Декстрокардия - причины, симптомы, диагностика и лечение
Добавил пользователь Евгений Кузнецов Обновлено: 11.12.2025
Декстрокардия — дословный перевод с лат.- правый и с греч. — сердце, это аномалия развития для которой характерно расположение сердечной мышцы преимущественной в правой стороне грудной клетки. Болезнь начинает развиваться в зародыше еще в утробе матери. Встречается как у мужчин, так и у женщин. Частоту заболевания можно выразить в двух пропорциях 1:100 и 1:10 000.
Пациенты с этой болезнью могут вести вполне нормальную жизнь. Все же, больные с декстрокардией относятся к группе людей с сердечными отклонениями. Из-за проблемами с селезенкой, для них также опасны инфекционные заболевания.
ПРИЧИНЫ РАЗВИТИЯ ДЕКСТРОКАРДИИ
Установлена главная причина заболевания: перемещение сердца после неправильного развития сердечной трубки в фазе эмбрионального развития плода. Вместо нормального направления в левую сторону, как при развитии большинства людей, сердечная трубка искривляется в правую сторону. Дальнейшее развитие зародыша, в том числе и сердечно-сосудистая системы нарушается. Эти врожденные аномалии развития приводят к тому, что у таких людей печень может располагаться слева, а селезенка справа. Вместе с этим, для больных декстрокардией в левом легком обнаруживается три доли, а в правом две.
Главной причиной возникновения данного заболевания считается генетическая предрасположенность родителей. По-сути болезнь передается по наследству.
Симптомы декстрокардии:
Сердце, печень, селезенка и др. имеют обратное расположение
Все внутренние органы имеют обратно-симметричное расположение
Возможно только расположение сердца с правой стороны
Данную болезнь удается обнаружить сразу после рождения ребенка. Развитие идет своим чередом и очень часто такие дети не жалуются на боли и ведут нормальную, полноценную жизнь. Проблемы начинаются только при развитии порока сердца.
Диагностика декстрокардии:
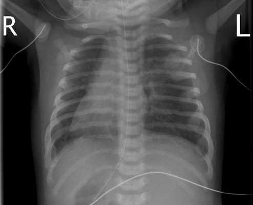
Для выявления необычного рода расположения сердца, производят рентгенографию грудной клетки
УЗИ сердца — позволяет увидеть очертание сердечной мышцы, увидеть в ней изменения, а также проследить за работой органа: открывания клапанов и кровотока
Электрокардиография — исследование электрических полей сердца, в результате которых создается возможным выявление патологических отклонений
УЗИ брюшной полости — позволяет увидеть картину расположения внутренних органов и их работоспособность
МРТ — позволяет увидеть подробное состояние пациента, с целью оценки изменений
СУЩЕСТВУЕТ ДВА ВИДА ДЕКСТРОКАРДИИ:
Врожденная — не поддается лечению, ввиду начала армирования организма в процессе развития плода.
Приобретенная на фоне имеющихся патологических процессов. В некоторой степени поддается лечению.
Декстрокардия — зеркальное сердце

Декстрокардия является довольно редким врожденным пороком, при котором сердце и крупные сосуды отклонены вправо. При этом соблюдается симметричность по отношению к срединной линии тела. Первые описания необычного расположения сердца появились в XVII веке.
Как правило, этот порок сочетается с перемещением в правую сторону всех непарных органов. По статистическим наблюдениям, декстрокардию имеет 0,01% всего населения.
Клинически может совершенно не проявляться. В современных условиях обнаруживается при осмотре ребенка в родильном отделении, а у взрослого человека — при проведении флюорографии (рентгеноскопии), ЭКГ или других исследований органов грудной клетки.
Аномальное расположение сердца может быть вызвано болезненными процессами в соседних органах. Такое механическое смещение определяют как вторичное, а декстрокардию считают патологической. Она возможна при:
- легочном ателектазе (закупорке выхода воздуха);
- пневмоплевротораксе (спадение воздушности) части или всего легкого при разрыве, травме, кавернозном туберкулезе с выходом воздуха в плевральную полость;
- гидротораксе (скоплении жидкости в околосердечной сумке);
- разрастании крупной опухоли.
Истинная аномалия имеет врожденное происхождение.
В зависимости от сочетания с другим нарушенным положением внутренних органов принято выделять:
- простую декстрокардию — зеркально изменено расположение только сердца и сосудов;
- одновременную декстропозицию сердца, части органов пищеварения и дыхания;
- полную декстропозицию внутренних органов.
Как образуется аномалия?
Считается, что сердечная трубка у плода закладывается уже на ранних стадиях беременности (в первые 10 недель). Ее искривление в правую сторону приводит к смещению, формированию сердца и магистральных сосудов справа.
У плода возможны одновременно и другие аномалии органов и систем, связанные с генетическими мутациями. Наиболее изученной считается мутация генов ZIC3Shh, Pitxz, HAND, ACVR2. Предполагается наследственная передача аномалии.
Точного механизма декстрокардии не доказано. В большинстве случаев сердце работает нормально. Ребенок растет и развивается, не замечая порока. Педиатры наблюдают таких детей в группе риска по возможности развития сердечной патологии.
Представляет ли опасность для здоровья человека?
При отсутствии сопутствующей патологии сама декстропозиция не представляет опасности для здоровья, не укорачивает срок жизни человека. Однако при диагностических исследованиях и оперативном вмешательстве значительно возрастает вероятность врачебных ошибок.
Можно пропустить острую патологию из-за необычного расположения соседних органов. В трансплантологии приходится с этим считаться и приспосабливаться к аномальному ходу артерий, вен, нервных сплетений.
Практика показывает, что люди с декстрокардией более склонны к заражению инфекционными болезнями, особенно осложняющимися патологией легких и бронхов.
С какими другими пороками наиболее часто сочетается?
Редко встречается изолированная «простая» аномалия. Дистопия (нарушение расположения) поражает и другие органы. Наиболее частые сочетания обнаруживаются в детском возрасте в виде:
- тетрады Фалло — декстропозиция аорты, стеноз легочной артерии или полное перекрытие, дефект межжелудочковой перегородки, значительная гипертрофия правого желудочка;
- обратной позиция магистральных артерий;
- дефекта межжелудочковой и межпредсердной перегородки;
- стеноза легочной артерии;
- клапанных дефектов эндокарда;
- двухместного желудочкового выхода;
- двух- или трехкамерного сердца.

При транспозиции аорта выходит из правого желудочка, а легочная артерия — из левого
Большую опасность для жизни новорожденного представляют «синие» пороки, которые проявляются в первые часы после рождения. От скорости оперативного вмешательства по ликвидации порока зависит жизнедеятельность внутренних органов.
При «белых» пороках кислородная недостаточность проявляется в дошкольном возрасте. Поэтому есть время для обследования и подготовки к операции. Сочетание с патологией органов пищеварения и дыхания выражается в:
- гетеротаксическом синдроме — отсутствует селезенка или имеется несколько слаборазвитых селезенок, практически нефункционирующих;
- первичной цилиарной дискинезии — патология состоит в недоразвитии реснитчатого эпителия внутренних органов, встречается у ¼ больных с декстрокардией, сопровождается множественными бронхоэктазами, нарушенным анатомическим строением бронхов, трахеи, гортани, бесплодием у мужчин из-за низкой подвижности сперматозоидов;
- генетические мутации по тринадцатой паре хромосом (трисомия) — проявляется множественными пороками развития (синдром Патау), дефектами нервной системы (головного мозга), глаз (микроофтальмия, врожденная катаракта), дополнительными пальцами, расщеплением неба и губы, изменениями органов мочевыделения и гениталий, вызывает внутриутробную гибель плода, родившиеся дети редко живут более пяти лет.
Имеются ли типичные симптомы декстрокардии?
Декстрокардия не проявляется какими-либо характерными симптомами. Человек с подобной аномалией может жить обычной жизнью и болеть разными болезнями. Косвенными признаками могут служить явления других сочетанных пороков, приводящих к острой сердечной недостаточности в раннем детском возрасте.
К ним относятся:
- синюшность или бледность кожи, особенно при крике;
- выраженная слабость;
- одышка;
- длительная желтушность склер и кожи у новорожденного;
- выявление аритмий.
Подобные симптомы в детском возрасте требуют внимательного обследования, поиска причин и решения вопроса о лечении. В периоде новорожденности резко возрастает риск внезапной смерти.

Родителям и врачам приходится длительно выхаживать младенца в специализированном отделении
Дети старшего возраста состоят на учете у кардиолога и проверяются не реже двух раз в год.
Как проводится диагностика?
Начальной диагностической процедурой для новорожденного является осмотр врача-неонатолога в первые сутки жизни. Прослушивание в типичных точках может указать на декстропозицию сердца. Важно определить вид порока, сочетание с дополнительными аномалиями.
Ультразвуковое исследование можно провести в родильном отделении. Методика позволяет точно определить расположение сердца и сосудов, других органов. Важно, что она не опасна для раннего детского возраста и помогает установить степень нарушения функций.
Магниторезонансная томография считается более точным методом. Дает максимальную информацию о работе, анатомическом строении органов.
Сделать маленькому ребенку электрокардиограмму (ЭКГ) можно только после предварительного использования успокаивающих средств. Поскольку любые движения нарушают запись потенциалов, делают ее непригодной к расшифровке.

Изображение сердечной тени на рентгенограмме представляется зеркальным отражением нормы
Первое впечатление рентгенлаборанта, что человек стоит спиной к экрану. Сначала его не глядя просят встать передом, а потом возникает мысль о декстропозиции. Старшим детям и взрослым назначаются рентгенографические снимки в прямой и боковой проекции, проводится полное ЭКГ исследование.
Особенности ЭКГ
При обратном расположении сердца и обычном расположении электродов на записи появятся зубцы с противоположным направлением. Картина не похожа ни на одно заболевание, распространяется на усиленные и грудные отведения. Сопровождается резким снижением вольтажа.
По соотношению высоты и глубины зубцов в заключении указывают на вероятность декстропозиции. Для диагностики заболеваний сердца у пациента с такой аномалией ЭКГ снимают при условии перемещения красного электрода на левую руку, а желтого — на правую.

Грудные отведения снимают слева и справа
Учитывается, что даже при смещении сердца его части (предсердия и желудочки) расположены по отношению к срединной оси нормально (правые отделы — справа, левое предсердие и желудочек — слева). Импульс по предсердиям распространяется справа налево, затем идет вниз по межжелудочковой перегородке в желудочки.
Нормой при декстрокардии будут высокие желудочковые комплексы в грудных отведениях V1-V3 и низкие в V4-V6.
Лечение
В лечении изолированной декстрокардии пациенты не нуждаются. Они наблюдаются в группе повышенного риска. С детского возраста рекомендуют посильные нагрузки, противопоказаны занятия профессиональным спортом. Питание должно содержать достаточно витаминов, правильное соотношение животных и растительных жиров. Основное направление — укрепление иммунитета, поскольку люди с пороками сердца более подвержены заражению инфекционными заболеваниями.
При выявлении дополнительных пороков срочно решается вопрос о хирургическом лечении. Коррекция структур сердца необходима для обеспечения организма достаточным количеством кислорода с помощью нормального кровообращения. Возможно, ребенку придется проводить повторные операции в течение жизни, поскольку протезы клапанов и сосудов отстают от растущего организма и требуют соразмерной замены.
Медикаментозную терапию в предоперационном и послеоперационном периоде назначают с целью поддержки миокарда, компенсации явлений недостаточности. Применяют:
- мочегонные,
- блокаторы АПФ,
- сердечные гликозиды.
Обязательно назначают курс антибиотиков для предупреждения воспалений.
При сочетанных аномалиях сердца с внутренними органами чаще оперативного лечения требуют органы брюшины. Отсутствие селезенки ставит проблему постоянного использования медикаментов в поддерживающей дозировке.
Существуют ли профилактические меры?
Специальной профилактики декстрокардии нет. Для предупреждения любых пороков у ребенка должна быть подготовлена мать еще до начала беременности. Поэтому акушеры-гинекологи советуют женщине планировать беременность, обследоваться и пролечить хронические заболевания. Перейти с работы во вредных условиях труда бывает сложно, но это значительно снижает риск патологии у плода.
Следует внимательно отнестись к направлению в генетическую консультацию будущих родителей, которые имели в семье родственников с аномалиями развития.
Декстропозиция сердца — это не болезнь, а анатомическая особенность. При ее выявлении необходимо следовать рекомендации врача. Во взрослом состоянии пациент должен предупреждать о пороке развития в случае назначения обследования или операции. Активность жизни может быть ограничена только сопутствующими аномалиями или заболеваниями.
Декстрокардия
Декстрокардия — это аномалия внутриутробного развития, при которой большая часть сердца расположена с правой стороны грудной клетки. Изолированная форма патологии протекает бессимптомно и выявляется во время профосмотров. При сочетании декстрокардии с другими пороками отмечаются цианоз или бледность кожи, слабость, судороги. Диагностика включает физикальный осмотр, ЭКГ, эхокардиографию, рентгенографию грудной клетки. При необходимости проводят инвазивные исследования — ангиокардиографию, катетеризацию сердца. Лечение неосложненной декстрокардии не требуется. При наличии угрожающих жизни аномалий назначают их оперативную коррекцию с последующей реабилитацией больных.
МКБ-10


Общие сведения
Термин «декстрокардия» образован из двух слов: латинского «dexter» (правый) и греческого «kardia» (сердце). Относится к редким аномалиям: частота встречаемости в разных регионах колеблется от 1:8000 до 1:25000 новорожденных. В России распространенность декстрокардии составляет 3,3% от всех аномалий положения органа. Декстрокардию следует отличать от декстрапозиции сердца — приобретенного патологического состояния, которое возникает при смещении органа (вследствие левостороннего гидроторакса, опухоли, правостороннего ателектаза).
Причины декстрокардии
Развитие заболевания связывают с генетическим дефектом, проявляющимся на этапе внутриутробного формирования органов плода. У страдающих декстрокардией выявлены специфические мутации генов HAND, ZIC3Shh, ACVR2, Pitxz. Наибольшее признание получила теория аутосомно-рецессивного наследования порока: аномальное положение сердца носит семейный характер, повторяется через 1-2 поколения.
Помимо семейной предрасположенности, в процессе мутаций генетического материала доказано участие тератогенных факторов. Экзогенные тератогены подразделяются на 3 основных группы по характеру воздействия:
- физические (ионизирующее излучение);
- химические (алкоголь, лекарственные препараты);
- биологические (бактериальные и вирусные инфекции).
Эндогенные причины включают гинекологические и экстрагенитальные заболевания беременной, тяжелые токсикозы.
Патогенез
В основе декстрокардии лежит нарушение процессов эмбриогенеза на ранних стадиях внутриутробного развития. В норме на 1-2 месяце беременности формирующаяся сердечная трубка начинает изгибаться влево. При наличии типичных для декстрокардии мутаций происходит аномальное искривление этой трубки в правую сторону. При этом нарушается дальнейшее формирование эмбриона, может изменяться позиция других висцеральных органов, чаще всего печени и селезенки.
Классификация
С учетом особенностей закладки органа в эмбриональном периоде выделяют 3 варианта аномалии:
- правосформированное праворасположенное сердце (изолированная декстрокардия);
- левосформированное праворасположенное («зеркальная» форма);
- неопределенно сформированное праворасположенное.
Врачи-кардиологи при изучении вопроса аномалии положения сердца используют классификацию, которая учитывает локализацию других органов. Варианты декстрокардии:
- Простая инверсия сердца. Форма аномалии, при которой наблюдается зеркальное расположение сердца, однако анатомия других органов грудной и брюшной полостей не изменена. Встречается крайне редко.
- Частичная инверсия внутренних органов. При таком варианте декстрокардии аномально расположены сердце и ряд внутренних органов. Чаще вправо перемещены селезенка, печень.
- Тотальня инверсия внутренних органов. Декстрокардия, которая сопровождается обратным расположением всех органов грудной клетки и живота. Редкая аномалия, которая выявляется с частотой 1 случай на 15-20 тысяч населения.
Симптомы декстрокардии
Изолированная форма, которая не сочетается с другими сердечными аномалиями, не имеет клинических проявлений. Специфические жалобы обычно отсутствуют. Состояние обнаруживается в детском или взрослом возрасте при проведении профилактических осмотров, обращении за врачебной помощью по другой причине. Люди с декстрокардией чаще других страдают болезнями нижних дыхательных путей: трахеитами, бронхитами.
Клинические симптомы возникают при наличии других аномалий висцеральных органов или возникновении на фоне декстрокардии кардиальной патологии. Пациенты ощущают постоянную слабость и повышенную утомляемость, не проходящую после сна. Их периодически беспокоят приступы учащенного сердцебиения, головокружения. Кожные покровы становятся бледными, иногда возникает синеватый оттенок кожи вокруг рта, на пальцах рук.
Сочетание декстрокардии и врожденных сердечных пороков проявляется яркой клинической картиной уже в раннем детском возрасте. Для «белых» пороков характерна постоянная бледность кожи, при «синих» формах наблюдаются акроцианоз или тотальный цианоз. Появляются одышечно-цианотические приступы: ребенок становится беспокойным, кожа холодная, дыхание хриплое и прерывистое.
Осложнения
Неосложненная сердечными пороками декстрокардия не представляет серьезной опасности для жизни и здоровья. При присоединении синдрома Картагенера развивается прогрессирующая дыхательная недостаточность, формируются обширные гнойно-воспалительные очаги в легочной паренхиме. Сложности возникают при оказании неотложной реанимационной или хирургической помощи больным, поскольку зеркальная анатомия затрудняет постановку диагноза.
Если декстрокардия комбинируется с аномалиями формирования сердечных структур или магистральных сосудов, возможны серьезные осложнения. Гемодинамические нарушения при «синих» пороках быстро прогрессируют в течение первых месяцев жизни ребенка. Хроническая гипоксия чревата необратимым повреждением мозга, снижением интеллекта, инвалидностью. При отсутствии квалифицированной кардиохирургической помощи высок риск летального исхода.
Диагностика
Опытный терапевт-кардиолог может заподозрить декстрокардию уже на первичном приеме при физикальном исследовании. В ходе пальпации предсердечной области верхушечный толчок обнаруживается справа от грудины. Перкуторно врач отмечает смещение границ сердечной тупости вправо, при аускультации выслушиваются изменения сердечных тонов. При подозрении на декстрокардию назначают полное обследование, в которое включены следующие методы:
- ЭКГ. Электрокардиография является наиболее простым и информативным исследованием для подтверждения декстрокардии. На кардиограмме отмечаются отклонение электрической оси сердца вправо, отрицательные зубцы Р и Т, высокоамплитудные зубцы R в правых грудных отведениях.
- Рентгенография ОГК. На рентгенограмме визуализируется смещение сердечной тени вправо, при комбинированных аномалиях изменяются контуры магистральных сосудов. Чтобы подтвердить транспозицию проводится рентгенография органов брюшной полости.
- УЗИ сердца и сосудов. Эхокардиография выполняется для оценки функциональной способности аномально расположенного сердца. На ЭхоКГ видна структура сердечной стенки, скорость кровотока, фракция выброса.
- Дополнительные исследования. В качестве подготовки к хирургической коррекции пороков развития показаны ангиокардиография или катетеризация сердечных полостей. Для выявления сопутствующих патологий зеркально расположенных внутренних органов рекомендуют КТ брюшной полости.

Консервативная терапия
Аномальное расположение сердца без дополнительных заболеваний не сопровождается расстройствами гемодинамики и не требует лечения. При развитии сердечно-сосудистых заболеваний терапию проводят так же, как и для больных с отсутствием декстрокардии. При сочетании аномалии с синдромом Картагенера назначается симптоматическая терапия, предполагающая прием ингаляционных и топических назальных кортикостероидов, бета-адреномиметиков.
Хирургическое лечение
Оперативное вмешательство показано при сочетанных пороках развития сердца, транспозиции магистральных сосудов. Срок выполнения операции устанавливают с учетом вида порока и тяжести нарушений гемодинамики. Если угрожающие жизни состояния отсутствуют, хирургическую коррекцию откладывают до 3-6-летнего возраста ребенка. Когда декстрокардия сочетается с тяжелыми пороками (например, тетрадой Фалло), вмешательство проводят в максимально ранние сроки.
Реабилитация
В современной кардиологии применяют трехэтапную реабилитационную программу для пациентов, которые перенесли операцию по коррекции аномалий сердечно-сосудистой системы. Медицинский этап занимает первые дни-недели после хирургического вмешательства. Затем приступают к физической и психофизиологической реабилитации, которая включает массаж, ЛФК, физиотерапию. Заключительный этап — социально-трудовая реабилитация взрослых больных.
Прогноз и профилактика
Изолированные формы декстрокардии не влияют на качество жизни, не повышают риск развития других заболеваний. Прогноз благоприятный. Комбинированные пороки протекают более тяжело, но при проведении своевременного и комплексного лечения удается добиться полной медицинской и социальной реабилитации пациентов. Профилактические мероприятия направлены на устранение тератогенных факторов, медико-генетическое консультирование беременных.
3. Декстрокардия с транспозицией органов (situs inversus). Е. Г. Несукай, С. В. Федькив, Н. С. Поленова, А. А. Даниленко// Здоровье Казахстана. - 2016.
4. Организационное планирование третьего этапа реабилитации детей с врожденными пороками сердца различных возрастных групп. Л.А. Бокерия, Е.Б. Милиевская, С.М. Крупянко, М.Н. Неведрова. Менеджер здравоохранения. - 2015.
Гастрокардиальный синдром ( Синдром Ремхельда )
Гастрокардиальный синдром - это совокупность изменений рефлекторного характера в работе сердечно-сосудистой системы, возникающих при возбуждении рецепторов пищевода и желудка, чувствительных к механическим и химическим воздействиям. Причиной развития приступов является раздражение блуждающего нерва при переполнении желудка или повышении давления в брюшной полости. Основное проявление - развитие симптомов, напоминающих сердечный приступ. Диагностика основана на исключении заболеваний сердца и выявлении патологии ЖКТ, которая может быть причиной синдрома Ремхельда. Лечение включает психотерапию, применение спазмолитиков, седативных средств.
Гастрокардиальный синдром (синдром Ремхельда) - патология, рассматриваемая в современной гастроэнтерологии как функциональные изменения со стороны сердечно-сосудистой системы, причиной которых является избыточное возбуждение блуждающего нерва. Заболевание имеет второе название по имени впервые описавшего ее специалиста - синдром Ремхельда. Зачастую развивается на фоне имеющихся вегето-сосудистых нарушений.
Ряд гастроэнтерологов связывают гастрокардиальный синдром с атеросклеротическими изменениями коронарных сосудов, объясняя его симптомы «обкрадыванием» коронарного кровообращения при переполнении желудка пищевыми массами: уже нарушенное кровообращение в сердце уменьшается по причине перераспределения крови в результате ее притока к перегруженному желудку. Гастрокардиальный синдром характеризуется развитием симптомов, напоминающих сердечный приступ. Данное состояние чаще возникает у людей с гиперстеническим телосложением и наличием абдоминального ожирения.
Причины
Причиной развития характерных признаков гастрокардиального синдрома является возбуждение блуждающего нерва, возникающее при повышении восприимчивости к раздражению механорецепторов (чувствительны к растяжению) и хеморецепторов (чувствительны к действию химических веществ), которые расположены в нижних отделах пищевода, желудке и начальных отделах кишечника. Обычно симптомы возникают при переполнении желудка пищей, аэрофагии (заглатывании большого количества воздуха). Причиной может быть и повышенное внутрибрюшное давление вследствие выраженного метеоризма, когда блуждающий нерв раздражается высоко стоящей диафрагмой.
К развитию патологии склонны люди с легко возбудимой нервной системой (истероидного типа). Гастрокардиальный синдром может развиваться на фоне грыжи пищеводного отверстия диафрагмы, язвенной болезни желудка, опухолей пищевода и кардиального отдела желудка.
Симптомы гастрокардиального синдрома
Основные жалобы пациентов связаны с нарушением деятельности сердечно-сосудистой системы. Характерный приступ обычно развивается после приема пищи. Чаще всего возникают нарушения ритма, частоты сокращений сердца (тахикардия, брадикардия и экстрасистолия), боли в области сердца. Боль может иметь различный характер - от давящей, ноющей до жгучей и интенсивной, напоминающей приступ стенокардии и вызывающей страх смерти. Болевой синдром может быть кратковременным или длиться несколько часов. Пациенты четко описывают локализацию болезненных ощущений - за грудиной слева, в области расположения сердца.
Приступ сопровождается некоторым повышением артериального давления, головокружением, бледностью, холодным потом. Характерным признаком гастрокардиального синдрома является прекращение симптомов после самостоятельно спровоцированной пациентом рвоты или продолжительной отрыжки воздухом.
Поскольку симптомы гастрокардиального синдрома обычно возникают со стороны сердечно-сосудистой системы, пациенты чаще обращаются к кардиологу. При выявлении патологии со стороны ЖКТ показано обследование у гастроэнтеролога. Диагностика гастрокардиального синдрома основана на исключении патологии сердца (ишемической болезни, нарушений ритма), других заболеваний органов средостения (медиастинитов, аневризмы грудной части аорты), а также выявлении патологии желудочно-кишечного тракта, которая может быть причиной приступов (грыжа пищеводного отверстия диафрагмы, язвенная болезнь желудка, опухоли желудка, пищевода).
С целью исключения заболеваний сердца пациентам с подозрением на гастрокардиальный синдром проводится электрокардиография. При этом на кардиограмме не выявляется характерных для ИБС признаков ишемии миокарда. В момент приступа возможна регистрация брадикардии или тахикардии. С целью диагностики грыжи пищеводного отверстия диафрагмы выполняется контрастная рентгенография. УЗИ органов брюшной полости позволяет исключить патологию печени, поджелудочной железы. С целью подтверждения или исключения язвенной болезни желудка проводятся специфические тесты, позволяющие выявить хеликобактерии (дыхательный уреазный тест).
При диагностике гастрокардиального синдрома категорически противопоказано проведение эндоскопических методов исследования (эзофагогастродуоденоскопия) до лечения: психологический стресс и раздражение рецепторных зон пищевода и желудка могут привести к чрезмерному возбуждению блуждающего нерва и остановке сердца.
Лечение гастрокардиального синдрома
В лечении данной патологии обязательно принимают участие гастроэнтеролог, психотерапевт, при необходимости - хирург. Независимо от причины лечение гастрокардиального синдрома включает диетотерапию, основой которой является предупреждение перееданий. Пациент должен питаться дробно, маленькими порциями. Необходимо ограничить химически грубую пищу, а также продукты, провоцирующие избыточное газообразование. При наличии ожирения обязательно проводится комплекс мероприятий по нормализации веса.
Для профилактики развития приступов за полчаса до планируемого приема пищи используются спазмолитики (папаверин, дротаверин). Если гастрокардиальный синдром не имеет органической причины, необходимо проведение психотерапии. Данное лечение обладает высокой эффективностью и существенно улучшает качество жизни пациентов. Медикаментозное лечение заключается в использовании седативных, успокаивающих препаратов.
При наличии фоновой органической патологии желудочно-кишечного тракта, в первую очередь требуется лечение основного заболевания. При язвенной болезни желудка назначается специфическая терапия, направленная на эрадикацию Helicobacter pylori, включающая антибактериальные средства, ингибиторы протонной помпы и препараты висмута. При грыжах пищеводного отверстия диафрагмы возможна консервативная терапия, целью которой служит снижение желудочно-пищеводного рефлюкса, предупреждение повышения давления в брюшной полости и профилактика гастрокардиального синдрома.
При неэффективности медикаментозного лечения, в том числе частом возникновении приступов, а также при наличии осложнений проводится хирургическое лечение. Операция направлена на ушивание грыжевых ворот, укрепление пищеводно-диафрагмальной связки (круропластика), фиксацию желудка.
Прогноз гастрокардиального синдрома благоприятный. Заболевание хорошо поддается коррекции, при устранении органической причины наступает полное выздоровление. Если гастрокардиальный синдром не имеет первичной причины и развивается на фоне вегетативной дисфункции, хороший эффект оказывает психотерапевтическое лечение. Профилактика заключается в нормализации образа жизни и питания, предупреждении перееданий, приеме пищи 5-6 раз в сутки, достаточном уровне физической активности, поддержании нормального веса.
Транспозиция внутренних органов
Транспозиция внутренних органов — это тотальное или частичное зеркальное отражение органов грудной и брюшной полости. Среди причин патологии называют генетические мутации, действие тератогенных факторов на эмбрион. Простые формы транспозиции не имеют симптомов и выявляются случайно при профосмотре. Сочетание situs inversus и других внутренних пороков проявляется нарушениями кровообращения, задержкой роста и развития, частыми инфекционными заболеваниями. Для диагностики назначаются инструментальные методы: УЗИ, рентгенография, МРТ и КТ живота и грудной клетки. Лечение неосложненных форм аномалии не проводится.
Декстрокардия, как один из вариантов транспозиции, была описана итальянским хирургом и анатомом Марко Северино в 1643 г., а первое упоминание латинского термина «situs inversus» датировано 1797 г. и связано с именем британского врача и патологоанатома Метью Бейли. Частота встречаемости патологии составляет 1 случай на 15-20 тыс. населения. Транспозиция преимущественно протекает бессимптомно, поскольку инвертированные органы функционируют так же, как и расположенные на привычных местах. Сложности для врачей состоят в диагностике различных соматических болезней из-за атипичности признаков и физикальных данных.
Этиологические факторы точно не установлены. При генетической диагностике доказано, что большой процент situs inversus ассоциирован с генными мутациями HAND, Pitxz, ZIC3Shh, ACVR2, происходящими в первые 12 недель гестации. Транспозиции способствуют тератогенные влияния на развивающийся эмбрион: при курении и употреблении алкоголя беременной женщиной, воздействии радиации и канцерогенов. Существует теория о «поглощении» эмбриона-близнеца как причины транспозиции.
В клинической практике транспозиция встречается при изолированной декстрокардии (обратное расположение сердца), синдроме Зиверта-Картагенера (инверсия комплекса «легкие-сердце»), синдроме Ивемарка (декстрокардия, зеркальное расположение органов брюшной полости).
Патологические изменения происходят в раннем эмбриональном периоде. В норме при развитии зародыша все висцеральные ткани закладываются вдоль средней линии тела, затем по мере роста эмбриона происходит ротация вправо, в результате которой внутренние органы занимают типичные места. Если же ротация совершается в обратном направлении, возникает транспозиция одного, всех или нескольких внутренних органов.
По количеству аномально расположенных органов и с учетом их локализации относительно срединной линии выделяют 4 типа транспозиции:
- situs inversus cordis — простая декстрокардия, при которой только сердце имеет атипичную локализацию справа в грудной клетке;
- situsvisceruminversuspartialis — частичная инверсия, когда сердце и отдельные органы ЖКТ и дыхательной системы отображены зеркально;
- situs viscerum inversus totalis — зеркальное отражение всех внутренних органов пищеварительной и дыхательной систем;
- situs ambiguous (гетеротаксия) — редко встречающийся вариант с неопределенной локализацией, при котором печень обычно занимает место посередине тела, а селезенка отсутствует.
Симптомы
Если транспозиция не сопровождается врожденными пороками или генетическими аномалиями, клинические признаки отсутствуют. Нетипичное расположения внутренних органов, как правило, диагностируется еще у детей при плановых медосмотрах или обращении за медицинской помощью. Чаще всего врач может заподозрить транспозицию по сердечным тонам, которые выслушиваются в нетипичных точках.
В случае сочетания транспозиции внутренних органов с аномалиями развития, патологические симптомы проявляются в раннем детстве. В основном возникают признаки сердечно-сосудистых нарушений: одышка при физической нагрузке, бледность или синюшность кожных покровов, пальцы по типу «барабанных палочек» и ногтей в виде «часовых стекол». Зачастую симптомы сопровождаются слабым физическим развитием, задержкой роста.
К симптомам осложненного situs inversus также относят частые респираторные болезни и инфекционные заболевания другой локализации. Нарушения пищеварения проявляются расстройствами стула, желтушностью кожи, недостаточным набором веса у детей и похудением у взрослых. Изредка транспозиция дополняется характерными изменениями внешности — стигмами дизэмбриогенеза.
Транспозиция представляет серьезную проблему врачебной практики, поскольку отсутствие знаний о такой особенности ставит специалиста в тупик при диагностическом поиске. Например, при аппендиците пациент испытывает боли в левой подвздошной ямке, что принимают за гастроэнтерологическую патологию, поэтому не оказывают хирургическую помощь. То же касается и острых болезней сердца, при которых боли будут справа от грудины, имитируя межреберную невралгию, пневмонию и т. д.
При situs inversus с декстрокардией наблюдаются врожденные пороки сердца: дефект межжелудочковой и/или межпредсердной перегородки, транспозиция магистральных сосудов, стеноз легочной артерии. Иногда у больных диагностируется тетрада Фалло, эндокардиальные дефекты, аплазия или агенезия легких. К редким порокам относят двух- и трехкамерное сердце — тяжелые аномалии с неблагоприятным прогнозом и низкой долгосрочной выживаемостью.
У большинства взрослых пациентов информация о транспозиции органов внесена в медицинскую карту, поэтому от врача требуется внимательное изучение документации. В истории болезни детально описывают вариант инверсии внутренних органов, чтобы избежать диагностических ошибок. Если сведений об этой аномалии нет, то транспозиция выявляется при инструментальных исследованиях — диагностической рентгенографии ОГК и живота, УЗИ внутренних органов, КТ и МРТ.
Врач, который впервые обнаруживает транспозицию, должен занести в карту все сведения, полученные в ходе физикального и инструментального обследования. Если больной предъявляет жалобы, дополнительно назначается консультация кардиолога, пульмонолога, гастроэнтеролога, других профильных специалистов. При сочетании признаков врожденных внутренних аномалий и транспозиции требуется генетическое консультирование.
Лечение транспозиции внутренних органов
При отсутствии нарушений здоровья лечение транспозиции не показано. Врожденные аномалии сердца и пищеварительной системы, вызывающие клиническую симптоматику и расстройства функций организма, требуют хирургической коррекции. Тяжелые формы комбинированных внутренних пороков могут заканчиваться инвалидностью, поэтому больным необходим курс медицинской и социально-трудовой реабилитации.
Неосложненные варианты транспозиции не влияют на функционирование организма и не ухудшают качество жизни пациентов. Поскольку транспозиция не относится к наследственным заболеваниям, люди с такой особенностью могут иметь здоровых детей. Неблагоприятный прогноз для больных с тяжелыми врожденными аномалиями структуры и функции внутренних органов. Меры профилактики транспозиции заключаются в антенатальной охране плода.
1. Национальные проекты: вызовы и решения. Случай транспозиции внутренних органов/ В.Н. Герасимов, В.Е. Бригиневич, А.В. Борисов // Материалы 55 межрегиональной научно-практической конференции. — 2020.
2. Транспозиция внутренних органов/ М.А. Гаибова, А.А. Медведева // Молодежь, наука, медицина. — 2019.
3. Полная транспозиция органов (клинический случай)/ И.А. Бондаренко, Т.В. Чеснакова// Радиология - Практика. — 2014.
4. Approach to dextrocardia in adults: review / Maldjian P.D., Saric M // AJR Am J Roentgenol. — 2007.
Читайте также:
