Электрическое оборудование для лапароскопии. Методы окклюзии сосудов
Добавил пользователь Евгений Кузнецов Обновлено: 14.12.2025
Лапароскопия представляет собой малоинвазивный метод, относящийся к хирургической технике, основанный на проведение лечебных и диагностических вмешательств под контролем зрения через небольшой доступ. Лапароскопия предполагает вмешательства на органах брюшной полости и малого таза.
Метод лапароскопии включает в себя определенное техническое оснащение:
- лапароскоп (оптическое устройство, которое вводится в брюшную полость),
- манипуляторы (различные типы манипуляторов, при помощи которых осуществляется хирургическая техника),
- осветитель,
- оптические кабели,
- эндокамеры,
- устройства для нагнетания в брюшную полость воздуха,
- система отсосов.
Лапароскопия может быть диагностическая и лечебная. Диагностическая лапароскопия используется только для визуального осмотра органов брюшной полости в случаях, когда иными неинвазивными методами исследования не удается поставить точный диагноз. В частности лапароскопия часто проводится при признаках внутреннего кровотечения, закрытых травм живота, с целью диагностики внематочной беременности. Лечебная лапароскопия предназначена для проведения различных хирургических манипуляций.
Нередко процесс начинается с диагностической лапароскопии и в случае обнаружения заболевания и технической возможности - тут же проводится хирургическая лапароскопия.
Техника лапароскопии
Лапароскопические вмешательства рекомендуется проводить под наркозом. Производится пункция брюшной полости для последующего наложения пневмоперитонеума - введения в брюшную полость воздуха или углекислого газа. Рекомендуется использовать нагретый углекислый газ для того, чтобы избежать травмы брюшины и снижения температуры тела. Это необходимо для того, чтобы безопасно осуществить введение основного инструмента - лапароскопа.
Далее в определенных точках живота делается небольшой разрез и в брюшную полость заводится лапароскоп, при помощи которого и осуществляется осмотр органов и контроль за проведением манипуляций. В случае необходимости через несколько дополнительных проколов передней брюшной стенки в полость вводятся различные манипуляторы, при помощи которых можно провести удаление органа, наложить швы, осуществить коагуляцию.
Лапароскопия может проводиться под оптическим визуальным контролем, а можно оптику лапароскопа соединить в эндокамерой высокого разрешения и дальнейший ход операции контролировать на больших мониторах. Кроме того, динамическое изображение лапароскопии может быть сохранено на цифровом носителе.
После завершения операции, инструменты удаляют из живота, ушивают маленькие разрезы и удаляют воздух. Реабилитация пациентов после таких вмешательств происходит очень быстро: при отсутствии осложнений пациент может быть выписан из клиники уже в ближайшие сутки.
Основные осложнения при лапароскопии заключается в возможности травмирования сосудов и петель кишечника при наложении пневмоперитонеума и введении троакара лапароскопа. Стоит сказать, что процент таких осложнений очень мал.
В современной гинекологии при помощи лапароскопи возможно осуществить удаление кисты яичника и доброкачественные опухоли; провести коррекцию спаечного процесса; удалить матку; осуществить операцию по ликвидации внематочной беременности с возможной пластикой пораженной трубы; провести деструкцию очагов эндометриоза; провести удаление или перевязку маточных труб; восстановить проходимость маточных труб в случае гидросальпинкса.
Таким образом, лапароскопия является высокоэффективным и малотравматичным методом обследования и лечения, позволяющее получить точную картину заболевания и провести хирургическую коррекцию с минимальной травмой для передней брюшной стенки.
Сеть клиник пластической хирургии и косметологии профессора Блохина С.Н. и доктора Вульфа И.А.
ООО «Веста-Дент»
Москва, м. Чкаловская или м. Курская, пер. Казарменный, д. 10, стр. 5
Электрическое оборудование для лапароскопии. Методы окклюзии сосудов
Кафедра хирургии акушерства и гинекологии факультета дополнительного профессионального образования Рязанского государственного медицинского университета им. акад. И.П. Павлова Минздрава России, Рязань, Россия;
Кафедра акушерства и гинекологии педиатрического факультета Российской медицинской академии непрерывного профессионального образования Минздрава России, Москва, Россия;
ООО «Новые технологии плюс», Москва, Россия
Кафедра акушерства и гинекологии педиатрического факультета Российской медицинской академии непрерывного профессионального образования Минздрава России, Москва, Россия
Центр клинической и экспериментальной хирургии, Российская медицинская академия последипломного образования, Швейцарская университетская клиника, Москва
Временная окклюзия внутренних подвздошных артерий при лапароскопической миомэктомии
Журнал: Эндоскопическая хирургия. 2013;19(5): 16‑19
Пучков К.В., Коренная В.В., Добычина А.В., Дорофеева К.М. Временная окклюзия внутренних подвздошных артерий при лапароскопической миомэктомии. Эндоскопическая хирургия. 2013;19(5):16‑19.
Puchkov KV, Korennaya VV, Dobychina AV, Dorofeeva KM. Temporary occlusion of internal iliac arteries in laparoscopic myomectomy. Endoscopic Surgery. 2013;19(5):16‑19. (In Russ.).
Выполнение миомэктомии лапароскопическим доступом имеет ряд доказанных преимуществ, однако даже в руках квалифицированного хирурга представляет определенную сложность, особенно при больших размерах или "неудобном" расположении узлов. Миомэктомия может сопровождаться большой интраоперационной кровопотерей, увеличением продолжительности операции, длительности пребывания в стационаре и частоты развития послеоперационных осложнений. Для ликвидации этих недостатков и сохранения преимуществ лапароскопического доступа хирурги используют различные приемы. Особого внимания заслуживает методика временной окклюзии внутренних подвздошных артерий. В данной статье приведен анализ результатов первых 370 миомэктомий, выполненных с использованием техники временной окклюзии внутренних подвздошных артерий. Показано, что данная методика является надежной и воспроизводимой, позволяет статистически значимо снизить объем кровопотери и вероятность переливания компонентов крови и сократить сроки пребывания больных в стационаре, не оказывая значимого влияния на общую длительность операции.
Выполнение миомэктомии (МЭ) лапароскопическим доступом имеет ряд доказанных преимуществ [1], однако даже в руках квалифицированного хирурга представляет определенную сложность, особенно при больших размерах или «неудобном» расположении узлов [2]. МЭ, особенно при множественных узлах, может сопровождаться большой интраоперационной кровопотерей и, как следствие, увеличением длительности операции, продолжительности пребывания больных в стационаре и частоты развития послеоперационных осложнений [3]. Для ликвидации этих недостатков и сохранения преимуществ лапароскопического доступа хирурги используют различные приемы. Однако особого внимания заслуживает методика временной окклюзии внутренних подвздошных артерий — ВПА (Патент РФ на изобретение №2407467), так как она является надежной и воспроизводимой и позволяет достоверно снизить кровопотерю, вероятность переливания компонентов крови и сроки пребывания больных в стационаре, не оказывая значимого влияния на общую длительность операции. В данной статье мы приводим анализ результатов первых 370 МЭ, выполненных с временной окклюзией ВПА с 2009 по 2012 г.
Техника выполнения МЭ с временной окклюзией ВПА. В предоперационном периоде пациентки проходят стандартное общеклиническое обследование, исследование аспирата из полости матки, цитологических мазков с поверхности шейки матки по Паппаниколау и трансвагинальное ультразвуковое исследование органов малого таза. Хирургическое вмешательство назначается в первой фазе менструального цикла. В целях подготовки пациентки к операции и уменьшения объема узлов мы не назначаем агонисты гонадолиберинов (а-ГнPГ). Такая подготовка хотя и снижает интраоперационную кровопотерю, по данным некоторых исследователей, но не сокращает длительность операции, делая удаление узлов более сложным [4]. Однако негативно сказывается на самочувствии больной за счет развивающихся гипоэстрогенных нарушений. Более того, терапия а-ГнPГ усложняет выполнение операции, так как стирается граница между здоровой тканью миометрия и узлом, что затрудняет процесс его выделения [5].
При выполнении хирургического вмешательства пациентку укладывают в литотомическую позицию. Обязательным условием выполнения вмешательств на матке является использование маточного манипулятора, который позволяет добиваться выгодной экспозиции органов малого таза при выделении подвздошных артерий, выполнении разреза на миометрии и его ушивании. Среди других инструментов, необходимых для проведения операции по данной методике, требуются три 12-миллиметровых троакара, мягкие зажимы с тупым и изогнутым концом, ножницы, кишечный зажим (EndoClinch), жесткие зажимы типа «крокодил», монополярный электрод, две сосудистые клеммы типа De Bakеy, морцеллятор и инструменты для ушивания раны на матке.
После наложения пневмоперитонеума и введения троакаров пациентку переводят в положение Тренделенбурга. При ревизии малого таза с обеих сторон визуализируют зону бифуркации общих подвздошных артерий и мочеточники. Париетальную брюшину над ВПА справа и слева вскрывают на протяжении 2—3 см. Мочеточники отводят латерально. Путем послойной дисекции выделяют ВПА. С помощью зажима Endoclinch в брюшную полость вводят мягкие сосудистые зажимы De Bakey, которые накладывают для временной окклюзии на выделенные сосуды.
Во избежание травмы сосудов необходимо соблюдать следующие правила: диссекцию артерии проводить с помощью инструментов, введенных в троакар со стороны выделяемого сосуда; кончики инструмента в таком случае работают по безопасному вектору; диссекция должна быть проведена тщательно, необходимо отойти от прилежащей подвздошной вены; при диссекции необходимо всегда видеть стенку вены, по возможности выполнять диссекцию на участке, где вена не прилежит к стенке артерии; накладывать сосудистые зажимы следует также через троакар на стороне сосуда; сосудистые зажимы предпочтительнее использовать не с остроконечными, а более скругленными кончиками.
Важно помнить, что при работе на сосудах необходимо быть готовым к возможным последствиям их травмирования, представлять тактические решения, позволяющие без конверсии закончить операцию. Для этого, например, возможно введение над местом ранения через дополнительную троакарную рану (без порта) зажима Сатинского либо перекрытие кровотока сосудистыми зажимами, введенными через порты. Необходимо иметь личный опыт или возможность вызова специализированной сосудистой бригады для наложения сосудистого шва, а также наличие в наборе соответствующего шовного материала и гемостатических средств (например, биоинертный, быстро — в течение 2—3 дней — рассасывающийся полисахаридный гемостатический порошок PerClot, «Cryolife», США).
Последующий ход операции предполагает выполнение разреза миометрия над миоматозным узлом при помощи монополярного электрода, после чего узел миомы захватывают зажимом типа «крокодил» и путем последовательных тракций в разные стороны вылущивают из окружающего миометрия при помощи второго зажима. После выделения 2 /3 узла внутривенно вводят 10 МЕ окситоцина. При этом ложе узла сокращается и узел «выдавливается» в рану, что облегчает последующее его выделение. На данном этапе необходимость использовать электрохирургию чаще всего отсутствует, так как операционное поле остается практически «сухим». При такой технике на этапе выделения узла очень хорошо видна его граница; видны все слои стенки матки, что снижает риск «случайного» вскрытия полости матки. «Сухое» операционное поле и сокращение раневой поверхности помогают более тщательно сопоставить и ушить матку в несколько слоев. В целях ушивания миометрия мы используем нить монокрил 0 для формирования 1-, 2- или 3-рядного Z-образного узлового шва с экстракорпоральным завязыванием узлов. В случае большой раневой поверхности (при удалении интрамуральных узлов 5 см и более мы используем анкерную нить V-lock 0, позволяющую накладывать первый и второй ряд швов непрерывно и без завязывания узлов, а также нить монокрил 0 для второго и третьего ряда уже узловых швов).
После ушивания раны на матке сосудистые зажимы снимают с ВПА и кровоток в матке полностью восстанавливается. Узлы миомы удаляют из брюшной полости с помощью морцелляции и тело матки покрывают противоспаечными средствами.
Благодаря описанному комплексу приемов хирургу удается решить многие проблемы стандартной техники лапароскопической миомэктомии (ЛМЭ): операция проходит с минимальной кровопотерей и минимальным электрохирургическим воздействием на миометрий. Это позволяет выделить узел без травмы окружающих тканей, без риска вскрытия полости матки; полноценно и надежно ушить рану на матке в условиях хорошей визуализации, что важно для формирования в последующем состоятельного рубца.
Материал и методы
За период с 2009 по 2012 г. ЛМЭ с временной окклюзией ВПА выполнена у 370 пациенток в возрасте от 22 до 48 лет. Среди сопутствующей гинекологической патологии наиболее часто встречались аденомиоз (27%), наружный генитальный эндометриоз (14%), вторичное бесплодие (29%). Вторичная постгеморрагическая хроническая анемия легкой, средней и тяжелой степени выявлена у 24, 12 и 5% женщин соответственно. Показания к ЛМЭ чаще всего были сочетанными. У 60% пациенток отмечалась менометроррагия, у 44% — болевой синдром, у 6% — синдром сдавления смежных органов. Число удаляемых миоматозных узлов у одной пациентки варьировало от 1 до 12, а размер — от 1 до 15 см. Локализация удаляемых узлов была различной, при этом множественные и сложно расположенные узлы составляли около 70%.
Результаты и обсуждение
Средняя длительность ЛМЭ с временной окклюзией ВПА составила 65±20 мин, из которых 15±10 мин приходилось на наложение сосудистых зажимов. Объем кровопотери в среднем достигал 60±20 мл. Ни одной из пациенток интраоперационно или в раннем послеоперационном периоде не потребовалось переливания компонентов крови или кровезаменителей, а колебание уровня гемоглобина до и после операции составило в среднем 7±2 г/л.
В послеоперационном периоде всем пациенткам назначали антибактериальную терапию на 7 дней с интраоперационным введением первой дозы и утеротоническая терапия в течение 3 дней. Болевой синдром купировался нестероидными противовоспалительными препаратами в течение 4—5 сут. Причем необходимое для эффективного купирования болевого синдрома количество обезболивающих препаратов не отличалось от того, что требовалось после МЭ без окклюзии ВПА. Длительность пребывания в стационаре составила 2—3 дня.

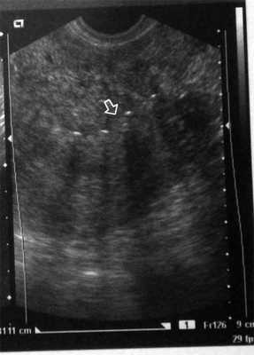
Контроль над состоянием послеоперационного рубца проводили на 7-е сутки и через 1, 3 и 6 мес после операции (см. рисунок). Рисунок 1. Ультразвуковая картина матки через 7 дней после миомэктомии с использованием нити V-lock (стрелкой указана зона шва). Ни в одном случае не отмечали формирования гематом в области швов на матке в раннем послеоперационном периоде как при наложении отдельных Z-образных швов (n=287), так и при использовании непрерывного шва нитью V-lock (n=83). Ультразвуковые критерии несостоятельности рубца к 6-му месяцу после операции не выявлены ни у одной из пациенток.
За анализируемый период времени ни в одном случае не потребовалось конверсии на лапаротомию, однако нам пришлось столкнуться со следующими осложнениями: у одной пациентки — ранение общей подвздошной вены, которая ушита лапароскопически, у одной пациентки 40 лет — развитие к 7-м суткам после операции метроэндометрита, потребовавшее выполнения гистерэктомии. Таким образом, частота развития осложнений, связанных с МЭ, составила 0,5%, а частота развития осложнений, связанных непосредственно с сосудистым этапом операции, — 0,3% (всего 0,8%).
Анализируя опыт выполнения ЛМЭ с временной окклюзией ВПА, мы отметили, что с накоплением опыта время, необходимое на выполнение сосудистого этапа операции, постепенно сокращалось и стабилизировалось после выполнения 15 процедур. В этот же период мы столкнулись и с сосудистыми осложнениями. Таким образом, можно сделать вывод, что период прохождения «кривой обучения» — является критическим этапом в освоении методики. Однако его продолжительность не превышает времени, необходимого для освоения большинства эндоскопических вмешательств.
Стоит отметить, что методика клипирования ВПА воспроизводима и не требует дорогостоящего оборудования. В то же время она позволяет удалять большие и сложно расположенные узлы лапароскопическим доступом с минимальной кровопотерей, с созданием благоприятных условий для ушивания матки и формирования надежного рубца, не оказывая при этом отрицательного влияния на сроки пребывания больных в стационаре, длительность операции, выраженность послеоперационного болевого синдрома и частоту развития осложнений.
Сравнивая объем кровопотери при данном виде операций с кровопотерей при традиционной ЛМЭ, мы сделали вывод, что временное пережатие ВПА позволяет снизить ее до 60±20 мл. Это позволяет оперировать пациенток даже с исходной анемией, с минимальным риском усугубить их состояние или прибегнуть к переливанию эритроцитной массы.
Важным моментом МЭ с предварительной окклюзией ВПА является еще и создание комфортных условий для работы хирурга. Традиционно этап выделения узла и ушивания миометрия происходит в условиях сильного психоэмоционального напряжения, связанного с высокой кровоточивостью тканей, отсутствием действенных способов ее контроля, снижением визуализации операционного поля и наличием фактора времени, за которое необходимо добиться гемостаза. При временной вазокомпрессии удается добиться эффекта практически «сухой» раны, что позволяет хирургу без спешки, не прибегая к избыточной коагуляции, послойно и качественно ушить миометрий. Точное сопоставление краев раны является предпосылкой для хорошей регенерации тканей и формированияполноценного рубца.
Анатомичного сопоставления миометрия позволяет добиться и использование анкерных нитей. Их применение позволяет создать хорошие условия кровоснабжения в зоне рубца, исключающие развитие ишемии и гипоксии тканей. Оценивая первые результаты применения этого шовного материала, можно сделать вывод, что, обладая необходимыми физическими и биологическими свойствами, он соответствует всем требованиям к хирургическим нитям, предъявляемым в акушерстве и гинекологии.
Технология низкодозированного электрохирургического воздействия аппаратом «Liga Sure»
Посмотреть видео операций в исполнении профессора Пучкова К.В. Вы можете на сайте "Видео операций лучших хирургов мира".
Технология дозированного лигирующего воздействия на васкуляризированные ткани «LigaSure» компания Valleylab (Smart technology)
Выполняя первые лапароскопические вмешательства, хирурги столкнулись со значительными техническими трудностями при выполнении эндоскопического гемостаза. Эта проблема является настолько существенной, поскольку несовершенство алгоритмов осуществления быстрого и надежного гемостаза и отсутствие достаточно адаптированного гемокоагуляционного инструмента стало определенным тормозом развития эндоскопической хирургии.
За прошедшие годы было создано немало специальных приборов и устройств, призванных облегчить выполнение оперативных вмешательств под контролем лапароскопа. В первую очередь, это электрохирургические блоки с различными режимами резания и коагуляции, использование которых подвинуло эндохирургическую технику столь существенно, что практически не осталось абдоминальных вмешательств, для выполнения которых не пытались бы ее использовать. Однако, более широкое применение электрокоагуляции, по сравнению с «открытыми» операциями, а также иные условия работы электроинструмента и отсутствие соответствующего опыта привели к появлению значительного числа специфических осложнений. Кроме монополярной электрокоагуляции, в настоящее время успешно используется биполярное электрохирургическое воздействие, бесконтактная коагуляция и резание в среде аргона, механические колебания ультразвуковой частоты, а также лазерная энергия. Кроме того, для остановки кровотечений в процессе лапароскопических операций применяется традиционный хирургический шов (механический и ручной) и лигирование сосудов.
Многообразие гемостатических методик, применяемых в эндохирургии, свидетельствует не только о постоянном поиске учеными новых возможностей, но и, к сожалению, об отсутствии универсального инструмента. Обычная моно- и биполярная коагуляции позволяют останавливать лишь незначительное артериальное и венозное кровотечения, аргоновая плазма предназначена исключительно для остановки диффузного кровотечения большой площади, а ультразвуковые ножницы обеспечивают достаточно надежный гемостаз на этапах мобилизации органов. Надежную остановку кровотечения из крупных сосудов по-прежнему обеспечивает лигирование, однако, несмотря на наличие адаптированных инструментов и шовных материалов, такой способ остается трудоемким и затратным по времени.
В 1999 году в ведущих клиниках США и Европы появился и получил быстрое распространение электрохирургический блок с компьютерным управлением (торговое название: «LigaSure», Швейцария), обеспечивающий дозированную подачу энергии в зависимости от свойств коагулируемой ткани (тканевый импеданс). По данным ряда зарубежных и российских авторов дозированная биполярная электрокоагуляция позволяет останавливать кровотечение и надежно закрывать сосуды диаметром до 7 мм. При воздействии прибора на ткань выпаривается жидкая составляющая, происходит высушивание и денатурация коллагена и эластина до образования плотной гомогенной массы, надежно закрывающей просвет сосудов. Таким образом, применение прибора «LigaSure» для осуществления гемостаза в процессе эндохирургической мобилизации органов и закрытия крупных сосудов может служить универсальным способом остановки кровотечений. Однако такие аспекты, как воздействие лигирующего тока на различные типы тканей, рекомендации по использованию данного вида интраоперационного гемостаза при ключевых этапах конкретных урологических операций, остаются мало освященными в литературе.
Общие сведения о технологии дозированного лигирующего воздействия на васкуляризированные ткани.
Технология нового аппарата во многом подобна биполярной: используется высокочастотный переменный ток (470 кГц), максимальное напряжение 120 вольт, сила тока 4 ампера, максимальная мощность 150 Вт. В генераторе «LigaSure» компания Valleylab запатентовала «умную» технологию (Smart technology). Эта система обратной связи, контролирующая ток большой силы (4А) и низкого напряжения (менее 200 В), т.е. сила тока в 4 раза больше, а напряжение составляет 1/5-1/20 от режимов стандартного коагулятора (рис. 1). Цикл подачи энергии состоит из нескольких функциональных блоков. При наложении инструмента на ткань оказывается оптимальное компрессионное воздействие, и при работе в первую очередь происходит измерение начального электрического сопротивления ткани (начальный диагностический импульс) и автоматический выбор генератором необходимых параметров электрической энергии с автоматической настройкой оптимального цикла параметров. Во время подачи электрического тока осуществляются постоянные измерения тканевого импеданса и в соответствии с этим изменяются параметры импульсов.

Рис. 1. Аппарат LigaSure с набором инструментов

Рис. 2. Force Triad LigaSure

Рис. 3. LigaSure Atlas-инструмент

Рис. 4. Бранши инструмента LigaSure Atlas
Рис. 5. LigaSure V инструмент

Рис. 6. Бранши LigaSure V инструмента
Этот постоянно контролируемый генератором ток обеспечивает постоянный тканевой эффект, зависящий от типа ткани и ее объема между браншами. На ткань воздействуют «пакеты» импульсного тока, в перерывах между «пакетами» ткань остывает, однако она остается дозированно сдавленной механически между браншами. Так продолжается до момента белковой денатурации и коллагенизации, затем аппарат сигнализирует о завершении заваривания (исходя из сопротивления ткани). Эффективность новой технологии реализуется в нижеследующем:
- Напряжение проводит энергию через ткань очень быстро. Благодаря этому коллаген в стенках сосудов и соединительной ткани быстро и равномерно плавится, превращаясь в гомогенную субстанцию, образуя некоторое подобие пластиковой клипсы на сосуде. Это сокращает время лигирования, обеспечивает постоянный и воспроизводимый эффект. Несомненно что оптимальная компрессия, оказываемая инструментом обеспечивает плотность формируемой структуры.
- Система обратной связи настраивает выходные параметры генератора в точном соответствии с конфигурацией используемого электрода, типом и объемом ткани между браншами для оптимизации времени заваривания и обеспечения максимальной надежности лигирования;
- Ток на выходе генератора пульсирующий, что позволяет ткани охлаждаться между подачей энергии. Это поддерживает низкий уровень импеданса и позволяет большему количеству энергии пройти через ткань в короткое время, что обеспечивает максимальную эффективность генератора и уменьшает распространение тепла.
Преимущества технологии «LigaSure» перед традиционными электрохирургическими генераторами:
- надежность, постоянство, прочность заклеивания стенок сосуда;
- минимальное распространение тепла;
- уменьшение прилипания и нагара;
- прочность пломбирования выше, чем у других энергетических способов;
- прочность пломбирования, сравнимая с существующими механическими способами.
Особенности сосудистой пломбы:
- внутренние слои сосудистых стенок заплавлены;
- измененный коллаген имеет консистенцию пластмассы;
- различимая, прозрачная зона пломбирования;
- прочность не зависит от проксимального тромба;
- прочность более чем в три раза превосходит нормальное систолическое давление;
- данные свойства ткани остаются неизменными и в последующем.
Возможность заваривать крупные сосуды быстро и эффективно создает хирургу условия для экономии времени и удобства при применении технологии «LigaSure».
По литературным данным, при воздействии аппарата заметно снижается воспалительная реакция в тканях, по сравнению с другими методиками лигирования сосудов, что связывают с уменьшением зоны термического повреждения. Снижение воспалительного ответа может привести к уменьшению послеоперационного спаечного процесса. Согласно сведениям интернет-сайта компании Valleylab, за время от начала использования технологии выполнено множество операций. Специалисты смогли оценить преимущества использования аппарата. Технология «LigaSure» применяется в абдоминальной хирургии как на открытых операциях, так и при лапароскопических вмешательствах, в оперативной гинекологии, при пересадке органов, в проктологии. Применяя различные инструменты, хирург адекватно обеспечивает гемостаз в труднодоступных местах брюшной полости и малого таза. При этом не требуется предварительная препаровка сосудов большого диаметра (до 7 мм). В зоне операции не остается чужеродный материал. Все это позволяет значительно снизить операционную травму, ускорить вмешательство, избежать значительной кровопотери, снизить риск послеоперационных осложнений.
В последнее время разработчики пошли дальше и предложили для практического использования аппарат «LigaSure» совершенного нового поколения Force Triad. Этот аппарат включает в себя одновременно монополярный и биполярный электрохирургические блоки, а также улучшенную систему технологии дозированного лигирующего воздействия на васкуляризированные ткани. Фото (рис.2) и преимущество новой системы представлены ниже.
Улучшенные характеристики LigaSure
- Нет пульсации сигнала
- Изучение импеданса и выбор воздействия в “реальном времени”
- Нет нужды изучать сделанное
- Контроль текущего или будущего изменения
- Принятие решений в реальном времени
Для лапароскопических вмешательств разработаны несколько инструментов различного диаметра (5 и 10 мм), причем в последних разработках в рабочей части имеется нож для рассечения тканей фиксированных между браншами.
Наиболее часто в клинической практике используется LigaSure Atlas™. Это 10 мм инструмент с длиной ствола рабочей части 37 см, углом вращения 359о, длиной электродов браншей 22 мм и толщиной 6 мм (рис.3). Наличие керамических ограничителей на противоположных браншах улучшают атравматический захват тканей и увеличивают плотность тока в месте работы генератора. Угол раскрытия бранш рабочей части составляет 80о, что позволяет лигировать достаточно большие объемы тканей. Встроенный нож позволяет разрезать заваренные ткани, причем их рассечение проходит по центру и останавливается в 2 мм от края лигирования (безопасность и точка нового лигирования). Рассечение тканей встроенным ножом возможно и без коагуляции, но всегда только при сомкнутых браншах и закрытых кремальерах (рис. 4). Режим настройки генератора обычно составляет 3 единицы, однако при работе в условиях кровотечения, с целью уменьшения нагара, следует использовать режим в 2 единицы.
На этапе лимфаденэктомии используется LigaSure™V или ультразвуковой скальпель.
Это 5 мм инструмент с длиной ствола рабочей части 37 см, углом вращения 359 градусов, длиной электродов браншей 6 мм и толщиной от 4 мм в основании до 2 мм на верхушке (рис.5). Угол ротации рабочей части аппарата составляет 179 градусов. Для улучшения надежности захвата тканей и повышения плотности тока по краям рабочей части расположены керамические ограничители (рис.6).
При выполнении оперативного пособия с использованием инструментов генератора «LigaSure» необходимо соблюдать несколько общих технических приемов:
1.При лигировании изолированного сосуда его необходимо располагать в центре рабочей части инструмента. Коагуляция сосудов в массе тканей также требует размещения наиболее крупных образований в центре электродов.
2.Бранши необходимо накладывать перпендикулярно оси завариваемой структуры.
3.При наложении бранш необходимо достаточное натяжение тканей, для создания наиболее оптимальных условий аппликации инструмента, однако в момент защелкивания кремальер и заваривания лигируемой структуры натяжение должно быть минимальным.
4.Нередко в практике используется несколько аппликаций инструмента вдоль оси лигируемой структуры. Повторная аппликация бранш должна проходить рядом с заваренной зоной, нельзя допускать даже незначительного промежутка между ними, поскольку при коагуляции в оставленном свободном участке происходит мгновенное вскипание жидкости, и взрывное повышение давления разрушает уже сформированный шов. Так же, как и в открытой хирургии необходимо следить за чистотой рабочей части инструмента, своевременно освобождая их от нагара. Для удаления зажима с минимальным повреждением тканей также необходимо использование легкой ротации («rocking» technique).
Таким образом, эволюция электрохирургических генераторов привела к качественно иным возможностям достижения гемостаза, а именно преобразование процесса коагуляции и карбонизации ткани в коллагенизацию, что повлияло не только на надежность остановки кровотечений, но и на такую важную проблему современной хирургии, как воспаление в зоне оперативного приема и спаечный процесс.
СПИСОК ОПУБЛИКОВАННЫХ РАБОТ ПО ТЕМЕ ЭКСПЕРИМЕНТАЛЬНЫЕ И КЛИНИЧЕНСКИЕ АСПЕКТЫ ПРИМЕНЕНИЯ АППАРАТА «LIGA SURE»:
![]()
Когда вы пишете письмо, знайте:
оно попадает мне на мою личную электронную почту .На все ваши письма я отвечаю всегда только сам. Я помню, что вы доверяете мне самое ценное — свое здоровье, свою судьбу, свою семью, своих близких и делаю все возможное, чтобы оправдать ваше доверие. Каждый день я по нескольку часов отвечаю на ваши письма. Направляя мне письмо с вопросом, вы можете быть уверены, что я внимательно изучу вашу ситуацию, при необходимости запрошу дополнительные медицинские документы. Огромный клинический опыт и десятки тысяч успешных операций помогут мне разобраться в вашей проблеме даже на расстоянии.
Многим пациентам требуется не хирургическая помощь, а правильно подобранное консервативное лечение, в то время как другие нуждаются в срочной операции. И в том, и в другом случае я намечаю тактику действий и при необходимости порекомендую прохождение дополнительных обследований или неотложную госпитализацию. Важно помнить, что некоторым больным для успешной операции требуется предварительное лечение сопутствующих заболеваний и правильная предоперационная подготовка.
В письме обязательно (!) укажите возраст, основные жалобы, место проживания, контактный телефон и адрес электронной почты для прямой связи. Чтобы я мог детально ответить на все ваши вопросы, прошу высылать вместе с вашим запросом сканированные заключения УЗИ, КТ, МРТ и консультаций других специалистов. После изучения вашего случая, я направлю вам либо подробный ответ, либо письмо с дополнительными вопросами.
В любом случае я постараюсь вам помочь и оправдать ваше доверие, которое является для меня наивысшей ценностью.![Лапароскопическая операция]()
Лапароскопия - это методика хирургического доступа, позволяющая «заглянуть» в брюшную полость и малый таз через небольшие разрезы или проколы за счет использования системы специальных инструментов.
Термин «лапароскопия» состоит из двух корней: «лапаро» — чрево, «скопия» - смотрю.
Применение лапароскопии
Лапароскопические операции в настоящее время все больше входят в практику хирургических отделений, начиная от плановых и заканчивая экстренными хирургическими вмешательствами. Спектр операций на органах брюшной полости чрезвычайно широк. Практически все хирургические вмешательства в настоящее время могут быть выполнены с использованием данной методики, за редким исключением.
Показания к лапароскопии
В отделении торакоабдоминальной хирургии и онкологии РНЦХ лапароскопия применяется для лечения:
- Желчнокаменной болезни, холедохолитиаза, хронического калькулезного холецистита, полипоза желчного пузыря;
- Грыжи пищеводного отверстия диафрагмы, гастроэзофагеальной рефлюксной болезни; ;
- Злокачественные (плоскоклеточный рак, аденокарценома) и доброкачественные опухоли пищевода,
- Опухоли желудка и двенадцатиперстной кишки;
- Доброкачественные и злокачественные опухоли кишечника;
- Опухоли надпочечника;
- Опухоли забрюшинного пространства;
- Грыжи передней брюшной стенки: паховые, пупочные,бедренные, белой линии живота и послеоперационные.
Лапароскопическая хирургия
Виды плановых вмешательств, для которых лапароскопический доступ является основным:
- Холецистэктомия (лапароскопическое удаление желчного пузыря);
- Фундопликация и другие антирефлюксные вмешательства;
- Операции на кардии;
- Герниопластика при грыжах передней брюшной стенки;
- Гастрэктомия и резекция желудка при доброкачественных и злокачественных заболеваниях.
Все чаще лапароскопически выполняют и вмешательства на поджелудочной железе, печени, на пищеводе (как этап операции).
Лапароскопический доступ при холецистэктомии и фундопликации уже стали «золотым стандартом» хирургии.
Преимущества лапароскопии
Лапароскопия относится к малотравматичному оперативному вмешательству, в отличие от открытой операции. При операции используется видеосистема и 5-40 кратное увеличение, что существенно изменяет восприятие зоны хирургического вмешательства.
- Безопасность операции. Все действия контролируются на мониторе.
- Небольшая кровопотеря. Травма значительно меньше, чем при открытом хирургическом вмешательстве.
- Сниженный послеоперационный болевой синдром. Боли отмечаются лишь в течение первого дня после операции.
- Ускоренная реабилитация больных. Уже через 1-2 недели возможен возврат к обычной жизни.
- Короткая госпитализация. При благоприятных условиях пациента могут выписать из больницы через 6 дней после операции.
- Косметический эффект. По прошествии нескольких лет даже при тщательном осмотре не обнаруживаются послеоперационные рубцы на передней брюшной стенке.
Ограничения к лапароскопии
- заболевания сердца и легких;
- предшествующие полостные операции и спаечный процесс;
- осложнённое течение основного заболевания.
Подготовка к операции
Подготовка к лапароскопической операции не отличается от подготовки к другим видам стационарного хирургического вмешательства. Пациент заранее сдает анализы крови, делает ЭКГ и другие исследования. Ознакомьтесь с порядком госпитализации и списком необходимых анализов перед лапароскопией. В зависимости от состояния здоровья пациента, врач может назначить дополнительные исследования.
За неделю перед операцией необходимо исключить из рациона продукты питания, вызывающие газообразование. В день операции нельзя есть и пить, последний прием пищи за 12 часов до лапароскопии.
Как проходит лапароскопия
Лапароскопические операции проводятся под общим наркозом пациента. Длительность операции зависит от конкретного диагноза, сложности процедуры и особенностей здоровья больного. Лапароскопия может длится от 40 минут до нескольких часов.
Лапароскоп
Основой лапароскопии является использование оптического прибора, носящего название лапароскоп, и представляющего собой состоящую из линз трубку, присоединённую к видеокамере, транслирующей изображение из брюшной полости на экран монитора.
Кроме лапароскопа для проведения операции необходим осветитель — источник «холодного» света, и оптический кабель позволяющий «осветить» пространство брюшной полости.
Подача газа
При проведении лапароскопии используется система подачи углекислого газа. В результате надувания живот увеличивается в объеме «как шарик», а передняя брюшная стенка поднимается над внутренними органами как купол. Инсуффляция (нагнетание газа) в брюшную полость позволяет создать достаточное рабочее пространство для выполнения манипуляций на органах брюшной полости.
Разрезы и троакар
Введение лапароскопа и инструментов, инсуффляция углекислого газа при лапароскопии производится через небольшие разрезы (5-12 мм) или проколы. В них хирург вставляет хирургический инструмент троакар. Он представляет собой полую трубку (тубус), в который вставлен стилет — острая часть троакара, предназначенная для проникновения в брюшную полость через брюшную стенку.
После проникновения через брюшную стенку стилет из троакара извлекают, а введение лапароскопа и инструментов проводят через тубус, который снаружи имеет клапанный механизм, препятствующий утечке газа из брюшной полости.
Инструменты для лапароскопии
Спектр инструментов для лапароскопии в настоящее время широк и включает крючки, зажимы, ножницы, насадки для коагуляции, диссекторы, клипаторы (для наложения клипс на различные структуры) и эндоскопические сшивающие аппараты (степлеры).
Существуют специальные инструменты, позволяющие производить препаровку и разделение тканей с одновременной их коагуляций (гармонический скальпель, LigaSure и другие).
Восстановление после лапароскопии
Восстановление общего состояния организма происходит в первый месяц после операции. В этот период рекомендована пониженная физическая активность, в особенности упражнения, напрягающие брюшной пресс. Должна соблюдаться диета: нельзя употреблять продукты, вызывающие повышенное газообразование, маринады, копчености, жирное мясо, шоколад, жареную пищу.
Лапароскопия в отделении торако — абдоминальной хирургии и онкологии РНЦХ
С клиническими случами пациентов, при лечении которых применялись лапароскопические операции можно ознакомиться по ссылкам.
Смотрите с видео лапароскопических операций по ссылке.
Обращаем ваше внимание, что представленные видеоматериалы натуралистического характера и предназначены для специалистов.Лапароскопия в нашем отделении — это высококвалифицированные врачи, лучшее современное оборудование и внимательный персонал. Лапароскопический метод лечения применяется в нашей клинике бесплатно в форматах оказания помощи по ОМС и ДМС, а также на коммерческой основе. Узнайте подробности, как попасть на лечение в отделение торако-абдоминальной хирургии РНЦХ.
Лапароскопические операции проводятся также в рамках ВМП. Подробнее о бесплатной высокотехнологической медицинской помощи.
Для записи на консультацию позвоните по телефонам:
Отправьте заявку на консультацию, заполнив форму на нашем сайте и прикрепив необходимые документы.
Окклюзия сосудов - грозное проявление сосудистой недостаточности
Сердечно-сосудистые патологии прочно занимают лидирующее место среди болезней, приводящих к летальному исходу или стойкой инвалидности человека. Снижение проводящей способности крупных кровеносных сосудов может парализовать работу многих органов и систем организма. Одним из самых страшных проявлений сосудистой недостаточности является окклюзия сосудов.
Что такое окклюзия и почему она возникает?
Окклюзия - это резко возникающая непроходимость сосудов вследствие развития в них патологических процессов, закупоривания тромбом или обусловленная травматическими причинами. Знать причины этого явления и его симптомы нужно обязательно, так как в большинстве случаев время на принятие экстренных мер крайне ограничено - счет идет буквально на часы и минуты.
![]()
Окклюзия на примере руки
По своей локализации бывают различные виды окклюзии - венозные или артериальные, поражающие магистральные сосуды, питающие органы, конечности, центральную нервную систему. Вызываться они могут целым рядом обстоятельств:
Эмболия - закупорка сосуда находящимся в русле кровотока плотным образованием.
- Эмболия может быть вызвана инфекционным поражением, когда сосуд закрывается скоплением микроорганизмов или воспалительными гнойными тромбами.
- Воздушная эмболия - последствие попадание в сосуды воздушного пузырька. Нередко появляется при сложных травмах органов дыхания (легких), может быть следствием неправильной инъекции.
- Жировая эмболия - также может иметь травматический характер, но нередко возникает при глубоких нарушениях обмена веществ в организме. Скапливающиеся в крови мельчайшие частички жира могут соединиться в жировой тромб, приводящий к окклюзии.
- Артериальная эмболия - закупорка сосудов подвижными тромбами, которые, как правило, образуются в клапанном аппарате сердца при целом ряде патологий его развития. Обычно именно эта причина приводит к окклюзии артерий нижних конечностей, сосудов сердца и головного мозга.
Чаще всего эмболы приводят к окклюзии в местах сужений или разветвлений сосудов - так называемых бифуркациях.
Тромбоз - процесс постепенного сужения просвета артерии из-за образования и роста тромбов на внутренних ее стенках. Зачастую причиной тому служит атеросклероз сосудов (в частности, ног), но возможны и травматические или инфекционные образования. Кроме того, что тромбоз сам по себе может привести к окклюзии, он создает очень уязвимое место, наиболее подверженное эмболии (тромбоэмболия).
Аневризма сосудов также может стать причиной окклюзии. Врожденная или приобретенная аномалия стенок сосудов, приводящая к их резкому локальному расширению или выпячиванию - очень характерное место будущего тромбоза и эмболии.
Травмы - из-за них окклюзия возникает, когда повреждённая мышечная или костная ткань сдавливают крупные кровеносные сосуды, препятствуя нормальному кровотоку. В месте пережатия артерии возникают тромбозные процессы, высока вероятность эмболии.
Поражение нижних конечностей
Подобное поражение сосудов можно вынести в отдельный раздел, так как по медицинской статистике примерно в половине всех известных случаев фиксируется именно окклюзия бедренной артерии и подколенной артерии.
Симптомы подобной окклюзии детально изучены и описаны, а в англоязычной медицинской литературе даже выведено правило «пяти Р» - характерных проявлений, при возникновении хотя бы одного из них требуется экстренное проведение диагностики и назначение лечения:
![]()
- Pain - боль - разлитая, обширная область ниже участка поражения, усиливающаяся и не облегчающаяся при изменении положения ноги.
- Pulselessness - исчезновение пульса в характерных местах близкого расположения артерий. Подобный симптом врачами используется для более точного определения места окклюзии.
- Pallor - бледность, цвет кожи ниже пораженного участка вначале бледнеет, потом проявляются пятна цианоза. Температура таких участков стремительно снижается.
- Paresthesia - парезтезия, чувство онемения, покалывания, «мурашек» - верные признаки сосудистого поражения. Пропадает чувствительность к прикосновениям, может настать полное онемение с исчезновением болезненных ощущений.
- Paralysis - паралич конечности, нарушение ее двигательной функции - проявление обширной ишемии участка.
Несвоевременное принятие мер (свыше 4 - 6 часов) может привести к необратимым некротическим изменениям в тканях, развитию гангренозного процесса. Окклюзия артерий конечностей - одна из основных причин инвалидности и ампутации ног, особенно у мужчин в возрасте старше 60 лет.
Окклюзия сосудов, питающих голову и ЦНС
С меньшей долей вероятности, но все же достаточно часто поражаются крупные сосуды, доставляющие кровь к голове человека. Наиболее характерна окклюзия внутренней сонной артерии.
При подобном поражении развивается острая нехватка питания мозга, кислородное голодание клеток центральной нервной системы (ЦНС). Это ведет к патологическим изменениям в оболочках, развитию областей мозгового инфаркта - ишемического инсульта, что может закончится обширным поражением ЦНС со следующими за ним нарушениями деятельности органов и систем организма в целом, парализации, резким снижением интеллектуальных способностей и слабоумием.
![]()
Еще одно уязвимое место - позвоночная артерия, развитие окклюзии в которой приводит к поражению затылочной части головного мозга. Предвестники образования обширных участков инсульта - так называемые ТИА (транзиторные ишемические атаки). Это может выражаться внеземным онемением конечностей вплоть до временных параличей, частыми головокружениями, провалами в памяти, нарушениями речи, зрения, периодическими обмороками.
Окклюзия глаза, точнее, сосудов, питающих его сетчатку, может проявиться совершенно внезапно и абсолютно безболезненно, но, как правило, приводит к полной мгновенной потере зрения на пораженный глаз. Подвержены такому заболеванию чаще мужчины, достигшие возраста 50-70 лет.
Лечение и профилактика окклюзии
Лечение острых проявлений окклюзии - дело очень сложное, успех которого зависит от своевременности выявления самых первых симптомов. Чаще всего приходится прибегать к хирургическому вмешательству, с целью прочищения внутренних полостей артерий, удалению пораженных участков, проведения артериального шунтирования. В запущенных случаях нередко приходится ампутировать пораженные конечности во избежание распространения гангренозных процессов и возникновения сепсиса.
Чтобы не доводить свой организм до крайностей, обязательно надо поддерживать свою сосудистую систему в нормальном состоянии, выполняя комплекс профилактических мер:
- Постоянно следить за уровнем артериального давления. Гипертония - первый шаг к серьезной сердечно-сосудистой недостаточности. Следует разумно относиться к потреблению кофе, крепкого чая, острой и соленой пищи.
- Правильное питание - максимально снизить в ежедневном рационе количество жирных блюд, с повышенным содержанием холестерина. Анализы на уровень холестерина после 40 лет должны стать обязательными хотя бы раз в полгода.
- Ежедневно употреблять натуральные продукты с повышенным содержанием витаминов.
- Избавиться от лишних килограммов. Избыточный вес - это очень чувствительная излишняя нагрузка на вся сердечно-сосудистую систему в целом.
- Отказаться от вредных привычек - курения и употребления спиртного. Медицине известны случаи резкой спазматической окклюзии, вызванной никотином или алкоголем.
- Правильный режим жизни, включающий регулярные физические нагрузки, соразмеренные с возрастом и общим состоянием здоровья.
- Стараться избегать излишних стрессов и психических потрясений.
Чтобы закончить тему окклюзии сосудов - несколько слов о сходном значении этого термина. Речь идет об эндоваскулярной окклюзии. В отличии от всего рассказанного выше, это не название патологии, а способ оперативного лечения аневризмы, когда хирургическим путем создают искусственную закупорку участка выпячивания артерии или искусственный тромбоз в месте значительного ее расширения, что предохраняет от вероятного разрыва магистрального сосуда.
Читайте также:





