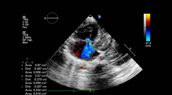
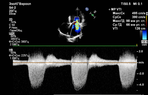
Допплер-ЭхоКГ функции протеза клапана сердца
Добавил пользователь Евгений Кузнецов Обновлено: 28.01.2026
Лекция для врачей "Основы ЭхоКГ: допплерэхокардиография". Лекцию для врачей проводит профессор В. А. Изранов.
На лекции рассмотрены следующие вопросы:
- Основные допплерографические характеристики трансмитрального и транстрикуспидального диастолического потока
- AT (acceleration time) - время ускорения потока, т.е. время от щелчка открытия клапана до пика скорости потока (м\с)
- DT (deceleration time) - время замедления потока, т.е. время от пика скорости до базовой линии (м\с)
- ЕТ (ejection time) - время выброса, т.е. время от щелчка открытия до щелчка закрытия клапана
- Vmax- максимальная скорость потока (м\с)
- Е - раннее диастолическое наполнение (Vmax = 70-100 см\с)
- А - позднее диастолическое наполнение (в момент систолы предсердий, Vmax = 40-70 см\сек)
- Е\А = 1,0-1,5
- Vmean - средняя скорость потока. Вычисляется как сумма скоростей потока, измеренных каждые 2 мс по отношению к числу измерений.
- Основные измерения в допплер эхокардиографическом исследовании
- IVCT (isovolumetric contractility time) время изоволюметрического сокращения - время от щелчка закрытия митрального клапана до щелчка открытия аортального клапана (65±20 мс)
- IVRT (isovolumetric relaxation time) время изоволюметрического расслабления - время от щелчка закрытия аортального клапана до щелчка открытия митрального клапана (65±20 мс). VTI (velocity time integral) - интеграл линейной скорости потока; VTI = Vmean*ET (см)
- Основные уравнения используемые в допплерометрических расчетах
- СО = HR*SV
- SV= CSA*VTI
- VTI = ET*Vmean
- CSA = nD²/4
- ΔР = 4V²(упрощенное уравнение Бернулли)
- CO (cardiac output) - минутный объем кровотока
- HR (heart rate) - частота сердечных сокращений
- SV (stroke volume) - ударный объем
- CSA (crossection area) - площадь поперечного сечения (сосуда или отдела сердца)
- VTI (velocity time integral) - интеграл линейной скорости
- ЕТ (effusion time) - время кровотока
- Vmean - средняя скорость кровотока (вычисляется как сумма скоростей, измеренные каждые 2 мс по отношению к числу измерений)
- ΔР - максимальный градиент давления по разные стороны обструкции (мм рт.ст.)
- V-максимальная скорость кровотока дистальнее обструкции (м\с)
Книга "Эхокардиография от Рыбаковой" - М. К. Рыбакова, В. В. Митьков
![]()
Данное издание представляет собой практическое руководство по эхокардиографии, в котором отражены все современные технологии, применяемые в настоящее время. Исключительный интерес для специалистов представляет CD-ROM с подборкой видеоклипов по всем основным разделам, включающих редкие случаи диагностики.
Особенность издания - попытка объединить и сравнить результаты эхокардиографического исследования сердца и паталогоанатомический материал по всем основным разделам.
Большой интерес представляют разделы, содержащие новые технологии исследования, такие как трех- и четырехмерная реконструкция сердца в реальном времени, тканевая допплерография. Большое внимание уделено также классическим разделам эхокардиографии - оценке легочной гипертензии, клапанных пороков сердца, ишемической болезни сердца и ее осложнений и т.д.
В книге представлены огромный иллюстративный материал, большое количество схем и рисунков, приведены алгоритмы тактики проведения исследования и диагностики по всем разделам эхоКГ.
Руководство помогает разрешить спорные и злободневные вопросы, позволяет ориентироваться в расчетах и измерениях, содержит необходимую справочную информацию.
Книга написана сотрудниками кафедры ультразвуковой диагностики ГБОУ ДПО «Российская медицинская академия последипломного образования'' Министерства здравоохранения Российской Федерации» (база - ГКБ им. С.П. Боткина, Москва).
Издание предназначено для специалистов эхокардиографии, врачей ультразвуковой и функциональной диагностики, кардиологов и терапевтов.Книга "Эхокардиография в таблицах и схемах" - М. К. Рыбакова
![Книга]()
Данная книга содержит большое количество схем и таблиц по всем основным вопросам трансторакального эхокардиографического исследования, помогает разрешить спорные и злободневные вопросы эхокардиографии, позволяет ориентироваться в расчетах и измерениях, содержит необходимую справочную информацию. Подробно описаны нормальная анатомия и физиология сердца, патология клапанного аппарата, мокарда, перикарда, плевральных полостей, аорты, протезированных клапанов сердца, приведены стандартные позиции эхокариографического исследования и расчеты. Особый интерес могут вызвать разделы, посвященные диагностике врожденных пороков сердца у взрослых, объемных образований сердца и средостения и дифференциальной диагностике в эхокардиографии.
Книга УЗИ предназначена для специалистов эхокардиографии, ультразвуковой и функциональной диагностики УЗИ, кардиологов, терапевтов и студентов медицинских вузов.
Книга "Дифференциальная диагностика в эхокардиографии". Издание 2-е. с DVD-ROM - Митьков В. В., Рыбакова М. К.
![Книга]()
Книга написана сотрудниками кафедры ультразвуковой диагностики Российской медицинской академии последипломного образования (база — ГКБ им. С.П. Боткина, Москва) и является 2-м, переработанным и дополненным изданием. Книга является уникальным изданием благодаря представленному дифференциально-диагностическому эхокардиографическому ряду, подкрепленному видеоматериалами и иллюстрациями, которые помогают систематизировать, классифицировать и провести дифференциальную эхокардиографическую диагностику.
Помимо эхограмм, во 2-е издание включены схемы, которые помогают научиться распознавать признаки той или иной патологии сердца или совокупность признаков и оценить характер нарушения гемодинамики, а также в главе 10 добавлен дифференциально-диагностический раздел, посвященный применению контрастных веществ. Книга включает все основные разделы современной кардиологии с позиции дифференциальной диагностики. Прилагаемый диск включает обширный видеоматериал по всем основным разделам с комментариями к нему.
Издание предназначено для специалистов эхокардиографии, врачей ультразвуковой и функциональной диагностики, кардиологов и терапевтов и вызовет интерес как у специалистов со стажем, так и у начинающих эхокардиографистов и студентов медицинских вузов.
Книга "Клиническая эхокардиография" - Шиллер Н. Б., Осипов М. А.
![Книга]()
Книга "Клиническая эхокардиография" написана американским и отечественным специалистами, это самое популярное в России руководство по эхокардиографии. Книга предназначена и для тех кардиологов, которые лишь начинают осваивать эхокардиографию, и для тех, кто уже давно ею занимается.
Изучив руководство, врач сможет выполнять эхокардиографические исследования на самом современном уровне - так, как это делают в Лаборатории эхокардиографии Калифорнийского университета в Сан-Франциско.
Книга "Эхокардиография при врожденных пороках сердца у взрослых" - М. К. Рыбакова, В. В.Митьков
![Книга]()
Диагностика врожденных пороков сердца - один из самых сложных разделов в кардиологии и эхокардиографии. Благодаря современным технологиям в эхокардиографии и пренатальной диагностике сердца плода диагностика врожденных пороков сердца стала более ранней, что способствовало существенному сокращению числа взрослых пациентов с данной патологией. Однако и в настоящее время можно встретить пациентов с различными врожденными пороками сердца даже в весьма почтенном возрасте.
Данное издание содержит историю описания того или иного врожденного порока, подробный анализ гемодинамики, особенностей эхокардиографической диагностики. Книга написана сотрудниками кафедры ультразвуковой диагностики Российской медицинской академии непрерывного последипломного образования (база - ГКБ им. С.П. Боткина, Москва) и включает все основные врожденные пороки сердца у взрослых с позиции эхокардиографии. Большое внимание уделено также дифференциальной диагностике в эхокардиографии при подозрении на врожденный порок сердца у больного, особенностям исследования сердца у детей и подростков, малым аномалиям развития сердца. Издание содержит большое количество иллюстраций и схем, а также примеры эхокардиографических заключений.
Предназначено для специалистов эхокардиографии, врачей ультразвуковой и функциональной диагностики, кардиологов и терапевтов.Эхокардиография после протезирования клапанов
Замена клапана обычно требуется при серьезных клапанных пороках сердца, хотя его замена чаще осуществляется для коррекции значимой регургитации. Искусственные клапаны могут быть классифицированы как биологические или механические. Биологический протез является клапаном, когда полностью или одна часть протеза состоит из биологических тканей животных (биопротез или гетерограф) или человека (гомотрансплантата или аллотрансплантата). Механический клапан полностью изготовлен из небиологического материала (например, пиролитический углерод, литые силиконовые полимерные вещества, или титан). Реологические свойства крови, гемодинамика, долговечность и тромбоэмболические тенденции могут варьироваться в зависимости от типа и размера каждого протеза и, что более важно, от особенности пациента.
Физическое обследование больных с протезированными клапанами отличается от тех пациентов, которые имеют родные клапаны, потому что искусственные клапаны изначально незначительно стенотические и это может привести к дополнительным протезным звукам (вызвано движением закрытия диска). Поэтому часто бывает трудно клинически отличить звук работы между аномальным и нормальным протезированным клапаном. Оценка протезированных клапанов требует досконального знания уникальности их строения и гемодинамического профиля различных протезов. Дисфункция нативного клапан, как правило, подозревают на основании патологических результатов при двумерной эхокардиографии, но это бывает недостаточно, чтобы определить патологию протезированного клапана на трансторакальной эхокардиография. Поэтому, мы полагаемся больше на допплерографические показатели и цветовую визуализацию потоков, а также на чреспищеводную эхокардиографию для выявления дисфункции протезированных клапанов.
Двумерная эхокардиография
Двухмерная эхокардиография может выявить структурные аномалии протеза, такие как фистулу, вегетации, тромб, или дегенерацию ткани протеза. Однако ее чувствительность к сердечной дисфункции протеза затрудняется трудностью визуализации структур вокруг и позади сердечного протеза. Эхо отражение от протезного материала, затухание ультразвукового луча, и несколько других ультразвуковых артефактов от протеза могут вызвать трудности в толковании. Обычно, на эхокардиографии легче изучить изображения биологического протеза, чем механического. Для выявления структурных аномалий, связанных с протезом, важно понимать характеристики протеза и хирургический метод, который был использован.
Эхокардиография и цветное допплеровское картирование
![Эхокардиография после протезирования клапанов]()
Допплер-эхокардиография позволяет выявить скорость потока через протез клапана, что позволяет определять градиенты давления с использованием модифицированного уравнения Бернулли (градиент давления = 4 х скорость в квадрате). Отличная корреляция была установлена между допплеровским методом и инвазивным измерением давления двойным катетером, выполненным одновременно на различных протезированных клапанах. Однако, несколько моделей инвитро показали завышение градиента на аортальном протезе, которые определяются по допплеровским скоростям по сравнению с катетер-производными градиентами. Расхождение данных меньше в протезе с большим опорным кольцом. Потенциальные источники в разнице между допплер-производными и катетер-производными перепадами давления на протезах должны быть учтены, но это не является большой проблемой в выявлении дисфункции протеза.
Непрерывно-волновая допплерография может быть использована для оценки функциональной площади отверстия протеза аортального и митрального клапанов. Время полуспада давления (РНТ) метод, используемый для определения стеноза нативного митрального клапана, обычно переоценивает площадь митрального протеза. Протез клапана изначально стенотический в разной степени по сравнению с соответствующим родным клапаном, поэтому скорость потока через нормальный протез клапана выше, чем ожидаемый на родном клапане. Нормальная скорость протезного потока (следовательно, максимальный и средний градиенты давления) зависит от типа и размера протеза, его расположения и сердечного выброса. Следовательно, очень важно знать нормальные диапазоны скоростей потока для определенных типов протезов для сравнения с измеренными значениями. Поскольку гемодинамика протеза зависит от различных факторов, рекомендуется выполнить базовое допплеровское эхокардиографическое исследование в раннем послеоперационном периоде (сделать «отпечаток» функции протеза), так что он может быть использован в качестве эталона для сравнения с последующими исследованиями. Обе ситуации как регургитация, так и обструкция может привести к увеличению скорости потока через протез. Увеличение скорости потока указывает на то, что имеется несоответствующее меньшее отверстие, когда в протезе есть препятствие и при этом нет клинически значимой регургитации или увеличивается объем потока через протез (есть значимая регургитация).
Другие полезные характеристики допплеровского исследования на эхокардиографии протезов позволяет отличить непроходимость от регургитации. Когда на протезе имеется препятствие, кроме увеличения скорости потока пролонгируется длительность период полуспада РНТ (для протезов митрального и трикуспидального клапана). Увеличение скорости потока через обструкцию аортального протеза не сопровождается увеличением скорости в выходном тракте левого желудочка (ВТЛЖ), но увеличивается при тяжелой регургитации. Когда скорость через митральный или трехстворчатый протез в диастолу увеличивается из-за сильной регургитации, РНТ является нормальным или укороченным, а в ВТЛЖ скорость уменьшается, потому что прямоток из-за регургитации в систолу через протез уменьшается (часть крови попадает обратно в предсердие). Состояние высокого сердечного выброса увеличивает скорость на протезе, и это может быть подтверждено путем записи увеличение скорости потока во всех кардиальных отверстиях (ВТЛЖ, атриовентрикулярных клапанах, выходном тракте правого желудочка).
Обструкция протеза на эхокардиографии
Заболеваемость обструкции протезированных клапанов оценивается в 0,1% до 0,4% в год, в зависимости от размера клапана, его типа, расположения и адекватности антикоагуляции. Тогда как обструкция митрального механического протеза возникает чаще от тромба, причиной сужения механического протеза аортального клапана более часто является формирование паннуса. Когда работа протезированного клапана будет затруднена, происходит нарушение движения диска, шара, или уменьшается подвижность створки. Однако, это трудно выявить эти ситуации, и еще труднее оценить количественно, ограничение экскурсии на простой трансторакальной эхокардиографии. Чреспищеводная эхокардиография может в состоянии визуализировать нормальные и патологические движения протезированного клапана. Самый точный способ для выявления и количественной оценки степени обструкции протезов является допплер-эхокардиография. Допплеровское исследование должны быть выполнены датчиком с различных позиции, чтобы гарантировать, что фиксируется максимальная скорость в месте стриктуры протеза.
Кроме допплеровского отслеживания скорости, максимальный и средний градиенты давления и эффективная площадь клапана могут быть рассчитана по тем же формулам и уравнениям, описанных для нативного клапана. Однако, важно помнить, что само по себе увеличение скорости потока не всегда означает протезную непроходимость. Скорость может быть увеличена без стеноза при состоянии высокого сердечного выброса и при наличии тяжелой протезной регургитации. У больных с митральным протезом, время полуспада (РНТ) - это полезный показатель для определения того, повышена скорость кровотока из-за увеличенного притока (регургитации) или препятствия в протезе. РНТ, а также пиковая скорость потока увеличится, когда кровоток через митральный или трехстворчатый протез затруднен.
Если затруднена работа аортального протеза, скорость потока (следовательно, градиент давления) увеличивается, кроме случаев, если уменьшается сердечный выброс. Увеличение скорости потока через аортальный протез также можно ожидать при тяжелой протезной регургитации (следовательно, увеличения потока через аортальный протез). Однако, при аортальной обструкции (как при аортальном стенозе), при снижении фракции выброса левого желудочка, скорость потока ВТЛЖ может быть нормальной или слегка уменьшенной, и увеличивается при аортальной регургитации. Полезной для дифференциальной диагностики будет отношение средней скорости кровотока ВТЛЖ на протезе и интеграла линейной скорости кровотока. При повышении скорости потока через аортальный протез из-за обструкции протеза соотношение уменьшается, ≤0.2, а при повышении скорости из-за регургитации, соотношение остается нормальным, ≥0.3.
Проведение эхокардиографии после протезирования клапанов
Искусственные (протезные) клапаны и эхокардиография
Они использовались для замены пораженных собственных клапанов с 1960-х годов. Хотя такие операции по-прежнему распространены, в настоящее время хирурги часто пытаются восстановить клапаны (особенно МК), а не заменить их, где это возможно. Протезы можно установить для замены любого из 4-х штатных клапанов. Некоторые пациенты имеют более одного протезного клапана. Они могут состоять из:
- Биологическая ткань клапанов человека или животных
- Материал неклапанной ткани (например, перикард)
- Инертные небиологические материалы (пластик, металл, углерод, ткань).
- Иногда используется комбинация биологической ткани и инертного материала
Механические клапаны. Им необходима антикоагулянтная терапия таким препаратом, как варфарин, для предотвращения тромбоза:
- Шар и клетка (например, Старр - Эдвардс)
- Наклоняемый диск - одностворчатый (например, Бьорк - Шили)
- Протез имеющий две створки (например, St Jude).
Тканевые (биологические) клапаны. Гетеротрансплантат - от животных. Свиной - от свиней. Менее тромбогенный, но менее долговечный, чем механические клапаны (стеноз или регургитация обычно возникает через 10-15 лет). Часто имеют 3 бугорка, сделанные из биологической ткани, прикрепленные 3 металлическими стентами (стойками) к металлическому пришивному кольцу (например, Carpentier - Edwards). Бычий - от крупного рогатого скота. Не часто используется (например, клапан Ионеску - Шили [створки перикарда крупного рогатого скота и титановый каркас]). Первоначально их срок службы был ограничен (3 года), но более эффективные методы консервации (например, криоконсервация) повысили их полезность.
Гомографт - клапан от человекаЧто дает проведение эхокардиографии после имплантации протезов клапанов
ЭхоКГ может оценить:
- Анатомия: кальциноз, дегенерация, правильное сидение, открытие створок, свищ
- Функция: обструкция - у всех протезов есть стеноз в той или иной степени, но он может усилиться при неисправности клапанов.
- Регургитация: через отверстие клапана или парапротезный кровоток (из-за инфекции или раскачивания из-за ослабления швов или дегенерации)
- Инфекция: клапанный эндокардит, парапротезный абсцесс
- Тромбоз протеза
![]()
Эхокардиографическое обследование может быть затруднено, потому что протезные клапаны:
- Имеют разнообразную и специализированную структуру
- Обычно имеют высокую эхогенность (особенно механические клапаны). Они могут создавать эхокардиографические артефакты, такие как очень яркое отражение эха (так называемая реверберация). Они также отбрасывают акустическую тень, которая маскирует или скрывает более глубокие структуры.
- После операции по замене клапана базовое эхокардиографическое исследование часто выполняется через несколько недель. Серийные осмотры могут проводиться через определенные промежутки времени после операции. Тип и размер клапана должны быть указаны в заключении ЭхоКГ. Как указывалось ранее, чреспищеводное исследование является важным дополнением к трансторакальному при исследовании протезов клапанов.
M-режим может давать некоторые характерные черты:
- Клапан Старра - Эдвардса обычно показывает две плотные, почти параллельные эхо-линии, представляющие пришивное кольцо и клетку. Видны только отражения эха от передней поверхности шара, которые отображаются в виде плотных линий. В открытом положении отражение от шара перемещается до линии клетки и никогда не выходит за ее пределы. В закрытом положении эхо-линия от клетки регистрируется на полпути между клеткой и пришивным кольцом в почти параллельном положении. Под кривыми клапана видны реверберации, представляющие отражения эха от задней поверхности шара.
- Клапан St Jude в открытом положении показывает параллельные линии диска, параллельные пришивному кольцу. В закрытом положении эхо-линии не записываются (диск находится внутри пришивного кольца).
- В биопротезах пришивное кольцо выглядит как непрерывная эхо-линия. Створки показывают эхо-кривые, похожие на нативные клапаны, с экскурсией створки, дающей коробчатую форму. Видны эхо-линии, представляющие 2 из 3 стентов.
Проведение двухмерной ЭхоКГ дает важную анатомическую информацию.
- Если подробности хирургического вмешательства недоступны, некоторые аспекты эхокардиографического исследования могут помочь определить, какой тип клапана присутствует (легче выполнить эту оценку для митрального, чем для аортальных клапанов):
- Шар и клетка - характерное полукруглое эхо-изображение клетки с шаром, движущимся вверх и вниз
- Наклонный диск - можно увидеть движение одного или двух дисков при открытии и закрытии
- Ткань - металлические стенты (стойки) часто можно увидеть в полости ЛЖ (митральная позиция) или аорте (аортальная позиция).
Допплеровская ЭхоКГ очень полезно для оценки функции протезного клапана:
- Препятствие кровотоку. Из-за того, что материал этих клапанов не соответствует требованиям, скорость потока через них отличается от обычных стандартных клапанов (см. Таблицу 6.1). Большинство протезов клапанов создают препятствия для кровотока. Можно произвести ряд измерений:
- Пиковая скорость. Она выше, чем в обычных клапанах, из-за относительно меньшей площади отверстия, обусловленной большим объемом искусственного материала. Пример диапазона приведены в таблице. Как правило, пиковая скорость> 2 м/с в МК обычно указывает на дисфункцию как механических, так и биологических протезных клапанов. Скорость потока в протезе аорты обычно
- Градиент давления (ΔP). Этот показатель рассчитывается по упрощенному уравнению Бернулли (ΔP = 4V2).
- Площадь отверстия клапана - измеряется по уравнению непрерывности
ТАБЛИЦА Скорость потока (м/с) через некоторые нормально функционирующие механические и тканевые протезные клапаны
Клапан Митральный Аортальный Шар и клетка Старр - Эдвардс 1,4-2,2 2,6-3,0 Поворотно-дисковый (один диск) Björk-Shiley 1,3-1,8 1,9-2,9 Двустворчатый St Jude 1,2-1,8 2,3-2,8 Свиной биологический Carpentier-Edwards 1,5-2,0 1,9-2,8 Разные эхолаборатории имеют разные диапазоны. В индивидуальном случае более важно изменение скорости от послеоперационных значений.
Регургитация. Она может происходить через отверстие клапана (чрезклапанная) или вокруг пришивного кольца (парапротезная). Легкая транскалапанная митральная регургитация может быть обнаружена в нормально функционирующих клапанах, чаще в механических клапанах. Это связано с закрытием клапана или из-за зазоров между разными частями протеза. Ее бывает трудно обнаружить из-за маскировки тенью протеза. Умеренная или тяжелая митральная регургитация всегда считается патологической.
Непрерывно-волновой допплер более полезен, чем импульсный, а цветное допплеровское картирование кровотока (ЦДК) хорошо для отображения антероградных и ретроградных потоков. Турбулентный кровоток регистрируется в виде мозаики цветов. В митральных биопротезах обычно видна одна струя. В большинстве митральных механических клапанов видны 2 струи (почти равного размера у клапанов Старра - Эдвардса, одна меньше другой в клапанах Бьорка - Шайли).
При регургитации может быть несколько струй разного размера в зависимости от типа клапана (например, 2 струи у Бьорка - Шили, несколько у Старра - Эдвардса). ЦДК также помогает различать чресклапанную и парапротезную регургитацию и помогает выявить новую регургитацию.Проведение эхокардиографии при неисправности протезного клапана
Ошибочный диагноз неисправности может быть поставлен при низком сердечном выбросе, аритмии, такой как атриовентрикулярная блокада, или при плохой хирургической технике (например, если клапан слишком мал или слишком велик для конкретного сердца). Типы неисправностей включают:
- Механические и биологические клапаны: эндокардит, расхождение с фиброзным кольцом (клапан становится расшатанным или отслоенным), регургитация.
- Чаще встречается в механических клапанах: тромб, отклонение (изменение формы или размера)
- Чаще у биологических клапанов: дегенерация - стеноз или регургитация.
![]()
Эхокардиографические признаки неисправности искусственного клапана. По возможности результаты следует сравнивать с базовыми значениями.
- Анатомические аномалии протеза (по М-режиму и 2-мерной эхокардиографии):
- Свободная часть клапана (например, разрыв створки биопротеза)
- Свободные швы
- Аномальное движение - уменьшенное или чрезмерное движение любой части протеза.
- Связанные находки, например кальциноз, тромб, вегетация, абсцесс, увеличенный размер камеры (левого желудочка или предсердия).
- Нарушения гемодинамики протеза (по доплеровскому и цветовому потоку):
- Наличие препятствия может быть вызвано увеличением скорости потока или уменьшением площади отверстия.
- Регургитация - усиление струи или новая струя.
Эндокардит протезов клапанов. Это очень серьезная проблема, которая часто приводит к необходимости хирургической замены клапана, часто после периода лечения внутривенными антибиотиками. Чтобы предотвратить это, необходима профилактика антибиотиками при всех стоматологических процедурах и хирургических вмешательствах. Эндокардит может поражать механические или биологические протезы. Это происходит с частотой 3-5% в год у людей с протезами клапанов.
Следующие данные на эхокардиографии наводят на мысль об эндокардите:- Вегетации (подвижные образования на клапане, движутся в сердечном цикле, но их часто трудно увидеть)
- Неполное закрытие клапана из-за воздействия вегетаций на створки клапана
- Абсцесс виден как плохо отражающие эхо участки вокруг пришивного кольца
- В случае расхождения швов можно увидеть, как швы свободно движутся.
- M-режим может отображать вегетации в виде нескольких толстых эхо-линий, наложенных на M-режим протеза, но и M-режим, и 2D-эхокардиография могут быть затруднены из-за реверберации и маскировки. Небольшие вегетации (
- Допплерография и цветовой поток могут показать гемодинамические последствия эндокардита - чресклапанную регургитацию (вегетации, влияющие на закрытие створки), парапротезную регургитацию (образование абсцесса на линиях швов) или усиление потока вперед из-за препятствия кровотоку вегетациями. Как уже упоминалось, в этих ситуациях очень полезна чреспищеводная эхокардиография.
Тромб. Чаще встречается в механических клапанах и отвечает за многие случаи неисправности протеза. Это может произойти, если контроль антикоагуляции плохой или при наличии расширенных камерах сердца. Антикоагуляция необходима для всех механических клапанов (стремитесь к международному нормализованному отношению [МНО] 3,5-5,0). Восприимчивость протезов клапанов к тромбозу зависит от их положения (связанного с градиентом давления на клапане). Иногда пациенты жалуются, что больше не слышат щелчки клапана — это может быть признаком тромбоза.
ЭхоКГ может обнаружить тромб с помощью:- Визуализации подвижного образования на клапане - ее бывает сложно отличить от вегетаций или кальцинированных узелков
- Уменьшение или отсутствие движения подвижной части клапана (например, шара, диска, створок)
- Сопутствующее расширение камер сердца.
- Как и в случае с вегетациями, в M-режиме может отображаться несколько темных эхо-линий и / или уменьшенное открытие или закрытие клапана. Допплерография и ЦДК могут указывать на препятствие для открытия клапана (повышенная скорость потока) или препятствие для закрытия (новая чресклапанная регургитация или увеличение степени тяжести существующей регургитации).
Расхождение шовного материала может создать неспособность швов прикрепить клапанное кольцо к окружающим нативным тканям из-за ослабления или разрыва одного или нескольких швов. Это может привести к парапротезная регургитации и / или ненормальному движению клапана (например, можно увидеть раскачивание клапана или свободное движение швов).
Регургитация на искусственных клапанах при эхокардиографии
Транскалапанная регургитация. Легкая степень часто рассматривается как часть нормальной функции клапана. Она увеличивается из-за любого фактора, вызывающего неполное закрытие протезных клапанов (например, вегетация, тромб, отклонение или дегенерация). Его можно обнаружить с помощью цветного допплеровского картирования или непрерывно-волнового допплера.
Парапротезная регургитация. Это всегда патология и может быть вызвано эндокардитом (абсцессом), расхождением швов или другими причинами. ЦДК покажет струю регургитации через область за пределами швейного кольца.
Износ протеза. Эта патология реже встречается с более новыми механическими клапанами и происходит из-за изменения формы и размера механического клапана из-за эрозий или трещин в корпусе шара или диска или отложения материала в клапане (например, волокнистой ткани или липидов на шаре или металлической поверхности протеза). Шар или диск становятся больше или меньше, вызывая препятствие или неполное закрытие, соответственно. ЭхоКГ может обнаруживать уменьшение движения шара или диска, увеличение скорости потока или чресклапанную регургитацию.
Дегенерация протеза. В большинстве биологических протезов дегенерация происходит в течение нескольких лет. Это приводит к кальцификации и стенозу и / или разрыву створок клапана и регургитации ближе к концу ожидаемого срока службы клапана. ЭхоКГ может показать кальциноз, аномальное движение створок и / или регургитацию.Эхокардиография (ЭхоКГ) с допплерографией и цветным картированием
Эходопплеркардиография — это инструментальный метод исследования сердца и кровеносных сосудов, при котором применяются ультразвуковые технологии.
Оформите заявку на услугу, мы свяжемся с вами в ближайшее время и ответим на все интересующие вопросы.
Эходопплеркардиография — это инструментальный метод исследования сердца и кровеносных сосудов, при котором применяются ультразвуковые технологии. Как и при «рутинных» (М-режимной и двухмерной) эхокардиографиях (ЭхоКГ), данная методика использует высокочастотные звуковые волны, чтобы создать изображение сердца. Но помимо этого, чтобы определить скорость и направление кровотока, она дополняется эффектом Допплера.
Эхокардиография с допплерометрией, допплеровская эхокардиография — другие названия этой процедуры.
Основные режимы визуализации, применяемые при УЗИ сердца
Ультразвуковое исследование сердца в основном используется для получения двухмерного изображения этого органа и близлежащих магистральных сосудов. А также с помощью этой методики можно оценить скорость и направление кровотока, что требует применение эффекта Допплера. В зависимости от того, как обрабатывается и отображается на мониторе эхо-сигнал, различают следующие режимы ЭхоКГ:
- Двухмерный (2D режим). На монитор выводится изображение сердца в разрезе (в двух измерениях). Данный способ является основным при визуализации этого органа, позволяет детально рассмотреть анатомические отклонения и аномальные движения миокарда, клапанов.
- М-режим (M-mode). Это «усеченный» вариант предыдущего, при котором используется для анализа только одномерное изображение. Основное внимание уделяется одной из линий 2D трассировки, что позволяет более детально исследовать движения створок клапанов и сердечной мышцы.
![]()
![]()
![]()
Для облегчения выявления турбулентного движения (завихрений) существует порог скорости, выше которого происходит изменение цвета (во многих аппаратах это зелены). «Мозаичный» узор на участке турбулентного потока позволяет легко установить регургитацию (смену направления движения), что помогает определить степень недостаточности клапанов.
![]()
![]()
Наличие режимов визуализации сердца не означают, что для каждого из них необходим отдельный УЗИ аппарат. Все современные ультразвуковые приборы для эхокардиографии способны воспроизвести данные режимы. Для этого врачу необходимо только «переключить тумблер» или поменять датчик.
Для получения “полной картины заболевания” обычно используется сочетание нескольких методов визуализации следующих структур:
- клапанов;
- четырех камер сердца;
- перегородок между ними;
- перикарда;
- внутрисердечных масс;
- миокарда.
Так, например, эхокардиография с допплерометрией и цветным допплеровским картированием (ЦДК), которая является сочетанием 2D и М-режимов с допплерометрией, очень полезна при оценке митрального стеноза. Первые два способа визуализации позволяют заподозрить кальцификацию клапана (аномальное движение его створок).
Допплерометрия демонстрирует при этой патологии повышенную скорость кровотока (признак сужения) и может быть использована для оценки «эффективной площади отверстия» (степени выраженности стеноза).
![]()
Эхокардиография наиболее полезна при диагностики следующих патологий:
- пороках сердца: при дисфункции клапана, для контроля за протезами;
- при нарушениях функции левого желудочка: используется для выяснения причины (постинфарктный кардиосклероз, кардиомиопатия и т. д.) и определения фракции выброса (ФВ);
- мерцательной аритмии — оценка структурной причины, риска тромбоэмболии и предполагаемого ответа на кардиоверсию;
- хронической сердечной недостаточности;
- кардиомиопатиях;
- инфекционном эндокардите: включает оценку поражения клапанов, а также степень тяжести гемодинамических нарушений;
- после ишемического инсульта головного мозга с целью определения возможной сердечной причины образования эмболов;
- перикардиальной патологии — наличия жидкости в околосердечной сумке; с помощью эхокардиографии (под ее контролем) можно безопасно удалить перикардиальную жидкость при тампонаде сердца;
- патологии грудного отдела аорты: аневризма, расслоение.
Информация, которая предоставляется с помощью ЭхоКГ, чрезвычайно полезна для врачей при диагностике различных состояний, связанных с сердечно-сосудистыми заболеваниями. Тем не менее, очень важно, чтобы «клиент» понимал, что существует множество «нюансов», которые влияют на правильную постановку диагноза, связанных с эхокардиографией.
Опыт врача, проводящего исследование, вид используемого оборудования — факторы, влияющие на точность диагностики. Неправильно проведенное ультразвуковое исследование, как правило, приводит к избыточному назначению ненужных тестов или даже хирургических вмешательств.
Преимущества и недостатки допплерометрии сердца
ЭхоКГ способна определить направление кровотока, измерить скорость движения крови и сердечной стенки, если она дополняется эффектом Доплера. Одним из недостатков эхокардиографии с допплеровским анализом является то, что для получения точных результатов ультразвуковой луч и поток крови должны быть максимально параллельны, что ограничивает возможность исследовать некоторые отделы сердца.
Измерение скоростных характеристик позволяет оценить:
Допплерэхокардиография позволяет измерить все вышеперечисленные параметры, которые очень важны при оценке детской сердечной патологии (врожденные пороки) без использования инвазивной процедуры — катетеризации сердца. Помимо этого, назначение эхокардиографии с допплеровским анализом ребенку не несет никакой угрозы по сравнению с компьютерной томографией, где используется рентгеновское излучение.
Как ЭхоКГ выполняется (совместно с допплерометрией)
Эхокардиография считается довольно простой медицинской процедурой, не требующей серьезной подготовки. Во время исследования пациента размещают на кушетке. Оператор держит в руке датчик (устройство, напоминающее компьютерную мышь), медленно его перемещает по коже грудной стенки исследуемого. Предварительно врач наносит на кожу специальный гель, чтобы облегчить передвижение датчика. В процессе исследования доктор может попросить перевернуться на тот или иной бок, задержать дыхание на несколько секунд. Процедура обычно длится от 30 до 60 минут.
Эхокардиографию иногда сочетают со стресс-тестом. Сначала выполняют ЭхоКГ в состоянии покоя, а затем повторяют ее во время физических упражнений. Это помогает определить функциональные изменения в сердечной мышце в период перенапряжения. Отклонения могут косвенно указывать на заболевания коронарных артерий.
Трансэзофагеальная ЭхоКГ — методика ультразвукового исследования, которая позволяет более детально просмотреть некоторые отделы сердца (которые плохо визуализируются при обычной, трансторакальной), а также часто используется для получения изображения во время операции на этом органе. Как правило, оно проводится под действием внутривенного наркоза. Тонкий зонд проводится по пищеводу до уровня расположения сердца.
![]()
На сегодняшний день эхокардиография с допплеровским анализом — это неотъемлемая составляющая полного ультразвукового исследования сердца, позволяющая поставить правильный диагноз.
УЗИ клапанов сердца
Все больше УЗИ клапанов сердца на практике выявляет патологию как у взрослых, так и у детей. Эхокардиография является не только самым универсальным методом визуализации для сердечно-сосудистой системы, но и наиболее полным и надежным инструментом оценки гемодинамики. Как только мы обрели уверенность в использовании двумерной (2D) и допплер-эхокардиографии для оценки сердечной гемодинамики и выявления клапанных пороков сердца, то стало очевидным, что все меньше больных с пороками сердца проходят инвазивную оценку работы сердечно-сосудистой системы. Поэтому, гемодинамические показатели на УЗИ клапанов сердца, такие как градиенты давления, площадь стенотического отверстия клапана, регургитация, сердечный выброс, объем регургитации, давление наполнения левого желудочка (ЛЖ), давление в легочной артерии постоянно и надежно измеряются на ЭхоКГ.
В некоторых условиях, допплеровская оценка гемодинамики является более точным, чем инвазивная оценка гемодинамики. Например, градиент давления в стенозированном митральном клапане может быть переоценен при катетеризации сердца при измерении легочного капиллярного давления заклинивания, вместо давления в левом предсердии на УЗИ клапанов сердца используется измерение трансмитрального градиента. Эхокардиографическая оценка клапанной регургитации стала более количественные с использованием допплерографии и цветовой визуализации потока. Чреспищеводная эхокардиография позволяет более четко разграничить клапанную морфологию и обеспечивает более легкий доступ для записи скорости потока легочных вен, которые помогают в определении тяжести митральной регургитации и диастолического давления наполнения. Таким образом, у большинства больных с пороками сердца, УЗИ клапанов сердца должным образом обеспечивает комплексную оценку и дает обширную структурно-функциональную и гемодинамическую информацию. Благодаря этой комплексной эхокардиографической информации, врачи смогут лучше определиться с оптимальной тактикой лечения, в том числе о сроках хирургического вмешательства для больных с клапанными пороками сердца.
![УЗИ клапанов сердца]()
Клинические наблюдения также свидетельствуют о том, что даже гемодинамически незначимые аномалии клапанного аппарата могут иметь огромное прогностическое значение и последствия или, по крайней мере, могут быть связаны с более общими аномалиями сердечно-сосудистой и метаболической системы. Установлено, что склероз и кальциноз аорты и кальцификации митрального кольца были связаны с нарушенным липидным обменом, ненормальной перфузией миокарда, и даже плохой продолжительностью жизни. В общей популяции, факторы риска атеросклероза оказались независимо связаны с патологией аортального клапана. При УЗИ сердца оценка самой клапанной структуры может стать важным суррогатным маркером для более широкого распространения метаболического синдрома и атеросклеротического процесса. Несколько продолжающихся клинических испытаний изучают вопрос о том, как клинически значимый аортальный стеноз может быть предотвращен или замедлен при активном управлении факторами риска атеросклероза.
Эхокардиография при аортальном стенозе
Нормальный аортальный клапан имеет три тонкие створки, которые обладают свободным систолическим открытием. Площадь нормального аортального клапана составляет 3-4 см.кв, с нормальным открытием примерно в 2 см между створками. Такое же расхождение створок сохраняется в течение большей части систолы, даже если пациент имеет низкий сердечный выброс или обструкцию выходного тракта ЛЖ. Наиболее распространенной формой аортального стеноза обусловлена дегенеративным кальцинозом клапана. На УЗИ сердца створки утолщены и кальцинированы со снижением систолического открытия.
В тоже время, в М-режиме эхокардиографии клапаны могут казаться нормальными у людей с некальцинированными стенозированными створками при систолическом открытии, так как при врожденном аортальном стенозе ограничение открытия клапана происходит в их дистальной части. Однако, в 2D режиме ЭхоКГ визуализирует все структуры аортального клапана, что очень полезно при определении некальцифицированного, а также кальцифицированного аортального стеноза. Хотя врачу на исследовании порой достаточно сложно оценить количество аортальных створок на УЗИ клапанов сердца, даже в парастернальной короткой оси на уровне аортального клапана. В тоже время, степень кальцификации клапанов сердца, размер аортального кольца изменения восходящей аорты, а также наличие вторичной подклапанной обструкции можно хорошо оценить на эхокардиографии. Кроме того, в 2D режим полезен для определения степени гипертрофии ЛЖ (толщина стенки и масса), расширения левого предсердия, функции желудочков и целостности других клапанов.
![]()
Допплерэхокардиография сердца
Гемодинамическая выраженность аортального стеноза определяется по допплерэхокардиографии и опирается на установлении пиковой аортальной скорости потока, среднего градиент давления, площадь аортального клапана. Дотошный поиск максимальной скорости кровотока аорты на УЗИ клапанов сердца имеет важное значение, потому что все вышеперечисленные переменные являются производными от пиковой скорости аортального потока. Чтобы получить исчерпывающие данные гемодинамики, систематическое и тщательное допплеровское исследование сердца должно выполняться у всех больных с клапанным стенозом.
Все свободные ультразвуковые окна должны быть использованы для получения датчиком допплеровского сигнала и большинстве случаев он должен быть расположен параллельно направлению стенотической струи, которая обеспечивает запись наиболее высокой скорости. По сравнению с дуплексным датчиком, датчик слепого непрерывного допплера меньше, и таким образом им легче манипулировать между ребрами и в области яремной ямки. Цветовая визуализация потока может быть полезным в совмещении кровотока и волны непрерывного допплеровского луча, поэтому он помогает максимально параллельно разместить курсор с направлением струи кровотока.
Митральная регургитация на эхокардиографии
По аналогии с аортальной регургитацией, эхокардиография в 2D и М-режиме устанавливает первопричину некомпетенстности митрального клапана, в том числе пролапс митрального клапана, проблемы смыкания створок митрального клапана, разрыв хорд, кальциноз митрального кольца, дисфункция или разрыв папиллярных мышц, ревматический порок клапана, расщепление створок при ВПС, эндокардит или перфорация.
Пролапс митрального клапана (ПМК) на УЗИ сердца
ПМК является общим показанием для эхокардиографии. Его, как правило, подозревают из-за средне-систолического щелчка и средне-поздне систолического шума при аускультации. Изначально диагностика пролапса митрального клапана основывается на критериях в М-режиме: поздно или голосистолический прогиб створок митрального клапана на 2 мм ниже С-Д линии. Однако, с применения 2D эхокардиографии, которая визуализирует движения митрального клапана в реальном времени, стало ясно, что этот метод имеет более высокую чувствительность для диагностики пролапса митрального клапана. Теперь, когда известно, что митральное кольцо обладает седловидной формой, эхокардиографическая диагностика пролапса митрального клапана как правило, зависит от парастернальной длинной оси сканирования. ПМК устанавливается при систолическом провисании (>2 мм) одной или обеих створок митрального клапана за плоскость митрального кольца. Диагноз является более определенным, когда створки митрального клапана на УЗИ сердца утолщены (>5 мм) и миксоматозно изменены. Если использовать более строгое определение ПМК, то его преобладание у людей (1.7% - 2.4%) не так высока, как сообщалось ранее. Классическая картина ПМК обычно связана с увеличенной вероятностью эндокардита, тяжелой регургитацией митрального клапана и как следствие его хирургического лечения. Выводы, полученные при аускультации, не являются адекватными для выявления группы высокого риска у пациентов с пролапсом митрального клапана. Наличие миксоматоза при пролапсе митрального клапана, скорее всего, представляет собой биохимический дефект с вовлечением соединительной ткани. Кроме того, большинство из пациентов имеют нормальную фракцию выброса, а после 45 лет у 8% имеется фибрилляция предсердий, которая является наиболее мощным предиктором умеренной или тяжелой митральной регургитации.
![]()
Функциональная митральная регургитация на УЗИ клапанов сердца
Митральная регургитация, вызванная региональным или глобальным ремоделированием ЛЖ без структурных аномалий митрального клапана называется функциональной митральной регургитацией. Это часто и приводит к увеличению клинических симптомов при ишемической или дилатационной кардиомиопатии. Функциональная струя регургитации при этом на УЗИ клапанов сердца обычно имеет центральное происхождение. Цветная визуализация потока имеет тенденцию к преувеличению его тяжести. Из всех эхокардиографических переменных, митрального клапана площадь струи коррелирует с тяжестью митральной регургитации. Если площадь струи регургитации 6 см.кв или более, то это, как правило, указывает на третью или четвертую степень недостаточности клапана.
Читайте также:


















