Интаперикардиальный доступ. Частота интраперикардиальной перевязки сосудов
Добавил пользователь Евгений Кузнецов Обновлено: 22.01.2026
Манипуляции осуществляемые в реанимационной практике.

Введение
Сосудистый доступ называют как линией жизни, так и одной из самых уязвимых мест у пациентов с различными заболеваниями. Несмотря на прогресс и рекомендации по передовой медицинской практики, наличие постоянного, защищенного и многофункционального доступа к сосудистому руслу, предоставляет собой существенную сложность для пациента и системы здравоохранения.
Показания
- Быстрое введение больших объемов жидкости
- Введение вазоактивных и раздражающих венозную стенку, периферической вены, препаратов, в том числе и парентеральное питание
- Экстракорпоральные методы лечения
- Инвазивный мониторинг гемодинамики
- Трансвенозная электрокардиостимуляция
- Длительная антибактериальная терапия
- Трансфузии препаратов крови
- Большие хирургические вмешательства
- Аспирация воздушного эмбола
- Неадекватный венозный доступ через периферическую вену
Выбор катетера
В настоящее время доступно большое количество видов катетеров, а их выбор должен основываться на основании места постановки, причине и длительности использования катетера. Например, в анестезиологии и интенсивной терапии главные критерии выбора катетера являются его длина и количество просветов, катетеры, имеющие от трех до пяти просветов, считаются идеальными для больного ОРИТ: это позволяет вводить сразу несколько препаратов, но сами просветы обычно узкие, с высоким сопротивлением, а значит менее пригодны для быстрой инфузии препаратов при проведении экстренных мероприятий (например, введение препаратов поддерживающих давление в строго расчетной дозировки, и параллельная длительная инфузия антибиотиков).
Типы катетеров
- С одиночными/множественными просветами
- Центральные катетеры, устанавливаемые из периферического доступа (PICC).
- Туннелированные (катетер протягивается на несколько сантиметров под кожей до того, как войдет в сосуд, для того , чтобы уменьшить риск инфицирования).
- диализные катетеры
- катетеры для длительного непрерывного инвазивного мониторинга
Выбор места пункции
Существуют несколько точек доступов, которые можно использовать для катетеризации центральных вен. Сами вены могут залегать глубоко, проходить поверхностно в сосудисто-нервном пучке, а также рядом с другими анатомическими структурами. Врачу необходимо четко понимать анатомию глубоких и поверхностных структур для безопасного выполнения пункции и катетеризации. При наличии возможностей в отделении в отделении интенсивной терапии, при постановке катетера во внутреннюю яремную, бедренную вену, а также при периферических доступах, полезно использовать ультразвуковое исследование. Этот метод помогает визуализировать катетеризируемый сосуд, подтвердить правильность стояния проводника, а также верифицировать различные анатомические вариации расположения.
Наиболее часто для катетеризации используются следующие сосуды:
- Внутренняя яремная вена
- Подключичная вена
- Бедренная вена
- Наружная яремная вена
- Вены верхней конечности или локтевого сгиба
Принципы установки
Основные приготовления и оборудование, необходимые для катетеризации центральных вен схожи, независимо от техники постановки или локализации. Катетеризация должна производиться в выбранной анатомической области, где необходимо обеспечить асептические условия. Строгая асептика в ходе катетеризации ключевой фактор для уменьшения частоты инфицирования - используйте стерильные перчатки, халат, маску и колпак. Правильная укладка и визуализация анатомических ориентиров позволяют уменьшить риск неудач и осложнений. С целью обезболивания используется местная анестезия.
Порядок выполнения манипуляции
Перед проведением манипуляции у пациента повторно уточняются возможные аллергические реакции на препараты.
- Пациент находится в горизонтальном положении.
- Оператор и ассистент надевают стерильные халат, маску, перчатки, шапочку
- Местными антисептиками обрабатывается поле в зоне которого будет проходить непосредственно сама манипуляция, используются обкладные стерильные пеленки для отграничения необходимой зоны.
- Стерильной иглой осуществляется инфильтрационная анестезия местными анестетиками.
- Пункционную иглу на шприце с раствором вводят в направлении сосуда под углом, не превышающим 45 градусов, что снижает последующую вероятность избыточного перегиба катетера. Наклонив наружный конец иглы к коже, прокалывают переднюю стенку сосуда. Попадание в сосуд подтверждают аспирацией крови в шприц.
- Иглу наклоняют еще более полого, снимаю шприц (или используют боковой канал) и вставляют металлический проводник, кончик которого продвигают в просвет сосуда на 10-15 см в центральном направлении. Проводник обычно имеет загнутый J-образный конец, предназначенный для уменьшения риска повреждения сосудистой стенки, а также для облегчения постановки катетера в извитые сосуды.
- Фиксируют проводник в просвете сосуда, а иглу извлекают наружу. На наружный конец проводника надевают дилататор, соответствующий диаметру вводимого катетера. Дилататор вводят, продвигая по проводнику на 2-3 см в просвет сосуда. После удаления дилататора на наружный конец проводника надевают катетер и, продвигая его центрально, вводят катетер далее в сосудистое русло, после чего проводник удаляют и дальнейшее продвижение катетера осуществляют без него.
- Крепко придерживая проводник катетер устанавливают на требуемую глубину, внимательно следя, чтобы проводник не смещался вместе с катетером. При использовании интродьюсера его надевают на проводник после удаления дилататора и вводят в сосуд; следующий этап - на наружный конец проводника надеваю катетер и, продвигая его дистально, в интродьюсер и далее в сосуд, затем извлекают проводник.
- К катетеру присоединяют шприц, еще раз проверяют обратный ток крови.
- Катетер фиксируют к коже швом, накладывается повязка с антисептиком.
Наблюдение
Ежедневно осматривается место пункции и постановки катетера, оценивается состояние кожи, проводится обработка антисептиками, замена фиксирующих повязок, оценивается функциональность катетера, осуществляется промывка.
Контроль
После выполнения манипуляции, с целью скрининг-контроля пациенту через 1,5-2 часа выполняется рентгенографический снимок грудной клетки, с помощью которого можно проконтролировать положение катетера и своевременно предупредить развитие осложнений после постановки в случае их появления.
Осложнения
Осложнения катетеризации центральных вен развиваются в 10% случаев и могут быть условно разделены на механические, инфекционные и тромботические. Частота осложнений зависит от множества факторов, включая место пункции, факторы со стороны пациента (сопутствующие заболевания, вариантная анатомия).
- Пункция артерии
- Гематома
- Пневмоторакс
- Гемоторакс
- Кровотечение
- Аритмия во время процедуры
- Тампонада сердца
- Обструкция дыхательных путей
- Повреждение грудного лимфатического протока (лимфорея, хилоторакс)
- Повреждение плечевого сплетения
- Локальное инфицирование
- Бактериемия, сепсис
Тромботические и эмболические осложнения:
- Тромбоз сосуда
- Образование тромба вокруг катетера
- Воздушная эмболия
- Эмболия катетером/проводником
Заключение
Катетеризация центральных вен жизненно важная процедура, связаная однако с рядом осложнений. Не существует абсолютных противопоказаний для этой процедуры, поскольку она может стать спасательной для жизни (как, например, в случае с гемодиализом необходимый при терминальных заболеваниях почек), но серьезные осложнения, включая смерть, могут произойти в ходе или сразу после постановки. Сосудистый доступ играет важную роль в лечении кардиологических пациентов в критическом состоянии. Исторически сложилось так, что предпочтительны методом навигации при катетеризации центральных вен служил метод идентификации анатомических ориентиров, однако успех зависит от опыта и мануальных навыков оператора, сопутствующих заболеваний пациента (например, коагулопатия, ожирение, предшествующих операции), окружающей обстановки (например, реанимационных мероприятий, ИВЛ) и, самое важное, базируется на ошибочном предположении, что все пациенты имеют сходную анатомию. Как следствие, в литературе сообщается о частоте неудачной катетеризации в диапазоне 7-26%. В настоящее время многочисленные международные согласительные комитеты пропагандируют использование ультразвукового контроля при обеспечении центрального венозного доступа. Как следствие, в отделениях анестезиологии и интенсивной терапии широко внедряются рекомендации, отмечен рост приобретения необходимой аппаратуры и подготовки персонала. С появлением более дешевого, более портативного и качественного оборудования с высоким разрешением, а также вследствие повышения доступности авторизованных учебных программ многие препятствия для распространения методики удалось преодолеть. Это больше не новая или спорная методика, поэтому все, кто вовлечен в работу службы экстренной кардиологической помощи, используют ультразвуковую навигацию при обеспечении центрального венозного доступа.
Эндоваскулярное закрытие открытого артериального протока с помощью окклюдера

Во внутриутробном периоде ОАП есть у всех, это нормальный компонент кровообращения плода. После первого вдоха родившегося ребенка лёгочные сосуды раскрываются, давление в правом желудочке падает, ОАП постепенно перестает функционировать и закрывается (облитерируется). Облитерация протока происходит в различные сроки. У 1/3 детей он закрывается к двум неделям, у остальных - в течение восьми недель жизни.
Нарушения гемодинамики связаны с аномальным сбросом крови из аорты в лёгочную артерию, так как давление в аорте гораздо выше, чем в лёгочной артерии.
Объём сбрасываемой крови зависит от размеров протока. В результате нарушений кровообращения в большой круг кровообращения поступает меньший, чем положено, объём крови, от чего страдают жизненно важные органы (мозг, почки), скелетная мускулатура. Проходя через сосуды лёгких, эта кровь возвращается в левое предсердие, левый желудочек, которые, испытывая чрезмерную нагрузку, увеличиваются в размерах (гипертрофируются), затем под влиянием всё возрастающего объёма перенасыщенной кислородом крови происходят изменения сосудов лёгких и возникает лёгочная гипертензия.
Проявления и естественное течение порока
Дети рождаются с нормальной массой и длиной тела. Дальнейшие проявления заболевания связаны с размерами протока. Чем короче и шире ОАП, тем больший объём крови сбрасывается по нему и тем более выражена клиника заболевания. При узких и длинных ОАП больные дети ничем не отличаются от здоровых. Единственным признаком, указывающим на наличие ВПС, является шум, выслушиваемый врачом-педиатром над областью сердца. При широких и узких ОАП уже в первые месяцы и даже дни жизни ребенка могут обнаруживаться все симптомы (проявления) порока. У таких детей наблюдается постоянная бледность, при физической нагрузке (натуживание, сосание, крик) отмечается преходящий цианоз (синий оттенок кожи) преимущественно на ногах. Дети отстают в физическом развитии. У них отмечается склонность к повторяющимся бронхитам, пневмониям.
Наиболее тяжёлыми периодами в течении порока являются фаза адаптации в период новорождённости и фаза терминальной лёгочной гипертензии у детей старшего возраста. В эти периоды дети погибают от сердечной недостаточности, нарушений мозгового кровообращения (инсульт), пневмоний, инфекционного эндокардита. Средняя продолжительность жизни при ОАП без оперативного лечения - 25 лет, хотя многие больные при узком и длинном ОАП доживают до пожилого возраста. Если у взрослого пациента с ОАП развиваются признаки декомпенсации кровообращения - также рекомендовано выполнение операции по закрытию протока.
Лечение
Существует два метода лечения ОАП: консервативный, или медикаментозный, и оперативный. Медикаментозное лечение ОАП применяется только в родильном доме у новорождённых в течение двух первых недель жизни, позже оно становится неэффективным. Данный метод далеко не всегда результативен, имеет много противопоказаний, поэтому основным лечением является механическое закрытие протока.
Раньше наиболее распространённым вмешательством была перевязка протока после торакотомии. Сейчас операция перевязки ОАП выполняется очень редко. На ведущие роли вышла эндоваскулярная окклюзия ОАП. Суть вмешательства заключается в окклюзии (закрытии) протока специально изготовленными спиралями и окклюдерами. Методика почти не имеет осложнений, выполняется маленьким детям под наркозом, а подросткам и взрослым - под местной анестезией. Доступ осуществляется пункционным путем, через бедренную артерию. Эффективность операции почти стопроцентная, изредка наблюдается реканализация ОАП, которая впоследствии устраняется таким же образом. При широких и коротких ОАП, когда эндоваскулярная окклюзия ОАП спиралями технически невозможна, применяется закрытие ОАП с помощью специально разработанных окклюдеров, которые также доставляются через бедренную артерию.
Описание клинического случая.
Больная С, 67 лет, поступила в стационарное отделение скорой медицинской помощи 18.09.2017 г. с диагнозом: Врожденный порок сердца: открытый артериальный проток (диаметр 4мм, длина 13 мм). При поступлении предъявляет жалобы на слабость и одышку при ходьбе. В анамнезе ГБ с максимальным повышением АД до 200/100 мм.рт.ст., адаптирована к 140/80 мм.рт.ст. Принимает конкор, амлодипин, торвакард. В течение года отмечает появление одышки при ходьбе. При обследовании по данным ЭХО КГ обнаружен ВПС: открытый артериальный проток, признаки умеренной легочной гипертензии. По данным МСКТ диаметр артериального протока составил 4 мм.
Учитывая ухудшение самочуствия и появление легочной гипертензии, принято решение о выполнении транскатетерного закрытия ОАП.
Описание операции (22.09.2017)
Под местной анестезией пунктированы правые общая бедренная артерия и общая бедренная вена. Диагностический катетер проведен в грудой отдел аорты. Выполнена ангиография, визуализируется открытый артериальный проток, соединяющий аорту и легочную артерию. Далее через интродъюсер в правой ОБВ по проводнику через артериальный проток в нисходящую часть аорты заведен катетер. Катетер заменен на доставляющее устройство окклюдера. Выполнена имплантация окклюдера "Amplatzer Duct Occluder" с расположением дистального диска окклюдера со стороны аорты, проксимального - со стороны легочной артерии. На контрольной ангиографии позиция окклюдера в артериальном протоке оптимальна, отмечается редукция кровотока по артериальному протоку. Получен хороший ангиографический результат.
На следующий день пациентка выписана из стационара в удовлетворительном состоянии.
Наш опыт бифуркационного стентирования коронарных артерий у больных ишемической болезнью сердца с помощью стентов с антипролиферативным покрытием

Бифуркационные сужения коронарных артерий по праву считаются одним из серьезных вызовов в практике эндоваскулярных хирургов. Несмотря на значительный прогресс при вмешательствах на подобных поражениях, многие вопросы остаются нерешенными.

Введение.
Бифуркационные сужения коронарных артерий по праву считаются одним из серьезных вызовов в практике эндоваскулярных хирургов. Несмотря на значительный прогресс при вмешательствах на подобных поражениях, многие вопросы остаются нерешенными. Главной проблемой остается высокая частота рестенозов в отдаленном периоде после стентирования; при этом избыточная пролиферация клеток стенки артерий затрагивает как основную, так и боковую ветви бифуркационных стенозов (1, 2, 3, 8, 10).
В настоящее время наиболее общепринятой является классификацией бифуркационных поражений по Medina, представленная на рис. 1. Первая цифра означает наличие или отсутствие (1/0) значимого сужения в проксимальной части основной ветви, вторая цифра - в дистальной части основной ветви, и третья - наличие или отсутствие (1/0) стеноза в устье боковой ветви бифуркации. Истинными бифуркациоными поражениями считаются типы 1, 1, 1, а также 1, 0, 1 и 0, 1, 1.
В современных условиях большинство интервенционных хирургов придерживается стратегии провизионального (“provisional”) Т-стентирования бифуркационных поражений. Суть техники заключается в имплантации стента в основную ветвь коронарной артерии с последующей одномоментной ангиопластикой по технике “kissing balloons” основной и боковой ветвей. Дополнительный стент в боковую ветвь устанавливается только в случае субоптимального ангиографического результата после “kissing”-дилатации (наличие резидуальных сужений или диссекций в боковой ветви). Тем не менее, существуют анатомические варианты, при которых предпочтительнее выглядят другие эндоваскулярные методики. Так, в случае наличия крупной боковой ветви в сочетании с поражением проксимальной трети этой артерии, выходящего за пределы устья, рекомендовано стентирование обеих ветвей. Наиболее частыми техниками бифуркационных вмешательств в такой ситуации являются “crush-”, “V-”, “kissing stent” и “culotte” - стентирование. На рис. 2 показаны данные исследований, сравнивающие отдаленные результаты использования подобных методик с результатами провизионального стентирования.
В ряде исследований продемонстрировано, что использование стентов с антипролиферативным покрытием способствует снижению риска развития рестенозов, а также уменьшению частоты повторных реваскуляризаций и неблагоприятных кардиальных событий по сравнению с непокрытыми стентами. Так, в рандомизированном исследовании SCANDSTENT показано, что частота кардиальных осложнений в отдаленном периоде (на протяжениии 3 лет) после бифуркационного стентирования коронарных артерий составляет 19, 3% при использовании стентов, покрытых сиролимусом, и 36, 5% при применении непокрытых устройств (3).
В последние годы на рынке появилось много различных стентов с антипролиферативным покрытием. Все ли они эффективны при коррекции бифуркационных поражений? В работе Latib et al. (2008) проводилось сравнение двух наиболее распространенных типов стентов - покрытых сиролимусом (“Cypher”) и паклитакселем (“Taxus”) при вмешательствах на коронарных бифуркациях. В этой работе отмечено, что существенной разницы между этими видами стентов по частоте рестеноза, тромбоза и уровню кардиальных осложнений в отдаленном периоде (3 года) после выполнения операций нет. Так, частота рестеноза в группе стентов с сиролимусом составила 20, 9% против 25, 9% в группе стентов, покрытых паклитакселем; частота кардиальных осложнений - 26, 7% против 25%, частота повторной реваскуляризации стентированных артерий - 12, 9% и 15, 1% соответственно (4). Сходные результаты получены и в других работах (3, 5).
По данным большинства исследований, использование стентов с антипролиферативным покрытием эффективнее непокрытых стентов практически во всех случаях бифуркационного стентирования (2, 7, 9). Продолжают вызывать споры некоторые ситуации, при которых отчетливого превосходства стентов с покрытием не было получено:
1) при острых инфарктах миокарда с сопутствующим высоким риском последующего тромбоза стента;
2) у пациентов с противопоказаниями к продолжительной двойной антиагрегантной терапии;
3) в случае короткого по длине поражения в крупной основной ветви (при анатомическом варианте, когда бифуркация не является истинной)
В отечественной литературе встречаются лишь единичные работы, посвященные изучению эффективности эндоваскулярных вмешательств у больных с бифуркационными поражениями коронарных артерий. Таким образом, проблема выбора стратегии эндоваскулярного лечения при данной патологии является чрезвычайно актуальной и требует дальнейшего изучения.
Материал и методы.
С мая 2004 г. по май 2015 г. в отделении рентгенохирургических методов исследования и лечения ФГУ “Клиническая больница №1” УД Президента РФ было выполнено 362 стентирования бифуркационных поражений коронарных артерий у 351 больного ИБС. Средний возраст пациентов составил 63 + 18 года, 224 (63, 8%) больных были мужского пола, 127 (36, 2%) - женского. У 319 (90, 9%) пациентов до вмешательства наблюдалась стабильная стенокардия 1-4 ФК по классификации ССS, стентирование при остром коронарном синдроме проводились у 32 (9, 1%) больных. Длительность клиники стенокардии варьировала от 2 месяцев до 6, 5 лет, в среднем составив 4 + 2, 1 года. Наличие сахарного диабета в анамнезе было отмечено у 31 (8, 8%) больного. Пациентов с фракцией выброса левого желудочка менее 40% было 20 (5, 7%). В анамнезе у 35 (10%) пациентов имелись эндоваскулярные вмешательства на коронарных артериях; операции коронарного шунтирования ранее проводились 4 (1, 1%) пациентам. Признаки хронической сердечной недостаточности различных степеней были обнаружены у 243 (69, 2%) больных (по классификации Нью-Йоркской ассоциации сердца).
Чаще всего выполнялось стентирование бифуркационных поражений передней межжелудочковой ветви (ПМЖВ) и диагональной ветви (ДВ) левой коронарной артерии - всего 256 (70, 7%) из 362 случаев. Огибающая артерия (ОА) и ее ветви (ВТК, ЗБВ, ЗМЖВ) были стентированы в 42 (11, 6%) случаях, правая коронарная артерия (ПКА) и ее ветви (ЗБВ, ЗМЖВ, ВОК) - в 31 (8, 6%). Также нами было проведено стентирование 33 (9, 1%) бифуркационных поражений, локализованных в стволе ЛКА (в сочетании с устьевыми поражениями ПМЖВ, ОВ или а. intermedia). Согласно классификации Medina, 284 (78, 5%) бифуркационных сужений из 362 являлись истинными.
Провизиональное Т-стентирование выполнялось в 324 (89, 5%) случаях (в 310 случаях - стентирование только основной ветви, в 14 - имплантация еще одного стента в боковую ветвь). Причинами установки дополнительных стентов оказались диссекция боковой ветви у 5 пациентов и субоптимальный результат после “kissing”-дилатации в 9 случаях. Стентирование по технике “culottes” было проведено у 21 (5, 8%) больного, по методике “crush”- у 13 (3, 6%). Относительно редко (у 4 (1, 1%) пациентов) нами применялось “V”-стентирование. В 356 (98, 3%) случаях после всех типов бифуркационных стентирований нам удалось выполнить финальную “kissing”-дилатацию, что является достаточно высоким показателем даже по сравнению с опытом ведущих мировых клиник. В 6 (1, 7%) случаях воспользоваться данной методикой не представилось возможным, т. к. у 4-х пациентов не удалось провести проводник в боковую ветвь через ячейки раскрытого стента, еще у 2-х больных возникли затруднения с доставкой в боковую ветвь баллонного катетера.
Всего был имплантирован 414 стентов с антипролиферативным покрытием, из них 296 (71, 5%) стентов “Cypher” (“Cordis”), 47 (11, 4%) стентов “Resolute” (“Medtronic”), 20 (4, 8%) стентов ”Taxus” и 24 (5, 8%) стента “Promus” (оба - “Boston Scientific”) а также 27 (6, 5%) стентов “Xience V” (“Abbot”).
Результаты и обсуждение.
Хороший непосредственный клинический результат (отсутствие или уменьшение функционального класса стенокардии) был достигнут у 345 (98, 3%) из 351 пациента. Госпитальная летальность составила 0, 6%. У одного больного после провизионального стентирования бифуркации ПМЖВ-ДВ через несколько часов в реанимационном отделении развился обширный инсульт, через неделю пациент скончался. Еще один пациент с острым инфарктом миокарда скончался на следующий день после операции ввиду исходно тяжелого состояния, несмотря на технически успешно проведенное стентирование бифуркации ПМЖВ-ДВ. Нефатальные осложнения были представлены пульсирующими гематомами в области пункции. Всего было зафиксировано 11 (3, 1%) подобных осложнений, все они были корригированы консервативно с помощью мануальной компрессии.
В отдаленном периоде в сроки от 6 до 52 месяцев коронарография выполнялась 74 (21, 1%) пациентам. Отсутствие рестеноза в области стентированных бифуркационных сегментов было зафиксировано у 51 (68, 9%) пациентов. Клинически незначимые рестенозы были выявлены у 8 (10, 8%) пациентов. Во всех случаях они развивались в области устьев боковых ветвей и не требовали повторных вмешательств. Рестенозы, которые вызывали возврат стенокардии, были обнаружены у 15 (20, 3%) обследованных пациентов. Всем этим больным выполнялись повторные эндоваскулярные вмешательства с хорошим ангиографическим и клиническим результатом. У 11 из этих пациентов были проведены повторные баллонные дилатации по методике “kissing” без имплантации стентов с хорошим итоговым результатом. У 4 пациентов возникла необходимость в имплантации дополнительного стента, также с хорошими итоговыми клиническими и ангиографическими результатами.
Частота острых тромбозов составила 0, 6%. У 1 пациента после классического Т-стентирования с имплантацией 2-х стентов через 20 дней развилась клиника нестабильной стенокардии. На контрольной коронарографии был выявлен тромбоз стента в ЗБВ ПКА, экстренно выполнена ТЛБАП ЗБВ и ЗМЖВ ПКА и имплантация дополнительного стента в дистальную треть ПКА. Больной выписался из клиники с отсутствием стенокардии. Через 52 месяца у этого же пациента при контрольной коронарографии выявлены “in-stent” рестенозы ЗМЖВ ПКА 85% и ЗБВ ПКА 75%, по поводу которых выполнена поочередная баллонная дилатация ЗБВ и ЗМЖВ ПКА баллонами высокого давления; ввиду сохранения резидуального стеноза в ЗМЖВ ПКА с переходом на д/3 ПКА имплантирован стент “Promus” с итоговой “kissing”-дилатацией и хорошим результатом. Еще один острый тромбоз развился на 3 сутки у пациента после “crush”- стентирования бифуркации ПМЖВ-ДВ. Больной был экстренно взят в рентгеноперационную, выполнена реканализация и ТЛБАП окклюзированной ПМЖВ с хорошим итоговым результатом.
Поздний тромбоз был выявлен у 1 (0, 3%) пациентки. Через 46 месяцев после провизионального Т-стентирования ствола ЛКА с переходом на ПМЖВ (в ПМЖВ имплантировано 2 стента “Cypher”) у больной развилась клиника ОИМ передней локализации. При контрольной КГ был выявлен тромбоз стента в с/3 ПМЖВ (область бифуркации ствол-ОВ-ПМЖВ без значимых изменений). Больной выполнена реканализация, ТЛБАП и стентирование ПМЖВ с хорошим клиническим результатом. Пример бифуркационного стентирования приведены на рис. 3.
Летальный исход в отдаленном периоде был отмечен у 1 пациента (внезапная сердечная смерть через 10 месяцев после вмешательства, вскрытия не проводилось).
Заключение.
В нашей работе удалось подтвердить высокую эффективность бифуркационного стентирования коронарных артерий при помощи стентов с антипролиферативным покрытием. Предпочтительной методикой, рекомендованной в большинстве случаев, является провизиональное стентирование основной ветви, в случае необходимости дополняемое стентированием боковой ветви. Используя данный вид вмешательств, мы добились относительно низкой частоты рестенозов в отдаленном периоде при помощи стентов с лекарственным покрытием. При ряде анатомических вариантов мы применяли “crush”, “culottes” и “V”-методики стентирования, которые также характеризовались вполне приемлемыми клиническими и ангиографическими результатами. Тем не менее, окончательное мнение о роли этих методик при стентировании бифуркационных поражений будет сформулировано в дальнейших крупных рандомизированных исследованиях.
Ангиопластика и стентирование коронарных артерий

Ангиопластика и стентирование артерий сердца - метод лечения ишемической болезни сердца (ИБС), который проводится без разрезов под рентгеновским контролем и заключается в восстановлении проходимости закупоренных коронарных сосудов. Суть коронарной ангиопластики заключается в установке специального катетера с маленьким баллончиком в зоне сужения. После раздувания баллона просвет коронарной артерии восстанавливается. Для поддержания просвета коронарной артерии необходимо установить металлический каркас - стент.
Ангиопластика коронарных артерий является методом лечения, который спасает тысячи жизней у пациентов с острым инфарктом миокарда. Появление этой технологии позволило снизить летальность при инфаркте в 10 раз и улучшить качество жизни у большинства пациентов с патологией коронарных артерий.
Отдаленные результаты коронарной ангиопластики и стентирования зависят от динамического наблюдения и используемых стентов. Современные стенты значительно улучшают прогноз дальнейшего течения заболевания.
В эндоваскулярной клинике Инновационного сосудистого центра достигнуты отличные результаты экстренных и плановых операций при ишемической болезни сердца. Для коррекции стенозов и окклюзий коронарных артерий у нас применяются самые современные эндоваскулярные инструменты (баллоны и стенты). Ежемесячно в клинике выполняются около 100 вмешательств на коронарных артериях у больных с острым коронарным синдромом и плановой стенокардией.
- Нашим хирургам удалось добиться минимального количества неблагоприятных исходов у больных с инфарктом миокарда и этот показатель остается самым низким в Московской области на протяжении последних лет.
- Коронарная ангиопластика проводится на новейшей ангиографической установке Philips Allura Xper FD20.
- Наши эндоваскулярные хирурги используют самый безопасный лучевой доступ на руке.
- Наша технология стентирования сердца часто позволяет отказаться от аорто-коронарного шунтирования.
- Мы используем лучшие стенты для достижения оптимального результата.
- У нас самые понятные и доступные цены на стентирование сердца.
![Анестезиологическая поддержка необходима при коронарографии]()
Подготовка к коронарографии
Для планирования операции необходимо получить информацию о состоянии коронарных артерий и функции сердца. Для этого проводятся диагностические тесты, которые в экстренном случае включают в себя ЭКГ и лабораторную диагностику, а в плановом случае необходимо более детальное обследование.
Обследование перед плановой операцией включает в себя:
- ЭКГ( в том числе холтеровское мониторирование)
- ЭХОКГ (в том числе и с нагрузкой)
- МСКТ коронарографию или предварительную коронарографию
- Гастроскопию (ЭГДС)
- Рентгенографию легких
Перед операцией вам могут дать нагрузочную дозу антитромботических препаратов, чтобы избежать ранних тромботических осложнений.
Обезболивание и поддержка во время операции
Коронарная ангиопластика проводится без разрезов, поэтому не требует общего обезболивания. Достаточно местной анестезии места прокола артерии. С целью контроля за жизненно-важными функциями используется следящая аппаратура. Каждому пациенту подключается монитор, отображающий артериальное давление, ЭКГ и насыщение крови кислородом. Операция проводится под наблюдением анестезиолога-реаниматолога.
![Коронарография проводится через прокол сосуда на руке]()
Как проходит коронарная ангиопластика и стентирование
Коронарная ангиопластика выполняется без разрезов через маленький прокол в артерии. Основные доступы к артерии для коронарного стентирования - это бедренный (в паховой области) и радиальный (на запястье). Эта область обрабатывается антисептиком. После прокола артерии в нее устанавливается тонкая трубочка - интрадюссер. Через него проводится основная работа по ангиопластике и стентированию.
Внутрь артерии проводится тонкий проводник, который идет до коронарных сосудов и должен преодолеть закупорку. Вместе с ним к сердцу проводится катетер, через который вводится контрастное вещество для ориентирования внутри сосуда. Выполняется серия коронарограмм и уточняется место закупорки артерий.Для выполнения ангиопластики проводник необходимо провести за место закупорки коронарной артерии. После проведения приступаем к самой процедуре ангиопластики.
Для этого по проводнику проводится специальный баллон в свернутом состоянии и устанавливается в месте сужения. С помощью специального устройства этот баллон раздувается и раскрывает просвет артерии. Процедура длится несколько секунд, чтобы не вызвать резкой боли в груди из-за блокирования кровотока в коронарной артерии.
Стентирование - установка специальной металлической сеточки для поддержания стенки артерии в раздутом состоянии. Стентирование позволяет улучшить непосредственные и отдаленные результаты эндоваскулярной операции. В настоящее время стентирование проводится в большинстве случаев эндоваскулярных вмешательств на коронарных артериях.
Стент находится в артерии постоянно и со временем может зарастать, поэтому желательно использовать стенты покрытые лекарством, которые зарастают значительно медленнее и служат намного дольше.
В нашей клинике с успехом используется рассасывающийся стент Absorb, который сделан из материала, подвергающегося самораспаду с течением времени. При использовании такого стента через 2 года в коронарной артерии уже не остается инородного тела. Использование Absorb позволяет значительно улучшить отдаленные результаты коронарного стентирования.
После стентирования хирург проводит контрольное ангиографическое исследование убедившись в хорошем результате удаляет весь инструмент. На место доступа накладывается давящая повязка или используется специальное устройство для закрытия прокола.
Возможные риски при коронарной ангиопластике
Хотя ангиопластика является менее инвазивным способом, чем шунтирование это процедура по-прежнему сопряжена с некоторыми рисками. Риски могут быть связаны с самой процедурой и ее отдаленными исходами.
Ранние риски:
- Кровотечение. Возможно кровотечение в ноге или руке, где был проведен доступ к сосуду. Обычно просто развивается синяк, но иногда бывает серьезное кровотечение, что может потребовать переливания крови или хирургической операции.
- Сердечный приступ. Нарушения коронарного кровообращения в процессе операции развиваются очень редко, однако иногда из-за технических причин может развиться разрыв или расслоение коронарной артерии. Эти осложнения могут потребовать экстренной операции коронарного шунтирования.
- Проблемы с почками. Контрастное вещество, используемые при ангиопластике и установке стента может привести к повреждению почек, особенно у людей, которые уже имеют проблемы с почками. Если вы находитесь в группе повышенного риска, ваш врач может предпринять шаги, чтобы защитить ваши почки, такие как ограничение количества контрастного вещества и увеличенную водную нагрузку для разбавления контраста.
- Ишемический инсульт. Во время ангиопластики, инсульт может произойти, если при проведении катетера через аорту отрываются кусочки бляшки. Инсульт-крайне редкое осложнение коронарной ангиопластики. Для его предупреждения назначаются препараты снижающие свертываемость крови.
- Аритмия сердца. Во время процедуры, сердце может биться слишком быстро или слишком медленно. Такие аритмии обычно непродолжительны, но иногда требуется установка временного кардиостимулятора.
Поздние осложнения
- Повторное сужение артерии (рестеноз). При ангиопластике без стентирования частота рестеноза составляет примерно 30% случаев. Стенты были разработаны для уменьшения рестеноза. Использование простых металлических стентов уменьшает вероятность рестеноза до 15%, и использование стентов с лекарственным покрытием снижает риск до менее 10%.
- Тромбоз стента. Сгустки крови (тромбы) могут закрыть артерию, вызывая сердечный приступ. Для уменьшения риска тромбоза важно принимать аспирин, клопидогрель (Плавикс), что помогает уменьшить риск образования тромбов в стенте. Никогда не прекращайте прием этих лекарств без обсуждения с врачом.
![Современные стенты выдерживают перегибы]()
Прогноз после лечения
Коронарная ангиопластика значительно увеличивает поток крови через ранее суженную или закупоренную коронарную артерию. При этом боль в груди (стенокардия) обычно должна уменьшится, а физические возможности организма наоборот должны возрастать.
Нужно понимать, что ангиопластика и стентирование не излечивает ишемическую болезнь сердца, а лишь устраняет конкретные нарушения кровобращения сердечной мышцы. Для достижения стабильного результата необходимо вести здоровый образ жизни и принимать лекарства, предписанные врачом.
Если симптомы стенокардии возвращаются, то необходимо еще раз обратиться к своему врачу, а если появились боли в груди в покое, которые не реагируют на нитроглицерин, то вызывайте скорую помощь.
После коронарной ангиопластики и стентирования качество жизни улучшается у 95% пациентов, при этом у многих из них эффект сохраняется более 5 лет.
Послеоперационное наблюдение и лечение
Если проводится плановая операция, то срок госпитализации будет скорее всего не больше 2-х суток. После выполнения контрольной диагностики назначаются препараты и пациент выписывается домой. На работу можно выходить спустя неделю после операции. Однако, если операция проводилась по поводу инфаркта, то лечение будет продолжено примерно около месяца.
Немедленно свяжитесь с врачом в следующих случаях:
- Гематома, боль или кровотечение из места прокола артерии
- Покраснение, отек, гнойные выделения из места пункции или повышение температуры
- Боль и похолодание руки или ноги через которую проводили катетер
- Боль в грудной клетке или резкая слабость
Необходимо проявлять внимательность в выполнении назначений врача и никогда самостоятельно не отменять назначенные препараты.
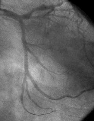
Интаперикардиальный доступ. Частота интраперикардиальной перевязки сосудов
Ишемическая болезнь сердца (ИБС) — патологическое состояние, характеризующееся относительным или абсолютным нарушением кровоснабжения миокарда вследствие поражения коронарных артерий. Хирургическое лечение ишемической болезни сердца является одним из главных феноменов медицины XX века. В группе больных с ишемической дисфункцией миокарда операция реваскуляризации приводит к улучшению гемодинамических показателей: снижению конечного диастолического давления в левом желудочке, увеличению сердечного и ударного выбросов, а также фракции изгнания левого желудочка. Результаты большинства исследований показали, что значительное улучшение состояния или полное исчезновение стенокардии наблюдаются у 75-95% оперированных больных.
2. Лекции по сердечно-сосудистой хирургии. Под ред. Л. А. Бокерия. В 2-х т. Т. 2. -М.: Издательство НЦССХим. А. Н. Бакулева РАМН, 1999. - 194с.
3. Мыш Г.Д., Непомнящих Л.М. Ишемия миокарда и реваскуляризация сердца. - Новосибирск: Наука, 1980. - 296с.
4. Руководство по кардиологии : Учебное пособие в 3 т. / Под ред. Г.И. Сторожакова, А.А. Горбаченкова. - 2008. - 672 с.
5. Сердечно-сосудистая хирургия: руководство/ В. И. Бураковский, Л. А. Бокерия и др.; Под ред. акад. АМН СССР В. И. Бураковского, проф. Л. А. Бокерия.— М.: Медицина, 1989.—752 с
6. Топографическая анатомия и оперативная хирургия: учебник: в 2т. / под ред. И.И. Кагана, И.Д. Кирпатовского. - М. : ГЭОТАР-Медиа, 2012. - Т.2 - 576с.
7. Техника операции аорто-коронарного шунтирования 3-5 венечных артерий сердца. // Грудная хирургия. / Под ред. В. С. Работникова, Г. П. Власова, Э. Н. Казакова, Э. Н. Керцмана. - 1985.
8. Хирургическое лечение недостаточности коронарного кровообращения. // Труды Всесоюзной сессии АМН совместно с Томским медицинским институтом; / Под ред. Д. П. Демихова. - 1953.
Показания к операции реваскуляризации миокарда, как и показания к операции в любой области хирургии, базируются на трех «китах»: клинической картине заболевания, анатомии поражения и функции органа.
Классическим клиническим показанием к хирургическому лечению пациента является тяжелая стенокардия, резистентная к медикаментозной терапии. Однако тяжесть клинических проявлений не всегда коррелирует с тяжестью поражения коронарного русла. Кроме того, современная медикаментозная терапия обладает высокой эффективностью за счет резкого снижения потребления миокардом кислорода и воздействия на ряд патогенетических звеньев формирования синдрома «грудной жабы».
Поэтому в последние годы на первый план выходят анатомические показания к операции, а именно - локализация, степень сужения коронарных артерий и количество пораженных сосудов. [2, с.58]
Основными анатомическими показаниями являются:
- Значимый стеноз левой коронарной артерии;
- Значимый (более 70%) проксимальный стеноз передней межжелудочковой ветви (ПМЖВ) и проксимальный стеноз огибающей ветви;
- Трехсосудистое поражение;
- Двухсосудистое поражение при наличии значимого проксимального стеноза ПМЖВ в сочетании с фракцией выброса левого желудочка менее 50% или с ишемией, подтвержденной неинвазивным тестированием;
- Одно- или двухсосудистое поражение со стенозом проксимального отдела ПМЖВ, выраженной картиной ИБС;
Виды операций при ИБС [1,9]
A. Непрямые методы реваскуляризации
- симпатэктомия
- кардиопексии
- оментокардиопексия
- пневмокардиопексия
- перикардиопексия
B. Прямые методы реваскуляризации
- аортокоронарное шунтирование
- маммарно-коронарное шунтирование
- анастомоз с желудочно-сальниковой артерией
- аутопластика коронарных артерий
- стентирование коронарных артерий
- баллонная дилатация венечных артерий
- эндартерэктомия
Непрямые методы реваскуляризации
Возникли на заре коронарной хирургии и были связаны с отсутствием искусственного кровообращения, способного защитить организм и миокард от ишемии. Вместе с тем, ряд методик применяются и в настоящее время при невозможности, по каким-либо причинам, осуществить прямую реваскуляризацию. [ 2, с.55]
Первые операции были направлены на ликвидацию болевого синдрома, снижения основного обмена или на фиксацию к миокарду органов и тканей, богатых кровеносными сосудами и коллатералями.
Симпатэктомия. Это хирургическая операция, задачей которой является прекращение передачи нервного импульса по симпатическим нервным волокнам, расположенным в адвентиции сосудистой стенки. Эта идея была высказана 100 лет назад французским физиологом Франсуа-Франком, предположившим, что резекция шейно-грудных симпатических ганглиев может привести к устранению стенокардии. На практике эта идея была реализована в 1916 г. Т. Jonnesco. [2, с.55]
В дальнейшем были предложены и другие методики, направленные на устранение стенокардии путем прерывания афферентных болевых импульсов, - задняя ризотомия (пересечение задних корешков спинного мозга), различные виды симпатических блокад. Эти операции были подвергнуты резкой критике, поскольку они устраняли болевые приступы, предупреждающие больного об опасности. С другой стороны, по мнению ряда исследователей, подобные нейрохирургические вмешательства приводили к снижению потребления миокардом кислорода, что благотворно сказывалось на течении заболевания. [2, с.55]
Кардиопексии. Наибольшее распространение получили операции непрямой реваскуляризации миокарда, направленные на создание дополнительного источника кровоснабжения сердца. Впервые Л. Moritz и С. Hudson в 1932 г. предложили в этих целях использовать перикард. Beck С. в 1935 г. выполнил скарификацию эпикарда, полагая, что в результате образования сращений между перикардом и эпикардом произойдет прорастание перикардиальных сосудов в миокард. Наибольшее распространение получил метод S. Thompson, который заключается в распылении талька в полости перикарда с целью образования сращений. Эти вмешательства были названы кардиоперикардиопексией. Однако этот вид хирургического метода лечения ИБС не получил широкого распространения.
В 1937 г. L. O’Shaughnessy впервые использовал тканевой трансплантат для реваскуляризации миокарда. Он подшил к эпикарду лоскут большого сальника на ножке. Эта операция, названная оментокардиопексией, привела к разработке целого ряда подобных методов. С целью создания дополнительного источника кровоснабжения сердца хирурги использовали ткань легкого, грудные мышцы, медиастинальный жир, кожный лоскут и даже участок тонкой кишки. [2, с.55]
Операция Фиески. Это операция двусторонней перевязки внутренних грудных артерий (ВГА), предложенная итальянским хирургом D. Fieschi в 1939 г. По мнению автора, перевязка ВГА тотчас ниже отхождения перикардодиафрагмальной ветви усиливает кровоток по этой артерии, имеющей анастомозы с ветвями коронарных артерий. [2, с.56]
Автор с успехом провёл операцию на больной стенокардией. Затем это вмешательство было забыто и только после 50-х гг. возрождено М. Баттезати. [3, с.71]
Операция Вайнберга. Занимает промежуточную позицию между непрямыми и прямыми методами реваскуляризации миокарда и заключается в имплантации кровоточащего дистального конца внутренней грудной артерии в толщу миокарда, что приводит вначале к формированию внутримиокардиальной гематомы, а в последующем к развитию анастомозов между ВГА и ветвями коронарных артерий. Основным недостатком метода Вайнберга являлось отсутствие немедленного эффекта реваскуляризации. [4, с.537]
Прямые методы реваскуляризации
С середины 50-х годов при ишемической болезни сердца хирурги начали использовать способы прямой реваскуляризации. Под операциями прямой реваскуляризации миокарда принято понимать прямые вмешательства на коронарных артериях. Первым таким вмешательством была коронарная эндартерэктомия (ЭАЭ). [2, с.56]
Коронарная эндартерэктомия. Пионером ее стал американский хирург С. Bailey. Он разработал три методики ЭАЭ: прямую, антеградную и ретроградную - через устья коронарных артерий в условиях искусственного кровобращения. С. Bailey разработал также специальный инструментарий для осуществления этой процедуры, в том числе микрокюретки для коронарных артерий. [2, с.56]
Эндартерэктомия заключается в удалении внутреннего слоя стенки артериального сосуда, включающей атеросклеротически измененную интиму и часть медии, и была разработана на периферических артериях в 1948 году Дос Сантосом. Эндартерэктомия нередко осложнялась тромбозом коронарной артерии с развитием ИМ, и летальность при этих вмешательствах была очень высока. Эта процедура сохранила известное значение до настоящего времени. При диффузном поражении коронарных артерий иногда приходится выполнять ЭАЭ в сочетании с АКШ. [4, с.537]
Маммарно-коронарное шунтирование. В 1964 г., русский хирург В. И. Колесов выполнил первую в мире успешную операцию маммарно-коронарного анастомоза (МКА). В настоящее время приоритет В.И. Колесова признан во всем мире, и знаменитый американский хирург D. Eggeer назвал его пионером коронарной хирургии. Колесов В.И. накладывал МКА без использования искусственного кровообращения, на работающем сердце. [2, с.57] ( Рис. 1)
![]()
Рис. 1. Грудовенечный анастомоз по Колёсову
Основные этапы операции:
1) доступ к сердцу, осуществляемый обычно путем срединной стернотомии;
2) выделение ВГА; забор аутовенозных трансплантатов, выполняемый другой бригадой хирургов одновременно с производством стернотомии;
3) канюляция восходящей части аорты и полых вен и подключение ИК;
4) пережатие восходящей части аорты с кардиоплегической остановкой сердца;
5) наложение дистальных анастомозов с коронарными артериями;
6) снятие зажима с восходящей части аорты;
7) профилактика воздушной эмболии;
8) восстановление сердечной деятельности;
9) наложение проксимальных анастомозов;
10) отключение ИК;
12) ушивание стернотомического разреза с дренированием полости перикарда.
- большее соответствие диаметров внутренней грудной и коронарной артерии;
- анастомоз накладывают между однородными тканями;
- вследствие небольшого диаметра внутренней грудной артерии объемный кровоток по ней меньше, чем по аутовенозному шунту, но линейная скорость больше, что теоретически должно снизить частоту возникновения тромбозов;
- нужно накладывать только один анастомоз, что сокращает время операции;
- внутренняя грудная артерия редко поражается атеросклерозом.
Ограничения применения метода:
- имеются только две внутренние грудные артерии, что ограничивает возможность реваскуляризации нескольких артерий;
- выделение внутренней грудной артерии является более сложной процедурой.
![]()
Рис. 2. маммарно-коронарное шунтирование
Аортокоронарное шунтирование ( Рис. 3) относится к разряду эффективных операций при хирургическом лечении ишемической болезни сердца. Операцию аортокоронарного шунтирования сегментом большой подкожной вены бедра выполняют в условиях искусственного кровообращения. Оперативный доступ: чаще срединная продольная стернотомия, которая позволяет подойти к нисходящим ветвям правой и левой коронарных артерий. Операцию начинают с выделения коронарной артерии, перевязки её выше места окклюзии. Накладывают дистальный артериовенозный анастомоз. Следующий этап операции предусматривает наложение проксимального аортовенозного анастомоза путём бокового отжатия восходящей аорты, в которой иссекают овальное отверстие диаметром 1*0,3см, и накладывают анастомоз "конец в бок". Кроме большой подкожной вены бедра, применяют внутреннюю грудную, лучевую, нижнюю надчревную аутоартерии. При множественном поражении коронарных артерий выполняют несколько шунтов (от 2 до 6). [ 6, с.179]
Рис. 3. Аортокоронарное шунтирование
Существует несколько технических вариантов коронарного шунтирования (Рис. 4, 5) :
1. «Змеевидный» или секвенциальный шунт
Так называют шунт с последовательными анастомозами, то есть посредством одного трансплантата шунтируют несколько коронарных артерий или коронарную артерию на двух уровнях. При этом накладывают последовательные анастомозы "бок в бок" между трансплантатом и реваскуляризируемым сосудом и один дистальный анастомоз "конец в бок". Описаны случаи шунтирования одним аутовенозным трансплантатом до 5 коронарных артерий. Оптимальным вариантом является шунтирование двух, максимум трех ветвей с помощью одного трансплантата.
2. У-образный шунт
Его создают путем вшивания проксимального анастомоза одного из шунтов в бок другому. Используется при значительном истончении стенки восходящей части аорты или при небольшой площади аорты и большом количестве реваскуляризированных сосудов. [2, с.59]
![]()
Рис. 4 У-образный шунт
![варианты множественного аорто-коронарного шунтирования: а — У-образный шунт, 6 — подковообразный, в—змеевидный]()
Рис.5 «Змеевидный» или секвенциальный шунт
Коронарное стентирование. Это операция, позволяющая восстановить кровоток в коронарных артериях путём имплантации стентов в месте сужения коронарной артерии. Стент - внутрисосудистый протез для поддержания стенки пораженного сосуда и сохранения диаметра его просвета. Конструкция стента представляет собой тонкий сетчатый каркас из инертного металлического сплава высочайшего качества, раскрываемый баллоном внутри сосуда до нужного диаметра. [2, с.79]
· Металлический стент (Bare Metal Stent) - внутрисосудистый протез из нержавеющей стали или кобальт-хромового сплава. Использование металлических стентов связано с риском тромбоза в первые 30 дней и требует двойной антитромбоцитарной терапии в течении 1 месяца, а также 20-30% риском рестеноза (повторного сужения сосуда) в течение 6-9 месяцев после имплантации.
· Стент с лекарственным антипролиферативным покрытием — внутрисосудистый протез из кобальт-хромового сплава с покрытием, высвобождающее лекарственное вещество, препятствующее повторному сужению сосуда. Лекарственный слой в последствии растворяется.
Техника стентирования коронарных артерий. ( Рис. 6)
На стадии коронарографии определяется характер, месторасположение и степень сужения коронарных артерий, после чего переходят к операции.
Под рентгеноскопическим контролем стент подводится к стенозу, после чего хирург раздувает баллон, на который одет стент, шприцом с манометром (индефлятором) до определенного давления. Баллон раздувается, стент расширяется и вдавливается во внутреннюю стенку, тем самым образуя жесткий каркас. Для полной уверенности в том, что стент полностью расправлен, баллон раздувается несколько раз. Затем баллон сдувается и удаляется из артерии вместе с проводником и катетером. Стент остается и сохраняет просвет сосуда. В зависимости от протяженности поражения артерии могут использоваться один или несколько стентов. [2, с.79]
![]()
Рис. 6. Этапы стентирования артерии
Несмотря на низкую частоту осложнений, проведение коронарного стентирования сопряжено с определенным риском.
Основные осложнения, встречающиеся при проведении стентирования, — это цереброваскулярные (0,22%), сосудистые (от 2%), летальный исход (1,27%). Основным фактором, лимитирующим эффективность коронарного стентирования, является процесс рестенозирования. Рестеноз - повторное сужение просвета сосуда, приводящее к снижению кровотока. In-stent рестеноз - повторное сужение просвета коронарного сосуда внунтри стента.
Факторами риска рестеноза являются:
— генетическая предрасположенность к повышенной пролиферации неоинтимы;
— параметры пораженного сегмента: диаметр сосуда, длина повреждение, тип стеноза;
— особенности течения процедуры: протяженность повреждения сосуда, остаточная диссекция, количество имплантируемых стентов, диаметр стента и соотношение его площади с поверхностью сосуда. [2, с.79]
Баллонная ангиопластика коронарных артерий. В последние 10—15 лет в лечении ИБС используют реваскуляризацию миокарда путем транслюминальной балонной дилатации (ангиопластики) стенозированных венечных артерий. В кардиологическую практику метод был внедрен в 1977 г. A. Gruntzig. Показанием к ангиопластике венечных артерий у больных ИБС служит гемодинамически значимое поражение коронарной артерии в ее проксимальных отделах при условии отсутствия выраженного кальциноза и поражения дистального русла этой артерии. [5, с. 532]
Для выполнения ангиопластики венечных артерий используют систему двух катетеров: катетер-проводник и дилатационный катетер. После выполнения коронарографии обычным методом ангиографический катетер заменяют катетером-проводником, через который проводят дилатационный катетер в стенозированную венечную артерию. Максимальный диаметр баллончика 3—3,7 мм при его наполнении, в спавшемся состоянии его диаметр составляет 1,2— 1,3 мм. Катетер проводят в стенозированную артерию. Дистальнее области стеноза антеградное давление в артерии падает и тем самым фиксируется перфузионное давление дистальнее стеноза (за счет коллатерального кровотока). При достижении баллончиком стенозированного сегмента последний под давлением 5 атм. заполняют 30% раствором контрастного вещества. В таком состоянии баллончик находится в течение 5—60 с, после чего его опорожняют и вновь измеряют перфузионное давление ниже стеноза. При необходимости баллончик можно наполнить несколько раз. Уменьшение градиента давления служит основным ориентиром для прекращения процедуры. Повторный ангиографический контроль позволяет определить степень остаточного стеноза.
Основным критерием успеха считается уменьшение степени стеноза после ангиопластики более чем на 20%. По сводным данным национального института сердца, легких и крови (США), суммарный положительный результат баллонной дилатации коронарных артерий достигается примерно у 65% больных. Вероятность успеха при этой процедуре возрастает у больных молодого возраста с непродолжительным анамнезом стенокардии и при проксимальных поражениях артерий.
Основными осложнениями ангиопластики венечных артерий являются
· острый инфаркт миокарда (5,3%)
· окклюзия коронарной артерии (4,6%)
· спазм коронарной артерии (4,5%)
· фибрилляция желудочков (1,8%)
Клинический эффект ангиопластики венечных артерий заключается в исчезновении или значительном урежении приступов стенокардии примерно у 80% больных с успешным результатом процедуры, в повышении толерантности к физическим нагрузкам более чем у 90%, улучшении сократительной способности миокарда и его перфузии. [5, с. 532]
Читайте также:








