Диагностика отдаленного кровоизлияния в мозжечок по КТ, МРТ
Добавил пользователь Дмитрий К. Обновлено: 22.11.2025
Мозжечок важный орган головного мозга, отвечающий, в первую очередь, за координацию. Патологии мозжечка могут быть разделены на несколько групп:
- Врожденные нарушения развития- агенезия, мальформации задней черепной ямки (Синдром Денди-Уокера, мальформации Арнольда-Киари и Жубера);
- Ишемические нарушения - инсульт, дисциркуляторная энцефалопатия в вертебробазилярном бассейне;
- Кровоизлияния в мозжечок
- Сосудистые мальформации - венозные ангиомы, кавернозные ангиомы
- Инфекционные заболевания - абсцесс мозжечка, гранулематозное воспаление
- Демиелинизации с вовлечением мозжечка
- Опухоли мозжечка (полушарий или червя) - метастазы, гемангиобластома, астроцитома, эпендимома, медуллобластома
МРТ СПб позволяет выбирать место выполнения МРТ, мы рекомендуем Вам обследоваться у нас, так как
МРТ в СПб при подозрении на мозжечковую патологию проводится нами с акцентом на заднюю черепную ямку.
Полная агенезия мозжечка встречается исключительно редко и видна при МРТ головного мозга как его отсутствие. Значительно чаще встречается гипоплазия, когда остаются ножки и часть червя.
Ишемический инсульт мозжечка связан с закупоркой одной из трех артерий его кровоснабжающих: верхней мозжечковой, передней нижней и задней нижней мозжечковых артерий. Инфаркты мозжечка составляют около 2% от всех случаев ОНМК.
МРТ головного мозга. Т2-зависимая аксиальная МРТ. Инфаркт в бассейне верхней мозжечковой артерии.
Кровоизлияние в мозжечок является следствием гипертонии и составляет около 10% всех случаев кровоизлияний в мозг. Обширное кровоизлияние может вызвать обструкцию 4 желудочка и гидроцефалию. Ранняя диагностика обычно осуществляется с помощью КТ. При МРТ головного мозга уже на вторые - третьи сутки кровь становится гипоинтенсивной на Т2-зависимых МРТ за счет превращения оксигемоглобина в дезоксигемоглобин. Эритроциты остаются неразрушенными. Дезоксигемоглобин на Т1-зависимых МРТ изоинтенсивен белому веществу. Процесс изменения гемоглобина идет снаружи внутрь, поэтому внутримозговое кровоизлияние имеет кольцевую структуру. На Т2-зависимых МРТ снаружи идет широкая зона гиперинтенсивного отека, в центре - резко гипоинтенсивное кольцо внутриэритроцитарного дезоксигемоглобина. Уже на 5-6 сутки дезоксигемоглобин превращается в метгемоглобин, который гиперинтенсивен на МРТ обоих типов зависимости.
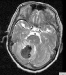
КТ головного мозга. Кровоизлияние в мозжечок.
Венозная ангиома типично выглядит на МРТ: небольшие радиально сходящиеся к единому стволу вены, напоминающие “голову медузы”. Структура мозга не изменена. Отёка и масс-эффекта нет. От венозного варикоза ангиому отличает наличие системы вен, а не единственная расширенная вена. В дополнение к МРТ головного мозга может быть выполнена МР венография, которая полезна в плане расширения представления о путях дренажа.
МРТ признаки гемангиомы очень типичны. За счет повторных диапедезных кровоизлияний она имеет метгемоглобиновое яркое ядро и темное гемосидериновое кольцо вокруг.
МРТ головного мозга. Т1-зависимая МРТ с контрастированием. Венозная ангиома.
Бактериальные воспаления, приводящие к абсцессам, обычно возникают в полушариях. В мозжечке они наблюдаются очень редко.
МРТ головного мозга. Т1-зависимая МРТ с контрастированием. Абсцесс мозжечка.
Участки демиелинизации гиперинтенсивны на Т2-зависимых МРТ головного мозга типа SE и FLAIR, Размер очагов, оценивыемый по МРТ, чаще 1-5мм, но иногда они достигают 10 мм за счет слияния и перифокального отека. Форма очагов округлая или овальная. “Свежие” очаги могут иметь неровный нечеткий контур и при МРТ с контрастированием часто накапливают его по периферическому типу. В мозжечке бляшки локализуются относительно редко.
Из всех видов опухолевого поражения метастазы в мозжечок встречаются чаще других. Примерно половина метастазов единичные, трудно отличимые от первичных опухолей. МРТ признаки метастазов в заднюю черепную ямку те же, что и в полушария мозга. Несколько чаще встречаются метастазы, не сопровождающиеся отеком, и кистозные метастазы.
МРТ головного мозга. Аксиальная Т1-зависимая МРТ с контрастированием. Метастазы аденокарциномы почки в правую гемисферу мозжечка.
Гемангиобластома представляет собой доброкачественную сосудистую опухоль. В целом ее частота составляет 1-2% от внутричерепных новообразований и 7-12% от опухолей задней черепной ямки у взрослых. Встречается чаще у мужчин в возрасте 30-50 лет. Мозжечек - типичная локализация гемангиобластомы, причем обычно она расположена по его периферии. Множественные гемангиобластомы при спорадических случаях наблюдаются в 5%, при болезни Гиппель -Линдау в 30-60%. Клинические проявления отмечаются при больших размерах опухоли и состоят из головных болей, рвоты, атаксии и полицитэмии в связи с тем, что опухоль вырабатывает эритропоэтин. При МРТ головного мозга на Т1-зависимых МРТ узел немного гипоинтенсивен, на Т2-зависимых МРТ гиперинтенсивен. Участки отсутствия сигнала соответствуют расширенным сосудам в опухоли и вокруг нее. Еще лучше сосуды видны при МР ангиографии. Опухолевый узел окружен кистой. Редко встречаются гемангиобластомы не окруженные кистой, а также содержащие кисту внутри узла. При МРТ сигнал от кисты зависит от содержимого, которое может быть с примесью белка и крови. Солидный компонент (узел) при МРТ с введением контраста хорошо контрастируется.
МРТ головного мозга. Корональная Т1-взвешенная МРТ с контрастированием. Кистозная гемангиобоастома.
МРТ головного мозга. Аксиальная Т2-зависимая МРТ типа FLAIR. Гемангиобластома мозжечка.
Инфратенториальная астроцитома мозжечка обычно доброкачественная (градация I) пилоцитарного подтипа. Пик частоты приходится на возраст 5-9 лет. Диффузный фибриллярный подтип встречается заметно реже, обычно у подростков. Он отличается инфильтративным ростом и неблагоприятным прогнозом. Первичным источником астроцитомы является червь мозжечка. Опухоль располагается по средней линии, но может и прорастать в полушарие мозжечка. Лишь 10% опухолей при МРТ видны как чисто солидные, остальные имеют кистозный некротический центр или почти целиком состоят из кисты с опухолевой тканью внутри ее стенки. При МРТ головного мозга опухоль гипоинтенсивна на Т1-зависимых и гиперинтенсивна на Т2-зависимых МРТ.
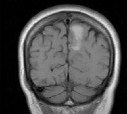
МРТ головного мозга. Корональная Т1-взвешенная томограмма с контрастированием. Пилоцитарная астроцитома.
У детей в мозжечке располагаются медуллобластомы, которые относятся к эмбриональным очень злокачественным опухолям. Она быстро растет по средней линии вдоль червя мозжечка обтурируя IV желудочек и вызывая окклюзионную гидроцефалию. Спускаясь вниз, опухоль может проходить через большое затылочное отверстие в большую цистерну. Медуллобластома метастазирует по ликворным путям и в 5% случаев гематогенно в лимфоузлы, кости и печень.
При МРТ головного мозга обычно выявляется однородное образование по средней линии в нижних отделах мозжечка, гипоинтенсивное на Т1-зависимых МРТ. На Т2-зависимых МРТ она, как правило, гиперинтенсивна, хотя встречаются исключения. Внутренняя структура опухоли обычно однородная, Кальцификаты, зоны некроза и кисты наблюдаются в 10-15% случаев. Контрастирование при МРТ хорошее, однородное. Гидроцефалия имеется почти у всех больных. Часто встречаются лептоменингеальные метастазы, определяемые при МРТ позвоночника.
МРТ головного мозга. Аксиальная Т2-зависимая МРТ и сагиттальная Т1-зависимая МРТ с контрастированием. Медуллобластома (стрелки) с компрессией IV желудочка.
Эпендимома встречается в области IV желудочка. Она имеет солидный и кистозный компоненты. Их внутренняя структура часто неоднородная за счёт кальцинатов, кист, гемоглобина и гемосидерина, а также внутриопухолевых сосудов. Эпендимомы часто распространяются через отверстия Лушка и Маженди. При МРТ головного мозга эпендимома почти неотличима от медуллобластомы или астроцитомы. Обычно она негомогенна за счет микрокровоизлияний, кальцификации, мелких кист и сосудов. Кистозный компонент обнаруживается при МРТ в 20% случаев. В ряде случаев МРТ диагностике помогает симптом “растаявшего воска”: опухоль как бы стекает вдоль краев IV желудочка, охватывая ствол и не вызывая заметного масс-эффекта. В 90% случаев опухоль хорошо контрастируется.
МРТ головного мозга. Аксиальная Т2-зависимая МРТ. Анапластическая эпендимома.
Мозжечковый инсульт причины, симптомы, методы лечения и профилактики
Мозжечковый инсульт - одна из редко диагностируемых, но опасных разновидностей ишемического инсульта. Она встречается в 5-8% случаев и может иметь крайне тяжелые осложнения, вплоть до полного паралича. Мозжечок отвечает за координацию движений, сохранение баланса тела и функционирование зрительного нерва. Инсульт мозжечка вызывает нарушения одной или нескольких функций. Механизм его развития схож с другими видами внутримозговых инсультов. Мозжечковый инсульт может проявиться в виде некроза тканей или разрыва кровеносного сосуда. Выявляют его у людей старше 40 лет, преимущественно у мужчин. Согласно медицинской статистике, среди пострадавших отмечается высокая смертность. Благоприятный исход возможен в том случае, если больному была оказана своевременная помощь.

Разновидности
В зависимости от факторов, вызвавших патологию, различают 2 вида инсульта: ишемический и геморрагический. Первый диагностируется в 75% случаев. Его причиной врачи называют снижение или полное прекращение притока к тканям крови. Ишемический инсульт может возникнуть на фоне резкого повышения артериального давления, тромбообразования и атеросклероза.
Геморрагический вид инсульта проявляется при разрыве кровеносного сосуда вследствие повышения его проницаемости. Такая патология считается более опасной и приводит к смерти.
Статью проверил
Дата публикации: 24 Марта 2021 года
Дата проверки: 24 Марта 2021 года
Дата обновления: 24 Октября 2022 года
Содержание статьи
Причины
К причинам возникновения инсульта мозжечка врачи относят:
- закупорка тромбом или эмболом кровеносного сосуда;
- повреждение стенки сосуда, приводящее к кровоизлиянию и гематоме;
- расслоение позвоночной артерии.
Нарушение мозгового кровообращения по причине тромбоза встречается у пациентов, страдающих атеросклерозом и различными заболеваниями крови. В зону риска попадают лица, недавно перенесшие инфаркт миокарда. Сгустки крови могут попасть по кровотоку из сердца в мозговые артерии.
Кровоизлияния в мозжечок несет серьезную опасной и считается наиболее распространенной причиной смерти пациента. Кровь, питающая ткани головного мозга, увеличивают размеры гематомы. На паренхиму мозжечка оказывается сильное давление, что приводит к сдавлению и смещению тканей ствола мозга. Это может привести к внезапной смерти пациента.
Факторами риска, ведущими к мозжечковому инсульту, могут стать сахарный диабет, повышенное артериальное давление, сидячий образ жизни, генетическая предрасположенность, частый прием алкоголя, злоупотребление курением и наркотиками, средний возраст, врожденная патология кровеносных сосудов и нарушение метаболизма.
Симптомы мозжечкового инсульта
Патология бывает 2 видов: обширной и изолированной в определенном участке.
Обширный инсульт сопровождается следующими симптомами:
- острая головная боль;
- тошнота и рвота;
- нарушение речи;
- потеря равновесия;
- нарушение работы сердца;
- дрожание головы, туловища, конечностей;
- сбой в работе дыхательной системы;
- потеря сознания;
- паралич мускулатуры.
При обширном инсульте пациент не может контролировать работу языка, у него нарушается глотательная функция.
Изолированный инсульт характеризуется такими симптомами:
- острый болевой синдром в затылке;
- нарушения вестибулярного аппарата, мелкой моторики рук и походки;
- сильное головокружение;
- нарушение координации движений;
- тошнота;
- нарушение слуха и речи.
Если пораженные зоны охватывают более трети мозжечка, то такой инсульт провоцирует острую гидроцефалию, поскольку поврежденные ткани сильно отекают. При таком диагнозе необходимо оперативное вмешательство.
Диагностика
Для выявления мозжечкового инсульта врачу необходимо проверить состояние сосудов. С этой целью он проводит ангиографию сосудов центрального отдела нервной системы и МРТ. Оценить состояние головного мозга можно с помощью компьютерной томографии. Для проверки функционирования сердца показана электрокардиограмма. Если у врача остаются сомнения по поводу правильности диагноза, он дополнительно назначает общий анализ крови развернутого типа, ультразвуковую допплерографию и физиологические тесты.
МРТ (магнитно-резонансная томография)
УЗИ (ультразвуковое исследование)
Дуплексное сканирование
Компьютерная топография позвоночника Diers
Чек-ап (комплексное обследование организма)
КТ (компьютерная томография)
Лечение
При подозрении на инсульт мозжечка следует уложить больного на ровную поверхность, увеличить приток кислорода в помещении и дать воды, избавить от тесной одежды. Для устранения головной боли ему следует принять анальгетик или препарат от повышенного давления.
Курс лечения при инсульте мозжечка направлен на обеспечение доставки кислорода к мозговым тканям, предотвращение судорожного синдрома, коррекцию показателей кровяного давления, поддержание температуры тела в пределах нормы, нормализацию энергетического и водно-электролитного баланса.
Для устранения неприятных симптомов врач назначает такие медикаменты:
- Тромболитики. Способствуют растворению тромбов в кровеносных сосудах;
- Диуретики. Снимают отек головного мозга.
- Нейропротекторы. Предназначены для снижения чувствительности нейронов к гипоксии. Использование этих препаратов предотвращает дальнейшую гибель нервных клеток и со временем восстанавливает работу поврежденных участков.
При мозжечковом инсульте нередко проводят искусственную вентиляцию легких для поддержания дыхания. Гипертоникам показана гипотензивная терапия. При пониженном кровяном давлении требуется инфузионная терапия. Нормализовать температуру тела и устранить ломоту помогут жаропонижающие препараты и анальгетики. Кроме медикаментов, пациенту обеспечивают соответствующий уход, включая диетическое питание и профилактику пролежней.
Параллельно с приемом лекарственных средств назначается хирургическое вмешательство. В ходе операции врач удаляет тромб или гематому, перераспределяет кровоток для снабжения поврежденных участков нервной ткани и останавливает кровотечение при отсутствии результата медикаментозного лечения. Оперативное вмешательство проводят открытым способом или с применением эндоскопа.
В реабилитационный период пациенту помогают вернуть контроль над двигательной активностью, нормализовать речь, восстановить утраченные навыки самообслуживания, предотвратить осложнения и улучшить мышечный тонус после паралича. Ему показано ежегодное санаторно-курортное лечение, рефлексотерапия, массаж, лечебная физкультура, электростимуляция, кинезитерапия.
Последствия и осложнения
Инсульт мозжечка имеет неблагоприятный прогноз для больного и в 35% случаев приводит к летальному исходу.
К осложнениям патологии относятся:
- Нарушение речи. У многих пациентов остается скандированная речь;
- Парезы и параличи. Не всегда двигательная активность в поврежденных конечностях полностью восстанавливается;
- Инвалидизация. По статистике, только 20% людей, перенесшие мозжечковый инсульт, спустя полгода от начала недуга могут самостоятельно себя обслуживать.
Такие серьезные последствия вызывают отчаяние и депрессию у больного. Но не стоит опускать руки. Если правильно выполнять реабилитационные мероприятия, то они помогут частично или полностью восстановить важные навыки.
Профилактика
Для предотвращения развития инсульта мозжечка следует учитывать основные провоцирующие его факторы. Необходимо обращаться к врачу при появлении первых симптомов артериальной гипертензии и других болезней сердца. Также следует своевременно лечить нарушения обмен веществ.
Избежать мозжечкового инсульта помогут следующие рекомендации:
- правильно питаться;
- отказаться от алкоголя, курения и частого приема кофе;
- контролировать уровень артериального давления;
- не пренебрегать приемом гипотензивных препаратов в случае их назначения;
- чаще гулять пешком;
- увеличить уровень физической активности;
- использовать антитромботические препараты;
- контролировать уровень холестерина;
- раз в 6 месяцев проходить полное медицинское обследование;
- мониторинг показателей крови.
Источники
Текст научной статьи по специальности «Медицина и здравоохранение» на тему: «Вестибулярное головокружение и атаксия в неотложной неврологии» А. М. Долгов, Н. В. Аптикеева, 2013.
Текст научной статьи по специальности «Неврология» на тему: «Клинико-неврологическое и МР-томографическое исследования инсультов мозжечка» Э.И. Богданов, Г. Р. Хузина, 2008.
Текст научной статьи по специальности «Неврология» на тему: «Головокружение при инсульте» М. В. Замерград, 2015.
Мозжечковый инсульт ( Церебеллярный инсульт )
Мозжечковый инсульт — это острое нарушение мозгового кровообращения, возникающее при закупорке или повреждении артерий церебеллума. Нейропатология зачастую развивается у страдающих гипертонией, атеросклерозом, сосудистыми аномалиями. Основные симптомы: вестибулярные нарушения, сильные головные боли, угнетение сознания. В диагностических целях назначают неврологический осмотр, нейровизуализацию (КТ или МРТ), лабораторные анализы. Для помощи больным с церебеллярным инсультом проводится неспецифическая терапия, поддерживающая витальные функции, и дифференцированное лечение с учетом типа заболевания (тромболитики, гемостатики, хирургическое вмешательство).
МКБ-10
Общие сведения
Инсульт мозжечка имеет сходную этиологическую структуру с ОНМК других отделов мозга. Непосредственная причина влияет на клинику патологии: ишемическая форма связана с тромбозом, эмболией, стенозом или компрессией сосудов, геморрагическая — с нетравматическим разрывом артерий или диапедезным кровоизлиянием. Существует множество факторов риска развития болезни, основными из которых являются:
- Сердечно-сосудистые заболевания. Атеросклеротические бляшки артерий головы и шеи являются основным провоцирующим фактором ишемических поражений. Кровоизлияния в мозжечок чаще возникают на фоне артериальной гипертензии, аневризмы церебрального сосуда, артериовенозной мальформации головного мозга.
- Сопутствующие болезни. Многие виды системных патологий инфекционно-аллергической природы сопровождаются васкулитами, при которых повышается риск тромбоза и нарушения кровообращения в мозговых сосудах. Также вероятность мозжечкового инсульта возрастает при геморрагическом диатезе, опухолях системы крови.
- Злоупотребление лекарствами и психоактивными веществами. Спонтанные мозжечковые геморрагии возможны вследствие гипокоагуляции крови при длительном бесконтрольном приеме антикоагулянтов, фибринолитиков. В группе риска находятся наркозависимые, употребляющие кокаин, психостимуляторы амфетаминового ряда.
- Неправильный образ жизни. К модифицируемым факторам риска относят низкий уровень физической активности, избыточную массу тела, острые стрессовые ситуации или постоянное психоэмоциональное перенапряжение. Значительно повышается вероятность ОНМК при злоупотреблении курением, алкоголем.
Патогенез
В основе ишемической формы болезни лежит нарушение кровоснабжения ограниченного участка мозжечковой ткани, вследствие чего погибает часть нейронов в центре очага и страдают клетки по периферии. Кровоизлияние в мозжечковые ткани происходит вследствие разрыва сосуда либо при диапедезе — патологическом повышении проницаемости артерий, что способствует выходу форменных элементов в нервную ткань.
Традиционно мозжечок рассматривается как центр координации движений, из-за чего при его поражении изменяется мышечный тонус, наблюдается неслаженность работы мышц-антагонистов. Характер симптомокомплекса определяется точной зоной повреждения.
Также мозжечок имеет многочисленные связи с корой больших полушарий. Поэтому при остром нарушении церебеллярного кровообращения часты когнитивные расстройства (нарушение речи, мышления, психический функций).
Классификация
Церебеллярные инсульты подразделяются на две больших категории — ишемические (инфаркты мозжечка) и геморрагические (кровоизлияния), что имеет первостепенную важность при определении прогноза, тактики лечения. Также в современной неврологии используется топографическая классификация мозжечковых поражений, согласно которой выделяется 3 формы заболевания:
- Территориальная. Патологический очаг захватывает бассейн верхней мозжечковой артерии (ВМА) с медиальными ответвлениями, передней нижней (ПНМА) или задней нижней мозжечковой артерии (ЗНМА) с ее латеральными и медиальными ветвями.
- Пограничная (соединительная). Пораженная нервная ткань располагается на границе между двумя основными артериальными мозжечковыми бассейнами.
- Множественная. Изолированные инсульты, которые захватывают минимум 2 артериальных бассейна, при этом между ними прослеживаются участки неизмененной паренхимы.
Симптомы
Клинические признаки мозжечковых инсультов определяются их локализацией. При расположении очага в бассейне ЗНМА преобладают симптомы поражения вестибулярного аппарата. У пациентов возникают приступы головокружения, неустойчивая шаткая походка, нарушается координация движений. Также беспокоят сильная головная боль в затылочной области, тошнота и рвота, заметны непроизвольные подергивания глазных яблок (нистагм).
В случае изолированного повреждения мозжечковой ткани, кровоснабжаемой ВМА, преобладают расстройства координации. У 73% больных наблюдается атаксия, у 70% — шаткость походки, у 60% — речевая дисфункция. Частота развития тошноты, головокружения, нистагма не превышает 40%. Нарушения в зоне кровоснабжения ПНМА обычно проявляются внезапной глухотой на стороне очага, которая дополняется вариабельными общемозговыми симптомами.
Осложнения
Обширные мозжечковые кровоизлияния могут вызвать быстро нарастающую стволовую симптоматику, обусловленную дислокацией мозга. Такие больные находятся в бессознательном состоянии, у них наблюдаются расстройства витальных функций. Также возможно появление неконтролируемой гипертермии, генерализованных судорожных припадков. Показатель летальности составляет 20-50%.
Наиболее опасным последствием мозжечкового инфаркта является выраженный отек зоны поражения, формирующийся на 2-3 сутки заболевания. Осложнение встречается у 5-15% пациентов, характеризуется нарушением ликвородинамики задней черепной ямки, острой окклюзионной гидроцефалией. При отсутствии своевременной помощи в 80% случаев состояние заканчивается смертью в результате фатального повреждения ствола мозга.
При инсульте, как правило, отмечаются внемозговые осложнения. Они включают инфекционные процессы: пневмонию, воспаление мочевыделительных путей, перитонит. В тяжелых случаях развивается сепсис, присоединяется полиорганная недостаточность. Вследствие длительной вынужденной иммобилизации могут возникать пролежни, мышечная атрофия, тромбоз глубоких вен.
Обследованием пациента занимается невролог. Первичная диагностика включает проверку уровня сознания и рефлексов, оценку состояния сердечно-сосудистой и дыхательной системы. При выявлении подозрительных признаков, указывающих на ОНМК, в сочетании с расстройствами координации, ставится предварительный диагноз мозжечкового инсульта. Расширенная диагностика состоит из следующих методов:
- МРТ головного мозга. Магнитно-резонансная томография — максимально информативный метод, который показывает очаговые поражения нервной ткани, помогает установить обширность и локализацию повреждений. Исследование дает достоверные результаты с первых дней заболевания.
- КТ головного мозга. Используется как альтернатива МРТ, чтобы определить расположение и объем гематомы в мозжечке при кровоизлиянии. При ишемических поражениях компьютерная томография менее информативна, достоверные признаки мозжечкового инфаркта проявляются спустя несколько дней.
- Лабораторные методы. При подозрении на церебеллярный инсульт проводится стандартный комплекс исследований, включающий клинический и биохимический анализы крови, оценку острофазовых показателей, коагулограмму. При необходимости исследуются миокардиальные маркеры, газовый состав крови.
Лечение мозжечковых инсультов
Консервативная терапия
Всем больным с мозжечковым инсультом показано проведение неспецифической терапии, включающей поддержание витальных функций, контроль артериального давления, коррекцию водно-электролитного баланса. При гипертермии эффективны нестероидные противовоспалительные средства, физические методы охлаждения. Дифференцированная терапия церебеллярных инсультов включает:
- Тромболитики. Специфические препараты (альтеплаза) наиболее эффективны при назначении в первые 3-6 часов от начала ишемического инсульта. Они растворяют тромбы, восстанавливают кровоток в пораженной зоне.
- Антиагреганты. Ацетилсалициловая кислота применяется спустя сутки после введения тромболитиков либо сразу же после установления диагноза ишемического инсульта при невозможности использовать альтеплазу.
- Антикоагулянты. При доказанном кардиоэмболическом генезе инсульта рекомендовано введение антикоагулянтов (нефракционированного гепарина, надропарина). Параллельно назначаются вазоактивные вещества (винпоцетин, ницерголин).
- Гемостатики. Препараты являются приоритетными в терапии геморрагического инсульта мозжечка. С этой целью могут применяться препараты кальция, этамзилат, синтетические аналоги витамина К.
Хирургическое лечение
При тромбозе мозжечковой артерии возможно применение эндоваскулярной тромбэктомии в течение первых 6-8 часов после развития инсульта для восстановления кровотока. При кровоизлияниях в ткани мозжечка рассматривается операция по удалению гематомы транскраниальным способом. При окклюзионной гидроцефалии необходимо дренирование желудочков для предупреждения дислокации мозгового ствола.
Реабилитация
После перенесенного инсульта зачастую сохраняются резидуальные неврологические симптомы, требующие адекватных восстановительных мероприятий. Реабилитация начинается с назначения ноотропов, нейрометаболических препаратов, адаптогенов. После стабилизации состояния пациента подбирается программа физиотерапии, лечебной физкультуры, по показаниям проводится речевая и когнитивная реабилитация.
Прогноз и профилактика
Прогноз при мозжечковом инсульте зависит от характера, локализации и объема повреждений. Несмотря на усовершенствование стандартов медицинской помощи, процент летальности остается высоким: около 15-20% при ишемическом поражении, 50-80% при геморрагическом. Профилактика включает комплексное лечение кардиологических болезней, нормализацию показателей липидного обмена, ведение здорового образа жизни.
2. Особенности метаболизма головного мозга при инсульте мозжечка: автореферат диссертации/ И.В. Переверзев. — 2011.
3. Клинико-неврологическое и МР-томографическое исследования инсультов мозжечка/ Г.Р. Хузина, Э.И. Богданов// Казанский медицинский журнал. — 2008. — №2.
4. Этиология, патогенез, клиническая диагностика, дифференциальная диагностика и лечение острых нарушений мозгового кровообращения/ И.А. Измайлов //«РМЖ». — 2003. — №10.
Мозжечковая атаксия
Мозжечковая атаксия — координаторное нарушение моторики, обусловленное патологией мозжечка. Ее основные проявления включают расстройство походки, несоразмерность и асинергию движений, дисдиадохокинез, изменение почерка по типу размашистой макрографии. Обычно мозжечковая атаксия сопровождается скандированной речью, интенционным дрожанием, постуральным тремором головы и туловища, мышечной гипотонией. Диагностика осуществляется с применением МРТ, КТ, МСКТ, МАГ головного мозга, допплерографии, анализа цереброспинальной жидкости; при необходимости — генетических исследований. Лечение и прогноз зависят от причинного заболевания, вызвавшего развитие мозжечковой симптоматики.
Мозжечковая атаксия представляет собой симптомокомплекс, включающий специфические нарушения статической и динамической моторики человека и являющийся патогномоничным для любых заболеваний мозжечка. Однотипные расстройства координации движений возникают как при врожденных дефектах мозжечка, так и при самых различных патологических процессах в мозжечке: опухолях, рассеянном склерозе, инсультах, воспалительных и дегенеративных изменениях, токсическом или метаболическом поражении, сдавлении извне и пр. Степень их выраженности значительно варьирует в зависимости от локализации и размеров пораженной области мозжечка.
О характере заболевания можно судить по сопутствующим атаксии симптомам, а также особенностям возникновения и течения патологических изменений. Последнее было положено в основу классификации, которую используют в своей практике многие специалисты в области неврологии. Согласно ей выделяется мозжечковая атаксия с острым началом, с подострым началом (от 7 дней до нескольких недель), хронически прогрессирующая (развивающаяся на протяжении нескольких месяцев или лет) и эпизодическая (пароксизмальная).
Причины мозжечковой атаксии
Наиболее частой причиной острой атаксии мозжечкового типа является ишемический инсульт, обусловленный эмболией или атеросклеротической окклюзией церебральных артерий, питающих в т. ч. и ткани мозжечка. Возможен также геморрагический инсульт, травматическое повреждение мозжечка в результате ЧМТ или его сдавление образовавшейся внутримозговой гематомой. Острая мозжечковая атаксия может развиваться при рассеянном склерозе, синдроме Гийена, постинфекционных церебеллитах и энцефалитах, обструктивной гидроцефалии, различных острых интоксикациях и метаболических нарушениях.
Подострая мозжечковая атаксия чаще всего возникает как симптом внутримозговой опухоли (астроцитомы, гемангиобластомы, медуллобластомы, эпендимомы), располагающейся в области мозжечка, или менингиомы мосто-мозжечкового угла. Ее причиной может быть нормотензивная гидроцефалия вследствие субарахноидального кровоизлияния, перенесенного менингита или операции на головном мозге. Мозжечковая атаксия с подострым началом возможна при передозировке антиконвульсантов, витаминной недостаточности, эндокринных расстройствах (гиперпаратиреозе, гипотиреозе). Она также может выступать в качестве паранеопластического синдрома при злокачественных опухолевых процессах внецеребральной локализации (например, раке легких, раке яичников, неходжкинских лимфомах и пр.).
Хронически прогрессирующая мозжечковая атаксия зачастую является следствием алкоголизма и др. хронических интоксикаций (в т. ч. токсикомании и полинаркомании), медленно растущих опухолей мозжечка, генетически обусловленных церебральных дегенеративных и атрофических процессов с поражением тканей мозжечка или его проводящих путей, тяжелой формы аномалии Киари. Среди генетически детерминированных прогрессирующих атаксий мозжечкового типа наиболее известны атаксия Фридрейха, нефридрейховская спиноцеребеллярная атаксия, атаксия Пьера-Мари, атрофия мозжечка Холмса, оливопонтоцеребеллярная дегенерация (ОПЦД).
Мозжечковая атаксия с пароксизмальным течением может быть наследственной и приобретенной. Среди причин последней указывают ТИА, рассеянный склероз, интермиттирующую обструкцию ликворных путей, преходящую компрессию в области затылочного отверстия.
Симптомы мозжечковой атаксии
Атаксия мозжечкового типа проявляется размашистыми неуверенными асинергичными движениями и характерной шаткой походкой, во время которой пациент для большей устойчивости широко расставляет ноги. При попытке пройти по одной линии наблюдается значительное раскачивание в стороны. Атаксические расстройства нарастают при резком изменении направления движения или быстром начале ходьбы после вставания со стула. Размашистые движения являются следствием нарушения их соразмерности (дисметрии). Возможна как непроизвольная остановка двигательного акта ранее, чем достигнута его цель (гипометрия), так и чрезмерная амплитуда движений (гиперметрия). Наблюдается дисдиадохокинез — неспособность пациента быстро выполнить противоположные двигательные акты (например, супинацию и пронацию). Вследствие нарушений координации и дисметрии происходит патогномоничное для атаксии мозжечкового типа изменение почерка: макрография, неравномерность и размашистость.
Статическая атаксия наиболее наглядна при попытке пациента стать в позу Ромберга. Для патологии полушария мозжечка типично отклонение, и даже падение, в сторону поражения, при изменениях в его срединных структурах (черве) падение возможно в любую сторону или назад. Проведение пальце-носовой пробы выявляет не только промахивание, но и сопутствующий атаксии интенционный тремор — дрожание кончика пальца, усиливающееся при его приближении к носу. Тестирование пациента в позе Ромберга с открытыми и закрытыми глазами, показывает, что зрительный контроль не особо влияет на результаты проведения проб. Эта особенность мозжечковой атаксии помогает отдифференцировать ее от сенситивной и вестибулярной атаксий, при которых отсутствие зрительного контроля приводит к значительному усугублению нарушении координации.
Как правило, мозжечковая атаксия сопровождается нистагмом и дизартрией. Речь имеет специфический «мозжечковый» характер: она теряет свою плавность, замедляется и становится прерывистой, ударения идут на каждый слог, отчего речь напоминает скандирование. Зачастую атаксия мозжечкового типа наблюдается на фоне мышечной гипотонии и снижения глубоких рефлексов. При вызывании сухожильных рефлексов возможны маятникообразные движения конечности. В некоторых случаях возникает титубация — низкочастотный постуральный тремор туловища и головы.
Поскольку патология мозжечка может иметь самую разнообразную этиологию, к ее диагностике привлекаются специалисты различных направлений: травматологи, нейрохирурги, онкологи, генетики, эндокринологи. Тщательное проведенное неврологом исследование неврологического статуса дает возможность определить не только мозжечковый характер атаксии, но и примерную область поражения. Так, о патологии в полушарии мозжечка свидетельствует гемиатаксия, односторонний характер расстройств координации и снижения мышечного тонуса; о патологическом процессе в черве мозжечка — преобладание нарушений ходьбы и равновесия, их сочетание с мозжечковой дизартрией и нистагмом.
С целью исключения вестибулярных расстройств проводится исследование вестибулярного анализатора: стабилография, вестибулометрия, электронистагмография. При подозрении на инфекционное поражение головного мозга делают анализ крови на стерильность, проводят ПЦР-исследования. Люмбальная пункция с исследованием полученной цереброспинальной жидкости позволяет выявить признаки кровоизлияния, внутричерепной гипертензии, воспалительных или опухолевых процессов.
Основными способами диагностики заболеваний, лежащих в основе патологии мозжечка, выступают методы нейровизуализации: КТ, МСКТ и МРТ головного мозга. Они позволяют обнаружить опухоли мозжечка, посттравматические гематомы, врожденные аномалии и дегенеративные изменения мозжечка, его пролабирование в большое затылочное отверстие и сдавление при смещении соседних анатомических образований. В диагностике атаксии сосудистой природы применяется МРА и допплерография сосудов головного мозга.
Наследственная мозжечковая атаксия устанавливается по результатам ДНК-диагностики и генетического анализа. Также может быть просчитан риск рождения ребенка с патологией в семье, где отмечались случаи данного заболевания.
Лечение мозжечковой атаксии
Основополагающим является лечение причинного заболевания. Если мозжечковая атаксия имеет инфекционно-воспалительный генез, необходимо назначение антибактериальной или противовирусной терапии. Если причина кроется в сосудистых нарушениях, то проводятся мероприятия, направленные на нормализацию кровообращения или остановку церебрального кровотечения. С этой целью в соответствии с показаниями применяют ангиопротекторы, тромболитики, антиагреганты, сосудорасширяющие, антикоагулянты. При атаксии токсического происхождения производится дезинтоксикация: интенсивная инфузионная терапия в сочетании с назначением мочегонных средств; в тяжелых случаях — гемосорбция.
Атаксии наследственного характера пока не имеют радикального лечения. Осуществляется в основном метаболическая терапия: витамины В12, В6 и В1, АТФ, мельдоний, препараты гинко билоба, пирацетам и др. Для улучшения обмена веществ в скелетной мускулатуре, повышения ее тонуса и силы пациентам рекомендован массаж.
Опухоли мозжечка и задней черепной ямки зачастую требуют хирургического лечения. Удаление опухоли должно быть как можно более радикальным. При установлении злокачественного характера опухоли дополнительно назначают курс химио- или рентгенотерапевтического лечения. В отношении мозжечковых атаксий, обусловленных окклюзией ликворных путей и гидроцефалией, применяются шунтирующие операции.
Прогноз и профилактика
Прогноз всецело зависит от причины мозжечковой атаксии. Острые и подострые атаксии, обусловленные сосудистыми нарушениями, интоксикацией, воспалительными процессами, при своевременном устранении причинного фактора (окклюзии сосуда, токсического воздействия, инфекции) и адекватном лечении могут полностью регрессировать или частично сохраниться в виде остаточных явлений. Хронически прогрессирующие, наследственные атаксии характеризуются нарастающим усугублением симптоматики, приводящей к инвалидизации пациента. Самый неблагоприятный прогноз имеют атаксии, связанные с опухолевыми процессами.
Профилактический характер имеет предупреждение травматизма, развития сосудистых нарушений (атеросклероза, гипертонической болезни) и инфицирования; компенсация эндокринных и метаболических расстройств; генетическое консультирование при планировании беременности; своевременное лечение патологии ликворной системы, хронической ишемии головного мозга, синдрома Киари, процессов задней черепной ямки.
МРТ диагностика кровоизлияний в мозг

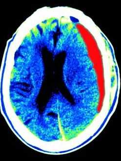
МРТ головного мозга. Т1-взвешенная аксиальная МРТ. Субдуральная гематома. Цветовая обработка изображения.
Все кровоизлияния в мозг могут быть разделены на следующие типы:
- интрапаренхимальное
- субарахноидальное
- субдуральное
- эпидуральное
- внутрижелудочковое
- внутриопухолевое
Интрапаренхимальные кровоизлияния являются следствием гипертонии и проявляются в виде кровоизлияний в вещество мозга (геморрагический инсульт) и гипертензивных синдромах. Геморрагический инсульт возникает вследствие разрыва изменённых (гиалиноз, микроаневризмы) сосудов при повышении артериального давления. Частота геморрагического инсульта составляет около 9 случаев на 100 тысяч населения. Это 10-18% от всех смертей. По отношению к всем острым нарушениям мозгового кровообращения (ОНМК) на геморрагический инсульт приходится 10-20%. Кроме того, еще наблюдаются вторичные диапидезные кровоизлияния при ишемическом типе ОНМК. Также кровоизлияния типичны для венозных инфарктов. Возраст пациентов обычно старше 45 лет. Локализация геморрагического инсульта может быть почти любой, но чаще это базальные ядра, таламус, мозжечок.
Диагностика состоит в выполнении КТ и МРТ головного мозга. Отображение крови на МРТ зависит от сроков.

МРТ головного мозга. Аксиальная Т2-взвешенная МРТ. Кровоизлияние в мозжечок.

МРТ головного мозга. Т1-взвешенная корональная МРТ. Смешанный ишемический инсульт. Ранняя подострая стадия.
Субарахноидальное кровоизлияние (САК) - это кровоизлияние между арахноидальной и мягкой мозговыми оболочками. Эпидемиология САК отличается в разных странах, в России около 6 на 100 тысяч населения. Самой частой причиной САК является травма, затем разрыв мешотчатой аневризмы (85% от нетравматических спонтанных кровоизлияний). На оставшиеся 15% нетравматических кровоизлияний приходятся доброкачественное перимезэнцефальное кровоизлияние неясной этиологии и разрыв вен. Смертность от САК очень высокая, и зависит от массивности и расположения кровоизлияния.
Клинические проявления состоят из:
- Неожиданно приступ тяжёлой головной боли
- Фотофобия, тошнота, рвота
При неврологическом осмотре выявляются менингеальные знаки - часто единственный признак САК. Ксантохромия СМЖ появляется через 12 и более часов после САК и может быть только методом позднего его подтверждения. Предлагаются разные подходы к лучевой диагностике САК. В первые сутки предпочтительна МРТ, так как кровь уже может быть видна на Т2-МРТ градиентного типа или FLAIR. В более поздние сроки, до 3-5 дня предпочтительнее КТ. Затем опять МРТ, которая чувствительнее КТ в подострую и хроническую фазы кровоизлияния.
Количество крови оценивается по шкале Фишера. Она делит кровоизлияние на 4 группы:
- Не визуализируется кровь
- Диффузное САК с толщиной до 1 мм, без сгустков
- Сгустки крови и (или) толщина САК больше 1 мм
- Внутримозговое или внутрижелудочковое кровоизлияние в сочетании с САК

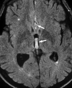
МРТ головного мозга. Аксиальная МРТ типа FLAIR. Аневризма и САК, внутрижелудочковое кровоизлияние.
Субарахноидальное кровоизлияние опасно вазоспазмом, который наблюдается на 5-7 сутки. Сам спазм хорошо определяется при дуплексном сканировании. При МРТ головного мозга можно выявить ранние признаки ишемического инсульта.

МРТ головного мозга. Диффузионно-взвешенная МРТ последовательность. ОНМК в острой стадии вследствие вазоспазма.
Субдуральная гематома обычно возникает вследствие разрыва вен. Причины субдуральной гематомы - травма, антикоагулянтная терапия, резкая декомпрессия при шунтировании желудочков по поводу гидроцефалии. Очень редко встречаются субдуральные гематомы при разрыве аневризм и АВМ. Клинические проявления связаны смасс-эффектом. Частота субдуральных гематом составляет около 1 случая на 10 тысяч населения. Располагаются субдуральные гематомы по конвекситальной поверхности, изредка, вдоль межполушарной щели и намёта, в области задней черепной ямки. Может быть сочетание субдуральной гематомы с кровоизлиянием в соседние участки мозга. прогноз в этих случаях неблагоприятный. Отображение гематомы на КТ и МРТ зависит от их давности. Субдуральные гематомы имеют форму серпа.

МРТ головного мозга. Аксиальная Т2-взвешенная МРТ. Подострая субдуральная гематома.
Эпидуральная гематома (экстрадуральная гематома) имеет травматическое происхождение. Это скопление крови внутренний костной пластинкой и твердой мозговой оболочкой. Обычно гематома расположена под областью перелома костей черепа. Причиной кровоизлияния является разрыв оболоченной артерии. Встречаются эпидуральные гематомы вдвое реже субдуральных. По форме гематома двояковыпуклая. Чаще всего диагностируется в неотложных условиях методом КТ. МРТ обычно применяется при спинальных эпидуральных гематомах.

КТ. Эпидуральная гематома.
Внутрижелудочковые кровоизлияния бывают первичные и вторичные. Первичные кровоизлияния наблюдаются при внутрижелудочковых опухолях, некоторых аневризмах (задней нижней мозжечковой со скоплением крови в 4 желудочке) и субэпендимальных кавернозных ангиомах. Вторичные кровоизлияния возникают как следствие прорыва крови в желудочки при интрапаренхимальных кровоизлияниях и САК.

МРТ головного мозга. Аксиальная Т2-взвешенная МРТ типа FLAIR. Внутрижелудочковое кровоизлияние.
Внутриопухолевые кровоизлияния встречаются редко. обычно они не обширные, как, например, при апоплексиях аденом гипофиза. Апоплексия - это острое нарушение кровоснабжения гипофиза с некрозом или кровоизлиянием. Частота около 10% случаев макроаденом. Клинически апоплексия появляется головными болями, рвотой и зрительными нарушениями. Изредка обширные кровоизлияния наблюдаются в метастазах.

МРТ головного мозга. Корональная Т1-взвешенная МРТ. Апоплексия макроаденомы гипофиза с кровоизлиянием.
Внутримозговое кровоизлияние любого типа относится к экстренным состояниям и МРТ в СПб выполняется, как правило в приемном покое больницы, либо делают срочно КТ. В подострую стадию возможности МРТ СПб позволяют выполнять исследование стационарных условиях и в хронической на открытом МРТ.
Читайте также:
- Анаэробные грамположительные палочки. Анаэробы. Анаэробные бактерии. Общие признаки анаэробных грамположительных бактерий. Спорообразующие бактерии. Спорообразующие анаэробы.
- Терапия аортальной недостаточности. Пример недостаточности клапана аорты
- Симптомы серозного среднего отита (закупорки слуховой трубы) и его лечение
- Как сделать блокаду нерва пальца
- Норма билирубина в крови. Что значат отклонения?
