессы в придаточных пазухах носа, среднем и внутреннем ухе; инфицирование раны после нейрохирургических вмешательств.
Среди выделенных возбудителей гематогенных абсцессов головного мозга преобладают стрептококки, часто в ассоциации с бактериотидами (Bacteroides spp.). Для гематогенных и отогенных абсцессов характерны Enterobacteriaceae (в том числе Proteus vulgaris). При открытой проникающей черепно-мозговой травме в патогенезе абсцесса мозга преобладают стафилококки (St. aureus), реже Enterobacteriaceae.
При различных иммунодефицитных состояниях (иммунодепрессивная терапия после трансплантации органов и тканей, ВИЧ-инфекция) из посева содержимого абсцесса головного мозга выделяют Aspergillus fumigatus. Однако идентифицировать возбудителя инфекции в содержимом абсцесса мозга довольно часто не представляется возможным, так как в 25-30 % случаев посевы содержимого абсцесса оказываются стерильными. Болезнь провоцируется следующими патологическими состояниями:
- Воспалительные процессы в легких. Чаще всего причиной образования гематогенных абсцессов головного мозга являются бронхоэктатическая болезнь, эмпиема плевры, хроническая пневмония, абсцесс легкого). Бактериальным эмболом становится фрагмент инфицированного тромба, который попадет в большой круг кровообращения и потоком крови разносится в сосуды мозга, где фиксируется в мелких сосудах (прекапилляре, капилляре или артериоле). Незначительную роль в патогенезе абсцессов могут играть хронический (или острый) бактериальный эндокардит, инфекции ЖКТ и сепсис.
- Черепно-мозговая травма. В случае открытой проникающей ЧМТ абсцесс мозга развивается вследствие прямого попадания инфекции в полость черепа. В мирное время доля таких абсцессов составляет 15-20%. В условиях боевых действий она возрастает в разы (минно-взрывные ранения, огнестрельные ранения).
- ЛОР-патологии. При гнойно-воспалительных процессах в придаточных пазухах носа (синуситы), среднем и внутреннем ухе возможны два пути распространения инфекции: ретроградный — по синусам твердой мозговой оболочки и мозговым венам; и непосредственное проникновение инфекции через твердую оболочку мозга. Во втором случае отграниченный очаг воспаления первоначально формируется в мозговых оболочках, а затем — в прилежащем отделе мозга.
- Послеоперационные осложнения. Абсцессы мозга, формирующиеся на фоне интракраниальных инфекционных осложнений после нейрохирургических вмешательств (вентрикулиты, менингиты), возникают, как правило, у тяжелых, ослабленных больных.
- Другие заболевания. Незначительную роль в патогенезе гематогенных абсцессов могут играть хронический (или острый) бактериальный эндокардит, инфекции ЖКТ и сепсис.
Формирование абсцесса мозга проходит в несколько этапов.
- 1-3 сутки. Развивается ограниченное воспаление мозговой ткани — энцефалит (ранний церебрит). На данном этапе воспалительный процесс обратим. Возможно как спонтанное его разрешение, так и под влиянием антибактериальной терапии.
- 4-9 сутки. В результате недостаточных защитных механизмов или в случае неверного лечения воспалительный процесс прогрессирует, в его центре полость, заполненная гноем, способная к увеличению.
- 10-13 сутки. На этой стадии вокруг гнойного очага формируется защитная капсула из соединительной ткани, которая препятствует распространению гнойного процесса.
- Третья неделя. Капсула окончательно уплотняется, вокруг нее формируется зона глиоза. В дальнейшем развитие ситуации зависит от вирулентности флоры, реактивности организма и адекватности лечебно-диагностических мероприятий. Возможно обратное развитие абсцесса мозга, но чаще увеличение его внутреннего объема или образование новых очагов воспаления по периферии капсулы.
Симптомы абсцесса головного мозга
На сегодняшний день патогномоничная симптоматика не выявлена. Клиническая картина при абсцессах головного мозга схожа с клинической картиной объемного образования, когда клинические симптомы могут варьироваться от головной боли до тяжелейших общемозговых симптомов, сопряженных с угнетением сознания и выраженными очаговыми симптомами поражения головного мозга.
В некоторых случаях первым проявлением болезни становится эпилептиформный припадок. Могут наблюдаться менингеальные симптомы (при субдуральных процессах, эмпиеме). Эпидуральные абсцессы головного мозга зачастую ассоциируются с остеомиелитом костей черепа. Наблюдается прогредиентное нарастание симптоматики.
Для диагностирования абсцесса головного мозга огромное значение имеет тщательный сбор анамнеза (наличие очагов гнойной инфекции, острое инфекционное начало). Наличие воспалительного процесса, сопряженного с появлением и усугублением неврологических симптомов — основание для дополнительного нейровизуализационного обследования.
Точность диагностирования с помощью КТ головного мозга зависит от стадии формирования абсцесса. На ранних стадиях заболевания диагностика затруднена. На этапе раннего энцефалита (1-3 сутки) КТ определяет зону сниженной плотности неправильной формы. Введенное контрастное вещество накапливается неравномерно, преимущественно периферических отделах очага, реже в центре.
На более поздних этапах энцефалита контуры очага приобретают ровные округлые очертания. Контрастное вещество распределяется равномерно, по всей периферии очага; плотность центральной зоны очага при этом не меняется. Однако на повторной КТ (через 30-40 минут) определяется диффузия контраста в центр капсулы, а также наличие его и в периферической зоне, что не характерно для злокачественных новообразований.
Инкапсулированный абсцесс мозга на КТ имеет вид округлого объемного образования с четкими ровными контурами повышенной плотности (фиброзная капсула). В центре капсулы зона пониженной плотности (гной), по периферии видна зона отека. Введенное контрастное вещество накапливается в виде кольца (по контуру фиброзной капсулы) с небольшой прилежащей зоной глиоза.
На повторной КТ (через 30-40 минут) контрастное вещество не определяется. При исследовании результатов компьютерной томографии следует учесть, что противовоспалительные препараты (глюкокортикостероиды, салицилаты) в значительной степени влияют на скопление контраста в энцефалитическом очаге.
МРТ головного мозга — более точный метод диагностирования. При проведении МРТ на первых стадиях формирования абсцесса мозга (1-9 сутки) энцефалитический очаг выглядит: на Т1-взвешенных изображениях — гипоинтенсивным, на Т2-взвешенных изображениях — гиперинтенсивным. МРТ на поздней (капсулированной) стадии абсцесса головного мозга: на Т1-взвешенных изображениях абсцесс выглядит, как зона пониженного сигнала в центре и на периферии (в зоне отека), а по контуру капсулы сигнал гиперинтенсивный. На Т2-взвешенных изображениях центр абсцесса изо- или гипоинтенсивный, в периферической зоне (зоне отека) гиперинтенсивный. Контур капсулы четко очерчен.
Дифференциальная диагностика абсцесса головного мозга должна проводиться с первичными глиальными и метастатическими опухолями полушарий мозга. При сомнениях в диагнозе следует проводить МЗ-спектроскопия. В таком случае дифференциация будет основываться на различном содержании аминокислот и лактата в опухолях и абсцессах головного мозга.
Иные способы диагностики и дифференциальной диагностики абсцесса головного мозга малоинформативны. Увеличение СОЭ, повышенное содержание С-реактивного белка в крови, лейкоцитоз, лихорадка — симптомокомплекс практически любых воспалительных процессов, включая внутричерепные. Бакпосевы крови при абсцессах головного мозга в 80-90% стерильны.
Лечение абсцесса головного мозга
На энцефалитической стадии абсцесса (анамнез - до 2 недель), а также в случае небольшого абсцесса головного мозга (до 3 см в диаметре) рекомендовано консервативное лечение, основой которого должна стать эмпирическая антибактериальная терапия. В некоторых случаях возможно проведение стереотаксической биопсии в целях окончательной верификации диагноза и выделения возбудителя.
Абсцессы, вызывающие дислокацию мозга и повышение внутричерепного давления, а также локализованные в зоне желудочковой системы (попадание гноя в желудочковую систему зачастую приводит к летальным исходам) — абсолютные показания к хирургическому вмешательству. Травматические абсцессы головного мозга, расположенные в зоне инородного тела также подлежат хирургическому лечению, так как данный воспалительный процесс не поддается консервативному лечению. Несмотря на неблагоприятный прогноз, грибковые абсцессы также являются абсолютным показанием к хирургическому вмешательству.
Противопоказанием к хирургическому лечению являются абсцессы мозга, расположенные в жизненно важных и глубинных структурах (зрительный бугор, ствол мозга, подкорковые ядра). В таких случаях возможно проведение стереотаксического метода лечения: пункция абсцесса мозга и его опорожнение с последующим промыванием полости и введением антибактериальных препаратов. Возможно как однократное, так и многократное (через установленный на несколько суток катетер) промывание полости.
Тяжелые соматические заболевания не являются абсолютным противопоказанием к проведению хирургического лечения, так как стереотаксическая операция может проводиться и под местной анестезией. Абсолютным противопоказанием к проведению операции может быть только крайне тяжелое состояние пациента (терминальная кома), так как в таких случаях любое оперативное вмешательство противопоказано.
Медикаментозное лечение
Целью эмпирической (в отсутствии посева или при невозможности выделения возбудителя) антибактериальной терапии является покрытие максимально возможного спектра возбудителей. Рекомендуемые программы лечения:
- При абсцессе головного мозга без ЧМТ или нейрохирургического вмешательства в анамнезе показан следующий алгоритм лечения: ванкомицин; цефалоспорины III поколения (цефотаксим, цефтриаксон, цефиксим); метронидазол. В случае посттравматического абсцесса головного мозга метронидазол заменяют на рифампицин.
- Возбудителем абсцесса головного мозга у пациентов с иммунодефицитными состояниями (кроме ВИЧ) чаще всего является Cryptococcus neoformans, реже Сandida spp или Aspergillius spp. Поэтому в данных случаях назначают амфоретицин В или липосомальный амфоретицин В. После исчезновения абсцесса (по данным нейровиуализационных исследований) применяют флуконазол в течение 10 недель, впоследствии дозу уменьшают вдвое и оставляют в качестве поддерживающей.
- У пациентов с ВИЧ возбудителем абсцесса головного мозга чаще всего является Toxoplasma gondii, поэтому эмпирическое лечение больных должно включать в себя сульфадиазин с пириметамином.
После выделения возбудителя из посева лечение необходимо изменить, учитывая антибиотикограмму. В случае стерильного посева следует продолжить эмпирическую антибактериальную терапию. Продолжительность интенсивной антибактериальной терапии — не менее 6 недель, после этого рекомендуется сменить антибиотики на пероральные и продолжить лечение еще 6 недель.
Назначение глюкокортикоидов оправдано только в случае адекватной антибактериальной терапии, так как только при положительном прогнозе глюкокортикоиды могут вызвать уменьшение выраженности и обратное развитие капсулы абсцесса головного мозга. В иных случаях их применение может вызвать распространение воспалительного процесса за пределы первичного очага.
Хирургическое лечение
Основными методами хирургического лечения внутримозговых абсцессов являются простое или приточно-отточное дренирование. Их суть заключается в установке в полость абсцесса катетера, через который осуществляется эвакуация гноя с последующим введением антибактериальных препаратов. Возможна установка второго катетера меньшего диаметра (на несколько суток), через который проводится инфузия раствора для промывания (чаще всего, 0,9 % раствора хлорида натрия). Дренирование абсцесса необходимо сопровождать антибактериальной терапией (сначала эмпирической, далее — с учетом чувствительности к антибиотикам выделенного патогена).
Стереотаксическая аспирация содержимого абсцесса без установки дренажа — альтернативный метод хирургического лечения абсцесса головного мозга. Главные его преимущества — снисходительные требования к квалификации медперсонала (для контроля над функционированием приточно-отточной системы необходимы пристальное внимание и специальные знания) и меньший риск вторичного инфицирования. Однако в 70% использования данного метода возникает необходимость повторных аспираций.
В случае множественных абсцессов головного мозга необходимо в первую очередь дренировать очаг, наиболее опасный в отношении осложнений (прорыв гноя в желудочковую систему, дислокация мозга), а также наиболее значимый в клинической картине. В случае эмпиемы или субдурального абсцесса головного мозга применяют дренирование, не используя приточно-отточную систему.
Прогноз при абсцессе головного мозга
В прогнозировании абсцессов головного мозга большое значение имеет возможность выделить возбудителя из посева и определить его чувствительность к антибиотикам, только в этом случае возможно проведение адекватной патогенетической терапии. Кроме этого, исход заболевания зависит от количества абсцессов, реактивности организма, адекватности и своевременности лечебных мероприятий. Процент летальных исходов при абсцессах головного мозга — 10%, инвалидизации — 50%. Почти у трети выживших пациентов последствием заболевания становится эпилептический синдром.
При субдуральных эмпиемах прогнозы менее благоприятны из-за отсутствия границ гнойного очага, так это свидетельствует высокой вирулентности возбудителя, либо о минимальной сопротивляемости пациента. Летальность в таких случаях — до 50%. Грибковые эмпиемы в сочетании с иммунодефицитными состояниями в большинстве случаев (до 95%) приводят к летальному исходу.
Эпидуральные эмпиемы и абсцессы головного мозга обычно имеют благоприятный прогноз. Проникновение инфекции через неповрежденную твердую мозговую оболочку практически исключено. Санация остеомиелитического очага позволяет устранить эпидуральную эмпиему. Своевременное и адекватное лечение первичных гнойных процессов, а также полноценная первичная обработка ран при ЧМТ позволяют в значительной степени снизить возможность развития абсцесса головного мозга.
1. Абсцессы головного мозга: диагностика и лечение/ Ырысов К.Б., Арстанбеков Н.А., Мамашарипов К.М.// Наука и новые технологии - 2011 - № 6
2. Современная терапия абсцесса головного мозга/ Амчеславский В.Г. , Шиманский В.Н. , Шатворян Б.Р. // РМЖ (Русский медицинский журнал) - 2000 - №13
3. Диагностика абсцессов головного мозга/Султанов Б.М., Ырысов К.Б., Мамашарипов К.М.// Вестник КГМА им. И.К. Ахунбаева. - 2012 - № 1
Осложнения наркоза
Осложнения наркоза - это непредусмотренные негативные эффекты, возникающие в ходе общего обезболивания или вскоре после пробуждения. Проявляются в форме дыхательной недостаточности, нарушений кровообращения, чрезмерного угнетения ЦНС, рвоты, регургитации. После пробуждения возможно развитие психозов, галлюцинаторного синдрома, парезов и параличей. В некоторых случаях выявляется динамическая непроходимость кишечника. Диагноз устанавливается на основании клинических признаков, данных аппаратного мониторирования жизненных функций, лабораторного исследования биологических сред организма.
Осложнения наркоза относятся к категории ятрогенных состояний, возникающих в результате действий медицинского работника. Чаще всего являются предотвратимыми при достаточном объеме профилактических мероприятий и тщательной подготовке врача-анестезиолога к оперативному вмешательству. Число непредусмотренных проблем с каждым годом снижается. По данным за 1956 год, летальность по причинам, связанным с общим обезболиванием, достигала 15%. Сегодня этот показатель не превышает 0,02% при использовании эндотрахеального метода подачи смеси, современных анестетиков, непрерывного мониторирования состояния пациента. Количество нелетальных проблем, по статистике за 2014 год, достигает 2,5%.
Абсолютное большинство проблем, возникающих в ходе анестезии, вызвано неправильными действиями анестезиолога или медсестры-анестезиста. Осложнения наркоза также могут быть обусловлены нарушением рекомендаций врача со стороны больного. Манифестация аллергических реакций, которые невозможно предусмотреть, встречается лишь в 1% случаев от общего числа жизнеугрожающей патологии. Еще реже диагностируется злокачественная гипертермия - состояние мышечного гиперметаболизма, развивающееся как реакция на введение миорелаксантов деполяризующего действия. Причины патологии удобнее рассматривать по системам организма:
Механизм развития зависит от типа осложнения наркоза. При гиповентиляции наблюдается гипоксия и гиперкапния, нарушаются метаболические процессы в тканях организма, имеет место респираторный ацидоз. Отмечается расстройство жизненно важных реакций. При критическом снижении АД развивается шоковое состояние, централизация кровообращения, уменьшается тканевая перфузия, снабжение органов и систем кислородом, питательными веществами. На фоне недостаточности кровообращения наступают обратимые, а потом необратимые изменения в структуре тканей центральной нервной системы.
При чрезмерном угнетении ЦНС происходят сбои в регуляции работы внутренних органов, в том числе сердца, легких, печени, почек. Рвота - результат раздражения соответствующего центра. При эндотрахеальном методе подачи наркозного средства не представляет значительной опасности. Если пациент находится на самостоятельном дыхании, существует риск аспирации рвотных масс. Осложнениями аспирации становятся пневмонии, повреждение трахеи и бронхов кислым желудочным содержимым.
Деление всех возможных осложнений производится по признакам поражения той или иной системы. Принято разграничивать 5 основных групп, каждая из которых включает в себя несколько разновидностей патологических состояний. Наиболее опасно поражение дыхательной системы и системы кровообращения. Выделяют следующие типы негативных реакций, встречающихся во время общей анестезии или после нее:
- Поражение органов дыхания. Возникает чаще всего. Проявляется в форме механической асфиксии при западении языка, ларингоспазме, обструкции дыхательных путей рвотными массами, мокротой, кровью. При внутривенной анестезии без интубации возможна блокировка дыхательного центра на фоне превышения допустимой дозы медикаментов или индивидуальной реакции.
- Поражение системы кровообращения. Основные проявления - тахикардия, экстрасистолия, фибрилляция предсердий или желудочков. Возможно развитие острой сердечной недостаточности, при которой сердце перестает справляться с нагрузкой. Изменения сосудистого тонуса приводят к гипотонии или гипертонии, могут осложняться компенсаторными реакциями, в частности - тахиаритмией, инфарктом миокарда.
- Поражение ЦНС. Глубокие повреждения головного мозга сопровождаются угнетением самостоятельного дыхания, чрезмерным погружением в наркоз, что осложняет выход из него. При нейрогенном нарушении кровообращения мозг подвергается гипоксии, что впоследствии провоцирует постгипоксическую энцефалопатию. Специфические эффекты некоторых препаратов - бред, галлюцинации, психомоторное возбуждение на стадии погружения в наркоз или выхода из него, мышечная гиперреактивность. Встречаются при использовании кетамина, пропофола, ингаляционных анестетиков.
- Поражение ЖКТ. Симптомами являются рвота, послеоперационный парез кишечника. Рвота легко купируется введением противорвотных средств. При парезе развиваются запоры, требуются комплексные лечебные мероприятия. Парезы чаще всего наблюдаются после операций на кишечнике, при которых сочетается механическое и медикаментозное негативное воздействие на пищеварительную систему.
- Аллергические реакции. Осложнения такого типа не считаются ятрогенными, относятся к группе непредугадываемых происшествий. Могут проявляться в форме крапивницы (сыпь красного цвета, приподнятая над уровнем кожи), ангионевротического отека дыхательных путей или других участков тела больного, анафилактического шока. Последний является самой тяжелой реакцией на контакт с триггерным фактором, при отсутствии своевременной диагностики часто приводит к гибели пациента.
Симптомы осложнений наркоза
Дыхательные нарушения проявляются в виде классических признаков гипоксии. Обнаруживается диффузный цианоз, компенсаторная тахикардия, возможно повышение уровня артериального давления. Снижается SpO2, нарастает гиперкапния. При накоплении мокроты слышны хрипы, бульканье. Аппаратура сигнализирует о недостаточной проходимости дыхательных путей. Объем вдоха уменьшается. Осложнения наркоза, вызванные поражением сердечно-сосудистой системы, приводят к увеличению или снижению частоты пульса выше 90 или ниже 60 ударов в минуту соответственно. При падении АД кожа бледная, покрыта холодным липким потом, слизистые синеватого цвета. Повышение давления в сосудах может сопровождаться как гиперемией, так и бледностью кожи, возникает при рефлекторном спазме капилляров.
Поражение ГМ при операции включают нарушения гемодинамики, сердечного ритма. Пробуждение затягивается. Сознание восстанавливается долго, часто не полностью. Менее тяжелые обратимые сбои диагностируются по наличию галлюциноза, неадекватного поведения. Больной не понимает, где находится, что с ним произошло, нецензурно бранится. Отсутствует критическая оценка действий. Нормальное состояние восстанавливается в течение нескольких часов. К числу симптомов поражения ЖКТ относят рвоту, тошноту, запоры или диарею, отсутствие шумов кишечника при аускультации.
Осложнения наркоза выявляет анестезиолог, ведущий пациента. Для этого проводится предоперационный и постоперационный осмотр. В процессе вмешательства врач неотлучно находится в изголовье больного, наблюдая за его состоянием и предпринимая меры по коррекции возникающих нарушений. Диагноз выставляется по клиническим признакам и результатам мониторирования. Степень тяжести имеющихся сбоев и особенности их течения определяют по информации, полученной лабораторными методами. Перечень диагностических мероприятий включает:
- Физикальное обследование. Выявляются специфические признаки того или иного нарушения. Аускультация позволяет обнаружить посторонние шумы и хрипы в легких при аспирации мокроты, «немые» участки при закупорке дыхательных путей. Во время операции визуально контролируется экскурсия грудной клетки больного. Ее прекращение свидетельствует о критически малом поступлении воздуха.
- Аппаратное обследование. Основной метод - подключение больного к кардиомонитору на все время вмешательства. Измеряются такие параметры, как уровень АД, процент насыщения крови кислородом, сердечный ритм, температура тела. Повышение или понижение АД, неровный пульс - симптомы гемодинамических нарушений, уменьшение SpO2 в сочетании с тахикардией - проявления дыхательной недостаточности. Поражение головного мозга определяют при электроэнцефалографии по ослаблению или полному отсутствию признаков активности. Неконтролируемый рост температуры тела дает основания предположить развитие злокачественной гипертермии. Парез кишечника диагностируется на послеоперационном этапе с помощью УЗИ брюшной полости (отсутствие перистальтики).
- Лабораторное обследование. Является вспомогательным. При гипоксии обнаруживают снижение pH менее 7,35, увеличение концентрации углекислого газа. Острый инфаркт миокарда приводит к росту тропонинов, ЛДГ, КФК, КФК МВ. При ЗГ в крови появляются продукты деструкции поперечнополосатой мускулатуры.
Лечение осложнений наркоза
Терапия проводится с учетом причин, вызвавших патологическое состояние. При респираторных нарушениях осуществляется корректировка состава и объема газовоздушной смеси, санация эндотрахеальной трубки с помощью электроотсоса. Если полностью очистить дыхательные пути не представляется возможным, вызывают дежурную эндоскопическую бригаду для проведения экстренной бронхоскопии. Для купирования ларингоспазма применяют наркотические анальгетики, атропин, спазмолитики, адреномиметики. Для насыщения крови O2 аппарат выставляют в режим усиленной оксигенации (100%). Поддержание сонного состояния обеспечивают за счет внутривенных анестетиков.
Нарушения со стороны ССС лечат посимптомно. При брадикардии требуется введение атропина, адреналина. Снижение АД на фоне ослабления сердечной деятельности - показание для перевода больного на введение прессорных аминов через шприц-насос. Может потребоваться снижение дозы анестезирующего средства. Аритмии купируют с использованием кордарона, амиодарона, новокаинамида, лидокаина. Фибрилляция, не поддающаяся химическому воздействию, требует проведения электрической дефибрилляции. При повышении АД вводятся антигипертонические средства, при снижении - гипотонические препараты, инфузионные растворы для восполнения ОЦК, стероидные гормоны.
Купирование кратковременных послеоперационных психозов медикаментозными средствами не выполняется. При выраженном психомоторном возбуждении допускается назначение нейролептиков, наркотических анальгетиков. Долговременные нарушения работы ЦНС требуют терапии с применением ноотропов, антиоксидантов, общеукрепляющих средств (поливитаминные комплексы, адаптогены). Тонус кишечника обычно восстанавливается самостоятельно за 1-2 дня. При затяжном течении пареза вводится прозерин.
Злокачественная гипертермия является показанием для введения датролена - миорелаксанта, способного блокировать рианодиновые рецепторы. Кроме того, назначают препараты симптоматического лечения, физические способы снижения температуры (лед на крупные сосуды, смачивание простыни и тела пациента холодной водой, вентилят ор). При аллергических реакциях вливают антигистаминные препараты, глюкокортикостероиды, симптоматические лекарственные средства. Тяжелые проявления требуют обязательной интубации трахеи, перевода на ИВЛ, если это не было сделано ранее.
Прогноз по большинству осложнений благоприятный при их своевременном обнаружении. Лечебные мероприятия позволяют купировать явления дыхательной и сердечно-сосудистой недостаточности без отсроченных последствий. К необратимым изменениям приводит длительная гипоксия (постгипоксическая энцефалопатия или смерть мозга), ишемия миокарда (ОИМ). Тяжелые последствия в виде аспирационной пневмонии может иметь вдыхание рвотных масс. При отсутствии помощи прогноз неблагоприятный. Смерть пациента наступает от удушья, фибрилляции предсердий, шока.
Предотвратить осложнения наркоза можно при тщательном сборе анамнеза. Специалист выясняет, отмечались ли у больного или его родственников аллергические реакции на наркозные средства, эпизоды злокачественной гипертермии. Пациента информируют о запрете на употребление любой пищи за 10 часов до поступления в операционную. В ходе обезболивания анестезиолог поддерживает адекватную вентиляцию легких больного, глубину сна, отслеживает основные показатели жизнедеятельности и работу аппаратуры.
Читайте также:
- Фильтрование. Питание с помощью щупалец. Питание детритом.
- Баугинит
- Иннервация лица. Нервы лица
- Лабораторные исследования хирургического больного. Инфузионная подготовка. Переливание крови и компонентов.
- Патогенез поражений туберкулеза. Клинические проявления туберкулеза. Очаг Гона. Формы туберкулеза.
