Диагностика алкогольной энцефалопатии по КТ, МРТ головного мозга
Добавил пользователь Евгений Кузнецов Обновлено: 02.11.2025
Обследование головного мозга с помощью компьютерной и магнитно-резонансной томографии позволяет получить обширный перечень информации о строении, аномалиях, патологических состояниях (отек, сотрясение, энцефалопатия, полипы). Сочетание методов визуализирует опухоли, метастазы, изменения окружающих тканей.
Нативное КТ головного мозга показывает твердые структуры - кости, скопления крови, плотные новообразования. Для изучения сосудистой сети, отслеживания распространения патологического участка проводится контрастирование - внутривенное введение йодсодержащего препарата (ультравист, омнипак, гадовист).
На практике чаще компьютерная томография назначается по следующим показаниям:
- Инсульт - внутримозговое кровоизлияние;
- Диагностика опухолей;
- Обнаружение воспалительных процессов - энцефалит, менингит;
- Безуспешное консервативное лечение неврологических расстройств у пациента;
- Поиск аномалий (врожденных, приобретенных);
- Беспричинные боли головы.
Современная онкология использует сочетание КТ головного мозга и ПЭТ/КТ. Последний метод показывает физико-химические характеристики ткани после введения радиоизотопного средства. Накопление изотопа в патологическом очаге указывает на тип образования, локализацию, область распространения. При ПЭТ сотрясение, энцефалопатия головного мозга не визуализируется, если отсутствуют кровоизлияния, отек.
Полипы гайморовых пазух на КТ-изображениях
Доброкачественные разрастания слизистой оболочки не представляют опасности для здоровья, если не имеют крупных размеров. Опасность полипов - закрытие просвета гайморовой пазухи с увеличением внутричерепного давления. Состояние опасно инсультом. Динамическая компьютерная томография проводится после первичного выявления полипа гайморовой пазухи для оценки характера роста. Отсутствие изменений не требует лечения. Если при повторном КТ-обследовании отмечается увеличение размеров, требуется консультация хирурга для решения вопроса об оперативном удалении образования.
Назначает, когда делать КТ шеи и головы, врач лучевой диагностики. Специалист обладает правом окончательного решения, даже если лечащий доктор имеет другое мнение.
Полипы локализуются не только в околоносовых пазухах, но и полости носа. Разрастания соединительной ткани обнаруживает компьютерная и магнитно-резонансная томография.
Компьютерная томография кист мозга

Причина образования кистозных полостей головного мозга неизвестна. Часто кисты обнаруживаются у новорожденных и никак не проявляются на протяжении жизни. Единичная киста головного мозга представляет большую опасность для здоровья. Полости подвергаются динамическому КТ исследованию через определенное время. Одиночные очаги являются воспалительными, злокачественными, паразитарными. За ними требуется наблюдение.
Клиническими симптомами полип и киста мозга не характеризуется. Нозологические формы становятся случайными находками после томографии с контрастным усилением. Инъекция йода в сосуд позволяет определить размеры образований.
Лучше визуализируется киста и полип мозга на МРТ. Компьютерное сканирование при нозологии является уточняющим методом.
После обнаружения кистозной полости назначается ряд обследований для уточнения причины:
- Анализ кала на яйца глистов;
- Определение холестерина;
- Диагностика состояния сердца;
- Проверка здоровья на инфекции.
Кисты верхнечелюстных пазух показывает рентгенография. Оценка изменений на протяжении времени осуществляется рентгеновским способом. Мультиспиральное КТ головы применяется только для обнаружения сопутствующей патологии.
Компьютерная диагностика энцефалопатии
Для диагностики мозговых болезней у детей рациональнее применять МРТ (при возможности сохранения неподвижного положения 15-30 минут). Диагноз энцефалопатии устанавливается после КТ и МР-сканирования. Определяют выбор индивидуальные особенности человека, поставленные диагностические задачи. Информативность способов при правильном подходе можно считать аналогичной.
Цена исследования, радиационное облучение, показания и противопоказания - определяющие факторы.

Ишемические и атрофические изменения четко не прослеживаются при компьютерном сканировании. Состояние обуславливает сопутствующие патологические процессы, на основе которых устанавливается диагноз:
- Диффузные изменения мозговой структуры;
- Расширение желудочков;
- Изменения субарахноидального пространаства;
- Утолщение субкортикального слоя;
- Патологические участки в сером и белом веществе;
- Наличие постишемических кист;
- Лакунарные инсульты (мозговые кровоизлияния).
Дисциркуляторная энцефалопатия сопровождается множественными сосудистыми расстройствами. На основе комплекса нарушений ученые пытаются создать КТ-маркеры, выявление которых позволяет с высокой степенью достоверности установить диагноз.
Важные КТ признаки энцефалопатии:
- Отложение холестерина внутри мозговых артерий. Чем обширнее поражение, тем вероятнее энцефалопатические расстройства;
- Наружная и внутренняя гидроцефалия - скопление жидкости, приводящее к увеличению внутричерепного давления;
- Изменения субкортикального слоя.
- Атрофические, ишемические очаги разной локализации.
Для подтверждения диагноза энцефалопатии сравниваются компьютерные и магнитно-резонансные признаки нозологии. На томограммах за участки атрофии можно принять кисты, неполные инфаркты.
Важный КТ критерий энцефалопатии - феномен лейкоареолизиса. Патология выявлена в 1987 году. После внедрения компьютерного сканирования в медицину обнаружение очагов ишемии размерами до 5 мм в белом веществе при отсутствии гиподенсных участков мозолистого тела, базальных ганглиев, зрительной лучистости вызывало дискуссии у врачей. После использования вентрикулометрии выявлялась гидроцефалия. Комплекс расстройств описывал цереброваскулярные и дисциркуляторные нарушения мозга. Повторное использование способа указывает на прогрессирование гидроцефалии.
Нативное и контрастное КТ мозга обнаруживает ишемию, дисциркуляторные расстройства при энцефалопатии. Для постановки диагноза нужно дополнить полученную информацию подтверждающими фактами:
- Жалобы на частые головные боли;
- Проявления сердечной и дыхательной недостаточности;
- Изменения вязкости, текучести крови;
- Повышение уровня холестерина (определяется липидограммой);
- Обнаружение специальных веществ - гомоцистеин, LE-клетки S-белок.
Комплексная диагностика помогает провести правильное лечение.
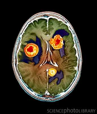
Компьютерная томография при опухолях мозга
Злокачественные новообразования сопровождаются многочисленными нарушениями. Нативное КТ опухоль головного мозга показывает на основе прямых и косвенных признаков. После выявления патологического очага проводится контрастное усиление для верификации метастазов, определения размеров очага. Усиление необходимо для оценки перифокальной паренхимы.
Прямые маркеры опухоли головного мозга:
- Понижение или повышение плотности мозгового вещества;
- Участки обызвествления внутри аномального очага;
- Разнородные зоны аномальной плотности.
Описанные маркеры свидетельствуют о наличии аномального очага. При небольших размерах образования диагностика основывается на косвенные проявления:
- Локальный отек мозга вокруг новообразования;
- Атипичное расположение сосудистого сплетения, срединных структур;
- Гидроцефалия;
- Закупорка путей движения спинномозговой жидкости;
- Расширение желудочков.

Выраженность косвенных признаков имеет разную степень. Морфология, расположение, степень отечности зависит от преобладания цереброваскулярного или дисциркуляторного компонента, ишемических, атрофических расстройств. Отложение солей кальция внутри участка повышенного, пониженного сигнала свидетельствует о длительном существовании образования. Описанные критерии характерны для сосудистых опухолей. Внутри новообразования плотность снижена, а вокруг - увеличена.
Показывает КТ опухоль головного мозга после контрастирования лучше. Увеличение гетерогенности после усиление - признак злокачественности. Зона характеризуется множественными участками сниженной и повышенной плотности, фрагментами некроза ткани.
После инъекции контраста КТ мозга при доброкачественных очагах не визуализирует гетерогенность. Низкая интенсивность доброкачественной опухоли после усиления сохраняется. Квалифицированный врач лучевой диагностики по результатам томографии может предварительно предложить вид опухоли головного мозга:
- Очаги сниженной плотности с четкими очертаниями характерны для астроцитомы;
- Глиомы зрительного нерва имеют повышенную плотность, которая усиливается после контрастирования;
- Менингиомы - округлые четки зоны средней плотности. Зона ограничивается от здоровой паренхимы, имеет участки известковых отложений;
- Сигнал от метастазов редко отличается от здоровой паренхимы без контрастирования. После усиления можно верифицировать от коры.
После введения контрастного вещества метастатические очаги четко отграничиваются. Периферическая часть отграничивается от паренхимы четким кольцом за счет отека, некроза, центральной кистой.
КТ или МРТ головного мозга - что показывает при сотрясении
После удара головы крупных кровоизлияний, гематом может не наблюдаться. Сотрясение головного мозга сопровождается рядом клинических симптомов, позволяющих назначить компьютерную томографию.
Критерии постановки диагноза:
- КТ-признаки повреждения костей черепа;
- Потеря сознания после травмы длительностью меньше 5 минут;
- Факт падения или удара по голове;
- Выявление на томограммах блокады прохождения спинномозговой жидкости, отклонения интенсивности сигнала серого и белого вещества.
Человеку после сотрясения мозга КТ назначается по показаниям. Наличие клинических симптомов ухудшения состояния определяется необходимость исследования. На начальной стадии внутри мозговой ткани возникают нарушения микроциркуляции, увеличивается внутричерепное давление. Нарастающее сотрясение мозга требует незамедлительной диагностики. Крупное кровоизлияние приведет к летальному исходу.
Верификацию ушиба лучше проводить с помощью МРТ. Нозология не сопровождается описанными комплексом нарушений. Обследование поможет выявить атрофию, ишемию, цереброваскулярные расстройства.
КТ-критерии отека мозга

Обильное скопление жидкостного компонента внутри мозговой паренхимы визуализируется на компьютерных томограммах. Обширный отек головного мозга при последующем послойном сканировании приводит к расширению желудочков, смещению срединных структур, компрессию основных элементов.
Незначительная отечность обуславливает энцефалопатию. Крупный отек мозга сопровождается рядом морфологических нарушений - цитотоксических, интерстициальных, вазогенных. Признаки отека мозга на КТ специфичны:
- Расширение желудочков;
- Гидроцефалия;
- Расширение передних рогов;
- Увеличение ликворных пространств;
- Изменение объема мозга;
- Деформация анатомических структур.
Изменение анатомии - важное проявление отека мозга, не наблюдаемое при энцефалопатии, сотрясении. Полипы - это дополнительное разрастание слизистой оболочки с включением соединительнотканных волокон. Внутри черепной коробки образования появляются редко.
Дополнительно после травмы может назначаться КТ легких и брюшной полости для исключения осложнений, вторичных заболеваний.
Классическая КТ анатомия головного мозга ориентирована на выявление патологии твердых тканей. Контрастное усиление, МРТ - дополнительные способы диагностики для изучения мягкотканых структур.
Звоните нам по телефону 8 (812) 241-10-46 с 7:00 до 00:00 или оставьте заявку на сайте в любое удобное время
Энцефалопатия Вернике - симптомы и лечение
Что такое энцефалопатия Вернике? Причины возникновения, диагностику и методы лечения разберем в статье доктора Абдусаламовой Саиды Мусаевны, невролога со стажем в 8 лет.
Над статьей доктора Абдусаламовой Саиды Мусаевны работали литературный редактор Вера Васина , научный редактор Роман Люкманов и шеф-редактор Маргарита Тихонова
Определение болезни. Причины заболевания
Энцефалопатия Вернике (Wernicke encephalopathy) — это неврологическое заболевание, вызванное дефицитом тиамина, или витамина В1. При болезни нарушается память, зрение, равновесие и походка [1] . В эмоциональном плане может преобладать эйфория или, наоборот, безразличие и вялость.
Энцефалопатию Вернике и синдром Корсакова объединяют в синдром Вернике — Корсакова. Эти патологии представляют собой различные стадии заболевания:
- энцефалопатия Вернике — острый синдром, требующий экстренного лечения;
- синдром Корсакова — хроническое неврологическое состояние, которое обычно возникает как следствие энцефалопатии Вернике.
Острая энцефалопатия была описана немецким психоневропатологом Карлом Вернике в 1881 году. Он отмечал спутанность сознания, паралич глазных мышц и нарушение походки у пациентов. Эти симптомы Вернике связал с результатами вскрытия, обнаружив точечные кровоизлияния в головном мозге. Одновременно с ним это состояние описал французский офтальмолог Шарль Гайе, поэтому заболевание ещё называют синдромом Гайе — Вернике.
![Признаки энцефалопатии Вернике на снимке МРТ [22]](https://probolezny.ru/media/bolezny/encefalopatiya-vernike/priznaki-encefalopatii-vernike-na-snimke-mrt-22_s.jpg)
Несколько лет спустя русский психиатр Сергей Корсаков описал хронический амнестический синдром, при котором пациенты не запоминали текущие события, но могли помнить прошлый опыт, осознанно воспринимать новые ситуации и обучаться на базе полученных когда-то знаний, т. е. их интеллект был почти в норме.
Распространённость
Среди людей в возрасте 30-70 лет синдром Вернике — Корсакова встречается примерно в 2 % случаев. В группу риска входят пожилые пациенты, бездомные и психические больные [19] [20] . Среди тех, кто умер от употребления алкоголя, признаки заболевания выявляют у 29-59 % пациентов [5] [6] .
Факторы риска энцефалопатии Вернике
- ; и другие расстройства пищевого поведения[9] ;
- тяжёлый токсикоз беременных[10][11] ;
- операции на желудочно-кишечном тракте, особенно для лечения ожирения[12][15] ;
- рак с метастазами и химиотерапия [19] ;
- трансплантация органов;
- гемодиализ или перитонеальный диализ;
- СПИД;
- наследственная предрасположенность [20] .
При обнаружении схожих симптомов проконсультируйтесь у врача. Не занимайтесь самолечением - это опасно для вашего здоровья!
Симптомы энцефалопатии Вернике
Самый распространённый признак энцефалопатии Вернике — это нарушение памяти. Особенно страдает кратковременная память, из-за чего пациенты не могут запомнить ничего нового. Иногда пропадает долговременная память, и в редких случаях пробелы в воспоминаниях заполняются событиями, которые на самом деле не происходили. Также появляется безразличие и невнимательность, становится сложно концентрироваться и нарушается ориентация в пространстве [1] [20] . У некоторых пациентов из-за прекращения приёма алкоголя развивается делирий. Сознание при энцефалопатии угнетено меньше чем у 5 % пациентов, но без лечения болезнь может прогрессировать до ступора, комы и смерти [1] .
Другой типичный симптом энцефалопатии Вернике — это нарушение осанки, равновесия и походки. При тяжёлом течении пациенты не могут ходить совсем. В более лёгких случаях они передвигаются медленно короткими шагами.
Третий характерный симптом — это нарушение движения глаз. Может возникать нистагм и паралич мышц глаза. Нистагм — это неконтролируемые ритмичные движения глаз. Обычно при энцефалопатии он возникает при взгляде вправо, влево или наверх [1] . Паралич глазных мышц практически всегда двусторонний, т. е пациент не может отвести глаза ни вправо, ни влево. Кроме того, зрачки либо не сразу сужаются от прямого потока света, либо один из них не сужается совсем. На тяжёлых стадиях болезни движение глаз и реакция зрачков утрачиваются полностью. В редких случаях возникает птоз века.
Симптомы могут появиться одновременно, но чаще сперва нарушается координация движений, а через несколько дней или недель развиваются остальные признаки болезни [1] . Также при энцефалопатии Вернике может снижаться вес и возникать слабость, боль и ощущение покалывания в ногах [1] .
К редким симптомам энцефалопатии Вернике относятся гипотензия, обморок и пониженная температура тела, при которой могут нарушаться реакция зрачков [12] .
Патогенез энцефалопатии Вернике
Основная причина синдрома Вернике — Корсакова — это дефицит тиамина.
К такому дефициту приводит:
- Недостаточное потребление тиамина с пищей. Взрослому человеку в сутки требуется 1-2 мг этого витамина. Его запасы в организме составляют 30-50 мг, поэтому резервы могут истощиться за несколько недель. Люди, злоупотребляющие алкоголем, часто заменяют пищу спиртным, из-за чего не потребляют достаточно тиамина.
- Нарушение кишечного всасывания тиамина. Алкоголь повреждает слизистую оболочку кишечника и подавляет механизм, ответственный за всасывание тиамина в кишечном тракте.
- Ухудшение способности печени накапливать запасы витамина. Эта способность снижается при регулярном употреблении алкоголя [17] .
- Угнетение процессов фосфорилирования — замещения атома водорода в молекулах химических соединений остатками кислот фосфора. Всасываясь из кишечника, тиамин фосфорилируется и превращается в тиаминпирофосфат — свою активную форму. Чрезмерное употребление алкоголя замедляет эти процессы.
Потребность в тиамине повышается при физической нагрузке, нервно-психическом напряжении, в холодном климате (нужно на 30-50 % больше тиамина) и при высоком содержании углеводов в рационе. Также больше тиамина требуется при беременности и кормлении грудью, желудочно-кишечных заболеваниях (особенно, если они сопровождаются поносом), лечении антибиотиками, сахарном диабете, острых и хронических инфекциях.
Недостаток тиамина приводит к поражению периферических нервов и различных мозговых структур: сосцевидного тела, таламуса, мозжечка, голубого пятна, центрального серого вещества среднего мозга, ядер глазодвигательных нервов и вестибулярных ядер. Реже повреждаются холмики, своды, области перегородки, гиппокамп и кора головного мозга [1] .

Примерно в половине случаев при вскрытии наблюдается потеря клеток Пуркинье — нейронов коры мозжечка. Последние изменения схожи с теми, которые обнаруживаются при алкогольном повреждении мозжечка. Они могут возникать и без других поражений Вернике. Таким образом, при алкоголизме в принципе повреждаются многие структуры головного мозга, а дефицит тиамина усугубляет это и приводит к развитию энцефалопатии Вернике.
Классификация и стадии развития энцефалопатии Вернике
Варианты дебюта острой энцефалопатии Вернике:
- Заболевание начинается с психического расстройства — нарушается сон, появляются зрительные и слуховые галлюцинации, возникает психомоторное возбуждение и тревога.
- Сперва появляются судороги — подёргивание языка, губ, глаз и мышц лица. Может возникать паралич глазных мышц, слабость мышц затылка и общее снижение мышечной силы.
- Возникают соматические расстройства — симптомы воспаления поджелудочной железы, печени, желчного пузыря и пищевого отравления: сухость кожи и языка, вздутие живота, жидкий стул, тахикардия , гипотензия с частыми случаями резкого падения артериального давления и обмороками.
- Развивается острое инфекционное заболевание — начинается как ОРЗ, может быть подозрение на менингит, температура повышается до 40-41 °C, пациент выглядит истощённым, появляется желтушность белков глаз, кожа бледная с синеватыми прожилками или синюшная, дыхание неглубокое и учащённое. Из-за нарушений иммунитета почти неизбежно развивается пневмония[2] .
Стадии развития энцефалопатии Верники
- Появляется сонливость или возбуждение, тяжело засыпать, сон становится беспокойный, с ранними и частыми пробуждениями, снятся кошмары.
- Снижается аппетит, появляется отвращение к жирной и богатой белками пище, возникает рвота, тошнота и астения.
- Нарушается память, ухудшается восприятие информации, возникают бредовые расстройства и ложные воспоминания.
- Появляются зрительные галлюцинации, которые сочетаются со сложными повторяющимися движениями.
- Возникают эпилептические припадки.
- Нарушается сознание — возникает оглушение (нарушение ориентации в пространстве, сильная сонливость, замедление речи и движений), сопор и кома [1] .
Осложнения энцефалопатии Вернике
Энцефалопатия Вернике может привести к смерти — на запущенных стадиях болезни погибает 10-20 % пациентов [20] . Чаще всего cмepть наступает из-за сопутствующих патологий, вызванных алкоголизмом: пневмонии, туберкулёза лёгких, печёночной недостаточности и септицемии (сепсиса без гнойных метастазов).
В части случаев может развиться корсаковской психоз, психоорганический или псевдопаралитический синдром. Для этих патологий характерно снижение памяти и сообразительности, ослабление воли, неустойчивость настроения, снижение трудоспособности, эйфорическое настроение и бред величия. Если заболевание не лечить, со временем развивается сопор, кома и пациент погибает.
Диагностика энцефалопатии Вернике
Лабораторные и инструментальные методы могут быть полезны для подтверждения энцефалопатии Вернике, но в первую очередь её диагностируют по симптомам.
Осмотр
При осмотре врач обращает внимание на следующие признаки:
- нарушение питания, из-за чего снижается вес, эластичность кожи и деформируются ногти;
- вегетативная дисфункция, при которой понижено давление, учащается сердцебиение и повышается потливость;
- нарушение движений глаз;
- расстройство сознания и координации движений.
Диагноз энцефалопатии Вернике среди пациентов, страдающих алкоголизмом, ставится при наличии двух признаков из четырёх.
Лабораторные исследования
Лабораторных исследований, которые позволяли бы достоверно определить энцефалопатию Вернике, не существует. Можно измерить уровень тиамина в крови, но по результатам анализов нельзя определить, сколько его содержится в мозге. Поэтому такой анализ необязателен, но он может играть вспомогательную роль для подтверждения диагноза.
Инструментальная диагностика
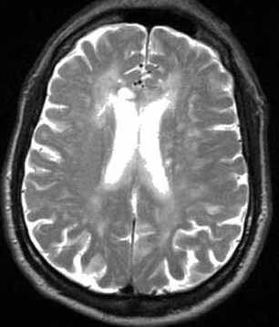
Может применяться компьютерная томография (КТ) и магнитно-резонансная томография (МРТ). С помощью КТ определяют участки пониженной плотности в центральном сером веществе среднего мозга и в части таламуса, но в большинстве случаев этот метод не выявляет очаговой патологии при острой энцефалопатии.
Наиболее эффективный метод диагностики энцефалопатии Вернике — это МРТ. Интерпретировать результаты МРТ сможет только врач.
Дифференциальная диагностика
Энцефалопатию Вернике следует отличать от следующих заболеваний:
- ;
- гипоксической энцефалопатии, т. е. вызванной недостаточным снабжением мозга кислородом;
- височной эпилепсии;
- сотрясения мозга; с тельцами Леви (отложениями белка в областях мозга, связанных с памятью, движением и мышлением);
- герпетического энцефалита;
- транзиторной глобальной амнезии (внезапного временного эпизода потери памяти, не связанного с инсультом или судорогами);
- опухоли третьего желудочка мозга; ; [19][20] .
При лихорадке или других признаках инфекции центральной нервной системы требуется люмбальная пункция. Во время процедуры врач извлекает небольшое количество жидкости из пространства вокруг позвоночника с помощью тонкой иглы. Затем этот образец исследуют в лаборатории.
При подозрении на бессудорожные припадки эпилепсии может быть назначена электроэнцефалография (ЭЭГ) [1] .
Лечение энцефалопатии Вернике
Пациентам с подозрением на энцефалопатию Вернике нужно немедленно ввести тиамин. Затем диагноз подтверждается с помощью лабораторных тестов или КТ/МРТ, заодно с их помощью отслеживается динамика.
Тиамин вводят инъекционно, поскольку при алкоголизме или истощении он плохо поглощается в желудочно-кишечном тракте. Инъекции делают три раза в сутки в течение двух дней, затем один раз в сутки в течение пяти дней [17] .
К возможным побочным реакциям относится анафилаксия и бронхоспазм, но они встречаются крайне редко.
После выписки из больницы нужно перестать употреблять алкоголь и продолжать приём тиамина в таблетках, также рекомендуется восполнять магний, дефицит других витаминов и питательных веществ.
Кроме того, пациентам будет полезно потреблять пищу, богатую тиамином: спаржу, говядину, свинину, печень, сухое молоко, орехи, овёс, апельсины, яйца, семена подсолнечника и льна, чечевицу, горох, дрожжи, брокколи, лук, зелёную фасоль, морковь, капусту, помидоры, зелёный горошек, зелень свёклы, брюссельскую капусту, шпинат, баклажаны. Некоторые продукты, такие как рис, макароны, хлеб, крупы, хлопья и мука, специально обогащают тиамином.
Прогноз. Профилактика
Без лечения энцефалопатия Вернике приводит к коме и смерти. Чем быстрее введён тиамин, тем лучше прогноз [1] . Большинство пациентов полностью избавляются от паралича глазных мышц, но в 60 % случаев сохраняется горизонтальный нистагм, т. е. глаз может отклоняться вправо или влево. Только у 40 % пациентов восстанавливается координация движений — дефициты могут варьировать от сохранения медленной шаркающей походки до неспособности ходить совсем. Также могут остаться трудности с обучением и нарушение памяти, которые становятся заметны по мере прояснения сознания.
Профилактика энцефалопатии Вернике
Чтобы предотвратить заболевание, людям из группы риска рекомендуется принимать тиамин в таблетках. В группу риска входят пожилые люди, беременные женщины, бездомные, пациенты с психическими заболеваниями, алкоголизмом, СПИДом, болезнями желудочно-кишечного тракта (синдромом мальабсорбции, болезнью Крона, хронической диареей и рвотой).
Энцефалопатия Вернике может быть вызвана внутривенным введением глюкозы, поэтому пациентам с дефицитом тиамина нужно ввести тиамин до или во время процедуры.
МРТ головного мозга при алкоголизме
Алкоголизм приводит к целому ряду изменений по типу демиелинизаций и нарушений мозгового кровообращения на фоне диффузной атрофии. Изменения объединяются в понятие алкогольная энцефалопатияк которым относят выявляемые при МРТ головного мозга синдром Маркиафава-Биньями (Marchiafava-Bignami), энцефалопатия Вернике, осмотические и печеночные демиелинизации. Болезнь Маркиафава-Биньями клинически делится на 2 типа: тип А связан с тяжелыми нарушенями сознания вплоть до ступора и комы; тип В - связан с более легкими нарушениями психики. Энцефалопатия Вернике связана с дефицитом тиамина и проявляется атаксией и офтальмоплегией.
При МРТ в СПб мы нередко сталкиваемся с характерными изменениями головного мозга в виде гиперинтенсивных очагов на Т2-взвешенных МРТ. При МРТ головного мозга при алкоголизме кроме мозолистого тела и перивентрикулярных зон могут выявляться зоны повреждения коры лобных и височных долей. В острой стадии они хорошо видны на диффузионно-взвешенных МРТ.

МРТ головного мозга. Т2-взвешенная аксиальная МРТ. Болезнь Маркиафава-Биньями.

МРТ головного мозга. Т2-взвешенная сагиттальная МРТ. Очаг в мозолистом теле при болезни Маркиафава-Биньями тип В.

МРТ головного мозга типа ДВИ. Гиперинтенсивные участки в лобных долях при остром типе болезни Маркиафавы-Биньями.
При энцефалопатии Вернике на Т2-взвешенных МРТ головного мозга симметрично поражаются зрительные бугры, пластина четверохолмия и сосочковые тельца, иногда с участками кровоизлияний.
Для острой печеночной энцефалопатии типично поражение мелких сосудов с характерными гиперинтенсивными очажками на Т2-взвешенных МРТ головного мозга в коре. В хронической стадии характерны очаги на Т2-взвешенных МРТ в подкорковых ядрах, гипоталамусе и субталамических зонах.
Центры МРТ СПб нередко неправильно трактуют изменения при МРТ головного мозга как дисциркуляторную энцефалопатию. При МРТ в СПб мы в частном центре с открытым МРТ стараемся точно определить характер патологического процесса.
МРТ головного мозга при энцефалопатии Вернике
Энцефалопатия Вернике - это состояние, связанное с дефицитом витамина В1. Часто такое состояние наблюдается у алкоголиков. Правильный диагноз ставится только 10-15% случаев, что приводит к прогрессированию заболевания и смертности в 20% случаев. В то же время лечение тиамином приводит к обратимости процесса.
Пациент со спутанным сознанием, атаксией и нистагмом может быть трактован неврологом как следствие ОНМК, опухоль головного мозга, инфекция и различные варианты деменций.
МРТ головного мозга позволяет найти типичные признаки энцефалита Вернике - атрофия сосочковых тел, их контрастное усиление на Т1-взвешенных МРТ с контрастированием и общую атрофию мозга. При МРТ головного мозга также описаны высокий сигнал на Т2-взвешенных изображениях от от зрительных бугров, вокруг водопровода
Дифференциальную диагностику энцефалопатии Вернике при МРТ в СПб мы проводим с другими энцефалитами, что осуществляется также с помощью МРТ головного мозга. Для правильной постановки диагноза энцефалита центры МРТ СПб должны иметь соответствующий опыт.

МРТ головного мозга. Сагиттальная Т1-взвешенная МРТ с контрастированием.. Атрофические изменения.
МРТ головного мозга. Т1-взвешенная аксиальая МРТ с контрастированием. Усиление сигнала от сосочковых тел.

МРТ головного мозга. Т2-взвешенная корональная МРТ. Высокий сигнал от зрительных бугров при энцефалопатии Вернике.
Алкогольная энцефалопатия: причины, симптомы, диагностика
Алкогольная энцефалопатия характеризуется повреждением клеток головного мозга. Разносторонние симптомы позволяют включить нозологию в ряд различных заболеваний. Для нозологии характерны три клинических синдрома - Гайе-Вернике, алкогольный псевдопаралич, хроническое повреждение мозговой паренхимы (корсаковский психоз). Отдельно выделяется токсическая форма.
Алкогольная энцефалопатия - что это такое
Основные патогенетические проявления заболевания связаны с дефицитом обмена витаминов. Продукты метаболизма этилового спирта повреждают витамин B1, который необходим оптимальной работоспособности нервной, сердечнососудистой систем. Усугубляется состояние повреждением органов пищеварительной сферы.
Недостаток витаминов группы B приводит к нарушению усвоения глюкозы клетками. Сниженный энергетический баланс приводит к нарушению функционирования внутриклеточных органелл - митохондрии, лизосомальные структуры.
Дефицит витаминов P и B6 нарушает клеточное деление, повреждает механизм обмена генетической информацией во время митоза. Процесс снижает восстановительные способности тканей после повреждения.
Самый чувствительный орган к недостатку глюкозы - головной мозг. Гипоксия приводит к необратимой гибели нейронов. Механизм обеспечивает формирование психоза у людей с алкогольной зависимостью.
Классификация алкогольной энцефалопатии по МКБ 10
Эксперты ВОЗ разработали рациональное разделение нозологических форм. Ранее заболевание имело код G93 -«другие повреждения головного мозга». Пересмотр МКБ 10 привел к созданию новой кодировки - «G31» -- «дегенеративные болезни нервной системы». Последующий анализ привел к уточнению патологии - «G31.2» с уточнением «дегенерация на фоне алкоголя», которая включает несколько форм:
- Мозжечковая;
- Церебральная дегенерация;
- Расстройство вегетативной нервной системы.
Каждый вид имеет собственные проявления.
Причины возникновения алкогольного поражения мозга
Этиология обменных мозговых нарушений при хроническом злоупотреблении алкоголем:
- Недостаток поступления к нейронам минеральных веществ;
- Гиповитаминоз витаминов группы B;
- Токсическое повреждение нейронов;
- Повреждение гипоталамической области;
- Сниженное поступление кислорода (гипоксия);
- Прямое влияние метаболитов этилового спирта на мозговую паренхиму.
Сочетание изменений обеспечивает множественные повреждения со стороны разных анатомических структур - артерии, оболочки, паренхима.
Виды этиловой энцефалопатии
Токсическое повреждение мозга этиловым спиртом
Отравление при злоупотреблении спиртом имеет хроническое и острое течение. Первая форма опасна быстрым развитием, летальным исходом. После короткого продромального этапа продолжительностью две-три недели нарастает гипоксия тканей, формируются множественные повреждения артерий. Осложняет течение патологии присутствие вторичных заболеваний - гипертоническая болезнь, сердечнососудистые расстройства. Без качественного лечения развиваются тяжелые последствия.
Хронический вид прогрессирует много лет. Нарастание комплекса необратимых изменений длительное. Метаболиты этилового спирта постепенно разрушают ствол мозга, полушария мозга, периферические нервные волокна. Структура не восстанавливаются, поэтому появляется очаговая неврологическая симптоматика.
Установить диагноз токсического поражения можно только после полноценного обследования:
- Наличие анамнеза алкогольной зависимости;
- Электроэнцефалография;
- МРТ и КТ головного мозга.
Обязательно выявить концентрацию токсинов крови.
Особенности корсаковского психоза (синдрома)
Статистика показывает преимущественное возникновение нозологии у женщин. У сильной половины человечества патология развивается реже.
Симптомы корсаковского синдрома (полиневропатия, алкогольный паралич):
- Провалы памяти заполняются выдуманными событиями (конфабуляции);
- Ретроградная амнезия сопровождается забывчивость прошлых дней;
- Дезориентация в пространстве - пациент забывает дорогу домой, путает место нахождения помещения, в котором живет;
- Периферическая полинейропатия проявляется снижением чувствительности конечностей, формированием патологических сухожильных рефлексов.
Интеллектуальная сфера не страдает. Женщины сохраняют способность к рациональному мышлению, но реакции замедленны.
Клиника острой энцефалопатии Гайе-Вернике
Быстрое развитие (несколько недель) нозологии обеспечивает угрозу здоровью и жизни. Возникает много психических, нервных, соматических расстройств:
- Нарушение речи;
- Паника, тревожность, различные виды страхов;
- Апатия, нежелание выполнять привычную работу;
- Жжение, онемение кожных покровов;
- Сильные сердечные боли;
- Ночные кошмары;
- Паника и тревога;
- Кома или сопор.
Острый вид Гайре-Вернике сопровождается нарушением функциональности внутренних органов из-за сопутствующей полиневропатии. При алкогольной зависимости у мужчин может возникнуть гепатит (воспаление печение), панкреатит (воспалительный процесс поджелудочной железы).
Клиника алкогольного псевдопаралича
Разновидность встречается преимущественно у мужчин после 45 лет. Начальные симптомы - маниакально-бредовый синдром. Значительное ухудшение памяти становится причиной невозможности выполнения сложной работы. Последовательно присоединяется неврологическая симптоматика:
- Нарушение координации ходьбы;
- Мышечные подергивания;
- Слабость мимической мускулатуры;
- Расстройства сухожильных рефлексов.
Псевдопаралич имеет благоприятный прогноз, так как симптомы постепенно исчезают на фоне проводимого лечения.
Диагностика алкогольной энцефалопатии
Выявляется заболевание по специфической симптоматике, наличие в анамнезе отравления или длительного злоупотребления этиловым спиртом.
Способы нейровизуализации (МРТ и компьютерная томография с контрастом) визуализируют многочисленные изменения паренхимы, сосудов головного мозга.
Читайте также:
- Симптомы заболеваний хрусталика и стекловидного тела глаза
- Что мешает женскому счастью? Меняем ложные установки
- Митохондриальный синдром при ДКМП. Аритмогенная дисплазия правого желудочка
- Инструменты для разъединения мягких тканей в хирургии. Скальпель. Хирургические ножи.
- Учет в экспериментах на животных. Моделирование в экспериментах на животных
