ЭхоКГ при тромбозе протеза клапана сердца без нарушения его функции
Добавил пользователь Евгений Кузнецов Обновлено: 21.11.2025
Искусственные (протезные) клапаны и эхокардиография
Они использовались для замены пораженных собственных клапанов с 1960-х годов. Хотя такие операции по-прежнему распространены, в настоящее время хирурги часто пытаются восстановить клапаны (особенно МК), а не заменить их, где это возможно. Протезы можно установить для замены любого из 4-х штатных клапанов. Некоторые пациенты имеют более одного протезного клапана. Они могут состоять из:
- Биологическая ткань клапанов человека или животных
- Материал неклапанной ткани (например, перикард)
- Инертные небиологические материалы (пластик, металл, углерод, ткань).
- Иногда используется комбинация биологической ткани и инертного материала
Механические клапаны. Им необходима антикоагулянтная терапия таким препаратом, как варфарин, для предотвращения тромбоза:
- Шар и клетка (например, Старр - Эдвардс)
- Наклоняемый диск - одностворчатый (например, Бьорк - Шили)
- Протез имеющий две створки (например, St Jude).
Тканевые (биологические) клапаны. Гетеротрансплантат - от животных. Свиной - от свиней. Менее тромбогенный, но менее долговечный, чем механические клапаны (стеноз или регургитация обычно возникает через 10-15 лет). Часто имеют 3 бугорка, сделанные из биологической ткани, прикрепленные 3 металлическими стентами (стойками) к металлическому пришивному кольцу (например, Carpentier - Edwards). Бычий - от крупного рогатого скота. Не часто используется (например, клапан Ионеску - Шили [створки перикарда крупного рогатого скота и титановый каркас]). Первоначально их срок службы был ограничен (3 года), но более эффективные методы консервации (например, криоконсервация) повысили их полезность.
Гомографт - клапан от человека
Что дает проведение эхокардиографии после имплантации протезов клапанов
ЭхоКГ может оценить:
- Анатомия: кальциноз, дегенерация, правильное сидение, открытие створок, свищ
- Функция: обструкция - у всех протезов есть стеноз в той или иной степени, но он может усилиться при неисправности клапанов.
- Регургитация: через отверстие клапана или парапротезный кровоток (из-за инфекции или раскачивания из-за ослабления швов или дегенерации)
- Инфекция: клапанный эндокардит, парапротезный абсцесс
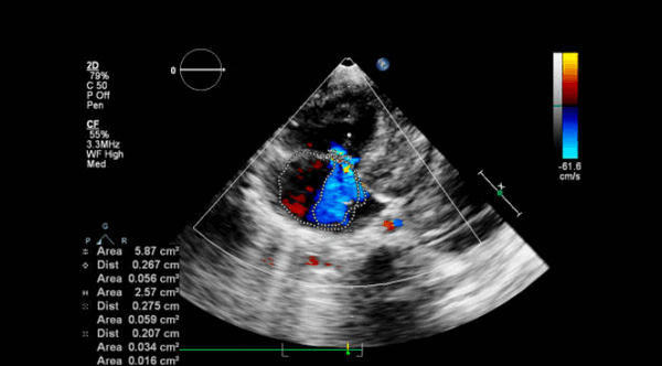
- Тромбоз протеза

Эхокардиографическое обследование может быть затруднено, потому что протезные клапаны:
- Имеют разнообразную и специализированную структуру
- Обычно имеют высокую эхогенность (особенно механические клапаны). Они могут создавать эхокардиографические артефакты, такие как очень яркое отражение эха (так называемая реверберация). Они также отбрасывают акустическую тень, которая маскирует или скрывает более глубокие структуры.
- После операции по замене клапана базовое эхокардиографическое исследование часто выполняется через несколько недель. Серийные осмотры могут проводиться через определенные промежутки времени после операции. Тип и размер клапана должны быть указаны в заключении ЭхоКГ. Как указывалось ранее, чреспищеводное исследование является важным дополнением к трансторакальному при исследовании протезов клапанов.
M-режим может давать некоторые характерные черты:
- Клапан Старра - Эдвардса обычно показывает две плотные, почти параллельные эхо-линии, представляющие пришивное кольцо и клетку. Видны только отражения эха от передней поверхности шара, которые отображаются в виде плотных линий. В открытом положении отражение от шара перемещается до линии клетки и никогда не выходит за ее пределы. В закрытом положении эхо-линия от клетки регистрируется на полпути между клеткой и пришивным кольцом в почти параллельном положении. Под кривыми клапана видны реверберации, представляющие отражения эха от задней поверхности шара.
- Клапан St Jude в открытом положении показывает параллельные линии диска, параллельные пришивному кольцу. В закрытом положении эхо-линии не записываются (диск находится внутри пришивного кольца).
- В биопротезах пришивное кольцо выглядит как непрерывная эхо-линия. Створки показывают эхо-кривые, похожие на нативные клапаны, с экскурсией створки, дающей коробчатую форму. Видны эхо-линии, представляющие 2 из 3 стентов.
Проведение двухмерной ЭхоКГ дает важную анатомическую информацию.
- Если подробности хирургического вмешательства недоступны, некоторые аспекты эхокардиографического исследования могут помочь определить, какой тип клапана присутствует (легче выполнить эту оценку для митрального, чем для аортальных клапанов):
- Шар и клетка - характерное полукруглое эхо-изображение клетки с шаром, движущимся вверх и вниз
- Наклонный диск - можно увидеть движение одного или двух дисков при открытии и закрытии
- Ткань - металлические стенты (стойки) часто можно увидеть в полости ЛЖ (митральная позиция) или аорте (аортальная позиция).
Допплеровская ЭхоКГ очень полезно для оценки функции протезного клапана:
- Препятствие кровотоку. Из-за того, что материал этих клапанов не соответствует требованиям, скорость потока через них отличается от обычных стандартных клапанов (см. Таблицу 6.1). Большинство протезов клапанов создают препятствия для кровотока. Можно произвести ряд измерений:
- Пиковая скорость. Она выше, чем в обычных клапанах, из-за относительно меньшей площади отверстия, обусловленной большим объемом искусственного материала. Пример диапазона приведены в таблице. Как правило, пиковая скорость> 2 м/с в МК обычно указывает на дисфункцию как механических, так и биологических протезных клапанов. Скорость потока в протезе аорты обычно
- Градиент давления (ΔP). Этот показатель рассчитывается по упрощенному уравнению Бернулли (ΔP = 4V2).
- Площадь отверстия клапана - измеряется по уравнению непрерывности
ТАБЛИЦА Скорость потока (м/с) через некоторые нормально функционирующие механические и тканевые протезные клапаны
| Клапан | Митральный | Аортальный |
| Шар и клетка Старр - Эдвардс | 1,4-2,2 | 2,6-3,0 |
| Поворотно-дисковый (один диск) Björk-Shiley | 1,3-1,8 | 1,9-2,9 |
| Двустворчатый St Jude | 1,2-1,8 | 2,3-2,8 |
| Свиной биологический Carpentier-Edwards | 1,5-2,0 | 1,9-2,8 |
Разные эхолаборатории имеют разные диапазоны. В индивидуальном случае более важно изменение скорости от послеоперационных значений.
Регургитация. Она может происходить через отверстие клапана (чрезклапанная) или вокруг пришивного кольца (парапротезная). Легкая транскалапанная митральная регургитация может быть обнаружена в нормально функционирующих клапанах, чаще в механических клапанах. Это связано с закрытием клапана или из-за зазоров между разными частями протеза. Ее бывает трудно обнаружить из-за маскировки тенью протеза. Умеренная или тяжелая митральная регургитация всегда считается патологической.
Непрерывно-волновой допплер более полезен, чем импульсный, а цветное допплеровское картирование кровотока (ЦДК) хорошо для отображения антероградных и ретроградных потоков. Турбулентный кровоток регистрируется в виде мозаики цветов. В митральных биопротезах обычно видна одна струя. В большинстве митральных механических клапанов видны 2 струи (почти равного размера у клапанов Старра - Эдвардса, одна меньше другой в клапанах Бьорка - Шайли).
При регургитации может быть несколько струй разного размера в зависимости от типа клапана (например, 2 струи у Бьорка - Шили, несколько у Старра - Эдвардса). ЦДК также помогает различать чресклапанную и парапротезную регургитацию и помогает выявить новую регургитацию.
Проведение эхокардиографии при неисправности протезного клапана
Ошибочный диагноз неисправности может быть поставлен при низком сердечном выбросе, аритмии, такой как атриовентрикулярная блокада, или при плохой хирургической технике (например, если клапан слишком мал или слишком велик для конкретного сердца). Типы неисправностей включают:
- Механические и биологические клапаны: эндокардит, расхождение с фиброзным кольцом (клапан становится расшатанным или отслоенным), регургитация.
- Чаще встречается в механических клапанах: тромб, отклонение (изменение формы или размера)
- Чаще у биологических клапанов: дегенерация - стеноз или регургитация.

Эхокардиографические признаки неисправности искусственного клапана. По возможности результаты следует сравнивать с базовыми значениями.
- Анатомические аномалии протеза (по М-режиму и 2-мерной эхокардиографии):
- Свободная часть клапана (например, разрыв створки биопротеза)
- Свободные швы
- Аномальное движение - уменьшенное или чрезмерное движение любой части протеза.
- Связанные находки, например кальциноз, тромб, вегетация, абсцесс, увеличенный размер камеры (левого желудочка или предсердия).
- Нарушения гемодинамики протеза (по доплеровскому и цветовому потоку):
- Наличие препятствия может быть вызвано увеличением скорости потока или уменьшением площади отверстия.
- Регургитация - усиление струи или новая струя.
Эндокардит протезов клапанов. Это очень серьезная проблема, которая часто приводит к необходимости хирургической замены клапана, часто после периода лечения внутривенными антибиотиками. Чтобы предотвратить это, необходима профилактика антибиотиками при всех стоматологических процедурах и хирургических вмешательствах. Эндокардит может поражать механические или биологические протезы. Это происходит с частотой 3-5% в год у людей с протезами клапанов.
Следующие данные на эхокардиографии наводят на мысль об эндокардите:
- Вегетации (подвижные образования на клапане, движутся в сердечном цикле, но их часто трудно увидеть)
- Неполное закрытие клапана из-за воздействия вегетаций на створки клапана
- Абсцесс виден как плохо отражающие эхо участки вокруг пришивного кольца
- В случае расхождения швов можно увидеть, как швы свободно движутся.
- M-режим может отображать вегетации в виде нескольких толстых эхо-линий, наложенных на M-режим протеза, но и M-режим, и 2D-эхокардиография могут быть затруднены из-за реверберации и маскировки. Небольшие вегетации (
- Допплерография и цветовой поток могут показать гемодинамические последствия эндокардита - чресклапанную регургитацию (вегетации, влияющие на закрытие створки), парапротезную регургитацию (образование абсцесса на линиях швов) или усиление потока вперед из-за препятствия кровотоку вегетациями. Как уже упоминалось, в этих ситуациях очень полезна чреспищеводная эхокардиография.
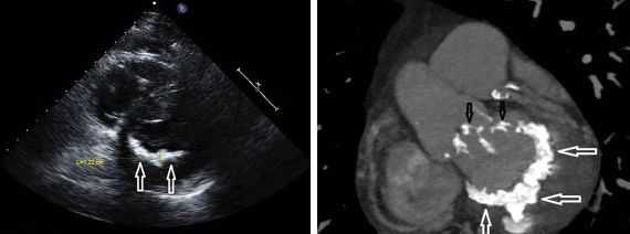
Тромб. Чаще встречается в механических клапанах и отвечает за многие случаи неисправности протеза. Это может произойти, если контроль антикоагуляции плохой или при наличии расширенных камерах сердца. Антикоагуляция необходима для всех механических клапанов (стремитесь к международному нормализованному отношению [МНО] 3,5-5,0). Восприимчивость протезов клапанов к тромбозу зависит от их положения (связанного с градиентом давления на клапане). Иногда пациенты жалуются, что больше не слышат щелчки клапана — это может быть признаком тромбоза.
ЭхоКГ может обнаружить тромб с помощью:
- Визуализации подвижного образования на клапане - ее бывает сложно отличить от вегетаций или кальцинированных узелков
- Уменьшение или отсутствие движения подвижной части клапана (например, шара, диска, створок)
- Сопутствующее расширение камер сердца.
- Как и в случае с вегетациями, в M-режиме может отображаться несколько темных эхо-линий и / или уменьшенное открытие или закрытие клапана. Допплерография и ЦДК могут указывать на препятствие для открытия клапана (повышенная скорость потока) или препятствие для закрытия (новая чресклапанная регургитация или увеличение степени тяжести существующей регургитации).
Расхождение шовного материала может создать неспособность швов прикрепить клапанное кольцо к окружающим нативным тканям из-за ослабления или разрыва одного или нескольких швов. Это может привести к парапротезная регургитации и / или ненормальному движению клапана (например, можно увидеть раскачивание клапана или свободное движение швов).
Регургитация на искусственных клапанах при эхокардиографии
Транскалапанная регургитация. Легкая степень часто рассматривается как часть нормальной функции клапана. Она увеличивается из-за любого фактора, вызывающего неполное закрытие протезных клапанов (например, вегетация, тромб, отклонение или дегенерация). Его можно обнаружить с помощью цветного допплеровского картирования или непрерывно-волнового допплера.
Парапротезная регургитация. Это всегда патология и может быть вызвано эндокардитом (абсцессом), расхождением швов или другими причинами. ЦДК покажет струю регургитации через область за пределами швейного кольца.
Износ протеза. Эта патология реже встречается с более новыми механическими клапанами и происходит из-за изменения формы и размера механического клапана из-за эрозий или трещин в корпусе шара или диска или отложения материала в клапане (например, волокнистой ткани или липидов на шаре или металлической поверхности протеза). Шар или диск становятся больше или меньше, вызывая препятствие или неполное закрытие, соответственно. ЭхоКГ может обнаруживать уменьшение движения шара или диска, увеличение скорости потока или чресклапанную регургитацию.
Дегенерация протеза. В большинстве биологических протезов дегенерация происходит в течение нескольких лет. Это приводит к кальцификации и стенозу и / или разрыву створок клапана и регургитации ближе к концу ожидаемого срока службы клапана. ЭхоКГ может показать кальциноз, аномальное движение створок и / или регургитацию.
Эхокардиография после протезирования клапанов
Замена клапана обычно требуется при серьезных клапанных пороках сердца, хотя его замена чаще осуществляется для коррекции значимой регургитации. Искусственные клапаны могут быть классифицированы как биологические или механические. Биологический протез является клапаном, когда полностью или одна часть протеза состоит из биологических тканей животных (биопротез или гетерограф) или человека (гомотрансплантата или аллотрансплантата). Механический клапан полностью изготовлен из небиологического материала (например, пиролитический углерод, литые силиконовые полимерные вещества, или титан). Реологические свойства крови, гемодинамика, долговечность и тромбоэмболические тенденции могут варьироваться в зависимости от типа и размера каждого протеза и, что более важно, от особенности пациента.
Физическое обследование больных с протезированными клапанами отличается от тех пациентов, которые имеют родные клапаны, потому что искусственные клапаны изначально незначительно стенотические и это может привести к дополнительным протезным звукам (вызвано движением закрытия диска). Поэтому часто бывает трудно клинически отличить звук работы между аномальным и нормальным протезированным клапаном. Оценка протезированных клапанов требует досконального знания уникальности их строения и гемодинамического профиля различных протезов. Дисфункция нативного клапан, как правило, подозревают на основании патологических результатов при двумерной эхокардиографии, но это бывает недостаточно, чтобы определить патологию протезированного клапана на трансторакальной эхокардиография. Поэтому, мы полагаемся больше на допплерографические показатели и цветовую визуализацию потоков, а также на чреспищеводную эхокардиографию для выявления дисфункции протезированных клапанов.
Двумерная эхокардиография
Двухмерная эхокардиография может выявить структурные аномалии протеза, такие как фистулу, вегетации, тромб, или дегенерацию ткани протеза. Однако ее чувствительность к сердечной дисфункции протеза затрудняется трудностью визуализации структур вокруг и позади сердечного протеза. Эхо отражение от протезного материала, затухание ультразвукового луча, и несколько других ультразвуковых артефактов от протеза могут вызвать трудности в толковании. Обычно, на эхокардиографии легче изучить изображения биологического протеза, чем механического. Для выявления структурных аномалий, связанных с протезом, важно понимать характеристики протеза и хирургический метод, который был использован.
Эхокардиография и цветное допплеровское картирование

Допплер-эхокардиография позволяет выявить скорость потока через протез клапана, что позволяет определять градиенты давления с использованием модифицированного уравнения Бернулли (градиент давления = 4 х скорость в квадрате). Отличная корреляция была установлена между допплеровским методом и инвазивным измерением давления двойным катетером, выполненным одновременно на различных протезированных клапанах. Однако, несколько моделей инвитро показали завышение градиента на аортальном протезе, которые определяются по допплеровским скоростям по сравнению с катетер-производными градиентами. Расхождение данных меньше в протезе с большим опорным кольцом. Потенциальные источники в разнице между допплер-производными и катетер-производными перепадами давления на протезах должны быть учтены, но это не является большой проблемой в выявлении дисфункции протеза.
Непрерывно-волновая допплерография может быть использована для оценки функциональной площади отверстия протеза аортального и митрального клапанов. Время полуспада давления (РНТ) метод, используемый для определения стеноза нативного митрального клапана, обычно переоценивает площадь митрального протеза. Протез клапана изначально стенотический в разной степени по сравнению с соответствующим родным клапаном, поэтому скорость потока через нормальный протез клапана выше, чем ожидаемый на родном клапане. Нормальная скорость протезного потока (следовательно, максимальный и средний градиенты давления) зависит от типа и размера протеза, его расположения и сердечного выброса. Следовательно, очень важно знать нормальные диапазоны скоростей потока для определенных типов протезов для сравнения с измеренными значениями. Поскольку гемодинамика протеза зависит от различных факторов, рекомендуется выполнить базовое допплеровское эхокардиографическое исследование в раннем послеоперационном периоде (сделать «отпечаток» функции протеза), так что он может быть использован в качестве эталона для сравнения с последующими исследованиями. Обе ситуации как регургитация, так и обструкция может привести к увеличению скорости потока через протез. Увеличение скорости потока указывает на то, что имеется несоответствующее меньшее отверстие, когда в протезе есть препятствие и при этом нет клинически значимой регургитации или увеличивается объем потока через протез (есть значимая регургитация).
Другие полезные характеристики допплеровского исследования на эхокардиографии протезов позволяет отличить непроходимость от регургитации. Когда на протезе имеется препятствие, кроме увеличения скорости потока пролонгируется длительность период полуспада РНТ (для протезов митрального и трикуспидального клапана). Увеличение скорости потока через обструкцию аортального протеза не сопровождается увеличением скорости в выходном тракте левого желудочка (ВТЛЖ), но увеличивается при тяжелой регургитации. Когда скорость через митральный или трехстворчатый протез в диастолу увеличивается из-за сильной регургитации, РНТ является нормальным или укороченным, а в ВТЛЖ скорость уменьшается, потому что прямоток из-за регургитации в систолу через протез уменьшается (часть крови попадает обратно в предсердие). Состояние высокого сердечного выброса увеличивает скорость на протезе, и это может быть подтверждено путем записи увеличение скорости потока во всех кардиальных отверстиях (ВТЛЖ, атриовентрикулярных клапанах, выходном тракте правого желудочка).
Обструкция протеза на эхокардиографии
Заболеваемость обструкции протезированных клапанов оценивается в 0,1% до 0,4% в год, в зависимости от размера клапана, его типа, расположения и адекватности антикоагуляции. Тогда как обструкция митрального механического протеза возникает чаще от тромба, причиной сужения механического протеза аортального клапана более часто является формирование паннуса. Когда работа протезированного клапана будет затруднена, происходит нарушение движения диска, шара, или уменьшается подвижность створки. Однако, это трудно выявить эти ситуации, и еще труднее оценить количественно, ограничение экскурсии на простой трансторакальной эхокардиографии. Чреспищеводная эхокардиография может в состоянии визуализировать нормальные и патологические движения протезированного клапана. Самый точный способ для выявления и количественной оценки степени обструкции протезов является допплер-эхокардиография. Допплеровское исследование должны быть выполнены датчиком с различных позиции, чтобы гарантировать, что фиксируется максимальная скорость в месте стриктуры протеза.
Кроме допплеровского отслеживания скорости, максимальный и средний градиенты давления и эффективная площадь клапана могут быть рассчитана по тем же формулам и уравнениям, описанных для нативного клапана. Однако, важно помнить, что само по себе увеличение скорости потока не всегда означает протезную непроходимость. Скорость может быть увеличена без стеноза при состоянии высокого сердечного выброса и при наличии тяжелой протезной регургитации. У больных с митральным протезом, время полуспада (РНТ) - это полезный показатель для определения того, повышена скорость кровотока из-за увеличенного притока (регургитации) или препятствия в протезе. РНТ, а также пиковая скорость потока увеличится, когда кровоток через митральный или трехстворчатый протез затруднен.
Если затруднена работа аортального протеза, скорость потока (следовательно, градиент давления) увеличивается, кроме случаев, если уменьшается сердечный выброс. Увеличение скорости потока через аортальный протез также можно ожидать при тяжелой протезной регургитации (следовательно, увеличения потока через аортальный протез). Однако, при аортальной обструкции (как при аортальном стенозе), при снижении фракции выброса левого желудочка, скорость потока ВТЛЖ может быть нормальной или слегка уменьшенной, и увеличивается при аортальной регургитации. Полезной для дифференциальной диагностики будет отношение средней скорости кровотока ВТЛЖ на протезе и интеграла линейной скорости кровотока. При повышении скорости потока через аортальный протез из-за обструкции протеза соотношение уменьшается, ≤0.2, а при повышении скорости из-за регургитации, соотношение остается нормальным, ≥0.3.
Эхокардиография и источники эмболии (часть 4)
Вегетации из-за инфекционного эндокардита являются потенциально важными источниками эмболии, поэтому при подозрении необходимо проводить эхокардиографию. Как правило, у пациента в анамнезе есть рецидивирующая лихорадка и конституциональные симптомы, а также возможный провоцирующий фактор (недавняя стоматологическая или другая инвазивная процедура). Первичная идентификация вегетаций во время оценки потенциального источника эмболии становиться вероятной, поскольку диагноз обычно подозревается клинически. Таким образом, большая часть вегетаций выявляется на эхокардиографии до того, как возникают серьезные эмболические осложнения.

Эхокардиографические особенности при инфекционном эндокардите
Вегетации имеют ряд типичных эхокардиографических характеристик, и диагноз обычно может быть установлен с относительно высокой степенью уверенности с помощью эхокардиографии в сочетании с клинической симптоматикой. Они кажутся менее отражающими (серыми) по сравнению с нормальной тканью клапана и расположены перед клапаном на линии струи регургитации (предсердная поверхность митрального клапана и поверхность желудочков створок аорты). Обычно они выглядят дольчатыми с неровными, плохо очерченными границами и имеют хаотическое движение, в отличие от других клапанных образований (фиброэластомы и т. д.), которые имеют тенденцию к более высокому отражению, с четко определенными границами и менее хаотичным движением. Тонкие протяженные клапанные прикрепления с узким основанием, скорее всего, будут неинфекционными фибринозными нитями, чем вегетациями. Признаки, которые помогают отличить вегетации от других образований, включают наличие разрушения створки, регургитации клапана и образования абсцесса или свища. Сообщается, что чувствительность трансторакальной эхокардиографии для выявления признаков эндокардита составляет от 44 до 60%, по сравнению с чувствительностью 88 и 100% для ЧПЭхоКГ. Мелкие вегетации ( 90%), хотя при более высоком разрешении чреспищеводной эхокардиографии повышенная чувствительность может происходить за счет немного сниженной специфичности (возможность маркировать небольшие доброкачественные фибринозные тяжи на нативных и протезных клапанах или незначительно подвижные шовный материал на протезах клапанов в виде мелких нитей).

Факторы, связанные с эмболией вегетациями
Риск эмболизации, связанной с вегетацией, варьируется в широких пределах (17-50%). Факторы, связанные с риском эмболии, включают их размер, подвижность и временные изменения размера вегетаций. Наиболее важным эхокардиографическим признаком, который позволяет прогнозировать риск эмболии, является размер вегетации. Если они размером> 10 мм, то имеют значительно более высокую частоту эмболических событий по сравнению с более мелкими вегетациями (47% против 19%). Увеличение или отсутствие изменений вегетации после 4-8 недель терапии связано с увеличением частоты эмболических событий (45% против 17%). Вегетации на митральном клапане имеют более высокий риск эмболии. Некоторые микроорганизмы связаны с образованием более крупных вегетаций, включая Staphylococcus aureus и группу организмов HACEK. Несмотря на адекватную антибактериальную терапию, вегетации могут стать организованными и сохраняться, и эти остаточные поражения с гораздо меньшей вероятностью будут давать эмболию.
Исторические данные свидетельствуют о том, что размер вегетации может быстро меняться при лечении, и при отсутствии других показаний к хирургическому вмешательству (серьезное разрушение клапана, образование абсцесса или свищей) разумной стратегией было лечение соответствующими противомикробными препаратами и повторная оценка проведения повторной эхокардиографии через 1-2 недели. Однако недавние данные показали, что ранняя (в течение 48 часов) операция по сравнению с традиционным лечением инфекционного эндокардита приводит к значительно меньшему количеству эмболических событий, 3% против 23% соответственно (отношение рисков 0,10; 95% доверительный интервал [ДИ] 0,01-0,82; P = 0,03). Не было существенной разницы в смертности от всех причин через 6 месяцев в группах раннего хирургического вмешательства и традиционного лечения (3% и 5% соответственно; отношение рисков 0,51; 95% ДИ 0,05-5,66; P = 0,59). Частота комбинированной конечной точки смерти от любой причины, эмболических событий или рецидива инфекционного эндокардита через 6 месяцев составила 3% в группе раннего хирургического вмешательства и 28% в группе традиционного лечения (отношение рисков 0,08; 95% ДИ 0,01-0,65; Р = 0,02).
Протезы клапанов на эхокардиографии
Предполагается, что эмболическое событие у пациента после протезирования клапана связано с протезом, пока не будет доказано обратное. Источником эмбола может быть тромбоз клапана, клапанные вегетации или тромб левого предсердия (при митральном протезе). В одной серии пациентов с протезами клапанов, перенесших чреспищеводную эхокардиографию для исследования потенциального источника эмбола, тромб был обнаружен на клапане примерно в 25% случаев. Для механических протезов общая частота тромбоэмболии составляет 0,7-1% на пациента в год для тех, кто лечится антикоагулянтами - гораздо более низкий уровень (4% на пациента в год), чем у тех, кто не использует антикоагулянты. Относительный риск эмболии выше при протезах митрального клапана, чем при протезах аорты, что, скорее всего, связано с более низкой скоростью потока через митральный клапан. Чреспищеводная эхокардиография более предпочтительное исследование для оценки протезов механических клапанов. Из-за акустического затенения поверхность со стороны ЛП не может быть хорошо видна с помощью трансторакального доступа, а протезы аорты обычно лучше видны из чреспищеводного доступа. Вегетации или тромбы на этих клапанах могут выглядеть одинаково, хотя вегетации обычно связаны с конституциональными симптомами и возможной периклапанной регургитацией или частичным раскрытием клапана. Тромб обычно возникает при неадекватной антикоагуляции. Обычно тромб является подвижным на створках клапана и клапанном кольце, связан с эффектом спонтанного эхоконтрастирования и может вызывать обструкцию клапана с повышенным допплеровским градиентом.
Лечение тромба механического клапана зависит от его тяжести и гемодинамических последствий. Пациенты с признаками обструкции клапана обычно страдают от нарушенной сердечной гемодинамики и традиционно нуждаются в срочной операции. В настоящее время тромболизис становится эффективной альтернативой. Тем, у кого нет признаков значительной обструкции, необходима агрессивная и требовательная антикоагулянтная терапия.
Фибриновые нити / выросты (экскресценции) Лямбла на эхокардиографии
Литература, посвященная этим двум терминам, несколько сбивает с толку, и иногда они используются как синонимы. Хотя термин «наросты (экскресценции) Лямбла» обычно применяется только к тем, которые находятся на аортальном клапане, нет никаких доказательств того, что митральные «фибринозные тяжи» отличаются. На эхокардиографии эти тяжи тонкие (до 1,5 мм в ширину), удлиненные (до 10 мм в длину), часто множественные и расположены на линии закрытия створки, на предсердной стороне митрального клапана и на желудочковой стороне аортального клапана.
Гистологически они состоят из ядра соединительной ткани с коллагеном и эластическими волокнами или из бесклеточного гиалинового материала, покрытого эндотелием. Они также были обнаружены на протезах клапанов. На эхокардиографии они одинаково часто встречаются у представителей обоих полов и всех возрастных групп, что отрицает их прежде всего «дегенеративное» явление. Они очень распространены (распространенность~ 40%), причем митральный клапан является более распространенным местом, чем аортальный клапан. Роль этих наростов клапана в сердечной эмболии неясна. Первоначальные ретроспективные исследования предполагали наличие связи. Однако более поздние данные не показали какой-либо связи с эмболическими событиями, и, похоже, они не меняются с течением времени. Таким образом, согласно имеющимся данным, они не считаются серьезным источником эмболии и не требуют лечения.

Папиллярная фиброэластома на эхокардиографии
Эти редкие доброкачественные опухоли являются наиболее распространенным типом клапанной опухоли. Они чаще встречаются на аортальном клапане, чем на митральном, но могут возникать в любом месте эндокарда. С эхокардиографической точки зрения они обычно имеют небольшие размеры ( В самой крупной опубликованной серии, за которой наблюдали в среднем почти 2 года, неврологические события составляли 6,6%. Сообщается, что наличие ножки (и, следовательно, подвижность опухоли) является предиктором риска эмболии. Неясно, вызваны ли эмболические осложнения тромбообразованием на этих опухолях или эмболизацией фрагментов самой опухоли. Текущее лечение этих опухолей остается неясным. Нет данных об эффективности антикоагулянтной или антитромбоцитарной терапии, хотя лечение аспирином кажется чувствительным. При их обнаружении на эхокардиографии могут наблюдаться бессимптомные пациенты с небольшими неподвижными опухолями. Неясно, следует ли удалять большие подвижные опухоли у бессимптомных людей. При эмболии обычно рекомендуется хирургическое вмешательство.
Недостаточность митрального клапана - симптомы и лечение
Что такое недостаточность митрального клапана? Причины возникновения, диагностику и методы лечения разберем в статье доктора Верещагиной Натальи Валентиновны, терапевта со стажем в 29 лет.
Над статьей доктора Верещагиной Натальи Валентиновны работали литературный редактор Вера Васина , научный редактор Сергей Федосов и шеф-редактор Лада Родчанина
Определение болезни. Причины заболевания
Недостаточность митрального клапана — порок, при котором из-за неполного смыкания створок клапана возникает обратный ток крови (регургитация) из левого желудочка в левое предсердие [8] .

Патология проявляется слабостью, головокружением, ощущением нехватки кислорода и утомлением, так как при заболевании нарушается кровоснабжение головного мозга. Без лечения тяжёлая регургитация митрального клапана может стать причиной сердечной недостаточности и нарушений сердечного ритма (аритмии).
Причины митральной недостаточности:
- ;
- бактериальный эндокардит;
- отложение солей кальция в тканях клапана;
- заболевания соединительной ткани — ревматоидный артрит, системная красная волчанка, склеродермия, синдромы Марфана и Элерса-Данло;
- травматический отрыв створок клапана при тяжёлой физической нагрузке;
- травмы при хирургических операциях на клапане;
- утолщение створок клапана;
- опухоли предсердия;
- лучевая терапия [8] .
Митральная недостаточность находится на первом месте среди всех приобретённых клапанных пороков сердца. Патология редко встречается изолированно, зачастую она сочетается с митральным стенозом и с пороками аортального клапана. Распространённость недостаточности митрального клапана в сочетании с пролапсом митрального клапана среди населения составляет 2-6 % [15] .
При обнаружении схожих симптомов проконсультируйтесь у врача. Не занимайтесь самолечением - это опасно для вашего здоровья!
Симптомы недостаточности митрального клапана
Симптомы заболевания:
- общая слабость и головокружение;
- учащённое сердцебиение;
- одышка, возникающая даже при незначительных нагрузках;
- ноющие, давящие и колющие боли в сердце, которые могут отдавать в левое плечо и руку;
- "неудовлетворённость вдохом" — больной делает один вдох за другим, но ощущает нехватку воздуха и впадает в панику;
- частые простудные заболевания;
- кровотечения из носа и дёсен, длительные менструации у женщин;
- ухудшение памяти, панические атаки, тревога, мнительность (это связано с нехваткой снабжения головного мозга кислорода, нарушением обменных процессов и замедлением передачи импульсов между нейронами);
- дрожь в теле;
- частое появление синяков;
- дискомфорт при нахождении в закрытом и душном помещении, возможны обмороки;
Постоянная тревога часто приводит пациента на консультацию к психиатру или неврологу. Очень важно не допустить таких больных в профессиональный спорт, так как чрезмерные нагрузки могут вызвать смерть на тренировках и соревнованиях.
У пациенток с митральной недостаточностью во время беременности возможны перебои в работе сердца, особенно нежелательные при родах, но в основном беременность протекает без осложнений [3] [4] .
Патогенез недостаточности митрального клапана
Сердце человека состоит из четырёх камер: правое и левое предсердия, правый и левый желудочки. Между предсердиями и желудочками расположены входные клапаны — трикуспидальный и митральный. На выходе из желудочков находятся похожие по строению выходные клапаны — лёгочный и аортальный.

Клапаны имеют створки, которые открываются и закрываются во время сердечных сокращений. Иногда клапаны не открываются или не закрываются должным образом, при этом нарушается ток крови.
Митральный клапан состоит из двух створок и открывается, позволяя крови течь в левый желудочек. Затем клапан закрывается, чтобы кровь не текла обратно в левое предсердие. При митральной недостаточности этот клапан закрывается неплотно, в результате чего кровь попадает обратно в левое предсердие.
В патогенезе первичной или врождённой недостаточности митрального клапана важную роль играет хронический дефицит ионов магния. Нехватка магния приводит к тому, что фибробласты вырабатывают неполноценные эластин, коллаген и фибронектин, а также к нарушению свойств ферментов, регулирующих обмен коллагена. В результате нарушается строение и функции соединительных тканей сердца [14] .
Вторичная форма митральной недостаточности возникает в результате перенесённых заболеваний и травм. При патологии происходит расширение полости левого желудочка, прогибание створок митрального клапана, дисфункция сосочков мышц и разрыв сухожильных хорд, соединяющих клапаны с сосочковыми мышцами. Иногда причиной развития вторичной недостаточности митрального клапана становится кальциноз клапанного фиброзного кольца. Кальциноз митрального кольца — это хронический дегенеративный процесс, при котором происходит отложение кальция в кольце клапана. Митральное кольцо при кальцификации становится утолщённым и менее гибким. Хотя изначально кальциноз митрального клапана считался возрастным дегенеративным процессом, накапливаются данные о том, что его развитию способствуют атеросклероз и генетически обусловленные нарушения кальций-фосфорного обмена [16] .

Классификация и стадии развития недостаточности митрального клапана
В течении заболевания выделяют три периода:
- Компенсация дефекта клапана усиленной работой левого предсердия и левого желудочка. Это продолжительный период хорошего самочувствия, но уже на этой стадии начинают появляться первые характерные симптомы: слабость, головокружение, частые простудные заболевания, чувство нехватки воздуха, перебои в работе сердца, одышка.
- Развитие венозной митральной недостаточности. Больные жалуются на одышку и учащённое сердцебиение. При интенсивной физической нагрузке наблюдаются приступы сильной одышки и кровохарканье.
- Одышка уменьшается, но пациент ощущает тяжесть в правом подреберье. Появляются отёки, уменьшается количество мочи, набухают шейные вены. Кровохарканье усиливается, развивается отёк лёгких, возникают нарушения сердечного ритма (мерцательная аритмия и наджелудочковая экстрасистолия) и тромбоэмболические осложнения.
С учётом выраженности обратного тока крови выделяют четыре степени митральной недостаточности: с незначительной митральной регургитацией, с умеренной, выраженной и тяжёлой.
Стадии митральной недостаточности:
- Митральный возврат крови составляет 20-25 %. На этой стадии пациент здоров.
- Митральный возврат крови в пределах 25-50 % от систолического объёма крови. Развивается застой крови в лёгких второй степени. Появляются кашель, одышка, перебои в работе сердца.
- Выраженная недостаточность митрального клапана. Возврат крови в левое предсердие составляет 50-90 %. Возникают кашель, кровохарканье, приступы удушья, увеличивается печень, появляются отёки [8] .
Осложнения недостаточности митрального клапана
Осложнения порока:
- Кровохарканье и отёк лёгких. Проявляется одышкой, затруднённым вдохом, влажным кашлем. В мокроте появляется кровь. Температура тела повышается до субфебрильных ( 37-38 °C ) и фебрильных ( 38-39 °C ) значений. Необходима срочная госпитализация в отделение реанимации.
- Нарушения сердечного ритма в виде мерцательной аритмии и наджелудочковой экстрасистолии. Проявляются перебоями в работе сердца, головокружением, слабостью, обмороками. Требуется госпитализация в отделение кардиологии.
- Тромбоэмболические осложнения (тромбоз левого предсердия, сосудов кишечника, почек, головного мозга). Последствия будут зависеть от локализации тромба. При тромбозе сосудов головного мозга возможен инсульт. Если тромб находится в почках и сосудах кишечника, то пациент испытывает острые боли в животе. Необходима госпитализация в отделение реанимации [8][9] .

Диагностика недостаточности митрального клапана
При сборе анамнеза кардиолог уточняет:
- ощущает ли пациент нехватку воздуха при вдохе;
- беспокоят ли перебои в работе сердца;
- возникает ли одышка при незначительных физических нагрузках;
- мучает ли тревога, страх смерти, панические атаки.
При аускультации ("выслушивании" сердца) выявляется систолический шум у верхушки и над основанием сердца. Важное значение для диагностики митральной недостаточности имеет фонокардиография (ФКГ). ФКГ - это метод исследования работы сердечной мышцы, который основан на регистрации и последующем анализе звуков, возникающих во время работы сердца .
Другой важный инструментальный метод диагностики — эхокардиография (Эхо-КГ) . Эхо-КГ — это безболезненное ультразвуковое исследование, которое позволяет исследовать работу сердца в реальном времени. Эхокардиография покажет уменьшение эластичности клапана, его повреждение, размер отверстия митрального клапана и расстояние между его створками. Также при исследовании можно увидеть разрыв папиллярной мышцы и провисание клапанных створок в полость левого предсердия [4] [8] [9] .

Лечение недостаточности митрального клапана
При обострении заболевания необходим постельный режим. Также следует принимать препараты, содержащие магний и B6 по две таблетки три раза в день (например, "Магнелис").
Обязательно следует проводить лечение и профилактику осложнений. Для предупреждения тромбоэмболии пациентам старше 30-40 лет назначают препарат "Тромбо АСС", препятствующий тромбообразованию .
Если беспокоит частый пульс (более 80 ударов в минуту), то назначаются бета-адреноблокаторы, диуретики, антикоагулянты, нитроглицерин.
Если пациент страдает от приступов тревоги, то в качестве симптоматической терапии можно рекомендовать короткий курс феназепама на ночь.
Если развивается сердечная недостаточность и нарушается сердечный ритм, то проводят лечение бета-адреноблокаторами, диуретиками, ингибиторами ангиотензинпревращающего фермента, антикоагулянтами, блокаторами кальциевых каналов.
При значительной недостаточности митрального клапана показано оперативное лечение.
Основные хирургические методы коррекции митральной недостаточности:
- пластика митрального клапана;
- протезирование с частичным или полным сохранением хордального аппарата;
- протезирование без сохранения хордального аппарата.
Своевременное хирургическое вмешательство позволяет достичь хороших результатов и не допустить развитие осложнений.

Прогноз. Профилактика
При соблюдении рекомендаций врача прогноз благоприятный.
Для профилактики осложнений следует:
- ежегодно проходить осмотр у терапевта и кардиолога и проводить эхокардиографию сердца (Эхо-КГ);
- принимать препараты магния, а для предупреждения тромбоэмболии — антикоагулянты;
- исключить тяжёлые физические нагрузки, переохлаждение и перегрев;
- снизить эмоциональные перегрузки;
- отдыхать в дневные часы;
- при тревожных расстройствах принимать успокоительные препараты, освоить методы аутотренинга и расслабления мышц;
- проходить санаторно-курортное лечение [4] .
При ревматизме и после перенесённой ангины для профилактики недостаточности митрального клапана назначают антибиотик "Бициллин-3". Препарат подавляет развитие стрептококковой и стафилококковой инфекций.
После 40 лет всем пациентам, страдающим недостаточностью митрального клапана, необходимо контролировать уровни фибриногена, РФМК (растворимых фибринмономерных комплексов), D-димера (продукта распада фибрина). Эти анализы нужны для предотвращения тромбоэмболии лёгочной артерии и артерий внутренних органов. При повышении вышеуказанных показателей назначают антикоагулянты.
Если недостаточность митрального клапана обнаружена у ребёнка и его беспокоит слабость, головокружение, расстройство внимания, то рекомендуется временно перейти на домашнее обучение. Таким детям следует избегать чрезмерных физических нагрузок, им разрешена только лечебная физкультура.
Если при проведении Эхо-КГ обнаружено сильное прогибание створок клапана, то необходима консультация у кардиохирурга. Восстановление клапана или его замена могут потребоваться при эндокардите, сердечной недостаточности, нарушениях ритма, сильных болях в грудной клетке, признаках застоя в лёгочной системе (одышке, уменьшении объёма вдоха и ощущении нехватки воздуха).
Внутрисердечный тромбоз
Внутрисердечный тромбоз - это наличие тромба в одной из сердечных камер. Тромбоз левых отделов сердца развивается при фибрилляции предсердий, врожденных и приобретенных кардиальных пороках, инфаркте миокарда. Поражение правых камер сердца возникает как компонент ТЭЛА. При внутрисердечном расположении тромбов специфическая симптоматика отсутствует, клинические проявления возникают только при осложнении тромбоза другими кардиальными патологиями. Для диагностики назначают классическую и чреспищеводную ЭхоКГ, МРТ сердца, вентрикулографию. Лечение включает комплексную антикоагулянтную терапию, кардиохирургические вмешательства.
МКБ-10



Общие сведения
Внутрисердечная локализация тромбов наблюдается у 1-15,2% людей, имеющих кардиологические заболевания. Такой разбег статистических данных обусловлен длительным бессимптомным течением патологии и сложностями ее инструментальной диагностики. До 90% всех случаев составляют тромбы левого ушка и предсердия, реже встречаются кровяные сгустки в левом желудочке, правом предсердии и желудочке. Внутрисердечные тромбозы не теряют актуальности в практической кардиологии, поскольку сопряжены с жизнеугрожающими тромбоэмболическими осложнениями.

Причины
Развитие внутрисердечного тромбоза (ВСТ) связывают с сочетанным действием двух факторов: патологическим повышением свертывающей способности крови и наличием структурно-функциональных изменений в сердечных полостях. Большинство случаев заболевания возникают у пациентов, которые страдают от других кардиологических патологий, что осложняет своевременную постановку диагноза. Основные причины образования внутрисердечных тромбов:
- Аритмии. Ведущим провоцирующим фактором выступает фибрилляция предсердий (мерцательная аритмия), при которой частота сердечных сокращений возрастает до 400-500 в минуту. При фибрилляции наблюдается стаз крови в левом предсердии, особенно в его ушке, где располагается большинство внутрисердечных кровяных сгустков.
- Острый коронарный синдром. Появление тромбов внутри камер сердца характерно для пациентов с инфарктом миокарда. Вероятность патологии повышается при ишемии передней стенки, падении фракции выброса крови менее 50%. Причиной внутрисердечного тромбоза также выступает постинфарктная аневризма желудочка.
- Пороки сердца. При структурных аномалиях сердечных камер нарушается нормальный ток крови в большом и малом круге, что становится пусковым фактором тромбоза. Чаще всего патология развивается на фоне стеноза митрального клапана, который является типичным осложнением ревматизма.
- ТЭЛА. Патология признана основной причиной тромбоза в правых сердечных камерах. Внутрисердечные тромбы выступают составляющими системного тромбоэмболического процесса. Риск тромбоза составляет 4% у пациентов с немассивной ТЭЛА и возрастает до 18% при массивной форме тромбоэмболии легочной артерии.
- Имплантируемые устройства. Повышенный риск тромбообразования присутствует у пациентов, которым установлен электрокардиостимулятор, искусственный клапан или центральный катетер. Вероятность патологии увеличивается при неадекватно подобранной антикоагулянтной терапии, наличии отклонений от нормы по результатам коагулограммы.
Патогенез
В механизме развития тромбоза выделяют несколько факторов, таких как стаз крови в полости предсердия или желудочка, дисфункция эндотелия, чрезмерная активация системы свертывания. Стаз крови реализуется вследствие анатомических причин, которые включают структурные изменения при пороках сердца, узкую конусовидную форму и неровную поверхность сердечного ушка, ремоделирование полости желудочка вследствие инфаркта миокарда.
Эндотелиальная дисфункция сопровождается повышением биомаркеров: фактора фон Виллебранда и предсердного натрийуретического пептида, которые резко увеличивают свертывающую способность и снижают фибринолитическую активность крови. При фибрилляции предсердий ситуация усугубляется возрастанием уровня фибриногена, Д-димера, тканевого активатора плазминогена.
Внутрисердечные кровяные сгустки подразделяются на 2 типа: пристеночные и флотирующие. Пристеночные тромбы прочно связаны с внутренней выстилкой сердечной камеры, поэтому они редко отрываются. Второй тип — флотирующие тромбы, свободно располагаются в полости сердца и легко распространяются с током крови в другие органы. Особое место занимают шаровидные тромбы предсердий, которые являются патогномоничным признаком митрального стеноза.

Симптомы внутрисердечного тромбоза
Тромбы сердца длительное время никак себя не проявляют. Ухудшение здоровья связано с основной кардиоваскулярной болезнью. Пациенты предъявляют жалобы на перебои в работе сердца, сдавление и боли в левой половине грудной клетки, одышку при физической нагрузке и в покое. Возможны эпизоды головокружения и дурноты, предобморочные состояния. Нарушения кровотока приводят к гипоксии, которая проявляется слабостью, головными болями, снижением когнитивных функций.
Осложнения
Основной опасностью внутрисердечного тромбоза является распространение сгустков по магистральным сосудам к внутренним органам. При переносе тромба по большому кругу кровообращения существует риск ишемического инсульта, возникающего при закупорке одной из артерий, кровоснабжающих головной мозг. К осложнениям ВСТ левой половины сердца относят критическую ишемию кишечника, почки, нижней конечности.
Вовлечение правых камер сопряжено с массивной легочной тромбоэмболией. Критические нарушения кровотока в сосудах бронхолегочной системы изменяют вентиляционно-перфузионное соотношение, вызывают артериальную гипоксемию и дыхательную недостаточность. Одновременно с этим формируется бронхоспазм, связанный с повышенным синтезом биологически активных веществ и усугубляющий респираторные нарушения. При ТЭЛА возможно развитие инфаркта легкого.
Диагностика
Обследование пациента проводится врачом-кардиологом при обращении по поводу сопутствующих сердечных патологий либо при развитии тромбоэмболических осложнений. При первичном осмотре обращают внимание на кардиологический анамнез, данные физикального обследования сердца, наличие факторов риска кардиоваскулярных кризов. Для диагностики ВСТ используются следующие методы:
- ЭхоКГ. Классическое трансторакальное УЗИ сердца имеет ограниченную эффективность, позволяет обнаружить признаки других патологий и нарушений гемодинамики. Для точной визуализации тромба показана чреспищеводная ЭхоКГ, которая дает врачу информацию о расположении, размерах и прикреплении кровяного сгустка.
- МРТ сердца. Магнитно-резонансная томография проводится как альтернатива чреспищеводному УЗИ, если у пациента есть противопоказания к его выполнению. МРТ обеспечивает четкие и детальные снимки всех сердечных камер, что необходимо для подтверждения внутрисердечного тромбоза, выявления предпосылок его развития.
- ЭКГ. Электрокардиография необходима для определения признаков фибрилляции предсердий или других вариантов аритмии, которые выступают предрасполагающим фактором тромбоза. Исследование информативно для быстрой диагностики коронарного синдрома и прочих осложнений при тромбоэмболии.
- Вентрикулография. Исследование полостей сердца с контрастированием - вспомогательный инвазивный метод, который нужен для визуализации сократительной активности миокарда, состояния сердечных клапанов и структурных аномалий сердца. Он назначается по строгим показаниям, поскольку повышает риск тромбоэмболии и аритмии.
- Анализы крови. Для оценки свертывающей активности системы крови показана расширенная коагулограмма, которая включает показатели Д-димера и антитромбина III. При острых кардиоваскулярных симптомах проводится анализ миокардиальных маркеров и острофазовых показателей. Для оценки общего состояния больного выполняют клинический и биохимический анализы крови.
Дифференциальная диагностика
Объемные образования в полостях сердца, обнаруженные при инструментальной визуализации, необходимо отличать от опухолей. Дифференциальная диагностика проводится с доброкачественными новообразованиями - миксомой, рабдомиомой, липомой и сосочковой фиброэластомой, злокачественными процессами - саркомой, метастазами рака молочной железы, легких, желудка. Также необходимо дифференцировать ВСТ от клапанных вегетаций при инфекционном эндокардите.

Лечение внутрисердечного тромбоза
Консервативная терапия
Всем пациентам назначается программа антикоагулянтной и антиагрегантной терапии, которая направлена на стабилизацию реологических свойств крови, предупреждение прогрессирования и отрыва тромба. Препараты принимаются пожизненно, их наименования и дозы зависят от конкретной клинической ситуации. Для лизиса внутрисердечных тромбов применяются антагонисты витамина К, которые способствуют уменьшению или полному растворению сгустка у 46-83% пациентов.
Хирургическое лечение
Оперативное вмешательство в кардиохирургии оправдано при осложненном течении внутрисердечного тромбоза либо при больших размерах сгустков и высокой вероятности кардиоваскулярных кризов. Тактика операции подбирается индивидуально с учетом расположения тромба. Для предупреждения интраоперационной тромбоэмболии вмешательство проводится в условиях искусственного кровообращения. При отрыве тромба и поражении сосудов показана тромбэктомия.
Прогноз и профилактика
Внутрисердечный тромбоз является прогностическим неблагоприятным фактором, особенно при его сочетании с опасными формами аритмий, протезированными клапанами. Для профилактики жизнеугрожающих осложнений пациентам необходимо диспансерное наблюдение у кардиолога и выполнений контрольных УЗИ сердца. Неспецифическая профилактика направлена на снижение показателя кардиоваскулярного риска, нормализацию образа жизни.
2. Внутрисердечный тромбоз: частота, факторы риска и место пероральных антикоагулянтов в лечении/ Е.С. Кропачева// Атеротромбоз. - 2020. - №1.
3. Identification of Intracardiac Thrombus/ Strom J., Manning W.// Essential Echocardiography: Companion to Braunwald's Heart Disease. - 2019.
4. Предикторы внутрисердечного тромбоза у больных с мерцательной аритмией: факторы гемостаза, маркеры воспалений и генетические факторы/ И.В. Зотова, Д.А. Затейщиков, Б.А. Сидоренко//Кардиология. - 2007. - №. 11.
Читайте также:


