Диагностика доброкачественной мезенхимальной опухоли головы по КТ, МРТ
Добавил пользователь Евгений Кузнецов Обновлено: 21.11.2025
Абсолютное большинство из более чем 120-ти видов первичных новообразований мозга относится к доброкачественным опухолям. Их главные общие отличия от злокачественных - медленный рост, отсутствие метастазов и рецидивов. При этом они образуются в различных местах из различных типов клеток и по-разному себя проявляют. Соответственно, подходы к лечению также могут существенно различаться.
К доброкачественным опухолям головного мозга относятся аденомы гипофиза, высокодифференцированные эпендиомы, хондромы, шванномы, менингиомы, папилломы хориоидного сплетения, кисты, липомы.
Хондромы
Образуются из клеток хрящевой ткани, как правило, у основания черепа, в гипофизарной области. Тесно связаны с твердой мозговой оболочкой. Характерная особенность - крайне медленный рост. Могут достигать больших размеров, быть одиночными и множественными. Диагностируются очень редко.
Аденомы гипофиза
Составляют около 10% первичных опухолей мозга, чаще всего обнаруживаются в передней трети железы. Могут появляться в любом возрасте, но обычно возникают у пожилых людей. У женщин детородного возраста образуются чаще, чем у мужчин аналогичной возрастной группы. Различают гормонально активные (секретирующие) и гормонально неактивные аденомы гипофиза.

Аденома гипофиза
Большинство образований относится к гормонально активным. В свою очередь, их классифицируют по виду вырабатываемого гормона, избыток которого в организме приводит к появлению характерных симптомов.
Высокодифференцированные эпендиомы
Возникают вследствие мутации клеток, выстилающих внутренние полости головного мозга (желудочки). В структуре такого мягкотканного опухолевого узла могут присутствовать кисты или минеральные отложения (кальцинаты). Составляют не более 3% от всех регистрируемых первичных опухолей мозга. При этом находятся на 6 месте среди наиболее распространенных новообразований ЦНС у детей и, чаще всего, развиваются в возрасте до 3-х лет (около 30%).
Менингиомы
Растут не из тканей мозга, а из покрывающих его мягких оболочек (meninx),в связи с чем и получили свое название. Составляют около трети всех первичных новообразований. Наиболее часто наблюдаются у женщин, начиная со среднего возраста (в 2 раза чаще, чем у мужчин). Частота заболеваемости увеличивается после 60-ти лет. У детей встречаются редко. Типичное местоположение - в верхних отделах, но также могут образовываться у основания черепа. Обычно растут внутрь, вызывая сдавливание прилегающих отделов мозга. Иногда растут наружу, что сопровождается утолщением черепных костей в проблемной области. Могут содержать кальцинаты, заполненные жидкостью полости (кисты), сосудистые узлы.
Шванномы

Места образования шванном
Обычно находятся между мозжечком и мостом, в области задней ямки. Растут очень медленно, встречаются достаточно редко (не более 8%), развиваются в среднем возрасте. Риск заболевания вдвое выше у женщин.
Папилломы хориоидного сплетения
Возникают из мутировавших клеток сосудистых сплетений, которые входят в структуру оболочек, выстилающих желудочки мозга и продуцирующих спинномозговую жидкость (ликвор). Как правило, диагностируются у детей и молодых людей.

Традиционные места образования папиллом хориоидного сплетения
У детей с опухолями мозга в возрасте до одного года папилломы хориоидного сплетения составляют от 10 до 20%, от 1 года до 1 лет - 2-4%. При этом в зависимости от возраста различается и локализация очага: чем старше больной, тем ниже находится опухоль.
Кисты
Несмотря на то, что относятся к доброкачественным, могут вызывать серьезные проблемы при расположении в структурах, контролирующих жизненно важные функции организма.

Кисты могут появляться в самых различных областях мозга
Отличаются разнообразием, наиболее часто встречаются арахноидальные (заполненные жидкостью), коллоидные (заполненные густым железообразным веществом), дермоидные и эпидермоидные (заполненные мягкими тканями) кисты.
Липомы
Редко регистрируемые новообразования, чаще развивающиеся в области мозолистого тела. Могут быть единичными и множественными.
Симптомы доброкачественной опухоли мозга
Нужно сразу же оговориться: определить по каким-либо внешним признакам, что в головном мозге появилось доброкачественное, а не злокачественное новообразование, невозможно. Более того, те или иные нарушения самочувствия могут лишь вызвать у врача подозрения на опухолевый процесс. Подтвердить или опровергнуть эти подозрения позволяет только диагностика. В то же время, на основании жалоб больного невролог делает предварительные выводы и составляет план обследования.
«Даже доброкачественная опухоль, которая растет в голове, потенциально опасна, — говорит Роберт Фенстермакер, доктор медицинских наук, заведующий кафедрой нейрохирургии онкологического центра Розуэлл-Парк (США). - Пространство внутри черепа небезгранично, и, даже если опухоль головного мозга доброкачественная и растет медленно, в конечном итоге она начнет сдавливать мозг, симптомы будут развиваться и это может быть опасно для жизни».
Доброкачественные опухоли головного мозга проявляют себя самыми различными симптомами, характер которых, прежде всего, определяется в зависимости от местоположения очага и его размера.
- Крайне медленно растущая хондрома может в течение длительного времени ничем себя не проявлять. Когда опухоль увеличивается в размерах, она начинает сдавливать близлежащие структуры, что, чаще всего, приводит к появлению головных болей, нарушению слуха, появлению зрительных галлюцинаций.
- При папилломах хориоидного сплетения наблюдается общемозговая симптоматика, включающая характерные головные боли и другие признаки повышения внутричерепного давления.
- Выделить какие-либо общие симптомы для кист невозможно вследствие большого разнообразия новообразований этого типа и возможности их появления в самых различных местах.
- Для эпендиом характерны раздражительность, рвота, бессонница, головная боль. У детей до года одним из первых симптомов часто становится аномальное увеличение размера головы.
- Симптомы доброкачественной аденомы и злокачественной аденокарциномы гипофиза идентичны, поэтому при постановке диагноза учитываются другие особенности, в том числе - отсутствие метастазов и прорастания в соседние отделы, данные сканирования и др. Среди наиболее частых проявлений - головная боль, нарушение поведения и расстройства зрения. Признаки появления гормонпродуцирующих опухолей этого типа зависят от вида вырабатываемого гормона.
- Менингиомы медленно растут и могут достигать большого размера прежде чем начинают мешать нормальному функционированию мозга. Симптомы зависят от местоположения опухолевого очага. Наиболее часто больные жалуются на головную боль, слабость в руке или ноге. Также могут наблюдаться припадки, изменение личности, проблемы со зрением.
- Липомы в абсолютном большинстве случаев не вызывают каких-либо нарушений самочувствия.
- Для шванном характерно односторонняя потеря слуха, шум или звон в ухе. Реже больные жалуются на головокружения. Если процесс затрагивает 7-ой черепной нерв, может развиться его паралич. Иногда наблюдается затруднение глотания, изменения вкуса, шаткая походка, нарушения движений глаз.
Лечение доброкачественной опухоли мозга: основные принципы и выбор метода
В некоторых случаях врач может выбирать тактику активного наблюдения. Это касается больных с арахноидальными кистами и менингиомами, а также липомами, которые не вызывают значимых нарушений самочувствия и, как правило, выявляются случайно либо при профилактическом онкоскрининге.
Если у пациента диагностирована доброкачественная опухоль головного мозга, которая «неудачно» расположена, нарушает качество жизни по другим причинам либо имеет высокий риск озлокачествления, лечение направлено на удаление новообразования (операцию) или его разрушение с помощью современных радиохирургических методов.
Так, например, одни менингиомы можно удалить традиционным хирургическим путем, другие относятся к неоперабельным. В последнем случае опухоль может быть разрушена с помощью установок Кибернож, Гамма-нож, TrueBeam. В зависимости от особенностей новообразования, оптимальным методом лечения также может стать томотерапия или протонная терапия.
Операбельные коллоидные, эпидермоидные и дермоидные кисты чаще всего удаляют традиционным способом либо с применением эндоскопических или микрохирургических технологий. По показаниям дополнительно может быть назначена антибактериальная медикаментозная терапия. Иногда удаление кисты осложнено, невозможно или возможно лишь частично.
Радикальное удаление хондромы, хориоидной папилломы, эпендиомы, аденомы гипофиза может быть осуществлено хирургическим или радиохирургическим методом.
При лечении больных со шванномами обычно используют микрохирургические методы или стереотаксическую радиохирургию. По показаниям дополнительно назначается медикаментозная, гормональная и лучевая терапия.
Ведущие нейрохирурги возлагают большие надежды на интраоперационный флуоресцентный контроль с целью тотальной резекции опухолей, в частности аденом гипофиза, поскольку неполное удаление неоплазмы ведет к рецидивам у 20% пациентов. А ведь хотя аденомы гипофиза редко бывают злокачественными, они могут вызывать серьезные проблемы, сдавливая рядом расположенные участки мозга, что может привести к болезни Кушинга, гигантизму, слепоте и смерти.
В медицинской школе им. Перельмана Пенсильванского университета был разработан первый органоспецифичный маркер OTL38, который состоит из двух частей: фолата и светящегося в инфракрасном диапазоне красителя. Поскольку для развития и роста неоплазмы активно используют фолиевую кислоту, то для них характерно высокое содержание фолатных рецепторов на поверхности клеток (которое иногда более чем в 20 раз превышает нормальный уровень). Связываясь с рецепторами, OTL38 вызывает свечение пораженных тканей, позволяет точно идентифицировать границы опухоли и полностью ее удалить.
Как отмечает Ю.К. Ли, доктор медицинских наук, профессор кафедры нейрохирургии Университета Пенсильвании: «Это исследование предвещает новую эру в персонализированной хирургии опухолей. Хирурги теперь могут видеть молекулярные характеристики опухолей пациента, а не только поглощение света или отражательную способность».
Если вам требуется второе мнение для уточнения диагноза или плана лечения, отправьте нам заявку и документы для консультации, или запишитесь на очную консультацию по телефону.
Доброкачественные опухоли головного мозга


Разделение внутричерепных новообразований на злокачественные и доброкачественные носит весьма условный характер и отличается от того, что мы имеем в виду, говоря об опухолях других органов и систем. Если обычно под злокачественными новообразованиями подразумевают рак или саркому, то с опухолями центральной нервной системы все сложнее. Рак — опухоль эпителиальной ткани, и хотя она и может иметь внутричерепную локализацию, но подавляющую часть новообразований здесь составляют разнообразные опухоли нервной ткани. Все они имеют различную степень злокачественности по классификации ВОЗ.
Врачи

Стаж в радиологии - 17 лет, общий - 18 лет.
Tomotherapy в лечении доброкачественных опухолей головного мозга
Tomotherapy — это принципиально новая концепция лучевой терапии, которая сочетает элементы КТ-сканера с линейным ускорителем, чтобы точно скорректировать положение мишени и органов, находящихся в зоне риска, непосредственно перед лечением. Это особенно важно в отношении опухолей основания черепа, где они располагаются вблизи жизненно важных структур ствола мозга.
Tomotherapy уже активно применяется в ведущих онкоцентрах мира, где позволяет добиться хорошего результата лечения. Так, Джейкоб Ван Дейк из университета Онтарио сообщает об успешном облучении низко злокачественной глиомы и астроцитом, отмечая сохранение здоровой ткани. Аналогичные результаты получены и специалистами из других стран, что открывает принципиально новые возможности применив лучевой терапии.
Отзывы
Спасибо большое персоналу Реавита за четко организованную работу, доброе, приветливое отношение, профессионализм.

«Здравствуйте, меня зовут Рушана, я живу в городе Казани и оказалась в этом центре, как и многие, наверное, люди нежданно-негаданно для себя. Потому что большую часть своей жизни мы не предполагаем, что мы можем еще с чем-то столкнуться, что в нашей жизни могут быть какие-то серьезные трудности, которые мы еще до этого не преодолевали.
Стоимость лечения
| Наименование услуги | Цена, руб. | Ед. измерения |
|---|---|---|
| Консультация врача онколога радиотерапевта | 1 500 | шт. |
| Консультация врача детского онколога | 0 | шт. |
| Повторная консультация специалистов | 500 | шт. |
| Топометрия на специализированном компьютерном томографе первичная | 15 000 | процедура |
| Топометрия на специализированном компьютерном томографе повторная | 7 000 | процедура |
| Дозиметрическое планирование лучевой терапии (томотерапии) первичное | 20 000 | шт. |
| Дозиметрическое планирование лучевой терапии (томотерапии) повторное | 7 000 | шт. |
| Лучевая терапия (томотерапия), включая IMGRT (*) | 315 000 | курс |
| Лучевая терапия (томотерапия) стереотаксическая радиочастотная хирургия (*) | 315 000 | курс |
| Лекарственная сопроводительная терапия: внутривенные введение в процедурном кабинете (без учета стоимости лекарственных препаратов) | 1 000 | процедура |
| Лекарственная сопроводительная терапия: внутримышечное введение в процедурном кабинете (без учета стоимости лекарственных препаратов) | 200 | процедура |
| Топометрическая разметка | 750 | процедура |
| Проведение исследования плана лучевой терапии по абсолютной дозиметрии на специализированном фантоме “Cheese Phantom Accuray” | 15 000 | процедура |
| Проведение процедуры гарантии качества (QA) плана лучевой терапии на специализированном фантоме “PTW Octavius” | 30 000 | процедура |
Вид лучевой терапии и количество сеансов курса определяется врачебной комиссией индивидуально для каждого пациента исходя из локализации, нозологии опухоли и с учетом анамнеза.

Классификация доброкачественных новообразований
В 2016 году вышла новая редакция классификации опухолей ЦНС, где перечислены все существующие новообразования с учетом их гистологического строения и молекулярно-генетических характеристик. Если очень сильно упростить классификатор, то можно выделить следующие группы опухолей:
- Астроцитомы. Растут из звездчатых клеток нервной глии — ткани, которая окружает нейроны и выполняет различные вспомогательные функции.
- Олигодендроглиомы. Еще одна опухоль глиальной ткани, растущая из других ее клеток — олигодендроцитов.
- Эпендимомы. Растут из тонкой мембраны, которая выстилает желудочки головного мозга.
- Нейрональные опухоли берут начало непосредственно в нервной ткани.
- Опухоли черепных нервов. Большая группа новообразований из различных структур черепномозговых нервов. Например, шваннома растет из клеток, которые образуют миелиновую оболочку нерва.
- Менингиомы — новообразования, которые растут из клеток паутинной оболочки мозга. Они также весьма разнообразны и отличаются степенью злокачественности.
Перечисленные группы новообразований не охватывают всего разнообразия внутричерепных новообразований, но позволяют составить некоторое первичное представление о них. Для удобства все новообразования, происходящие из нервной глии, называют глиомами. Глиомы и менингиомы вместе составляют до 70% всех новообразований ЦНС.
Стадирование
Опухоли ЦНС не стадируются, а различаются по степени злокачественности. Каждая из существующих опухолей занесена в классификатор ВОЗ с присвоением этой степени по Grade I-IV. К доброкачественным можно условно отнести опухоли I и II степени. Это, например, такие новообразования, как пилоцитарная астроцитома, субэпендимома, ганглиоцитома, шваннома, менингиома, краниофарингиома и другие. Подавляющее число глиом и менингиом являются доброкачественными.
Важно заметить, что даже доброкачественная опухоль может представлять серьезную опасность для жизни человека, оказывая давление на жизненно важные структуры.

Симптомы доброкачественных новообразований
Клиническая картина отличается большим разнообразием, поскольку зависит от расположения опухоли, ее близости к тем или иным структурам головного мозга, темпов роста. К распространенным симптомам относят:
- общемозговые симптомы — головные боли, тошнота, рвота;
- двигательные и координационные нарушения;
- парезы и параличи;
- эпилептоидные припадки;
- нарушения речи;
- снижение чувствительности;
- нарушения памяти и интеллекта.
Ни один из этих симптомов не является обязательным, и встречаться они могут в абсолютно любом сочетании.
Диагностика доброкачественных опухолей
Степень злокачественности новообразования определяется по результатам гистологического исследования материала, который получают путем биопсии или после оперативного лечения. До этого момента нельзя достоверно судить о доброкачественности опухоли.
В рамках обследования пациентов с подозрением на опухоль ЦНС обязательно проводятся:
- Лабораторные анализы, например, анализ крови на опухолевые маркеры при некоторых новообразованиях.
- Магнитно-резонансная томография, в том числе с контрастным усилением — золотой стандарт диагностики, который позволяет четко локализовать опухоль, достаточно достоверно оценить из каких тканей она растет и исключить внутричерепные процессы другого характера. Кроме того, по некоторым особенностям накопления контраста, МРТ позволяет предварительно заподозрить степень злокачественности опухоли.
- Компьютерная томография с контрастированием выполняется, если МРТ противопоказана или при подозрении на костные опухоли.
По результатам исследования желательно проведение консилиума с участием нейрохирурга, онколога и радиолога.
Принципы лечения
Для лечения опухолей головного мозга применяются хирургические, радиологические и лекарственные методы лечения. Эффективность лечения оценивается по данным МРТ.
Хирургическое лечение
Задачи хирургического лечения состоят в уменьшении объема опухоли для устранения внутричерепной гипертензии и неврологических нарушений, а также в получении материала для гистологического исследования. Если расположение опухоли не дает возможности провести операцию, то для получения тканей показано проведение стереотаксической биопсии — забора материала через иглу под контролем нейро-навигационной системы. Таким образом, даже если проведене операции считается нецелесообразным, необходимо стараться тем или иным путем получить ткани новообразования для определения степени его злокачественности. МРТ с контрастом для уточнения границ остаточного новообразования у пациентов с доброкачественными опухолями рекомендуют выполнять через 2-3 месяца после операции.
Дистанционная лучевая терапия
Основной метод лечения у большинства пациентов с опухолями ЦНС. Она может использоваться как в качестве первичного метода, так и после оперативного лечения, а также при возникновении рецидивов. Существуют разные режимы фракционирования, то есть дозирования, облучения:
- Стандартного фракционирование применяется у пациентов с крупными опухолями различного гистологического строения
- Радиохирургическое лечение - одномоментная нагрузка высокой дозой с использованием стереотаксической техники. Используется при небольших новообразованиях с четкими границами, достаточно удаленных от жизненно важных структур.
- Режим гипофракционирования, подразумевающий подведение высоких доз за несколько сеансов со стереотаксисом применяется у пациентов с четко ограниченными опухолями и у больных с новообразованиями более 3 см и располагающимися вблизи важных структур мозга.
Для большинства глиом первой и второй степени злокачественности показано удаление опухоли с дальнейшей лучевой терапией при наличии более одного из следующих факторов риска:
- возраст > 40 лет;
- размеры > 6 см;
- неврологические расстройства;
- распространение новообразования за среднюю линию.
Химиотерапия
Как правило, химиотерапия в лечении доброкачественных опухолей не применяется.
Часто задаваемые вопросы
Сколько стоит курс лечения?
Курс лечения вместе с предлучевой подготовкой стоит 315 000 рублей. Есть возможность оформления рассрочки на весь период лечения.
Есть ли онлайн-консультация?
Для жителей других регионов, а также для тех, кому визит к врачу затруднителен, наш центр предоставляет возможность бесплатной онлайн - консультации.
Возможно ли лечение детей?
Томотерапия наиболее благоприятна для лечения детей, так как лучевая терапия проходит щадящим методом, не задевая здоровые органы и ткани развивающегося ребенка.
На какой стадии можно применять лучевую терапию?
В современной онкологии возможности лучевой терапии применяются очень широко на любой стадии. Однако каждому пациенту требуется индивидуальный подход, так как выбор тактики и плана лечения зависит от многих факторов: расположения опухоли, сопутствующих заболеваний, возраста и общего состояния пациента. Поэтому для получения информации о возможности лечения, необходимо получить консультацию врача-радиотерапевта.
Показывает ли МРТ головы опухоль?
"Показывает ли МРТ опухоль головы?" - этот вопрос часто задают пациенты, страдающие цефалгией - длительной и регулярной головной болью разной степени интенсивности. На сегодня магнитно-резонансная томография - один из лучших способов выяснить причину подобных жалоб. Более 15% пациентов безуспешно лечатся у разных специалистов с неправильным диагнозом (гипертоническая болезнь, эписиндром, дистония и пр.), и являются недообследованными. При условии медленного прогрессирования образования симптомов нет, так как головной мозг может смещаться. Это приводит к позднему выявлению онкологического процесса и ухудшает жизненный прогноз.
МРТ определяет опухоль на ранней стадии, до развития развернутых клинических проявлений. Окончательная верификация диагноза возможна после гистологического исследования (биопсии), по томограммам можно предположить характер новообразования.
Что такое опухоль головного мозга? Классификатор
Неопластический процесс в головном мозге бывает первичным и вторичным
Опухоль головного мозга - новообразование, которое появляется в результате неконтролируемого деления клеток: собственно церебральных (нейронов или глии) или какой-либо из окружающих структур - черепных нервов, сосудов, лимфоидной ткани, менингеальных оболочек, костей и хрящей черепа. Причины онкогенеза остаются дискутабельными.
Классификация основана на определении патоморфологических аспектов (гистологический тип клеток и дифференциация), взаимоотношения с окружающими тканями, оценки метастазирования, локализации (супратенториальная и субтенториальная). Не так давно для дифференциации в нейроморфологии начали использовать достижения иммуногистохимии и молекулярно-генетического анализа, что позволило более точно предсказать биологическое поведение опухоли, выбрать подходящий способ терапии.

Запишитесь на МРТ со скидкой 30%
Записаться на МРТ
со скидкой 30%
Мозг - орган-мишень для метастатического поражения, в этом случае говорят о вторичном процессе, расположение материнской опухоли вариативно. Диагностический поиск последней должен быть расширен, опираться на локализацию метастатических очагов.
Покажет ли МРТ опухоль?
МРТ с контрастированием - золотой стандарт в нейроонкологии для выявления опухоли головного мозга. Снимки производят в трех проекциях и разных режимах: Т1, Т2, Flair, спектроскопия и др.
МРТ показывает опухоль головного мозга, локализованную в любом, даже в самом труднодоступном его отделе. Объемные изображения, детализирующие анатомическую структуру и патологические процессы в органе, состоят из множества срезов, с толщиной от 1 мм. Магнитно-резонансное сканирование подразумевает выявление прямых и косвенных признаков новообразования. Изменение интенсивности сигнала при МРТ - достоверный показатель опухолевого процесса, как и размытость контуров, тип роста с инфильтрацией (проникновением в соседние структуры), обнаружение зон некроза, отложений кальция, кровоизлияний на фоне несовершенства опухолевого ангионеогенеза. К косвенным признакам относят:
- масс-эффект - дислокация срединных структур или сосудистого сплетения, сдвиг, сдавление, изменение контуров желудочков;
- гидроцефалию на фоне блокады ликворных путей;
- перитуморозный отек - чем больше он выражен, тем вероятнее злокачественность опухоли и пр.
МР-сканирование показывает и вторичные поражения головного мозга. По локализации метастатических очагов можно предположить расположение первичной опухоли, например, при обнаружении изменений в костях черепа и твердой оболочке необходимо дообследование на предмет выявления рака простаты, почки, меланомы; в веществе - смотрят желудок, легкие и т.п.
Можно ли распознать опухоль с помощью МРТ без контраста?
Нативная и контрастная МРТ: после усиления видны множественные мелкие метастазы головного мозга
Распознать опухоль головного мозга с помощью МРТ без контраста можно на продвинутой стадии. Малые новообразования скульптурируются значительно хуже или не видны совсем, что снижает ценность исследования. При высокой напряженности поля можно сделать нативную МРТ, снимки будут хорошего качества. Магнитно-резонансная томография выдает изображения в зависимости от запрограммированного типа сканирования, контрастирование упрощает выявление опухолей на любой стадии развития, проведение дифференциального диагноза между доброкачественным и злокачественным процессом. Побочные эффекты на введение препарата на основе хелатов гадолиния развиваются крайне редко, меньше чем у 1% людей. При наличии показаний отказываться от контрастного усиления не стоит. Пациентам, страдающим почечной или печеночной недостаточностью в декомпенсированной стадии, может быть выполнена обычная МРТ. Магнитно-резонансное сканирование без динамического контрастирования на томографе с небольшой мощностью обнаружит объемное поражение головного мозга значительных размеров. После внутривенного введения парамагнетика можно более точно определить локализацию, объем, степень инвазии, рассмотреть кровоснабжение опухоли, оценить индивидуальные особенности, что имеет значение для планирования лечения.
Покажет ли МРТ головного мозга опухоль

Коротко отвечая на вопрос, покажет ли опухоль МРТ головного мозга, можно сказать уверенное ДА. Магнитно-резонансная томография является приоритетным методом дифференциальной диагностики различных объемных образований в головном мозге, оболочке головного мозга, гипофизе, нервных жилах, сосудах. Данная методика активно используется при онкопоиске, поскольку позволяет визуализировать не только первичный очаг образования, но и метастатические поражения вещества головного мозга.
Когда нужно сделать МРТ головного мозга при опухоли
Ранняя диагностика опухолей головного мозга - это трудная задача по двум основным причинам:
- Многие опухоли мозга на ранних этапах не дают никакой клинической симптоматики, поэтому пациенту заподозрить что-то неладное по изменению в своем самочувствии очень сложно;
- Неврологические симптомы опухоли носят разнообразный характер и сильно зависят от локализации новообразования.
Свидетельствовать о возможной патологии могут:
- головные боли непонятного происхождения;
- частые головокружения;
- резкие перепады давления и сопутствующие им тошнота, рвота;
- повторяющиеся боли в шее;
- нарушение зрения и слуха;
- обморочные состояния;
- спутанность сознания, ухудшение памяти;
- мигренеподобные приступы;
- нарушения сознания, эпилепсия и другие припадки.
При клиническом осмотре больного невролог или онколог не сможет диагностировать объемное образование. Для этого потребуется аппаратная диагностика, например, МРТ или КТ головного мозга.
Покажет ли МРТ опухоль головного мозга
В большинстве случаев приоритетным методом выявление опухолевых образований будет магнитно-резонансная томография, поскольку белое и серое вещество очень хорошо визуализируется на снимках МРТ. Физика получения изображений при магнитно-резонансной томографии основывается на эффекте ядерного магнитного резонанса. Когда тело пациента помещается внутрь сканера, на мозговые структуры оказывает влияние сильное магнитное поле и радиочастотные импульсы. Под их воздействием атомы водорода в клетках начинают совершать колебательные движения. Этот резонанс фиксирует компьютер томографа, оцифровывает и переводит в трёхмерные изображения обследуемой области. Поскольку структуры головы на 80% состоят из воды, аппарат поможет сделать снимки очень высокой контрастности и четкости. Это позволяет врачам оценить:
- местоположение опухоли;
- ее размеры и форму;
- степень инвазии в соседние структуры;
- тканевой состав.
Для того, чтобы лучше всего разглядеть очаги при подозрении на объемное образование, МРТ головного мозга проводится с контрастированием. В ходе этой процедуры пациенту через вену на локтевом сгибе вводят специальный контрастный препарат на базе солей редкоземельного металла гадолиния. Контрастный состав максимально увеличивает тканевую контрастность, а по типу накопления и сбрасывания контрастного препарата врачи могут провести виртуальную гистологию опухоли и сказать, носит ли образование доброкачественный или злокачественный характер.
Особенно хорошо МРТ головы с контрастом способно показать:
- опухоли мозжечка
- глиобластому
- эпендимому
- глиальные опухоли
- метастазы
- невриномы
- менингеальные опухоли
- новообразования ствола головного мозга.
Как выглядит опухоль головного мозга на МРТ- фото
| МРТ здорового головного мозга | Глиома | Глиобластома |
Признаки опухоли на МРТ снимках
- наличие зоны измененного МР-сигнала от тканей мозга;
- гиперинтенсивный МР сигнал, гипоинтенсивный МР сигнал, гетерогенно изменений МР сигнал, изоинтенсивный МР сигнал;
- ориентировочные размеры, форма, контуры объемного образования;
- смещение, давление или изменение величины и деформации желудочков;
- аксиальная дислокация;
- блокада ликворных путей с развитом окклюзионной гидроцефалии;
- наличие перифокального отека;
- латеральная дислокация срединных структур или сосудистого сплетения “масс-эффекта”.
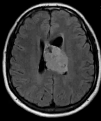
Пример МРТ расшифровки опухоль головного мозга
На серии МР-томограмм, взвешенных по Т1 и Т2-ВИ, tirm, получены суб- и супратенториальные структуры, определяются округлое объёмное патологическое образование, располагающееся по конвекситальной поверхности левой лобной доли, размером до 20х17х19 мм. Образование имеет достаточно чёткие округлые контуры, прилежит широким основанием к твердой мозговой оболочке, структура его несколько неоднородная. Вокруг образования имеется небольшой ликворный ободок и умеренно выраженный перифокальный отек головного мозга. Менингеальная оболочка на этом уровне утолщена с признаками симптома «хвоста», что наиболее характерно для менингиомы.
Срединные структуры не смещены.
Субкортикально, паравентрикулярно в белом веществе головного мозга определяются единичные очаги глиоза, имеющие четкие контуры, характеризующиеся гиперинтенсивным сигналом на Т2 ВИ и Tirm ИП, гипо- изоинтенсивным на Т1 ВИ, размерами до 3-4 мм в диаметре.
Боковые желудочки обычной конфигурации, существенно не расширены, минимально асимметричны (D>S).
Вокруг боковых желудочков имеются небольшие глиозные изменения.
III-й, IV-й желудочки, базальные цистерны не деформирован.
Стволовые структуры мозга не деформированы, имеют не измененный МР-сигнал.
Субарахноидальное пространство вне зоны патологических изменений выражено неравномерно, умеренно расширено по конвекситальной поверхности лобных, теменных долей.
Супраселлярная не деформирована. Гипофиз обычного расположения и размеров. Топография перекреста зрительных нервов не изменена.
Мосто-мозжечковые цистерны не деформированы.
Миндалины мозжечка расположены обычно.
Определяется пристеночный отёк слизистой в клетках решетчатого лабиринта и левой верхнечелюстной пазухе, имеющий повышенный сигнала на Т2 ВИ.
МР-картина объемного образования левой лобной доли с небольшим перифокальным отеком головного мозга (менингиома?).
МР-картина немногочисленных очагов глиоза вещества головного мозга сосудистого характера.
Качественная МРТ диагностика опухолей головного мозга
Для качественной томографии и безошибочной диагностики при подозрении на опухоль рекомендуется:
- проводить МРТ головного мозга на аппарате мощностью не менее 1,5 Тесла;
- шаг сканирования должен быть не менее 3 мм;
- рекомендовано применение контрастного усиления.
Мощное магнитное поле томографа при обследовании головного мозга обуславливает ряд противопоказаний. Особенность поля МРТ аппарата взаимодействовать с объектами, содержащими металл, сдвигать их с места и нарушать работу электронных систем, ограничивает проведение МРТ процедуры для пациентов, в теле которых установлены любые металлические имплантаты. Поэтому к томографическому исследованию не допускаются пациенты, которые имеют:
- протезы из металла, пластины, хирургические скобки, шунты и штифты, сосудистые катетеры из ферромагнитных материалов, а также любые металлические предметы как пули, осколки, застрявшие в теле
- искусственные сердечный клапаны, стимуляторы сердечной деятельности и дефибрилляторы
- ушной кохлеарный имплант
- вшитые медицинские помпы для дозированной подачи медикаментов
- зажимы и клипсы на сосудах.
Обращаем Ваше внимание на то, что наличие зубных протезов в общем и целом не является противопоказанием для проведения МР-сканирование головного мозга. Исключением может стать лишь очень узкая группа протезов, которые вызывают искажение изображения во время диагностики.
Если у Вас есть сомнения в отношении возможности проведения томографического исследования, позвоните нам, и мы поможем найти приемлемое решение для Вашего индивидуального случая.
Вопросы



Покажет ли МРТ опухоль головного мозга без контраста
Крупные опухоли видны на нативных бесконтрастных снимках. Мелкие метастазные поражения на базовом обследовании могут плохо визуализироваться. Признаки опухоли почти всегда видны на нативном МРТ снимке, однако не достаточно четко, чтобы провести качественную дифференциальную диагностику. Поэтому врач-рентгенолог, обнаружив в ходе бесконтрастного обследования признаки объемного образования, предлагает пациенту дополнить исследование контрастной процедурой.
| Вид исследования | Минимальная Цена | Цена на 3 Тесла |
|---|---|---|
| МРТ головного мозга | от 2800 руб. | от 5200 руб. |
| МРТ сосудов головного мозга | от 2800 руб. | от 8200 руб. |
| МРТ гипофиза | от 2800 руб. | от 5200 руб. |
| МРТ пазух носа | от 2800 руб. | от 5200 руб. |
| МРТ орбит и зрительных нервов | от 3200 руб. | от 5200 руб. |
| МРТ уха и слуховых нервов | от 3200 руб. | от 5200 руб. |
| МРТ черепно-мозговых нервов | от 3200 руб. | от 5200 руб. |
| Стоимость введения контрастного вещества | от 3500 руб. | от 3500 руб. |
Как МРТ определяет злокачественную опухоль
Злокачественные опухоли составляют до 50% всех опухолей головного мозга. Эти опухоли врач определяет по:
- нечеткости и неровности контуров и формы опухоли;
- большому перифокальному отеку;
- наличию “масс-эффекта”;
- неоднородному накоплению контрастного усиления;
- типу накопления контраста.
Как часто нужно делать МРТ после удаления опухоли
Периодичность МРТ головного мозга после удаления опухоли обычно определяет лечащий врач. Чаще всего после оперативного вмешательства первое обследование проводят через один месяц. Далее контрольные сканирования осуществляют раз в полгода в течение 3 лет после хирургического вмешательства.
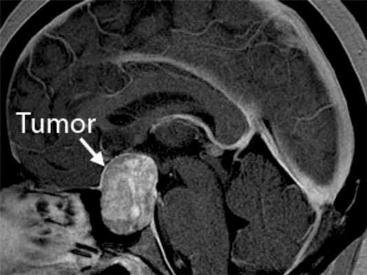
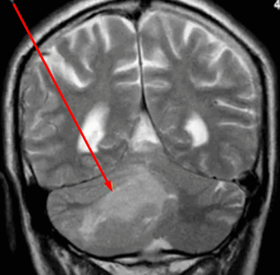
Опухоль головного мозга на МРТ

Опухоль мозжечка на МРТ (указана стрелкой)
Опухоли головного мозга долгое время диагностировали исключительно по клиническим признакам, часто слишком поздно. С появлением нейровизуализационных методов стало возможным выявление опасных патологий на ранних этапах их развития. Уже на первых стадиях формирования опухоль головного мозга на МРТ отчетливо видна, а врачи могут планировать дальнейшие действия. Ранняя диагностика увеличивает шансы на выздоровление даже при онкологических заболеваниях.
Симптомы рака головного мозга
Злокачественные опухоли составляют почти половину выявленных внутричерепных новообразований. Общими проявлениями патологических изменений в мозге могут быть:
- головные боли, часто утренние, с тошнотой и рвотой;
- вертиго (головокружение центрального происхождения);
- нарушение координации движений;
- ухудшение зрения, слуха;
- речевые расстройства;
- раздражительность;
- сонливость;
- судороги;
- поведенческие расстройства;
- слабость в мышцах лица или конечностей;
- онемение, парестезии в отдельных частях тела;
- психические нарушения и др.
Клиника опухолей отличается в зависимости от локализации, размеров, типа новообразования. Патологию дифференцируют исходя из данных, полученных при инструментальном и лабораторном обследовании, гистологического анализа тканей.
По тому, как выглядит опухоль мозга на МРТ, врачи делают предположения о ее природе. Однозначных утверждений быть не может, так как верификацию образований осуществляют с помощью гистологического анализа. Характерными признаками злокачественных опухолей головного мозга на снимках МРТ являются:
- неправильная их форма;
- нечеткие контуры новообразований;
- выраженный перифокальный отек;
- масс-эффект (смещение близлежащих структур);
- гидроцефалия;
- неоднородное накопление контраста (иногда вообще не накапливают);
- "пестрота" опухоли (кровоизлияния, некрозы и/или кисты в структуре) и др.

Глиобластома на МРТ головного мозга без контраста
Причины появления опухоли головного мозга
Точный механизм формирования злокачественных образований не установлен. Факторами риска признаны возраст старше 70 лет, принадлежность к мужскому полу. Чаще опухолевые патологии мозга обнаруживают у пациентов, которые имеют:
- отягощенный семейный анамнез;
- контакты с канцерогенными веществами;
- радиационное воздействие;
- черепно-мозговые травмы в анамнезе;
- перенесенные воспалительные патологии головного мозга.
У некоторых пациентов с обнаруженными опухолями врачам не удается выявить ни одного провоцирующего фактора, тогда как у лиц, которые регулярно подвергаются их воздействию, новообразований мозга нет. Такие сведения подвергают сомнению существующие гипотезы о происхождении онкопатологий ЦНС (центральной нервной системы).

Эпендимома при МР-сканировании головного мозга
Опухоли головы часто по своей природе являются вторичными, т.е. метастазами. По локализации образования могут быть расположены в костях черепа, мягкой и твердой мозговых оболочках, в сером и белом веществе. В структуры головы чаще метастазируют меланомы, рак почки, простаты, легкого, молочной железы, желудка.

Метастазы в головном мозге на постконтрастном изображении (указаны стрелками)
Может ли МРТ показать опухоль головного мозга?
По результатам магнитно-резонансной томографии врачи могут выявить изменения структуры тканей. Опухоли головного мозга на МРТ определяют по прямым и косвенным признакам. Врачи подозревают патологическое образование по типу и равномерности изменений МР-сигнала:
- гипо- (более слабый, чем окружающие области) или гиперинтенсивный (отклик сильнее, чем от нормальных зон);
- гетероизмененный (смешиваются разные характеристики);
- изоинтенсивный (опухоль выглядит, как другие ткани, но отличается от нормальной архитектоники мозга).
Существуют и косвенные признаки. Последние дают основания подозревать новообразование головного мозга на фоне изоинтенсивного отклика тканей или подтверждают ее наличие при измененном МР-сигнале.

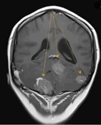
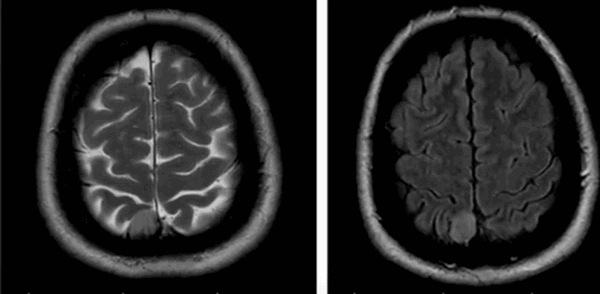
Множественные метастазы в вещество головного мозга на МРТ без контраста
Вторичными проявлениями патологии могут быть:
- латеральная дислокация срединных структур;
- смещение сосудистого пучка;
- изменение величины и деформации желудочков;
- аксиальная дислокация;
- окклюзионная гидроцефалия при блокаде ликворных путей;
- смещение или деформация базальных цистерн;
- отек мозга в зоне опухоли и вокруг нее (локальный, генерализованный, тотальный, перивентрикулярный).

До- и постконтрастное изображение злокачественной опухоли головного мозга
С помощью МРТ при раке мозга выявляют локализацию опухоли, степень ее инвазии в соседние структуры, особенности кровоснабжения, стадию заболевания и наличие метастазов. Для получения дополнительных сведений, сканирование проводят в различных последовательностях (Т1, Т2, FLAIR, диффузно-взвешенное и пр.), в нативном режиме и после контрастирования.
Заключение МРТ при опухоли головного мозга
Пациент получает результаты сканирования на бумаге и/или на информационном носителе со снимками. Заключение составляет врач-рентгенолог. Он изучает снимки, замечает отклонения от нормы и фиксирует их.

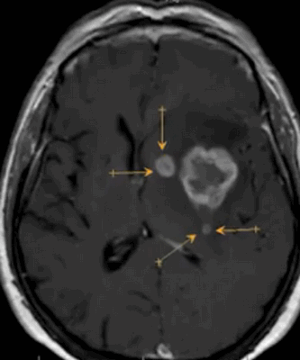
Опухоль головного мозга на МРТ с отсевами (указаны стрелками)
В заключении описывают зоны измененного МР-сигнала, их локализацию, размеры, контуры, наличие масс-эффекта, признаков перифокального отека и дислокационные явления. Выводы рентгенолога нельзя считать диагнозом. Результаты исследования должен изучить врач, который инициировал диагностику, или онколог. На поздних стадиях развития заболевания по структуре и характеристикам опухоли можно с большой долей вероятности определить ее тип. Окончательный диагноз ставят с учетом результатов других исследований.
Если МРТ покажет опухоль мозга, в диагностической клинике «Магнит» пациенты могут воспользоваться услугой «Второе мнение». Она актуальна при длительном анамнезе, в спорных ситуациях, при подозрениях на опасные патологии. Суть услуги заключается в изучении результатов МРТ вторым рентгенологом. Его мнение может подтвердить или опровергнуть выводы первого специалиста и скоординировать действия лечащего врача при назначении дальнейшего обследования.
Рак головного мозга на фото снимке МРТ
В зависимости от типа новообразования отличается его внешний вид. Изучая снимки, врач может лишь предположить природу основных вариантов опухолей по характерным признакам:
- астроцитомы — происходят из глиальной ткани, чаще выявляются в лобных и височных долях. Выглядят как зоны гипоинтенсивного МР-сигнала без четких контуров, плохо или почти не накапливают контраст, нередко содержат в своей структуре обызвествленные зоны и мелкие кисты;
- олигодендроглиомы — плотность снижена неравномерна, контуры относительно четкие, часто сливаются с отеком. Обнаруживаются в лобной или теменной долях.
- эпендимомы — предположительно образуются в эмбриональном периоде. Характеризуются четкими контурами, плотнее, чем здоровые ткани, редко вызывают отек, чаще обнаруживаются в полостях желудочков;
- глиобластомы — злокачественные опухоли, которые отличаются высокой скоростью роста и склонностью к инвазии. Выглядят на снимках, как образования неправильной формы, с нечеткими фестончатыми контурами и выраженным перифокальным отеком. Дают выраженный масс-эффект, смещают головной мозг в полости черепа, повреждая его на отдалении от своего местоположения;
- менингиомы (оболочечные опухоли). На снимках часто дают изоинтенсивный сигнал, отчетливо видны после контрастирования. Имеют четкие контуры, неправильную бугристую форму, обычно нет выраженной зоны перифокального отека;

Менингиома на МРТ
- метастазы. Выглядят, как множественные образования в тканях головного мозга различных размеров, неправильной формы, с неровными контурами, накапливающие контраст, с различной интенсивностью отека вокруг;
- невриномы — опухоли черепно-мозговых нервов. Чаще исходят из корешка VIII пары, реже V и остальных. На Т2-взвешенном изображении гиперинтенсивны по сравнению с окружающими тканями. Контуры неправильные, четкие, структура гомогенная, дают масс-эффект.

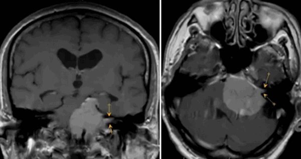
МР-изображение невриномы VIII пары черепно-мозговых нервов (стрелками указана часть опухоли, растущая из внутреннего слухового прохода)
В некоторых случаях МРТ диагностика опухолей головного мозга бывает затруднена. Гипоэхогенные образования без четких контуров могут быть перепутаны с признаками ишемического инсульта. Аппараты с низкой степенью напряжения магнитного поля и ограниченным пространственным разрешением могут «не увидеть» образование. Для диагностики патологий мозга применяют томографы мощностью от 1,5 Тл. Практически всегда дополнительно проводится МР-сканирование с контрастированием для улучшения визуализации новообразований.
В редких случаях опухоли малого размера не обнаруживают при первом обследовании. При наличии клинических проявлений заболевания врач назначает другие методы исследования или повторное сканирование.
МРТ ― безопасная и высоко информативная диагностическая процедура. Отсутствие лучевой нагрузки позволяет проводить ее столько раз, сколько нужно для контроля состояния больного. Метод актуален для предварительной оценки степени злокачественности образования, повреждения близлежащих структур, особенностей кровоснабжения опухоли. По результатам сканирования врач уточняет сохранность функций мозга, опасности заболевания и составляет план обследования или лечения. Своевременное выявление опухоли в мозге может спасти человеку жизнь. Поэтому роль МРТ в диагностике и лечении онкопатологии ЦНС чрезвычайно велика.
Читайте также:
- Уход за бровями и ресницами. Секрет выразительных глаз
- Надъядерные причины расстройств оптокинетической системы (оптокинетического нистагма)
- Респираторный дистресс-синдром. Шоковое легкое.
- Техника взятия влагалищного мазка. Методы окрашивания мазка
- Геморрагический синдром. Клиника и пример геморрагического синдрома
