Диагностика нейроглиальной кисты по КТ, МРТ
Добавил пользователь Владимир З. Обновлено: 11.12.2025
Если травмирована кожа - на ней образуются рубцы и шрамы. Похожие рубцы могут образовываться и в головном мозге.
О такой распространенной патологии, как глиоз, мы говорим с врачом-рентгенологом, главным врачом и исполнительным директором «МРТ Эксперт Липецк» Волковой Оксаной Егоровной.
- «На МРТ обнаружили глиоз головного мозга», - звучит устрашающе. Оксана Егоровна, расскажите, что такое глиоз головного мозга?
Это замещение погибших нейронов клетками нейроглии. В головном мозге есть различные виды клеток. Основные клетки - нейроны, благодаря которым и происходят нервно-психические процессы. Это те самые клетки, о которых говорят «не восстанавливаются».
Другая разновидность - клетки глии (нейроглии). Функция их вспомогательная, они участвуют, в частности, в обменных процессах в головном мозге.
Природа, как известно, пустоты не терпит. Поэтому если нейроны по тем или иным причинам гибнут, то их место занимают клетки нейроглии. Здесь можно провести аналогию с травмой кожи. Если повреждение достаточно существенное, то на его месте образуется рубец. Участок глиоза - это тоже «рубец», «шрам», но в нервной ткани.
- Глиоз головного мозга - это самостоятельное заболевание или следствие других болезней?
Это последствие иных заболеваний.
- По каким причинам развиваются глиозные очаги головного мозга?
Причины глиоза головного мозга разные. Он бывает врожденным, а также развивается на фоне большого числа патологий головного мозга. Чаще всего встречаются очаги глиоза, появившиеся в ответ на сосудистое нарушение. Например, произошла закупорка небольшого сосуда. Находящиеся в области его кровоснабжения нейроны погибли, а их место заполнили глиальные клетки. Бывает глиоз при инсультах, инфарктах головного мозга, после кровоизлияний.
ЕСЛИ ПОВРЕЖДЕНИЕ КОЖИ СУЩЕСТВЕННОЕ,
ТО НА ЕГО МЕСТЕ ОБРАЗУЕТСЯ РУБЕЦ.
УЧАСТОК ГЛИОЗА - ЭТО ТОЖЕ "РУБЕЦ",
"ШРАМ", НО В НЕРВНОЙ ТКАНИ.
Также он может формироваться после травм, при наследственных заболеваниях (например, достаточно редком недуге - туберозном склерозе), нейроинфекциях, после хирургических операций на мозге, отравлений (угарным газом, тяжелыми металлами, наркотиками); вокруг опухолей.
- Перед подготовкой интервью мы специально изучили запросы людей и выяснили, что вместе со словосочетанием «глиоз головного мозга», россияне пытаются узнать у поисковых систем - опасно ли это, смертельно и даже интересуются прогнозом жизни. Насколько опасен глиоз головного мозга для нашего здоровья?
Это зависит от причины глиоза и того, какие последствия может вызывать сам глиозный очаг.
Например, у человек закупорился мелкий сосудик и в месте гибели сформировался очажок глиоза. Если этим все ограничилось, и сам участок глиоза находится в «нейтральном» месте, то «здесь и сейчас» последствий может и не быть. С другой стороны, если мы видим такой, даже «молчащий», очаг, нужно понимать, что он появился там не просто так.
Иногда даже небольшой очаг глиоза, но располагающийся в височной доле, может «заявлять о себе», вызывая появление эпилептических приступов. Или участок глиоза может привести к нарушению передачи импульсов от головного мозга к спинному, вызвав паралич одной конечности.
Таким образом, необходимо всегда пытаться докопаться до причины, так как в ряде случаев глиоз - это своего рода «маячок», предупредительный сигнал, что что-то не так - даже если сейчас он вообще никак человека не беспокоит.
- Глиоз головного мозга и глиома головного мозга - это не одно и то же?
Безусловно нет. Глиома - это одна из наиболее часто встречающихся опухолей головного мозга. Глиоз к опухолям не имеет никакого отношения.
- Глиоз не может перерасти в онкологию?
Нет. Он может встречаться при новообразованиях головного мозга, но как параллельное явление - например, на фоне сопутствующей сосудистой патологии.
- Какими симптомами проявляет себя глиоз головного мозга?
Самыми разнообразными - исходя из множества патологий, из-за которых образуются участки глиоза. Специфического симптома(ов) именно глиоза нет.
ГЛИОЗ К ОПУХОЛЯМ НЕ ИМЕЕТ НИКАКОГО ОТНОШЕНИЯ.
ПЕРЕРАСТИ В ОНКОЛОГИЮ ОН НЕ МОЖЕТ.
Могут отмечаться головные боли, головокружение, шаткость походки, изменчивость артериального давления, нарушения памяти, внимания, расстройства сна, снижение работоспособности, ухудшения зрения, слуха, эпилептические приступы и многие другие.
- Оксана Егоровна, а виден ли глиоз на МРТ?
Безусловно. Более того, мы можем с определенной вероятностью сказать, какого он происхождения: сосудистого, посттравматического, послеоперационного, после воспаления, при рассеянном склерозе и т.д.
Читайте материал по теме: Если МРТ головного мозга показало…
- Как глиоз головного мозга может отразиться на качестве и продолжительности жизни пациента?
Это зависит от основного заболевания. Бессимптомный глиоз после небольшой черепно-мозговой травмы - это одно, а очаг в височной доле, вызывающий частые эпилептические приступы - другое. Безусловно, имеет значение и объем повреждения нервной системы и вызванные этим нарушения (например, при инсульте).
- Глиозные очаги в головном мозге требуют назначения специального лечения?
И здесь все зависит от основной патологии. Данный вопрос решается индивидуально лечащим доктором.
- К врачу какого профиля необходимо обратиться пациенту, если во время МРТ-диагностики головного мозга у него выявлен глиоз?
К неврологу, по показаниям - к нейрохирургу.
- Если при проведении магнитно-резонансной томографии выявлены очаги глиоза в головном мозге, такому пациенту необходимо динамическое наблюдение?
Да. Его частота зависит от причины, вызвавшей появление глиоза, количества и величины очагов, их «поведения» при динамическом наблюдении и т.д. Эти вопросы решаются лечащим доктором и врачом-рентгенологом.
Также вам может быть полезно:
Волкова Оксана Егоровна
В 1998 году окончила Курский государственный медицинский университет.
В 1999 году окончила интернатуру по специальности «Терапия», в 2012 году - по специальности «Рентгенология».
Работала врачом-рентгенологом в компании «МРТ Эксперт Липецк».
С 2014 года занимает в ней должность главного врача и исполнительного директора.
Другие статьи по теме
Ежегодно, каждого 10 октября в мире отмечается День психического здоровья. Инициатором этой. Сойти с ума: День психического здоровья
Недавно специалисты установили, что коронавирусная инфекция поражает не только легкие человека и. «Ковид» на всю голову: влияние вируса на мозг человека
Нейроглиальная киста
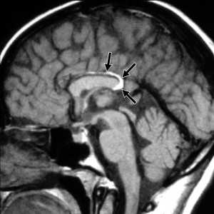
Нейроглиальная киста (син. глиоэпендимальная киста, нейроэпителиальная киста) - это редкое доброкачественное кистозное образование центральной нервной системы выстланное эпителием. При визуализации представляет собой округлое образование с гладкими ровными контурами, с содержимым соответствующим по характеристикам спинномозговой жидкости, с минимальными изменениями окружающей ткани [1].
Эпидемиология
Патология
Нейроглиальные кисты являются врожденными образованиями располагающимися в белом веществе, они образуются за счет секвестрации элементов нервной трубки в эмбриональном периоде с формированием заполненной жидкостью полости выстланной глиальными клетками [3].
Диагностика
Компьютерная томография
Обычно представляют собой четко отграниченные не усиливающиеся гиподенсивные образования с плотностью соответствующей плотности спинномозговой жидкости, как правило единичные, без перифокального отека, кальцинатов или признаков объемного воздействия.
Магнитно-резонансная томография
Нейроглиальные кисты по сигнальным характеристиками соответствуют спинномозговой жидкости, и имеют гипоинтенсивный сигнал на Т1 изображениях, и гиперинтенсивный сигнал на Т2 изображениях, как правильно с подавлением сигнала на FLAIR последовательностях.
Дифференциальный диагноз
- порэнцефалическая киста
- имеется связь с боковым желудочком
- окружена зоной глиоза
- как правило располагается экстрааксиально
- как правило множественные
- часто в виде скоплений в области базальных ганглиев
- как правило
- частичное контрастное усиление
- иногда сложно дифференцировать
- локализуется перивентрикулярно
- иногда сложно дифференцировать
- не соответствует СМЖ на всех последовательностях
- имеется ограничение диффузии
Литература
Osborn AG, Preece MT. Intracranial cysts: radiologic-pathologic correlation and imaging approach. (2006) Radiology. 239 (3): 650-64. doi:10.1148/radiol.2393050823 - Pubmed
Anne G. Osborn, Gary L. Hedlund, Karen L. Salzman. Osborn's Brain E-Book. (2017) ISBN: 9780323553360
Кисты головного мозга и их диагностика
МРТ головного мозга. Т2-взвешенная аксиальная томограмма. Арахноидальная киста. Цветовая обработка изображения.
Кисты головного мозга в большинстве своем относятся к аномалиям развития. Некоторые образования, возникшие на почве нарушения развития, имеют сходные с кистами черты.
Эпидермоидные кисты (эпидермоиды) - доброкачественные врождённые образования. Они происходят из эктопических эпидермальных клеток и развиваются в период закрытия, в 3-5 нед. эмбриогенеза, как следствие неполного разделения нейрональной и покровной эктодермы. Частота составляет около 1% от внутричерепных образований. Обычно диагностируются в возрасте 25 - 45 лет. Локализация эпидермоидов может быть любой, но типичная - мосто-мозжечковый угол (третье по частоте образование этой области), предмостовая цистерна, параселлярная область, четверохолмие и желудочковая система, очень редко в полушариях, спинном мозге и интрадиплоидно. Растут они интра- или экстрадурально, экспансивно, медленно, сдавливая ствол мозга, внутричерепные нервы, но не разрушая кость. Иногда захватывают сосуды и нервы. По характеру роста их можно отнести к опухолевидным образованиям. Вокруг эпидермоидов нередко развивается асептическое воспаление, а при разрыве содержимое (жир, кератин) прорывается в ликворные пространства. Клинические проявления зависят от локализации и масс-эффекта.
При МРТ головного мозга картина неспецифическая и зависит от содержимого кисты. Если она не содержит жира, то имеет ликворную интенсивность сигнала . В таком случае эпидермоидная киста трудно отличима от арахноидальной, хотя, как правило, не столь однородная. На МРТ типа FLAIR и диффузионно-взвешенных МРТ изображениях содержимое эпидермоидов светлее ликворного. Жировое содержимое, такие эпидермоиды еще называют холестеатомой, приводит к высокому сигналу на Т1-взвешенных МРТ головного мозга. Видимо, он обусловлен липидами, но не холестеролом. На Т2-взвешенных МРТ головного мозга он менее интенсивен чем ликвор. Контуры эпидермоидов всегда четкие. Холестеатомы составляют всего 3-5% от эпидермоидов. В 15-20% случаев встречается кальцификация по переферии кисты. Редко наблюдается контрастирование стенок.
МРТ головного мозга. Т1-взвешенные корональная и сагиттальная МРТ. Эпидермоидная киста левой височной доли.
Дермоидные кисты встречаются реже эпидермоидных, составляя около 0,3 % от внутричерепных образований. Обычно выявляются в возрасте между 10 и 20 годами. Морфологически от эпидермоидов их отличает наличие эктодермальных элементов - волосяных фолликулов, потовых желёз и т.д. Типично они расположены по средней линии (в отличие от эпидермоидов, которые чаще внеосевые): в супраселлярной цистерне, субфронтально, вокруг моста и, очень редко парапиниально, периорбитально, в IV желудочке, в области конского хвоста и интрадиплоидно. От эпидермоидных кист на МРТ головного мозга их отличает только выраженная неоднородность структуры, кроме того, они всегда яркие на Т1-взвешенных МРТ головного мозга за счёт большого содержания липидов. При разрыве и прорыве в субарахноидальное пространство в нём появляется уровень, на Т1-взвешенных МРТ головного мозга светлый жир плавает на ликворе.
Липома представляет собой скопление в субарахноидальном пространстве зачаточных жировых клеток с примесью коллагена. Происходят липомы из остатков примитивной эмбриональной оболочки. Эта мальформация оболочек мозга связана с нарушением дифференцировки мезенхимы на мягкую мозговую оболочку и субарахноидальное пространство. Частота липомы составляет менее 0.5% от внутричерепных образований. Обычно липомы локализуется в мозолистом теле, в межполушарной щели, воронке гипофиза и гипоталамусе, реже вокруг червя мозжечка и пластины четверохолмия и мосто-мозжечковом углу и Липомы мозолистого тела сочетаются с его агенезией и в 60% случаев с распространением на сосудистое сплетение. При МРТ головного мозга липома четко очерчена, без отека вокруг и масс-эффекта, кость не разрушает. Структура образования чаще однородная, жировой интенсивности сигнала - то есть выраженно гиперинтенсивная на Т1-взвешенных МРТ и немного менее интенсивная по отношению к ликвору на Т2-взвешенных МРТ. Иногда встречаются неоднородные липомы с участками низкого сигнала от кальцинатов и сосудов, проходящих ее насквозь. При сомнениях в диагнозе надо выполнить МРТ головного мозга с подавлением жира или можно сделать КТ. На КТ липома всегда резко гиподенсна и может содержать включения кальция.
![glipoma_cns_fig2a]()
МРТ головного мозга. Сагиттальная Т1-взвешенная МРТ. Липома мозолистого тела.
Эпендимальные кисты встречаются очень редко. Они представляют собой врождённую отшнуровку внутри желудочков или цистернах . На МРТ головного мозга контур кисты четкий, сигнал ликворной интенсивности или чуть светлее за счет отсутствия пульсации и примеси белка, структура однородная. В отличие от кист прозрачной перегородки она не расщеплена, а смещена.
Арахноидальные кисты представляют собой скопление ликвора между листками расщепленной паутинной оболочки. Арахноидальная киста обычно не сопровождается другими мальформациями. Незначительная часть арахноидальных кист имеет приобретенное происхождение - следствие лептоменингита, операции или кровоизлияния. Частота составляет около 1% от внутричерепных образований. Соотношение полов М:Ж, как 4:1. Типичная локализация - средняя черепная ямка (в области Сильвиевой борозды 50%), межполушарная щель, мосто-мозжечковый угол (11%), за скатом или на уровне четверохолмия (10%), в области червя мозжечка (9%), реже в области межножковой и предмостовой цистерн (3%), а также супраселлярной и хиазмальной цистерн. Ретроцеребеллярная арахноидальная киста довольно часто встречаются за мозжечком и отличима от mega cisterna только по неизменённой задней черепной ямке. Содержимое кисты чисто ликворное, стенки гладкие, чётко очерченные, внутри кисты могут быть перегородки. Мелкие арахноидальные кисты очень трудно увидеть. Меняя ширину окна и его уровень на Т1-взвешенных МРТ изображениях можно заметить, что киста чуть светлее ликвора. Дифференциальная диагностика с эпидермальными кистами лучше осуществляется с помощью МРТ последовательности FLAIR. Эпидермальные кисты становятся яркими, в отличие от гипоинтенсивных арахноидальных.
Нейроглиальные (нейроэпителиальные) кисты - врождённые кисты различной этиологии, локализующиеся в паренхиме мозга или в области сосудистого сплетения желудочков. Обычно округлые, с гладкими стенками. Очень часто такие кисты сочетаются с аномалиями развития: отсутствием прозрачной перегородки и полимикрогирией. При МРТ головного мозга содержимое кист ликворное, иногда с небольшой примесью белка.
Коллоидная киста - это врождённое нейроэпителиальное образование. Коллоидная киста выстлана эпителием и имеет фиброзную капсулу. Она составляют около 1-2% объемных внутричерепных образований. Обычно диагностируются в возрасте между 30 и 50 годами. При МРТ головного мозга видно, что киста всегда расположена в переднее-верхнем отрезке III желудочка между отверстиями Монро. Контур ее четкий, форма округлая, содержимое бывает неоднородное. Размер от 3 мм до 4 см, при больших размерах она закрывает отверстия Монро и вызывает окклюзионную гидроцефалию. Сигнал зависти от примеси белка к ликвору. При наличии белкового мукоидного содержимого киста гиперинтенсивна на Т1-взвешенных МРТ и гипоинтенсивна на Т2-взвешенных МРТ, но встречаются варианты гиперинтенсивные на томограммах обоих типов кольцевидные или смешанные . Контрастирования не наблюдается.
КТ и МРТ головного мозга. Коллоидная киста III желудочка.
Киста кармана Ратке представляет собой редко встречающееся образование из остатков эмбриональной эктодермы (щель Ратке), расположенное между долями гипофиза. Выявляется в любом возрасте, но чаще в 50-60 лет. Клинические проявления связаны с масс-эффектом. При головного мозга выявляется небольшая (3-5 мм) киста с четким контуром, без отека вокруг, однородная по структуре. Сигнал зависит от содержимого. При серозном содержимом сигнал типично жидкостный, при мукоидном киста светлая на Т1-взвешенных МРТ. В редких случаях киста достигает больших размеров и даже выходит за пределы седла. Стенка кисты иногда усиливается при контрастировании.
МРТ головного мозга. Т2-взвешенная корональная МРТ. Киста кармана Ратке.
Пинеальная киста расположена в проекции шишковидной железы. Встречается с частотой 4-11%. Размеры обычно не превышают 1 см, но изредка встречаются больших размеров. В таких случаях она вызывает окклюзионную гидроцефалию. При головного мозга она имеет все признаки кисты с примесью белка в жидкости, то есть немного светлая на Т1-взвешенных. Изредка встречается геморрагическое содержимое. Киста может контрастироваться по периферии.
![gpineal_cyst_fig1a]()
МРТ головного мозга. Сагиттальная Т1-взвешенная МРТ. Пинеальная киста.
Кисты средней линии - киста прозрачной перегородки (cavum septi pellucidi), полость Верге (cavum Vergae) и киста промежуточного паруса (cavum veli interpositi) - являются нормальными структурами головного мозга плода. В течение 6 месяцев после рождения у большинства людей они запустевают, но могут и сохраниться, визуализируясь при этом на МРТ головного мозга. По-видимому, эти полости не имеют клинического значения и относятся к случайным находкам при томографии. Киста прозрачной перегородки (еще называют V желудочком) является медиальной стенкой боковых желудочков и ограничена спереди коленом мозолистого тела, сверху мозолистым телом и сзади столбами свода . Полость Верге представляет собой продолжение кисты прозрачной перегородки кзади и расположена между телами желудочков . Обычно обе кисты сочетаются. Киста промежуточного паруса расположена в крыше III желудочка (tela choroidea), между треугольниками боковых желудочков на уровне отверстий Монро. Она ограничена сверху мозолистым телом, cзади цистерной четверохолмия и снизу III желудочком.
При МРТ в СПб мы обращаем внимание на возможность не только врожденных, но и редких состояний, к которым относятся приобретенные кисты головного мозга, причиной которых могут быть:
- последствия ОНМК
- опухолевые кисты
- паразитарные кисты
![эхинококк головного]()
МРТ головного мозга. Корональная Т1-взвешенная МРТ. Многокамерные эхинококковые кисты.
Кисты головного мозга одинаково хорошо видны в высоких полях и низкопольных открытых МРТ. МРТ СПб дает место выбора выполнения МРТ.
Киста головного мозга - всегда опасный диагноз?
Субстанция человеческого мозга тонкая и нежная. Любые посторонние образования, будь то опухоль или жидкость, ведут к нарушению функционирования этого органа, порой угрожая жизнедеятельности человеческого организма.
Что такое киста головного мозга и насколько она опасна? Всегда ли необходима операция при кисте головного мозга или можно обойтись без хирургического вмешательства? Эти вопросы беспокоят многих. Ответы на них узнаем у исполнительного директора и главного врача ООО «МРТ Эксперт Липецк» Волковой Оксаны Егоровны.
- Оксана Егоровна, что такое киста головного мозга?
Киста (в переводе с греческого - пузырь) - одно из самых распространённых патологических образований, которое может возникнуть в любом месте нашего организма. Действительно, киста похожа на воздушный шарик, заполненный водой, увеличивающийся по мере поступления жидкости.
Такая патология действительно довольно часто появляется в головном мозге. Если говорить прицельно о кисте головного мозга, то чаще это - полость, заполненная спинномозговой жидкостью (ликвором), омывающей головной и спинной мозг.
Симптомы кисты головного мозга весьма разнообразны и зависят от месторасположения и сдавливания зоны черепной коробки. Однако, в течение долгого времени пузырь, наполненный жидкостью, может не доставлять беспокойства и обнаружиться только при проведении МРТ головного мозга.
Записаться на МРТ головы можно здесь
- Чем киста отличается от абсцесса?
Абсцессы на МРТ выглядят как крупные или мелкие кисты, но заполнены гнойным содержимым и окружённые зоной выраженного отека вещества мозга.
- Какими бывают кисты головного мозга и по каким причинам они возникают?
Кисты подразделяются на врождённые и приобретённые.
Врождённые кисты головного мозга являются результатом нарушения внутриутробного развития оболочек головного мозга. Чаще такого рода кисты локализуются в височных областях, в задней черепной ямке, так называемой пинеальной области (или области эпифиза). Врождёнными бывают и внутрижелудочковые кисты.
Приобретённые кисты, как правило - опухолевые кисты, и в таком случае киста - это «продукт» роста опухоли. Местами локализации таких кист являются доли мозга: лобная, височная, теменная, затылочная; полушария мозжечка.
Приобретённые кисты могут носить и посттравматический характер и возникать после излечения очагов ушиба головного мозга.
Также в своей практике мы встречаемся с кистами, возникающими после инсультов. В этом случае отмечается трансформация ишемического очага. Если ишемический инсульт был обширным и по локализации произошёл ближе к коре, его исходом являются кистозно-глиозные изменения, представляющие несколько мелких или крупных кист, как виноградная гроздь. Отмечу, что подобные изменения могут быть и последствием травм головного мозга, в том числе у детей.
Чем отличаются инсульт ишемический и геморрагический? Узнать здесь
В некоторых районах нашей страны, эндемичных по ряду инфекционных заболеваний, распространены паразитарные кисты, например, эхинококковые. Такие кисты заполнены жидкостью, представляющей продукт жизнедеятельности данного паразита.
- Кистозно-глиозные изменения бывают случайной находкой?
Да, если человек перенёс инсульт «на ногах». Не так давно в наш центр обратилась молодая пациентка, которую в течение трёх недель лечили от гипертонической болезни. Она жаловалась на шаткость походки, головокружение, слабость, головные боли и высокое давление. Участковый врач, решив, что симптоматика указывает на гипертонический криз, назначил соответствующее лечение.
Решение пройти МРТ головного мозга пациентка приняла самостоятельно. Мы выявили достаточно обширную зону недавних кистозно-глиозных изменений, что позволило сделать вывод, что в тот момент, когда у женщины произошёл резкий скачок давления, случился инсульт. Следовательно, и тактика лечения должна была быть иной. От серьёзных последствий пациентку спасло то, что инсульт произошёл в той области мозга, в которой нет жизненно важных центров. Можно сказать, что она «родилась в рубашке». Но так бывает не всегда. Поэтому если вы неважно себя чувствуете - скачет давление, кружится и болит голова, вы испытываете слабость - не тяните с обращением в центр МРТ-диагностики. Основываясь только на симптомах, поставить правильный диагноз зачастую бывает сложно.
- С какими типами так называемых «неопасных кист» головного мозга врачи центров «МРТ Эксперт» сталкиваются чаще всего?
Нередко мы находим у наших пациентов, как вариант врождённых образований, арахноидальные ликворные кисты. На снимках мы видим, что одна из долей мозга больше другой, а свободное место заполнено ликвором. Такие кисты появляются по причине того, что во время внутриутробного развития мозг формировался несимметрично и не влекут за собой никаких проблем для здоровья человека.
Я встречала пациентов, у которых с одной стороны не хватало четвёртой части мозга. Но при этом такая арахноидальная ликворная киста никак не отразилась на их самочувствии и мыслительной деятельности. Это происходит потому, что компенсаторные возможности центральной нервной системы высоки. Поэтому говорить о размерах, являющихся нормой для такого вида кисты, не совсем корректно. Из случая, который я описала, видно - даже огромная арахноидальная ликворная киста может не доставлять человеку никакого дискомфорта, кроме головных болей в случае повышения внутричерепного давления. Назначение лекарственных препаратов с целью нормализации оттока ликвора помогает таким пациентам снять головную боль.
Микрокисты эпифиза - другой вид неопасных кист, достаточно часто выявляемых при МРТ-исследованиях. Их размер обычно составляет от 3 до 5 мм. Если образование больше указанных параметров, мы рекомендуем провести МРТ с контрастным усилением. Это необходимо для того, чтобы исключить онкологию.
Когда применение контраста при МРТ - необходимость? Узнать здесь
Крупные кисты эпифиза нужно наблюдать в динамике, микрокисты не требуют такого внимания.
- Какими симптомами проявляют себя кисты головного мозга?
Что касается врождённых, то это, в основном, «молчащие» кисты, крайне редко увеличивающиеся в размерах и приводящие к какой-то симптоматике. Этот вид кист не представляет никаких угроз и в плане озлокачествления.
Вторичные кисты могут давать симптомы, порой достаточно грозные. Чаще это - головные боли, при нарушении ликвородинамики бывает тошнота и рвота, возможно появление фокальных судорог - в лице, руке или ноге. Если размер кисты настолько велик, что приводит к смещению определённых структур головного мозга, это может привести к парезам, параличам, угнетению сознания.
Как снять головную боль напряжения? Узнать здесь
- МРТ позволяет определить вид кисты?
МРТ головного мозга с внутривенным контрастированием на аппарате мощностью не менее 1,5 Тесла позволяет определить тип кисты с высокой точностью. Каждый вид кисты по-своему накапливает контрастное вещество.
- Диагноз «киста головного мозга» - это всегда показание для операции?
Нет. При врождённых кистах, не дающих симптоматику, операции не проводятся. Эти кисты показано наблюдать с выполнением МРТ-исследования раз в 6 или 12 месяцев.
При приобретённых кистах, если речь идёт о кистозных формах метастатических опухолей, первичных глиальных опухолях, паразитарных кистах или абсцессах, нейрохирург часто принимает решение в пользу хирургического вмешательства. А коллоидные кисты третьего желудочка представляют собой ургентные ситуации, требующие срочного оперативного вмешательства.
- При проведении хирургического вмешательства по поводу кист головного мозга всегда проводится трепанация черепа?
Нет. Это зависит от локализации и типа кисты. При некоторых видах кист показано кистоперитонеальное шунтирование или микрохирургическая фенестрация базальных цистерн.
- К врачу какой специальности необходимо обратиться за консультацией, если в заключении после проведения магнитно-резонансной томографии указан диагноз «киста головного мозга»?
К неврологу или нейрохирургу. Как правило, в рекомендациях, как письменных, так и устных, мы указываем, консультация врача какой специализации нужна пациенту.
МРТ и КТ при арахноидальной кисте - что покажет
![]()
МРТ головного мозга, КТ головного мозга являются аппаратными методами диагностики арахноидальной кисты. Исходя из первичных симптомов, истории болезни, противопоказаний и диагностических целей, врач невролог назначает необходимые способы обследования.
В большинстве случаев, МРТ головного мозга выбирается как первичный метод диагностики. Если результаты исследования носят тревожный или неясный характер, дополнительно назначается:
Разница между МРТ и КТ
Компьютерная томография и магнитно-резонансная томография используются для получения изображений органов и тканей в трехмерной проекции. Разница в томографии заключается в том, что при МРТ используются радиоволны, а при КТ - рентгеновские лучи для получения изображения. Хотя оба томографических метода имеют высокую информативность, есть диагностические различия, которые могут сделать каждый из них более подходящим вариантом в зависимости от обстоятельств.
КТ-сканирование более быстрая форма диагностики, чем магнитно-резонансная томография, и обычно используется для экстренного обследования. При использовании как КТ, так и МРТ существуют определенные риски. Они зависят от типа визуализации, а также от способа ее проведения. К рискам КТ относятся: вред для внутриутробного ребенка при беременности и доза радиации. Риски МРТ включают реакции на металлические импланты в теле из-за сильного магнитного поля, громкий шум от аппарата, повышенная, клаустрофобические риски.
Если врачу нужны более детальные изображения мягких тканей, связок или органов высоким состоянием воды, обычно назначается магнитно-резонансная томография. Если необходимо получить хорошие изображение костных структур и полых органов, обычно рекомендуется компьютерная томография.
Читайте также:
- Рентгенограмма, КТ, МРТ при травматическом остеолизе костей лучезапястного сустава у детей
- Эритематозная (красная) волчанка. Диагностика и лечение эритематозной волчанки.
- Детский церебральный паралич (ДЦП): атлас фотографий
- Диагностические критерии холеры. Принципы современного лечения холеры
- Диагностика послеродовой болезни Иценко




