Диагностика туберозного склероза на МРТ, КТ
Добавил пользователь Дмитрий К. Обновлено: 28.10.2025
Эпилепсия была известна еще за 5000 лет до нашей эры, однако инструментальная диагностика этого заболевания начала проводится только с 1929 года, когда немецкий ученый Бергер использовал для регистрации патологических изменений в головном мозге электроэнцефалографию (ЭЭГ). Метод позволил дать не только качественные, но и количественные критерии оценки специфических для эпилепсии изменений электрической активности головного мозга (1).
В последние два десятилетия ХХ века появились новые и весьма информативные методы диагностики или визуализации структур головного мозга, которые совершили настоящий переворот в медицине. Это компьютерная томография (КТ), магнитно-резонансная томография (МРТ), однопротонная эмиссионная компьютерная томография (SPECT) и позитронно-эмиссионная томография (РЕТ). Особенно большое значение эти методы приобретают в связи с развитием прецизионной хирургии фокальной эпилепсии, так как позволяют очень точно локализовать эпилептогенную зону в головном мозге. Среди этих методов ведущая роль несомненно принадлежит МРТ.
Метод КТ характеризуется использованием ионизирующего излучения, что ограничивает его широкое применение особенно при динамическом наблюдении. КТ дает прекрасное контрастное разрешение при изучении костной ткани, однако разрешающая способность при визуализации мягких тканей, к которым относится паренхима головного мозга и в частности медио-базальные отделы височных долей, явно недостаточная. Следует отметить, что относительно низкая цена исследований, высокая скорость (секунды в последних моделях томографов), простота использования, а также отличная выявляемость кровоизлияний и кальцинатов в патологических очагах, делают исследование в ряде случаев целесообразным в педиатрии после проведения УЗИ или уточняющим методом после МРТ, которая не позволяет выявить кальцинаты в головном мозге (туберозный склероз, синдром Sturge-Weber и т.д.).
Согласно рекомендациям Международной Лиги против Эпилепсии (ILAE) КТ выбирается для пациентов с эпилепсией только при невозможности проведения МРТ. Только в 50% случаев КТ выявляет структурные изменения в мозге при эпилепсии. При негативном результате КТ не исключается необходимость проведения МРТ (рекомендации ILAE).
Таким образом, МРТ является в настоящее время методом выбора при диагностике эпилепсии. Преимуществом метода является отсутствие ионизирующего излучения, более высокая чувствительность и специфичность по сравнению с КТ, возможность многоплоскостной томографии мозга, высокое контрастное разрешение для мягких тканей (2).
Как любой другой метод радиологии МРТ предполагает для получения объективной информации наличие предварительных клинических данных и результатов электроэнцефалографии. Это позволяет проводить исследования более целенаправленно и облегчает врачу-радиологу процесс интерпретации полученных томограмм.
Установлено, что преобладающее число доказанных очагов возникновения эпилепсии (до 80%) находится в височных долях, поэтому при планировании плоскости проведения томографии целесообразно использовать не традиционную орбито-меатальную линию, а модифицировать угол томографии для аксиальной (рис 1) и для коронарной плоскости (рис 2). При этом особое внимание нужно обратить на создание симметричного изображения височных долей (строго прямой угол с сагиттальной плоскостью) .
Протокол исследования желательно дополнять Т1-взвешенными изображениями в сагиттальной плоскости для анализа срединных структур мозга. В целом Т1-взвешенные изображения дают оптимальное разграничение анатомических структур, Т2-взвешенные
Рис.1. Косоаксиальная «височная проекция» томографии
Рис.2. Косокоронарная проекция для визуализации гиппокампа
Изображения имеет высокую чувствительность для выявления изменений содержания воды и железа в структурах мозга. Т2*-взвешенные изображения (градиентное эхо) создают условия для выявления кальцинатов, но не могут достигать такой точности в определении их как КТ. Инверсия восстановления обеспечивает лучший контраст на Т1-взвешенных изображениях.
Непременным условием является высокое пространственное разрешение систем для томографии, оптимальное соотношение сигнал/шум, которые позволяют проведение тонких срезов (от 1 до 3 мм) с высоким качеством изображений.
Диапазон причин, вызывающих появление эпилепсии достаточно широк.
Наиболее частые из них представлены в таблице 1 (3). Таблица 1.
Основные патологические процессы как причина эпилепсии
Пороки и аномалии развития головного мозга
Опухоли
Склероз гиппокампа
Пренатальные или перинатальные деструктивные повреждения
Кожно-неврологические расстройства
Воспалительные процессы
Инфекции
Нарушения метаболизмы
Сосудистые мальформации
Травмы
Дегенеративные изменения
Послеоперационные изменения
Наиболее часто при проведении больному с эпилепсией МРТ выявляется склероз гиппокампа (склероз аммонова рога), который по данным оперативного вмешательста на височных долях по поводу эпилепсии встречается в 60-80% случаев (4).
Для склероза гиппокампа характерны два основных признака на МР-томограммах. Это, прежде всего очаги высокоинтенсивного МР-сигнала на Т2-взвешенных изображениях, которые соответствуют участкам глиоза, а также сопутствующая этому атрофия гиппокампа, которая выявлется как правило на Т1-взвешенных изображениях, но может быть хорошо видна и на Т2-взвешенных изображениях (рис 3). Оба эти признака могут сочетаться или присутствовать отдельно во всех отделах гиппокампа или в отдельных его частях, как унилатерально так и билатерально.
Рис 3. Т2-взв. изображение в косо-коронарной плоскости. Объем гиппокампа справа немного уменьшен, что сочетается с асимметрией объема нижних рогов боковых желудочков.
При анализе изображений в косокоронарной проекции всегда надо помнить об артефактах от пульсации сосудов вилизиева круга, которые уменьшаются при применении быстрых спин-эхо последовательностях (Turbo-Spin-Echo).
Для объективной оценки изменений в гиппокампе необходима строго симметричная коронарная плоскость томографии, так как выявление описанных выше изменений проводится при сравнительном анализе с противоположной стороной (2). Сравнительный анализ обеих гиппокампов не может быть использован при билатеральных проявлениях заболевания (клинически или электроэнцефалографически).
В настоящее время точность МРТ при выявлении склероза гиппокампа достигает по данным многих авторов 80-90% и даже 98% (7,8,9). Кроме того метод позволяет определить вторичную природу изменений в гиппокампе при наличии небольших опухолей или мальформаций.
На втором месте по частоте из возможных причин эпилепсии стоят доброкачественные опухоли (астрофитомы, олигодендроглиомы, ганглиглиомы и т.д.). До 80% этих опухолей локализуется в височных долях. Эти процессы часто протекают с нарушением гематоэнцефалического барьера (происходит накопление контрастного вещества) и имеют кистозный компонент (рис.4). Перифокальный отек как правило отсутствует, но могут встречаться кальцинаты, которые видимы только при КТ.
Рис.4. На Т1-взв. изображениях после внутривенного введения препарата гадолиния хорошо видна небольшая опухоль с кистозным компонентом (ганглиоглиома).
К нарушениям закладки коры головного мозга относится гетеротопия серого вещества, которая является часто причиной эпилепсии (рис.5), а также лиссэнцефалия, пахигирия,
Рис 5. Билатеральная узловая гетеротопия серого вещества (на Т2-взв. изображениях видны участки серого вещества, расположенные субэпендимально). полимикрогирия и шизэнцефалия. При этих изменениях кроме Т2-взвешеныых спип-эхо изображений рационально также получение Т1-взвешенных изображений при инверсии восстановления с толщиной среза не более 5 мм. Наболее частой сосудистой патологией при эпилепсии являются кавернома (рис.6) или сосудистая мальформация (рис. 7).
Рис.6. Кавернома справа (Т2-взв. изображение)
Ранние дегенеративные изменения в мозге возникающие в период беременности, пери- или постнатально проявляются виде порэнцефалии, энцефаломаляции и т.д., что достаточно хорошо выявляется с помощью МРТ. Посттравматические рубцово-атрофические изменения у взрослых часто могут сопровождаться эпилепсией (рис 8).

Рис 8. Посттравматические рубцово-атрофические изменения в правой височной доле с энцефаломаляцией (Т1-взв. изображение).
Таким образом, МРТ является надежным инструментом для выявления причины развития эпилепсии в головном мозге. Выявление эпилептогенного очага особенно при неэффективном медикаментозном лечении дает больному шанс на выздоровление с помощью хирургического вмешательства. Всегда надо помнить, оптимальная чувствительность метода МРТ обеспечивается только при правильной оценке клинических данных и результатов ЭЭГ.
Туберозный склероз
Туберозный склероз (болезнь Бурневилля) — редкое генетическое заболевание, при котором во множестве органов и тканей образуются доброкачественные опухоли. Полисистемный характер нарушений порождает широкий спектр симптомов — повреждения мозга могут вызвать эпилепсию, снижение интеллекта; поражаются внутренние органы — почки, сердце, лёгкие; характерные новообразования кожи лица и глазного дна могут быть использованы при начальной диагностике.
Первое слово в названии болезни происходит от латинского tuber — нарост, опухоль, и описывает «туберсы» — характерные новообразования в коре мозга больных, обычно на границе серого и белого вещества. Туберсы были впервые описаны французским неврологом Бурневиллем, поэтому иногда болезнь называют его именем.
Частота этого заболевания составляет 10—14 на 100 000 населения. Она выше у детей, составляя максимум у не достигших 5-летнего возраста. Число случаев с отрицательным семейным анамнезом велико: от 50 до 70 %. Заболевание характеризуется высокой ранней детской смертностью и снижением продолжительности жизни у взрослых людей.
Критерии диагностики туберозного склероза
Все признаки подразделяются на первичные и вторичные.
- ангиофибромы лица или фиброзные бляшки на лбу,
- нетравматические околоногтевые фибромы,
- гипопигментные пятна (больше трех),
- «шагреневая кожа»,
- множественные гамартомы сетчатки,
- корковые туберсы, субэпендимарные узлы,
- гиганто-клеточная астроцитома,
- рабдомиомы сердца множественные или одиночные, ,
- множественные ангиомиолипомы почек.
- многочисленные углубления в эмали зубов,
- гамартоматозные ректальные полипыа,
- костные кистыб,
- фибромы десен,
- гамартомы внутренних органов,
- ахроматический участок сетчатой оболочки,
- пятна «конфетти» на коже,
- множественные кисты почека.
Несомненный диагноз туберозного склероза: 2 первичных признака или 1 первичный признак + два вторичных признака.
Возможный диагноз - 1 первичный признак + 1 вторичный признак.
Предположительный диагноз - или 1 первичный признак или два и больше вторичных признака.
а - требуется гистологическое подтверждение
б - достаточно рентгенологического подтверждения
Кожные изменения
Гипопигментные пятна, ангиофибромы лица, участки “шагреневой кожи”, околоногтевые фибромы, фиброзные бляшки, белые пряди волос, ресниц и бровей.
Гипопигментные пятна (овальные, полигональные или в виде рассыпанного «конфетти») нередко обнаруживаются с рождения, с возрастом число их может увеличиваться. Располагаются асимметрично, преимущественно на туловище и ягодицах.
Гипопигментное пятно на коже голени
Ангиофибромы лица (аденома Прингля) - узлы розового или красного цвета с гладкой, блестящей поверхностью, располагаются симметрично с двух сторон лица на щеках и носу (по типу “крыльев бабочки”) и подбородке. Развиваются, как правило, после 4-х лет.
Участки “шагреневой кожи” (peau chagrine в переводе с французского - “недубленая, грубая, жесткая кожа”), желтовато-коричневого или розового цвета, умеренно выступают над поверхностью окружающей кожи и напоминают шкурку апельсина. Размер их колеблется от нескольких миллиметров до 10 и более сантиметров. Чаще они появляются на втором десятилетии жизни. Располагаются преимущественно в пояснично-крестцовой области.
Участок "шагреневой кожи"
Фиброзные бляшки - образования бежевого цвета, шероховатые на ощупь, несколько выступают над окружающей кожей. Часто появляются уже на первом году жизни. Излюбленным местом локализации фиброзных бляшек является лоб. Размер и число их варьируют.
Околоногтевые фибромы - тусклые, красные или мясного цвета узлы, растущие от ногтевого ложа или вокруг ногтевой пластинки. В большинстве случаев околоногтевые фибромы появляются на втором десятилетии жизни. Чаще встречаются на ногах, чем на руках. Размер варьирует от 1 миллиметра до 1 сантиметра в диаметре.
Мягкие фибромы располагаются на туловище и шее, реже на конечностях. Бывают двух видов:
- множественные или единичные, мягкие мешотчатые образования на ножках
- множественные образования, несколько приподнятые над поверхностью кожи, размером меньше булавочной головки (напоминают “гусиную кожу”)
Изменения со стороны органов зрения
доброкачественные опухоли сетчатки и зрительного нерва (часто множественные) - ретинальные гамартомы астроцитарного происхождения. Наблюдается у 50 % больных. Опухоль трудно заметить в самом начале.
Она довольно быстро кальцифицируется. Офтальмологическое исследование следует предпринять как можно раньше у детей с дилатированным сосочком зрительного нерва. Опухоль чаще располагается вблизи оптического диска.
Обызвествления в гамартомах сетчатки с обеих сторон.
Изменения со стороны сердечно-сосудистой системы
Рабдомиомы сердца. Рабдомиомы локализуются в любой полости сердца, но преимущественно - в желудочках. Более характерно их расположение в левой половине сердца. У 2/3 больных - рабдомиомы множественные. Клинически рабдомиомы сердца проявляются признаками сердечной недостаточности, нарушениями гемодинамики, сократительной функции миокарда и сердечного ритма.
Изменения со стороны органов дыхания
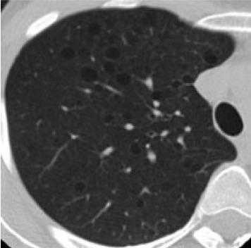
Лимфангиолейомиоматоз легких. Легкие вовлекаются в патологический процесс после 30 лет. Первые клинические симптомы - дыхательная недостаточность и рецидивирующий пневмоторакс.

Фрагмент КТ: множественные кистозные изменения - лимфангиомиоматоз легких
Изменения со стороны желудочно-кишечного тракта
полость рта (узловые опухоли, фибромы или папилломы, дефекты эмали зубов), печень (одиночные и множественные гамартомы и ангиомиолипомы), прямая кишка (ректальные полипы)
Изменения со стороны почек
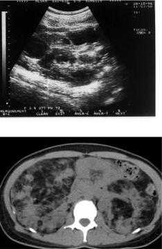
Ангиомиолипомы и кисты. Редко - карциномы. Нарушения со стороны почек, как правило, появляются на 2-м - 3-м десятилетии жизни. Ангиомиолипомы при туберозном склерозе множественные, двусторонние и длительное время имеют бессимптомное течение.
Ангиомиолипомы больше 4 см в диаметре имеют тенденцию к спонтанному кровоизлиянию. Основными клиническими симптомами кровоизлияния из ангиомиолипомы: острые абдоминальные боли, падение артериального давления. Кисты почек при туберозном склерозе чаще небольшого размера, двусторонние. При увеличении размера кист развивается почечная недостаточность, появляется высокое артериальное давление.

УЗИ. Кисты почки
На КТ множественные двусторонние образования в почках, содержащие жировую ткань - ангиомиолипомы.
Изменения со стороны костей
Поражения костной ткани чаще бессимптомные, в виде периостальной реакции, склероза или кистоза.
КТ. Участки склероза в костях черепа, преимущественно в лобной кости.
Изменения со стороны нервной системы
судорожные приступы, умственная отсталость, нарушения поведения, изменения в цикле сон-бодрствование. Судороги при туберозном склерозе могут начинаться на первом году жизни. Чаще всего в этот возрастной период встречаются инфантильные спазмы, которые в дальнейшем переходят в другие типы судорог. Судорожные приступы при туберозном склерозе нередко плохо поддаются противосудорожной терапии. Умственная отсталость при туберозном склерозе наблюдается у половины больных. Степень снижения умственной отсталости колеблется от умеренной до глубокой. Изменения поведения характеризуются аутизмом, синдромом гиперподвижности и дефицита внимания, агрессией и аутоагрессией. Нарушения сна у большинства больных связаны с длительным засыпанием, снохождением и ранним пробуждением.
Наиболее типичными нарушениями в головном мозге являются корковые туберсы и субэпендимарные узлы. Туберсы могут быть как единичными, так и множественными, располагаются в виде выступов над единичной или прилегающими бороздами коры, расширяя их. Субэпендимарные узлы локализуются в стенках боковых желудочков и, реже, в стенках III и IV желудочков мозга. У новорожденных субэпендимарные узлы редко бывают кальцифицированными. По мере роста ребенка наблюдается постепенное отложение кальция в субэпендимарных узлах.
Субэпендимарные узлы в 10% случаев трансформируются в гиганто-клеточную астроцитому, которые манифестируют обычно между 5 и 10 годами жизни, имеют тенденцию к росту и локализуются у отверстия Монро

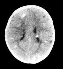
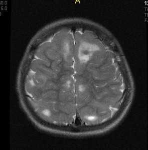
Субэпендимарные кальцификаты и корковые туберсы на КТ головного мозга ребенка с туберозным склерозом

Субэпиндемальные узлы и корковые туберсы на МРТ

Астроцитома в области отверстий нередко приводит к оккюзионной гидроцефалии.
Комплекс исследований больных туберозным склерозом
- КТ и/или МРТ
- Электроэнцефалография
- Ультразвуковое исследование внутренних органов
- Эхокардиография
- Электрокардиография
- УЗИ щитовидной железы
- Анализы крови и мочи
Тревожные симптомы туберозного склероза
Лихорадка, боли в спине, подташнивание и рвота, гематурия, анемия.
Симптомы возникают, как правило, при увеличении массы и объема ангиомиолипом. Увеличенные в объеме ангиомиолипомы (больше 4 см в диаметре) нередко имеют тенденцию к спонтанному кровоизлиянию (ретроперитонеальному или внутрипочечному), либо способствуют компрессии окружающих тканей.
Клинические симптомы, свидетельствующие о кровоизлиянии из ангиомиолипомы:
- острые абдоминальные боли
- развитие шокового состояния
- падение артериального давления
- вегетативные расстройства (обильный пот, озноб, сердцебиение)
Высокое артериальное давление, головные боли, утомляемость, кожный зуд.
Кисты почек при туберозном склерозе могут достигать нескольких сантиметров в диаметре. При выраженном патологическом процессе, при бесчисленном количестве кист большого размера, течение заболевания напоминает поликистозную болезнь почек, которая приводит к почечной недостаточности.
Частые головные боли, рвоты, ухудшение зрения.
Симптомы повышения внутричерепного давления, которые могут свидетельствовать о росте гиганто-клеточной астроцитомы.
Поверхностное дыхание, бледность кожных покровов рецидивирующий пневмоторакс. Симптомы могут свидетельствовать о развитии патологического процесса в легких (лимфангиомиоматоз легких).
Заключение
Туберозный склероз - генетическое заболевание из группы факоматозов. Встречается довольно редко, проявляется чаще в детском возрасте. Наряду с наследственными формами существуют и спонтанные мутации более, чем в 50% случаев. Клинические проявления разнообразны и связаны с поражением многих органов и систем. В зависимости от локализации изменений в тех или иных органах применяются разные методы лучевой диагностики: УЗИ, КТ, МРТ, эхокардиография. Правильная диагностика возможна только с учетом клинических данных и данных анамнеза, в том числе семейного. Туберозный склероз, поражая многие органы, приводит к высокой смертности в детском возрасте и сокращению продолжительности жизни. Подозрение на осложнения туберозного склероза могут потребовать дополнительных исследований, и лечебных мероприятий, например, при кровоизлияниях в ангиомиолипомах почек, окклюзионной гидроцефалия при астроцитомах, стенозирующих отверстия Монро, развитии почечной и легочной недостаточности и др.
Туберозный склероз — генное заболевание, характеризующееся поражением нервной системы в виде эпилепсии и олигофрении, полиморфными кожными симптомами, опухолевыми и неопухолевыми процессами в соматических органах. Диагностический алгоритм состоит из обследования нервной системы (МРТ, КТ головного мозга, ЭЭГ), офтальмологического исследования, обследования внутренних органов (УЗИ, МРТ сердца, КТ почек, рентгенография легких, ректороманоскопия). Главными направлениями лечения являются: противоэпилептическая терапия, нейропсихологическая коррекция, наблюдение и своевременное хирургическое лечение новообразований.
МКБ-10
Общие сведения
Туберозный склероз (ТС) — наследственная нейроэктодермальная патология, проявляющаяся изменениями кожи, эпилептическими приступами, олигофренией (умственной отсталостью) и возникновением новообразований различной локализации. Наряду с нейрофиброматозом, болезнью Гиппеля-Линдау, синдромом Луи-Бар, болезнью Стерджа-Вебера и др., ТС относится к факоматозам. Заболеваемость составляет 1 случай на 30 тыс. населения, среди новорожденных — 1 случай на 6-10 тыс. Известны не только семейные, но и спорадические случаи. Причем последние составляют до 70%.
Впервые туберозный склероз был описан Реклингхаузеном в 1862 г. Француз Бурневилль в 1880 г. подробно исследовал морфологические изменения, происходящие в головном мозге при этом заболевании, и впервые употребил термин «туберозный склероз». В 1890 г. дерматолог Прингл сделал описание ангиофибром лица у пациентов с ТС. Поэтому в литературе по неврологии можно встретить синонимичное название ТС — болезнь Бурневилля-Прингла.
Причины туберозного склероза
Заболевание имеет генетическую природу. Большинство случаев обусловлено возникновением новых мутаций и лишь 30% аутосомно-доминантным наследованием генных аберраций, имеющихся у родителей. Выделяют туберозный склероз тип 1, развитие которого обусловлено мутациями в гене 34 локуса 9-й хромосомы, ответственном за кодирование гамартина, и туберозный склероз тип 2, связанный с нарушениями в 13-ом участке 16-й хромосомы, отвечающем за кодирование туберина.
Биохимические аспекты патогенеза до конца не изучены. Известно только, что в норме гамартин и туберин являются факторами подавления опухолевого роста. Морфологическим субстратом выступают разросшиеся глиальные элементы церебральной ткани, гистологически представленные гигантскими клетками с атипично увеличенными ядрами и большим числом отростков. Глиальные разрастания формируют субэпендимальные узлы, корковые туберы и специфические островки в белом веществе. Все эти образования имеют тенденцию к обызвествлению. Субэпендимальные узлы зачастую дают начало образованию гигантоклеточной астроцитомы. В 10% случаев отмечается поражение тканей мозжечка. Глиальные разрастания наблюдаются также на диске зрительного нерва и в периферических отделах сетчатки.
Симптомы туберозного склероза
Клиника, которую имеет туберозный склероз, очень вариабельна. Она включает поражение центральной нервной системы (ЦНС), дерматологические и офтальмологические проявления, новообразования внутренних органов. Дебют приходится на различные возрастные периоды, но чаще туберозный склероз манифестирует в течение первых 5-ти лет жизни. Возможны различные по тяжести варианты течения. В легких случаях пациенты имеют ряд факультативных неспецифических симптомов и зачастую не проходят диагностику на наличие ТС. Туберозный склероз в стертой форме протекает без эпиприступов, олигофрении и расстройств поведения.
Поражение ЦНС
Изменения в ЦНС выступают доминирующими проявлениями ТС. Среди них наиболее часто (в 80-90% случаев) встречается судорожный синдром, с которого обычно манифестирует заболевание. Для эписиндрома, дебютирующего на первом году жизни, характерны инфантильные спазмы (синдром Веста), затем трансформирующиеся в синдром Леннокса-Гасто. Возможны атипичные абсансы, сомато- и сенсомоторные пароксизмы, вторично-генерализованные приступы. Возникновение в возрасте до года, высокая частота и гетерогенность приступов сопровождаются их резистентностью к антиконвульсантной (противоэпилептической) терапии. Эпилептические пароксизмы являются причиной задержки психического развития и нарушений поведения (агрессивности, аутизма, СДВГ) у детей.
В половине случаев туберозный склероз сопровождается выраженной в различной степени олигофренией. Наряду с эпилепсией, причиной ее развития считается наличие корковых туберов. Уже в младшем возрасте у детей отмечается анормальное поведение: общее беспокойство, капризность и недовольство наряду с медлительностью, затруднениями переключаемости внимания. Степень этих нарушений тем выше, чем раньше возник туберозный склероз. У большинства пациентов также наблюдаются нарушения сна. Они характеризуются ночными пробуждениями, инсомнией, сомнамбулизмом, ранним утренним переходом от сна к бодрствованию.
Дерматологические симптомы
Изменения со стороны кожи сопровождают туберозный склероз практически в 100% случаев. Они характеризуются большим полиморфизмом элементов и их сочетаний. Чаще всего (в 90% случаев) наблюдаются пятна гипопигментации, которые возникают обычно в первые 3 года жизни и в дальнейшем увеличивают свое количество. Они асимметрично разбросаны по ягодицам, туловищу и на передне-латеральных поверхностях конечностей. Возможна депигментация ресниц, бровей и волос. В 14% случаев выявляются участки гиперпигментации в виде пятен, более характерных для нейрофиброматоза. Как правило, их насчитывается не более 5 штук.
Ангиофибромы лица по различным данным отмечаются у 50-90% пациентов и образуются в основном после 4-летнего возраста. Это множественные или одиночные плотные узелки в виде зерен проса, красноватого или желтоватого цвета. «Шагреневая кожа» имеет место в 21-68 % случаев. Обычно возникает в период от 10 до 20 лет. Представляет собой асимметричные участки жесткой огрубевшей кожи, локализующиеся на спине и пояснице, имеющие размер от 2-3 мм до 10 см. При дерматоскопии видно, что шагреневые участки состоят из множества фиброзных гамартом.
В 25% случаев туберозный склероз сопровождается образованием фиброзных бляшек, в 30% случаев — мягких дерматофибром. До 50% больных после пубертата имеют склонные к прогредиентному росту околоногтевые фибромы. Последние более часто располагаются на ступнях. Имеют вид тусклых красных узелков или папул, окружающих ногтевую пластинку.
Офтальмологические симптомы
Отмечаются редко, хотя почти у половины больных ТС выявляется наличие гамартом зрительного нерва и/или гамартом сетчатки. Гамартомы могут иметь плоскую гладкую, незначительно возвышающуюся поверхность или представляют собой узловатое образование, иногда встречаются гамартомы смешанного типа — узловатые в центре. Основным проявлением гамартом является прогрессирующее падение зрения, но зачастую наблюдается их субклиническое течение. Возможны и другие офтальмологические расстройства: депигментация радужки, отек диска зрительного нерва, колобома, косоглазие, ангиофибромы век, катаракта.
Поражение внутренних органов
Новообразования соматических органов, сопровождающие туберозный склероз, отличаются множественностью и частым двусторонним поражением парных органов, длительно протекают субклинически. Период их манифестации колеблется от 5 до 40 лет. К наиболее патогномоничным для ТС новообразованиям относятся: рабдомиома сердца, кисты легких, поликистоз почек, гамартомы печени, ректальные полипы. В 4,5% случаев при ТС наблюдаются злокачественные опухоли, чаще почечно-клеточный рак.
Со стороны сердечно-сосудистой системы выявляются опухоли сердца. В 30-60% случаев это рабдомиомы. При их внутриутробном развитии может наблюдаться антенатальная гибель плода. У половины новорожденных с ТС рабдомиомы выявляются случайно при выполнении ЭхоКГ. У маленьких детей они проявляются аритмией, синдромом WPW, тахикардией, фибрилляцией желудочков. Интрамуральное положение рабдомиомы влечет за собой расстройство сократимости; обтурация опухолевой массой сердечных камер приводит к сердечной недостаточности. У старших детей рабдомиомы преимущественно бессимптомны; возможна блокада ножки пучка Гиса, псевдоишемические отклонения на ЭКГ. Зачастую наблюдается регресс и даже полное исчезновение рабдомиомы к 6-летнему возрасту.
Поражение легких отмечается у пациентов, имеющих туберозный склероз, после 30 лет. На рентгенограмме определяется характерная для множественных легочных кист картина «сотового легкого». Поражение ЖКТ включает опухоли полости рта, дефекты зубной эмали, множественные или одиночные гамартомы в печени, не склонные к малигнизации полипы прямой кишки. Поражение почек сопровождают туберозный склероз в 50-85%. Могут отмечаться ангиомиолипомы, кисты, гломерулосклероз, нефрокальциноз, интерстициальный нефрит, гломерулонефрит. Патология почек выступает второй после поражения ЦНС причиной летального исхода при ТС.
Диагностика
Диагностировать туберозный склероз возможно лишь совместными усилиями нескольких специалистов (невролога, офтальмолога, дерматолога, кардиолога, нефролога) с проведением широкого аппаратного обследования пациента. Церебральная эпилептическая активность регистрируется при помощи ЭЭГ и ЭЭГ с пробами. У детей до года возможно проведение нейросонографии. Наибольшую значимость в диагностике поражений ЦНС имеют КТ и МРТ. КТ головного мозга более информативно в отношении кальцифицированных туберов и субэпендимальных узлов, а МРТ головного мозга — в выявлении некальцифицированных туберов. С целью своевременной диагностики астроцитомы детям, имеющим туберозный склероз, рекомендовано прохождение МРТ или КТ-исследования не реже чем раз в 2 года.
Проводится комплексное обследование соматических органов: ЭКГ, УЗИ и МРТ сердца, УЗИ брюшной полости, УЗИ и КТ почек, урография, обзорная рентгенография грудной клетки, ректороманоскопия, колоноскопия. Диагностика офтальмологических поражений осуществляется путем прямой и непрямой офтальмоскопии, сканирующей томографии сетчатки.
В связи с большой полиморфностью сопровождающих туберозный склероз проявлений, для установления диагноза используют диагностические критерии, разработанные в 1998 г. в Швеции. Они включают первичные, вторичные и третичные признаки. Туберозный склероз достоверен, когда имеет место 1 первичный признак в сочетании с 2 вторичными или третичными. Туберозный склероз вероятен при наличии 1 вторичного и 1 третичного или 3 третичных признаков. Окончательную точку в вопросе диагностики туберозного склероза помогает поставить генетический анализ.
Лечение туберозного склероза
Основополагающим направлением в лечении ТС является антиконвульсантная терапия, поскольку степень олигофрении и ЗПР напрямую коррелирует с частотой эпиприступов, а эпилептический статус может стать причиной смертельного исхода. Выбор препарата зависит от вида пароксизмов, при недостаточной эффективности монотерапии, назначается комбинированное лечение. При синдроме Веста применяют вигабатрин и тетракозактид. Препаратами второй очереди выступают вальпроаты. Если туберозный склероз протекает с парциальными эпиприступами, то базовой терапией считается сочетание вальпроатов с карбамазепином. При отсутствии эффекта в эту схему лечения включают ламотриджин. При генерализованных эпиприступах и парциальных пароксизмах в качестве монопрепарата и в комбинации с другими противоэпилептическими средствами могут применяться современные антиконвульсанты топирамат и леветирацетам.
Терапия олигофрении проводится преимущественно путем нейропсихологической коррекции и комплексного психологического сопровождения ребенка. Назначение ноотропов и прочих стимулирующих нейропрепаратов противопоказано из-за наличия эписиндрома. При выявлении астроцитомы проводится динамическое наблюдение. Хирургическое удаление внутримозговой опухоли показано только при резком увеличении ее размеров с подъемом внутричерепного давления. Операцию проводят нейрохирурги.
В отношении новообразований соматических органов применяется преимущественно выжидательная тактика. Хирургическое лечение проводится по показаниям, в основном в случаях, когда опухоль вызывает существенную дисфункцию органа или имеется угроза ее злокачественного течения.
Диагностика туберозного склероза на МРТ, КТ

Заболевания
Туберозный склероз (ТС) - редкое генетическое мультисистемное заболевание, которое обычно проявляется вскоре после рождения. Заболевание может вызывать широкий спектр признаков и симптомов и связано с образованием доброкачественных опухолей в различных системах органов тела. Часто поражаются кожа, мозг, глаза, сердце, почки и легкие. Эти опухоли часто называют гамартомами. Гамартома - узловое доброкачественное опухолевидное образование, представляющее собой тканевую аномалию развития. Термин предложен в 1904 году немецким патологоанатомом Евгением Альбрехтом (Eugen Albrecht, 1872—1908) при описании дизэмбриоплазий печени. Гамартома состоит из тех же тканевых компонентов, что и орган, где она расположена. При этом она отличается аномальным строением и степенью дифференцировки тканей. Гамартомы не являются злокачественными; они обычно не дают метастазов и не распространяются на другие части тела. Однако эти аномальные новообразования могут увеличиваться в размерах и повреждать пораженную систему органов. Количество, размер и конкретное расположение этих новообразований у людей с туберозным склерозом могут широко варьироваться, и следовательно тяжесть течения заболевания также может широко варьироваться. Туберозный склероз происходит в результате мутаций гена или генов, которые могут возникать спонтанно (спорадически) по неизвестным причинам или передаваться по наследству как аутосомно-доминантный признак. Большинство случаев представляют собой новые мутации (de novo) без семейной истории болезни.
Дезире-Маглуар Бурневиль (1840-1909) был французским неврологом, который примечателен первоначальным описанием туберозного склероза («болезнь Бурневиля») в 1880 году.
Джон Джеймс Прингл (1855-1922) был шотландским дерматологом, который также изучал это заболевание, в результате чего в некоторых книгах его называют «болезнью Борневилля-Прингла».
Генрих Фогт (1875-1936) был немецким неврологом, который известен тем, что установил три патогномоничных клинических признака туберозного склероза, которые стали известны как «триада Фогта».
Частота ТС в популяции составляет 1:10000 (у новорожденных - 1:6000). Расчетное число больных ТС в Российской Федерации около 7 000 человек, поэтому ТС относится к редким (орфанным) заболеваниям. Считается, что этим заболеванием страдают около 2 миллионов человек во всем мире. Мужчины и женщины болеют в равных количествах, и заболевание встречается у всех рас и этнических групп.
Мутации в гене TSC1 или TSC2 могут вызывать комплекс туберозного склероза. Гены TSC1 и TSC2 синтезируют белок гамартин и туберин.
- TSC1: кодирует гамартин, на хромосоме 9q32-34
- TSC2: кодирует туберин на хромосоме 16p13.3
Внутри клетки эти два белка, вероятно, работают вместе, помогая регулировать рост и размер клеток. Белки действуют как опухолевые супрессоры, которые обычно предотвращают слишком быстрый или неконтролируемый рост и деление клеток.
Люди с комплексом туберозного склероза рождаются с одной мутированной копией гена TSC1 или TSC2 в каждой клетке. Эта мутация не позволяет клетке производить функциональный гамартин или туберин из измененной копии гена. Однако из другой, нормальной копии гена обычно вырабатывается достаточно белка, чтобы эффективно регулировать рост клеток. Для развития некоторых типов опухолей вторая мутация с участием другой копии гена TSC1 или TSC2 должна произойти в определенных клетках в течение жизни человека.
Когда обе копии гена TSC1 мутируют в конкретной клетке, эта клетка не может продуцировать какой-либо функциональный гамартин; клетки с двумя измененными копиями гена TSC2 неспособны производить какой-либо функциональный туберин. Потеря этих белков позволяет клетке бесконтрольно расти и делиться с образованием опухоли. Потеря гамартина или туберина в разных типах клеток приводит к росту опухолей во многих различных органах и тканях.
В редких случаях у людей с комплексом туберозного склероза не обнаруживается мутация в гене TSC1 или TSC2. Или же есть люди с мутациями и в TSC1 и в TSC2. Исследования показывают, что в этих случаях состояние может быть вызвано случайной мутацией в гене TSC1 или TSC2, которая возникает на очень ранней стадии развития. В результате одни клетки организма имеют нормальную версию гена, а другие - мутированную. Такая ситуация называется мозаицизмом.
Признаки и симптомы
Поражение ЦНС: типичными признаками является наличие туберов в больших полушариях головного мозга, субэпендимных узелков на стенках боковых желудочков и субэпендимных гигантоклеточных астроцитом (СЕГА) вблизи отверстия Монро.
Кожные проявления: Гипопигментные пятна являются одним из наиболее частых кожных проявлений туберозного склероза (Пятна типа “листьев ясеня»). Так же пациентов часто с раннего детства имеется седая прядь волос.
Кардиологические изменения: В младенчестве 50-60% пациентов с ТС имеют признаки сердечного заболевания, в основном проявляется виде наличия рабдомиомы.
Офтальмологические изменения: не менее 50% пациентов имеют глазные аномалии; в некоторых исследованиях сообщается, что распространенность достигает 80%; эти поражения являются астроцитомами сетчатки, которые со временем имеют тенденцию кальцинироваться.
Легочные изменения: исследования выявили кистозные изменения легочной ткани у 40% женщин с ТС.
Почечные изменения: В первую очередь почечная ткань обычно поражается кистами, так как комплекс мутаций при туберозном склерозе близок с комплексом мутаций при поликистозе. Так же в почках часто выявляют липомы и ангиомиолипомами. Также у пациентов может возникать почечно-клеточные карциномы.
Стоматологические изменения: фибромы в полости рта встречается у 70% взрослых.
Нарушения со стороны скелета: склеротические и гипертрофические поражения костной ткани могут случайно обнаруживаться при рентгенографии.
Диагностика туберозного склероза
ТС диагностируется с помощью генетического исследования и серии клинико-лабораторных тестов, которые включают:
- МРТ головного мозга
- Электрокардиограмма
- Эхокардиограмма
- УЗИ почек
- Проверка зрения
- ЭЭГ
- Осмотр пациента с помощью лампы Вуда ( излучающей ультрафиолетовый свет)
Судороги или задержка развития часто являются первым признаком ТС. С этим заболеванием связан широкий спектр симптомов, и для точного диагноза потребуется широкий спектр обследований.
Радиологические особенности
Методом выбора для обследования пинетов с туберозным склерозом является МРТ, при данном виде исследований для нас наиболее информативны две анатомические области - головной мозг и почки.
Головной мозг
Для детей раннего возраста, на еще незавершенных процессов миелинизации наиболее типичными изменили является линейные очаги на Т2ВИ выявляемые по ходу миграционных путей больших полушарий головного мозга. Эти изменения могут сочетаться с кортикальными и субкортикальными очагами ( туберами ), так и быть единственным проявлениям при МРТ исследовании. Наличие кортикальных и субкортикальных туберов типично для всех возрастных групп пациентов. В их проекции могут формироваться кисты, так же они могут быть частично или полностью кальцинированы. Их размеры и количество варьируется индивидуально для каждого больного.
Наиболее типичная локализация большие полушария головного мозга, однако у 15% пациентов туберы могут располагаться в мозжечке. Туберы представляют собой глионейрональные гамартомы и состоят из дезорганизованной клеточной ткани белого вещества.
На стенках боковых желудочков выявляются субэпендимные узлы, которые часто накапливают кальций. Если эти узлы располагаются вблизи отверстия Монро , то эти узлы принято считать астроцитомати. Субэпендимальная гигантоклеточная астроцитома (СЕГА) распологаются вблизи отверстия Монро ( обращаю ваше внимание что данный термин используется для образований размерами свыше 5 мм). Для правильной оценки размеров астроцитом необходимо использовать контрастное усиление. Оценка размеров СЕГА очень важна для оценки динамики течения заболевания, поэтому в протоколе исследования необходимо указывать не только три максимальных поперечных размера образования но и считать объем опухоли. Расчет объема производится по формуле определения объема эллипсоида (задается следующей формулой: 4/3pi*abc). Оценка размеров производится только на контрастных последовательностях.
Мочевыделительная система (Почки)
МР оценка почечной ткани так же очень важна для диагностики и оценке течения заболевания. При УЗИ и МРТ в почках выявляются разнокалиберные кисты, липомы и ангиомиолипомы. Данные литературных источников ставят основной акцент на выявлении кист в почках, из-за близости мутаций при туберозном склерозе и поликистозе почек. Однако это не совсем так, основной акцент стоит уделять выявлению ангиомиолипом (АМЛ). Разделяют два их основных типа это АМЛ с низким содержанием жира и эпителиоидный АМЛ. Так как для пациентов с туберозным склерозом так же могут формироваться злокачественные образования (карциномы). Карциномы развиваются сами по себе, но они очень похожи на АМЛ с низким содержанием белка, поэтому эти АМЛ необходимо описывать их отдельно, чтобы не пропустить образование. Классические ангиомилипомы выглядят гиперинтенсивными на T1- и T2-взвешенных изображениях и гипоинтенсивными на T1-взвешенных изображениях.
Cердечно-сосудистая система
ЭХОКГ - У части пациентов с ТС отмечается наличие рабдомиом. Рабдомиома — это разновидность доброкачественной опухоли миокарда, которая считается самой распространенной опухолью сердца. Развивается наиболее часто у детей в возрасте младше 15 лет. Рабдомиома может локализоваться в любом отделе сердца, исключая клапанный аппарат, наиболее часто — в желудочках, зачастую имеет внутриполостной характер роста.
Туберозный склероз симптомы и диагностика у детей
Туберозный склероз, или болезнь Бурневиля - генетическое заболевание, которое характеризуется специфическим комплексом изменений нервной системы и кожи, а также наличием доброкачественных опухолей (гамартом) в различных органах (головной мозг, легкие, почки). Болезнь обусловлена нарушениями генов, кодирующих белки гамартин и туберин, и, окончательный диагноз ставится на основании генетических анализов, но вместе с тем типичная МРТ-картина позволяет поставить верный диагноз в большинстве случаев.

Клинически заболевание манифестирует судорожными припадками (эпилепсией) в детском возрасте. Туберозный склероз помогают заподозрить внешние изменения на коже: ангиофибромы лица, «шагреневая» кожа, мягкие кожные фибромы и т.д.
При подозрении на эту болезнь обязательно следует проводить МРТ головного мозга. При этом в головном мозге выявляются характерные МРТ-признаки туберозного склероза: корковые и подкорковые узлы (туберсы), субэпендимальные узелки (гамартомы), а также различные изменения белого вещества - очаговые и кистозные.

К сожалению, многие врачи недостаточно знакомы с симптомами, поэтому болезнь нередко просматривается на МРТ, и пациентам ставится другой, неверный диагноз. Дополнительная опасность заключается в том, что субэпендимальные узелки способны перерождаться в опухоль - т.н. субэпендимальную гигантоклеточную астроцитому.
Поэтому необходимо не просто повторять МРТ на качественном аппарате, но и показать снимки квалифицированным рентгенологам, которые досконально знают диагностику болезней мозга и могут детально разобраться в проблеме.
Оказать дистанционную консультацию по МРТ и выполнить удаленную расшифровку МРТ могут врачи всероссийской службы Национальной телерадиологической сети.
Узнайте подробнее, как получить Второе мнение по КТ и МРТ головного мозга.

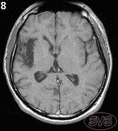
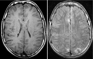
МРТ головного мозга при туберозном склерозе. Участки изменения МР-сигнала неправильной формы в коре и подкорковом белом веществе — так называемые корковые туберсы.

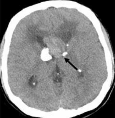
КТ головного мозга при туберозном склерозе. Видны кальцинированные субэпендимальные узелки в стенках боковых желудочков.
Читайте также:
- Частотно-зависимая блокада проведения и абберации в сердце. Нарушения реполяризации (кривые ST-T)
- Примеры лечения огнестрельных ранений кисти
- Общий артериальный ствол. Признаки и диагностика общего артериального ствола.
- Частота повреждений грудного протока при ранениях шеи
- Общая хирургическая инфекция. Классификация общей хирургической инфекции в ветеринарии
