Физиологическое расширение воротникового пространства. Скрининг плода на пороки сердца по воротниковому пространству
Добавил пользователь Евгений Кузнецов Обновлено: 14.12.2025
Это показатель, который измеряют при проведении УЗИ на 11-13 неделе беременности, чтобы исключить хромосомные аномалии плода.
Воротниковое пространство — это скопление подкожной жидкости на задней поверхности шеи плода. Небольшое количество жидкости должно присутствовать у каждого плода, однако при хромосомных нарушениях данный показатель значительно превышает норму.
Каковы нормы ТВП на различных неделях беременности?
Нормой на 11 неделе беременности можно считать толщину воротникового пространства в 1-2 мм, на 13 неделе — 2,8 мм. После 13 недели показатель ТВП считается не информативным.
О чём говорит увеличение ТВП у плода?
Как правило, увеличение толщины воротникового пространство может говорить о повышенной вероятности синдрома Дауна, а также синдромов Патау, Эдвардса, Тернера. Эти хромосомные аномалии вызывают у плода нарушение сердечной деятельности, оттока лимфы и некоторые аномалии скелета, что и приводит к повышению ТВП.
Однако в некоторых случаях ТВП может быть повышен и по совершенно другим причинам, не имеющим отношения к хромосомным аномалиям: анемия, внутриутробная инфекция или какие-то иные генетические заболевания, не связанные с изменением числа хромосом. Иногда ТВП увеличен из-за таких особенностей развития плода, которые не приведут ни к каким аномалиям развития после рождения.
Что делать, если ТВП увеличена?
УЗИ-скрининг на хромосомные патологии обязательно должен быть дополнен биохимическим скринингом. Общий риск рассчитывается только по итогам применения обоих методов.
Если показатели демонстрируют высокие риски, гинеколог может порекомендовать провести инвазивную диагностику: амниоцентез (исследование околоплодных вод), кордоцентез (анализ крови из пуповины) и биопсия хориона. Это более точные методы, позволяющие диагностировать или исключить патологию с точностью выше 99%.
Также существуют более сложные и дорогие неинвазивные тесты (по анализу крови), которые также позволяют уточнить, есть ли аномалии в развитии плода.
Если дополнительные тесты с показали тяжелую аномалию развития плода, женщина может принять решение сделать аборт по медицинским показаниям (до 22 недель беременности), прерывание беременности с помощью искусственных родов (после 22 недель) либо сохранение плода.
Сделать осознанный выбор семья сможет после того, как беременная женщина будет полностью проинформирована обо всех рисках и последствиях того или иного решения в каждом конкретном случае.
Прогностическое значение толщины воротникового пространства в пренатальной диагностике врожденной патологии плода
Проблема наследственной и врожденной патологии, прежде всего врожденных пороков развития (ВПР), хромосомных и моногенных заболеваний за последнее десятилетие приобрела серьезную социально-медицинскую значимость. Частота врожденной и наследственной патологии в популяции составляет в среднем 5% от числа новорожденных детей. В структуре перинатальной заболеваемости и смертности врожденная и наследственная патология занимает 2-3 место. Широкое внедрение в клиническую практику скринингового ультразвукового исследования в 11-14 недель беременности позволяет провести раннюю пренатальную диагностику ВПР и хромосомных аномалий (ХА) [4]. Среди многочисленных эхографических маркеров ХА наиболее ценным считается толщина воротникового пространства [5]. Использование этого маркера позволяет выявлять до 66,7-92% хромосомных дефектов уже в ранние сроки беременности [6, 7]. Поэтому представляет научный интерес дальшейшее изучение увеличения толщины воротникового пространства (ТВП) плода как пренатального эхографического маркера врожденной и наследственной патологии.
Целью исследования явилась оценка величины толщины воротникового пространства плода в качестве маркера хромосомных аномалий и врожденных пороков развития плода.
Материал и методы. Тип исследования: когортное с проспективной когортой (2008 - 2010 г.).
Метод выборки: сплошной по мере обращения.
1. Беременность в сроке гестации 11-14 недель.
2. Известная дата последней менструации при 26-30 дневном цикле.
3. Согласие женщины на участие в исследовании.
1. Нарушения менструального цикла.
2. Указание на прием гормональных контрацептивов за два месяца до цикла зачатия.
3. Стимулированная беременность.
4. Многоплодная беременность.
В соответствии с критериями включения/исключения за указанный период было отобрано 1310 беременных в сроки гестации от 11 до 14 недель, состоявших на диспансерном учете в женских консультациях г. Челябинска.
После проведения ультразвукового скрининга беременные были распределены на две группы, с учетом размеров толщины воротникового пространства (ТВП) плода: основная группа - 175 женщин с увеличением размеров толщины воротникового пространства у плода (группа 1), группа сравнения - 1135 пациенток с нормальными размерами толщины воротникового пространства у плода, беременность которых завершилась своевременными родами и рождением нормальных здоровых детей (группа 2). В качестве пороговых (разделительных) значений принимался 95‰ ТВП от показателей, разработанных в результате наших исследований, согласно рекомендациям Н.А. Алтынник и М.В. Медведева и К. Николаидеса и соавт. [1,7]. Группы были сопоставимы по возрасту, паритету и сроку гестации.
Эхографические исследования проведены на ультразвуковых сканерах фирмы TOSHIBA (Япония) высокого (XARIO XG) и экспертного (APLIO XG) классов. Для измерения размеров ТВП использовали трансабдоминальный доступ сканирования. В случаях регистрации у плода эхографических маркеров хромосомных дефектов или врожденных пороков развития, исследование завершали трансвагинальным доступом для детального изучения анатомии и проведения расширенной эхокардиографии плода. В ходе пренатального консультирования пациентке сообщали о наличии риска хромосомной патологии и объясняли целесообразность пренатального кариотипирования. В сроке 11-13 недель гестации осуществляли трансабдоминальную аспирацию ворсин хориона. При отказе от пренатального кариотипирования в ранние сроки и выявлении других эхографических маркеров хромосомной патологии или врожденных пороков развития плода во втором триместре беременности, рекомендовалась оценка кариотипа плода методом кордоцентеза в 21-24 недели.
Статистический анализ данных проводился при помощи пакета статистических программ STATISTICA 6.0 (StatSoft, 2001) и программы MedCalc (9.1.0.1) for Windows. При распределении признака в выборке, близком к нормальному, количественные значения представлялись в виде средней арифметической и ее среднеквадратичного отклонения (M±σ).
Для оценки различий между двумя группами в количественных признаках с учетом характера распределения, близкому к нормальному, применяли t-критерий Стьюдента. Оценка межгрупповых различий по качественным признакам проводилась с использованием критерия χ 2 , а при ожидаемых частотах менее 10 - применялась поправка Йетса.
С целью оценки прогностической значимости показателей проводился ROC-анализ с вычислением чувствительности, специфичности, отношения положительного и отрицательного правдоподобия. Для всех видов анализа статистически достоверными считались значения p
Результаты исследования. Возраст беременных варьировал от 16 до 45 лет. Средний возраст пациенток в группах оказался сопоставимым: в группе 1- 28,7±5,43 лет, в группе 2 - 29,0±6,10 лет (р>0,05).
Согласно полученных нами данным толщина воротникового пространства плода в группе 2 (со своевременными родами и рождением здорового ребенка) постепенно увеличивается на сроках от 11 до 14 недель, составляя в среднем 1,3±0,3 мм в 11-12 недель, 1,4±0,4 мм в 12-13 недель и 1,5±0,3 мм в 13-14 недель, при отсутствии различий между величинами ТВП в эти сроки беременности (р>0,05).
В табл. 1 представлены значения толщины воротникового пространства плода в 11-14 недель беременности в группах сравнения.
Таблица 1. Показатели толщины воротникового пространства плода в 11-14 недель беременности в группах сравнения
Примечание: * - значимость различий (р<0,05) при сравнении групп 1 и 2
В основной группе численные значения расширенного воротникового пространства плода варьировали от 2,5 до 11,0 мм и превышали соответствующие показатели (5-й, 50-й, 95-й центиль) в группе сравнения в 11-12, 12-13 и 13-14 недель беременности (рис. 1).

Рис. 1. Увеличение толщины воротникового пространства
Из 175 плодов, у которых в сроке 11-14 недель беременности было выявлено расширение воротникового пространства, пренатальное или постнатальное кариотипирование для исключения хромосомных аномалий было осуществлено в 160 случаях. Из них хромосомные дефекты были обнаружены в 46/160 (28,8%) наблюдениях. У 114/160 женщин (71,2%) кариотип был нормальным. В 15 случаях хромосомный набор плода/новорожденного остался за пределами наших знаний из-за отказа пациентки от инвазивной диагностической процедуры или из-за отсутствия достаточного количества метафаз в биоптате хориона.
Структура хромосомных аномалий представлена на рис. 2.
Рис. 2. Структура хромосомных аномалий у плодов
Частота хромосомных аномалий варьировала в зависимости от величины толщины воротникового пространства, представлена на рис. 3.
Рис. 3. Частота хромосомных аномалий варьировала в зависимости от величины толщины воротникового пространства
Таким образом, при увеличении численных значений ТВП возрастала частота хромосомных заболеваний.
Помимо этого, при регистрации расширения воротникового пространства практически в каждом втором случае (43,2%, n=76) обнаруживались врожденные пороки: их частота оказалась выше при аномального кариотипе, по сравнению с нормальным - 69,7% (n=53) и 30,3% (n=23) соответственно, р
При выявлении хромосомных аномалий в группе с расширением ТВП чаще диагностировались множественные пороки развития и врожденные пороки сердца, несколько реже встречались пороки ЖКТ, МПС, ЦНС, КМС и КГ шеи, по сравнению с таковыми у плодов/новорожденных с нормальным набором хромосом. Различий по частоте других пороков развития плода не выявлено.
Таблица 2. Структура врожденных пороков развития в группе с расширением ТВП в зависимости от кариотипа плода
Примечание: NS - р>0,05
Таким образом, в соответствии с полученными данными, необходимо выделять пациенток с расширением ТВП у плода в группу высокого риска по врожденным порокам развития даже при отсутствии хромосомной патологии. Особое внимание следует уделять детальному изучению анатомии плода и эхокардиографическому исследованию, так как множественные врожденные пороки развития и пороки сердца регистрируются наиболее часто.
С целью оценки прогностического значения величины ТВП в отношении развития хромосомных аномалий плода в группах сравнения нами использовался ROC-анализ (рис. 4).

Рис. 4. ROC-кривая прогностического значения толщины воротникового пространства в отношении хромосомных аномалий плода
Проведенный анализ показал, что толщина воротникового пространства выше 2,6 мм ассоциирована с высоким риском развития хромосомных аномалий, причем указанный уровень имеет высокую чувствительность (100%) и специфичность (89,7%), а также отношение правдоподобия положительного результата (9,65), р
В последние годы многими авторами были опубликованы сведения о том, что увеличение ТВП может отмечаться не только при хромосомной патологии у плода, но и при различных ВПР [2, 3]. Большинство из этих пороков, потенциально, могут быть диагностированы только в более поздние сроки беременности или даже после родов. С целью оценки прогностического значения величины ТВП в отношении врожденных пороков развития плода нами также использовался ROC-анализ (рис. 5). Оценка ассоциации ТВП с различными ВПР плода представлена в табл. 3.

Рис. 5. ROC-кривая прогностического значения толщины воротникового пространства в отношении врожденных пороков развития плода
Согласно полученным данным, величина ТПВ выше 2,6-2,8 мм ассоциирована практически со всеми врожденными пороками развития, обладает высокой чувствительностью (100%) и специфичностью (87% и выше), что целесообразно использовать в клинической практике.
Выводы
1. В группе беременных с увеличением толщины воротникового пространства плода чаще встречаются хромосомные аномалии и врожденные пороки развития.
2. Толщина воротникового пространства выше 2,6 мм ассоциирована с высоким риском развития хромосомных аномалий (чувствительность - 100%, специфичность - 89,7%, отношение правдоподобия положительного результата - 9,65, р<0,001).
3. Толщина воротникового пространства выше 2,6-2,8 мм ассоциирована практически со всеми врожденными пороками плода (множественные врожденные пороки, врожденные пороки сердца, пороки желудочно-кишечного тракта и др.), обладая высокой чувствительностью (100%) и специфичностью (87% и выше).
4. Пороговые значения толщины воротникового пространства выше 2,6 мм целесообразно использовать в пренатальной диагностике врожденной патологии плода.
Таблица 3. Ассоциация толщины воротникового пространства с различными врожденными пороками развития по результатам ROC-анализа

Примечания: * - + LR - положительное отношение правдоподобия; - LR - отрицательное отношение правдоподобия; AUC - площадь под ROC-кривой
Список использованных источников:
1. Нормативные значения копчико-теменного размера и толщины воротникового пространства плода в ранние сроки беременности/ Н.А. Алтынник, М.В. Медведев// Ультразвуковая диагностика. Акуш. Гин. Педиат. - 2001. - Т. 9, №1. - С. 38-40.
2. Диагностическая ценность расширенного воротникового пространства в сочетании с допплеровским исследованием плодово-плацентарного кровотока в I триместре беременности при врожденной и наследственной патологии/ С.Г. Ионова, И.П. Цымбалова, А.В. Сидорова// Пренатальная диагностика. - 2004. - Т. 3, №3. - С. 233.
3. Копытова Е.И. Расширенное воротниковое пространство плода как пренатальный эхографический маркер врожденных и наследственных заболеваний: Автореф. дис. … канд. мед. наук. - М., 2007. - 22 с.
4. Медведев М.В. Основы ультразвукового исследования в акушерстве. - М.: Реал Тайм, 2006. - 96 с.
5. Основы ультразвукового скрининга в 11-14 недель беременности/ М.В. Медведев, Н.А. Алтынник. - М.: Реал Тайм, 2008. - 88 с.
6. Новый подход к расчету риска при проведении скринингового ультразвукового исследования в первом триместре беременности/ Е.С. Некрасова, А.Л. Коротеев, Т.В. Кузнецова, В.С. Баранов// Пренатальная диагностика. - 2005. - Т. 4, №1. - С. 22-28.
7. Multicenter study of first-trimester screening for trisomy 21 in 75 821 pregnancies: results and estimation of the potential impact of individual risk-orientated two-stage first-trimester screening/ K.H. Nicolaides, K. Spencer, K. Avgidou et al.// Ultrasound Obstet. Gynecol. - 2005. - Vol. 25. - P. 221-226.
Подписано в печать: 14.01.2012
Септы воротникового пространства повышают риск аномалий развития плода
Январь 19, 2017 -- Перегородки воротникового пространства являются четким независимым фактором риска возникновения хромосомных аномалий плода, их наличие или отсутствие необходимо документировать при проведении первого скрининга, в соответствии с данными исследования, опубликованного в январском выпуске Journal of Ultrasound in Medicine.
Группа ученых из Медицинского Колледжа Baylor в Хьюстоне, США, осуществила ретроспективное исследование более чем 3000 женщин, которые проходили генетический скрининг первого триместра. Исследователи обнаружили, что наличие кистозной гигромы, при которой на УЗИ одновременно визуализируются расширенное воротниковое пространство и перегородки в нем, сопровождается гораздо более высоким риском хромосомных аномалий про сравнению с изолированным расширением воротникового пространства.
Доктор Jimmy Espinoza из Медицинского Колледжа Baylor
Генетический скрининг
Измерение толщины воротникового пространства - т.е. расстояния между кожей и подлежащими тканями в задней части шеи плода - является частью стандартного обследования в США для скрининга в первом триместре беременности на предмет хромосомных аномалий и генетических синдромов. У плодов с расширенным воротниковым пространством имеется повышенный риск подобных аномалий.
Однако есть разногласия: кистозная гигрома - это патология, которую можно увидеть только у плодов с расширенным воротниковым пространством? Большинство врачей и генетиков в США считают кистозную гигрому и расширение воротникового пространства самостоятельными патологическими изменениями, наличие каждого из них повышает риск хромосомных аномалий и генетических синдромов, сообщает Espinoza. В Европе во многих медучреждениях продолжают рассматривать кистозную гигрому как вариант расширенного воротникового пространства, там одинаковый подход к пациенткам при наличии у плода обоих типов патологических изменений.
Так как отсутствует четкое понимание клинического значения септ воротникового пространства и их взаимоотношения с размером воротникового пространства, команда ученых из колледжа Baylor намеревалась установить, является ли наличие воротниковых септ независимым фактором риска хромосомных аномалий в первом триместре беременности (J Ultrasound Med, January 2017, Vol. 36:1, pp. 155-161).
Повышенный риск
Исследователи ретроспективно просмотрели электронные истории болезни 3275 пациенток, которые проходили скрининг первого триместра и затем рожали в женском отделении Техасского Детского Госпиталя между ноябрем 2011 и декабрем 2014 года. Они характеризовали септы как тонкие линейные эхогенные структуры в воротниковом пространстве плода, которые располагались между кожей плода и нижерасположенными тканями. Кроме того, наличие септ и расширенного воротникового пространства расценивалось как кистозная гигрома.
После расчета 95 процентиля для измерения воротникового пространства для каждой недели гестации, исследователи выполнили логистический регрессионный анализ для определения, являлось ли наличие септ воротникового пространства независимым фактором риска. Из 3275 пациенток у 33 выявлены хромосомные аномалии: 17 случаев трисомии 21 (синдром Дауна), 4 случая трисомии18, 3 случая точечной мутации (включая синдром Нунан), 2 случая трисомии 13, 2 случая транслокации, 2 случая делеции, 2 случая других аномалий и один случай синдрома Тернера.

УЗ изображения воротниковых перегородок в поперечном срезе. А) воротниковое пространство 2.3 мм. В) 4 мм. С) 5.2мм. D) 8мм. Все изображение предоставлены the Journal of Ultrasound in Medicine.
Эти результаты демонстрируют, что визуализация септ воротникового пространства в первом триместре является важным и независимым фактором риска хромосомных аномалий плода, по данным группы исследователей.
«Наличие или отсутствие кистозной гигромы должно быть документировано при проведении генетического скрининга первого триместра в дополнение к размеру воротникового пространства», сообщил доктор Jimmy Espinoza. «Это действительно так, что подавляющее большинство плодов с кистозной гигромой имеют расширение воротникового пространства; однако в наших исследованиях встречались один или два плода с кистозной гигромой, но без расширения воротникового пространства, у которых был выявлен синдром Дауна.»
Д-р Espinoza обратил внимание, что данное исследование требует подтверждения на большом количестве беременных женщин, которым необходимо проспективно провести УЗ скрининг первого триместра со стандартизированными настройками УЗ аппаратов.
Оригинальная статья: Nuchal septations increase risk for fetal anomalies by Erik L. Ridley
Перевод: Ultrasound Club
Скрининг и диагностика патологии плода в I триместре с помощью УЗИ
Перевод статьи: "First Trimester Fetal Ultrasound Scan as a Screening and Diagnostic Tool".
С появлением новых технологий ультразвуковое исследование в I триместре беременности кардинально изменилось. Можно отметить удивительный прогресс методов сканирования от "базового", с функцией подтверждения беременности, оценки ее жизнеспособности и локализации, установления гестационного возраста, до более "сложного", с получением дополнительных биометрических и морфологических данных, а также оценки рисков для матери и плода. Эта статья посвящена только вопросам оценки состояния плода без определения рисков для матери.
Биометрия плода
Некоторые ультразвуковые измерения в I триместре обязательны для выполнения. В большинстве случаев гестационный возраст до 15 нед с определенной степенью точности оценивают по показателям бипариетального размера (БПР) и копчико-теменного размера (КТР) (рис. 1). В дальнейшем эту информацию дополнять не будут, а использовать будут в основном для установления задержки внутриутробного развития, при планировании обследования по поводу врожденных аномалий и послеродовых осложнений. УЗИ на сроках между 11 нед 0 дней и 13 нед 6 дней необходимо постоянно сравнивать с данными обследования на сроках между 7 и 10 нед. Таким образом, УЗИ в I триместре должно помочь обнаружить ряд аномалий развития плода, например триплоидию [1].

Воротниковое пространство
В начале 90-х годов прошлого века в практику был внедрен метод измерения толщины воротникового пространства (ТВП) в I триместре беременности, и к настоящему времени его считают показателем не только анеуплоидии, но и широкого спектра наследственных синдромов и пороков развития [2]. K. Николаидес (K. Nicolaides) с группой исследователей предложили новую модель скрининга на анеуплоидию и установили правила использования этого метода, в частности необходимость применения кривой обучения, проведения аудита, качественного (процедура оценки качества изображений) и количественного (медиана, дельты-ТВП и т.д.). Фонд медицины плода (Fetal Medicine Foundation) стандартизировал предложенный ими клинический протокол и установил правила сертификации для повышения качества медицинской помощи и уменьшения изменчивости результатов данных скрининга [3, 4]. Измерение ТВП можно проводить вручную (рис. 2a) или полуавтоматически (рис. 2b), чтобы результаты измерений были более воспроизводимыми. Кроме того, компания Samsung разработала дополнительный метод измерения показателей ТВП - 5D NT, позволяющий точно выявить срединно-сагиттальную плоскость и улучшить оценки по шкале Германа (Herman score).


Анатомическая оценка
Описанные в литературе величины частоты выявления дефектов в I триместре беременности значительно различаются в зависимости от изученных популяций, методов и периодов [5]. По мере развития методов ультразвуковой диагностики усовершенствовался и анатомический анализ для I триместра беременности. Международное общество по применению УЗИ в акушерстве и гинекологии (International Society of Ultrasound in Obs tetrics and Gynecology - ISUOG) в 2013 г. предложило руководство для клинической практики, предполагающее проведение оценки анатомии плода между 11 нед 0 дней и 13 нед 6 дней беременности (рис. 3) [6].

Метод УЗИ позволяет выявлять в I триместре ряд аномалий развития плода:
- Видимые аномалии - анэнцефалия, алобарная голопрозэнцефалия, гастрошизис, омфалоцеле, аномалия предшественника аллантоидного стебелька, гидронефроз и некоторые несовместимые с жизнью остеохондродисплазии.
- Невидимые аномалии мозга, пищеварительной системы, урологические и скелетные аномалии.
- Некоторые аномалии, требующие анализа, - аномалии сердца, лица, конечностей, spina bifida.
Не так давно качество УЗИ в I триместре удалось повысить до уровня, позволяющего при рутинном ультразвуковом скрининге проводить полноценное диагностическое УЗИ. Достижения 3D/4D-методов и автоматизированные технологии измерения обеспечивают дополнительные возможности проведения точной анатомической оценки.
Диагноз хориальности и количества амнионов
УЗИ при двойне в основном должно выявить хориальность (ди- или монохориальность) и для монохориальных беременностей (моно- или диамниотических) - количество амнионов. При многоплодной беременности эта информация необходима для соответствующего ведения дискордантной мальформации, замедления роста, внутриутробной гибели плода или получения образцов ткани плода. Точность этой диагностики в течение I триместра может достигать 100%, а затем на протяжении беременности она уменьшается [7]. Дихориальность подтверждают выявлением лямбда-признака (рис. 4a). Наоборот, монохориальность диагностируют при отсутствии визуализации лямбда-признака или выявлении T-признака (рис. 4b) в межамниотической мембране, расположенной перпендикулярно хорионической пластине.
Рис. 4. Диагностика хориальности и количества амнионов в I триместре путем оценки лямбда-признака (a) и T-признака (b).

Оценка риска для плода
УЗИ в I триместре также позволяет охарактеризовать несколько рисков для плода, таких как анеуплоидии, врожденные пороки сердца, расщелина позвоночника (spina bifida).
Анеуплоидии
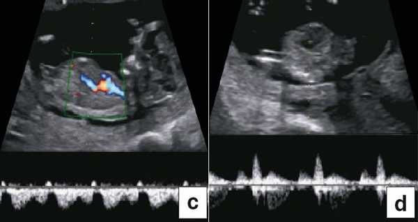
В 90% случаев крупные анеуплоидии у плодов можно обнаружить с помощью комбинированной оценки возраста матери, измерений ТВП и сывороточных маркеров у матери (РАРР-А и свободный бета-ХГЧ) [8]. Результат такого скрининга можно улучшить, исследуя сывороточные маркеры раньше, на сроках от 9 до 10 нед, и проводя УЗИ на 12-й неделе для выявления дополнительных маркеров, таких как носовая кость плода, кровоток в венозном протоке и через трехстворчатый клапан (рис. 5) [9]. Кроме того, выявлять часто встречающиеся хромосомные аномалии у плода позволяет неинвазивное пренатальное тестирование (Non Invasive Prenatal Testing - NIPT).
Рис. 5. Оценка анеуплоидии по ультразвуковым маркерам: толщина воротникового пространства (a), носовая кость (b), венозный проток (c), кровоток через трехстворчатый клапан (d).


Врожденные пороки сердца
В группах с высоким риском развития врожденных пороков сердца (ВПС) эхокардиографию плода можно проводить на ранних сроках. Обычно исследование выполняет специалист, хорошо знакомый с пренатальной диагностикой ВПС. Высокий риск развития ВПС у плода выявляют не только по данным анамнеза пациентки и семейного анамнеза или воздействия токсических факторов, но и по увеличению ТВП и изменению кровотока в венозном протоке и через трехстворчатый клапан [9]. "Подробную" эхокардиографию плода обычно проводят только в группе высокого риска, а проводить "базовую" эхокардиографию в общей популяции в настоящее время не рекомендовано.
Тем не менее "базовое" УЗИ обычно дополняют исследованием в цветовом энергетическом допплеровском режиме с тщательным анализом для выявления атриовентрикулярного кровотока в четырех камерах сердца (рис. 6a) и в срезе через три сосуда и трахею (рис. 6b). Получив эти срезы, обычно можно успокоить родителей, исключив наличие тяжелых пороков сердца, таких как единственный желудочек, гипоплазия желудочков, полный дефект предсердно-желудочковой перегородки (atrioventricular septal defect - AVSD), атрезия аорты или легочной артерии, а также ряд аномалий расположения артерий.
Рис. 6. Эхокардиография плода на ранних сроках в цветовом энергетическом допплеровском режиме - визуализируются четыре камеры (a) и срез через три сосуда и трахею (b).

Расщепление позвоночника (spina bifida)
В прошлом лечащие врачи и врачи ультразвуковой диагностики проводили ультразвуковой скрининг для выявления дефектов нервной трубки, главным образом открытого расщепления позвоночника (spina bifida), во II триместре. В последние годы предложены ранние ультразвуковые маркеры на 11-14-й неделе беременности (внутричерепное пространство, использование БПР и соотношения БПР/ПРЖ (поперечный размер живота)), которые позволяют выявить у некоторых плодов высокий риск открытого расщепления позвоночника (рис. 7) 10.
Рис. 7. Внутричерепное пространство при ультразвуковом скрининге по поводу открытого расщепления позвоночника.

I триместр беременности имеет ключевое значение для оценки риска для матери и плода, проведения персонализированных консультаций и последующего наблюдения. Вероятно, методика УЗИ в I триместре будет и далее активно развиваться и совершенствоваться, поскольку имеет для скрининга и диагностики ключевое значение.
Возможности эхокардиографии плода в I триместре беременности (11-14 недель)
Московский областной НИИ акушерства и гинекологии (МОНИИАГ), Россия.
Гомельский областной медико-генетический центр с консультацией "Брак и семья", Гомель, Беларусь.

УЗИ сканер HS50
Доступная эффективность. Универсальный ультразвуковой сканер, компактный дизайн и инновационные возможности.
Введение
Актуальность темы пренатальной диагностики врожденных пороков сердца (ВПС) понятна всем врачам, которые связаны с пренатальной диагностикой, неонатологией, педиатрией, кардиологией, генетикой. ВПС являются одной из ведущих причин перинатальной смертности и регистрируются с частотой 4-13 на 1000 живорожденных [1]. В связи с тем, что профилактические мероприятия по предупреждению ВПС не имеют должного успеха, представляется актуальной и необходимой их пренатальная ультразвуковая диагностика.
- Семьи, имеющие ребенка с ВПС.
- Семьи с ВПС у одного или обоих супругов.
- Женщин, страдающих сахарным диабетом, системными заболеваниями соединительной ткани, гипотиреозом.
- Беременных с тератогенной экспозицией в ранние сроки беременности (герпес ранее 6-7-й недели) [2].
Однако параллельно другими учеными эти группы риска отвергались, потому что большинство ВПС встречались у плодов и детей, матери которых не входили ни в одну из предложенных групп риска. Единственными разумными критериями так называемого селективного отбора были признаны беременные, попавшие в группу риска после проведения скрининга I триместра и беременные с подозрением на ВПС при ультразвуковом исследовании (УЗИ) плода [3].
Неоспоримо, что оптимальными сроками беременности для исследования сердца плода являются 20-22 недели, однако большинство летальных и клинически значимых пороков сердца могут быть диагностированы в конце I триместра беременности. Позволим себе процитировать слова главы Fetal Medicine Foundation Кипраса Николаидеса, высказанные им на страницах сайта FMF (www.fetalmedicine.com): "Специалист ультразвуковой диагностики с 12 недели беременности должен заверить большинство родителей, что у их ребенка нет крупных врожденных пороков сердца. В случае крупных врожденных пороков сердца их раннее выявление может привести к постановке правильного диагноза или хотя бы вызвать подозрение для осуществления ультразвукового мониторинга".
Главная цель пренатальной диагностики сформулирована специалистами пренатальной диагностики всего мира - это обеспечение женщины максимально возможной информацией о пороке как можно раньше. Мы должны дать право женщине и семье в целом решать вопрос о пролонгировании беременности с грубыми пороками развития у плода [4].
С каждым годом все большее количество публикаций посвящается диагностике ВПС в ранние сроки - в I триместре беременности 6. Практически ни один из выпусков журнала ISUOG (Ultrasound In Obstetrics and Gynecology, или "белого" журнала, как его называют специалисты) не обходит своим вниманием тему ранней диагностики врожденных пороков развития.
На самом знаменитом сайте в мире пренатальной диагностики www.thefetus.net (Philippe Jeanty, USA) опубликовано уже более 30 случаев находок ВПС в I триместре беременности. Однако в отечественной периодике встречаются лишь единичные работы по этой теме. Все они пренадлежат "перу" специалистов пренатальной диагностики Российской ассоциации врачей ультразвуковой диагностики в перинатологии и гинекологии, хотя для многих специалистов как раньше, так и сейчас осмотр сердца плода в сроки 11-14 недель заключается лишь в констатации числа сердечных сокращений.
Цель эхокардиографии в I триместре беременности состоит в выявлении летальных и клинически значимых ВПС. Это исследование не ставит целью выявление стенозов и гипоплазий выносящих трактов, диагностику мелких дефектов перегородок, патологий дуги аорты и артериального протока. Многие из этих пороков не только технически невозможно заподозрить в I триместре, манифестируют они после 30-й недели беременности, т.е. их диагностика является прерогативой исследования III триместра.
Точность пренатальной диагностики ВПС во все сроки беременности варьирует в широком диапазоне. Причинами этого могут быть разный опыт специалистов, ожирение беременной, частота использованных ультразвуковых трансдьюсеров и класс ультразвукового аппарата, перенесенные ранее абдоминальные операции, срок беременности, количество околоплодных вод и положение плода. Однако заметим, что многие из этих факторов теряют свою актуальность именно при проведении трансвагинальной эхокардиографии в I триместре беременности. Своевременная диагностика ВПС позволяет идентифицировать плоды высокого риска по генетическим синдромам, что имеет важное значение при проведении пренатального консультирования и оказывает существенное влияние на акушерскую тактику.
Результаты
С 2006 по 2011 г. пренатально в I триместре беременности были выявлены 125 ВПС. Из них 68 (55%) ВПС сочетались с различными хромосомными аномалиями (ХА) плода, 30 (24%) входили в состав различных множественных врожденных пороков развития (МВПР), 27 (21%) ВПС были изолированными.
При эхокардиографии изучались четырехкамерный срез сердца плода (рис. 1) и срез через три сосуда (рис. 2). УЗИ проводилось трансабдоминальным датчиком, лишь при необходимости (затрудненная визуализация) использовался внутриполостной датчик. Четырехкамерный срез сердца плода при ультразвуковом сканировании трансабдоминальным датчиком визуализировался в 85% случаев, срез через сосуды - в 73%, при использовании трансвагинального датчика эти цифры существенно возрастали до 100 и 91% соответственно. Оптимизация пренатальной диагностики ВПС может быть достигнута путем строгого соблюдения основных методических правил. При оценке четырехкамерного среза плода необходимо оценить нормальное расположение сердца плода, исключив его эктопию (рис. 3), положение оси сердца плода, что не представляет никаких трудностей, нормальные пропорции и размеры камер сердца, движение створок атриовентрикулярных клапанов должно быть свободным, септальная створка трикуспидального клапана должна располагаться ближе к верхушке сердца (рис. 4). При оценке среза через три сосуда необходимо оценить взаиморасположение сосудов и их диаметр.

Рис. 1. Беременность 12 недель. Четырехкамерный срез сердца плода. Отчетливо видны камеры сердца.
Читайте также:
