Холестериновая гранулема среднего уха - лучевая диагностика
Добавил пользователь Евгений Кузнецов Обновлено: 29.12.2025
Отделение оториноларингологии, отделение компьютерной томографии Научного центра здоровья детей РАМН, Москва
Отделение рентгеновской компьютерной томографии Научного центра здоровья детей РАМН, Москва
Трудности лучевой диагностики злокачественных опухолей среднего уха у детей
Цель работы - представить возможности КТ- и МРТ-диагностики злокачественных новообразований среднего уха у детей. Злокачественные новообразования среднего уха у детей представляют большие трудности в диагностике. Проанализированы субъективные и объективные причины, способствующие позднему установлению диагноза. Основное внимание уделено возможностям КТ и МРТ в диагностике злокачественных новообразований среднего уха у детей. Даны лучевые дифференциально-диагностические критерии злокачественных новообразований.
Злокачественные опухоли среднего уха у детей составляют около 20% среди всех злокачественных новообразований ЛОР-органов и представляют значительные трудности для ранней диагностики и соответственно лечения [1—3]. Рабдомиосаркома и лангергансоклеточный гистиоцитоз относятся к наиболее распространенным новообразованиям среднего уха у детей.
К сожалению, практически в 50% случаев диагноз опухоли устанавливается поздно. Это обусловлено нетипичной клинической картиной заболевания на ранних стадиях (боль и выделения из уха, снижение слуха), что симулирует затянувшийся или хронический средний отит. Опухолевый процесс часто распространяется из среднего уха в наружный слуховой проход, где клинически ошибочно расценивается как полип, и проводится полипотомия. Однако такой «полип» вскоре вновь рецидивирует. Повторный рост «полипов» или «грануляций» у ребенка должен заставить ЛОР-врача до проведения повторных хирургических вмешательств исключить новообразование среднего уха, что на практике встречается далеко не всегда.
На более поздних стадиях болезни характерно вовлечение в патологический процесс лицевого нерва с развитием его пареза, а также поражение других черепных нервов, развитие общемозговых, вестибулярных и мозжечковых расстройств. Появление подобной симптоматики также должно явиться основанием для детального обследования ребенка.
В современных условиях важная роль в диагностике новообразований уха принадлежит лучевым методикам. Расположение среднего уха в пирамиде височной кости предопределяет ведущую роль в диагностическом процессе компьютерной томографии (КТ), поскольку метод позволяет детально оценить в первую очередь состояние костных структур. Дополнительные возможности в оценке мягкотканных изменений открывает магнитно-резонансная томография (МРТ) [4—7].
К сожалению, лучевая диагностика опухолей среднего уха для рентгенолога, так же как и для клинициста, представляет значительные трудности, поскольку изменения, особенно на ранних стадиях болезни, не являются патогномоничными и требуют от специалиста проведения дифференциальной диагностики с другими заболеваниями уха.
Цель работы — продемонстрировать возможности КТ- и МРТ-диагностики злокачественных новообразований среднего уха у детей.

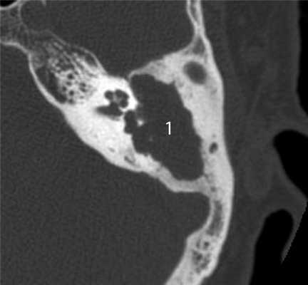
КТ-признаки злокачественной опухоли височной кости предопределяются происходящими в ней патоморфологическими изменениями. Так, наличие опухолевых масс в среднем ухе на КТ проявляется нарушением пневматизации полостей среднего уха (рис. 1). Рисунок 1. Лангергансоклеточный гистиоцитоз. Аксиальная проекция правой височной кости. Отсутствует пневматизация полостей среднего уха за счет наличия опухоли (1), вызывающей обширные деструктивные изменения в пирамиде. Цепь слуховых косточек сохранена (2). Степень выраженности данного КТ-симптома обусловлена размерами самой опухоли и ее точной локализацией в височной кости. Нарушение пневматизации полостей среднего уха не является специфичным для новообразований и постоянно встречается при других заболеваниях среднего уха, в первую очередь при остром и хроническом средних отитах.
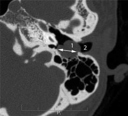
Частым проявлением опухоли височной кости, как было сказано выше, является ее распространение в наружный слуховой проход, что находит свое отражение и на КТ. При небольших размерах полипозного новообразования на КТ в просвете наружного слухового прохода визуализируется образование, исходящее из барабанной полости или проникающее в слуховой проход через его разрушенную стенку (рис. 2). Рисунок 2. Лангергансоклеточный гистиоцитоз. Коронарная проекция правой височной кости. В наружном слуховом проходе определяется полипозное образование (1), на уровне которого верхняя стенка НСП деструктивно изменена. Нарушена пневматизация среднего уха (2). Большой «полип» проявляется на КТ полной обтурацией воздушного просвета слухового прохода мягкотканным образованием (рис. 3). Рисунок 3. Рабдомиосаркома. Аксиальная проекция левой височной кости. Отсутствует пневматизация костного устья слуховой трубы и барабанной полости (1). Просвет наружного слухового прохода обтурирован мягкотканным полипозным образованием (2). Деструкция задней стенки барабанной полости и наружного слухового прохода (3). При анализе данного КТ-признака следует учитывать, что истинные полипы, встречающиеся при хроническом гнойном среднем отите, в отличие от опухолей имеют излюбленную локализацию и чаще всего исходят из верхних отделов барабанной полости.
Рост злокачественного новообразования среднего уха сопровождается деструктивными изменениями прилежащих костных структур. КТ позволяет не только выявить участки костной деструкции в височной кости, но и точно оценить их локализацию, размеры, вовлечение в патологический процесс структур лабиринта, средней и задней черепных ямок, канала лицевого нерва [4—6]. Обнаружение на КТ костно-деструктивных изменений позволяет рентгенологу заподозрить опухолевый процесс, однако и здесь возникает необходимость проведения дифференциального диагноза между злокачественной опухолью, воспалительным заболеванием среднего уха и доброкачественным новообразованием. Следует отметить, что каждому из перечисленных заболеваний среднего уха свойственны свои особенности деструктивного процесса в височной кости, на чем и основывается дифференциальная диагностика между ними.

Главными отличительными признаками костной деструкции опухолевого генеза являются беспорядочность и широкая распространенность (рис. 4). Рисунок 4. Лангергансоклеточный гистиоцитоз. Аксиальная проекция правой височной кости. Распространенные беспорядочные деструктивные изменения остеолитического характера (1) в пирамиде и сосцевидном отростке. Мягкотканное образование (2) выполняет барабанную полость, обтурирует наружный слуховой проход. Участки костной деструкции могут быть выявлены на КТ в сосцевидном отростке, наружном слуховом проходе, в стенках барабанной полости и антрума, в капсуле лабиринта, в пирамиде височной кости и за ее пределами в костях основания и свода черепа [2, 4, 5]. Чем раньше обследуется ребенок с опухолью среднего уха, тем менее распространена деструкция в височной кости. Самые ранние стадии опухолевого процесса характеризуются ее отсутствием, что крайне затрудняет установление диагноза.
Другой отличительной особенностью деструкции при опухолях является литический характер, проявляющийся наличием в височной кости дефектов различной величины, значительным снижением плотности костной ткани в сочетании с неровностью и нечеткостью ее краев без явлений склероза (см. рис. 4).
Сохранность слуховых косточек на фоне деструктивных изменений — третья отличительная особенность костной деструкции при злокачественных опухолях [4, 5] (см. рис. 1).
Дифференциальный диагноз злокачественной опухоли височной кости по данным КТ проводится с холестеатомой, невриномой лицевого нерва, гломусной опухолью.

На практике у детей часто встречается вторичная холестеатома, которая развивается на фоне хронического гнойного среднего отита. Наибольшие трудности в плане дифференциальной диагностики злокачественной опухоли представляет агрессивная холестеатома у детей раннего возраста (2—5 лет). Главными отличительными ее КТ-признаками являются разрушение слуховых косточек, предсказуемый и смешанный характер деструкции, характеризующийся наличием в височной кости как участков лизиса, так и участков разрушения кости с четкими склерозированными краями [8] (рис. 5). Рисунок 5. Холестеатома аттико-антральной области. Аксиальная проекция левой височной кости. В аттико-антральной области определяется деструктивная полость (1), выполненная мягкотканным субстратом. Костные стенки полости неровные, но четкие склерозированные, слуховые косточки разрушены и не определяются.

Невринома лицевого нерва в отличие от злокачественной опухоли характеризуется на КТ наличием в височной кости мягкотканного образования, имеющего достаточно ровные четкие контуры. Образование располагается по ходу одной из частей канала лицевого нерва и вызывает разрушение его костных стенок [5, 6, 9]. Невринома мастоидальной части лицевого нерва вследствие близкого расположения к наружному слуховому проходу часто распространяется в его просвет в виде округлого образования, вызывающего разрушение задней стенки (рис. 6). Рисунок 6. Невринома лицевого нерва. Аксиальная проекция левой височной кости. По ходу мастоидальной части канала лицевого нерва определяется объемное образование (1), распространяющееся в наружный слуховой проход (2). Стенки мастоидальной части канала лицевого нерва и задняя стенка наружного слухового прохода разрушены (стрелка). При клиническом осмотре в наружном слуховом проходе определяется образование плотноэластической консистенции на широком основании.
КТ-симптоматика параганглиомы или гломусной опухоли височной кости, редко встречающейся у детей, включает нарушение пневматизации полостей среднего уха в сочетании с костной деструкцией (рис. 7, а). Рисунок 7. Гломусная опухоль. а — аксиальная проекция правой височной кости. В пирамиде височной кости определяется объемное образование, вызывающее разрушение стенок ямки луковицы яремной вены (1) и канала внутренней сонной артерии (2). Поскольку параганглиома исходит из яремного и, реже, каротидного гломуса, ее отличительным КТ-признаком является деструкция стенок ямки луковицы яремной вены и канала сонной артерии [5—7]. В отличие от злокачественных опухолей, параганглиома активно накапливает контрастный агент при внутривенном введении в артериальную фазу (рис. 7, б). Рисунок 7. Гломусная опухоль. б — коронарная проекция левой височной кости, внутривенное болюсное контрастирование, артериальная фаза. В барабанной полости определяется опухоль (1), активно накапливающая контрастный агент. Практически одинаковая интенсивность накопления контрастного вещества в ткани опухоли и во внутренней сонной артерии (2).

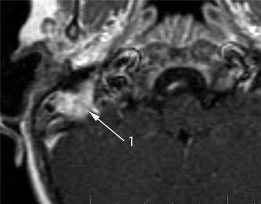
Недостатком КТ в диагностике опухолей среднего уха является низкая контрастность в изображении мягких тканей. В связи с этим существенную роль в диагностике опухолей среднего уха играет МРТ, которую используют для детальной оценки мягкотканных изменений. Эта методика позволяет выявить гетерогенный характер злокачественной опухоли, а также диагностировать распространение опухоли за пределы височной кости как экстра-, так и интракраниально. МР-характеристики злокачественных опухолей не являются специфичными: в Т1-изображении они имеют промежуточный сигнал, в Т2 — высокоинтенсивный сигнал, характерно значительное усиление сигнала после внутривенного введения контрастного агента [6, 7] (рис. 8). Рисунок 8. Лангергансоклеточный гистиоцитоз. МРТ в режиме Т1 после внутривенного контрастирования, коронарная проекция. В сосцевидном отростке определяется опухоль, активно накапливающая контрастный агент (1).
Сопоставление результатов КТ и МРТ позволяет установить наличие опухолевого процесса в височной кости. Однако окончательный диагноз устанавливается на основании результатов гистологического исследования материала, полученного при биопсии.
Выводы
1. С целью своевременного выявления злокачественных опухолей среднего уха в алгоритм обследования детей с затянувшимся, рецидивирующим и хроническим средним отитом, особенно осложненным полипом наружного слухового прохода, вестибулярными нарушениями или неврологической симптоматикой, целесообразно включать КТ височной кости.
2. КТ-семиотика злокачественных новообразований височной кости включает: а) нарушение пневматизации полостей среднего уха, часто в сочетании с полипозным образованием наружного слухового прохода, б) беспорядочную и часто распространенную деструкцию костных структур литического характера.
3. Для детальной оценки мягкотканных изменений в височной кости и выявления интракраниального распространения опухоли методом выбора является МРТ.
Холестеатома уха
Холестеатома уха — это опухолевидное инкапсулированное образование среднего уха, состоящее преимущественно из клеток слущенного эпителия и кристаллов холестерина. Различают истинную (врожденную) и ложную холестеатому уха. Проявляется заболевание ощущением распирания и болями в ухе, снижением слуха смешанного типа, небольшим количеством имеющих гнилостный запах выделений из уха. Холестеатома уха диагностируется при помощи рентгенографии и КТ черепа, отоскопии, зондирования и промывания барабанной полости, исследований вестибулярного и слухового анализаторов. Лечение холестеатомы уха в большинстве случаев заключается в радикальном хирургическом удалении. Иногда возможно промывание надбарабанной полости с расположенной в ней холестеатомой.
МКБ-10



Общие сведения
Холестеатома - эмбриональное или (чаще) приобретенное псевдоопухолевое образование, происходящее из тканей среднего уха. В 90% случаев она появляется на фоне хронического гнойного среднего отита. В популяции частота гнойный отитов, осложненных холестеатомой, составляет 0,01%. Заболеванием чаще страдают дети старше 10 лет и взрослые 20-30 лет. У детей патология протекает более агрессивно с многократными рецидивами.

Причины
Холестеатома уха может иметь врожденный характер. В таких случаях она носит название истинной. Благодаря гладкой, напоминающей поверхность жемчужины, капсуле истинную холестеатому уха называют еще «жемчужной опухолью». Она возникает вследствие эмбриональных нарушений и располагается в пирамиде височной кости. Истинная холестеатома может также находиться в других костях черепа, в боковой цистерне и желудочках головного мозга.
Ложная холестеатома уха образуется в результате длительно протекающих отитов или как последствие травмы уха. Считается, что образование ложной холестеатомы уха возможно 2 путями. В первом случае происходит врастание плоского эпителия наружного слухового прохода в полость среднего уха через краевой разрыв барабанной перепонки. Второй механизм образования холестеатомы уха реализуется при нарушении проходимости слуховой трубы в связи с евстахиитом. В результате пониженного давления в барабанной полости происходит втяжение в нее части барабанной перепонки. Когда втяжение становится достаточно глубоким, в нем начинает накапливаться кератин и слущенный эпителий, что ведет к развитию холестеатомы уха.
Патогенез
Холестеатома уха не является истинной опухолью уха, хотя по своему внешнему виду и характеру роста напоминает опухолевое образование. Холестеатома уха имеет слоистую структуру. Сверху она покрыта капсулой из соединительной ткани, под которой находится ороговевающий плоский эпителий. Средний слой холестеатомы уха представлен наложенными одна на другую пластинами слущенного эпителия и расположенными между ними кристаллами холестерина. Центральную часть холестеатомы уха или ее ядро занимает имеющий гнилостный запах беловатый детрит.
Холестеатома уха может быть единичным образованием или представляет собой скопление большого количества узелков, имеющих плотную консистенцию и размер от 3 мм. Холестеатома уха выделяет специфические химические вещества, которые приводят к резорбции окружающих холестеатому костных тканей с образованием гладкостенной полости. Кроме того, эти вещества оказывают токсическое воздействие на рецепторный аппарат внутреннего уха, вызывая расстройство звуковосприятия и реактивный лабиринтит.
Симптомы холестеатомы уха
В начальном периоде холестеатома уха может иметь бессимптомное течение. Затем пациент начинает предъявлять жалобы на чувство распирания в ухе, появление тупой, давящей, ноющей или стреляющей ушной боли. Происходит понижение слуха. Возможны головные боли, при развитии лабиринтита — головокружения. Наблюдаются выделения из уха, которые обычно имеют гнилостный запах и носят скудный характер. Отличительной особенностью является обнаружение в отделяемом небольших комочков белого цвета.
При холестеатоме уха тугоухость имеет смешанный характер. С одной стороны она обусловлена нарушением звукопроведения в связи с ограничением подвижности слуховых косточек, а с другой — расстройством звуковосприятия в результате токсического поражения рецепторов лабиринта проникающими в него агрессивными выделениями холестеатомы.
Осложнения
Разрушая рядом расположенные костные образования, холестеатома уха увеличивается в размерах. Так она со временем заполняет ячейки сосцевидного отростка, доходит до капсулы лабиринта и способна разрушить его полукружные канальцы с образованием фистулы лабиринта. При разрушении коркового слоя сосцевидного отростка холестеатома уха выходит под кожу сосцевидной области.
Разрушение стенки косного канала лицевого нерва ведет к развитию пареза лицевого нерва, стенки сигмовидного синуса — к его тромбозу. Зачастую холестеатома уха достигает размера грецкого ореха и имеет расходящиеся в различных направлениях отростки. При этом она образует гигантскую полость, похожую на полость, остающуюся после общеполостной операции на ухе.
Старая холестеатома уха включает содержащие токсическую жидкость кисты, прорыв которых в подпаутинное пространство приводит к развитию асептического менингита, в вещество головного мозга — к появлению менингоэнцефалита. Эти осложнения могут привести к гибели больного от отека головного мозга. Обострение среднего отита часто сопровождается гнойным распадом холестеатомы уха, обуславливающим развитие гнойного лабиринтита и менингита, околосинусового и экстрадурального абсцесса, абсцесса головного мозга, отогенного сепсиса.
Диагностика
К диагностике холестеатомы уха могут привлекаться не только врачи-отоларингологи, но также неврологи и нейрохирурги. В современной отоларингологии используется комплекс визуализирующих и функциональных методик:
- Рентгенография височных костей. На рентгенограммах в проекции по Майеру, Шюллеру или Стенверсу холестеатома определяется как имеющая среднюю плотность однородная тень, которая находится в круглой патологической полости с гладкими и четко визуализирующимися краями. Более точную визуальную картину образования получают при проведении КТ и МСКТ черепа.

КТ височных костей. Деструкция сосцевидного отростка, сосцевидной пещеры, пирамиды и среднего уха правой височной кости, обусловленная холестеатомой
- Эндоскопия уха. При отоскопии возможно обнаружение краевой перфорации барабанной перепонки, признаков деструкции костной части слухового прохода, обусловленных разрастанием холестеатомы. При наличии краевой перфорации производят зондирование полости среднего уха пуговчатым зондом и промывание надбарабанного пространства. О наличии деструктивного процесса свидетельствует шероховатая при прощупывании поверхность кости. В пользу холестеатомы уха говорит присутствие в промывных водах включений и чешуек эпидермиса.
- Исследование слухового анализатора. Дополнительно у пациентов с холестеатомой уха проводят исследование слуха и вестибулярного анализатора. Аудиометрия выявляет снижение слуха, пороговая аудиометрия — смешанный тип тугоухости. Производят также исследование камертоном, определение проходимости слуховой трубы, электрокохлеографию, акустическую импедансометрию, отоакустическую эмиссию, вестибулометрию, электронистагмографию, стабилографию, непрямую отолитометрию.
- Неврологическая диагностика. В диагностике осложнений может применяться неврологический осмотр, МРТ головного мозга, люмбальная пункция и др.

МРТ головы. Гиперинтенсивный сигнал в области сосцевидной пещеры, сосцевидного отростка и пирамиды правой височной кости (холестеатома)
Холестеатому уха необходимо дифференцировать от опухолей и инородных тел уха, кохлеарного неврита, серной пробки, гломусной опухоли, адгезивного среднего отита, специфических гранулем при туберкулезе и сифилисе.
Лечение холестеатомы уха
Консервативная тактика
Консервативное лечение возможно лишь в случае небольшой холестеатомы уха, находящейся в надбарабанном пространстве. Терапия таких холестеатом заключается в промывании надбарабанного пространства растворами протеолитических ферментов и борной кислоты. Начинают и заканчивают процедуру промыванием полости изотоническим раствором. Подобную манипуляцию проводят ежедневно в течение недели.
Хирургическое лечение
При неэффективности консервативного лечения, большом размере холестеатомы уха, наличии осложнений показано радикальное удаление образования. В зависимости от распространенности холестеатомы хирургическое вмешательство может включать:
- санирующую операцию на среднем ухе;
- лабиринтотомию;
- транслабиринтное вскрытие пирамиды височной кости;
- тимпанпластику, мастоидопластику, мирингопластику и пр.
Прогноз и профилактика
В случае своевременного выявления, последовательного консервативного или радикального хирургического лечения холестеатомы прогноз благоприятный. В отдельных случаях возможны рецидивы процесса. В запущенных стадиях возможно развитие тугоухости, жизнеугрожающих внутричерепных осложнений. Профилактика холестеатомы заключается в предупреждении ХГСО, своевременном лечении воспаления среднего уха.
Эозинофильная гранулема ( Болезнь Таратынова )
Эозинофильная гранулема - это очаговая форма гистиоцитоза из клеток Лангерганса, которая проявляется опухолеподобными очагами в костях. Основной причиной заболевания называют генетические мутации, которые запускают аномальную пролиферацию клеток. Проявления патологии зависят от локализации опухоли: боли в костях, патологические переломы, выпадение зубов, экзофтальм и нарушения зрения. Для диагностики гранулемы назначают рентгенографию костей, исследования крови, гистологический анализ костных очагов. Лечение проводится хирургическим способом (кюретаж, резекция), по показаниям дополняется фармакотерапией и лучевой терапией.

Эозинофильная гранулема встречается с частотой 3-5 случаев на 1 млн. населения, в основном в подростковом и юношеском возрасте. Мужчины болеют в 2 раза чаще женщин. Случаи заболевания среди пациентов среднего и пожилого возраста встречаются крайне редко. Этот вид доброкачественной опухоли составляет менее 1% всех объемных новообразований костной ткани и до 80% случаев гистиоцитоза. В отечественной литературе гранулему иногда называют болезнью Таратынова по имени российского патологоанатома, который впервые описал нетипичные очаги поражения в костной ткани.

Несмотря на многочисленные научные изыскания, до сих пор не удалось установить этиологическую структуру эозинофильной гранулемы и других вариантов гистиоцитоза. Большое значение придают генетическим мутациям. Чаще всего встречается врожденная аномалия гена BRAF, который отвечает за деление и выживание разных типов клеток. Второй по частоте является мутация гена MAP2K1, который кодирует белки сигнального пути и участвует в процессе клеточной пролиферации.
Образование очага эозинофильной гранулемы связывают с пролиферацией клеток Лангерганса, которые имеют костномозговое происхождение. Они относятся к компонентам иммунной системы и участвуют в первом этапе защиты: выполняют антигенпредставляющую функцию. При гистиоцитозе клетки начинают активное деление в костной ткани, где образуют опухолевые очаги. Этому способствует повышенная экспрессия факторов пролиферации и ингибиторов апоптоза.
Гистиоциты и эозинофилы патологического происхождения, которые составляют гранулему, находятся на разных стадиях дифференцировки. Они умеренно пролиферируют, плохо восприимчивы к физиологическому апоптозу, из-за чего длительно персистируют в очаге. Такие особенности в сочетании моноклональностью клеток и избыточной активацией Т-супрессоров позволяют рассматривать очаговый гистиоцитоз как неопластический процесс.

Симптомы эозинофильной гранулемы
Небольшие по размеру опухоли, которые расположены в костях скелета тела, длительное время протекают бессимптомно. Изредка пациенты жалуются на умеренные боли в костях, отечность над очагом поражения. Значимые клинические проявления наблюдаются при увеличении опухоли в размерах и уменьшении прочности кости. Возможны патологические переломы, которые возникают при минимальном механическом повреждении конечности либо вовсе не связаны с травмой.
Для эозинофильной гранулемы типично поражение костей верхней и нижней челюсти. При такой локализации очага возможно расшатывание и выпадение зубов у пациентов молодого возраста, патологические переломы челюсти, сложности при проведении стоматологических манипуляций. Изредка болезнь протекает по типу мультисистемного поражения, когда в процесс вовлекаются другие органы. Гистиоцитоз может затрагивать печень, селезенку, кроветворную систему
Болезнь характеризуется полиморфными кожными высыпаниями. Они располагаются на любом участке тела, в том числе на волосистой части головы и в области гениталий. Сначала возникают красные пятна и шелушащиеся бляшки, которые постепенно превращаются в выступающие опухолевидные образования. Узлы приобретают синюшно-багровый цвет, достигают 3-4 см в размерах. На слизистых оболочках ротовой полости и половых органов образуются длительно не заживающие язвы.
Локализованная форма гистиоцитоза отличается благоприятным доброкачественным течением. Основной проблемой считается нарушение целостности костных структур: патологические переломы, возникающие в юном возрасте, нарушают нормальную анатомию и функциональную способность конечности. Для купирования хронических костных болей пациенты могут использовать нестероидные противовоспалительные, бесконтрольный прием которых вызывает НПВП-гастропатию.
При расположении эозинофильной гранулемы в височной кости возможна частична обструкция слухового прохода, которая способствует рецидивирующему наружному отиту. Если очаг расположен вблизи глазницы, развивается экзофтальм и нарушения зрения различной степени тяжести. Поражение позвонков, особенно у детей, чревато нарушениями осанки и стойкой деформаций позвоночного столба.
При клинических признаках эозинофильной гранулемы пациенты чаще всего обращаются к дерматологу или ортопеду-травматологу, после чего получают направление на консультацию онкогематолога. На первом этапе диагностики проводится осмотр кожи и видимых слизистых оболочек, пальпация зон болезненности, выяснение условий и давности появления симптомов. Для подтверждения диагноза назначаются следующие методы исследования:
- Рентгенография костей. При рентгенологическом исследовании определяются единичные или множественные опухолевидные образования, участки деструкции, которые могут располагаться как в трубчатых, так и в плоских костях. При подозрении на эозинофильную гранулему обязательно проводят рентгенографию челюстей.
- УЗИ органов живота. Исследование назначается при подозрении на многоочаговую форму гистиоцитоза, которая протекает с поражением внутренних органов. В таком случае при диагностике обнаруживаются объемные новообразования с неоднородной эхоструктурой в печени, селезенке, внутрибрюшных лимфоузлах.
- Гистологический анализ. Для эозинофильной гранулемы характерны инфильтраты из крупных овальных клеток, которые имеют ядра неправильной формы и большое количество цитоплазмы. При иммуногистохимии подтверждается наличие клеток Лангерганса, большого количества эозинофилов, ограниченного числа лимфоцитов и нейтрофилов.
- Анализы крови. В периферической крови у большинства пациентов обнаруживают гипохромную анемию с анизоцитозом и пойкилоцитозом. Реже встречается нейтрофилез со сдвигом влево, моноцитоз, тромбоцитопения. При выполнении коагулограммы обнаруживают повышение свертывающей способности крови.
- Анализ на онкомаркеры. Для исключения рака костей пациентам проводят исследование крови на тартрат-резистентную кислую фосфатазу. Рост уровня этого маркера является достоверным признаком повышения активности остеокластов и развития пролиферативного процесса.
- Анализ генаBRAF. Молекулярно-генетический метод исследования проводится ля уточняющей диагностики гистиоцитоза. Выявление генной мутации в клетках гранулемы помогает подтвердить диагноз, наличие такой же аномалии в периферической крови требуется для установления группы риска пациента с гистиоцитозом.
Дифференциальная диагностика
Для постановки диагноза необходимо дифференцировать заболевание с другими причинами появления объемных новообразований костей. В процессе обследования исключают онкопатологию:
- остеогенный рак;
- саркому;
- лимфому;
- миеломную болезнь.
При выраженных болях и припухлости проводится дифференциальная диагностика с остеомиелитом. Кожные проявления требуют дифференцировки с синдромом Папийона-Лефевра.
Лечение эозинофильной гранулемы
При солитарных очагах в костной ткани основным методом терапии является кюретаж с последующим восстановлением целостности кости. В связи с онкологической настороженностью зачастую проводится широкая резекция эозинофильной гранулемы, которая обеспечивает полную ликвидацию новообразования, однако имеет нежелательный функциональный результат. После такой операции потребуется костная пластика для замещения ятрогенного дефекта.
Консервативная терапия
Фармакотерапия и облучение оправданы при множественной гранулеме, вовлечении в патологический процесс кожи и внутренних органов. Общепринятые протоколы терапии отсутствуют, поэтому программа подбирается индивидуально с учетом особенностей заболевания у конкретного больного. Медикаментозная терапия включает цитостатики, которые применяются для замедления пролиферации клеток, и глюкокортикоиды, стимулирующие репарацию после кюретажа.
Локализация гранулем в костях конечностей и черепа открывает широкие возможности лучевой терапии. Облучение проводится как альтернатива хирургическому вмешательству, если новообразование недоступен для кюретажа, либо пациент имеет противопоказания к оперативному лечению. После радиотерапии полная ремиссия наблюдается у 85% пациентов, причем контроль над солитарным очагом болезни удается получить в 95% случаев.
Важное место в терапевтической программе занимает лечение кожных очагов гистиоцитоза. Терапевтическая программа подбирается только после гистологического исследования биоптатов. Пациентам показана системная терапия, которая включает препараты альфа-интерферона, метотрексата и леналидомида. Они обладают противовоспалительными, антиангиогенными и иммуномодулирующими свойствами.
Солитарная эозинофильная гранулема признана наиболее доброкачественной формой гистиоцитоза. Более благоприятный прогноз для больных с изолированными местными проявлениями и отсутствием системных осложнений болезни. Многоочаговый вариант гистиоцитоза протекает менее благоприятно. Точные причины и механизм развития заболевания пока не ясны, поэтому эффективные меры профилактики отсутствуют.
1. 1. Гистиоцитоз из клеток Лангерганса у взрослых: современные возможности терапии/ В.Д. Латышев, Е.А. Лукина// Клиническая онкогематология. - 2021. - №14.
2. 2. Гистиоцитоз из клеток Лангерганса (гистиоцитоз Х): клиническое наблюдение/ И.А. Горланов/ Вестник дерматологии и венерологии. - 2013. - №1.
4. Доброкачественное течение гистиоцитоза Х/ Шихнебиев Д.А., Эседов Э.М., Джалилова Л.М.// Клиническая медицина. - 2002 - №7.

Существует врожденный вид холестеатомы и ложный вид. Симптоматика заболевания определяется разбуханием и болевыми ощущениями в области уха, пропаданием или снижением слуха, наличием выделений из уха. Диагностировать холестеатому уха поможет рентгенограф и компьютерная томография черепа, отоскопия, зондирование барабанной полости, также потребуется проведение анализа вестибулярного и слухового анализаторов. Холестеатома уха в основном будет лечиться с помощью радикального хирургического вмешательства. В редких случаях применяется промывание надбарабанной полости с локализованной в ней холестеатомой.
Осложнение холестеатомы уха
При быстром росте холестеатомы начинается разрушение костной ткани. Такое развитие ведет к разрушению и стенок костного канала лицевого нерва, что в результате провоцирует парез лицевого нерва. При разрушении стенок сигмовидного синуса развивается тромбоз синуса.
Давно сформировавшаяся капсула холестеатомы состоит из токсической жидкости. В случае изливания жидкости в подпаутинное пространство, происходит формирование асептического менингита. При попадании токсической жидкости в головной мозг, начинается развитие менингоэнцефалита. Такие осложнения могут провоцировать очень серьезные последствия, приводя даже к летальному исходу.
Причины возникновения холеастомы уха
При врожденной или истинной холестеатоме среднего уха капсула имеет гладкую поверхность, похожую на жемчуг, что и дало ей еще одно название «жемчужная опухоль». Образуется опухоль при сбоях еще на эмбриональных стадиях. Образуется капсула, как правило, в пирамиде кости виска.
Ложная, в отличие от врожденной (истинной) холестеатомы, развивается при запущенных или же продолжительных отитах. Также развитию опухоли может способствовать травма уха. Развивается холестеатома уха двумя способами:
- В первом случае распространение тканей слухового прохода в область среднего уха происходит по разрывном пути барабанной перепонки.
- Во втором же случае нарушается проходимоспособность слуховой трубы при формировании заболевания евстахиита. Внутреннее давление барабанной полости падает, что провоцирует всасывание части барабанной перепонки, это в итоге провоцирует скопление слущенного эпителия и развитие холестеатомы.
Симптомы холеастеатомы
Достаточно часто на начальной стадии холестеатома не беспокоит пациента и обнаруживается только когда она увеличивается в размерах. Только если опухоль образуется в черепномозговом пространстве, пациента начинают беспокоить головные боли, головокружения, бессонница, ухудшается зрение и память. Симптоматика заболевания часто зависит от месторасполоения образования.
Постепенно холестеатома увеличиваясь в размерах, вызывает в других органах и тканях сдавливающие ощущения.
При развитии опухоли в среднем ухе, у пациента возникают болевые ощущения, головная боль в области больного уха, головокружение, гнойные выделения из полости уха.
Процесс без наличия осложнений холестеатомы проходит без каких-либо ярко выраженных симптомов. Незначительное выделяемое, не выходящее из наружного слухового прохода и одностороннее снижение слуха часто не становятся причиной обращения к врачу, пациент обычно даже не подозревает о наличии заболевания. Выделяемое бывает незначительным, засыхающим в корочки, но зачастую это зловонное гнойное вещество с примесью масс эпидермиса.
Болевые ощущения в ухе, а также головная боль говорят о задержке выделений.
Также боли сигнализируют о возможном образовании осложнений внутри черепа. Наличие головокружения говорит о развитии свища наружного полукружного канала (ограниченный лабиринт) или о внутренних осложнениях черепа. При возникновении болей в области головы и нарушений вестибулярного аппарата, пациента сразу же госпитализируют для проведения различных обследований и для операции на ухе. Такая же схема применяется и к образовавшемуся парезу лицевого нерва.
Снижение слуха сопутствует эпитимпаниту. Упадок слуха может быть малозаметным, при небольшой перфорации и сохранности цепи слуховых косточек, но зачастую имеет более резко выраженные сбои, иногда на грани с глухотой. В отличие от мезотимпанитов, характерное нарушение звуковосприятия чаще бывает смешанным, так как после токсического воздействия на лабиринт, ухудшается аппарат, воспринимающий звуки.
Диагностика холестеатомы уха
Для диагностирования холестеатомы уха понадобится консультация не только отоларинголога, но еще невролога и нейрохирурга.
Рентгенография
Для определения и изучения холестеатомы уха проводят рад анализов. Следы холестеатомы уха достаточно часто помогает обнаружить рентгенография черепа. На рентгенограмме холестеатома выделяется как содержащая среднюю плотность однородная тень, она располагается в круглой патологической полости с гладкими различимыми краями. Такое изображение помогает специалисту выяснить размеры и месторасположение холестеатомы.
Компьютерная томография
Также иногда используется компьютерная томография, с ее помощью врач получает объемные изображения холестеатомы. Для наименьшего облучения пациенту проводят одну из процедур, рентген или компьютерную томографию.
Еще одним результативным анализом считается МРТ с контрастным веществом. МРТ не облучает больного, но при этом создает объемное изображение холестеатомы. Поступление контрастного вещества в организм перед проведением процедуры позволяет получить хорошего качества снимки мягких тканей. В ходе такого анализа выявляют размеры, форму образования и дефекты соседних структур уха.
Аудиометрия
При проведении аудиометрии выявляют уровень снижения слуха. Проводится анализ камертоном, этот анализ определяет проходимость слуховой трубы, электрокохлеографию, акустическую импедансометрию, отоакустическую эмиссию, вестибулометрию, электронистагмографию, стабилографию. Используя специальные наушники, через них пропускают звуки разной частоты и интенсивности, по показателям врач выявляет степень нарушения слуха у больного.
Тимпанометрия
Методом тимпанометрии оценивают подвижность барабанной перепонки, что позволяет исключить наличие жидкого вещества в среднем ухе. При проведении отоскопии появляется возможность определения перфорации краев в барабанной перепонке и признаков разрушения костных частей слухового прохода, при росте холестеатомы. Обнаружение краевой перфорации приводит к зондированию полости среднего уха пуговчатым зондом и полосканию надбарабанной области. При наличии разрушающего процесса поверхность кости будет шероховатая при пальцевом осмотре. Также о наличии холестеатомы уха, будет свидетельствовать наличие в промывном веществе чешуек эпидермиса.
Дополнительными анализами у больного с холестеатомой уха будут исследования слуха и вестибулярного анализатора. Холестеатому уха можно спутать с опухолями и другими инородными составляющими уха, кохлеарным невритом, серной пробкой, гломусной опухолью, адгезивным средним отитом, специфическими гранулемами при туберкулезе или сифилисе, для этого и проводится ряд вышеперечисленных исследований.
Лечение холестеатомы
Лечение холестеатомы практически всегда основывается на хирургическом вмешательстве. Консервативное лечение применяется только в том случае, если капсула образования небольших размеров и локализована в надбарабанном пространстве. При таком положении производят промывание надбарабанного пространства специализированным раствором. Такая процедура проводится каждый день в течение недели.
В остальных случаях проведение операции по удалению холестеатомы с последующим возобновлением пораженных частей ушной полости неизбежно. Чаще всего хирургические действия производят через барабанную перепонку. Лечение холестеатомы назначает только квалифицированный врач. После хирургических манипуляций, ухо имеет обостренную чувствительность по отношению к попаданию в него холодной воды или воздуха.
Данная статья размещена исключительно с целью ознакомления в познавательных целях и не является научным материалом или профессиональным медицинским советом. За диагностикой и лечением обратитесь к врачу.
Введите ваши данные, и наши специалисты свяжутся с Вами, и бесплатно проконсультируют по волнующим вас вопросам.
Холестеатома
Холестеатома - это осложнение в результате длительно протекающего хронического среднего отита. Визуально напоминает опухоль, но не является таковой.

3.20 (Проголосовало: 15)
- Как образуется холестеатома
- Причины
- Симптомы
- Диагностика
- Лечение
Холестеатома - это осложнение, возникающее в результате длительно протекающего хронического среднего отита. Визуально напоминает опухоль, но не является таковой. Холестеатома состоит из эпидермальных клеток (клетки кожи), покрытых соедительнотканной оболочкой (матриксом). Внешне - это массы белесовато-перламутрового цвета, заполняющие полости среднего уха.
Как образуется холестеатома
При хроническом среднем отите всегда присутствует перфорация (отверстие) барабанной перепонки. Различают две клинические формы среднего отита: мезотимпанит и эпитимпанит. Принципиальная разница состоит в том, в каком отделе среднего уха локализуется воспаление и затронуты ли костные структуры. При мезотипаните поражены средние и нижние отделы барабанной полости (мезотимпанум). Перфорация барабанной перепонки располагается в центральной части, то есть по краю барабанной перепонки, чаще всего есть сохранный участок. Воспаление затрагивает только слизистую оболочку барабанной полости и слуховой трубы. При эпитимпаните перфорация барабанной перепонки краевая и располагается в верхних ее отделах. Воспаление в этом случае распространяется на верхние отделы барабанной полости - эпитимпанум. Поскольку перфорация барабанной перепонки расположена по краю, то эпидермис, которым покрыт наружный слуховой проход, врастает в полость среднего уха. Эпидермис слухового прохода - это по сути кожа, которой покрыта почти вся поверхность нашего тела, т.е. он так же ороговевает и масса отмерших клеток скапливается в полости холестеатомы. Присутствие постоянного воспаления при хроническом отите, образование гноя, усиливают процессы ороговения эпителия, поэтому холестеатомные массы быстро увеличиваются в объёме и разрушают костные структуры среднего уха - слуховые косточки, ячейки сосцевидного отростка, что приводит к стойкой потере слуха. Кариес костных стенок среднего и внутреннего уха может вызывать опасные осложнения - менингит, абсцесс головного мозга, так как открывается путь для инфекции в полость черепа.
Как уже было сказано, холестеатома является осложнением хронического гнойного среднего отита. Хронизации процесса способствуют частые острые отиты, их неправильное лечение, устойчивость микрофлоры к антибиотикам. При хроническом отите, в отличие от острого, чаще встречается смешанная флора, комбинации различных видов стафилококков, стрептококков, клебсиелл, синегнойной палочки, протея, грибковой флоры. Внутри матрикса холестеатомы создаются благоприятные условия для роста анаэробной инфекции, т.е. инфекции, вызванной микроорганизмами, растущими без участия кислорода. Такие инфекции протекают значительно тяжелее и сложнее лечатся.
Симптомы
Жалобы пациентов похожи на таковые при хроническом отите - это постоянное или частое выделение гноя из уха, снижение слуха (чаще всего пороги слышимости значительно повышаются). Выделения чаще с неприятным гнилостным запахом. Тугоухость носит смешанный характер, т.е. присутствует как кондуктивный компонент (за счет разрушения звукопроводящей системы слуховых косточек и барабанной перепонки), так и нейросенсорный (за счет поражения звуковоспринимающих волосковых клеток внутреннего уха токсинами и медиаторами воспаления, которые выделяются при хроническом воспалении). Боль в ухе нехарактерна, ее появление должно настораживать, в плане появления внутричерепных осложнений. Может быть головокружение, признаки пареза лицевого нерва - асимметрия лица. Все это - показания к неотложной госпитализации пациента.
- Визуальный осмотр. Холестеатома часто обнаруживается врачом при визуальном осмотре.
- Эндоскоп или микроскоп. Пациентов с хроническим отитом необходимо осматривать с использованием эндоскопа или микроскопа, так как можно под увеличением рассмотреть мелкие структуры уха, что значительно увеличивает точность диагноза.
- КТ. Также у всех пациентов с хроническим отитом необходимо проводить компьютерную томографию височных костей. КТ позволяет точно отличить форму хронического отита, если холестеатома еще небольшая, а также оценить степень ее прорастания в костные структуры и их сохранность, что вовремя может предупредить внутричерепные осложнения. КТ с контрастом используется для дифферинциальной диагностики холестеатомы от истинных опухолей среднего уха.
Лечение
Если у пациента с хроническим отитом диагностирована холестеатома, ему показано оперативное лечение, так как не существует других методик борьбы с ростом холестеатомных масс, кроме хирургического их удаления. Консервативное лечение проводится только как временный этап, направленный на ликвидацию гнойного обострения - это местное применение антибиотиков курсом, регулярный туалет уха с антисептиками, продувание слуховых труб.
Виды хирургических операций при холестеатоме:
- радикальная операция на среднем ухе;
- консервативно-радикальная санирующая операция;
- реконструктивно-санирующая операция с тимпанопластикой.
Объём операции зависит от размеров холестеатомы и степени ее прорастания в кость, так как первостепенной целью операции является полностью удалить (санировать) холестеатому для предотвращения рецидивов. При радикальной операции вместе с холестеатомными массами удаляется слуховой проход, система слуховых косточек, вскрывается сосцевидный отросток. Это наиболее обширный вариант оперативного вмешательства, после которого, к сожалению, слух на оперированном ухе не удается сохранить. При консевативно-радикальной операции сохраняется слуховой проход. После такой операции возможно в дальнейшем проводить тимпанопластику (восстановление барабанной перепонки) и протезировать слуховые косточки для улучшения слуха. Наиболее щадящий вариант операции для сохранения слуха - это реконструктивно-санирующая операция, когда удаление холестеатомы и восстановление барабанной перепонки проводят одновременно. Все виды операций на среднем ухе проводит отохирург - это отоларинголог, специализирующийся на хирургическом лечении болезней уха.
Наличие холестеатомы в полости среднего уха приводит к выраженному снижению слуха и ухудшению качества жизни, лечение ее трудоемкое и длительное. Самостоятельно исключить у себя холестеатому по наличию или отсутствию симптомов невозможно, поэтому всем пациентам с хроническим отитом необходимо регулярно посещать лор-врача и отохирурга.
Своевременное обращение к врачу поможет сохранить Ваше здоровье.
Не откладывайте лечение, звоните прямо сейчас. Мы работаем круглосуточно в Москве.
Читайте также:
- Боли в конечностях и позвоночнике. Классификация причин болей.
- Полезные овощи для глаз. Как сберечь зрение до глубокой старости?
- Флегмона околонижнечелюстной области. Флегмона подбородочной и подъязычной областей
- Противосудорожная терапия у детей. Лечение судорог у детей
- Векторный анализ нормальной ЭКГ. Принципы анализа электрокардиограммы
