Диагностика церебеллита по КТ, МРТ
Добавил пользователь Евгений Кузнецов Обновлено: 11.12.2025
Постинфекционные неврологические нарушения возникают по типу аутоиммунных реакций. Обычно они объединяются в единый термин ” острый диссеминирующий энцефаломиелит” (ОДЭМ), который течет доброкачественно в разных вариантах. ОДЭМ протекает в форме демиелинизации, что отчетливо видно при МРТ головного мозга. В отличие от рассеянного склероза очаги имеют отчетливую динамику с постепенным их исчезновением на Т2-взвешенных МРТ головного мозга. К более редким вариантам относится церебеллит, когда на МРТ головного мозга виден участок отека мозжечка, часто компрессия 4 желудочка с проводниковой гидроцефалией. Неврит зрительного нерва может рассматриваться как демиелинизация при ОДЭМ или дебют рассеянного склероза (например, при оптикомиелите Дэвика). Течение по типу полирадикулопатии относится к синдрому Гийена-Барре. Соответственно при МРТ с контрастированием при синдроме Гийена-Барре наблюдается усиление пораженного лицевого нерва или при МРТ позвоночника - корешка спинного мозга, а иногда и всего конского хвоста.

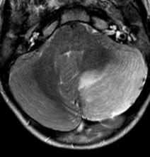
МРТ головного мозга. Т2-взвешенная аксиальная МРТ. Постинфекционный церебеллит.
Злокачественный прогрессирующий вариант обозначают как “подострый склерозирующий панэнцефаломиелит”. От ОДЭМ он отличается прогрессирующим течением с судорогами, атаксией, миоклонусом, спастикой, а в тяжелых случаях доходит до комы. Очаги при МРТ головного мозга схожи с очагами при ОДЭМ, но в большей степени контрастируются.
При МРТ в СПб мы в наших клиниках видим основную задачу при МРТ головного мозга у пациентов с постинфекционными неврологическими нарушениями в дифференциальной диагностике с другими очаговыми изменениями головного мозга. При преимущественном поражении спинного мозга и его корешков задача МРТ позвоночника состоит также в дифференциальной диагностике различных очаговых процессов.
Что нужно знать о магнитно-резонансной томографии (МРТ)

Ядерно-магнитный резонанс, томограф, МРТ с контрастом и без - как во всем этом разобраться? Как и зачем делают магнитно-резонансную томографию? Можно ли делать МРТ с кардиостимулятором или получить снимок всего тела и узнать про все болезни? Насколько это вредно и кому МРТ противопоказана? MedAboutMe рассказывает все, что нужно знать про МРТ.
Что за томография такая?

В основе работы томографа лежит принцип ядерно-магнитного резонанса, так что полностью исследование должно было бы называться яМРТ. Однако «ядерный» опускают, чтобы не вызывать ассоциации с ядерными реакциями, радиацией и т. д. Потому что в яМРТ ионизирующее излучение (радиация) не применяется. А что же делает томограф?
Если говорить упрощенно, МРТ-аппарат - это огромный магнит, в котором есть радиостанция и антенны. Он создает магнитное поле, подает импульсы определенной частоты - и атомы водорода выстраиваются по направлению поля.
Как только радиоимпульс перестают подавать, молекулы атома возвращаются к исходному состоянию и начинают излучать энергию. «Антенны» томографа ее улавливают и передают информацию в компьютер. Так создается послойная картинка органов и тканей в трех плоскостях.
МРТ дает возможность получать изображения практически всего, что содержит атомы водорода. И лучше всего получаются ткани, которые содержат повышенное количество воды (в отличие от рентгенографии, которая отлично показывает твердые костные ткани). В одних тканях жидкости больше (в мозге, сосудах, паренхиматозных органах), в других меньше, поэтому конечное изображение состоит из различных оттенков тканей и их четких границ.
В магнитно-резонансной томографии не используют вредное излучение. Даже если провести в томографе сутки, ничего не произойдет. Поэтому МРТ можно делать столько, сколько нужно.
Какие есть показания для МРТ?
МРТ делают, когда необходимо получить полную информацию по изменениям, вызванным заболеванием, уточнить диагноз, клиническую картину, отслеживать результаты заболевания.
- Обнаруживать самые маленькие очаги и патологии - опухолевые образования, последствия травм, нарушения целостности сосудов, например, при инсульте, протрузии, межпозвонковые грыжи, разрывы связок;
- Оценивать, как болезнь влияет на остальные органы и ткани, насколько выражены изменения;
- Выяснять причину образования и отличать отеки от инфильтрации, кровоизлияния от опухолевых изменений;
- Смотреть состояние в динамике, сравнивая предыдущие и свежие снимки, и т. д.
Кому МРТ противопоказана?

Считается, что томограф будет реагировать на любые металлы, а также на имплантированные кардиостимуляторы, протезы, и даже представляет собой опасность при беременности. Так действительно было раньше. Сегодня ограничений и противопоказаний к МРТ намного меньше.
МРТ не делают, если у человека:
- Имплантирован кардиостимулятор или дефибриллятор. Но есть исключения: МРТ-совместимые устройства, с которыми, по данным Европейского общества кардиологов (ESC), исследование не противопоказано. МРТ пациентам с кардиостимулятором проводится и в России;
- Осколки или искусственные суставы, протезы, импланты в теле из металла. Однако важно, какой металл или сплав находится в теле и его размеры. Так, например, с титановыми штифтами для зубов противопоказаний нет - титан не реагирует на магниты. Размер тоже важен: хотя по правилам надо снимать все металлосодержащие предметы перед МРТ, но по факту риск ожога, например, из-за стальной пряжки ремня при исследовании головы ничтожен;
- Татуировки, если в составе краски есть примеси металла (тоже в зависимости от места исследования и размера татуировки);
- Первый триместр беременности (хотя эксперты не выявили последствий, о чем мы расскажем ниже);
- Клаустрофобия, эпилепсия, шизофрения, панические атаки, возраст до четырех лет - потому что может оказаться сложно заставить пациента лежать неподвижно. Однако для таких случаев есть открытые томографы и МРТ «во сне», с седацией.
Так что кажущиеся абсолютные противопоказания к МРТ могут быть условными. Причем не всегда это зависит от самого человека и его особенностей.
Например, если есть импланты, необходимо описание состава, размера, вида, сертификат, паспорт устройства. В случае, когда металлический сплав способен нанести вред здоровью, исследование проводить не будут.
Но в МРТ могут также отказать потому, что металл будет «засвечивать» снимки. И тогда нужна другая клиника: сегодня специалисты могут проводить исследование с разрешенными металлами в теле и корректировать их влияние на результаты без потери качества.
Единственное абсолютное ограничение - если пациент не помещается в отверстие томографа. Стандартный диаметр аппарата - 56 сантиметров.
Разные аппараты МРТ: больше тесла - лучше результат?
Мощность томографов измеряется в тесла (Тл). Бывают аппараты МРТ с напряжением магнитного поля в 0,4 Тл, 1,5 Тл и 3,0. Чем выше мощность - тем лучше разрешение картинки. Но значит ли это, что томографы 3,0 Тл лучше всего?
И да, и нет. И вопрос не только в стоимости МРТ, все зависит от того, что исследовать. Аппарат с 3,0 делает четкие снимки, но он очень чувствителен к любым движениям, даже очень мелким. Даже незначительные и естественные движения - дыхание, вздрагивание - испортят снимки, и придется все начинать сначала. Для такого исследования необходимо лежать совсем неподвижно.
Средняя продолжительность МРТ одного органа - 15-20 минут. МРТ всего тела длится 2-3 часа.
Если у пациента в анамнезе судорожная готовность, болезнь Паркинсона или Альцгеймера, патологии, сопровождающиеся тремором, спазмами и т. д., придется лежать дольше. «Золотым стандартом» считаются томографы 1,5 Тл. Аппараты с 0,4 Тл могут применяться при МРТ конечностей. Однако и на них можно получить хорошие снимки уровня 1,5 Тл. Вопрос в правильной настройке томографа и квалификации специалистов, которые будут описывать и рассматривать результаты.
«Я боюсь МРТ»: что делать?

Хотя есть множество пациентов, которых шум аппарата успокаивает и даже усыпляет (особенно с берушами и релаксирующей музыкой), есть также немало людей, которых эти звуки беспокоят, пугают, раздражают, или пребывание в замкнутом пространстве вызывает у них приступы паники. Что делать в таком случае?
Искать, где проводят «МРТ во сне»: при страхе (и отсутствии противопоказаний) исследование можно сделать с успокоительными, седативными препаратами или наркозом с закисью азота. Так проводят МРТ и маленьким детям, которые не могут лежать спокойно.
Если присутствие близких действует успокаивающе, узнайте заранее: во многих клиниках разрешено пребывание сопровождающего рядом непосредственно во время проведения МРТ.
Кроме того, в процессе исследования врач всегда с пациентом на связи, а у самого пациента есть «тревожная кнопка».
Отдельная опция - вертикальные томографы. На данный момент они применяются при диагностике проблем позвоночного столба, но могут также быть использованы для пациентов с клаустрофобией.
Многим людям комфортнее, если при проведении исследования у них есть с собой религиозные символы, амулеты, иконки, крестики. При этом специалисты рекомендуют их снимать - даже если они изготовлены из разрешенных металлов. Почему?
Дело в том, что в застежках и пружинках может использоваться железо, которое повредит в процессе.
То же самое относится к резинкам для волос и женским бюстгальтерам: скрытые металлические детали не всегда заметны.
Можно ли делать МРТ при беременности?
МРТ во время беременности не желательно без серьезных показаний. Считается, что первый триместр - повод для отказа в МРТ в любом случае. Хотя эксперты утверждают, что на состояние ребёнка и вынашивание процедура не влияет (Journal of the American Medical Association). В этой научной работе изучались случаи МРТ на ранних сроках с 2003 по 2015 гг. в историях болезни пациенток и их детей Канады.
Исключение - МРТ с контрастом: применение гадолиния на любом сроке беременности связано с повышенным риском широкого набора ревматологических, воспалительных или инфильтративных состояний кожи, а также мертворождения или неонатальной смерти.
Германские ученые (Шарите, Берлин) сняли МРТ-фильм о родах: роды 24-летней женщины проходили в томографе со съемкой 1 кадр в секунду (American Journal of Obstetrics & Gynecology). Изучался процесс взаимодействия материнского и детского организма при родоразрешении.
В итоге родился здоровый мальчик и получилась захватывающая картина родов «изнутри». Однако в обычном томографе так родить не получится: все проводилось на специальном аппарате с особыми протоколами.
МРТ для детей

- МРТ-диагностика для детей - сегодня уже вполне стандартное обследование. Обычно ее проводят при травмах, при подозрении на опухоли, патологии сердца и нервной системы, эндокринные нарушения. Что считается показанием для МРТ у ребёнка?
- Частые приступы головной боли, головокружений;
- Нарушения зрения, слуха, двигательной активности;
- Задержки в развитии, поведенческие отклонения;
- Черепно-мозговые травмы;
- Подозрения на любые новообразования: опухолевые, кистозные, аномалии строения;
- Болезни и травмы позвоночного столба, суставов, паренхиматозных органов и т. д.
Детям младшего возраста, а также тем, кто пугается звуков, пребывания внутри томографа, проводят исследование с седацией. Как правило, на сегодняшний день в детской магнитно-резонансной томографии используют аппараты открытого типа, показано пребывание взрослых рядом, возможно использование наушников. Основная задача - чтобы ребёнок лежал неподвижно..
Применение препаратов для медикаментозного сна или наркоза при МРТ у детей ограничено противопоказаниями. Кроме того, важно знать, что в таком случае исследование проводится натощак. Дети старше года не должны получать пищу в течение 4-х часов до МРТ, грудные до года - в течение двух часов.
МРТ для инвалидов и пожилых
Хотя вреда от МРТ для пожилых и инвалидов нет, равно как и для остальных групп населения, однако ограниченные возможности и возрастные изменения порой мешают проходить обследование в обычном закрытом томографе.
В таком случае используют аппараты открытого типа, более удобные для принятия подходящей позы и менее шумные. Кроме того, также можно использовать седацию. Дополнительных ограничений из-за возраста или состояния здоровья у магнитно-резонансной томографии нет.
У аппаратов для МРТ открытого типа технические возможности ниже. Поэтому по возможности стоит прибегать к диагностике на «традиционном» закрытом томографе.
МРТ с контрастом
МРТ с контрастными агентами - отдельное исследование, при котором увеличивается контрастность тканей, диагностика становится максимально точной. Однако у такой процедуры намного больше противопоказаний из-за небезопасности веществ.
Препараты, применяемые для МРТ с контрастом, в большинстве случаев содержат гадолиний. Они применяются для улучшения визуализации новообразований в почти всех органах, сосудов (контрастная МР-ангиография).
Гадолиний способен проходить гематоэнцефалический барьер, остается в кровотоке, межклеточном пространстве и постепенно выводится с мочой. Как и йодированный контрастный агент, препараты с гадолинием оказывают нефротоксическое и нейротоксическое действие. Они противопоказаны при тяжелых патологиях почек, новорожденным, перед или после трансплантации печени, во время беременности. При грудном вскармливании после МРТ с контрастом надо сутки сцеживать и выливать грудное молоко.
МРТ или КТ: что лучше при COVID-19?

Если говорить о диагностике изменений в легких при COVID-19, то эксперты расходятся во мнениях. С одной стороны («Лучевая диагностика и терапия», 2020), МРТ также выявляет симптом «матового стекла», характерный для коронавирусной пневмонии, консолидации, обратное гало, жидкость в плевральных полостях, и делает это с не меньшей точностью, чем компьютерная томография (КТ). Особенно при размерах изменений более 1 сантиметра. Так что при недоступности КТ или нежелательности облучения можно и нужно прибегать к магнитно-резонансной томографии.
С другой стороны, обнаружение «мелких матовых стекол», «тумана в легких», также характерных для COVID-19, при МРТ-диагностике невозможно.

Г. Г. Кармазановский, профессор НМИЦ хирургии им. А.В. Вишневского, считает, что если необходимы частые исследования и есть выбор, то лучше проводить МРТ. Это помогает избегать ионизирующего излучения, применяемого при КТ и любом другом рентгеновском исследовании. Особенно это важно при диагностике состояния репродуктивных органов в женской половой сфере, урологии.
Однако при постановке диагноза COVID-19 и изучении состояния легких профессор считает компьютерную томографию незаменимым методом.
«МРТ все покажет!» А что она покажет?
При направлении на МРТ специалист максимально точно описывает возможный диагноз или формулирует вопрос. Из любопытства «посмотреть, что там и как» пациентов нп МРТ не направляют. Да и самим идти на диагностику таким образом бессмысленно: надо знать, что изучать и по какому протоколу, а их тысячи.
Есть протоколы МРТ, которые нацелены на поиск внутреннего кровотечения - старого, нового, подострого, есть специфические варианты для тонких срезов, на которых можно выявлять контакты нервных окончаний с капиллярами, и многие, многие другие особенности.
Как бы не хотелось думать, что МРТ - это подробная фотосъемка, на которой будут видны все мелкие секреты организма, на самом деле результаты похожи на карту страны. Чем точнее запрос - в какой местности и что именно мы ищем, тем точнее результаты.
Серьезный вред от МРТ: самая большая опасность
Опасность МРТ не во влиянии на организм - оно практически отсутствует, и не в металлических конструкциях внутри тела - это выявляют еще на этапе разрешения. Самый большой вред МРТ наносит тем, кто решает провести его просто так.
На любом снимке любого человека можно найти патологию, особенно если пациент среднего возраста. Какое-то изменение как минимум в опорно-двигательном аппарате появится. А с ним - диагнозы, например, грыжи позвоночного столба, акромиоклавикулярный артроз, менископатия, курсы лечения, страхи, походы по специалистам и «лечение по снимкам» без симптомов и проявлений.
Лечение нужно не результатам, а пациентам. Магнитно-резонансную томографию следует проводить по показаниям, а излишнее любопытство может привести к ипохондрии и лишним затратам - как нервов, так и денег.
Varicella Zoster энцефалит

Вирус Varicella Zoster (VZV), или герпесвирус человека 3-го типа, является возбудителем ветряной оспы — чрезвычайно высококонтагиозной инфекцией, частой для пациентов детского возраста, — и опоясывающего герпеса.
После первой «встречи» с вирусом и выздоровления от ветрянки вирус может переходить в латентное состояние, скрываясь в нервных клетках задних рогов спинного мозга, черепных нервах или ганглиях автономной нервной системы. Спустя десятилетия после первичного контакта может происходить его активация, сопровождающаяся аксональным транспортом вирусных частиц и их последующим выходом за пределы нервных клеток.
Поражения ЦНС могут встречаться как при первичной инфекции, так и при ее реактивации. Наиболее частыми осложнениями со стороны нервной системы являются церебеллит и энцефалит. Реже встречаются менингит, синдром Рамсея-Ханта (герпетический ганглионит коленчатого узла), миелит, поперечный миелит и васкулопатии. Долгое время считалось, что в основе VZV-церебеллита лежит аутоиммунный процесс, однако в последнее время появляются данные о прямом нейротропном повреждающем действии вируса.
Неврологические осложнения редко сопутствуют ветряной оспе у здоровых детей и являются прерогативной больных пожилого возраста и иммунокомпрометированных (однако стоит учитывать более высокую заболеваемость в детском возрасте). Симптомы поражения ЦНС обычно сопутствуют кожным высыпаниям, однако могут также предшествовать последним или проявляться в отсутствие сыпи (некоторые авторы считают обязательным обследование на маркеры VZV-инфекции всех пациентов с энцефалитом или менингоэнцефалитом и иммуносупрессией вне зависимости от наличия кожных высыпаний).
В тех случаях, когда поражения ЦНС осложняют течение ветрянки у ребенка, раннее (особенно до появления высыпаний) развитие энцефалита считается предиктором крайне неблагоприятного прогноза.
В последние годы некоторые исследования назвали VZV второй наиболее частой причиной энцефалита после ВПГ в странах Запада. Частота встречаемости осложнений по данным разных исследований ранжировалась в рамках 0,5-1,5 на 1000 случаев заболевания.
Ветряную оспу (особенно у детей) чаще осложняют церебеллиты, проявляющиеся атактическими симптомами, тошнотой и рвотой; для них характерно острое появление симптоматики в течение (в среднем) около 1 недели после первых высыпаний. Энцефалиты встречаются реже и носят ограниченный характер.
Инфекционное поражение, связанное с опоясывающим лишаем, чаще протекает в форме энцефалита, поражения периферических нервов, миелитов и поражения глаз (острый некроз сетчатки).
Наиболее частыми клиническими проявлениями энцефалита являются: симптомы угнетения сознания разной степени, очаговая неврологическая симптоматика; судорожные приступы не столь часты.
У иммунокомпрометированных (чаще при СПИДе) пациентов энцефалиты осложняют течение опоясывающего лишая и часто носят диффузный характер.
В последние годы силы исследователей сосредоточены на изучении васкулопатии, обусловленной VZV — некротическом гранулематозном артериите сосудов головного мозга.
Васкулопатия и энцефалит при VZV-инфекции ЦНС идут «рука об руку»; фактически, изолированное воспаление паренхимы мозга встречается крайне редко.
У подлежавших лечению пациентов (в исследованиях, затрагивающих в основном взрослых больных) смертность достигала 9-20%
Диагноз VZV-поражения ЦНС подтверждают результатами ПЦР ликвора, однако последняя может быть менее специфична в сравнении с ВПГ-энцефалитом.
При лечении наиболее эффективным является внутривенное применение ацикловира в максимальных дозировках, также применяется специфический иммуноглобулин против VZV (зостевир).
Лучевые проявления VZV-энцефалита крайне схожи с таковыми при ВПГ-энцефалите. Стоит напомнить, что установление этиологии заболевания по данным визуализации невозможно. Более характерными признаками VZV-инфекции можно назвать:
- локальный характер поражения
- васкулопатию (и как следствие, зоны ишемии паренхимы мозга)
КТ
- пораженные участки проявляются слабо выраженным понижением плотности паренхимы мозга;
- о характерной локализации говорить сложно, чаще всего поражаются лобные и височные доли;
- базальные ядра могут быть вовлечены в процесс.
- КТ-ангиография выявляет области сужения просвета сосудов, вплоть до появления симптома «нити бисера»
МРТ
- высокий в Т2ВИ и FLAIR сигнал от пораженных областей.
- МР-ангиографические проявления аналогичны КТ-ангиографии.
- участки геморрагии, проявляющиеся «выпадением» сигнала на SWI и повышением на Т1ВИ, довольно редки

(А) времяпролетная МР-ангиограмма демонстрирует расширение левой (короткая стрелка) и окклюзию просвета правой (длинная стрелка) передних мозговых артерий
(В) МР-скан головного мозга определяет множественные гиперинтенсивные области в обеих гемисферах, в основном локализованные в белом и на границе серого и белого вещества (стрелки).
(С) При использовании последовательности DWI определяются участи ограничения диффузии (что отвечает ишемии) в таламусе, гипотоламусах и задней части внутренней капсулы справа (стрелка). Неделю спустя у пациента развилась картина гемиплегии.
(D) Макроскопические изменения у пациента, умершего в результате хронической васкулопатии. Овоидной формы множественные участки ишемии и демиелинизации.
DWI/ADC (ИКД)
- умеренное ограничение диффузии в областях цитотоксического отека и
- зоны ишемии проявляются выраженным ограничением диффузии.
Нет специфического паттерна накопления контрастного агента как при КТ, так и при МРТ — исследовании.
Лучевые признаки церебеллита
- диффузное увеличение мозжечка, которое может приводить к окклюзионной гидроцефалии
- локальные или диффузные области повышения сигнала на Т2ВИ и FLAIR
- ограничение диффузии как проявление цитотоксического отека
Корональная Т2ВИ-томограмма показывает гиперинтенсивные области инфарктов в области полосатого ядра слева.

На сагиттальной FLAIR томограмме мозжечок выглядит диффузно увеличенным, оттесняя кпереди структуры ствола.
Чем МРТ отличается от КТ и какое исследование более информативно?
На сегодняшний день магнитно-резонансная томография и компьютерная томография ― наиболее информативные и высокоточные методы инструментальной диагностики. Они создают послойное трехмерное изображение внутренних органов и позволяют делать достоверные заключения о процессах, протекающих в организме пациента.
Мельчайшие нарушения в тканях будут отражены на снимке и позволят быстро поставить точный диагноз. При этом МРТ и КТ принципиально различаются как в случаях применениях, так и в методах сканирования.
Основные отличия КТ от МРТ
Обе методики визуализируют патологии организма, но если МРТ дает информацию о состоянии мягких тканей, то КТ в большей степени применяется для оценки здоровья костей и других твердых тканей. Ключевые различия МРТ и КТ очевидны, когда понятны принцип действия аппаратов, природа излучения и показания к назначению.

Принцип действия: метод сканирования
Основная разница между исследованиями заключается в методе сканирования:
- В компьютерном томографе применяются рентгеновские лучи, которые проходят через мягкие ткани и отображают плотные структуры. Таким образом, создаются высокоинформативные точные трехмерные послойные изображения. Лучевая нагрузка при проведении компьютерной томографии существенно ниже, чем при выполнении рентгеновского снимка.
- При магнитно-резонансной томографии также создается точное трехмерное послойное изображение органов и тканей, но за счет резонанса атомов водорода в организме человека на магнитное поле, создаваемое томографом.
Показания к назначению МРТ и КТ
Магнитно-резонансная томография применяется для обследования сосудов, мягких тканей, внутренних органов, головного мозга, нервной системы и лимфатических узлов.
Компьютерная томография помогает обнаружить структурные изменения тканей. В таблице мы приводим список некоторых заболеваний, при которых назначаются эти методы диагностики.
- грыжа межпозвоночного диска;
- протрузия;
- остеохондроз;
- опухоли и воспалительные процессы головного мозга;
- рассеянный склероз;
- инсульт;
- аневризмы;
- панкреатит;
- холецистит;
- невриты;
- тромбоз;
- тромбоэмболия;
- атеросклероз;
- водянка головного мозга или брюшной полости;
- болезни связок и хрящей;
- застой желчи;
- абсцессы и флегмоны;
- грыжи и т.д.
- повреждения костей или позвоночника;
- гематомы и внутренние кровотечения;
- остеопороз;
- сколиоз;
- пневмония;
- хронический бронхит;
- астма;
- туберкулез;
- онкологические заболевания;
- новообразования щитовидной железы;
- аденома;
- аневризмы;
- заболевания желудка и кишечника;
- атеросклероз;
- мочекаменная болезнь.
Противопоказания к применению МРТ и КТ
Существует ряд противопоказаний к проведению диагностических обследований методами МРТ и КТ. Хотя доза облучения при КТ ничтожно мала, обследование проводят не чаще одного раза в шесть месяцев. Из этого правила могут быть исключения, при жизненной необходимости период между обследованиями может быть сокращен по решению врача.
Беременные и кормящие женщины не подлежат диагностике методом КТ из-за негативного воздействия облучения на плод. Пациентам с психическими отклонениями и клаустрофобией также не рекомендуется этот вид обследования из-за особенностей процесса проведения диагностики.
| Противопоказания к МРТ | Противопоказания к КТ |
|---|---|
| Беременность | Беременность |
| Кардиостимулятор | Период грудного вскармливания |
| Слуховой аппарат | Декомпенсированный сахарный диабет |
| Инсулиновая помпа | Тяжелые болезни сердца |
| Несъемные зубные протезы, коронки, мосты | Почечная недостаточность |
| Металлопротезы и осколки | Миелома и плазмоклеточная дискразия |
| Кава-фильтр | |
При проведении МРТ и КТ пациент должен лежать и не двигаться. Поэтому дети и люди, по состоянию здоровья неспособные лежать без движения в процессе проведения диагностики, а также боящиеся замкнутых пространств пациенты, проходят обследование под наркозом или седацией.
Как проходит процедура КТ и МРТ?
Ожидание диагностики МРТ и КТ по назначению врача в государственном учреждении здравоохранения в среднем длится месяц. И только экстренные показания (угроза жизни) являются основанием для выполнения обследования вне очереди. В медицинском центре «Адмиралтейские верфи» при наличии назначения врача пройти диагностику на КТ и МРТ можно в день записи.
Обследование на томографе проходит лежа. Врач помогает пациенту разместиться на столе аппарата и выходит из помещения. Исследование занимает от 15 до 20 минут на КТ и от 10 минут до часа на МРТ. Выполнив серию снимков, пациента отпускают. Через полчаса - час ему выдается протокол обследования.
При проведении диагностики с контрастом используется болюсное введение. В нужный момент автоматический инъектор внутривенно вводит контраст пациенту. Использование контраста позволяет создать более детальную картину. Это требуется, когда обычного обследования недостаточно для постановки или уточнения диагноза.

Преимущества обследования в медицинском центре «Адмиралтейские верфи»
Многие пациенты сталкиваются с тем, что на УЗИ при выявлении или подозрении на патологию дальнейшее обследование методами КТ или МРТ откладывается на несколько дней или недель.
Если вам требуется пройти обследование оперативно, обращайтесь в отделение инструментальных методов диагностики медицинского центра «Адмиралтейские верфи». Для ускорения и оптимизации алгоритма обследования пациентов мы объединили отделение функциональной и лучевой диагностики.
Для проведения дополнительных исследований нашим пациентам не нужно перезаписываться на последующие даты. Расписание специалистов клиники построено таким образом, что при необходимости мы можем провести дообследование сразу же.
В каждом конкретном случае, решение о выборе того или иного метода диагностики принимает врач: именно он решает, что лучше - МРТ или КТ. Специалисты медицинского центра «Адмиралтейские верфи» ответят на ваши вопросы и подберут адекватный метод диагностики. Для этого позвоните по номеру телефона, указанному на сайте, или оставьте заявку в форме обратной связи. Давайте заботиться о вашем здоровье вместе!
Рентген, КТ, МРТ, УЗИ: что, когда и сколько можно?

Стереотипов в отношении методов лучевой диагностики немало. Кто-то избегает исследований, даже если они необходимы. Другие, наоборот, стремятся сделать все подряд, благо любые диагностические исследования доступны в частных клиниках и лабораториях. О том, какие исследования в каких случаях нужны, насколько они безопасны, рассказывает Василий Владимирович Паршин, заведующий рентгеновским отделением ГКБ № 52, врач-рентгенолог высшей квалификационной категории.
Какие методы лучевой диагностики сейчас есть, какие используются чаще, какие лучше?
С тех пор как 1895 году Вильгельм Конрад Рентген обнаружил «всепроникающие» излучение и сделал первый в мире «рентгеновский» снимок руки своей жены, появилось огромное количество технологий, основанных на изобретении немецкого физика. И продолжают появляться новые.
Сейчас для диагностики в медицине широко используются «классические» методы: рентген (рентгенодиагностика), флюорография, ультразвуковые исследования (УЗИ), а также относительно новые - компьютерная томография (КТ), магнитно-резонансная томография (МРТ), ангиография. Постепенно в рутинную работу рентгенолога входят денситометрия и позитронно-эмиссионная томография (ПЭТ). Есть методы, которые пока только изучаются и применяются в научно -исследовательских центрах.
Некоторые методы сейчас используются реже, например, флюорография, другие, наоборот, набирают обороты. Компьютерная томография за последние годы заняла пальму первенства среди методов лучевой диагностики, и, скорее всего, сохранит ее еще долгое время. Однако надо помнить, что каждый метод имеет свой спектр показаний для назначения, свои сильные и слабые стороны.
В нашем отделении мы используем классический рентген, КТ, МРТ. За ультразвуковые исследования отвечает отделение ультразвуковой и функциональной диагностики. Лучевые методы используются не только в диагностике, но и в лечении, а также в комплексе. В ГКБ № 52 функционирует отделение рентгенохирургических методов диагностики и лечения (там также проводятся ангиографические исследования) и эндоскопическое отделение, где делают рентген-эндоскопические исследования и операции.
Какие методы лучше использовать в тех или иных случаях? Распространенный вопрос: что лучше - КТ или МРТ?
Я категорически против любой самодиагностики, чтобы люди сами себя назначали исследования, вычитав что-то в интернете. Для этого есть специалисты, которые после осмотра и сбора анамнеза выдвинут предварительные гипотезы и назначат оптимальный набор исследований. Конечно, по-человечески понятно - хочется быстро определить причину недомоганий, подтвердить или (лучше) опровергнуть неприятный диагноз. Но волшебных таблеток не бывает. Часто оказывается, что нужны дополнительные исследования, и пациенту все равно придется их делать. Бывает, что нужно совсем другое исследование, а то, что сделано - выброшенные деньги.
Каждый метод дает разную информацию об исследуемых органах. Если говорить в целом, то КТ идеально «видит» легкие, и превосходит все другие методы в выявлении патологии дыхательной системы: и МРТ и рентген и флюорографию.
Мы также всегда делаем КТ пациентам с подозрением на нарушение мозгового кровообращения, исследование позволяет не только подтвердить диагноз, но и оценить «масштаб» поражения и выработать верную тактику. Назначают его при патологии почек, в частности, при наличии камней. На томографе можно увидеть их расположение, оценить плотность и структуру, а значит, принять решение об операции или выборе консервативных методов. МРТ имеет преимущества при изучении патологий суставов, для диагностики заболеваний головного мозга, спинного мозга, органов малого таза.
Если коротко - метод исследования назначается врачом в зависимости от того, что и где он хочет обнаружить. И КТ, и МРТ имеют свои преимущества в разных ситуациях. Назначать их самостоятельно себе не нужно.
Для выявления патологии легких также назначают рентген и флюорографию…
Если речь идет о профилактическом осмотре, ежегодной диспансеризации, и у человека нет никаких жалоб - классическое рентгеновское исследование, которое дает меньшую, чем КТ лучевую нагрузку, можно считать достаточным. Но если пациент находится в группе риска по развитию рака легких (например, это курильщик с серьёзным стажем), лучше сразу сделать более информативную КТ. Андрей Дмитриевич Каприн, главный онколог России, рассказывает, что благодаря огромному количеству КТ- исследований легких, которые были сделаны за время пандемии, удавалось выявлять рак легких на самых ранних стадиях и множество других, не связанных с COVID-19 патологий. Низкодозовая КТ - лучший метод скрининга рака легких, она позволяет увидеть зарождающийся опухолевый процесс размером 2-3 мм и самые минимальные изменения, которые рентген может и пропустить.
В каких случаях лучше делать рентген?
Классический рентген по-прежнему остаётся важным методом для диагностики самых разных заболеваний. Например, маммография (рентгеновское исследование молочных желез) - лучший способ скрининга рака молочной железы. Возможности КТ в выявлении злокачественных и воспалительных процессов в этом органе существенно ниже.
Доза радиологического облучения при КТ значительно выше, чем при рентгеновском исследовании, не стоит «бить из пушки по воробьям». К примеру, при подозрении на перелом или при первичном обращении с болью в суставах предпочтительнее сделать рентген.
Говорят, что современные аппараты для ультразвукового исследования тоже позволяют увидеть опухоль на любой стадии и способны заменить КТ?
УЗИ - классический метод, который дает огромное количество информации, к тому же абсолютно безопасный. Сейчас он часто используется как дополняющий к другим более «тяжелым методам диагностики». Очень многое зависит от аппарата и врача, который проводит исследование. Высококвалифицированный специалист ультразвуковой диагностики на аппарате последнего поколения действительно может заподозрить опухолевый процесс на самой начальной стадии. Но окончательный онкологический диагноз ставится только по гистологическому заключению. Для этого хирург должен взять образцы ткани «подозреваемого» органа, а морфолог посмотреть, то что происходит в клетках ткани. В будущем, возможно, мы сумеем достичь уровня диагностики, сравнимого с гистологией, и без хирургического вмешательства. Но пока это только будущее.
Когда нужны денситометрия и ПЭТ КТ?
Денситометрия, если говорить образно, позволяет оценить хрупкость костной ткани - наличие остеопороза. Если остеопороз есть, человек может быть подвержен различным травматическим осложнениям. Он также является результатом нарушения работы разных органов. На денситометрию чаще всего направляют эндокринологи, нефрологи, чтобы понять есть ли патологическое вымывание солей кальция, калия и других микроэлементов из костной ткани. Если такие признаки есть, назначается соответствующая терапия. Сейчас денситометрия постепенно внедряется в городском здравоохранении. В частности, у нас в больнице этот вид диагностики скоро будет доступен (на момент публикации, февраль 2022).
Позитронно-эмиссионная компьютерная томография (ПЭТ КТ) чаще всего используется после того, как пациенту уже поставлен онкологических диагноз, для того, чтобы оценить распространённость метастазов, не пропустить отдаленные опухолевые процессы, а также контролировать процесс лечения. Метод - тяжелый, требует серьезной подготовки пациента, который перед исследованием принимает радиоизотопные препараты, соблюдает диету. Если нарушить правила, можно получить неправильный результат. Кроме того, метод предполагает довольно значительную лучевую нагрузку, как во время самого исследования, поскольку сканирование проводится несколько раз, так и из-за накопления в организме радиоизотопных веществ, которые являются источником излучения. Исследование назначает только врач, оценивая соотношение пользы и рисков в конкретной ситуации. Если где-то его можно провести без назначения - это абсолютно неправильно.
Какое количество исследований можно проводить без опасности для организма? Сейчас многие люди при малейшем недомогании бегут делать КТ, другие же считают, что даже УЗИ делать вредно
Прежде всего лучевая нагрузка есть не во всех методах. В УЗИ или МРТ не используется ионизирующее излучение, эти методы можно назвать безвредными, и проводить такие исследования в принципе можно сколько угодно. На всякий случай мы не назначаем МРТ беременным женщинам в первом триместре, но при необходимости назначаем во втором и третьем.
КТ, классические рентгеновские исследования, денситометрия и ПЭТ КТ связанны с лучевой нагрузкой, ее количество должно быть регламентировано в определенный промежуток времени. Именно поэтому не стоит заниматься самостоятельным назначением, а врач, который ведет пациента, вносит в его карту данные о полученных дозах.
В тоже время современное оборудование позволяет использовать значительно меньшие дозы, по сравнению, с тем, что было раньше. Например, цифровые рентгеновские аппараты, которые мы используем сейчас, дают излучение на порядок меньше, чем пленочные. Чтобы набрать допустимую по нормам радиационной безопасности дозу, надо сделать не меньше 50 исследований в год.
Объем излучения, которое нужно пропустить через объект, для получения снимка, зависит от его размера и плотности. Поэтому доза, полученная крупным мужчиной, будет больше, чем доза стройной девушки при проведении одного и того же исследования.
В России по нормам радиационной безопасности (2010 года) доза облучения для пациента не должна превышать один миллизиверт (мЗв) в год. Это норма значительно ниже реально опасной. Например, для персонала рентгенологических служб, сотрудников ангиографических кабинетов, хирургов, работающих с ангиоваскулярными и эндоскопическими методами, регламентирована допустимая доза в 20 миллизиверт. Мы все обязаны носить на работе дозиметры, ежеквартально предоставлять их для отчета, и отслеживать получаемую дозу. И эта доза тоже безопасна, онкологических заболеваний и других проблем, возможно, связанных с облучением у нас не больше, чем у представителей других профессий - медицинских и немедицинских. Мутации и опухолевые процессы возникают при дозах свыше более 100 миллизиверт в год, набрать ее крайне сложно.
Регламентированную для пациента дозу можно превысить по жизненным показаниям. Регулярные КТ для контроля развития ковид ассоциируемой пневмонии, которые проводятся во время пандемии, как раз тот самый случай. Частые исследования могут понадобится онкологическим и урологическим пациентам. Но очень важно, чтобы решение принимал врач, лишних исследований, лучше избегать.
Читайте также:
- Давление спинномозговой жидкости. Субокципитальная пункция
- Синдром Бернара (Bernard)
- Полостью груди. Полость грудной клетки. Границы полости грудной клетки. Внешние ориентиры грудной клетки.
- Бронхография. История развития бронхографии
- Исход бронхэктатической болезни. Консервативное лечение бронхэктазов
