Интракоронковые временные шины. Особенности интракоронковых шин при парадонтите
Добавил пользователь Евгений Кузнецов Обновлено: 21.01.2026
Cреди проблем современной стоматологии одно из ведущих мест занимают болезни пародонта. По данным ВОЗ, более 50 % взрослого населения страдают от пародонтита, имеющего выраженные клинические проявления и требующего комплексного лечения: терапевтического, хирургического, ортопедического.
Последнее имеет важнейшее значение для достижения положительного эффекта. Шинирование, в том числе, способствует восстановлению жевательной функции подвижных зубов, уменьшению воспалительного процесса в мягких тканях и предупреждению осложнений [1—6]. Шины связывают расположенные рядом зубы в единую систему, равномерно распределяя действующую на них жевательную нагрузку, устраняя травматическую окклюзию. В соответствии с этим конструкция должна отвечать ряду требований: прочно фиксировать и не смещать зубы, не создавать чрезмерной нагрузки для зубов, оставлять свободными межзубные промежутки, не препятствовать чистке и самоочищению.
Ассортимент современных материалов, используемых в терапевтической стоматологии, значительно расширяет показания к консервативному лечению болезней пародонта и зубов без депульпирования и обширного препарирования последних. Более того, в случае сочетания подвижности зубов с наличием клиновидных дефектов может использоваться методика, включающая адгезивное шинирование и одновременно реставрирование дефектов твердых тканей.
Моделирование адгезивных конструкций прямым способом осуществляется непосредственно в полости рта. Непрямой способ изготовления шины производится на модели в лабораторных условиях. Экстракоронковое шинирование не требует препарирования твердых тканей зуба. Интракоронковое предполагает инвазивное вмешательство.
Адгезивное шинирование осуществляется при помощи армирующих лент, которые различаются по составу: металл, полиэтилен, керамика, стекловолокно, высокопрочные нити. Волоконные системы, в свою очередь, бывают наполненные и ненаполненные.
Для укрепления конструкции используются текучие композиты, которые характеризуются хорошими тиксотропными свойствами и способны заполнять неровности и шероховатости на поверхности зубов. Реставрации изготавливаются из композитных материалов: микрогибридных, нанонаполненных, ормокеров.
Ормокерами называются композитные материалы, в которых видоизменена органическая матрица. Это современный класс полимеров на основе органически модифицированной керамики.
Наногибридные материалы отличаются высоким содержанием наполнителей, включая наночастицы (размером менее 100 нм).
Адгезивное шинирование в сочетании с реставрированием зубов требует длительного периода времени для работы, поэтому необходима тщательная подготовка пациента в плане психологического взаимодействия. Врач-стоматолог, в свою очередь, должен иметь высокую квалификацию, чтобы владеть необходимыми практическими навыками.
Клинический случай
На кафедру терапевтической стоматологии обратился пациент А. с жалобами на небольшую подвижность зубов нижней челюсти, а также их чувствительность к температурным и механическим раздражителям.
В прошлом зубы покрывали фторлаком, что снижало степень болевых ощущений.
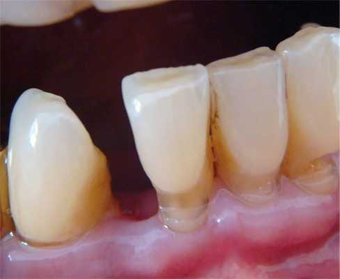
При осмотре определяется выраженная горизонтальная стираемость твердых тканей зубов: четко видны участки пигментированного дентина. Корни зубов оголены на 2/3. В придесневой области обнаруживаются V-образные дефекты твердых тканей. Имеется нарушение целостности зубного ряда в результате отсутствия нижнего латерального резца справа (рис. 1) . Стертые поверхности зубов реагируют на зондирование и термометрию положительно, однако боль исчезает сразу после устранения раздражителя, что позволяет сохранить пульпу интактной. Перкуссия отрицательна, электровозбудимость в пределах нормы (5—10 мкА). Подвижность зубов достигает I—II степени.

Рис. 1. Исходная клиническая ситуация.
Принято решение об изготовлении адгезивной шинирующей конструкции в сочетании с воссозданием отсутствующего зуба и заполнением клиновидных дефектов. Пациент подписал мотивированное согласие.
Подготовительный этап включал профессиональную гигиену полости рта и обучение индивидуальному уходу за зубами. Медикаментозное лечение не показано.
Конструкция формировалась в определенной последовательности, включая все этапы работы с композитными материалами.
Первым шагом являлась механическая обработка поверхностей всех зубов, подлежащих шинированию, неабразивным гелем, нанесенным на специальную щеточку, которая позволяет очистить эмаль и дентин без их травмирования.
Следующий этап, выбор оттенков композита, осуществлялся в соответствии с комплектом эталонных цветов микрогибридного материала, который имеет оттеночные опаки, позволяющие воспроизводить цветовые акценты, в том числе «кольца стираемости» дентина.
Обеспечивались условия оптимальной светоцветовой среды: из поля зрения специалистов исключались яркие цветовые предметы. Эталоны расцветки сравнивались с отдельными участками зубов, особенно тщательно подбирали цвет материала в области режущего края и придесневых участков в целях сохранения и воспроизведения естественного вида зубов. Для заполнения основного объема клиновидного дефекта выбран опаковый композит. Он же явился базовым для формирования отсутствующего латерального резца. Дополнительно планируется использование более темного опакового материала для пришеечной области искусственного 42 зуба. Эмалевые оттенки соответствуют шприцам с маркировкой А2 и «прозрачный». Воссоздание площадки стертого дентина требует применения дополнительных оттенков: охристого и персикового.
Этап планирования размеров, формы и рельефа, в первую очередь, относится к отсутствующему зубу. По ширине предполагаемый искусственный зуб займет свободное место в зубном ряду, по толщине будет равняться симметричному резцу. Высота определяется размерами находящихся рядом коронок: он не должен нарушать окклюзионные соотношения. Признаки принадлежности стороне на нижних резцах не определяются. Режущий край стерт, поэтому контакты между антагонистами представлены несколько вогнутыми площадками.
В соответствии с результатами одонтоскопии планируется моделирование отсутствующего зуба: форма — прямоугольная, признаки принадлежности стороне не определяются. В области режущего края необходимо создание «площадки стертости».
Адгезивная шинирующая конструкция включает подвижные резцы и ограничивается устойчивыми клыками.
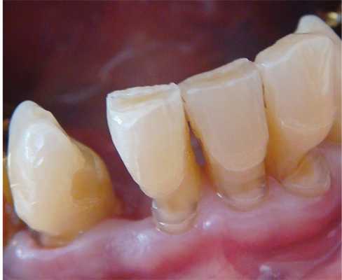
Препарирование зубов производится минимальное, поскольку клиновидные дефекты предполагается использовать в качестве бороздки для волоконной конструкции. Алмазными борами (шаровидными, обратноконусными) сошлифовывается поверхностный слой эмали, сглаживаются выступающие края. Дентин препарируется очень осторожно ввиду близости пульповой камеры, используются твердосплавные боры. Вдоль шейки 33 зуба формируется борозда, в которой будет располагаться армирующая лента. На боковых поверхностях зубов, замыкающих дефект зубного ряда (43 и 41), формируются площадки для укрепления адгезивного мостовидного протеза: по ширине и глубине они соответствуют размерам ленты, а по длине занимают практически всю проксимальную поверхность, обращенную в сторону отсутствующего зуба (рис. 2) .

Рис. 2. Зубы после препарирования.
Адгезивное шинирование предполагается осуществить с использованием стекловолокна, которое пропитано смолой в фабричных условиях. Отсутствие плетеных структур делает волокна более эластичными и позволяет оптимально адаптировать их к поверхности клиновидных дефектов.
Длину отрезка ленты определяли при помощи узкой полоски фольги, которая укладывалась вдоль зубного ряда, погружаясь в борозды, образованные клиновидными дефектами и межзубные промежутки, повторяя форму шинирующей конструкции и адгезивного мостовидного протеза. Фольга изгибается таким образом, чтобы охватить шейки 33, 32, 31 зубов, а с другой стороны занять площадки, отпрепарированные на 41 и 43 зубах. Полоска фольги аккуратно обрезается и разглаживается: она служит матрицей для подготовки армирующего волокна.
Дно глубокого дефекта 32 зуба покрывается тонким слоем стеклоиономерного цемента во избежание раздражения пульпы.
Следующий этап — кислотное травление гелем всех отпрепарированных поверхностей — длится 15 и 30 секунд соответственно для дентина и эмали (рис. 3) . Затем гель тщательно смывается струей воды, зубы просушиваются из воздушного пистолета.

Рис. 3. Кислотное травление твердых тканей зубов.
Адгезивная подготовка включает покрытие обработанных поверхностей клиновидных дефектов и площадок для укрепления АМП адгезив-бондом и его полимеризацию.
Параллельно проведению стоматологом основных манипуляций в полости рта ассистент в целях экономии времени врача подготавливал отрезок армирующего волокона в соответствии с отрезком фольги (рис. 4) .

Рис. 4. Этап внесения отрезка армирующего волокна в подготовленную борозду.
Его длина полностью совпадает с размерами участка зубной дуги, подлежащего шинированию, включая АМП. Лента не требовала специальной обработки, поскольку пропитана адгезивом в фабричных условиях. Однако следовало предохранять ее от попадания прямых лучей светильника.
Укрепление ленточного волокна осуществлялось с помощью текучего фотокомпозита, соответствующего основному композитному материалу. При помощи кисточки он наносился на все поверхности, покрытые адгезив-бондом, включая стенки клиновидных дефектов и площадки на боковых поверхностях зубов, расположенных непосредственно возле включенного дефекта зубного ряда.
Текучий композит не отверждался, и в него погружалась лента начиная от левой половины нижней челюсти, огибая шейку 33, последовательно прижимаясь к каждому зубу таким образом, чтобы максимально огибалась шейка, и заполнялся межзубный промежуток. Правый свободный конец ленты укладывался на площадки боковых поверхностей 41 и 43 зубов, располагаясь на месте отсутствующего резца на небольшом удалении от вестибулярной поверхности (кончик ленты направлен к вестибулярной поверхности коронки, а свободная часть волокон — в оральном направлении) (рис. 5) .

Рис. 5. Стекловолоконная лента адаптирована к зубам, создан каркас для адгезивного протеза.
Затем производили фотополимеризацию отдельно каждого участка, на который попадает световой поток. Отверждение длилось по 20 с.
На свободном отрезке ленты текучий композит также был подвергнут полимеризации. Стекловолокно и оставшийся объем клиновидного дефекта покрывались слоем опакового композита, имитирующего дентин: количество материала полностью соответствовало объему утраченного дентина. Следующий, эмалевый, слой придавал естественный вид придесневому участку зуба. Тонким прозрачным эмалевым слоем покрывалась поверхность реставраций, что позволяло обеспечить естественную прозрачность и блеск (рис. 6) . Удлинения зубов в области режущего края не требовалось, поскольку реставрация в области оголенного корня позволяла увеличить размеры коронки до нормальной высоты. Более того, увеличение вертикального размера зубов привело бы к завышению прикуса.

Рис. 6. Стекловолокно и оставшийся объем клиновидных дефектов покрыты слоями композита.
Затем приступали к моделированию отсутствующего зуба. На открытый участок волоконной структуры, покрытый отвержденным текучим композитом, наносили опаковый материал толщиной 2 мм и отверждали светом полимеризующей лампы. Затем более светлый опак использовался таким же образом (рис. 7) . Моделировалась равномерная вестибулярная поверхность, небольшая пришеечная выпуклость, одинакового размера дистальный и мезиальный угол.

Рис. 7. Смоделирована опаковая основа 42 зуба.
Дентинная основа покрывалась эмалевым слоем, а затем прозрачным эмалевым композитом. Каждый слой отверждался отдельно в течение 20—40 с в зависимости от степени опаковости. Меньшая длительность полимеризации соответствовала большей прозрачности материала. Особого внимания заслуживало моделирование режущего края в виде стертой площадки, на которой создавались пигментированные овальные участки. Для этого красители (охристый и персиковый) (рис. 8)

Рис. 8. Дополнительные красители (охристый и персиковый).
наносились на окклюзионную поверхность при помощи эндодонтического инструмента. После отверждения пигменты покрывались прозрачным эмалевым фотополимером (рис. 9) .

Рис. 9. После отверждения пигменты покрыты прозрачным эмалевым фотополимером.
Готовая комбинированная адгезивная шинирующая конструкция обрабатывалась алмазными борами мелкой и ультрамелкой зернистости, корундовыми и фетровыми головками до появления естественного блеска. Поверхность зубов вокруг шины и реставраций покрывали фторсодержащим лаком. Данное мероприятие предупреждает возможную деминерализацию эмали.
Заключение
Использование современных стоматологических материалов при наличии высокой квалификации врача-стоматолога позволяет изготавливать сложные комбинированные конструкции, отвечающие эстетическим требованиям, в сочетании с минимальным инвазивным вмешательством.
Шинирование зубов при пародонтите: методики, отзывы
Статья написана хирургом-стоматологом со стажем более 19 лет.
Шинирование зубов - это один из методов стабилизации прогрессирования хронического пародонтита, цель которого заключается в укреплении подвижных зубов и уменьшении их подвижности (за счет специальных шинирующих конструкций). Эта цель может быть достигнута двумя путями: во-первых - при помощи связывания группы зубов стекловолокном, а во-вторых - при помощи зубных протезов. Ниже мы подробно рассмотрим каждый из этих методов.
Зачем необходимо шинирование подвижных зубов -
При пародонтите средней и тяжелой степени подвижность зубов становится одним из основных симптомов заболевания. Как правило, подвижность зубов начинается при атрофии костной ткани более 1/4 длины корня зуба. Т.е. существует прямая связь между величиной атрофии кости и степенью подвижности зубов.
Оголение шеек передних зубов - это один из визуальных признаков атрофии костной ткани ( рис.1 ). На рентгенограмме в этом случае мы можем увидеть убыль кости. В норме костная ткань должна доходить практически до шейки зуба. Сравните рентгенограмму (рис.2), где присутствует атрофия кости на 1/2 длины корня - с рентгенограммой (рис.3), где атрофия полностью отсутствует.

В тот момент, когда при пародонтите возникает подвижность зубов - скорость разрушения (атрофии) костной ткани многократно ускоряется. В свою очередь, разрушение костной ткани вокруг зуба приводит к еще большей подвижности зубов. По сути (при отсутствии лечения) процесс приобретает неконтролируемый характер с постоянным прогрессированием симптомов воспаления, в том числе и подвижности зубов.
Со временем, под воздействием жевательной нагрузки подвижные зубы начинают постепенно менять свое положение, наклоняться в разные стороны, а также веерообразно расходиться ( рис.4-6 ). Вот чтобы все это предотвратить и необходимо шинирование зубов.
1. Шинирование подвижных зубов стекловолокном -
Шинирование передних нижних зубов -
если шинируются передние нижние зубы, то в этом случае на внутренней поверхности, например, 4-х, 5-ти или 6-ти нижних передних зубов сначала делается горизонтальная борозда высотой 1,5-2 мм и глубиной 2 мм. Потом в эту бороздку укладывается цельная стекловолоконная лента ( рис.7 ). После чего, борозда (вместе с находящейся в ней стекловолоконной лентой) заливается световым композитом.
Количество зубов, которое берется в шину будет зависеть от состояния всей группы передних зубов. Кроме наиболее подвижных зубов в шину обязательно должны браться неподвижные зубы (обычно это клыки). Это позволит разгрузить подвижные резцы, т.к. благодаря жесткой шине клыки будут забирать на себя большую часть жевательного давления.
Шинирование передних верхних зубов -
шинирование передних верхних зубов применяется при подвижности зубов, при угрозе или уже при наличии веерообразного расхождения зубов ( рис.10 ). В этом случае в зубах также высверливается борозда высотой 1,5-2 мм и глубиной 2 мм. Однако чаще всего борозда высверливается на передней поверхности верхних зубов (рис.11), после чего в нее укладывается стекловолоконная лента и закрывается световым пломбировочным материалом (рис.12-13).
Обратите внимание, что при помощи пломбировочного материала можно сделать так, что широкие межзубные промежутки будут ликвидированы (рис.13). Количество зубов, которое будет браться в шину - будет зависеть от клинической картины.
Шинирование зубов: фото
Шинирование боковых зубов -
если шинируется боковая группа зубов, то бороздка под стекловолоконную ленту высверливается не на внутренней, а на жевательной поверхности нескольких зубов. В борозду точно также укладывается стекловолоконная лента и заливается световым композитом.
В результате чего достигается эффект от шинирования
При засвечивании стекловолоконной ленты - она превращается в очень твердую балку, надежно прикрепленную к зубам. Зубы (при помощи такой балки) получаются как бы сцеплены все вместе и, как правило, совершенно неподвижны.
Результат потери контакта между зубами - каждый зуб несет максимум нагрузки и не способен распределять нагрузку между соседними зубами через такие контакты. В этих условиях костная ткань атрофируется значительно быстрее. Шинирование зубов в таких условиях - значительно увеличит срок службы таких зубов и остановит (или замедлит) атрофию кости.
2. Шинирование подвижных зубов коронками -
В этом случае зубы сначала депульпируются (пломбируются корневые каналы) и потом обтачиваются под коронки. После чего на них уже одеваются «спаянные» друг с другом коронки, например из металлокерамики (рис.14). Этот вариант шинирования имеет значительно больший срок службы и надежность, чем шинирование стекловолокном. Однако его стоимость выше, причем значительно.
При шинировании 6-ти передних нижних зубов коронками стоимость конструкции из 6-ти единиц металлокерамики составит от 30 тысяч рублей (не учитывая стоимость депульпирования зубов). Шинирование цельнокерамическими коронками (рис.15) - еще в 2-2,5 раза дороже. Однако при шинировании дальних жевательных зубов, где эстетика не так важна - можно изготовить коронки не из металлокерамики, а обычные металлические.
3. Шинирование зубов бюгельными протезами -
Если Вы внимательно посмотрите на рис.16-17, то увидите, что в области внутренней поверхности нижних зубов протез имеет дополнительную тонкую дугу, которая плотно охватывает каждый зуб. Это позволяет зубам прочно стоять на своем месте, и передавать жевательную нагрузку с себя - на вот такую металлическую дугу, не испытывая при этом перегрузки.
Большой плюс таких протезов в том, что они позволяют не только шинировать подвижные зубы, но и одновременно восстановить отсутствующие зубы. Более подробно об этом типе протезов читайте здесь.
Шинирование зубов: цена 2022
Сколько стоит шинирование зубов - цена в Москве на 2022 год в клиниках эконом-класса будет зависеть от количества шинируемых зубов, а также методики…
- Шинирование стекловолокном 6 передних зубов (системой «Риббонд») - около 6500 рублей.
- Шинирование 3 зубов стекловолокном - от 3500 рублей.
- Стоимость шинирования зубов коронками (без стоимости подготовки зубов):
→ металлокерамикой - от 6000 рублей за 1 коронку,
→ безметалловой керамикой - от 19000 рублей за 1 коронку. - Стоимость шинирующего бюгельного протеза - от 25000 рублей.
Шинирование зубов: отзывы
Шинирование стекловолокном является временной процедурой. Если само шинирование сделано по всем правилам, пациент соблюдает гигиену и т.д., то срок службы такой стекловолоконной шины может достигать 3 лет. Лишь раз в год нужно показываться, чтобы отполировать ее. Но если передние зубы зашинированы, а у пациента отсутствуют «задние» жевательные зубы, то очень высокий риск поломки шины в самое ближайшее время из-за перегрузки. Т.е. перед шинированием стекловолокном очень важно запротезировать отсутствующие зубы, чтобы нормализовать прикус.
Шинирование коронками, конечно, более надежно, срок службы металлических и керамических коронок заметно выше, чем стекловолоконной конструкции. Однако при пародонтите легкой степени тяжести не всегда имеет смысл обтачивать зубы под коронки (особенно в большом количестве). Бюгельные шинирующие протезы имеют много плюсов особенно для людей, которым не только нужно устранить подвижность зубов, но и восполнить большое количество отсутствующих зубов. Надеемся, что наша статья оказалась вам полезной!
Источники:
1. Доп. профессиональное образование автора по пародонтологии,
2. На основе личного опыта работы пародонтологом,
3. National Library of Medicine (USA),
4. American Academy of Periodontology (USA),
5. «Пародонтология» (Вольф Г., Ратейцхак Э.).
Интракоронковые временные шины. Особенности интракоронковых шин при парадонтите
Загорский Валерий Арсентьевич
ФГБОУ ВО Первый МГМУ им. И.М. Сеченова.
доктор медицинских наук, профессор
Аннотация
В статье описываются различные способы временного шинирования зубов с помощью шинирующих аппаратов и конструкций. Главная цель временного шинирования зубных рядов с поражением тканей пародонта заключается в объединении и разгрузке с последующей фиксацией групп зубов при наличии травматической артикуляции или сформированных травматических узлов. При поражении более 50% тканей пародонта сохранившийся пародонт не в состоянии компенсировать не только чрезмерную, но и физиологическую нагрузку, что вызывает его дальнейшую деструкцию. Шинирующие аппараты и временные конструкции позволяют зафиксировать подвижные зубы и оптимально перераспределить жевательную нагрузку как на подвижные зубы, так и на те зубы, имеющие достаточно сохранившийся пародонт или на зубы, не участвующие во всех актах пережевывания пищи.
Abstract
The article describes different ways to temporary splinting of teeth with chinaswamy devices and designs. The main purpose of the temporary splinting of teeth with the defeat of periodontal tissues is to combine and unloading with subsequent fixation of teeth in the presence of traumatic articulation formed or traumatic sites. In case losing more than 50% of periodontal tissues preserved periodontium is unable to compensate for is not only excessive, but also physiological load cause further destruction. Splinting devices and temporary structures allow to fix loose teeth and optimally redistribute the chewing load on the movable teeth, and those teeth, with enough preserved periodontal or teeth not involved in all acts of chewing food.
В основе показаний к шинированию зубов является оценка их подвижности и оценка состояния тканей пародонта, которая определяется на основе клинического и рентгенологического обследования после терапевтического и хирургического методов лечения [1]. При убыли костной ткани на половину длины корня зуба следует проводить горизонтальное шинирование, заключающееся в применении методов сагиттального и трансверзального шинирований. При диагностике убыли костной ткани до ¾ длины корня и подвижности зубов II- III степени следует применять жесткое шинирование в трех плоскостях (вертикальной, сагиттальной и трансверзальной).
Целью временного шинирования является:
- Создание жесткой фиксации подвижных зубов с помощью различных временных или постоянных конструкций, шин и ортопедических аппаратов;
- За счет объединения группы зубов или всего зубного ряда в один блок достичь восстановления контактных точек, при этом повышается сопротивляемость пародонта отдельных зубов к жевательному давлению;
- Создание блока шинируемых зубов, в результате чего осуществляется торможение миграции зубов в трех направлениях; для передних в сагиттальном, вертикальном и трансверзальном, для боковых — в сагиттальном, вертикальном и горизонтальном;
- Применение шинирующих аппаратов уменьшает локальную травму отдельных зубов за счет перераспределения жевательной нагрузки на большую группу зубов;
- Не создавать ретенционные пункты для задержки пищевых остатков и не оказывать раздражающего действия на ткани пародонта;
- Не мешать проведению терапевтической и хирургической терапии ослабленных тканей пародонта подвижных зубов.
Степень подвижности зубов, состояние и выраженность воспаления тканей пародонта лежат в основе выбора вида стабилизации — фронтальная (передний участок); — сагиттальная (боковой отдел зубной дуги); — фронто-сагиттальная; парасагиттальная; — стабилизация по дуге. При сохраненных зубных рядах с ослабленным пародонтом шинирование подвижных зубов предполагает их объединение в единый блок, планирование оптимальной конструкции шины с целью максимального объединения большого количества зубов с ослабленным и сохранившимся пародонтом [2].
При нарушении целостности зубных рядов следует проводить шинирование подвижных зубов с одновременным восстановлением дефектов зубных рядов. При этом необходимо различать шинируемую группу зубов и протезную конструкцию, которая, в большинстве случаев, в той или иной мере, нагружает шинируемые зубы через систему опор на удерживающих и замковых креплениях бюгельных протезов [14]. При выборе подобных конструкций аппаратов следует оптимально распределить их опорную и ретенционную функцию с минимальной травмой и перегрузкой оставшихся зубов. На всех этапах терапевтического, хирургического, ортодонтических и ортопедических методов лечения зубов с ослабленным пародонтом необходимо уделять максимальное внимание коррекции и оптимизации окклюзионных контактов, исключая балансирующие контакты или суперконтакты при всех движениях нижней челюсти.
Ортопедические конструкции, применяемые в процессе комплексного лечения пациента с заболеваниями тканей пародонта представлены временными и постоянными шинами и протезными конструкциями.
Временные шины используют для стабилизации подвижных или мигрирующих зубов как во время всего медикаментозного, терапевтического и хирургического методов лечения, так и на период изготовления постоянных шин или на время изготовления постоянной протезной конструкции. Временные шины следует применять для проведения и закрепления результатов ортодонтического лечения при незначительно наклоненных зубах или их миграции. Временные шины обеспечивают оптимальное распределение жевательного давления между пародонтом пораженных и интактных зубов, создавая покой пораженным тканям, улучшая их трофику, снимая воспалительный компонент в тканях пародонта. Временные шины широко используются в развившихся стадиях очагового и генерализованного пародонтита [15]. Применение их позволяет равномерно перераспределить механическую энергию жевательного давления между пародонтом включенных в блок зубов, создавая покой пораженным тканям, что улучшает кровоснабжение тканей пародонта и приводит к уменьшению воспалительного процесса. Абсолютным показанием к изготовлению временной шины является проведение гингивотомии и гингивоэктомии.
Методы и технологии изготовления временных шин предлагались и менялись в зависимости от уровня развития технологий и материалов в промышленности. В 1916 г. Ciezynski предложил лигатурное обвязывание подвижных зубов бронзо-алюминиевой проволокой, толщиной 0,5 мм или нержавеющей мягкой проволокой, диаметром 0,3—0,4 мм. Подвижные зубы привязывались к более стабильным зубам. Скручивание проволоки проводится в межзубных промежутках с целью придания подвижным зубам большей жесткости.
После появления самотвердеющих акрилатов в 30-х годах XX в. Glickman предложил укреплять шину, связанную из проволоки быстротвердеющими акриловыми пластиками, которые предотвращают расслабление витков проволоки и травмы межзубных сосочков.
Novotny рекомендовал при подвижных зубах полностью акрилатную шину, которая в виде полоски, толщиной до 2 мм фиксирует подвижные зубы с язычной поверхности и заполняет межзубные промежутки, не травмируя межзубные сосочки [22].
За последние десятилетия получили широкое распространение временные шины, которые можно использовать до 5-7 лет и готовят их из пластмассы акрилового ряда или с применением светоотверждаемых композитов. Шины могут быть капповые (изготовленные лабораторным путем и охватывающие зубы с вестибулярной и оральной поверхностей), орально-вестибулярно расположенные в соответствующей поверхности зубного ряда и фиксирующей подвижные зубы. Все временные и постоянные шины не должны мешать смыканию зубов при всех движениях нижней челюсти, не мешать проведению медикаментозного лечения, не травмировать десневой край и не мешать проведению гигиенических процедур [11], [17].
Применение современных композитных материалов значительно расширило показания к использованию временных шин, оптимально фиксирующих подвижные зубы с соблюдением эстетических и гигиенических требований непосредственно у кресла. При потере фронтальных зубов возможно, с помощью композитов, заместить отдельные зубы. В зависимости от химического состава для шинирования подвижных зубов используют два типа материалов: на основе неорганической матрицы GlasSpan и FiberSplint (Швейцария); на основе органической матрицы из полиэтилена Ribbond (США) и Connect (США). В основе этих материалов лежит матрица из тончайших волокон полиэтилена или микроволоконного кварца, пропитанных композитом, позволяющих достаточно плотно фиксироваться к коронковой части зубов, затем к матрице добавляются композитные материалы с целью лучшей механической фиксации подвижных зубов, создавая единый шинирующий блок.
В последнее время в стоматологии начинает достаточно широко внедряться интроральное сканирование. [3], [4], [5], [6]. Этот метод позволяет достаточно точно получить цифровую модель рельефа объектов полости рта [8], [10], [12], [13]. После получения оптического слепка, на CAD/CAM системах изготавливаются различные защитные каппы, временные шины и сплинты. Важной особенностью доступных на современном рынке CAD/CAM систем - является их универсальность в отношении выбора конструкционных материалов [6]. Технологические возможности аппаратуры предусматривают не только компьютерное моделирование проекта протеза, но и непосредственное выполнение готового изделия, что обеспечивает, в частности, ортопедическую стоматологию необходимым ресурсом при создании различных временных шин с учетом персональных анатомо-физиологических особенностей строения лицевого черепа [7], [8], [9].
Достаточно прочную шинирующую конструкцию можно изготовить с применением скрученной титановой или нержавеющей проволоки. Перед изготовлением шины следует тщательно снять все над- и поддесневые зубные отложения. С помощью копировального маркера выверяют, а затем сошлифовывают мешающие контактные точки при сагиттальных и трансверзальных физиологических движениях в пределах поля окклюзии. Алмазным бором на 1—2 мм выше язычных бугорков на нижней челюсти или ниже нёбных бугорков верхней челюсти проводится разметка и препарирование режущей поверхности зубов с целью создания ретенционных пунктов или формирования бороздки, в которую будет проложена фиксирующая лента или скрученная титановая проволока на подвижные зубы. После тщательной промывки мест нанесения композита проводят травление контактирующих поверхностей с последующим обильным количеством воды, смывая протравливающий гель. Затем на препарируемую поверхность наносят бондинг, который тщательно раздувают пустером по протраливаемой поверхности подвижных зубов. С помощью гелиевой лампы засвечивают бондинг. В подготовленную борозду помещают небольшое количество композита, в который вдавливается шинирующая лента или проволока в области одного или двух зубов. После засвечивания композита аналогичным образом укрепляют ленту в бороздки остальных зубов, шинирующих оставшиеся подвижные зубы. После фиксации шинирующей ленты светоотверждаемый композит, с учетом анатомической формы зубов, наносят на все ретенционные пункты и укрепляют межзубные контакты зубов. После окончательной полимеризации композита с помощью боров и полиров осуществляют окончательную обработку поверхности шинирующей конструкции, проводят окончательную выверку окклюзионных контактов с обязательным освобождением придесневых межзубных сосочков. Подобные конструкции изготовленных шин могут служить до 3—5 лет. Срок пользования подобной шиной определяется имеющейся подвижностью зубов, гигиеной полости рта и методами терапевтического лечения заболеваний тканей пародонта.
В процессе работы очень важно учитывать характеристики материалов из которых будут изготавливаться будущие конструкции [20], [21]. Непереносимость стоматологических материалов может быть вызвана различными причинами: гальванизмом, аллергическими реакциями на стоматологические материалы, токсическими повреждениями слизистой оболочки и т.д., поэтому необходим строгий контроль качества используемых материалов (не допускать использования контрафактной продукции) и дополнительно, ест это необходимо, проводить совместный анализ материалов врачом-стоматологом и иммунологической лабораторией [16], [18], [19].
При потере одиночных зубов во фронтальном отделе зубного ряда возможно изготовление отсутствующего зуба из фотоотверждаемого композита с прикреплением ленты или проволоки к оставшимся зубам. Подобные конструкции шин возможно изготавливать при подвижности зубов до 2/3 убыли костной ткани. При подвижности зубов I—II степени возможно изготовление шинирующего протеза без армирующей ленты или проволоки.
Наиболее простая и эффективная методика изготовления временной шинирующей конструкции является временная шина из прозрачного поликарбонатного материала, приготовленная на прочной гипсовой модели с помощью вакуум-формирующих аппаратов. Шина съемная, достаточно хорошо припасовывается и фиксируется на подвижных зубах. С ее помощью возможно восстановление отдельных зубов.
© Если вы обнаружили нарушение авторских или смежных прав, пожалуйста, незамедлительно сообщите нам об этом по электронной почте или через форму обратной связи.
Шинирование зубов при пародонтите и заболеваниях тканей пародонта

В стоматологии наблюдается множество видов заболеваний, которые потенциально могут увеличить подвижность зубов. Это доставляет сильный дискомфорт, негативно влияет на состояние челюстного аппарата. Человеку становится трудно жевать, приходится придерживаться специальной диеты.
Чтобы решить такую проблему, нужно использовать методику шинирования. По своей сути, это процедура укрепления зубов, которая позволяет соединить между собой несколько единиц в ряду, защитить их от выпадения.
Наложение шины нужно для того, чтобы на десну оказывалась не такая сильная нагрузка, можно было свободно применять другие методы лечения. При этом самому пациенту будет намного комфортнее пережевывать разные типы пищи.
Разгрузка тканей при помощи шинирования помогает уменьшить интенсивность воспалительного процесса. Это особенно полезно при пародонтите, когда нужно чтобы десна находилась в спокойном состоянии, пока медики проводят общую санацию, реставрируют разрушенные зубы.
В этом материале мы подробнее расскажем, как делают шинирование зубов, какие средства используются в процессе, а также затронем многие другие важные вопросы, касающиеся процедуры.
По каким причинам зубной ряд становится подвижным
Врачи выделяют множество причин, по которым приходится проводить шинирование для пациентов. И к ним относятся такие виды болезней, как:
Парадонтит. Основная причина его появления - плохая гигиена полости рта, а также особенности микрофлоры. Часто стимулировать воспалительный процесс и расшатывать зубы может сильное нарастание зубного камня. При этом наблюдается постепенное разрушение фиксирующей связки, которая соединяет зуб с другими тканями.
- Пародонтоз. Его можно достаточно легко определить и при внешнем осмотре. Десна становится белесой, при том, что какие-либо негативные ощущения и боль практически не наблюдаются. Постепенно происходит уменьшение объема десны, становятся сильно заметными оголенные корни. Из-за недостаточного количества опорных тканей, зуб со временем начинает расшатываться. Пародонтоз часто наблюдается у пациентов с ослабленным из-за системных заболеваний или длительного лечения организмом.
- Травмирование. Проблемы могут начаться в том случае, если был зафиксирован перелом челюсти.
В группе риска оказываются и другие категории пациентов. Если вы много курите, пренебрегаете советами по регулярной гигиене полости рта, страдаете нарушением обмена веществ, можно заработать сильную подвижность зубов. Также она проявляет себя в силу возраста или неправильного питания.
Показания и противопоказания к шинированию
Решение о том, можно ли проводить шинирование в конкретном случае, принимает врач. Важно, чтобы методика не имела противопоказаний и была эффективной.
Есть несколько основных распространенных показаний:
- Сильное изменение положения зубов или расшатывание под действием пародонтита.
- Травмирование - переломы верхней или нижней челюсти.
- Уменьшение объема десенной ткани.
- Достижение десенными карманами размеров в 5 мм.
- Оголившиеся корни.
Есть также ряд противопоказаний для процедуры. Нельзя выполнять шинирование, когда у пациента есть кариес на опорных зубах или сильно воспалены десны. Также ограничения накладываются, если у человека слишком чувствительная эмаль, есть реакция на различные материалы составных частей системы.
Стоит также приготовиться к тому, что после шинирования нужно будет соблюдать правила гигиены полости рта. Здесь ситуация аналогична ношению брекетов - нужно будет внимательно следить за тем, насколько хорошо вы чистите зубы.
Какие материалы используются при шинировании зуба
Стоимость и другие параметры установки шины будут сильно зависеть от того, из каких материалов была сделана система. Рассмотрим наиболее распространенные:
- Нить из стекловолокна. Стекловолоконное шинирование зубов выполняется всего за полтора-два часа. Можно ожидать не менее трех лет активного использования.
- Арамидное волокно. Также востребовано при выполнении шинирования. Ценится за свое бережное отношение к эмали - после снятия на ней не остается никаких повреждений.
- Полиэтилен. Ценен за то, что хорошо переносится слизистой, практически не вызывает дискомфорта при ношении даже у чувствительных людей.
- Металл. Классический материал для изготовления ретейнеров. Отлично удерживает зубы в нужном положении.
- Шелк. Такое волокно также может применяться, оно щадяще относится как к слизистой, так и к эмали, но отличается невысокой прочностью.
- Керамика. Обычно используется в том случае, если запланировано проведение несъемного протезирования. Проблемы могут возникнуть из-за того, что метод довольно трудозатратный и дорогостоящий.
Также допускается применение в процессе металлокерамики. Она прочная и достаточно доступная по цене.
Преимущества процедуры
Эта процедура помогает действительно заметно снизить подвижность и уменьшить нагрузку на десну. Пародонтит замедляется, а восстановление нормальной жевательной способности оказывает положительный эффект на процесс пищеварения.
Процедура также положительно сказывается на личном комфорте пациента. У него становится меньше пространство между зубами - это снимает психологические зажимы, которые не дают многим нормально улыбаться.
Современные системы созданы так, чтобы вы могли спокойно в них разговаривать. Ограничений по еде - минимум.
Недостатки метода
Главный недостаток - при установке шины нужно будет проводить специальную механическую обработку эмали.
Стоит также учитывать то, что средство можно использовать далеко не всем пациентам. Многое зависит и от самого больного. Нужно чтобы он внимательно относился к гигиене полости рта, вовремя чистил зубы. В противном случае, очень велик риск возникновения и развития кариеса. Сама гигиена также станет сложнее.
При установке шины нужно помнить о процессе привыкания. На протяжении первых нескольких дней может наблюдаться сильная чувствительность зубов к кислой, горячей и холодной пище.
От чего зависит стоимость процедуры
Стоимость установки будет зависеть от того, какой материал используется в процессе. Обычно наиболее доступный вариант - стекловолокно. Керамика относится к дорогим средствам.
Виды шинирования зубов
Существует множество параметров для классификации такой процедуры. Один из основных - расположение. Шина может быть установлена в двух вариантах:
- Фронтальная. Обычно размещается в промежутке рядом с резцами и клыками.
- Боковая. Ставится на группу жевательных зубов.
Также возможна установка и специальной бюгельной конструкции - она стоит дороже, но позволяет задействовать обе челюсти.
Еще один параметр отличий - деление на постоянное и временное шинирование. Обычно временный вариант показан, когда болезнь только начинает развиваться и десны не слишком сильно истончились. Также допускается такой тип шинирования, когда есть травмы и деформации зубного ряда.
Возможен и вариант с постоянным шинированием, когда обеспечивается многолетняя стабилизация. При выборе между бюгельным протезом и постоянным шинированием, многие пациенты предпочитают именно первый вариант, потому что он эстетичнее.
Как понятно из самого названия, временные и постоянные конструкции отличаются по срокам ношения:
- Временные. Обычно используются в промежутке от нескольких дней до нескольких месяцев. Такой вариант позволяет правильно распределить нагрузку, не допускает серьезных повреждений слизистой. Сама конструкция довольно простая, потому ее можно легко надеть и снять. В зависимости от текущего состояния пациента выбирается, сколько единиц предстоит шинировать. Обычные материалы при изготовлении - пластик и металл.
- Постоянные. Подойдут в том случае, если нужно зафиксировать зуб на много лет. Преимущество заключается в том, что создается действительно надежная фиксация, сильно уменьшаются затраты времени на адаптацию к такой конструкции.
Нужно понимать, что процесс гигиены полости рта при использовании постоянного протезирования станет сложнее. Также нужно обратить внимание, что все задачи в рамках лечения зубов нужно выполнить еще до того момента, как будет установлена шина - потом это будет намного сложнее.
Методы шинирования зубов
На первом приеме стоматолог оценивает текущее состояние полости рта, делает рентген. Перед ним стоит задача - понять, насколько сильно истончилась костная ткань. Также нужно определить степень подвижности зубов, посмотреть, в каком состоянии находится прикус, нет ли нарушений и других проблем.
Состояние десен также имеет большое значение, потому что позволяет понять, какими методами можно будет проводить шинирование, какие есть риски того, что появится раздражение или возникнут иные проблемы.
Допускается установка шины только в том случае, если для этого нет противопоказаний, не наблюдается воспаления. Может потребоваться также проведение санации полости рта, лечение кариеса. Особенно важным это становится, когда запланирована установка постоянных несъемных конструкций.
Шинирование с использованием стекловолокна
Стекловолоконное шинирование относится к списку самых распространенных методов. Обычно оно используется в том случае, когда нужно соединить несколько зубов и максимально сэкономить. Длительность использования одной шины не превышает два года - после этого периода нужно будет устанавливать новую.
Весь процесс установки не занимает больше двух часов. Сначала нужно выполнить очистку эмали, потом создать на ней небольшую борозду. После этого лента из стекловолокна фиксируется на композитные материалы. После того как конструкция отшлифована, врач убедился, что пациенту ничего не мешает, работа считается завершенной.
Эта методика нужна для того, чтобы выполнить шинирование зубов при заболевании пародонта. В пользу выбора такого метода говорит высокий уровень прочности, хорошая совместимость с зубными тканями и доступность по цене.
Винтовой способ
Основной материал при таком шинировании - армидная нить. Можно использовать такой способ в том случае, когда человек получил травму.
Шинирование зубов при переломе челюстей, усиленной подвижности, позволяет получить заметные результаты.
Процесс установки аналогичен тому, что уже было описано выше. Сначала проводится очистка эмали, потом создается борозда. В углублении натягивается шнур из армидной нити.
Бюгельное средство
Эта методика относится к методам постоянного протезирования и подойдет в том случае, если нужно стабилизировать зубной ряд при сильном расшатывании.
Использование современных средств позволяет подготовить опорные единицы и коронки, чтобы можно было не допустить появления больших зазоров между зубами.
Закрепление коронок
Средство подойдет вам в том случае, если нужно закрепить подряд сразу четыре зуба. В таком случае, нужно будет установить коронки, которые соединяются. Установка такая же, как в описанных выше случаях. Главное отличие - лабораторная установка коронок, а также их примерка перед тем, как поставить на постоянный цемент.
Шинирование при пародонтите
Такой вариант шинирования будет использоваться в том случае, если есть сильное разрушение костной ткани. В таком случае нужно наложить шину как можно быстрее, чтобы качественно сократить подвижность и не допустить дальнейшего прогрессирования атрофии тканей.
Шинирование при травмах
Шинирование зубов при переломе - это распространенная практика. В таком случае перед врачом ставится задача не допустить проявления асимметрии. Часто назначаются временные конструкции, которые нужны для восстановления правильного положения зубов на протяжении всего времени восстановления.
Шинирование после брекетов
Иногда шинирование нужно использовать и после того, как пациент снимает брекеты. В таком случае шина выступает в качестве ретейнера. Она позволяет не допустить смещения зубов, которое могло бы привести к тому, что результат многомесячного лечения был бы испорчен.
Запишитесь на установку шины на зубы
Если у вас есть показания для шинирования зубов, запишитесь в нашу клинику. К нам приезжают клиенты из разных городов - Химок, Куркино, Новогорска и многих других.
Гарантируем профессиональный подход от стоматологов с большим опытом, быстрое лечение и использование качественных материалов.
Чтобы записаться на первую консультацию и осмотр к стоматологу, достаточно просто оставить заявку на сайте или позвонить нам. Ответим на вопросы, расскажем о том, какой вариант лечения подойдет именно для вашей ситуации. Также предоставляем множество других услуг из области лечебной или эстетической стоматологии.
Особенности шинирования зубов при пародонтите
Пародонтит (пародонтоз) - это заболевание, при котором разрушается опорный аппарат зуба. Пародонт - это название тканей, на которых держится зуб. В число этих тканей входят и кости, и десны.

Большое количество стоматологов уверены, что пародонтоз и пародонтит - болезни даже намного опаснее, чем всем известный кариес. Заболевания, при которых ухудшается состояние десен, обычно начинают проявляться в полной мере уже на той стадии, когда все запущено. Таким образом, невозможно своевременно определить проблему. Это ведет к тому, что зуб расшатывается, а впоследствии зуб можно потерять. После этого единственный выход - установить протезы. Конечно, сейчас это не проблема, но гораздо лучше попросту регулярно и своевременно проводить профилактические действия, чтобы избежать появления пародонтита.
Как подобрать материал для шинирования
Шинирование - это фиксация ряда зубов. Эта процедура проводится для предупреждения их подвижности и укрепления. С помощью шинирования проблемные зубы объединяются в один блок. Помимо уменьшения подвижности, происходит распределение жевательной нагрузки и замедление разрушения костной ткани. Все это снижает вероятность потери зубов в будущем.
Необходимость таких мер может определить только врач-стоматолог, основываясь на диагнозе и клинической картине.
Выбор материала и способа шинирования зависит от стадии пародонтита:
Как проводится шинирование
Если предстоит установка нити из стекловолокна для легкой стадии развития, нужно выполнить такие этапы:
- провести местное обезболивание;
- сделать маленькую борозду с внутренней стороны зубов. Именно в эту борозду будет вставляться нить из стекловолокна;
- с помощью ленты захватить здоровые зубы;
- зафиксировать нить и заполнить борозду композитным материалом.
Уход за искусственным протезов намного легче, чем уход за зубами с нитью из стекловолокна или арамидной нитью. Ученые и стоматологи советуют вместо кофе пить зеленый чай. Он имеет хорошее влияние на ткани десны
Стоит отметить, что нить из стекловолокна - гипоаллергенный материал. К тому же, проведение шинирования именно с этой нити отличается быстротой процедуры и легкостью удаления нити при необходимости. Если произвести шинирование на легкой стадии, получится избежать установки протеза в будущем.
Для профилактики и обнаружения заболеваний на легкой стадии нужно регулярно проводить приемы у специалистов и не пренебрегать своим здоровьем.
Читайте также:
- Механизм воздействия шума на ухо. Шумовое поражение внутреннего уха
- Энцефалиты у детей. Полисезонные энцефалиты
- Лечение отогенного абсцесса мозга. Операция при абсцессе мозга
- Артерио-венозная аневризма и туберкулома легкого. Лечение туберкуломы легкого.
- Базалиома (базальноклеточный рак): причины, симптомы и лечение
