Диагностика хронической субдуральной гематомы по КТ, МРТ
Добавил пользователь Евгений Кузнецов Обновлено: 11.12.2025
Эпидуральная гематома представляет собой скопление крови между внутренней поверхностью черепа и наружным слоем твердой мозговой оболочки, который называется периостом. При эпидуральной гематоме, как правило, в анамнезе имеется травма и сопутствующий перелом черепа. Источником кровотечения обычно является разрыв острыми краями перелома черепа ветвей менингеальной артерии (чаще всего, средней менингеальной артерии). Эпидуральные гематомы, как правило, имеют двояковыпуклую форму, могут иметь объемное воздействие вызывая вклинение головного мозга. Как правило, эпидуральные гематомы ограничены черепными швами. КТ и МРТ являются подходящими модальностями для диагностики эпидуральных гематом. При своевременно оказанном лечении, прогноз при эпидуральной гематоме хороший.
Эпидемиология
Обычно эпидуральные гематомы встречаются у молодых пациентов с травмой головы и переломом костей черепа в анамнезе.
Патофизиология
Источником кровотечения обычно является разрыв менингеальной артерии, как правило, средней менингеальной артерии. Сопутствующий перелом костей черепа встречается в ~ 75% случаев [2]. Болевой синдром вызывается за счет сепарацией твердой мозговой оболочки от костей черепа при кровотечении . Эпидуральные гематомы в задней черепной ямке редки, но потенциально более жизнеугрожающие 2. Иногда источником эпидуральной гематомы является разрыв венозных синусов.
Локализация
В 95% случаев эпидуральные гематомы односторонние, однако встречаются двусторонние и множественные эпидуральные гематомы.
Особые локализации ассоциированные с венозным кровотечением, включают в себя:
- в области vertex— центрально расположенной наивысшей точки свода черепа (смещают верхний сагиттальный синус) [5]
- передняя черепная ямка [6]
- возможно венозное кровотечение из сфенопариетального синуса
- не вызывают смещение срединных структур или дислокации
- редко увеличиваются в размерах
Диагностика
Для понимания морфологии эпидуральных гематом полезно понимать ее отношение к костям свода черепа и твердой мозговой оболочке. Эпидуральная гематома по сути является субпериостальной гематомой расположенной в черепе, между внутренней поверхностью черепа и париетальным слоем твердой мозговой оболочки (периостом). В результате эпидуральная гематома ограничена черепными швами, поскольку внутренний слой периоста через швы переходит в наружный слой периоста у детей и плотно срастаеться с ними у взрослых. Это позволяет дифференцировать эпудиральные гематомы от субдуральных - последние не ограничены черпными швами. Однако эпидуральные гематомы могут пересекать и смещать венозные синусы в областях где нет швов, поскольку венозные синусы расположены между париетальным и висцеральным слоями твердой мозговой оболочки. Редко эпидуральные гематомы могут пересекать швы. В исследовании Huisman TA, Tschirch FT [4] отмечено что до 11% эпидуральных гематом у детей пересекают швы в случаях:
- линия перелома пересекает линию шва
- при наличии диастаза шва
- гематома в области vertex, обычно венозного генеза, часта пересекает срединную линию локализуясь над верхним сагиттальным синусом [5]
Компьютерная томография
Эпидуральные гематомы хорошо визуализируются при КТ головного мозга. Они имеют двояковыпуклую (чечевицеобразную, линзовидную) форму, часто локализуются в области чешуйчатой части височной кости. Эпидуральные гематомы имеют гиперденсивную плотность, несколько неоднородны и имеют четкие границы. В зависимости от размера, могут иметься признаки вторичного объемного воздействия (напр., смещение срединных структур, subfalcine грыжа, UNCAL грыжа).
При остром кровотечение могут иметь неоднородную структуру за счет менее гиперденсивной свежей крови. Периферическое контрастное усиление встречается при визуализации хронических эпидуральных гематом и обусловленно грануляциями и неоваскуляризацией.
Магнитно-резонансная томография
МРТ позволяет четко визуализировать смещенную твердую мозговую оболочку, в виде гипоинтесивной линии на Т1 и Т2 последовательностях, что помогает отдифференцировть эпидуральную гематому от субдуральной.
Остая эпидуральная гематома имеет изоинтенсивный МР сигнал на Т1 ВИ и может иметь различную интенсивность МР сигнала на Т2 последовательностях.
Ранняя подострая эпидуральная гематома гипоинтенсивна на Т2 изображениях, в то время как поздняя и хроническая эпидуральная гематома будут иметь гиперинтесивный МР сигнал как на Т1 так и на Т2 последовательностях.
Внутривенное введение контраста позволяет визуализировать смещенные или окклюзированные венозные синусы в случаях венозного источника эпидурального гематомы.
Дифференциальный диагноз
При больших размерах гематомы обычно не возникает сложности с постановкой правильного диагноза. При небольших размерах, особенно с сопутствующим поражением паренхимы (напр. ушиб головного мозга, травматическое субарахноидальное кровоизлияние, субдуральная гематома) дифференциальная диагностика может быть затруднительна.
Субдуральная гематома
Субдуральные гематомы представляют собой скопление крови в пространстве между твердой мозговой и паутинной оболочками мозга. Может встречаться в любой возрастной группе, основаня причина - черепно-мозговая травма. КТ достаточно, чтобы поставить диагноз. Прогноз варьирует в широких пределах в зависимости от размеров и давности кровоизлияния. Более > 70% субдуральных гематом имеют другие важные повреждения: САК, ДАП, контралатеральные ушибы.
Субдуральные гематомы встречаются во всех возрастных группах:
- у детей чаще случайная травма,
- у молодых людей: дорожно-транспортные происшествия,
- у лиц пожилого возраста: падения (явный анамнез травмы может отсутствовать),
- встречаются в ~ 15% всех случаев травм головы,
- встречаются в 30% от травм головы со смертельным исходом.
Клиническая картина
Острые субдуральные гематомы обычно встречаются при черепно-мозговой травме, особенно у молодых пациентов, где они сочетаются с ушибами головного мозга. У большинства пациентов (65-80%) субдуральные гематомы сопутствуют выраженному угнетению сознания и аномалии зрачкового рефлекса. Клинические проявления подострых / хронических субдуральных гематом у пожилых людей без или с незнечительной травмой головы в анамнезе, часто являются неопределенными и являются одной из классических причин псевдо-деменции.
Патология
Субдуральные гематомы возникают при растяжении и разрыве мостиковых вен, залегающих в субдуральном пространстве, при воздействии внезапно возникающих сдвигающих сил при травме. Так же может повреждаться паутинная оболочка, вызывая скопление крови между паутинной и твердой мозговой оболочками. В 10 - 30% хронических субдуральных гематом имеются повторные кровоизлияния. Повторные кровотечения обычно происходят при разрыве перерастянутых корковых вен, так как они пересекают увеличенное заполненное субдуральное пространство, или из васкуляризированной псевдокапсулы. Субдуральные гематомы располагаются между твердой мозговой и паутинной оболочкой. Как правило они имеют лентовидную форму или форму полумесяца, и я вляются более протяженными чем эпидуральные гематомы. В отличие от эпидуральной гематомы, субдуральные гематомы не ограничиваются швами черепа, но ограничиваются серпом мозга и наметом мозжечка.
У взрослых 85% субдуральных гематом являются односторонними. У детей раннего возраста 75-85% являются двусторонними. Типичные места локализации субдуральных гематом лобно-теменные области и средняя черепная ямка. Межполушарные субдуральные гематомы чаще встречаются у детей с не дорожно-транспортными травмами. В подавляющем большинстве случаев, КТ достаточно для постановки диагноза. Введение контраста иногда бывает полезно, если есть подозрение на субдуральную эмпиему, при подозрении на наличие небольшой изоденсивной субдуральной гематомы или попытке разграничить расширение субарахноидальных пространств от хронической субдуральной гематомы.
Ренгенография черепа
При наличии КТ или МРТ модальностей нецелесообразна, бесполезна и даже вредна.
Признак "водоворота" - это признак активного кровотечения. Проявления субдуральной гематомы при КТ зависят от давности и степени организации гематомы - в среднем плотность субдуральной гематомы снижается на 1,5 HU в день.
Острейшая субдуральная гематома
В большинстве случаев, исследование пациентам проводится позднее острейшей фазы (первый час), но в случаях когда исследование выполнено в этот период, субдуральные гематомы появляются относительно изоденсивной плотностью по отношению к коре головного мозга, с неоднородностью в виде завихрениий, из-за смеси сгустков крови и продолжающегося поступления не свернувшейся крови. Степень отека головного мозга (особенно у молодых пациентов, у которых черепно-мозговая травма часто является более тяжелой) влияет на объемное воздействие, нет прямой связи между размером субдуральной гематомы и степенью дислокации [2].
Острая субдуральная гематома
Классическая картина острой субдуральной гематомы - однородная гиперденсивная экстра-аксиально расположенная зона лентовидной формы или формы полумесяца, которая широко распространяется вдоль конвекса гемисферы головного мозга. По мере сворачивания крови, плотность гематомы увеличивается, как правило, до > 50-60 HU, таким образом, гематома является гиперденсивной по отношению к коре головного мозга [2]. До 40% субдуральных гематом имеет смешанную гипер- или гиподенсную плотность, за счет несвернувшейся крови и плазмы. Редко, острые субдуральные гематомы могут быть изоденсивной плотности по отношению к коре головного мозга, что встречается при коагулопатиях или тяжелой анемии, когда концентрация гемоглобина падает до 8 до 10 г/дл.
Подострая субдуральная гематома
Со временем за счет деградации белков плотность сгустков крови снижается. В период от 3 до 21 дней (обычно 7-14 дней), плотность снижается до ~30 HU и гематома становиться изоденсивной относительно коры головного мозга, что затрудняет диагностику, особенно если имеются двусторонние субдуральные гематомы [2]. Контрастное усиление при КТ полезно при отсутствии возможности выполнить МРТ. Ключевыми моментами в диагностике является ряд косвенных признаков:
- ЦСЖ борозд не доходит не костей черепа
- объемное воздействие включающее сглаживание борозд и латеральную дислокацию срединных структур
- кажущееся утолщение коры
Хроническая субдуральная гематома
В конечном счете субдуральная гематома становится гиподенсной и может достигать ~ 0 HU, она может быть изоденсивной относительно ЦСЖ и может симулировать субдуральную гигрому.
Повторное острое кровоизлияние в хронической субдуральной гематоме
Повторным острым кровоизлияним в хроническую субдуральную гематому считается эпизод острого кровоизлияния в ранее существовующую хроническую субдуральную гематому. Проявляется в вид гиподенсного скопления с уровнями. Может наблюдаться у пациентов с нарушениями свертывания крови или принимающих антикоагулянты [2].
Магнитно-резонасная томография
Проявления обычно обусловлены биохимическими свойствами гемоглобина который варьируют от сроков гематомы. Наиболее чувствительной является FLAIR последовательность.
Сверхострая субдуральная гематома
- T1: изоинтенсивный сигнал, по отношению к сигналу от серого вещества головного мозга
- T2: интенсивность сигнала варьирует от изо- до гиперинтенсивного
- FLAIR: гиперинтенсивный сигнал, по отношению к сигналу ЦСЖ
- T1: интенсивность сигнала варьирует от изо- до гиперинтенсивного, по отношению к сигналу от серого вещества головного мозга
- T2: сигнал гипоинтенсивный, по отношению к серому веществу
- FLAIR: гиперинтенсивный сигнал, по отношению к сигналу ЦСЖ
Во фронтальной плоскости может иметь двояковыпуклую форму, а не форму полумесяца, которая является типичной в аксиальной плоскости
Субдуральная эмпиема
Субдуральная эмпиема — инфекционное поражение ЦНС, характеризующееся скоплением гнойного экссудата на ограниченном пространстве между твёрдой и мягкой церебральными оболочками. Появляется головной болью, рвотой, прогрессирующим расстройством сознания, очаговым неврологическим дефицитом (гемипарез, дисфункция черепных нервов, афазия), эпиприступами. Диагностируется субдуральная эмпиема в основном при помощи МРТ и КТ с контрастированием. Лечение неотложное — хирургическое дренирование или удаление эмпиемы на фоне интенсивной антибактериальной терапии. Прогноз серьёзный.
![Субдуральная эмпиема]()
Общие сведения
Субдуральная эмпиема представляет собой скопление гнойного отделяемого (экссудата) на определенном участке между оболочками, покрывающими головной мозг. В таком случае гной занимает пространство между лежащей более поверхностно твёрдой (дуральной) оболочкой и расположенной под ней мягкой церебральной оболочкой, непосредственно прилегающей к головному мозгу. В неврологии выделяют также эпидуральные эмпиемы, при которых гнойное отделяемое располагается над дуральной оболочкой, между ней и костями черепной коробки.
Субдуральная эмпиема составляет около 1/5 всех ограниченных внутричерепных инфекционных процессов. Причина образования гнойного отделяемого — это проникновение гноеродной инфекции в межоболочечное пространство. В 75% случаев субдуральная эмпиема имеет односторонний характер. Объем гнойного экссудата может составлять от 2-3 до 200 мл. При минимальном объеме гноя могут преобладать симптомы раздражения церебральных оболочек и коры мозга. Как правило, быстрое нарастание количества экссудата приводит к прогрессирующему развитию симптоматики сдавления головного мозга.
![Субдуральная эмпиема]()
Причины субдуральной эмпиемы
Этиологическим фактором выступают гноеродные микроорганизмы. Чаще это смешанная стрептококковая инфекция (около 35% аэробы и 10% анаэробы). Реже встречается субдуральная эмпиема, обусловленная стафилококками, клостридиями, грамотрицательными палочками. У пациентов с скомпрометированной иммунной системой (например, страдающих ВИЧ или прошедших терапию цитостатиками) этиофактором могут являться сальмонеллы, ассоциации микроорганизмов, грибы Candida.
Проникновение инфекции между оболочками может происходить несколькими путями. Наиболее часто субдуральная эмпиема обусловлена распространением инфекционного процесса из придаточных пазух носа (при синусите) и сосцевидного отростка (при отите и мастоидите). Причём «занос» микроорганизмов в церебральные оболочки из очага гнойного воспаления может осуществляться как контактным, так и гематогенным путем. Возможно излитие гноя в межоболочечное пространство при прорыве абсцесса головного мозга или нагноившейся церебральной кисты. Источником гнойного отделяемого у детей младшего возраста иногда служит гнойный менингит.
Проникновению инфекционных агентов способствуют черепно-мозговые травмы с переломом костей черепа. По статистике субдуральная эмпиема является осложнением 2-4% огнестрельных ранений головы. Инфицирование возможно при остеомиелите костей черепа. Нагноившаяся субдуральная гематома также может привести к возникновению субдуральной эмпиемы. В некоторых случаях попадание гноеродных микроорганизмов в гематому происходит в ходе её нейрохирургического дренирования.
Симптомы субдуральной эмпиемы
Обычно субдуральная эмпиема имеет тяжёлое быстро прогрессирующее течение. Начало с головной боли и повышенной до 39-40°C температуры. Отмечается тошнота и рвота, свидетельствующие о резкой внутричерепной гипертензии. У 75-80% пациентов отмечается менингеальный синдром — симптомокомплекс, возникающий при раздражении церебральных оболочек (затылочная ригидность, симптомы Кернига и Брудзинского). Характерны те или иные расстройства сознания, которые примерно в 50% случаев возникают уже в начале клинической манифестации эмпиемы.
По различным данным у 60-80% пациентов выше описанные симптомы появляются на фоне наличия первичного гнойного очага (чаще хронического гнойного отита или гайморита). В таких случаях локализация головной боли изначально, как правило, соответствует первичному очагу. Затем боль принимает распространённый характер. Быстро нарастающее внутричерепное давление и отек головного мозга усугубляют нарушение сознания вплоть до комы. У грудных детей происходит выбухание ещё незакрывшегося большого родничка.
В большинстве случаев очаговый неврологический дефицит обнаруживается уже в первые 1-2 суток с момента начала заболевания. Наиболее часто это центральный гемипарез — слабость и нарушения чувствительности руки и ноги с противоположной локализации эмпиемы стороны тела. В зависимости от расположения субдуральной эмпиемы могут наблюдаться: афазия, двустороннее выпадение половины зрительного поля (гомонимная гемианопсия), мозжечковая атаксия, глазодвигательные расстройства. У половины пациентов субдуральная эмпиема протекает с эпилептическими приступами. Возможны как пароксизмы фокальной эпилепсии, так и генерализованные эпи-приступы.
Отдельно выделяют молниеносный вариант субдуральной эмпиемы, при которой отек головного мозга прогрессирует в считанные часы, что сопровождается быстрым угнетением сознания с развитием комы. Даже на фоне лечения такая форма зачастую оканчивается летально.
Диагностика субдуральной эмпиемы
Установить диагноз субдуральная гематома в отсутствии возможности проведения КТ или МРТ представляет сложно выполнимую задачу для невролога. Общий анализ крови свидетельствует о воспалительном процессе (лейкоцитоз, подъём СОЭ). Важное значение имеет выявление в анамнезе гнойного отита или синусита, а также диагностирование их по данным рентгенографии. Исследование цереброспинальной жидкости малоинформативно, поскольку обнаруживает неспецифические для эмпиемы изменения. Кроме того, люмбальная пункция в условиях нарастающего церебрального отека опасна вклинением ствола мозга в большое затылочное отверстие и поэтому при подозрении на субдуральную эмпиему обычно не проводится.
Наиболее информативны КТ головного мозга с контрастированием и МРТ. На КТ субдуральная эмпиема видна как серповидная полоса под сводом черепа, над которой после введения контраста возникает узкая полоска повышенного сигнала. Однако при малом размере эмпиемы КТ может давать ложноотрицательный результат. МРТ головного мозга позволяет не только выявить субдуральную эмпиему даже малых размеров, но и оценить ее размер и распространенность. По интенсивности МР-сигнала рентгенолог может дифференцировать эмпиему от серозного экссудата, хронической субдуральной гематомы и эпидурального абсцесса.
При недоступности томографических способов обследования или невозможности их срочного выполнения может быть проведена церебральная ангиография. Она визуализирует субдуральную эмпиему как расположенное в оболочках объемное образование без сосудов.
Лечение субдуральной эмпиемы
Спасти пациента позволяет своевременно проведенное хирургическое лечение на фоне массивной антимикробной терапии. Последняя назначается эмпирически до получения результатов бактериологического исследования гнойного отделяемого. Как правило, применяют антибиотики широкого спектра (цефтриаксон, цефотаксим), которые вводят внутривенно капельно после проведения аллергопробы. Параллельно назначают препараты для купирования отека мозга и эпи-пароксизмов, глюкокортикостероиды, по показаниям осуществляется искусственная вентиляция лёгких.
Операции при эмпиеме сводятся к 2 методикам: дренирование через фрезевое отверстие и удаление эмпиемы путем трепанации черепа. Первый способ нейрохирурги чаще применяют у ослабленных пациентов с высоким операционным риском трепанации. В черепе над зоной субдуральной эмпиемы может быть наложено несколько отверстий для дренирования. Однако и это не всегда позволяет создать хороший отток густому гнойному экссудату. Трепанация производится с выкраиванием костно-апоневротического лоскута и вскрытием дуральной оболочки. Она более травматична, но дает хороший обзор, возможность «вычистить» все гнойные затёки, а затем проводить активное дренирование.
Полученное во время операции гнойное отделяемое отправляется на бактериологическое исследование, по результатам которого производится коррекция проводимой антибиотикотерапии. В среднем антибактериальное лечение продолжают до месяца. В период реконвалесценции начинают курс реабилитации, направленный на более полное восстановление неврологического дефицита. Под наблюдением реабилитолога пациент проходит массаж и рефлексотерапию, занимается лечебной физкультурой, учится навыкам самообслуживания в условиях возникших стойких неврологических отклонений (парез, нарушение чувствительности, афазия).
Прогноз субдуральной эмпиемы
В среднем летальность среди больных с субдуральной эмпиемой составляет около 20%. Наиболее неблагоприятный прогноз при молниеносной форме. Прогностически менее благоприятным считается начало лечения на этапе тяжёлых расстройств сознания и выраженного неврологического дефицита. До четверти выживших пациентов имеют грубые остаточные нарушения в виде парезов или параличей, нарушений речи и т. п. Возможно развитие эпилепсии.
Субдуральная гигрома
Субдуральная гигрома — локальное избыточное накопление прозрачной или имеющей примесь крови цереброспинальной жидкости в промежутке между твердой и арахноидальной церебральными оболочками. Гигрома может быть травматической, самопроизвольной и ятрогенной. В клинике преобладают общемозговые симптомы, очаговый дефицит выражен умеренно. Диагностика включает рентгенографию черепа, оценку неврологического статуса, МРТ или КТ головного мозга; при отсутствии последних — Эхо-ЭГ и люмбальную пункцию. Субклинические гигромы малого размера подлежат наблюдению. В остальных случаях проводится дренирование гигромы. При рецидивировании устанавливается гигромо-перитонеального шунт.
МКБ-10
![Субдуральная гигрома]()
![МРТ головного мозга. Субдуральное скопление жидкости с неоднородным гиперинтенсивным сигналом слева.]()
Субдуральная гигрома (греч. «hygros» — влажный) — скопление цереброспинальной жидкости между подпаутинной (арахноидальной) и твердой церебральной оболочкой. При тяжелой черепно-мозговой травме (ЧМТ) сочетается с субдуральными гематомами и ушибом головного мозга. Гигрома субдурального пространства отличается от гематомы той же локализации отсутствием капсулы и прозрачностью своего содержимого, которое может содержать лишь небольшую примесь крови. Известны случаи трансформации гигромы в субдуральную гематому хронического течения вследствие кровоизлияния в гигрому с последующей инкапсуляцией.
Субдуральная гигрома может сформироваться в любом возрастном периоде. Однако риск ее появления нарастает с возрастом и при наличии атрофических изменений в церебральных тканях. Наиболее частая локализация субдуральной гигромы — это надвисочные области. Клинические проявления гигромы обусловлены увеличением ее объема и сдавлением ею прилежащих церебральных тканей. При малом объеме содержимого субдуральная гигрома имеет субклиническое течение и может стать неожиданной находкой при обследовании по поводу иной церебральной патологии. В силу своей локализации субдуральная гигрома находится в сфере интересов специалистов в области неврологии и нейрохирургии.
![Субдуральная гигрома]()
Причины
Считается, что наиболее часто субдуральная гигрома является следствием травм головы, причем не только тяжелых, но и легких, даже незначительных. Однако гигрома может возникать и по другим причинам, в т. ч. самопроизвольно. Основные причины включают:
- ЧМТ. Различные данные указывают на диагностирование гигромы в 5-20% закрытой черепно-мозговой травмы. Время формирования гигромы может варьировать, в связи с чем выделяют острые, подострые и хронические травматические гигромы.
- Разрыв кисты. В основе самопроизвольных, или нетравматических, гигром лежит, как правило, разрыв арахноидальной кисты. Поскольку арахноидальные кисты часто имеют врожденный характер, субдуральные гигромы, сформировавшиеся вследствие их разрыва, диагностируются преимущественно в молодом возрасте и у детей. Описаны случаи врожденной гигромы церебральных оболочек.
- Ятрогении. Отдельную группу составляют гигромы ятрогенного генеза, формирующиеся после нейрохирургических операций. Чаще образование гигром наблюдается после вмешательств по поводу внутримозговых опухолей, арахноидальных кист и аневризм сосудов головного мозга. Ятрогенный механизм формирования гигром связывают с возникающей после операции ликвореей.
Патогенез
Вопрос патогенеза гигромы травматического генеза до сих пор остается открытым. Согласно одной теории гигрома образуется вследствие разрыва паутинной церебральной оболочки с формированием клапана, посредством которого происходит нагнетание цереброспинальной жидкости в субдуральное пространство. В соответствии с другой теорией патогенеза гигрома является следствием скопления экссудата травмированной твердой церебральной оболочки. Ряд исследователей считают, что гигрома субдуральной локализации формируется за счет разобщения твердой и арахноидальной оболочки в момент травмы с появлением между ними полости, в которую изливается цереброспинальная жидкость поврежденных базальных цистерн.
Симптомы субдуральной гигромы
Клинические признаки во многом аналогичны симптомам гематомы аналогичной локализации. К ним относятся: утрата сознания и его спутанность, сдавливающая или распирающая цефалгия, тошнота и рвота, ухудшение зрения, нарушения речи, потеря памяти, дискоординаторные симптомы. Возможны психические расстройства: перепады настроения, агрессивность, нелепое поведение, элементы дезориентации. По мере увеличения гигромы в объеме появляются и нарастают признаки сдавления головного мозга. Этот процесс происходит более постепенно, чем при субдуральной гематоме. Прогрессирующий масс-эффект приводит к дислокации церебральных структур и компрессии продолговатого мозга с возникновением дыхательных и сердечных расстройств.
Очаговый неврологический дефицит имеет более мягкую выраженность, чем при гематоме субдурального пространства. Он, как правило, представлен анизокорией и гемипарезом. Оболочечные симптомы в виде ригидности затылочных мышц констатируется лишь у 20% пациентов. Примерно в 40% отмечаются эпиприступы, чаще генерализованного характера. Хроническая гигрома при малом объеме может иметь субклиническое течение. Ее трансформация в хроническую гематому может быть спровоцирована дополнительным травмированием.
Диагностика
Диагностический алгоритм при травме головы включает тщательное неврологическое и инструментальное обследование. Основные методы диагностики включают:
- Рентген. На первом этапе выполняется рентгенография черепа. Ангиография церебральных сосудов не всегда способствует выявлению гигромы, которая подобно гематоме обнаруживается в виде бессосудистой полосы и неотличима от нее.
- Эхоэнцефалография. Помогает установить степень повышения внутричерепного давления и наличие дислокации церебральных структур.
- Люмбальная пункция. (при отсутствии противопоказаний). Исследование цереброспинальной жидкости дает выраженное повышение концентрации альбумина, при наличии субарахноидального кровоизлияния обнаруживается кровь.
- Томография. Дифференцировать гигрому субдурального пространства от опухолей церебральных оболочек, арахноидальной кисты и субдуральной гематомы позволяет только проведение МРТ или КТ головного мозга. Зачастую на томографии можно увидеть т. н. «дорожку», соединяющую гигрому с цистернами основания мозга. Томография позволяет точно установить локализацию и объем гигромы, выявить другие церебральные повреждения при ЧМТ, оптимально спланировать лечебные мероприятия.
![МРТ головного мозга. Субдуральное скопление жидкости с неоднородным гиперинтенсивным сигналом слева.]()
Лечение субдуральной гигромы
Консервативную терапию гигром осуществляют неврологи, хирургическое лечение — нейрохирурги. Субдуральная гигрома небольших размеров, не дающая клинических проявлений, нуждается в динамическом наблюдении, в том числе и томографическом. При нарастании ее объема показано хирургическое дренирование.
Хирургическая аспирация содержимого гигромы осуществляется под общим наркозом через фрезевое отверстие в черепе. Затем производится установка субдурального дренажа, который снимают через 1-2 суток. Субдуральная гигрома имеет значительную склонность к рецидивам. Многие пациенты вынуждены неоднократно проходить процедуру дренирования. Многочисленные рецидивы являются поводом для рассмотрения вопроса о возможности проведения шунтирующей операции с созданием гигромо-перитонеального шунта.
Прогноз
Прогноз гигромы во многом зависит от сопутствующих обстоятельств: наличия травматических повреждений вещества и оболочек мозга, степени развития церебрального ангиоспазма, возраста пациента, существования атрофии мозга и т. п. Случаи, когда субдуральная гигрома не сочетается с другой патологией головного мозга и своевременно дренируется, имеют благоприятный прогноз вплоть до 100% обратного развития всех неврологических симптомов.
Субдуральная гематома — ограниченное внутричерепное скопление крови, локализующееся между твердой и арахноидальной мозговыми оболочками. В большинстве случаев является следствием травмы. Проявляется вариативными по форме и длительности нарушениями сознания и психики, головной болью, рвотами, очаговым неврологическим дефицитом (мидриаз, гемипарез, экстрапирамидные расстройства). Решающую роль в диагностике имеют данные КТ или МРТ. В легких случаях достаточным является консервативное лечение (антифибринолитическое, противоотечное, симптоматическое), но чаще требуется хирургическое удаление гематомы.
![Субдуральная гематома]()
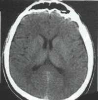
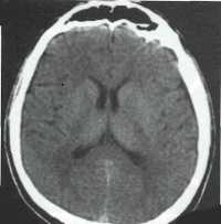
![МРТ головного мозга. Массивная двухсторонняя хроническая субдуральная гематома.]()
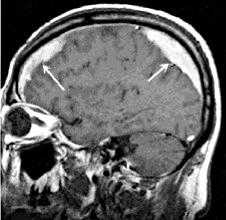
![КТ головного мозга. Подострая субдуральная гематома справа]()
Субдуральная гематома — локальное скопление крови, находящееся между твердой и паутинной (арахноидальной) церебральными оболочками. Составляет около 40% от всех внутричерепных кровоизлияний, к которым также относятся эпидуральные и внутримозговые гематомы, желудочковые и субарахноидальные кровоизлияния. В преобладающем большинстве наблюдений субдуральная гематома выступает следствием черепно-мозговой травмы, частота ее встречаемости при тяжелой ЧМТ доходит до 22%. Гематомы субдуральной локализации могут возникать в любом возрасте, но чаще наблюдаются у людей старше 40 лет. Среди пациентов соотношение мужчин к женщинам составляет 3:1.
Субдуральные гематомы классифицируют на острые (проявляющиеся в первые 3-е суток ЧМТ), подострые (проявляющиеся в период от 3-х суток до 2-х недель с момента травмы) и хронические (проявляющиеся позднее 2-х недель). Согласно МКБ-10, выделяют нетравматическое и травматическое субдуральное кровоизлияние с наличием/отсутствием проникающей в череп раны. В клинической практике субдуральная гематома является предметом изучения для специалистов в области травматологии, нейрохирургии и неврологии.
![Субдуральная гематома]()
Субдуральная гематома формируется преимущественно вследствие возникающего в результате ЧМТ разрыва интракраниальных вен, проходящих в субдуральном пространстве. Гораздо реже она возникает вследствие сосудистой церебральной патологии (артерио-венозных мальформаций и аневризм церебральных сосудов, гипертонической болезни, системного васкулита) и нарушений свертывания крови (коагулопатии, терапии антикоагулянтами). Отличием от эпидуральной гематомы является возможность двустороннего образования субдуральной гематомы.
Субдуральная гематома на стороне действия повреждающего агента (гомолатеральная гематома) образуется при малоподвижной голове и небольшой площади контакта с травмирующим предметом. Формирование гематомы возможно и без прямого контакта черепа с травмирующим фактором. Это может произойти при резкой остановке или перемене направления движения. Например, во время езды в транспорте, при падении на ягодицы или на ноги. Происходящее при этом резкое встряхивание головы обуславливает смещение полушарий мозга внутри черепной коробки, влекущее за собой разрыв интракраниальных вен.
Субдуральная гематома, противоположная стороне повреждения, носит название контрлатеральной. Она формируется при ударе черепа о массивный малоподвижный объект или при действии на неподвижную голову травмирующего предмета с большой площадью контакта. Контрлатеральная субдуральная гематома часто связана с разрывом вен, которые впадают в сагиттальный венозный синус. Намного реже гематомы субдурального пространства обусловлены непосредственным травмированием вен и артерий мозговой коры, происходящем при разрыве твердой церебральной оболочки. На практике часто наблюдаются двусторонние субдуральные гематомы, что связано с одновременным приложением нескольких механизмов травмирования.
Острая субдуральная гематома формируется преимущественно при тяжелой ЧМТ, подострая или хроническая — при легких формах ЧМТ. Хроническая субдуральная гематома заключена в капсулу, которая образуется спустя неделю после травмы благодаря активации фибробластов твердой оболочки мозга. Ее клинические проявления обусловлены нарастающим увеличением объема.
![МРТ головного мозга. Массивная двухсторонняя хроническая субдуральная гематома.]()
Симптомы
Общемозговые симптомы
Среди общемозговых проявлений отмечаются расстройства сознания, нарушения психики, цефалгия (головная боль) и рвота. В классическом варианте характерна трёхфазность нарушений сознания: утрата сознания после ЧМТ, последующее восстановление на какое-то время, обозначаемое как светлый промежуток, затем повторная утрата сознания. Однако классическая клиника встречается достаточно редко. Если субдуральное кровоизлияние сочетается с ушибом головного мозга, то светлый промежуток вообще отсутствует. В других случаях он имеет стертый характер.
Длительность светлого промежутка весьма вариабельна: при острой гематоме — несколько минут или часов, при подострой — до нескольких суток, при хронической — несколько недель или месяцев, а иногда и несколько лет. В случае длительного светлого промежутка хронической гематомы его окончание может быть спровоцировано перепадами артериального давления, повторной травмой и др. факторами.
Среди нарушений сознания преобладают дезинтеграционные проявления: сумеречное состояние, делирий, аменция, онейроид. Возможны расстройства памяти, корсаковский синдром, «лобная» психика (эйфория, отсутствие критики, нелепое поведение). Зачастую отмечается психомоторное возбуждение. В ряде случаев наблюдаются генерализованные эпиприступы.
Пациенты, если возможен контакт, жалуются на головную боль, дискомфорт при движении глазными яблоками, головокружение, иррадиацию боли в затылок и глаза, гиперчувствительность к свету. Во многих случаях больные указывают на усиление цефалгии после рвоты. Отмечается ретроградная амнезия. При хронических гематомах возможно снижение зрения. Острые субдуральные гематомы, приводящие к компрессии мозга и масс-эффекту (дислокационному синдрому), сопровождаются признаками поражения мозгового ствола: артериальной гипотонией или гипертензией, дыхательными нарушениями, генерализованными расстройствами тонуса мышц и рефлексов.
Очаговые симптомы
Наиболее важным очаговым симптомом выступает мидриаз (расширение зрачка). В 60% случаев острая субдуральная гематома характеризуется мидриазом на стороне ее локализации. Мидриаз противоположного зрачка встречается при сочетании гематомы с очагом ушиба в другом полушарии. Мидриаз, сопровождающийся отсутствием или снижением реакции на свет, типичен для острых гематом, с сохранной реакцией на свет — для подострых и хронических. Мидриаз может сочетаться с птозом и глазодвигательными нарушениями.
Среди очаговой симптоматики можно отметить центральный гемипарез и недостаточность VII пары (лицевого нерва). Нарушения речи, как правило, возникают, если субдуральная гематома располагается в оболочках доминантного полушария. Сенсорные расстройства наблюдаются реже пирамидных нарушений, затрагивают как поверхностные, так и глубокие виды чувствительности. В ряде случаев имеет место экстапирамидный симптомокомплекс в виде пластического тонуса мышц, оральных автоматизмов, появления хватательного рефлекса.
Вариабельность клинической картины затрудняет распознавание субдуральных кровоизлияний. При диагностике неврологом учитываются: характер травмы, динамика нарушения сознания, наличие светлого промежутка, проявления «лобной» психики, данные неврологического статуса. Всем пациентам в обязательном порядке проводится рентгенография черепа. В отсутствие других способов распознаванию гематомы может способствовать Эхо-ЭГ. Вспомогательным методом диагностики хронических гематом выступает офтальмоскопия. На глазном дне офтальмолог зачастую определяет застойные диски зрительных нервов с их частичной атрофией. При проведении ангиографии церебральных сосудов выявляется характерный «симптом каймы» - серповидная зона аваскуляризации.
Решающими методами в диагностике субдуральной гематомы являются КТ и МРТ головного мозга. В диагностике острых гематом предпочтение отдается КТ головного мозга, которая в таких случаях выявляет однородную зону повышенной плотности, имеющую серповидную форму. С течением времени происходит разуплотнение гематомы и распад кровяных пигментов, в связи с чем через 1-6 нед. она перестает отличается по плотности от окружающих тканей. В подобной ситуации диагноз основывается на смещении латеральный отделов мозга в медиальном направлении и признаках сдавления бокового желудочка.
![КТ головного мозга. Подострая субдуральная гематома справа]()
При проведении МРТ может наблюдаться пониженная контрастность зоны острой гематомы; хронические субдуральные гематомы, как правило, отличаются гиперинтенсивностью в Т2 режиме. В затруднительных случаях помогает МРТ с контрастированием. Интенсивное накопление контраста капсулой гематомы позволяет дифференцировать ее от арахноидальной кисты или субдуральной гигромы.
Лечение
Консервативная терапия осуществляется у пациентов без нарушений сознания, имеющих гематому толщиной не более 1 см, сопровождающуюся смещением церебральных структур до 3 мм. Консервативное лечение и наблюдение в динамике с МРТ или КТ контролем показано также пациентам в коме или сопоре при объеме гематомы до 40 мл и внутричерепном давлении ниже 25 мм рт. ст. Схема лечения включает: антифибринолитические препараты (аминокапроновую кислоту, викасол, апротинин), нифедипин или нимодипин для профилактики вазоспазма, маннитол для предупреждения отека мозга, симптоматические средства (противосудорожные, анальгетики, седативные, противорвотные).
Острая и подострая субдуральная гематома с признаками сдавления головного мозга и дислокации, наличием очаговой симптоматики или выраженной внутричерепной гипертензии являются показанием к проведению срочного хирургического лечения. При быстром нарастании дислокационного синдрома проводится ургентное эндоскопическое удаление гематомы через фрезевое отверстие. При стабилизации состояния пациента нейрохирургами осуществляется широкая краниотомия с удалением субдуральной гематомы и очагов размозжения. Хроническая гематома требует хирургического лечения при нарастании ее объема и появлении застойных дисков при офтальмоскопии. В таких случаях она подлежит наружному дренированию.
Прогноз и профилактика
Число смертельных исходов составляет 50-90% и наиболее высоко у пожилых пациентов. Следует отметить, что летальность обуславливает не столько субдуральная гематома, сколько травматические повреждения тканей мозга. Причиной смерти также являются: дислокация мозговых структур, вторичная церебральная ишемия, отек головного мозга. Угроза смертельного исхода остается и после хирургического лечения, поскольку в послеоперационном периоде возможно нарастание церебрального отека. Наиболее благоприятные исходы отмечаются при проведении операции в первые 6 ч. с момента ЧМТ. В легких случаях при успешном консервативном лечении субдуральная гематома рассасывается в течение месяца. Возможна ее трансформация в хроническую гематому.
Профилактика субдуральных кровоизлияний тесно связана с предупреждением травматизма вообще и травм головы в частности. К мерам безопасности относятся: ношение шлемов при езде на мотоцикле, велосипеде, роликах, скейте; ношение касок на стройке, при восхождении в горах, занятии байдарочным спортом и другими видами экстрима.
Читайте также:







