Эпилептические приступы у детей. Диагностика
Добавил пользователь Евгений Кузнецов Обновлено: 06.01.2026
Keywords: anti-epileptic therapy, cerebral palsy, cognitive disorders, epilepsy.
Детский церебральный паралич (ДЦП) является сложным заболеванием центральной нервной системы (ЦНС), которое развивается в результате поражения, возникшего во внутриутробном, интранатальном и раннем постнатальном периодах, или вследствие аномалии головного мозга, при этом действие повреждающих факторов на незрелый мозг определяет разнообразие сочетаний двигательных и сенсорных расстройств, а также лежит в основе нарушений когнитивных функций, что необходимо учитывать при обосновании восстановительного лечения и социальной реабилитации больных [1].
Актуальной проблемой является развитие пароксизмальных расстройств у детей с ДЦП, особенно эпилепсии. Так, частота неонатальных судорог у детей с ДЦП превышает среднепопуляционную в 17 раз, фебрильных судорог -в 2,5 раза, а эпилепсии - более чем в 40 раз [2]. Наличие эпилепсии утяжеляет клиническую картину ДЦП, осложняет проведение реабилитационных мероприятий и влияет на прогноз двигательных, интеллектуальных функций, а также может представлять угрозу для жизни. Проблемой также является возможность аггравации эпилептических приступов и их появление de novo при применении интенсивных методов нейрореабилитации (электрофорез, иглорефлексотерапия, электроретиностимуляция и др.).
Эпилепсия при ДЦП встречается, по данным различных исследований, c вероятностью от 28 до 62 и даже 75% 5. Наиболее реалистичными выглядят российские данные Е.Д.Белоусовой - 43,2% [2], что практически в точности подтверждается популяционными исследованиям в Швеции -44% [7]. Максимальная вероятность возникновения эпилепсии отмечается при гемиплегической (70,6%) и тетраплегической (66,1%) формах ДЦП [5].
- в большинстве случаев (до 74,2%) эпилепсия у детей с ДЦП дебютирует на 1-м году жизни;
- часто ДЦП сочетается с тяжелыми эпилептическими энцефалопатиями младенческого и раннего детского возраста (синдромами Отахара, Веста, Марканда-Блюме-Отахара, Леннокса-Гасто и др.);
- в клинической картине преобладают сложные фокальные, вторично-генерализованные и так называемые «псевдогенерализованные» эпилептические приступы (атипичные абсансы, билатеральные тонические спазмы и миоклонические приступы фокального генеза);
- часто сочетаются эпилептические и неэпилептические пароксизмы, а также возможна их схожесть по кинематике, что вызывает сложности трактовки и дифференциальной диагностики. Примерами могут служить дистонические атаки по типу асимметричного шейного тонического рефлекса (АШТР) и тонические версивные эпилептические приступы;
- наличие эпилепсии усугубляет двигательные и когнитивные нарушения при ДЦП. При этом присоединение эпилептических приступов и эпилептиформных разрядов приводит к появлению когнитивной эпилептиформной дезинтеграции либо парциального когнитивного дефекта, а также возможному усилению моторного дефицита и потере определенных двигательных и речевых навыков. Эти явления нарушают такой стержневой критерий ДЦП, как отсутствие прогредиентности процесса;
- часто сочетаются ДЦП и доброкачественные эпилептиформные разряды детства (ДЭРД). У детей с перивентрикулярной лейкомаляцией и диффузными нарушениями миелинизации благоприятный прогноз для собственно эпилептических приступов сочетается с фармакорезистентностью эпилептиформных разрядов (типа ДЭРД) и дезинтегративных эпилептиформных процессов;
- у детей с ДЦП (за исключением случаев, обусловленных церебральными дисгенезиями) может отсутствовать корреляция между очагами эпилептиформной активности и зоной максимально выраженных структурных изменений при нейровизуализации;
- нередко возникает рефлекторная провокация приступов под воздействием аудиогенной и соматосенсорной стимуляции. Существует проблема дифференциальной диагностики стартл-рефлексов и стартл-эпилепсии у детей с ДЦП;
- более высокий риск рецидива эпилепсии у детей с ДЦП после отмены антиэпилептических препаратов (АЭП).
У детей с ДЦП наблюдается широкий спектр эпилепсий - от крайне тяжелых форм, относящихся к эпилептическим энцефалопатиям, до прогностически благоприятных сочетаний с доброкачественными идиопатическими формами.
Дети с тяжелым гипоксически-ишемическим поражением ЦНС и формированием ДЦП являются угрожаемыми по развитию тяжелых эпилептических энцефалопатий младенческого возраста. У больных синдромом Отахара нередко констатируется гемипарез или тетрапарез (клиника ДЦП); отмечаются разнообразные нарушения мышечного тонуса как с явлениями спастичности (чаще), так и гипотонии. У всех больных отмечается задержка психомоторного развития с первых месяцев жизни; с возрастом формируется тяжелая умственная отсталость. Безусловно, часть пациентов старшего детского возраста, которая наблюдается неврологами с диагнозом «ДЦП, симптоматическая фокальная эпилепсия, умственная отсталость» перенесли на определенном этапе развития (в первом полугодии жизни) синдром Отахара [12].
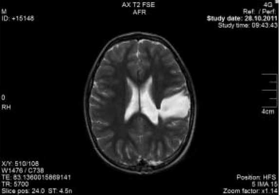
Нарушения двигательного развития у больных синдромом Веста различны и могут варьировать от умеренной задержки формирования установочных позотонических рефлексов до полного отсутствия развития двигательных навыков и установочных рефлексов с формированием ДЦП, либо лобной астазии-абазии. Наиболее тяжелые варианты синдрома двигательных нарушений у больных синдромом Веста включают тетраплегическую форму ДЦП и развитие атонически-астатического синдрома (форма Фёрстера) [13]. При синдроме Веста наличие тетрапареза отмечено у 24,6% детей, гемипареза - у 10,8%. При этом дети с инфантильными спазмами и гемипаретической формой ДЦП, как правило, имели на ЭЭГ асимметричную гипсаритмию по типу унилатеральной, а в структуре приступов преобладают асимметричные инфантильные спазмы с последующим присоединением типичных парциальных приступов и трансформацией в симптоматические фокальные формы эпилепсии с соответствующими ЭЭГ-паттернами в виде региональной эпилептиформной активности [14]. Пока еще недостаточно изучен вопрос, какие изменения на ЭЭГ предшествуют развитию гипсаритмии. Накапливаются клинические наблюдения, свидетельствующие о прогностически неблагоприятном появлении пятиточечных эпилептиформных комплексов (подобных ДЭРД) у детей первых месяцев жизни с гипоксически-ишемическим поражением ЦНС и лейкопатией. Данный паттерн (рис. 1) предшествовал появлению гипсаритмии, эпилептических спазмов и развитию эпилептической энцефалопатии (рис. 2). Появление комплексов типа ДЭРД в раннем младенческом возрасте нередко ассоциируется в последующем с тяжелыми когнитивными нарушениями у пациентов и может быть предиктором развития эпилептической энцефалопатии [15].
Рис. 1. ЭЭГ пациента Б-Х.А., мальчик, 4 мес. Диагноз: «Последствия тяжелого перинатального поражения ЦНС гипоксически-ишемического генеза. Задержка психомоторного и предречевого развития. Угроза по формированию ДЦП». Запись ЭЭГ во время бодрствования за 2 мес до дебюта у мальчика инфантильных спазмов. В правой центрально-теменной области отмечаются низкоамплитудные пятиточечные эпилептиформные комплексы, схожие по морфологии с «доброкачественными эпилептиформными разрядами детства» в центральных отделах.
Рис. 2. ЭЭГ того же пациента Б-Х.А., 8 мес. Диагноз в динамике через 4 мес: «Детский церебральный паралич. Спастический тетрапарез. Синдром инфантильных спазмов. Задержка психомоторного развития». А - запись ЭЭГ во время бодрствования с наличием модифицированной гипсаритмии с мультирегиональным компонентом (правая теменная, левая и правая лобные области). Б - запись ЭЭГ во время сна с наличием модифицированной гипсаритмии с персистированием «супрессивно-взрывного» паттерна и доминирующим региональным акцентом в правой теменной области. В - запись ЭЭГ во время серии флексорных аксиальных и аксоризомелических тонических спазмов со статусным течением. Отмечаются диффузные иктальные пробеги «lafa» с правополушарной теменной заинтересованностью, постприступное угнетение биоэлектрической активности, неполное восстановление картины модифицированной гипсаритмии, прерываемое следующим спазмом.
А
Примеры сочетания ДЦП, фокальной эпилепсии и наличия эпилептиформных разрядов типа ДЭРД нередки в клинической практике. В качестве примера приводим данные магнитно-резонансной томографии (МРТ) и ЭЭГ пациента Ш.И. (рис. 3, 4).

Рис. 3. Магнитно-резонансная томограмма больного Ш.И., 7 лет.
Диагноз: «Детский церебральный паралич, гемипаретическая форма (правосторонний гемипарез). Симптоматическая фокальная эпилепсия с правосторонними гемиконвульсивными, адверсивными, диалептическими и миоклонически-астатическими приступами. Порэнцефалическая киста теменно-височной области слева».
Рис. 4. ЭЭГ бодрствования больного Ш.И., 7 лет (тот же пациент). Региональная эпилептиформная активность в левой центральной и центрально-теменно-височной области в виде комплексов «острая-медленная» и «пик-волна». Региональные эпилептиформные разряды по своей морфологии нередко соответствуют ДЭРД, но также в виде высокоамплитудных медленных остро-медленноволновых разрядов и в сочетании с продолженным региональным замедлением.
За последние десятилетия в мировой научной и клинической практике накапливается опыт наблюдения пациентов с так называемой «двойной патологией» - наличием структурных нарушений в головном мозге и тяжелых двигательных нарушений в сочетании с эпилептическим идиопатическим компонентом (включая эпилептиформные разряды типа ДЭРД, благоприятный прогноз для эпилептических приступов и регресс эпилептиформных разрядов к достижению пубертата). К.Ю.Мухин и соавторы назвали данный особый эпилептический синдром с благоприятным течением эпилепсии, но с тяжелыми неврологическими нарушениями «фокальная эпилепсия детского возраста со структурными изменениями в мозге и доброкачественными эпилептиформными паттернами на ЭЭГ», сокращенно - ФЭДСИМ-ДЭПД [3].
Лечение эпилепсии у детей с ДЦП
Препаратами выбора в лечении эпилепсии у детей являются вальпроаты за счет широкого спектра действия, высокой эффективности и низкой вероятности аггравации. Вальпроаты применяются в дозировках 20-100 мг/кг/сут. Следует особо подчеркнуть, что высокая частота бульбарных расстройств у детей с ДЦП вызывает серьезные проблемы с применением таблетированных и капсульных форм АЭП. Данная проблема успешно решается применением таких форм вальпроатов, как депакин (хроносфера, сироп) и конвулекс (капли).
Помимо вальпроатов, в случаях приступов по типу атипичных абсансов, а также при ДЭРД-ассоциированных состояниях целесообразно применение сукцинимидов в суточных дозировках 20-35 мг/кг/сут.
У детей с ДЦП и эпилепсией, особенно при сочетании с когнитивными нарушениями, целесообразно применение леветирацетама, разрешенного в России у детей с 2-летнего возраста. Утвержденные терапевтические дозировки составляют 20-80 мг/кг/сут. Достоинством леветирацетама является сочетание антиэпилептического и ноотропного эффектов. Применение леветирацетама у детей первых двух лет жизни в более высоких дозировках требует коллегиального решения и информированного согласия.
В случаях применения препаратов карбамазепиновой группы, окскарбазепина, ламотриджина и топирамата у педиатрических пациентов до 7-летнего возраста следует учитывать риск аггравации феномена вторичной билатеральной синхронизации на ЭЭГ с клиническими проявлениями в виде аггравации миоклонических приступов, атипичных абсансов, а также вторично-генерализованных судорожных приступов. Данную группу препаратов следует комбинировать с АЭП широкого спектра и низкой аггравационной способности (вальпроатами), а также их применение требует тщательного динамического видео-ЭЭГ-контроля с целью раннего выявления признаков фармакоиндуцированной аггравации.
Учитывая высокий риск рецидивов эпилепсии и тяжесть структурных дефектов головного мозга у пациентов с ДЦП, продолжительность антиэпилептической терапии должна составлять не менее трех лет с момента достижения клинической ремиссии.
Стойкая ремиссия эпилептических приступов при ДЦП достигается более чем у половины пациентов (53,2 [5], 65 [2] и 75,3% [16]). Наиболее высокие показатели ремиссии эпилепсии при ДЦП гипоксически-ишемического генеза - 77,9% [6].
При наличии фармакорезистентной эпилепсии необходимо решать вопрос о возможности эпилептической хирургии, что будет целесообразно при церебральных дисгенезиях, особенно в случаях фокальных кортикальных дисплазий. Напротив, наличие структурного дефекта гипоксически-ишемического или постгеморрагического генеза и эпилептиформных разрядов типа ДЭРД контралатерально (в потенциально «здоровой» гемисфере как следствие сочетания ДЦП и идиопатического эпилептического компонента) является противопоказанием для эпилептической хирургии.
При фармакорезистентности и отсутствии возможности хирургической коррекции следует рассмотреть вопрос о целесообразности применения кетогенной диеты и имплантации вагостимулятора (VNS-терапии).
Перспективы лекарственной терапии когнитивных нарушений связаны с применением ноотропных препаратов, стимулирующих механизмы нейропластичности и улучшающих состояние высших психических функций [17]. При выборе лекарственной терапии в случаях сочетаний ДЦП с эпилепсией или субклинической эпилептиформной активностью на ЭЭГ следует отдавать предпочтение ноотропным препаратам, которые не вызывают нарастания эпилептиформной активности.
С.В.Балканская и соавт. [18] применили ноотропный препарат Пантогам (гопантеновая кислота) как дополнение к АЭП при лечении 21 пациента 6-8 лет с роландической эпилепсией, сопровождавшейся когнитивными нарушениями. С использованием тестовых компьютерных систем когнитивные параметры проанализированы до и после курса лечения гопантеновой кислотой на фоне базовой терапии АЭП. Продемонстрировано достоверно значимое положительное влияние препарата на показатели: кратковременной зрительной памяти, уровня внимания и точности образного мышления, распределения и переключения внимания, максимального темпа двигательных реакций, оперативности психических процессов.
В.И.Гузева и соавт. обследовали две группы детей 4-7 лет с разными формами эпилепсии и нарушений развития речи: основную (n = 40) и сравнения (n = 23) [19]. Пациенты принимали АЭП: вальпроаты (57 и 65%), топирамат (13 и 25%), карбамазепин (26 и 7%), окскарбазепин (4 и 3%). Пантогам (гопантеновая кислота) 10% сироп назначался в основной группе в дозе 20-30 мг/кг/сут курсом в течение 2 мес в дополнение к АЭП. При повторной ЭЭГ после этого курса у детей основной группы не выявлено изменения числа случаев с наличием эпилептиформной активности на ЭЭГ, но при этом уменьшилось число случаев с общими диффузными изменениями и задержкой созревания базового ритма с 47,5 до 40%, а у 7,5% ЭЭГ стала соответствовать возрастной норме. Различная степень эффективности Пантогама подтверждена у 77,5% детей с эпилепсией при нарушениях речи [19]. Одновременно в основной группе после лечения Пантогамом установлено существенное улучшение памяти (уменьшение числа ошибок, связанных с запоминанием слов), способности к обобщению и умения детей дифференцировать существенные и несущественные признаки предметов, а также кинетического праксиса [20]. У всех детей с эпилепсией отмечена хорошая переносимость препарата при отсутствии учащения приступов.
В качестве метаболической терапии детям с ДЦП, особенно в сочетании с эпилепсией, рекомендуется применение L-карнитина (препарат Элькар). L-карнитин улучшает белковый и жировой обмен, повышает устойчивость к физическим нагрузкам, угнетает образование кетокислот и анаэробный гликолиз, снижает выраженность лактат-ацидоза, способствует экономному расходованию гликогена и увеличению его запасов в печени и мышцах, оказывает анаболическое и липолитическое действие [21 ]. Пациентам с эпилепсией, принимающим вальпроаты и имеющим признаки карнитиновой недостаточности, следует периодически принимать курсы L-карнитина в дозах 20-100 мг/кг/сут.
Родителям пациентов с ДЦП с эпилепсией важно придерживаться ряда рекомендаций. Необходимо учитывать, что в настоящее время квалифицированный подбор АЭП, который осуществляет врач, позволяет в большинстве случаев постепенно достичь полного прекращения приступов у пациентов. В повседневной жизни важную роль играет организация здорового режима, спокойная домашняя обстановка. Особых ограничений в питании пациентам не требуется. Полезны занятия гимнастикой, физкультурой, но без элементов соревнования. Детям и особенно подросткам следует избегать позднего отхода ко сну и непривычно раннего пробуждения. Это особенно существенно при приступах, возникающих рано утром, в период пробуждения. Следует уменьшить время просмотра телепередач и компьютерных игр, но ни в коем случае не запрещать их (они должны быть полностью исключены лишь при фотосенситивной эпилепсии - форме эпилепсии, при которой приступы вызываются ритмичными световыми мельканиями). Физиотерапия с применением методик электро- и магнитотерапии противопоказана из-за риска аггравации эпилептических приступов и эпилептиформных разрядов на ЭЭГ.
Школьные занятия и задания должны выполняться в полном объеме. Необоснованные ограничения могут негативно сказаться на развитии ребенка как личности и способствовать формированию у него «комплекса неполноценности». Важно, чтобы ребенок не чувствовал себя изолированным от общества.
Эпилепсия у детей
Эпилепсия у детей - это хроническое церебральное расстройство, характеризующееся повторяющимися, стереотипными припадками, возникающими без явных провоцирующих факторов. Ведущими проявлениями эпилепсии у детей служат эпилептические припадки, которые могут протекать в виде тонико-клонических судорог, абсансов, миоклонических судорог с нарушением сознания или без его нарушения. Инструментальная и лабораторная диагностика эпилепсии у детей включает проведение ЭЭГ, рентгенографии черепа, КТ, МРТ и ПЭТ головного мозга, биохимического анализа крови и спинномозговой жидкости. Общие принципы лечения эпилепсии у детей предполагают соблюдение охранительного режима, терапию антиконвульсантами, психотерапию; при необходимости - нейрохирургическое лечение.
МКБ-10
Общие сведения
Эпилепсия у детей - хроническая патология головного мозга, протекающая с периодически повторяющимися неспровоцированными судорогами или их вегетативными, психическими, сенсорными эквивалентами, обусловленными гиперсинхронной электрической активностью нейронов мозга. Согласно имеющейся в педиатрии статистике, эпилепсия встречается у 1-5% детей. У 75% взрослых, страдающих эпилепсией, дебют заболевания приходится на детский или подростковый возраст.
У детей, наряду с доброкачественными формами эпилепсии, встречаются злокачественные (прогрессирующие и резистентные к проводимой терапии) формы. Нередко эпилептические припадки у детей протекают атипично, стерто, а клиническая картина не всегда соответствует изменениям на электроэнцефалограмме. Изучением эпилепсии у детей занимается детская неврология и ее специализированный раздел - эпилептология.
Причины
Фактором эпилептогенеза в детском возрасте выступает незрелость мозга, характеризующаяся преобладанием процессов возбуждения, необходимых для формирования функциональных межнейронных связей. Кроме этого, эпилептизации нейронов способствуют преморбидные органические поражения мозга (генетические или приобретенные), вызывающие повышенную судорожную готовность. В этиологии и патогенезе эпилепсии у детей немалую роль играют наследственная или приобретенная предрасположенность к заболеванию.
- Наследственный фактор. Развитие идиопатических форм эпилепсии у детей в большинстве случаев связано с генетически обусловленной нестабильностью мембран нейронов и нарушением нейромедиаторного баланса. При наличии идиопатической эпилепсии у одного из родителей, риск развития эпилепсии у ребенка составляет около 10%. Эпилепсия у детей может быть ассоциирована с наследственными дефектами обмена веществ (фенилкетонурией, лейцинозом, гиперглицинемией, митохондриальными энцефаломиопатиями), хромосомными синдромами (болезнью Дауна), наследственными нейрокожными синдромами (нейрофиброматозом, туберозным склерозом) и др.
- Пренатальное поражения головного мозга. Среди пренатальных факторов ведущую роль играют токсикозы беременности, гипоксия плода, внутриутробные инфекции, фетальный алкогольный синдром (ФАС), внутричерепные родовые травмы, тяжелая желтуха новорожденных.
- Раннее органическое поражение мозга. Может быть связано с врожденными аномалиями мозга, перенесенными ребенком нейроинфекциями (менингитами, энцефалитами, арахноидитами), ЧМТ; осложнениями общих инфекционных заболеваний (гриппа, пневмонии, сепсиса и др.), поствакцинальными осложнениями и пр. У детей с ДЦП эпилепсия выявляется в 20-33% случаев.
Криптогенные формы эпилепсии у детей имеют предположительно симптоматическое происхождение, однако их достоверные причины так и остаются невыясненными даже при использовании современных методов нейровизуализации.
Классификация
В зависимости от характера эпилептических припадков, выделяют:
1. Фокальную эпилепсию у детей, протекающую с фокальными (локальными, парциальными) приступами:
- простыми (с двигательными, вегетативными, соматосенсорными, психическими компонентами)
- сложными (с нарушением сознания)
- с вторичной генерализацией (переходящими в генерализованные тонико-клонические приступы)
2. Генерализованную эпилепсию у детей, протекающую с первично-генерализованными приступами:
- абсансами (типичными, атипичными)
- клоническими припадками
- тонико-клоническими припадками
- миоклоническими припадками
- атоническими припадками
3. Эпилепсию у детей, протекающую с неклассифицируемыми припадками (повторными, случайными, рефлекторными, эпилептический статус и пр.).
Локализационно-обусловленные и генерализованные формы эпилепсии у детей с учетом этиологии подразделяются на идиопатические, симптоматические и криптогенные. Среди идиопатических фокальных форм заболевания у детей чаще всего встречается доброкачественная роландическая эпилепсия, эпилепсия с затылочными пароксизмами, эпилепсия чтения; среди генерализованных идиопатических форм - доброкачественные судороги новорожденных, миоклоническая и абсансная эпилепсия детского и юношеского возраста и др.
Симптомы эпилепсии у детей
Клинические проявления эпилепсии у детей многообразны, зависят от формы заболевания и типов приступов. В этой связи остановимся лишь на некоторых эпилептических припадках, встречающихся в детском возрасте.
В продромальном периоде эпилептического припадка обычно отмечаются предвестники, включающие аффективные нарушения (раздражительность, головную боль, страх) и ауру (соматосенсорную, слуховую, зрительную, вкусовую, обонятельную, психическую).
При «большом» (генерализованном) припадке ребенок, страдающий эпилепсией, внезапно теряет сознание и падает со стоном или криком. Тоническая фаза приступа длится несколько секунд и сопровождается напряжением мускулатуры: запрокидыванием головы, сжиманием челюстей, апноэ, цианозом лица, расширением зрачков, сгибанием рук в локтях, вытяжением ног. Затем тоническая фаза сменяется клоническими судорогами, которые длятся 1-2 минуты. В клоническую фазу приступа отмечается шумное дыхание, выделение пены изо рта, нередко - прикусывание языка, непроизвольное мочеиспускание и дефекация. После стихания судорог дети обычно не реагируют на окружающие раздражители, засыпают и приходят в себя в состоянии амнезии.
«Малые» припадки (абсансы) у детей, страдающих эпилепсией, характеризуются кратковременным (на 4-20 секунд) выключением сознания: замиранием взгляда, остановкой движений и речи с последующим продолжением прерванной деятельности и амнезией. При сложных абсансах могут иметь место моторные феномены (миоклонические подергивания, закатывание глазных яблок, сокращения мышц лица), вазомоторные нарушения (покраснение или побледнение лица, саливация, потливость), двигательные автоматизмы. Приступы абсансов повторяются ежедневно и с большой частотой.
Простые фокальные припадки при эпилепсии у детей могут сопровождаться подергиваниями отдельных мышечных групп; необычными ощущениями (слуховыми, зрительными, вкусовыми, соматосенсорными); приступами головных и абдоминальных болей, тошнотой, тахикардией, потливостью, повышением температуры; психическими нарушениями.
Осложнения
Длительное течение эпилепсии приводит к изменению нервно-психического статуса детей: у многих из них наблюдается синдром гиперактивности и дефицита внимания, трудности в обучении, нарушения поведения. Некоторые формы эпилепсии у детей протекают со снижением интеллекта.
Диагностика
Современный подход к диагностике эпилепсии у детей основывается на тщательном изучении анамнеза, оценке неврологического статуса, проведении инструментальных и лабораторные исследований. Детскому неврологу или эпилептологу необходимо знать частоту, продолжительность, время возникновения приступов, наличие и характер ауры, особенности течения припадка, постприступного и межприступного периодов. Особое внимание обращается на наличие перинатальной патологии, раннего органического поражения мозга у детей, эпилепсии у родственников. Инструментальная диагностика:
- Электроэнцефалография. Проводится с целью определения участка повышенной возбудимости в головном мозге и формы эпилепсии. Типичным для эпилепсии у детей служит наличие ЭЭГ-знаков: пиков, острых волн, комплексов «пик-волна», пароксизмальных ритмов. Поскольку эпилептические феномены не всегда обнаруживаются в покое, нередко возникает необходимость записи ЭЭГ с функциональными пробами (световой стимуляцией, гипервентиляцией, депривацией сна, фармакологическими пробами и т. д.) ночного ЭЭГ-мониторинга или длительного ЭЭГ-видеомониторинга, увеличивающих вероятность выявления патологических изменений.
- Методы нейровизуализации. Для определения морфологического субстрата эпилепсии у детей проводится рентгенография черепа, КТ, МРТ, ПЭТ головного мозга.
- ЭФИ сердца. С целью исключения пароксизмов кардиогенного происхождения выполняется электрокардиография и суточное мониторирование ЭКГ ребенку.
- Лабораторная диагностика. Для выяснения этиологического характера эпилепсии у детей может потребоваться исследование биохимических и иммунологических маркеров крови, проведение люмбальной пункции с исследованием цереброспинальной жидкости, определение хромосомного кариотипа.
Эпилепсию необходимо дифференцировать с судорожным синдромом у детей, спазмофилией, фебрильными судорогами и другими эпилептиформными приступами.
Лечение эпилепсии у детей
Первая помощь при эпилептическом приступе
Родители детей, страдающих эпилепсией, должны уметь оказать ребенку неотложную помощь при эпилептическом припадке. При возникновении предвестников приступа следует уложить ребенка на спину, освободив от тесной одежды и обеспечив свободный доступ воздуха. Во избежание западания языка и аспирации слюны голову ребенка необходимо повернуть набок. С целью купирования длительных судорог возможно ректальное введение диазепама (в виде суппозиториев, раствора).
Консервативная терапия
При организации режима ребенка, больного эпилепсией, следует избегать перегрузок, волнений, в отдельных случаях - длительной инсоляции, просмотра телевизора или работы за компьютером.
Детям, страдающим эпилепсией, необходима длительная (иногда пожизненная) терапия индивидуально подобранными противосудорожными препаратами. Антиконвульсанты назначаются в режиме монотерапии с постепенным наращиванием дозы до достижения контроля над приступами. Традиционно для лечения эпилепсии у детей используются различные производные вальпроевой кислоты, карбамазепин, фенобарбитал, бензодиазепины (диазепам), а также антиконвульсанты нового поколения (ламотриджин, топирамат, окскарбазепин, леветирацетам и др.). При неэффективности монотерапии по назначению врача подбирается дополнительный противоэпилептический препарат.
Из немедикаментозных методов лечения эпилепсии у детей может применяться психотерапия, БОС-терапия. Положительно зарекомендовали себя при эпилепсии у детей, резистентной к противосудорожным препаратам, такие альтернативные методы, как гормональная терапия (АКТГ), кетогенная диета, иммунотерапия.
Нейрохирургическое лечение
Нейрохирургические методы лечения эпилепсии у детей пока не нашли широкого применения. Тем не менее, имеются сведения об успешном хирургическом лечении резистентных к терапии форм эпилепсии у детей посредством гемисферэктомии, передней темпоральной лобэктомии, экстратемпоральной неокортикальной резекции, ограниченной темпоральной резекции, стимуляции блуждающего нерва с помощью имплантируемых устройств. Отбор пациентов для оперативного лечения проводится коллегиально с участием нейрохирургов, детских неврологов, психологов с тщательной оценкой возможных рисков и предполагаемой эффективности вмешательства.
Прогноз
Успехи современной фармакотерапии эпилепсии позволяют добиться полного контроля над приступами у большинства детей. При регулярном приеме противоэпилептических препаратов дети и подростки с эпилепсией могут вести обычный образ жизни. При достижении полной ремиссии (отсутствии приступов и нормализации ЭЭГ) через 3-4 года врач может постепенно полностью отменить прием антиэпилептических препаратов. После отмены у 60% пациентов приступы в дальнейшем не возобновляются.
Менее благоприятный прогноз имеет эпилепсия у детей, характеризующаяся ранним дебютом приступов, эпилептическими статусами, снижением интеллекта, отсутствием эффекта от приема базовых лекарственных препаратов.
Профилактика
Профилактика эпилепсии у детей должна начинаться еще во время планирования беременности и продолжаться после рождения ребенка. В случае развития заболевания необходимо раннее начало лечения, соблюдении схемы терапии и рекомендованного образа жизни, наблюдение ребенка у эпилептолога. Педагоги, работающие с детьми, страдающими эпилепсией, должны быть информированы о заболевании ребенка и о мерах оказания первой помощи при эпилептических приступах.
Детская абсансная эпилепсия
Детская абсансная эпилепсия - форма идиопатической генерализованной эпилепсии, встречающаяся у детей дошкольного и младшего школьного возраста, с характерной симптоматикой в виде абсансов и патогномоничными признаками на электроэнцефалограмме. Проявляется внезапными и кратковременными выключениями сознания, чаще в дневное время, без влияния на неврологический статус и интеллект ребенка. Детская абсансная эпилепсия диагностируется клинически по типичной картине пароксизма с подтверждением при ЭЭГ-исследовании. Пациенты нуждаются в проведении специфической терапии противоэпилептическими препаратами.
Детская абсансная эпилепсия (ДАЭ) составляет около 20% всех случаев эпилепсии у детей до 18 лет. Дебют заболевания приходится на возраст от 3 до 8 лет, частота встречаемости патологии несколько выше у девочек. Еще в 1789 году Тиссот описал абсанс как симптом. Подробное описание ЭЭГ-картины абсанса было представлено в 1935 году. Именно это позволило достоверно отнести данный вид пароксизмов к группе эпилептических синдромов, однако в отдельную нозологическую форму детская абсансная эпилепсия была выделена лишь в 1989 году. Заболевание остается актуальным для педиатрии, поскольку родители часто могут не замечать наличие абсансов у ребенка и долгое время списывать такое состояние на невнимательность. В связи с этим поздно начатое лечение может привести к развитию резистентных форм ДАЭ.
Причины детской абсансной эпилепсии
Заболевание развивается под влиянием комплекса причин и провоцирующих факторов. Изначально происходит деструкция вещества мозга в результате воздействия различных факторов в период до родов, травм и гипоксии в родах, а также в постнатальном периоде. В 15-40% случаев имеет место наследственная отягощенность. Также доказано влияние гипогликемии, митохондриальных нарушений (в том числе болезнь Альперса) и болезней накопления. Так или иначе, изменяются параметры возбудимости отдельных корковых нейронов, что приводит к формированию первичного очага эпилептической активности. Такие клетки способны генерировать импульсы, вызывающие приступы с характерной клинической картиной, различной в зависимости от локализации этих клеток.
Симптомы детской абсансной эпилепсии
Детская абсансная эпилепсия дебютирует в возрасте 4-10 лет (пик заболеваемости - 3-8 лет). Проявляется в виде пароксизмов со специфической клинической картиной. Приступ (абсанс) всегда начинается внезапно и так же неожиданно заканчивается. Во время приступа ребенок будто застывает. Он не реагирует на обращенную к нему речь, взгляд устремлен в одну сторону. Внешне это часто может выглядеть так, будто ребенок просто задумался о чем-то. Средняя продолжительность абсанса составляет примерно 10-15 секунд. Весь период приступа амнезируется, как правило, полностью. Состояние слабости, сонливости после пароксизма отсутствует. Такой вид приступа называется простым абсансом и изолированно встречается примерно у трети пациентов.
Гораздо чаще в структуре абсанса присутствуют дополнительные элементы. Может добавляться тонический компонент, обычно в виде запрокидывания головы назад или закатывания глаз. Атонический компонент в клинике приступа проявляется выпадением предметов из рук и кивками. Часто присоединяются автоматизмы, например, поглаживание рук, облизывание, причмокивание, повторение отдельных звуков, реже слов. Такой вид пароксизма называется сложным абсансом. И простые, и сложные абсансы относятся к типичным в клинике детской абсансной эпилепсии, однако изредка возможны атипичные проявления, когда сознание утрачивается постепенно и не полностью, приступ более продолжительный, а после него отмечается слабость и сонливость. Это признаки неблагоприятного течения заболевания.
Для ДАЭ характерна высокая частота пароксизмов - несколько десятков-сотен раз в сутки, обычно в дневное время. Приступы часто провоцируются гипервентиляцией, иногда встречается фотосенсибилизация. Примерно в 30-40% случаев также имеют место генерализованные судорожные припадки с потерей сознания и тонико-клоническими судорогами. Часто такая форма приступа может даже предшествовать появлению типичных абсансов. Несмотря на это, детская абсансная эпилепсия считается доброкачественной, поскольку отсутствуют неврологические изменения и какое-либо влияние на интеллект ребенка. Вместе с этим примерно у четверти детей встречается синдром дефицита внимания с гиперактивностью.
Диагностика детской абсансной эпилепсии
Постановка диагноза основывается в первую очередь на клинической картине заболевания. Симптомы детской абсансной эпилепсии достаточно специфичны, поэтому диагностика, как правило, не вызывает затруднений. Педиатр может заподозрить заболевание, если родители жалуются на невнимательность, частую задумчивость ребенка, либо ребенок не справляется со школьной программой. Осмотр детского невролога позволяет собрать тщательный анамнез, в том числе семейный и ранний неонатальный, когда могли иметь место травмы или другие факторы развития детской абсансной эпилепсии. Также при осмотре исключаются неврологические симптомы и выявляется примерное соответствие интеллекта возрастной норме. Для этих целей возможно проведение дополнительных тестов. Иногда удается визуально зарегистрировать сам приступ.
Обязательно проведение электроэнцефалографии. Еще недавно именно ЭЭГ-исследование подтверждало диагноз детской абсансной эпилепсии, однако накопленный опыт показал, что изменения на электроэнцефалограмме могут отсутствовать, хоть и в редких случаях. Одновременно с этим возможно наличие очага при полном отсутствии симптоматики. Тем не менее, ЭЭГ-диагностика является обязательной и проводится в 100% случаев. Патогномоничные изменения на электроэнцефалограмме - регулярные комплексы пик-волна частотой от 2,5 до 4 Гц (чаще 3 Гц), примерно у трети детей регистрируется биокципитальное замедление, реже встречается дельта-активность в затылочных долях при закрывании глаз.
Другие исследования (КТ, МРТ головного мозга) для постановки диагноза детской абсансной эпилепсии не показаны, однако могут проводиться с целью исключения симптоматической эпилепсии, когда причиной приступа может являться опухоль, киста, энцефалит, туберкулезное поражение головного мозга, дисциркуляторные нарушения и др.
Лечение детской абсансной эпилепсии
Для предупреждения абсансов показана лекарственная терапия, обычно речь идет о монотерапии. Препаратами выбора для детей являются сукцинимиды. При наличии генерализованных тонико-клонических пароксизмов предпочтительно использовать препараты вальпроевой кислоты. Лечение назначается строго неврологом или эпилептологом, когда достоверно подтвержден диагноз «детская абсансная эпилепсия». Отмена препаратов рекомендуется после трех лет стойкой ремиссии, то есть отсутствия клинических проявлений. Если имеют место тонико-клонические припадки, для окончания лечения рекомендуется выдержать минимум 4 года ремиссии. Противопоказано применение барбитуратов и группы производных карбоксамида.
Прогноз детской абсансной эпилепсии благоприятный. Полное выздоровление наступает в 90-100% случаев. Редко встречаются атипичные и резистентные к лечению формы, а также «трансформация» заболевания в юношеские формы идиопатической эпилепсии. Профилактика наследственно обусловленных случаев детской абсансной эпилепсии отсутствует. Общие мероприятия заключаются в предупреждении осложнений беременности у матери, родовых травм новорожденных и травматизма в раннем детском возрасте.
Эпилепсия
Эпилепсия — это состояние, характеризующееся повторными (более двух) эпилептическими приступами, не спровоцированными какими-либо немедленно определяемыми причинами. Эпилептический приступ — клиническое проявление аномального и избыточного разряда нейронов мозга, вызывающего внезапные транзиторные патологические феномены (чувствительные, двигательные, психические, вегетативные симптомы, изменения сознания). Следует помнить, что несколько спровоцированных или обусловленных какими-либо отчетливыми причинами (опухоль мозга, ЧМТ) эпилептических приступов не свидетельствуют о наличии у пациента эпилепсии.
Эпилепсия — состояние, характеризующееся повторными (более двух) эпилептическими приступами, не спровоцированными какими-либо немедленно определяемыми причинами. Эпилептический приступ — клиническое проявление аномального и избыточного разряда нейронов мозга, вызывающего внезапные транзиторные патологические феномены (чувствительные, двигательные, психические, вегетативные симптомы, изменения сознания). Следует помнить, что несколько спровоцированных или обусловленных какими-либо отчетливыми причинами (опухоль мозга, ЧМТ) эпилептических приступов не свидетельствуют о наличии у пациента эпилепсии.
Согласно международной классификации эпилептических приступов выделяют парциальные (локальные, фокальные) формы и генерализированную эпилепсию. Приступы фокальной эпилепсии подразделяют на: простые (без нарушений сознания) — с моторными, соматосенсорными, вегетативными и психическими симптомами и сложные — сопровождаются нарушением сознания. Первично-генерализованные приступы происходят с вовлечением в патологический процесс обоих полушарий мозга. Типы генерализированных приступов: миоклонические, клонические, абсансы, атипичные абсансы, тонические, тонико-клонические, атонические.
Существуют неклассифицированные эпилептические приступы — не подходящие ни под один из вышеописанных видов приступов, а также некоторые неонатальные приступы (жевательные движения, ритмичные движения глаз). Выделяют также повторные эпилептические приступы (провоцируемые, циклические, случайные) и длительные приступы (эпилептический статус).
Симптомы эпилепсии
В клинической картине эпилепсии выделяют три периода: иктальный (период приступа), постиктальный (постприступный) и интериктальный (межприступный). В постиктальном периоде возможно полное отсутствие неврологической симптоматики (кроме симптомов заболевания, обусловливающего эпилепсию — черепно-мозговая травма, геморрагический или ишемический инсульт и др.).
Выделяют несколько основных видов ауры, предваряющей сложный парциальный приступ эпилепсии — вегетативную, моторную, психическую, речевую и сенсорную. К наиболее частым симптомам эпилепсии относятся: тошнота, слабость, головокружение, ощущение сдавления в области горла, чувство онемения языка и губ, боли в груди, сонливость, звон и/или шум в ушах, обонятельные пароксизмы, ощущение комка в горле и др. Кроме того, сложные парциальные приступы в большинстве случаев сопровождаются автоматизированными движениями, кажущимися неадекватными. В таких случаях контакт с пациентом затруднен либо невозможен.
Вторично-генерализированный приступ начинается, как правило, внезапно. После нескольких секунд, которые длится аура (у каждого пациента течение ауры уникально), пациент теряет сознание и падает. Падение сопровождается своеобразным криком, который обусловлен спазмом голосовой щели и судорожным сокращением мышц грудной клетки.
Далее наступает тоническая фаза приступа эпилепсии, названная так по типу судорог. Тонические судороги — туловище и конечности вытягиваются в состоянии сильнейшего напряжения, голова запрокидывается и/или поворачивается в сторону, контралатеральную очагу поражения, дыхание задерживается, набухают вены на шее, лицо становится бледным с медленно нарастающим цианозом, челюсти плотно сжаты. Продолжительность тонической фазы приступа — от 15 до 20 секунд.
Затем наступает клоническая фаза приступа эпилепсии, сопровождающаяся клоническими судорогами (шумное, хриплое дыхание, пена изо рта). Клоническая фаза продолжается от 2 до 3 минут. Частота судорог постепенно снижается, после чего наступает полное мышечное расслабление, когда пациент не реагирует на раздражители, зрачки расширены, реакция их на свет отсутствует, защитные и сухожильные рефлексы не вызываются.
Наиболее распространенные типы первично-генерализированных приступов, отличающихся вовлечением в патологический процесс обоих полушарий мозга — тонико-клонические приступы и абсансы. Последние чаще наблюдаются у детей и характеризуются внезапной кратковременной (до 10 секунд) остановкой деятельности ребенка (игры, разговор), ребенок замирает, не реагирует на оклик, а через несколько секунд продолжает прерванную деятельность. Пациенты не осознают и не помнят припадков. Частота абсансов может достигать нескольких десятков в сутки.
Диагностирование эпилепсии должно основываться на данных анамнеза, физикальном обследовании пациента, данных ЭЭГ и нейровизуализации (МРТ и КТ головного мозга). Необходимо определить наличие или отсутствие эпилептических приступов по данным анамнеза, клинического осмотра пациента, результатам лабораторных и инструментальных исследований, а также дифференцировать эпилептические и иные приступы; определить тип эпилептических приступов и форму эпилепсии; ознакомить пациента с рекомендациями по режиму, оценить необходимость медикаментозной терапии, ее характер и вероятность хирургического лечения. Несмотря на то, что диагностика эпилепсии основывается, прежде всего, на клинических данных, следует помнить, что при отсутствии клинических признаков эпилепсии данный диагноз не может быть поставлен даже при наличии выявленной на ЭЭГ эпилептиформной активности.
Диагностикой эпилепсии занимаются неврологи и эпилептологи. Основным методом обследования пациентов с диагнозом «эпилепсия» является ЭЭГ, которая не имеет противопоказаний. ЭЭГ проводят всем без исключения пациентам в целях выявления эпилептической активности. Чаще других наблюдаются такие варианты эпилептической активности, как острые волны, спайки (пики), комплексы «пик — медленная волна», «острая волна — медленная волна». Современные методы компьютерного анализа ЭЭГ позволяют определить локализацию источника патологической биоэлектрической активности. При проведении ЭЭГ во время приступа эпилептическая активность регистрируется в большинстве случаев, в интериктальном периоде ЭЭГ нормальная у 50% пациентов.
На ЭЭГ в сочетании с функциональными пробами (фотостимуляция, гипервентиляция) изменения выявляют в большинстве случаев. Необходимо подчеркнуть, что отсутствие эпилептической активности на ЭЭГ (с применением функциональных проб или без них) не исключает наличие эпилепсии. В таких случаях проводят повторное обследование либо видеомониторинг проведенной ЭЭГ.
В диагностике эпилепсии наибольшую ценность среди нейровизуализационных методов исследования представляет МРТ головного мозга, проведение которой показано всем пациентам с локальным началом эпилептического припадка. МРТ позволяет выявить заболевания, повлиявшие на провоцированный характер приступов (аневризма, опухоль) либо этиологические факторы эпилепсии (мезиальный темпоральный склероз). Пациентам с диагнозом «фармакорезистетная эпилепсия» в связи с последующим направлением на хирургическое лечение также проводят МРТ для определения локализации поражения ЦНС. В ряде случаев (пациенты преклонного возраста) необходимо проведение дополнительных исследований: биохимический анализ крови, осмотр глазного дна, ЭКГ.
Приступы эпилепсии необходимо дифференцировать с другими пароксизмальными состояниями неэпилептической природы (обмороки, психогенные приступы, вегетативные кризы).
Лечение эпилепсии
Все методы лечения эпилепсии направлены на прекращение приступов, улучшение качества жизни и прекращение приема лекарственных средств (на стадии ремиссии). В 70% случаев адекватное и своевременное лечение приводит к прекращению приступов эпилепсии. Прежде чем назначать противоэпилептические препараты необходимо провести детальное клиническое обследование, проанализировать результаты МРТ и ЭЭГ. Пациент и его семья должны быть проинформированы не только о правилах приема препаратов, но и о возможных побочных эффектах. Показаниями к госпитализации являются: впервые в жизни развившийся эпилептический приступ, эпилептический статус и необходимость хирургического лечения эпилепсии.
Одним из принципов медикаментозного лечения эпилепсии является монотерапия. Препарат назначают в минимальной дозе с последующим ее увеличением до прекращения приступов. В случае недостаточности дозы необходимо проверить регулярность приема препарата и выяснить, достигнута ли максимально переносимая доза. Применение большинства противоэпилептических препаратов требует постоянного мониторинга их концентрации в крови. Лечение прегабалином, леветирацетамом, вальпроевой кислотой начинают с клинически эффективной дозы, при назначении ламотриджина, топирамата, карбамазепина необходимо проводить медленное титрование дозы.
При назначении того или иного противоэпилептического препарата следует стремиться к минимально возможной частоте его приема (до 2 раз/сутки). За счет стабильной концентрации в плазме препараты пролонгированного действия более эффективны. Доза препарата, назначенная пожилому пациенту, создает более высокую концентрацию в крови, чем аналогичная доза препарата, назначенная пациенту молодого возраста, поэтому необходимо начинать лечение с малых доз с последующим их титрованием. Отмену препарата проводят постепенно, учитывая форму эпилепсии, ее прогноз и возможность возобновления приступов.
Хирургическое лечение
Фармакорезистентные эпилепсии (продолжающиеся приступы, неэффективность адекватного противоэпилептического лечения) требуют дополнительного обследования пациента для решения вопроса о оперативном лечении. Предоперационное обследование должно включать в себя видео-ЭЭГ регистрацию приступов, получение достоверных данных о локализации, анатомических особенностях и характере распространения эпилептогенной зоны (МРТ).
На основе результатов вышеперечисленных исследований определяется характер оперативного вмешательства: хирургическое удаление эпилептогенной ткани мозга (кортикальная топэтомия, лобэктомия, гемисферэктомия, мультилобэктомия); селективная операция (амигдало-гиппокампэктомия при височной эпилепсии); каллозотомия и функциональное стереотаксическое вмешательство; вагус-стимуляция.
Существуют строгие показания к каждому из вышеперечисленных хирургических вмешательств. Их проведение возможно только в специализированных нейрохирургических клиниках, располагающих соответствующей техникой, и при участии высококвалифицированных специалистов (нейрохирурги, нейрорадиологи, нейропсихологии, нейрофизиологи и др.).
Прогноз и профилактика
Прогноз на трудоспособность при эпилепсии зависит от частоты приступов. На стадии ремиссии, когда приступы возникают все реже и в ночное время, трудоспособность пациента сохраняется (в условиях исключения работы в ночную смену и командировок). Дневные приступы эпилепсии, сопровождающиеся потерей сознания, ограничивают трудоспособность пациента.
Эпилепсия оказывает влияние на все стороны жизни пациента, поэтому является значимой медико-социальной проблемой. Одна из граней этой проблемы — скудость знаний об эпилепсии и связанная с этим стигматизация пациентов, суждения которых о частоте и выраженности психических нарушений, сопровождающих эпилепсию, зачастую необоснованны. Подавляющее большинство пациентов, получающих правильное лечение, ведут обычный образ жизни без приступов.
Профилактика эпилепсии предусматривает возможное предотвращение ЧМТ, интоксикаций и инфекционных заболеваний, предупреждение возможных браков между больными эпилепсией, адекватное снижение температуры у детей с целью предотвращения лихорадки, последствием которой может стать эпилепсия.
Эпилепсия у детей: диагностика и лечение
Первые упоминания об эпилепсии относятся еще ко временам древнего Вавилона. Более века назад Джон Хьюлингс Джексон определил эпилепсию как «периодически возникающие излишние и беспорядочные разряды нервной ткани». Согласно современному определению, эпилепсия — это состояния, характеризующиеся повторными, относительно стереотипными припадками [1]. Термином «эпилепсия» объединяют целую группу болезней, проявляющихся повторными пароксизмальными приступами.
Эпилепсия — самое частое из серьезных пароксизмальных расстройств функций мозга. Ее распространенность, по данным официальной статистики, зависит от включения в число установленных диагнозов так называемых «единичных» (или изолированных) судорог, бессудорожных приступов, а также фебрильных судорог. На долю последних, как указывал еще 35 лет назад J. G. Millichap, может приходиться до 2% всех заболеваний в детском возрасте [2]. В настоящее время считается, что в общей популяции распространенность эпилепсии составляет 0,3—2%, а среди детей — 0,7—1% [3, 4, 5].
При рассмотрении этиологии и патогенеза эпилепсии у пациентов любого возраста немалая роль отводится наличию наследственной или приобретенной предрасположенности к болезни. Большое значение имеют разнообразные экзогенные воздействия (включая перенесенные вирусные, бактериальные и смешанные инфекции, черепно-мозговые травмы и т. д.).
Считается, что эпилептическая активность сама по себе обусловлена нарушениями метаболизма в синапсах и митохондриях, приводящими к так называемой «эпилептизации» нейронов в различных структурах головного мозга (наиболее к этому предрасположенных). Это происходит посредством синаптической и несинаптической активации с вовлечением в патологический процесс все новых образований центральной нервной системы [3, 4].
Подходы к классификации эпилепсии у детей базируются на использовании общих критериев, принятых в 1981 году в городе Киото (Япония). Выделяют следующие заболевания:
- с парциальными (фокальными, локальными) припадками (простыми парциальными, сложными парциальными, парциальными со вторичной генерализацией);
- с генерализованными припадками (абсансами — типичными и атипичными, миоклоническими припадками, клоническими, тоническими, тонико-клоническими, атоническими);
- неклассифицируемыми эпилептическими припадками.
Американские неврологи J. H. Menkes и R. Sankar предлагают различать первичную (идиопатическую), вторичную (симптоматическую) и реактивную эпилепсии. Для всех перечисленных эпилепсий могут быть характерны генерализованные или парциальные (фокальные) приступы [1].
Кроме того, на сегодняшний день активно используется классификация эпилепсий, эпилептических синдромов и схожих заболеваний, принятая Международной лигой по борьбе с эпилепсией (1989) в г. Нью-Дели (Индия). Эта классификация предусматривает наличие следующих рубрик.
1. Локализационно-обусловленные формы (очаговые, фокальные, локальные, парциальные). 1.1. Идиопатические (с возрастзависимым началом): доброкачественная эпилепсия детского возраста с центрально-височными пиками (роландическая); эпилепсия детского возраста с затылочными пароксизмами; первичная эпилепсия чтения. 1.2. Симптоматические: хроническая прогрессирующая парциальная эпилепсия Кожевникова; приступы, характеризующиеся специфическими способами провокации; другие формы эпилепсии с известной этиологией или органическими изменениями в мозге (лобная, височная, теменная, затылочная). 1.3. Криптогенные.
2. Генерализованные формы эпилепсии. 2.1. Идиопатические (с возрастзависимым началом): доброкачественные семейные судороги новорожденных; доброкачественные судороги новорожденных; доброкачественная миоклоническая эпилепсия младенческого возраста; абсансная эпилепсия детская (пикнолепсия); абсансная эпилепсия юношеская; юношеская миоклоническая эпилепсия; эпилепсия с генерализованными судорожными приступами пробуждения; другие идиопатические генерализованные формы эпилепсии, не названные выше; формы, характеризующиеся специфическими способами провокации (чаще — фотосенситивная эпилепсия). 2.2 Криптогенные и/или симптоматические: синдром Веста (инфантильные спазмы); синдром Леннокса—Гасто; эпилепсия с миоклонически-астатическими приступами; эпилепсия с миоклоническими абсансами. 2.3. Симптоматические. 2.3.1. Неспецифической этиологии: ранняя миоклоническая энцефалопатия; ранняя младенческая эпилептическая энцефалопатия с паттерном «вспышка-угнетение» на ЭЭГ (синдром Отахара); другие симптоматические генерализованные формы эпилепсии, не названные выше. 2.3.2. Специфические синдромы.
3. Эпилепсии, не имеющие четкой классификации, как парциальные так и генерализованные. 3.1. Имеющие как генерализованные, так и парциальные проявления: судороги новорожденных; тяжелая миоклоническая эпилепсия раннего детского возраста; эпилепсия с непрерывными пик-волнами во время медленного сна; приобретенная эпилептическая афазия (синдром Ландау — Клеффнера); другие неклассифицируемые формы эпилепсии, не определенные выше. 3.2. Приступы, не имеющие четких генерализованных или парциальных признаков.
4. Специфические синдромы. 4.1. Ситуационно обусловленные приступы: фебрильные судороги; приступы, возникающие только по причине острых метаболических или токсических нарушений. 4.2. Изолированные приступы или изолированный эпилептический статус.
Клинические проявления эпилепсии у детей характеризуются многообразием. В этой связи имеет смысл рассмотреть лишь некоторые особенности эпилептических припадков, возникающих в детском возрасте.
Прежде всего, следует отметить, что у детей первого года жизни, в силу преимущественного функционирования стволовых структур мозга, обычно отмечаются тонические припадки, клонический же компонент приступа формируется в более старшем возрасте.
При генерализованных припадках дети обычно внезапно теряют сознание и падают, издавая стон или крик. Наступает тоническая фаза припадка, сопровождаемая резким напряжением всей мускулатуры: запрокидывание головы назад, цианоз лица с гримасой страха, расширение зрачков с отсутствием реакции на свет, сжимание челюстей, сгибание рук в локтевых суставах, сжимание кулаков, вытягивание нижних конечностей. Далее следует клоническая фаза: судороги верхних и нижних конечностей, головы, иногда происходят непроизвольное мочеиспускание и дефекация. Постепенно судороги становятся более редкими и менее выраженными (мускулатура расслабляется, снижаются сухожильные рефлексы). Дети перестают реагировать на окружающее, засыпают (или же приходят в сознание в состоянии полной амнезии).
Абсансы (так называемые «малые» припадки) проявляются кратковременной (в течение нескольких секунд) потерей сознания с последующей амнезией. При этом судороги и другие двигательные нарушения могут отсутствовать, хотя нередко наблюдаются моторные феномены различной продолжительности, отдельные миоклонические судороги, элементарные автоматизмы, вегетовисцеральные или вазомоторные нарушения.
Миоклонические судороги (инфантильные спазмы) характеризуются наличием своеобразных спазмов (преимущественно сгибательного типа), прогрессирующим течением, а также специфическими изменениями на электроэнцефалограмме (в виде гипсаритмии).
Проявления парциальных приступов у детей зависят от сохранности сознания во время припадка (простые парциальные припадки происходят без нарушения сознания, сложные же парциальные протекают в виде джексоновских судорог, адверсивных приступов и т. д. при нарушениях сознания).
Современные принципы диагностики эпилепсии у детей и подростков предполагают широкое использование таких методов, как электроэнцефалография (ЭЭГ), компьютерная томография (КТ), магнитно-резонансная томография (МРТ). При необходимости используют ЭЭГ-видеомониторинг, позитронно-эмиссионную томографию (ПЭТ), а также целый ряд биохимических, иммунологических и прочих специальных методов исследования. Диагноз эпилепсии считается подтвержденным при сочетании имеющихся у детей пароксизмальных приступов и специфических (эпилептиформных) изменений при проведении ЭЭГ-исследования.
Лечение эпилепсии у детей.
Общие принципы терапии эпилепсии включают: 1) соблюдение общего и пищевого режима; 2) терапию антиконвульсантами и дополнительное индивидуальное медикаментозное лечение; 3) нейрохирургические методы; 4) психотерапевтические методы.
При назначении детям с эпилепсией антиконвульсантов следует придерживаться следующих основных принципов.
- Выбор препарата определяется типом приступов и потенциальной токсичностью препарата.
- Лечение следует начинать с назначения одного препарата, увеличивая его дозу до тех пор, пока приступы не прекратятся (или не проявится токсическое действие препарата). Если назначенное средство не позволяет осуществлять контроль над приступами, его постепенно отменяют (по мере назначения другого препарата и увеличения его дозы).
Еще 20 лет назад E. H. Reynolds и S. D. Shovron указывали, что переход с политерапии на монотерапию позволяет лучше контролировать судороги и улучшить показатели интеллектуального развития (когнитивные функции) у пациентов [6]. До них R. A. Hanson и J. H. Menkes провели сравнительный анализ эффективности моно- и политерапии. При этом оказалось, что лишь примерно в четверти случаев одного антиконвульсанта было недостаточно для контроля над судорогами и требовалось назначение второго препарата [7].
- Изменять дозировку препарата (препаратов) следует постепенно, обычно не чаще чем раз в 5—7 дней.
- Маловероятно, что контроль над приступами будет достигнут при использовании менее известного средства, в случае если препарат первого выбора не подошел. Зато вероятность возникновения необычных побочных реакций при назначении нового или редко используемого препарата весьма велика.
- Добившись контроля над приступами, следует проводить терапию назначенным препаратом в течение длительного времени.
- У пациентов, принимающих препараты вальпроевой кислоты, фенобарбитал, фенитоин, карбамазепин и этосуксимид, чрезвычайно важны достигнутые уровни (концентрация) антиконвульсантов в крови. Эти концентрации следует часто мониторировать, особенно у тех пациентов, которые не отвечают адекватно на проводимую терапию или демонстрируют признаки выраженной лекарственной интоксикации.
- Известно, что на фоне лечения антиконвульсантами нередко развиваются гематологическая патология и нарушения функции печени, которой предшествует так называемая «асимптоматическая» фаза, выявляемая при использовании лабораторных и инструментальных методов. В связи с этим предлагается проведение рутинных исследований крови (общий и биохимический анализы) и оценки состояния печени (ультразвуковое исследование и т. д.). В то же время некоторые американские исследователи указывают на то, что если каждого пациента, получающего антиконвульсанты, обследовать в полном объеме, то стоимость терапии эпилепсии станет поистине астрономической [8].
- Антиэпилептические препараты всегда нужно отменять с осторожностью и постепенно. Резкая отмена препарата, особенно если речь идет о барбитуратах, является наиболее распространенной причиной развития эпилептического статуса [1].
Медикаментозное лечение эпилепсии.
Для лечения различных видов эпилепсии у детей используется свыше 20 препаратов. Среди основных лекарственных средств следует упомянуть (в алфавитном порядке): адренокортикотропный гормон (АКТГ), ацетазоламид, бензобарбитал, бромиды, вальпроевая кислота (различные соли), вигабатрин, габапентин, диазепам, карбамазепин, клоназепам, ламотриджин, мидазолам, нитразепам, примидон, тиагабин, топирамат, фенитоин (дифенин), фенобарбитал, этосуксимид и др. [9, 10]. Отметим, что к числу наиболее распространенных противоэпилептических препаратов в России относятся вальпроевая кислота (депакин, депакин-хроно, конвульсофин, конвулекс и др.), карбамазепин (финлепсин, финлепсин ретард, тегретол, тегретол ЦР и др.), а также фенобарбитал (люминал, глюферал, паглюферал и др.). Два первых лекарственных средства выпускаются как в традиционных, так и в пролонгированных («хроно») формах, применение которых позволяет уменьшить кратность приема препаратов и избегать многих побочных эффектов, связанных с их использованием.
Диазепам (седуксен) и мидазолам (дормикум) являются основными средствами для лечения всех форм эпилептического статуса.
Как уже упоминалось, немедикаментозное лечение эпилептических синдромов сводится к назначению так называемой «кетогенной» диеты или в ряде случаев к проведению нейрохирургических операций, а также сеансов психотерапии.
Кетогенная диета.
Несмотря на появление новых, высокоэффективных антиконвульсантов, кетогенная диета, основанная на воспроизведении состояний кетоза и ацидоза при голодании, представляет собой вполне реальную альтернативу медикаментозному лечению при синдроме Леннокса—Гасто и других резистентных к терапии эпилептических синдромов. Механизм контроля за припадками при использовании данного метода диетотерапии остается неясным. Тем не менее в 90-х годах XX века популярность кетогенных диет в ряде стран значительно возросла [11]. Указанная диета считается особенно эффективной при лечении детей в возрасте 2—5 лет с малыми моторными припадками (у детей более старшего возраста сложно поддерживать состояние кетоза) [1]. В РФ кетогенные диеты пока используются чрезвычайно редко.
Нейрохирургические методы лечения эпилепсии.
К сожалению, приходится констатировать, что в Российской Федерации нейрохирургические операции пока что не нашли широкого применения в лечении эпилепсии у детей. Тем не менее имеются данные, свидетельствующие об эффективности гемисфероэктомии при синдроме Расмуссена (хронический фокальный энцефалит) [1]. В современной мировой литературе также сообщается об использовании следующих видов нейрохирургических операций при различных резистентных к лечению эпилептических синдромах: передняя темпоральная лобэктомия; ограниченная темпоральная резекция, а также экстратемпоральная неокортикальная резекция [12, 13, 14].
Отдельное место среди хирургических методов лечения занимает стимуляция блуждающего нерва [15].
Эпилептический приступ может развиться у любого ребенка и в любое время. Об этом необходимо помнить, так как качество жизни пациентов может значительно ухудшиться вследствие многочисленных ограничений, связанных со спецификой болезни (касающихся физических нагрузок, занятий спортом, просмотра кино- и видеофильмов, ТВ, компьютерных игр и т. д.). Однако в промежутках между приступами, если исключить необходимость постоянного приема противоэпилептических препаратов, дети и подростки с эпилепсией ведут обычный образ жизни. Поэтому все усилия врачей должны быть направлены на максимальное сокращение числа припадков посредством назначения средств, обладающих минимальными побочными эффектами.
Читайте также:
