Исследование активных движений в плечевом суставе
Добавил пользователь Евгений Кузнецов Обновлено: 22.01.2026
Кафедра нервных болезней, традиционной медицины Красноярского государственного медицинского университета им. проф. В.Ф. Войно-Ясенецкого, Красноярск
ГБОУ ВПО «Красноярский государственный медицинский университет им. проф. В.Ф. Войно-Ясенецкого», Красноярск, Россия
Методы оценки двигательных функций верхней конечности
Журнал: Журнал неврологии и психиатрии им. С.С. Корсакова. 2016;116(7): 101‑107
Цель исследования. Анализ наиболее часто употребляемых шкал для оценки функции верхней конечности, их преимуществ и недостатков, возможности использования в разные периоды перенесенного инсульта. Материал и методы. Приведены анализ результатов отечественных и зарубежных, а также данные собственных исследований, посвященных проблеме оценки нарушений двигательных функций в паретичной руке вследствие перенесенного инсульта. Рассматриваются различные аспекты оценки двигательной активности руки, возможностей повседневного функционирования в условиях центрального пареза.
Цереброваскулярная патология, особенно острые нарушения мозгового кровообращения - одна из сложнейших проблем медицины. В 2009 г. заболеваемость инсультом составила 3,52 случая на 1000 населения и 3,27 - в 2010 г., смертность - 1,19 и 0,96 на 1000 населения соответственно [1]. Двигательные нарушения, наблюдающиеся у 80% перенесших инсульт больных, являются одной из важных причин стойкой утраты трудоспособности, их устранение - одна из целей преемственной нейрореабилитации. Как правило, восстановление функций верхней конечности значительно растянуто во времени и нередко является основной причиной нетрудоспособности [2].
Постинсультный парез верхней конечности представляет собой несколько вариантов паттернов двигательных расстройств. Особенно страдают при центральном парезе мышечные группы, связанные с отведением плеча (средняя порция дельтовидной мышцы, надостная мышца); обеспечивающие разгибание в локтевом суставе (трехглавая мышца плеча), супинацию предплечья (двуглавая мышца плеча, супинатор плеча); разгибатели кисти (длинный лучевой, короткий лучевой и локтевой разгибатель запястья) и II-V пальцев (разгибатели пальцев, II-V пальцев).
Одновременно отмечается нарастание спастичности в других мышечных группах, обеспечивающих приведение плеча (подлопаточная, большая грудная, большая круглая, широчайшая мышцы спины); сгибание в локтевом суставе (двуглавая мышца плеча, плечевая мышца, круглый пронатор, плечелучевая); пронаторы предплечья (круглый и квадратный пронаторы); сгибатели кисти (лучевой и локтевой сгибатели запястья) и II-V пальцев (поверхностный и глубокий сгибатели пальцев, червеобразные мышцы кисти, ладонные межкостные мышцы).
Эти изменения в сочетании с нейродистрофическими, болевыми и чувствительными нарушениями, возможными экстрапирамидными проявлениями дистонии в верхней конечности приводят к формированию патологических синдромов - «замороженное плечо», приведенное, ротированное внутрь плечо (англ.: adducted, internally rotated shoulder), согнутый локоть (англ.: flexed elbow), согнутое запястье (англ.: flexed wrist), пронированное предплечье (англ.: pronated forearm), сжатый кулак (англ.: clenched fist).
Перечисленные расстройства в значительной степени ограничивают возможности пользования паретичной кистью. После повторных неудачных попыток действия паретичной рукой пациент может перестать их предпринимать, при этом формируется синдром приученного неиспользования руки (англ.: learned nonuse), а связанные с верхней конечностью повседневные виды активности выполняются только здоровой рукой [3]. Будучи исключенной из движения, паретичная рука не имеет перспектив двигательного восстановления, поскольку феномен неупотребления приводит к торможению зон мозга, ответственных за работу верхней конечности.
Определение степени выраженности двигательных нарушений, особенно тонких движений, является важной задачей восстановительного лечения, влияющей на составление реабилитационной стратегии. Кроме оценки двигательных возможностей руки, необходим анализ выраженности спастичности, изменений повседневного функционирования, чувствительных расстройств, феномена неиспользования, апраксии. Оценка только физических признаков и симптомов (объем движений и мышечная сила) не дают полной информации о нарушении функции верхней конечности и степени ее использования пациентом [4].
Стандартизованный подход к тестированию необходим для уменьшения расхождения результатов оценки между врачами, а также при проведении повторных исследований. Не существует общего мнения об идеальной шкале, описывающей все аспекты двигательных нарушений верхней конечности и подходящей для регулярной оценки восстановления после перенесенного инсульта.
Цель исследования - анализ наиболее часто употребляемых шкал для оценки функции верхней конечности, их преимуществ и недостатков, возможности применения в разные периоды перенесенного инсульта.
В отечественной неврологической и реабилитационной практике длительное время использовалась Шкала НИИ неврологии АМН СССР, которая является достаточно простым инструментом для определения степени двигательного дефицита [5]. К ее преимуществам относятся интегративный характер оценки, наличие подраздела оценки поверхностной и глубокой чувствительности, мышечного тонуса, мышечной силы. В то же время тестирование двигательной функции ограничивается оценкой мышечной силы по 6-балльной шкале и объема активных движений в суставе в процентах от нормы. При этом отсутствует возможность оценки функционирования верхней конечности, определение степени ее использования, ряд параметров оценивается только качественно (субъективно). Недостатком указанной шкалы является и отсутствие в доступной литературе указаний на уровень ее валидности. К сожалению, эта шкала не получила международного признания.
Существует ряд шкал, позволяющих оценить объем движений различных отделов верхней конечности, подходящих для детального исследования двигательной активности отдельных сегментов - шкала Фагл-Мейера оценки верхней конечности (Fugl-Meyer Assesment Upper Extremity - FMA-UE), двигательный функциональный тест Вольфа (Wolf Motor Function Test - WMFT), шкала оценки движений (Motor Assessment Scale - MAS), тест изучения деятельности руки (Action Research Arm Test - ARAT).
FMA-UE
По мнению большинства экспертов, шкала FMA-UE является хорошо продуманным, объективным и эффективным методом клинического обследования больных с инсультом 11. Она считается одним из наиболее точных инструментов оценки нарушений двигательных функций после инсульта и используется в качестве объективного показателя их ухудшения и последующего восстановления 16. Шкала FMA-UE является наиболее широко используемым инструментом клинической оценки постинсультных двигательных нарушений верхней конечности и может применяться для оценки эффективности реабилитации, объективизации восстановления движений верхних конечностей [7].
Шкала включает разделы, отражающие стадии восстановления движений, начиная с начальной - когда возможны только глобальные движения, например в виде синергического сгибания в плечевом и локтевом суставах одновременно с подъемом и отведением согнутой в локте руки. Выделяются шесть последовательных стадий восстановления движений: переход от одной стадии к другой начинается, когда восстановление движений предыдущего этапа достигает не менее 60% [13]. Начисление в каждом пункте производится от 0 до 2 баллов, где 0 - невозможность выполнить движение. Общие значения могут составлять от 0 (отсутствие произвольных движений) до 66 (полный диапазон активных движений). Возможно начало тестирования из любого пункта субшкалы, который соответствует данному уровню нарушений пациента. В среднем заполнение шкалы занимает около 10 мин, однако у пациентов с речевыми нарушениями это время увеличивается. Шкала FMA-UE может использоваться для установления цели, плана и мониторинга прогресса лечения пациента. Референтные значения составляют от 0 до 20 баллов - тяжелые двигательные нарушения, от 21 до 50 - умеренные и от 51 до 66 - легкие [11].
Недостатком шкалы FMA-UE является эффект «пола и потолка» (относится к ситуации, когда у больного имеется незначительная степень двигательного функционирования, которую не выявляет шкала, или, наоборот, он получает максимальную оценку, но все же испытывает некоторые трудности при выполнении комплексных движений) [14, 18]. Положительными моментами являются отсутствие необходимости специального обучения, достаточные простота и мобильность, эталонность данного теста.
По рекомендациям Американской ассоциации физиотерапевтов шкала FMA-UE может быть использована для объективной оценки движения пациентов в остром и восстановительном периодах инсульта, а также на стадии амбулаторной реабилитации (уровень рекомендации 4 - настоятельно рекомендуется, имеет отличные измерительные свойства и пригодна для клинического применения).
Среди тестов для оценки потенциала верхней конечности после инсульта WMFT считается одним из наиболее простых и надежных инструментов для изучения произвольных движений верхней конечности [12, 15]. Он рекомендован для обследования пациентов с легкими и умеренными двигательными нарушениями [15], широко используется для измерения объема движений верхней конечности [16]. Первоначально тест состоял из 21 пункта, но в дальнейшем для повышения удобства и функциональности был сокращен до 17. Впоследствии предпринимались попытки модернизации до 6 пунктов [15, 17-22]. Хотя модернизированный WMFT оказался несколько менее чувствительным, принципиальной разницы между двумя версиями найдено не было [23]. WMFT тестирует широкий спектр задач возрастающей сложности - от проксимальных к дистальным сегментам конечности [24] и состоит из 3 частей, оценивающих 1) время и скорость выполнения заданий; 2) функциональные возможности и качество движения во время их выполнения; 3) мышечную силу [25]. Задания теста должны выполняться как можно быстрее, время обследования ограничено 120 с 26.
WMFT рекомендуется к использованию в остром, раннем и позднем восстановительном периодах инсульта и на амбулаторном этапе реабилитации с уровнем 3 Американской ассоциации физиотерапевтов (рекомендуется, имеет хорошие оценочные свойства, клиническую полезность). Необходимые аксессуары: картонная коробка около 25 см в высоту (для взрослого человека среднего роста) и коробка 20,3 и 15,2 см (для людей ниже среднего роста); карандаш, цветные скрепки, три стандартные шашки, карты, динамометр, замок с ключом, полотенце, корзина с ручкой, секундомер.
Шкала разработана для оценки двигательных функций у больных, перенесших инсульт [29], широко используется в клинических исследованиях. Из-за некоторых неудобств в 1988 г. она была модифицирована, удален пункт «тонус» из-за низкой надежности. Каждый пункт оценивается по семибалльной шкале от 0 до 6, где за 6 баллов приняты оптимальные двигательные характеристики. Общее время тестирования составляет около 15 мин [30]. Необходимое оборудование: секундомер, две пластиковые чашки, восемь бусинок, колпачок от ручки, резиновый мяч около 14 см в диаметре, расческа, десертная ложка с водой, ручка, лист бумаги для рисования линий и объект цилиндрической формы (например, банка).
К недостаткам шкалы можно отнести необходимость большого количества дополнительного оборудования, которое снижает ее мобильность. Преимуществом является относительно широкое применение, использование не только в повседневной клинической практике, но и в исследовательских целях. Нет данных StrokEDGE о возможности использования в разные периоды инсульта, однако, учитывая высокую корреляцию между общими значениями при тестировании по FMA-UE и MAS (r=0,88) [31], можно предположить, что использование данной шкалы в остром, раннем и позднем восстановительных периодах инсульта возможно на уровне «рекомендовано», как и у шкалы FMA-UE.
Тест предложен в 1981 г. как модификация более раннего метода - Функционального теста верхней конечности (UEFT) для оценки восстановления верхней конечности при центральном параличе [17]. ARAT представляет собой стандартизованную порядковую шкалу, основанную на предположении о том, что сложные движения верхней конечности, используемые в повседневной жизни, можно разложить на четыре составляющие: хватка, сжатие, щипок и менее дифференцированные движения - разгибание и сгибание в локтевом и плечевом суставах. Тест оценивает возможности подъема предметов различного размера на высоту около 37 см, перемещения предмета цилиндрической формы на расстояние 37,5 см при помощи щипкового захвата, поднимание объектов различного размера, которые удерживаются I и III пальцами, и выполнение трех глобальных движений верхней конечности. Каждая конечность оценивается отдельно. Выполнение заданий ARAT оценивается по 4-балльной шкале от 0 до 3 баллов: движение оценивается в 3 балла, если задача выполнена нормально; в 2 балла - выполнена, но чрезмерно долго, с большим трудом или плохо скоординированными движениями; в 1 балл - выполнена частично, и 0 - не выполнена вообще. Суммарное значение в 57 баллов является максимальным для каждой верхней конечности. ARAT имеет высокую надежность и достоверность, время проведения теста составляет от 8 до 10 мин. Главное преимущество теста заключается в возможности оценить широкий спектр функций верхних конечностей после инсульта. Основные ограничения заключаются в отсутствии оценки ловкости (манипуляционные задачи) и необходимости стандартизированного оборудования для завершения оценки [32], стоимость которого около 600 долларов США. Полный комплект ARAT состоит из специального столика, четырех деревянных блоков, мяча для крикета, длинных и коротких трубочек из нержавеющей стали, длинных и коротких штырей с резьбовым стержнем, резьбовых стержней для труб, шайбы, двух бокалов, шарикоподшипников 6 мм в диаметре, мраморного бруска 1,5 см диаметром, секундомера. Тест рекомендован для применения в остром, раннем и позднем восстановительных периодах инсульта и на стадии амбулаторной реабилитации, при уровне рекомендаций 3 («рекомендуется»). Таким образом, ARAT является гибким и действительным показателем функциональных ограничений верхних конечностей для использования в практической реабилитации и научных исследованиях [21].
Все перечисленные шкалы оценки имеют высокую валидность, широко используются в научных исследованиях. Они позволяют точно оценить степень функциональных нарушений руки, имеют разделы, посвященные чувствительным расстройствам и изменениям тонуса (MAS), и, по нашему мнению, должны быть введены в практику реабилитационных отделений. В настоящее время в России указанные шкалы оценки двигательных нарушений используются редко, в том числе вследствие недостаточной информированности врачей, а также в связи с отсутствием русcифицированных вариантов.
Существуют также шкалы измерения двигательных нарушений, имеющие узконаправленный характер оцениваемых параметров: тест «девять колышков и девять отверстий» (Nine Hole Peg Test - NНPT) и тест коробки и блоков (Box и Block Test - BBT) - для измерения уровня расстройств мелкой моторики у пациентов с легким парезом руки. Этот вид оценки подразумевает измерение одного или нескольких параметров движения, например скорости, ловкости и точности.
Тест недорогой, очень практичный и полезный для определения состояния тонкой моторики. Может использоваться во всех случаях, когда есть нарушение тонких движений, в том числе при расстройствах координации, слабости пальцев, расстройствах чувствительности, апраксии кисти. Необходимое оборудование для проведения теста: секундомер, квадратная доска с девятью лунками (10 мм в диаметре, 15 мм в глубину), расположенными на расстоянии 15 мм друг от друга в три ряда по три отверстия и девять колышков (9 мм в диаметре и 32 мм длиной). Преимуществами теста являются его простота, мобильность, небольшая стоимость, быстрота проведения. Тест считается достаточно надежным, его валидность была доказана в ряде исследований, существуют референтные значения для различных возрастных и гендерных групп. К условным недостаткам можно отнести необходимость использования специального оборудования и «эффект пола» - больные с грубым нарушением функции кисти тест выполнить не могут.
NHPT проводится следующим образом: пациент сидит за столом, его просят поставить колышки в отверстия по одному и в любом порядке, а затем также по одному вынуть обратно. Время отсчитывается с момента, когда тестируемый касается первого колышка до того, когда последний колышек будет положен обратно в контейнер. При другом варианте оценки тест может быть остановлен через 50 с с подсчетом количества вставленных колышков. NHPT имел умеренную степень чувствительности в отражении изменений функции верхней конечности в течение первых 6 мес после инсульта [17]. Отмечено, что полученные при выполнении теста результаты имеют незначительную корреляцию с состоянием повседневного функционирования.
По данным StrokEDGE, NHPT не рекомендован к применению в остром периоде инсульта (уровень рекомендации 1 - не рекомендуется, имеет плохие оценочные свойства и низкую клиническую полезность), но может применяться в раннем и позднем восстановительном периодах (уровень рекомендации 3).
Тест позволяет оценить глобальную моторику рук путем подсчета числа блоков, которые можно транспортировать отдельно из одного отсека коробки в другой в течение 1 мин, и учета количества перемещенных блоков. Более высокие значения свидетельствуют о лучшей ловкости рук. Надежность, обоснованность и оперативность выполнения BBT подтверждены у пациентов с инсультом, в том числе при повторном тестировании 34. BBT продемонстрировал сильную связь выявленных двигательных нарушений с уровнем повседневного функционирования. Доказана возможность использования данного метода оценки движений в остром, раннем и позднем восстановительном периодах инсульта и на амбулаторном этапе реабилитации (StrokEDGE) [36].
Шкалы оценки скорости и ловкости движений целесообразно использовать у пациентов с легким дефектом верхней конечности (когда другие методы оценки - FMA, MAS - являются недостаточно чувствительными) или имеющих не столько двигательный, сколько координаторный, диспраксический или сенсорный дефект, приводящий к нарушению моторики кисти.
Исследование активных и пассивных движений в плечевом суставе.
Необходимо учитывать то, что активные движения в плечевом суставе осуществляются при участии трех компонентов - плечевого сустава, плечевого пояса, туловища. Поэтому ограничение подвижности в нем может зависеть не только от состояния сустава, но и функции всего плечевого пояса, а также от патологии позвоночника и грудной клетки.
Рис. 110. Пальпация субакромиальной сумки.
Указательный или большой палец погружается в ткани плеча у наружного края акромиального отростка. Возникающая болезненность указывает на наличие субакромиального или субдельтовидного бурсита. Обычно это сочетается с синдромом «болезненного отведения» руки.
При исследовании активных движенийв плечевом суставе врач должен находиться сначала спереди, а затем сзади от исследуемого. Осмотр спереди позволяет оценить общую амплитуду движений в суставе, а осмотр сзади - весь плечелопаточный ритм, последовательность участия в движении каждого составляющего компонента. Учитываются как объем движений, так и возникающая при этом боль, хруст, пощелкивание.
Пробы для определения активных движений в плечевом суставе:
• сгибание - движение руки вперед и вверх, в норме 180-189°;
• разгибание - движение руки назад и вверх, в норме 85-89°;
• отведение - движение руки в сторону и вверх, в норме 179-184°;
• ротация опущенной руки вниз - супинация (60°) и про нация (36°);
• наружная ротация при 90° сгибе в локтевом суставе, в норме 60°;
• наружная ротация плеча при закладывании кистей за голову;
• внутренняя ротация плеча при закладывании руки за спину.
У здоровых все движения в плечевом суставе в пределах указанных градусов, свободные, безболезненные, беззвучные. Ограничение объема движений и боль могут указывать на патологию плечевого, акромиально-ключичного, а также грудино-ключичного суставов, периартикулярных тканей (травма, воспаление, дистро- фия, анкилоз, контрактура) или нарушение иннервации мышц плечевого пояса.
Рис. 111. Активное отведение руки. При «синдроме дуги болезненного отведения» боль возникает на уровне 60-120°.
Учитывая частое нарушение движений руки во фронтальной плоскости (отведение и приведение) с формированием таких синдромов, как «синдром дуги болезненного отведения», «симптом падающей руки», «замороженное плечо», особое внимание надо уделить пробе на отведение и приведение руки (рис. 111, 112).
Врач наблюдает за пациентом спереди, а затем сзади. Исследуемому предлагается по команде врача выполнить медленное отведение руки до вертикального положения, а затем медленное полное приведение. Здоровые эту пробу выполняют в полном объеме. В норме при отведении руки от 0° до 90°(до горизонтального уровня), движение осуществляется за счет плечевого сустава без участия лопатки(наблюдение сзади). Далее (примерно на 70°) подъем руки обеспечивается ротацией лопатки, а последние 20° - снова за счет плечевого сустава. В движении руки выше горизонтального уровня участвуют также грудино-ключичный и акромиально-ключичный суставы.
Появление движения лопатки ниже горизонтального уровня отведения руки, боль, ограничение или невозможность отведения, нарушение спокойного ритма приведения руки из верхнего положения[падение руки при попытки ее приведения (рис. 113)], указывают на патологию плечевого сустава и окружающих его тканей - поражение субакромиальной синовиальной сумки, вращающей манжетки, ротационных мышц плеча.
Рис. 112. Схема возникновения «синдрома дуги болезненного отведения». При отведении руки происходит сдавление подакромиальной и поддельтовидной сумок, а также вращающей манжетки под акромионом и головкой плечевой кости. При бурсите и поражении вращающей манжетки отведение сопровождает боль или становится невозможным.
Рис. 113. «Симптом падающей руки». При разрыве сухожилия надостной мышцы активное отведение плеча возможно лишь на 40°, отведение сопровождается значительным подъемом надплечья. Пассивное отведение плеча будет свободным и безболезненным вплоть до вертикального положения. При попытке медленноРис. 114. Тест «закладывание рук за голову». Используется для оценки функции суставов плечевого пояса и частично локтевого сустава, определяются наружная ротация плеча, отведение плеча, движения в акромиальноключичном и грудино-ключичном суставах, сгибание в локтевом суставе. При патологии в любом из перечисленных суставах возникает болезненность, а движения ограничиваются или становятся невозможными.
Значительной информацией обладают пробы на закладывание рук за голову и за спину,они отражают способность выполнить отведение и ротацию(рис. 114, 115). Здоровый их выполняет легко и свободно. Если возникает боль и ограничение объема движений, то это признаки патологии плечевого сустава или вращающей манжетки плеча.
При исследовании пассивных движенийв плечевом суставе одна рука врача охватывает сустав сверху, другая, расположенная на нижней трети предплечья, совершает определенные движения плеча - сгибание, разгибание, отведение, приведение, ротацию (рис. 116-119). У здорового человека все движения свободные, безболезненные, в полном объеме, а рука врача, расположенная на плечевом суставе, не ощущает хруста или пощелкивания. Появление этих симптомов, а также ограничение объема движений указывают на патологию (воспаление, травма, дистрофия).
Рис. 115. Исследование внутренней ротации плеча закладыванием руки (рук) за спину. По высоте расположения кисти можно судить о степени ограничения подвижности в плечевом суставе. Тест отражает способность отведения плеча, разгибания в плечевом суставе, а также функцию подлопаточной мышцы и частично локтевого сустава.
Рис. 116. Исследование пассивных движений в плечевом суставе.
Рис. 117. Определение объема пассивного отведения плеча с фиксацией ру кой врача лопатки и ключицы.
Рис. 118. Пассивное отведение плеча. Левая рука врача фиксирует угол лопатки, правая отводит плечо, отмечается момент начала движения лопатки. Преждевременное скольжение лопатки по грудной клетке (ниже 90° отведения) указывает на неблагополучие в плечевом суставе и окружающих его тканях.
Исследование активных движений в плечевом суставе
Пациентов всегда необходимо осматривать спереди и сзади. При этом должны быть видны обе верхние конечности, шея, контуры лопаток и верхняя половина груди.
а) Осмотр плечевого сустава. Кожа. Кожа должна быть осмотрена на предмет рубцовых изменений, свищевых ходов. Не забудьте осмотреть подмышечные впадины!
Контуры. Обе половины тела необходимо осматривать в сравнении. Асимметрию надплечий, крыловидные лопатки, гипотрофию дельтовидной, надостной и подостной мышц, вывихи в ключично-акромиальном суставе лучше всего определяются при осмотре со стороны спины, тогда как отек ключично-акромиального и грудинно-ключичного суставов или гипотрофия грудных мышц, наоборот, лучше видны спереди.
Выпот в полости плечевого сустава приводит к увеличению объема мягких тканей передней поверхности сустава и иногда — подмышечной области. Гипотрофия дельтовидной мышцы позволяет заподозрить неврологические причины заболевания, тогда как гипотрофия надостной мышцы может свидетельствовать о полнослойном разрыве ротаторной манжеты плеча или поражении надлопаточного нерва. Типичная деформация брюшка двуглавой мышцы плеча (симптом Попая) при разрыве сухожилия длинной головки этой мышцы лучше определяется при сгибании предплечья в локтевом суставе.
Положение верхних конечностей. Если плечо находится в положении внутренней ротации, следует думать о наличии заднего вывиха в плечевом суставе.
б) Пальпация плечевого сустава. Кожа. Плечевой сустав со всех сторон окружен достаточно выраженным массивом мягких тканей, поэтому при воспалительных явлениях в суставе местная температура кожи изменяется редко.
Костные ориентиры и мягкие ткани. Необходимо тщательно пропальпировать костные и мягкотканные ориентиры в области плечевых суставов, что позволяет получить достаточно четкую картину анатомических особенностей этой области. Пальпацию начинают с грудинно-ключичного сустава и далее следуют латерально по ходу ключицы до ключично-акромиального сустава, спускаются по передней поверхности акромиона и далее наружу и кзади по краю акромиона. Пальпируются передний и задний край суставной впадины лопатки.
В положении разгибания плечевого сустава сухожилие надостной мышцы можно пропальпировать под передним краем акромиона. Ниже этой точки определяется костный выступ,ограничивающий межбугорковую борозду, эту зону еще проще пальпировать при медленной ротации плеча в ту и другую стороны. Крепитация при пальпации над сухожилием надостной мышцы позволяет заподозрить тендинит или разрыв сухожилия.

Клинический осмотр. Объем активных движений лучше оценивать,
осматривая пациента со стороны спины, при этом особое внимание необходимо обращать на симметричность и координированность движений в плечелопаточном суставе и движений лопаток.
(а) Отведение. (б) Предел отведения, реализуемого за счет плечелопаточного сустава.
(в) Полное отведение и подъем верхней конечности, реализуемые за счет содружественного движения в плечелопаточном суставе и движения лопатки.
(г) Истинный объем отведения в плечелопаточном суставе можно оценить, блокируя движение лопатки за счет давления на ее верхний край.
(д) Наружная ротация. (е, к) Сложные движения включают одновременные отведение, ротацию, сгибание или разгибание плеча.
(з) Проба, используемая для выявления слабости передней зубчатой мышцы.
(и) Пальпация плечевого сустава для выявления болезненности в области прикрепления сухожилия надостной мышцы.
в) Исследование движений. Активные движения. Для оценки объема движений пациента осматривают сначала спереди, а затем сзади в положении стоя или сидя. Боковое отведение верхних конечностей в норме осуществляется в плоскости лопаток, т.е. под углом 20° кпереди по отношению к фронтальной плоскости, амплитуда такого отведения составляет 180°. Тем не менее считается, что отведение плеча осуществляется во фронтальной плоскости, а сгибание/разгибание — в сагиттальной.
Отведение начинается с нулевой отметки. Ранняя фаза этого движения практически полностью реализуется за счет плечелопаточного сустава, однако по мере увеличения амплитуды этого движения лопатка начинает поворачиваться относительно грудной клетки и последние 60° отведения практически полностью реализуются за счет движения лопатки (поэтому иногда боковое отведение более 90° называют не «отведением», а «подъемом» плеча).
Такие содружественные движения плеча и лопатки могут нарушаться при поражении самого плечевого сустава или вследствие дисфункции стабилизирующих сустав мышц. Таким образом можно наблюдать следующие изменения отведения плеча:
(1) затруднения в начале движения,
(2) снижение объема отведения и
(3) изменение ритма отведения, т.е. слишком раннее включение в движение лопатки с подъемом надплечья.
Если при отведении плеча возникает болевой синдром, то необходимо отметить, в каком положении он возникает: боль в среднем положении может свидетельствовать о неполных разрывах ротаторной манжеты плеча или тендините надостной мышцы, боль в конце отведения чаще всего обусловлена дегенеративным поражением ключично-акромиального сустава.

Содружественное отведение плеча и лопатки (а, б).
В раннюю фазу отведения это движение практически полностью реализуется за счет плечелопаточного сустава.
По мере увеличения амплитуды движения происходит ротация лопатки относительно грудной клетки (в).
Завершающая фаза отведения плеча практически полностью реализуется за счет движения лопатки (г).
Для оценки объема сгибания и разгибания плеча пациента просят поднять руки вверх и отвести назад. Нормальный объем сгибания составляет 180°, разгибания — 40°.
Ротационные движения можно оценить двумя способами: плечи приведены к туловищу, предплечья согнуты в локтевых суставах до 90°, кисти сначала максимально разводят в стороны (наружная ротация) и затем максимально сводят перед собой (внутренняя ротация). Однако такие движения являются не совсем естественными, поэтому обычно пациента просят просто сомкнуть пальцы кистей позади шеи (наружная ротация в отведении) и затем коснуться пальцами нижнего угла противоположной лопатки (внутренняя ротация в приведении). Сравнивают объем движений в обоих плечевых суставах.
Пассивные движения. Для оценки объема движений в плечелопаточном суставе (отдельно от содружественного движения лопатки) лопатка должна быть фиксирована: для этого исследующий одной рукой надавливает сверху на надплечье, а другой осуществляет движение конечности пациента в плечевом суставе. Менее эффективной методикой определения объема движений в плечелопаточном суставе является фиксация нижнего угла лопатки.
Сила мышц. Объем и напряжение дельтовидной мышцы оценивают при отведении плеча с сопротивлением. Для оценки функции передней зубчатой мышцы (иннервируется длинным грудным нервом, из С5, 6, 7 корешков) пациента просят обеими руками с силой оттолкнуться от стены: если имеет место слабость этой мышцы, то лопатка при вышеописанном движении не стабилизируется и крыловидно отстоит от грудной клетки. Для оценки функции больших грудных мышц пациента просят плотно прижать руки к талии.
Сила мышц-ротаторов оценивается в положении стоя с приведенными плечами и согнутыми в локтевых суставах предплечьями, пациента просят развести кисти, оказывая при этом сопротивление этому движению. Снижение силы данного движения может быть связано с поражением ротаторной манжеты плеча, нестабильностью плечевого сустава либо может быть обусловлено неврологическими причинами.
Другие системы. Клинический осмотр завершают обследованием шейного отдела позвоночника (как наиболее частого источника отраженного болевого синдрома), оценкой генерализованной гипермобильности связочного аппарата (которая нередко сопутствует нестабильности плечевого сустава) и оценкой неврологического статуса пациента.

Нормальный объем движений:
(а) Объем отведения составляет 0-160° (или даже 180°), однако только 90° из них реализуется за счет движения в плечелопаточном суставе (в плоскости лопатки, расположенной под углом 20° к истинной фронтальной плоскости), остальной объем отведения реализуется за счет движения лопатки.
(б) Наружная ротация обычно составляет около 80°, объем внутренней ротации обычно меньше в связи с тем, что туловище становится препятствием для этого движения.
(в) Оценить объем внутренней ротации можно в положении отведения плеча до 90°—в таком положении туловище уже не будет препятствием.
г) Специальные клинические тесты. Для более точного выявления источника болевого синдрома, мышечной слабости или нестабильности плечевого сустава разработан целый ряд специальных клинических тестов. Описание этих исследований будет приведено ниже в соответствующих разделах этой главы.
д) Обследование в условиях местной анестезии. Для локализации источника болевого синдрома в области плечевого сустава порой достаточно блокады предполагаемой зоны (например, сухожилия надостной мышцы или ключично-акромиального сустава) раствором местного анестетика, при этом болевой синдром, наблюдающийся при определенных движениях на время действия препарата частично или полностью купируется. Введение анестетика в субакромиальное пространство позволяет дифференцировать ограничение объема движений в суставе, вызванное болевым синдромом и разрывом ротаторной манжеты плеча.
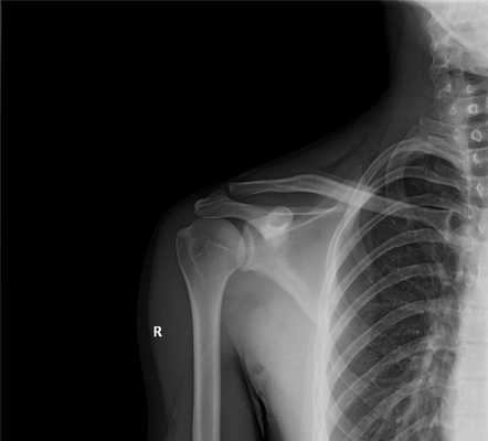
Для проведения диагностики заболеваний плечевого сустава используют различные методы. Врач опрашивает пациента, просит рассказать, ощущает ли он боль в плече и когда это происходит, при движении или в состоянии покоя. Также проводится визуальный осмотр, пальпация, пациентом выполняется несколько простых тестов, способных продемонстрировать функционирование плечевого сустава.
Если все вышеописанные приёмы не позволяют врачу полностью оценить картину заболевания, обычно переходят к следующей стадии диагностики — рентгену.
Рентген представляет собой способ рассмотрения внутреннего строения костей плечевого сустава пациента с помощью лучей определённого диапазона.

При такой патологической ситуации, как вывих головки плечевой кости, её поверхности полностью утрачивают контакт с поверхностями лопаточной кости. При этом под действием сместившихся костей может отмечаться разрыв суставной сумки и связочного аппарата в соответствующей области.
Рентген в двух проекциях (прямой и осевой) довольно чётко может показать отклонение текущего состояния плечевого сустава от нормы. На снимках можно увидеть, насколько смещена головка плечевой кости, каково направление её смещения, а также наличие переломов костей (если они есть). С помощью рентгена можно определить тип вывиха и предположить развитие возможных осложнений. Не допускается вправлять вывих без предварительного проведения рентгена.
Проведя рентгенографию костей плеча, можно обнаружить подвывих. Это состояние схожее с вывихом, но контакт между поверхностями лопаточной и плечевой кости утрачивается не полностью, а частично.
Все кости на рентгене отображаются в виде плотных белых образований. Переломы костей, а также трещины на них выглядят на снимках как тёмные полосы, расположенные в различных направлениях и имеющие различную локализацию и размер. Фото-рентген плечевого сустава позволяет обнаружить наличие переломов плечевой кости, ключицы и лопатки. Снимок нужен для того, чтобы определить сложность перелома, увидеть, как расположены осколки костей (если имеет место раздробление).
Неопластический процесс, протекающий в плечевых или других суставах, а также в околосуставных структурах — один из самых сложных и опасных. Другими словами, это новообразование, опухоль.
Существует определённая группировка таких опухолей, которая осуществляется на основании их принадлежности к синовиальной ткани (внутрисуставной).
Диагностика неопластических патологий достаточно сложна и может включать не только рентген, но и более сложные процедуры (например, МРТ, КТ, забор материала сустава на биопсию и так далее).
Плечевой сустав наиболее подвержен дегенеративным заболеваниям, таким как артрит или артроз. Преждевременное истирание и разрушение межсуставных хрящей, образование костных шипов, сужение межсуставной щели — все эти и другие симптомы дегенеративных заболеваний приносят человеку дискомфорт, боль в плече при движении и в состоянии покоя. При отсутствии должной терапии артрозы или артриты способны значительно ограничить степень подвижности плечевого сустава, свести на нет работоспособность человека.
Сближение костей плечевого сустава — это первое, что показывает рентген. Межсуставная щель сужается вследствие истирания хрящей, а значит в дальнейшем при активных движениях процесс истирания будет переходить уже непосредственно на костную ткань.
Артриты, артрозы, а также другие дегенеративно-дистрофические заболевания на первых стадиях их проявления могут поддаваться терапии, поэтому важно вовремя провести диагностику и начать лечение.
Плечевой сустав, рентген которого нужно произвести, перед процедурой освобождается от одежды. Также рекомендовано снять кольца, цепочки, часы или другие металлические предметы. Пациента укладывают на стол рентгеновского аппарата на живот, на спину или на бок (в зависимости от того, какая проекция снимка необходима). Во время сканирования пациент должен сохранять неподвижность. Это важное условие для получения качественного снимка.
Рентгенография длится несколько секунд. После изготовления снимка его проявляют и делают описание.
Большинство диагностических исследований, за исключением УЗИ, беременным женщинам противопоказано. Рентген проводить нежелательно, так как его ионизирующее излучение может негативно повлиять на развитие плода и вызвать у него серьёзные патологии. В исключительных случаях рентген плечевого сустава может быть назначен беременной, если это жизненные показания. Облучению подвергается только область плеча пациентки, а всё остальное тело тщательно закрывается специальным жилетом или фартуком.
Неокрепший детский организм гораздо больше подвержен негативному рентгеновскому излучению, чем организм взрослого. Главная опасность — это возможное злокачественное перерождение клеток тканей, которые попадают в область облучения. Так же, как и в предыдущем случае, рентгенографию плечевого сустава назначают только при крайней необходимости. Разрешается делать рентген детям после 14 лет.
Рентген нельзя делать часто. Повторять данную процедуру дважды в день запрещено.
Металлические элементы могут отражать рентгеновские лучи и препятствовать их прохождению к плёнке, на которой формируется снимок. Пациенты, в суставах которых имеются фиксирующие болты или у которых установлены металлические протезы, на рентген не направляются, так как информативность полученного снимка будет минимальной.
Рентген плечевого сустава (плеча), что показывает многолетняя практика, имеет достаточно достоинств, чтобы оставаться одной из самых востребованных диагностических процедур:
- Безболезненность.
- Кратковременность. Рентген не требует особой подготовки, сканирование длится примерно 2-3 секунды, а на проявление снимков и их описание обычно затрачивается 15-20 минут (в зависимости от тяжести обнаруженной патологии).
- Информативность. Плечевой сустав на рентген-снимках в различных проекциях видно достаточно чётко, поэтому и диагноз можно поставить точно.
- Доступность. Рентген плеча можно сделать практически в любой поликлинике, травмпункте или частной клинике. В последнем случае стоимость рентгена будет невысока (гораздо ниже, чем цена на МРТ или КТ).
Главный минус рентгена — негативное влияние на организм человека ионизирующего излучения. По этой причине рентген нельзя делать часто, что иногда необходимо для отслеживания динамики заболевания. Также рентген не способен точно передать информацию о состоянии мягких тканей (для этого лучше делать МРТ).
Симптом боль в плечевом суставе может быть следствием различных заболеваний. Если вы впервые столкнулись с симптомом, запишитесь на прием к терапевту, он направит вас к подходящему специалисту.
- Ревматолог
- Травматолог
- Вертебролог
- Хирург
- Невролог
- Ортопед
- Гастроэнтеролог.
- Неврит
- Грыжа позвоночника
- Опухоль верхушки легкого
- Киста селезенки
- Синдром удара плеча
- Миалгия
- Грыжа
- Плечелопаточный периартроз
- Грыжа шейного отдела позвоночника
- Ревматическая полимиалгия
- Перелом проксимального конца плечевой кости
- Перелом плечевой кости.
Рекомендации перед приемом ортопеда

Ортопед занимается диагностикой, профилактикой и лечением деформаций опорно-двигательного аппарата, врожденных и приобретенных, в том числе последствий травм. Есть детские и взрослые ортопеды. В детском возрасте осмотр ортопеда рекомендуется с профилактической целью: в 1, 3 и 9 месяцев, затем ежегодно.
Специальной подготовки к приему ортопеда не требуется. Нужно принять гигиенический душ и надеть одежду, которую будет легко снять при осмотре. Очень важно взять с собой все снимки и томограммы, которые выполнялись ранее.
Какую диагностику необходимо пройти, вам подскажет лечащий врач. Вам могут назначить:
- МРТ селезенки
- Рентген позвоночника
- Бронхоскопия
- МСКТ легких
- Эндоскопические методы исследования Артроскопия
- УЗИ сердца и сосудов
- Функциональная диагностика Электронейромиография (ЭНМГ)
- МРТ (магнитно-резонансная томография)
- МРТ плечевого сустава
- МРТ плечевого сустава
- МСКТ шейного отдела позвоночника
- УЗИ суставов
- Рентген позвоночника
- КТ плечевого сустава
- МРТ шейного отдела позвоночника
- КТ грудного отдела позвоночника
- УЗИ плечевого сустава
- УЗИ плечевого сустава
- МРТ лимфоузлов
- КТ селезенки
- КТ легких
- КТ пояснично-крестцового отдела позвоночника
- МРТ пояснично-крестцового отдела позвоночника
- ПЭТ-КТ
- МРТ шейного отдела позвоночника
- УЗИ плечевого сустава
- КТ поясничного отдела позвоночника
- УЗИ селезенки
- МРТ плечевого сустава
- КТ шейного отдела позвоночника
- Рентген мягких тканей
- КТ плечевого сустава
- КТ плечевого сустава
- КТ плечевого сустава
- Рентген позвоночника
- Рентген суставов
- МСКТ пояснично-крестцового отдела позвоночника
- КТ шейного отдела позвоночника
- Функциональная диагностика Электронейромиография (ЭНМГ)
- МСКТ грудного отдела позвоночника
- МРТ грудного отдела
- Рентген шейного отдела позвоночника
- МРТ плечевого сустава
- УЗИ плечевого сустава
- КТ сустава (1 ед.)
- КТ (компьютерная томография)
- МСКТ шейного отдела позвоночника.
Боль при поднятии руки — мучительные, неприятные ощущения, которые возникают в плечевом суставе, предплечье или плече. Появляются из-за травм, на фоне чрезмерных физических нагрузок, длительной иммобилизации плечевого сустава, монотонной работы. Патологическая боль при поднятии руки связана с заболеваниями суставов дегенеративного и воспалительного характера. Болезненность наблюдается одновременно с другими симптомами заболевания. Чаще это припухлость, отечность, скованность движений в поврежденной области.

К наиболее распространенным причинам, почему болит при поднятии руки, относят травматическое повреждение анатомических структур плечевого сустава: сухожилий, суставной капсулы, суставной губы, связок, костей, мышц рук. Возникает при ударе в плечо, падении, резком отведении руки, вследствие бытовой или производственной травмы, вывиха, растяжения мышц, перелома, физических перегрузок.
Определенную роль в появлении боли при поднятии правой и/или левой руки играют заболевания опорно-двигательного аппарата, как:
- остеохондроз шейного и грудного отдела позвоночника;
- межпозвоночная грыжа;
- тендинит — воспаление сухожилий плечевого сустава;
- артрит и артроз разного происхождения;
- хронический тендосиновит;
- плечелопаточный периартрит;
- воспаление мышц шеи и плечевого пояса (шейный миозит);
- бурсит плечевого сустава;
- искривление позвоночника;
- патологии соединительной ткани, как склеродермия, системная красная волчанка;
- врожденные пороки развития образований плечевого сустава.
К другим причинам болезненных ощущений при движении рукой относят нарушение целостности артерий и вен верхних конечностей, травмы грудной клетки, отложение твердых солей кальция в тканях кожи плечевого сустава, заболевания сердца, сосудов, печени, желчного пузыря, органов нижних дыхательных путей, новообразования в спине.
В зависимости от основного заболевания, особенностей его развития боль при поднятии руки возникает остро или имеет бессимптомное течение. В раннем периоде неприятные ощущения связаны с захватом и удержанием предмета, отведением и приведением, движениями кнаружи и внутрь, сгибанием и разгибанием, круговыми вращениями рукой. Болезненность отличается интенсивностью, временем возникновения, продолжительностью, испытывающими ощущениями (острая боль, режущая, колющая, простреливающая).
Болезненность чаще появляется и усиливается после физической нагрузки, переохлаждения, и проходит в состоянии покоя. На поздних стадиях возникает при незначительных движениях без активного участия плечевого сустава, иногда даже в состоянии отдыха, и отдает в шею, локти, запястья, пясти, пальцы верхних конечностей. Из-за боли движения рукой скованы и затруднены, мышцы ослаблены, сложно выполнять привычные действия, нарушается ночной сон. Для заболеваний, протекающих с отложением солей кальция, характерен хруст при движениях. При травмах и ушибах наблюдается отечность, припухлость, чрезмерная подвижность плеча, гематомы в области повреждения.
Если боль при поднятии руки возникает в результате травмирующего воздействия образований плечевого сустава, необходима консультация травматолога. При болезненных ощущениях неясного происхождения пациенты обращаются к терапевту или ортопеду. Чтобы поставить предварительный диагноз, врач проводит внешний осмотр, оценивает общее состояние и жалобы пациента, собирает сведения о наличии хронических или ранее перенесенных заболеваний, травм.
Для уточнения диагноза, исключения других заболеваний выполняют аппаратные методы исследования плечевого сустава: рентгенографию, магнитно-резонансную томографию, компьютерную томографию, УЗИ шейного отдела позвоночника. Для определения инфекционных, воспалительных, онкологических процессов используют данные лабораторных исследований крови, мочи, биологического секрета. При подозрении на наличие связей заболеваний других органов и систем, вызвавших боль при поднятии левой руки или правой, назначают консультацию соответствующего специалиста: невролога, эндокринолога, кардиолога, нейрохирурга, вертебролога.
Лечение боли при поднятии руки
Курс лечения причин боли при поднятии руки подбирают индивидуально в зависимости от клинических проявлений, общего состояния пациента. В остром периоде необходимо ограничить нагрузку на больную руку, исключить перенос тяжестей, монотонные повторяющиеся движения. Для разгрузки сустава, восстановления его функций используют гипсовую повязку, эластичный бинт, ортез.
Из фармакотерапии назначают нестероидные противовоспалительные препараты и анальгетики, чтоб избавиться от боли, воспаления, глюкокортикостероиды, лекарства для расслабления мышц, местно — ранозаживляющие, местнораздражающие мази. Длительным курсом принимают хондропротекторы — участвуют в построении костно-хрящевой ткани, улучшают её свойства.
В фазе обострения рекомендованы физиопроцедуры, в период ослабления или исчезновения симптомов болезни — массаж, лечебная гимнастика. При отсутствии эффекта от консервативного лечения выполняют операции на окружающих мягких тканях, костях с вскрытием или без суставной полости.
Боль, оставленная без внимания, становится хронической, и снижает качество жизни, работоспособность, сковывает движения. Запущенные воспалительно-дегенеративные заболевания костно-мышечной системы угрожают деформацией сустава, частичным или полным обездвиживанием руки с последующим получением инвалидности.
Читайте также:
