Доброкачественные опухоли костей и костные кисты
Добавил пользователь Валентин П. Обновлено: 22.11.2025
Учебное пособие подготовлено кафедрами рентгенологии (зав. кафедрой — проф. М. К. Михайлов) и рентгенологии-радиологии (зав кафедрой — проф. Г. И. Володина) Казанского государственного института усовершенствования врачей.
Другие доброкачественные опухоли.
Остеохондрома. Остеохондрома — одиночная, в редких случаях — множественная опухоль, состоящая из костной и хрящевой ткани. М. В. Волков отмечает, что разница между хондромой и остеохондромой — количественная в смысле степени оссификации опухоли.
М. В. Волков считает, что под остеохондромами именуются обызвествившиеся хондромы. «Когда речь идет об остеохондроме, чаще всего подразумевается оссифицирующая хондрома, хондрома с известковыми включениями». С подобной точкой зрения согласиться нельзя. Морфологическая картина истинных остеохондром описана Т. П. Виноградовой. Наши клинико-рентгенологические наблюдения выявили определенные различия в картине хондром и остеохондром. Остеохондромы, в отличие от хондром, преимущественно локализуются в длинных трубчатых костях (медиальная поверхность проксимального метафиза плечевой кости, дистальный метафиз, эпифиз бедренной кости, проксимальный метафиз большеберцовой и проксимальный метафиз, эпифиз малоберцовой кости и др.) и соединены с основной костью ножкой. Из плоских костей чаще других поражаются лопатка, ребра, кости таза. Остеохондрома может исходить из отростков позвонков и мелких костей.
Наши данные подтверждают имеющиеся в литературе сведения о преимущественной локализации остеохондром в длинных трубчатых костях и лопатке. Указанные локализации для хондром являются редкостью.
Рентгенологическая картина остеохондром достаточно типична. Однако нельзя полностью согласиться с описанием остеохондромы, представленной в руководстве С. А. Рейнберга «Остеохондрома лишь мало отличается от остеомы: она кроме костной содержит еще хрящевую ткань, покрывающую поверхность опухоли в виде шляпки». Подобное описание характеризует юношеские костно-хрящевые экзостозы (дисплазия).
Остеохондрома на рентгенограмме представлена в виде дополнительной тени, соединенной с костью ножкой или реже — широким основанием. Растет в сторону от сустава, медленно, но может достигать больших размеров. Контуры остеохондромы бугристые, неровные. Кортикальный слой в виде тонкой окаймляющей пластинки прослеживается на всем протяжении опухоли. Иногда корковое вещество лучеобразно направлено к поверхности опухоли. Обращает внимание сочетание мелких участков деструкции (хрящевая ткань) с наличием трабекулярного рисунка и массивных вкраплений известковых теней. При больших размерах остеохондром наблюдаются деформации соседних костей. Например, выраженное искривление и деформация кортикального слоя малоберцовой кости при больших размерах остеохондромы большеберцовой кости. Мы наблюдали также раздвигание и деформацию ребер при остеохондроме ребра у ребенка 11 лет.
Остеохондрому приходится дифференцировать с одиночными и множественными костно-хрящевыми экзостозами, которые относятся к дисплазиям. В длинных трубчатых костях костно-хрящевые экзостозы располагаются в области метафизов, и по мере роста как бы сдвигаются к диафизу. Костно-хрящевые экзостозы имеют многообразную форму, окружены компактной костной пластинкой, которая переходит с основной кости. Структура экзостозов напоминает структуру трубчатой кости. У линейных экзостозов с выраженной ножкой хрящевой «колпачок» определяется на его вершине; при шаровидной форме экзостоза хрящ находится по всей сферической поверхности. Он может обызвествляться, и на рентгенограммах определяются известковые включения, часто менее выраженные, чем при остеохондроме, В пользу костно-хрящевых экзостозов следует отнести полиоссальность. поражения и аномалии развития костей, часто наблюдающиеся при дисплазии.
Остеохондрома может озлокачествляться. Известны озлокачествления остеохондром лопатки и костей таза, остеохондром длинных трубчатых костей. Мы наблюдали малигнизацию остеохондром ребра (I), плечевой кости (I), короткой трубчатой кости стопы (I). Эти изменения характеризуются появлением сильной боли, разрушением кортикального слоя, выраженной деструкцией и дополнительной мягкотканной тенью за пределами остеохондромы. Лечение остеохондромы — хирургическое.
Доброкачественные опухоли из разновидностей соединительной ткани
К этой группе доброкачественных опухолей относятся редко встречающиеся новообразования — фиброма, липома и миксома.
Фиброма выявляется у лиц любого возраста, но преимущественно в детском и во втором — четвертом десятилетии жизни. Описаны фибромы верхней и нижней челюсти, длинных трубчатых костей, лопатки. Клинически фиброма проявляется болями и некоторой деформацией кости в области расположения опухоли. Рентгенологическая картина фибромы малотипична. Определяется незначительное вздутие кости за счет центрально, реже — эксцентрически расположенного очага деструкции костной ткани с тонким рисунком трабекул. Кортикальный слой истончен, но не прерывается. Иногда опухоль распространяется по всему длиннику диафиза, вызывая веретенообразную деформацию. Мы наблюдали три случая фибромы кости (подтверждено гистологическим исследованием), локализующиеся в проксимальном метадиафизе бедренной кости. Во всех случаях наступила деформация кости по типу «пастушьей палки». Отмечалось умеренное вздутие метадиафиза за счет очагов деструкции сливного характера с наличием трабекул. Кортикальный слой неравномерно истончен.
Дифференциальная диагностика фибром кости с монооссальными формами фиброзной дисплазии представляет трудности в связи с общностью ряда рентгенологических признаков.
Рентгенологическая картина при монооссальной форме фиброзной дисплазии отличается большим разнообразием. Процесс локализуется преимущественно в метафизах и диафизах трубчатых костей. Кость может быть вздутой, расширенной в поперечнике, искривленной. Участки разрежения костной ткани различных размеров и формы, иногда с ячеистой структурой, располагаются обычно эксцентрично в кортикальном слое; описаны также субкортикальные и субпериостальные локализации очагов. Часто обнаруживаются участки уплотнения кости. Кортикальный слой может быть компенсаторно утолщённым, но обычно истончается. Характерны волнистость, фестончатость внутреннего контура кортикального слоя и симптом «матового стекла» (структура очага). Течение фибром доброкачественное. Возможен патологический перелом.
Липома кости — очень редкая опухоль, локализующаяся в длинных трубчатых костях юкстакортикально и паростально. Каких-либо характерных клинико-рентгенологических признаков липома кости не имеет. На рентгенограммах определяется, по выражению С. А. Рейнберга, «нежное просветление». Решающее диагностическое значение приобретает морфологическое исследование.
Миксома кости — редкая опухоль, существование которой рядом авторов отрицается. Описаны миксомы в костях челюсти, в длинных и коротких трубчатых костях. При интерпретации рентгенограмм при миксоме кости создается впечатление о хондромиксоидной фиброме или хондробластоме.
Доброкачественная опухоль из хордальной ткани — хордома
Хордома развивается из персистирующих остатков хорды. Преимущественная локализация хордомы — это область сфеноокципитального сочленения и крестцово-копчиковый отдел позвоночника. Сведения о частоте отдельных форм хордомы весьма разноречивы.
Jaffe приводит следующие данные: кранильные хордомы — в 35%, вертебральные — в 10%, каудальные — 55%. По данным С. А. Рейнберга, 60% всех хордом определяется в области крестца, в частности, 40% У основания копчика и только небольшой процент хордом локализуется в области основания черепа.
Возраст больных разнообразный: редко — у детей и юношей; чаще — в зрелом возрасте. Мужчины заболевают чаще, чем женщины. Клинически хордома может быть доброкачественной и злокачественной. Некоторые авторы (С. А. Рейнберг) относят хордому к злокачественным новообразованиям.
Хордомы могут достигать больших размеров, особенно при их локализации в каудальном отделе позвоночника. Клиническая картина во многом зависит от направления роста хордомы. При росте в спинномозговой канал опухоль вызывает симптомы сдавления спинного мозга, конского хвоста и корешков нервов.
Рентгенологическая картина хордом характеризуется наличием очага деструкции, захватывающего ряд позвонков. Костный дефект представляется однородным, либо крупнокамерным за счет тонких костных полосок. Показаны боковые рентгенограммы крестца, на которых при хордоме определяется увеличение передне-заднего размера крестца за счет экспансивного роста опухоли. В отдельных случаях в опухоли прослеживаются небольшие костные включения, которые могут служить поводом для ошибочной диагностики тератом, особенно в детском возрасте. (В детском возрасте тератомы встречаются часто, их соотношение с хордомами, по данным М. В. Волкова, 60:2).
Лечение хордом — оперативное. В случаях нерадикального хирургического вмешательства могут возникать рецидивы опухоли.
Доброкачественные опухоли костей из сосудистой ткани
Ангиома. Сосудистые опухоли костей описаны в отечественной литературе в конце прошлого столетия (М. Ф. Матвеев, 1886 и П. И. Дьяконов, 1889). Различают капиллярные и венозные ангиомы. Макроскопический вид опухоли различается в зависимости от ее типа, что в определенной степени сказывается на разнообразии рентгено-морфологических вариантов ангиом.
Чаще всего ангиомы локализуются в позвонках и костях свода черепа. Внепозвоночные локализации ангиом редки (длинные трубчатые кости; кости таза, стопы, лопатки, челюсти). Ангиома может быть солитарной и множественной. Множественные ангиомы обычно локализуются в позвонках. Описаны сочетания ангиом костей с ангиомами кожи и реже — печени. Возраст больных, в котором выявляется опухоль, 35—45 лет. В то же время описаны редкие случаи ангиом в детском и старческом возрасте. В позвонках людей старческого возраста при аутопсии нередко находят ангиоматозные узелки на фоне остеопороза, но они не являются, как указывает Т. П. Виноградова, ангиомами.
Клиника зависит от локализации и ее распространенности. При ангиоме позвонка больных беспокоит локальная боль, утомляемость при ходьбе. В случаях значительного разрушения позвонка и компрессии его могут развиваться корешковые или спинномозговые симптомы. Мы наблюдали больных с ангиомами Т7 - 8 которые предъявляли жалобы на боли за грудиной и обследовались в терапевтических клиниках по поводу стенокардии. Ангиомы костей свода черепа вызывают головную боль в случаях деформации кости внутрь. При поражении основной кости может наблюдаться экзофтальм. Рентгенологическая картина ангиом позвонка весьма характерна. Кортикальный слой сохраняется, межпозвонковые диски не повреждаются. Структура позвонка при ангиоме представлена вертикально идущими утолщенными трабекулами с просветлениями между ними. Это наиболее частый вариант перестройки костной структуры тела позвонка при ангиоме. В отдельных случаях может наблюдаться остеопороз или мелко-ячеистая перестройка. Пораженный позвонок в некоторых случаях представляется деформированным по типу «бочонка». При ангиоме позвонка в процесс могут вовлекаться и дужки, которые на рентгенограммах представляются несколько утолщенными; выявляются те же структурные изменения, что и в теле позвонка.
При компрессии тела позвонка уменьшается его высота, уплотняется структура, и в этих случаях диагностика ангиом представляет определенные трудности. Возникает необходимость дифференциальной диагностики ангиомы позвонка и туберкулезного спондилита, а также метастаза рака. Сходными симптомами этих заболеваний является боль, картина компрессионного перелома, остеопороз. Однако при туберкулезном спондилите определяется очаг деструкции, прорыв очага некроза через краниальную или каудальную пластинку с вовлечением в процесс соседнего позвонка и деформацией межпозвонкового диска. При метастатическом поражении позвонка, помимо остеопороза выявляются очаги деструкции костной ткани с неровными контурами, нарушается кортикальный слой, но межпозвонковые диски, как и при ангиоме, не нарушаются.
В костях свода черепа ангиома представлена четко отграниченным участком перестройки костной структуры по мелкоячеистому типу. Чаще наблюдается незначительное вздутие кости, истончение и частичное разрушение наружной или внутренней костной пластинки и характерный лучеобразный структурный рисунок за счет различной толщины костных перекладин.
Реже гемангиома может локализоваться в ребрах. Как правило, поражается одно ребро, но описаны гемангиомы двух ребер, сочетание гемангиомы ребер и позвонков. В подавляющем большинстве случаев наблюдается поражение вертебрального отрезка ребра на протяжении 5—10 см. Пораженный участок ребра бывает незначительно веретенообразно утолщенным или резко вздутым. Кортикальный слой истончен. Костная структура перестроена по мелко-ячеистому типу. Размеры и форма ячеек значительно варьируют. Между ячейками костные перекладины имеют различную толщину. Они так же, как и ячейки преимущественно располагаются в продольном направлении, что создает на рентгенограммах продольную исчерченность. Ангиома в длинных трубчатых костях локализуется в метафизе и диафизе. Может поражаться весь длинник диафиза, который представляется неравномерно расширенным. Кортикальный слой на отдельных участках не прослеживается, контуры кости бывают неровными из-за выраженной реакции надкостницы. Структура кости перестроена по мелко-ячеистому типу с продольным расположением очагов деструкции с отдельными линейными участками склероза.
При ангиомах позвонков и костей свода черепа эффективной оказывается лучевая терапия. При динамических рентгенологических наблюдениях, особенно после второго курса лучевой терапии, отмечается некоторое уплотнение костной структуры. При ангиомах длинных трубчатых костей применяется оперативное лечение.
Эозинофильная гранулема
Описана Н. И. Таратыновым в 1913 году. Относят к Х ретикулезам (Lichtenstein), но есть все основания рассматривать ее в группе опухолей. Болеют преимущественно дети школьного возраста. Но нам приходилось наблюдать это заболевание у 2—3 летних детей, а также у лиц среднего возраста.
Клиническое течение процесса характеризуется наличием болезненного опухолевого образования в мягких тканях, достаточно плотного на ощупь, неподвижного, связанного с костью. В редких случаях может отмечаться субфебрильная температура тела и умеренная эозинофилия. Болезнь может протекать месяцами. В отдельных случаях поражение костей сочетается с одновременным поражением легких или кожи, что усугубляет клиническое течение заболевания. Локализация процесса разнообразна. Чаще поражаются плоские кости — кости свода черепа, таза, ребра. В костях таза эозинофильная гранулема может располагаться в верхней ветви лонной кости и в области симфиза. Могут поражаться длинные трубчатые кости и буквально все отделы скелета.
При локализации очага деструкции в диафизе длинных трубчатых костей возможна периостальная реакция.
Рентгенологическая картина весьма характерна. Определяется деструкция кости. Очаги деструкции одиночные и множественные, часто сливного характера. Может быть поражена одна кость или несколько костей одновременно. Форма очагов деструкции разнообразная — округлая, неправильно овальная, но чаще картообразная. Диаметр очагов деструкции от 0,5 до 5 и более см. В случаях сливного характера очагов деструкции могут прослеживаться костные перемычки. Контуры очагов деструкции, как правило, четкие. Очаги деструкции в отдельных случаях могут быть окаймлены ободком склероза. Очаги деструкции исходят из костного мозга, но быстро изнутри прорастают и компактную ткань. Кортикальный слой неравномерно истончается.
Морфо-рентгенологическая динамика эозинофильной гранулемы может быть представлена следующим образом: первоначально в зоне костномозгового канала или диплоэ определяется участок остеопороза — разрежение костной структуры с довольно четкими контурами. Эти изменения протекают бессимптомно. В этот период больные не обращаются еще за помощью. По истечении времени, участок остеопороза сменяет развившийся участок деструкции.
После проведенной лучевой терапии начинает восстанавливаться костная структура и в благоприятных случаях спустя 12—13 месяцев после дистанционной гамма-терапии очаг деструкции полностью замещается костной тканью. При дифференциальной диагностике эозинофильной гранулемы наибольшее практическое значение имеют воспалительные процессы — первично хронический остеомиелит.
При костной форме ксантоматоза выражена триада симптомов. Помимо очагов деструкции костной ткани в плоских костях, отмечается несахарный диабет и пучеглазие. Очаги деструкции в плоских костях распространяются как на наружную, так и на внутреннюю пластинку. Очаги деструкции обычно множественные с четкими контурами.
Амелобластома - симптомы и лечение
Что такое амелобластома? Причины возникновения, диагностику и методы лечения разберем в статье доктора Куфтарева Виталия Александровича, стоматолога со стажем в 10 лет.
Над статьей доктора Куфтарева Виталия Александровича работали литературный редактор Вера Васина , научный редактор Елена Страндстрем и шеф-редактор Маргарита Тихонова

Определение болезни. Причины заболевания
Амелобластома (Ameloblastoma) — это доброкачественная опухоль, которая развивается из зубообразующих тканей. По мере её роста деформируются черты лица, смещаются и расшатываются зубы.
Амелобластома развивается медленно и бессимптомно, чаще возникает в области угла и ветви нижней челюсти. Почти никогда не вызывает воспаления.
![Амелобластома [11]](https://probolezny.ru/media/bolezny/ameloblastoma/ameloblastoma-11_s.jpg)
Существует редкий аналог данной опухоли — злокачественная амелобластома, относящаяся к группе одонтогенных раков. Она может давать метастазы в другие органы, например в кости, селезёнку, печень и лёгкие [1] .
Распространённость амелобластомы
Амелобластомы составляют примерно 1 % от всех случаев опухолей лица. В большинстве случаев они возникают в возрасте 30-40 лет. Мужчины и женщины болеют одинаково часто [1] [10] .
Причины развития амелобластомы
Точные причины появления амелобластомы не установлены. По одной из версий, она возникает из-за патологии развития зубного зачатка, по другой — происходит из одонтогенных эпителиальных остатков (островков Малассе).
При обнаружении схожих симптомов проконсультируйтесь у врача. Не занимайтесь самолечением - это опасно для вашего здоровья!
Симптомы амелобластомы
Чаще всего амеобластома возникает в области угла и ветви нижней челюсти, в области зубов мудрости [9] . На ранних стадиях заболевание протекает без симптомов.
Амелобластома относится к доброкачественным опухолям, которые развиваются внутри кости нижней челюсти. Как правило, она растёт медленно [10] . Если болезнь не лечить, то расшатываются и смещаются зубы, деформируется прикус. В дальнейшем, при достижении больших размеров опухоли, нарушается симметрия лица. Таким пациентам требуются обширные хирургические вмешательства и длительная реабилитация.
Иногда амелобластомы сочетаются с зубными кистами и непрорезавшимися зубами [9] . Но эти процессы могут развиваться и независимо друг от друга.
Патогенез амелобластомы
Амелобластома возникает из-за бесконтрольного деления клеток-предшественников тканей зуба (эмалевого органа), которые остались после его формирования. В большинстве случаев сами клетки не меняются, от нормальных они отличаются расположением относительно друг друга и высокой скоростью роста. В результате образуется опухоль, которая постепенно увеличивается, но не причиняет беспокойства, пока не достигнет больших размеров.
Что именно запускает развитие амелобластомы, пока неизвестно [10] .
Классификация и стадии развития амелобластомы
По Международной классификации болезней (МКБ-10) амелобластоме присвоены коды D16.4, D16.5: доброкачественное новообразование костей черепа и лица; доброкачественное новообразование нижней челюсти костной части.
Выделяют два типа амелобластом:
- Доброкачественные:
- солидная (поликистозная);
- уникистозная;
- внекостная (периферическая);
- десмопластическая.
- Злокачественные:
- метастазирующая амелобластома;
- амелобластная карцинома [1][10] .
Все эти формы проявляются одинаково: растут и деформируют лицо. Они различаются только по своему строению, что определяет тактику лечения.
Поликистозная форма встречается чаще всего, как правило поражает нижнюю челюсть. Возникает из остатков однотогенного эпителия, из которого образовались зубы. По структуре напоминает пчелиные соты или мыльные пузыри. Опухоль состоит из каркаса эпителиальных клеток, между которыми содержатся коллагеновые волокна. В клеточном компоненте выделяют периферическую и центральную части. Периферическая часть состоит из вытянутых и многоугольных клеток (столбчатых и звёздчатых). Клетки центральной части по своему строению отдалённо напоминают зубной зачаток.
Если рассматривать срез опухоли под микроскопом, можно условно выделить шесть подтипов:
- фолликулярную амелобластому — состоит из множества мелких островков клеток, при таком строении чаще всего формируется киста (пустое ограниченное пространство, заполненное жидкостью);
- плексиформную — образована из « склеившихся » островков эпителия с двойными рядами клеток-столбиков, расположенных « спина к спине » ;
- акантоматозную — полигональные клетки ( « звёздочки » ) теряют свои отростки и образуют кератиновый жемчуг в центре опухоли;
- базально-клеточную — клетки менее столбчатые, расположены в виде листов;
- гранулярную — в цитоплазме звёздчатых клеток появляются крупнозернистые включения (гранулы);
- десмопластическую — наблюдается плотная коллагеновая строма.
![Формы амелобластом: A, E — фолликулярная; B, F — плексиформная; C, G — акантоматозная; D, H — десмопластическая [12]](https://probolezny.ru/media/bolezny/ameloblastoma/formy-ameloblastom-a-e-follikulyarnaya-b-f-pleksiformnaya-c-g-akantomatoznaya-d-h-desmoplasticheskaya-12_s.jpg)
Уникистозная форма — вторая по распространённости после поликистозной амелобластомы. Эта опухоль, как правило, развивается в возрасте 20-30 лет. Часто возникает повторно, примерно раз в семь лет [1] . На рентгеновском снимке опухоль выглядит как фолликулярная киста, но без зачатка зуба. Делится на два подтипа: люминальный и интралюминальный. В первом случае стенка кисты выстилается эпителием амелобластомы, во втором — эпителий выступает внутрь полости. Чаще всего на рентгенограмме определяется одна такая полость, но может быть и несколько.
Периферическая форма — самый редкий вариант. Мужчины болеют примерно в два раза чаще, чем женщины, средний возраст пациентов составляет 50 лет [10] . Опухоль возникает в мягких тканях и не проникает в кости, ограничивается слизистой оболочкой десны и альвеол. Растёт медленно и безболезненно. При исследовании среза опухоли напоминает акантоматозный тип поликистозной амелобластомы [1] .
Десмопластическая форма отличается от остальных необычным гистологическим и рентгенологическим рисунком. На рентгенограмме у неё нет чётких границ, чередуются плотные и прозрачные структуры с неровными краями. Это говорит о большей агрессивности такой формы по сравнению с остальными доброкачественными вариантами. Под микроскопом видна изменённая рыхлая соединительная ткань, окружающая островки эпителиальных клеток. Иногда изменения заметны и в костной ткани.
Метастазирующая амелобластома появляется как следствие озлокачествления одной из доброкачественных форм. Даёт метастазы во внутренние органы, чаще всего в лёгкие. По своему рентгенологическому или гистологическому строению может не отличаться от доброкачественной формы.
Амелобластическая карцинома может развиваться самостоятельно или в результате озлокачествления доброкачественной формы. Амелобластная и амелобластическая — по сути одно и то же, хотя есть незначительные отличия на клеточном уровне. Клетки карциномы становятся низкодифференцированными, т. е. после деления никак не развиваются и не меняются. Опухоль быстро и агрессивно растёт, её клетки обладают повышенной митотической активностью — стараются быстрее разделиться пополам, образуя две опухолевые клетки из одной. Новообразование становится болезненным, может выходить за пределы костной ткани. Диагностируется гистологически, т. е. изучается срез под микроскопом.
Характерные признаки амелобластической карциномы:
- много незрелых клеток с ярко выраженными ядрами (ядерный гиперхроматизм);
- есть очаги некроза — часть клеток опухоли может погибать из-за неадекватного обмена питательных веществ и выведения продуктов жизнедеятельности [1][4][6][10] .
Осложнения амелобластомы
Все осложнения амелобластомы связаны с её инвазивным ростом. При запущенных доброкачественных опухолях может деформироваться лицо и зубные ряды.
К отдалённым осложнениям относится озлокачествление опухоли. Этот процесс протекает бессимптомно, вплоть до поздних стадий, на которых диагностируется несколько опухолей и в других органах. При этом резко снижается вес, появляются сильные боли. Может нарушиться работа поражённых органов, например:
- при поражении лёгких будут проблемы с дыханием [1] ;
- при запущенном поражении костей возникают патологические переломы;
- при метастазировании в область ворот печени может возникнуть механическая желтуха; на ранних стадиях патология выявляется только с помощью биохимического анализа крови (уровня АСТ, АЛТ и щелочной фосфатазы).
Диагностика амелобластомы
При подозрении на амелобластому применяются следующие методы:
- Рентгенограмма (ортопантомограмма) — на двухмерном снимке видна опухоль с характерными признаками амелобластомы (поражение в виде мыльных пузырей), что позволяет предположить этот диагноз.
- КЛКТ (конусно-лучевая компьютерная томография) — трёхмерный снимок даёт больше информации о положении опухоли в костной ткани, её размерах и строении. Но даже с помощью этого метода можно поставить лишь предварительный диагноз [2][3] .
- МРТ (магнитно-резонансная томография) — покажет патологию в мягких тканях.
- Цитологический и гистологический метод — пункция и трепан-биопсия.
Выбор способа диагностики зависит не столько от оснащения лечебного учреждения, сколько от клинической ситуации и информации, которая нужна в данный момент. Первые три метода приведут врача к финальному гистологическому методу, который чаще всего проводится уже после того, как опухоль была удалена хирургическим путём. С его помощью можно установить форму амелобластомы.
Хотя амелобластома крайне редко становится злокачественной (описано около 30 случаев метастазирующей амелобластомы [1] ), целесообразно провести комплексное обследование: МРТ всего организма и анализ крови на онкомаркеры (Ki-67, SOX2). Эти исследования помогут заподозрить наличие злокачественной амелобластомы. Достоверно определить злокачественность опухоль можно только гистологическим методом после операции.
Только проведя весь комплекс диагностических мер и тщательно проанализировав результаты, можно поставить окончательный диагноз и назначить адекватное лечение [2] [3] [7] [9] [10] .
Дифференциальная диагностика
Лечение амелобластомы
Доброкачественные амелобластомы удаляются хирургически с иссечением 1 см здоровых тканей. Чтобы избежать рецидива, очень важно удалить всю опухоль целиком. Как правило, одновременно проводят реконструктивную пластику нижней челюсти с использованием титановых пластин и аутотрансплантата.
Амелобластная карцинома тоже удаляется хирургически, но иссекается больше здоровых тканей — 2-3 см. Затем проводится химио- и лучевая терапия: участок, где располагалась опухоль, облучают рентгеновскими лучами и принимают специальные препараты — цитостатики, которые замедляют пролиферацию (размножение) клеток , но, к сожалению, не только опухолевых, но и и всех быстро делящихся клеток организма.
Злокачественная амелобластома удаляется с иссечением 1-2 см здоровых тканей. Химио- и лучевая терапия обычно не требуются. Злокачественная амелобластома может давать метастазы, в остальном у неё сохраняются признаки доброкачественной опухоли, т. е. сами клетки не претерпевают злокачественного изменения. Лучевая терапия в этом случае не нужна.
Операцию должен проводить хирург, прошедший специальную подготовку: челюстно-лицевой хирург, пластический хирург, хирург-онколог, оториноларинголог.
Целесообразно выбрать более щадящий хирургический метод, сохраняющий функцию нижней челюсти, не обезображивающий лицо пациента и позволяющий избежать рецидива. При расположении опухоли в костном массиве производят частичную резекцию нижней челюсти с сохранением её непрерывности. При обширных амелобластомах, распространяющихся на край нижней челюсти, показана сквозная резекция нижней челюсти, при значительном разрушении ветви с поражением мыщелкового отростка — экзартикуляция нижней челюсти (вместе с опухолью) в пределах здоровых тканей [13] .

Хирургическое лечение зачастую не ограничивается непосредственно операцией по удалению опухоли. Из-за полного отсутствия симптомов на ранних сроках амелобластому обычно диагностируют достаточно поздно, когда она достигает крупных размеров. После её удаления могут оставаться значительные дефекты, нарушающие работу зубочелюстной системы и внешний вид пациента. Поэтому после удаления опухоли, как правило, следуют одна или несколько реконструктивных операций с длительной реабилитацией [5] [7] .
К реконструктивным операциям относятся:
- пересадка костного трансплантанта;
- пересадка кожи и тканевых трансплантантов — проводится, если деформированы мягкие ткани.
После таких операций пациентам рекомендуется находиться в стационаре или дома на больничном. Чаще всего требуется иммобилизация челюстей, т. е. их обездвиживание.
Прогноз. Профилактика
Доброкачественная амелобластома очень часто возникает повторно. В таких случаях снова требуется операция и, вероятнее всего, восстановительная хирургия. Метастазирующая амелобластома и амелобластная карцинома встречается очень редко, поэтому о прогнозе говорить сложно [1] [10] .
Профилактика амелобластомы
Профилактики нет, так как до сих пор не известны причины заболевания. Главным фактором в лечении будет ранняя диагностика, поэтому при появлении первых симптомов следует обратиться к врачу. Ранней диагностике также способствуют регулярные визиты к стоматологу (каждые полгода). Особенно внимательно нужно следить за своим состоянием пациентам, у которых уже была обнаружена и удалена амелобластома.
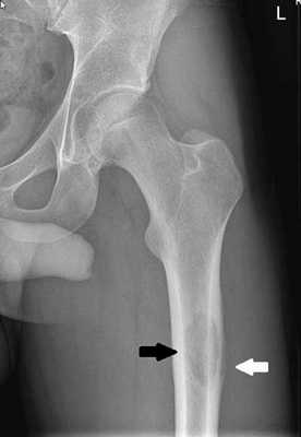
Киста бедренной кости

Киста бедренной кости - доброкачественное новообразование в виде полости внутри того или иного ее отдела. Она заполнена серозной жидкостью или кровью, а ее поверхность выстлана соединительнотканной мембраной. Бедренная кость - вторая по частоте поражения кистами. На нее приходится порядка 25% всех случаев диагностирования подобных новообразований. Обычно они обнаруживаются у детей 5—15 лет, но также могут диагностироваться у взрослых и пожилых людей, особенно страдающих от артроза тазобедренного, коленного суставов и других заболеваний опорно-двигательного аппарата.

Виды кист бедренной кости
Бедренная кость состоит из диафиза (тела), проксимального и дистального эпифизов (головок), а также граничащих с ними метафизов (шеек). Кистозная полость может формироваться в каждом из них, на основании чего различают кисту головки бедренной кости, тела и метафиза. При этом такие образования могут присутствовать только в одной конечности, сразу в обеих или даже в нескольких костях скелета. Эпифизы бедренной кости формируют самые крупные суставы человеческого тела: проксимальный - тазобедренный сустав, дистальный - коленный сустав. Поэтому от расположения новообразования зависит, будут ли симптомы присутствовать в области колена или же наблюдаться со стороны паха и тазобедренного сустава.
Различают 3 основных вида кистозных образований, обнаруживаемых в бедренной кости:
У детей обычно диагностируются образования первых двух видов. Киста бедренной кости у взрослых может быть ранее не диагностированной солитарной, аневризмальной, но чаще она является субхондральной.

Солитарные
Солитарные кисты чаще встречаются у детей. Они преимущественно поражают проксимальный метафиз бедренной кости и не выходят за границы хрящевой эпифизарной линии. Эти линии располагаются сразу за эпифизом и представляют собой у детей зону роста кости. Их клетки до окончания формирования скелета находятся в процессе постоянного митотического деления, что обеспечивает рост кости в длину. Новообразованные хрящевые клетки смещаются дальше от эпифиза и заменяются остеобластами, тем самым формируя новую костную ткань. Солитарные кисты всегда однокамерные и заполнены серозной жидкостью. Они в 3 раза чаще диагностируются у мальчиков.
Аневризмальные
Аневризмальные кисты очень часто образуются именно в бедренной кости, а точнее в ее метафизе и диафизе. Чаще они встречаются у девочек до 20 лет и представляют собой многокамерные полости, заполненные кровью. Такие образования отличаются быстрым ростом и развитием нарушений функций пораженной конечности.
Субхондральные
Субхондральные кисты - кистозные полости в эпифизах бедренной кости, формирующиеся в результате протекания дегенеративно-дистрофических изменений в коленном или тазобедренном суставе. Обычно это множественные образования, отличающиеся размерами и формой. Характерной чертой субхондральных кист является расположение непосредственно под гиалиновым хрящом, покрывающим дистальный или проксимальный эпифиз бедренной кости. Они всегда сопровождают артроз, артрит коленного или тазобедренного сустава, а также асептический некроз. А их симптомы практически неотличимы от клиники этих патологий.
Реже у взрослых обнаруживаются юкстаартикулярные кисты или внутрикостный ганглион. Он так же формируется в субхондральных частях кости, но имеет многокамерную структуру.
Симптомы
Костная киста бедренной кости может длительно протекать бессимптомно, особенно при незначительных размерах. Но по мере ее роста обычно возникают и характерные симптомы с той стороны, с которой наблюдается новообразование. Так, при кисте левой бедренной кости характерные признаки будут присутствовать с левой стороны, при кисте правой бедренной кости, соответственно справа. Это:
преходящие ноющие боли в колене или области паха, склонные возникать и усиливаться при физических нагрузках;
преходящая хромота, нарушения походки с выворотом ноги наружу;
скованность движений, ограничения подвижности;
образование не спаянной с кожей припухлости, иногда болезненной (обычно в области коленного сустава);
снижение опорной функции пораженной конечности.
Изначально небольшие кисты могут со временем достигать огромных размеров, вплоть до распространения по всему сечению кости. Иногда это провоцирует деформацию бедра или пораженного сустава без укорочения кости, но с формированием утолщения в области образования полости.
Наиболее выраженная симптоматика характерна для аневризмальных и субхондральных кист.
Нередко первым проявлением заболевания становится патологический перелом. При этом он может быть получен в результате действия фактора, в нормальных условиях не способного привести к нарушению целостности кости. В результате при проведении рентгенодиагностики перелома кистозная полость обнаруживается случайно и объясняет причины получения травмы.
Для людей зрелого возраста переломы представляют особенную опасность, особенно шейки бедренной кости. Они могут требовать проведения операции, которая не всегда может быть выполнена в силу наличия противопоказаний. А потому такие травмы нередко становятся причиной инвалидности.

Диагностика
При появлении симптомов костной кисты бедра следует обратиться к ортопеду-травматологу. Врач проводит осмотр больного, тесты для оценки объема движений и пальпирует область поражения. При подозрении на наличие новообразования обязательно назначается рентген. Полученные снимки обычно позволяют безошибочно диагностировать кистозную полость и определить не только ее размер, но и вид. Также возможно обнаружение признаков вздутия кости, истончения кортикального слоя.
Иногда для уточнения диагноза дополнительно назначаются УЗИ тазобедренного или коленного сустава, КТ и МРТ.

Лечение кисты бедренной кости
В некоторых случаях патологический перелом и последующее его срастание становится причиной закрытия дефекта. Но рассматривать его в качестве способа избавления от кисты не стоит. В подобных случаях полость может не только не полностью закрыться, но и продолжать увеличиться в размерах, приобретая более агрессивный характер. Наиболее эффективным методом лечения кисты бедренной кости является операция. Но она проводится только при наличии веских показаний. В остальных случаях назначается консервативная терапия, особенно при диагностировании костных кист у детей.
Консервативная терапия
Безоперационное лечение дает наилучшие результаты у детей, так как у них в силу возраста репаративные процессы протекают активнее и полнее. Оно подразумевает прием препаратов группы НПВС, позволяющих уменьшить боли и подавить воспалительные процессы, проведение ЛФК, иногда и физиотерапии. Взрослым пациентам с субхондральными кистами обязательно назначается лечение основного заболевания, спровоцировавшего образование полости в толще костной ткани.
Основным методом консервативного лечения костных кист является пункция. Это инвазивная процедура, выполняемая под местной анестезией. Ее суть состоит во введении в образовавшуюся внутри кости полость иглы и аспирации жидкого содержимого. Если новообразование локализовано в труднодоступном месте, например, в тазобедренном суставе, ведение иглы осуществляется под контролем КТ.
После удаления жидкости стенки кисты прокалывают, а полость промывают физраствором. Это необходимо для ее очищения от ферментов и продуктов распада костной ткани, а также нейтрализации процесса фибринолиза. Последним этапом процедуры является введение в кисту препаратов с антипротеолитическими свойствами, иногда кортикостероидов.
Количество пункций в каждом случае определяется индивидуально. Солитарные кисты пунктируют реже, в среднем раз в 2—4 недели, аневризмальные - каждые 7—10 дней. Эффективность лечения контролируют посредством рентгенодиагностики.
В большинстве случаев консервативное лечение позволяет избежать хирургического вмешательства, а уже через 2 месяца терапии наблюдается уменьшение размеров новообразования. Но для полного восстановления нормальной структуры бедренной кости может потребоваться 1—2 года.
Операция при кисте бедренной кости

Хирургическое удаление кисты чаще всего проводится взрослым пациентам. Детям операции такого рода выполняются только в крайних случаях, когда существует высокий риск развития осложнений. Показаниями к ее проведению являются:
крупные размеры кистозной полости, занимающей более 2/3 поперечного сечения бедренной кости;
угроза выраженного разрушения кости;
расположение в области, на которую постоянно приходятся существенные нагрузки, что резко увеличивает риск получения перелома;
отсутствие эффекта от консервативного лечения после 6—8 месяцев проведения.
В зависимости от размера костной кисты, ее вида, возраста пациента и его общего состояния здоровья, удаление новообразования может осуществляться путем проведения резекции, экскохлеации поврежденной зоны с последующей костной пластикой. В ходе обеих операций все патологически измененные ткани удаляются, а сформировавшийся дефект заполняют синтетическим материалом или фрагментами собственной кости пациента, устанавливают блокирующие системы и т. д.
При нарушениях функции бедренной кости, ее укорочении требуется прибегнуть к чрескостному остеосинтезу. Хирургическое вмешательство этого рода наиболее сложное и травматичное. Оно требует длительного восстановления, которое может занимать 1—1,5 года.
Если же диагностированы субхондральные кисты бедренной кости и тяжелая форма артроза тазобедренного или коленного сустава, пациентам может рекомендоваться эндопротезирование, т. е. замена необратимо разрушенного сустава искусственным протезом.
Более 15 лет практического опыта в травматологии. Обследование и лечение пациентов с заболеваниями коленного и плечевого сустава.
КСС. Костно-суставная система. Опухоли костей. Опухоли из хрящевой ткани. Доброкачественные опухоли из хрящевой ткани. +
Доброкачественные опухоли из хрящевой ткани
Хондрома. Хондромы, как указывает С. А. Рейнберг, наблюдаются преимущественно в детском и юношеском возрасте По данным Т. П. Виноградовой, возраст больных различен с преобладанием со второго по четвертое десятилетие жизни. Из 52 наблюдаемых нами больных хондромой большая часть пациентов, была в возрасте 30—40 лет. Преобладание какого-либо пола среди больных не отмечается. В большинстве случаев поражаются короткие трубчатые кости кисти (примерно в 70% случаев), реже — стоп, затем кости таза, отростки позвонков, грудина. Длинные трубчатые кости поражаются весьма редко. В длинных трубчатых костях хондрома локализуется в метаэпифизарных концах. По данным И. Г. Лагуновой (1962), в среднем и пожилом возрасте хондрома в длинных трубчатых костях располагается в метафизе, распространяясь в эпифиз или диафиз. В наших наблюдениях превалировала метаэпифизарная локализация хондром. В детском возрасте хондромы в длинных трубчатых костях, как правило, поражают метафиз. В коротких трубчатых костях кисти и стопы хондромы чаще бывают множественными, причем отмечается двустороннее поражение. В плоских костях, и особенно в длинных трубчатых костях, наблюдаются солитарные хондромы. Суставы, как правило, не изменены. Но при больших размерах опухоли наступает выраженная деформация костей, механически препятствующих движениям в суставах.
Рентгенологическая картина энхондром довольно характерна. Определяются округлой и овальной формы очаги деструкции костной ткани. Эти очаги деструкции располагаются или центрально, вызывая вздутие кости, или эксцентрично. На хрящевом фоне могут выделяться одиночные костные перемычки и вкрапления извести. В ряде случаев эти известковые вкрапления бывают множественными, сливаются между собою, и как бы заполняют весь хрящевой фон (очаг деструкции). Кортикальный слой неравномерно истончен, местами утолщен, не прерывается. В длинных трубчатых костях очаг деструкции, располагаясь в метаэпифизарном отделе, вызывает умеренное вздутие кости. Истонченный кортикальный слой, как правило, имеет ровные контуры. Возможна булавовидная деформация пораженного отдела кости. Вследствие поражения эпифизарных хрящей у детей может наблюдаться торможение роста кости в длину. Наблюдаются патологические переломы пораженной кости.
Первичные хондромы костей могут озлокачествляться, чаще озлокачествляются хондромы таза и длинных трубчатых костей. Наиболее опасными в смысле озлокачествления являются энхондромы с преобладанием обызвествлений (3 тип хондром по И. Г. Лагуновой). Наблюдаются также озлокачествления хондром ребер. Существует мнение, что хондромы коротких трубчатых костей кисти не озлокачествляются, хотя они имеют менее зрелое строение, чем хондромы таза. Однако мы наблюдали в двух случаях озлокачествление хондром костей кисти.
Экхондрома наблюдается в любом отделе скелета, чаще — локализуется в костях таза. Опухоль растет экзофитно, от кости и в ряде случаев достигает больших размеров. Форма опухоли может быть самой разнообразной. Экхондромы представляют собою скопление хрящевых масс, связанных с костью основанием различной ширины и формы. Наружные границы опухоли определяются с трудом в случаях мало выраженного обызвествления экхондромы. Чаще обызвествления рассеяны по всей массе опухоли или сливаются в крупные конгломераты. В других случаях в опухоли преобладает окостенение. Контуры опухоли становятся более четкими, и на рентгенограммах определяется пятнисто-сетчатый рисунок, причем окостенение более выражено в основании опухоли. Несмотря на разнообразие рентгенологической картины, диагностика экхондромы не представляется трудной, и лишь в редких случаях их приходится отличать от обызвествленной гематомы или оссифицирующего миозита.
Признаки озлокачествления хондром те же, что и других доброкачественных опухолей: нарастание боли, быстрый рост, разрушение кортикального слоя, выход мягкотканной тени за пределы кости, незначительно выраженная периостальная реакция.
Диагностика хондром не представляет больших трудностей, особенно при их локализации в коротких трубчатых костях. При локализации энхондром в длинных трубчатых костях может возникнуть необходимость в проведении дифференциальной диагностики между хондромой и костной кистой. Хондрома преимущественно располагается в метаэпифизарном отделе, в то время как костная киста локализуется в метадиафизарном отделе. Деформация кости при костной кисте приближается к веретенообразной, нет вкраплений извести. Часто первым симптомом костной кисты является патологический перелом, в то время как энхондрома из-за болей обычно определяется до возможного перелома. Сложной бывает дифференциальная диагностика центрально расположенной энхондромы длинных трубчатых костей с хондробластомой, которая обычно располагается в концевых отделах костей. На фоне очага деструкции также прослеживаются участки обызвествления. В отличие от хондромы, вокруг очага деструкции при хондробластоме может иметь место узкая зона склероза и в случаях, если очаг деструкции располагается субкортикально, появляются периостальные наслоения.
Самая трудная дифференциальная диагностика сводится при хондромах к разграничению доброкачественных и злокачественных форм опухолей. Это осложняется тем, что хондросаркомы в ряде случаев характеризуются длительным течением (в нелеченных случаях опухоль может существовать 4—5 лет). В отличие от хондромы, очаг деструкции при хондросаркоме имеет нечеткие, неровные очертания. Хондросаркома прорастает за пределы кости и на фоне мягкотканной тени, вышедшей за пределы кости, определяется крапчатость за счет обызвествлений. В пользу хондросаркомы свидетельствует также характерный периостоз в виде «периостального козырька».
В некоторых случаях лишь морфологическое исследование позволяет установить истинный характер хрящевой опухоли.
Лечение больных с хондромой — хирургическое. Объем хирургического вмешательства индивидуально решается в каждом конкретном случае. При хондромах длинных трубчатых костей в связи с возможной малигнизацией рекомендуется осуществлять резекцию кости с удалением опухоли в пределах здоровой ткани.
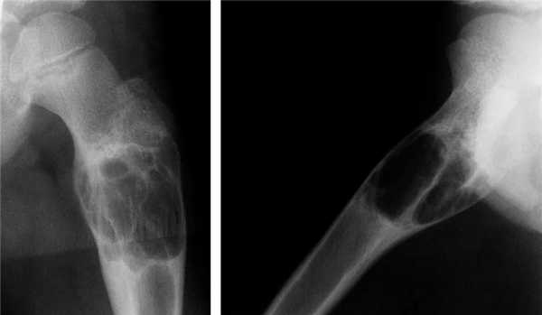
Хондробластома. В 1931 году Codman подробно описал это новообразование костей под названием «эпифизарная хондроматозная гигантоклеточная опухоль». В литературе можно встретить описание ее под названием опухоли Кодмена. В 1942 году Jaffe и Lichtenstein выделили эту опухоль в самостоятельную форму под названием «хондробластома», состоящую в основном из хондробластов.
Хондробластома — это редкая опухоль. Судя по данным литературы, она составляет 1—1,8% среди первичных опухолей костей. Болеют лица обоего поля, но чаще мужского. Хондробластома встречается в любом возрасте, но преимущественно, в детском и юношеском (10—25 лет). Излюбленная локализация — длинные трубчатые кости. Реже хондробластома расположена в лопатке, ребре, пяточной кости, костях кисти и стопы. В длинных трубчатых костях ходробластома поражает эпифиз и метафиз (проксимальный и дистальный отделы бедренной кости, проксимальный — большеберцовой и плечевой кости, проксимальный отдел лучевой кости). Хондробластома распространяется в сторону сустава, и в ряде случаев отмечается реактивный выпот в суставе. Патологические переломы наблюдаются редко.
В клинической картине превалирует боль в месте поражения и в соседнем суставе. Отмечается небольшая припухлость, иногда ограничение движений в суставе и атрофия мышц конечности.
Рентгенологическая картина имеет ряд особенностей. Определяется очаг деструкции округлой или овальной формы. Он не однороден. Вследствие наличия в опухоли участков обызвествления, на рентгенограмме видны крапчатые тени. При субкортикальном расположении очага возможна небольшая периостальная реакция. Кортикальный слой может быть истончен, иногда целостность его нарушается и опухоль выходит за пределы кости, что не является, как и при остеобластокластоме, признаком ее малигнизации.
Дифференциальный диагноз хондробластомы проводится со многими опухолями костей и прежде всего с солитарной хондромой. Сложна диагностика хондробластомы и туберкулезного остита. При потере активности туберкулезный очаг окружен склеротической каймой, что может имитировать хондробластому. При артритической фазе туберкулезного остита боль и выпот в суставе выражены резче. На рентгенограммах определяется изменение высоты суставной щели, утолщение суставной сумки, общий остеопороз костей, что не характерно для хондробластомы. Стихание клинических проявлений при туберкулезном остите после применения специфического лечения, специфические реакции и лабораторные данные разрешают сомнения в диагнозе. Лечение хондробластомы осуществляется хирургическим методом. Прогноз для жизни, как правило, благоприятный.
Хондромиксоидная фиброма. Редкая опухоль, выделенная в самостоятельную форму в 1948 году Jaffe и Lichtenstein. Опухоль локализуется в метафизах или метадиафизах длинных трубчатых костей, преимущественно вблизи коленного сустава. Описаны также хондромиксоидные фибромы мелких костей кисти и стоп, костей таза. Клинические проявления опухоли мало выражены, иногда она довольно длительное время протекает бессимптомно, и устанавливается случайно на рентгенограммах, произведенных по другому поводу.
Рентгенологическая картина представлена в виде очага деструкции, достигающего в длину 4—5, 6—8 см. Иногда очаг деструкции окружен склеротическим ободком, на фоне очага деструкции может прослеживаться трабекулярный рисунок и вкрапления извести. При субпериостальной локализации очага выявляется узурация кортикального слоя, опухоль выходит за пределы кости. Периостальная реакция не типична.
Наибольшие трудности возникают при разграничении доброкачественной хрящевой опухоли от злокачественной. Jaffe отмечает, что для диагноза хондромиксоидной фибромы приходится пользоваться «шестым чувством», соединяя минимальные впечатления в одно целое. Судя по данным литературы, диагностические ошибки совершаются и в настоящее время в сторону гипердиагностики сарком. Все случаи должны быть верифицированы морфологически. Лечение — оперативное.
Читайте также:
- Bacillus cereus. Морфология bacillus cereus. Культуральные свойства bacillus cereus. Клиника отравлений bacillus cereus. Принципы микробиологической диагностики bacillus cereus. Выявление bacillus cereus.
- Анатомия : Мышцы предплечья. Передняя группа мышц предплечья.
- Клиника и диагностика цитомегалии. Лечение и профилактика ЦМВ
- Анатомия: Проводящий путь слухового анализатора. Проводящий путь cлуха.
- ДВС-синдром новорожденных. Морфология ДВС-синдрома новорожденных
