Глюкокортикоидная недостаточность при заболеваниях легких.
Добавил пользователь Евгений Кузнецов Обновлено: 04.11.2025
Хроническая обструктивная болезнь легких (ХОБЛ) - широко распространенное заболевание, характеризующееся персистирующей бронхиальной обструкцией. Важную роль в его развитии и прогрессировании играет хроническое воспаление дыхательных путей, возникающее под влиянием табачного дыма и поллютантов. В последние годы использование ингаляционных глюкокортикоидов (ИГКС) при ХОБЛ является предметом оживленных дискуссий. В настоящей статье обсуждается место комбинации ИГКС и длительно действующих β2-адреномиметиков (ИГКС/ДДБА) в лечении ХОБЛ. Имеющиеся результаты клинических исследований позволяют рекомендовать эти препараты при сочетании бронхиальной астмы и ХОБЛ. Они также показаны пациентам с частыми обострениями ХОБЛ, несмотря на терапию длительно действующими бронхолитиками и их комбинациями. Предикторы эффективности ИГКС/ДДБА изучены пока недостаточно и требуют валидизации в проспективных исследованиях. При назначении этих препаратов необходимо учитывать соотношение их эффективности и безопасности. Для уточнения терапевтических возможностей «тройной» терапии (ИГКС/ДДБА/ холинолитики длительного действия) у больных ХОБЛ необходимы дополнительные клинические исследования.
Ключевые слова: хроническая обструктивная болезнь легких, ингаляционные глюкокортикоиды, β2-адреномиметики длительного действия.
The place of inhaled glucocorticoids in the treatment of chronic obstructive pulmonary disease
Emelyanov A.V.
North-Western State Medical University named after I.I.Mechnikov, Saint Petersburg
Chronic obstructive pulmonary disease (COPD) is a widespread disease characterized by the persistent airflow obstruction. An important role in its development and progression is playedby the chronic inflammation of the respiratory tractsthat occurs under the influence of tobacco smoke and pollutants. In recent years, the use of inhaled glucocorticoids (IGC) in patients with COPD is the subject of heated debates. This article discusses the place of a combination of IGCs and long-acting beta 2-agonists (IGC/ LABA) in the treatment of COPD. The results of clinical studies allow to recommend these drugs in case of a combination of asthma and COPD. They are also recommended for the patients with frequent exacerbations of COPD despite the therapy by long acting bronchodilators and their combinations. Predictors of the IGCs/LABA efficiency haven’t been adequately studied yet and require validation in prospective studies. When prescribing these drugs one must consider their efficiency and safety ratio. Additional clinical studies are required to clarify the therapeutic possibilities of “triple” therapy (IGX/LABA/ long-actingcholinolytics) in patients with COPD.
Key words: chronic obstructive pulmonary disease, inhaled glucocorticoids, long-acting beta 2-agonists.
For citation: Emelyanov A.V. The place of inhaled glucocorticoids in the treatment of chronic obstructive pulmonary disease // RMJ. 2017. № 3. P. 227-231.
Для цитирования: Ингаляционные глюкокортикоиды при хронической обструктивной болезни легких: каково их место в лечении этого заболевания? РМЖ. 2017;3:227-231.
В статье обсуждается место комбинации ИГКС и длительно действующих β2-адреномиметиков в лечении ХОБЛ
Введение
Хроническая обструктивная болезнь легких (ХОБЛ) - часто встречающееся заболевание, характеризуется персистирующей бронхиальной обструкцией. Важную роль в его развитии и прогрессировании играет хроническое воспаление дыхательных путей, возникающее под влиянием табачного дыма и поллютантов. Основными симптомами ХОБЛ являются одышка и кашель с выделением мокроты [1].
Исследования, показавшие связь локального и системного воспаления со скоростью снижения функции легких, обострениями, индексом массы тела и кардиоваскулярным риском 4, а также результаты лечения бронхиальной астмы явились предпосылками для использования ингаляционных глюкокортикостероидов (ИГКС) у больных ХОБЛ. Стероидная резистентность хронического воспаления дыхательных путей у пациентов с ХОБЛ [6] послужила причиной использования более высоких доз ИГКС, чем при бронхиальной астме (БА).
Монотерапия ИГКС при ХОБЛ
Попытка применения ИГКС при ХОБЛ была реализована в четырех длительных (3 года и более) многоцентровых двойных слепых плацебо-контролируемых клинических исследованиях: European Respiratory Society study in chronic obstructive pulmonary disease (EUROSCOP) и Copenhagen study (будесонид 800-1200 мкг/сут), Inhaled steroids in obstructive lung disease in Europe study (ISOLDE study, флутиказона пропионат 1000 мкг/cут) и Lung Health Study (триамцинолона ацетонид, 1200 мкг/сут), включавших более 3400 пациентов. В них было показано, что 3-летнее назначение изучаемых препаратов не оказывает достоверного влияния на величину ежегодного снижения объема форсированного выдоха за 1-ю секунду (OФВ1) 10. В группе больных c тяжелым течением заболевания, получавших флутиказона пропионат (ФП) и будесонид (БУД), отмечено достоверное улучшение качества жизни, снижение уровня маркеров системного воспаления, эпизодов ишемии миокарда и частоты обострений (на 25%) ХОБЛ [7, 8].
Эти данные были подтверждены в ходе метаанализа рандомизированных исследований продолжительностью не менее 6 мес. [12]. Среди побочных эффектов у пациентов отмечено достоверное снижение концентрации эндогенного кортизола (ФП), появление кровоточивости кожи (ФП, будесонид) и снижение плотности костной ткани позвоночника и бедра (триамцинолона ацетонид).
Таким образом, результаты приведенных выше исследований продемонстрировали отсутствие влияния ИГКС на скорость снижения бронхиальной проходимости у больных ХОБЛ. Для достижения относительно небольшого терапевтического эффекта требовалось применение высоких доз этих препаратов, что усиливало их побочное действие и увеличивало стоимость лечения.
Комбинация ингаляционных глюкокортикоидов и длительно действующих β2-адреномиметиков (ИГКС/ДДБА) при ХОБЛ

Многокомпонентная патофизиология, неполная удовлетворенность результатами монотерапии ИГКС, а также положительные эффекты, наблюдаемые при БА, явились предпосылками для назначения пациентам с ХОБЛ комбинации ИГКС/ДДБА.
При исследовании биоптатов слизистой оболочки бронхов и индуцированной мокроты было установлено, что комбинация ФП/салметерол (ФП/Салм), назначаемая в дозе 500/50 мкг 2 р./сут в течение 12 нед., снижает содержание нейтрофилов, абсолютное число эозинофилов, Т-лимфоцитов и тучных клеток у больных ХОБЛ средней тяжести и тяжелого течения [13], что было подтверждено при исследовании бронхоальвеолярного лаважа [14]. Полученные данные явились прямым подтверждением противовоспалительной активности комбинации ИГКС/ДДБА, которая, вероятно, лежит в основе клинической эффективности этих препаратов.
Характеристика основных клинических исследований комбинаций ИГКС/ДДБА при ХОБЛ продолжительностью 1 год и более представлена в таблице 1. Показано, что длительное (12-36 мес.) назначение этих препаратов у больных ХОБЛ тяжелого и крайне тяжелого течения улучшает бронхиальную проходимость, снижает выраженность симптомов, потребность в бронхолитиках, частоту обострений средней тяжести и тяжелых обострений, а также улучшает качество жизни пациентов по сравнению с терапией монопрепаратами и плацебо 24. В двух больших клинических исследованиях (TORCH и SUMMIT) не удалось доказать влияние ФП/Салм и комбинации флутиказона фуроат/вилантерол (ФФ/Вил) на выживаемость пациентов [18, 24].
Метаанализ 7 клинических исследований показал, что комбинация ИГКС/ДДБА превосходит ИГКС по влиянию на число обострений ХОБЛ [25]. Это объясняет, почему монотерапия ИГКС не рекомендуется для лечения ХОБЛ [1]. Особым показанием для назначения ИГКС/ДДБА служит сочетание БА и ХОБЛ, при котором эти препараты должны назначаться в соответствии с общепринятыми международными рекомендациями [25].
Развернувшаяся в последние годы дискуссия о роли ИГКС/ДДБА в терапии ХОБЛ инициирована результатами исследований их эффективности (по сравнению с бронхолитиками длительного действия) и эффекта отмены ИГКС на течение заболевания, а также данными о возможных побочных эффектах.
В исследовании INSPIRE было показано, что общая частота обострений ХОБЛ у пациентов, получавших ИГКС/ДДБА и длительно действующий антихолинергический препарат (ДДАХ) тиотропия бромид, была сопоставимой. В первой группе чаще встречались обострения, требующие применения антибиотиков, а во второй - системных глюкокортикоидов [19].
Эффективность и безопасность ИГКС/ДДБА и комбинаций 2-х длительно действующих бронхолитиков (ДДБА/ДДАХ) у больных ХОБЛ сравнивались в нескольких исследованиях, продолжающихся от 12 до 52 нед. [24, 26-30]. В трех из них использовалась комбинация индакатерол/гликопирроний (Инд/Глик), в остальных - вилантерол/умеклидиний. В качестве препарата сравнения применялся ФП/Салм.
Самым продолжительным стало исследование FLAME, в котором в течение 52 нед. больные ХОБЛ с ОФВ1 25-60%, имеющие 1 и более обострений в год, принимали Инд/Глик или ФП/Салм (см. табл. 1). Было показано, что частота обострений в первой группе на 11% ниже, чем во второй (3,59 vs 4,03; p <0,003). Бронхолитические препараты в большей степени, чем ИГКС/ДДБА, увеличивали время до первого обострения любой тяжести [24]. Полученные результаты явились одним из обоснований для отнесения бронхолитиков длительного действия или их комбинаций к препаратам первого ряда при лечения ХОБЛ [1].
Тем не менее и это исследование не дает окончательного ответа на вопрос о месте ИГКС в лечении ХОБЛ. В группе получавших комбинацию ДДБА/ДДАХ частота обострений в среднем составляла 3,59 в год, что обосновывает необходимость назначения им тройной терапии (ИГКС/ДДБА/ДДАХ). Частота тяжелых обострений в исследуемых группах была сопоставимой. Различия между группами уменьшились у больных, имеющих 2 и более обострений ХОБЛ в предшествующий год [24].
Предикторы эффективности ИГКС/ДДБА
Возможными предикторами эффективности ИГКС при ХОБЛ с частыми обострениями являются положительный тест на обратимость обструкции (прирост ОФВ1 на 12% и более и 400 мл и более), гиперреактивность бронхов, высокий уровень оксида азота в выдыхаемом воздухе и эозинофилия мокроты (>3%) и крови [31].
Одна из попыток выделить целевую группу больных ХОБЛ, которым показаны ИГКС, связана с использованием эозинофилов периферической крови как одного из наиболее доступных маркеров эозинофильного воспаления дыхательных путей. По данным изучения биопсий слизистой оболочки бронхов и мокроты, эозинофильное воспаление имеется примерно у 10-40 % пациентов при стабильном течении ХОБЛ и мало зависит от выраженности бронхиальной обструкции [32, 33]. При ретроспективном анализе нескольких исследований показано, что эффективность ИГКС/ДДБА выше при уровне эозинофилов крови больше 2% 36. Опубликованные в настоящее время данные не позволяют сделать вывод об абсолютном числе этих клеток, которое может служить пороговой величиной для назначения ИГКС. Более того, в единственном проспективном исследовании (FLAME) не удалось обнаружить связи между эффективностью ФП/Салм и уровнем эозинофилов крови [24]. Очевидно, что вопрос о предикторах эффективности ИГКС при ХОБЛ нуждается в дальнейшем изучении.
Влияние отмены ИГКС на течение ХОБЛ с частыми обострениями
В нескольких исследованиях было установлено, что отмена ИГКС у больных ХОБЛ не приводит к увеличению числа обострений в период от года до 5 лет, но сопровождается достоверным снижением показателей легочной функции и качества жизни пациентов [22, 37]. Эти данные свидетельствуют о возможности отмены ИГКС у пациентов с ХОБЛ, особенно у тех, кому эти препараты были назначены необоснованно или у которых отсутствуют четкие клинические доказательства их эффективности. В эту же группу, вероятно, можно отнести пациентов, имеющих побочные эффекты при их назначении. Вместе с тем пока недостаточно ясна методика снижения дозы или отмены ИГКС.
Полученные данные особенно актуальны для стран Западной Европы, в которых более 70% пациентов с ХОБЛ получают высокие дозы ИГКС [38], при этом число пациентов с частыми обострениями не превышает 40% [39]. Выполненное недавно в реальной клинической практике исследование, включавшее 1111 больных ХОБЛ в 23 городах России, показало иную картину. Фенотип с частыми обострениями имели 51% пациентов, из которых лишь менее половины (44,7%) получали комбинацию ИГКС/ДДБА или ИГКС/ДДБА/ДДАХ [40]. Вероятными причинами нерационального использования этих препаратов были особенности системы льготного лекарственного обеспечения больных ХОБЛ, недостаточное знакомство врачей с национальными и международными рекомендациями.
Безопасность ИГКС/ДДБА
Комбинация ИГКС/ДДБА/ДДАХ
Использование тройной терапии представляется логичным у пациентов с тяжелым течением ХОБЛ, выраженными симптомами и высокой частотой обострений несмотря на использование бронхолитиков или комбинации ИГКС/ДДБА. Показано, что добавление ДДАХ к комбинации ИГКС/ДДБА в течение 52 нед. приводит к дополнительной бронходилатации и снижает частоту обострений ХОБЛ [45]. Положительное влияние тройной терапии на функцию легких, клинические симптомы, а также качество жизни пациентов с ХОБЛ по сравнению с ИГКС/ДДБА было установлено в исследованиях меньшей продолжительности 48. Менее изучены эффекты добавления ИГКС к комбинации ДДАХ/ДДБА.
Заключение
Список литературы Свернуть Развернуть
Контент доступен под лицензией Creative Commons «Attribution» («Атрибуция») 4.0 Всемирная.
Болезнь Иценко — Кушинга - симптомы и лечение
Что такое болезнь Иценко — Кушинга? Причины возникновения, диагностику и методы лечения разберем в статье доктора Ворожцова Е. И., эндокринолога со стажем в 12 лет.
Над статьей доктора Ворожцова Е. И. работали литературный редактор Маргарита Тихонова , научный редактор Сергей Федосов
Определение болезни. Причины заболевания
Болезнь Иценко — Кушинга (БИК) — тяжёлое многосистемное заболевание гипоталомо-гипофизарного происхождения, клинические проявления которого обусловлены гиперсекрецией гормонов коры надпочечников. [1] Является АКТГ-зависимой формой гиперкортицизма (заболевания, связанного с избыточным выделением гормонов корой надпочечников).

Основная причина заболевания — кортикотрофная микроаденома (доброкачественная опухоль) гипофиза. Возникновение последней может быть связано со множеством факторов. Часто заболевание развивается после травмы головного мозга, беременности, родов, нейроинфекции.

Болезнь Иценко — Кушинга является редким заболеванием, частота встречаемости которого составляет 2-3 новых случая в год на один миллион населения. [2]
При обнаружении схожих симптомов проконсультируйтесь у врача. Не занимайтесь самолечением - это опасно для вашего здоровья!
Симптомы болезни Иценко — Кушинга
Клинические признаки данной болезни обусловлены гиперсекрецией кортикостероидов. В большинстве случаев первым клиническим признаком является ожирение, которое развивается на лице, шее, туловище и животе, при этом конечности становятся тонкими. Позднее проявляются кожные изменения — истончение кожи, трудно заживающие раны, яркие стрии (растяжки), гиперпигментация кожи, гирсутизм (избыточное появление волос на лице и теле).

Также важным и частым симптомом является мышечная слабость, развитие остеопороза.
Артериальная гипертензия при БИК носит постоянный и умеренный характер, в редких случаях артериальное давление остаётся в норме. Это связано с тем, что глюкокортикоиды (гормоны, вырабатываемые корой надпочечников) повышают сосудистый тонус и чувствительность адренорецепторов к катехоламинам (природным веществам, контролирующим межклеточное взаимодействие в организме).
Более чем у половины больных возникают нарушения психики. Наиболее частые из них: эмоциональная неустойчивость, депрессия, раздражительность, панические атаки, расстройство сна.
Нарушения менструального цикла (редкие, скудные менструации или их отсутствие) встречается у 70-80% пациенток, также довольно часто встречается бесплодие. У мужчин при БИК снижается половое влечение и возникает эректильная дисфункция.
Болезнь Иценко — Кушинга сопровождается иммунодефицитом, который проявляется в виде рецидивирующей инфекции (чаще всего возникает хронический пиелонефрит).
Частота клинических проявлений БИК: [3]
- лунообразное лицо — 90%;
- нарушенная толерантность к глюкозе — 85%;
- абдоминальный тип ожирения и гипертензия — 80%;
- гипогонадизм (недостаток тестостерона) — 75%;
- гирсутизм — 70%;
- остеопороз и мышечная слабость — 65%;
- стрии — 60%;
- отёк суставов, акне и отложение жира в области VII шейного позвонка — 55%;
- боли в спине — 50%;
- нарушения психики — 45%;
- ухудшение заживления ран — 35%;
- полиурия (избыточное мочеобразование), полидипсия (чрезмерная жажда) — 30%;
- кифоз (искривление позвоночника) — 25%; и полицитемия (увеличение концентрации эритроцитов в крови) — 20%.

Патогенез болезни Иценко — Кушинга
Патогенез данного заболевания носит многоступенчатый характер.
В кортикотрофах гипофиза возникают характерные рецепторно-пострецепторные дефекты, в дальнейшем приводящие к трансформации нормальных кортикотрофов в опухолевые с гиперпродукцией адрено-кортикотропного гормона и последующим развитием гиперкортицизма. [4]

На трансформацию нормальных кортикотрофов в опухолевые влияют гормоны гипоталамуса и местные ростовые факторы:
- эпидермальный фактор роста (стимулирует рост клеток эпителия);
- цитокины (отвечают за межклеточное взаимодействие);
- грелин (нарушает углеводный обмен); [14]
- сосудистый эндотелиальный фактор роста (способствует росту клеток эндотелия).
Хронически повышенная концентрация АКТГ приводит к повышенной секреции кортизола, который и обуславливает характерную клиническую картину БИК.
Классификация и стадии развития болезни Иценко — Кушинга
Классификация БИК по степени тяжести: [5]
- лёгкая форма — симптомы выражены в умеренной степени;
- средняя форма — симптомы явно выражены, осложнения отсутствуют;
- тяжёлая форма — при наличии всех симптомов БИК возникают различные осложнения.
Классификация БИК по течению:
- торпидное (патологические изменения формируются постепенно, на протяжении 3-10 лет);
- прогрессирующее (нарастание симптомов и осложнений заболевания происходит в течение 6-12 месяцев от начала заболевания);
- циклическое (клинические проявления возникают периодически, непостоянно).
Осложнения болезни Иценко — Кушинга
- Сосудистая исердечная недостаточность. Данное осложнение развивается у половины пациентов после 40 лет. Данная патология может привести к смерти. В большинстве случаев это происходит по причине тромбоэмболии лёгочной артерии, острой сердечной недостаточности и отёка легких.
- Патологические остеопоретические переломы. Наиболее часто встречаются переломы позвоночника, рёбер, трубчатых костей.
- Хроническая почечная недостаточность. У 25-30% больных снижается клубочковая фильтрация и канальцевая реабсорбция (обратное поглощение жидкости).
- Стероидный сахарный диабет. Данное осложнение наблюдается у 10-15% пациентов с данным заболеванием.
- Атрофия мыщц, в результате которой появляется выраженная слабость. У больных возникают трудности не только при передвижении, но и в момент вставания.
- Нарушения зрения (катаракта, экзофтальм, нарушение полей зрения).
- Психические расстройства. Наиболее часто встречается бессонница, депрессия, панические атаки, параноидальные состояния, истерия.
Диагностика болезни Иценко — Кушинга
Диагноз «Болезнь Иценко — Кушинга» можно установить на основании характерных жалоб, клинических проявлений, гормонально-биохимических изменений и данных инструментальных исследований.
Исключительно важными гормональными показателями для данной патологии будут АКТГ и кортизол. Уровень АКТГ повышается и колеблется в пределах от 80 до 150 пг/мл. [7] Повышение уровня кортизола в крови не всегда является информативным, так как увеличение данного показателя может быть обусловлено рядом других причин (стрессы, алкоголизм, беременность, эндогенная депрессия, семейная резистентность (споротивляемость) к глюкокортикоидам и т. д.). В связи с этим разработаны методы исследования уровня свободного кортизола в суточной моче или слюне. Наиболее информативным является исследование свободного кортизола в слюне в 23:00. [6]
Для доказательства гиперкортицизма используется малый дексаметазоновый тест. При БИК данная проба будет отрицательной, так как подавление кортизола при приёме 1 мг дексаметазона не происходит. [7]
Биохимический анализ крови способен выявить многочиселнные измения:
- повышение в сыворотке крови уровня холестерина, хлора, натрия и глобулинов;
- снижение в крови концентрации калия, фосфатов и альбуминов;
- снижение активности щелочной фосфатазы.
После подтверждённого гиперкортицизма необходимо проведение инструментальных методов исследования (МРТ гипофиза, КТ надпочечников).

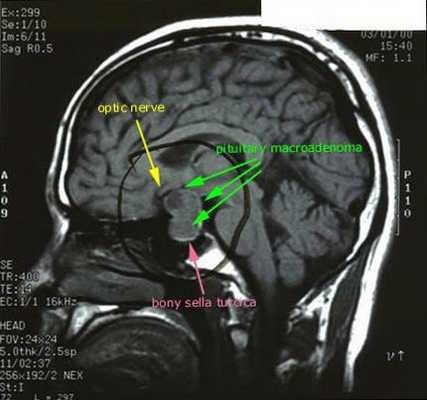
При БИК в 80-85% случаев выявляют микроаденому гипофиза (опухоль до 10 мм), у остальных 15-20% — макроаденому (доброкачественное новообразование от 10 мм). [7]
Лечение болезни Иценко — Кушинга
Медикаментозная терапия
В настоящее время эффективных лекарственных препаратов для лечения данной патологии не существует. В связи этим они используются либо при наличии противопоказаний для оперативного лечения, либо как вспомогательная терапия. Применяются следующие медикаменты:
- нейромодуляторы — блокируют образование АКТГ аденомой гипофиза (каберголин, бромкриптин, соматостатин); [8]
- препараты, блокирующие синтез стероидов в надпочечниках (кетоконазол, аминоглютетимид, митотан, метирапон);
- антагонисты глюкокортикоидов (мифепристон). [9]
Кроме препаратов данных групп пациентам назначается симптоматическая терапия для снижения симптомов гиперкортицизма и улучшения качества жизни пациента:
- гипотензивная терапия (ингибиторы АПФ, антагонисты кальция, диуретики, бета-адреноблокаторы);
- антирезорбтивная терапия при развитии стероидного остеопороза;
- препараты, корректирующие нарушения углеводного обмена (метформин, препараты сульфанилмочевины, инсулин);
- терапия, направленная на коррекцию дислипидемии;
- антиангинальная терапия.
Оперативная терапия
- Транссфеноидальная аденомэктомия в настоящее время считается наиболее эффективным и безопасным способом лечения БИК. [7] Противопоказаниями для данного вида лечения служат супраселлярный рост аденомы с прорастанием в боковые желудочки, тяжёлые сопутствующие заболевания, определяющие общий плохой послеоперационный прогноз. К осложнениям транссфеноидальной аденомэктомии относятся: ликворея (потеря спиномозговой жидкости), пансинусит (воспаление всех пазух носовой полости), несахарный диабет, приходящий гипокортицизм.

- Двусторонняя адреналэктомия используется при неэффективности аденомэктомии и радиохирургии. [10]
Радиохирургия
- Операция с помощью гамма-ножа. Во время проведения хирургического вмешательства луч радиации, направленный непосредственно в аденому гипофиза, разрушает её клетки. Данный метод лечения предотвращает рост опухоли при помощи однократной дозы радиации. Процедура длится около двух-трёх часов. Она не затрагивает окружающие структуры мозга, производится с точностью до 0,5 мм. Осложнения данной терапии — гиперемия (увеличение притока крови) в зоне облучения, алопеция (выпадение волос).

- Протонотерапия. [11] Данный вид лечения использует протонную энергию, которая генерируется в ядерных ускорителях. Протоны повреждают ДНК клеток, вследствие чего они погибают. Протоновый пучок фокусируют непосредственно на аденому, не повреждая окружающие ткани. Голова пациента фиксируется в специальной маске, которая изготавливается для каждого индивидуально. Во время процедуры облучения врач контролирует состояние больного, а операторы дистанционно наблюдают за пучком. Данный вид лечения обычно хорошо переносится пациентами. Улучшение самочувствия наблюдается уже через 1-1,5 месяца.
- Мегавольтное тормозное излучение медицинских ускорителей позволяет проникать электронам на большие расстояния. Данный вид терапии часто даёт хорошие результаты, но, одновременно с этим, усложняет дозиметрию (расчёты ионизирующих излучений), что может привести к опасным радиационным авариям.
Прогноз. Профилактика
Прогноз БИК зависит от нескольких показателей: формы и длительности заболевания, наличия осложнений, состояния иммунитета и других факторов.
Полное выздоровление и восстановление трудоспособности возможно при лёгкой форме болезни и небольшом стаже заболевания.
При средней и тяжёлой формах БИК трудоспособность крайне снижена или отсутствует. После проведённой двусторонней адреналэктомии развивается хроническая надпочечниковая недостаточность, которая диктует пожизненный приём глюко- и минералкортикоидов.
В целом любое лечение, как правило, приводит к улучшению качества жизни больного, однако она остаётся ниже, чем у лиц без данной патологии.
Болезнь Иценко — Кушинга — тяжёлое хроническое заболевание, которое при отсутствии своевременного лечения может стать причиной летального исхода. Смертность при данной патологии составляет 0,7%.
Пятилетняя выживаемость при БИК без проведения лечения составляет 50%, но заметно улучшается даже если проводить только паллиативное лечение (при двухсторонней адреналэктомии выживаемость увеличивается до 86%). [13]
Первичной профилактики БИК не существует. Вторичная профилактика заболевания направлена на предотвращение рецидива болезни.
Надпочечниковая недостаточность
Категории МКБ: Аддисонов криз (E27.2), Другая и неуточненная недостаточность коры надпочечников (E27.4), Медикаментозная недостаточность коры надпочечников (E27.3), Первичная недостаточность коры надпочечников (E27.1), Синдром уотерхауса-фридериксена (A39.1+) (E35.1*)
Общая информация
Краткое описание
Одобрен
Объединенной комиссией по качеству медицинских услуг
Министерства здравоохранения Республики Казахстан
от «18» августа 2017 года
Протокол № 26
Надпочечниковая недостаточность - тяжелое эндокринное заболевание, обусловленное недостаточной секрецией гормонов коры надпочечников, являющееся результатом нарушения функционирования одного или нескольких звеньев гипоталамо-гипофизарно-надпочечниковой системы. [1].
ВВОДНАЯ ЧАСТЬ
Код(ы) МКБ-10:
| МКБ-10 | |
| Код | Название |
| Е27.1. | Первичная недостаточность коры надпочечников |
| E27.2 | Аддисонов криз |
| Е27.3 | Медикаментозная недостаточность коры надпочечников |
| Е27.4 | Другая и неуточнённая недостаточность коры надпочечников. |
| A39.1 | синдром Уотерхауса-Фридериксена |
Дата разработки/пересмотра протокола: 2013 год (пересмотрен 2017 г.).
Сокращения, используемые в протоколе:
| 17 ОКС | - | 17 оксикортикостероиды |
| 2-НН | - | вторичная надпочечниковая недостаточность |
| АГПС | - | аутоиммунный полигландулярный синдром |
| АД- | - | артериальное давление |
| АКТГ | - | адренокортикотропный гормон |
| АРП | - | активность ренина плазмы |
| БК | - | бацилла Коха |
| ВОП | - | врачи общей практики |
| ГКС | - | глюкокортистероиды |
| ДОКСА | - | дезоксикортикостерона ацетат |
| ЖКТ | - | желудочно - кишечный тракт |
| КРГ | - | кортикотропин-рилизинг-гормон |
| КТ | - | компьютерная томография |
| КТ | - | компьютерная томография |
| ЛГ | - | лютеинизирующий гормон |
| ЛС | - | лекарственное средство |
| МЗ РК | - | министерство здравоохранения Республики Казахстан |
| МРТ | - | магнитно-резонансная томография |
| МРТ | - | магнитно-резонансная томография |
| НН | - | надпочечниковая недостаточность |
| ОНН | - | острая надпочечниковая недостаточность |
| ССС | - | сердечно-сосудистая система |
| СТГ | - | соматотропный гормон |
| Т3 | - | трийодтиронин |
| Т4 | - | тетрайодтиронин |
| ТТГ | - | тиреотропный гормон |
| ФПН | - | фетоплацентраная недостаточность |
| ФСГ | - | фолликулостимулирующий гормон |
| ХНКН | - | хроническая недостаточность коры надпочечников |
| ХНН | - | хроническая надпочечниковая недостаточность |
| ЭДТА | - | этилендиаминтетрауксусная кислота |
| ЭКГ | - | электрокардиограмма |
| СТГ | - | Соматотропный гормон |
| ЛГ | - | Лютеинизирующий гормон |
| ФСГ | - | Фоликулостимулирующий гормон |
Пользователи протокола: эндокринологи, терапевты, ВОП, акушер - гинекологи.
Категория пациентов: взрослые, беременные женщины.
Шкала уровня доказательности:
| А | Высококачественный мета-анализ, систематический обзор РКИ или крупное РКИ с очень низкой вероятностью (++) систематической ошибки результаты которых могут быть распространены на соответствующую популяцию |
| В | Высококачественный (++) систематический обзор когортных или исследований случай-контроль или высококачественное (++) когортное или исследований случай-контроль с очень низким риском систематической ошибки или РКИ с невысоким (+) риском систематической ошибки, результаты которых могут быть распространены на соответствующую популяцию |
| С | Когортное или исследование случай-контроль или контролируемое исследование без рандомизации с невысоким риском систематической ошибки (+), результаты которых могут быть распространены на соответствующую популяцию или РКИ с очень низким или невысоким риском систематической ошибки (++ или +), результаты которых не могут быть непосредственно распространены на соответствующую популяцию |
| D | Описание серии случаев или неконтролируемое исследование или мнение экспертов |
| GPP | Наилучшая клиническая практика |

Автоматизация клиники: быстро и недорого!
- Подключено 300 клиник из 4 стран
- 800 RUB / 4500 KZT / 27 BYN - 1 рабочее место в месяц

Автоматизация клиники: быстро и недорого!
- Подключено 300 клиник из 4 стран
- 1 место - 800 RUB / 4500 KZT / 27 BYN в месяц
Мне интересно! Свяжитесь со мной
Классификация
Первичный гипокортицизм/аддисонова болезнь:
· врожденная форма;
· приобретенная форма.
Врожденная форма:
· гипоальдостеронизм;
· адренолейкодистрофия;
· синдром Аллгрова;
· врожденная гипоплазия коры надпочечников;
· семейный изолированный дефицит глюкокортикоидов.
Приобретенная форма:
· аутоиммунный и инфекционный адреналит;
· амилоидоз и опухолевые метастазы.
Вторичный гипокортицизм:
· врожденная форма;
· приобретенная форма.
Третичная недостаточность коры надпочечников:
· врожденная форма;
· приобретенная форма.
Врожденная форма:
· недостаточность выработки кортиколиберина
· множественную недостаточность гипоталамуса,
Приобретенная форма:
· деструкции тканей гипоталамуса.
По тяжести как первичную, так и вторичную надпочечниковую недостаточность делят:
· легкая степень тяжести;
· средняя степень тяжести;
· тяжелая степень тяжести.
По выраженности клинических проявлений ХНН:
· явная форма;
· латентная форма.
На фоне лечения ХНН возможно выделение следующих фаз:
· декомпенсация;
· субкомпенсация;
· компенсация.
Диагностика
МЕТОДЫ, ПОДХОДЫ И ПРОЦЕДУРЫ ДИАГНОСТИКИ
При хронической надпочечниковой недостаточности
Диагностические критерии
Жалобы
:
· судорожный синдром;
· гиперпигментация кожи;
· приступы гипогликемии (потеря сознания, дрожь,потоотделение);
· постоянная слабость;
· повышенная утомляемость;
· снижение аппетита, потеря массы тела;
· повторная рвота, тошнота, диарея на фоне заболеваний, высокая температура, стресс;
· тяга к соленой пище.
Анамнез:
· наличие у пациента заболевания, одним из компонентов которого может быть ХНН;
· наличие близких родственников, страдающих наследственными формами ХНН.
· туберкулез/амилоидоз в анамнезе;
Физикальное обследование:
· гиперпигментация кожных покровов и слизистых оболочек (локальная или диффузная);
· бледность/сероватый оттенок кожи;
· низкое АД;
· дефицит массы тела/резкая потеря массы тела.
NB! Ни одно из клинических проявлений не является строго специфическим критерием диагностики ХНН и требует лабораторного подтверждения (УД-B) [3]
Для острой надпочечниковой недостаточности характерны стадии развития:
1 стадия - усиление слабости и гиперпигментации кожных покровов и слизистых оболочек (при первичной ХНН); головная боль, нарушение аппетита, тошнота и снижение АД. Особенностью гипотензии при ОНН является отсутствие компенсации от гипертензивных лекарственных препаратов - АД повышается только в ответ на введение глюко- и мине-ралокортикоидов.
2 стадия - резкая слабость, озноб, выраженные боли в животе, гипертермия, тошнота и многократная рвота с резкими признаками дегидратации, олигурия, сердцебиение, прогрессирующее падение АД.
3 стадия - коматозное состояние, сосудистый коллапс, анурия и гипотермия.
При хронической надпочечниковой недостаточности (I этап).
Лабораторные исследования (УД-B):
· уровень кортизола в сыворотке (время забора крови с 8.00);
· уровень АКТГ в плазме крови (время забора крови 8.00);
· ОАК;
· ОАМ;
· глюкоза в сыворотке крови;
· уровень калия в сыворотке крови;
· уровень натрия в сыворотке крови;
· ренин в плазме крови (активность ренина плазмы - АРП).
Уровень кортизола в сыворотке:
Таблица - 1. Оценка уровня базального кортизола (УД-B) [2].
| Кортизол, нмоль/л | Вероятность диагноза НН |
| менее 150 | Вероятна НН |
| 150—500 | Сомнительна НН |
| более 500 | Исключается НН |
Уровень АКТГ в плазме крови:
· при значительно повышенном уровне АКТГ (более 150 пг/мл) и уровне кортизола менее 500 нмоль/л диагноз первичной НН может быть установлен.
NB! При уровне АКТГ менее 150 пг/мл и уровнекортизола менее 500 нмоль/л, требуется дополнительный стимуляционный тест с синактеном (УД-B) [2].
NB! Если пациент получает терапию глюкокортикоидами, то исследование уровня базального кортизола и АКТГ не достоверно, рекомендуется переход ко II этапудиагностики с помощью стимуляционных проб.
Анализ суточной мочи, слюны на уровень свободного кортизола:
· повышение уровня свободного кортизола.
NB! Определение метаболитов стероидогенеза в суточной моче (17-ОКС) не является информативным и нe рекомендуется для диагностики НН (УД - E) [2].

Схема 1. Алгоритм проведения пробы с АКТГ короткого действия (УД - B) [2]:
NB! При отсутствии препаратов АКТГ короткого действия возможно проведение аналогичной пробы с препаратом АКТГ пролонгированного действия (тетракозактид).

Схема 2. Алгоритм проведения пробы с АКТГ пролонгированного действия
NB! Нормальные показатели калия, натрия, ренина, альдостерона окончательно не исключают наличие минералокортикоидной недостаточности. [2].

Схема 3. Диагностика минералокортикоидной недостаточности. Проба с фуросемидом
При острой надпочечниковой недостаточности:
Определение электролитов в сыворотке крови:
· резкое снижение содержания натрия (гипонатриемия) и хлоридов. Уровень натрия может быть 130 мэкв и ниже.
· гиперкалиемия до 5-6 мэкв, иногда этот показатель достигает 8 мэкв;
· изменение соотношение Na/K (снижение до 20 и ниже).
Определение глюкозы в сыворотке крови:
· гипогликемия;
Биохимический анализ крови:
· повышение уровня мочевины, остаточного азота.
КЩС крови:
· повышение гематокрита, уменьшение щелочности крови.
ОАМ:
· характерным является снижение выделения натрия с мочой, которое составляет менее 10 г за сутки;
Для диагностики центрального гипокортицизма используются тест с инсулином, тест с метирапоном и стимуляционная проба с КРГ.

Схема 4. Алгоритм диагностики вторичного гипокортицизма.
Инструментальные исследования:
· ЭКГ (вследствие электролитного дисбаланса) - при острой надпочечниковой недостаточности характерные изменения: высокий заостренный зубец Q; удлинение интервала ST и комплекса; QRT низковольтная ЭКГ ;
· рентгенография органов грудной клетки - для исключения туберкулеза легких, как этиологического фактора первичной ХНН;
· КТ надпочечников - исключение патологии надпочечников, как причины первичной ХНН: уменьшение размеров, инфаркт надпочечников, опухолевые метастазы в надпочечники (чаще из легкого или молочной железы),амилоидоз надпочечников и т.д.;
· МРТ головного мозга с контрастным усилением - исключение патологии гипоталамо-гипофизарной области, как причины вторичной или третичной ХНН:деструктивные или опухолевые процессы, гранулематозные процессы в области гипоталамуса или гипофиза, сосудистых заболеваний: кровоизлияния в гипоталамус или гипофиз.
Показания для консультации специалистов:
· консультация гинеколога - при нарушении репродуктивной функции у женщин;
· консультация уролога - при нарушении репродуктивной функции у мужчин;
· консультация акушер-гинеколога-при планировании беременности и наблюдение беременной, роженицы, родильницы;
· консультация фтизиатра - дляисключение специфического процесса (туберкулезной этиологии);
· консультация генетика - медико - генетические консультации врожденной патологии;
· консультация онколога - исключение онкологической патологии;
· консультация кардиолога - при нарушениях ритма сердца, патологии ССС.

Диагностический алгоритм:
Схема 5
Дифференциальный диагноз
Дифференциальный диагноз и обоснование дополнительных исследований
Таблица - 1. Дифференциальный диагноз первичной и вторичной ХНН
Синдром Иценко-Кушинга (гиперкортицизм)
Синдром Иценко-Кушинга - патологический симптомокомплекс, возникающий вследствие гиперкортицизма, т. е. повышенного выделения корой надпочечников гормона кортизола либо длительного лечения глюкокортикоидами. Следует отличать синдром Иценко-Кушинга от болезни Иценко-Кушинга, под которой понимают вторичный гиперкортицизм, развивающийся при патологии гипоталамо-гипофизарной системы. Диагностика синдрома Иценко-Кушинга включает исследование уровня кортизола и гипофизарных гормонов, дексаметазоновую пробу, МРТ, КТ и сцинтиграфию надпочечников. Лечение синдрома Иценко-Кушинга зависит от его причины и может заключатся в отмене глюкокортикоидной терапии, назначении ингибиторов стероидогенеза, оперативном удалении опухоли надпочечников.
Общие сведения
Синдром Иценко-Кушинга - патологический симптомокомплекс, возникающий вследствие гиперкортицизма, т. е. повышенного выделения корой надпочечников гормона кортизола либо длительного лечения глюкокортикоидами. Глюкокортикоидные гормоны участвуют в регуляции всех видов обмена веществ и многих физиологических функций. Работу надпочечников регулирует гипофиз путем секреции АКТГ - адренокортикотропного гормона, активизирующего синтез кортизола и кортикостерона. Деятельностью гипофиза управляют гормоны гипоталамуса - статины и либерины.
Такая многоступенчатая регуляция необходима для обеспечения слаженности функций организма и обменных процессов. Нарушение одного из звеньев этой цепи может вызвать гиперсекрецию глюкокортикоидных гормонов корой надпочечников и привести к развитию синдрома Иценко-Кушинга. У женщин синдром Иценко-Кушинга встречается в 10 раз чаще, чем у мужчин, развиваясь, преимущественно, в возрасте 25-40 лет.
Различают синдром и болезнь Иценко-Кушинга: последняя клинически проявляется той же симптоматикой, но в ее основе лежит первичное поражение гипоталамо-гипофизарной системы, а гиперфункция коры надпочечников развивается вторично. У пациентов, страдающих алкоголизмом или тяжелыми депрессивными расстройствами, иногда развивается псевдо-синдром Иценко-Кушинга.
Причины и механизм развития синдрома Иценко-Кушинга
Синдром Иценко-Кушинга - широкое понятие, включающее комплекс различных состояний, характеризующихся гиперкортицизмом. Согласно современным исследования в области эндокринологии более 80% случаев развития синдрома Иценко-Кушинга связано с повышенной секрецией АКТГ микроаденомой гипофиза (болезнь Иценко-Кушинга). Микроаденома гипофиза представляет небольшую (не более 2 см), чаще доброкачественную, железистую опухоль, продуцирующую адренокортикотропный гормон.
У 14-18% пациентов причиной синдрома Иценко-Кушинга является первичное поражение коры надпочечников в результате гиперпластических опухолевых образований коры надпочечников - аденомы, аденоматоза, аденокарциномы.
1-2% заболевания вызывается АКТГ-эктопированным или кортиколиберин-эктопированным синдромом - опухолью, секретирующей кортикотропный гормон (кортикотропиномой). АКТГ-эктопированный синдром может вызываться опухолями различных органов: легких, яичек, яичников, тимуса, околощитовидных, щитовидной, поджелудочной, предстательной железы. Частота развития лекарственного синдром Иценко-Кушинга зависит от правильности применения глюкокортикоидов в лечении пациентов с системными заболеваниями.
Гиперсекреция кортизола при синдроме Иценко-Кушинга вызывает катаболический эффект - распад белковых структур костей, мышц (в том числе и сердечной), кожи, внутренних органов и т. д., со временем приводя к дистрофии и атрофии тканей. Усиление глюкогенеза и всасывания в кишечнике глюкозы вызывает развитие стероидной формы диабета. Нарушения жирового обмена при синдроме Иценко-Кушинга характеризуется избыточным отложением жира на одних участках тела и атрофией на других ввиду их разной чувствительности к глюкокортикоидам. Влияние избыточного уровня кортизола на почки проявляется электролитными расстройствами - гипокалиемией и гипернатриемией и, как следствие, повышением артериального давления и усугублением дистрофических процессов в мышечной ткани.
В наибольшей степени от гиперкортицизма страдает сердечная мышца, что проявляется в развитии кардиомиопатии, сердечной недостаточности и аритмий. Кортизол оказывает угнетающее действие на иммунитет, вызывая у пациентов с синдромом Иценко-Кушинга склонность к инфекциям. Течение синдрома Иценко-Кушинга может быть легкой, средней и тяжелой формы; прогрессирующим (с развитием всего симптомокомплекса за 6-12 месяцев) или постепенным (с нарастанием в течение 2-10 лет).
Симптомы синдрома Иценко-Кушинга
Наиболее характерным признаком синдрома Иценко-Кушинга служит ожирение, выявляемое у пациентов более чем в 90% случаев. Перераспределение жира носит неравномерный характер, по кушингоидному типу. Жировые отложения наблюдаются на лице, шее, груди, животе, спине при относительно худых конечностях («колосс на глиняных ногах»). Лицо становится лунообразным, красно-багрового цвета с цианотичным оттенком («матронизм»). Отложение жира в области VII шейного позвонка создает, так называемый, «климактерический» или «бизоний» горб. При синдроме Иценко-Кушинга ожирение отличает истонченная, почти прозрачная кожа на тыльных сторонах ладоней.
Со стороны мышечной системы наблюдается атрофия мышц, снижение тонуса и силы мускулатуры, что проявляется мышечной слабостью (миопатией). Типичными признаками, сопровождающими синдром Иценко-Кушинга, являются «скошенные ягодицы» (уменьшение объема бедренных и ягодичных мышц), «лягушачий живот» (гипотрофия мышц живота), грыжи белой линии живота.
Кожа у пациентов с синдромом Иценко-Кушинга имеет характерный «мраморный» оттенок с хорошо заметным сосудистым рисунком, склонна к шелушению, сухости, перемежается с участками потливости. На коже плечевого пояса, молочных желез, живота, ягодиц и бедер образуются полосы растяжения кожи - стрии багровой или цианотичной окраски, длиной от нескольких миллиметров до 8 см и шириной до 2 см. Наблюдаются кожные высыпания (акне), подкожные кровоизлияния, сосудистые звездочки, гиперпигментация отдельных участков кожи.
При гиперкортицизме нередко развивается истончение и повреждение костной ткани - остеопороз, ведущий к сильным болезненным ощущениям, деформации и переломам костей, кифосколиозу и сколиозу, более выраженных в поясничном и грудном отделах позвоночника. За счет компрессии позвонков пациенты становятся сутулыми и меньше ростом. У детей с синдромом Иценко-Кушинга наблюдается отставание в росте, вызванное замедлением развития эпифизарных хрящей.
Нарушения со стороны сердечной мышцы проявляются в развитии кардиомиопатии, сопровождающейся аритмиями (фибрилляцией предсердий, экстрасистолией), артериальной гипертензией и симптомами сердечной недостаточности. Эти грозные осложнения способны привести к гибели пациентов. При синдроме Иценко-Кушинга страдает нервная система, что выражается в ее нестабильной работе: заторможенности, депрессиях, эйфории, стероидных психозах, суицидальных попытках.
В 10-20% случаев в ходе заболевания развивается стероидный сахарный диабет, не связанный с поражениями поджелудочной железы. Протекает такой диабет довольно легко, с длительным нормальным уровнем инсулина в крови, быстро компенсируется индивидуальной диетой и сахароснижающими препаратами. Иногда развиваются поли- и никтурия, периферические отеки.
Гиперандрогения у женщин, сопровождающая синдром Иценко-Кушинга, вызывает развитие вирилизации, гирсутизма, гипертрихоза, нарушений менструального цикла, аменореи, бесплодия. У пациентов-мужчин наблюдаются признаки феминизации, атрофия яичек, снижение потенции и либидо, гинекомастия.
Осложнения
Хроническое, прогрессирующее течение синдрома Иценко-Кушинга с нарастающей симптоматикой может приводить к гибели пациентов в результате осложнений, несовместимых с жизнью: декомпенсации сердечной деятельности, инсультов, сепсиса, тяжелого пиелонефрита, хронической почечной недостаточности, остеопороза с множественными переломами позвоночника и ребер.
Неотложным состоянием при синдроме Иценко-Кушинга является адреналовый (надпочечниковый) криз, проявляющийся нарушением сознания, артериальной гипотензией, рвотой, болями в животе, гипогликемией, гипонатриемией, гиперкалиемией и метаболическим ацидозом.
В результате снижения резистентности к инфекциям у пациентов с синдромом Иценко-Кушинга нередко развиваются фурункулез, флегмоны, нагноительные и грибковые заболевания кожи. Развитие мочекаменной болезни связано с остеопорозом костей и выделением с мочой избытка кальция и фосфатов, приводящих к образованию оксалатных и фосфатных камней в почках. Беременность у женщин с гиперкортицизмом часто заканчивается выкидышем или осложненными родами.
Диагностика синдрома Иценко-Кушинга
При подозрении у пациента синдрома Иценко-Кушинга на основании амнестических и физикальных данных и исключении экзогенного источника поступления глюкокортикоидов (в т. ч. ингаляционного и внутрисуставного), в первую очередь выясняется причина гиперкортицизма. Для этого используется скрининговые тесты:
- определение экскреции кортизола в суточной моче: повышение кортизола в 3-4 раза и более свидетельствует о достоверности диагноза синдрома или болезни Иценко-Кушинга.
- малую дексаметазоновую пробу: в норме прием дексаметазона снижает уровень кортизола более чем в половину, а при синдроме Иценко-Кушинга снижения не происходит.
Дифференциальную диагностику между болезнью и синдромом Иценко-Кушинга позволяет провести большая дексаметазоновая проба. При болезни Иценко-Кушинга прием дексаметазона приводит к снижению концентрации кортизола более чем в 2 раза от исходного; при синдроме снижения кортизола не происходит.
В моче повышено содержание 11-ОКС (11-оксикетостероидов) и снижено 17-КС. В крови гипокалиемия, увеличение количества гемоглобина, эритроцитов и холестерина. Для определения источника гиперкортицизма (двусторонняя гиперплазия надпочечников, аденома гипофиза, кортикостерома) проводится МРТ или КТ надпочечников и гипофиза, сцинтиграфия надпочечников. С целью диагностики осложнений синдрома Иценко-Кушинга (остеопороза, компрессионных переломов позвонков, перелома ребер и т. д.) проводится рентгенография и КТ позвоночника, грудной клетки. Биохимическое исследование показателей крови диагностирует электролитные нарушения, стероидный сахарный диабет и др.
Лечение синдрома Иценко-Кушинга
При ятрогенной (лекарственной) природе синдрома Иценко-Кушинга необходима постепенная отмена глюкокортикоидов и замена их на другие иммунодепрессанты. При эндогенной природе гиперкортицизма назначаются препараты, подавляющие стероидогенез (аминоглютетимид, митотан).
При наличии опухолевого поражения надпочечников, гипофиза, легких проводится хирургическое удаление новообразований, а при невозможности - одно- или двусторонняя адреналэктомия (удаление надпочечника) или лучевая терапия гипоталамо-гипофизарной области. Лучевую терапию часто проводят в комбинации с хирургическим или медикаментозным лечением для усиления и закрепления эффекта.
Симптоматическое лечение при синдроме Иценко-Кушинга включает применение гипотензивных, мочегонных, сахароснижающих препаратов, сердечных гликозидов, биостимуляторов и иммуномодуляторов, антидепрессантов или седативных средств, витаминотерапию, лекарственную терапию остеопороза. Проводится компенсация белкового, минерального и углеводного обмена. Послеоперационное лечение пациентов с хронической надпочечниковой недостаточностью, перенесших адреналэктомию, состоит в постоянной заместительной гормональной терапии.
Прогноз синдрома Иценко-Кушинга
При игнорировании лечения синдрома Иценко-Кушинга развиваются необратимые изменения, приводящие к летальному исходу у 40-50% пациентов. Если причиной синдрома явилась доброкачественная кортикостерома, прогноз удовлетворительный, хотя функции здорового надпочечника восстанавливаются только у 80% пациентов. При диагностике злокачественных кортикостером прогноз пятилетней выживаемости - 20-25% (в среднем 14 месяцев). При хронической надпочечниковой недостаточности показана пожизненная заместительная терапия минерало- и глюкокортикоидами.
В целом прогноз синдрома Иценко-Кушинга определяется своевременностью диагностики и лечения, причинами, наличием и степенью выраженности осложнений, возможностью и эффективностью оперативного вмешательства. Пациенты с синдромом Иценко-Кушинга находятся на динамическом наблюдении у эндокринолога, им не рекомендуются тяжелые физические нагрузки, ночные смены на производстве.
Глюкокортикоидная недостаточность при заболеваниях легких.
предоставляем актуальную медицинскую информацию от ведущих специалистов, помогая врачам в ежедневной работе
Хроническая обструктивная болезнь легких (ХОБЛ) - хроническое экологически опосредованное воспалительное заболевание респираторной системы с преимущественным поражением дистальных отделов дыхательных путей и легочной паренхимы, характеризующееся частично обратимой бронхиальной обструкцией, прогрессирующей дыхательной недостаточностью и системными проявлениями.
В настоящее время, по официальной статистике, число больных ХОБЛ в России составляет около 1 млн. человек, но по результатам подсчета с использованием эпидемиологических маркеров гипотетически больных должно быть около 11 млн. Предполагается, что имеющиеся статистические данные не отражают истинной распространенности этой патологии, которая в действительности значительно выше. Это объясняется тем, что значительное число случаев ХОБЛ не диагностируется на ранних этапах, поскольку больные, как правило, обращаются за помощью в поздней стадии заболевания, приобретающего уже тяжелое или среднетяжелое течение. Больные с легким течением ХОБЛ, у которых имеет место привычный кашель курильщика при отсутствии одышки или ее незначительной выраженности и относительно удовлетворительном самочувствии, не попадают в поле зрения врачей, ошибочно считая себя здоровыми.
Помимо повсеместно наблюдаемого роста распространенности ХОБЛ, в настоящее время еще более высокие цифры представляет показатель смертности от этого заболевания. Сейчас ХОБЛ занимает четвертое место в структуре причин смертности в мире, однако в ближайшие десятилетия прогнозируется дальнейший рост как распространенности, так и смертности от ХОБЛ.
Ведение больных ХОБЛ регламентировано международными и национальными рекомендациями и в общем виде может быть представлено в таблице 1.
Воспалительная природа заболевания оправдывает применение у данной категории пациентов лекарственных средств с противовоспалительным механизмом действия, среди которых основное место занимают глюкокортикоиды (ГК).
Существуют различные принципы классификации ГК (длительность фармакологического эффекта, аффинность к глюкокортикоидным рецепторам, выраженность глюкокортикоидного и минералокортикоидного действия, лекарственная форма). Наиболее оправданным с позиций клинической практики и определения показаний к применению может быть классификация ГК на основе системного или топического действия (рис. 1).
Системные ГК оказывают свое действие при введении препаратов парентерально или внутрь.
Для парентерального применения используются как водорастворимые, так и не растворимые в воде ГК. Первые (фосфаты, сукцинаты и гемисукцинаты) обеспечивают быстрое достижение эффекта и относительную его кратковременность. Нерастворимые в воде ГК (аценаты и ацетониды) характеризуются медленно развивающимся и длительным эффектом. При внутривенном введении ГК терапевтический эффект является более быстрым и кратковременным в сравнении с внутримышечными инъекциями, при которых начало действия регистрируется в пределах 2 ч. Таблетированные ГК характеризуются высокой биодоступностью (60% для гидрокортизона и 90% для метилпреднизолона), обеспечиваемой устойчивостью к метаболизму в печени.
Ингаляционные глюкокортикоиды (ИГК). К ИГК относятся беклометазон, будесонид (Пульмикорт), флутиказон, мометазон, триамцинолон. В отличие от системных ГК ИГК обладают следующими свойствами:
• высокая аффинность к ГК-рецепторам
• действие в минимальных дозах
• выраженный местный противовоспалительный эффект
• низкая системная (пероральная, легочная) биодоступность
• быстрая инактивация
• короткий период полувыведения из крови.
ИГК угнетают все фазы воспаления в бронхах и снижают их повышенную реактивность, что позволяет считать их базисными препаратами для лечении бронхиальной астмы персистирующего течения, а также ХОБЛ средней тяжести и тяжелого течения. При применении ИГК у больных ХОБЛ важное значение приобретает их способность понижать бронхиальную секрецию (уменьшать объем трахеобронхиального секрета) и потенцировать действие ?2-агонистов. Кроме того, назначение ИГК позволяет уменьшить потребность в таблетированных ГК. Важной характеристикой ИГК является терапевтический индекс, т.е. соотношение местной противовоспалительной активности и системного действия. Наиболее благоприятный терапевтический индекс среди ИГК имеет Пульмикорт.
ИГК доступны в виде дозированных аэрозольных ингаляторов (ДАИ) и дозированных порошковых ингаляторов (ДПИ), а также растворов для небулизации. При использовании ДАИ целесообразно применение спейсера. ДАИ в сочетании со спейсером, ДПИ и небулайзер обеспечивают сопоставимое качество доставки ИГК у пациентов со стабильной ХОБЛ. При тяжелых обострениях ХОБЛ, когда больной не в состоянии использовать ДАИ, оправдана небулайзерная терапия ИГК. При правильном выборе системы и техники ингаляции системные побочные эффекты ИГК незначительны из-за низкой биодоступности и быстрой метаболической активации этих препаратов в печени. Следует иметь в виду, что все существующие ИГК в той или иной степени всасываются в легких. Местные побочные эффекты ИГК, особенно при длительном применении, заключаются в развитии ротоглоточного кандидоза (у 5-25% больных), реже — кандидоза пищевода, дисфонии (у 30-58% больных), кашля.
ИКГ в комбинации с ?2-агонистами длительного действия представлены в виде двух препаратов: флютиказон + сальметерол и будесонид + формотерол (Симбикорт). Комбинированные ингаляционные препараты, содержащие ГК и ?2-агонисты длительного действия, имеют определенные преимущества, поскольку ГК потенцируют действие бронхолитиков и препятствуют десенситизации b-рецепторов при изолированном применении ?2-агонистов. Эффект этих комбинаций обусловлен не простым суммированием лекарственных компонентов, а их комплементарностью, что позволяет рассматривать входящие в состав препараты как синергисты. Какое же место занимают ГК в лечении больных ХОБЛ?
Системные глюкокортикоиды
Высокая противовоспалительная активность ГК позволяет считать их препаратами первой линии при лечении больных с обострением ХОБЛ, поскольку выраженный воспалительный отек бронхиальных слизистых наряду с гиперсекрецией слизи при обострении заболевания затрудняют как доставку, так и абсорбцию препаратов при их ингаляционном введении. Имеются достоверные доказательства (уровень доказательности А), что короткие курсы системными ГК при обострении ХОБЛ способствуют более быстрому и более выраженному увеличению бронхиальной проходимости (по данным ОФВ1), сокращению продолжительности госпитализации и увеличению временного интервала до следующего обострения [1]. Продолжительность применения ГК у больных обострением ХОБЛ не должна превышать 2-3 нед, поскольку не удалось выявить преимуществ при назначении ГК в течение 8 недель по сравнению с 2-недельным лечением (уровень доказательности А). Более длительное применение ГК внутрь для терапии ХОБЛ являлось предметом двух ретроспективных исследований. Полученные в ходе этих исследований данные не позволяют рекомендовать больным ХОБЛ такое лечение из-за высокой частоты побочных эффектов (уровень доказательности А).
Эксперты GOLD рекомендуют при обострениях ХОБЛ применять внутрь преднизолон в суточной дозе 40 мг в течение 10 дней [3]. Это лечение показано всем больным с тяжелым обострением ХОБЛ при величине ОФВ1
Читайте также:
- Fab-фрагмент антитела. Полные антитела. Неполные антитела. Fc-фрагмент антитела.
- Анатомия : Мышцы вентральной стороны туловища. Мышцы груди.
- Послеоперационный уход после артроскопии коленного сустава
- Антибактериальная терапия инфекции глаза. Антибиотики при эндофтальмите
- Раздражение дыхательных путей окисью азота и легкие хоккеиста
