Диагностика гемимегалэнцефалии на МРТ, КТ
Добавил пользователь Евгений Кузнецов Обновлено: 21.11.2025
Инсульт (инфаркт головного мозга) — это острое нарушение мозгового кровообращения (ОНМК), которое приводит к ишемии и некрозу клеток головного мозга, кровоизлияниям, и относится к потенциально опасным для жизни состояниям.
При ишемическом инсульте нарушение мозгового кровообращения вызвано закупоркой или патологическим сужением одного из сосудов, в результате чего клетки погибают из-за нехватки глюкозы и кислорода. Ишемический инсульт называют «инфарктом мозга», и это наиболее распространенный вид ОНМК. О геморрагическом инсульте говорят в случае, если произошел разрыв сосудов, при этом важно исключить обширное кровоизлияние в головной мозг.
Если у пострадавшего выражены некоторые признаки инсульта, например, спутанность сознания, парез конечностей, головная боль, неконтролируемая асимметрия движений и мимики, однако эти симптомы быстро проходят, а не сохраняются в течение всего дня, тогда говорят о транзиторных ишемических атаках. По-другому ТИА называют «микроинсультом». Иногда микроинсульт ошибочно объясняют как обычную реакцию на усталость, хронический стресс, высокие нагрузки — в этой связи проблема остается без должного внимания. Однако транзиторные ишемические атаки имеют последствия и достоверно увеличивают вероятность инсульта у пациента в будущем.
На сегодняшний день КТ является основным методом нейровизуализации при инсульте. Своевременная диагностика ОНМК, исследование анатомических структур головного мозга и сосудов, питающих орган, имеет значение не только для дальнейшего лечения, но и обладает прогностическим потенциалом. В этой статье мы расскажем, когда лучше делать КТ головного мозга, какие признаки указывают на высокий риск инсультов, а также подробнее о видах ОНМК.
Опасен ли инсульт?
В России показатель летальных исходов при инсультах практически в 2,5 раза превышает общемировой показатель. В последние 20 лет наблюдается тенденция к росту распространенности ОНМК — как среди мужчин, так и среди женщин.
По данным Оксфордского университета, смертность от всех видов инсульта на протяжении первой недели достигает 12%, первого месяца — 19%, первого года — 31%. Российские исследователи пришли к выводу, что около 40-45% пациентов, перенесших мозговой инсульт, погибают в течение первого года. Повторный инсульт в последующие годы случается у каждого пятого, при этом наиболее опасны эти эпизоды в течение года после первого случая.
Приблизительно 85% этих инсультов обусловлено ишемией головного мозга в связи с закупоркой сосудов. Последняя чаще всего вызвана атеросклерозом. При этом отсутствует культура профилактики и диагностики заболеваний сосудистой системы. В свою очередь, патологии сосудистого русла с трудом поддаются лечению, а некоторые патологические изменения носят необратимый характер. Больные гипертонической болезнью и атеросклерозом часто погибают от развившихся мозговых инсультов.
По статистике, только 15-20% пациентов, выживших после инсульта, сохраняют трудоспособность. Остальные пожизненно остаются инвалидами — нуждаются в лекарствах и помощи. Инсульт затрагивает не только двигательные, но и чувственные функции. В первую очередь страдает интеллект — когнитивные способности, память, восприятие пространства и др. Инсульт сопряжен с высоким риском развития слабоумия. От ОНМК не застрахованы ни пожилые, ни молодые люди, ни дети.
При отсутствии медицинской помощи и неблагоприятном исходе терапии ситуация со временем усугубляется: постепенно уменьшается снабжение органа кислородом и глюкозой, в зоне инфаркта (состоит из ядра и пенумбры) происходит некроз клеток, а область поражения расширяется. При этом меняется плотность вещества головного мозга, в паренхиме накапливаются токсичные вещества и свободные радикалы: супероксид, перекись водорода. Они нарушают работу митохондрий и нейронов, вступают в реакции с различными клеточными компонентами и поддерживают цикл дальнейшей дезинтеграции клеток, а также провоцируют воспаление. Таким образом, головной мозг постепенно погибает, «отключая» жизненно важные функции.
Среди пациентов, переживших острое нарушение мозгового кровообращения однажды, существует довольно высокая вероятность повторного инсульта.
Нельзя однозначно ответить на вопрос, какой инфаркт опаснее: ишемический или геморрагический. Все зависит от индивидуальной клинической картины. Однако геморрагическому инсульту может сопутствовать обширное кровоизлияние в мозг с последующим образованием гематом, рубца, кистозного новообразования.
Именно кровоизлияние в мозг необходимо исключить на КТ после инсульта — лучше всего уже в первые часы с момента проявления симптомов.
Ишемический и геморрагический инсульт
Два основных вида ОНМК. В некоторых случаях пациенту диагностируют инфаркт мозга смешанного типа с признаками ишемического и геморрагического инсульта.
Геморрагический инсульт
Геморрагический инсульт диагностируют, когда произошел разрыв кровеносных сосудов (преимущественно в области аневризм), что привело к субарахноидальному кровоизлиянию в мозг, геморрагическому пропитыванию вещества мозга, образованию гематом.
К главным причинам геморрагического инсульта относится артериальная гипертензия и разрыв аневризм интракраниальных сосудов.
Ишемический инсульт
Ишемический инсульт развивается из-за критического сужения (закупорки) сосуда головного мозга. В результате клетки мозга не получают кислород и питательные вещества вместе с током крови. Из-за этого клетки голодают и отмирают.
К главным причинам ишемического инсульта относится тромбоз артерий с выраженными признаками атеросклероза с формированием холестериновых бляшек, отложением солей кальция и разрастанием соединительной ткани. В первую очередь патологические изменения затрагивают брахиоцефальные артерии.
К отягчающим обстоятельствам, приближающим вероятность инсульта относятся:
- Возраст старше 50 лет;
- Транзиторные ишемические атаки в анамнезе;
- Некоторые сердечно-сосудистые заболевания (гипертония, инфаркт миокарда);
- Сахарный диабет;
- Некоторые заболевания, не связанные с сердечно-сосудистой системой и ЦНС (лейкемия, расслоение артерий);
- Наследственность;
- Курение;
- Злоупотребление алкоголем;
- Интоксикация организма;
- Систематическое отсутствие сна, отдыха, стресс, повышенные нагрузки;
- Неправильное питание (много холестерина в рационе);
- Гиподинамия.
Со стороны разница во внешних проявлениях ишемического и геморрагического инсульта практически отсутствует, и в этом заключается проблема. КТ головного мозга при геморрагическом инсульте лучше проходить сразу после проявления признаков ОНМК. Как правило, пациента на скорой сразу госпитализируют в больницу, оснащенную аппаратами КТ или МРТ. Кровоизлияние в мозг, отеки и гематомы врач-рентгенолог увидит сразу.
Но если пациенту с ишемическим инфарктом головного мозга сразу или в первые часы проведут сканирование, то врач не увидит ничего. Первые признаки ишемического инсульта на КТ проявляются только через 4-5 часов.
Хотя ишемический и геморрагический инсульт начинаются преимущественно из-за проблем с сосудами, однако относятся к заболеваниям ЦНС.
Симптомы инсульта
Про инсульт говорят в том случае, если признаки неврологических нарушений у пациента сохраняются более суток. К общим симптомам инсультов относятся:
- Внезапная слабость, онемение конечностей;
- Головокружение, нарушение координации, потемнение в глазах;
- Спутанность сознания, невнятная речь;
- Человек не может улыбнуться двумя уголками губ: привычка выходит кривой и асимметричной;
- Человек не может поднять обе руки вверх;
- Внезапная сильная головная боль
В отличие от ишемического инсульта, при геморрагическом:
1. Симптомы проявляются более остро и тяжело, удар инсульта более резкий, а не вялотекущий.
2. Присутствует ощущение прилива крови лицу (возможно покраснение кожных покровов), очень сильная головная боль.
3. Преобладает общемозговая симптоматика, то есть нарушение сознания и дыхания, судороги во всем теле, тошнота. Для ишемического инсульта более характерны очаговые симптомы, а именно парез и онемение конечностей.
Что показывает КТ при инсульте?
КТ при инсульте показывает очаги поражения, отвечающие за бассейн кровоснабжения мозговых артерий и патогенетические подтипы инсульта, а также признаки, связанные с кровоизлиянием в мозговую паренхиму, систему желудочков мозга, межоболочечные пространства.
По изменению плотности структур головного мозга определяют наличие гиподенсивных и гиперденсивных участков, характерных для ишемического и геморрагического инсульта соответственно. Врач-рентгенолог может не только определить вид и стадию инсульта, но и выявить причину ОНМК. На КТ можно увидеть повреждение тканей разной морфологии. Метод позволяет визуализировать сосуды и осмотреть их на предмет тромбов, стенозов, сдавливания опухолями.
Более того, КТ головного мозга позволяет оценить значение анатомического интракраниального резерва и плотности ствола головного мозга по шкале Хаунсфилда. Эти данные важны с прогностической точки зрения.
Значение анатомического интракраниального резерва измеряется на КТ (МСКТ) в аксиальной проекции и является взаимным соотношением таких параметров, как битемпоральное расстояние, ширина тенториального отверстия, диаметр большого затылочного отверстия.
В рамках исследований, проведенных Котовым М.А. — главным врачом центра КТ «Ами», кандидатом мед. наук, автором патентов РФ «Способ прогнозирования исхода ишемического инсульта головного мозга» и «Способ определения степени мозжечково-тенториального ущемления ствола головного мозга» — были подтверждены важные диагностические гипотезы и выявлено, что у пациентов со значением АИР 5,22 прогноз при инсульте наименее благоприятный. У таких пациентов диаметр затылочного отверстия менее 3,04 см, а плотность ствола головного мозга по шкале Хаунсфилда повышена.
Основных методов диагностики три: УЗДГ, КТ или МРТ. При инсульте необходимо оценить изменения в головном мозге и измерить интенсивность кровотока. Для последней задачи используют УЗДГ, для визуальной оценки всех остальных признаков — КТ или МРТ. Предпочтение отдается КТ, что объясняется суммарно более высокой информативностью и удобством проведения у пациентов в первые часы после ОНМК.
Однако, как мы уже отметили, ранние признаки ишемического инсульта визуализируются на КТ только через 4-5 часов. Ранний признак ишемического инсульта — сдавление корковых борозд — будет виден на КТ в случае цитотоксического отека, в результате которого происходит увеличение объема внутриклеточной жидкости, что приводит, в свою очередь, к набуханию извилин коры.
КТ показывает участки ишемии в головном мозге. По плотности тканей, а также по изменению плотности белого и серого вещества (измеряется по шкале Хаунсфилда, рассчитывается при компьютерной обработке КТ-сканов) устанавливают вид и стадию инсульта. Механика развития инсульта по стадиям следующая:
1 стадия инсульта
В первые часы после инфаркта показатель плотности ткани мозга находится в пределах нормы.
2 стадия инсульта
Нарастает цитотоксический отек мозга, наблюдается некротическая гибель вещества мозга (визуализируется участками затемнения). На КТ мы увидим, что плотность белого и серого вещества мозга снижается. При этом гибнут элементы нервной ткани, образуются макрофаги.
3 стадия инсульта
На 5-е сутки после инсульта начинаются процессы разрушения тканей мозга и реактивные изменения в сером веществе. Образуются новые сосуды и капилляры. Однако они нежизнеспособны и разрушаются. Если бы рассматривали их под микроскопом, то увидели бы кровоизлияния из этих сосудов. Плотность серого вещества мозга увеличивается («эффект затуманивания»). Наблюдается более заметное изменение плотности по шкале Хаунсфилда серого и белого вещества.
4 стадия инсульта
Лакунарные инфаркты на КТ представляют собой небольшие зоны (от 5 до 10 мм) со сниженной плотностью ткани. В дальнейшем формируются псевдокисты (лакуны).
Нужно ли делать КТ после инсульта?
После первой диагностики инсульта на КТ — выявления очагов поражения мозга и определения вида (геморрагический или ишемический инсульт) — важно отслеживать динамику изменений раз в год или чаще, по показаниям лечащего врача (невролога). КТ можно заменить на МРТ, что будет в равной степени информативно.
Текст подготовил
Котов Максим Анатольевич, главный врач центра КТ «Ами», кандидат медицинских наук, доцент. Стаж 20 лет
- Campbell B., De Silva D., Macleod M., Coutts S., Schwamm L., Davis S., Donnan G. Ischaemic stroke, 2019.
- Bouchez L., Sztajzel R., Vargas M. CT imaging selection in acute stroke, 2016.
- Kamalian S., Lev M., Stroke Imaging, 2019.
- Котов М.А. Возможности компьютерной томографии в прогнозировании летального исхода инсульта / Дневник казанской медицинской школы. — 2017. — №. 2. — С. 76-80.
- Котов М.А. Показатели и значение интракраниального анатомического резерва, у пациентов с острым нарушением мозгового кровообращения / Журнал научных статей Здоровье и образование в XXI веке.Т. 18, № 2., 2016. — С. 229-233.
- Котов М.А. Лучевые предикторы исходов ишемического инсульта / Дневник казанской медицинской школы. — 2018. — №. 2. - С. 86-89.
- Котов М.А. Предикторы раннего летального исхода острого нарушения мозгового кровообращения, выявляемые при компьютерной томографии / Материалы VIII Научно-практической конференции Поленовские чтения, Российский нейрохирургический журнал им. проф. А.Л. Поленова, специальный выпуск. — 2018, — Т.Х, С. 129.
- Котов М.А. Возможности компьютерной томографии в оценке риска развития острого нарушения мозгового кровообращения / Вестник Северо-Западного государственного медицинского университета им. И.И. Мечникова. 2017. Т. 9. № 4. — С. 35-38.
- Kotov M.A. Brain dislocation morphometry at neurology and neurosurgery from the standpoint of evidence-based medicine / Global Science and Innovation // Materials of the V international scientific conference. - Chicago, 2015. — Р. 207-212.
Мы перезвоним, подберём удобное для записи время и ответим на вопросы.
Оператор обрабатывает входящие заявки с 8:00 до 22:00
Нажимая на кнопку, вы даете согласие на обработку персональных данных в соответствии с Федеральным законом от 27.07.2006 г. № 152-ФЗ «О персональных данных».
Если вы оставили ее с 8:00 до 22:00, мы перезвоним вам для уточнения деталей в течение 15 минут.
Институт детской неврологии и эпилепсии
ИДНЭ (с 2006 года), ИДВНЭ (с 2016 года), ЦЗиР (с 2017) и ОЦМУ (с 2019) им. Святителя Луки
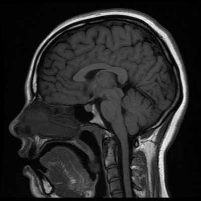
Гемимегалэнцефалия
Внедрение магнитно — резонансной томографии (МРТ) в клиническую практику позволило значительно расширить список прижизненно (в последнее время и антенатально) выявляемой патологии, как приобретенного, так и врожденного характера, в том числе, дисплазий головного мозга (ДГМ) (Chugani H.T., Sankar R., 1993). ДГМ являются «идеальной эпилептической моделью», учитывая, что причиной развития приступов становится изначально порочный морфологический субстрат, не претерпевающий каких-либо изменений от рождения до гибели пациента, в отличие от симптоматических форм эпилепсии, индуцированных опухолями, травмами или инфекциями. Guerrini (2003), обобщая богатый клинический опыт изучения детских форм эпилепсии, сообщает, что на долю ДГМ приходится до 40% всех резистентных случаев.
Гемимегалэнцефалия (ГМЭ) или унилатеральная мегалэнцефалия — дисплазия головного мозга, обусловленная унилатеральными нарушениями нейронной миграции и пролиферации, результатами которых является одностороннее диспластическое увеличение одной из гемисфер (В.А. Чадаев и соавт., 2003). Гемимегалэнцефалия может встречаться как изолированный порок, так и сочетаться с гемигипертрофией всего тела — синдром Клиппель-Треноне-Вебера (Anlar B. и соавт., 1988); нейрокожными синдромами: протеуса, линейного невуса, эпидермального невуса, гипомеланоза Ито, нейрофиброматоза, туберозного склероза (De Lone D.R. и соавт., 1999; Sasaki M. и соавт., 2000).
Облигатным признаком ГМЭ является чрезмерное развитие одной гемисферы при нормальных размерах другой. Нарушение устройства рисунка извилин (сулькации) может быть представлено участками коры с увеличенными, утолщенными (пахигирия) или удлиненными и истонченными (полимикрогирия) зонами. В гипертрофию обычно вовлекаются глубинные структуры полушарий, реже мозжечок. Гемигипертрофия ствола мозга или спинного мозга является редкостью (Tuxhorn I. и соавт., 1997). Диспластические нарушения могут обнаруживаться и в контралатеральном «здоровом» полушарии.
Микроскопический анализ ГМЭ констатирует аномальное развитие обеих гистологических составляющих: нейрональной и глиальной (Barcovich A.J. и соавт., 1990). Нейрональные миграционные изменения заключаются в грубых нарушениях горизонтальной кортикальной организации (дисламинация), нечеткости серо-белой демаркации, аномально расположенных нейрональных скоплениях (гетеротопии). Глиальные нарушения выявляются в 50% случаев и заключаются в увеличенном количестве гипертрофированных (в том числе за счет повышенного количества ДНК) глиальных клеток (Manz H.J. и соавт., 2000).
Диагноз ГМЭ в современных условиях устанавливается, в подавляющем большинстве случаев, при МРТ исследовании головного мозга. МРТ у больных с ГМЭ выявляет асимметрию гемисфер за счет диффузно увеличенного, аномального полушария. Характерна вентрикуломегалия диспластичной гемисферы. В Т2 — режиме выявляется интенсивный сигнал в белом веществе — результат сочетания глиоза и участков гипомиелинизации.
Материал и методы. Нами обследовано 4 больных ГМЭ в возрасте от 5 до 7 лет; 2 мальчика и 2 девочки (табл. ). Проводилось неврологическое обследование, рутинная ЭЭГ, видео - ЭЭГ мониторинг с включением сна (6-12 часов исследования), магнитно - резонансная томография (МРТ) с напряженностью поля 1,5 Tsl. Целью исследования было изучение клинических, электроэнцефалографических и нейровизуализационных характеристик больных гемимегалэнцефалией. Особое внимание уделялось характеристики симптоматической фокальной эпилепсии при ГМЭ: возраст дебюта приступов, их характеристика, динамика течения.
Результаты исследования. Среди обследованных нами пациентов, ГМЭ встречалась как изолированный порок развития в 3 случаях и в 1 - в сочетании с гипертелоризмом, потребовавшим хирургической коррекции в раннем детском возрасте. В 2 случаях ГМЭ локализовалась слева (доминантная гемисфера) и в 2 - справа (субдоминантная гемисфера).
Во всех случаях ГМЭ проявлялась триадой симптомов: центральным гемипарезом, умственной отсталостью и эпилептическими приступами. Однако степень выраженности данных неврологических проявлений была весьма различной. В неврологическом статусе у пациентов с ГМЭ контралатерально пораженной гемисфере отмечался центральный гемипарез с преимущественным нарушением моторики кисти. Выраженный гемипарез констатировался в 1 наблюдении, умеренный - 1 и легкий гемипарез с нарушением мелкой моторики — в 2 случаях. Двигательный дефицит был заметен у 2 пациентов практически сразу после рождения, а у оставшихся 2 - только после 3-4 мес. жизни. Задержка психического развития обращала на себя внимание после к 4-6 мес. жизни. У 1 пациента развилась тяжелая умственная отсталость, и в 3 случаях - легкая. Степень выраженности моторного и интеллектуального дефицита четко коррелировала с возрастом дебюта эпилептических приступов. Максимально неврологические нарушения были выражены у пациентки с ранним дебютом эпилепсии (до 6-и мес.) (табл. ).
Дебют эпилептических приступов у всех пациентов наступал в возрасте до 1 года (2-11 мес.). В 2 случаях заболевание манифестировало с инфантильных спазмов, в 2 - с фебрильных судорог (1 - типичные и 1 - атипичные с фокальным компонентом и постприступным парезом). Для инфантильных спазмов была характерна выраженная асимметрия в кинематике приступов с большим участием конечностей на контралатеральной дисплазии стороне. У одной из наших пациенток с ГМЭ (Б.О.), эпилептические приступы дебютировали на 2-ом мес. жизни с тонических экстензорных спазмов; на ЭЭГ регистрировался паттерн «разряд - угнетение». Таким образом, у данной больной наблюдалась электро - клиническая картина синдрома Отахара. В дальнейшем присоединились фокальные моторные, миоклонические и миоклонически — астатические приступы. После 1 года инфантильные спазмы во всех случаях трансформировались в фокальные моторные приступы.
Спектр эпилептических приступов при ГМЭ был разнообразен; в большинстве случаев у больных наблюдалось сочетание различных типов приступов. Преобладающим видом приступов были гемиклонические пароксизмы (3 пациента), миоклонические (3), миоклонически - астатические (2) и вторично - генерализованные (2). В 1 случае преобладали ночные тонические аксиальные приступы, в 1 - фокальные атонические пароксизмы (негативный миоклонус) в руке контралатеральной ГМЭ и в 1 - атипичные абсансы. Аутомоторные приступы отсутствовали.
Характерной особенностью у больных ГМЭ была высокая частота провокации приступов лихорадкой (3 пациента), причем в 2 случаях заболевание дебютировало с фебрильных судорог. У 2 больных после гемиклонических приступов усиливался парез в конечностях.
Основная активность фоновой записи при ЭЭГ исследовании была замедлена в 2 случаях и представлена нерегулярным альфа ритмом частоты 8 Гц в оставшихся 2-х. Для всех больных ГМЭ в нашем исследовании было характерно наличие продолженного замедления, латерализованного по пораженной гемисфере, с максимумом по лобным отведениям. Также во всех случаях регистрировалась пик - волновая эпилептиформная активность: латерализованная по дефектной гемисфере (2 случая), преимущественно бифронтальная (1) и преимущественно диффузная (1). У 2 больных регистрировался на ЭЭГ феномен вторичной билатеральной синхронизации (рис. ). Индекс эпилептиформной активности резко нарастал в фазу медленного сна, и в 2 случаях латерализованная пик - волновая активность приобретала характер постоянной продолженной (рис. ), периодически образуя диффузные разряды. При этом наблюдалась значительная редукция физиологических паттернов сна (сонные веретена, К-комплексы, POSTs, вертекс потенциалы). В одном случае (пациентка Б.О.) с ранним дебютом приступов (в 2 мес.) на ЭЭГ констатировались вспышки высокоамплитудных медленных волн и пик-волн, чередующихся с периодами угнетения биоэлектрической активности длительностью до 3 сек. - паттерн «разряд-угнетение» (рис. ).
МРТ исследование было ведущим в верификации синдрома ГМЭ.
Неожиданным был результат, полученный при медикаментозном лечении больных ГМЭ. Применялись препараты вальпроевой кислоты (депакин - хроно), ламиктал, финлепсин - ретард, клоназепам. В 2 случаях применялась политерапия с включением депакина как базового антиэпилептического препарата (АЭП), в 1 - монотерапия депакином и в 1 - монотерапия финлепсином. В 3 случаях из 4 удалось добиться стойкой медикаментозной ремиссии с катамнестическим наблюдением от 1,5 до 2,5 лет. У наиболее тяжелой пациентки Б.О. с ранним дебютом эпилепсии, выраженным гемипарезом и умственной отсталостью, удалось снизить частоту приступов на 50%.
Вместе с тем, ни в одном случае не удалось добиться «электрической ремиссии», то есть нормализации ЭЭГ. Правильно подобранная терапия АЭП приводила к снижению индекса эпилептиформной активности, в ряде случаев к блокированию диффузных разрядов, однако пик - волновые паттерны продолжали регистрироваться на ЭЭГ, несмотря на длительную ремиссию приступов.
- Наличие триады клинических признаков, разной степени выраженности: центральный гемипарез, умственная отсталость, эпилептические приступы.
- Ранний дебют эпилепсии (во всех случаях до 1 года).
- Наличие полиморфных приступов. Сочетание фокальных (гемиклонические, фокальные моторные, вторично - генерализованные судорожные) и псевдогенерализованных приступов (миоклонические, миоклонически - астатические, атипичные абсансы, атонические).
- В 75% случаев приступы провоцировались лихорадкой.
- На ЭЭГ характерным было сочетание продолженного регионального замедления и латерализованной эпилептиформной активности (нередко с диффузным распространением) с нарастанием в фазу медленного сна.
- Плохими прогностическими признаками развития заболевания являлись ранний дебют эпилепсии, полиморфизм приступов, выраженное снижение интеллекта, наличие феномена вторичной билатеральной синхронизации на ЭЭГ.
- В 75% случаев приступы были купированы адекватно подобранными АЭП. Однако нормализации ЭЭГ не было достигнуто ни у одного пациента.
Таким образом, для ГМЭ оказалось характерна полиморфная клиническая картина с разной степенью выраженности двигательных и когнитивных нарушений. Небезынтересно, что, несмотря на обширные изменения коры головного мозга по данным МРТ, лишь у 1 больной отмечался выраженный гемипарез и умственная отсталость тяжелой степени. Именно у этой пациентки был наиболее ранний дебют эпилептических приступов (в возрасте 2 месяцев). По мнению Vigevano и соавт. (1997), степень неврологических нарушений у больных ГМЭ может быть различной: от глубокой инвалидизации до легких, часто незаметных без специального нейропсихологического тестирования. Сhugani H.T. и соавт. (1993) также установили, что тяжесть клинических нарушений коррелирует со сроками дебюта эпилептических приступов.
Таблица 1. Характеристика обследованных нами больных гемимегалэнцефалией.
Мегалэнцефалия
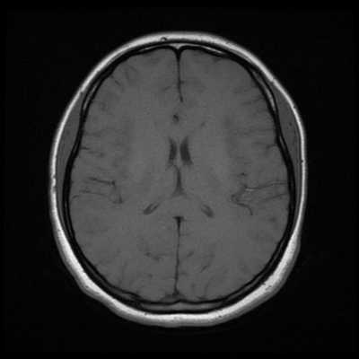
Гемимегалэнцефалия - увеличение размера части или всего полушария большого мозга.
Гемимегалэнцефалию встречают спорадически.
Клинические признаки - макроцефалия, задержка психического развития, гемиплегия, судороги.
Определяют асимметрию полушарий или долей мозга. В увеличенном полушарии в большинстве случаев находят гетеротопию, которая может деформировать боковой желудочек. Боковой желудочек расширен, а его передний рог компримирован и выпрямлен. Борозды и извилины деформированы, могут обнаружиться участки пахигирии, полимикрогирии. Граница между серым и белым веществом смазанная, нечеткая. На Т2-ВИ интенсивность сигнала от белого вещества бывает повышена вследствие демиелинизации. В субкортикальных отделах пораженного полушария могут определяться кистозные изменения.
Кроме увеличения размера полушария мозга или его части, могут определяться мелкие обызвествления в сером и белом веществе.
Диагностика гемимегалэнцефалии у плода основана на обнаружении асимметрии гемисфер большого мозга. Степень увеличения размера может быть выражена вариабельно в различных ее отделах. Боковой желудочек увеличенной гемисферы обычно расширен, но может быть неизмененным. Гетеротопию, изменения извилин мозга (пахигирию, полимикрогирию), которые в большинстве случаев определяют при гемимегалэнцефалии, трудно обнаружить, особенно если они фокальны.
Алгоритм исследования
Пренатальное МРТ позволяет более достоверно сравнить размеры гемисфер или долей мозга, оценить состояние коры мозга. В постнатальном периоде МРТ - метод выбора.
Гемимегалэнцефалию необходимо дифференцировать с опухолями головного мозга. Отличительные признаки - утолщение коры, деформация борозд и извилин, наличие узлов гетеротопии. После введения контрастного вещества не происходит усиления интенсивности сигнала от вещества мозга.
Ишемия головного мозга на МРТ
Все клиники сети ЦМРТ оснащены современным высокоточным оборудованием. МРТ и другие виды диагностики проводят опытные и квалифицированные специалисты.
Консультация специалиста после диагностики со скидкой 50%.

Ишемия мозга — ухудшение снабжения кровью мозговых тканей острой или хронической формы, приводящее к смерти отдельных нейронов и нарушению функционирования органа. Часто появляется на фоне атеросклеротических изменений сосудистого русла и артериальной гипертензии. Для проведения диагностики следует обратиться к неврологу.
Рассказывает специалист ЦМРТ
Дата публикации: 10 Ноября 2021 года
Дата проверки: 30 Ноября 2021 года
Содержание статьи
Что такое ишемия головного мозга
Нейроном требуется непрерывный приток крови для своевременного поступления кислорода и питательных веществ. Эти клетки не могут автономно поддерживать свой метаболизм, поэтому даже кратковременная гипоксия приводит к неблагоприятным последствиям. Ишемия головного мозга — это нарушение притока крови к тканям (острое или хроническое). Острое расстройство кровообращения тканей называют ишемическим инсультом. Он обусловлен нарушением проходимости сосуда на фоне тромбоза, спазма или другого фактора.
Хронической ишемией мозговых тканей называют медленно развивающуюся дисфункцию церебральных структур, обусловленную повреждением нейронов на фоне гипоксии. Неврологи относят к этой группе заболеваний разные формы энцефалопатии. Хроническая ишемия мозга является этиологическим фактором развития деменции, вторичного паркинсонизма и эпилепсии.
Симптомы
Проявления церебральной ишемии зависят от ее клинической формы, области возникновения и тяжести течения. В случае инсульта у пациента появляются выраженные неврологические проявления, включая нарушение движений и расстройство речи. При хроническом процессе больные жалуются на нарушение памяти, снижение интеллекта и парезы.
Ишемическая болезнь мозга вызывает:
- психоэмоциональные нарушения
- ухудшение способности к обучению
- снижение концентрации внимания
- эмоциональную лабильность
- трудности с планированием и выполнением простых действий
На поздних стадиях ишемии головного мозга оявляются выраженные неврологические расстройства и осложнения, включая изменение походки и недержание мочи. Лечение ишемии головного мозга зависит от стадии заболевания и состояние пациента.
Стадии развития
Неврологии выделяют следующие этапы прогрессирования ишемии:
Первая стадия. Появляются малозаметные двигательные нарушения, включая ухудшение координации. Пациент жалуется на тревогу, слабость и снижение настроения.
Вторая стадия. Усиливаются неврологические расстройства с появлением псевдобульбарного синдрома, атаксии и других нарушений. Усиливаются психоэмоциональные симптомы.
Третья стадия. Возникают признаки вторичного паркинсонизма. Этот этап развития болезни также характеризуется выраженными когнитивными нарушениями, недержанием мочи и трудностями с поддержанием равновесия во время ходьбы. Усиливается деформация личности.
Определить стадию заболеванию сможет только невролог по результатам осмотра, консультации и применения инструментальных исследований.
Показывает ли МРТ ишемию мозга
Этот высокотехнологичный способ визуализации тканей дает специалисту возможность получить детальные изображения разных отделов органа и обнаружить очаги ишемических изменений. Такое безопасное исследование, не основанное на использовании рентгеновских лучей, эффективнее других методов сканирования при хронической патологии (ХИГМ).
Ишемия головного мозга на МРТ проявляется отеками, расширением ликворных пространств, понижением дифференцировки между серым и белым веществом и другими «маркерами». С помощью этого метода врач достоверно отличает такое заболевание от патологических процессов со схожими клиническими признаками. Сканирование позволяет вовремя провести лечебные мероприятия.
Какая МРТ покажет ишемию мозга?
Специалисты выбирают подходящий способ диагностического поиска с учетом симптомов и результатов других обследований. Это может быть магнитно-резонансная томография головного мозга и его сосудов с контрастированием. Острая или хроническая форма патологии на МРТ хорошо визуализируется. Дополнительно назначают МР-ангиографию для получения подробных визуальных данных, отображающих состояние сосудистого русла органа. Используют оборудование закрытого типа.
Пациентка М. 36 лет
Проблема: жалобы на часто возникающее головокружение, потерю ориентации, слабость в руках
Расшифровка МРТ головного мозга
Результаты МРТ головного мозга - это серия снимков в нескольких плоскостях, представляющих собой послойные виртуальные срезы толщиной в пару миллиметров, сделанные через исследуемую область. Полная и точная интерпретация снимков магнитно-резонансной томографии - работа врача-рентгенолога, имеющего специализацию в соответствующей области. Задача данного материала - знакомство с основными принципами расшифровки результатов МРТ головного мозга, но не обучение данному процессу.
Как выглядит снимок МРТ головного мозга
Классический пример МРТ снимков головного мозга показан на рисунках ниже. Магнитно-резонансная томография выполняется в поперечной (или аксиальной - рисунок снизу) и продольной (или сагиттальной — рисунок сверху) плоскостях.


Исследование выполняется в нескольких режимах. Основные из них Т1 и Т2. Изображения, полученные в данных режимах, часто также называют Т1-взвешенными или Т2-взвешенными снимками. Изображения, показанные выше, сделаны в Т1-режиме.


Главное отличие этих режимов - в том, как на снимках отображается жидкость и воздух. В Т1 режиме ткани, содержащие большое количество воды, имеют более темную окраску, в то время как в Т2 режиме они яркие, светлые. Это легко понять, посмотрев на снимки выше - глазные яблоки визуализируются в виде светлых парных округлых образований с одной стороны яркие и светлые, с другой - темные. Следовательно, снимок справа сделан в Т1 режиме, снимок слева - в Т2. Также существует разница в том, как в этих режимах отображается серое вещество головного мозга. В Т2 режиме оно светлее, чем белое вещество.
На самом деле режимов намного больше - FLAIR, DWI, STIR и так далее. Какой-то режим используется для подавления сигнала от богатых жиром тканей, какой-то - для изучения плотности распределения протонов в тканях, третий - для оценки броуновского движения молекул воды. Вот почему полный курс МРТ-диагностики для врачей длится не один месяц.
Норма и отклонения на МРТ головного мозга
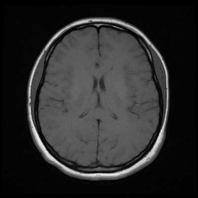
Как же узнать, есть ли на снимках признаки болезни? Самое главное - запомнить, как выглядит головной мозг здорового человека. Врач, изучая снимки пациентов, постоянно сравнивает их с нормальными снимками, хранящимися у него в голове. Чтобы понять, как это происходит - посмотрите на снимки внизу:


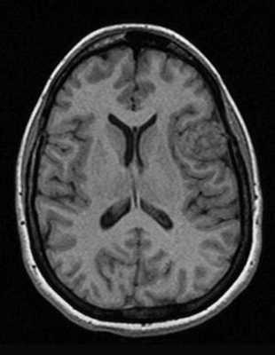
Перед вами - два снимка, сделанных в одном режиме. Снимок снизу - норма. Какое заболевание, в таком случае, есть на верхнем снимке? Чтобы понять это, нужно сравнить эти изображения. Явно видно отличие - на верхнем снимке в правой части головного мозга есть новообразование. Разница еще заметнее, если сравнить левую и правую части того же снимка.


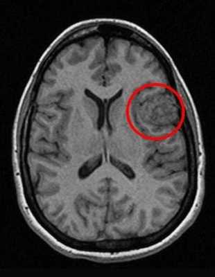
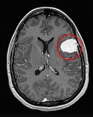
Отметим его красной окружностью. Визуально оно представляет собой узел, неоднородный по окраске и отличающийся от серого и белого вещества головного мозга. В таких случаях, чтобы точно определить границы опухоли и определить её тип исследование повторяют с контрастом. Введение контрастного препарата в кровь через локтевую вену приводит к накоплению контрастного вещества в тканях опухоли - нормальные здоровые ткани его практически не накапливают. И мы получаем следующую картину, показанную на рисунке справа. Яркая окраска опухоли соответствует накопленному контрасту - теперь можно не только сказать, где опухоль, но и примерно определить, что это доброкачественная опухоль, так как она имеет четкие границы (злокачественные опухоли прорастают окружающие ткани, из-за чего границы будут размытыми и не такими четкими).
Таким образом расшифровка результатов МРТ головного мозга проводится путем сравнения полученных снимков с нормой. При отсутствии отличий можно говорить о том, что пациент, чьи снимки исследует врач, скорее всего здоров. Сравнивается все - форма, размеры анатомических структур, локализация, симметричность, количество спинномозговой жидкости в полостях головного мозга, и множество других параметров. Каждое заболевание, будь то инсульт или рассеянный склероз, имеет свои характерные признаки.
Как читать результаты МРТ головного мозга
Теперь попробуем прочитать заключение МРТ головного мозга с расшифровкой снимков на следующем примере:

- Техника сканирования - перечисляются режимы, в которых проводилось исследование;
- На серии томограмм определяются мелкие очаги ишемии - участки белого вещества головного мозга, испытывающие дефицит кислорода (возрастные изменения). Любые очаговые изменения вне зависимости от локализации — патология;
- Далее описывается кора головного мозга - незначительная атрофия лобно-височных долей также является возрастными изменениями (исследование проводилось у пожилого человека);
- Затем описывается система желудочков головного мозга - полостей, в которых циркулирует спинномозговая жидкость - если они не расширены, имеют нормальную форму, значит все в норме.
- Мозолистое тело, мозжечок и ствол мозга без изменений;
- Далее идет описание гипофиза - железы, расположенной на основании мозга (незначительное уплощение возможно в норме), области перекреста зрительных нервов, синусы внутренней сонной артерии - также без изменений, так как нет асимметрии, их контуры четкие и ровные;
- Затем идет описание глазных яблок и содержимого глазниц - без патологических сигналов, т.е. в норме;
- Область мостомозжечкового угла - место отхождения слухового или преддверно-улиткового нерва, отвечающего за слух - без изменений, нерв определяется с обеих сторон;
- Описываются придаточные пазухи носа - в правой гайморовой пазухе имеется киста - остальные пазухи в норме, пневматизация обычная (содержат воздух, а не гной или жидкость);
- Далее идет исследование сосудов головного мозга или МР-ангиография - отсутствие изменений калибра, симметричность, отсутствие смещения и сужения просвета - норма. Небольшое сужение допускается;
- Затем проводится венография - отсутствие изменений и нормальный калибр - норма.
В заключение выносят только патологические изменения - в данном случае это очаги ишемии, атрофия лобно-височных областей, киста гайморовой пазухи. В целом картина соответствует возрасту пациента - 65 лет. МРТ-признаки сосудистой энцефалопатии - окончательный диагноз будет определен лечащим врачом. Обратите внимание - в норме на снимках отсутствуют изменения, очаговые или диффузные (распространенные равномерно), кисты, опухоли, новообразования, участки патологической гипер или гипоинтенсивности сигнала. Анатомические образования имеют четкие ровные контуры, не смещены, симметричны. Сосуды симметричны, без признаков сужения просвета, с нормальным ходом и калибром, интралюминарный сигнал (фактически кровь в сосуде) гомогенный, что говорит об отсутствии тромбов в просвете артерии или вены.
Подобным путем проводится расшифровка и описание снимков в любой клинике. Однако точность сделанного заключения зависит от квалификации врача МРТ-диагностики.
Читайте также:
