Аномалии желточного протока у детей. Дивертикул Меккеля у ребенка
Добавил пользователь Валентин П. Обновлено: 20.01.2026
ГБУЗ «Московский клинический научный центр им. А.С. Логинова»
ГБУЗ «Московский клинический научный центр им. А.С. Логинова» Департамента здравоохранения Москвы
- SPIN РИНЦ: 3100-0820
- Scopus AuthorID: 57193122772
- ORCID: 0000-0003-0889-2720
ФГБОУ ВО «Московский государственный медико-стоматологический университет им. А.И. Евдокимова» Минздрава России
- SPIN РИНЦ: 7121-2776
- Scopus AuthorID: 56571607000
- ORCID: 0000-0001-7254-5411
Инвертированный дивертикул Меккеля, сопровождающийся рецидивирующим кишечным кровотечением и тонко-тонкокишечной инвагинацией
Дивертикул Меккеля (ДМ) — наиболее частый врожденный порок развития желудочно-кишечного тракта, который возникает вследствие неполного обратного развития желточного протока и встречается примерно у 2% населения. Наиболее частыми осложнениями ДМ являются кровотечение, непроходимость и дивертикулит. Тонко-тонкокишечная инвагинация и инвертированные формы дивертикула описаны в литературе, однако редко встречаются и плохо изучены. У больного Т., 59 лет, при обследовании в клинике выявлены железодефицитная анемия тяжелой степени и признаки тонкокишечного кровотечения. По данным компьютерной томографии выявлены признаки тонко-тонкокишечной инвагинации. При оперативном лечении обнаружено, что причиной кишечной инвагинации служил инвертированный в просвет подвздошной кишки ДМ. Выполнено лапароскопически-ассистированное удаление дивертикула. Послеоперационный период протекал гладко, пациент выписан на 2-е сутки после хирургического лечения. По результатам гистологического и иммуногистохимического исследования диагностирована желудочная метаплазия эпителия дивертикула. Таким образом, данное наблюдение представляется нам интересным, так как акцентирует внимание на важности дифференциального диагноза у больных с тонкокишечными кровотечениями, а также демонстрирует редкий вариант инвертирования ДМ, повлекшего за собой формирование тонко-тонкокишечного инвагината.
Дата принятия в печать:
Введение
Дивертикул Меккеля (ДМ) впервые был описан в работе Fadricius Hildamus в 1598 г., а назван в честь немецкого анатома Johann Friedrich Meckel, который описал его эмбриологию и патологию в 1809 г. [1, 2]. ДМ — это наиболее частый врожденный порок развития желудочно-кишечного тракта, который возникает вследствие неполного обратного развития желточного протока и встречается примерно у 2% населения [3—5]. Чаще всего ДМ выявляется у детей до 10 лет и значительно реже встречается у взрослых. Клинически ДМ проявляется в 2—15% случаев [6—9]. Наиболее частыми осложнениями ДМ служат кровотечение, непроходимость и дивертикулит.
Кровотечение встречается в 29,8% случаев, как правило, имеет скрытый характер и за короткое время приводит к развитию тяжелой формы железодефицитной анемии [10]. Данное осложнение нередко является следствием эктопии желудочного эпителия или ткани поджелудочной железы, трудно выявляется без использования специальных методов обследования.
Диагностика ДМ — непростая задача. К существующим методам относится компьютерная томография (КТ) брюшной полости с внутривенным контрастированием, КТ-энтерография, сцинтиграфия с использованием изотопов технеция, капсульная эндоскопия, баллонная энтероскопия с биопсией и диагностическая лапароскопия [11—13].
Инвертированные формы дивертикула описаны в литературе, однако редко встречаются. По данным A. Levy и соавт. [11], такое состояние выявляется в 21% случаев. Механизм инверсии до конца не изучен. Одна из теорий заключается в том, что аномальные перистальтические движения в непосредственной близости от дивертикула могут вызвать его инвагинацию [14, 15].
Тактика лечения случайно выявленных неосложненных форм ДМ остается спорной. Риск развития осложнений напрямую зависит от возраста: 4% у людей моложе 20 лет; 2% у людей моложе 40 лет; стремится к 0 у пожилых людей [11, 13]. Профилактическая резекция рекомендована пациентам моложе 40 лет, при дивертикулах >2 см в длину или с узким основанием, при наличии признаков желудочной метаплазии эпителия ДМ по данным сцинтиграфии или результатам биопсии [13].
Основным методом лечения осложненного ДМ является хирургическое вмешательство. Объем операции зависит от изменения кишечной стенки. Когда патологические изменения не выходят за пределы ДМ, выполняется удаление дивертикула. В остальных ситуациях предпочтительна парциальная резекция тонкой кишки, несущей ДМ. Лапароскопические вмешательства при ДМ безопасны и приводят к скорому восстановлению больного после операции [11, 13].
Клинический случай
Больной Т., 59 лет, обратился в МКНЦ им. А.С. Логинова для прохождения комплексного обследования в связи с появлением и нарастанием общей слабости. В анамнезе у больного артериальная гипертензия II стадии, 2-й степени, риск развития сердечно-сосудистых осложнений 4; атеросклероз аорты и подвздошных артерий; хирургический анамнез отсутствует.
В анализах крови обращала внимание железодефицитная анемия тяжелой степени (Hb 63 г/л; умеренно выраженная гипохромия; резко выраженный анизоцитоз; сывороточное железо 2,2 мкмоль/л; ферритин 6,5 мкг/л). Анализ кала на скрытую кровь положительный. По данным эзофагогастродуоденоскопии, колоноскопии, УЗИ брюшной полости органической патологии, а также достоверного источника кровотечения не выявлено.
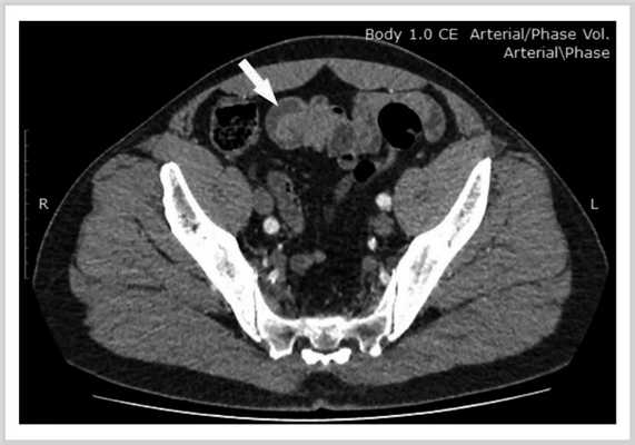
Диагностирован хронический атрофический гастрит, ассоциированный с Helicobacter pylori. Антитела к фактору Кастла, антитела к париетальным клеткам отрицательные. С целью уточнения источника кровотечения выполнена КТ брюшной полости с внутривенным контрастированием и КТ-энтерография, при которой выявлена тонко-тонкокишечная инвагинация на расстоянии 50 см от илеоцекального перехода (рис. 1), без признаков нарушения тонкокишечной проходимости. На уровне инвагинации в просвете тонкой кишки определялся фрагмент жировой ткани, предположительно липома, которая была расценена как вероятная причина кровотечения и инвагинации. Больной был подготовлен к плановому оперативному лечению — ликвидации тонко-тонкокишечной инвагинации и резекции участка тонкой кишки с липомой.

Рис. 1. Компьютерная томограмма брюшной полости с внутривенным контрастированием и энтерографией: тонко-тонкокишечная инвагинация, жировая ткань в просвете тонкой кишки (стрелка).
Выполнена лапароскопия. При ревизии на расстоянии 50 см от илеоцекального угла определяется тонко-тонкокишечная инвагинация (рис. 2, а). При расправлении инвагината выявлено кратерообразное углубление на противобрыжеечном крае подвздошной кишки (рис. 2, б). Вывернут инвертированный ДМ на широком основании размером 6×2 см, на верхушке которого располагается фрагмент жировой ткани 3,5×1 см (рис. 2, в). Проведена срединная минилапаротомия выше пупка длиной 4 см, петля тонкой кишки с дивертикулом выведена в рану (рис. 2, г). Выполнено удаление дивертикула при помощи линейного сшивающего аппарата Echelon («Johnson & Johnson») белая кассета (высота скрепок 2,5 мм; рис. 3). Скрепочный шов дополнительно укрыт непрерывным серозно-мышечным швом нитью PDS 3/0. Выполнено послойное ушивание минилапаротомной и троакарных ран. Операция длилась 65 мин, продолжительность наркоза составила 85 мин.

Рис. 2. Лапароскопическая интраоперационная картина (а—в) и дивертикул Меккеля 6×2 см, на верхушке которого располагается фрагмент жировой ткани 3,5×1 см (г).
а — тонко-тонкокишечная инвагинация (стрелка); б — кратерообразное углубление на противобрыжеечном крае подвздошной кишки (стрелка); в — основание дивертикула Меккеля.

Рис. 3. Резекция участка тонкой кишки, несущей дивертикул, при помощи линейного сшивающего аппарата.
Результаты
Больной удовлетворительно перенес операцию. В периоперационном периоде больному проводилась коррекция анемии препаратами железа. Течение послеоперационного периода гладкое, выписан на 2-е сутки после хирургического лечения.
Через 1 мес после операции больной отмечает улучшение самочувствия. По результатам контрольных обследований: Hb 03 г/л; сывороточное железо 7,4 мкмоль/л; анализ кала на скрытую кровь отрицательный.
При изучении макропрепарата на расстоянии 2,0 см от ушитого края в стенке кишки со стороны подслизистого слоя определялся узел 3,5×1,5 см. Слизистая оболочка над узлом эрозирована, бугристая (рис. 4). На разрезе узел желтого цвета, мягкой консистенции.

Рис. 4. Макропрепарат дивертикула Меккеля. На верхушке дивертикула определяется хроническая язва с полиповидными разрастаниями (стрелка).
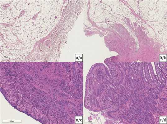
При гистологическом исследовании стенка тонкой кишки на ограниченном участке, преимущественно в мышечном слое с очаговым вовлечением подслизистого слоя, была представлена опухолью из зрелой жировой ткани с обилием толстостенных кровеносных сосудов, отграниченной фиброзной капсулой (рис. 5, а, б, на цв. вклейке). Слизистая оболочка над опухолью изъязвлена до мышечного слоя. В дне язвы умеренно выраженная нейтрофильная инфильтрация с наличием грануляционной ткани, арозированные кровеносные сосуды, отложение гемосидерина (рис. 5, в, на цв. вклейке). В краях язвы обнаружена гиперплазия желез, часть из которых напоминала кислотопродуцирующие железы желудка (рис. 5, г, на цв. вклейке).

Рис. 5. Гистологическая картина дивертикула Меккеля. Окраска гематоксилином и эозином, ув.100 (а, б) и 200 (в, г).
а — опухоль из зрелой жировой ткани, окруженная фиброзной капсулой; б — нервно-мышечная гипертрофия в участке сохранившейся мышечной стенки кишки; в — дно хронической язвы; г — гиперплазия желез в края язвенного дефекта.
С целью определения иммунофенотипа клеточной популяции в участках гиперплазии было проведено иммуногистохимическое исследование (рис. 6, а—в, на цв. вклейке). Клетки желез в крае язвенного дефекта экспрессировали Muc6 и Muc5 (маркеры желудочной дифференцировки) и не экспрессировали Muc2 (маркер кишечной дифференцировки). Кроме того, при помощи иммуногистохимического исследования с антителами к хромогранину A выявлена линейная гиперплазия нейроэндокринных клеток в зоне эктопированных желудочных желез (рис. 6, г, на цв. вклейке).

Рис. 6. Результаты иммуногистохимического исследования участка гиперплазии желез. Ув. 100.
а — отсутствие экспрессии Muc2 в части клеток в участке гиперплазии; б — экспрессия Muc5ac в участке гетеротопии; в — экспрессия Muc6 в участке гетеротопии; г — экспрессия хромогранина A в участках линейной гиперплазии нейроэндокринных клеток.
ДМ, как правило, не имеет клинических проявлений, а обнаруживается во время рентгенологических исследований или операций, выполненных по другим причинам.
В представленном клиническом случае у больного с тяжелой анемией, вызванной рецидивирующим тонкокишечным кровотечением, по данным КТ выявлены признаки тонко-тонкокишечной инвагинации. В ней определялся фрагмент жировой ткани, предположительно липома, вероятно, и явившаяся причиной кровотечения и инвагинации. При инверсии дивертикула в просвет тонкой кишки его брыжейка при ее наличии втягивается внутрь, поэтому рентгенологические признаки инвертированного ДМ схожи с признаками внутрипросветной липомы или полипа на ножке. Что и подтвердилось в представленном случае.
В такой ситуации применение сцинтиграфии с использованием изотопов технеция может выявить участки эктопии желудочного эпителия, что позволяет уточнить дооперационный диагноз. Однако наличие тонкокишечной инвагинации на фоне предполагаемой по данным КТ липомы подтолкнуло нас к оперативному лечению данного пациента. Выполнена диагностическая лапароскопия, при которой обнаружен инвертированный ДМ. Лапароскопически-ассистированный доступ был более оправданным, так как обеспечил меньшую травму кишечной стенки и позволил ограничиться удалением дивертикула.
По результатам гистологического и иммуногистохимического исследования установлено, что источником рецидивирующего кровотечения была хроническая язва на фоне эктопии желудочного эпителия. Кроме того, ДМ сопровождался развитием на его верхушке липомы, что описано в литературе, но редко встречается [16]. Инвертированная форма и наличие липомы обусловили развитие тонко-тонкокишечной инвагинации без признаков непроходимости.
Заключение
ДМ — редко встречающаяся патология во взрослом возрасте, поэтому часто вызывает затруднение в диагностике его осложненных форм. Данное наблюдение представляется нам интересным, так как акцентирует внимание на важности дифференциального диагноза у больных с тонкокишечными кровотечениями, а также демонстрирует редкий вариант инвертирования ДМ, повлекшего за собой формирование тонко-тонкокишечного инвагината.
Методологическое видео к статье
Участие авторов:
Дооперационная диагностика — Е.О. Куколева
Хирургическое лечение — Р.Е. Израилов, Д.А. Матвейчук, Н.Е. Семенов
Патологоанатомическое заключение — Н.С. Карнаухов
Написание текста — Д.А. Матвейчук, Е.О. Куколева, Н.С. Карнаухов, Н.Е. Семенов
Дивертикул Меккеля у детей
Дивертикул Меккеля у детей - врожденная аномалия подвздошной кишки, возникающая в результате нарушения облитерации проксимальной части желточного протока. Дивертикул Меккеля у детей опасен своими осложнениями: кровотечениями, кишечной непроходимостью, воспалением, перфорацией, ущемлением, опухолевыми процессами. С целью диагностики дивертикула Меккеля у детей проводится рентгенография тонкого кишечника с бариевой взвесью, сцинтиграфия, УЗИ и КТ органов брюшной полости, лапароскопия. Осложненные случая дивертикула Меккеля у детей требуют хирургической тактики - резекции дивертикула или участка кишки.

Общие сведения
Дивертикул Меккеля у детей - порок развития тонкого кишечника, представляющий собой патологическое мешковидное выпячивание в нижней трети подвздошной кишки. Дивертикул Меккеля входит в число наиболее частых врожденных аномалий ЖКТ, выявляемых у 2-3% детей, чаще у мальчиков. В половине случаев манифестация клинических проявлений развивается у детей до 10 лет, в остальных - в возрасте до 30 лет. Дивертикул Меккеля у детей является довольно коварной патологией: он трудно диагностируется, может иметь бессимптомное течение на протяжении всей жизни либо заявлять о себе клиникой острого живота уже в раннем детском возрасте. Совершенствование диагностических и лечебных алгоритмов при дивертикуле Меккеля у детей является актуальной задачей детской абдоминальной хирургии и педиатрии в целом.

Причины дивертикула Меккеля у детей
Дивертикул Меккеля у детей является эмбриональным пороком, т. е. формируется в процессе внутриутробного развития.
В первые месяцы развития плода функционирует эмбриональный желточный проток, входящий в состав пупочного канатика и соединяющий терминальную часть подвздошной кишки с желточным мешком. На 3-5 месяце эмбрионального развития в норме происходит облитерация желточного протока и его атрофия. В случае неполной облитерации и сохранения желчного протока к моменту рождения ребенка в том или ином виде различают следующие виды аномалий: неполные и полные свищи пупка, энтерокистома, дивертикул Меккеля.
В большинстве случаев дивертикул Меккеля у детей формируется в нижней трети подвздошной кишки на расстоянии 60-80 см от илеоцекального (подвздошно-слепокишечного) угла. Обычно дивертикул имеет длину около 3-4 см, форму конуса или цилиндра, располагается на противоположной брыжейке стенке подвздошной кишки. Дивертикул Меккеля у детей относится к истинным дивертикулам, поскольку его стенка полностью повторяет морфологическое строение стенки подвздошной кишки. Однако в составе стенки дивертикула часто обнаруживается эктопированная слизистая желудка, способная вырабатывать соляную кислоту, или ткань поджелудочной железы. Наличие эктопического железистого эпителия желудка в дивертикуле Меккеля у детей служит причиной изъязвления его стенки и желудочно-кишечного кровотечения.
Симптомы дивертикула Меккеля у детей
Неосложненный дивертикул Меккеля у детей протекает бессимптомно и может являться случайно находкой при проведении лапаротомии по поводу другого заболевания либо так и не быть распознанным. Клиническая манифестация дивертикула Меккеля у детей обычно связана с развитием осложнений: кишечного кровотечения, воспаления (дивертикулита), кишечной непроходимости (инвагинации, странгуляции), опухолей.
Кровотечение из пептической язвы, как самое частое осложнение дивертикула Меккеля у детей, может быть острым, обильным или хроническим, скрытым. Признаком кишечного кровотечения при дивертикуле Меккеля у детей служат дегтеобразный, черный стул. Кровотечение сопровождается общей слабостью, головокружением, тахикардией, бледностью, клинико-лабораторными признаками постгеморрагической анемии. В отличие от кровотечения из варикозно расширенных вен пищевода или язвы желудка и двенадцатиперстной кишки, при осложненном дивертикуле Меккеля у детей никогда не бывает рвоты «кофейной гущей».
Клиника острого дивертикулита, осложняющего дивертикул Меккеля у детей, напоминает симптомы острого аппендицита. У ребенка определяется боль в животе (около пупка или в правой подвздошной области), тошнота, повышенная температура, лейкоцитоз, положительный симптом Щеткина-Блюмберга. Обычно верный диагноз устанавливается интраоперационно, когда выявляется интактный червеобразный отросток, а ревизия подвздошной кишки выявляет наличие воспаленного дивертикула Меккеля у ребенка. Воспаление и изъязвление дивертикула Меккеля у детей может послужить причиной его перфорации в свободную брюшную полость с развитием перитонита.
Кишечная непроходимость, обусловленная дивертикулом Меккеля у детей, сопровождается тошнотой, рвотой, схваткообразной болью в животе, нарастающей интоксикацией. Непроходимость может быть вызвана инвагинацией, перекрутом петель подвздошной кишки вокруг дивертикула, ущемлением кишечных петель.
Иногда у детей происходит ущемление дивертикула Меккеля в грыжевом мешке паховой или бедренной грыжи (грыжа Литре). Пари ущемлении грыжи возникает резкая боль, напряжение и невправляемость грыжевого выпячивания, отсутствие симптома кашлевого толчка.
Реже, чем другие осложнения, у детей встречаются опухоли дивертикула Меккеля, как доброкачественные (гамартомы, миомы, липомы), так и злокачественные (аденокарциномы, карциноид). Клинические проявления опухолей дивертикула Меккеля у детей могут быть связаны с кишечной непроходимостью, перфорацией стенки, кровотечением.
Диагностика дивертикула Меккеля у детей
Дооперационный диагноз дивертикула Меккеля у детей устанавливается менее чем в 10% случаев. При физикальном обследовании обычно определяются признаки мышечного напряжения, локальной болезненности, раздражения брюшины. Из лабораторных исследований наиболее важными являются клинический и биохимический анализ крови, кал на скрытую кровь.
УЗИ органов брюшной полости обычно выявляет признаки воспалительного процесса, но не позволяет провести четкую топическую диагностику. Выявлению дивертикула Меккеля у детей способствует рентгенография тонкого кишечника с контрастированием взвесью сульфата бария. При дивертикуле Меккеля у детей, осложненном кровотечением, «золотым стандартом» диагностики служит сцинтиграфия с радиоактивным изотопом технецием-99т (меккелево сканирование), позволяющая обнаружить эктопированную слизистую оболочку желудка с чувствительностью 75-100%. Для исключения других причин кровотечения проводится эзофагогастродуоденоскопия, колоноскопия ребенку.
При подозрении на кишечную непроходимость выполняется обзорная рентгенография брюшной полости, КТ брюшной полости. Иногда дивертикул Меккеля у детей выявляется только в процессе диагностической лапароскопии или лапаротомии.
При дивертикуле Меккеля требуется исключить кровоточащую язву двенадцатиперстной кишки, острый аппендицит у детей, полипоз толстой кишки.
Лечение дивертикула Меккеля у детей
В отношении бессимптомных дивертикулов Меккеля у детей нет единого мнения. Одни детские хирурги считают, что не следует удалять случайно обнаруженный во время операции неизмененный дивертикул; другие настаивают на его обязательном удалении при благоприятной хирургической ситуации.
Дивертикул Меккеля у детей, осложненный воспалением, перфорацией, кровотечением, кишечной непроходимостью, ущемлением, однозначно требует проведения ургентного хирургического вмешательства. При этом ребенку может быть выполнено иссечение дивертикула тонкой кишки (дивертикулэктомия) либо сегментарная резекция тонкой кишки с наложением энтероэнтероанастомоза по типу конец в конец. В детской хирургии предпочтение отдается эндоскопической резекции тонкой кишки.
Методом выбора лечения дивертикулита у детей служит консервативная медикаментозная терапия: инфузии антибиотиков, инъекции противовоспалительных препаратов. При рецидивирующем характере воспаления дивертикула Меккеля у детей решается вопрос о резекции дивертикула.
При развитии перитонита, кроме резекции тонкой кишки, необходимо проведение дренирования и санации брюшной полости, назначение массивной антибиотикотерапии, инфузионной и дезинтоксикационной терапии.
Прогноз дивертикула Меккеля у детей
В 95% случаев дивертикул Меккеля остается бессимптомным в течение всей жизни; осложнения дивертикула Меккеля развиваются лишь у 4-5% детей.
При осложненном течении дивертикула Меккеля у детей на исход заболевания влияет своевременность госпитализации и хирургического лечения. Риск хирургических осложнений невысок, однако иногда возможно развитие послеоперационной спаечной кишечной непроходимости.
Дивертикулы кишечника
Дивертикулы кишечника - это мешотчатые выпячивания стенки толстой, реже тонкой кишки врожденного либо приобретенного характера. Чаще всего встречается бессимптомная форма заболевания. Явные клинические формы патологии проявляются неопределенными болями в животе, диспепсическими явлениями, кровотечениями. Для диагностики используют ирригографию, колоноскопию, ректороманоскопию, УЗИ и КТ органов брюшной полости. Специфическая терапия включает в себя применение диеты с повышенным содержанием клетчатки, назначение спазмолитиков, прокинетиков, антибактериальных препаратов, лактулозы. При осложненном течении заболевания требуется хирургическое лечение.
МКБ-10


Дивертикулы кишечника могут иметь врожденную (при наследственной патологии соединительной ткани) либо приобретенную (связанную с возрастной слабостью межуточных волокон) природу. В тонком кишечнике дивертикулы встречаются достаточно редко - у 1% пациентов, при этом в большинстве случаев выявляют дивертикул Меккеля, содержащий в себе ткани желудка либо поджелудочной железы. Дивертикулы кишечника чаще бывают множественными и расположены в левой половине толстой кишки (в 70% случаев).
В молодом возрасте дивертикулез выявляют лишь в 5% случаев, в возрасте от 40 до 60 лет - у 30% населения, а после 80 лет частота поражения дивертикулами кишечника составляет более 65%. Патологические выпячивания могут осложняться воспалением, кровотечением, перфорацией, однако практически никогда не сопровождаются малигнизацией. В последние годы отмечается учащение случаев дивертикулеза в развитых странах, что связано с изменением диетических привычек, исключением из рациона клетчатки и полезных пищевых волокон.

Причины
К появлению врожденных и приобретенных дивертикулов кишечника могут приводить различные факторы, но в основе их всех лежит слабость соединительной ткани. При врожденной соединительнотканной дисплазии дивертикулы обычно множественные, расположены не только в кишечнике, но и других органах (желудок, мочевой пузырь и др.). В первые годы заболевания стенка врожденных дивертикулов представлена всеми слоями кишечной стенки, однако с возрастом мышечные волокна атрофируются.
Возникновению приобретенных дивертикулов кишечника способствуют:
- погрешности питания (употребление полуфабрикатов, нерегулярные приемы пищи, исключение из рациона клетчатки, свежих фруктов и овощей)
- авитаминозы
- постоянные запоры
- нарушения моторики кишечника
- малоподвижный образ жизни
- ожирение..
Любая из вышеперечисленных причин приводит к повышению внутрикишечного давления, пролабированию слизистого и подслизистого слоев кишки между мышечными волокнами, формированию полостного образования диаметром 3-5 см.
Патанатомия
В тонком кишечнике чаще всего встречается дивертикул Меккеля - врожденное неполное заращение желточного протока, в связи с чем примерно в 50 см от баугиниевой заслонки на стенке кишки образуется пальцевидное выпячивание, широким соустьем соединяющееся с кишечником. Иногда единичные дивертикулы образуются в двенадцатиперстной кишке - возле фатерова соска или в луковице двенадцатиперстной кишки (чаще всего это случается на фоне язвенной болезни ДПК). Другие локализации дивертикулеза тонкой кишки встречаются достаточно редко.
В толстом кишечнике дивертикулы преимущественно формируются в сигмовидной и левой половине поперечно-ободочной кишки. Чаще всего образования расположены в два ряда, по одному с каждой стороны вдоль брыжейки. Дивертикулы толстой кишки имеют тенденцию к прогрессированию с возрастом - повышение давления в кишечнике, застой калового содержимого оказывают пульсионный (выдавливающий) эффект, из-за чего возникают все новые и новые выпячивания кишечной стенки.
Классификация
Различают врожденные и приобретенные формы дивертикулов кишечника.
- Врожденный дивертикулез часто бывает множественным, выпячивания локализованы в различных органах. Также дивертикулы могут выступать компонентом врожденной триады Сента, сочетаясь с диафрагмальной грыжей и желчнокаменной болезнью.
- Приобретенные дивертикулы с возрастом формируются практически у 80% населения. Они могут быть тракционными (при спаечной болезни), ложными (при отсутствии мышечных волокон в стенке выпячивания), образовавшимися на фоне заболеваний и травм кишечника.
По локализации различают дивертикулы тонкого и толстого кишечника. По течению выделяют бессимптомные, клинически явные и осложненные дивертикулы.
Симптомы дивертикулов кишечника
Дивертикулы в большинстве случаев никак не проявляются длительное время, обнаруживаясь случайно при обследовании по поводу других заболеваний. Клинически явные формы чаще всего указывают на возможность развития осложнений. Появление симптоматики и осложнений при дивертикулезе связано с нарушением моторики кишечной стенки, застоем кишечного содержимого, как в кишке, так и в полости выпячивания, повышением внутрикишечного давления. Все эти факторы приводят к возникновению повышенного бактериального обсеменения (более 1 млн. клеток в мл), формированию каловых камней, истончению стенки кишечника в местах прохождения сосудов.
Клинически дивертикулы тонкого кишечника проявляются неопределенными болями в животе, хронической диареей. Выпячивания стенки толстого кишечника также способны вызывать боли в животе, больше в его левой половине, часто связанные с дефекацией и исчезающие после нее. Для заболевания характерна неустойчивость стула - запоры постоянно чередуются с диареей и периодами нормального стула. При осмотре каловые массы сформированы в виде шариков, окруженных слизью. Пациентов беспокоит повышенный метеоризм, обильное отхождение кишечных газов.
Осложнения
При длительном застое калового содержимого в дивертикулах наступают необратимые изменения кишечной стенки, активизируется кишечная флора и возникает дивертикулит - одно из самых частых осложнений данного заболевания. Хронический воспалительный процесс может существовать длительное время, вызывая частые рецидивирующие кровотечения, местный перитонит с формированием спаек, свищей, соединяющих полость кишечника с влагалищем, мочевым пузырем, кожей. При спаечной болезни иногда наблюдается кишечная непроходимость.
Выраженное воспаление в полости дивертикула может приводить к перфорации его стенки, выходу кишечного содержимого в брюшную полость с формированием межкишечного абсцесса, а в тяжелых случаях - разлитого перитонита. Перфорация дивертикула кишечника характеризуется клиникой «острого живота», которую очень часто путают с острым аппендицитом. Диагностическая ошибка обычно выявляется только во время операции, на которой находят дивертикулы кишечника.
Диагностика
Заподозрить наличие дивертикулов кишечника достаточно сложно, так как это заболевание не имеет специфической клинической картины. Чаще всего выпячивания обнаруживаются случайно, при поиске причины анемии, исключении опухолей кишечника. С целью уточнения диагноза проводятся:
- Анализы. При подозрении на дивертикулярную болезнь врач-гастроэнтеролог назначает ряд лабораторных исследований: общий анализ крови определяет воспалительные изменения и анемию, анализ кала на скрытую кровь помогает вовремя выявить кишечное кровотечение, а копрограмма и бактериологическое исследование кала диагностируют дисфункцию кишечника, нарушение пищеварения и повышенное бактериальное обсеменение.
- Рентгенодиагностика. Пациенты с данным заболеванием требуют проведения ирригографии, желательно с двойным контрастированием. На рентгеновском снимке будут видны выпячивания кишечной стенки, сообщающиеся с полостью кишечника. Следует помнить, что при наличии осложнений дивертикулов кишечника сначала необходимо сделать обзорную рентгенографию органов брюшной полости, убедиться в отсутствии признаков перфорации, и лишь затем назначать ирригографию.
- Кишечная эндоскопия. Использование эндоскопических методов диагностики (колоноскопия, ректороманоскопия) показано только после купирования признаков воспаления. Колоноскопия является незаменимым методом поиска источника кровотечения, однако может способствовать появлению осложнений заболевания. Преимуществом эндоскопических методик является возможность проведения биопсии, морфологического исследования биоптатов.
Для дифференциальной диагностики с другими заболеваниями может потребоваться проведение УЗИ, КТ, МСКТ органов брюшной полости. Дифференцировать дивертикулы кишечника следует с эктопической беременностью, гипохромной анемией, псевдомембранозным колитом, синдромом раздраженного кишечника, болезнью Крона, острым аппендицитом, целиакией, раком кишечника, ишемическим колитом.

КТ ОБП. Дивертикул горизонтальной части 12-перстной кишки, заполненный частично контрастом, частично - газом.
Лечение дивертикулов кишечника
Лечение пациентов с неосложненной формой дивертикулеза проводится в отделении гастроэнтерологии, а при возникновении тяжелых осложнений - в хирургическом стационаре. Госпитализируют больных с острым или обострением хронического дивертикулита, интоксикацией, высокой лихорадкой, тяжелой сопутствующей патологией, невозможностью энтерального питания, а также в возрасте старше 85 лет. При наличии клиники острого живота проводят ургентную операцию.
Консервативное лечение
Если у пациента случайно выявлен бессимптомно протекающий дивертикул кишечника, назначения специального лечения не требуется. При наличии неосложненных дивертикулов назначается богатая клетчаткой диета, спазмолитики, прокинетики. При соблюдении всех рекомендаций по терапии заболевания обычно достигается стойкий клинический эффект. Если у пациента развился дивертикулит, рекомендуется использование кишечных антисептиков, антибиотиков, осмотических слабительных препаратов.
Для нормализации работы кишечника следует отказаться от очистительных клизм, бесконтрольного применения слабительных средств. Положительный эффект достигается и при введении в режим дня умеренных физических нагрузок - они помогают укрепить мышечный корсет туловища, нормализуют моторику кишечника. Для уменьшения давления в просвете кишечника назначается диета, богатая клетчаткой (кроме очень грубых волокон - ананасов, хурмы, репы, редиски). Количество клетчатки в рационе увеличивают до 32 г/л. Нужно исключить газообразующие продукты, бобовые, газированные напитки. Для достижения необходимого эффекта следует ежесуточно употреблять не менее двух литров воды.
Использование стимулирующих слабительных средств, обезболивающих на основе морфина при дивертикулах противопоказано, так как они провоцируют дальнейшее нарушение моторики кишечника, усугубляют течение болезни. Для улучшения пассажа пищевых масс по кишечнику назначают осмотические слабительные средства - они увеличивают объем каловых масс и ускоряют их продвижение по пищеварительному тракту. При диарее назначаются сорбенты и вяжущие средства, для купирования метеоризма - препараты симетикона.
Острый дивертикулит требует госпитализации пациента в хирургический стационар, назначения дезинтоксикационных и плазмозамещающих средств, антибактериальных препаратов. Лечение длится не менее двух-трех недель, после выписки из стационара поддерживающая терапия аналогична той, которая проводится при неосложненных дивертикулах.
Хирургическое лечение
Хирургическое лечение показано при развитии угрожающих жизни осложнений: перфорация, абсцедирование, кишечная непроходимость, профузные кровотечения, формирование свищей. Также плановая операция назначается при рецидивирующих кровотечениях и дивертикулитах. Обычно производится резекция части кишечника, пораженного дивертикулезом, с наложением анастомоза. В сложных ситуациях накладывается колостома для облегчения оттока каловых масс, а после стабилизации состояния проводится реконструктивная операция.
Прогноз и профилактика
Прогноз при наличии дивертикулов кишечника обычно благоприятный, однако иногда это заболевание приводит к развитию угрожающих жизни осложнений. Дивертикулит возникает примерно у четверти больных. Эффективность его лечения при первом эпизоде наиболее высокая - до 70%, при третьем эпизоде эффективность терапии снижается до 6%. Профилактики врожденных дивертикулов кишечника не существует. Предупредить развитие приобретенных дивертикулов можно путем нормализации режима и рациона питания, употребления достаточного количества клетчатки и жидкости, использования умеренных физических нагрузок.
Аномалии развития кишечника
Аномалии развития кишечника - это наследственные или врожденные патологии, возникающие внутриутробно на этапах формирования кишечной трубки под воздействием тератогенных факторов. Проявляются симптомами кишечной непроходимости: отсутствием кала, рвотой, признаками «острого живота». Дети старшего возраста могут жаловаться на боли в животе различной локализации и интенсивности. Аномалии развития кишечника диагностируются клинически в первые дни жизни ребенка, подтверждаются по результатам комплексной рентгенологической диагностики, УЗИ и инструментальных методов обследования кишечника. Лечение хирургическое.



Аномалии развития кишечника являются наиболее распространенными пороками пищеварительного тракта. Встречаются с различной частотой для каждой нозологии, в среднем - 1 случай на 500-5000 новорожденных. Высокая актуальность в клинической педиатрии обусловлена необходимостью раннего оперативного вмешательства, которое в некоторых случаях может быть только паллиативным (например, при болезни Гиршпрунга).
В настоящее время высока частота встречаемости атрезии ануса. Данный порок является одной из причин детской инвалидности, поскольку излечение практически невозможно. Кроме того, аномалии развития кишечника могут сочетаться с другими пороками пищеварительной трубки, что значительно осложняет терапию и ухудшает прогноз для жизни ребенка.
Нарушения процесса закладки кишечной трубки на любом этапе приводят к формированию аномалий развития кишечника. Отклонение от нормы может произойти во время дифференцировки и правильного взаиморасположения отделов кишечника, в результате торможения апоптоза эмбриональных зачатков, в процессе образования слоев кишечной стенки и т. д. Как правило, причиной пороков является внешнее повреждающее действие лекарственных препаратов, радиации, бактериальных и вирусных токсинов. Вредные привычки матери также имеют тератогенный эффект. В результате отделы тонкого и толстого кишечника либо остаются недоразвитыми, либо формируются неправильно.
Аномалии развития кишечника по локализации могут затрагивать двенадцатиперстную, тощую, подвздошную кишку, то есть тонкий кишечник, либо ободочную, сигмовидную и прямую кишку, представляющие собой отделы толстого кишечника. Выделяют пороки развития кишечной трубки и кишечной стенки, пороки обратного развития желточного мешка, а также аномалии ротации кишечника. Отдельную группу составляют пороки аноректальной зоны.
- Аномалии кишечной трубки. Развитие кишечной трубки может нарушаться по типу стеноза или атрезии. В первом случае минимальный просвет кишечника имеется, в случае атрезии определенный отдел не развит вообще, а его место занимает фиброзный тяж, в составе которого не дифференцируются привычные отделы кишечной стенки.
- Аномалии кишечной стенки. Нейрогенный илеус относится к аномалиям развития кишечника, связанным с нарушением иннервации кишечной стенки. В эту же группу пороков входит болезнь Гиршпрунга, обусловленная аганглиозом стенки толстой кишки.
- Аномалии желточного мешка. Незаращение желточного протока является причиной множества аномалий развития кишечника, поскольку возможно несколько вариаций персистенции эмбрионального зачатка. Так, полный свищ формируется, когда желточный проток открыт на всем протяжении. Если же открытая часть протока находится снаружи, свищ называется неполным. Часть протока, открывающая в стенке кишечника, но закрытая на остальных участках, иначе называется дивертикулом Меккеля. Когда незаращенный участок локализуется в центральной части протока, формируется энтерокистома.
- Аномалии ротации (поворота) кишечника. Приводят к нетипичному расположению некоторых отделов тонкой и толстой кишки.
- Пороки развития аноректальной зоны. Включают различные варианты атрезии ануса с отсутствием или наличием свищевого хода, который может располагаться возле заднего прохода, а также открываться в органы мочевыделительной и половой системы.
Аномалии развития кишечника часто носят сочетанный характер, одновременно могут встречаться пороки других органов пищеварительного тракта, позвоночника и т. д. Несмотря на большое разнообразие, многие заболевания в клинике проявляются похожими симптомами.

Симптомы аномалий кишечника
Из всех пороков развития кишечника с момента рождения заметна только атрезия заднего прохода. Наличие ануса и его проходимость исследуется уже в родильном зале при помощи специального зонда. Кроме того, отсутствие заднего прохода педиатр определяет визуально. Наиболее частым симптомом многих аномалий развития кишечника является кишечная непроходимость. Обычно она носит механический характер, но возможна и нейрогенная обструкция, связанная с застоем содержимого вследствие отсутствия перистальтики (нейрогенный илеус, болезнь Гиршпрунга). Кишечная непроходимость сопровождается отсутствием стула либо скудными испражнениями, а также рвотой и напряжением передней брюшной стенки.
Аномалии развития кишечника могут проявляться спустя месяцы и годы после рождения ребенка. Так, дивертикулы кишечника часто обнаруживаются только при их воспалении. Пациенты жалуются на боли в животе, которые иногда сопровождаются различными изменениями частоты и консистенции стула. Незначительные анатомические патологии вообще могут не проявлять себя и диагностируются случайно, хотя чаще признаки аномалий развития кишечника заметны в первые дни, реже - недели и месяцы после рождения.
Достоверная клиническая диагностика возможна в случае атрезии заднего прохода, поскольку признаки порока очевидны. Заподозрить большинство аномалий развития кишечника педиатр может при симптомах кишечной непроходимости. Диагноз требует инструментального подтверждения:
- Рентгенодиагностика.Обзорная рентгенография ОБП дает представление о расположении органов брюшной полости, в том числе и петель кишечника. Метод позволяет исключить аномалии ротации, заметить признаки кишечной обструкции. Рентгенография с контрастированием также дает представление о взаиморасположении кишечных петель и ширине их просвета, поэтому методика используется в диагностике стенозов и атрезий участков кишечника.Также проводится ирригография.
- Эндоскопия ЖКТ. При наличии признаков высокой кишечной непроходимости (обильная рвота вскоре после кормления) проводится эзофагогастродуоденоскопия, благодаря которой можно визуализировать двенадцатиперстную кишку - одно из самых частых мест врожденных стенозов. Нижние отделы кишечника исследуются с помощью фиброколоноскопии.
- Сонография.Абдоминальное УЗИ является неинвазивным и высокоинформативным методом диагностики аномалий развития кишечника.
- Лабораторная диагностика. Включает анализ крови и кала. Последний необходим с целью определения функции поджелудочной железы, выявления скрытого кровотечения и т. д.
Лечение аномалий развития кишечника
Для большинства пороков лечение оперативное. Исключение составляют аномалии развития кишечника без клинических проявлений. Признаки кишечной непроходимости являются показанием для срочного хирургического вмешательства. Операция всегда проводится максимально щадящим способом, с возможным сохранением всей длины кишечника либо минимальной резекцией. После устранения обструкции (распутывание петель, закрепление их в привычных местах и др.) состояние ребенка быстро улучшается. Консервативная терапия направлена на детоксикацию, обусловленную застоем каловых масс, восстановление водно-солевого баланса и т. д.
Прогноз аномалий развития кишечника различный. Если удается устранить клинические проявления, ребенок живет и развивается нормально, требуется только диспансерное наблюдение. Если в процессе лечения была проведена резекция кишечника, возможно развитие синдрома короткой кишки с признаками мальабсорбции и снижением качества жизни пациента. Неблагоприятный прогноз часто сопутствует атрезии ануса по многим причинам. Например, расстояние от закрытого заднего прохода до кишки может быть значительным и требовать нескольких сложных операций. Ребенок в течение всего времени терапии живет с энтеростомой.
Также опасны случаи недоразвития мышц промежности, в частности, наружного сфинктера, когда даже реконструктивные операции дают небольшой положительный эффект. Болезнь Гиршпрунга в 50-70% случаев заканчивается летальным исходом в первые дни и недели жизни ребенка, но даже если пациенту удается пережить острый период, качество жизни значительно снижается.
Профилактика аномалий развития кишечника возможна на пренатальном этапе при условии отказа от вредных привычек и грамотного ведения беременности. При отягощенном анамнезе родителей по генетическим заболеваниям и различным патологиям пищеварительного тракта необходимо генетическое консультирование.
1. Аномалии ротации и фиксации кишечника у детей (клиника, диагностика, лечебная тактика)/ Ленюшкин А. И., Хворостов И.Н./ Вопросы современной педиатрии. - 2007.
Аномалии желточного протока у детей. Дивертикул Меккеля у ребенка
Городская Ивано-Матренинская детская клиническая больница, Иркутск;
Иркутская государственная медицинская академия последипломного образования
Городская Ивано-Матренинская детская клиническая больница, Иркутск;
Иркутский государственный медицинский университет;
Иркутская государственная медицинская академия последипломного образования
Городская Ивано-Матренинская детская клиническая больница, Иркутск, Центр хирургии и реанимации новорожденных;
Кафедра детской хирургии Иркутского государственного медицинского университета
ФГБОУ ВО «Российский национальный исследовательский медицинский университет им. Н.И. Пирогова» Минздрава России, 117997, Москва, Россия
Лапароскопическая техника резекции омфаломезентериального протока у новорожденных
Журнал: Эндоскопическая хирургия. 2014;20(6): 29‑32
В научной работе описана эндохирургическая техника лечения пациентов с омфаломезентериальным протоком (ОМП) с использованием линейного степлера. С января 2005 г. по декабрь 2013 г. прооперированы 5 доношенных новорожденных с открытым ОМП. Среди них были 3 мальчика и 2 девочки в возрасте от 3 до 10 дней. Масса тела детей варьировала от 3200 до 3800 г. Для выполнения лапароскопической резекции использовали линейный эндоскопический степлер ATW35 со скобками 2,5 мм (Ethicon Endo-Surgery, Cincinnati, OH). Послеоперационный период протекал без особенностей у всех пациентов и не сопровождался осложнениями. Преимуществами данной техники являются минимальная инвазивность процедуры, сокращение длительности операции, а также полное удаление слизистой оболочки кишки после эвагинации ОМП.
Появление лапароскопии изменило подходы к лечению многих врожденных заболеваний кишечника у маленьких детей. В научном исследовании сообщается об использовании нового эндохирургического способа резекции ОМП, который заключается в интра- и экстраабдоминальном применении эндоскопического линейного степлера. Этот способ получил название техники «двойного щелчка» по причине того, что сшивающий аппарат использовался дважды — первоначально внутри, а затем снаружи брюшной полости.
Материал и методы
С января 2005 г. по декабрь 2013 г. в Центре хирургии новорожденных МАУЗ ГИМДКБ Иркутска находились на лечении 5 больных с диагнозом открытый ОМП. Всем детям выполнено эндохирургическое лечение с использованием эндоскопического линейного степлера ATW35 («Ethicon Endo-Surgery», «LLC Guaynado», Пуэрто-Рико, США). Исследование проведено с разрешения этического комитета детского госпиталя. Все пациенты направлены на консультацию к хирургу в связи с периодическим выделением кишечного содержимого из пупочного кольца. При физическом обследовании новорожденных выявлена эвагинация слизистой оболочки ОМП с наличием свищевого хода в центре, из которого отмечалось поступление кишечного содержимого. При выполнении контрастной фистулографии достоверно визуализировался персистирующий ОМП, соединяющий пупок с подвздошной кишкой. Хирургическое лечение выполняли на следующий день после установления диагноза. Пред-операционная подготовка заключалась в проведении инфузионной терапии, коррекции метаболических нарушений и профилактическом введении разовой дозы антибактериального препарата.
Использовали трехпортовую технику лапароскопии с установкой 2 инструментальных портов (один — для 12-миллиметрового сшивающего аппарата — располагался в левом подреберье, другой — для 3-миллиметрового атравматичного зажима — размещался в левой подвздошной области) и одного 5-миллиметрового оптического порта, который помещался в правом подреберье. ОМП визуализировался на всем протяжении до места слияния с тонкой кишкой. Первоначально производили резекцию протока у его основания в области подвздошной кишки (см. рисунок, а) с использованием линейного эндоскопического степлера ATW35 — «первый щелчок». Фистулу эвагинировали из брюшной полости через пупочное кольцо с применением лапароскопического зажима, введенного в просвет ОМП, и выполняли окончательную резекцию желточного протока у основания пупка (см. рисунок, б) — «второй щелчок». Инструменты извлекали из брюшной полости, а лапароцентезные отверстия ушивали абсорбирующими нитями. После перехода на полный энтеральный объем приема пищи пациентов выписывали домой с рекомендациями повторного осмотра через 2 нед, 1 и 6 мес.

Резекция ОМП. а — в месте его соединения с подвздошной кишкой — абдоминальный этап; б — после его эвагинации через пупок — наружный этап.
Все пациенты были доношенными новорожденными в возрасте от 3 до 10 дней жизни. Среди них были 3 мальчика и 2 девочки массой тела от 3200 до 3800 г. Средняя длительность операции составила 45 мин (35—55 мин). У всех больных послеоперационный период протекал гладко. Младенцев выписывали из стационара на 3-и сутки после операции. У одного пациента отмечена поверхностная раневая инфекция в области пупочного кольца, которая исчезла после назначения курса антибактериальной терапии. В 3 случаях при гистологическом обследовании удаленного ОМП выявлена эктопия слизистой оболочки желудка, в остальных 2 случаях обнаружено нормальное строение кишечной стенки. Послеоперационный период не сопровождался осложнениями. Пупочный остаток и скобки самостоятельно отпадали на 5—6-е сутки, оставляя невидимый рубец, располагающийся в глубине пупка. В позднем послеоперационном периоде также не регистрировались такие осложнения, как стриктура кишечной трубки, кровотечение или формирование язвы в месте резекции. Хороший транзит содержимого по кишечнику и абсорбция наблюдались у всех пациентов в течение длительного периода наблюдений.
Знания о строении пуповины необходимы для понимания аномалий, возникающих в период антенатальной жизни ребенка [4]. Омфаломезентериальный, или желточный, проток появляется на ранних стадиях эмбрионального развития как длинная трубчатая структура, соединяющая среднюю кишку и желточный мешок, самопроизвольно исчезая к 5—9-й неделе беременности. Если просвет ОМП не облитерируется к рождению, развиваются следующие виды аномалий: 1) полный пупочный свищ между подвздошной кишкой и пупком, если просвет ОМП остался открытым на всем протяжении; 2) синус или неполный пупочный свищ, если просвет ОМП остался частично открытым со стороны пупка; 3) энтерокиста, если не облитерировалась средняя часть протока; 4) дивертикул, если не облитерировалась кишечная часть ОМП (дивертикул Меккеля).
Полный пупочный свищ или открытый ОМП — наиболее редко встречаемая аномалия, которая составляет только 15% патологии желточного протока [5]. Чаще всего диагноз заболевания устанавливается в неонатальном периоде жизни. У детей старшего возраста данный порок встречается крайне редко [6]. Кровотечение, обструкция и перфорация — наиболее частые осложнения аномалии ОМП [7]. Постоянным симптомом открытого ОМП является истечение через пупочное кольцо наружу кишечного содержимого. Часто из-за отсутствия пролапса слизистой оболочки кишки или выделений из пупочного кольца наличие ОМП ошибочно принимают за умбиликальную гранулему [8]. Вероятность появления симптомов открытого ОМП снижается с увеличением возраста.
Открытый ОМП может осложниться также инфекцией пупочного кольца, кровотечением, пролапсом слизистой оболочки кишки, ущемлением кишки [1, 9, 10].
Единственный способ лечения открытого ОМП — хирургическая резекция, которую следует предпринимать сразу после установления диагноза. Обычно для хирургической коррекции используется лапаротомия — поперечная или вертикальная [2, 9—11]. Однако в результате использования большого открытого разреза формируется видимый послеоперационный рубец.
В целях уменьшения травматичности операции для лечения ОМП был с успехом применен околопупочный доступ, имеющий малую длину разреза [12]. С этой целью вокруг пупка в месте соединения кишки и кожи наносят циркулярный разрез кожи. Следующим этапом выполняют резекцию аномального сегмента кишечника с наложением ручного анастомоза.
Мы не обнаружили в современной литературе описания использования лапароскопии для лечения новорожденных с открытым ОМП. К настоящему времени опубликовано всего 2 случая успешной эндоскопической резекции ОМП у взрослых пациентов [18, 19].
Настоящее исследование демонстрирует возможность использования линейных сшивающих аппаратов для лапароскопической коррекции открытого ОМП у новорожденных. Эта техника проста, безопасна и не требует специальных эндоскопических навыков. Мы не наблюдали осложнений в раннем послеоперационном периоде. Подтверждено, что возраст и размер тела пациента не являются противопоказанием к использованию эндоскопического степлера. Самыми большими преимуществами лапароскопической техники являются сокращение времени операции и 100% удаление слизистой кишки после эвагинации ОМП.
Данное исследование является первым описанием новой лапароскопической техники резекции ОМП у новорожденных — способ «двойного щелчка». Использование линейного степлера для резекции открытого ОМП — безопасная и эффективная минимально инвазивная операция, которая не сопровождается осложнениями.
Научное исследование посвящается прежним успехам русских ученых в области дизайна и производства сшивающих аппаратов, чей современный вид был первоначально спроектирован в Советском Союзе [29].
Читайте также:
- Блоттинг и ее техника. Полимеразная цепная реакция (ПЦР)
- Эпидемиология и типы злокачественных опухолей слюнной железы
- Клиника бери-бери при алкоголизме. Поражения сердца при нехватке тиамина
- Боли в конечностях и позвоночнике. Классификация причин болей.
- Причины слоения ногтей и как от этого избавиться
