ЭхоКГ оценка протезированного клапана сердца
Добавил пользователь Владимир З. Обновлено: 22.01.2026
ФГБУ "Научно-исследовательский институт комплексных проблем сердечно-сосудистых заболеваний СО РАМН", Кемерово
УРАМН научно-исследовательский институт комплексных проблем сердечно-сосудистых заболеваний СО РАМН, Кемерово
Научно-исследовательский институт комплексных проблем сердечно-сосудистых заболеваний СО РАМН, Кемерово
ФГБНУ «Научно-исследовательский институт комплексных проблем сердечно-сосудистых заболеваний», Кемерово, Россия
Ультразвуковая оценка протезов МИКС, МЕДИНЖ-2, КемКор, ПериКор в митральной позиции
Журнал: Кардиология и сердечно-сосудистая хирургия. 2014;7(1): 44‑49
Рогулина Н.В., Сизова И.Н., Одаренко Ю.Н., Журавлева И.Ю., Барбараш Л.С. Ультразвуковая оценка протезов МИКС, МЕДИНЖ-2, КемКор, ПериКор в митральной позиции. Кардиология и сердечно-сосудистая хирургия. 2014;7(1):44‑49.
Rogulina NV, Sizova IN, Odarenko IuN, Zhuravleva IIu, Barbarash LS. Ultrasound assessment of prostheses MIX, MedEng-2, KemKor, PeriCor in the mitral position. Kardiologiya i Serdechno-Sosudistaya Khirurgiya. 2014;7(1):44‑49. (In Russ.).
Проведена сравнительная ультразвуковая оценка (всего 2543 эхокардиографических исследования) нормально функционирующих протезов МИКС (n=122), МЕДИНЖ-2 (n=67) и биологических клапанов КемКор и ПериКор (n=306) в митральной позиции в динамике на протяжении 10 лет. Эффективная площадь отверстия (ЭПО) биопротезов оставалась стабильной в течение всего периода наблюдения и составила у протезов диаметром 28 и 30 мм 2,05-2,85 см2, у протезов диаметром 32 мм - 2,05-2,59 см2. У механических протезов МИКС и МЕДИНЖ-2 ЭПО имела тенденцию к статистически значимому уменьшению на протяжении первых 5 лет после операции. Средний транспротезный градиент давления и средняя транспротезная скорость кровотока в исследуемых группах не зависели от диаметра протеза. Дисковые протезы МИКС полноценно функционируют лишь в диапазоне физиологических частот сердечных сокращений, поэтому реципиенты МИКС нуждаются в постоянном строгом контроле и при необходимости коррекции частоты сердечных сокращений. Показано, что биологические протезы КемКор и ПериКор демонстрируют оптимальный гемодинамический профиль.
Хирургия клапанных пороков насчитывает более чем полувековой опыт. С внедрением в конце 70-х годов XX века в клиническую практику неинвазивных методик определения функции протеза клапана сердца значительно расширились возможности диагностики их дисфункций. Большое значение также имеют оценка работы нормально функционирующих протезов, динамическое наблюдение за изменениями их параметров и сравнительная оценка функции протезов различных моделей. Все это позволяет получить представление об естественных изменениях гемодинамического профиля протеза при нормально протекающем постимплантационном периоде, а также дает возможность объяснить неудачные исходы имплантаций.
В зарубежной литературе существует огромное количество публикаций, посвященной данной тематике. Среди российских публикаций встречаются единичные работы, оценивающие в основном механические протезы клапанов сердца отечественного производства, либо сравнивающие их с зарубежными моделями (как in vitro, так и in vivo), а также работы, посвященные оценке результатов биопротезирования 3. Наше исследование посвящено сравнительной оценке ультразвуковых характеристик отечественных механических и биологических протезов и является в своем роде уникальным.
Материал и методы
Для оценки гемодинамических параметров протезов отобраны эхокардиограммы пациентов старше 18 лет, оперированных с 1995 по 2008 г. в Кемеровском кардиологическом центре по поводу митрального порока. Критериями исключения были наличие протеза в аортальной позиции, дисфункция протеза (тромбоз искусственного клапана, парапротезные фистулы, протезный эндокардит; наличие регургитации II степени и более на фоне повышения транспротезного градиента давления и уменьшения эффективной площади открытия). В анализе использованы ультразвуковые данные, полученные в стандартных условиях: нормокардия, нормотония.
Всего проведено 2457 эхокардиографических исследований у 495 пациентов (включая дооперационное обследование, обследование в ранние сроки после вмешательства, через 6 мес, ежегодно). Из них 122 больным был имплантирован дисковый протез ИКС, 67 - двустворчатый протез МЕДИНЖ-2, 221 - биологический клапан КемКор и 85 - биологический клапан ПериКор.
Учитывая, что биологические протезы КемКор и ПериКор не имеют существенных конструктивных и соответственно гемодинамических отличий, их объединили в единую группу «Биопротезы».
Оценка гемодинамических параметров в группе «Биопротезы» и в группе МИКС выполнена на протяжении 10 лет, у реципиентов МЕДИНЖ-2 - в течение 5 лет.

Ультразвуковую диагностику порока и оценку результатов протезирования осуществляли на аппарате Aloka Prosound Alfa 5 SX («Hitachi Aloka Medical ltd.», Япония) с определением следующих параметров: эффективная площадь отверстия (ЭПО), средний транспротезный градиент давления (СТГД) и средняя транспротезная скорость кровотока (Vср.). Подробная клиническая характеристика больных представлена в табл. 1.
Статистический анализ данных выполнен с использованием программы Statistica 6.0. Для описания количественных данных использованы среднее значение и стандартное отклонение. Нормальность распределения признака определяли при помощи критерия Колмогорова-Смирнова. При сравнении трех независимых групп применяли дисперсионный анализ Крускала-Уоллиса и медианный тест. Оценка динамики количественных показателей проведена при помощи критерия знаков. Различия считали статистически значимыми при р≤0,05.
Результаты

На протяжении первых 10 лет ЭПО (рассчитывали по формуле J. Baldwin, 1997) нормально функционирующих биологических протезов варьировала в диапазоне 2,29-2,70 см 2 (у протезов диаметром 28 мм), 2,42-2,85 см 2 (у протезов диаметром 30 мм) и 2,05-2,59 (у протезов диаметром 32 мм; табл. 2). При этом у биопротезов большего диаметра (32 мм) отмечены статистически значимо меньшие показатели ЭПО, что объясняется большей массой и, следовательно, большей инерционностью створчатого аппарата биологических протезов «больших» типоразмеров [1].
У нормально функционирующих дисковых протезов МИКС ЭПО имела более широкий размах значений: от 1,5 до 2,5 см 2 при диаметре 27 мм, от 1,85 до 2,7 см 2 при диаметре 29 мм и от 2,2 до 2,8 см 2 при диаметре 31 мм, что также связано с большей инерционностью запирательного элемента дисковых протезов и возможностью нормально функционировать лишь в диапазоне физиологических частот сердечных сокращений (ЧСС). Так, при тахиаритмиях амплитуда движения диска ограничена, он не успевает полностью открываться и закрываться соответственно фазам сердечного цикла, «зависая» в полуоткрытом состоянии, вследствие этого ЭПО закономерно уменьшается.
У протезов МИКС диаметром 27 и 29 мм отмечено статистически значимое уменьшение ЭПО уже к третьему году после протезирования. В связи с недостаточным числом наблюдений в группе МИКС с диаметром клапана 31 мм сделать достоверное заключение о гемодинамическом профиле протеза не представилось возможным.
В общей популяции пациентов МИКС после снижения на третьем году ЭПО опять приближалась к исходной (полученной при выписке), что обусловлено выбытием из исследования пациентов, ЭПО протезов которых достигла критически низких значений. Некоторые пациенты из группы МИКС с малой ЭПО в отсутствие иных признаков нарушения функции протеза впоследствии выбыли из исследования. Их дальнейшая судьба была прослежена. Почти все они имели прогрессирующую сердечно-сосудистую недостаточность, протекающую на фоне тахиаритмии, толерантную к стандартной лекарственной терапии с наступлением в итоге летального исхода.
При сравнении всех трех групп ЭПО у реципиентов группы МИКС почти во всех периодах исследования была меньше, чем у реципиентов «Биопротезов» и МЕДИНЖ-2.

СТГД в группе «Биопротезы» составил от 3,25 до 4,99 мм рт.ст. у протезов диаметром 28 мм, от 3,55 до 5,90 мм рт.ст. у протезов диаметром 30 мм и от 2,51 до 5,38 мм рт.ст. у протезов диаметром 32 мм. СТГД у биопротезов диаметром 28 мм за весь период наблюдения статистически значимо не отличались от полученных при выписке. Биопротезы диаметром 30 и 32 мм периодически (на 5, 9, а для протезов диаметром 32 мм еще и на 7-м году наблюдения) демонстрировали статистически значимое увеличение СТГД (табл. 3). Такое периодическое увеличение СТГД у биопротезов было связано с волнообразным «накоплением» пациентов, имеющих начальные (минимальные) проявления дисфункции протеза, которые пока еще не нуждались в хирургическом вмешательстве. Как только СТГД достигал критического, пациент покидал исследование как имеющий дисфункцию протеза и нуждающийся в повторной операции.
В группе МЕДИНЖ-2 СТГД составлял от 4,61 до 6,5 мм рт.ст. у протезов диаметром 27 мм и от 4,23 до 6,51 мм рт.ст. у протезов диаметром 29 мм. Статистически значимое повышение СТГД отмечено на 2-м и 3-м году в группе протезов МЕДИНЖ-2 диаметром 27 мм и на 5-м году - в группе протезов МЕДИНЖ-2 диаметром 29 мм. Следует отметить, что именно в эти сроки количество наблюдений в группах было невелико.
Подобная ситуация сложилась и в группе МИКС, где СТГД составлял от 3,0 до 6,50 мм рт.ст. у протезов диаметром 27 мм, от 3,64 до 8,0 мм рт.ст. у протезов диаметром 29 мм и от 4,52 до 6,50 мм рт.ст. у протезов диаметром 31 мм, имея статистически значимое увеличение в различные сроки после выписки.
Основная тенденция изменений СТГД состояла в том, что у протезов всех изученных моделей и размеров этот показатель имел склонность к возрастанию на протяжении первых 5 лет после операции. Межгрупповые различия заключались в том, что у биопротезов СТГД имел меньшие значения, чем в группах МИКС и МЕДИНЖ-2. У механических протезов МИКС диаметром 27 мм СТГД в большинстве случаев был больше, чем у протезов МЕДИНЖ-2 диаметром 27 мм. При этом у протезов диаметром 29 мм СТГД почти всегда был больше у реципиентов МИКС, что не противоречит утверждению о большей инерционности дисковых протезов.

Vср. в группе «Биопротезы» составляла от 75,0 до 125,0 см/с у протезов диаметром 28 мм, от 87,1 до 102,1 см/с у протезов диаметром 30 мм и от 70,0 до 118,1 см/с у протезов диаметром 32 мм (табл. 4).
У реципиентов МИКС Vср. составила от 81,2 до 110,1 см/с у протезов диаметром 27 мм, от 79,3 до 135,0 см/с у протезов диаметром 29 мм и от 104,3 до 135,4 см/с у протезов диаметром 31 мм.
В группе МЕДИНЖ-2 Vср. была от 88,9 до 111,3 см/с у протезов диаметром 27 мм и от 80,0 до 107,1 см/с у протезов диаметром 29 мм.
Параметры биопротезов КемКор и ПериКор (ЭПО, СТГД, Vср.) были сопоставимы с показателями зарубежных моделей биологических клапанов Ionescu-Shiley, Hancock II, Medtronic Mosaic, Carpentier-Edwards Perimount [7, 9, 12]. Протезы МИКС также демонстрировали показатели, сопоставимые с зарубежными моделями дисковых протезов [19]. В то же время гемодинамические характеристики протеза МЕДИНЖ-2 имели более «компактный» диапазон значений в сравнении с протезом CarboMedics [8, 10, 18] и St. Jude Medical [6].
Во всех группах выявлена сильная прямая пропорциональная взаимосвязь среднего транспротезного градиента давления и Vср. (r≥0,880; р=0,001).
Являясь взаимосвязанными параметрами, Vср. и СТГД во всех исследуемых группах имели тенденцию к возрастанию на протяжении первых 5 лет после операции. Как и СТГД, Vср. имела наименьшие значения в группе биопротезов, наибольшие значения получены у механических протезов МЕДИНЖ-2 диаметром 27 мм и МИКС диаметром 29 мм.
При анализе взаимосвязи показателей СТГД и Vcр., с одной стороны, и ЭПО - с другой, выявлена слабая отрицательная корреляция (r≤ -0,150; р=0,001).
В нашем исследовании биологические клапаны продемонстрировали более высокие показатели ЭПО и более низкие СТГД и Vср. по сравнению с механическими протезами, что согласуется с результатами других авторов [16, 17] и обусловлено геометрией биологических протезов, которые при открытии создают близкий к физиологическому центральный поток крови. Механические клапаны МИКС и МЕДИНЖ-2 имеют принципиальные конструктивные различия и, соответственно, различные гемодинамические характеристики. Диск протеза МИКС открывается под углом 72°, при этом образуется малое и большое проходные отверстия, что приводит к формированию нецентрального потока крови, носящего турбулентный характер. У двустворчатого протеза МЕДИНЖ-2 угол открытия створок составляет 82-83°, при этом образуется одно центральное и два периферических проходных отверстия, поток крови имеет смешанный характер. Все это обусловливает меньшую ЭПО и большие СТГД и Vср. у механических протезов.
Дисковый протез МИКС демонстрировал наименьшие ЭПО на протяжении 10 лет наблюдения, что обусловлено высокой инерционностью запирательного элемента этого протеза, который к тому же полноценно функционирует лишь в физиологическом диапазоне ЧСС. В связи с этим важным моментом в ведении пациентов с протезами МИКС является тщательный контроль и коррекция ЧСС, что является профилактикой развития/нарастания сердечной недостаточности, толерантной к лекарственной терапии.
Вне зависимости от типа протеза СТГД и Vср. имели тенденцию к увеличению на протяжении первых 5 лет после операции с последующей стабилизацией. Данное явление может быть обусловлено, с одной стороны, разрастанием соединительной ткани и формированием «умеренно выраженного» паннуса, не требующего повторной операции, так как изменения гемодинамики малозначительны, а с другой, - может быть расценено как проявление ремоделирования левых отделов сердца.
Как отмечено ранее, анализ взаимосвязи СТГД и Vcр., с одной стороны, и ЭПО с другой, выявил наличие слабой отрицательной корреляции (r≤ -0,150; р=0,001). В зарубежных исследованиях подобные результаты получены L. Badano, N. Keser, J. Mohan [5, 13, 14]. Напротив, иные авторы отмечают в своих работах наличие не слабой, а наоборот, выраженной по силе корреляции между этими параметрами [11, 15]. Такие противоречия легко объяснимы, если учесть, что для расчета транспротезного градиента давления при ультразвуковом исследовании применяют упрощенное уравнение Бернулли: р=4V 2 max, где р - градиент давления, V - максимальная скорость кровотока. Для расчета же эффективной площади открытия при ультразвуковом исследовании используют определение времени полуспада (T½) транспротезного (трансклапанного) градиента давления: ЭПО=220/ T½, которое напрямую зависит от ЧСС. Известно, что увеличение числа сердечных сокращений в минуту происходит за счет уменьшения длительности только одной из фаз сердечного цикла - диастолы, длительность же систолы всегда остается неизменной [14]. Именно благодаря наличию определенного диапазона ЧСС у исследуемых пациентов корреляция показателей ЭПО и СТГД (Vср.) была слабо выражена по силе.
Выводы
1. Минимальные ЭПО демонстрируют дисковые протезы МИКС (по сравнению с группой «Биопротезы» и МЕДИНЖ-2).
2. СТГД и Vcр. после имплантации всех типов протезов имеют тенденцию к нарастанию в течение первых 5 лет.
3. Оптимальный гемодинамический профиль имеют биологические протезы КемКор и ПериКор.
4. Реципиенты дисковых протезов МИКС нуждаются в постоянном строгом контроле и при необходимости - в коррекции ЧСС.
Проведение эхокардиографии после протезирования клапанов
Искусственные (протезные) клапаны и эхокардиография
Они использовались для замены пораженных собственных клапанов с 1960-х годов. Хотя такие операции по-прежнему распространены, в настоящее время хирурги часто пытаются восстановить клапаны (особенно МК), а не заменить их, где это возможно. Протезы можно установить для замены любого из 4-х штатных клапанов. Некоторые пациенты имеют более одного протезного клапана. Они могут состоять из:
- Биологическая ткань клапанов человека или животных
- Материал неклапанной ткани (например, перикард)
- Инертные небиологические материалы (пластик, металл, углерод, ткань).
- Иногда используется комбинация биологической ткани и инертного материала
Механические клапаны. Им необходима антикоагулянтная терапия таким препаратом, как варфарин, для предотвращения тромбоза:
- Шар и клетка (например, Старр - Эдвардс)
- Наклоняемый диск - одностворчатый (например, Бьорк - Шили)
- Протез имеющий две створки (например, St Jude).
Тканевые (биологические) клапаны. Гетеротрансплантат - от животных. Свиной - от свиней. Менее тромбогенный, но менее долговечный, чем механические клапаны (стеноз или регургитация обычно возникает через 10-15 лет). Часто имеют 3 бугорка, сделанные из биологической ткани, прикрепленные 3 металлическими стентами (стойками) к металлическому пришивному кольцу (например, Carpentier - Edwards). Бычий - от крупного рогатого скота. Не часто используется (например, клапан Ионеску - Шили [створки перикарда крупного рогатого скота и титановый каркас]). Первоначально их срок службы был ограничен (3 года), но более эффективные методы консервации (например, криоконсервация) повысили их полезность.
Гомографт - клапан от человека
Что дает проведение эхокардиографии после имплантации протезов клапанов
ЭхоКГ может оценить:
- Анатомия: кальциноз, дегенерация, правильное сидение, открытие створок, свищ
- Функция: обструкция - у всех протезов есть стеноз в той или иной степени, но он может усилиться при неисправности клапанов.
- Регургитация: через отверстие клапана или парапротезный кровоток (из-за инфекции или раскачивания из-за ослабления швов или дегенерации)
- Инфекция: клапанный эндокардит, парапротезный абсцесс
- Тромбоз протеза

Эхокардиографическое обследование может быть затруднено, потому что протезные клапаны:
- Имеют разнообразную и специализированную структуру
- Обычно имеют высокую эхогенность (особенно механические клапаны). Они могут создавать эхокардиографические артефакты, такие как очень яркое отражение эха (так называемая реверберация). Они также отбрасывают акустическую тень, которая маскирует или скрывает более глубокие структуры.
- После операции по замене клапана базовое эхокардиографическое исследование часто выполняется через несколько недель. Серийные осмотры могут проводиться через определенные промежутки времени после операции. Тип и размер клапана должны быть указаны в заключении ЭхоКГ. Как указывалось ранее, чреспищеводное исследование является важным дополнением к трансторакальному при исследовании протезов клапанов.
M-режим может давать некоторые характерные черты:
- Клапан Старра - Эдвардса обычно показывает две плотные, почти параллельные эхо-линии, представляющие пришивное кольцо и клетку. Видны только отражения эха от передней поверхности шара, которые отображаются в виде плотных линий. В открытом положении отражение от шара перемещается до линии клетки и никогда не выходит за ее пределы. В закрытом положении эхо-линия от клетки регистрируется на полпути между клеткой и пришивным кольцом в почти параллельном положении. Под кривыми клапана видны реверберации, представляющие отражения эха от задней поверхности шара.
- Клапан St Jude в открытом положении показывает параллельные линии диска, параллельные пришивному кольцу. В закрытом положении эхо-линии не записываются (диск находится внутри пришивного кольца).
- В биопротезах пришивное кольцо выглядит как непрерывная эхо-линия. Створки показывают эхо-кривые, похожие на нативные клапаны, с экскурсией створки, дающей коробчатую форму. Видны эхо-линии, представляющие 2 из 3 стентов.
Проведение двухмерной ЭхоКГ дает важную анатомическую информацию.
- Если подробности хирургического вмешательства недоступны, некоторые аспекты эхокардиографического исследования могут помочь определить, какой тип клапана присутствует (легче выполнить эту оценку для митрального, чем для аортальных клапанов):
- Шар и клетка - характерное полукруглое эхо-изображение клетки с шаром, движущимся вверх и вниз
- Наклонный диск - можно увидеть движение одного или двух дисков при открытии и закрытии
- Ткань - металлические стенты (стойки) часто можно увидеть в полости ЛЖ (митральная позиция) или аорте (аортальная позиция).
Допплеровская ЭхоКГ очень полезно для оценки функции протезного клапана:
- Препятствие кровотоку. Из-за того, что материал этих клапанов не соответствует требованиям, скорость потока через них отличается от обычных стандартных клапанов (см. Таблицу 6.1). Большинство протезов клапанов создают препятствия для кровотока. Можно произвести ряд измерений:
- Пиковая скорость. Она выше, чем в обычных клапанах, из-за относительно меньшей площади отверстия, обусловленной большим объемом искусственного материала. Пример диапазона приведены в таблице. Как правило, пиковая скорость> 2 м/с в МК обычно указывает на дисфункцию как механических, так и биологических протезных клапанов. Скорость потока в протезе аорты обычно
- Градиент давления (ΔP). Этот показатель рассчитывается по упрощенному уравнению Бернулли (ΔP = 4V2).
- Площадь отверстия клапана - измеряется по уравнению непрерывности
ТАБЛИЦА Скорость потока (м/с) через некоторые нормально функционирующие механические и тканевые протезные клапаны
| Клапан | Митральный | Аортальный |
| Шар и клетка Старр - Эдвардс | 1,4-2,2 | 2,6-3,0 |
| Поворотно-дисковый (один диск) Björk-Shiley | 1,3-1,8 | 1,9-2,9 |
| Двустворчатый St Jude | 1,2-1,8 | 2,3-2,8 |
| Свиной биологический Carpentier-Edwards | 1,5-2,0 | 1,9-2,8 |
Разные эхолаборатории имеют разные диапазоны. В индивидуальном случае более важно изменение скорости от послеоперационных значений.
Регургитация. Она может происходить через отверстие клапана (чрезклапанная) или вокруг пришивного кольца (парапротезная). Легкая транскалапанная митральная регургитация может быть обнаружена в нормально функционирующих клапанах, чаще в механических клапанах. Это связано с закрытием клапана или из-за зазоров между разными частями протеза. Ее бывает трудно обнаружить из-за маскировки тенью протеза. Умеренная или тяжелая митральная регургитация всегда считается патологической.
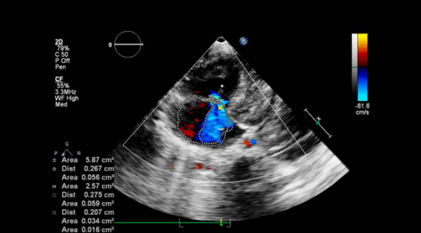
Непрерывно-волновой допплер более полезен, чем импульсный, а цветное допплеровское картирование кровотока (ЦДК) хорошо для отображения антероградных и ретроградных потоков. Турбулентный кровоток регистрируется в виде мозаики цветов. В митральных биопротезах обычно видна одна струя. В большинстве митральных механических клапанов видны 2 струи (почти равного размера у клапанов Старра - Эдвардса, одна меньше другой в клапанах Бьорка - Шайли).
При регургитации может быть несколько струй разного размера в зависимости от типа клапана (например, 2 струи у Бьорка - Шили, несколько у Старра - Эдвардса). ЦДК также помогает различать чресклапанную и парапротезную регургитацию и помогает выявить новую регургитацию.
Проведение эхокардиографии при неисправности протезного клапана
Ошибочный диагноз неисправности может быть поставлен при низком сердечном выбросе, аритмии, такой как атриовентрикулярная блокада, или при плохой хирургической технике (например, если клапан слишком мал или слишком велик для конкретного сердца). Типы неисправностей включают:
- Механические и биологические клапаны: эндокардит, расхождение с фиброзным кольцом (клапан становится расшатанным или отслоенным), регургитация.
- Чаще встречается в механических клапанах: тромб, отклонение (изменение формы или размера)
- Чаще у биологических клапанов: дегенерация - стеноз или регургитация.

Эхокардиографические признаки неисправности искусственного клапана. По возможности результаты следует сравнивать с базовыми значениями.
- Анатомические аномалии протеза (по М-режиму и 2-мерной эхокардиографии):
- Свободная часть клапана (например, разрыв створки биопротеза)
- Свободные швы
- Аномальное движение - уменьшенное или чрезмерное движение любой части протеза.
- Связанные находки, например кальциноз, тромб, вегетация, абсцесс, увеличенный размер камеры (левого желудочка или предсердия).
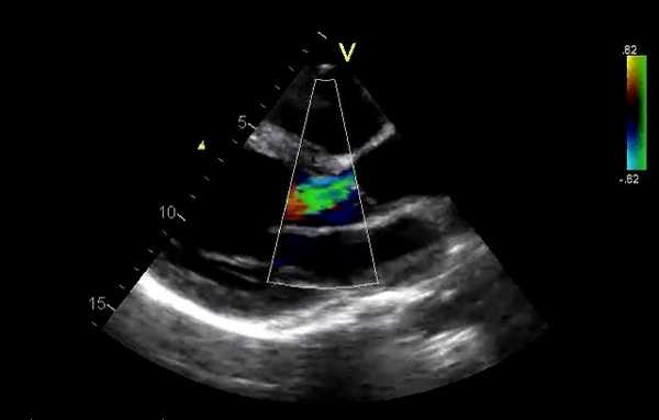
- Нарушения гемодинамики протеза (по доплеровскому и цветовому потоку):
- Наличие препятствия может быть вызвано увеличением скорости потока или уменьшением площади отверстия.
- Регургитация - усиление струи или новая струя.
Эндокардит протезов клапанов. Это очень серьезная проблема, которая часто приводит к необходимости хирургической замены клапана, часто после периода лечения внутривенными антибиотиками. Чтобы предотвратить это, необходима профилактика антибиотиками при всех стоматологических процедурах и хирургических вмешательствах. Эндокардит может поражать механические или биологические протезы. Это происходит с частотой 3-5% в год у людей с протезами клапанов.
Следующие данные на эхокардиографии наводят на мысль об эндокардите:
- Вегетации (подвижные образования на клапане, движутся в сердечном цикле, но их часто трудно увидеть)
- Неполное закрытие клапана из-за воздействия вегетаций на створки клапана
- Абсцесс виден как плохо отражающие эхо участки вокруг пришивного кольца
- В случае расхождения швов можно увидеть, как швы свободно движутся.
- M-режим может отображать вегетации в виде нескольких толстых эхо-линий, наложенных на M-режим протеза, но и M-режим, и 2D-эхокардиография могут быть затруднены из-за реверберации и маскировки. Небольшие вегетации (
- Допплерография и цветовой поток могут показать гемодинамические последствия эндокардита - чресклапанную регургитацию (вегетации, влияющие на закрытие створки), парапротезную регургитацию (образование абсцесса на линиях швов) или усиление потока вперед из-за препятствия кровотоку вегетациями. Как уже упоминалось, в этих ситуациях очень полезна чреспищеводная эхокардиография.
Тромб. Чаще встречается в механических клапанах и отвечает за многие случаи неисправности протеза. Это может произойти, если контроль антикоагуляции плохой или при наличии расширенных камерах сердца. Антикоагуляция необходима для всех механических клапанов (стремитесь к международному нормализованному отношению [МНО] 3,5-5,0). Восприимчивость протезов клапанов к тромбозу зависит от их положения (связанного с градиентом давления на клапане). Иногда пациенты жалуются, что больше не слышат щелчки клапана — это может быть признаком тромбоза.
ЭхоКГ может обнаружить тромб с помощью:
- Визуализации подвижного образования на клапане - ее бывает сложно отличить от вегетаций или кальцинированных узелков
- Уменьшение или отсутствие движения подвижной части клапана (например, шара, диска, створок)
- Сопутствующее расширение камер сердца.
- Как и в случае с вегетациями, в M-режиме может отображаться несколько темных эхо-линий и / или уменьшенное открытие или закрытие клапана. Допплерография и ЦДК могут указывать на препятствие для открытия клапана (повышенная скорость потока) или препятствие для закрытия (новая чресклапанная регургитация или увеличение степени тяжести существующей регургитации).
Расхождение шовного материала может создать неспособность швов прикрепить клапанное кольцо к окружающим нативным тканям из-за ослабления или разрыва одного или нескольких швов. Это может привести к парапротезная регургитации и / или ненормальному движению клапана (например, можно увидеть раскачивание клапана или свободное движение швов).
Регургитация на искусственных клапанах при эхокардиографии
Транскалапанная регургитация. Легкая степень часто рассматривается как часть нормальной функции клапана. Она увеличивается из-за любого фактора, вызывающего неполное закрытие протезных клапанов (например, вегетация, тромб, отклонение или дегенерация). Его можно обнаружить с помощью цветного допплеровского картирования или непрерывно-волнового допплера.
Парапротезная регургитация. Это всегда патология и может быть вызвано эндокардитом (абсцессом), расхождением швов или другими причинами. ЦДК покажет струю регургитации через область за пределами швейного кольца.
Износ протеза. Эта патология реже встречается с более новыми механическими клапанами и происходит из-за изменения формы и размера механического клапана из-за эрозий или трещин в корпусе шара или диска или отложения материала в клапане (например, волокнистой ткани или липидов на шаре или металлической поверхности протеза). Шар или диск становятся больше или меньше, вызывая препятствие или неполное закрытие, соответственно. ЭхоКГ может обнаруживать уменьшение движения шара или диска, увеличение скорости потока или чресклапанную регургитацию.
Дегенерация протеза. В большинстве биологических протезов дегенерация происходит в течение нескольких лет. Это приводит к кальцификации и стенозу и / или разрыву створок клапана и регургитации ближе к концу ожидаемого срока службы клапана. ЭхоКГ может показать кальциноз, аномальное движение створок и / или регургитацию.
Эхокардиография после протезирования клапанов
Замена клапана обычно требуется при серьезных клапанных пороках сердца, хотя его замена чаще осуществляется для коррекции значимой регургитации. Искусственные клапаны могут быть классифицированы как биологические или механические. Биологический протез является клапаном, когда полностью или одна часть протеза состоит из биологических тканей животных (биопротез или гетерограф) или человека (гомотрансплантата или аллотрансплантата). Механический клапан полностью изготовлен из небиологического материала (например, пиролитический углерод, литые силиконовые полимерные вещества, или титан). Реологические свойства крови, гемодинамика, долговечность и тромбоэмболические тенденции могут варьироваться в зависимости от типа и размера каждого протеза и, что более важно, от особенности пациента.
Физическое обследование больных с протезированными клапанами отличается от тех пациентов, которые имеют родные клапаны, потому что искусственные клапаны изначально незначительно стенотические и это может привести к дополнительным протезным звукам (вызвано движением закрытия диска). Поэтому часто бывает трудно клинически отличить звук работы между аномальным и нормальным протезированным клапаном. Оценка протезированных клапанов требует досконального знания уникальности их строения и гемодинамического профиля различных протезов. Дисфункция нативного клапан, как правило, подозревают на основании патологических результатов при двумерной эхокардиографии, но это бывает недостаточно, чтобы определить патологию протезированного клапана на трансторакальной эхокардиография. Поэтому, мы полагаемся больше на допплерографические показатели и цветовую визуализацию потоков, а также на чреспищеводную эхокардиографию для выявления дисфункции протезированных клапанов.
Двумерная эхокардиография
Двухмерная эхокардиография может выявить структурные аномалии протеза, такие как фистулу, вегетации, тромб, или дегенерацию ткани протеза. Однако ее чувствительность к сердечной дисфункции протеза затрудняется трудностью визуализации структур вокруг и позади сердечного протеза. Эхо отражение от протезного материала, затухание ультразвукового луча, и несколько других ультразвуковых артефактов от протеза могут вызвать трудности в толковании. Обычно, на эхокардиографии легче изучить изображения биологического протеза, чем механического. Для выявления структурных аномалий, связанных с протезом, важно понимать характеристики протеза и хирургический метод, который был использован.
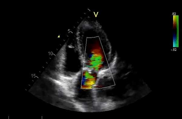
Эхокардиография и цветное допплеровское картирование

Допплер-эхокардиография позволяет выявить скорость потока через протез клапана, что позволяет определять градиенты давления с использованием модифицированного уравнения Бернулли (градиент давления = 4 х скорость в квадрате). Отличная корреляция была установлена между допплеровским методом и инвазивным измерением давления двойным катетером, выполненным одновременно на различных протезированных клапанах. Однако, несколько моделей инвитро показали завышение градиента на аортальном протезе, которые определяются по допплеровским скоростям по сравнению с катетер-производными градиентами. Расхождение данных меньше в протезе с большим опорным кольцом. Потенциальные источники в разнице между допплер-производными и катетер-производными перепадами давления на протезах должны быть учтены, но это не является большой проблемой в выявлении дисфункции протеза.
Непрерывно-волновая допплерография может быть использована для оценки функциональной площади отверстия протеза аортального и митрального клапанов. Время полуспада давления (РНТ) метод, используемый для определения стеноза нативного митрального клапана, обычно переоценивает площадь митрального протеза. Протез клапана изначально стенотический в разной степени по сравнению с соответствующим родным клапаном, поэтому скорость потока через нормальный протез клапана выше, чем ожидаемый на родном клапане. Нормальная скорость протезного потока (следовательно, максимальный и средний градиенты давления) зависит от типа и размера протеза, его расположения и сердечного выброса. Следовательно, очень важно знать нормальные диапазоны скоростей потока для определенных типов протезов для сравнения с измеренными значениями. Поскольку гемодинамика протеза зависит от различных факторов, рекомендуется выполнить базовое допплеровское эхокардиографическое исследование в раннем послеоперационном периоде (сделать «отпечаток» функции протеза), так что он может быть использован в качестве эталона для сравнения с последующими исследованиями. Обе ситуации как регургитация, так и обструкция может привести к увеличению скорости потока через протез. Увеличение скорости потока указывает на то, что имеется несоответствующее меньшее отверстие, когда в протезе есть препятствие и при этом нет клинически значимой регургитации или увеличивается объем потока через протез (есть значимая регургитация).
Другие полезные характеристики допплеровского исследования на эхокардиографии протезов позволяет отличить непроходимость от регургитации. Когда на протезе имеется препятствие, кроме увеличения скорости потока пролонгируется длительность период полуспада РНТ (для протезов митрального и трикуспидального клапана). Увеличение скорости потока через обструкцию аортального протеза не сопровождается увеличением скорости в выходном тракте левого желудочка (ВТЛЖ), но увеличивается при тяжелой регургитации. Когда скорость через митральный или трехстворчатый протез в диастолу увеличивается из-за сильной регургитации, РНТ является нормальным или укороченным, а в ВТЛЖ скорость уменьшается, потому что прямоток из-за регургитации в систолу через протез уменьшается (часть крови попадает обратно в предсердие). Состояние высокого сердечного выброса увеличивает скорость на протезе, и это может быть подтверждено путем записи увеличение скорости потока во всех кардиальных отверстиях (ВТЛЖ, атриовентрикулярных клапанах, выходном тракте правого желудочка).
Обструкция протеза на эхокардиографии
Заболеваемость обструкции протезированных клапанов оценивается в 0,1% до 0,4% в год, в зависимости от размера клапана, его типа, расположения и адекватности антикоагуляции. Тогда как обструкция митрального механического протеза возникает чаще от тромба, причиной сужения механического протеза аортального клапана более часто является формирование паннуса. Когда работа протезированного клапана будет затруднена, происходит нарушение движения диска, шара, или уменьшается подвижность створки. Однако, это трудно выявить эти ситуации, и еще труднее оценить количественно, ограничение экскурсии на простой трансторакальной эхокардиографии. Чреспищеводная эхокардиография может в состоянии визуализировать нормальные и патологические движения протезированного клапана. Самый точный способ для выявления и количественной оценки степени обструкции протезов является допплер-эхокардиография. Допплеровское исследование должны быть выполнены датчиком с различных позиции, чтобы гарантировать, что фиксируется максимальная скорость в месте стриктуры протеза.
Кроме допплеровского отслеживания скорости, максимальный и средний градиенты давления и эффективная площадь клапана могут быть рассчитана по тем же формулам и уравнениям, описанных для нативного клапана. Однако, важно помнить, что само по себе увеличение скорости потока не всегда означает протезную непроходимость. Скорость может быть увеличена без стеноза при состоянии высокого сердечного выброса и при наличии тяжелой протезной регургитации. У больных с митральным протезом, время полуспада (РНТ) - это полезный показатель для определения того, повышена скорость кровотока из-за увеличенного притока (регургитации) или препятствия в протезе. РНТ, а также пиковая скорость потока увеличится, когда кровоток через митральный или трехстворчатый протез затруднен.
Если затруднена работа аортального протеза, скорость потока (следовательно, градиент давления) увеличивается, кроме случаев, если уменьшается сердечный выброс. Увеличение скорости потока через аортальный протез также можно ожидать при тяжелой протезной регургитации (следовательно, увеличения потока через аортальный протез). Однако, при аортальной обструкции (как при аортальном стенозе), при снижении фракции выброса левого желудочка, скорость потока ВТЛЖ может быть нормальной или слегка уменьшенной, и увеличивается при аортальной регургитации. Полезной для дифференциальной диагностики будет отношение средней скорости кровотока ВТЛЖ на протезе и интеграла линейной скорости кровотока. При повышении скорости потока через аортальный протез из-за обструкции протеза соотношение уменьшается, ≤0.2, а при повышении скорости из-за регургитации, соотношение остается нормальным, ≥0.3.
Двустворчатый аортальный клапан на эхокардиографии
Двустворчатый аортальный клапан (ДАК) является наиболее распространенной врожденной сердечной аномалией с оценочной распространенностью 4,6 на тысячу живорожденных и на эхокардиографии в три раза чаще встречается у мужчин, чем у женщин. Большинство случаев выявления являются спонтанными, однако семейное наследование может происходить по аутосомно-доминантному типу с переменной пенетрантностью, распространенность бессимптомного двустворчатого аортального клапана у родственников первой степени родства пациентов на эхокардиографическом скрининге составляет 37%. ДАК возникает из-за аномального вальвулогенеза, приводящего к образованию аортальных створок неодинакового размера. Варианты варьируются от сильно обструктивного одностворчатого клапана до минимально ненормального почти трехстворчатого варианта с умеренным неравенством клапанов. Кроме того, корень аорты и восходящая аорта демонстрируют дегенеративные гистологические изменения, а дилатация аорты обычно присутствует у пациентов с двустворчатым аортальным клапаном.

Стеноз аортального клапана при динамической эхокардиографии быстро прогрессирует у большинства пациентов с одностворчатым клапаном. Критический стеноз аорты у плода связан с недоразвитием ЛЖ и, как следствие, синдромом гипоплазии левых отделов сердца. Стеноз классического двустворчатого аортального клапан в большинстве случаев прогрессирует постепенно. Наиболее часто встречающийся двухстворчатый аортальный клапан характеризуется слиянием двух створок на «ложном шве» с переменно ограниченным движением и неизменным присутствием турбулентного потока. Эти стрессы приводят к прогрессирующему повреждению клапана, рубцеванию и кальцификации с дисфункцией клапана и, как следствие, стенозом и / или регургитацией на эхокардиографии. Более того, турбулентный поток в аномальную аорту способствует прогрессирующей дилатации и повышенному риску расслоения или разрыва. Атеросклеротические изменения были идентифицированы при ДАК и аналогичны изменениям, наблюдаемым при кальцифицирующем дегенеративном стенозе при трехстворчатом АК, дислипидемия и системная гипертензия связаны с ускоренным прогрессированием стеноза двустворчатого аортального клапана.

Стеноз аорты - наиболее частое осложнение ДАК. Признаки эхокардиографического склероза можно увидеть уже на втором десятилетии жизни, а кальциноз - к четвертому десятилетию. Пиковый градиент АВ увеличивается на 18 мм рт.ст. за десятилетие; прогрессирование быстрее у пациентов с передне-задним расположением створок и эксцентрическими створками (отношение ширины большой и малой створок> 1,2) с увеличением пикового трансклапанного градиента на 27 мм рт. У бессимптомных пациентов с пиковой транскалапанной систолической скоростью> 4 м/сек вероятно развитие симптомов, связанных со стенозом (одышка, боль в груди, обморок) в течение 5 лет.
Регургитация на аорте часто сопровождает стеноз. Прогрессирование аортальной регургитации может происходить по нескольким причинам и в большинстве случаев напрямую коррелирует со степенью дилатации корня аорты и фиброзного кольца. Другие механизмы включают выпадение створки, прогрессирующую дегенерацию, кальцификацию и ретракцию, а также повреждение, вызванное инфекционным эндокардитом. Восходящая аорта на эхокардиографии постепенно расширяется в среднем на 0,9 мм в год, риск расслоения у пациентов с двустворчатым аортальным клапаном оценивается в 5-9 раз выше, чем в общей популяции, и является самым высоким в случаях с сопутствующей коарктации аорты.

Хирургическое лечение или замена корня аорты рекомендуется, если диаметр корня превышает 5 см или скорость увеличения диаметра превышает 0,5 см в год. Пациентам с расширенным корнем аорты (> 4 см) показано ежегодное обследование корня аорты и восходящей аорты на эхокардиографии, в тех случаях, когда корень аорты и восходящая аорта хорошо визуализируются, достаточно трансторакальной ЭхоКГ, в противном случае - рекомендуется компьютерная томография или магнитно-резонансная томография с секционной визуализацией.
Тяжелый симптоматический стеноз ДАК требует чрескожного или хирургического вмешательства. Баллонная вальвулопластика может уменьшить степень стеноза и улучшить симптомы у пациентов с подвижным некальцифицированным двустворчатым аортальным клапаном, и крайне важно, чтобы эхокардиографическая оценка ДАК включала оценку подвижности клапана и наличия кальцификации, а также гемодинамическую допплеровскую оценку. Хирургическое лечение или замена показаны пациентам с тяжелым стенозом (максимальная пиковая допплеровская скорость на аорте> 4 м/сек) с симптомами или с систолической дисфункцией ЛЖ. Выраженная аортальная регургитация, связанная с симптомами, значительным увеличением корня аорты или дилатацией и дисфункцией ЛЖ, требует хирургической коррекции.
Врач, проводя эхокардиографию, должен быть знаком с различными хирургическими методами, которые использовались для восстановления или замены дисфункционального ДАК. Кроме этого, трансторакальная эхокардиография широко используется при долгосрочном обследовании пациентов с хирургическим вмешательством на ДАК и достаточен для того, чтобы вызвать подозрение на клапанную дисфункцию, которая может быть дополнительно оценена с помощью чреспищеводного исследования.
Восстановление клапана возможно и эффективно у пациентов без кальцификации, поэтому на эхокардиографии необходимо оценить степень кальцификации клапана. Если требуется замена клапана, то биопротезные клапаны обычно предпочтительны у пациентов старше 65 лет, женщин детородного возраста, желающих избежать варфарина, или пациентов, предпочитающих не принимать антикоагулянты.

Клапаны биопротеза обычно хорошо функционируют в течение 10-20 лет, но в конечном итоге требуют замены из-за прогрессирующей дисфункции. Транскатетерная имплантация аортального клапана (TAVR) при заболевании ДАК обычно избегают из-за опасений по поводу асимметричного расширения каркаса стента и параклапанной регургитации, однако недавние клинические данные показывают, что клинические результаты являются приемлемыми. Механические протезы обладают повышенной прочностью у пациентов, которые могут переносить варфарин. Процедура Росс использовалась у пациентов с ДАК и включает иссечение дисфункционального клапана и корня аорты с транспозицией легочного аутотрансплантата в положение аорты, реимплантацию коронарных артерий и размещение гомотрансплантата в выводном тракте правого желудочка. После процедуры Росса пациенты подвергаются риску развития неоаортальной дилатации, прогрессирующей регургитации аорты, дисфункции легочного кондуита или ишемии / инфаркта миокарда, если имеется перегиб повторно имплантированных коронарных артерий. Чреспищеводная эхокардиография полезна для оценки устья и проксимальных областей повторно имплантированных коронарных артерий, а также для оценки «перегиба» проксимальных сегментов коронарных артерий, которые можно оценить с помощью 2D- и 3D-изображений, а также цветного допплера. Эхокардиографию следует использовать для долгосрочного наблюдения за протезами клапанов сердца, частота оценки определяется клиническим статусом, рекомендации по лечению клапанных пороков сердца советуют рутинную ежегодную эхокардиографию в течение первых пяти лет после замены клапана.
ЭхоКГ оценка протезированного клапана сердца
ФГБУ «Научный центр сердечно-сосудистой хирургии им. А.Н. Бакулева» РАМН (дир. — акад. Л.А. Бокерия), Москва, Россия
ФГБУ «НМИЦ ССХ им. А.Н. Бакулева» Минздрава России, Москва, Россия
ФГБУ «Научный центр сердечно-сосудистой хирургии им. А.Н. Бакулева» Минздрава России, Москва, Россия
ФГБУ «Национальный медицинский исследовательский центр сердечно-сосудистой хирургии им. А.Н. Бакулева» Минздрава России, Москва, Россия
Протезирование митрального клапана на работающем сердце в сочетании с минимально инвазивной реваскуляризацией миокарда у пациента с острой ишемической митральной недостаточностью II типа
Журнал: Кардиология и сердечно-сосудистая хирургия. 2019;12(1): 60‑63
Представлен случай успешного хирургического лечения пациента высокой группы риска с ишемической недостаточностью митрального клапана путем одномоментного выполнения коронарного шунтирования и протезирования митрального клапана «на работающем сердце».
Ишемия миокарда и реперфузионное повреждение являются главными факторами неудовлетворительных результатов хирургического лечения клапанных пороков у пациентов высокой группы риска оперативного вмешательства. Несмотря на большое количество методов защиты миокарда во время пережатия аорты, ни один из них не обеспечивает его полной защиты [1]. Ряд авторов отмечает, что даже 20-минутное пережатие аорты в условиях нормотермической перфузии может вызвать «оглушение» миокарда или некроз кардиомиоцитов [2, 3]. В дальнейшем это приводит к систолической и/или диастолической недостаточности миокарда в послеоперационном периоде и летальному исходу [3].
В связи с этим возрос интерес к выполнению операций «на работающем сердце». Такие операции широко вошли в клиническую практику с середины 2000-х годов и изначально использовались у пациентов высокой группы риска оперативного вмешательства в коронарной хирургии [4]. Операции «на работающем сердце» позволили не только уменьшить ишемию миокарда, но и время искусственной вентиляции легких (ИВЛ), необходимость в гемотрансфузиях, частоту развития нарушений ритма и, самое главное, значительно улучшили выживаемость пациентов [5, 6]. С учетом хороших результатов этих операций в коронарной хирургии методику стали использовать у пациентов высокой группы риска с митральным пороком сердца.
Пациент Б., 70 лет, поступил в отделение реконструктивной хирургии клапанов сердца и коронарных артерий с диагнозом: ишемическая болезнь сердца, инфаркт миокарда нижней стенки левого желудочка от 26.01.16. Многососудистое поражение коронарных артерий. Ишемическая митральная недостаточность. Гипертоническая болезнь 3-й степени, риск 4. Нарушение ритма сердца: пароксизмальная форма мерцательной аритмии, вне пароксизма.
Из анамнеза известно, что пациент длительное время страдал гипертонической болезнью с максимальными цифрами артериального давления (АД) до 180/100 мм рт.ст., был адаптирован к АД 120/80 мм рт.ст. на фоне медикаментозной терапии. В 2015 г. из-за учащения гипертонических кризов был госпитализирован в клинику по месту жительства, где была выполнена коронароангиография (КАГ), по результатам которой было выявлено многососудистое поражение коронарных артерий. 26.01.16 у пациента развился инфаркт миокарда с подъемом сегмента ST с локализацией по нижней стенке левого желудочка (ЛЖ), нарушение ритма сердца по типу мерцания предсердий и митральная недостаточность 4-й степени.
Состояние при поступлении расценено как тяжелое за счет сердечной недостаточности на фоне перенесенного инфаркта миокарда и митральной недостаточности 4-й степени. Аускультативно выслушивается грубый пансистолический шум над всей областью сердца с проведением на спину, ЧСС 80 уд/мин, АД 110/80 мм рт.ст. на обеих руках.

Больному проведено стандартное инструментальное обследование. По данным ЭКГ — правильный синусовый ритм с ЧСС 81 уд/мин, отмечаются рубцовые изменения миокарда нижней стенки ЛЖ, элевация сегмента ST по нижней стенке с реципрокными изменениями. Данные ЭхоКГ представлены в табл. 1. Таблица 1. Данные трансторакальной эхокардиографии Примечание. МК — митральный клапан, КСО — конечный систолический объем, КДО — конечный диастолический объем, КСР — конечный систолический размер, КДР — конечный диастолический размер, ФВ — фракция выброса.
Результаты КАГ: правый тип коронарного кровоснабжения, стеноз в проксимальной трети передней межжелудочковой артерии (ПМЖВ) до 80%, стеноз в проксимальной трети a. intermedia до 85%, стеноз в проксимальной трети правой коронарной артерии (ПКА) до 50%, стеноз в устье заднебоковой ветви (ЗБВ) ПКА до 90%. Показатель Euroscore составил 23,11%.
Учитывая клиническую картину, тяжесть состояния пациента, обусловленную ранними сроками после перенесенного инфаркта миокарда, 4-й степени митральной недостаточности, систолическую дисфункцию ЛЖ и наличие многососудистого поражения коронарных артерий, было принято решение о проведении операции по жизненным показаниям.
04.02.16 пациенту была выполнена операция — минимально инвазивная реваскуляризация миокарда (МИРМ): маммарно-коронарное шунтирование (МКШ) ПМЖВ, аортокоронарное шунтирование (АКШ) ЗБВ и a. intermedia, протезирование митрального клапана «на работающем сердце» механическим протезом On-X № 27/29 с сохранением подклапанных структур передней и задней митральных створок в условиях искусственного кровообращения.
После проведения вводного наркоза пациенту была выполнена чреспищеводная ЭхоКГ (ЧП-ЭхоКГ), по результатам которой выявлены снижение глобальной функции миокарда ЛЖ (ФВ 40%), нарушение локальной сократимости миокарда ЛЖ в указанных сегментах (табл. 2), Таблица 2. Зоны асинергии миокарда по данным чреспищеводного эхокардиографического исследования недостаточность МК до 4-й степени, вследствие отрыва хорд от задней митральной створки (ЗМС), недостаточность ТК 1-й степени, дилатация левых отделов сердца.
Доступ к сердцу осуществлен посредством срединной стернотомии. Одновременно произведен забор большой подкожной вены с левой нижней конечности на 3 шунта. Произведено выделение левой внутренней грудной артерии (ЛВГА) методом скелетизации от подключичной вены до бифуркации. Сформирован канал для проведения ЛВГА в полость перикарда. Т-образно вскрыт перикард, разведен на швах-держалках. Выполнена ревизия коронарных артерий (ПМЖВ, ЗБВ, a. intermedia). С помощью вакуумной системы стабилизирован предполагаемый участок ЗБВ в средней трети. Вскрыта артерия, проходима для бужа диаметром 2 мм, полипропиленовой нитью 8/0 сформирован дистальный анастомоз с аутовеной по типу конец в бок. Пристеночно отжата аорта, сформирован проксимальный анастомоз аутовены с восходящей аортой по типу конец в бок полипропиленовой нитью 6/0, пущен кровоток по шунту. Выполнена экспозиция a. intermedia, ПМЖВ, и по описанному выше протоколу сформированы анастомозы с аортой по типу конец в бок. Аппарат искусственного кровообращения подключен по схеме аорта—полые вены. Начата нормотермическая перфузия. Левые отделы сердца дренированы через устье правой верхней легочной вены. Затянуты турникеты на полых венах. Вскрыто правое предсердие с дренированием коронарного синуса. Произведен биатриальный доступ к МК с переходом на купол левого предсердия (доступ по Гирадону). При ревизии МК обнаружены уплотнение створок, отрыв головки заднемедиальной папиллярной мышцы (ПМ) с хордами, идущими к сегменту Р3, задняя головка заднемедиальной ПМ с признаками ишемических изменений. С учетом изменений клапана, возможного ремоделирования ЛЖ в послеоперационном периоде и тяжести состояния пациента было принято решение о протезировании клапана. Клапан иссечен с частичным сохранением подклапанных структур передней и задней митральных створок. На 16 П-образных швах на прокладках имплантирован механический протез On-X 27/29. Ушиты кардиотомные разрезы, стабилизация гемодинамики. Выполнена ЧП-ЭхоКГ, по результатам которой глобальная функция миокарда ЛЖ снижена (ФВ 40%), гемодинамические параметры на механическом протезе в митральной позиции в пределах допустимых значений, функция протеза не нарушена. Выполнена интраоперационная шунтография, шунты к ПМЖВ, a. intermedia и ЗБВ ПКА проходимы. Время искусственного кровообращения составило 155 мин.
Заключение
С учетом тяжести состояния пациентов высокой группы риска оперативного вмешательства выполнение операций «на работающем сердце» является возможным альтернативным вариантом хирургического лечения таких больных.
Главным недостатком оперативных вмешательств «на работающем сердце» является риск развития воздушной эмболии (от 1 до 4%) [7]. Однако на сегодняшний день успешно применяются методы деаэрации, такие как дополнительное время дренирования восходящего отдела аорты и левого предсердия, инсуффляция в рану CO2, тщательный контроль наличия воздуха в камерах сердца по данным ЧП-ЭхоКГ. При соблюдении данных мер профилактики риск развития воздушной эмболии составляет менее 1% [8, 9]. Тем не менее наличие у пациентов аортальной недостаточности является противопоказанием к коррекции митрального порока «на работающем сердце». Отсутствие «сухого операционного поля» затрудняет экспозицию митрального клапана и технически значительно осложняет выполнение таких операций [9].
Согласно рекомендациям Американской ассоциации торакальных хирургов (2016 г.), в настоящее время предпочтение отдается различным методам реконструкции клапана. Однако в связи с прогрессированием резидуальной митральной недостаточности в отдаленном послеоперационном периоде более чем в 30% случаев были выделены факторы риска несостоятельности пластики МК в отдаленном послеоперационном периоде. К ним относят индекс КДР ЛЖ >3,5 см/м 2 или КДР ЛЖ >6,5 см и ФВ ЛЖ ≤40% [10]. Было установлено, что у таких пациентов после реконструкции клапана не происходит эффективного обратного ремоделирования ЛЖ, ФВ ЛЖ снижается в среднем на 8,8%, отмечается прогрессирование резидуальной митральной недостаточности в отдаленном послеоперационном периоде [11—13].
С учетом того, что у пациента имелось два фактора риска (ФВ ЛЖ 38%, КДР 6,9 см), а также малые сроки после перенесенного повторного инфаркта миокарда, было принято решение о протезировании МК. С целью минимизации ишемии миокарда его реваскуляризация выполнялась без искусственного кровообращения, а протезирование МК — «на работающем сердце».
Таким образом, несмотря на технические сложности выполнения подобных вмешательств и риск развития воздушной эмболии у данной группы пациентов, эти операции являются единственно возможным вариантом хирургического лечения и демонстрируют достаточно хорошие результаты в отдаленном послеоперационном периоде [2—5].
Читайте также:
- Влияние средовых факторов на транспирацию растений.
- Случай развития рака полового члена на фоне длительного фимоза
- Лапароскопические операции у детей. Операция при паховой грыже, гидроцеле и перекруте яичка у детей
- Жжение к пластиковым протезам. Причины жжения при пластиковых протезах
- Анатомия: Эмбриогенез нервной системы
