Исследование на сопротивление пояснично-крестцового отдела позвоночника
Добавил пользователь Евгений Кузнецов Обновлено: 21.11.2025
Медицинская школа ЕМС, Москва, Россия
Universitätsklinikum Bonn, Бонн, Германия
ФГБОУ ВО «НГМУ» Минздрава России, Новосибирск, Россия
Магнитно-резонансная томография при дегенеративных изменениях поясничного отдела позвоночника: современное состояние вопроса
Журнал: Журнал «Вопросы нейрохирургии» имени Н.Н. Бурденко. 2019;83(4): 104‑112
Магнитно-резонансная томография (МРТ) поясничного отдела позвоночника относится к числу часто выполняемых исследований на базе любого томографического отделения. Однако в мировом медицинском сообществе до сих пор не существует стандартов сканирования и интерпретации полученных изображений. В данной работе на основании личного опыта обозначены часто встречающиеся проблемы диагностики при проведении и описании исследований поясничного отдела позвоночника. Представлен анализ литературы с обобщением имеющихся на настоящий момент рекомендаций. Рассмотрены основные последовательности, которые должны быть включены в протокол сканирования, обсуждена современная мировая терминология, а также представлена частота встречаемости различных видов патологии. Особое место уделено подходам к оценке стеноза позвоночного канала. Подробно рассмотрены количественные и качественные критерии стеноза позвоночного канала.
Магнитно-резонансная томография (МРТ) поясничного отдела позвоночника относится к числу самых востребованных исследований и выполняется ежедневно практически во всех томографических отделениях в большом количестве. Однако до сих пор не разработаны стандарты сканирования, а также стандарты оценки и описания полученных изображений.
На основе анализа рутинной практики при выполнении 4709 магнитно-резонансных исследований (МР-исследований) поясничного отдела позвоночника в трех диагностических центрах в различных городах России в период с 1 сентября 2017 г. по 29 мая 2018 г. была выявлена проблема разнонаправленности подходов как к протоколам сканирования, так и к анализу и описанию данных.
Таким образом, возникла необходимость поиска в источниках литературы стандартов сканирования и оценки полученных томограмм для стандартизации методики и соответственно улучшения качества медицинской диагностики. Один из первостепенных вопросов, который выявляется при анализе работы диагностических центров, — это выбор между качественным и количественным подходами в оценке стенозов в рутинной практике МРТ поясничного отдела позвоночника.
Все вышесказанное обусловливает актуальность работы и необходимость прибегнуть к анализу мировой литературы для поиска методологического подхода к проведению и интерпретации МР-исследований поясничного отдела позвоночника. На личный опыт в данной работе мы опираемся лишь для обозначения часто встречающихся в работе врача-рентгенолога проблем.
Протокол сканирования
В первом учреждении использовался локатор на весь позвоночник, Т1-, Т2-, STIR-взвешенные изображения в сагиттальной плоскости, Т2-взвешенные изображения в коронарной плоскости (рис. 1). Исследование выполнялось на аппарате Рhilips Intera 1.5Т. Технические параметры импульсных последовательностей представлены в таблице. Технические параметры импульсных последовательностей для МРТ поясничного отдела позвоночника
Рис. 1. МРТ поясничного отдела позвоночника, позиционирование плоскостей. а — позиционирование локатора на весь позвоночник; б — позиционирование сагиттальной плоскости.
Рис. 1. МРТ поясничного отдела позвоночника, позиционирование плоскостей. в — позиционирование аксиальной плоскости; г — позиционирование коронарной плоскости.
Локатор на весь позвоночник использовался только для подсчета количества позвонков. В коронарной плоскости, как правило, использовались Т2-взвешенные изображения, однако при подозрении на недегенеративную спондилоартропатию (например, анкилозирующий спондилоартрит) вместо Т2-последовательности мог быть использован STIR для поиска очагов отека костного мозга в боковых массах крестца и в телах подвздошных костей. Т2-взвешенные изображения в аксиальной плоскости выполнялись единым блоком (около 30 срезов) с включением в зону сканирования не менее 3 межпозвонковых дисков с последующей реконструкцией по плоскости каждого диска (рис. 2). Рис. 2. Реконструкция по плоскости диска из блока аксиальных срезов. При необходимости в рамках одного сбора данных добавлялись короткие блоки по 2—5 срезов на неизмененные сегменты.
Во втором и третьем учреждениях использовался локатор на весь позвоночник, Т1-, Т2-, STIR-взвешенные изображения в сагиттальной плоскости. В этих учреждениях в качестве локатора использовали Т2-взвешенные изображения с невысоким разрешением в сагиттальной плоскости для подсчета позвонков и для скрининга возможной патологии других отделов позвоночника. Программы в коронарной плоскости выполнялись менее чем в 10% случаев как дополнительные последовательности по запросу врача-рентгенолога. Программа в аксиальной плоскости выполнялась короткими Т2-взвешенными блоками (2—5 срезов в каждом блоке) по плоскости межпозвонкового диска.
При анализе данных литературы в авторитетных источниках нам не удалось найти руководств или рекомендаций по протоколу сканирования поясничного отдела позвоночника. Большинство авторов используют Т1-, Т2-, STIR-взвешенные изображения в сагиттальной плоскости и Т2-взвешенные изображения в аксиальной плоскости.
По данным литературы [1, 2], использование только Т2-взвешенных изображений в сагиттальной плоскости даже для скрининга патологии не имеет диагностической ценности, а напротив, ведет к ошибкам. Это связано с тем, что на одной последовательности не представляется возможным исключить инфильтрацию костного мозга. Помимо этого, используя только лишь одну сагиттальную плоскость и одну взвешенность, невозможно полноценно оценить дисковый материал, позвоночный канал и межпозвонковые отверстия [3]. Таким образом, использовать сагиттальную плоскость на весь позвоночник в одной взвешенности для скрининга патологии не может быть рекомендовано, поскольку подобное неизбежно будет приводить к систематическим ошибкам с продлением времени сканирования.
Вопрос использования коронарной плоскости при выполнении рутинного протокола сканирования поясничного отдела позвоночника при дегенеративных изменениях не менее актуален. По этому поводу в литературе также нам не удалось найти руководств или рекомендаций. Однако необходимо учитывать тот факт, что переходный позвонок (люмбализация и сакрализация) встречается достаточно часто, по разным данным [4, 5], у 15—35% популяции. В рамках томографического исследования важно не только установить сам факт люмбализации или сакрализации, но и детализировать изменения в соответствии с имеющимися классификациями [6]. Это важная информация для клинического специалиста, которая может быть единственной причиной имеющейся клинической картины или может утяжелять другие изменения, а также служить неблагоприятным прогностическим фактором для раннего развития дегенеративных изменений. Помимо этого, при наличии сакрализации или люмбализации, перед теми или иными инвазивными вмешательствами доктор должен иметь эту информацию для адекватной оценки уровня поражения.
Кроме сакрализации, на коронарной плоскости есть возможность проследить ход спинномозговых корешков в позвоночном канале, латеральных карманах и межпозвонковых отверстиях непрерывно на всем протяжении. Использовать для коронарной плоскости Т1-, Т2- или STIR-взвешенные последовательности — это решает врач лучевой диагностики в зависимости от имеющихся клинических задач. При необходимости исключения недегенеративной спондилоартропатии в рамках исследования поясничного отдела позвоночника целесообразно использование STIR-последовательности с включением в область сканирования крестцово-подвздошных сочленений, так как это позволит исключить сакроилеит и оценить поперечные отростки пятого поясничного позвонка. Если необходимо проследить спинномозговые корешки на всем их протяжении, оценить наличие и причину их деформации, то целесообразно использовать Т2-взвешенную последовательность. В большинстве случаев выполняется Т2-взвешенная последовательность в коронарной плоскости, длительность которой составляет менее 1 минуты.
При выборе протокола исследования перед врачом всегда стоит дилемма, каким образом выставлять аксиальные блоки: должны ли это быть 1—2 больших блока (по 20—40 срезов) или 5 блоков по 2—5 срезов. На данный момент, ввиду отсутствия руководств и рекомендаций, врач должен исходить из имеющейся у пациента патологии и выставлять аксиальные блоки исходя из клинических задач. Нужно отметить, что в большинстве случаев оправдано использование большого 2D-блока, поскольку это дает возможность проследить спинномозговые корешки на протяжении всего сегмента [7].
На основе проведенного анализа данных литературы и личного опыта были сделаны следующие выводы:
1) целесообразно использование локатора на весь позвоночник для подсчета позвонков;
2) для оценки костного мозга и структур позвоночного канала необходимо использование Т1-, Т2-взвешенных последовательностей и STIR в сагиттальной плоскости;
3) для оценки дегенеративных изменений поясничного отдела позвоночника целесообразно выполнение аксиального 2D-блока в Т2-взвешенности, покрывающего объем более одного сегмента;
4) целесообразно введение коронарной плоскости в рутинный протокол сканирования поясничного отдела позвоночника.
Подходы к описанию МРТ поясничного отдела позвоночника
Как оказалось, подходы к описанию патологии разнились во всех трех учреждениях.
МРТ пояснично-крестцового отдела позвоночника
МРТ пояснично-крестцового отдела позвоночника - это эффективная диагностическая процедура, назначаемая при различных заболеваниях спины. С его помощью можно выявить практически все виды патологий, злокачественные/доброкачественные образования или даже провести оценку полученной травмы в пояснично-крестцовом отделе. При всем этом процедура абсолютно безболезненная и не оказывает на организм негативное воздействие, как это происходит при рентгенологическом исследовании.
Что это такое
Магнитно-резонансная томография (МРТ) поясницы является безопасным и, пожалуй, самым точным диагностическим методом, позволяющим выявить любые заболевания. Его суть заключается в реакции организма человека на воздействие сильного магнитного поля. Как известно, все ткани состоят из водорода и воды, которые и отвечают за такое воздействие. Специальный прибор производит фиксацию ответа, показывающего мельчайшие изменения границ внутренних органов.

В ходе процедуры томограф делает большое количество снимков в обследуемом участке, причем делается это без каких-либо внедрений. В итоге врачи получают объемную картинку, с помощью которой можно изучить состояние пояснично-крестцового отдела. Томограф делает снимки сразу в трех проекциях, одна из которых снимает межпозвонковые диски, а остальные идут вдоль хребта.
Если вы хотите более подробно узнать, как проходит процедура МРТ позвоночника, а также рассмотреть альтернативные методы лечения, вы можете прочитать статью об этом на нашем портале.

Обратите внимание! Поясничный отдел является менее подвижным, чем шейный, поэтому постоянно подвергается сильным нагрузкам. Это создает условия для развития межпозвоночной грыжи или смещений в позвонках. И если в большинстве случаев патологии сопровождаются болевым синдромом и другими ярко выраженными симптомами, что позволяет быстро и легко поставить точный диагноз, то иногда болезни не проявляются в виде каких-либо симптомов. Для точного диагностирования и требуется проведение МРТ.

Назначение МРТ позвоночника
Люди часто обращаются за помощью к врачам с жалобами на болезненные ощущения в спине. Позвоночник - это важная структура человеческого тела, поэтому при появлении характерных болей в каком-либо из его отделов важную роль играет своевременная и точная диагностика. МРТ, безусловно, эффективная диагностическая процедура, имеющая широкий список показаний. Но существуют и противопоказания к проведению данного исследования, которые необходимо учитывать.

Показания
Как правило, МРТ пояснично-крестцового отдела позвоночника врачи назначают при следующих заболеваниях:
- остеохондроз поясничного отдела;
- механические повреждения позвонков, полученные в результате травмы;
- межпозвоночные грыжи или протрузии;
- развитие опухолей злокачественного или доброкачественного характера;
- аномальное развитие позвоночника, например, его искривление;
- демиелинизирующие заболевания ЦНС (рассеянный склероз, болезнь Девикаа и т. д.);
- нарушение обменных процессов в организме, из-за чего к спинному мозгу не поступает достаточное количество крови;
- воспалительные заболевания позвоночника в данном отделе, например, спондилоартрит анкилозирующий;
- развитие туберкулеза или остеомиелита;
- патологические изменения в строении кровеносных сосудов.

Проведение МРТ также необходимо для оценки состояния здоровья пациента после недавно перенесенных хирургических операций. Это позволяет отслеживать малейшие отклонения в развитии и заживлении тканей.
Противопоказания
Несмотря на большое количество преимуществ, МРТ имеет некоторые противопоказания. Их условно можно разделить на абсолютные и условные. К первым стоит отнести:
- наличие временных атравматических сосудистых клипс;
- различные электронные устройства в теле, например, ферромагнитные имплантаты;
- использование пациентом кардиостимуляторов.

При наличии условных противопоказаний проводить магнитно-резонансную томографию можно, но только с осторожностью (с использованием томографов особенной конструкции). К таким противопоказаниям относятся:
- сердечная недостаточность;
- патологическое состояние, при котором пациент не может пребывать долгое время в неподвижном состоянии;
- наличие зубных протезов, выполненных из металлокерамики;
- клаустрофобия (боязнь замкнутых или тесных пространств);
- наличие металлических осколков в теле;
- вес пациента свыше 130 кг.

На заметку! Во время беременности можно проводить МРТ, но делать это рекомендуется только во 2 и 3 триместре. В редких случаях врачи могут назначить данную процедуру и на начальном этапе беременности.
Что показывает
Благодаря МРТ пояснично-крестцового отдела врачи могут диагностировать следующие заболевания и патологические состояния:
- гнойное воспаление тканей (абсцесс);


Все вышеперечисленные заболевания поражают не только структуру костей и хрящевых тканей, но и нервную систему человека, которая имеет непосредственную связь с мягкими тканями и различными органами. При помощи МРТ специалисты смогут изучить межпозвоночные диски, спинной мозг и хрящевые ткани без какого-либо ущерба для здоровья пациента.
Подготовительный этап
Поскольку МРТ позвоночника является простой процедурой, то серьезная или специфическая подготовка перед ее проведением не требуется. Нет необходимости в приеме специальных препаратов или соблюдении диеты, а само мероприятие может проводиться абсолютно в любое время суток. Но все же есть определенная инструкция, которую необходимо соблюдать при выполнении магнитно-резонансной томографии.
Таблица. Подготовка к МРТ пояснично-крестцового отдела.





Обратите внимание! При клаустрофобии пациентам часто назначают успокоительное, поэтому нужно заранее позаботиться о том, чтобы кто-то забрал вас из больницы. Даже если вы на протяжении всей процедуры будете находиться в сознании, присутствие родственника или друга лишним не будет.

Как проходит процедура
Для начала пациенту выдают специальную одежду (больничную), в которую необходимо переодеться. Затем он ложится на стол, который в процессе диагностического исследования помещается в цилиндрическую трубу - томограф. При обследовании внутри томографа достаточно шумно, поскольку он создает громкие постукивания. Поэтому некоторые клиники предлагают своим пациентам использовать беруши. Чтобы избежать паники, между врачом и пациентом на протяжении всего сеанса будет двухсторонняя звуковая связь.

Чтобы спина пациента находилась в неподвижном состоянии, врачи могут использовать специальные ремни для фиксации положения тела. В зависимости от исследуемого отдела позвоночника длительность процедуры может меняться. Как правило, без использования контраста длительность МРТ составляет 30-40 минут, а с использованием контраста - 60-90 минут. Как только процедура завершится, вы сможете снять бахилы и переодеться в свою обычную одежду.
Расшифровка

На заметку! Только квалифицированный специалист сможет правильно расшифровать результаты проведенного МРТ, поэтому самостоятельно изучать снимки с целью самолечения не рекомендуется. Всю необходимую информацию о диагнозе и курсе терапии вам предоставит лечащий врач.

Примерная стоимость диагностики
Несмотря на ошибочное мнение многих, данный вид диагностирования не является самым дорогим. Стоимость исследования может зависеть от различных факторов. Например, цена на МРТ зависит от региона, в котором вы живете, ведь в больших городах и столицах все медицинские услуги стоят на порядок выше, чем в небольших городах. Это правило относится и к проведению магнитно-резонансной томографии. Также стоимость услуги может варьироваться в зависимости от разновидности томографа, квалификации специалиста или уровня самой клиники, где данная процедура будет проходить.

Среднестатистическая стоимость МРТ поясничного отдела составляет 3000-5000 рублей. Соответственно, без использования контраста цена снижается (3000-4000), а с использованием, наоборот, повышается (4500-5000).
Обследование позвоночника
Позвоночник - это основная часть осевого скелета человека, который, помимо позвоночной трубки, состоит также из костей черепа, грудины и 12 пар ребер. Позвоночник является главным элементом опорно-двигательного аппарата и выполняет важнейшие функции: защищает спинной мозг от воздействия внешних факторов и повышенной нагрузки, обеспечивает возможность движений головой и шеей, помогает сохранять равновесие во время ходьбы (за счет вентральных и дорсальных изгибов) и правильно распределять вес тела человека. От того, в каком состоянии находится позвоночник, зависит не только способность человека передвигаться, но и здоровье пищеварительной, нервной и дыхательной системы, а также кровоснабжение головного мозга и органов малого таза.
Обследование позвоночника в большинстве случаев проводится при наличии патологических симптомов (преимущественно - болей и парестезий), но комплексная диагностика может быть показана и с профилактической целью для выявления факторов риска развития вертеброгенных патологий. Выбор подходящего диагностического метода осуществляет лечащий врач, так как все виды обследования имеют свои цели, особенности и степень информативности.

Значимость и распространенность проблемы
Частота выявления патологий опорно-двигательного аппарата у взрослых и детей почти во всех развитых странах стремительно увеличивается с каждым годом. Такие данные приводят не только местные органы здравоохранения, но и ВОЗ, эксперты которой считают, что у каждого третьего жителя крупных городов имеются проблемы со спиной. Основной причиной массового распространения остеохондроза, сколиоза и других заболеваний позвоночника, которые выявляются даже в детском возрасте, специалисты называют прогрессирующее снижение двигательной нагрузки. Примечательно, что на фоне стойких гиподинамических расстройств (патологий, развивающихся на фоне малоподвижного образа жизни) в ряде случаев провоцировать болезни позвоночника могут повышенные физические нагрузки, не соответствующие степени тренированности и возрасту человека.

Специалисты в области вертебрологии и смежных наук всерьез обеспокоены имеющейся тенденцией, так как различные нарушения в структуре и функционировании позвоночника и его элементов (межпозвонковых дисков) влияют на общее самочувствие человека и работу важнейших органов, включая бронхо-легочную систему и сердечную мышцу. Через шейный и грудной отдел позвоночника проходят важнейшие артерии (базилярная и сонная), по которым обогащенная кислородом и питательными веществами кровь поступает во все отделы головного мозга. Различные патологии данных сегментов позвоночной трубки (межпозвоночные грыжи и протрузии, костные наросты, смещение позвонков и т.д.) могут вызывать сдавливание этих артерий, провоцируя развитие кислородной недостаточности и связанных с этим осложнений.
Важно! Человек, имеющий проблемы с позвоночником, может жаловаться на мигрень, головную боль, перепады давления, боли в сердце, онемение конечностей, шум в ушах. Не всегда первичная диагностика позволяет поставить правильный диагноз и определить причину подобных состояний, поэтому нейрохирурги предлагают внести обследование позвоночника в комплекс обязательных диагностических мероприятий при хронических или плохо контролируемых головных болях, артериальной нестабильности, нарушении чувствительности в верхних и нижних конечностях.

Показания для проведения диагностики
Основной жалобой, при которой пациенту может быть назначено обследование позвоночника, является боль в различных отделах спины. Диагностика при спинальном болевом синдроме любой интенсивности направлена не только на выявление заболеваний и дефектов позвоночной трубки, но и исключение патологий с похожей симптоматикой. Например, боль в области грудной клетки на фоне межреберной невралгии (частого осложнения остеохондроза) необходимо дифференцировать с рестриктивной и аритмогенной кардиомиопатией, стенокардией и другими патологиями сердца. Болезненные ощущения в нижней части спины могут быть проявлениями целого ряда заболеваний, в том числе, не ассоциированных с вертеброгенными нарушениями: болезнями мочеполовой системы, спаечными процессами в области малого таза, некоторыми системными инфекциями (внелегочные формы туберкулеза, сифилис и т.д.).
Помимо спинальных болей, показаниями для назначения комплексного обследования позвоночника (не исключая другие методы диагностики) являются симптомы, перечисленные в таблице ниже.
Показания для диагностики позвоночника
| Какой отдел позвоночника необходимо обследовать? | Изображение | Показания (клинические симптомы) для проведения диагностики |
|---|---|---|
| Шейный отдел | Хронические головные боли, особенно если они сопровождаются головокружением, закладыванием ушных раковин (шум в ушах), перепадами кровяного давления. Скованность в шее и плечевом поясе (верхней части спины), повышение тонического напряжения шейных мышц, ухудшение зрения. |
Снижение работоспособности, расстройство сна, постоянная слабость также являются основанием для обследования шейного отдела позвоночника, так как являются типичными признаками нарушения кровотока в важнейших артериях, обеспечивающих кровоснабжение головного мозга (сонной и базилярной)
Обратите внимание! У мужчин показанием к обследованию нижних отделов позвоночника могут быть эректильные дисфункции, снижение либидо, хронические нарушения в работе органов мочеполовой системы (семенных пузырьков, простатических желез и т.д.). Эти органы иннервируются (управляются) нижними отделами спинного мозга, расположенными в центральном позвоночном канале, поэтому диагностика позвоночника необходима при подозрении на нейрогенную природу имеющихся нарушений.
Виды и методы вертебральной диагностики
На сегодняшний день существует несколько методов диагностики заболеваний позвоночника, но решать, какое именно обследование назначить пациенту, должен лечащий врач. Каждый из используемых методов имеет свои недостатки и преимущества, но и при назначении диагностических мероприятий специалист, в первую очередь, учитывает возможные противопоказания и степень информативности выбранного способа.

Ядерное магнитно-резонансное сканирование (МРТ)
Это метод медицинской визуализации анатомических структур и тканей человека с целью исследования с применением эффекта ядерно-магнитного резонанса (по этой причине до 80-х годов двадцатого века метод имел другое название - ЯМР-терапия). Несмотря на то, что впервые метод магнитно-резонансного сканирования был предложен всего несколько десятилетий назад (в 1973 году), на сегодняшний день именно МРТ считается наиболее достоверным и информативным методом диагностики заболеваний позвоночника. Его несомненным преимуществом является возможность исследования мягких тканей человека, которая недоступна при применении других способов, поэтому магнитно-резонансная томография является основой диагностики при подозрении на остеохондроз и его осложнения (грыжи, протрузии).

Помимо классического ядерного магнитно-резонансного сканирования, существует и другие разновидности МР, например:
- Диффузия. Метод магнитно-резонансной диффузии применяется преимущественно для определения скорости кровотока при подозрении на острое нарушение мозгового кровообращения ишемического типа. В диагностике позвоночника метод МР-диффузии используется для выявления злокачественных новообразований в самом позвоночнике и в паравертебральных (околопозвоночных) тканях.


Максимально достоверной разновидностью ядерного магнитно-резонансного сканирования при выявлении патологий позвоночника является МРТ с осевой (вертикальной) нагрузкой. Это современный метод обследования крестцового и поясничного отдела позвоночника, наиболее эффективный для выявления межпозвонковых грыж и нестабильности позвонков. Исследование проводится в два этапа: сначала позвоночник исследуется в спокойном состоянии без нагрузки (в лежачем положении), после чего стол вместе с томографом поднимается в вертикальное положение. Вся процедура может занять от 20 до 45 минут.

Подготовка
Какая-либо специальная подготовка, а также премедикация, перед процедурой МРТ обычно не требуется, но само исследование требует соблюдения определенных правил. Перед началом сеанса сканирования необходимо снять все металлические украшения (в том числе, удалить пирсинг с языка, половых органов, пупочного кольца и т.д.), ремни, браслеты, часы. Если пациент использует трансдермальные системы для лечения (пластыри), их также необходимо удалить за 20-30 минут до процедуры. При наличии татуировок, выполненных при помощи синтетических красящих пигментов, необходимо поставить в известность лечащего врача, так как это может быть противопоказанием для обследования (исключение - татуировки, выполненные хной).

Перед процедурой во время беседы с лечащим врачом необходимо узнать, сколько будет длиться процедура, где находится сигнальная кнопка (на случай возникновения пароксизмальных приступов эпизодической тревожности, связанных с нахождением в замкнутом пространстве), и какую значимость имеет данный вид обследования конкретно для его заболевания.
Средняя продолжительность МРТ-диагностики составляет около 25 минут.

Кому МР-сканирование противопоказано?
Противопоказаниями (некоторые из них могут быть относительными) для проведения МРТ позвоночника относятся:
- наличие любых встроенных и съемных конструкций и имплантов (брекеты, зубные протезы, кардиостимуляторы, компрессионно-дистракционные аппараты, инсулиновые помпы, кровоостанавливающие клипсы, импланты внутреннего уха и т.д.);
- клаустрофобия;
- нахождение пациента в состоянии наркотического или алкогольного опьянения;
- анемия гемолитического типа.

Обратите внимание! Несмотря на наличие малочисленных данных о возможном тератогенном влиянии МР-излучения на плод, данный метод исследования считается более безопасным по сравнению с другими диагностическими манипуляциями. При необходимости использования контраста МР-диагностика запрещена на любом сроке беременности.
Спиральная компьютерная томография
Спиральная или мультиспиральная (многослойная) компьютерная томография - это метод послойного сканирования позвоночника и других анатомических структур организма с использованием лучевой нагрузки. Во время КТ и МСКТ организм подвергается повышенным дозам облучения, поэтому применять его необходимо только в случае острой необходимости при наличии экстренных показаний, например, для быстрого диагностирования травм, переломов или смещений.

Некоторые думают, что компьютерная томография не выявляет патологии мягких тканей, но это не так. На снимках, хорошо визуализируются опухоли (включая новообразования небольших размеров), кровеносные сосуды, но, в отличие от магнитно-резонансного обследования, мультиспиральный сканер не охватывает органы, скрытые за крупными костями скелета. К таким органам и структурам относятся спинной и головной мозг, межпозвонковые диски, суставы малого таза.
Метод в связи с высокой степенью лучевого облучения имеет больше противопоказаний по сравнению с МРТ и рентгенологическим исследованием. К ним относятся:
- высокая масса тела (в зависимости от размеров прибора максимально допустимый вес человека может составлять от 130 до 150 кг);
- патологии щитовидной железы и почечной системы (болезни почек могут вызывать задержку контрастного вещества в организме и усиливать токсическую нагрузку на внутренние органы и ткани);
- тяжелые формы сахарного диабета;
- генерализованная плазмоцитома.

КТ-исследование противопоказано на любом сроке беременности. Специальной подготовки данный диагностический метод не требует.
Рентгенологическое исследование
Это самый распространенный метод диагностики позвоночника, который широко применяется в муниципальных медицинских учреждениях и почти всегда является основным методом на этапе первичного обследования. Рентгенография позволяет выявить повреждения и травмы позвоночника, смещение позвонков, наличие костных наростов (остеофитов), признаки воспалительных и опухолевых процессов. Если врач предполагает повреждение нескольких сегментов позвоночника, снимки каждого из них выполняются отдельно в нескольких проекциях: прямой, боковой и двух косых. В ряде случаев применяется также функциональная рентгенография, когда снимки выполняются в различных положениях тела (наклоны, повороты, сгибание и т.д.).

Информативность рентгенологической диагностики при заболеваниях позвоночника достаточно высокая, но для уточнения диагноза и выявления сопутствующих заболеваний и патологий нередко применяются дополнительные методы визуализации поврежденных тканей: МРТ или МСКТ (КТ).
Допплерография кровеносных сосудов позвоночника является вспомогательным методом и применяется для оценки проходимости сонной и позвоночной артерий и измерения скорости кровотока. Данное исследование может применяться как с целью выявления конкретных заболеваний и патологий, так и для профилактики дегенеративно-дистрофических изменений в тканях позвоночника, так как питание межпозвонковых дисков осуществляется методом диффузии через сосуды центрального позвоночного канала.

Процедура проводится при помощи ультразвукового датчика и напоминает обычное УЗ-исследование.
Электромиография
Электромиография паравертебральных мышц также используется в комплексной оценке патологий позвоночника и применяется для диагностики патологий нервно-мышечного аппарата. Метод также позволяет определить распространенность и характер патологических процессов и обнаружить болезни периферической нервной системы на раннем этапе, когда консервативная коррекция наиболее эффективна.
Для проведения исследования могут применяться накожные или внутримышечные игольчатые электроды. Для пациентов с повышенной чувствительностью и низким болевым порогом процедура может быть достаточно болезненной, так как ощущения от воздействия электродов напоминают удар током.

Какой метод лучше?
Ответить на данный вопрос корректно невозможно, так как все диагностические методы имеют свои недостатки и преимущества. Окончательный выбор всегда остается за лечащим врачом, а решение принимается исходя из предполагаемого диагноза, результатов физикального и визуального осмотра (включая диагностику триггерных точек), медицинского анамнеза больного и имеющихся противопоказаний. КТ и рентгенография считаются эффективными методами выявления патологий твердых тканей (например, костей), но при подозрении на дефекты мягких тканей (грыжи, протрузии) МРТ является более достоверным и информативным способом.
Беременным женщинам до окончания беременности рекомендуется только рентгенологическое исследование (при наличии значимых показаний).
Видео - Подготовка к МРТ позвоночника
Обследование позвоночника - важная задача, которая может выполняться с лечебно-диагностической или профилактической целью. Обращаться за медицинской помощью необходимо не только при появлении болей в спине, но и при обнаружении любых возможных признаков, так как многие заболевания позвоночника начинаются со слабо выраженных симптомов. Предпочтительным, но достаточно дорогостоящим методом обследования данной части осевого скелета на сегодняшний день является МРТ, но при отсутствии возможности пройти магнитно-резонансное сканирование, можно воспользоваться другими способами диагностики, предварительно убедившись в отсутствии противопоказаний.
КТ поясничного отдела позвоночника, что показывает, подготовка, КТ или МРТ

КТ пояснично-крестцового отдела позвоночника - неинвазивный информативный метод постановки диагноза, который помогает дифференцировать патологические изменения рассматриваемой области. Позвоночный столб выполняет опорную, защитную и другие важные функции, заболевания или травмы любого его отдела влияют на состояние организма в целом. Отсутствие лечения приводит к необратимым изменениям в тканях позвоночника, что сопровождается стойким болевым синдромом и влияет на работу органов малого таза, иннервацию, кровоснабжение нижних конечностей.

Метод КТ пояснично-крестцового отдела позвоночника основан на работе рентгеновских лучей, однако, используя томограф, врач получает серию послойных снимков и объемное изображение, на которых четко видны нарушения конфигурации и структуры сканируемого органа. Такой метод называется - мультиспиральная компьютерная томография пояснично-крестцового отдела (МСКТ).
КТ поясничного отдела позвоночника что покажет
Фотографии, получаемые в результате процедуры, и 3D-модель дают четкое представление о состоянии поясничных и крестцовых позвонков, помогают оценить строение костной и хрящевой ткани, ширину позвоночного канала, структуру нервных волокон корешков спинного мозга. КТ пояснично-крестцового отдела показывает толщину межпозвонковых дисков, их сохранность, функциональность.
Благодаря послойному сканированию на фото хорошо видны малейшие нарушения формы позвонка, его целостности, наличие патологических пустот в костной ткани и новообразований различного характера. Чем плотнее структура ткани, тем ярче она будет выглядеть на снимке. Поэтому самыми светлыми являются очертания костей и хрящей, рыхлые элементы и участки деструкции выглядят темными пятнами.
КТ показывает состояние связочного аппарата позвоночного столба и окружающих элементов. Для уточнения результата при диагностировании повреждения рыхлых тканей используют контрастную компьютерную томографию. Рентген-контрастное вещество, благодаря ионам йода, поглощает лучи и на снимке проявляется четкая кровеносная сеть. Данный рисунок помогает оценить состояние мягких структур, которые слабо видны в результате нативной компьютерной томографии поясничного отдела.
С помощью КТ диагностируют заболевания:
остеохондроз, остеопороз позвоночного столба;
разрушение хрящевой ткани межпозвоночных дисков;
врожденные аномалии строения позвоночника;
стеноз позвоночного канала;
новообразования и метастазы;
переломы и смещения позвонков;
спинальные эпидуральные гематомы.
Компьютерная томография помогает оценить результат хирургических методов лечения заболеваний позвоночника и контролировать процессы восстановления тканей после вмешательства.
Расшифровку снимков проводит рентгенолог. Он описывает изображения, выносит решение о состоянии исследуемой области.
КТ или МРТ поясничного отдела позвоночника
МСКТ основана на действии рентгеновских лучей, они поглощаются тканями организма. Интенсивность этого процесса зависит от плотности структуры изучаемого участка. Магнитно-резонансное исследование проводят на основе работы магнитного поля, которое влияет на расположение диполей воды в тканях.
При любом виде томографии получается множество послойных снимков в трех взаимно перпендикулярных проекциях. Методика помогает получить фото тонких срезов исследуемых тканей, что дает представление о любых изменениях формы и структуры изучаемого объекта.
Если требуется проверить состояние твердых элементов позвоночного столба, целесообразнее использовать КТ поясничного отдела. В результате изучения МСКТ покажет воспалительные процессы, трещины, переломы, смещения, новообразования плотных тканей. МРТ передаст состояние связок, мышц и других мягких элементов исследуемой области.
КТ и МРТ пояснично-крестцового отдела позвоночника, проводимые с применением контрастного вещества поможет оценить качество кровоснабжения тканей в этой области, выявить наличие опухолей и морфологических изменений.
Магнитно-резонансная томография безопасна для пациента. Но цены на МРТ гораздо выше, чем стоимость компьютерной томографии, поэтому выбор диагностического метода в каждом случае индивидуален, зависит от наличия противопоказаний и показаний к проведению исследования.
Показания к КТ исследованию поясницы
Метод КТ пояснично-крестцового отдела позвоночного столба в СПб применяется с целью дифференциальной диагностики травматических, воспалительных, деструктивных поражений рассматриваемой области. Информативность и доступность исследования дают возможность врачам широко использовать компьютерную томографию для уточнения следующих диагнозов:
МРТ поясничного отдела позвоночника что показывает

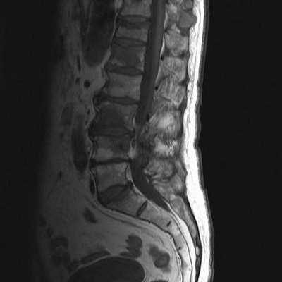
Снимок МРТ поясничного отдела позвоночника в сагиттальной проекции при остеохондрозе
МРТ поясничной области - современный метод диагностики патологических процессов, ограничивающих функциональность нижних отделов позвоночника. Магнитно-резонансная томография проходит без хирургических манипуляций, процедура безболезненна и безопасна для пациента. Метод визуализирует расположение костных элементов, хрящей, состояние мягких тканей, невральных структур и кровеносных сосудов.
В основе исследования лежит использование магнитного поля, которое влияет на размещение диполей воды в клетках организма. Молекулы Н2О меняют свое положение, интенсивность сигнала напрямую зависит от насыщенности тканей жидкостью. Специальные датчики считывают информацию, сложная компьютерная программа обрабатывает данные, преобразуя их в серию послойных изображений изучаемой зоны.
Наиболее информативно МРТ в отношении рыхлых структур: нервных и мышечных волокон, клетчатки, связочного аппарата и сосудистой системы поясничного отдела позвоночника. В результате сканирования врач получает фотографии исследуемой области, сделанные в трех проекциях на заданной глубине. Толщина шага при МРТ составляет от 1 мм.
МРТ при болях в пояснице
Боли в поясничном отделе позвоночника ограничивают двигательную активность, снижают работоспособность, ухудшают качество жизни. При радикулите пациенты жалуются на резь, ломоту, жжение в области спины с иррадиацией в пах, колено, голень, пятку. Боли могут носить хронический и острый характер. Дискомфорт усиливаться при нагрузке, сгибании и разгибании позвоночника, поворотах туловища, в положении сидя.
Травматические поражения нижних отделов спины, грыжи, смещение позвонков, резкое перенапряжение поясницы сопровождаются острым болевым синдромом (люмбаго), который пациенты характеризуют как прострел. Чаще возникает на фоне повышенной нагрузки, приступ сопровождается спазмом мускулатуры, ограничением подвижности.

Стеноз позвоночного канала поясничного отдела на снимке МРТ
Для эффективного лечения болевого синдрома в области нижних отделов спины необходимо установить природу данного явления и уточнить локализацию патологического очага. Чаще в подобной ситуации лечащий врач рекомендует сделать МРТ пояснично-крестцового отдела, что показывает состояние морфологических элементов позвоночника и окружающих структур.
На снимках, полученных в результате магнитно-резонансной томографии, видны травматические повреждения спинного мозга при нарушении целостности тел позвонков, хрящей. Определяются разрывы и растяжения мышечной ткани, связочного аппарата. При компрессионных травмах МРТ визуализирует состояние церебральных структур, выявляет участки сдавливания нервных корешков.
Сканирование покажет локализацию и размеры новообразования, его взаимодействие с окружающими тканями. При наличии воспалительных и деструктивно-дистрофических процессов, которые послужили причиной болевого синдрома, МРТ помогает определить степень поражения тканей и точное расположение очага.
Томограммы отражают особенности кровоснабжения поясничной области, визуализирует сосудистые патологии и последствия нарушения функциональности вен и артерий спины.

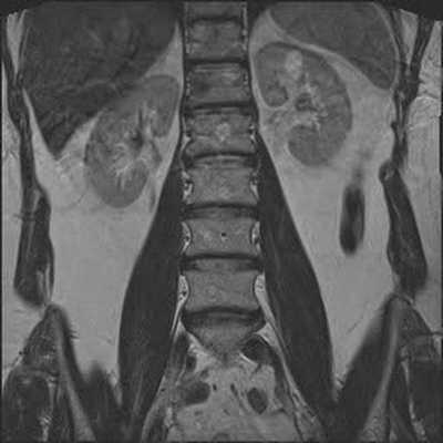
Гемангиомы на снимке МРТ поясничного отдела позвоночника в коронарной проекции
Показания и противопоказания для МРТ пояснично-крестцового отдела позвоночника
МРТ пояснично-крестцового отдела назначают в тех случаях, когда другие виды исследования не дают четкой картины. Дифференциальная диагностика некоторых заболеваний позвоночника требует детальной визуализации его морфологических элементов и мягкотканных структур. Контрастная МРТ поясничного отдела делается как для уточнения состояния кровеносной системы, так и с целью определения размера и локализации новообразований и воспалительных процессов.

Опухолевое образование (обведено красной линией) на снимке МРТ поясничного отдела в аксиальной проекции
Показаниями к проведению магнитно-резонансной томографии служат следующие заболевания:
- протрузии межпозвонковых дисков и другие проявления остеохондроза позвоночного столба;
- травмы нижних отделов спины;
- грыжи Шморля;
- остеомиелит;
- спондилодисцит;
- рассеянный склероз;
- спондилоартроз;
- пояснично-крестцовый радикулит;
- стеноз спинномозгового канала;
- сосудистые патологии;
- спондилез;
- патологии развития поясничного отдела и пр.

Стеноз позвоночного канала поясничного отдела на снимке МРТ (Т1 взвешенное изображение)
Признаками развития заболевания служат характерные симптомы, которые являются поводом для исследования позвоночника:
- люмбаго (прострел в спине);
- длительные боли в пояснице с иннервацией в ногу;
- ограничение подвижности нижних отделов спины;
- усиление боли в положении сидя и при нагрузках;
- нарушение иннервации нижних конечностей, парестезии;
- скованность движений по утрам;
- нарушения дефекации, мочеиспускания, эректильная дисфункция;
- ограничение подвижности нижних конечностей.
Окончательный диагноз врач ставит после того, как проходит процедура МРТ позвоночника, которая позволяет уточнить характер патологического процесса.

Грыжа межпозвонкового диска и абсолютный стеноз спинномозгового канала на снимке МРТ поясничного отдела, Т2 взвешенное изображение
Магнитно-резонансную томографию используют во время подготовки к хирургическому вмешательству и в послеоперационном периоде. Сканирование помогает определить локализацию и размеры очага и контролировать процессы восстановления.
Индукционное поле, применяемое при МРТ, не оказывает негативного воздействия на здоровье человека. Ограничения к использованию магнитно-резонансной томографии связаны с физическими свойствами данного явления и с применением контрастного усиления для повышения информативности исследования.
Абсолютным противопоказаниям к назначению нативного МРТ поясничного отдела является:
- наличие у пациента татуировок, выполненных ферромагнитными красками;
- присутствие в теле больного металлических штифтов, протезов, спиц и пр.;
- наличие вживленных кардиостимуляторов и других электромагнитных устройств.
Беременным женщинам МРТ позвоночника проводят после 13 недели. В первом триместре наблюдается интенсивное развитие эмбриона, происходит формирование органов и систем, поэтому будущим мамам рекомендуют избегать внешнего воздействия на организм.
Противопоказанием к применению в процессе МРТ поясницы контрастного усиления является:
- беременность вне зависимости от срока;
- декомпенсированные заболевания печени и почек, сопровождающиеся грубой недостаточностью данных органов;
- аллергия на дополнительные компоненты контрастного раствора;
- детский возраст до 12 лет (при сканировании вне стационара).
Относительным ограничением к назначению МРТ служит клаустрофобия: пациент может испытывать дискомфорт от продолжительного пребывания в замкнутом пространстве трубы томографа.

Антелистез поясничных позвонков, стеноз спинномозгового канала на снимке МРТ
Не проводят МРТ спины больным с массой тела свыше 120 кг и объемами более 150 см.
Как делают МРТ поясничного отдела?
Для прохождения МРТ позвоночника пациенту необходимо подготовиться: предупредить врача об имеющихся заболеваниях и противопоказаниях к исследованию, перед сканированием снять украшения, металлические аксессуары, пирсинг.
Больной занимает горизонтальное положение лицом вверх на передвижном столе томографа. Его тело фиксируют удерживающими устройствами, для защиты от шума работающего аппарата используют наушники. Стол закатывают в широкую кольцевую часть устройства, которая представляет собой трубу, где закреплены генератор магнитного поля и датчики, считывающие отклик изучаемых тканей.
По мере того, как делают МРТ позвоночника, томограф обеспечивает сканирование заданной области в аксиальной, сагиттальной и коронарной проекциях. На основании полученных фото врач, при необходимости, реконструирует 3D-модель пояснично-крестцового отдела.

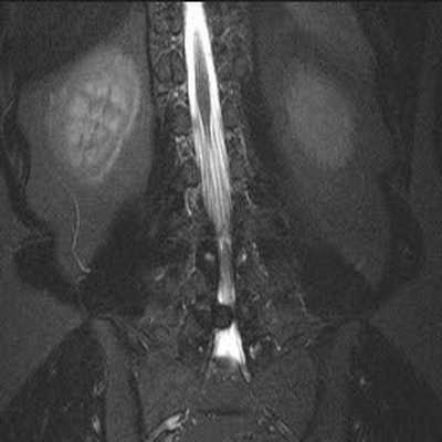
Сколиоз на снимке МРТ поясничного отдела в коронарной проекции (режим STIR)
Для повышения информативности томографию позвоночника делают с контрастным усилением. После нескольких нативных снимков сканирование останавливают, пациенту внутривенно, с помощью шприца или катетера, вводят раствор гадолиния. Препарат заполняет сосудистое русло в зоне интереса, затем проникает в ткани и обеспечивает визуализацию патологических изменений исследуемых структур. Сканирование продолжают, фиксируя на снимках особенности диффузии хелатов (растворимых солей) гадолиния.
Во время МРТ врач-рентгенолог и техники находятся за перегородкой, для связи с пациентом используют переговорное устройство. В руке обследуемый держит специальную кнопку, нажатие которой служит сигналом для медицинского персонала. При негативных ощущениях сканирование можно остановить.

Гемангиомы на снимке МРТ поясничного отдела позвоночника (STIR)
Сколько длится МРТ поясничного отдела?
Пациенту следует приходить на МРТ поясничного отдела за 10-15 минут до назначенного срока, это время потребуется на подготовку и выполнение рекомендаций врача. Сканирование занимает 20-30 минут, при контрастном усилении продолжительность процедуры увеличивается до 35-45 минут. Пациенту следует перед исследованием переодеться в удобный комплект, занять комфортное положение на столе томографа. В течение всего сканирования больному необходимо сохранять неподвижность.
Подготовка результатов занимает до 60 минут, при необходимости получения второго мнения время ожидания увеличивается до 2 часов. На руки больному выдают CD-диск с фотографиями и заключение врача.
Расшифровка МРТ пояснично-крестцового отдела
МРТ пояснично-крестцового отдела проводят как при первичном обращении пациента, так и для уточнения уже имеющегося диагноза. Врач описывает состояние морфологических элементов позвоночника и мягкотканных структур, оценивая их функциональность и соответствие нормальным показателям.

Снимок МРТ пояснично-крестцового отдела позвоночника в сагиттальной проекции (режим STIR)
Что входит в зону исследования при МРТ поясницы
Послойные фотографии позволяют детально изучить особенности строения пояснично-крестцового отдела позвоночника. Трехмерное изображение визуализирует взаимное расположение анатомических структур данной области. Анализируя полученные снимки, врач отмечает в протоколе исследования следующие параметры:
- размеры, форму позвонков;
- просвет и диаметр спинномозгового канала, локализацию стенозов и ликворных блоков;
- высоту и плотность межпозвонковых дисков, грыжевые выпячивания, их локализацию, направление, размеры;
- состояние связок поясничного отдела, наличие разрывов и других повреждений;
- выраженность сигнала от костного мозга;
- патологические изгибы нижнего отдела позвоночника;
- выраженность физиологического поясничного лордоза;
- состояние спинного мозга, оболочек и нервных корешков;
- функциональность сосудистой системы;
- расположение, размеры, характер новообразований;
- состояние фасеточных суставов L1-L5 позвонков;
- признаки врожденных и приобретенных патологий;
- состояние мягких тканей нижнего отдела спины.
При выявлении патологических изменений специалист указывает точную локализацию и размеры очага, характер наблюдаемого процесса, возможное негативное влияние на окружающие ткани.

Грыжа L4-L5 межпозвонкового диска на снимке МРТ в коронарной проекции
В случае переломов тел позвонков поясничного и крестцового отдела МРТ показывает степень повреждения спинного мозга и невральных структур.
Грыжа на МРТ снимке поясничного отдела
Протрузии и, как следствие, грыжи межпозвонковых дисков - это дегенеративно-дистрофические процессы, для которых характерно смещение хрящевого элемента, уменьшение просвета суставной щели, возможное повреждение фиброзного кольца, защемление нервных корешков. Заболевание сопровождается стойким болевым синдромом, ограничением подвижности нижних отделов спины и конечностей.
В диагностике грыж межпозвонковых дисков магнитно-резонансная томография является приоритетным методом диагностики. Данный вид инструментального обследования позволяет увидеть выпячивание хрящевого элемента, направление и размер деформации, уменьшение просвета корешковых каналов. МРТ поясничного и крестцового отделов позвоночника показывает снижение гидратации диска, что является характерным начальным признаком названного заболевания.
При выявлении грыжи диска врач указывает в протоколе исследования точную локализацию процесса, ориентируясь по названиям расположенных рядом позвонков. Обязательным является определение размеров и направления выпячивания, данная информация помогает выбрать результативный метод лечения заболевания.

Снижение высоты диска, секвестрированная грыжа в области тел L4-L5 и абсолютный стеноз спинномозгового канала на МРТ снимке поясничного отдела позвоночника в сагиттальной проекции
Что можно есть после МРТ поясничного отдела позвоночника?
МРТ не влияет на работу желудочно-кишечного тракта, после процедуры нет ограничений в отношении рациона больного.
Исключение составляет магнитно-резонансная томография с контрастным усилением. Раствор гадолиния выводится из организма с мочой и калом, процесс занимает 1-2 дня. В течение обозначенного времени возрастает нагрузка на печень и почки. Данный факт обуславливает, что можно есть после МРТ позвоночника.
Из рациона желательно исключить жареную, жирную пищу, алкогольные напитки, кондитерские изделия. Пациентам показаны легкие, быстро усваиваемые блюда, гарниры из круп, кисломолочные продукты, обильное питье (чистая вода без газа).
МРТ или КТ поясничного отдела?
Выбор метода исследования поясничного отдела зависит от характера заболевания и наличия у пациента противопоказаний.
МРТ назначают в тех случаях, когда необходимо визуализировать мягкие ткани поясницы и невральные структуры. Снимки, полученные в результате магнитно-резонансной томографии, показывают состояние мышц, связок, клетчатки, спинного мозга и нервных корешков. Метод помогает диагностировать воспалительные и дегенеративные процессы, новообразования, патологии церебральных структур.

Гемангиомы на снимке МРТ пояснично-крестцового отдела, Т2 взвешенное изображение
Компьютерная томография основана на применении рентгеновских лучей. Данный способ исследования информативен в отношении состояния костной и хрящевой ткани. КТ применяют в диагностике травматических поражений тел позвонков и остистых отростков, патологий хрящевого диска. Контрастная КТ помогает выявлять сосудистые патологии, новообразования и воспалительные процессы.
Читайте также:
- Внутренняя картина болезни. Определения сознания и самосознания
- Старческие изменения иммунитета. Иммунная система пожилых
- Случай тубоотита после острого двустороннего верхнечелюстного риносинусита
- Головокружение при сердечных аритмиях: клиника, диагностика, лечение
- Промывание, продувание слуховой трубы. Техника
