Экстракоронковые временные шины. Особенности экстракоронарных шин в стоматологии
Добавил пользователь Евгений Кузнецов Обновлено: 24.10.2025
Загорский Валерий Арсентьевич
ФГБОУ ВО Первый МГМУ им. И.М. Сеченова.
доктор медицинских наук, профессор
Аннотация
В статье описываются различные способы временного шинирования зубов с помощью шинирующих аппаратов и конструкций. Главная цель временного шинирования зубных рядов с поражением тканей пародонта заключается в объединении и разгрузке с последующей фиксацией групп зубов при наличии травматической артикуляции или сформированных травматических узлов. При поражении более 50% тканей пародонта сохранившийся пародонт не в состоянии компенсировать не только чрезмерную, но и физиологическую нагрузку, что вызывает его дальнейшую деструкцию. Шинирующие аппараты и временные конструкции позволяют зафиксировать подвижные зубы и оптимально перераспределить жевательную нагрузку как на подвижные зубы, так и на те зубы, имеющие достаточно сохранившийся пародонт или на зубы, не участвующие во всех актах пережевывания пищи.
Abstract
The article describes different ways to temporary splinting of teeth with chinaswamy devices and designs. The main purpose of the temporary splinting of teeth with the defeat of periodontal tissues is to combine and unloading with subsequent fixation of teeth in the presence of traumatic articulation formed or traumatic sites. In case losing more than 50% of periodontal tissues preserved periodontium is unable to compensate for is not only excessive, but also physiological load cause further destruction. Splinting devices and temporary structures allow to fix loose teeth and optimally redistribute the chewing load on the movable teeth, and those teeth, with enough preserved periodontal or teeth not involved in all acts of chewing food.
В основе показаний к шинированию зубов является оценка их подвижности и оценка состояния тканей пародонта, которая определяется на основе клинического и рентгенологического обследования после терапевтического и хирургического методов лечения [1]. При убыли костной ткани на половину длины корня зуба следует проводить горизонтальное шинирование, заключающееся в применении методов сагиттального и трансверзального шинирований. При диагностике убыли костной ткани до ¾ длины корня и подвижности зубов II- III степени следует применять жесткое шинирование в трех плоскостях (вертикальной, сагиттальной и трансверзальной).
Целью временного шинирования является:
- Создание жесткой фиксации подвижных зубов с помощью различных временных или постоянных конструкций, шин и ортопедических аппаратов;
- За счет объединения группы зубов или всего зубного ряда в один блок достичь восстановления контактных точек, при этом повышается сопротивляемость пародонта отдельных зубов к жевательному давлению;
- Создание блока шинируемых зубов, в результате чего осуществляется торможение миграции зубов в трех направлениях; для передних в сагиттальном, вертикальном и трансверзальном, для боковых — в сагиттальном, вертикальном и горизонтальном;
- Применение шинирующих аппаратов уменьшает локальную травму отдельных зубов за счет перераспределения жевательной нагрузки на большую группу зубов;
- Не создавать ретенционные пункты для задержки пищевых остатков и не оказывать раздражающего действия на ткани пародонта;
- Не мешать проведению терапевтической и хирургической терапии ослабленных тканей пародонта подвижных зубов.
Степень подвижности зубов, состояние и выраженность воспаления тканей пародонта лежат в основе выбора вида стабилизации — фронтальная (передний участок); — сагиттальная (боковой отдел зубной дуги); — фронто-сагиттальная; парасагиттальная; — стабилизация по дуге. При сохраненных зубных рядах с ослабленным пародонтом шинирование подвижных зубов предполагает их объединение в единый блок, планирование оптимальной конструкции шины с целью максимального объединения большого количества зубов с ослабленным и сохранившимся пародонтом [2].
При нарушении целостности зубных рядов следует проводить шинирование подвижных зубов с одновременным восстановлением дефектов зубных рядов. При этом необходимо различать шинируемую группу зубов и протезную конструкцию, которая, в большинстве случаев, в той или иной мере, нагружает шинируемые зубы через систему опор на удерживающих и замковых креплениях бюгельных протезов [14]. При выборе подобных конструкций аппаратов следует оптимально распределить их опорную и ретенционную функцию с минимальной травмой и перегрузкой оставшихся зубов. На всех этапах терапевтического, хирургического, ортодонтических и ортопедических методов лечения зубов с ослабленным пародонтом необходимо уделять максимальное внимание коррекции и оптимизации окклюзионных контактов, исключая балансирующие контакты или суперконтакты при всех движениях нижней челюсти.
Ортопедические конструкции, применяемые в процессе комплексного лечения пациента с заболеваниями тканей пародонта представлены временными и постоянными шинами и протезными конструкциями.
Временные шины используют для стабилизации подвижных или мигрирующих зубов как во время всего медикаментозного, терапевтического и хирургического методов лечения, так и на период изготовления постоянных шин или на время изготовления постоянной протезной конструкции. Временные шины следует применять для проведения и закрепления результатов ортодонтического лечения при незначительно наклоненных зубах или их миграции. Временные шины обеспечивают оптимальное распределение жевательного давления между пародонтом пораженных и интактных зубов, создавая покой пораженным тканям, улучшая их трофику, снимая воспалительный компонент в тканях пародонта. Временные шины широко используются в развившихся стадиях очагового и генерализованного пародонтита [15]. Применение их позволяет равномерно перераспределить механическую энергию жевательного давления между пародонтом включенных в блок зубов, создавая покой пораженным тканям, что улучшает кровоснабжение тканей пародонта и приводит к уменьшению воспалительного процесса. Абсолютным показанием к изготовлению временной шины является проведение гингивотомии и гингивоэктомии.
Методы и технологии изготовления временных шин предлагались и менялись в зависимости от уровня развития технологий и материалов в промышленности. В 1916 г. Ciezynski предложил лигатурное обвязывание подвижных зубов бронзо-алюминиевой проволокой, толщиной 0,5 мм или нержавеющей мягкой проволокой, диаметром 0,3—0,4 мм. Подвижные зубы привязывались к более стабильным зубам. Скручивание проволоки проводится в межзубных промежутках с целью придания подвижным зубам большей жесткости.
После появления самотвердеющих акрилатов в 30-х годах XX в. Glickman предложил укреплять шину, связанную из проволоки быстротвердеющими акриловыми пластиками, которые предотвращают расслабление витков проволоки и травмы межзубных сосочков.
Novotny рекомендовал при подвижных зубах полностью акрилатную шину, которая в виде полоски, толщиной до 2 мм фиксирует подвижные зубы с язычной поверхности и заполняет межзубные промежутки, не травмируя межзубные сосочки [22].
За последние десятилетия получили широкое распространение временные шины, которые можно использовать до 5-7 лет и готовят их из пластмассы акрилового ряда или с применением светоотверждаемых композитов. Шины могут быть капповые (изготовленные лабораторным путем и охватывающие зубы с вестибулярной и оральной поверхностей), орально-вестибулярно расположенные в соответствующей поверхности зубного ряда и фиксирующей подвижные зубы. Все временные и постоянные шины не должны мешать смыканию зубов при всех движениях нижней челюсти, не мешать проведению медикаментозного лечения, не травмировать десневой край и не мешать проведению гигиенических процедур [11], [17].
Применение современных композитных материалов значительно расширило показания к использованию временных шин, оптимально фиксирующих подвижные зубы с соблюдением эстетических и гигиенических требований непосредственно у кресла. При потере фронтальных зубов возможно, с помощью композитов, заместить отдельные зубы. В зависимости от химического состава для шинирования подвижных зубов используют два типа материалов: на основе неорганической матрицы GlasSpan и FiberSplint (Швейцария); на основе органической матрицы из полиэтилена Ribbond (США) и Connect (США). В основе этих материалов лежит матрица из тончайших волокон полиэтилена или микроволоконного кварца, пропитанных композитом, позволяющих достаточно плотно фиксироваться к коронковой части зубов, затем к матрице добавляются композитные материалы с целью лучшей механической фиксации подвижных зубов, создавая единый шинирующий блок.
В последнее время в стоматологии начинает достаточно широко внедряться интроральное сканирование. [3], [4], [5], [6]. Этот метод позволяет достаточно точно получить цифровую модель рельефа объектов полости рта [8], [10], [12], [13]. После получения оптического слепка, на CAD/CAM системах изготавливаются различные защитные каппы, временные шины и сплинты. Важной особенностью доступных на современном рынке CAD/CAM систем - является их универсальность в отношении выбора конструкционных материалов [6]. Технологические возможности аппаратуры предусматривают не только компьютерное моделирование проекта протеза, но и непосредственное выполнение готового изделия, что обеспечивает, в частности, ортопедическую стоматологию необходимым ресурсом при создании различных временных шин с учетом персональных анатомо-физиологических особенностей строения лицевого черепа [7], [8], [9].
Достаточно прочную шинирующую конструкцию можно изготовить с применением скрученной титановой или нержавеющей проволоки. Перед изготовлением шины следует тщательно снять все над- и поддесневые зубные отложения. С помощью копировального маркера выверяют, а затем сошлифовывают мешающие контактные точки при сагиттальных и трансверзальных физиологических движениях в пределах поля окклюзии. Алмазным бором на 1—2 мм выше язычных бугорков на нижней челюсти или ниже нёбных бугорков верхней челюсти проводится разметка и препарирование режущей поверхности зубов с целью создания ретенционных пунктов или формирования бороздки, в которую будет проложена фиксирующая лента или скрученная титановая проволока на подвижные зубы. После тщательной промывки мест нанесения композита проводят травление контактирующих поверхностей с последующим обильным количеством воды, смывая протравливающий гель. Затем на препарируемую поверхность наносят бондинг, который тщательно раздувают пустером по протраливаемой поверхности подвижных зубов. С помощью гелиевой лампы засвечивают бондинг. В подготовленную борозду помещают небольшое количество композита, в который вдавливается шинирующая лента или проволока в области одного или двух зубов. После засвечивания композита аналогичным образом укрепляют ленту в бороздки остальных зубов, шинирующих оставшиеся подвижные зубы. После фиксации шинирующей ленты светоотверждаемый композит, с учетом анатомической формы зубов, наносят на все ретенционные пункты и укрепляют межзубные контакты зубов. После окончательной полимеризации композита с помощью боров и полиров осуществляют окончательную обработку поверхности шинирующей конструкции, проводят окончательную выверку окклюзионных контактов с обязательным освобождением придесневых межзубных сосочков. Подобные конструкции изготовленных шин могут служить до 3—5 лет. Срок пользования подобной шиной определяется имеющейся подвижностью зубов, гигиеной полости рта и методами терапевтического лечения заболеваний тканей пародонта.
В процессе работы очень важно учитывать характеристики материалов из которых будут изготавливаться будущие конструкции [20], [21]. Непереносимость стоматологических материалов может быть вызвана различными причинами: гальванизмом, аллергическими реакциями на стоматологические материалы, токсическими повреждениями слизистой оболочки и т.д., поэтому необходим строгий контроль качества используемых материалов (не допускать использования контрафактной продукции) и дополнительно, ест это необходимо, проводить совместный анализ материалов врачом-стоматологом и иммунологической лабораторией [16], [18], [19].
При потере одиночных зубов во фронтальном отделе зубного ряда возможно изготовление отсутствующего зуба из фотоотверждаемого композита с прикреплением ленты или проволоки к оставшимся зубам. Подобные конструкции шин возможно изготавливать при подвижности зубов до 2/3 убыли костной ткани. При подвижности зубов I—II степени возможно изготовление шинирующего протеза без армирующей ленты или проволоки.
Наиболее простая и эффективная методика изготовления временной шинирующей конструкции является временная шина из прозрачного поликарбонатного материала, приготовленная на прочной гипсовой модели с помощью вакуум-формирующих аппаратов. Шина съемная, достаточно хорошо припасовывается и фиксируется на подвижных зубах. С ее помощью возможно восстановление отдельных зубов.
© Если вы обнаружили нарушение авторских или смежных прав, пожалуйста, незамедлительно сообщите нам об этом по электронной почте или через форму обратной связи.
Фрезерованные шины в эпоху электронного измерения височно-нижнечелюстного сустава
Предметом данной статьи являются, прежде всего, электронные измерения височно-нижнечелюстного сустава (ВНЧС) с помощью системы Freecorder®BlueFox. Какие дополнительные данные получаются этим методом и как они учитываются при ортопедическом лечении?
Авторы статьи описывают один из возможных путей в достижении индивидуальной откалиброванной окклюзии в ортопедическом лечении. Не всегда для этого метода лечения необходим обширный функциональный анализ. Если выявляются отклонения при измерениях движений нижней челюсти, так называемые функциональные нарушения, необходимо дальнейшее обследование, проведение дифференциальной диагностики (рис. 1) .
Рис. 1. Положение пациента во время измерения с помощью системы FreecorderBlueFox.
Электронное измерение динамики нижней челюсти — недостающее звено между 3D-цефалометрическим анализом c помощью КЛКТ (конусно-лучевой компьютерной томографии) и цифровой зубной техникой CAD/CAM (системы автоматизированного проектирования и производства). Именно оно окончательно замыкает круг часто употребляемого термина «цифровой процесс» (Workflow). В этой связи ожидание новых возможностей со стороны частных клиник и лабораторий особенно велико.
Уже в начале ХХ века такие ученые и практики, как Стюарт (Stuart), Стэллард (Stallard), Макколлум (McCollum) или Гизи (Gysi) и Беннет (Bennet), начинали изучение динамики нижней челюсти. Тогда речь шла об общем понимании процессов и влияний в динамике и использовалась данная информация в тех случаях, когда изготавливалась точно соответствующая и индивидуальная ортопедическая конструкция, будь то коронка или мостовидный протез в индивидуально запрограммированном артикуляторе (рис. 2) . Что является актуальным и до сегодняшнего дня.
Рис. 2. Артикулятор Стюарта, ХIХ век.
Также впервые имеется возможность абсолютно точно оценить так называемую функциональную полость сустава и таким образом учесть ее особенности в запланированном лечении.
При этом создаются новые концепции в современной, и прежде всего в реставрационной, стоматологии. Начинающиеся функциональные нарушения, как частый результат ортодонтического лечения, например, в подростковом возрасте, могут теперь также быть раньше профилактически опознаны (рис. 3) .
Рис. 3. Измерение ретральной щели ВНЧС.
Если суженная, компрессионная суставная щель ВНЧС своевременно не выявлена, то после фиксации ортопедической конструкции (коронка, мост) это зачастую приводит к явно выраженным осложнениям. Пациенту приходилось принимать «вынужденное или щадящее» положение нижней челюсти. Последствиями чего становились либо нонокклюзия, либо слишком жесткие суперконтакты. Что означало в целом неизбежность в последующей интенсивной и нежелательной доработке — пришлифовывании.
Проведение электронного измерения проходит, как правило, согласно предложенному стоматологической ассоциацией или собственному протоколу. В любом случае необходимо сперва привыкнуть к заданному ходу процесса.
Практически все измерения на пациенте проводятся неманипулятивно, то есть все предложенные движения пациент выполняет самостоятельно. По возможности скорость выполняемого движения и направление координирует врач рукой, как дирижер оркестром. А с помощью педали записываются необходимые измерения просто и быстро. Так же легко можно провести и измерения различных положений нижней челюсти (привычная интеркуспидация (HIKP), первый суперконтакт, RKP-заднее положение мыщелков, положение мыщелков в центральном положении и др.). Программное обеспечение JAWS сразу обрабатывает и анализирует эти различные положения в трехмерном виде.
Системы механической записи до сих пор не могли предложить данное преимущество. Теперь же врач может электронно опознать гиперподвижность диска, а также малейшие дистракции и компрессии в ВНЧ-суставах.
Таким образом, сейчас становится возможным уже на ранних стадиях обследования выявить и принять необходимые функционально-терапевтические меры и действительно предотвратить возникновение частичного или даже полного смещения суставного диска (рис. 4) .
Рис. 4. Частичное эксцентрическое смещение суставного диска справа.
Как кардиолог на основе проведения своей диагностики находит сужения коронарной артерии, так и врач-стоматолог после компьютерного анализа целенаправленно выявляет нарушения в функциональной полости ВНЧС. Далее он создает шину, устанавливая мыщелки в терапевтическое положение в соответствии с используемой пациентом траекторией движения.
Если планируется терапевтическое изменение положения прикуса, изготавливается, как правило, на нижнюю челюсть так называемая жесткая окклюзальная шина (капа, сплинт), которая симулирует новое положение прикуса во рту (не путать с распространенными релаксационными шинами при бруксизме). Если шина приносит пациенту явное улучшение и/или избавляет от жалоб, то достигнутое окклюзальное положение можно перенести на естественные зубы, долгосрочно приклеив окклюзальные накладки с помощью адгезива, или перенести на необходимую ортопедическую, к примеру мостовидную, конструкцию.
Необходимость в изготовлении окклюзальной шины остается, конечно же, приоритетом врача, который, в свою очередь, зависит от лаборатории, с которой сотрудничает, и ограничен ее возможностями. Ведь до недавних пор цифровое изготовление шин считалось практически невыполнимым — и потому вотчиной так называемой аналоговой зубной техники.
Почему переход к цифровому изготовлению шин занял так много времени? Ответы на вопрос очевидны:
- Материалы, принятые во внимание, были слишком дорогими, слишком ломкими и поэтому непригодными для терапии.
- Предыдущие стратегии САМ были не в состоянии учесть все поднутрения, чтобы можно было отказаться от доработки вручную.
- Почти идеальное цифровое исполнение требует в цепи цифрового процесса еще и использования виртуального артикулятора, способного адекватно учитывать и переносить цифровые данные, полученные, к примеру, с помощью Freecorder®BlueFox.
В течение последних месяцев мы пробно заказали в совершенно различных, местных и частично в интернациональных фрезеровочных центрах тестовые шины, которые фрезеровались с учетом снятых с помощью Freecorder®BlueFox данных. Результаты как при оценке качества, так и в субъективном восприятии пациентов, к примеру, ретенции, показали исключительно негативную оценку.
Это послужило нам большой мотивацией опознать недостающие элементы цепочки цифровой обработки, чтобы, наконец-то, суметь предложить нашим пациентам уникальную возможность законченного процесса. Что касается выбора подходящего материала, необходимо было выбрать такой, который бы максимально полно учитывал требования к шинотерапии.
С точки зрения пациентов это означало преимущественно:
- отсутствие или незначительное изменение цвета материала;
- в идеале отсутствие или, в крайнем случае, минимальный неприятный запах материала;
- оптимальные комфортные ощущения при носке, без создания внутренних напряжений.
Со стороны лечащего врача:
- максимальную конгруэнтность к окклюзионной плоскости зубных рядов;
- оптимальную ретенцию, фиксацию;
- материал должен быть не слишком мягким, но и не слишком абразивным;
- материал должен быть достаточно эластичным, позволяющим избежать поломки шины.
Благодаря предпочтенному нами фрезеровочному лабораторному центру Kappert в Эссене нам удалось, наконец, совместно с фирмой White Peaks Dental Systems внедрить подходящий материал.
Этот материал отличается малой водопоглощаемостью (поэтому практически не происходит изменения цвета) и приятной эластичностью. Фрезеровочный центр теперь имеет возможность фрезеровать шины в светлых тонах полимерного материала sensation bite или в общепринятых цветах стандарта VITA. Преимущество последних — окончательный результат двухэтапной терапии, когда по показаниям после успешной шинотерапии фрезеруются окклюзионные накладки, которые, в свою очередь, приклеиваются на жевательную поверхность зубов с использованием адгезивной техники.
Гораздо большей сложностью оказались нюансы технологий сканирования и фрезеровки. Одним из самых главных стратегических решений есть и остается вопрос, каким сканнером можно реализовать все предлагаемые на сегодняшнем рынке цифровые возможности.
И решающими в выборе оказались не только исключительно технические ограничения принятых к рассмотрению сканеров. А такие, например: система должнa быть открытой, без вынужденных слишком дорогих затрат на принудительные обновления программ или взвинченных месячных накруток на базовую стоимость. По этим причинам решение было принято в пользу сканера 3shape, который отвечает еще одному важному аспекту в цифровой цепочке, с помощью которого — конструкционного программного обеспечения (ПО) — может быть реализовано большинство требований. На данный момент на рынке есть некие приоритеты. Будь то exocad, Cerec, 3shape или coDiagnostics от dental wings. Нужно сделать свой выбор.
Желаемое совершенство во фрезеровке шин в заключении достигается преимущественно через стратегию CAM. А это компетенция фрезеровочного центра Kappert. С помощью пятиосевой системы и технического ноу-хау оптимально задаются необходимые параметры CAM, так что желаемoe успешное решение не требует дополнительной обработки вручную.
Следующим важным этапом технологической цепочки является артикулятор. Данные электронного измерения, снятые с помощью Freecorder®BlueFox, переносились в виртуальный артикулятор. Собранные таким образом данные позволяют точно соотнести нижнюю челюсть к измеренной индивидуальной шарнирной оси, так же запрограммировать (виртуально) артикулятор с индивидуальными параметрами пациента (угол наклона суставного пути, угол Беннета, ISS и др.).
Решающим и главным определяющим в конструкции функции шины является жевательная плоскость (окклюзионная поверхность). Она задает движения, которые теперь могут воспроизводиться. Виртуальный артикулятор позволяет при желании доработать или виртуально пришлифовать все существенные параметры в динамической окклюзии. В заключение эти отконвертированные данные в формате STL преобразовываются с помощью фрезеровочных машин, использующих CNC (автоматизированную систему числового программного управления), в физическое тело, к примеру шину. Еще одно преимущество сконструированных в цифровом формате шин — идеальная, в любое время заново доступная воспроизводимость.
Используя цифровой технологический процесс (Workflow), можно в зависимости от показаний и терапевтического профиля беспрепятственно устанавливать измененные параметры, при этом важные для пациентов требования (прилегание, изящность, комфорт ношения и др.) остаются неизменными. При классическом изготовлении шин никакому технику не удастся создать абсолютно идентичную шину второй раз.
Классические показания для лечения окклюзальными шинами являются нарушения функций жевательной системы, которые, несомненно, сопровождаются деформацией положения зубов и нижней челюсти. При использовании специально для этих целей разработанной терапевтической накусочной шины создается хорошая возможность для ослабления и перестройки жевательной мускулатуры, что, в свою очередь, восстанавливает нарушенную функцию суставов.
Сюда также относятся и пациенты с бруксизмом, из-за которого возникают значительные потери зубной ткани. Но скрежетание или чрезмерное сжатие зубов не может быть предотвращено только лишь одной шинной терапией. Хотя шина в этом случае защищает постоянный износ твердых тканей зубов. Цель использования накусочной шины в данном контексте — это, прежде всего, защита от последующей потери субстанции и по возможности уменьшение неосознанного скрежетания.
КМД — медицинское сокращение синдрома краниомандибулярной дисфункции (англ. термин TMJ Disorder). Он описывает нарушение согласованности работы зубов, жевательных мышц и височно-нижнечелюстных суставов. Симптомы КМД проявляются зачастую вместе с головными болями, тиннитусом и жалобами на боли в спине, шее.
В последние месяцы работы нам удалось достигнуть как раз у пациентов с КМД с помощью шин sensation bite хороших результатов. В шинах, которые принесли пациентам ощутимый успех, огромное значение придавалось, прежде всего, идеальному прикусу. Причиной функционального нарушения височно-нижнечелюстных суставов является чаще всего «неправильный прикус», как результат компенсации стресса аномалиями положения зубов, ортодонтальной дискоординацией или недостаточным протезированием.
На данный момент помимо вышесказанного мы проводим исследование цифровых шин на базе нашего собственного AN-института IMDI gGmbH «Institute for Medical and Dental Innovations gGmBH», основанного при университете им. Виттен-Хердеке, совместно с признанными в данной области, опытными, имеющими разрешение на частную практику коллегами. В данном исследовании у пациентов с выявленными дисфункциями краниомандибулярной области сравнивается разница при определении центрального соотношения челюстей классическим методом и путем электронного измерения с помощью системы Freecorder ®BlueFox. При расхождениях этих положений изготавливаются для каждого такого пациентa две шины.
Во время прохождения терапии лечащие врачи, получив отзывы пациентов и проведя дополнительные клинические и приборные исследования, принимают решение, какую шину по какому методу пациент должен носить. По нашим сведениям, подобного, уже сейчас вызывающего большой интерес исследования пока еще не проводилось. Результаты исследования с детальным описанием будут, конечно же, опубликованы.
Заключение
До сих пор шины, изготовленные только аналоговым (ручным) методом, на протяжении многих лет себя полностью оправдывали. Некоторым методам, лежащим в основе процесса изготовления, было присвоено всеобщее научное признание. Использование же данных полностью в цифровом формате в целях программирования необходимых этапов мира СAD/CAM коснется и терапии окклюзальными шинами и максимально вытеснит аналоговый процесс изготовления (рис. 5) .
Рис. 5а. Вид готовой шины.
Рис. 5б. Вид готовой шины.
Все побывавшие у нас и получившие отфрезерованные шины пациенты единогласно хвалят высокий уровень качества этих шин по сравнению с «предыдущими», изготовленными обычно в вакуум-формере. В настоящий момент около 50 пациентов носят эти отфрезерованные терапевтические шины, которые изготовлены с помощью цифрового технологического процесса (Workflow). И до сих пор не было случаев жалоб на нарушение комфорта ношения и необходимости проведения обширных корректировок.
Адгезивное шинирование и протезирование зубов при наличии клиновидных дефектов
Cреди проблем современной стоматологии одно из ведущих мест занимают болезни пародонта. По данным ВОЗ, более 50 % взрослого населения страдают от пародонтита, имеющего выраженные клинические проявления и требующего комплексного лечения: терапевтического, хирургического, ортопедического.
Последнее имеет важнейшее значение для достижения положительного эффекта. Шинирование, в том числе, способствует восстановлению жевательной функции подвижных зубов, уменьшению воспалительного процесса в мягких тканях и предупреждению осложнений [1—6]. Шины связывают расположенные рядом зубы в единую систему, равномерно распределяя действующую на них жевательную нагрузку, устраняя травматическую окклюзию. В соответствии с этим конструкция должна отвечать ряду требований: прочно фиксировать и не смещать зубы, не создавать чрезмерной нагрузки для зубов, оставлять свободными межзубные промежутки, не препятствовать чистке и самоочищению.
Ассортимент современных материалов, используемых в терапевтической стоматологии, значительно расширяет показания к консервативному лечению болезней пародонта и зубов без депульпирования и обширного препарирования последних. Более того, в случае сочетания подвижности зубов с наличием клиновидных дефектов может использоваться методика, включающая адгезивное шинирование и одновременно реставрирование дефектов твердых тканей.
Моделирование адгезивных конструкций прямым способом осуществляется непосредственно в полости рта. Непрямой способ изготовления шины производится на модели в лабораторных условиях. Экстракоронковое шинирование не требует препарирования твердых тканей зуба. Интракоронковое предполагает инвазивное вмешательство.
Адгезивное шинирование осуществляется при помощи армирующих лент, которые различаются по составу: металл, полиэтилен, керамика, стекловолокно, высокопрочные нити. Волоконные системы, в свою очередь, бывают наполненные и ненаполненные.
Для укрепления конструкции используются текучие композиты, которые характеризуются хорошими тиксотропными свойствами и способны заполнять неровности и шероховатости на поверхности зубов. Реставрации изготавливаются из композитных материалов: микрогибридных, нанонаполненных, ормокеров.
Ормокерами называются композитные материалы, в которых видоизменена органическая матрица. Это современный класс полимеров на основе органически модифицированной керамики.
Наногибридные материалы отличаются высоким содержанием наполнителей, включая наночастицы (размером менее 100 нм).
Адгезивное шинирование в сочетании с реставрированием зубов требует длительного периода времени для работы, поэтому необходима тщательная подготовка пациента в плане психологического взаимодействия. Врач-стоматолог, в свою очередь, должен иметь высокую квалификацию, чтобы владеть необходимыми практическими навыками.
Клинический случай
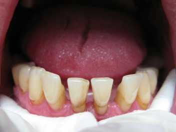
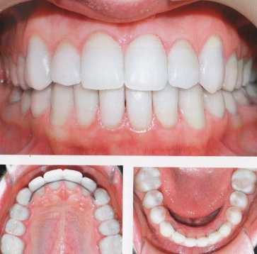
На кафедру терапевтической стоматологии обратился пациент А. с жалобами на небольшую подвижность зубов нижней челюсти, а также их чувствительность к температурным и механическим раздражителям.
В прошлом зубы покрывали фторлаком, что снижало степень болевых ощущений.
При осмотре определяется выраженная горизонтальная стираемость твердых тканей зубов: четко видны участки пигментированного дентина. Корни зубов оголены на 2/3. В придесневой области обнаруживаются V-образные дефекты твердых тканей. Имеется нарушение целостности зубного ряда в результате отсутствия нижнего латерального резца справа (рис. 1) . Стертые поверхности зубов реагируют на зондирование и термометрию положительно, однако боль исчезает сразу после устранения раздражителя, что позволяет сохранить пульпу интактной. Перкуссия отрицательна, электровозбудимость в пределах нормы (5—10 мкА). Подвижность зубов достигает I—II степени.

Рис. 1. Исходная клиническая ситуация.
Принято решение об изготовлении адгезивной шинирующей конструкции в сочетании с воссозданием отсутствующего зуба и заполнением клиновидных дефектов. Пациент подписал мотивированное согласие.
Подготовительный этап включал профессиональную гигиену полости рта и обучение индивидуальному уходу за зубами. Медикаментозное лечение не показано.
Конструкция формировалась в определенной последовательности, включая все этапы работы с композитными материалами.
Первым шагом являлась механическая обработка поверхностей всех зубов, подлежащих шинированию, неабразивным гелем, нанесенным на специальную щеточку, которая позволяет очистить эмаль и дентин без их травмирования.
Следующий этап, выбор оттенков композита, осуществлялся в соответствии с комплектом эталонных цветов микрогибридного материала, который имеет оттеночные опаки, позволяющие воспроизводить цветовые акценты, в том числе «кольца стираемости» дентина.
Обеспечивались условия оптимальной светоцветовой среды: из поля зрения специалистов исключались яркие цветовые предметы. Эталоны расцветки сравнивались с отдельными участками зубов, особенно тщательно подбирали цвет материала в области режущего края и придесневых участков в целях сохранения и воспроизведения естественного вида зубов. Для заполнения основного объема клиновидного дефекта выбран опаковый композит. Он же явился базовым для формирования отсутствующего латерального резца. Дополнительно планируется использование более темного опакового материала для пришеечной области искусственного 42 зуба. Эмалевые оттенки соответствуют шприцам с маркировкой А2 и «прозрачный». Воссоздание площадки стертого дентина требует применения дополнительных оттенков: охристого и персикового.
Этап планирования размеров, формы и рельефа, в первую очередь, относится к отсутствующему зубу. По ширине предполагаемый искусственный зуб займет свободное место в зубном ряду, по толщине будет равняться симметричному резцу. Высота определяется размерами находящихся рядом коронок: он не должен нарушать окклюзионные соотношения. Признаки принадлежности стороне на нижних резцах не определяются. Режущий край стерт, поэтому контакты между антагонистами представлены несколько вогнутыми площадками.
В соответствии с результатами одонтоскопии планируется моделирование отсутствующего зуба: форма — прямоугольная, признаки принадлежности стороне не определяются. В области режущего края необходимо создание «площадки стертости».
Адгезивная шинирующая конструкция включает подвижные резцы и ограничивается устойчивыми клыками.
Препарирование зубов производится минимальное, поскольку клиновидные дефекты предполагается использовать в качестве бороздки для волоконной конструкции. Алмазными борами (шаровидными, обратноконусными) сошлифовывается поверхностный слой эмали, сглаживаются выступающие края. Дентин препарируется очень осторожно ввиду близости пульповой камеры, используются твердосплавные боры. Вдоль шейки 33 зуба формируется борозда, в которой будет располагаться армирующая лента. На боковых поверхностях зубов, замыкающих дефект зубного ряда (43 и 41), формируются площадки для укрепления адгезивного мостовидного протеза: по ширине и глубине они соответствуют размерам ленты, а по длине занимают практически всю проксимальную поверхность, обращенную в сторону отсутствующего зуба (рис. 2) .

Рис. 2. Зубы после препарирования.
Адгезивное шинирование предполагается осуществить с использованием стекловолокна, которое пропитано смолой в фабричных условиях. Отсутствие плетеных структур делает волокна более эластичными и позволяет оптимально адаптировать их к поверхности клиновидных дефектов.
Длину отрезка ленты определяли при помощи узкой полоски фольги, которая укладывалась вдоль зубного ряда, погружаясь в борозды, образованные клиновидными дефектами и межзубные промежутки, повторяя форму шинирующей конструкции и адгезивного мостовидного протеза. Фольга изгибается таким образом, чтобы охватить шейки 33, 32, 31 зубов, а с другой стороны занять площадки, отпрепарированные на 41 и 43 зубах. Полоска фольги аккуратно обрезается и разглаживается: она служит матрицей для подготовки армирующего волокна.
Дно глубокого дефекта 32 зуба покрывается тонким слоем стеклоиономерного цемента во избежание раздражения пульпы.
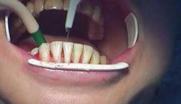
Следующий этап — кислотное травление гелем всех отпрепарированных поверхностей — длится 15 и 30 секунд соответственно для дентина и эмали (рис. 3) . Затем гель тщательно смывается струей воды, зубы просушиваются из воздушного пистолета.

Рис. 3. Кислотное травление твердых тканей зубов.
Адгезивная подготовка включает покрытие обработанных поверхностей клиновидных дефектов и площадок для укрепления АМП адгезив-бондом и его полимеризацию.
Параллельно проведению стоматологом основных манипуляций в полости рта ассистент в целях экономии времени врача подготавливал отрезок армирующего волокона в соответствии с отрезком фольги (рис. 4) .

Рис. 4. Этап внесения отрезка армирующего волокна в подготовленную борозду.
Его длина полностью совпадает с размерами участка зубной дуги, подлежащего шинированию, включая АМП. Лента не требовала специальной обработки, поскольку пропитана адгезивом в фабричных условиях. Однако следовало предохранять ее от попадания прямых лучей светильника.
Укрепление ленточного волокна осуществлялось с помощью текучего фотокомпозита, соответствующего основному композитному материалу. При помощи кисточки он наносился на все поверхности, покрытые адгезив-бондом, включая стенки клиновидных дефектов и площадки на боковых поверхностях зубов, расположенных непосредственно возле включенного дефекта зубного ряда.
Текучий композит не отверждался, и в него погружалась лента начиная от левой половины нижней челюсти, огибая шейку 33, последовательно прижимаясь к каждому зубу таким образом, чтобы максимально огибалась шейка, и заполнялся межзубный промежуток. Правый свободный конец ленты укладывался на площадки боковых поверхностей 41 и 43 зубов, располагаясь на месте отсутствующего резца на небольшом удалении от вестибулярной поверхности (кончик ленты направлен к вестибулярной поверхности коронки, а свободная часть волокон — в оральном направлении) (рис. 5) .

Рис. 5. Стекловолоконная лента адаптирована к зубам, создан каркас для адгезивного протеза.
Затем производили фотополимеризацию отдельно каждого участка, на который попадает световой поток. Отверждение длилось по 20 с.
На свободном отрезке ленты текучий композит также был подвергнут полимеризации. Стекловолокно и оставшийся объем клиновидного дефекта покрывались слоем опакового композита, имитирующего дентин: количество материала полностью соответствовало объему утраченного дентина. Следующий, эмалевый, слой придавал естественный вид придесневому участку зуба. Тонким прозрачным эмалевым слоем покрывалась поверхность реставраций, что позволяло обеспечить естественную прозрачность и блеск (рис. 6) . Удлинения зубов в области режущего края не требовалось, поскольку реставрация в области оголенного корня позволяла увеличить размеры коронки до нормальной высоты. Более того, увеличение вертикального размера зубов привело бы к завышению прикуса.

Рис. 6. Стекловолокно и оставшийся объем клиновидных дефектов покрыты слоями композита.
Затем приступали к моделированию отсутствующего зуба. На открытый участок волоконной структуры, покрытый отвержденным текучим композитом, наносили опаковый материал толщиной 2 мм и отверждали светом полимеризующей лампы. Затем более светлый опак использовался таким же образом (рис. 7) . Моделировалась равномерная вестибулярная поверхность, небольшая пришеечная выпуклость, одинакового размера дистальный и мезиальный угол.

Рис. 7. Смоделирована опаковая основа 42 зуба.
Дентинная основа покрывалась эмалевым слоем, а затем прозрачным эмалевым композитом. Каждый слой отверждался отдельно в течение 20—40 с в зависимости от степени опаковости. Меньшая длительность полимеризации соответствовала большей прозрачности материала. Особого внимания заслуживало моделирование режущего края в виде стертой площадки, на которой создавались пигментированные овальные участки. Для этого красители (охристый и персиковый) (рис. 8)

Рис. 8. Дополнительные красители (охристый и персиковый).
наносились на окклюзионную поверхность при помощи эндодонтического инструмента. После отверждения пигменты покрывались прозрачным эмалевым фотополимером (рис. 9) .

Рис. 9. После отверждения пигменты покрыты прозрачным эмалевым фотополимером.
Готовая комбинированная адгезивная шинирующая конструкция обрабатывалась алмазными борами мелкой и ультрамелкой зернистости, корундовыми и фетровыми головками до появления естественного блеска. Поверхность зубов вокруг шины и реставраций покрывали фторсодержащим лаком. Данное мероприятие предупреждает возможную деминерализацию эмали.
Заключение
Использование современных стоматологических материалов при наличии высокой квалификации врача-стоматолога позволяет изготавливать сложные комбинированные конструкции, отвечающие эстетическим требованиям, в сочетании с минимальным инвазивным вмешательством.
Шинирование зубов при пародонтозе
Такое неприятное заболевание зубных тканей, как пародонтоз, встречается не слишком часто - всего около 8% обратившихся за стоматологической помощью страдают от этой болезни. Однако неприятностей болезнь доставляет достаточно. Основной проблемой пациентов, обратившихся к врачу, становится появившаяся у них подвижность части зубов. Предшествующие признаки пародонтоза у большинства людей остаются незамеченными.

Шинирование зубов при пародонтозе
Шинирование зубов как составляющая лечебного процесса
Кроме общего лечения пародонтоза, при котором используются различные противовоспалительные средства и антибиотики, стоматологи часто используют шинирование зубов. Таким способом укрепляются расшатанные зубы, поскольку шинирование снижает на них нагрузку, распределяя ее на здоровую часть челюсти.

Как проводят шинирование зубов при парадонтозе
Достоинства данного способа укрепления зубного ряда пациенты отмечают сразу же после выполнения шинирования:
- уменьшается подвижность зубов, что значительно снижает риск их выпадения;
- эффективность шинирования возрастает, если в процессе задействовано значительное количество зубов;
- существенно улучшается качество процесса пережевывания пищи.

Этапы шинирования зубов
Материалы, используемые при изготовлении шин
В современной стоматологии для шинирования наиболее часто применяют стекловолокно и полиэтилен. В последнее время обрела популярность арамидная нить - синтетический материал, с прочностью в 8 раз большей, чем сталь, используемая для рояльных струн. Арамидная нить служит значительно дольше других материалов, она не вступает в реакцию с содержимым ротовой полости. Крайне важно, что нить не повреждает ткань зубов.

Место, где будет укладываться арамидная нить при шинировании
Сегодня разработаны еще более универсальные материалы, гарантирующие качественное шинирование. Фотополимерный материал Ribbond используется в различных областях, однако нашел применение и в стоматологии. Применение данного материала гарантирует:
- высокую надёжность закрепления расшатанных зубов;
- визуальную привлекательность - прозрачность полимера делает его незаметным;
- надежную фиксацию крепления в полости рта;
- полную биологическую совместимость с содержимым ротовой полости.

Комплект Ribbond Starter содержит все необходимое, за исключением композитов и пластмасс
Использование данного материала требует от стоматолога знания технологии работы с ним, значительно отличающейся от привычной.
Еще один материал, относительно недавно используемый в шинировании - GlasSpan. Он изготовлен по особой технологии из стекловолокна и отличается устойчивостью к высоким температурам.

Шинирование стекловолоконной нитью Glasspan
Вне зависимости от выбора материала для шинирования, каждый из них должен соответствовать следующим требованиям:
- иметь надежную фиксацию;
- качественно закреплять расшатанные зубы во всех направлениях;
- предоставлять доступ к соседним зубам при их осмотре и лечении;
- не мешать чистке зубного ряда;
- не причинять травм ротовой полости;
- не быть причиной искажения дикции;
- не портить внешний облик зубов.

Особенности процедуры шинирования зубов
Постоянное и временное шинирование
При закреплении шатающихся зубов стоматологи используют один из двух методов, выбираемый исходя из совокупности нескольких факторов, которые включают:
- состояние эмали зубов и десен, наличие их кровоточивости;
- насколько велика подвижность зубов;
- наличие твердых и мягких отложений на зубах;
- величины искажения зубного ряда;
- степень развития пародонтоза.

Постоянное и временное шинирование
Временное шинирование используют в качестве мероприятия, входящего в программу лечения пародонтоза. При этом шинирование выполняется либо на определенный промежуток времени, предусмотренный процессом лечения, либо на период, предшествующий установке постоянной шины. Постоянное шинирование подразумевает использование шины в течение всей жизни.
Съемные конструкции обычно применяют при наличии цельного ряда или отсутствии нескольких зубов. Они способны закреплять зубы лишь в определенных направлениях. Перед их установкой нет необходимости в обработке поверхности зубов.

Схематическое изображение временной зубной шины
Несъемные шины используются для укрепления зубного ряда в трех направлениях, могут использоваться для шинирования отдельной группы зубов. Они отлично восстанавливают функциональность подвижных зубов, пациент быстро привыкает к установленной конструкции.
Таблица. Сравнение временного и постоянного шинирования.
| Временное (до 6 месяцев) | Постоянное (более 6 месяцев) |
|---|---|
| Экстракоронарное шинирование, при котором шинирующий элемент накладывается и фиксируется с помощью цемента к эмали зуба. | Экстракоронарное с применением объединенных в один протез коронок, виниров и других шинирующих элементов. |
| Интракоронарное шинирование, при котором на поверхности зуба высверливается желобок, в который помещается и фиксируется шинирующий элемент. | Интракоронарное с изготовлением объединенных вкладок и металлических дуг. |
| Окклюзионное шинирование применяется на время стрессов и нагрузок у людей с привычкой стискивать зубы, а также для пациентов после ортодонтического лечения на брекет-системе. При этом шинирующий элемент имеет вид накладки на жевательные поверхности зубов или каппы (ортодонтический ретейнер). | Шинирование съемными конструкциями, например, частичными протезами. |
Шинирование с использованием бюгельных протезов
Шинирование зубов у пациентов, страдающих пародонтозом, врачи-ортодонты нередко вынуждены совмещать с протезированием. Наиболее часто при этом используются бюгельные протезы, позволяющие одновременно с укреплением зубных рядов дополнить его недостающими элементами. Бюгельные протезы изготовляются в виде тонкой дуги, обхватывающий каждый зуб.

Шинирующий бюгельный протез
Такая конструкция переносит нагрузку с закрепленных зубов на шину, уменьшая их подвижность. Однако перед установкой бюгельных протезов требуется определенная подготовка.
Выполняется депульпация зубов, а также их обтачивание, необходимое для закрепления металлокерамических или цельнометаллических коронок, входящих в конструкцию бюгельного протеза. Стоимость данной конструкции довольно высока, но служить она будет длительный срок. Важно, что, если в течение этого времени придется удалить какой-то из зубов, бюгельный протез можно дополнить включением нового элемента.

Бюгельный протез с шинирующими элементами
Стекловолоконная нить в шинировании зубов
Среди материалов, используемых при шинировании, наиболее часто стоматологи используют стекловолоконную нить. Популярность данного способа шинирования обусловлена его надежностью и приемлемой стоимостью. Немалую роль в частоте применении стекловолоконной нити сыграла и эстетика метода.

Шинирование подвижных зубов стекловолокном
Нить, после ее установки в необходимом месте зубного ряда, практически незаметна, так как по оттенку схожа с цветом эмали. Процедура проводится быстро, при местном обезболивании. Нить прокладывается в небольшие углубления, сделанные врачом с внутренней стороны каждого из резцов. Затем углубления заполняются композитным материалом.
При укладке нити она должна быть проложена не только по расшатанным резцам, необходимо захватывать и опорные клыки. Они и принимают на себя основную часть нагрузки при жевательном процессе. После завершения шинирования резцы прочно соединяются, становясь неподвижными. Даже если пища откусывается лишь одним резцом, нагрузка от данного действия распределяется равномерно на весь ряд зубов, скрепленных нитью.

Адгезивное шинирование зубов
Вантовое шинирование
Данный метод избавления от подвижности зубов сегодня считается наиболее эффективным. При его применении используется отличающаяся высочайшей прочностью арамидная нить. Установленные волокна из арамида создают прочное соединение подвижных зубов по их горизонтали, не вызывающее дискомфорта.

Вантовое шинирование зубов
Выполнение вантового шинирования сходно с использование стекловолокна, однако прочность конструкции гораздо выше. Качества, свойственные арамидной нити, обеспечивают данному методу шинирования значительное преимущество:
- сохранение зубов даже при сильной их подвижности. При этом риск атрофии для костной ткани отсутствует, поскольку нить обеспечивает неподвижность ряда зубов вдоль десны;
- нитью закрываются небольшие дефекты в зубном ряду;

Особенности вантового шинирования

После фиксации АМП проведено вантовое шинирование зубов с применением арамидной нити
Уход за шинированными зубами
Пациентам после шинирования подвижных зубов следует знать о необходимости еще более тщательного ухода за полостью рта. Чистка зубов следует выполнять непосредственно после приема пищи. При этом нужно использовать не только обычную щетку, но и специальные ершики, очищающие межзубное пространство.

Очень полезно использовать ирригаторы для полости рта, не только убирающие остатки пищи, но и служащие массажерами десен. При массаже десен улучшается их кровообращение, что приносит пользу при лечении пародонтоза. Необходимо также исключить из питания некоторые продукты, способные повредить материал, которым выполнено шинирование.
Статьи
Шинирование зубов: показания к процедуре, виды шин и способы шинирования
Для укрепления зубных рядов с тем, чтобы не допустить их расшатывание, которое в итоге может привести к потере зубов, стоматологи применяют шинирование. Чаще всего процедуру проводят на верхних и нижних передних зубах. Шинирование требуется:
- для стабилизации шатких зубов, в случае неэффективного лечения болезней пародонта;
- с целью не допустить смещения зубов по отношению к их нормальному положению;
- для стабилизации зубов после травмы;
- для фиксации зубов после исправления дефектов брекет-системами;
В ходе лечения необходимость в процедуре шинирования может время от времен, как исчезать, так и снова появляться.

Сколько времени носят шины
Врач определяет продолжительность ношения шины пациентом и может назначить временную, долговременную или постоянную шину. Срок ношения временной конструкции составляет менее месяца. Назначают ее на начальном и основном этапе лечения. Временная шина должна быть атравматичной для зубных тканей, а при изменении потребностей процесса лечения ее быстро можно было бы модифицировать. Шина не должна препятствовать проведению манипуляций - гигиенических, терапевтических и хирургических.
Долговременную шину носят от месяца до года. Назначают ее на стадии неопределенности прогноза. Когда доктор неуверен в успехе лечения из-за сильного повреждения пародонтальных структур, но при этом нет прямых показаний к удалению зубов. В долговременной конструкции сочетаются требования к временной и постоянной шине.
Ношение постоянной шины назначается в качестве поддерживающей терапии на срок более года. Конструкция должна отличаться высокими показателями функциональности и эстетики, и при этом не мешать ежедневной гигиене. Стоить заметить, что шины разделены на временные, долговременные и постоянные, больше условно. И между ними иногда не существует четкой границы.
Существует также разделение шин на съемные и несъемные. По лечебным свойствам несъемные конструкции имеют больше преимуществ. Они надежно фиксируют зубы, образуя общий блок из зубных единиц, который противодействует вертикальным и горизонтальным силам, возникающим при жевании. Несъемные шины и мостовидные протезы применяются в зависимости от способа стабилизации зубов. Больше всего разработано конструкций для фронтальных зубов. Это обусловлено особенностями атрофии кости нижней челюсти и высокими эстетическими требованиями к передним зубам. Процедура с применением несъемных конструкций требует препарирования зубов, что является большим минусом данных шин. Для шинирования применяют стекловолокно, арамидную нить, а также коронки и зубные протезы.
Шинирование при заболеваниях пародонта

Главным симптомом пародонтита средней и тяжелой степени является шаткость зубов. Когда атрофия постигает костную ткань на ¼ длины корня зуба, развивается подвижность. При пародонтите оголяются шейки зубов, а рентген указывает на убыль кости. С появлением подвижности зубов, развитие атрофии еще больше ускоряется. В итоге зубы меняют свое месторасположение - расходятся, наклоняются в стороны. Для предотвращения подобного явления врач назначает процедуру шинирования. Кроме того, что шинирование стабилизирует положение зубных единиц, оно еще и способствует устранению воспаления десневой ткани.
Для профилактики пародонтита, когда болезнь только еще начинает развиваться, поражая десны и зубы, показано временное шинирование. На более поздних стадиях прибегают к постоянному шинированию, альтернативой которому могут стать временные протезы.
Шинирование показано: при обнажении корней, нарушении положения зубов, а также их шаткости, при кровоточивости десен, наличии отложений на зубах и выраженных зубодесневых карманов. Благодаря процедуре создаются условия для равномерного распределения нагрузки, и в результате пациент может снова полноценно пережевывать пищу.
Методы шинирования
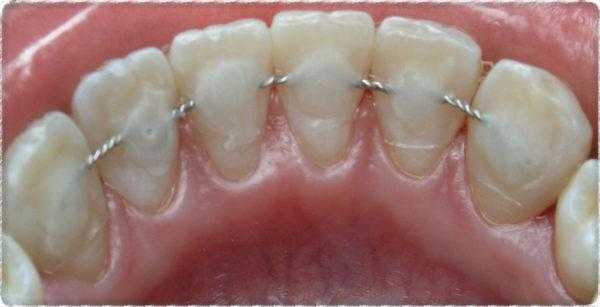
1) Стекловолокно. Это несъемный метод шинирования, к которому обращаться стали сравнительно недавно. Но на сегодня он очень популярен у пациентов, благодаря многим преимуществам. Стекловолокно в шинировании позволяет сохранить даже сильно расшатанные зубы, при этом почти не страдает их целостность.То есть, зубы не обтачивают и не депульпируют. Стекловолоконная шина не мешает гигиеническим процедурам, равномерно распределяет жевательную нагрузку между фиксированными зубами и отличается высокими эстетическими показателями.

Шинирование с помощью стекловолокна осуществляется в стоматологическом кабинете за один прием. Пациенту проводят местное обезболивание. Вдоль подвижных зубов, на внутренней стороне ряда на глубину 0,5 мм, проделывается бороздка для стекловолоконной нити, которая после укладки закрывается светоотверждаемым пломбировочным материалом. Свет превращает в балку композит со стекловолоконной нитью, благодаря которой зубы сцепливаются неподвижно вместе. Ответственный пациент, внимательно ухаживающий за полостью рта и следующий абсолютно всем советам стоматолога, может рассчитывать на 3-летний срок службы стекловолоконной шины. При этом ему нужно будет раз в год приходить к своему стоматологу для полировки конструкции. Не стоит шинировать передние зубы, если отсутствуют задние. Конструкция может сломаться из-за избыточной жевательной нагрузки на шинированный зубной ряд. Поэтому перед процедурой стекловолоконного шинирования необходимо навести порядок с прикусом и запротезировать недостающие зубные единицы.
2) Вантовое шинирование. Технологически данный метод очень схожий со стекловолоконным. Только для фиксации используется арамидная нить, отличающаяся прочностью, долговечностью, совместимостью с эмалью зубов и отсутствием реакции на пищу или слюну. Процедуру проводят по такой же схеме, что и со стекловолокном. Арамидную ленту укладывают в горизонтальную бороздку и заливают световым композитом. Вантовая технология шинирования имеет те же преимущества, что и стекловолоконная, но считается более физиологичным способом фиксации.

3) Съемные протезы. Металлические кламмеры (крючки) соединяют зубы с помощью шины в единую конструкцию. Ношение съемных протезов стоматолог назначает при отсутствии одного или нескольких зубов. Конструкция заменяет потерянный зуб и одновременно выполняет функцию шинирования для предотвращения болезней пародонта.Она подбирается индивидуально с учетом количества недостающих зубов, деформации ряда, заболеваний десен, вида прикуса, уровня гигиены ротовой полости, наконец, возраста пациента и др.

4) Несъемные протезы или ортопедические коронки, как вариант шинирования применяются при шатании более 4-х зубов. Конструкция выполнена в виде дуги, что позволяет четко и максимально компактно разместиться протезу в ротовой полости. Здесь крайне важно создать такие условия, чтобы нагрузка могла равномерно распределяться по всей поверхности зубов. Процедура шинирования коронками невозможна без депульпирования и обточки, что является минусом технологии. И только после обработки зубы можно покрывать коронками, скрепленными между собой. Данный вариант обеспечивает надежность и долговечность, а при выборе керамики или металлокерамики, высокую эстетичность.
Осложнения и ошибки в шинировании зубов
Среди осложнений при лечении пародонта с использованием шин, может встречаться:
- обострение патологии;
- подвижность опорных зубных единиц;
- удаление зубов при получении оттиска;
- болезненные ощущения во время обработки зубов;
- расцементировка шин.

Патологический процесс у больных пародонтозом может наступить вскоре после установки шины. Подобное осложнение возникает при неправильном выборе конструкции шины либо, если шинирование проведено, пренебрегая строгим учетом показаний и противопоказаний к подобному ортопедическому вмешательству. Процедуру необходимо отложить, если патологические процессы часто обостряются и образуются абсцессы, а также при 3-й степени подвижности зубов во рту. Шинирование возможно только после проведения тщательного лечения пародонта и удаления подвижных зубов.
При недостаточной обработке передних зубов и недостаточно точной штамповке коронок может повыситься прикус, а зубы расшататься в переднезаднем направлении. Иногда может отмечаться подвижность зубов-антагонистов после шинирования на одной из челюстей. Это происходит по причине того, что одна группа зубов испытывает усиление механических нагрузок, а другая - ослабление. В таком случае шинируют также и зубы-антагонисты.
Чревата осложнениями кламмерная фиксация зубов. Такие протезы могут расшатывать опорные зубы и травмировать слизистую оболочку. Поэтому лучше не использовать пластиночные протезы, которые фиксируются к зубам только одними кламмерами. Более целесообразный вариант - бюгельные протезы с наличием фиксирующих приспособлений и комбинированных кламмеров, лабильно или полулабильно соединенных с дугой протеза.
У некоторых пациентов при обработке зубов возникает резкая боль, что затрудняет установку шины. При возникновении чувствительности зубы необходимо обработать анестезирующими жидкостями или пастами. При изготовлении шин/протезов во внимание берется, как коэффициент потери эффективности жевательной функции, так и степень нарушения естественного равновесия зубных рядов. Поэтому для фиксации несъемных конструкций необходимо включать сразу несколько зубов, которые окружают дефект. За счет такой фиксации шины-протеза минимизируется нагрузка на опорные зубные единицы. А также дополнительно не расшатываются зубы, не травмируются ткани и не обостряется заболевание.
Шину необходимо правильно закрепить на зубах. Важно не допустить попадание влаги во время цементировки коронок или после цементировки, иначе может произойти рассасывание цемента. Поэтому размеры коронок или колпачков должны строго соответствовать размерам зубов и прилегать плотно к их поверхностям.
Шаткие зубы можно случайно удалить при гипсовом оттиске. Во избежание этой ошибки по вертикали, а также вдоль дефекта зубного ряда, применяют соответствующие разрезы. Однако при использовании подобных разрезов четкость оттиска зубов зачастую нарушается. Поэтому желательно делать разборные отпечатки, состоящие из 2-х частей - оральной и вестибулярной. Такая технология исключает расшатывание зубов, а также случайное их удаление.

Подвижность зубов - нехороший предвестник и огромная проблема для человека. Если своевременно не заняться ее устранением, то вскоре можно и вообще лишиться всех зубов. Поэтому если во рту обнаружили излишнее «шевеление» - срочно обращайтесь к специалисту.
Читайте также:
- Высвобождение энергии из продуктов. Физиология аденозинтрифосфата (АТФ)
- Отсутствие оргазма. Клинические примеры нарушения оргазма.
- Рекомендации по анализу рентгенограммы черепа и нижней челюсти в аксиальной ПЗ проекции по методу Тауна
- Введение в лучевую диагностику травм запястья и кисти
- Эффективность ультразвуковой чистки корней зубок. Оценка эффективности ультразвука
