Диагностика гемангиоперицитомы по КТ, МРТ
Добавил пользователь Евгений Кузнецов Обновлено: 28.01.2026
Гемангиоперицитома - это редкая опухоль, которая развивается из сосудов капиллярного типа, поэтому она может встречаться везде, где есть кровеносные сосуды, но преимущественно на коже го¬ловы и конечностей, в подкожной жировой клетчатке и скелетных мышцах нижних конечностей. В редких случаях гемангиоперицитома может локализоваться в околоносовых пазухах. Обычно она одинаково отмечается как у мужчин, так и у женщин, чаще всего в пожилом возрасте. Гемангиоперицитома редко как проявляется и зачастую выявляется случайно. Для гемангиоперицитом характерно агрессивное течение с тенденцией к рецидивированию и метастазированию. Эта опухоль может также встречаться и в головном мозге, вызывая типичную клиническую картину опухоли мозга. По своему гистологическому типу могут быть доброкачественными, с медленным ростом, и злокачественными, с характерным инфильтрирующим ростом и метастазированием в отдаленные органы (в легкие, костную ткань и т.д.).
Симптоматика гемангиоперицитомы головного мозга
Гемангиоперицитома обычно выявляется в виде мягкотканых образований с бугристой узловатой поверхностью. Кожа над гемангиоперицитомой обычно не изменена, иногда может быть синюшно-красной. Опухоль чаще всего безболезненная. Если гемангиоперицитома локазилизуется в головном мозге, могут возникать такие симптомы, как головная боль, тошнота и рвота, головокружения, нарушения координации движений, нарушение зрения, повышение внутричерепного давления, и другая очаговая неврологическая симптоматика. Обычно проявления интракраниальной локализации гемангиоперицитомы зависит от того, в каком отделе развилась опухоль.
Диагностика гемангиоперицитомы головного мозга
Диагностика гемангиоперицитомы основана на таких методах исследования, как неврологическое обследование и инструментальные методы. Неврологическое исследование включает в себя оценку рефлексов и кожной чувствительности. Врач также оценивает движения в конечностях. При нарущениях зрения проводится консультация офтальмолога. Из других методов диагностики могут применяться электромиография или электронейрография.
При локализации гемангиоперицитомы в головном мозге применяются такие методы, как компьютерная томография и магнитно-резонансная томография, а также рентгенологические методы, как пневмомиелография и вентрикулография. Для их проведения проводится люмбальная пункция, с помощью которой также проводится анализ спинномозговой жидкости на атипичные клетки.
Ключевую роль в диагностике гемангиоперицитомы играют такое методы, как компьютерная томография и магнитно-резонансная томография. Они позволяют получить послойное изображение тканей головного мозга. Это неинвазивные методы, которые основаны на рентгеновском излучении (КТ) и мощном магнитном поле (МРТ). Эти методы диагностики отличаются высокой точностью и позволяют врачу определить точную локализацию опухоли, ее размеры, форму, отношение к соседним тканям и органам.
В некоторых случаях может также применяться УЗИ головного мозга (М-эхо), которое позволяет оценить смещение срединных структур мозга. Помимо указанных методов могут применяться ангиография сосудов головного мозга, электроэнцефалография и сцинтиграфия.
Лечение гемангиоперицитомы
Лечение гемангиоперицитомы включает в себя все методы, которые используются в лечении опухолей головного мозга. Это хирургическое вмешательство и лучевая терапия, а при злокачественных гемангиоперицитомах - химиотерапия.
Стандартным методом лечения гемангиоперицитом головного мозга является хирургическое вмешательство. Выбор того или иного метода оперативного вмешательства зависит от таких факторов, как локализация и размеры опухоли. Хирургическое вмешательство может быть как традиционное открытое, в виде трепанации черепа, так и малоинвазивное, эндоскопическое. Этот метод применяелся при локализации гемангиоперицитомы в области околоносовых пазух. При этом используется эндоназальный доступ через носовые ходы. Преимуществом малоинвазивного метода является его меньшая травматичность, меньший риск осложнений и более быстрое заживление, что означает более короткий послеоперационный период. В некоторых случаях оперативное вмешательство дополняется лучевой терапией, как до операции, так и после нее. Это проводится для уменьшения размеров опухоли, или для полного уничтожения опухолевых клеток, которые могли остаться после операции.
Лучевая терапия может применяться как самостоятельный метод лечения в случае, когда опухоль имеет труднодоступную локализацию, а также когда риск осложнений операции слишком высок. Лучевая терапия проводится в виде курса, который длится несколько недель. Обычно в неделю проводится пять сеансов облучения. Недостатками лучевой обычной терапии может быть риск возникновения лучевого дерматита и выпадение волос на облучаемом участке. Кроме того, традиционная лучевая терапия не приводит к полному уничтожению опухоли, так как для этого пришлось бы применять слишком большие дозы радиации. Однако, сегодня лучевая терапия все чаще уступает место стереотаксической лучевой терапии - так называемой радиохирургии.
Радиохирургия - это инновационная современная неинвазивная технология применения радиации, которая позволяет получить эффект, сравнимый с операцией без всяких разрезов. Суть радиохирургии заключается в том, что с помощью специального аппарата опухоль облучается тонким слабым пучком радиации каждый раз с разных сторон. При этом, через окружающие опухоль мягкие ткани проходит безопасная доза радиации, а на самой опухоли концентрируется максимальная доза облучения. Метод радиохирургии очень точный, и позволяет всегда направлять луч радиации на опухоль. Преимуществами технологии радиохирургии является, прежде всего, ее неинвазивность, что снижает риск осложнений. Кроме того, этот метод совершенно безболезненный, то есть, нет необходимости в проведении анестезии, что также снижает определенную долю риска осложнений.
Радиохирургия применяется обычно в тех случаях, когда оперативное вмешательство невозможно, например, при тяжелом состоянии пациента, высоком риске осложнений, а также при затрудненном доступе к опухоли.
Для радиохирургии не требуется никакой специальной подготовки, а также нет необходимости в восстановительном периоде, и пациент после сеанса облучения может сразу идти домой. По сравнению с традиционной лучевой терапией, лечение кибер-ножом протекает быстрее и после него не требуется никакого периода восстановления. Ограничением к применению радиохирургии является размер гемангиоперицитомы.
(495) 506-61-01 - где лучше оперировать головной мозг
Кибер-нож в лечении опухолей головного мозга
Кибер-нож - современная инновационная технология применения лучевой терапии, позволяющая воздействовать на опухоль мозга и служит альтернативной оперативным методам лечения. Кибер-нож относится к методам так называемой радиохирургии, как и гамма-нож. Подробнее
Гамма-нож в Германии - нейрохирургическая клиника г. Ахен
На базе нейрохирургической клиники Аахенского Университета с 1998 года применяется специальная методика гамма-кобальтового облучения для лечения опухолей и сосудистых новообразований головного мозга. Подробнее
Лечение опухолей мозга в Израиле - Tel Aviv Souraski Medical Center
Национальный Онкоцентр Им. Сураски является интегральной частью крупнейшей муниципальной мед. клиники Сураски и предоставляет передовое лечение опухолей мозга всех видов.Подробнее
Гемагиоперицитома забрюшинного пространства
Гемангиоперицитома — сосудистая опухоль, образованная множеством капилляров, окруженных веретенообразными и круглыми клетками — перицитами.
Данная сосудистая опухоль может развиваться в основном в конечностях, полости малого таза, в области головы и шеи, мозговых оболочках, поражение почек происходит редко, еще реже в лоханке.
Синонимы:
Миоперицитома, инфантильный миофиброматоз, солитарная фиброзная опухоль и гемангиоперицитомо-подобные поражения - гетерогенная группа опухолей, которые также имеют перицитарную (миоидную) дифференцировку.
Этиология
Эпидемиология
Мужчины и женщины болеют в одинаковой пропорции; наибольшая заболеваемость отмечена в пятой декаде жизни
Патология
Локализация
Большинство гемангиоперицитом развивается в конечностях или забрюшинном пространстве, однако возможно поражение любой ткани.
Макроскопические признаки
Опухоль овоидной или сферичной формы. Размером от 2 до 25 см.
Сосудистая мягко-тканная опухоль, покрытая тонкой капсулой.
Микроскопические признаки
Исходит из перицитов капиллярной стенки. Функция перицитов—регуляция кровотока и проницаемости.Размер клеток, морфология, соединительная ткань не имеют определенных особенностей. Различное количество межклеточной соединительной ткани.
Клиническая картина
Протекает безболезненно, либо с незначительной болью в боку, также возможна гематурия, гипогликемия, артериальная гипертензия. Опухоль также может быть случайной находкой.
Диагностика гемангиоперицитомы по КТ, МРТ
ФГБУ "НИИ нейрохирургии им. акад. Н.Н. Бурденко" РАМН, Москва
ФГБНУ «НИИ нейрохирургии им. акад. Н.Н. Бурденко», Москва, Россия
ФГУ "НКЦ оториноларингологии" ФМБА России
ФГКУ "Центральный клинический военный госпиталь" ФСБ России, Москва
Редкое наблюдение гигантской гемангиоперицитомы
Приводится пример успешного лечения больного с гигантской интракраниальной гемангиоперицитомой. Гемангиоперицитомы являются агрессивными опухолями с высокой частотой рецидивирования и отдаленного метастазирования. Хотя эти опухоли и относятся к злокачественным новообразованиям, они часто достигают больших размеров при незначительных клинических проявлениях. Хирургический метод лечения до настоящего времени остается основным в лечении данных новообразований.
Менингеальные гемангиоперицитомы (ГП) являются агрессивными опухолями с высокой частотой рецидивирования и отдаленного метастазирования. Хотя эти опухоли и относятся к злокачественным новообразованиям, они часто достигают больших размеров при незначительных клинических проявлениях. Хирургический метод лечения до настоящего времени остается основным в лечении данных новообразований.
ГП является злокачественной опухолью, происходящей из перикапиллярных клеток, или перицитов Циммермана. Эти опухоли обычно возникают в нижних конечностях, тазу и забрюшинном пространстве.
Внутричерепные ГП редки, поскольку они составляют 2-4% всех менингеальных опухолей и менее 1% всех внутричерепных опухолей.
Согласно последней международной классификации опухолей мягких тканей и костей ВОЗ 2013 г. [25, 26], ГП включены в качестве гистологического варианта в единую нозологическую форму - экстраплевральную солитарную фиброзную опухоль под названием «солитарная фиброзная опухоль с преобладанием гемангиоперицитарно подобного сосудистого компонента». Термин «гемангиоперицитома» рассматривается как устаревший синоним.
Несмотря на это, мы, учитывая локализацию процесса и основываясь на ныне действующей классификации опухолей ЦНС ВОЗ от 2007 г., анализируя ретроспективно источники литературы, посвященные опухолям, ранее диагностированным как ГП, оставляем за собой право использования этого термина в настоящей работе.
Больной П., 40 лет, поступил 13.03.09 в ФГКУ «Центральный военный клинический госпиталь» ФСБ России с жалобами на двустороннее снижение зрения, двоение, выраженную постоянную головную боль преимущественно в лобно-теменных областях.
По данным медицинских документов и со слов больного, начало заболевания с декабря 2008 г., когда появилась головная боль. В дальнейшем, в течение 1 мес развились зрительные нарушения - диплопия, концентрическое сужение полей зрения.
В январе 2009 г. при диспансеризации осмотрен офтальмологом, выявлен застой на глазном дне, направлен на стационарное лечение и обследование в лечебное учреждение по месту жительства. При обследовании диагностировано гигантское объемное образование левой гемисферы головного мозга, предположительно менингиома области переднего наклоненного отростка левого крыла основной кости. Для продолжения обследования и лечения госпитализирован в отделение нейрохирургии ЦКВГ ФСБ России, где при дообследовании диагноз подтвержден, начата противоотечная и дегидратационная терапия кортикостероидами.
При обследовании патологии внутренних органов не обнаружено. Больной в сознании, контактен. Критика к своему состоянию и к окружающему снижена. На вопросы отвечает адекватно, но периодически с элементами копролалии. Неврологический статус: не доводит глазные яблоки кнаружи влево, парез взора вверх, аккомодация отсутствует, лицо асимметричное, правый угол рта опущен. Мышечная сила в руках и ногах достаточная - 5 баллов с двух сторон. Сухожильные рефлексы повышены, анизорефлексия с повышением сухожильных рефлексов справа с расширением рефлексогенных зон. Клонусы надколенников и стоп, больше справа. Положительные симптомы Оппенгейма и Пуссепа слева. Симптом Маринеску-Радовичи с обеих сторон. Дистальный гипергидроз. Осмотр окулиста: VIS OS = 0,9, VIS OD = 1,0. Поля зрения: концентрическое сужение полей зрения до 20-30° справа от точки фиксации и до 30-40° слева от точки фиксации, абсолютные парацентральные скотомы обоих глаз. Глазное дно: диски зрительных нервов гиперемированы, отечны, границы смазаны, проминируют в стекловидное тело, перипапиллярно - отек, мелкие кровоизлияния, экссудаты, артерии резко сужены, спазмированы; вены расширены с разрывами, экссудацией. Застойные диски зрительных нервов обоих глаз.
При тотальной селективной каротидной ангиографии (КАГ) выявлено гиперваскуляризированное образование передней и средней черепной ямок слева, размером 7×7 см, питающееся ветвями левых средней мозговой артерии (СМА), наружной сонной артерии (НСА), интракраниального сегмента внутренней сонной артерии (ВСА). Венозные синусы проходимы, без признаков тромбоза (рис. 1).
Рисунок 1. Селективная КАГ(S). Гиперваскуляризированное образование передней и средней черепной ямок слева, размером 7×7 см, питающееся ветвями левых СМА, НСА, интракраниального сегмента ВСА. Венозные синусы проходимы, без признаков тромбоза.
При КТ головного мозга преимущественно в левой лобно-височно-теменной области определяется крупное объемное образование с достаточно четкими бугристыми контурами размером 78×76×64 мм, в базальных отделах прорастающее в правую лобную долю на 10-12 мм. Образование интимно прилежит к сифону левой ВАС, дну передней черепной ямки и к переднему бугорку турецкого седла, кости, образующие дно передней черепной ямки, «изъедены». Образование компримирует передние отделы левого бокового желудочка и, вероятно, распространяется в его просвет. При внутривенном контрастном усилении образование несколько неравномерно накапливает контрастный препарат (до +60 - +85 Ед. Хаунсфильда). К образованию подходит множество артериальных сосудов диаметром до 2-3 мм, преимущественно с медиальной и передней сторон образования. Определяется незначительно выраженный перифокальный отек (максимально до 7 мм у латерального края образования в левой височной области) (рис. 2).
Рисунок 2. КТ с контрастным усилением до операции. а - аксиальная проекция; б - фронтальная проекция. В левой лобно-височно-теменной области определяется крупное объемное образование с достаточно четкими бугристыми контурами размером 78×76×64 мм, в базальных отделах прорастающее в правую лобную долю на 10-12 мм. Образование компримирует передние отделы левого бокового желудочка и, вероятно, распространяется в его просвет, образование неравномерно накапливает контрастный препарат. Определяется незначительно выраженный перифокальный отек.
25.03.09 произведена операция. Осуществлен дугообразный разрез в левой лобно-теменно-височной области. Произведен расширенный птериональный доступ. Экстрадурально осуществлена резекция наружных отделов левого крыла основной кости. Твердая мозговая оболочка (ТМО) резко напряжена, выбухает, пульсация головного мозга не определяется. ТМО вскрыта по наружному краю базальных отделов левой лобной доли. Дальнейший ход операции с использованием операционного микроскопа и микрохирургического инструментария. Отведена от основания черепа лобная доля. Обнаружена ярко-розового цвета отграниченная от вещества головного мозга мелкобугристая опухоль, мягкая, легко кровоточивая - по виду больше похожа на параганглиому, чем на менингиому. Кровотечение интенсивное (алая кровь), гемостаз произведен при помощи придавливания опухоли ватниками с перекисью водорода. Возникло острое набухание и вспучивание мозга с грибовидным выбуханием его в дефект ТМО. Проведены противоотечные мероприятия. После устойчивого уменьшения напряжения и выбухания мозга возобновлены микрохирургические действия. Опухоль довольно легко фрагментировалась и удалялась обычным вакуумным отсосом. Часть опухоли отправлена на срочное гистологическое исследование, предварительный результат - менингиома смешанного строения. В основном опухоль гомогенная, кровоточивая, лишь в медиально-базальных отделах опухоль по строению напоминает бугристую с плотной стромой ячеистую менингиому, где имеет более отчетливо сформированные сосуды в строме и бо`льшую плотность. Кровоснабжение опухоли осуществлялось преимущественно из переходных пиальных сосудов, в связи с чем при удалении опухоли по границе с веществом головного мозга сопровождалось особенно интенсивным кровотечением. Матрикс опухоли обнаружен в медиальных отделах крыла основной кости на границе с передним наклоненным отростком, где стромальная структура опухоли наиболее выражена. ТМО в этой области узурирована, кровоточива, тщательно коагулирована. Опухоль удалена радикально. Визуализирована левая ВСА в супраклиноидном отделе, бифуркация ВСА, начальные сегменты СМА и передней мозговой артерии. Окончательный гемостаз аппликацией кровоостанавливающей ваты Суржицель. Появилась отчетливая пульсация мозга. Мозг расправился, частично запал. Анатомических повреждений мозгового вещества вследствие тракции мозга не произошло. ТМО без натяжения ушита непрерывным швом атравматической нитью. Костный лоскут уложен на место, фиксирован костным швом. Послойное ушивание раны. Интраоперационная кровопотеря около 3500 мл.
Гистологический диагноз: исследование, проведенное в условиях ЦКВГ ФСБ России, - менингиома смешанного строения, отмечается плотное расположение клеток, очаги некрозов и фигуры митозов не определяются.
После иммуногистохимического исследования в лаборатории нейроморфологии НИИ нейрохирургии им. акад. Н.Н. Бурденко РАМН: гемангиоперицитома, выраженная экспрессия Vim, CD 34, Factor XIII, ИМ пролиферативного маркера Ki-67 очагово более 5%, Grade III (рис. 3).
Рисунок 3. Микропрепараты опухоли. х400. а - гемангиоперицитома типичного строения с немногочисленными митозами, б - экспрессия CD 34 в клетках гемангиоперицитомы; в - ядерная экспрессия Ki-67 в опухоли. Окраска гематоксилином и эозином.
Послеоперационный период осложнился правосторонней плевропневмонией, формированием эпидуральной гидромы в области операции, сохранялся цефалгический синдром. Получал комплексную терапию: восполнение послеоперационной кровопотери (трансфузия эритроцитной массы - общий объем 1745 мл и свежезамороженной плазмы - 4900 мл), антибактериальную терапию, санационные люмбальные пункции, противоотечную терапию. Посевы ликвора - стерильны, роста нет. Рана зажила первичным натяжением. В ближайшем послеоперационном периоде отмечен регресс общемозговой и очаговой неврологической симптоматики, регресс психических нарушений.
КТ с контрастным усилением в 1-е сутки после операции не выявила участков патологического накопления контраста. Опухоль удалена радикально (рис. 4).
Рисунок 4. КТ с контрастным усилением. 1-е сутки после операции. а - аксиальная проекция; б - фронтальная проекция. Опухоль удалена радикально, геморрагических осложнений в ложе удаленной опухоли нет.
При контрольных КТ и МРТ с контрастным усилением через 5 мес после операции нет признаков рецидива (рис. 5).
Рисунок 5. КТ с контрастным усилением в аксиальной проекции (а) и МРТ с контрастным усилением в аксиальной (б) и фронтальной (в) проекциях. 5 мес после операции (признаков рецидива опухоли нет).
Однако, учитывая гистологию, радиологами НИИ нейрохирургии РАМН рекомендовано проведение по месту жительства лучевой терапии на область удаленной опухоли в суммарной очаговой дозе (СОД) 56 Гр.
Катамнез у больного прослежен в течение 5 лет. Рецидива опухоли нет.
Термин «гемангиоперицитома» впервые применили А. Stout, М. Murray [23] в 1942 г. для описания новообразования, расположенного в забрюшинном пространстве и состоящего преимущественно из пролиферирующих перицитов.
Менингеальные ГП впервые описаны в 1928 г. Р. Bailey и соавт. [2] и считались ангиобластическим вариантом менингиом. Иммуногистохимические, ультраструктурные и генетические исследования впоследствии показали полное отличие ГП от всех других типов менингиом [12, 18]. В последней классификации ВОЗ (2007) опухолей центральной нервной системы ГП отнесены к мезенхимальным неменинготелиальным опухолям и подразделяются на две степени злокачественности: II и III по пролиферативному потенциалу [14]. ГП состоит из мелких овальных клеток с большим количеством тонкостенных сосудов различного калибра, имея характерный сосудистый рисунок в виде «оленьего рога» [18]. Многие авторы указывают на наличие характерных нейрорентгенологических и ангиографических особенностей ГП. В отличие от менингиом большинство ГП имеет многодольчатое строение с нечеткими границами и инфильтрацией окружающей мозговой ткани, без гиперостоза, костных эрозий и кальцификатов. Также отмечается наличие перифокального отека. Кровоснабжение ГП осуществляется преимущественно из ветвей ВСА и задней мозговой артерии в отличие от менингиом, которые питаются в основном из оболочечных артерий НСА. Некоторые авторы [10, 16] отмечают наличие большого количества мелких штопорообразных сосудов в строме и выраженную сосудистую сеть, что является отличительной особенностью ГП.
Предоперационная эмболизация питающих сосудов опухоли, по данным литературы [11], является эффективной в уменьшении кровоснабжения, но, учитывая особенности кровоснабжения ГП, это не всегда возможно.
В настоящее время хирургия расценивается как основной метод лечения менингеальных ГП [10, 13, 15]. Частота «локальных» рецидивов высока даже после радикального удаления ГП, у некоторых авторов [15] данный показатель достигал 50%. Послеоперационная лучевая терапия уменьшает частоту рецидива ГП [19-21, 24]. В случаях труднодоступной локализации опухолей предпочтительна «щадящая» операция в комбинации с послеоперационной лучевой терапией [22]. Наиболее эффективная СОД составляла, по мнению большинства авторов [8, 9, 19, 20], 50-60 Гр.
Химиотерапия была неэффективна в лечении пациентов с менингеальными ГП [8]. По данным Е. Galanis и соавт. [8], только у 1 из 7 больных была положительная динамика при проведении химиотерапии доксорубицином. Однако некоторые авторы [1] сообщают об эффективности использования комбинации ифосфамида и эпирубицина.
Анализ настоящего клинического наблюдения и данных мировой литературы указывает на эффективность хирургического удаления менингеальных ГП как первого и основного метода лечения.
Особенностью данного клинического наблюдения является то, что опухоль достигла гигантских размеров с минимальными клиническими проявлениями. Несмотря на тщательное дообследование, крайне сложно представлялась постановка правильного клинического диагноза до операции.
Учитывая богатую васкуляризацию ГП, основным условием успешного хирургического лечения и исключения послеоперационного геморрагического осложнения является радикальное удаление опухоли. Лучевая терапия является вспомогательным методом лечения после хирургии. В сомнительных случаях установления гистологического диагноза при световой микроскопии необходимым условием для точного диагноза является проведение иммуногистохимического исследования.
Комментарий
Труднодиагностируемые и достаточно редко встречающиеся гемангиоперицитомы (ГП) головного мозга являются злокачественными опухолями, нередко напоминают по своим ocновным характеристикам церебральные менингиомы, но обладают высокой частотой рецидивирования и отдаленного метастазирования.
В данной работе приведено интересное клиническое наблюдение гигантской интракраниальной ГП в нейрохирургическом отделении госпиталя ФСБ: подробно описано клиническое наблюдение, анализированы как жалобы больного, так и динамика развития клинических проявлений, представлены данные объективного неврологического осмотра, причем клинический синдром напоминал таковой, встречающийся при базальных менингиомах с исходным ростом из области наклоненного отростка. Приведены данные объективных нейровизуализованных исследований - КТ с контрастным усилением и тотальной селективной каротидной ангиографии - все хорошо иллюстрировано фотографиями.
Далее подробнейшим образом (и это очень поучительно) представлена по этапам произведенная хирургическая операция по удалению опухоли - выбор адекватного хирургического доступа, его детали и техника выполнения, особенности вскрытия твердой мозговой оболочки (ТМО), визуализационные характеристики обнаруженной опухоли, ее структуры, неоднородной в зависимости от различных отделов опухоли. Детально описаны обнаруживаемые по ходу выполнения операции источники кровоснабжения опухоли и пути успешного гемостаза, который был тем не менее упорным, и кровопотеря составила 3 л, принципиально важно уточнено отношение опухоли к магистральным сосудам, в том числе внутренней сонной артерии (ВСА) в супраклиноидном отделе, бифуркация ВСА, системы средней и передней мозговых артерий. Все убедительно и тщательно описано, но хотелось бы видеть и наглядные интраоперационные снимки этапов проведенной операции - их в работе нет. Послеоперационный период протекал с умеренно выраженными осложнениями, которые удалось своевременно и успешно купировать.
В послеоперационном периоде выполнены контрольные исследования - КТ с контрастным усилением, которые убеждают в успешности произведенной операции. Иммуногистохимическое исследование, проведенное в условиях Института нейрохирургии, уточнило диагноз и степень злокачественности опухоли - Grade III - впоследствии проведена лучевая терапия, катамнез больного прослежен в течение 5 лет, не выявлено рецидивирования опухоли.
В конце работы приведено краткое обсуждение проблемы с анализом данных литературы в историческом аспекте. Подчеркивается, что в отличие от менингиом головного мозга основное кровоснабжение осуществляется из ветвей ВСА и задней мозговой артерии, а не менингеальных артерий. Вследствие выраженной васкуляризации ГП предоперационно по возможности следует выполнять эмболизацию питающих сосудов.
В заключение авторы подчеркивают несомненную значимость хирургического лечения данных опухолей как основы лечебного процесса, и при необходимости выполняется лучевая терапия.
Статья весьма интересная, познавательная, особенно для современных практикующих нейрохирургов. Она отражает актуальные тенденции в поисках оптимальных путей совершенствования техники микрохирургических операций по удалению таких сложных опухолей, как гемангиоперицитомы.
Многопрофильный медицинский центр GMS Clinic, Москва, Россия
Российский онкологический научный центр им. Н.Н. Блохина, Москва
ФГБУ «Российский онкологический научный центр им. Н.Н. Блохина» РАМН, Москва
НИИ КО ФГБУ «Национальный медицинский исследовательский центр онкологии им. Н.Н. Блохина» Минздрава России, Москва, Россия
Редкое наблюдение злокачественной гемангиоперицитомы малого таза
Журнал: Онкология. Журнал им. П.А. Герцена. 2015;4(2): 64‑70
Алиев В.А., Мусаев Э.Р., Татаев И.Ш., Феденко А.А., Овчинникова А.И., Кочура Н.А., Давыдов М.М. Редкое наблюдение злокачественной гемангиоперицитомы малого таза. Онкология. Журнал им. П.А. Герцена. 2015;4(2):64‑70.
Aliev VA, Musaev R, Tataev ISh, Fedenko AA, Ovchinnikova AI, Kochura NA, Davydov MM. Experience in treating a patient with a malignant small pelvic hemangioperocytoma. P.A. Herzen Journal of Oncology. 2015;4(2):64‑70. (In Russ.).
Представлено редкое наблюдение успешного комплексного лечения больного с злокачественной гемангиоперицитомой малого таза. На первом этапе проведена неоадъювантная химиотерапия с последующей радикальной операцией в объеме цилиндрической брюшно-промежностной экстирпации прямой кишки. Продемонстрированы клиническая картина и особенности данного редкого заболевания, а также этапы хирургического вмешательства.
Гемангиоперицитома относится к неэпителиальным опухолям малого таза (синонимы: перицитома, перителеома, лимфангиперицитома, периваскулярная гемангиоэндотелиома). Это редкие злокачественные периваскулярные опухоли, частота которых не превышает 1% от числа сосудистых опухолей [1]. Опухоль состоит из малодифференцированных гладкомышечных клеток, прилегающих к стенкам капилляров и регулирующих их размер. Некоторые авторы рассматривают перициты как источник двух близких опухолей — гемангиоперицитомы и гломанангиомы. Как показывают ультраструктурные исследования, перициты обнаруживаются в стенках капилляров и венул. Они имеют длинные выросты, окружающие сосуд и образующие прерывистый слой между эндотелием и адвентициальной соединительной тканью. Обычно только базальная мембрана отделяет эндотелий от перицитов [2].
Возникает эта опухоль в любом возрасте — от 3 дней жизни до 92 лет, чаще у лиц в возрасте 38—58 лет, с одинаковой частотой у представителей обоих полов. Дифференциальный диагноз следует проводить с саркомой Капоши, ангиолейомиобластомой, фибросаркомой, ангиосаркомой, гломус-ангиомой Баре—Масона, сосудистой лейомиомой, саркомой Юинга [5].
Гемангиоперицитома чаще всего поражает кожу и подкожную жировую клетчатку (34,5%), скелетные мышцы нижних конечностей (24,5%), забрюшинное пространство (24%), область головы и шеи (17%). Опухоль может локализоваться всюду, где имеются капилляры, включая ротовую полость, средостение, забрюшинное пространство [6].
Обычно опухоль имеет овальные и округлые очертания, состоит из отдельных узлов плотноэластической консистенции, серовато-белого или насыщенно-синюшного цвета (в зависимости от степени васкуляризации). С течением времени узлы могут изъязвляться и легко кровоточить. Обычно гемангиоперицитома — солитарная опухоль, реже бывает множественной, сгруппированной на сравнительно небольшом участке тела. Растут опухоли обычно медленно, в редких случаях достигая большого размера, без каких-либо клинических проявлений. Клинические проявления, как правило, связаны со сдавлением опухолью прилежащих органов. В одних случаях возникают явления кишечной непроходимости, в других — дизурические расстройства. Боль возникает в случае сдавливания опухолью нервов.
Возможны эндокринные (гипогликемия) [7], неврологические нарушения, сосудистые изменения (телеангиэктазии, варикозное расширение вен прямой кишки).
Заболевание имеет относительно медленное течение (5—12 лет), но описаны случаи быстрого прогрессирования. Рецидивирование опухоли возможно через много лет после удаления опухоли.
Частота метастазирования при гемангиоперицитоме колеблется от 11,7 до 56,5%. Сроки наблюдения от начала установки диагноза и до обнаружения метастазов составляют от 1 года до 14 лет, в среднем 4,5 года. Наиболее часто опухоль метастазирует в печень, легкие, лимфатические узлы. По данным ряда авторов, летальность в сроки от 3—5 до 15—20 лет колеблется от 23 до 47,8%.
Клиническое наблюдение
Пациент М., 37 лет, обратился с жалобами на боль в малом тазу, иррадиирущую в крестец, тяжесть внизу живота.
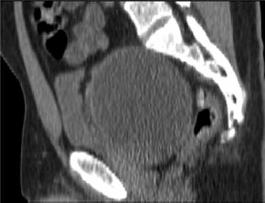
Считает себя больным с января 2011 г., когда появились болезненные ощущения в нижних отделах живота и промежности. С марта 2011 г. стал отмечать усиление боли, по поводу чего обратился в одну из городских клиник Москвы, где выявили опухоль малого таза (рис. 1).

Рис. 1. МР-томограмма малого таза. Опухоль малого таза.
11.04.2011 была выполнена лечебно-диагностическая лапаротомия, удаление опухоли малого таза. При гистологическом исследовании операционного материала выявлена злокачественная шваннома.
В дальнейшем пациент находился под динамическим наблюдением по месту жительства. В январе 2012 г. появились жалобы на боль в промежности.
Больной направлен в ФГБУ «РОНЦ им. Н.Н. Блохина» РАМН, где был диагностирован рецидив опухоли в малом тазу.
Выполнено иммуногистохимическое исследование гистологических препаратов от 11.04.2011: морфоиммуногистохимическая характеристика опухоли соответствует гемангиоперицитоме, на основании чего установлен диагноз: злокачественная гемангиоперицитома малого таза T2bN0M0 G3. Состояние после хирургического лечения от 11.04.2011 — рецидив. В январе 2012 г. прогрессирование. При поступлении состояние относительно удовлетворительное.
При пальцевом исследовании прямой кишки сразу за анусом, внекишечно, пальпируется неподвижное опухолевое образование, занимающее практически весь малый таз, прямая кишка циркулярно сужена с выраженным болевым синдромом, однако слизистая оболочка прямой кишки не изменена.
По данным магнитно-резонансной томографии (МРТ) от 10.02.2012, в полости малого таза пресакрально располагается опухоль размером 9,2×9×7 см. Верхний полюс ее на уровне тела S I позвонка, распространяется в параректальную клетчатку, тесно прилежит к прямой кишке, оттесняя ее влево (граница прослеживается). Нельзя исключить прорастание в кишку, стенки прямой кишки отечны. Опухоль прилежит к семенным пузырькам и предстательной железе (граница прослеживается); мочевой пузырь оттеснен кпереди и кверху; верхний полюс опухоли расположен между грушевидными мышцами, прилежит к передней поверхности крестца и копчика (граница прослеживается), нижний полюс опухоли расположен между волокнами мышцы, поднимающей задний проход; нижние ягодичные сосуды справа оттеснены кпереди, тесно прилежат к опухоли на протяжении 3 см (рис. 2).

Рис. 2. МР-томограммы малого таза. Пресакрально располагается опухоль размером 9,2×9×7 см. а — сагиттальный срез; б — фронтальный срез.
Учитывая данные иммуногистохимического исследования (G3, количество митозов >30%) и местный рецидив опухоли, больной консультирован химиотерапевтом из группы лечения сарком и радиологом, после чего решено провести неоадъювантную полихимиотерапию.
Проведено 6 курсов полихимиотерапии по схеме HD AI (препараты: ифосфамид 2000 мг/м 2 в/в в 1—5-й день, СД =20 000 мг; месна 2000 мг/м 2 в/в в 1—5-й день, СД =20 000 мг; доксорубицин 60 мг/м 2 в/в в 1-й день, СД =120 мг; нейпомакс по 300 мкг п/к в 6—15-й день).

Рис. 3. МР-томограммы малого таза. Опухоль уменьшилась в размере до 5,5×3,5×4 см, однако тесно прилежит к правой стенке прямой кишки. а — аксиальный срез; б — сагиттальный срез; в — фронтальный срез.
По данным ультразвукового исследования компьютерной томографии брюшной полости и рентгенографии органов грудной клетки отдаленных метастазов не выявлено.
В отделении проведен повторный консилиум с участием химиотерапевтов саркомной группы, хирургов сакральной группы, а также сотрудников отделения онкопроктологии. Учитывая нерадикальность предыдущей операции по поводу неэпителиальной опухоли малого таза, положительную динамику на фоне полихимиотерапии в виде уменьшения размера опухоли (более чем в два раза), а также молодой возраст пациента, принято решение вторым этапом выполнить оперативное вмешательство в объеме цилиндрической (экстралеваторной) брюшно-промежностной экстирпации прямой кишки, предложенной австрийским хирургом Т. Holm в 2007 г.
07.11.2012 выполнена цилиндрическая или экстралеваторная экстирпация прямой кишки. Через тазовую брюшину в мезоректальной клетчатке справа пальпируется верхний полюс опухоли, подрастающей к стенке прямой кишки, опухоль фиксирована к правой боковой стенке таза. Отдаленных метастазов нет (рис. 4).

Рис. 4. Этап операции. Ревизия опухоли.
Произведена мобилизация прямой кишки по левой и задней полуокружности, а также пресакрально до мышц тазового дна с соблюдением всех онкологических правил (рис. 5). По левой боковой стенке таза опухолевая капсула интимно прилежит к внутренней подвздошной вене и артерии, острым путем последняя мобилизована от магистральных сосудов.

Рис. 5. Этапы операции. а — мобилизация слева; б — мобилизация справа.
Далее сигмовидная кишка пересечена на уровне ее дистальной трети, а прямая кишка погружена в малый таз, при этом тазовая брюшина ушита над заглушенной культей прямой кишки. Затем сигмовидная кишка забрюшинно выведена в левом боковом отделе живота на переднюю брюшную стенку и сформирована плоская колостома, после чего брюшная полость ушита наглухо послойно (рис. 6).

Рис. 6. Этапы операции. а — ушивание тазовой брюшины; б — сигмостома.
Далее больной перевернут на живот в положении по типу «перочинного ножа» (рис. 7).

Рис. 7. Положение больного на столе (а). Вид операционного поля промежности (б).
После обработки операционного поля мобилизация прямой кишки продолжена из широкого промежностного доступа. Выполнено ушивание заднего прохода кисетным швом, намечены края резекции. В проекции крестцово-копчикового сочленения кожа и подкожная жировая клетчатка рассечены до задней крестцово-копчиковой связки. Последняя пересечена в поперечном направлении. Выполнена ампутация копчика с последовательным пересечением передней крестцово-копчиковой и крестцово-прямокишечной связок (рис. 8).

Рис. 8. Этапы операции. а — ушивание ануса; б — рассечение кожи и подкожной жировой клетчатки; в — пересечение крестцово-копчиковых связок.
Далее прямая кишка с опухолью в едином блоке мобилизована острым путем от предстательной железы и правой стенки таза, после чего выполнена цилиндрическая брюшно-промежностная экстирпация прямой кишки. Малый таз дренирован двумя силиконовыми дренажами и ушит наглухо (рис. 9).

Рис. 9. Этапы операции. а — мобилизация простаты; б — дренирование малого таза; в — конечный вид раны.
Гистологическое заключение: в жировой клетчатке прямой кишки, с учетом иммуногистохимического исследования разрастания злокачественной гемангиоперицитомы с признаками лечебного патоморфоза 1-й степени (жизнеспособной опухолевой ткани более 50% по DWORAK). Опухоль не прорастает в прилежащий мышечный слой кишки. В одном лимфатическом узле прилежащей клетчатки элементов опухолевого роста нет. В краях резекции кишки без элементов опухолевого роста. Под маркировкой «латеральный край опухоли» — кусочек фиброзной ткани с очагами ксантоматоза (рис. 10).

Рис. 10. Макропрепарат.
Продолжительность операции составила 3 ч 30 мин, кровопотеря — 500 мл. Интраоперационных и ранних послеоперационных осложнений не было. Пациент на 12-е сутки выписан из хирургического отделения.
Заключение
Лечение больных с опухолями малого таза представляет собой сложную задачу, ключом к решению которой является мультидисциплинарный подход. В настоящее время нет четких дифференциальных диагностических критериев гемангиоперицитом, сарком и солитарных фиброзных опухолей. Несмотря на то что данные опухоли традиционно считаются радиорезистентными, до недавнего времени при лечении сарком таза часто использовали лучевую или химиолучевую терапию. Сегодня сложно переоценить важность точной диагностики, так как правильный диагноз должен быть установлен лишь на основании иммуногистохимического исследования, которое позволяет прогнозировать ход дальнейшего лечения и прогноз заболевания. В литературе имеются лишь единичные наблюдения хирургического лечения гемангиоперицитом малого таза. На наш взгляд, радикальное хирургическое вмешательство — основной метод лечения больных с гемангиоперицитомой. Однако при местно-распространенной опухоли или в случае рецидива заболевания, при которых имеется тесная связь опухоли с прилежащими анатомическими структурами малого таза, возможность достижения свободного от опухоли латерального края резекции и радикальности операции становится обоснованно сомнительной. При повторном рецидивировании возможно использование рентгенохирургических технологий, таких как «Кибер-нож». В таких случаях коллегиальное обсуждение с участием хирургов, химиотерапевтов и лучевых терапевтов становится залогом успешного лечения больного.
В данном клиническом наблюдении продемонстрировано успешное комплексное лечение больного со столь редкой патологией. На наш взгляд, хотя проведенное предоперационное лечение было эффективным, выполнение экстралеваторной брюшно-промежностной экстирпации, явилось ключевым элементом радикального лечения больного.
КТ диагностика гемангиом позвонков и их отличия от метастазов
Гемангиома — опухоль доброкачественного характера, состоящая из расширенных сосудистых лакун, периваскулярного жира. По мнению Тагера И. Л., гемангиомы можно считать не опухолями, а вариантом развития сосудов в позвонке, либо проявлением инволютивных изменений в сосудах и губчатом веществе кости.
Сделать КТ или МРТ позвоночника в Санкт-Петербурге
ГИСТОЛОГИЧЕСКАЯ СТРУКТУРА И КЛАССИФИКАЦИЯ ГЕМАНГИОМ ПОЗВОНОЧНИКА
По классификации Абрикосова А. И. гемангиомы принято разделять на: кавернозные - наиболее доброкачественные, не склонные к деструктивному росту, состоящие из множества патологически измененных, расширенных сосудов и периваскулярного жира; капиллярные, состоящие из мелких, практически не расширенных сосудов; а также - наиболее редкие - гемангиоэндотелиомы - самые прогностически неблагоприятные, способные приводить к разрушению позвонка как при злокачественных опухолях.
По классификации Виноградова Т. П. следующие сосудистые опухоли относятся к доброкачественным: гемангиома, гемангиоперицитома, гломангиома; и к злокачественным: ангиосаркома, гемангиоэндотелиома, злокачественная гемангиоперицитома.
По классификации Слынько Е. И. и Зозуля Ю. А. - наиболее современной (2000 г.) выделяют следующие доброкачественные разновидности ангиом: ангиолипома, ангиофиброма, костная киста аневризматическая, и злокачественные: гемангиосаркома, гемангиоэндотелиома, гемангиоперицитома, ангиоэндотелиоматоз неопластический.
КЛИНИЧЕСКИЕ ПРОЯВЛЕНИЯ ГЕМАНГИОМЫ ПОЗВОНОЧНИКА
Чаще всего кавернозные гемангиомы позвоночника симптомов не дают. Капиллярные гемангиомы и гемангиоэндотелиомы могут провоцировать болевой синдром, нарушение чувствительности и движений в нижних конечностях по типу односторонней или двухсторонней плегии, пареза, но только в следующих случаях:
1) При прорастании опухоли в корешковый канал или при сдавлении ею корешка возникает моноплегия или монопарез - полное отсутствие или снижение возможности самостоятельных движений в конечности с одной стороны, боль определенной локализации. Например, при прорастании опухоли в корешковый канал в пояснично-крестцовом сегменте позвоночника слева боли будут отдавать в левую ягодицу, распространятся по задней поверхности бедра и голени.
2) При прорастании в позвоночный канал, при кровоизлияниях в экстрадуральное пространство и сдавлении дурального мешка гематомой может возникнуть нижний парапарез или параплегия - невозможность самостоятельных движений в обеих нижних конечностях, снижение чувствительности ниже места поражения, а также выраженный болевой синдром в пояснице.
3) При патологическом компрессионном переломе позвонка на фоне гемангиомы может возникнуть клиника повреждения спинного мозга, его сдавления, повреждения и (или) сдавления корешков, болевой синдром - в зависимости от степени компрессии спинного мозга, выраженности и направления смещения отломков.
КАК ВЫГЛЯДИТ ГЕМАНГИОМА ПОЗВОНОЧНИКА ПРИ РЕНТГЕНОГРАФИИ, КТ, МРТ
При КТ определяется участок в теле позвонка, в его дуге, ножках или суставных отростках, чаще всего имеющий форму шара или эллипсоида, или неправильную форму. Размеры гемангиомы различные - на томограммах можно можно опухоль начиная от 0,5 см. Редко встречаются гигантские сосудистые образования, занимающие практически весь объем позвонка. Рентгеновская плотность данного участка снижена по сравнению с плотностью губчатого вещества и, тем более, замыкательных пластинок.

На изображении представлен поперечный срез через позвонок. В теле позвонка - типичная гемангиома (H). Цифрой 1 отмечены утолщенные и разреженные трабекулы губчатого вещества, цифрой 2 - периваскулярные пространства, сосудистые лакуны. При компьютерной томографии они имеют низкую плотность, приближающуюся к плотности жира (гемангиолипома).


Типичная гемангиома в грудном позвонке. На аксиальном срезе - справа - отчетливо виден характерный «точечный» «рисунок», обусловленный утолщением трабекул и большим количеством периваскулярного жира.


Небольшая сосудистая опухоль в боковых отделах тела первого поясничного позвонка. При компьютерной томографии выявлен гиподенсный участок плотностью -25…-30 единиц Хаунсфилда, с типичными утолщенными и «разреженными» трабекулами губчатого вещества.
В зависимости от количества периваскулярного жира плотность гемангиомы может колебаться от +200 единиц Хаунсфилда до -40 и меньше, но практически никогда не достигает плотности жировой ткани (-100 единиц Хаунсфилда). В структуре опухоли видны множественные разреженные и утолщенные до 1-3 мм трабекулы, дающие характерный «мелкоточечный» рисунок на аксиальных срезах и «полосатый» рисунок на аксиальных и корональных изображениях. После введения контрастного вещества строма опухоли может усиливаться, зачастую весьма значительно. Наибольшую плотность сосудистые опухоли имеют в артериальную фазу контрастирования. Контраст из сосудистых лакун вымывается быстро, поэтому уже в венозную фазу плотность образования существенно снижается.


Гемангиолипома, не совсем типичная локализация в дужке грудного позвонка. Плотность отмеченного стрелкой участка приближается к плотности жира (порядка - 90 единиц Хаунсфилда).
Как выглядит гемангиома позвонка на МРТ? При МРТ сигнальные характеристики гемангиомы позвонка могут варьировать в зависимости от количества жира в структуре опухоли. Если периваскулярного жира много, сигнал от опухоли «гасится» в режиме STIR (специальный режим для подавления сигнала от жировой ткани) - гемангиома становится гипоинтенсивной. В этом случае принято говорить о гемангиолипоме или ангиолипоме.
Рентгенологическое описание гемангиомы позвоночника может быть следующим: «в позвонке выявляется участок низкой интенсивности, с ровными краями, четкими контурами, неоднородной структуры за счет наличия утолщенных трабекул губчатого вещества». Здесь также прослеживается зависимость между количеством жира и рентгеновской плотностью - чем больше жира, тем выше контраст с окружающим губчатым веществом.
Различные типы гемангиом выглядят на рентгенограммах по-разному. Выше приведено описание наиболее часто встречающейся кавернозной гемангиомы, при капиллярном типе сосудистой опухоли структура позвонка становится мелкоячеистой, позвонок может выглядеть «вздутым», что симулирует картину первичной злокачественной опухоли или метастаза. Гемнагиоэндотелиома может разрушать позвонок, прорастая в замыкательные пластинки, в дужку, в позвоночный и корешковые каналы.
На фоне гемангиомы позвонка, особенно если заниматься спортом, давать осевую нагрузку, можно спровоцировать патологический перелом. В данном случае диагностика образования может стать затруднительной, т. к. характерную структуру опухоли проследить, скорее всего, не удастся. При наличии перелома необходимо исключить злокачественную опухоль, в том числе, вторичную (метастаз). В некоторых случаях может также потребоваться сцинтиграфия.
ПРИЗНАКИ ПРОГРЕССИРОВАНИЯ ГЕМАНГИОМЫ
Какие признаки могут говорить о росте гемангиомы, либо об атипичном или злокачественном варианте ангиомы?
1) Распространение опухоли на задние отделы позвонка - дужку, поперечные и суставные отростки, остистый отросток.
2) Распространение опухоли на поперечно-реберный сустав и на проксимальные (начальные) отделы ребра с типичным ангиоматозным изменением его структуры.
3) Появление локального или диффузного вздутия тела позвонка, нарушение его обычной формы.
4) Возникновение грыж Шморля, особенно большого размера, с «проламыванием» замыкательных пластинок.
5) Возникновение компрессионного перелома.
ОТЛИЧИЯ ГЕМАНГИОМЫ ОТ МЕТАСТАЗОВ
Очень важно отличить гемангиому от вероятной злокачественной опухоли, в т. ч. вторичной. Гемангиома позвоночника может быть атипичной, первично множественной - в этом случае их бывает тяжело отличить от вторичных очагов. В таких случаях помогает Второе мнение. Существуют основные признаки, ориентируясь на которые, можно отличить метастазы от гемангиом:
1) Локализация. Кавернозные гемангиомы обычно располагаются в губчатом веществе тел позвонков, метастазы могут поражать также дужку, суставные и поперечные отростки, остистый отросток.
2) Форма и размеры. Неспецифичный признак, размеры и форма гемангиом могут варьировать. Однако есть тенденция к тому, что метастазы чаще имеют неправильную форму.
3) Структура и плотность. Кавернозные гемангиомы никогда не бывают гиперденсными (склеротическими), структура костной ткани при кавернозной гемангиоме изменяется, но трабекулы губчатого вещества проследить можно. Склеротические и литические метастазы вызывают нарушение структуры позвонка, типичный ход трабекул нарушается.
4) Воздействие на позвонок. Внутрикостные метастазы вызывают «вздутие» позвонка, доброкачественная гемангиома не оказывает объемного воздействия. Кавернозная гемангиома также никогда не вызывает лизис кости, не разрушает замыкательные пластинки.
5) Наличие первичного очага. При выявлении первичной опухоли, а также множественных поражений позвоночника можно сделать вывод о том, что они не являются множественными гемангиомами. Так, часто в кости метастазирует рак почки, молочной железы, предстательной железы.
ЧТО ДЕЛАТЬ ПРИ ВЫЯВЛЕНИИ ГЕМАНГИОМЫ В ПОЗВОНКЕ?
Как лечить гемангиому позвоночника? Если гемангиома имеет небольшой размер и риск патологического перелома невелик, делать ничего не надо. Если есть сомнения в том, типичная ли гемангиома, доктор может порекомендовать контрольное исследование через 3-6 месяцев.
Стоит ли оперировать гемангиому позвоночника? Операция показана в следующих случаях:
- Опухоль имеет большой размер и есть риск перелома позвонка на этом фоне
- Доказан рост гемангиомы по результатам повторных исследований КТ или МРТ
- Образование по результатам томографии носит атипичные или злокачественные черты
Оперативное лечение включает в себя вертебропластику или склерозирование опухоли. Окончательное решение о необходимости и методах операции принимается только врачом-нейрохирургом или ортопедом-травматологом!
Кроме того, в спорных случаях и сомнениях в диагнозе имеет смысл получить Второе мнение и обратиться к опытному рентгенологу, который повторно проанализирует ваши снимки КТ и МРТ. В результате такого анализа снижается риск ошибки. Заказать такую консультацию можно не выходя из дома. Достаточно загрузить снимки МРТ с диска в систему Национальной телерадиологической сети (НТРС), и врачи из ведущих профильных центров проведут тщательную расшифровку присланных изображений.
Василий Вишняков, врач-радиолог
Читайте также:
