Диагностика эпидуральной классической гематомы по КТ, МРТ
Добавил пользователь Евгений Кузнецов Обновлено: 01.01.2026
Эпидуральная гематома представляет собой скопление крови между внутренней поверхностью черепа и наружным слоем твердой мозговой оболочки, который называется периостом. При эпидуральной гематоме, как правило, в анамнезе имеется травма и сопутствующий перелом черепа. Источником кровотечения обычно является разрыв острыми краями перелома черепа ветвей менингеальной артерии (чаще всего, средней менингеальной артерии). Эпидуральные гематомы, как правило, имеют двояковыпуклую форму, могут иметь объемное воздействие вызывая вклинение головного мозга. Как правило, эпидуральные гематомы ограничены черепными швами. КТ и МРТ являются подходящими модальностями для диагностики эпидуральных гематом. При своевременно оказанном лечении, прогноз при эпидуральной гематоме хороший.
Эпидемиология
Обычно эпидуральные гематомы встречаются у молодых пациентов с травмой головы и переломом костей черепа в анамнезе.
Патофизиология
Источником кровотечения обычно является разрыв менингеальной артерии, как правило, средней менингеальной артерии. Сопутствующий перелом костей черепа встречается в ~ 75% случаев [2]. Болевой синдром вызывается за счет сепарацией твердой мозговой оболочки от костей черепа при кровотечении . Эпидуральные гематомы в задней черепной ямке редки, но потенциально более жизнеугрожающие 2. Иногда источником эпидуральной гематомы является разрыв венозных синусов.
Локализация
В 95% случаев эпидуральные гематомы односторонние, однако встречаются двусторонние и множественные эпидуральные гематомы.
Особые локализации ассоциированные с венозным кровотечением, включают в себя:
- в области vertex— центрально расположенной наивысшей точки свода черепа (смещают верхний сагиттальный синус) [5]
- передняя черепная ямка [6]
- возможно венозное кровотечение из сфенопариетального синуса
- не вызывают смещение срединных структур или дислокации
- редко увеличиваются в размерах
Диагностика
Для понимания морфологии эпидуральных гематом полезно понимать ее отношение к костям свода черепа и твердой мозговой оболочке. Эпидуральная гематома по сути является субпериостальной гематомой расположенной в черепе, между внутренней поверхностью черепа и париетальным слоем твердой мозговой оболочки (периостом). В результате эпидуральная гематома ограничена черепными швами, поскольку внутренний слой периоста через швы переходит в наружный слой периоста у детей и плотно срастаеться с ними у взрослых. Это позволяет дифференцировать эпудиральные гематомы от субдуральных - последние не ограничены черпными швами. Однако эпидуральные гематомы могут пересекать и смещать венозные синусы в областях где нет швов, поскольку венозные синусы расположены между париетальным и висцеральным слоями твердой мозговой оболочки. Редко эпидуральные гематомы могут пересекать швы. В исследовании Huisman TA, Tschirch FT [4] отмечено что до 11% эпидуральных гематом у детей пересекают швы в случаях:
- линия перелома пересекает линию шва
- при наличии диастаза шва
- гематома в области vertex, обычно венозного генеза, часта пересекает срединную линию локализуясь над верхним сагиттальным синусом [5]
Компьютерная томография
Эпидуральные гематомы хорошо визуализируются при КТ головного мозга. Они имеют двояковыпуклую (чечевицеобразную, линзовидную) форму, часто локализуются в области чешуйчатой части височной кости. Эпидуральные гематомы имеют гиперденсивную плотность, несколько неоднородны и имеют четкие границы. В зависимости от размера, могут иметься признаки вторичного объемного воздействия (напр., смещение срединных структур, subfalcine грыжа, UNCAL грыжа).
При остром кровотечение могут иметь неоднородную структуру за счет менее гиперденсивной свежей крови. Периферическое контрастное усиление встречается при визуализации хронических эпидуральных гематом и обусловленно грануляциями и неоваскуляризацией.
Магнитно-резонансная томография
МРТ позволяет четко визуализировать смещенную твердую мозговую оболочку, в виде гипоинтесивной линии на Т1 и Т2 последовательностях, что помогает отдифференцировть эпидуральную гематому от субдуральной.
Остая эпидуральная гематома имеет изоинтенсивный МР сигнал на Т1 ВИ и может иметь различную интенсивность МР сигнала на Т2 последовательностях.
Ранняя подострая эпидуральная гематома гипоинтенсивна на Т2 изображениях, в то время как поздняя и хроническая эпидуральная гематома будут иметь гиперинтесивный МР сигнал как на Т1 так и на Т2 последовательностях.
Внутривенное введение контраста позволяет визуализировать смещенные или окклюзированные венозные синусы в случаях венозного источника эпидурального гематомы.
Дифференциальный диагноз
При больших размерах гематомы обычно не возникает сложности с постановкой правильного диагноза. При небольших размерах, особенно с сопутствующим поражением паренхимы (напр. ушиб головного мозга, травматическое субарахноидальное кровоизлияние, субдуральная гематома) дифференциальная диагностика может быть затруднительна.
Субдуральная гематома
Субдуральные гематомы представляют собой скопление крови в пространстве между твердой мозговой и паутинной оболочками мозга. Может встречаться в любой возрастной группе, основаня причина - черепно-мозговая травма. КТ достаточно, чтобы поставить диагноз. Прогноз варьирует в широких пределах в зависимости от размеров и давности кровоизлияния. Более > 70% субдуральных гематом имеют другие важные повреждения: САК, ДАП, контралатеральные ушибы.
Субдуральные гематомы встречаются во всех возрастных группах:
- у детей чаще случайная травма,
- у молодых людей: дорожно-транспортные происшествия,
- у лиц пожилого возраста: падения (явный анамнез травмы может отсутствовать),
- встречаются в ~ 15% всех случаев травм головы,
- встречаются в 30% от травм головы со смертельным исходом.
Клиническая картина
Острые субдуральные гематомы обычно встречаются при черепно-мозговой травме, особенно у молодых пациентов, где они сочетаются с ушибами головного мозга. У большинства пациентов (65-80%) субдуральные гематомы сопутствуют выраженному угнетению сознания и аномалии зрачкового рефлекса. Клинические проявления подострых / хронических субдуральных гематом у пожилых людей без или с незнечительной травмой головы в анамнезе, часто являются неопределенными и являются одной из классических причин псевдо-деменции.
Патология
Субдуральные гематомы возникают при растяжении и разрыве мостиковых вен, залегающих в субдуральном пространстве, при воздействии внезапно возникающих сдвигающих сил при травме. Так же может повреждаться паутинная оболочка, вызывая скопление крови между паутинной и твердой мозговой оболочками. В 10 - 30% хронических субдуральных гематом имеются повторные кровоизлияния. Повторные кровотечения обычно происходят при разрыве перерастянутых корковых вен, так как они пересекают увеличенное заполненное субдуральное пространство, или из васкуляризированной псевдокапсулы. Субдуральные гематомы располагаются между твердой мозговой и паутинной оболочкой. Как правило они имеют лентовидную форму или форму полумесяца, и я вляются более протяженными чем эпидуральные гематомы. В отличие от эпидуральной гематомы, субдуральные гематомы не ограничиваются швами черепа, но ограничиваются серпом мозга и наметом мозжечка.
У взрослых 85% субдуральных гематом являются односторонними. У детей раннего возраста 75-85% являются двусторонними. Типичные места локализации субдуральных гематом лобно-теменные области и средняя черепная ямка. Межполушарные субдуральные гематомы чаще встречаются у детей с не дорожно-транспортными травмами. В подавляющем большинстве случаев, КТ достаточно для постановки диагноза. Введение контраста иногда бывает полезно, если есть подозрение на субдуральную эмпиему, при подозрении на наличие небольшой изоденсивной субдуральной гематомы или попытке разграничить расширение субарахноидальных пространств от хронической субдуральной гематомы.
Ренгенография черепа
При наличии КТ или МРТ модальностей нецелесообразна, бесполезна и даже вредна.
Признак "водоворота" - это признак активного кровотечения. Проявления субдуральной гематомы при КТ зависят от давности и степени организации гематомы - в среднем плотность субдуральной гематомы снижается на 1,5 HU в день.
Острейшая субдуральная гематома
В большинстве случаев, исследование пациентам проводится позднее острейшей фазы (первый час), но в случаях когда исследование выполнено в этот период, субдуральные гематомы появляются относительно изоденсивной плотностью по отношению к коре головного мозга, с неоднородностью в виде завихрениий, из-за смеси сгустков крови и продолжающегося поступления не свернувшейся крови. Степень отека головного мозга (особенно у молодых пациентов, у которых черепно-мозговая травма часто является более тяжелой) влияет на объемное воздействие, нет прямой связи между размером субдуральной гематомы и степенью дислокации [2].
Острая субдуральная гематома
Классическая картина острой субдуральной гематомы - однородная гиперденсивная экстра-аксиально расположенная зона лентовидной формы или формы полумесяца, которая широко распространяется вдоль конвекса гемисферы головного мозга. По мере сворачивания крови, плотность гематомы увеличивается, как правило, до > 50-60 HU, таким образом, гематома является гиперденсивной по отношению к коре головного мозга [2]. До 40% субдуральных гематом имеет смешанную гипер- или гиподенсную плотность, за счет несвернувшейся крови и плазмы. Редко, острые субдуральные гематомы могут быть изоденсивной плотности по отношению к коре головного мозга, что встречается при коагулопатиях или тяжелой анемии, когда концентрация гемоглобина падает до 8 до 10 г/дл.
Подострая субдуральная гематома
Со временем за счет деградации белков плотность сгустков крови снижается. В период от 3 до 21 дней (обычно 7-14 дней), плотность снижается до ~30 HU и гематома становиться изоденсивной относительно коры головного мозга, что затрудняет диагностику, особенно если имеются двусторонние субдуральные гематомы [2]. Контрастное усиление при КТ полезно при отсутствии возможности выполнить МРТ. Ключевыми моментами в диагностике является ряд косвенных признаков:
- ЦСЖ борозд не доходит не костей черепа
- объемное воздействие включающее сглаживание борозд и латеральную дислокацию срединных структур
- кажущееся утолщение коры
Хроническая субдуральная гематома
В конечном счете субдуральная гематома становится гиподенсной и может достигать ~ 0 HU, она может быть изоденсивной относительно ЦСЖ и может симулировать субдуральную гигрому.
Повторное острое кровоизлияние в хронической субдуральной гематоме
Повторным острым кровоизлияним в хроническую субдуральную гематому считается эпизод острого кровоизлияния в ранее существовующую хроническую субдуральную гематому. Проявляется в вид гиподенсного скопления с уровнями. Может наблюдаться у пациентов с нарушениями свертывания крови или принимающих антикоагулянты [2].
Магнитно-резонасная томография
Проявления обычно обусловлены биохимическими свойствами гемоглобина который варьируют от сроков гематомы. Наиболее чувствительной является FLAIR последовательность.
Сверхострая субдуральная гематома
- T1: изоинтенсивный сигнал, по отношению к сигналу от серого вещества головного мозга
- T2: интенсивность сигнала варьирует от изо- до гиперинтенсивного
- FLAIR: гиперинтенсивный сигнал, по отношению к сигналу ЦСЖ
- T1: интенсивность сигнала варьирует от изо- до гиперинтенсивного, по отношению к сигналу от серого вещества головного мозга
- T2: сигнал гипоинтенсивный, по отношению к серому веществу
- FLAIR: гиперинтенсивный сигнал, по отношению к сигналу ЦСЖ
Во фронтальной плоскости может иметь двояковыпуклую форму, а не форму полумесяца, которая является типичной в аксиальной плоскости
Субдуральная гематома — ограниченное внутричерепное скопление крови, локализующееся между твердой и арахноидальной мозговыми оболочками. В большинстве случаев является следствием травмы. Проявляется вариативными по форме и длительности нарушениями сознания и психики, головной болью, рвотами, очаговым неврологическим дефицитом (мидриаз, гемипарез, экстрапирамидные расстройства). Решающую роль в диагностике имеют данные КТ или МРТ. В легких случаях достаточным является консервативное лечение (антифибринолитическое, противоотечное, симптоматическое), но чаще требуется хирургическое удаление гематомы.
![Субдуральная гематома]()
![МРТ головного мозга. Массивная двухсторонняя хроническая субдуральная гематома.]()
![КТ головного мозга. Подострая субдуральная гематома справа]()
Общие сведения
Субдуральная гематома — локальное скопление крови, находящееся между твердой и паутинной (арахноидальной) церебральными оболочками. Составляет около 40% от всех внутричерепных кровоизлияний, к которым также относятся эпидуральные и внутримозговые гематомы, желудочковые и субарахноидальные кровоизлияния. В преобладающем большинстве наблюдений субдуральная гематома выступает следствием черепно-мозговой травмы, частота ее встречаемости при тяжелой ЧМТ доходит до 22%. Гематомы субдуральной локализации могут возникать в любом возрасте, но чаще наблюдаются у людей старше 40 лет. Среди пациентов соотношение мужчин к женщинам составляет 3:1.
Субдуральные гематомы классифицируют на острые (проявляющиеся в первые 3-е суток ЧМТ), подострые (проявляющиеся в период от 3-х суток до 2-х недель с момента травмы) и хронические (проявляющиеся позднее 2-х недель). Согласно МКБ-10, выделяют нетравматическое и травматическое субдуральное кровоизлияние с наличием/отсутствием проникающей в череп раны. В клинической практике субдуральная гематома является предметом изучения для специалистов в области травматологии, нейрохирургии и неврологии.
![Субдуральная гематома]()
Причины
Субдуральная гематома формируется преимущественно вследствие возникающего в результате ЧМТ разрыва интракраниальных вен, проходящих в субдуральном пространстве. Гораздо реже она возникает вследствие сосудистой церебральной патологии (артерио-венозных мальформаций и аневризм церебральных сосудов, гипертонической болезни, системного васкулита) и нарушений свертывания крови (коагулопатии, терапии антикоагулянтами). Отличием от эпидуральной гематомы является возможность двустороннего образования субдуральной гематомы.
Субдуральная гематома на стороне действия повреждающего агента (гомолатеральная гематома) образуется при малоподвижной голове и небольшой площади контакта с травмирующим предметом. Формирование гематомы возможно и без прямого контакта черепа с травмирующим фактором. Это может произойти при резкой остановке или перемене направления движения. Например, во время езды в транспорте, при падении на ягодицы или на ноги. Происходящее при этом резкое встряхивание головы обуславливает смещение полушарий мозга внутри черепной коробки, влекущее за собой разрыв интракраниальных вен.
Субдуральная гематома, противоположная стороне повреждения, носит название контрлатеральной. Она формируется при ударе черепа о массивный малоподвижный объект или при действии на неподвижную голову травмирующего предмета с большой площадью контакта. Контрлатеральная субдуральная гематома часто связана с разрывом вен, которые впадают в сагиттальный венозный синус. Намного реже гематомы субдурального пространства обусловлены непосредственным травмированием вен и артерий мозговой коры, происходящем при разрыве твердой церебральной оболочки. На практике часто наблюдаются двусторонние субдуральные гематомы, что связано с одновременным приложением нескольких механизмов травмирования.
Острая субдуральная гематома формируется преимущественно при тяжелой ЧМТ, подострая или хроническая — при легких формах ЧМТ. Хроническая субдуральная гематома заключена в капсулу, которая образуется спустя неделю после травмы благодаря активации фибробластов твердой оболочки мозга. Ее клинические проявления обусловлены нарастающим увеличением объема.
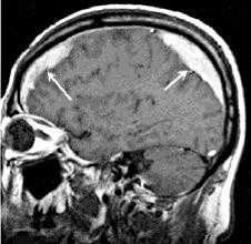
![МРТ головного мозга. Массивная двухсторонняя хроническая субдуральная гематома.]()
Симптомы
Общемозговые симптомы
Среди общемозговых проявлений отмечаются расстройства сознания, нарушения психики, цефалгия (головная боль) и рвота. В классическом варианте характерна трёхфазность нарушений сознания: утрата сознания после ЧМТ, последующее восстановление на какое-то время, обозначаемое как светлый промежуток, затем повторная утрата сознания. Однако классическая клиника встречается достаточно редко. Если субдуральное кровоизлияние сочетается с ушибом головного мозга, то светлый промежуток вообще отсутствует. В других случаях он имеет стертый характер.
Длительность светлого промежутка весьма вариабельна: при острой гематоме — несколько минут или часов, при подострой — до нескольких суток, при хронической — несколько недель или месяцев, а иногда и несколько лет. В случае длительного светлого промежутка хронической гематомы его окончание может быть спровоцировано перепадами артериального давления, повторной травмой и др. факторами.
Среди нарушений сознания преобладают дезинтеграционные проявления: сумеречное состояние, делирий, аменция, онейроид. Возможны расстройства памяти, корсаковский синдром, «лобная» психика (эйфория, отсутствие критики, нелепое поведение). Зачастую отмечается психомоторное возбуждение. В ряде случаев наблюдаются генерализованные эпиприступы.
Пациенты, если возможен контакт, жалуются на головную боль, дискомфорт при движении глазными яблоками, головокружение, иррадиацию боли в затылок и глаза, гиперчувствительность к свету. Во многих случаях больные указывают на усиление цефалгии после рвоты. Отмечается ретроградная амнезия. При хронических гематомах возможно снижение зрения. Острые субдуральные гематомы, приводящие к компрессии мозга и масс-эффекту (дислокационному синдрому), сопровождаются признаками поражения мозгового ствола: артериальной гипотонией или гипертензией, дыхательными нарушениями, генерализованными расстройствами тонуса мышц и рефлексов.
Очаговые симптомы
Наиболее важным очаговым симптомом выступает мидриаз (расширение зрачка). В 60% случаев острая субдуральная гематома характеризуется мидриазом на стороне ее локализации. Мидриаз противоположного зрачка встречается при сочетании гематомы с очагом ушиба в другом полушарии. Мидриаз, сопровождающийся отсутствием или снижением реакции на свет, типичен для острых гематом, с сохранной реакцией на свет — для подострых и хронических. Мидриаз может сочетаться с птозом и глазодвигательными нарушениями.
Среди очаговой симптоматики можно отметить центральный гемипарез и недостаточность VII пары (лицевого нерва). Нарушения речи, как правило, возникают, если субдуральная гематома располагается в оболочках доминантного полушария. Сенсорные расстройства наблюдаются реже пирамидных нарушений, затрагивают как поверхностные, так и глубокие виды чувствительности. В ряде случаев имеет место экстапирамидный симптомокомплекс в виде пластического тонуса мышц, оральных автоматизмов, появления хватательного рефлекса.
Диагностика
Вариабельность клинической картины затрудняет распознавание субдуральных кровоизлияний. При диагностике неврологом учитываются: характер травмы, динамика нарушения сознания, наличие светлого промежутка, проявления «лобной» психики, данные неврологического статуса. Всем пациентам в обязательном порядке проводится рентгенография черепа. В отсутствие других способов распознаванию гематомы может способствовать Эхо-ЭГ. Вспомогательным методом диагностики хронических гематом выступает офтальмоскопия. На глазном дне офтальмолог зачастую определяет застойные диски зрительных нервов с их частичной атрофией. При проведении ангиографии церебральных сосудов выявляется характерный «симптом каймы» - серповидная зона аваскуляризации.
Решающими методами в диагностике субдуральной гематомы являются КТ и МРТ головного мозга. В диагностике острых гематом предпочтение отдается КТ головного мозга, которая в таких случаях выявляет однородную зону повышенной плотности, имеющую серповидную форму. С течением времени происходит разуплотнение гематомы и распад кровяных пигментов, в связи с чем через 1-6 нед. она перестает отличается по плотности от окружающих тканей. В подобной ситуации диагноз основывается на смещении латеральный отделов мозга в медиальном направлении и признаках сдавления бокового желудочка.
![КТ головного мозга. Подострая субдуральная гематома справа]()
При проведении МРТ может наблюдаться пониженная контрастность зоны острой гематомы; хронические субдуральные гематомы, как правило, отличаются гиперинтенсивностью в Т2 режиме. В затруднительных случаях помогает МРТ с контрастированием. Интенсивное накопление контраста капсулой гематомы позволяет дифференцировать ее от арахноидальной кисты или субдуральной гигромы.
Лечение
Консервативная терапия осуществляется у пациентов без нарушений сознания, имеющих гематому толщиной не более 1 см, сопровождающуюся смещением церебральных структур до 3 мм. Консервативное лечение и наблюдение в динамике с МРТ или КТ контролем показано также пациентам в коме или сопоре при объеме гематомы до 40 мл и внутричерепном давлении ниже 25 мм рт. ст. Схема лечения включает: антифибринолитические препараты (аминокапроновую кислоту, викасол, апротинин), нифедипин или нимодипин для профилактики вазоспазма, маннитол для предупреждения отека мозга, симптоматические средства (противосудорожные, анальгетики, седативные, противорвотные).
Острая и подострая субдуральная гематома с признаками сдавления головного мозга и дислокации, наличием очаговой симптоматики или выраженной внутричерепной гипертензии являются показанием к проведению срочного хирургического лечения. При быстром нарастании дислокационного синдрома проводится ургентное эндоскопическое удаление гематомы через фрезевое отверстие. При стабилизации состояния пациента нейрохирургами осуществляется широкая краниотомия с удалением субдуральной гематомы и очагов размозжения. Хроническая гематома требует хирургического лечения при нарастании ее объема и появлении застойных дисков при офтальмоскопии. В таких случаях она подлежит наружному дренированию.
Прогноз и профилактика
Число смертельных исходов составляет 50-90% и наиболее высоко у пожилых пациентов. Следует отметить, что летальность обуславливает не столько субдуральная гематома, сколько травматические повреждения тканей мозга. Причиной смерти также являются: дислокация мозговых структур, вторичная церебральная ишемия, отек головного мозга. Угроза смертельного исхода остается и после хирургического лечения, поскольку в послеоперационном периоде возможно нарастание церебрального отека. Наиболее благоприятные исходы отмечаются при проведении операции в первые 6 ч. с момента ЧМТ. В легких случаях при успешном консервативном лечении субдуральная гематома рассасывается в течение месяца. Возможна ее трансформация в хроническую гематому.
Профилактика субдуральных кровоизлияний тесно связана с предупреждением травматизма вообще и травм головы в частности. К мерам безопасности относятся: ношение шлемов при езде на мотоцикле, велосипеде, роликах, скейте; ношение касок на стройке, при восхождении в горах, занятии байдарочным спортом и другими видами экстрима.
КТ, Эхоэнцефалография и МРТ при эпидуральной гематоме - что покажет
![]()
КТ черепа, эхоэнцефалография (М-ЭХО), МРТ головного мозга являются аппаратными методами диагностики эпидуральной гематомы. Исходя из первичных симптомов, истории болезни, противопоказаний и диагностических целей, врач нейрохирург назначает необходимые способы обследования.
В большинстве случаев, КТ черепа выбирается как первичный метод диагностики. Если результаты исследования носят тревожный или неясный характер, дополнительно назначается:
Что такое эпидуральная гематома
Эпидуральная гематома возникает вследствие скопления массы крови между черепом и защитным покрытием мозга. Обычно она появляется вследствие тупой травмы головы, когда мозг, буквально, отскакивает от внутренних частей черепа. Из-за этого может разорваться слизистая оболочка и кровеносные сосуды мозга, что приводит к внутреннему кровотечению и, как следствию, гематоме. Эпидуральная гематома способна давить на мозг и провоцировать его набухание, вследствие чего происходит смещение органа внутри черепа. Это, в свою очередь, провоцирует возникновение нарушений зрения, речи, сознания и подвижности. Без должного лечения скопление крови способно спровоцировать летальный исход.
Симптомы эпидуральной гематомы
Проявления эпидуральной гематомы зависят от тяжести травмы. Симптомы могут возникнуть уже через несколько минут с момента получения повреждения. Об эпидуральной гематоме свидетельствуют:
- спутанность сознания
- головокружение
- сонливость
- сильная головная боль
- тошнота и рвота
- увеличение зрачка одного из глаз
- односторонняя потеря зрения
- слабость некоторых конечностей
- одышка и другие изменения дыхания.
При особо тяжелых повреждениях пациент может потерять сознание или впасть в кому. Вне зависимости от сложности травмы, медицинскую помощь нужно оказать незамедлительно.
Причины появления эпидуральной гематомы
Обычно эпидуральная гематома возникает в результате травмы головы: удара, ДТП, столкновения в контактных видах спорта или физического насилия.
Группы риска
Есть несколько категорий пациентов, которые наиболее подвержены возникновению эпидуральной гематомы:
- пожилые люди
- люди с двигательными расстройствами
- лица, перенесшие травмы головы
- пациенты, принимающие кроворазжижающие препараты
- алко- и наркозависимые
- лица, не пользующиеся средствами личной безопасности во время вождения (шлемами и пристегивающимися ремнями).
КТ, М-ЭХО и МРТ в диагностике эпидуральной гематоме
Для определения эпидуральной гематомы используется несколько диагностических методов:
- неврологические исследования для оценки когнитивных и двигательных функций
- компьютерная или магнитно-резонансная томография головного мозга для оценки состояния черепа и мягких тканей мозг
- электроэнцефалография для определения электрической активности головного мозга.
Разница между МРТ и КТ
Компьютерная томография и магнитно-резонансная томография используются для получения изображений органов и тканей в трехмерной проекции. Разница в томографии заключается в том, что при МРТ используются радиоволны, а при КТ - рентгеновские лучи для получения изображения. Хотя оба томографических метода имеют высокую информативность, есть диагностические различия, которые могут сделать каждый из них более подходящим вариантом в зависимости от обстоятельств.
КТ-сканирование более быстрая форма диагностики, чем магнитно-резонансная томография, и обычно используется для экстренного обследования. При использовании как КТ, так и МРТ существуют определенные риски. Они зависят от типа визуализации, а также от способа ее проведения. К рискам КТ относятся: вред для внутриутробного ребенка при беременности и доза радиации. Риски МРТ включают реакции на металлические импланты в теле из-за сильного магнитного поля, громкий шум от аппарата, повышенная, клаустрофобические риски.
Если врачу нужны более детальные изображения мягких тканей, связок или органов высоким состоянием воды, обычно назначается магнитно-резонансная томография. Если необходимо получить хорошие изображение костных структур и полых органов, обычно рекомендуется компьютерная томография.
План лечения будет зависеть от тяжести вашего состояния и имеющихся симптомов.
В большинстве случаев ваш врачи прибегают к хирургическому удалению гематомы. Операция называется краниотомией. Она подразумевает вскрытие части черепной коробки с последующим извлечением скопления крови.
Альтернативой краниотомии является аспирация. В данном случае удаление гематомы происходит с помощью специального насоса. Аспирация назначается только при небольших гематомах, которые не оказывают давления на головной мозг.
Перед краниотомией или аспирацией врач-травматолог может назначить курс лекарств, которые помогут уменьшить воспаление и уровень внутричерепного давления. Как правило, лечение происходит с помощью гиперосмотических агентов: маннитола, глицерина и гипертонического солевого раствора. Перечисленные препараты предназначены для уменьшения отека мозга.
После удаления гематомы врач может прописать противосудорожные препараты. Их придется принимать в течение нескольких месяцев или даже лет, в зависимости от тяжести повреждения.
После проведения основного лечения, пациенту может потребоваться физиотерапия или трудотерапия. Обычно реабилитационные мероприятия назначаются лицам, столкнувшимся со следующими проблемами:
- слабость
- недержание мочи
- нарушение двигательных функций
- частичное онемение конечностей или паралич.
Восстановление физических способностей происходит преимущественно за счет специальных упражнений, которые направлены на возвращение функциональности тела человека. В других случаях для пациентов разрабатываются программы, помогающие вернуть способности к самообслуживанию и принятию каких-либо решений.
МРТ и КТ при субдуральной гематоме - что покажет
![]()
МРТ головного мозга, КТ черепа являются аппаратными методами диагностики субдуральной гематомы. Исходя из первичных симптомов, истории болезни, противопоказаний и диагностических целей, врач невролог назначает необходимые способы обследования.
В большинстве случаев, МРТ головного мозга выбирается как первичный метод диагностики. Если результаты исследования носят тревожный или неясный характер, дополнительно назначается:
Субдуральная гематома - тип гематомы, обычно ассоциированный с черепно-мозговой травмой. Обычно возникает после травмы головы и может быть внезапным или хроническим. Субдуральные гематомы возникают при разрыве вены между черепом и поверхностью мозга. Сгусток крови на поверхности мозга также называется субдуральной гематомой. Субдуральные гематомы опасны для жизни, особенно если они возникают после тяжелой черепно-мозговой травмы. Восстановление после любой тяжелой черепно-мозговой травмы происходит по-разному, а исходы после субдуральных гематом зависят от возраста, типа гематомы и того, как быстро было оказано лечение.
Типы субдуральной гематомы
Острая субдуральная гематома
Если есть серьезная черепно-мозговая травма, поврежденная область может заполниться кровью и вызвать симптомы, угрожающие жизни. Это называется острой субдуральной гематомой - самый опасный тип. Острые субдуральные гематомы обычно образуются из-за тяжелой травмы головы. Они появляются быстро, и признаки появляются сразу же. Около 20-30 % больных полностью или частично восстанавливают функции мозга после острой субдуральной гематомы. От 50 до 90 % пациентов с острой субдуральной гематомой умирают от этого состояния или его осложнений.
Хроническая субдуральная гематома
Хронические субдуральные гематомы развиваются из-за незначительных травм головы. Многие пациенты, которым ставят этот диагноз, даже не помнят точного события, которое вызвало кровотечение. У пожилых частота хронических субдуральных гематом выше. Это связано с тем, что с возрастом мозг уменьшается, оставляя дополнительное пространство в черепе и позволяя венам легче повреждаться при травме головы. Симптомы хронических субдуральных гематом заметны не сразу и могут не проявляться в течение нескольких недель. Наиболее распространенным признаками является головная боль, которая отмечается в 80 % случаев. Хронические субдуральные гематомы легче поддаются лечению, чем острые субдуральные. Однако они могут вызывать опасные для жизни осложнения.
Симптомы субдуральной гематомы мозга
Острые субдуральные гематомы вызывают симптомы сразу. Хронические субдуральные гематомы сначала могут не проявляться, но со временем приводят к серьезным осложнениям. Общими симптомами субдуральной гематомы являются:
- невнятная речь
- потеря сознания
- кома
- потеря функции одной стороны тела
- судороги
- онемение
- сонливость
- сильные головные боли
- слабость
- нарушения ходьбы
- нарушения зрения
- изменения личности
- тошнота или рвота.
Причины острой и хронической субдуральной гематомы
Острые субдуральные гематомы обычно вызываются:
- автомобильной аварией
- ударом по голове
- серьезным падением.
Хронические субдуральные гематомы обычно вызваны легкой или повторяющейся травмой головы. Некоторые хронические субдуральные гематомы образуются без видимых причин.
Факторы риска
Острые субдуральные гематомы обычно возникают у пациентов, недавно перенесших травму головы. До 20 % больных с черепно-мозговыми травмами также имеют субдуральную гематому. Хронические субдуральные гематомы чаще всего встречаются у:
- пожилых пациентов
- больных, принимающие антикоагулянты
- пациентов с историей алкоголизма или злоупотребления алкоголем.
Осложнения
Осложнения субдуральных гематом могут возникнуть вскоре после травмы или через некоторое время после ее лечения. К ним относятся:
- грыжа головного мозга
- судороги
- постоянная мышечная слабость или онемение.
Уровень осложнений зависит от того, насколько сильно был поврежден мозг. Пациенты, принимающие антикоагулянты, подвержены более высокому риску осложнений. Больные старше 65 лет также имеют повышенный риск осложнений, особенно при хронических субдуральных гематомах. Осложнения субдуральных гематом, включая судороги, возникают даже после их удаления и восстановления непосредственных симптомов.
МРТ и КТ в диагностике субдуральной гематоме
Субдуральная гематома может быть диагностирована с помощью визуализационных исследований, таких как КТ головного мозга или МРТ головного мозга . Эти сканирования позволяют врачу получить подробное представление о состоянии: мозга, черепа, кровеносных сосудов. Врач может также назначить полный анализ крови, который измеряет количество эритроцитов, лейкоцитов и тромбоцитов.
Признаки острой субдуральной гематоме на КТ снимках
- имеют смешанную гипер-, гиподенсную структуру за счетактивного кровотечения (симптом водоворота), скопления СМЖ вследствие разрыва паутинной оболочки, а также ретракции кровяного сгустка
- при отсутствии нового кровоизлияния плотность уменьшается + 1,5 HU/день
- смещение кнутри корковых вен и границы перехода серое-белое вещество
- твердая мозговая оболочка и мембраны контрастируются в подострой стадии.
Признаки острой субдуральной гематоме на МРТ снимках
- сигнал от изо- до умеренно гиперинтенсивного
- гипоинтенсивный сигнал • FLAIR
- интенсивность сигнала изменяется в зависимости от относительных эффектов на время Т1 и Т2
- острые гематомы могут быть изоинтенсивны ликвору вследствие эффекта укорочения времени Т2, вызванного внутриклеточным метгемоглобином
- часто развиваются повторные кровоизлияния; при первичном обследовании возможно обнаружение продуктов как острого, так и хронического кровоизлияния
- разрыв мембран, образованных мягкой и паутинной оболочками, может привести к просачиванию СМЖ в СДГ и изменению интенсивности сигнала путем «разведения» крови ликвором.
Читайте также:
- Техника и этапы операции при гиперпаратиреозе на паращитовидных железах
- Эмбриональное развитие человека. Оплодотворение
- Примеры пигментных вариантов меланомы хориоидеи
- Урежение пульса на фоне адреноблокаторов. Дозировки бета-блокаторов после инфаркта миокарда
- Ганглионевромы детей. Опухоли надпочечников детей





