Диагностика метастаза в дыхательные пути на рентгене, КТ
Добавил пользователь Владимир З. Обновлено: 13.12.2025
Метастатическим или вторичным раком легких называются опухоли, которым дают начало раковые клетки, попавшие в легочную ткань из других органов.
Лёгкие - излюбленная мишень для метастазирования опухолей
Статистика говорит о том, что у 30-55% онкологических больных обнаруживаются метастазы в легких. Злокачественные опухоли дают отсевы в лёгочную ткань: рак любого органа, саркомы, меланомы, заболевания кроветворной и лимфатической системы. Через лёгкие проходит вся кровь, и условия благоприятны для выживания бактерий, вирусов, грибов и опухолевых клеток.
Собирающий лимфу общий лимфатический проток несёт её в крупные вены, которые впадают в верхнюю полую вену. При посредстве правых отделов сердца венозная кровь, смешанная с лимфой, тоже проходит через лёгкие. Площадь структурных единиц, составляющих то, что мы называем лёгкими - лёгочных альвеол - более 150 квадратных метров. Достаточно места, изумительное полнокровие, прекрасные условия для размножения злокачественных клеток.
Иными словами, присутствуют благоприятные условия для распространения раковых клеток в легкие гематогенным (через кровь) и лимфогенным (через лимфатическую систему) путем.

Классификация метастаз в лёгких
Метастатические узлы бывают очень разными, считают, что по плотности они полное отражение первичной опухоли. Если определять плотность на ощупь, то все опухоли тяготеют к каменистости или, по крайней мере, к костной плотности. Но плотность для очагов в лёгких понятие относительное, прощупать их можно только во время операции, которую в метастатической стадии делают чрезвычайно редко. Плотность определяют при рентгенологическом исследовании преимущественно для дифференциальной диагностики, то есть поиска признаков характерных отличий одного заболевания от другого.
Формально метастазы делят на лимфогенные и гематогенные, то есть занесенные в лёгочную ткань с лимфой или кровью, но в каждом конкретном случае разобрать, что принесло раковую клетку в альвеолу вряд ли можно, и практикующему онкологу совсем ненужно, ведь это уже ничего не изменит. Какие бы ни были метастазы по пути распространения, их надо лечить.
Метастазы в лёгких бывают разными по форме, ее определяют по рентгеновским снимкам:
- Очаговые метастазы, которые на рентгеновском снимке видны образования разного диаметра. Традиционно этот вариант метастазирования считается проявлением менее агрессивной злокачественной опухоли. При небольшом распространении более благоприятно протекают именно очаговые образования. Они как раз считаются преимущественно гематогенными, то есть занесёнными кровью.
- Инфильтративные метастазы, когда опухолевые клетки расползаются по эпителиальной выстилке альвеол, что на рентгенограмме проявляется в виде сетки или разной формы затемнений. Такой вариант традиционно считают вариантом более агрессивной опухоли - агрессивные по течению меланомы и саркомы дают преимущественно очаговые, а не инфильтративные метастазы в лёгких. Эти вторичные проявления относят к лимфогенным.
- Смешанные метастазы - сочетание очаговых и инфильтративных «теней» в лёгких - частое явление в клинической практике.
По числу метастазы могут быть:
- солитарными - один очаг;
- единичными - не более десяти;
- множественными.
Метастатические узлы бывают мелкими и крупными, а ещё сливающимися друг с другом, односторонними, когда поражено одно лёгкое и двухсторонними.
Вокруг метастазов тоже могут жить бактерии, всё-таки по бронхиальному дереву проходит нестерильный воздух, а опухоль меняет местный иммунитет, и возникает воспаление. Когда внутренняя часть опухоли не получает достаточного питания - она отмирает, и в центре образуется полость распада. Если такая полость соединится с бронхом, то в неё могут попасть бактерии, и полость заполнится гноем.
В чем разница между метастазами в легких и метастазами в плевре?
Плевра - пленка из соединительной ткани. Она состоит из двух листков: один покрывает снаружи легкие, а другой выстилает изнутри стенки грудной полости. Плевра интимно спаяна с лёгким. В ней тоже могут возникнуть метастазы, но намного реже. Опухоли из легких могут прорастать в плевру и наоборот. Зачастую в легких обнаруживаются метастазы, а плевра не поражена.
Диагностика
При подозрении на метастазы в легких прибегают к следующим методам диагностики:
- Рентгенография. Простой и быстрый, но не самый информативный метод диагностики. Обычно на снимках можно увидеть только опухоли размером более 1 см;
- Компьютерная томография. Позволяет обнаружить очаги менее 5 мм. Это недоступно для рентгенографии и МРТ;
- Биопсия легкого. Обычно проводится при помощи иглы. Получают небольшой фрагмент ткани опухоли для исследования;
- Бронхоскопия. Эндоскопическое исследование, во время которого специальный инструмент с источником света и видеокамерой - бронхоскоп - вводят в бронхиальное дерево. Во время процедуры можно провести биопсию.
Как правило, динамическое наблюдение за онкологическим пациентом после лечения первичной опухоли предполагает регулярную рентгенографию органов грудной клетки. При выявлении теней в лёгких, правильно будет сделать компьютерную томографию с введением контрастного вещества. КТ способна выявить очаги меньше 5 мм, что недоступно магнитно-резонансной томографии. В дальнейшем для контроля динамики процесса после лечения также необходимо будет делать КТ.

Бессмысленно перед лечением делать КТ, а после перейти на обычную рентгенографию лёгких, пытаясь сравнивать снимки, чтобы выявить отличие прошлого состояния лёгких с настоящим. КТ обнаружит более мелкие образования, рентген способен в лучшем варианте выявить очаги более 1 см, то есть опухоли меньше сантиметра «выпадают» из-под контроля, когда нет возможности сделать контрольное КТ-обследование. Нельзя оценивать эффект лечения по паре видимых крупных очагов. Некоторые опухоли от химиотерапии уменьшаются, какие-то увеличиваются, а другие месяцами стабильны.
Клиническая симптоматика
Клинические признаки метастазов в лёгких зависят от обширности поражения и присоединения воспалительных изменений.
- боль в груди;
- упорный кашель;
- примесь крови в мокроте;
- ослабленное дыхание;
- хрипы;
- слабость;
- снижение веса.
При одиночных очагах округлой формы, небольшого размера никаких признаков поражения может и не быть, их часто случайно обнаруживают при контрольном обследовании. Площадь лёгких огромна, и несколько квадратных сантиметров опухолевого поражения альвеол не отразятся на газообмене и состоянии пациента. Множество теней, когда их уже не пересчитать, ухудшат самочувствие, провоцируя сухой кашель, плохо откликающийся на средства от кашля.
Инфильтративные метастазы раньше меняют самочувствие, поскольку к ним часто присоединяется воспаление окружающей опухоль ткани - пневмонит. Появляется кашель, может быть температура, слабость, почти как пневмония, но чуть-чуть полегче. Закупорка бронха опухолью приведёт к ателектазу - полной безвоздушности части лёгкого, присоединение инфекции существенно ухудшит состояние, повысится температура, появится одышка. Приём антибиотиков помогает снять воспаление и самочувствие улучшается, но ненадолго, потому что опухоль растёт, и безвоздушная часть лёгкого тоже увеличивается. И опять воспаляется, так и идёт по замкнутому кругу.
Лечение метастазов в лёгкие
Сегодня оперировать метастазы в лёгких стали чаще, чем раньше, но всё-таки операции делают довольно редко. Радикальное лечение метастазов в лёгкие - оперативное в принципе возможно при определённых условиях:
- не должно быть первичной опухоли или рецидива;
- не должно быть метастазов в других органах;
- метастаз в лёгком очаговый и единственный или не более 3 очагов;
- скорость прогрессирования опухолевого процесса должна быть невысокой, как правило, после радикального лечения первичной опухоли до появления метастаза должно пройти более года;
- со времени появления метастаза в лёгком в течение полугода не должно появиться других метастазов;
- состояние пациента должно позволять довольно сложное оперативное вмешательство, потому что во время операции реальная ситуация может оказаться значительно хуже, чем описывалась при компьютерной томографии, и придётся удалять больше запланированного.
Основное лечение метастазов в лёгких - химиотерапия, схема которой определяется первичной опухолью, при раке молочной железы ещё и гормональная терапия, естественно, при наличии чувствительности к ней.
Лучевая терапия множественных метастазов в лёгких проводилась в экспериментальных группах, результаты неудовлетворительные. При единственном довольно крупном очаге облучение возможно, но эффективность много хуже, чем при раке лёгкого. Наличие метастаза, где бы то ни было, показатель диссеминации - разброса злокачественных клеток, что не предполагает хорошего прогноза в отношении возможности полного излечения.
Каковы прогнозы выживаемости?
Метастазы в любом органе говорят о том, что защитные силы организма исчерпаны, опухолевые клетки успели распространиться по разным органам. Ремиссия в большинстве случаев невозможна. Но это не означает, что врач совсем ничего не может сделать. Паллиативное лечение поможет продлить жизнь, избавит от мучительных симптомов.
Паллиативная помощь при метастазах рака в легкие
Часть легкого, занятая опухолью, выключается из процесса дыхания. Поначалу оставшаяся здоровая ткань успешно справляется и работает за целое легкое. Но постепенно опухоль растет, перестает реагировать на химиотерапию и занимает все больше места.Наступает момент, когда оставшаяся здоровая ткань перестает справляться. Легкие больше не могут обеспечить организм нужным количеством кислорода, развивается дыхательная недостаточность. Кислородное голодание затрагивает все органы, в первую очередь — сердечно-сосудистую систему.

Симптомы дыхательной недостаточности нарастают постепенно:
- Поначалу возникает лишь одышка после ходьбы и физических нагрузок;
- Затем одышка начинает беспокоить при минимальных нагрузках, при любой движении;
- В тяжелых случаях человек задыхается постоянно, даже когда лежит в постели. Больного мучит постоянный кашель, слабость, на ногах появляются отеки, сердцебиение учащается. Стоит совершить небольшое движение, и все симптомы усиливаются на порядок.
Страдания больного может облегчить кислородотерапия. Но проводить ее нужно по 15 часов в день. Существуют специальные дыхательные маски, их можно приобрести, и все же проводить такое лечение в домашних условиях очень сложно.
Государственные онкологические клиники не госпитализируют таких пациентов в экстренном порядке. Помощь можно получить в отделении паллиативной медицины, но таких в России пока еще очень мало. В обычном стационаре практически ничем не помогут. Кислородотерапию можно получить в хосписе, но там практически нет симптоматической терапии. При тяжелой дыхательной недостаточности одной кислородотерапии недостаточно. Нужна дыхательная поддержка — искусственная вентиляция легких. В данном случае ИВЛ проводят через маску, интубацию трахеи не проводят.
Такое лечение не избавит от рака и не уничтожит метастазы, но оно способно сильно облегчить состояние больного:
- уменьшится одышка;
- отдохнуть дыхательные мышцы, которым в последнее время пришлось интенсивно работать;
- нормализуется состав крови, уменьшится кислородное голодание;
- уменьшатся даже воспалительные изменения в легких;
- в конце концов, человек перестанет задыхаться, улучшится качество жизни.
Помочь человеку с тяжелым нарушением дыхания в домашних условиях невозможно. Родные постоянно слышат, как он тяжело дышит, хрипит, кашляет, но помочь ничем не могут. Страдают все.
Врачи онкологи и реаниматологи клиник «Евроонко» знают, как помочь пациенту с метастатическим раком легких в рамках паллиативной помощи. Грамотное лечение избавит от тяжелых симптомов, подарит драгоценное время.
КТ или рентген легких: что лучше?
В чем разница между этими методами обследования? Когда лучше делать КТ легких, а когда рентгенографию? Подробнее рассмотрим в этой статье.
Чем отличается КТ от рентгена легких?
Компьютерная томография — это современный метод лучевой диагностки различных заболеваний, в основе которого лежит рентгенография. . Метод был разработан и предложен учеными, лауреатами Нобелевской премии Г. Хаунсфилдом и А. Кормаком в 1972 году. Классическая рентгенография была изобретена в 1896 году, чаще всего она применялась в стоматологии и для исследования легких, поскольку на рубеже XIX-XX вв. смертность от пневмонии, туберкулеза и астмы была крайне велика.
Ключевое отличие цифрового рентгена от компьютерной томографии легких — траектория прохождения рентгеновских лучей и техника визуализации. В процессе обычной рентгенографии Х-лучи проходят через исследуемый участок тела перпендикулярно всего один раз, поэтому рентгенограмма представляет собой двухмерное однослойное изображение. Рентген легких — наиболее доступное по цене исследование, которое часто назначается в первую очередь, если у пациента есть признаки пневмонии, туберкулеза, обструктивной болезни легких, опухолей. Проблема данного вида диагностики заключается в том, что, например, при пневмонии на рентгене достоверно можно определить только поражение легких III и IV степени, а тени от крупных органов могут затенять другие ткани.
Сканы КТ отличаются более высокой четкостью изображений и информативностью. В ходе компьютерной томографии рентгеновская трубка вместе с чувствительными датчиками совершает несколько оборотов по спиральной траектории, сканируя исследуемую область. Аппарат КТ делает множество сканов толщиной до 1 мм, на основании которых воссоздается трехмерная модель легких, сосудов, органов и костей грудной клетки в высоком разрешении. Таким образом после компьютерной обработки изображений ткани и органы можно исследовать в трех проекциях, эффект наложения теней от органов в случае с компьютерной томографией отсутствует.
Высокая четкость изображения при компьютерной томографии связана с техникой проведения диагностики и физическими свойствами излучения. Рентген обладает 20% коэффициентом ослабления, в то время как томография - коэффициентом 0,5%, а следовательно и более высокой разрешающей способностью.
И рентгенографию, и компьютерную томографию можно делать с контрастированием. Рентгенография или КТ легких с контрастом поможет визуализировать сосуды и опухоли. Однако первичная дифференциация новообразований на доброкачественные и онкогенные возможна только в рамках КТ, что также связано с качеством изображений.
Поскольку рентгенограмма грудной клетки в сущности представляет 1 снимок, а томограмм делают множество, то и излучение при КТ легких выше из-за многократной экспозиции. В среднем, за одну процедуру рентгена легких пациент получает 0,1 мЗв облучения, во время КТ легких - 2,5 мЗв. Однако эта доза ионизирующего излучения безопасна для пациента. В год допустимо делать КТ-сканирование 5 зон. Направляя на тот или иной рентгенографический метод обследования, врачи всегда руководствуются критерием целесообразности и безопасности пациента.
В специализированном центре КТ «Ами» процедура проходит на аппарате нового поколения Siemens Somatom go.Now со сниженной лучевой нагрузкой.
Что лучше: КТ или рентген легких?
КТ легких и рентгенография назначаются при воспалении легких, туберкулезе, бронхиальной астме. Оба исследования показывают состояние легких, бронхов, трахеи, средостения. И на КТ, и на рентгене выявляют опухоли, инородные предметы в полости легких и дыхательных путях. Как и компьютерная томография, рентген показывает скопления жидкости в альвеолах или фиброз (поражение легких при пневмонии), наличие эмфиземы (хронический бронхит курильщика), отек и саркоидоз легких (гранулемы и узловые новообразования легких).
Однако большинство медиков склоняются к мнению, что если есть возможность сделать КТ легких вместо рентгена, то лучше исследовать органы грудной клетки именно так. Во-первых, врач точно не пропустит заболевание или опухоль в начальной стадии. Во-вторых, после КТ легких уже нет необходимости в дополнительном уточняющем обследовании (кроме лабораторной диагностики, поскольку инфекционные, вирусные и бактериальные агенты-возбудители определяют с помощью анализа биологического материала). В-третьих, небольшие кальцификаты, деструкции и опухоли видны только на сканах КТ.
Согласно докладам Всемирной организации здравоохранения, рак легких по-прежнему представляет угрозу для жизни и здоровья миллионов людей. Поэтому пациентам старше 40 лет, особенно попадающим в группу риска, рекомендован ежегодный профилактический скрининг. Флюорография и рентген считаются традиционным методом профилактики, однако лучше всего для этой цели подойдет низкодозная компьютерная томография легких.
Плюсы рентгена легких
- Низкая цена обследования.
- Облучение около 0,1 мЗв.
- Аппаратами для рентгена оснащены многие медицинские учреждения.
Минусы рентгена легких
- Малая информативность.
- Низкая специфичность.
- Двухмерные снимки, подозрительные участки могут быть закрыты тенями органов.
- Не показывает пневмонии, опухоли и другие патологии легких на ранних стадиях. Также для обследования лимфатических узлов более информативна КТ.
- Невозможно дать первичную оценку новообразованиям, дифференцировать их на доброкачественные и онкогенные.
- Есть вероятность получения неполной картины.
Плюсы КТ легких
- Трехмерное (пространственное) изображение легких, исчерпывающая информативность.
- Показывает заболевания и патологии легких на ранних стадиях.
- Ранняя диагностика рака легких.
- Врач может первично дифференцировать новообразования.
- Назначается при атипичном течении заболеваний, в качестве уточняющего метода обследования после рентгена.
Минусы КТ легких
- Более высокая цена.
- Более высокая доза ионизирующего излучения.
- Сравнительно невысокая распространенность медицинских центров, оснащенных томографами.
Что информативнее: КТ легких или рентген?
Компьютерная томография - наиболее современный и информативный рентгенологический метод обследования. На сканах в трех проекциях визуализируются мягкие ткани, внутренние органы, кости и сосуды. Двухмерная рентгенография дает более общее представление о состоянии легких, однако иногда этого достаточно для последующего успешного лечения пациента.
Не опасно ли делать КТ легких после рентгена?
Ионизирующее (рентгеновское) излучение не полезно для человека, а в избыточном количестве вызывает радиационный синдром и может стать «спусковым механизмом» для развития онкологических заболеваний у пациентов, предрасположенных к ним. Согласно действующим «Нормам радиационной безопасности» в год допустимо до 30-50 мВз излучения, но не следует забывать и о естественном радиационном фоне. КТ легких (около 2,5 мЗв) после рентгена (около 0,1 мЗв) безопасно, и такая прецизионная диагностика может спасти пациенту жизнь.
Однако, чтобы избежать дополнительной лучевой нагрузки, наиболее целесообразно сразу сделать КТ легких, не прибегая к рентгену.
Что лучше делать при воспалении легких: КТ или рентген?
Назначить КТ или рентген легких при пневмонии сможет только врач после изучения симптомов, лабораторных анализов, индивидуальной клинической картины пациента. Наличие жидкости или гноя в альвеолах, а также фиброз визуализируется и на рентгенограмме и на сканах КТ. Однако традиционного рентгена при пневмонии I-II степени может быть недостаточно, в то время как на КТ она видна более определенно как «матовые стекла». При атипичной пневмонии и при коронавирусе рекомендуется сделать КТ легких.
Можно ли сделать КТ легких вместо рентгена?
Да, КТ легких может заменить рентген. Однако врач, назначающий то или иное исследование, всегда учитывает индивидуальные особенности пациента, например, сколько рентгенологических исследований уже было проведено в течение года, нет ли противопоказаний к КТ. Также ионизирующее излучение вредно для беременных женщин и плода, поэтому в этом случае при пневмонии предпочтительнее МРТ легких.
Метастазы в легких

Метастазы — это вторичные очаги рака, образованные в результате рассеивания и миграции злокачественных клеток из первичного очага по кровеносной и лимфатической системам. Метастазы в легких представляют собой множественные узлы диаметром от нескольких миллиметров до многих сантиметров.
Обнаружение метастазов в легких — это серьезная проблема, которая требует быстрых и четких действий. Чем раньше выявлены патологические изменения и очаги онкологии в легких, тем более благоприятным для пациента будет прогноз. Метастазы лечат с помощью лучевой, иммунной, гормональной, таргетной терапии.
Легкие, наряду с печенью и лимфоузлами, занимают первое место по частоте обнаружения метастазов. Причина заключается в анатомических особенностях строения легких — дыхательный орган пронизан сетью капилляров, кровеносных и лимфатических сосудов. Фактически вся кровь, циркулирующая в организме человека, проходит через легкие — раковые клетки из других органов (кишечника, почек, молочных желез) застревают в паренхиме или под плеврой и дают начало метастазам.
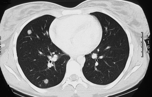
Метастазы в легких лучше всего визуализируются на КТ-изображениях, поскольку представляют собой участки повышенной плотности в ткани легкого. При этом по наличию других рентгенологических признаков, например, по особенностям кровотока в данной области, врач-рентгенолог сможет определить злокачественный характер изменений.
Причины и источники метастазирования легких
По данным из открытых медицинских источников международной базы PubMed, первичным очагом метастазов в легких более чем в 50% случаев является хориоэпителиома — злокачественная опухоль женской половой системы, которая формируется в верхней части матки, увеличивая орган в размере. Следом по частоте метастазирования легких следуют: рак почки, рак кости (остеосаркома), меланома, рак молочной железы, злокачественная опухоль яичника — семинома, рак органов ЖКТ.
Первичные злокачественные опухоли высвобождают в кровь циркулирующие опухолевые клетки (ЦОК). Многие из этих микрочастиц не рассеиваются в потоке бесследно, а прикрепляются к сосудистой сети легких или самостоятельно мигрируют вдоль внутренних стенок сосудов.*
*Visualization of immediate immune responses to pioneer metastatic cells in the lung, 2016
Миелоидные клетки, поглощающие опухоль, коллективно накапливаются в интерстиции легких вместе с успешными метастатическими клетками, после чего способствуют развитию успешных метастазов из выживших опухолевых клеток.*
*Jacques Robert, Biology of cancer metastasis, 2013
Легочные метастазы бывают лимфогенными (перемещаются с током лимфы) и гематогенными (циркулируют в крови). Наиболее опасным и неблагоприятным с точки зрения прогноза лечения считается первый тип метастазов с инвазией лимфатических узлов, в которых затем развивается вторичный очаг опухоли.
В целом метастазирование является свойством любой примитивной низкодифференцированной опухоли. Особенность таких опухолей заключается в том, что клетки и ткани, из которых они состоят, сильно отличаются от нормальных, ведут себя агрессивно и быстро делятся, увеличивая опухоль в размерах.
Широко известным и признанным является тот факт, что метастазы, как и онкология легких, на ранних стадиях практически никак себя не проявляют и являются преимущественно случайными находками на КТ.
По мере роста метастатических узлов проявляются следующие признаки:
- Одышка и трахеальный кашель (трахея сдавливается железами переднего средостения) — нередко с примесями крови в мокроте;
- Боль и дискомфорт в грудной клетке — при кашле болевой синдром локализуется в груди, но иррадиирует в позвоночник;
- У больного меняется голос — охриплость является признаком поражения голосовых связок, проростаемых метастатическими узлами.
Достоверно определить наличие метастазов в легких без лучевой или инструментальной медицинской диагностики невозможно. Лишь пятая часть пациентов испытывают недомогание в самом начале развития заболевания.
В группе риска находятся пациенты, которые уже ранее получали лечение или были прооперированы в связи с онкологией, а также курильщики, работники вредных производств, люди преклонного возраста. Отягчающим обстоятельством могут быть случаи онкологии дыхательных путей в семье. По данным ВОЗ, именно таким пациентам в первую очередь рекомендуется проходить профилактические обследования.
Наиболее предпочтительным методом диагностики метастазов легких считается КТ. Применение низкодозового скринингового протокола способствует раннему распознаванию заболевания, когда размеры очагов не превышают 1-2 мм. На стандартной рентгенографии выявляют узлы диаметром от 1-2 см, что характерно уже для серьезно прогрессировавшего заболевания.
Метастазы в легких на КТ

Гематогенные метастатические узлы в легких на КТ имеют довольно четко очерченные и ровные контуры. Нечеткие, расплывчатые или лучистые контуры наблюдаются в том случае, если есть инвазивный рост в окружающую легочную ткань. Локализуются преимущественно в нижних, периферических отделах легких, хаотично, без очевидной связи с бронхами и крупными легочными сосудами.
Лимфогенные метастазы легких на КТ выглядят как множественные мелкие диссеминированные очаги. Они расположены вдоль междольковых перегородок и плевры. Картина напоминает туберкулез и саркоидоз, и в этой связи часто требует уточнения. Вместе с лимфогенными метастазами легких почти всегда обнаруживаются патологические изменения (увеличение) лимфатических узлов средостения.
Часто на КТ-сканах визуализируется характерная дорожка к корню легкого. В динамическом наблюдении отмечается инфильтративный рост опухоли.
Прогноз при метастазах в легких
Лечение метастазов — довольно сложный и комплексный процесс, который требует времени, терпения и грамотных действий врачей. Прогноз зависит от стадии, на которой заболевание было выявлено, что коррелирует с размером метастатических узлов — чем они меньше, тем более успешно поддаются терапии.
Считается, что прогноз при метастазах в легких наиболее благоприятен, если:
- Вторичный очаг рака (метастазы) расположен недалеко от первичного.
- У пациента в анамнезе отсутствуют хронические заболевания органов дыхания (например, дыхательная недостаточность, обструктивный бронхит);
- Выявлены именно гематогенные метастазы;
- Выраженный симптомокомплекс не сильно снижает качество жизни;
- Химиотерапия или иное лечение хорошо переносится пациентом.
В процессе химиотерапии в связи с метастазами легких у части пациентов наблюдается переломный момент, когда наступает резистентность. Это значит, что необходимо менять тактику лечения и искать новые эффективные методы, иначе исход заболевания будет летальным.
Текст подготовил
Котов Максим Анатольевич, главный врач центра КТ «Ами», кандидат медицинских наук, доцент. Стаж 20 лет
- Котов М.А. Опыт применения компьютерной томографии в диагностике заболеваний органов дыхания у детей / Материалы X Невского радиологического Форума (НРФ-2018). - СПб., 2018, Лучевая диагностика и терапия. 2018. № 1 (9). — С. 149.
- Панов А.А. Пневмония: классификация, этиология, клиника, диагностика, лечение, 2020.
- Бова А.А. Пневмонии: этиология, патогенез, клиника, диагностика, 2016.
- Chl Hong, M.M Aung , K. Kanagasabai , C.A. Lim , S. Liang , K.S Tan. The association between oral health status and respiratory pathogen colonization with pneumonia risk in institutionalized adults, 2018.
- Yang-Pei Chang, Chih-Jen Yang, Kai-Fang Hu, A-Ching Chao, Yu-Han Chang, Kun-Pin Hsieh, Jui-Hsiu Tsai, Pei-Shan Ho, Shen-Yang Lim. Risk factors for pneumonia among patients with Parkinson's disease: a Taiwan nationwide population-based study, 2016.
- Клинические рекомендации по диагностике, лечению и профилактике тяжелой внебольничной пневмонии у взрослых. Министерство здравоохранения РФ, 2019.
Мы перезвоним, подберём удобное для записи время и ответим на вопросы.
Оператор обрабатывает входящие заявки с 8:00 до 22:00
Нажимая на кнопку, вы даете согласие на обработку персональных данных в соответствии с Федеральным законом от 27.07.2006 г. № 152-ФЗ «О персональных данных».
Если вы оставили ее с 8:00 до 22:00, мы перезвоним вам для уточнения деталей в течение 15 минут.
Диагностика метастазов в легкие: КТ и рентгенография
Компьютерная томография — один из самых чувствительных и распространенных методов диагностики метастазов в легкие. Это исследование позволяет выявить очаги опухоли меньше 1 мм в диаметре. Более чувствительным и специфичным методом является только ПЭТ/КТ, но он меньше распространен, дороже и сложнее в применении.Для выявления мелких очагов лучше использовать спиральную компьютерную томографию. Чтобы определить метастазы в легкие, контрастное усиление не является обязательным, но может быть полезным для дифференцировки легочных сосудов и лимфоузлов при их вторичном поражении.
МЕТАСТАЗЫ В ЛЕГКИЕ: КЛАССИФИКАЦИЯ
Вторичные легочные узлы можно классифицировать по следующим критериям:
Способ распространения
Выделяют гематогенные метастазы, и лимфогенные метастазы, симптомы и прогноз при которых обычно хуже, чем при гематогенных. В первом случае опухолевые клетки попадают в ткань органа с током крови, во втором случае — с током лимфы, например, при раке молочной железы.
Выделяют также контактные метастазы, возникающие при непосредственном прорастании в легочную ткань рака пищевода, гортани, трахеи и других органов. Крайне редко встречаются аспирационные метастазы, возникающие при вдыхании частиц опухоли гортани, глотки, языка, полости носа или рта.
Сделать КТ грудной клетки в Санкт-Петербурге
Источник метастазирования
Наиболее часто в легкие метастазируют рак почки, скелета, молочной железы; встречаются также метастазы саркомы, семиномы. Не существует достоверных КТ-признаков, позволяющих уверенно отличить отсевы одного типа рака от другого — например, вторичный узел при саркоме от такового при раке молочной железы. Пожалуй, исключением являются редкие метастазы липосаркомы, которые имеют «жировую» плотность на компьютерных томограммах — в пределах -50…-100 единиц Хаунсфилда.
Частота метастазирования опухолей различной локализации в легкое (по данным Розенштрауха Р. В.)
| Первичная опухоль | Частота (%) |
| Хориоэпителиома | 55,4 |
| Рак почки | 34,7 |
| Остеосаркома | 32,3 |
| Семинома | 21,5 |
| Меланома кожи | 20,5 |
| Рак молочной железы | 15,7 |
| Рак легкого | 6,6 |
| Карцинома толстого кишечника | 5,6 |
| Рак матки, саркома матки | 4,2 |
| Рак желудка | 1,6 |


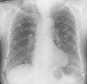
Метастазы в легких — фото рентгенограммы. Округлые тени — метастазы рака пищевода. Хорошо виден большой узел округлой формы вблизи переднего отрезка 2-го ребра. На снимке справа - циркулярное сужение пищевода за счет опухолевого утолщения его слизистой оболочки.


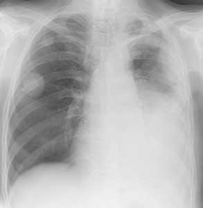
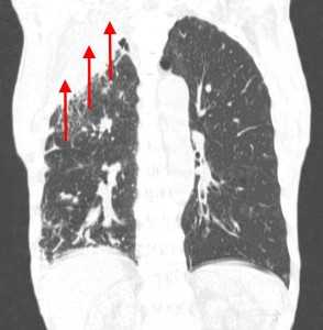
Как выглядят метастазы в легких на рентгене? Слева — узловые образования у пациента с раком яичка. Справа - метастазы рака яичников гематогенного характера с выраженным опухолевым лимфангиитом (обратите внимание на деформированный сетчатый, линейный характер легочного рисунка).
МЕТАСТАЗЫ В ЛЕГКИХ: КЛИНИЧЕСКИЕ СИМПТОМЫ И ПРИЗНАКИ
В подавляющем большинстве случаев вторичные опухоли протекают бессимптомно, по крайней мере, до тех пор, пока не произойдет прорастание в просвет бронха, в плевру, средостение, перикард или сосуды, метастазирование в лимфоузлы средостения. Пациенты предъявляют жалобы на симптомы раковой интоксикации, которые, впрочем, могут быть обусловлены также наличием первичной опухоли.
Одними из первых симптомов являются кашель, одышка, боли в грудной клетке. Наличие крови в мокроте - неблагоприятный признак, который свидетельствует о прорастании бронха опухолью.
Имеет место определенная зависимость между клиническими проявлениями и органной принадлежностью метастазов. Так, по данным Н. И. Рыбаковой, одышка была выявлена в 13% случаев, при этом у большинства пациенток была опухоль молочной железы.
Боли в груди могут быть ранним признаком при субплевральной локализации вторичных очагов.
Рак груди метастазирует лимфогенно в лимфатические узлы средостения, которые, увеличиваясь, нарушают кровообращение. Кроме этого, при раке груди часто возникает опухолевый плеврит. В совокупности эти факторы провоцируют развитие выраженной одышки.
КАК ПОНЯТЬ, ДЕЙСТВИТЕЛЬНО ЛИ В ЛЕГКИХ МЕТАСТАЗЫ?
Иногда дифференциальная диагностика вторичных поражений легких бывает очень сложной и требует глубоких знаний рентгенодиагностики органов грудной клетки. Наиболее профессионально этим занимаются в специализированных легочных учреждениях, например в Санкт-Петербургском НИИ фтизиопульмонологии. Поэтому при сомнениях в диагнозе врачи рекомендуют получить Второе мнение — повторное описание диска КТ, МРТ или рентгенографии с целью подтверждения или опровержения диагноза, а также более точной и детальной оценки изменений. Такую консультацию можно получить с помощью службы консультаций НТРС, которая объединяет известных врачей-диагностов из профильных центров России.
Ниже подробно рассматриваются лучевые признаки легочных метастазов.
КТ-ПРИЗНАКИ МЕТАСТАЗОВ В ЛЕГКИЕ
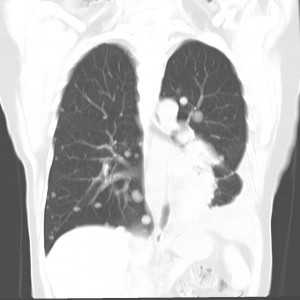
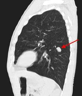
Метастазы чаще всего представлены узловыми образованиями в легочной ткани вне строгой связи с легочными артериями или венами. Для них характерны следующие КТ-признаки:
Вторичные узлы гематогенного характера чаще всего имеют ровные края, четкие контуры и однородную структуру. Возможны изменения структуры опухоли вследствие кровоизлияния в паренхиму, обызвествлений, некроза центральной части узла, а также рубцов. Края узла могут стать нечеткими, расплывчатыми, если опухоль провоцирует отек легочной паренхимы, либо «лучистыми», если имеет место опухолевый лимфангиит.


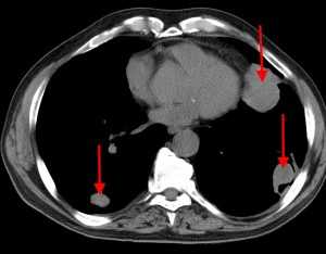
Слева - рак почки с метастазами в легкие, прогноз в данном случае неблагоприятный ввиду метастатического плеврита и дыхательной недостаточности. Определяются очаги с обеих сторон. Справа - мелко- и среднеочаговая диссеминация при раке печени.

Множественные гематогенные вторичные узлы при раке почки, компьютерная томография (КТ).
Лимфогенные метастазы на рентгене и КТ выглядят как множественные мелкие очаги с диссеминированным распространением, локализованные в междольковых перегородках, в плевральных листках. Вокруг можно видеть характерную картину ракового лимфангиита. Кроме того, практически всегда выявляются патологически измененные и увеличенные лимфатические узлы средостения. Лимфогенное метастазирование необходимо дифференцировать с милиарным туберкулезом, саркоидозом. Иногда это требует привлечения Второго мнения.


КТ: метастазы в легких при раке молочной железы. На изображении справа красной звездочкой отмечен опухолевый узел в молочной железе, красными стрелками - область прорастания опухоли в грудную стенку. Синими звездочками отмечен карциноматозный плеврит — скопление жидкости в плевральной полости. Слева стрелкой отмечен вторичный узел.
Контактные метастазы представлены мягкотканным объемным образованием, прорастающим из сопредельного органа. Это может быть пищевод, трахея, гортань, реже опухоль исходит из плевры (мезотелиома), диафрагмы, ребер, позвонков.


Пример контактного распространения опухоли: мезотелиома плевры, прорастающая в верхнюю легочную долю и грудную стенку. Спиральная компьютерная томография (МСКТ).
Чаще всего метастазы выглядят как множественные очаги. Одиночные вторичные узлы крайне редки и встречаются меньше чем в 5% случаев. Чем больше узлов выявлено, тем выше вероятность их метастатической природы. Одиночный метастаз нужно дифференцировать с первичным раком, для этого обычно требуется тканевое исследование после оперативного вмешательства или биопсии.
Гематогенные метастазы наиболее часто локализуются в периферических отделах легких, вдали от крупных сосудисто-бронхиальных пучков, вблизи плевральной оболочки. При множественных поражениях гематогенного характера наблюдается тенденция к увеличению количества очагов в направлении «сверху-вниз». Чаще гематогенные метастазы расположены хаотично, вне четкой связи с бронхами и видимыми легочными сосудами. Практически не бывает такого, чтобы гематогенные вторичные узлы находились только с одной стороны, или занимали только одну долю или сегмент. При наличии такого распределения в первую очередь нужно думать о туберкулезе (верхние доли), множественных абсцессах и т. д.
Лимфогенные метастазы проявляются увеличением лимфатических узлов средостения в сочетании с мелкоочаговой диссеминацией с очагами до 2-3 мм в диаметре вблизи плевры и в междольковых перегородках, а также по ходу бронхов и сосудистых пучков.


Гематогенные метастазы саркомы мягких тканей бедра на КТ (справа) и рентгенограмме (слева).
Контактные метастазы обычно единичны и располагаются на границе с другими органами, реже со стороны диафрагмы.
Отдельно рассматриваются метастазы первичного рака легкого - гематогенного и лимфогенного характера. Гематогенные могут быть локализованы на стороне поражения или с обеих сторон. Лимфогенные — в лимфоузлах корня на стороне поражения, а также на противоположной стороне. Чем дальше расположены метастазы от основной опухоли, тем хуже прогноз.

Обратите внимание на увеличение и нарушение структуры корня правого легкого. Это центральный рак. Кроме того, выявлены очаговые тени в обоих легочных полях (гематогенное распространение), а также «лучи», идущие радиально от опухоли корня (лимфогенное распространение).
КАК ОТЛИЧИТЬ МЕТАСТАЗЫ В ЛЕГКИХ ОТ САРКОИДОЗА ИЛИ ТУБЕРКУЛЕЗА?
Крайне важно уметь отличить на КТ-изображениях метастазы в легких и следующие очаговые образования:
Первичными злокачественными опухолями
- первичным периферическим раком
- бронхиоло-альвеолярным раком
- лимфомой, саркомой Капоши
Доброкачественными опухолями
Гранулематозами
Воспалительными заболеваниями
- септической очаговой пневмонией и множественными абсцессами
Сосудистыми аномалиями
Нормальными анатомическими образованиями
Отличительные признаки гематогенных метастазов при компьютерной томографии (КТ)
Сделать КТ легких в Санкт-Петербурге
Василий Вишняков, врач-радиолог
Кандидат медицинских наук, член Европейского общества радиологов
2 комментария много:
Dorogoi Pavel! zdravstvuite. u menia takoi diletantni vopros k vam . u moego sina posle lechenia seminomi:bili sdelani dve operacii, pravaia orxeqtomia, potom ximioterapia BEP , potom nabludenie 3-x mesiachnoe,
posle, nabludenia okazalos odin limfouzel stal progressirovat a dva naoborot umenshilis. potom spomoshu
laparaskopii dlia diagnostiki udalili limfadenopatiu i sdelali imunohistologiu, kotori pokazal
opiat metastaz seminomi,i pozitivnie kletki razmnojenia 40%-ov. posle naznachili luchevuu terapiu
i cheraz dva mesiaca pozavchera sdelali kate. kate pokazal metastazi v liogkix i vseredinke
shei , a v jivote tishina , limfouzli unichtojilis.
za ves etot period nekogda v liogkix nichego ne bilo, bilo vsio chisto, i vse organi chistii v chom mi vo vremia lechenii dopustili oshibku, i mojno ili net, chtobi sdelali operaciu peresadki moegoego liogkogo,
moemu sinu, i u oboix budet odno liogkoe. ogromnoe spasibo zaranee
КТ-диагностика рака легкого
Рак легкого — опухоль из эпителия бронхов — одно из самых распространенных онкологических заболеваний в мире. Ежегодно у более чем 10000 тысяч человек в России выявляются злокачественные новообразования органов дыхания, а в мире этот показатель еще выше. Бронхогенные злокачественные опухоли - одна из наиболее частых причин смерти от онкологических болезней и наиболее встречаемый вариант онкопатологии трахеобронхиального дерева.
К факторам риска рака легкого относятся:
1) Проживание в экологически неблагоприятных районах.
2) Работа на производствах, связанных с вдыханием частиц пыли, металлов, паров краски и активных химикатов даже со средствами защиты. Наиболее неблагоприятно вдыхание асбестовой пыли, затем - угольной пыли, а также паров тяжелых металлов, мышьяка, хлорметилового эфира, хрома, иприта.
3) Курение табака - основной предрасполагающий фактор новообразований трахеобронхиального дерева. У активных курильщиков риск развития онкопатологии до 10 раз выше, чем у некурящих, у пассивных - до 2 раз.
4) Специфические заболевания. Существует прямая связь между туберкулезом, асбестозом, силикозами, другими заболеваниями, проявляющимися диффузным либо локальным пневмосклерозом, и злокачественными новообразованиями бронхов.
ПРОЯВЛЕНИЯ РАКА ЛЕГКОГО — КОГДА МОЖНО ЗАПОДОЗРИТЬ БОЛЗЕНЬ?
Чтобы не пропустить первые признаки и симптомы рака легких, обязательно нужно обращать внимание на следующие изменения в самочувствии: появление кашля с мокротой с прожилками крови, резкое снижение веса без видимых на то причин, повышение температуры тела, особенно в виде «пиков», сопровождающихся ознобом, повышенным потоотделением.
Прямым показанием к проведению КТ служит обнаружение при флюорогрофическом исследовании или при рентгенографии четко очаговой тени на снимке. Конечно, рак легких на рентгене выглядит не очень специфично - ведь похожие изменения могут быть обусловлены также туберкулезом, другими доброкачественными опухолями, и даже пневмонией. Все эти состояния могут быть дифференцированы с помощью КТ.
Сделать МСКТ легких в Санкт-Петербурге
КАК ВЫЯВИТЬ РАК ЛЕГКИХ?

Рентгенография при раке легкого выявляет округлую тень слева. С целью дифференциальной диагностики (отличить рак легкого от туберкуломы, кисты или пневмонии) необходимо выполнять компьютерную томографию — КТ.
Самый эффективный способ диагностики при раке легкого - мультиспиральная компьютерная томография (МСКТ). В большинстве случаев, чтобы увидеть опухоль на компьютерных томограммах, не нужно вводить контраст. Контрастное усиление используется в основном в диагностике центральных опухолей с целью отличить небольшой мягкотканный узел в корне легкого от расположенных вблизи него легочных сосудов. КТ — незаменимый метод при определении размеров опухоли, степени поражения корня легкого, средостения и грудной клетки, оценки поражения лимфатических узлов. Все эти подробности в конечном счете определяют стадию онкологического процесса, поэтому точный анализ результатов компьютерной томографии крайне важен для прогноза.
Другой томографический метод исследования — магнитно-резонансная рентгенография (МРТ) почти не применяется для диагностики легочных новообразований, так как плохо выявляет изменения легочной ткани. Дело в том, что легочная ткань содержит большое количество воздуха, не дающего сигнала на МРТ.
С помощью ультразвукового исследования (УЗИ) также нельзя достоверно диагностировать изменения легочной ткани, однако этот метод может применяться для выявления изменений окружающей плевры.
Рентгенография и рентгеноскопия могут применяться для обнаружения легочных образований, однако изолированное применение этих методов не позволяет достоверно определиться с диагнозом. Бронхография как способ выявить рак легких также ушла в прошлое.
Из инструментальных методов диагностики центральных опухолей очень хороша фибробронхоскопия (ФБС) — эндоскопический метод, благодаря которому можно не только увидеть сужение просвета бронха глазами, но и взять часть объемного образования для гистологического исследования.
ГИСТОЛОГИЧЕСКАЯ КЛАССИФИКАЦИЯ РАКА ЛЕГКОГО И ПРОГНОЗЫ ВЫЖИВАЕМОСТИ
Согласно гистологической классификации бронхогенного рака последнего пересмотра (от 1999 г.) выделяют 6 видов опухолей трахеобронхиального дерева:
1) Аденокарцинома - выявляется приблизительно в 35% всех случаев. Чаще всего это периферическая опухоль, выглядящая как одиночный (солитарный) узел различных размеров с типичными признаками злокачественности, с наличием спикул - лучистых краев, которые образуются за счет прорастания рака по лиматическим сосудам; участков некроза, распада и кровоизлияний в строму опухоли. Аденокарцинома часто и рано метастазирует. Прогноз очень вариабелен, во многом он зависит от того, насколько рано было обнаружено образование.
2) Плоскоклеточный неороговевающий рак - часто встречающийся вариант - до 35% всех случаев образований легких. Характеризуется наилучшим прогнозом, редко метастазирует. Примерно в 65% развивается в одном из центральных бронхов и обуславливает картину ателектаза на КТ и рентгеновских снимках, в 35% развивается в периферических бронхах и выглядит как солидный единичный узел, часто с полостью распада в центре, похожий на абсцесс.


У пациента был выявлен раковый узел в 6 сегменте нижней доли слева. После резекции путем гистологического исследования верифицирован плоскоклеточный рак легкого. Томография в данном случае не дала типичную картину злокачественного новообразования.
3) Мелкоклеточный рак - самый агрессивный и наиболее опасный вид, уже на ранних стадиях может метастазировать в лимфоузлы корней легких и средостения. Продолжительность жизни пациентов с такими новообразованиями варьирует в зависимости от стадии (TNM) и возможности оперативного лечения. Частота встречаемости до 20%. Обычно возникает из эпителия крупных бронхов, обуславливает картину ателектаза. Тесно связан с курением.
4) Крупноклеточный недифференцированный рак - встречается редко, менее чем в 5% случаев. Представлен обычно одним солидным периферическим узлом большого размера. Практически всегда возникает у курильщиков. Рано метастазирует — гематогенно и лимфогенно, прогноз при нем неблагоприятен.
5) Крупноклеточный нейроэндокринный рак (карциноид) - чаще центральный, с характерным признаком - распадом в опухоли, встречается менее чем в 5% случаев, рано метастазирует в лимфоузлы, агрессивен, протекает неблагоприятно.
6) Бронхиоло-альвеолярный рак - до 2%. Является подтипом аденокарциномы. Практически всегда периферический. Проявляется диффузным снижением плотности легочной паренхимы по типу «матового стекла», что симулирует картину пневмонии. Проявляется также изменениями по типу консолидации - диффузным уплотнением легочной паренхимы, может выглядеть как узел. Прогноз при небольших размерах узла обычно благоприятный.
КАК ВЫГЛЯДИТ РАК ЛЕГКОГО ПРИ КОМПЬЮТЕРНОЙ ТОМОГРАФИИ
Существует несколько вариантов роста опухолевого узла (по Розенштрауху):
1) В просвет бронха с одной стороны, суживая его - эндофитный тип.
2) В просвет бронха, циркулярно суживая его - это также эндофитный тип.
3) В просвет бронха и кнаружи от него - смешанный тип роста.
4) По ходу стенки бронха, не суживая его просвет - перибронхиальный тип.
При прорастании опухоли в просвет бронха происходит его сужение, что влечет нарушение вентиляции определенного участка ткани легкого. При КТ при этом можно заметить непосредственно сам опухолевый узел в просвете бронха - он выглядит плотным (белым). Просвет бронха сужен по кругу, пристеночно, либо «обрывается» на границе с новообразованием. Можно увидеть также повышение плотности соответствующей доли (либо сегмента, сегментов), вентилируемого данным бронхом. Повышение плотности может быть обусловлено ателектазом - спадением участка легочной ткани в результате нарушения проходимости бронха, дистелектазом - частичным спадением, а также изменениями, обусловленными пневмонией, чаще всего застойного характера, с абсцедированием, а также пневмофиброзом.
Существует также деление рака легкого на периферический и центральный - классификация последнего приведена выше. Центральный рак клинически протекает более тяжело в связи с тем, что чаще дает осложнения в виде ателектаза, массивных пневмоний, абсцедирования, дыхательной недостаточности.


КТ-признаки центрального рака легкого: при компьютерной томографии определяется объемное образование мягкотканной структуры, в котором «обрывается» просвет нижнедолевого бронха. Края образования бугристые, неровные, со спикулами, форма неправильная.


Центральный рак легкого на КТ. Обратите внимание на различия в ширине просвета центральных бронхов справа и слева. Просвет правого верхнедолевого бронха не виден. Виден ателектаз верхней доли. В круге - непосредственно само опухолевое образование, ставшее причиной ателектаза.
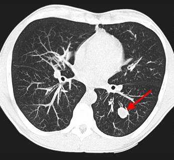
Периферический рак легких на КТ выглядит как очаг либо узел, расположенный на периферии органа вдалеке от корня. Обычно он имеет однородную структуру, в некоторых случаях с участками некроза, обызвествлениями и кровоизлияниями в паренхиму. Края типичной раковой опухоли неровные, с множественными «спикулами» за счет лимфангиита. При расположении вблизи плевры образование деформирует ее и подтягивает к себе. Размеры его различны - от очага (3-10 мм) до узла (10-50 мм и больше).


Типичный периферический рак легкого (аденокарцинома) на МСКТ. Справа в 6 сегменте легкого выявлен плотный мягкотканный узел со спикулами, деформирующий и подтягивающий к себе междолевую плевру.
Гораздо реже встречается первично множественный рак, который необходимо дифференцировать с метастазами и другими диффузными и диссеминированными очагами, в том числе туберкулезом. Существуют и диффузные формы опухолей - бронхиоло-альвеолярный рак (БАР), проявляющиеся на КТ в виде тотального либо субтотального снижения пневматизации по типу «матового стекла» - их нужно дифференцировать с пневмонией, отеком легких.
СТАДИИ РАКА ЛЕГВОГО ПО TNM И MOUNTAIN
Стадирование рака легкого необходимо для определения возможности удаления опухоли.
На стадиях T1 и T2 по Mountain операция возможна. T3a стадия означает, что опухоль, возможно, доступна резекции (чаще всего необходима пульмонэктомия), T3b и T4 стадии означают невозможность ее оперативного удаления.
При отсутствии метастазов в регионарные лимфоузлы или при наличии измененных лимфоузлов только на пораженной стороне (соответственно N0 и N1 по TNM) хирургическое лечение возможно и прогноз, скорее всего, благоприятен. На стадии N2 хирургическое лечение возможно после лучевой и (или) химиотерапии, прогноз сомнителен. При N3 хирургическое лечение не показано. Выявление метастазов в отдаленные органы также значительно ухудшает прогноз.
В таблице представлена классификация рака легкого по шкале TNM (UICC, 1999 г).
| Стадия (TNM) | Критерии |
| T1 | Опухолевый узел в паренхиме легкого до 3 см наибольшим размером без признаков прорастания в стенку центральных бронхов. |
| T2 | Внутрилегочная опухоль больше 3 см либо опухоль, инфильтрирующая стенку главного бронха как минимум на 2 см ниже зоны бифуркации либо опухоль, прорастающая висцеральную плевру. Ателектаз доли либо сегмента, но не тотальный. |
| T3 | Опухоль любого размера, инфильтрирующая главный или промежуточный бронх в менее чем 2 см от бифуркации или ограниченно прорастающая в средостенную плевру, средостение, грудную стенку. Может быть выявлен тотальный ателектаз либо пневмония обструкционного характера. |
| T4 | Опухоль любого размера с прорастанием в средостение, перикард, аорту, верхнюю полую вену, брахиоцефальную вену, в кости, грудную стенку. Выпот в грудную полость. Сателлитные очаги (внутрилегочные метстазы). |
| N0 | Нет поражения регионарных лимоузлов. |
| N1 | Поражение лимфоузлов корня, бронхопульмональных лимфоузлов на стороне опухоли. |
| N2 | Поражение бифуркационных, паратрахеальных, параэзофагеальных, парааортальных лимфатических узлов средостения на стороне опухоли. |
| N3 | Поражение лимфоузлов корня, средостения на противоположной опухоли стороне; поражение подмышечных, под- и надключичных, лестничных лимфоузлов. |
| M0 | Нет отдаленных метастазов. |
| M1 | Выявлены отдаленные метастазы (в т. ч. внутрилегочные очаги). |


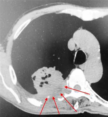
Пример рака легких 4 стадии. Не показано оперативное лечение, только химиотерапия. Имеет место прорастание в ребра и позвоночник, а также в мягкие ткани грудной стенки. В строме опухоли видны множественные гиподенсные (темные) участки, содержащие газ - зоны распада.
ИЗЛЕЧИМ ЛИ РАК ЛЕГКИХ?
Излечим ли рак легких? Да, но только при своевременном выявлении на стадии T1 и T2. К сожалению, чем дальше от крупных бронхов располагается опухоль, тем более длительное время она может оставаться незамеченной, особенно если пациент «забывает» про своевременные флюорографические обследования.
КТ ПРИ РАКЕ ЛЕГКОГО И ВТОРОЕ МНЕНИЕ
Читайте также:
