Диагностика аномалии развития гипофиза по КТ, МРТ
Добавил пользователь Владимир З. Обновлено: 11.12.2025
Хотя этот орган невелик, но его значение для организма крайне важно. Гипофиз называют регулятором жизнедеятельности и гарантом хорошего состояния здоровья. О том, в каких случаях и как проводится МРТ-исследование гипофиза, нам рассказал врач-рентгенолог «МРТ Эксперт» Новосибирск Евгений Николаевич Кликич.
- Евгений Николаевич, что это за орган - гипофиз? Какую роль он выполняет в организме?
- Гипофиз (иначе питуитарная железа) - маленькая структура, расположенная в основании черепа, которую по праву нарекли «покровителем гормонов». Будучи размером с небольшую фасолину, этот орган вырабатывает более десяти гормонов, влияющих на рост человека, функционирование щитовидной железы, надпочечников, желез репродуктивной системы. То есть гипофиз контролирует и руководит деятельностью этих эндокринных органов, поддерживая гормональный баланс в организме.
- Когда требуется проведение магнитно-резонансной томографии гипофиза?
- В подавляющем большинстве случаев на это исследование к нам направляют пациентов врачи-эндокринологи. Зачем они назначают МРТ гипофиза? Чаще всего с целью исключения микро- и макроаденом гипофиза - одной из частых патологий органа. Также данный вид исследования рекомендован при гипофизитах - воспалительных изменениях в ткани гипофиза.
Прицельная МРТ гипофиза может понадобиться после обнаружения патологических изменений в его структуре, либо в области его расположения, после проведённого МРТ головного мозга. Эта информация будет полезна неврологам и нейрохирургам. Иногда пройти этот вид обследования рекомендуют пациентам врачи-офтальмологи при расстройствах зрительной функции. Это связано с особенностью расположения гипофиза и возможностью сдавления им зрительных нервов вследствие патологических изменений, с последующим нарушением зрения.
- Что показывает МРТ гипофиза? Какие изменения органа можно увидеть на МРТ-снимке?
- Хорошо визуализируются опухолевые образования - макро- и микроаденомы, кисты, воспалительные изменения в органе, аномалии его развития, краниофарингиомы, метастазы опухолей.
- С какой целью проводят МРТ-исследование гипофиза с контрастированием?
- Практика показывает, что проведение МРТ этого органа без применения контраста малоинформативно. Мы обычно проводим МРТ-диагностику гипофиза с динамическим контрастированием. Особенность данного исследования в том, что специалист вводит контрастное вещество в вену и параллельно осуществляет серию снимков в разных фазах контрастирования. Это позволяет определить расположение и размеры микроаденом и других опухолей гипофиза, выявить их связь с окружающими тканями, а также оценить интенсивность кровотока в исследуемой области.
МРТ гипофиза с контрастом рекомендовано также пациентам перед нейрохирургическим вмешательством по поводу удаления опухолей в данном отделе головного мозга.
Подробнее об МРТ-исследованиях с контрастным веществом читайте в нашей статье
- В чём заключается подготовка к МРТ гипофиза?
- Специфической подготовки нет. Однако, как и перед любым магнитно-резонансным исследованием, следует снять с себя все металлические аксессуары. Пациенты должны информировать врача об имеющейся аллергии, чтобы исключить возможность развития аллергической реакции на вводимый препарат.
- Существуют ли противопоказания к МРТ гипофиза?
- Да. Среди них наличие в теле пациента ферромагнитных имплантов, электронных устройств (например, кардиостимулятора), искусственных сердечных клапанов. Беременным МРТ гипофиза назначают в исключительных случаях, а в первом триместре такая процедура не проводится вовсе. Исследование с контрастированием также не выполняется пациентам с хронической почечной недостаточностью 3-4 степени.
Читайте материал по теме: Можно и нельзя в МРТ
- Как проводится МРТ гипофиза?
- Человек ложится на стол томографа, на спину. Для обеспечения максимальной неподвижности голова фиксируется специальным креплением. Затем проводится сканирование. Продолжительность исследования составляет 30 - 40 минут.
- В чём преимущество магнитно-резонансной томографии для диагностики патологических процессов гипофиза по сравнению с другими методами исследования?
- Магнитно-резонансная диагностика считается «золотым стандартом» в исследовании гипофиза.
Касательно вопроса, что лучше - рентген-диагностика, КТ или МРТ гипофиза, могу сказать, что магнитно-резонансная томография отличается большей безопасностью (нет ионизирующего излучения) и высокой информативностью. На КТ-снимках небольшие микроаденомы легко спутать с тканью самой железы, тогда как на МРТ визуализируются очень чётко самые мелкие новообразования. Изменения гипофизарной ямки на рентгеновском снимке различимы только при крупных новообразованиях гипофиза, поэтому данный метод исследования мало пригоден для раннего выявления патологических изменений.
О компьютерной томографии подробнее читайте здесь
Хотелось бы отметить, что часто к нам направляют пациентов на МРТ головного мозга, подразумевая, что на снимках можно будет увидеть и детально оценить патологии гипофиза, как части мозга. Это ошибочное мнение, так как эти два исследования существенно отличаются. При проведении сканирования головного мозга осуществляются снимки срезов толщиной в 5 мм, а при прицельном исследовании гипофиза мы получаем срезы через каждые 2-3 мм. Такая детализация позволяет разглядеть мельчайшие изменения в органе.
Беседовала Севиля Ибраимова
Для справки:
Кликич Евгений Николаевич
В 2015 году окончил медико-биологический факультет Сибирского государственного медицинского университета.
С 2015 по 2016 год проходил интернатуру в этом же ВУЗе по специальности «Рентгенология».
Врач-рентгенолог в «МРТ Эксперт» Новосибирск. Принимает по адресу: ул. Якушева д.41, к2
МРТ гипофиза что показывает
Магнитно-резонансная томография или МРТ гипофиза - современный, безопасный, безболезненный и высокоинформативный метод исследования мягкотканных структур головного мозга, который с высокой точностью показывает малейшие отклонения от нормы в их строении, особенностях кровоснабжения. Когда исследование завершено, его результат оформлен в виде снимков послойных срезов головного мозга. Эти фото позволяют специалисту точно разобраться, что показывает МРТ гипофиза и дать подробное заключение.
МРТ гипофиза, что показывает: показания, противопоказания, расшифровка МРТ гипофиза
МРТ гипофиза позволяет обнаружить патологические изменения на самых ранних этапах, начиная от аномалий развития, сосудистых нарушений, воспалительных процессов и заканчивая опухолями разной природы.
Дата загрузки: 2019-01-21
Видео — МРТ гипофиза, что показывает
Поскольку гипофиз имеет очень маленькие размеры и расположен в глубине головы, досконально изучить его структуру можно только с помощью МРТ. Ни один другой из существующих методов не способен дать настолько четкие фото и данные о состоянии гипофиза. Расшифровка результатов выполняется рентгенологом.
С помощью снимков МРТ гипофиза можно создать его трехмерное изображение с высокой степенью детализации. Это позволяет обнаружить патологические изменения на самых ранних этапах, начиная от аномалий развития, сосудистых нарушений, воспалительных процессов и заканчивая опухолями разной природы.
МРТ гипофиза выполняется с контрастом или без. Максимум информации предоставляет диагностика, проведенная с введением контрастного вещества на основе гадолиния. Это повышает четкость получаемых фото, а по особенностям его распределения в тканях можно с высокой точностью не только обнаружить доброкачественные и злокачественные опухоли, но и исследовать их локализацию, структуру, определить границы и заметить метастазы.
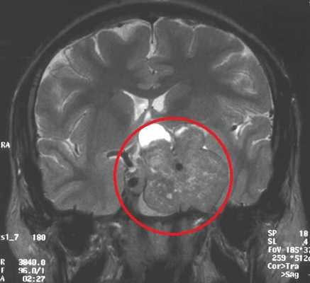
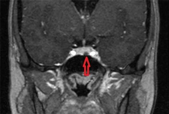
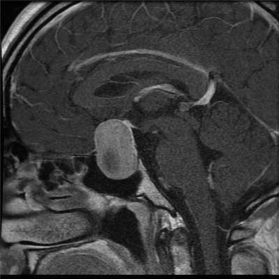
Чаще всего исследование проводится для диагностирования аденомы гипофиза и определения ее величины: микроаденомы (до 10 мм), макроаденомы (10—30 мм) и гигантской аденомы (более 30 мм). Также с его помощью обнаруживаются неоднородности структуры, асимметрия границ, изменения положения воронки гипофиза и ее структуры, а также деформации окружающих костных тканей.

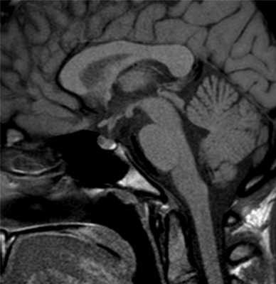
МРТ гипофиза. На МР-томограмме определяется гигантское образование неоднородной структуры (обведено) — макроаденома гипофиза.
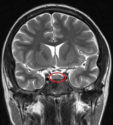
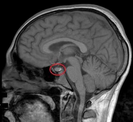
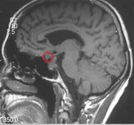
Норма размер гипофиза на МРТ снимке
Нормальное МРТ гипофиза показывает отсутствие отклонений в его величине и структуре. Нормальными показателями для взрослого человека средней комплекции считаются:
- ширина - 6—8 мм;
- длина - 5—13 мм;
- высота - 3—5 мм.
В период физиологических гормональных колебаний (во время беременности или в пубертатном возрасте) эти показатели могут незначительно колебаться, что не является признаком патологии. Но если любой из этих параметром превышает 10 мм, это является признаком микроаденомы. Особое внимание при магнитно-резонансной томографии области турецкого седла уделяется показателям высоты гипофиза, поскольку другие изменяются значительно реже.
В норме воронка гипофиза должна располагаться на срединной линии, а сама железа - иметь однородную структуру и близкую к прямоугольной форму. Его нижний край должен напоминать изгиб турецкого седла, а верхний может быть выпуклым, прямым или вогнутым. На фронтальной проекции его части должны быть симметричны, но легкие отклонения не считаются патологией.

МРТ гипофиза в норме
Что такое и где находится гипофиз?
Гипофиз - центральный орган эндокринной системы, представляющий собой соединенную с головным мозгом округлую железу крошечных размеров (14—15 мм). Он расположен в костном кармане черепа, называемом турецким седлом.
Гипофиз имеет 2 основные доли: переднюю и заднюю. Передняя доля называется еще аденогипофизом и отвечает за продукцию:
- тиреотропного гормона (ТТГ);
- адренокортикотропного (АКТГ);
- фолликулостимулирующего (ФСГ);
- лютеинизирующего (ЛГ);
- соматотропного гормона (СТГ);
- пролактина (лютеотропного).
Задняя доля или нейрогипофиз в основном ответственна за накопление и поступление в кровь синтезированных гипоталамусом гормонов вазопрессина (АДГ) и окситоцина. Задняя и передняя доля гипофиза разделены тонким слоем клеток, синтезирующим меланоцитостимулирующие гормоны. Он называется промежуточной долей гипофиза.
Нарушения в работе этого органа приводят к возникновению серьезных гормонозависимых заболеваний, вызывая отклонения от нормы в росте, расстройства обмена веществ и нарушения репродуктивной функции. При патологиях задней доли могут наблюдаться изменения артериального давления, отклонения в работе сердца, дыхательной и выделительной системы. Поэтому изменениям гипофиза на МРТ уделяют особое внимание.
Показания и противопоказания к МРТ гипофиза
МРТ гипофиза с контрастом или без рекомендуется проводить при возникновении:
- частых головных болей;
- нарушений зрения, выпадений полей;
- признаков отставания в росте или, наоборот гигантизма;
- резкого беспричинного похудения;
- нарушений менструального цикла у женщин на фоне отсутствия инфекционно-воспалительных и других гинекологических заболеваний;
- бесплодия;
- нарушений обмена веществ;
- постоянной жажды, сопровождающейся обильным выведением мочи;
- эректильной дисфункции у мужчин, импотенции;
- резком ухудшении состояния кожи, волос;
- повышенной потливости;
- обнаружении изменений в показателях уровня гормонов в крови;
- повышенной утомляемости;
- колебаний артериального давления.


МРТ гипофиза (обведено) без контраста и с с контрастом. В норме гипофиз равномерно накапливает контрастное вещество — становится светлым.
Исследование в таких ситуациях назначает врач или пациент может самостоятельно записаться на диагностику. Но даже при наличии показаний к проведению МРТ головного мозга процедура может быть выполнена не всегда. Она противопоказана при наличии:
- встроенного кардиостимулятора или других имплантатов, сделанных из намагничивающихся материалов;
- металлических инородных тел в организме;
- крупных татуировок, сделанных с помощью красок с металлическими включениями.
Использование контрастного вещества недопустимо при аллергии на его компоненты, а также при беременности и почечной недостаточности. С соблюдением мер осторожности МРТ гипофиза с контрастом или без может проводиться при:
- эпилепсии;
- тяжелых состояниях, требующих постоянного контроля над жизненно важными показателями;
- психических расстройствах;
- сложностях с длительным сохранением неподвижного положения тела.
Но процедура не может быть проведена, если вес пациента превышает 120—200 кг, что обусловлено техническими возможностями конкретного томографа.
Особенности выполнения МРТ гипофиза с контрастом
МРТ гипофиза с контрастом или без не требует специальной подготовки. Но на исследование стоит приходить в одежде, на которой полностью отсутствуют любые металлические детали, включая пуговицы, косточки в бюстгальтере и т. д. Поскольку чаще всего рекомендуется делать МРТ с контрастом (при условии отсутствия противопоказаний), за час до него следует отказаться от употребления пищи.

МРТ гипофиза с контрастом. После введения контрастного вещества в гипофизе происходит его накопления и он выглядит светлым. Только участок опухоли не накапливает контрастное вещество и выглятит темным (стрелка).
С собой следует взять:
- паспорт или свидетельство о рождении при выполнении обследования ребенку;
- направление от врача, в котором будет указана цель, зачем было назначено МРТ (не обязательно);
- результаты предыдущих исследований (при наличии).
Непосредственно перед процедурой пациент снимает все металлические украшения и другие предметы, оставляет мобильный телефон и направляется при необходимости в манипуляционный кабинет для установки внутривенного катетера. После этого его направляют в помещение где стоит томограф (процедурная МРТ).
Человек ложится на спину на специальную кушетку (выдвижной стол) аппарата, его тело и голова фиксируются мягкими лентами. Зачем это делается, объясняется необходимостью сохранять абсолютную неподвижность во время исследования. Так как во время работы томографа создается ритмичный шум, больному предлагают надеть наушники или использовать беруши. Также ему в руку дают “грушу”, позволяющей подать сигнал, если в ходе процедуры он почувствует себя плохо.
Если требуется провести магнитно-резонансную томографию человеку, страдающему клаустрофобией или испытывающему сильные переживания, предварительно ему дают седативное средство. В особенно сложных случаях, а также при обследовании детей используют седацию или общий наркоз.
После окончания всех приготовлений стол задвигается внутрь тоннеля МР-аппарата, медперсонал покидает помещение и включает томограф в режим сбора данных. Процедура длится 20—60 минут.
Когда обследование закончено, кушетка выезжает из томографа, пациента освобождают от фиксаторов и помогают подняться. Обычно после процедуры сохраняется нормальное самочувствие, но иногда может присутствовать незначительное головокружение, головная боль или тошнота. Эти ощущения связаны с действием контрастного вещества и проходят самостоятельно.
Когда назначают МРТ гипофиза
Существуют четкие показания, зачем назначают МРТ гипофиза. Чаще всего исследование делают с целью обнаружения опухолей, оценки их размеров, происхождения и степени опасности для жизни человека. Также МРТ делают, когда клиническая картина и результаты других исследований показывают нарушения уровня гормонов вырабатываемых гипофизом.
Поэтому прицельное сканирование области турецкого седла назначают для диагностики:
- аденомы гипофиза, представляющей собой доброкачественное новообразование, формирующееся из клеток железистого эпителия и способное сдавливать окружающие ткани (приводит к серьезным отклонениям от нормы в работе гипофиза);
- кист;
- злокачественных опухолей и их метастаз;
- несахарного диабета;
- синдрома Иценко-Кушинга;
- первично или вторично пустого турецкого седла;
- гиперпролактинемического гипогонадизма.
Процедуру назначают также, когда у пациента диагностированы нарушения работы эндокринных желез, и они не поддаются лечению в течение длительного периода времени. Еще одним показанием к тому, зачем проводят МРТ гипофиза, являются травмы головы, после которых возникли любые из описанных выше нарушений. Это позволит обнаружить гематомы, оказывающие механическое давление на орган. Исследование проводится также в рамках подготовки к нейрохирургическому вмешательству и для оценки его эффективности.


МРТ гипофиза до и после операции по удалению макроаденомы гипофиза
Расшифровка МРТ гипофиза
Расшифровка снимков занимает от 30 до 90 минут. В это время рентгенолог сравнивает полученные показатели с нормальными, что позволяет обнаружить патологические изменения любого характера.
В выдаваемом специалистом заключении обязательно указывается локализация, форма и измеренные на МРТ размеры гипофиза. Радиолог описывает структуру железы, расположение воронки, толщину задней стенки турецкого седла, а также особенности окружающих тканей и кровеносных сосудов. Если в ходе МРТ обнаружена патология гипофиза или опухоль, врач внесет подробные данные о ее локализации, предполагаемой природе, величине и структуре в протокол.
Пациент может дождаться расшифровки результата и получить заключение на руки вместе со снимками или цифровым носителем или же они могут быть направлены сразу же лечащему врачу. Окончательный диагноз ставится доктором на основании обнаруженных при магнитно-резонансной томографии патологических изменений с учетом других данных и клинической картины.

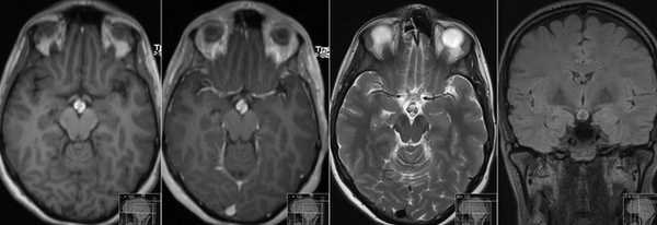
МРТ гипофиза при краниофарингиоме: сканы в разных проекциях
Магнитно-резонансная томография - один из высокоинформативных способов инструментальной диагностики. Исследование показывает мельчайшие изменения в структуре органов, предположительный характер патологии, взаимоотношение с близлежащими структурами. Скульптурирование многоплоскостных изображений во время МР-сканирования подразумевает использование принципа ядерно-магнитного резонанса, но не рентгеновских лучей. Атомы водорода в клетках воды, попав в поле, генерируемое аппаратом, начинают перестраиваться, при обретении привычного положения выделяется определенное количество энергии, которое фиксируют датчики, а обрабатывает компьютерная программа. Какого-либо вредоносного воздействия на организм во время диагностической процедуры нет, при условии отсутствия в теле металлических составляющих. Врач получает возможность рассматривать патологический очаг в любой плоскости, что невозможно при обычной рентгенографии или КТ.

Анатомия гипофиза
Гипофиз - придаток головного мозга весом менее половины грамма, расположенный в особом углублении - ямке турецкого седла клиновидной кости черепа. Состоит из трех долей - передней (аденогипофиза), промежуточной и задней (нейрогипофиза). Гормоны, вырабатываемые питуитарной железой, влияют на рост человека, обмен веществ, гомеостаз, репродуктивную функцию и пр. Сделать МРТ содержимого турецкого седла обосновано при появлении жалоб, свидетельствующих о поражении нижнего мозгового придатка, изменениях в гормональном профиле. При новообразованиях небольшого размера для более четкой визуализации исследование всегда проводят с контрастированием.
Что показывает МРТ гипофиза:
- доброкачественные и злокачественные новообразования, в том числе микро- и макроаденомы;
- кисты;
- аномалии питуитарной железы и гипоталамуса, сочетание их с дефектами прочих срединных структур;
- пустое турецкое седло (уменьшение в размерах железы на фоне климакса, некротизации, разрыва неопухолевой кисты, хирургического вмешательства).
Какой врач назначает МРТ гипофиза?

На МРТ гипофиза чаще направление выдает эндокринолог
Можно значительно повысить качество получаемых изображений гипофиза при проведении МРТ, если выполнить контрастирование, то есть ввести в кровеносное русло специальное контрастное вещество. При этом информативность проводимой томографии возрастает, позволяя уточнить локализацию, размер образования, его связь с окружающими структурами и интенсивность кровообращения. МРТ гипофиза с контрастированием практически всегда выполняют перед оперативным вмешательством по удалению аденомы или другой опухоли данной области мозга.
МРТ питуитарной железы может назначить любой специалист: эндокринолог, онколог, невролог, нейрохирург, терапевт, гинеколог, андролог. Так как исследование абсолютно безопасно, МР-сканирование головного мозга сделают и при самостоятельном обращении. Чтобы пройти МРТ гипофиза бесплатно, необходимо направление от консилиума врачей или онколога, подозревающего злокачественное новообразование. Обратиться можно в четко указанную клинику, с которой у медучреждения заключен договор.
Состояния, при которых обосновано провести углубленную диагностику состояния гипофиза:
- головные боли рецидивирующего характера, необъяснимые с помощью прочих способов исследования (могут сочетаться с кратковременными потерями сознания), парестезии на лице;
- прогрессирующее ухудшение зрения (сужение или выпадение полей диплопия, слепота, косоглазие);
- сбой/отсутствие менструального цикла, бесплодие, галакторея вне лактации, задержка полового развития;
- гинекомастия, снижение потенции и либидо у мужчин, сексуальная дисфункция при исключении сосудистых, неврологических и психоэмоциональных причин, изменения в спермограмме, свидетельствующие об инфертильности;
- отклонение от нормальных показателей уровней гормонов в крови, вырабатываемых питуитарной железой: пролактина, тиреотропина, соматотропина, ЛГ и ФСГ, АКТГ, окситоцина, вазопрессина, меланоцитотропина (актуально для гормонопродуцирующих опухолей);
- гигантизм с равномерным развитием скелета, хрящей, тканей, органов у детей или акромегалия у взрослых пациентов с завершившимся половым созреванием (укрупнение верхней челюсти, появление межзубных промежутков, диспропорции за счет укрупнения дистальных отделов конечностей, башенный череп и пр.);
- карликовость;
- избыточный вес с преимущественным распределением жира в области лица, шеи, плечевого пояса с одновременной атрофией мышц рук и ног, появление красно-фиолетовых растяжек-стрий на коже в области бедер, предплечий, образование кровоподтеков при незначительном нажатии, пигментация эпидермиса в местах трения, гирсутизм у женщин и пр.;
- плаксивость, бессонница, тахикардия, похудание, экзофтальм, сухость кожных покровов, выпадение/ломкость волос и ногтей;
- полиурия (выработка неконцентрированной мочи до 5 и более литров в сутки), жажда, частое мочеизнурение и др.
Основные нозологии, при которых МРТ гипофиза проводят в качестве подтверждения и определения дальнейшей тактики ведения:
- акромегалия, гигантизм;
- болезнь Иценко - Кушинга;
- несахарный диабет;
- синдром Шихана;
- карликовость;
- гипер- и гипотиреоз;
- гипогонадизм гипофизарного генеза;
- гиперпролактинемия.
Информативно ли МРТ гипофиза без контраста?

МРТ гипофиза с контрастом и без: А- гипофиз нормальных размеров (обведено кругом), В - симметричные кальцификации (стрелки)
Вопрос что лучше сделать: “МРТ гипофиза с контрастом или без?” - должен решить врач. Последний порекомендует приемлемые для получения качественных изображений характеристики аппарата: сканы, сделанные с помощью низкопольных аппаратах с открытым контуром малоинформативны. Оптимально пройти обследование на томографе с мощностью от 1,5 Тесла.
Учитывая размер гипофиза (с горошину), МРТ преимущественно выполняют с введением контрастного вещества. В качестве красителя используют растворимые соли (хелаты) гадолиния, которые не представляют опасности для организма и при накоплении тканями обеспечивают лучшую визуализацию. Побочные эффекты встречаются менее, чем у 1% людей. Контрастирование ограничивают:
- значимая аллергическая реакция (по типу отека Квинке) на гадолиний в анамнезе;
- беременность независимо от срока;
- продвинутая форма почечной недостаточности, подразумевающая проведение заместительной очистительной терапии.
МРТ гипофиза с контрастом в детском возрасте до 12 лет проводят в стенах больницы. Усиленную магнитно-резонансную томографию назначают в рамках предоперационной оценки перед удалением опухоли (в том числе аденомы) или кисты мозгового придатка, для определения характера изменений тканей после вмешательства (позволяет дифференцировать сформировавшийся рубец от рецидива новообразования) и пр. В качестве дополнительного способа проводят еще и КТ, которая лучше демонстрирует изменения, исходящие из костных структур и показывает патологии турецкого седла, кровоизлияния в питуитарную железу. МРТ гипофиза без контраста малоинформативна.
Подготовка к МРТ гипофиза

Для получения качественных снимков во время процедуры МРТ гипофиза следует лежать неподвижно
С собой в клинику необходимо взять результаты предыдущих исследований, выписки из стационара, касающихся заболевания, направление, паспорт, деньги. МРТ гипофиза не подразумевает каких-либо подготовительных мероприятий и может быть выполнена в момент обращения. Есть ряд нюансов:
- Перед процедурой МРТ следует сдать на хранение все изделия, содержащие металл - ключи, банковские карты, монеты, часы и пр. Одежда предпочтительнее свободного кроя, без молний.
- До начала диагностики пациент заполняет анкету, где указывает присутствие функционирующих кардиостимулятора, инъектора для подачи лекарств, нейростимулятора, наличие скоб и клипс, установленных на сосуды, шрапнели, стружки в теле и прочих предметов, являющихся противопоказаниями к магнитно-резонансной томографии. Женщине следует оповестить врача о беременности раннего срока - МРТ гипофиза считают безопасной для плода, начиная со второго триместра.
- Если планируется выполнение контрастирования в период лактации, необходимо заранее сделать запас молока на несколько последующих кормлений (16-20 часов), излишки сцеживают и утилизируют.
- У некоторых пациентов на введение препарата на основе гадолиния развиваются реакции со стороны вегетативной нервной системы - тошнота, металлический или соленый привкус во рту, головокружение. Вероятность их появления меньше, если за 40 минут до исследования неплотно перекусить, например, выпить сладкий чай с печеньем.
- МРТ гипофиза детям до 5 лет, неспособным выполнять требования медперсонала, пациентам с психическими заболеваниями и клаустрофобией проводят в госпитальных условиях под седацией.
- Длительность диагностической процедуры - около 35-45 минут, для избежания появления размытостей на сканах следует лежать максимально неподвижно. Препятствий к повседневной деятельности, вождению автомобиля после МРТ нет.
Опухоль гипофиза на МРТ

Аденома гипофиза на МРТ
Наиболее часто на томограммах обнаруживают аденому гипофиза - доброкачественное новообразование, исходящее из передней доли. Опухоли могут произрастать из любого отдела питуитарной железы, что вызывает многообразие клинических проявлений. Аденома гипофиза локализуется в области турецкого седла, при значительном росте возможно распространение на костные пазухи, желудочки головного мозга, базальную поверхность больших полушарий. Вышеописанные структуры врач может рассматривать в виде многоплоскостных объемных изображений, состоящих из множества срезов, что позволяет уточнить:
- размеры и границы опухоли;
- ее взаимосвязь с окружающими структурами - супраселлярной и мозговой цистернами, перекрестом зрительных нервов, пазухой основной кости, спинкой и бугорком седла, кавернозными синусами и пр.;
- предположительный характер (доброкачественный или злокачественный, первичный или метастатический, окончательная верификация доступна после морфологического исследования). Анализируют постконтрастные снимки, интенсивность накопления красителя (аденомы в подавляющем большинстве задерживают препарат медленнее, чем ткани гипофиза, для злокачественных опухолей характерен усиленный ангиогенез). Дифференциацию проводят с краниофарингиомой, кистой кармана Ратке и арахноидальной жидкостной полостью, имеющих схожие признаки на МР-сканах.
Специалист делает вывод о наличии новообразования гипофиза при обнаружении деформации дна одноименной ямки, асимметрии самой железы, неоднородности ее структуры, смещении воронки от срединной линии.
Нормальные размеры гипофиза на МРТ
Нормальные размеры, масса и объем гипофиза на МРТ коррелируют с полом, возрастом. У беременных допускается увеличение питуитарной железы, но после родоразрешения в течение 6 месяцев параметры возвращаются к среднестатистическим.
Микроаденома гипофиза на МРТ

Магнитно-резонансная томография является одним из наиболее эффективных методов диагностики заболеваний центральной нервной системы (ЦНС). Изучение интракраниальных (внутричерепных) структур происходит при помощи безопасного индукционного поля, без ионизирующей лучевой нагрузки и инвазивных манипуляций.

Гипофиз на снимке МРТ
Электромагнитный импульс вызывает смещение атомов водорода в диполях воды. Колебания заряженных частиц регистрируют при помощи чувствительных детекторов, затем информацию обрабатывают и преобразуют в серию фотографий тонких срезов исследуемого участка. Послойные снимки транслируют на монитор компьютера для детального изучения врачом-рентгенологом.
При подозрении на наличие новообразования гипофиза применяют специальный режим сканирования, предусматривающий регулирование толщины сканируемых срезов от 1 мм, небольшое поле зрения, использование контрастного препарата. Благодаря тонкой настройке оборудования и болюсному усилению, микроаденома гипофиза на МРТ определяется на раннем этапе развития. Магнитно-резонансная томография позволяет увидеть образование размером от 3 мм.
Признаки микроаденомы гипофиза
Клиническую картину новообразований турецкого седла определяют размеры, тип и локализация опухоли. Секретирующие микроаденомы вызывают характерную симптоматику в зависимости от продуцируемого гормона. Неврологические проявления и гипопитуитаризм (функциональная недостаточность гипофиза или гипоталамуса) встречаются редко, что обусловлено незначительными размерами очага (от 3 до 10 мм). Компрессия структур головного мозга характерна для макроаденом, достигших 30 мм в диаметре.

Признаки новообразования в области турецкого седла на снимке МРТ
Названия секретирующих опухолей соответствуют наименованию выделяемого гормона:
- пролактиномы - продуцируют секрет, стимулирующий выработку молока грудными железами;
- тиреотропиномы - вызывают болезнь Иценко-Кушинга и другие патологические состояния щитовидной железы;
- соматотропиномы - приводят к развитию гигантизма в детском возрасте, у взрослых становятся причиной акромегалии;
- гонадотропиномы - влияют на работу половой системы.
В случаях, когда наблюдается усиление секреции нескольких гормонов, говорят о смешанной аденоме.
Клиническая картина заболевания имеет ряд специфических симптомов, сигнализирующих о наличии эндокринных нарушений:
- изменение веса (ожирение или дистрофия) без видимых причин;
- эректильная дисфункция (у мужчин);
- бесплодие;
- снижение либидо, аноргазмия;
- гигантизм в детском возрасте;
- увеличение стоп, кистей рук, укрупнение черт лица (нос, подбородок, надбровные дуги);
- аменорея (нарушения цикла вплоть до отсутствия менструаций) у женщин;
- потливость, слабость, нервное возбуждение и пр.
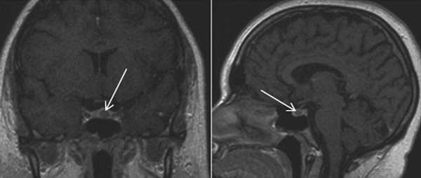
- киста кармана Ратке;
- краниофарингиома;
- арахноидальная киста.
Своевременное определение заболевания способствует выбору оптимального метода лечения. Применяют лучевую и лекарственную терапию, в некоторых случаях необходимо хирургической вмешательство.
Аденома гипофиза, как выглядит на фото-снимке МРТ?
Магнитно-резонансная томография обеспечивает сканирование области турецкого седла в трех взаимно перпендикулярных проекциях. Послойные монохромные снимки детализируют состояние анатомических структур зоны интереса, показывая малейшие изменения формы, размера, строения рассматриваемого объекта.

Микроаденома гипофиза (указана стрелкой) на снимке МРТ
На основании полученных изображений врач может реконструировать 3D-модель, позволяющую определить расположение сканируемых образований, взаимодействие здоровых и пораженных тканей.
Микроаденома гипофиза на снимках МРТ имеет ряд характерных признаков:
- неоднородная структура;
- округлая форма;
- очаг имеет гипоинтенсивный сигнал на Т1-взвешенных изображениях;
- выраженная граница, отделяющая образование от здоровых тканей;
- при наличии кровоизлияний и кист наблюдается усиление сигнала на Т2-взвешенных изображениях.
Томограммы позволяют уточнить размеры и расположение очага. При локализации опухоли в турецком седле говорят о эндоселлярной аденоме. Образования, выходящие за пределы костного кармана, называют эндоэкстраселлярными.
Для лучшей визуализации микроаденомы применяют динамическое контрастирование. Метод подразумевает использование короткого временного промежутка, когда велика разница сигналов между новообразованием и участками с нормальной структурой. На снимках МРТ с динамическим усилением аденома гипофиза в первой фазе исследования выглядит как гипоинтенсивный очаг на фоне умеренно контрастирующих здоровых тканей железы.
Заключение МРТ аденома гипофиза
Сеанс магнитно-резонансной томографии занимает от 15 (нативная процедура) до 30 (при использовании контрастного усиления) минут. Полученные изображения записывают на CD-диск и отдают пациенту вместе с расшифровкой и заключением врача-рентгенолога. Время ожидания результатов исследования составляет около 20 минут, при подготовке «Второго мнения» - до 2 часов. Анализ фотографий двумя специалистами позволяет исключить возможность врачебной ошибки.
Протокол МРТ содержит следующие данные:
- расположение, размеры, форма железы;
- особенности строения передней и задней долей гипофиза;
- наличие посторонних включений, образований;
- локализация, размеры опухоли;
- структура образования (наличие четкого контура, включений);
- взаимодействие аденомы с окружающими тканями;
- состояние анатомических структур турецкого седла.
Врач описывает особенности кровоснабжения изучаемого участка, последствия компрессии структур головного мозга тканями новообразования. В заключении указывают признаки аденомы при различных режимах сканирования (Т1, Т2, МРТ с динамическим контрастированием).

Результаты МР-сканирования на аппарате мощностью 1,5 Тл
Что показывает МРТ аденомы гипофиза

МРТ аденомы гипофиза является информативным способом дифференциальной диагностики новообразований в области железы. Исследование основано на свойствах магнитного поля и проводится с помощью сложной аппаратуры, преобразующей полученную информацию в послойные фото сканируемой области.

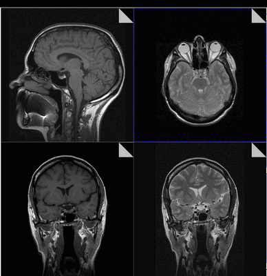
Снимок МРТ головного мозга в двух проекциях
Как выглядит аденома гипофиза на МРТ?
Гипофиз - небольшая железа, расположенная в ямке турецкого седла клиновидной кости. Ее размеры в норме не превышают 2 см. От полости черепа гипофиз ограничен диафрагмой седла, а участок задней доли железы соединяется с гипоталамусом.
Наружная оболочка анатомического образования представляет собой соединительнотканную капсулу, покрывающую переднюю и заднюю доли гипофиза. Основная часть - аденогипофиз - составляет 80% от веса железы. Задняя доля - нейрогипофиз - представлена воронкой и нервной частью.
Гипофиз вырабатывает гормоны, которые регулируют важные физиологические процессы в теле человека:
- соматотропин - отвечает за рост и развитие;
- тиреотропин - влияет на работу щитовидной железы;
- адренокортикотропный гормон - стимулирует деятельность коры надпочечников;
- пролактин - влияет на уровень прогестерона в яичниках (у женщин), усиливает лактацию;
- гонадотропные гормоны - регулируют функции половых желез у обоих полов;
- меланоцитотропин - участвует в распределении меланина;
- окситоцин - стимулирует гладкую мускулатуру матки, вызывая сокращение мышечных волокон;
- вазопрессин - регулирует водно-солевой баланс организма.
Патологические процессы, протекающие в тканях железы, влияют на гормональную регуляцию деятельности всего организма.
Аденома гипофиза встречается чаще других заболеваний, поражающих этот отдел головного мозга. Опухоль выявляют при проведении МРТ турецкого седла, этот метод диагностики является наиболее информативным и точным.
В процессе анализа снимков, полученных в результате магнитно-резонансной томографии, визуализируют структуру железы и окружающих тканей, прослеживается форма и размеры гипофиза. Малейшие изменения строения будут замечены врачами и позволят диагностировать аденому, независимо от ее размера.
О наличии новообразования в области турецкого седла сигнализируют следующие симптомы:
- деформация дна гипофизарной ямки;
- асимметрия железы;
- неоднородная структура гипофиза очагового характера;
- смещение воронки от срединной линии.
Опухоль гипофиза на снимке МРТ
Аденома может воздействовать на окружающие ткани, сдавливая нервные окончания и затрудняя диагностику заболеваний головного мозга. Новообразование располагается в области турецкого седла, но возможно прорастание опухоли в костные пазухи, желудочки головного мозга, базальную поверхность больших полушарий. На фото тонких срезов изучаемой зоны все эти патологические изменения хорошо видны. МРТ показывает границы и локализацию опухоли гипофиза, помогает классифицировать новообразование и назначить результативное лечение.
МРТ аденомы гипофиза с контрастом
Проведение магнитно-резонансной томографии аденомы гипофиза всегда требует введения контрастного вещества. Аппарат выявляет структурные изменения и позволяет заподозрить диагноз уже в процессе нативного обследования, но, при малых размерах опухоли и для дифференцирования с иными патологиями, требуется томография с применением специального раствора.
МРТ аденомы гипофиза с контрастом применяется при подозрении на развитие онкологического процесса. Дифференцировать доброкачественную опухоль от аденокарциномы поможет введение раствора солей гадолиния во время исследования.
Процедура не требует специальной подготовки и начинается с серии нативных снимков, на которых отчетливо видна локализация и размеры новообразования. После внутривенного введения контраста томограф покажет сеть кровеносных сосудов, питающих эту область. Благодаря визуализации характера кровоснабжения опухоли, выявляют особенности ее контура и структуры. Это позволяет исключить злокачественный процесс, который радикально отличается от доброкачественного образования.
Томография с контрастированием безопасна для человека, препарат гадолиния выводится почками в течение суток. Попадая в кровь, раствор повышает четкость изображения поврежденных участков при МРТ, позволяет определить степень развития патологии и выявить заболевание на ранних стадиях. Такой метод отличается высокой информативностью и позволяет оценить малейшие изменения состояния тканей железы.
При наличии опухоли, МРТ гипофиза проводят с контрастом, если нет противопоказаний к его использованию. Обследование не назначают в следующих случаях:
- сопутствующие заболевания крови;
- прием лекарственных средств на основе бета-блокаторов;
- аллергия на контрастное вещество (встречается крайне редко);
- тяжелые нарушения работы почек;
- беременность в I триместре без согласования с врачом;
- наличие металлических имплантов.
МРТ аденомы гипофиза с контрастом проводят с осторожностью при некоторых сердечно-сосудистых заболеваниях и психических отклонениях.
Микроаденомы на МРТ-снимках
Малый размер опухоли затрудняет ее диагностирование, такие процессы могут протекать бессимптомно. Но выявление новообразования на ранних стадиях повышает шансы на успешное лечение и благоприятный прогноз в дальнейшем.
Магнитно-резонансное обследование позволяет увидеть измененные участки и определить микроаденомы, чей размер не превышает 10 мм. Кистозная форма отличается наличием четких границ, при МРТ такие опухоли проявляются и имеют вид темного пятна на снимках.
Другие методы исследования в этом случае малоэффективны. Благодаря МРТ головного мозга, кистозную микроаденому дифференцируют от других процессов, имеющих похожие признаки:
- краниофарингиома;
- арханоидальная киста;
- кистозный процесс кармана Ратке.
Метод определяет заболевание и помогает предугадать последствия развития опухоли, которые зависят от локализации очага поражения.

Киста кармана Ратке на МРТ
Размеры и виды аденом гипофиза
Аденомы гипофиза классифицируют в зависимости от размера и местоположения, а также от изменения выработки определенных гипофизарных гормонов.
По величине различают:
- пикоаденомы - их размер не превышает 3 мм;
- микроаденомы - диаметром от 3 до 10 мм;
- макроаденомы - от 10 до 30 мм величиной, или опухоли, разросшиеся за пределы турецкого седла;
- гигантские аденомы - размером более 30 мм.
Небольшие образования часто протекают практически бессимптомно. При макроаденоме пациент может жаловаться на головную боль, нарушения зрения, головокружения, обмороки.
Если аденома не выходит за границы турецкого седла, ее называют эндоселлярной. Опухоли, разрастающиеся за пределами костного образования, именуют эндоэкстраселлярными.
В отношении выработки гормонов различают активные аденомы (влияют на синтез гипофизарных гормонов) и неактивные, чье развитие не сказывается на работе эндокринной системы организма. Активные образования подразделяют на виды в зависимости от гормона, образование которого они стимулируют:
- соматотропинома - увеличивает количество соматотропина, вызывает гигантизм у детей и акромегалию у взрослых;
- пролактинома - усиливает выработку пролактина и стимулирует образование молока в грудных железах;
- гонадотропинома - является причиной роста гонадотропных гормонов, что приводит к нарушениям со стороны работы органов половой системы;
- тиреотропинома - стимулирует синтез тиреотропина, провоцирует заболевания щитовидной железы,
- болезнь Иценко-Кушинга - при избыточной выработке АКТГ повышается уровень гормонов, синтезируемых корой надпочечников;
- смешанные аденомы - приводят к усилению выработки сразу нескольких гормонов.
В зависимости от вида и размера аденомы гипофиза, пациенты жалуются на специфические симптомы, наличие которых является показанием для МРТ головного мозга:
- слепота, косоглазие, диплопия, выпадение полей зрения;
- головные боли, головокружения;
- ожирение или дистрофия;
- снижение либидо, эректильная дисфункция;
- гинекомастия у мужчин и галакторея у обоих полов;
- бесплодие;
- гигантизм у детей и акромегалия у взрослых.
Характер симптомов зависит от вида опухоли гипофиза и от локализации процесса.
Фото томографии аденомы гипофиза
Опухоль гипофиза на МРТ выглядит как участок округлой формы с четкими границами

Макроаденома гипофиза на снимке МРТ

Выявление микроаденомы гипофиза с помощью МРТ: изображения в разных проекциях

Гигантская аденома гипофиза на МРТ
МРТ или КТ гипофиза при опухоли: что лучше?
Обследование головного мозга и гипофиза с помощью магнитного поля является наиболее информативным и результативным по сравнению с рентгенологическим и ультразвуковым излучением.
КТ эффективна в оценке состояния костных структур и полостных образований. Гипофиз представлен мягкими тканями, поэтому магнитно-резонансная томография дает точную картину, показывает малейшие изменения строения и формы железы.
При подозрении на опухоль гипофиза компьютерную томографию назначают в тех случаях, когда есть противопоказания к магнитно-резонансному обследованию. Для повышения качества визуализации во время процедуры применяют контрастирование, благодаря которому картина получается более полной и информативной.
Клиника “Магнит” проводит магнитно-резонансную томографию головного мозга и гипофиза с использованием современного оборудования, что гарантирует достоверность и точность результатов обследования.
Читайте также:
