Диагностика супратенториальной эпендимомы по КТ, МРТ
Добавил пользователь Евгений Кузнецов Обновлено: 15.12.2025
Общая информация
С топографо-анатомической точки зрения эпендимомы конечной нити, несмотря на их нейроэктодермальное происхождение, относят к экстрамедуллярным интрадуральным опухолям спинного мозга[1,4,12]. Миксопапиллярная эпендимома является наиболее распространенным гистологическим вариантом опухоли. Особенностью этого вида опухолей является их расположение между корешками конского хвоста спинного мозга[2,3]. Зачастую клиническая картина эпендимом терминальной нити напоминает проявления дегенеративных заболеваний позвоночника, и пациент в течение нескольких лет лечится консервативными методами. Такое лечение только усугубляет состояние пациента и способствует вероятному росту новообразования. Проблема несвоевременного установления правильного диагноза опухоли конского хвоста, как и других экстрамедуллярных опухолей, остаётся актуальной по настоящее время[1]. Диагностирование опухоли на поздних стадиях может привести к неудовлетворительному результату лечения [14,15]. С использованием современной микрохирургической техники значительную часть экстрамедуллярных опухолей удается удалить радикально и большинство нейрохирургов не относят проведение операции по удалению этих опухолей к числу сложных вмешательств. Несмотря на это, постоянно наблюдается рост числа обращений пациентов с рецидивами или продолженным ростом экстрамедуллярных опухолей, в особенности эта тенденция наблюдается среди пациентов с эпендимомами терминальной нити. Большинство этих пациентов имеют неудовлетворительный результат в виде нарастания неврологических нарушений после операции. Особую роль среди нарушений играют функции тазовых органов[1,5,6]. Не всегда радикальное удаление опухоли является оптимальным вариантом, так как может привести к усугублению состояния пациента в послеоперационном периоде. В настоящее время существует необходимость оптимизации лечения пациентов с эпендимомами терминальной нити. Учитывая, что средний возраст пациентов с эпендимомами терминальной нити составляет 30-40 лет, совершенствование и подведение методов лечения к стандарту, может позволить реабилитировать трудоспособного пациента в кратчайшие сроки[7]. Так как эпендимомы терминальной нити являются редкой патологией, научно обоснованных доказательств эффективности тех или иных методов диагностики и лечения уровня «А» и «В» не существует. Вся информация по эпендимомам экстрамедуллярной локализации является либо анализом ретроспективных серий «С», либо мнением экспертов «D».
Диагностика
В диагностике эпендимом терминальной нити, как и любых других опухолей центральной нервной системы, важным является клиническое обследование пациента: сбор анамнеза, тщательный неврологический осмотр. Данные осмотра позволяют не только заподозрить опухоль конского хвоста, но и определить локализацию процесса.
Однако более полную информацию о локализации, характере роста, возможной гистологической принадлежности опухоли дают современные методы нейровизуализации, такие как компьютерная томография (КТ) и магнитно-резонансная томография (МРТ)[2,8]. Эти методы являются стандартным этапом диагностики у больных с подозрением на объемное образование спинного мозга или позвоночного канала. На обычных КТ изоденсную ткань эпендимомы сложно отличить от спинного мозга или содержимого позвоночного канала.
Для эпендимом характерно гетерогенное накопление контрастного вещества, что незначительно улучшает визуализацию границ опухоли на КТ.
Медленный рост ЭП в ряде случаев приводит к появлению рентгенологически видимых костных изменений - симптому Эльсберга-Дайка, экскавации задней поверхности тел позвонков [13]. На МРТ эпендимомы визуализируются как объемные образования гетерогенной структуры с дольчатой поверхностью. Гетерогенность сигнала обусловлена наличием кист, петрификатов, участков новообразованных сосудов, кровоизлияний и некроза.
Солидная часть опухоли чаще всего выглядит изо- или гипоинтенсивной на Т1 взвешенных изображениях и гиперинтенсивной - на Т2. Как правило, кисты у ЭП терминальной нити встречаются крайне редко и имеют более интенсивный сигнал по отношению к ликвору на Т1-взвешенных изображениях. Безусловно, золотым стандартом в диагностике ЭП является внутривенное введение контрастного препарата, которое повышает дифференцировку тканей опухоли от окружающих нервных структур спинного мозга. При введении контрастного вещества отмечается умеренное неравномерное его накопление.11
Стандарт
МРТ пояснично-крестцового отдела позвоночника с введением контрастного препарата и без него, при необходимости расширение зоны исследований до грудного и шейного отделов позвоночника, а также головного мозга. Рекомендуемая напряженность магнитного поля аппарата от 1,5 до 3,0 Тесла.
Рекомендация
При деструкции опухолью костной ткани позвонков или крестца рекомендуется выполнить КТ. Последняя необходима для решения вопроса о целесообразности проведения стабилизации патологичных позвоночных сегментов.
Опция
Обзорная спондилография с функциональными пробами (прямая проекция в положении стоя прямо, с наклоном вперед и назад, боковая проекция в положении стоя) - позволяет наиболее полно получить общую характеристику костного строения пояснично-крестцового отдела позвоночника, выявить спондилолистез и гипермобильность (нестабильность) позвоночного сегмента, которая может не выявляться при МРТ, выполняемом в горизонтальном положении.
Не рекомендуется
Выполнять операцию только с целью взятия фрагментов опухоли для выполнения биопсии.
Лечение
Тактика первичного лечения
Пациенты с рентгенологически верифицированной экстрамедуллярной опухолью, локализующейся в области корешков конского хвоста, подразделяются на две группы по клиническим проявлениям. Пациенты первой группы, не имеющие проявлений заболевания (случайная находка при МРТ), проходят наблюдение и повторяют МРТ каждые 6 месяцев в течение 2-3 лет. В случае появления негативной симптоматики МРТ повторяется ранее 6 месяцев. Данного срока, как правило, достаточно для понимания динамики роста опухоли и определения тактики лечения пациента[1].
Пациентам второй группы с впервые выявленной экстрамедуллярной опухолью конского хвоста, в том числе с подозрением на эпендимому терминальной нити, рекомендуется хирургическое лечение - удаление опухоли. Цель операции - радикальное удаление отграниченных опухолей, покрытых капсулой, без включения в строму корешков конского хвоста или структур конуса спинного мозга. В случае с инфильтративно растущими опухолями следует придерживаться максимально щадящего удаления эпендимомы, тем самым исключая риск развития грубого неврологического дефицита у пациента в послеоперационном периоде. Проведение биопсии у данного вида опухолей является нецелесообразным.
Обеспечение операции
Стандарт
Обязательные условия - микроскоп и хирург, владеющий микронейрохирургической техникой.
Рекомендация
Желательные условия - возможность выполнения нейрофизиологического мониторинга в виде моторных вызванных потенциалов (МЕР), прямой стимуляции корешков конского хвоста, опыт хирурга в выполнении различных нейроонкологических вмешательств на спинном мозге и позвоночнике. Для выполнения интраоперационной разметки необходимы средства нейровизуализации, например, электронно-оптический преобразователь (ЭОП).
При выявлении у пациента патологического перелома или нестабильности позвоночника после удаления опухоли необходимо осуществить одномоментную стабилизацию пораженных сегментов. С целью восстановления задней опорной колонны позвоночного сегмента применяется транспедикулярная стабилизация. Введение винтов следует осуществлять под рентгенологическим контролем, соответственно в операционной должен находиться ЭОП.
Опция
В качестве опции при проведении стабилизирующего этапа при хирургическом лечении с целью повышения безопасности пациента следует рассматривать возможность использования специальных средств интраоперационной нейровизуализации и навигации.
Операция
Вид доступа
Стандарт
Ламинэктомия с медиальной фасетэктомией, гемиламинэктомия
Рекомендация
Ламинотомия у детей. Для осуществления доступа необходимо применять ретракторы для минимально-инвазивной хирургии позвоночника, что позволяет минимизировать доступ и уменьшить ятрогенную травматизацию тканей.
Опция
Применение метода ламинотомии у взрослых.
Микрохирургическая техника
Стандарт
Достаточное вскрытие твердой мозговой оболочки, необходимое для полной визуализации полюсов опухоли.
Удаление инкапсулированной эпендимомы должно осуществляться единым блоком, не прибегая к кускованию опухоли и не повреждая ее фиброзную капсулу.
Если источником роста эпендимомы является конус мозга и проксимальные отделы конечной нити, резекцию следует осуществлять по принципу удаления интрамедуллярных опухолей со срединной миелотомии спинного мозга.
Взятие материала, фрагментов опухоли для осуществления гистологического исследования.
Опция
Опцией является: применение высокоскоростного бора для выполнения доступа, средств микрохирургической дессекции, материалов для пластики ТМО. При неинкапсулированном росте опухоли для повышения радикальности удаления необходимо использовать ультразвуковой аспиратор.
Послеоперационное ведение
Рекомендации
Шаг 1. Первые сутки после операции
а) Режим: после операции пациент находится в палате пробуждения. После стабилизации гемодинамических показателей и витальных функций пациент переводится в отделение. Как правило, в течение первых суток пациент должен быть активизирован (уровень активизации зависит от состояния пациента);
б) Медикаментозная терапия
• Противоболевая терапия:
Кеторол 10-30 мг в/м 2 раза в день или при появлении боли;
Трамадол (Трамал) 50-100 мг в/м при выраженной боли в области операционной раны
• Антибактериальная терапия (согласно общему плану антибиотикопрофилактики):
Цефазолин 2,0 г в/м х 2 раза в сутки в течение 5-7 дней
• Терапия, направленная на профилактику постоперационного отека каудальных отделов спинного мозга и структур конского хвоста:
Метипред 1000 мг в/в медленно капельно на 400 мл 0,9%-ного р-ра NaCl в течение суток с последующим переходом на введение дексаметазона по схеме, описанной ниже;
Дексаметазона натрия фосфат (Дексазон) 4 мг х 3 раза в сутки в/м в течение 3 суток после операции; 4 мг х 2 раза в сутки в/м в течение 2 суток и 4 мг х 1 раз в сутки в/м до момента выписки пациента из стационара
• В зависимости от состояния пациента, его неврологического и соматического статуса возможно применение дополнительной терапии;
в) Перевязка операционной раны, люмбальная пункция, анализы ликвора (общий, биохимический);
г) Осмотр пациента специалистами: неврологом, урологом (коррекция медикаментозной терапии).
Шаг 2. Ведение пациента в период пребывания в стационаре в раннем послеоперационном периоде
а) Режим: согласно состоянию пациента, возможно проведение реабилитационных мероприятий с первых суток после операции;
б) Медикаментозная терапия (согласно описанию в первом шаге);
в) Перевязка операционной раны выполняется ежедневно;
г) Установка мочевого катетера при нарушении мочеиспускания, очистительные клизмы 1 раз в 3-4 дня при нарушении периодичности дефекации.
Шаг 3. День выписки из стационара (7-9 сутки). Рекомендации
а) Режим: пациент сохраняет ограничительный ортопедический режим до месяца после операции. При необходимости возможно применение специальных корсетов для грудо-поясничного и пояснично-крестцового отделов позвоночника.
б) Терапия:
НПВС, Эторикоксиб (Аркоксиа) - 60 мг х 1-3 раза в сутки per os или мелоксикам (Мовалис) 7,5 мг х 1-4 раза в сутки при болях.
Наблюдение за пациентом в отдаленном послеоперационном периоде
Стандарт
Тактика наблюдения за пациентами в отдаленный период после операции определяется интраоперационной картиной и результатами гистологического исследования.
При инкапсулированном типе роста эпендимомы, эпендимоме Grade II контрольные МРТ пояснично-крестцового отдела позвоночника с контрастным усилением следует проводить через 3, 12, 24 месяца после операции для определения радикальности удаления и определения рецидива опухоли. В дальнейшем пациенты могут быть сняты с наблюдения.
Пациентам с неинкапсулированной опухолью, миксопапиллярной эпендимомой Grade I контрольные МРТ всех отделов позвоночника и головного мозга через 3 месяца после операции, затем каждый год - МРТ пояснично-крестцового отдела позвоночника с контрастным усилением. При наличие признаков диссеминации опухоли - консультация нейроонколога.
Пациенты с эпендимомой Grade III должны быть направленны к нейроонкологам для прохождения возможной лучевой и химиотерапии.
Рекомендация
Пациент с нарушениями функции тазовых органов, помимо обязательного осмотра нейрохирурга и невролога, должен проходить обследования у уролога.
Лечение рецидивов
Рекомендация
При выявлении у пациента рецидива доброкачественной эпендимомы терминальной нити и при условии наличия клинических проявлений заболевания необходимо выполнить повторную операцию по удалению опухоли.
Во время операции по удалению рецидива опухоли выполнение пластики истонченной ТМО практически неизбежно. В раннем послеоперационном периоде необходимо установить люмбальный дренаж на 3-5 суток после операции.
При невозможности проведения радикального удаления опухоли следует выполнить пластику ТМО для создания свободного резервного пространства внутри оболочки для возможного дальнейшего роста опухоли и адекватного ликворотока.
При отсутствии прогрессирования неврологического дефицита пациент продолжает наблюдение у нейрохирурга и невролога пожизненно либо до момента появления симптомов заболевания.
Консультация радиолога, химиотерапевта.
Информация
Источники и литература
Информация
Основные понятия
Стандарт
Общепризнанные принципы диагностики и лечения, которые могут рассматриваться в качестве обязательной лечебной тактики (эффективность подтверждена несколькими рандомизированными исследованиями, метаанализами или когортными клиническими исследованиями).
Рекомендация
Лечебные и диагностические мероприятия, рекомендованные к использованию большинством экспертов по данным вопросам. Могут рассматриваться как варианты выбора лечения в конкретных клинических ситуациях (эффективность подтверждена отдельными рандомизированными исследованиями или когортными клиническими исследованиями).
Опция
Лечебные или диагностические мероприятия, которые могут быть полезны (эффективность подтверждена мнением отдельных экспертов, в отдельных клинических случаях).
Не рекомендуется
Лечебные и диагностические мероприятия, не имеющие положительного эффекта или могущие принести вред (любой уровень подтверждения).
Эпендимома
Эпендимома - опухоль головного мозга входящая в широкую группу глиальных опухолей, чаще возникающих из оболочки выстилающей желудочки головного мозга или центральный канал спинного мозга. Эпендимомы встречаются в ~5% случаев нейроэпителиальных опухолей, ~10% опухолей головного мозга у детей и до 33% опухолей головного мозга у детей младше 3х лет.
Эпендимомы могут возникнуть в любом месте, но чаще локализуются [11]:
- задняя черепная ямка: 60%
- супратенториальная эпендимома: 30%
- спинной мозг: 10%
Данная публикация посвящена эпендимомам головного мозга, эпендимомы спинного мозга будут рассматриваться отдельно (статья нуждается в переводе).
Эпидемиология
Гендерная предрасположенность отсутствует [3].
Клиническая картина
Клиническая картина может варьировать в зависимости от локализации. Начальными симптомами и признаками, как и при других опухолях IV желудочка, чаще всего являются проявления связанные с повышением внутричерепного давления. Другие симптомы включают атаксию [7], судороги или фокальный неврологический дефицит [2,5].
Сочетанная патология
нейрофиброматоз 2 типа
Классификация
Эпендимомы являются опухолями II степени по ВОЗ, причем более гистологически агрессивные опухоли относят к IIIй степени (анапластическая эпендимома), однако достоверность гистологических признаков и прогностическое значение противоречивы, и в последнее время в подразделении эпендимом используют молекулярные маркеры [11].
- WHO grade I
- субэпендимома
- миксопапиллярная. эпендимома
- эпендимома - 9391/3
- папиллярная эпендиомома
- светлоклеточная эпендиома
- удлиннённоклеточные эпендиома
- RELA fusion-positive
- анапластическая эпендимома
Диагностика
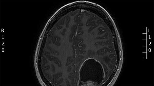
Большинство эпендимом головного мозга (60%) локализуются в задней черепной ямке (инфратенториально), возникая в области дна 4го желудочка, особенно у детей 5. В остальных случаях (40%) локализуясь супратенториально составляют вплоть до половины интрапаренхиматозных случаев [7].
Эпендимомы задней черепной ямки обладая пластичностью распространяются через отверстия Лушка и Мажанди. Данный признак может быть визуализировать при КТ и МРТ.
Эпендимома обычно представлена гетерогенным образованием с зонами некроза, кальцинатами, кистозной трансформацией и зачастую кровоизлияниями.
Интрапаренхиматозные поражения (как правило супратенториальные) обычно имеют более крупные размеры и вариабельность в проявлениях [7].- грубые кальцификаты (50%)
- кистозные зоны (50%)
- солидный компонент изо- и гиподенсивной плотности
- гетерогенное контрастное усиление
- кровоизлияния вариабельные
- T1
- солидный компонент эпендимомы обычно имеет изо- или гипоинтенсивный сигнал по отношению к белому веществу [7]
- гиперинтенсивный сигнал по отношению к белому веществу
- является более надежной последовательностью в дифференциально диагностике опухолевого поражения, чем бесконтрастные Т1 ВИ (но менее надежные чем Т1 с парамагнетиками)
- фокусы цветения за счет кровоизлияния или кальцификатов
- гетерогенное усиление
- полезно в разграничении опухоли от вазогенного отека и неизмененной паренхимы
- ограничение диффузии в солидном компоненте, особенно при анапластичпеском варианте
- интерпретация требует осторожности, поскольку может изменяться за счет кровоизлияний или кальцинатов
- повышение пика холина в соответствии с клеточностью опухоли
- снижение пика N-ацетиласпартата
- повышенное отношение холин/креатинин
- липиды и лактат повышаются при наличии дегенеративных изменений
Дифференциальный диагноз
- схожая эпидемиология, особенно в области 4го желудочка
- возникает в области червя
- контрастное усиление более гомогенное
- кальцинаты встречаются реже
- менее пластичные (не распространяются в отверстия)
- встречается в более старшем возрасте
- обычно не усиливается после введения контрастного вещества
- у детей чаще локализуется в области треугольников (задних рогов) боковых желудочков
- у взрослых локализуется в четвертом желудочке
- более яркое и гомогенное контрастное усиление
- слабо выраженный отек прилежащей паренхимы
- NB может быть гетерогенной и инвазировать головной мозг
- может иметь схожие проявления
- встречается в более старшем возрасте
- затруднено дифференцирование с интрапаренхиматозной супратенториально эпендимомой
- встречается в более старшем возрасте
- локализуется парааксиально в белом веществе
- возникает в/прилегая к прозрачной перегородке
- менее яркое контрастное усиление
- Миксопапиллярная эпендимома является наиболее доброкачественной, локализуется, главным образом, в спинном мозге в области конского хвоста. Встречается в основном у взрослых.
- Субэпендимома отличается медленным доброкачественным ростом, зачастую бессимптомным течением и относительно редким рецидивированием.
- Классическая эпендимома наблюдается наиболее часто. Может стать причиной окклюзии ликворных путей. Часто рецидивирует, со временем способна трансформироваться в анапластическую эпендимому.
- Анапластическая эпендимома составляет около четверти всех эпендимом. Отличается ускоренным ростом и метастазированием, за что получила синонимичные названия: эпендимобластома, злокачественная эпендимома, недифференцированная эпендимома.
- МРТ или КТ головного мозга.МРТ головного мозга предпочтительнее, поскольку дает более полную информацию и позволяет избежать лучевой нагрузки, особенно, когда речь идет об обследовании ребенка.
- НСГ. Для детей до года этапом первичной диагностики может стать нейросонография, которая выполняется через еще незакрывшийся родничок.
- Цитоморфологическая диагностика. Для определения распространенности процесса на спинномозговой канал производится люмбальная пункция и исследование цереброспинальной жидкости. Окончательная верификация диагноза возможна лишь после морфологического изучения материала эпендимомы, полученного интраоперационно или путем стереотаксической биопсии.
- Дополнительные методы. Проводится электроэнцефалография, консультация офтальмолога, прямая офтальмоскопия.
Текущая версия (на октябрь 2017 года) является адаптированным переводом публикации Maxime St-Amant, Frank Gaillard et al. Ependymoma [13].
Эпендимома головного мозга
Эпендимома головного мозга — это опухоль из эпендимальной ткани желудочковой системы головного мозга. Клинически проявляется, прежде всего, признаками повышенного внутричерепного давления, а также атаксией, нарушениями со стороны зрения и слуха, судорожными приступами, нарушением речи и глотания. Диагностика осуществляется преимущественно при помощи МРТ головного мозга, спинальной пункции, ЭЭГ, гистологического исследования. Основу лечения составляет радикальное удаление эпендимомы с последующей лучевой или химиотерапией. У взрослых применяется стереотаксическая радиохирургия.
МКБ-10
Общие сведения
Эпендимома головного мозга — опухоль ЦНС, берущая свое начало из эпендимоцитов. Последние представляют собой эпителиоподобные клетки, образующие эпендиму — тонкую эпителиальную выстилку церебральных желудочков и центрального спинномозгового канала. Эпендимомы составляют до 8% всех опухолей головного мозга, относятся к глиомам.
Эпендимомы чаще встречаются в детском возрасте, около 60% больных составляют дети первых пяти лет жизни. По своей распространенности эпендимома головного мозга занимает 3-е место среди всех церебральных опухолей у детей. В детском возрасте более часто, чем у взрослых, наблюдаются ее злокачественные варианты. Лечение эпендимом является актуальной проблематикой современной онкологии, неврологии и нейрохирургии.
Причины
Исследования позволили обнаружить вирус SV40, находящийся в клетках эпендимом в активном состоянии. Однако до сих пор не понятна его роль в развитии новообразования. Предполагают, что эпендимома головного мозга возникает в связи с воздействием общих для большинства опухолей онкогенных факторов: химических канцерогенов, радиоактивного излучения, длительно действующих неблагоприятных природных условий (например, гиперинсоляции), онкогенных вирусов (вирус герпеса, папилломы человека и пр.).
Кроме того, нельзя исключить участия генетических факторов в развитии эпендимом. Известны сочетания церебральных эпендимом с нейрофиброматозом Реклингхаузена, синдромом множественных эндокринных неоплазий (МЭН), семейным полипозом толстой кишки.
Патогенез
Эпендимома головного мозга чаще образуется в задней черепной ямке. Во многих случаях характеризуется медленным ростом, отсутствием прорастания в окружающие церебральные ткани. Однако по мере роста новообразования оно может вызвать масс-эффект — сдавление головного мозга. Метастазирование эпендимомы происходит преимущественно по ликворным путям и, как правило, не выходит за пределы ЦНС. Наиболее часто отмечаются ретроградные метастазы в спинной мозг.
Классификация
Согласно современной классификации, различают 4 вида эпендимом, отличающихся степенью доброкачественности и характером течения опухолевого процесса:
Симптомы эпендимомы
Эпендимома головного мозга манифестирует признаками внутричерепной гипертензии: нарастающей головной болью, ощущением давления в глазных яблоках, независимой от приема пищи тошнотой, рвотой. Наряду с этим у многих пациентов наблюдается раздражительность, некоторые изменения в привычном поведении, атаксия — неуклюжесть и шаткость ходьбы, дискоординация движений, затрудняющая, в первую очередь, мелкие действия руками, в т. ч. и письмо. У детей школьного возраста отмечается заметное ухудшение результатов учебы.
Выше указанные симптомы являются следствием ликворно-гипертензионного синдрома и усугубляются по мере нарастания внутричерепного давления. Если эпендимома становится препятствием на пути циркуляции цереброспинальной жидкости и вызывает обтурацию ликворных путей, развивается обтурационная гидроцефалия. В клинической картине это проявляется резким нарастанием имеющихся симптомов — головная боль становиться очень интенсивной и сопровождается многократной рвотой без облегчения состояния. Возможны судорожные приступы.
Очаговая симптоматика, сопровождающая церебральную эпендимому, варьирует в соответствии с месторасположением опухоли. Для опухолей задней черепной ямки характерна вестибулярная атаксия, двоение в глазах. Если эпендимома головного мозга располагается в нижней части IV желудочка, то возможны тугоухость, дизартрия, мозжечковая атаксия, дисфагия.
Выраженный ликворно-гипертензионный синдром, появление другой неврологической симптоматики или впервые возникший эпиприступ являются для невролога поводом к всестороннему обследованию пациента. Спектр проводимых исследований включает:
Лечение эпендимомы головного мозга
Нейрохирургические операции
Оптимальным способом лечения эпендимомы является ее тотальное удаление. Частое расположение опухоли в задней черепной ямки обуславливает определенные трудности доступа к ней, с которыми сталкивается нейрохирург. Если полное удаление опухоли невозможно, операция может носить паллиативный характер. В таких случаях для улучшения оттока цереброспинальной жидкости может быть проведена шунтирующая операция.
У взрослых разрушение опухоли возможно методом стереотаксической радиохирургии. Последнее время все шире применяется установка «Кибер-нож», позволяющая достигнуть большой суммарной дозы облучения эпендимомы путем схождения на опухоли многочисленных пучков, исходящих из разных точек аппарата. Однако, в связи с большой лучевой нагрузкой, этот метод не рекомендован детям до 14 лет.
Противоопухолевая терапия
С целью уменьшения вероятности рецидива церебральной эпендимомы после хирургического лечения проводится лучевая терапия. У детей раннего возраста, мозг которых особо восприимчив к радиоактивному излучению, лучевая терапия должна быть сокращена или заменена химиотерапией. Лечение цитостатиками (цисплатином, карбоплатином) может проводиться после лучевой терапии или вместо нее. Его объем зависит от характера и распространенности эпиндимомы.
Прогноз
Миксопапиллярная эпендимома и субэпиндимома после их радикального удаления обычно имеют благоприятный прогноз. В случае классической эпендимомы полное удаление удается не всегда. Новообразование рецидивирует, как правило, в месте своего первоначального появления. При удачном удалении 5-летняя выживаемость оценивается на уровне 67-80%.
Наиболее негативный прогноз у анапластической эпендимомы, что связано с ее быстрым распространением по ликворным путям. Следует отметить, что даже после успешно осуществленного лечения у пациентов в последующем может сохраняться различная неврологическая симптоматика, тугоухость, ухудшение зрения; у детей возможна задержка психического развития.
Эпендимомы
![Эпендимомы]()
Эпендимомы - редкие опухоли, исходящие из эпендимы - оболочки выстилающей изнутри желудочки головного мозга и центральный канал спинного мозга. Из этого следует, что в подавляющем большинстве случаев эпендимомы расположены в желудочковой системе и в спинном мозге интрадурально. Значительно реже эпендимомы встречаются вне желудочковой системы, непосредственно в веществе головного мозга. Отличительной чертой этих образований является то, что они лучше отграничены от мозгового вещества в сравнении с большинством других внутримозговых опухолей. Из этого следует, что задачей нейрохирурга является максимально радикальное удаление опухоли, как в случае интракраниальной локализации, так и при локализации эпендимомы в спинном мозге. В случае невозможности радикального удаления, возможно проведение последующей лучевой терапии.
Эпендимомы возникают из эпендимальных клеток, выстилающих желудочки мозга и центральный канал спинного мозга. Они могут располагаться по всей длине нервной трубки.
Частота:
Интракраниальная локализация: составляют ≈5-6% внутричерепных глиом, в 69% бывают у детей, составляя 9% педиатрических мозговых опухолей.
Спинальная локализация: ≈60% глиом спинного мозга, в 96% случаев встречаются у взрослых, особенно в области конечной нити.
Средний возраст пациентов в момент диагностирования опухоли:
Интракраниальная локализация: взрослые - 17 лет, дети - 5 лет.
Инфратенториальная локализация: взрослые - 14 лет, дети - 4 года.
Супратенториальная локализация: взрослые - 22 года, дети - 6 лет.
Спинальная локализация: 40 лет.
Интрамедуллярная локализация: 47 лет.
Каудальная часть: 32 года.
Эпендимомы обладают способностью распространяться по нервной трубке по ликворным путям, этот процесс называется обсеменением, что приводит к возникновению «потерянных» метастазов в 11% случаев. Частота метастазирования возрастает по мере повышения степени злокачественности опухоли. В редких случаях имеет место системное распространение.
Патология
1. Неанапластическая (низкая степень злокачественности)
2. Папиллярная: «классическое поражение» ГМ и СМ. Метастазирование возможно вплоть до 30%.
3. Миксопапиллярная эпендимома: отдельная форма, встречается только в области конечной нити. Папиллярная эпендимома с микрокистозными вакуолями и слизистым содержимым.
5. Анапластическая: плеоморфизм, многоядерность, гигантские клетки, митозы, сосудистые изменения, участки некроза (иногда при большей выраженности анапластических изменений используют термин эпендимобластома, но этот термин должен быть оставлен для отдельного вида опухолей, редких примитивных нейроэктодермальных опухолей у детей). Влияет ли степень анаплазии на исходы пока неясно.
Внутричерепные эпендимомы
1. Часто возникают в дне IV желудочка
2. Существует потенциальная угроза распространения по нервной трубке
3. Молодые пациенты имеют худший прогноз
4. Лечение: максимальная резекция с последующей лучевой терапией.
Обычно это хорошо отграниченные и доброкачественные опухо- ли (хотя встречаются и злокачественные эпендимомы). Они часто возникают в дне IV желудочка (в 60-70% случаев располагаются инфратенториально, всегда вблизи IV желудочка, на их долю приходится 25% от всех опухолей области IV желудочка). Эпендимомы задней черепной ямки у детей часто являются анапластическими, при этом имеется больший риск распространения по нервной трубке. Хотя гистологически они не выглядят такими злокачественными, как медуллобластомы, они имеют худший прогноз из-за того, что они имеют тенденцию врастать в obex(задвижку), что препятствует их полному удалению. Субэпендимомы: для них типично расположение в передних отделах боковых желудочков или в задней части IV желудочка, выраженная роль субэпендимарных глиальных клеток. Нередко обнаруживаются на аутопсиях, подлежат хирургическому лечению в редких случаях.
Клинические данные
Симптомы
Большинство из них связаны с наличием объемного образования в задней черепной ямке, сопровождающимся повышением внутричерепного давления:
3. Атаксия или вертиго: 60%
4. Припадки: при супратенториальной локализации только в ≈30% случаев; это составляет только 1% больных с внутричерепными опухолями, которые проявили себя припадками.
КТ/МРТ:
Обычно обнаруживают объемное образование в дне IV желудочка, часто с окклюзионной гидроцефалией.
Рентгенологически может быть трудно отличить от медуллобластомы, могут помочь следующие признаки:
1. Калицификаты часто встречаются в эпендимомах, но редко (<10%) в медуллобластомах
2. Медуллобластомы обычно возникают из крыши IV желудочка (из его вершины, фастигиума), который покрывает опухоль («симптом банана»), эпендимомы имеют тенденцию врастать в IV желудочек со дна
3. Эпендимомы имеют негомогенную структуру на МРТ в Т1 режиме
4. Экзофитный компонент в эпендимомах имеет тенденцию давать высокий сигнал на МРТ в Т2 режиме (у медуллобластом он только немного гиперинтенсивный)
Миелография
Миелография с водорастворимым контрастным веществом обладает такой же чувствительностью для определения метастаз, как и МРТ с гадолиниумом. Также при этом можно сделать цитологическое исследование цереброспинальной жидкости для определения стадии опухоли.
Хирургическая резекция
Цель операции: максимальное удаление интракраниальной части опухоли без неврологического дефицита. Если имеется значительная инвазия опухоли в дно IV желудочка, то удалить ее тотально невозможно. После операции производят лучевую терапию и миелографию для исключения возможного метастазирования. 10 мл цереброспинальной жикдкости направляют на цитологическое исследование, чтобы определить количество злокачественных клеток (если они в ней есть), ее можно также использовать в качестве способа контроля эффективности лечения.
Лучевая терапия
Эпендимомы являются вторыми по радиочувствительности после медуллобластом. Лучевую терапию назначают после хирургического удаления опухоли (выживание улучшается после проведения лучевой терапии в послеоперационном периоде: выживание 50% пациентов было на 2 года больше при проведении лучевой терапии, чем без нее, при этом количество пациентов, имевших 5-летний срок выживания увеличивается с 20-40% до 40- 80%)
Исходы
Оперативная летальность: 5-8%. При тотальной резекции первичной интракраниальной опухоли и проведении последующей краниоспинальной лучевой терапии срок 5-летнего выживания составляет 41%. У молодых пациентов выживание хуже (в педиатрической группе срок 5-летнего выживания составляет 20-30%, по сравнению с почти 80% у взрослых). За исключением эпендимобластом, наличие злокачественных признаков в эпендимомах не обязательно является признаком худшего прогноза.
МРТ эпендимальных опухолей головного мозга
![эпендимома]()
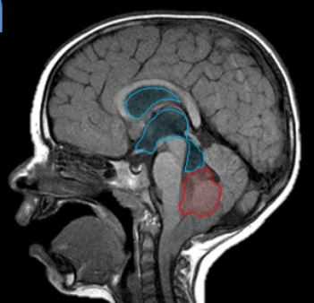
МРТ головного мозга.Т1-взвешенная сагиттальная МРТ. Типичные локализации эпендимомы.
Эпендимома составляет 2-9% от внутричерепных опухолей и 6% от глиом. Из эпендимальных опухолей у взрослых встречается субэпендимома. Она составляет около 8% от эпендимальных опухолей и располагается у стенки желудочка. Пики частоты собственно эпендимомы приходится на возраст 5 лет и 34 года. Опухоль происходит из эпендимоцитов. Обычно это доброкачественные формы. В 60-70% случаев опухоль локализуется инфратенториально в области IV желудочка и в 5-8% в полушариях мозжечка. Гораздо реже обнаруживается супратенториальная локализация эпендимомы: в полушариях вблизи желудочков (на корональных срезах по виду напоминает “цветную капусту”), в области III желудочка, четверохолмия или мосто-мозжечковом углу. Доброкачественные эпендимомы имеют экспансивный тип роста. Внутренняя структура при МРТ неоднородная в связи с кистами (43-83% случаев) и кальцификацией (50% случаев). Контрастное усиление при МРТ наблюдается в трети случаев. Анапластическая эпендимома (градация III) метастазирует по ликворным путям.
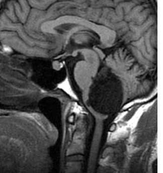
Инфратенториальные эпендимомы у взрослых встречаются гораздо реже, чем у детей. Эпендимома встречается в области IV желудочка. Она имеет солидный и кистозный компоненты. При МРТ головного мозга их внутренняя структура часто неоднородная за счёт кальцинатов, кист, гемоглобина и гемосидерина, а также внутриопухолевых сосудов. Эпендимомы часто распространяются через отверстия Лушка и Маженди, что видно при МРТ в корональной плоскости. профессор Холин А.В. имеет большой опыт МРТ в СПб диагностики внутрижелудочковых опухолей мозга в том числе и на открытом МРТ. Среди центров МРТ СПб мы имеем огромный опыт МРТ выявления разных опухолей головного мозга.
МРТ головного мозга. Анапластическая эпендимома коллатерального треугольника левого бокового желудочка (стрелка). Аксиальные Т2-зависимая, Т1-зависимая и Т1-зависимая с контрастированием МРТ.
![эпенд 4-саг]()
![эпенд 4-акс-Т2]()
![эпенд 4-акс-Т1]()
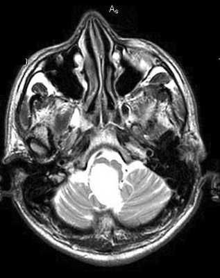
МРТ головного мозга. Эпендимома IV желудочка. Сагиттальная Т1-зависимая МРТ, аксиальные Т2-зависимая МРТ и МРТ типа FLAIR.
Читайте также:





