Болезнь Лайма головного мозга на МРТ
Добавил пользователь Евгений Кузнецов Обновлено: 11.12.2025
Нейроборрелиоз - интермиттирующая лихорадка, вызываемая спирохетами Borellia (наиболее часто Borellia burgdorferi), известна довольно давно.
Что провоцирует / Причины Нейроборрелиоза:
Основными хозяевами и переносчиками возбудителя являются клещи Ixodes dammini. Заболевание встречается в лесных зонах США (особенно на западе страны), Канаде, реже в России и в странах Западной Европы. В США сейчас нейроборрелиоз является самой распространенной инфекцией, переносимой клещами. После укуса клеша и проникновения возбудителя развивается характерная кольцевидная эритема, иногда выступающая над поверхностью кожи. Спирохета первично поражает кожу, суставы, сердце и нервную систему.
Симптомы Нейроборрелиоза:
При нейроборрелиозе (син.: болезнь Лайма) поражения нервной системы могут быть минимальны и ограничиваться астеническим синдромом, замедлением нейропсихологических реакций, снижением памяти, а могут привести к развитию тяжелого энцефаломиелита или менингорадикулопатии.
В первой стадии мигрирующей кольцевидной эритемы (сам клещ размером с булавочную головку часто не виден) отмечается транзиторное повышение температуры тела, которое может затем повторяться через 2-4 дня (интермиттирующая лихорадка). Гипертермия сопровождается умеренной головной болью, тошнотой, миалгиями, астенией.
Во второй стадии менингорадикулита и энцефалита могут нарастать общемозговые симптомы вплоть до неглубоких нарушений сознания и делирия. Возможно поражение подкорковых ганглиев с развитием стриарного и паллидарного синдромов, атаксии. Характерны невропатии черепных нервов, особенно двустороннее поражение лицевого нерва, полирадикулиты. В третьей стадии развиваются артриты различных суставов, преимущественно крупных. На этой стадии признаки энцефалопатии могут прогрессировать и сочетаться с эпилептическим синдромом и прогрессирующими нарушениями координации движений.
Диагностика Нейроборрелиоза:
Основана на серологическом подтверждении присутствия спирохеты в организме. При активном процессе в первой и второй стадиях в сыворотке выявляется высокий титр антител к Borelliaburgdorferi, затем, однако, они могут стать отрицательными. Возможно развитие перекрестных ложноположительных реакций на сифилис, и наоборот, при сифилисе возможны ложноположительные реакции на боррелию. В цереброспинальной жидкости отмечается небольшой лимфоцитарный плеоцитоз. При МРТ-исследовании могут выявляться очаги повышенной плотности, иногда похожие на очаги демиелинизации при рассеянном склерозе, но в отличие от последнего довольно часто такие же очаги выявляются в базальных ганглиях.
Лечение Нейроборрелиоза:
Эффективно использование тетрациклина (500 мг внутрь 4 раза в сутки), доксициклина или моноциклина (по 100 мг 2 раза в сутки), больших доз бензилпенициллина (20 000 000-24 000 000 ЕД в сутки).
К каким докторам следует обращаться если у Вас Нейроборрелиоз:
Вас что-то беспокоит? Вы хотите узнать более детальную информацию о Нейроборрелиоза, ее причинах, симптомах, методах лечения и профилактики, ходе течения болезни и соблюдении диеты после нее? Или же Вам необходим осмотр? Вы можете записаться на прием к доктору .
МРТ находки при болезни Лайма
Болезнь Лайма (клещевой боррелиоз) относится к инфекционным заболеваниям. Возбудителем является спирохета из рода боррелий. Заболевание передается преимущественно через укусы клещей. На ранней стадии видны только кожные проявления, но затем инфекция распространяется с поражением нервной системы, сердца и крупных суставов.
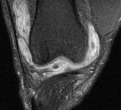
При МРТ коленного сустава наблюдается выпот по типу синовита, утолщение синовиальной оболочки и наслоения на ней.

МРТ коленного сустава. Т2-взвешенная корональная МРТ с подавлением сигнала от жира. Болезнь Лайма.
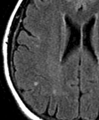
При МРТ головного мозга выявляется менингит и очаги в белом веществе. Менингит лучше виден при МРТ головного мозга с контрастирование, причем отмечается усиление не только оболочек, но и черепных нервов. Очаги в головном мозге неспецифические, светлые на Т2-взешенных МРТ. При МРТ головного мозга с контрастирование очаги могут усиливаться.

МРТ головного мозга. Т2-взвешенная аксиальная МРТ типа FLAIR. Болезнь Лайма.
При МРТ в СПб мультисистемный процесс с неврологическими проявлениями всегда кажется нам подозрительны на инфекционную его природу. Поэтому для исключения менингита мы рекомендуем МРТ с контрастированием.
Болезнь Лайма головного мозга на МРТ
1 ГБОУ ВПО «Красноярский Государственный медицинский университет им. проф. В. Ф. Войно-Ясенецкого» Минздрава России
Представлены результаты наблюдений пациентов с поражением нервной системы, обусловленным хроническим течением иксодового клещевого боррелиоза. Определены закономерности клинических проявлений хронического нейроборрелиоза с учетом иммунного и цитокинового статуса пациентов. В подавляющем большинстве случаев в патологический процесс вовлекается соматический отдел периферической нервной системы. В ряде случаев регистрируется сочетанное поражение с центральной нервной системой и опорно-двигательным аппаратом. Органическое поражение головного мозга регистрируется спорадически при длительном течении инфекционного процесса. Хроническое течение иксодового клещевого боррелиоза с неврологическими проявлениями патологического процесса сопровождается клеточным иммунодефицитом и несостоятельностью макрофагально-фагоцитарного звена иммунной системы. Цитокиновый статус характеризуется усиленным синтезом провоспалителных цитокинов, в частности интерлейкина-1β и интерлейкина-8, и дефицитом противовоспалительного интерлейкина-4.

1. Бондаренко А.Л., Быстрых Н.Ю., Любезнова О.Н. и др. Неврологические проявления хронического Лайм-боррелиоза // Инфекц. болезни. - 2006. - Т. 4, № 3. - С. 60-63.
2. Коренберг Э.И. Инфекции группы Лайм-боррелиоза - иксодовые клещевые боррелиозы в России // Мед. паразитология и паразитар. болезни. - 1996. - № 3. - С. 3-10.
3. Лобзин Ю.В., Усков А.Н., Козлов С.С. Лайм-боррелиоз (иксодовые клещевые боррелиозы). - СПб. : Фолиант, 2000. - 160 с.
4. Новиков Д.К., Новиков П.Д. Клиническая иммунопатология : руководство. - М. : Мед. лит., 2009. - 464 с.
5. Bannwarth A. Chronische lymphocytäre Meningitis, entzündliche Polyneuritis und «Rheumatismus». Ein beitrag zum Problem «Allergie und Nervensystem» // Archiv für Psychiatrie und Nervenkrankheiten (Berlin). - 1941. - Vol. 113. - S. 284-376.
6. Coyle P.K., Schutzer S.E. Neurologic aspects of Lyme disease // Med. Clin. North. Am. - 2002. - Vol. 86, № 2. - Р. 261-284.
7. Kristoferitsch W. Neurologic manifestations in Lyme borreliosis // Clin. Dermatol. - 1993. - Vol. 11. - P. 393-400.
8. Pachner A.R., Cadavid D., Shu G. et al. Central and peripheral nervous system infection, immunity, and inflammation in the NHP model of Lyme borreliosis // Ann. Neurol. - 2001. - Vol. 50, № 3. - Р. 330-338.
9. Peltomaa M., Pyykkö I., Seppälä I. et al. Lyme borreliosis and facial paralysis - a prospective analysis of risk factors and outcome // Am. J. Otolaryngol. - 2002. - Vol. 23, № 3. - Р. 125-132.
10. Widhe M., Grusell M., Ekerfelt C. et al. Cytokines in Lyme borreliosis: lack of early tumour necrosis factor-alpha and transforming growth factor-beta1 responses are associated with chronic neuroborreliosis // Immunology. - 2002. - Vol. 107, № 1. - Р. 46-55.
Иксодовые клещевые боррелиозы (ИКБ) представляют собой группу этиологически близких природно-очаговых трансмиссивных заболеваний, характеризующихся полиморфизмом клинической симптоматики с вовлечением в патологический процесс нервной, сердечно-сосудистой систем, кожных покровов, опорно-двигательного аппарата [2; 3]. Вместе с тем скудные патогномоничные проявления заболевания, медленный антителогенез значительно затрудняют своевременную верификацию диагноза, что обусловливает отсутствие адекватного лечения и, как следствие, формирование хронического течения ИКБ с развитием порой необратимых органных поражений [3]. Распознавание как можно ранних клинических проявлений хронического ИКБ приобретает медико-социальную значимость, т.к. эффективное лечение непосредственно инфекционного процесса предупредит развитие необратимых органных поражений, нередко приводящих к инвалидности лиц молодого трудоспособного возраста.
Известно, что клинические проявления боррелиозной инфекции тесно связаны с иммунореактивностью организма человека [3; 10]. Состояние иммунной системы пациента определяет не только исход заболевания, но и степень компенсаторных резервов организма, направленных на инактивацию инфекционного процесса. Глубина дефектов иммунного статуса и продукции цитокинов прямо коррелирует с длительностью и степенью иммуносупрессии, а следовательно, и с продолжительностью заболевания [4; 10]. Поэтому изучение иммунного статуса пациентов с хроническим течением ИКБ необходимо для определения риска развития глубоких нарушений гомеостаза и иммунодефицитных состояний.
Нейроборрелиоз является одним из клинических проявлений заболевания, и характеризуется поражением как центральных (ЦНС), так и периферических (ПНС) отделов нервной системы [1; 7]. Неврологическая симптоматика включает в себя весьма обширный спектр клинических проявлений, однако патогномоничные критерии нейроборрелиоза практически отсутствуют [7; 9]. Единственным характерным признаком нейроборрелиоза является сочетанное поражение ЦНС и ПНС (синдром Баннварта), включающее одномоментное развитие серозного менингита, мононеврита n. facialis и люмбалгии [7]. Длительное течение инфекционного процесса при отсутствии адекватной этиопатогенетической терапии с включением иммунокорректоров может привести к необратимым органным неврологическим поражениям, ведущим к снижению качества жизни, а в отдельных случаях к инвалидности больных трудоспособного возраста [6; 9]. Поэтому совершенствование клинико-иммунологической диагностики хронического нейроборрелиоза является необходимым перспективным направлением для определения дальнейшей тактики ведения пациентов.
Целью настоящего исследования является определение закономерностей клинических проявлений хронического нейроборрелиоза с учетом иммунного и цитокинового статуса пациентов.
Материалы и методы исследования
Клинические наблюдения выполнены на 86 пациентах (исследуемая группа) с хроническим нейроборрелиозом, находившихся на стационарном лечении в условиях инфекционного отделения Городской клинической больницы скорой медицинской помощи им. Н.С. Карповича г. Красноярска, их них 47 (54,6%) мужчин и 39 (45,3%) женщин; средний возраст составил 44,6±3,5 года. Для сравнения лабораторных показателей сформирована контрольная группа здоровых доноров (n=35), сопоставимая по возрасту (F=0,05; р>0,1) и полу (χ2=0,17; р>0,1) с исследуемой группой.
Диагноз подтверждали обнаружением специфических антител классов IgM и IgG к боррелиям методом иммуноферментного анализа с применением тест-систем производства ЗАО «Вектор-Бест» (г. Кольцово Новосибирской области).
Для оценки иммунного статуса пациентов изучали клеточное, фагоцитарное и гуморальное звенья иммунной системы. Рассчитывали абсолютное количество лимфоцитов (АКЛ), абсолютное количество CD3+ клеток, число фагоцитирующих нейтрофилов (ЧФН) по соответствующим формулам. Уровень CD3+, CD4+, CD8+ определяли методом преципитации в геле. Оценку фагоцитарной активности нейтрофилов проводили латекс-тестом с определением фагоцитарного индекса (ФИ) и фагоцитарного числа (ФЧ). Гуморальное звено иммунитета изучали по содержанию в крови общих IgM и IgG методом простой радиальной иммунодиффузии по G. Mancini с соавт. (1965).
Уровень цитокинов (IL-1b, IL-4, IL-8, TNF-a) в крови определяли методом иммуноферментного анализа с применением тест-систем производства ЗАО «Вектор-Бест». Референсными значениями считали для IL-1b - до 5 пг/мл, для IL-4 - до 6 пг/мл, для IL-8 - до 62 пг/мл, для TNF-a - до 8,21 пг/мл.
Пациентам с поражением ЦНС при отсутствии общепринятых противопоказаний проводили люмбальную пункцию с последующим цитологическим и молекулярно-генетическим (полимеразная цепная реакция - ПЦР) исследованием ликвора. Для визуализации структуры, функции и исследования биохимических характеристик головного мозга применяли магнитно-резонансную томографию (МРТ) магнитно-резонансным томографом Siemens Magnetom 1,5T (Нидерланды).
Критериями исключения из исследования являлись беременность, лактация, сопутствующие острые и другие хронические инфекционные заболевания, а также тяжелые соматические заболевания, способные повлиять на чистоту эксперимента (сахарный диабет, злокачественные новообразования, органические поражения ЦНС, инсульты, черепно-мозговые травмы в анамнезе).
Статистическая обработка результатов исследования проведена с применением пакета статистических программ Statistica for Windows 6.0. Фактические данные представлены в виде «средней ± ошибки среднего» (М±m). Описательные статистики для качественных признаков представлены абсолютными значениями и процентными долями. Для определения достоверности различий независимых выборок применяли непараметрический U-критерий Манна-Уитни. Анализ таблиц сопряженности проводили с использованием критерия согласия хи-квадрат (c2). Количественную связь признаков оценивали по F-критерию однофакторного дисперсионного анализа. Критический уровень значимости при проверке статистических гипотез в исследовании принимали равным 0,05.
Результаты и обсуждение
Клинические проявления нейроборрелиоза характеризовались наиболее частым вовлечением в патологический процесс соматической ПНС - в 93,0±2,8% случаев, причем в сочетании с поражением опорно-двигательного аппарата в 48,8±5,4% случаев, в сочетании с поражением ЦНС - в 1,2±1,2% случаев. Поражение соматической ПНС характеризовалось мононевритом плечевого нерва (n=17, 19,8±4,3%), бедренного нерва (n=17, 19,8±%), лицевого нерва (n=9, 10,5±3,3%), тройничного нерва (n=12, 14,0±3,7%), отводящего нерва (n=4, 4,7±2,3%), полирадикулоневритом (n=21, 24,4±4,6%; рис. 1). Мононевриты плечевого, бедренного и тройничного нервов регистрировались чаще, и наблюдались в основном у пациентов после перенесенных безэритемной формы болезни и сочетанного течения ИКБ и КЭ. Полирадикулоневрит с преимущественным поражением шейного и поясничного отделов позвоночника сопровождался умеренным корешковым синдромом, люмбалгиями, цервикалгиями.
Тяжелые поражения ЦНС наблюдались у пациентов с хроническим ИКБ после ранее перенесенной субклинической формой заболевания, что и явилось причиной госпитализации, в ходе которой диагноз был верифицирован (рис. 1). При ПЦР-диагностике ликвора была выявлена ДНК боррелий. Серозный менингит (2,3±1,6%) и менингоэнцефалит (2,3±1,6%) сопровождались менингеальной симптоматикой, лимфоцитарным плеоцитозом в ликворе, в случаях менингоэнцефалита - незначительной белково-клеточной диссоциацией.

Рисунок 1. Спектр клинических проявлений нейроборрелиоза при хроническом течении инфекционного процесса
Сочетанное поражение ЦНС и ПНС характеризовалось синдромом Баннварта, и наблюдалось у 3 (3,4±2,0%) пациентов. Клиническое течение симптомокомплекса, безусловно, сопряжено с боррелиозной инфекцией, т.к. известно, что для КЭ не характерно глубокое поражение ПНС [1; 6; 8; 9]. Заболевание характеризовалось постепенным началом с явлений интоксикации и нарастанием лихорадки от субфебрильных цифр до умеренной. У наблюдаемых больных лихорадочный период в целом составил 5-9 дней. Неврологическая симптоматика также развивалась постепенно на 4-6-й день болезни: начальным клиническим проявлением во всех случаях являлся серозный менингит, характеризовавшийся умеренно выраженным менингеальным синдромом, лимфоцитарным плеоцитозом в ликворе при наличии умеренной клеточно-белковой диссоциации. На 2-3-й день явлений менингита развивались люмбалгии, сохраняющиеся 3-5 недель, а также односторонний умеренно выраженный неврит n. facialis.
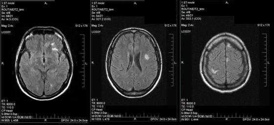
Органическое поражение ЦНС выявлено лишь у 1 (1,2%) пациента при длительном течении ИКБ (около 2-х лет) при отсутствии своевременной верификации диагноза, а следовательно, адекватной этиопатогенетической терапии. Клинические проявления характеризовались постоянной головной болью на фоне субфебрильного повышения температуры тела, снижением памяти, концентрации внимания. По результатам МРТ головного мозга выявлены мультифокальные очаги преимущественно белого вещества обоих полушарий и левой гемисферы мозжечка (рис. 2). В результате этиопатогенетической терапии клиническая симптоматика регрессировала, согласно результатам МРТ головного мозга, проведенного через 6 месяцев, количество очагов поражения белого вещества уменьшилось.

Рисунок 2. МРТ головного мозга - очаговое поражение головного мозга
при хроническом нейроборрелиозе
Таблица 1- Иммунный и цитокиновый статус при хроническом нейроборрелиозе (M±m)
Болезнь Лайма (клещевой боррелиоз) - симптомы и лечение
Что такое болезнь Лайма (клещевой боррелиоз)? Причины возникновения, диагностику и методы лечения разберем в статье доктора Александрова Павла Андреевича, инфекциониста со стажем в 14 лет.
Над статьей доктора Александрова Павла Андреевича работали литературный редактор Маргарита Тихонова , научный редактор Сергей Федосов

Определение болезни. Причины заболевания
Болезнь Лайма (иксодовый клещевой боррелиоз) — опасное инфекционное трансмиссивное заболевание острого или хронического течения, вызываемое бактериями рода Borrelia, которые поражают кожу, суставы, сердце и нервную систему. Клинически характеризуется полиморфизмом проявлений и без лечения приводит к стойкому нарушению жизнедеятельности и инвалидизации человека.
Краткое содержание статьи — в видео:
Возбудитель боррелиоза
род — Borrelia (тип Спирохет)
виды — более 10, из них наиболее этиологически значимые Borrelia burgdorferi (наиболее распространён), Borrelia azelii, Borrelia garinii.
Грамм-отрицательны. Культивируются в видоизменённой среде Kelly (селективная среда BSK-KS). Любит жидкие многокомпонентные среды. Жгутиконосцы. Небольшого диаметра, что позволяет им обходить большинство бытовых бактериальных фильтров. Borrelia burgdorferi состоит из плазмоцилиндра, покрытого клеточной мембраной, имеющей в составе термостабильный ЛПС. Температурный оптимум — 33-37°С. Сходствует со штопорообразной извитой спиралью. Вид завитков неравномерный, вращательные движения медленные.
Группы антигенов: поверхностные Osp A, Osp B, Osp С (обуславливают различия штаммов). Этиологические агенты генетически гетерогенны (то есть комплекс Borrelia burgdorferi sensu lato — вызывает группу этиологически самостоятельных иксодовых боррелиозов).
Хорошо красятся анилиновыми красителями. Неплохо выдерживают низкие температуры. Фенол, формалин, спирт и другие обеззараживающие вещества, а также ультрафиолетовое излучение вызывают быструю гибель. Является внутриклеточным паразитом. [2] [3] [5]
Эпидемиология
Природно-очаговое заболевание. Источник инфекции — различные животные (олени, грызуны, волки, домашние и дикие собаки, еноты, овцы, птицы, крупный и мелкий рогатый скот и другие). Переносчики — иксодовые клещи (таёжный и лесной): Ixodes demine (США), Ixodes ricinus и Ixodes persulcatus (Россия и Европа).

Род Ixodes — это темно-коричневый клещ с твёрдым, чуть больше булавочной головки телом, похож на корочку на ссадине или кусочек грязи. В тканях животных возбудитель присутствует в очень небольшом количестве (сложно обнаружить). Исходя из географии заболевания боррелии расселяются с мигрирующими птицами, прикрепившись к ним. Возможен симбиоз нескольких видов боррелий в одном клеще. Возбудитель передаётся среди клещей трансовариальным способом, то есть от самки к потомству. Живут клещи до 2 лет, часто находятся на кустарниках не выше одного метра от земли. Перезимовать способны только самки, самцы погибают после спаривания. В эндемичных районах заражённость клещей достигает 70%, в остальных регионах — от 10%. Высокая частота инфицированности клеща не является постулатом высокой заболеваемости людей после укуса, так как лишь у немногих клещей боррелии находятся в слюнных железах. Сосание крови осуществляется длительное время и боррелии поступают в ткани не сразу, поэтому ранее удаление клеща существенно снижает риск передачи.
Заразен ли боррелиоз
Механизмы передачи инфекции:
- трансмиссивный (инокуляция — при укусе; очень редка контаминация — при втирании остатков клеща в рану);
- вертикальный (трансплацентарно — от матери к плоду);
- алиментарный путь (через молоко больного животного).
Между людьми боррелиоз не распространяется (исключая вертикальный механизм). Через грудное молоко, слюну и половые жидкости боррелиоз не передаётся.
Распространённость
География распространения достаточно широкая: США, Прибалтика, лесная Европа, Северо-Запад и Центр России, Предуралье, Урал, Западная Сибирь, Дальний Восток.
Сезонность весенне-летняя и осенняя (то есть во время тепла, когда клещи активны). Иммунитет нестерильный. Повторные заболевания возможны через 5-7 лет. [1] [4]
При обнаружении схожих симптомов проконсультируйтесь у врача. Не занимайтесь самолечением - это опасно для вашего здоровья!
Симптомы болезни Лайма
Инкубационный период в различных источниках колеблется от 1 до 50 дней (в практической деятельности следует придерживаться срока 1-30 дней).
Синдромы заболевания:
- общей инфекционной интоксикации;
- эритемы (покраснение кожи);
- артрита;
- регионарной лимфаденопатии (увеличение лимфоузлов);
- поражения нервной системы;
- поражения сердечно-сосудистой системы;
- гепатолиенальный (увеличение печени и селезёнки).
Периоды развития заболевания имеют достаточно условный характер, в основном ограничены лишь временными рамками:
- ранний (локализованная и диссеминированная стадии);
- поздний;
- резидуальный.
Локализованная стадия раннего периода
Начинается остро или подостро с невысокой лихорадки (субфебрильная температура тела — 37,1-38°C), головной боли, слабости, дискомфорта в мышцах и суставах. Редко бывает тошнота и рвота. Катар (воспаление) верхних дыхательных путей возникает очень редко, иногда бывает регионарная лимфаденопатия, гепатолиенальный синдром.
Самым ярким признаком данной фазы болезни (однако не всегда!) является выход на поверхности кожи мигрирующей кольцевидной эритемы (патогномоничный признак заболевания). Вначале в месте локализации укуса клеща возникает первичный аффект (покраснение 2-4 мм красноватого цвета), затем появляется пятно или папула интенсивного розово-красного цвета, в продолжении нескольких суток распространяющаяся во все стороны на много сантиметров в диаметре. Края пятна становятся чётко очерченными, ярко-красными, чуть возвышающимися над уровнем неизменённой кожи. Чаще в центре пятно медленно бледнеет, становится цианотичным (синеет), и образование приобретает характерный вид кольцевидной эритемы овальной или округлой формы.
![Эритема [8]](https://probolezny.ru/media/bolezny/bolezn-layma/eritema-8_s.jpg)
В месте локализации эритемы не исключается зуд, слабая болезненность. При отсутствии антибиотикотерапии эритема визуализируется в течение нескольких дней, при их отсутствии может держаться до двух месяцев и более. В исходе — слабая непродолжительная пигментация, шелушение. У части больных появляется несколько эритем меньшего диаметра (обычно в более поздний период).
Диссеминированная стадия раннего периода
Эта стадия начинается на 4-6 неделе болезни (при отсутствии профилактической и лечебной терапии предшествующего периода). В этот период происходит угасание предшествующей симптоматики (синдрома общей инфекционной интоксикации, лихорадки и эритемы). Выявляются неврологические нарушения:
- мягкотекущий энцефалит,
- мононевропатии,
- серозные менингиты,
- энцефаломиелит с радикулоневритическими реакциями,
- лимфоцитарный менингорадикулоневрит, характеризующийся болями в месте укуса, сильными корешковыми болями с нарушением чувствительности и двигательной функции шейного и грудного отделов спинного мозга — так называемый синдром Бэннуорта, включающий триаду: корешковые боли, периферический парез (чаще лицевого и отводящего нервов) и лимфоцитарную клеточную реакцию с содержанием клеток от 10 до 1200 в мм3) при выполнении люмбальной пункции.
Возможно поражение сердечно-сосудистой системы — кардиалгии, сердцебиения, повышение артериального давления, миокардиты, AV-блокады (нарушения передачи нервного импульса в проводящей системе сердца).
Иногда бывают поражения кожи (уртикарные и другие высыпания). Может наблюдаться боррелиозная лимфоцитома (доброкачественный лимфаденоз кожи) — синюшно-красный кожный инфильтрат с лимфоретикулярной пролиферацией, преимущественно располагающийся на мочке уха или соске груди. Редко возникают поражения глаз в виде конъюнктивита, хориоидита, ирита.
![Боррелиозная лимфоцитома [9]](https://probolezny.ru/media/bolezny/bolezn-layma/borrelioznaya-limfocitoma-9_s.jpg)
Не исключаются лёгкие гепатиты, нарушение работы почек.
Поражения суставов в виде реактивного артрита (в основном крупные суставы) в виде болей и ограничения подвижности, без внешних изменений, длительностью от недели до трёх месяцев. При отсутствии лечения болезнь Лайма переходит в хроническую форму.
Поздний период лаймборрелиоза
Начинается спустя 1-3 месяца после раннего и более. Напоминает астеноневротический синдром: слабость, повышенная утомляемость, снижение мнестических функций (памяти и интеллекта), краниалгия (головная боль), нарушения сна, повышенная нервная возбудимость или депрессия, боли в мышцах. Присуще поражение опорно-двигательного аппарата (вначале мигрирующие артралгии без явного воспаления), затем доброкачественные повторяющиеся артриты с воспалением и медленным переходом в хроническое прогрессирующее течение (с необратимым изменением структуры суставов — краевые и кортикальные узуры (эрозии), остеофиты, склероз). Могут быть дерматиты, склеродермия, парапарезы, невриты, расстройства памяти. Характерным поражением является атрофический акродерматит — постепенное появление цианотично-красных пятен на разгибательных поверхностях конечностей, узелки, инфильтраты, иногда кожа приобретает вид «папиросной бумаги».
![Атрофический акродерматит [10]](https://probolezny.ru/media/bolezny/bolezn-layma/atroficheskiy-akrodermatit-10_s.jpg)
Описана реинфекция — «свежая» ползучая эритема, врождённый боррелиоз Лайма.
Боррелиоз у беременных
Заражение женщины во время беременности (и до неё при отсутствии лечения) повышает риск гибели плода и выкидыша. Возможно внутриутробное поражение плода с развитием энцефалита и кардита, однако величина риска этого остаётся неясна.
Отличия боррелиоза у детей
Болезнь Лайма у детей чаще всего развивается в возрасте от 3 до 10 лет. При этом часто появляется мигрирующая эритема (покраснение кожи), расположенная в верхней половине тела. Интоксикация, как правило, сильнее, чем у взрослых. Могут увеличиваться лимфатические узлы возле места укуса клеща. Без лечения до 20 % случаев болезни Лайма переходит в хроническую форму.
Дифференциальный диагноз:
- в первую фазу — лихорадочные состояния с экзантемой, клещевой энцефалит, рожистое воспаление, эризипелоид, целлюлит;
- во вторую стадию — серозные менингиты другой этиологии, клещевой энцефалит, ревмокардит;
- в третью стадию — ревматизм и сходные заболевания, ревматоидный артрит, болезнь Рейтера. [3][6]
Отличия от клещевого энцефалита
При клещевом энцефалите присутствует выраженная лихорадка, общемозговая и неврологическая симптоматика, при боррелиозе — поражения кожи, суставов и сердца.
Патогенез болезни Лайма
В случае прогрессирования боррелиоза (отсутствия лечения) происходит дальнейшее размножение боррелий, расширение спектра антител к антигенам спирохет и их длительная выработка (хронизация инфекции). Появляются циркулирующие иммунные комплексы, усиление продукции T-хелперов, лимфоплазматические инфильтраты (уплотнения ткани) в органах.
Ведущую роль в патогенезе артритов несут липополисахариды, стимулирующие синтез ИЛ-1 клетками моноцитарно-макрофагального ряда, Т- и В-лимфоцитов, простагландинов и коллагеназы синовиальной тканью (то есть происходит активация воспаления в полости суставов). Циркулирующие иммунные комплексы накапливаются в органах, привлекают нейтрофилы, которые вырабатывают медиаторы воспаления, вызывая воспалительные и дистрофические изменения в тканях. Возбудитель может сохраняться в организме десятилетия, поддерживая иммунопатологический процесс. [2] [3] [6]
Классификация и стадии развития болезни Лайма
1. По форме:
- манифестная;
- латентная (симптомы отсутствуют, только лабораторные изменения);
2. По течению:
- острое (до трёх месяцев)
- подострое (от трёх до шести месяцев);
- хроническое (более шести месяцев) — непрерывное и рецидивирующее.
3. По периодам:
- ранний (острая и диссеминированная стадии);
- поздний;
- резидуальные явления.
4. По клиническим признакам (при остром и подостром течении):
5. По преимущественному поражению какой-либо системы:
- нервной системы;
- опорно-двигательного аппарата;
- кожных покровов;
- сердечно-сосудистой системы;
- комбинированные.
6. По степени тяжести:
Осложнения болезни Лайма
Осложнения не характерны, но существуют резидуальные (остаточные) явления заболевания — стойкие, необратимые изменения органического характера (кожи, суставов, сердца, нервной системы при отсутствии явного воспалительного процесса и зачастую самого возбудителя). Они возникают не во время разгара болезни, а спустя длительное время (годы) и снижают работоспособность человека, вплоть до инвалидности. К ним относятся деформирующие артриты с органическими изменениями суставов, истончение кожи, нарушение мнестических функций, памяти, снижение работоспособности.
Диагностика болезни Лайма
К какому врачу обращаться при подозрении на боррелиоз
При укусе клеща и подозрении на клещевой боррелиоз необходимо обратиться к инфекционисту.
Какие исследования может назначить врач
- общеклинический анализ крови с лейкоцитарной формулой (нейтрофильный лейкоцитоз, повышение СОЭ);
- биохимический анализ крови (повышение островоспалительных белков, РФ, сиаловых кислот);
- серологические тесты (ИФА классов IgM и IgG, при сомнительных данных выполнение иммуноблоттинга. ПЦР крови, синовиальной жидкости, ликвора).
- МРТ ГМ (признаки атрофии коры головного мозга, дилатации желудочковой системы, воспалительные изменения, арахноидит).
В практической деятельности следует подходить к диагностике комплексно, учитывая совокупность данных, а не только результаты одного вида исследований. Например, в случаях, когда у пациентов при регулярных исследованиях неоднократно выявляются изолированные повышенные титры IgM (даже при подтверждении иммуноблоттингом) при отсутствии IgG, то это следует расценивать как ложноположительный результат. Причинами этого явления могут быть системные аутоиммунные заболевания, онкология, иные инфекционные заболевания, туберкулёз и другие, зачастую причины остаются невыясненными. [1] [4]
Через какое время после укуса клеща сдавать анализ на боррелиоз
Анализы следует сдавать сразу после укуса клеща и повторно три недели спустя.
Лечение болезни Лайма
Может проводиться как в инфекционном отделении больницы (при тяжёлом процессе), так и в амбулаторных условиях.
Показана диета № 15 по Певзнеру (общий стол). Режим отделения.
Медикаментозное лечение. Антибактериальная терапия
Наиболее важным и эффективным является применение этиотропной терапии (устраняющей причину) в как можно более ранние сроки от момента укуса клеща. Является достаточно дискутабельным вопрос о применении антибактериальной терапии в ранние сроки (до пяти дней от момента укуса) у необследованных лиц (или до момента получения результатов обследования клеща). Однако с практической точки зрения, учитывая возможность полиэтиологического характера возможного заражения человека (клещевой боррелиоз, моноцитарный эрлихиоз, гранулоцитарный анаплазмоз и другое) и серьёзные прогнозы при развитии системного клещевого боррелиоза, данное превентивное (профилактическое) лечение вполне обосновано. Применяются препараты широкого спектра действия, например, тетрациклинового, цефалоспоринового и пенициллинового рядов.
При развитии поздних стадий системного клещевого боррелиоза эффективность антибиотикотерапии существенно снижается (однако показания сохраняются), так как основное значение приобретают процессы аутоиммунных поражений при малоинтенсивном инфекционном процессе. Курсы лечения длительные (до одного месяца и более), в совокупности с препаратами улучшения доставки антибиотиков в ткани, десенсибилизирующей, противовоспалительной, антиоксидантной терапией.
В случае развития гипериммунного аутопроцесса (патологически усиленного иммунитета) назначаются средства, снижающие реактивность иммунной системы.
После перенесённого заболевания устанавливается диспансерное наблюдение за человеком до двух лет с периодическими осмотрами и серологическим обследованием. [1] [5]
Пробиотики
При лечение антибактериальными препаратами следует принимать пробиотические средства.
Дезинтоксикационная терапия
Выраженная интоксикация при болезни Лайма встречается редко, поэтому дезинтоксикационная терапия обычно не требуется.
Симптоматическое лечение
Для уменьшения симптомов боррелиоза могут применяться нестероидные противовоспалительные средства и противоаллергические препараты.
Общеукрепляющая терапия и физиотерапия
При лечении хронических форм боррелиоза можно применять средства общеукрепляющей терапии: витамины и иммуностимуляторы. Также могут назначаться физиотерапевтические процедуры: электрофорез, УФ-облучение, магнитотерапия, УВЧ, парафиновые аппликации, массаж, ЛФК. Эти методы популярны в России, однако исследований, подтверждающих их эффективность при восстановлении после болезни Лайма, недостаточно.
Прогноз. Профилактика
Неспецифическая профилактика — использование защитной плотной одежды при посещении лесопарковой зоны, отпугивающих клещей репеллентов, периодические осмотры кожных покровов (раз в два часа). Централизованная обработка лесных и парковых угодий акарицидными средствами. При обнаружении присосавшегося клеща незамедлительно обратиться в травматологическое отделение для удаления клеща и отправки его на обследование и параллельно обратиться к врачу-инфекционисту для наблюдения, обследования и получения рекомендаций по профилактической терапии.
Специфическая — профилактическое использование антибиотиков в ранние сроки после укуса клеща по назначению врача. [4] [5]
Создаётся ли иммунитет после перенесённого боррелиоза
Повторно заболеть можно через 5-7 лет, в некоторых случаях раньше.
Существует ли прививка от боррелиоза
Вакцины от болезни Лайма сейчас нет. Компании Valneva, Pfizer и MassBiologics разработали вакцины-кандидаты, которые проходят клинические испытания [7] .
Хроническая ишемия головного мозга - симптомы и лечение
Что такое хроническая ишемия головного мозга? Причины возникновения, диагностику и методы лечения разберем в статье доктора Пахтусовой Натальи Александровны, невролога со стажем в 33 года.
Над статьей доктора Пахтусовой Натальи Александровны работали литературный редактор Юлия Липовская , научный редактор Сергей Федосов и шеф-редактор Лада Родчанина

Хроническая ишемия головного мозга — это медленно прогрессирующее поражение головного мозга, вызванное хронической недостаточностью мозгового кровообращения. Проявляется комплексом когнитивных, эмоциональных и двигательных нарушений. В отечественной литературе для обозначения хронической ишемии головного мозга используется термин "дисциркуляторная энцефалопатия", который удачно отражает патогенез заболевания и включён в отечественную классификацию сосудистых заболеваний головного мозга [5] . На последней стадии заболевание развивается в сосудистую деменцию.

В Международной классификации болезней (МКБ-10) термину "дисциркуляторная энцефалопатия" соответствует синдром хронической ишемии головного мозга. Этот термин является патофизиологическим, отсутствует в "Неврологическом приложении к МКБ-10" и практически не используется в международной клинической литературе.
Достоверных данных о числе больных хронической ишемией мозга нет, что связано диагностическими трудностями. Указываются такие цифры: не менее 700 человек на 100 000 населения. С учётом увеличения продолжительности жизни и старения населения, а также улучшения диагностируемости, количество этих пациентов будет расти. Болезнь встречается у людей старшего возраста — после 60 лет.
Причины хронической ишемии мозга разнообразны, возможно их сочетание:
- (повышенное артериальное давление). (появление бляшек и возможная закупорка) сосудов головного мозга.
- Венозные дисфункции головного мозга: нарушение тонуса вен (при черепно-мозговых травмах, гипертонии, заболеваниях эндокринной системы, алкогольном и наркотическом опьянении), механическое нарушение оттока крови (застойные венозные дисфункции). .
- Нарушения сердечного ритма, хроническая сердечная недостаточность, ишемическая болезнь сердца, приобретенные пороки сердца. (пониженное артериальное давление).
- Церебральный амилоидоз (отложение в стенке мозговых сосудов белка амилоида).
- Васкулиты (воспаление стенки сосудов).
- Наследственные ангиопатии: телеангиэктазии (образование выпячиваний и аневризм в недостаточно прочных сосудах), болезнь Виллебранда (эпизодические спонтанные кровотечения).
- Наследственная дисплазия соединительной ткани, которая приводит к изменениям артерий мозга и сердца.
- Нарушения свертывающей системы крови.
- Гипергомоцистеинемия (высокий уровень гомоцистеина, который увеличивает риск развития заболеваний периферических артерий).
Симптомы хронической ишемии головного мозга
Для хронической ишемии мозга характерно постепенное развитие симптомов, неуклонно прогрессирующее течение, длительный латентный период на начальных этапах болезни, а также комбинация когнитивных (умственных), аффективных (эмоциональных) и двигательных нарушений.
Когнитивные нарушения определяют тяжесть и прогноз заболевания, коррелируют с объёмом пораженной мозговой ткани [6] .
- 1 стадия — активные жалобы на снижение работоспособности, ослабление памяти, утомляемость, тревогу, депрессию, неустойчивость и замедленность при ходьбе, головокружения.
- 2 стадия — снижение критики к своему состоянию и нарастание когнитивных нарушений. На изменения в состоянии здоровья пациента обращают внимания близкие люди, но сам пациент утверждает, что с ним всё в порядке. Прогрессируют нарушения памяти, проблемы при планировании и решении задач, человеку становится трудно пользоваться сложными бытовыми приборами, возрастает социальная изоляция, речь становится беднее, усугубляются двигательные нарушения. Если на первой стадии трудоспособность и независимость в быту сохранны, то уже на второй стадии пациент нетрудоспособен и частично зависим в быту.
- 3 стадия (деменция) — когнитивные нарушения выраженные, пациент не способен распознавать лица или предметы, пользоваться простыми бытовыми приборами (зубная щётка), возникают проблемы с одеванием, человек полностью зависим в быту от посторонней помощи.

Двигательные нарушения: затруднения в начале движения, при поворотах, шаркающая походка, застывание во время ходьбы, частые падения, трудно стоять или сидеть без поддержки, повернуться в постели.
Аффективные (эмоциональные) нарушения: депрессия, тревога, беспокойство, расстройства сна, нарушения поведения, апатия, галлюцинации, эйфория, возбуждение, агрессия.
Патогенез хронической ишемии головного мозга
Хроническая ишемия мозга в основном развивается по двум причинам:
Атеросклероз крупных сосудов мозга. Атеросклеротические бляшки откладываются внутри сосуда, это приводит к сужению сосуда и ухудшению кровоснабжения головного мозга. Кроме того, от атеросклеротической бляшки могут отрываться небольшие фрагменты и закупоривать мелкие сосуды головного мозга.

Нарушение кровобращения в мелких сосудах головного мозга (церебральная микроангиопатия). Основная причина поражения мелких артерий головного мозга - повышенное артериальное давление. Артериальная гипертензия вызывает склероз сосудистой стенки (в стенке сосудов откладываются различные патологические вещества (например амилоиды и липиды), что ведет к утолщению сосудов, изменению их тонуса и реактивности, разрушению сосудистой стенки. Это приводит к ухудшению кровоснабжения головного мозга. В коре головного мозга и в белом веществе образуются множественные небольшие кровоизлияния, участки ишемии, разрушается миелиновая оболочка нервных волокон (демиелинизация), что в конечном итоге приводит к гибели нервных клеток и нарушению работы головного мозга [18] [2] .

Из-за особенностей кровоснабжения головного мозга подкорковое и перивентрикулярное (расположенное вокруг желудочков головного мозга) белое вещество (белое вещество головного мозга - это отростки нервных клеток или нервные волокна) страдает в большей степени, чем серое вещество (сами нервные клетки). Повреждение проводящих путей приводит к нарушению связей между корой и подкорковыми структурами, что определяет основные симптомы.
Классификация и стадии развития хронической ишемии головного мозга
Существует несколько классификаций дисциркуляторной энцефалопатии.
На основании этиологических (причинных) факторов условно выделяют пять клинико-патогенетических типов [3] :
- Микроваскулярный (микроангиопатический): заболевание развивается из-за артериальной гипертензии, церебральной амилоидной ангиопатии и церебральных васкулитов.
- Макроваскулярный (атеросклеротический): развивается из-за стенозирующего атеросклероза магистральных артерий головы, аномалий крупных сосудов, воспаления крупных сосудов.
- Кардиальный: причина развития — заболевания сердца: аритмии, ишемическая болезнь сердца.
- Венозный: развивается из-за нарушения венозного кровообращения и застоя венозной крови.
- Смешанный: причина болезни — в комбинации цереброваскулярных и нейродегенеративных заболеванй, например, болезни Альцгеймера, болезнь телец Леви и других.
Существует классификация, которая выделяет четыре основные клинические формы:
- Гипертоническая дисциркуляторная энцефалопатия
- Субкортикальная артериосклеротическая энцефалопатия (САЭ).
- Гипертоническая мультиинфарктная энцефалопатия.
- Атеросклеротическая дисциркуляторная энцефалопатия.
- Хроническая сосудистая вертебрально-базилярная недостаточность.
- Смешанные формы.
В зависимости от степени выраженности когнитивных нарушений выделяют три стадии заболевания:
- 1 стадия — лёгкие когнитивные нарушения, частичная трудоспособность и бытовая независимость;
- 2 стадия — умеренные когнитивные нарушения, утрата работоспособности и частичная зависимость в быту;
- 3 стадия — выраженные когнитивные нарушеняй (деменция), полная зависимость в быту.
Осложнения хронической ишемии головного мозга
К осложнениям хронической ишемии мозга можно отнести:
- Острое нарушение мозгового кровообращения (ишемический или геморрагическоий инсульт). Факторы риска: выраженный атеросклеротический стеноз магистральных артерий головы и шеи, неконтролируемая артериальная гипертензия, сахарный диабет в сочетании с церебральной микроангиопатией [20] .
- Деменция. Позднее обращение к врачу и отсутствие адекватной терапии сопутствующих заболеваний приводит к неизбежному развитию сосудистой деменции, которую можно рассматривать как осложнение и как неблагоприятный исход хронической ишемии мозга [2] .

Диагностика хронической ишемии головного мозга
Диагноз хронической ишемии мозга часто является диагнозом исключения (то есть диагнозом, который ставится после исключения всех остальных причин) [6] . Особенно трудна диагностика на ранних стадиях, когда симптомы болезни достаточно неспецифичны и могут маскироваться под депрессией и невротическими расстройствами. Поэтому диагностика всегда комплексная, включает в себя подробный анамнез, различные лабораторные и клинические методы диагностики, консультацию врачей других специальностей и нейропсихологическую диагностику.
Подробный анамнез включает беседу с родственниками или ближайшим окружением больного для выяснения факторов риска, наличия сопутствующих заболеваний, характера прогрессирования болезни.
Исследование неврологического статуса : врач невролог во время осмотра пациента проверяет силу в мышцах, чувствительность на разных участках кожи, рефлексы (при помощи неврологического молоточка), точность движений, устойчивость при стоянии и ходьбе. На основании осмотра врач определяет зоны поражения мозга (топическая диагностика) .
Нейровизуализационные методы: КТ, МРТ головного мозга, МР-ангиография (артерии и вены головного мозга ), при необходимости рентгеноконтрастная церебральная ангиография. Нейровизуализация позволяет исключить другие заболевания (опухоль, гидроцефалию) и подтвердить сосудистый характер нарушений. Предпочтительнее МРТ головного мозга, на которой выявляются характерные для хронической ишемии мозга изменения:
- лейкоареоз — изменение белого вещества вокруг желудочков головного мозга (на рисунке 1, белое свечение вокруг желудочков);
- лекоэнцефалопатия — поражение белого вещества головного мозга (на рисунке 1 и 3, светлые участки в подкорковом веществе);
- малые инфаркты, ишемические инсульты (рисунок 3);
- множественные микрокровоизлияния (рисунок 2 — темные участки);
- атрофия коры головного мозга.
Существует зависимость между типом и выраженностью морфологических изменений мозгового вещества и стадией заболевания [4] [6] .

Нейропсихологическое обследование позволяет выявить степень выраженности и характер когнитивных и эмоциональных нарушений, определить сохранные функции, на которые можно опереться в последующей нейрокоррекционной работе. Обследование проводится нейропсихологом при помощи специальных заданий: тестов на внимание, память, речь, мышление, двигательную координацию.
УЗИ сосудов шеи и головного мозга позволяет выявить признаки гипертонической ангиопатии: утолщение и неровная внутренняя поверхность сосудов, деформация, изгибы, извитости, снижение скорости кровотока, а также признаки атеросклероза: количество атеросклеротических бляшек, процент стеноза сосудов, степень опасности бляшки (может ли бляшка или её фрагмент оторваться и закупорить сосуд).
ЭКГ, холтеровское мониторирование и суточный мониторинг АД необходимы для определения степени тяжести сердечно-сосудистого заболевания как основного причинного фактора хронической ишемии мозга [4] .
Консультация врачей других специальностей (терапевта, эндокринолога, гастроэнтеролога, нефролога, диетолога) необходимы для своевременного выявления и лечения сопутствующего заболевания.
Общеклинический анализ крови, исследование липидного, углеводного обмена, показателей функции почек (креатинин, мочевина) и печени (билирубин, трансаминазы) необходимы для выявления и коррекции метаболических нарушений.
Лечение хронической ишемии головного мозга
Лечение заболевания должно быть комплексным и включать меры по предупреждению дальнейшего повреждение мозга, улучшению, стабилизации когнитивных нарушений и коррекции симптомов.
- Адекватная гипотензивная терапия. Важно избегать чрезмерного снижения артериального давления.
- Коррекция гиперлипидемии. Статины (препараты для понижения уровня холестерина в крови) замедляют развитие атеросклероза крупных артерий, снижают вязкость крови, положительно влияют на эндотелий (внутреннюю выстилку сосудов), препятствуют воспалению сосудистой стенки и отложению амилоида [11] .
- Лечение сахарного диабета — постоянный прием гипогликемических препаратов.
- Длительный прием антиагрегантов — препаратов, улучшающие текучесть крови (аспирин, дабигатран, ривароксабан) у пациентов с выраженным атеросклерозом артерий головы и сосудистыми очагами на МРТ .
- При высоком уровне гомоцистеина необходима фолиевая кислот и витамины В6, В12.
- Церебролизин эффективен при лечении сосудистой деменции у пациентов с легкими и умеренными когнитивными нарушениями [10] .
- Ингибиторы холинэстеразы (донепезил, галантамин) при сосудистой и смешанной деменции способны в некоторой степени улучшить когнитивные функции. Эффективность мемантина пока не доказана [15] .
- Ницерголин эффективен у пациентов с легкими и умеренными когнитивными нарушениями [16] .
Эффективность "вазоактивных средств" (винпоцетин, гинкго билоба) не доказана, возможен эффект "обкрадывания" (ухудшение кровотока в зоне ишемии), также неэффективны антиоксиданты (альфа-липоевая кислота) при лечении когнитивных нарушений [8] [12] .
Физические упражнения положительно влияют на когнитивные функции у пациентов с лёгкими когнитивными нарушениями и деменцией [17] .
Большое значение имеют мероприятия, направленные на поддержание и улучшение качества жизни пациента. С этой целью проводится эрготерапия — метод поддержания и восстановления бытовой повседневной активности для обеспечения полноценной жизни пациента. В рамках эрготерапии пациенты занимаются различными повседневными видами деятельности: личная гигиена, приём пищи, одевание, выполнение домашних обязанностей, забота о других людях, игры.

Хроническая ишемия мозга является прогрессирующим заболеванием, этиологически и клинически полиморфным. Прогноз заболевания будет зависеть от наличия сопутствующей патологии, степени её компенсации, эффективности проводимого лечения, стадии, на которой пациент обратился к врачу. На стадии лёгких когнитивных нарушений прогноз достаточно благоприятный, можно на какое-то время затормозить болезнь и предотвратить наступление деменции. На стадии умеренных когнитивных нарушений стабилизировать и улучшить состояние значительно труднее, на стадии деменции — невозможно.
Профилактика хронической ишемии мозга заключается в своевременном выявлении факторов риска цереброваскулярной патологии, своевременное и адекватное лечение сопутствующей патологии (артериальной гипертензии, сахарного диабета, сердечно-сосудистых заболевания), соблюдение диеты, систематическая адекватная физическая нагрузка, отказ от вредных привычек, овладение стратегиями борьбы со стрессом.
Различают первичную и вторичную профилактику. Первичная профилактика проводится у пациентов, которые имеют различные сосудистые факторы риска (артериальная гипертензия, сахарный диабет, гиперхолестеринемия) до развития симптомов заболевания. Меры по первичной профилактике хронической ишемии мозга совпадают с мерами, направленными на профилактику инсульта:
- контроль за артериальным давлением; иногда повышение артериального давления субъективно не ощущается (т.е. артериальное давление может быть повышенным, а человека ничего не беспокоит);
- контроль за сердечным ритмом (нарушения ритма сердца — частая причина хронической ишемии мозга и инсультов);
- контроль за уровнем сахара и холестерина в крови;
- контроль за весом;
- рациональное питание — полезна средиземноморская диета: оливковое масло, много овощей, фруктов, бобовых, круп, орехов, умеренное количество рыбы, морепродуктов, молочных продуктов, птицы, яиц, мало красного мяса и сладостей [14] ;
- отказ от вредных привычек;
- регулярная физическая нагрузка;
- управление стрессом: важно научиться правильно реагировать на стресс, чтобы стресс не приносил вреда здоровью [7] .
Вторичная профилактика направлена на предупреждение дальнейшего повреждение головного мозга у пациентов с симптомами хронической ишемии мозга. Она заключается в адекватной терапии заболеваний, которые привели к цереброваскулярным нарушениям [4] .
Читайте также:
- Функциональная анатомия голеностопного сустава. Суставная капсула и сухожилия
- Эффективность артроскопической повторной ревизионной операции на вращательной манжете плечевого сустава
- КТ, МРТ при меланоме глаза
- Локоть теннисиста: как лечить, симптомы, причины
- Кисты средостения. История лечения кист и опухолей средостения
