Изменения пародонта при перемещении зубов. Ортодонтические влияния на пародонт
Добавил пользователь Владимир З. Обновлено: 21.01.2026
6.3.1. Биоморфологические изменения в тканях пародонта при горизонтальных перемещениях зубов.
Механизм горизонтального перемещения зубов заключается в том, что под влиянием силы давления или тяги на стороне давления происходит резорбция внутренней стенки альвеолы, а на стороне тяги - новообразование кости.
Эти основные тканевые преобразования зависят от ряда обстоятельств - с одной стороны, от величины и характера действующей силы, с другой, от общей реактивности организма больного и восстановительной способности пародонта.
Результаты ортодонтического лечения зависят от правильного применения ортодонтических приемов, вызывающих целенаправленные тканевые преобразования. Характер и темпы тканевых преобразований зависят от степени и характера сдавливания периодонта.
Процессы тканевых преобразований, как новообразование костной ткани, так и резорбция, являются активными биологическими процессами и могут протекать только в жизнеспособных условиях и, в первую очередь, при соответствующем кровоснабжении под нервной регуляцией.
Существует два основных типа горизонтального перемещения зубов. Это корпусное перемещение и наклонно-поступательное (наклонно-вращательное).
Корпусным перемещением называют такое горизонтальное перемещение зубов, при котором любая точка на поверхности коронки зуба перемещается на одно и то же расстояние, в одном и том же направлении, что и точка на поверхности корня, то есть при перемещении зуба не происходит изменения положения его продольной оси по отношению к основанию челюсти (рис. 60).
ДПри этом силу действия ортодонтического аппарата необходимо прикладывать как можно ближе к оси вращения зуба.
Наклонно-поступательным называют такое горизонтальное перемещение зубов, при котором коронка зуба перемещается в направлении силы действия ортодонтического аппарата, а корень - в противоположном (рис. 61). Если условно продлить перемещение зуба, то определяется его поворот вокруг центра вращения рычага (зуба), расположенного в средней трети корня. Для осуществления такого типа горизонтального перемещения зубов необходимо развить силу равную 15 - 20 г/см 2 .
Зуб перемещается наклонно-вращательным образом, вследствие чего он, наклоняясь, в первую очередь соприкасается со стенкой альвеолы в области шейки зуба и на противоположной стороне в области верхушки корня. Если приближаться к середине корня от мест соприкосновения со стенкой альвеолы, то степень сдавливания периодонта постепенно уменьшается.
В участке 0 периодонтальная щель сохраняет нормальную ширину, поскольку это место соответствует оси вращения и, следовательно, не перемещается. По мере резорбции альвеолярной стенки зуб перемещается, давлению и резорбции подвергаются также и другие участки альвеолярной стенки.
При горизонтальном перемещении зубов образуются четыре зоны тканевых преобразований: две зоны давления и две зоны натяжения.
Ортодонтическое лечение при заболеваниях пародонта

В настоящее время воспалительные заболевания пародонта занимают второе место по частоте и распространенности среди всех стоматологических заболеваний. По данным ВОЗ в 70 % случаев для этой категории пациентов характерны аномалии прикуса. При этом аномалии прикуса усугубляют тяжесть морфо-функциональных нарушений в пародонте, которые в свою очередь усложняют аномалии положения зубов и окклюзии в целом [2].
Целью данной статьи является анализ методик подготовки пациентов с заболеваниями пародонта к ортодонтическому лечению, стратегий ведения пациентов по время ортодонтического лечения и выбор аппаратов для ретенционного периода.
Разрабатывая стратегию ортодонтического лечения пациентов с заболеваниями пародонта, необходимо помнить об основных этапах ведения подобных пациентов.
Во время первичной консультации пациента с заболеваниями пародонта врач-ортодонт в первую очередь должен обратить внимание на этиологические предпосылки возникновения заболеваний пародонта. Статистически значимыми являются аномалии соотношения зубных рядов, аномалии положения зубов в различных плоскостях. Так, например, к нарушениям в пародонте приводят и аномалии прикуса, чаще вертикальные: глубокий прикус — 37 %, открытый прикус — 36 %, глубокое резцовое перекрытие — 33 %, чуть реже перекрестный прикус — 28 %, дистальный прикус — 24 %, мезиальный прикус — 11 % [1,2]. Смещение зубов — один из ранних и достоверных признаков патологии пародонта. Наиболее характерно смещение зубов в вестибулярном направлении с появлением трем и диастем. «Веерообразное» расхождение зубов так же является одним из признаков заболевания тканей пародонта, что сопровождается травматической окклюзией и еще больше способствует развитию воспалительных и дистрофических процессов в пародонте [2].
Оно состоит из анализа компьютерной томограммы и телерентгенограммы черепа в боковой проекции. Анализ компьютерной томограммы включает в себя определение уровня и характера резорбции костной ткани, наличия или отсутствие кортикальной пластинки, наличия изменений в периапикальных тканях.
Во время клинического обследования пациентов с заболеваниями пародонта мы определяем глубину зубодесневых карманов, величину обнажения корней зубов, индекс кровоточивости десны, индексы гигиены, пародонтальные индексы, степень подвижности зубов, состояние прикрепленной десны, глубину преддверия полости рта, состояние тяжей, уздечек губ и языка. Более того, обязательным является выявление соматической патологии: сахарный диабет, заболевания крови, ВИЧ-инфекция.
- Биометрическое изучение диагностических моделей челюстей.
Данный этап является необходимым для составления плана ортодонтического лечения и выбора биомеханики перемещения зубов.
Врач-пародонтолог совместно с врачом-ортодонтом определяют преортодонтическую подготовку в виде пародонтологических мероприятий с учетом будущей биомеханики перемещения зубов.
Консультация врача-пародонтолога включает обследование, выявление агрессивных форм и общесоматических заболеваний, определение показаний и противопоказаний к проведению пародонтологического этапа.
Существуют следующие показания к проведению пародонтологического лечения: наличие зубодесневых карманов более 3 мм; подвижность зубов 1-2 степени; обнажение шеек и корней зубов, наличие десневых рецессий или риска их развития; потеря высоты костной ткани альвеолярного отростка на 1/3-1/2 длины корней с признаками активной резорбции; состояние тяжей, уздечек, преддверия полости рта [3].
Противопоказания к проведению пародонтологического лечения: заболевания крови (гемофилия); активная форма туберкулеза; онкологическая патология; системный остеопороз в активной фазе; некомпенсированные формы тяжелых соматических заболеваний (сахарный диабет); заболевания сердечнососудистой системы, печени, почек; беременность [3].
- Планирование лечения на основании полученных данных.
- Предортодонтическая подготовка.
Главной задачей предоротодонтической подготовки является устранение микробно-воспалительного фактора, что приводит к жесткой необходимости проведения пародонтологических операций именно на раннем, доортодонтическом, этапе лечения.
Данный этап включает в себя проведение профессиональной гигиены полости рта, обучение индивидуальной гигиене полости рта, контроль над ее выполнением. Следующим этапом может быть проведение кюретажей, лоскутных операций и операций на мягких и костных тканях для изменения их биотипа и структуры; устранение травматического фактора со стороны мягких тканей — пластика уздечек губ, тяжей, операции по углублению преддверия [3].
Известно, что неизбежным отрицательным результатом хирургического этапа лечения являются такие проблемы, как частичная потеря мягких и костных тканей. В результате этого нарушаются контуры межзубных сосочков, появляются так называемые черные треугольники, приводящие к эстетическому дефекту, особенно в переднем отделе. Послеоперационная ретракция тканей может вызывать повышенную чувствительность зубов; в ряде случаев приходится прибегать к их депульпированию.
В то же время, при проведении пародонтальной хирургии часто применяются методы остеокоррекции и остеопластики. Это позволяет частично восстановить объем утраченных тканей, главным образом, при вертикальном типе деструкции, а также увеличить ширину альвеолярной части, то есть, повлиять на биотип, увеличивая его толщину и моделируя рельеф внешней поверхности кости альвеолярного гребня.
Использование техники НРТ позволяет усилить эффективность репарации и повысить эстетический результат, который, тем не менее, остается во много зависящим от вертикальной убыли костной ткани.
В последующем, правильно проведенное ортодонтическое лечение позволяет устранить большинство из этих проблем или провести дополнительную ортопедическую коррекцию на заключительном этапе.
Крайне важным моментом подготовки к хирургическому этапу являются выбор метода ретенции подвижных зубов в дооперационном периоде. Учитывая увеличение подвижности зубов после проведенного хирургического вмешательства, в нашей клинике мы используем ретенционную каппу, выполненную методом вакуумформинга. Перед хирургическим вмешательством снимается слепок, каппа изготавливается с учетом дополнительного объема мягких тканей с небной стороны (послеоперационный отек). С вестибулярной стороны она доходит до шеек зубов, так как вестибулярно после хирургического вмешательства увеличивается объем в области альвеолярного гребня. Рекомендуемая толщина каппы 1,5 мм.
При 2 степени подвижности и большой глубине карманов, особенно при тонком биотипе, рекомендуется сочетании каппы и ортодонтического ретейнера или ленточных шин. Именно у плоского ретейнера нет крутящего момента, что дает большую степень шинирования подвижных зубов.
При проведении ортодонтического лечения пациентов с заболеваниями пародонта ключевым моментом является выбор ортодонической техники и механики перемещения зубов.
У пациентов с заболеваниями пародонта большие ортодонтические силы приводят к перемещению зубов на фоне избыточной нагрузки. Это ведет к превалированию процессов резорбции костной ткани над процессами аппозиции, что может привести к рецессиям десны и активизации резорбтивных процессов в костной ткани.
Атравматическое ортодонтическое перемещение зубов возможно при применении малых и средних сил, которые не вызывают повреждающего эффекта в структурных элементах пародонтального комплекса. Это обеспечивается низким уровнем трения в системе брекет-дуга и достигается с помощью пассивного самолигирования.
Если при выборе ортодонтической техники предпочтение отдается лигатурной брекет-системе, важно отметить, что использование эластических лигатур является противопоказанием. При наличии эластических лигатур наблюдается более высокий показатель индекса зубного налета, кровоточивости десен, а также присутствие пародонтопатогенных микроорганизмов, что неблагоприятно сказывается на ортодонтическом лечении и течении заболеваний пародонта.
Во время ортодонтического лечения одним из основных моментов является последовательность смены дуг. Дуги CuNiTi 0.013, 0.014 устанавливаются сроком до 6-7 месяцев для контурирования и нивелирования зубов. Возможен возврат от 0.014 к 0.013 дуге несколько раз за этот период времени, так как быстрое движение зубов является негативным признаком. При условии отсутствия негативных эффектов на дуге 0.014 возможен переход на дугу 0.018. Дуги CuNiTi c сечением 0.014х0.025 устанавливаются сроком не менее 8 недель. Дуга CuNiTi 0.018х0.025 используется в ситуациях, когда нужно полное контролирование в трех плоскостях; необходимо помнить, что использование этой дуги возможно не более 6 недель, так как после 5-6 недель ее действие становится агрессивным для пародонта (происходит перерасширение зубной дуги). Не следует с полноразмерной дуги CuNiTi переходить на сталь — целесообразно перейти на дугу ТМА 0.019х0.025 или 0.017х0.025. Дуга ТМА с низким трением (Low Friction TMA) — это усовершенствованные дуги ТМА, бывают обычного цвета (Regular), желтого (Honeydew) и пурпурного (Purple). Пурпурные дуги обладают самым низким трением, как у стальных дуг; закрытие промежутков и стабилизацию при заболеваниях пародонта целесообразнее провести на дугах ТМА Low friction (так как они менее агрессивны, чем полнопазная сталь). На верхней челюсти завершающая дуга ТМА 0.019х0.025, на нижней челюсти завершающая дуга ТМА 0.017х0.025 [4].
Проведение пародонтологических вмешательств на этапе ортодонтического лечения выполняется, если лечение не было проведено заранее или развилось в процессе лечения. Схема лечебных мероприятий остается прежней, но следует обратить внимание на такой момент, как временное прекращение всех ортодонтических перемещений, которые могут усугубить процессы костной резорбции и привести к потере зубов.
Для сохранения достигнутого результата после ортодонтического лечения пациентов с заболеваниями пародонта рекомендуется пожизненная ретенция в виде сочетания несъемных ретенционных дуг на верхний и нижний зубной ряд со съемными ретенционными капами. Длина ортодонтического ретейнера подбирается индивидуально в зависимости от механики перемещения зубов, способа закрытия постэкстракционных промежутков, длины зубного ряда.
Ортодонтическое перемещение зубов с заболеваниями пародонта связано с определенными трудностями и несколько отличается от обычного ортодонтического лечения. Стратегия ведения подобных пациентов заключается в междисциплинарном и комплексном подходе как при планировании ортодонтического лечения, так и во время и после завершения активного перемещения зубов.
- Коэн, Эдвард. Атлас косметической и реконструктивной пародонтологической хирургии / Эдвард Коэн (пер. с англ). — М.: Азбука, 2004. — 416с.
- Степанов, А. Е. Хирургия, шинирование и ортодонтия при заболеваниях пародонта / А. Е. Степанов — М.: Мед. информ. агентство, 2005. — 352с.
- Грудянов, А. И. Хирургические методы лечения заболеваний пародонта: учеб. пособие для вузов/ А. И. Грудянов, А. И. Ерохин. — М.: МИА, 2006-132 с.
- Биомеханика и эстетика в клинической стоматологии / Равиндра Нанда; пер. с англ. — 2-е изд. — М.: МЕДпресс-информ, 2016. — 388с.: ил.
Основные термины (генерируются автоматически): заболевание пародонта, ортодонтическое лечение, дуга, костная ткань, аномалия прикуса, ортодонтическое лечение пациентов, проведение, альвеолярный гребень, компьютерная томограмма, первичная консультация.
Похожие статьи
Современные представления об этиологии воспалительных.
Принципы лечения воспалительных заболеваний пародонта тесно связаны с представлениями о причинах возникновения и механизме
Развитие заболеваний пародонта обусловливают также неправильное прикрепление тканей к костному скелету лица и анатомические варианты.
Применение аутоплазмы в стоматологии при лечении.
Воспалительные заболевания тканей пародонта (ВЗП) занимают высокую позицию в ряду
Среди консервативных методов лечения воспалительных заболеваний тканей пародонта в
Можно вводить плазму и в область слизистой оболочки альвеолярных отростков, в случае.
Методы диагностики нарушений оклюзионных контатов зубов.
Сразвитием компьютерных систем исследований и диагностики значительно расширились возможности
Лечение пациентов обеих групп исследования проводили по следующей схеме: 1)
Таким образом, эстетику лица пациентов с аномалиями прикуса ІІ1 класса по Энглю.
Заболевания пародонта на фоне соматических патологий
Заболевания пародонта — полиэтиологическое заболевание, патогенез которого связан с патологическими процессами в организме, что
Бартенева Т. В. Лечение и профилактика заболеваний пародонта у пациентов с ишемической болезнью сердца: автореф. дис. на.
Индивидуальная профилактика и лечение начальных стадий.
Заболевания пародонта — полиэтиологическое заболевание, патогенез которого связан с. Полторак Н. А. Взаимосвязь воспалительных заболеваний пародонта с ишемической. Бартенева Т. В. Лечение и профилактика заболеваний пародонта у пациентов с.
Методика проведения профессиональной гигиены полости рта.
Одно из первых мест по частоте и распространенности среди стоматологических заболеваний занимают заболевания тканей пародонта [1, с.94]. В различных возрастных группах заболеваемость гингивитом и пародонтитом достигает 80-100 % [2, с.104].
Хирургические методы лечения заболеваний пародонта
Воспалительные заболевания пародонта в настоящее время являются самыми распространенными болезнями в мире. Любая реставрация, от небольшой пломбы до сложной мостовидной конструкции на имплантатах, может выполняться лишь тогда.
Современные подходы к консервативному лечению заболеваний.
Современные подходы кконсервативному лечению заболеваний пародонта (обзор).
На первоначальном этапе лечения важным является проведение качественного
препарат, воспалительное заболевание пародонта, современная стоматология, лечение заболеваний.
Плазмолифтинг как инновационный метод лечения хронических.
В настоящее время вопросы диагностики и лечения хронических воспалительных заболеваний тканей пародонта неизменно находятся в центре внимания отечественных и
При лечении хронического генерализованного пародонтита легкой степени (ХГПЛСТ) (70 пациентов).
Вспомогательное ортодонтическое лечение при заболеваниях пародонта
Особую сложность для врача-ортодонта представляет лечение пациентов, у которых исходным показанием к терапии является патологическое изменение положения зубов вследствие пародонтопатии. Возрастающая потеря прикрепления приводит к спонтанному перемещению зубов: выдвижению резцов и увеличению промежутков между ними (связано с потерей боковых зубов); наклону моляров после потери соседних зубов [3, 4].
В случае тяжелого генерализованного воспалительно-деструктивного процесса в пародонте происходит тотальное нарушение окклюзии, что делает практически невозможным нормальное функционирование всей зубочелюстной системы (рис. 1) .
Рис. 1а. Агрессивный генерализованный пародонтит тяжелой степени у юноши 14 лет. Аномальное положение зубов. Рис. 1б. Агрессивный генерализованный пародонтит тяжелой степени у юноши 14 лет. Вид спереди. Рис. 1в. Агрессивный генерализованный пародонтит тяжелой степени у юноши 14 лет. Вид слева. Очевидно нарушение смыкания зубов.
Рис. 1г. Агрессивный генерализованный пародонтит тяжелой степени у юноши 14 лет. Смещение зубов верхней челюсти. Рис. 1д. Агрессивный генерализованный пародонтит тяжелой степени у юноши 14 лет. Положение зубов на нижней челюсти. Рис. 1е. Агрессивный генерализованный пародонтит тяжелой степени у юноши 14 лет. На ОПТГ выраженная убыль костной ткани.
Вестибулярный наклон и выдвижение резцов, увеличение промежутков между ними довольно часто встречаются при заболеваниях пародонта (рис. 2, 3) .
Рис. 2а. Патология пародонта у пациентки 45 лет. Вид спереди. Рис. 2б. Патология пародонта у пациентки 45 лет. Вид слева. Рис. 2в. Патология пародонта у пациентки 45 лет. Вид верхней челюсти со стороны окклюзионной плоскости.
Рис. 2г. Патология пародонта у пациентки 45 лет. Вид нижней челюсти со стороны окклюзионной плоскости. Рис. 3. Травматическая окклюзия вследствие заболевания пародонта.
Такие изменения приводят к значительным эстетическим нарушениям. Возникают функциональные сдвиги: дисгармония между передним резцовым путем, движениями нижней челюсти и движениями в суставе. Возможные этиологические факторы изменения положения резцов при заболеваниях пародонта — это потеря костной ткани в сочетании с дисфункцией языка и губ; давление патологической грануляционной ткани в костных карманах (как правило, приводит к экструзии зуба); снижение высоты прикуса вследствие потери боковых зубов.
Мезиальный наклон второго моляра после экстракции шестого зуба без последующего протезирования — типичный пример неблагоприятного действия. Локальные изменения заключаются чаще всего в наклоне или смещении зубов, ограничивающих дефект, и в удлинении антагонистов. Пародонтальная проблема состоит в изменении связки зуба с мезиальной стороны наклоненного моляра: костный край наклоняется каудально и вследствие остроугольного контура зуб/кость подход к этому участку затруднен, формируется благоприятный участок для аккумуляции бляшки. Кроме того, краевая десна может ущемляться и патологически гипертрофироваться. Вследствие таких неблагоприятных топографических изменений может возникнуть костный карман.
При наклоне моляра в сторону удаленного зуба более чем на 25 градусов возникают следующие проблемы:
- функциональные — экстрааксиальная нагрузка;
- окклюзионные — преждевременные контакты;
- протетические — конвергенция опорных зубов, отсутствие места для искусственного зуба;
- пародонтальные — ретенционный участок для бляшки; нарушение хода краевой десны; нарушение топографии маргинального края альвеолярного отростка (рис. 4) .
Рис. 4. Мезиальный наклон вторых моляров нижней челюсти на фоне тяжелого пародонтита и отсутствия 36, 46.
При деформациях окклюзии, связанных с заболеваниями пародонта и потерей зубов, ортодонтическое лечение — вспомогательное и является частью комплексной терапии.
При наличии дефектов в зубном ряду в течение нескольких лет имеющиеся зубы, как правило, смещены. Для восстановления окклюзии пациенту потребуется комбинированное ортодонтическое и ортопедическое лечение. Часто ортодонту в таких случаях трудно прогнозировать конечный результат лечения. Представить итоговый результат сложно и врачу-ортопеду, поскольку он может не знать ортодонтических возможностей.
Определить финальную окклюзию и вид реставраций возможно благодаря созданию диагностической восковой сет-ап-модели. Создание диагностической сет-ап-модели является обязательным для пациентов с множественными дефектами зубного ряда, которым требуется комбинированное ортодонтическое и ортопедическое лечение.
Ортодонт никогда не должен составлять план лечения самостоятельно, необходимо заручиться консультацией стоматолога-ортопеда. Таким образом, ортодонт может переместить зубы для решения реальных задач, которые будут находиться в гармонии с ортопедическими требованиями.
Сет-ап-модель позволяет представить конечный результат как врачу, так и пациенту и является наглядным прогнозом лечения. Поскольку у большинства таких пациентов имеются заболевания пародонта, участие врача-пародонтолога в совместном обсуждении плана лечения является обязательным.
У взрослых, обращающихся за вспомогательным ортодонтическим лечением, наблюдаются дефекты костной ткани, осложняющие гигиену в этих участках и требующие вмешательства до или во время ортодонтического лечения: резорбция межзубных перегородок, одно-, двух- или трехстеночные внутрикостные карманы, горизонтальные дефекты и дефекты фуркаций.
Интерпроксимальные костные карманы — наиболее часто встречающиеся внутрикостные дефекты у пациентов с вторичными деформациями зубных рядов. Это двухстеночные дефекты, в которых сохранены щечная и лингвальная стенки. Потеря зубодесневого прикрепления определяется на медиальной и дистальной поверхностях корней соседних зубов. Интерпроксимальные дефекты не могут быть скорректированы путем ортодонтического перемещения.
Если дефект выражен в легкой или средней степени и пациент не может провести адекватную гигиену этой области, могут потребоваться резекция костной ткани и ее реконтурирование в этом участке перед установкой брекет-системы.
Интерпроксимальные костные карманы — наиболее часто встречающиеся внутрикостные дефекты у пациентов с вторичными деформациями зубных рядов
Экструзия зуба завершена, когда интерпроксимальная кость приобретает плоскую поверхность и одностеночный дефект исчезает. Большинство таких зубов потребует изготовления искусственной коронки, так как в процессе пришлифовывания обнажается подлежащий дентин.
Хирургическая коррекция может быть противопоказана просто из соображений эстетики, т. к. приводит к утрате окружающей кости, обнажает корень, удлиняет клиническую коронку, что крайне нежелательно. Это нарушает эстетику, открывает межзубные промежутки, нарушает десневой контур.
При экструзии зубов альвеолярная кость и мягкие ткани следуют за зубом: пучки связок пародонта растягиваются, в местах их прикрепления к альвеолярному отростку образуется новая кость, изменения происходят во всем связочном аппарате корня зуба.
Это уникальная возможность использовать зубы с безнадежным прогнозом для реконструкции кости. Контролируемая экструзия зубов позволяет отрегулировать десневой контур, сохранить высоту альвеолярной кости и длину коронки. В процессе экструзии зуба прилегающая десна следует за цементо-эмалевой границей, но обычно после ортодонтического лечения требуется ограниченное изменение контура десны для обеспечения его соответствия соседним зубам.
До начала лечения необходимо рентгенологически изучить дефект в вертикальной плоскости, состояние периодонта, а также морфологию и положение корней. Лучше использовать с этой целью современный и безопасный метод 3D компьютерной дентальной томографии [6].
Идеальная морфология выражается в одном конусном корне. Отклоненные или расходящиеся в стороны корни делают возможным обнажение зоны бифуркации. В редких случаях гиперцементоз или расщепление корня могут осложнить или сделать невозможным принудительное прорезывание. Трехстеночные дефекты подлежат лечению путем направленной тканевой регенерации с использованием ауто- или аллогенных костных трансплантатов в области поражения [5]. Ортодоническое перемещение зубов в этом случае будет способствовать миграции фибробластов и остеобластов, которые необходимы для заживления дефекта и перемещения соседних зубов.
Особое внимание врача должно быть уделено участкам с обнажением фуркаций многокорневых зубов. Фуркационные дефекты 1-го класса являются поверхностными; они не заходят глубоко в область фуркации (до 3 мм) и обычно успешно контролируются пародонтологом во время ортодонтического лечения.
Фуркационные дефекты 2-го класса распространяются в межкорневую зону до 3—7 мм, но при этом не выходят на противоположную сторону зуба. Если пациент не может осуществлять полноценную гигиену фуркационного дефекта 2-го класса, а зуб при этом нужен с ортодонтической и ортопедической точки зрения, то пародонтологу следует устранить дефект до начала ортодонтического лечения.
Лечение, скорее всего, будет включать в себя направленную регенерацию тканей с использованием изолирующих дефект мембран для восстановления периодонтальной связки путем блокирования врастания эпителия.
Контролируемая экструзия зубов позволяет отрегулировать десневой контур, сохранить высоту альвеолярной кости и длину коронки
Фуркационные дефекты 3-го класса не вычищаются пациентами во время ортодонтического лечения, поэтому все решения должны приниматься в процессе составления плана лечения. Общепринятым методом лечения фуркационных дефектов 3-го класса является удаление пораженного зуба и замещение его имплантатом [2, 7]. Обычной пародонтологической проблемой среди взрослых является генерализованная горизонтальная потеря костной ткани в переднем отделе альвеолярных отростков.
В данной ситуации, если в области передних зубов определяется значительная потеря костной ткани, зубы часто имеют диспропорциональные соотношения длины коронки и корня.
Сокращение длины клинических коронок зубов в области горизонтальной резорбции может быть методом выбора для достижения двух задач. Во-первых, уменьшение длины клинической коронки нормализует соотношение длин коронки и корня и подвижность зубов после ортодонтического лечения уменьшится. Во-вторых, если потеря кости по горизонтали обнаружена лишь в одном участке, то укорочение длины коронки предотвратит образование костных дефектов между соседними зубами, поскольку зубы будут выровнены.
Наиболее эффективно использование системы слабых сил — брекет-системы Деймона, которая способствуют регенерации костной ткани в пародонтологически измененном прикусе [4]. После формирования нового режущего края он используется в качестве ориентира для фиксации брекета. По окончании лечения подвижность зубов уменьшается, и дефект пародонта будет устранен (рис. 5, 6) .
Рис. 5. Веерообразный наклон резцов, подвижность, травматическая окклюзия зуба 21. Рис. 6. Сошлифована коронка 21, восстановление десны в области резцов.
Нередко взрослые пациенты поступают на ортодонтическое лечение с зубами, которые безнадежны с точки зрения пародонтологии либо ортопедии и требуют удаления на каком-то этапе комплексного лечения.
В такой ситуации важно решение о времени удаления зуба принимать совместно с ортопедом и пародонтологом [1]. Если пародонт или пульпа зуба инфицированы, то зуб следует удалить до этапа фиксации брекет-системы. Однако необходимо помнить, что механика ортодонтического лечения становится сложнее с каждым беззубым участком, особенно если промежуток должен быть сохранен.
Безнадежные зубы с неинфицированной пульпой и пародонтом желательно сохранять на время ортодонтического лечения: они предоставляют опору во время ортодонтического лечения, удерживают место в зубном ряду, сохраняют окклюзионную функцию.
Следовательно, безнадежные зубы лучше удалять после ортодонтического лечения, сохраняя их до тех пор, пока они не влияют на состояние пародонта соседних зубов.
Вместе с тем существуют ситуации, когда именно ортодонтическое лечение может перевести зубы из разряда безнадежных в разряд подлежащих сохранению.
Несмотря на то что ортодонтическое лечение является вспомогательным в комплексной терапии пародонтита, при выраженном смещении зубов оно приобретает решающее значение, обеспечивая дальнейшую сохранность зубов, а также принципиальную возможность достижения стойкой ремиссии (рис. 7) .
Рис. 7. Агрессивный пародонтит у пациентки 22 лет, выраженная протрузия передней группы зубов на верхней челюсти.
Ретенция
Целью ретенции ортодонтического результата у пациентов с заболеваниями пародонта является стабилизация положения зубов и долговременное сохранение дентального и пародонтального здоровья.
Степень убыли кости и число отсутствующих зубов — факторы, которые определяют тип ретенции.
При заболеваниях пародонта требуется постоянная ретенция. Кроме того, потеря зубов часто диктует потребность в ретенции в комплексе с протезированием дефектов зубного ряда. Ретейнеры должны быть несъемными. После выравнивания моляра зубы находятся в нестабильном положении до наложения протеза.
Долгой отсрочки при изготовлении постоянного протеза нужно избегать. Основное правило: несъемный мостовидный протез может и должен быть зафиксирован в пределах 6 недель после того, как закончено выравнивание.
Результат ортодонтического лечения неустойчив без полного восстановления окклюзии. Значительная задержка в протезировании часто возникает, если запланированы имплантаты. В этих случаях на короткое время может быть зафиксирован пассивный ретейнер из проволоки 19×25 SS или 21×25 ТМА.
Если требуется ретенция на период больше чем нескольких недель, необходимо промежуточное шинирование — межкоронковая проволочная шина (19×25 или более толстая стальная проволока).
При выравнивании наклоненного моляра улучшается прогноз протетического лечения и пародонтологический прогноз: достигается аксиальная нагрузка на зуб; восстанавливается параллельность опорных зубов; создается адекватное место для промежуточной части мостовидного протеза; исключаются окклюзионные нарушения; облегчается устранение бляшки; нормализуется архитектура десны; происходит нивелирование мезиального края кости.
Ортодонтическая терапия оказывает также положительное влияние на уровень опорных тканей и морфологию альвеолярного отростка, достигаются следующие пародонтальные эффекты: уплощаются межзубные кратеры; улучшается ход круговой связки зуба; редуцируются дефекты бифуркаций; расширяются межкорневые перегородки при тесном положении корней.
После нормализации положения передних зубов при их наклоне, а также после лечения ЗЧА у пациентов с заболеваниями пародонта наиболее приемлемым ретейнером является проволока, которая фиксируется лингвально. Такая ретенция не вызывает жалоб пациента: она невидима и, что более важно, действует как пародонтальная шина, сохраняя физиологическую подвижность каждого зуба.
Несъемный ретейнер с небной стороны верхних зубов не должен препятствовать окклюзии и функции нижней челюсти. Для этого на небной поверхности резцов верхней челюсти создаются небольшие бороздки. Предельную важность имеет регулярный осмотр этих пациентов как ортодонтом, так и пародонтологом. Таким образом, для коррекции комплексных стоматологических проблем взрослого пациента требуется совместная работа команды врачей.
В этой команде врач-ортодонт зачастую выступает в качестве лидера, поскольку современные технологии ортодонтического вмешательства позволяют восстанавливать как твердые, так и мягкие ткани пародонта при перемещении зубов, что обеспечивает долговременный результат комплексного лечения пациентов с заболеваниями пародонта.
Взаимосвязь заболеваний пародонта и патологии окклюзии
Взаимосвязь заболеваний пародонта и патологии окклюзии в настоящее время не вызывает сомнений. Патология окклюзии сопровождается неправильным расположением зубов, их наклоном и ротациями, при которых ось приложения окклюзионных сил не совпадает с осью зуба, а физиологические силы, связанные с жеванием, становятся чрезмерными. Такие силы, приложенные к зубам, при неповрежденных тканях пародонта вызывают первичную окклюзионную травму.
При здоровом пародонте окклюзионная травма приводит к увеличению подвижности зуба без разрушения периодонтальной связки. При поврежденном пародонте избыточная окклюзионная нагрузка способствует распространению воспаления в более глубокие пародонтальные структуры, усиливая тяжесть процессов в пародонте (Клинберг И. с соавт., 2006; Каламкаров Х. А. с соавт., 1972; Goldman H.M., 1956; Jin L.J. et al., 1992).
В то же время Geiger A.M. (2001) опровергает существующую долгое время теорию о патологии окклюзии как этиологического фактора заболеваний пародонта. Однако, по его данным, выраженные несоответствия челюстей и травматическая окклюзия способствуют утяжелению патологического процесса в пародонте. С увеличением скученности зубов возрастает риск развития пародонтита у пациентов старше 35 лет (Pugaca J. et al., 2007).
Физиологическая окклюзия и правильно расположенные зубы анатомически и физиологически необходимы для поддержания здоровья пародонта и предотвращения развития пародонтита (Логинова Н. К. с соавт., 1993; Попов С. А., 1999). Ramfjord S.P. et al. (1973) утверждают, что при потере опорных зубов в результате формирования глубокого резцового перекрытия возникающая перегрузка этой области приводит к развитию заболеваний пародонта.
Таким образом, мнения ученых относительно взаимосвязи патологии окклюзии и заболеваний пародонта противоречивы.
Цель исследования: оценка взаимосвязи деформаций зубных рядов и патологических изменений в околозубных тканях.
Материал и методы исследования
Обследовано 126 человек (102 женщины и 24 мужчины) в возрасте 20—54 лет. Состояние тканей пародонта оценивалось как: здоровый пародонт, генерализованный пародонтит легкой и средней степени тяжести. Комплексное обследование включало в себя: клинические, лабораторные, морфометрические, рентгенологические методы исследования.
Результаты исследования
Показатели индекса рецессии и степени ретракции десны свидетельствуют о том (Таблица 1) , что у больных с деформациями зубных рядов при нарастании воспалительных проявлений в пародонте распространенность и объем рецессий достоверно увеличиваются. Из всего количества обследованных пациентов 54 (42,9 %) составляют больные с дистальной окклюзией, 44 (34,9 %) — с нейтральной окклюзией и 28 (22,2 %) человек с мезиальной окклюзией (Таблица 2) .
Таблица № 1. Индекс рецессии (ИР) и индекс степени ретракции (СР) десны у пациентов на этапе диагностики (n=126)
| Признак | Интактный пародонт (n=38) | ГП легкой степени тяжести (n=42) | ГП средней степени тяжести (n=46) |
| ИР ( %) | 0 | 13,38±5,18 | 59,75±7,05 1 |
| СР (мм) | 0 | 0,13±0,06 | 0,75±0,15 2 |
Таблица № 2. Распределение пациентов по патологии окклюзии и данным клинического обследования (n=126)
| Признак | Интактный пародонт (n=39) | ГП легкой степени (n=42) | ГП средней степени (n=45) | Всего (n=126) |
| Нейтральная окклюзия | 15 (39,5 %) | 17 (40,5 %) | 11 (26,1 %) | 43 (34,9 %) |
| Дистальная окклюзия | 17 (43,6 %) | 16 (38,1 %) | 22 (47,8 %) | 55 (42,9 %) |
| Мезиальная окклюзия | 7 (16,9 %) | 9 (21,4 %) | 12 (26,1 %) | 28 (22,2 %) |
| PI | 0,26±0,04 | 0,38±0,07 ** | 0,38±0,05 ** | − |
| PBI | 0,49±0,09 | 0,99±0,10 ** | 1,64±0,12 *, ** | − |
| Подвижность зубов | 0 | 0,36±0,08 | 0,75±0,12 * | − |
| Глубина ЗДК | 2,14±0,14 | 2,67±0,14 * | 3,51±0,24 ** | − |
Примечание: 1) отсутствует зависимость между состоянием тканей пародонта и характе ром окклюзии (χ2=2,73; p>0,10);
* — p родонтом).
При этом дистальная окклюзия в 47,8 % случаев сочетается с генерализованным пародонтитом средней степени тяжести. Генерализованный пародонтит легкой степени диагностирован у 42 человек (33,3 % случаев), причем у 17 больных сочетается с нейтральной окклюзией, а у 16 человек (38,1 % случаев) встречается в комбинации с дистальной окклюзией. Мезиальная окклюзия в большем проценте наблюдений сочетается с генерализованным пародонтитом средней степени тяжести и наблюдается в 26,1% случаев.
Для анализа соотношения челюстей и вариантов зубоальвеолярной компенсации окклюзии, углов наклона резцов верхней и нижней челюсти проводилась телерентгенография черепа в боковой проекции
Диагноз патологии окклюзии, поставленный по данным клинического осмотра, не отражает в полной степени несоответствия размеров челюстей, так как зубоальвеолярная компенсация способна значительно уменьшить это несоответствие. Она представляет собой изменение наклона и высоты зубоальвеолярного комплекса для достижения оптимальной или удовлетворительной окклюзии и реализуется в трех плоскостях. Наиболее значимо она проявляется в области фронтальных зубов в сагиттальной плоскости (Славичек Р., 2008; Садао С., 2008). Зубоальвеолярная компенсация приводит к изменению наклона зубов, развитию заболеваний пародонта.
Для более точного анализа соотношения челюстей и вариантов зубоальвеолярной компенсации окклюзии, углов наклона резцов верхней и нижней челюсти мы проводили телерентгенографию черепа в боковой проекции.
Соотношение апикальных базисов верхней и нижней челюсти определяли на телерентгенограмме с помощью анализа WITS и A-Po. Из всей группы обследованных 64 (50,8 %) пациента имели I класс Энгля, 36 (28,6 %) — II класс Энгля, 26 (20,6 %) — III класс Энгля. Соотношение класса Энгля и патологии пародонта представлено на рисунке 1 .

Рис. 1. Соотношение класса Энгля и патологии пародонта (n=126)
Как видно из рисунка 1 , при интактном пародонте I класс Энгля встречается в 35,9 % случаев, II класс Энгля — в 33,3 %, III класс Энгля — только в 11,5 % случаев. Генерализованный пародонтит средней степени тяжести сочетается с III классом Энгля в 42,3 % случаев.
Оценку наклона резцов верхней и нижней челюстей проводили на телеренгенограмме в боковой проекции по углам: внутренний угол I-NL — угол наклона верхних резцов к плоскости основания верхней челюсти, IMPA — угол наклона нижних резцов к плоскости основания нижней челюсти. Полученные результаты сопоставляли с нормой, представленной в работах Проффит У. Р. (2008), Alexander R.G. (2008). Выявлена взаимосвязь между углом наклона резцов и состоянием тканей пародонта, что представлено в таблице № 3 . Из таблицы № 3 следует, что при нормальном наклоне в 48,5 % случаев встречается интактный пародонт, протруссия резцов в 47,8 % случаев сочетается с генерализованным пародонтитом легкой степени тяжести и в 34,3 % — с генерализованным пародонтитом средней степени тяжести.
Таблица № 3. Зависимость патологии пародонта от наклона резцов верхней челюсти
| Состояние пародонта | Всего исследований | Норма | Протруссия резцов | Ретруссия резцов |
| Интактный пародонт | 38 | 16 (48,5 %) | 12 (17,9 %) | 10 (38,5 %) |
| ГП легкой степени | 42 | 9 (27,3 %) | 32 (47,8 %) | 9 (34,6 %) |
| ГП средней степени | 46 | 8 (24,3 %) | 23 (34,3 %) | 7 (26,9 %) |
| Всего | 126 | 33 (100 %) | 67 (100 %) | 26 (100 %) |
Примечание: имеется зависимость между состоянием тканей пародонта и наклоном резцов верхней челюсти (χ2=11,01; p=0,026).
Оценивая положение резцов верхней и нижней челюсти, мы установили взаимосвязь наклона зубов и соотношения челюстей. Так, при I классе Энгля протруссия резцов встречалась у 29 (45,3 %), нормальное положение — у 21 пациента (32,8 %). С меньшей частотой нормальный наклон резцов встречался у пациентов с дистальной окклюзией (22,2 % случаев) и мезиальной окклюзией (15,4 % наблюдений) (рис. 2) .

Рис. 2. Соотношение наклона зубов (норма и протруссия) и класса Энгля (n=126).
Проведен анализ зависимости состояния тканей пародонта от соотношения челюстей в вертикальной и трансверсальной плоскостях, положения отдельных зубов и групп зубов. Зависимости степени пародонтита не выявлено: от глубины резцового перекрытия (?2=7,74; p>0,10), наличия перекрестной окклюзии (?2=1,15; p>0,10), трем и скученности зубов (?2=5,02;p>0,10). Взаимосвязь выявлена между наклоном зубов и степенью пародонтита.
Заключение
Как показывает анализ клинических данных, дистальная окклюзия (47,8 %) и мезиальная окклюзия (42,9 %) в большем количестве наблюдений сочетаются с генерализованным пародонтитом средней степени тяжести. Нейтральная окклюзия практически с одинаковой частотой встречается у пациентов с интактным пародонтом и генерализованным пародонтитом легкой степени тяжести и только в 26,1 % наблюдений сочетается с генерализованным пародонтитом средней степени тяжести.
Анализ индекса рецессии показывает преобладание максимальных значений распространенности при мезиальной окклюзии
При оценке распространенности заболеваний пародонта в зависимости от патологии окклюзии установлено, что наиболее высокая степень распространенности генерализованного пародонтита средней степени тяжести наблюдается у пациентов с дистальной окклюзией и встречается в 47,8 % наблюдений. Генерализованный пародонтит легкой степени тяжести в 40,5 % случаев сочетался с нейтральной окклюзией и в 38,1 % наблюдений — с дистальной окклюзией.
Не выявлено зависимости степени пародонтита от глубины резцового перекрытия (?2=7,74; p>0,10), наличия перекрестной окклюзии (?2=1,15; p>0,10), трем и скученности зубов (?2=5,02; p>0,10). Анализ индекса рецессии показывает преобладание максимальных значений распространенности при мезиальной окклюзии. Выявлена взаимосвязь распространенности и степени ретракции десны c патологией окклюзии. Показатели индекса рецессии более высокие при мезиальной окклюзии. Степень ретракции десны более выраженна при дистальной окклюзии.
- Каламкаров Х. А., Ганцев Г. А., Ершов В. Н. Связь между зубочелюстными деформациями и пародонтопатиями у детей // Стоматология. — 1972. — № 5. — С. 47—50.
- Клинберг И., Джагер Р. Окклюзия и клиническая практика. — М.: Медпресс-информ, 2006. — 200 с.
- Логинова Н. К. Функциональные предпосылки к разработке механической теории этиологии и патогенеза заболеваний пародонта // Новое в стоматологии. — 1993. — № 1. — C. 2—7.
- Попов С. А. Диагностика и лечение неправильного положения отдельных зубов у детей с применением современной ортодонтической техники: Автореф. дис. … канд. мед. наук. — СПб., 1999. — 22 с.
- Сато С., Акимото С., Мацумото А., Ширасу А., Йошида Ю. Руководство по клиническому применению методики МПД. — М.: Азбука, 2008.—158 с.
Ортодонтическое лечение у пациентов с тяжелыми формами пародонтитов: клиническое исследование
Сегодня потребность в ортодонтическом лечении возрастает среди всех возрастных и социальных групп. Успех и эффективность такого лечения напрямую зависит от ответной способности пародонтальных тканей. Ортодонтическое перемещение зуба включает реконструкцию альвеолярной кости, в то время как само передвижение ассоциировано с физиологическим процессом клеточной активности в пародонтальной соединительной ткани и активацией остеобласт-остеокласт комплекса в альвеолярной кости. По причине сложности эстетической и функциональной реабилитации, совместное решение пародонтальных и ортодонтических проблем становится необходимостью для достижения терапевтических целей.

Ортодонтическая терапия с применением несъемной и съемной техники может привести к различным побочным эффектам, таким как образование налета или развитие кариеса. Более того, бактериальная обсемененность повышается в местах ретенции, в которых механическое удаление налета становится весьма затруднительным. Данные перемены могут вызвать количественный скачок бактерий, в том числе и пародонтальных патогенов, Actinobacilus actinomycetemcomitans и Porphyromonas gingivalis. Ортодонтическое лечение весьма сказывается на здоровье пародонта, способствуя скапливанию налета, что приводит к увеличению десны, увеличению глубины звуб-десневых карманов, появлению кровоточивости при зондировании. Все перечисленные проблемы решаются строгим подходом в гигиене полости рта в процессе лечения и после него.
По причине постоянной травмы тканей пародонта и снижения поддерживающей функции ортодонтическое перемещение зубов у пациентов с нелеченными пародонтитами противопоказано. Пародонтальное лечение в виде скалинга, сглаживания корней и удаления глубоких карманов должно быть проведено до начала ортодонтической терапии, так как наличие глубоких пародонтальных карманов может переносить микробный налет с наддесневой части в поддесневую, тем самым вызывая утрату прикрепления и развитие ангулярного костного дефекта.
Локализованный агрессивный пародонтит, форма тяжелого заболевания пародонта, ассоциирован с утратой соединительнотканного прикрепления, появлением внутрикостных карманов и вертикальных костных дефектов в некоторых специфичных местах зубной дуги, например первых моляров или резцов в более раннем возрасте.
У 30-50% пациентов, пораженных пародонтитами средней и тяжелой степени, происходит патологическая миграция вместе с утратой прикрепления и тяжелой резорбцией кости, что клинически проявляется в элонгации, диастеме, ротации и лабиальной инклинации центральных зубов.
Для купирования вертикальных костных дефектов весьма успешно применяют регенеративное лечение, однако, при миграции зуба от изначальной локализации, идеальной эстетики и реконструкции межзубного сосочка добиться невозможно, именно поэтому в таких ситуациях возникает необходимость ортодонтического вмешательства.
Комбинация лечения тканей пародонта и интрузия передних элонгированных зубов вместе с контролируемой гигиеной является наилучшим планом лечения для коррекции взаимоотношения зубов при агрессивных формах пародонтитов.
Более того, вертикальное ортодонтическое перемещение может разрешить некоторые костные дефекты у таких пациентов, что устраняет необходимость в последующем хирургическом вмешательстве.
Так как стабильность терапии пародонта находится на первом месте, регулярные визиты и мониторинг являются необходимостью в таких ситуациях. С этой целью проводятся инструктаж по гигиене полости рта, регулярные визиты каждые 3-6 месяцев, измерение глубины десневой борозды, оценка подвижности зубов, рецессии десны и костной структуры.
Настоящее исследование показывает пародонтальные параметры в конце ортодонтического лечения у пациентов с тяжелой формой пародонтитов.
Материалы и методы
Данное неконтролируемое клиническое исследование было одобрено этическим комитетом Tehran University of Medical Sciences Dental School. Осмотры проводились после получения письменного согласия с каждого пациента. Предметом исследования стали восемь пациентов (семь женщин и один мужчина средним возрастом 30 лет), которые были направлены на пародонтологическое лечение агрессивных форм пародонтита с историей экструзии и ортодонтического лечения. У всех пациентов глубина зубо-десневых карманов была >=5 мм, отмечались внутрикостные дефекты, экструзия до 1 мм относительно соседних зубов в зубной дуге, индекс налета менее 15%. В случае наличия системных заболеваний, употребление лекарств последние 3 месяца, курения, отсутствия возможности оплатить ортодонтическое лечение или принимать участие в регулярных осмотрах участники исключались из исследования.
У всех пациентов отмечались клинические и рентгенологические признаки аргессивного пародонтита. Всем был проведен скалинг, сглаживание поверхности корней, а также открытый кюретаж с удалением внутреннего кармана и инфицированного содержимого. Даны инструкции по гигиене полости рта до начала ортодонтического лечения.
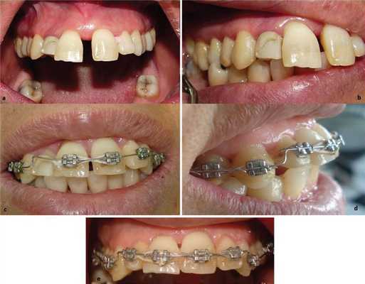
После стабилизации пародонтологического статуса и сокращения пародонтальных карманов до 15% или менее, после установки прочных связей для регулярных визитов проведено фиксирование несъемной ортодонтической техники на всю зубную дугу, проволочная техника интрузии и выравнивания центральных резцов. Нагрузка прилагалась равномерно на каждый зуб 10-15 г (проверено при помощи Correx, HAAG-STREIT Holding, AG) согласно индивидуальному пародонтальному статусу. Для предотвращения якорной убыли мы прибегли к методике полной дуги, корректируя приспособления каждые 4 недели. Инструкции по гигиене полости рта, а также сглаживание поверхностей корней проводилось каждые три месяца. В целом ортодонтическое лечение длилось от 10 месяцев до 2 лет в зависимости от пациента (Фото 1). Затем терапия переведена в фазу ретенции. В конце лечения несъемная аппаратура расфиксирована и зафиксированы ретейнеры (Braided нержавеющая сталь, 0/38 мм, Dentaflex, Germany) на нижнюю и верхнюю челюсть. Снова даны рекомендации по гигиене полости рта.
Фото 1: (а,b) Фронтальный и боковой вид смещенного правого верхнего центрального резца, связанного с утратой кости у пациента с агрессивным локализованным пародонтитом (патологическое перемещение) после лечения тканей пародонта и перед наложение ортодонтической силы (с,d) 6 месяцев ортодонтического лечения техникой полной дуги для интрузии переднего смещенного зуба, (е) конец ортодонтичечского лечения

Определен ПИ с мезиальной, дистальной, щечной и лингвальной поверхностей.
Также определена глубина пародонтального кармана в шести точках: дистолингвальной (DL), лингвальной (L), Мезиолингвальной (ML), Дистобуккальной (DB), Буккальной (B) и Мезиобуккальной (MB) при помощи зонда Уильяма в мм. Кроме того градуированным зондом измерена (в мм) высота от верхушки сосочка до режущего края для сравнения этого показателя у соседних зубов. Затем изготовлены прицельные рентгенограммы. Для достижения правильной позиции пленки изготовлен держатель из силикона для каждого пациента исходя из окклюзионной составляющей. Пленка располагалась параллельно длиной оси и перпендикулярно к источнику с дозировкой 40 Kvp. На рентгенограмме перпендикулярно к корню проведена линия (Tooth Crest point, TC) от самой высокой точки гребня кости (BC). Расстояние между TC и BC показывает ширину костный дефект (DW). Затем проведена линия от BC к точке наибольшего костного дефекта. Расстояние между TC и дефектом кости (BD) показывает глубину дефекта (DD). Для измерения длины корня (RL), проведена линия от нижней границы корня к нижней границе цементо-эмалевого соединения (Фото 2).
Фото 2: Наиболее верхняя граница костного гребня определена как точка BC. Точка, образующаяся при проведении перпендикулярной линии к корню от ВС определена как точка гребень-зуб (TC). Точка, образующаяся при проведении линии из ВС к наиболее глубокой зоне костного дефекта определена точкой BD. Измерение от нижней границы корня до нижней границы цементо-эмалевого соединения признано длиной корня.

Измерения проведены спустя три и шесть месяцев после окончания ортодонтического лечения, в то время как данные статистически проанализированы при помощи повторяющихся измерений ANOVA и Bonferroni на этапе 0, 3 и 6 месяцев после ортодонтической терапии. Статистически значимым принято p
Результаты
Среднее и стандартное отклонение ПИ 27.39+-8,75% в конце ортодонтического лечения (Т0) снизилось до 17.63+-4,57% к третьему месяцу (Т3) и к 6-му месяцу (Т6) стало 11.8 +-2,59%. Изменения в количестве налета признаны статистически значимыми в течение изучаемого периода. Более того, изменения в ПИ выявлены и в промежутке между концом лечения (Т0), третьим месяцем (p=0.032) и шестым месяцем после лечения (p=0.022), что также признано статистически значимым.
Среднее и стандартное отклонение глубины пародонтального кармана определено как 1,93+-0,9 мм, 1,79 +-0,87 мм и 1,7+-0,85 мм на этапе Т0, Т3 и Т6 соответственно. Статистически значимую разницу обнаружили между глубиной кармана на Т0 и Т3 (p=0.042), Т0 и Т6 (р=0.039) и Т3 и Т6 (р=0.047)
Среднее расстояние между режущим краем и вершиной сосочка составило 5.97 +- 0.44 мм на этапе Т0, 5.99 +-0.42 мм на Т3 и 5.97 +-0.33 мм на Т6 без статистической важности (р=0,932)
Кроме того средняя глубина костного дефекта выявлена как 2.5 +-0.46 мм на Т0, 2.34+-0.54 мм на Т3 и 2.09+-0.7 мм на Т6. Сокращение глубины признано статистически значимым на отрезках Т0 и Т3 (р=0.0432), Т0 и Т6 (р=0.039) и Т3 и Т6 (р=0.035).
Также обнаружена значительная разница между Т0 и Т3 (p=0.042), T0 и Т6 (p=0.039), ширина внутрикостного дефекта (2.15+-1.11 мм, 1.9+-1.11 мм и 1.9+-1.11 мм соответственно), на этапе Т3 и Т6 разница признана статистически незначимой (р=0.59).
В случаях агрессивного пародонтита с интракостными дефектами, которые привели к миграции зубов, было применено регенеративное лечение. Так как терапия тканей пародонта неспособна устранить деструкцию, произошедшую по причине патологической окклюзии, особенно приведшей к элиминации десневого сосочка, ортодонтическое лечение решено проводить для интрузии и выравнивании вовлеченных зубов. Стабильность результата также важна по причине обширной костной деструкции, в то время как данных об отдаленных результатов пока не имеется. Кроме того пациенты могут воспринимать удаление аппаратов как конечный этап лечения, опуская фазу ретенции. В приведенном клиническом случае все пародонтальные параметры были получены именно в фазе ретенции с реорганизацией периодонтальной связки после удаления всей аппаратуры.
Некоторые исследования сообщают о побочных эффектах ортодонтического лечения у пациентов агрессивными формами пародонтитов с историей экструзии передних зубов К таким эффектам относится неспособность механического удаления налета после лечения, возможное преобразование наддесневых отложений в поддесневые, деструкция пародонтальных тканей после терапии, повышенная деструкция мягких тканей у таких пациентов. В таких ситуациях для успешного лечения пациентов с вертикальными пародонтальными дефектами мы рекомендуем использование легких ортодонтических сил, а также регулярный контроль налета с контрольными визитами в течение 3-6 месяцев.
В приведенном клиническом случае пациентам были установлены фиксируемые ортодонтические ретейнеры. Данные ретейнеры позволяли совершать физиологические движения, а также приводили к улучшению состоянию тканей пародонта, восстановлению кости и предотвращению ненужных движений. Кроме того данные приспособления не требуют идеальной кооперации врач-пациент и не нарушают эстетику. Если клиническая ситуация требует ортодонтического и пародонтологического лечения, то ретенция и стабильность обоих подходов должна браться во внимание. Хотя многие исследователи настаивают на важности стабильности и ретенции, данных по отдаленным результатам пока имеется недостаточно.
ПИ в течение всего 6 месячного периода постоянно сокращался, что возможно связано с упрощением гигиенического ухода после удаления аппаратов и выравнивания зубной дуги. Такие же данные были получены и Re, до удаления аппаратуры эффективность гигиены полости рта весьма лимитирована, что объясняет большую разницу ПИ между периодами Т0, Т3 и Т6. Кроме того сокращение аккумуляции налета между Т3 и Т6 может быть связано с применением модифицированной басс-технике чистки зубов, которая является наиболее эффективным механическим методом удалении налета. Также очевидным является, что пациент, наблюдая высокие результаты лечения, будет стараться поддерживать их в дальнейшем.
Значительное сокращение глубины патологического кармана на этапах Т0, Т3 и Т4 также ассоциированы с удалением аппаратуры и применением нового модифицированного способа чистки, что приводит у упрощению гигиенических манипуляций, эффективном удалении налета, сокращении патогенной микрофлоры и улучшению состояния десны. Прямая взаимосвязь между ПИ и глубиной пародонтального кармана совпадает с исследованиями, сообщающими о сокращении глубины борозды и восстановлении прикрепления после снижения ПИ и воспалительных явлений.
Значительное улучшение в состоянии тканей пародонта также происходило при совместном использовании хирургических методов и принятии антибиотиков. Эти исследования свидетельствуют о сокращении воспалительного процесса и патогенной популяции как о предвестнике сокращение глубины зубо-десневого кармана. Zhu показал, что у всех пациентов с агрессивными формами пародонтитов младше 40 лет габлюдается сокращение глубины кармана после интрузионной терапии. Хотя стабильность глубины кармана остается после окончания лечения и в течение следующего года, как показал Re, согласно Melsen, сокращение глубины ассоциировано с образованием новой соединительной ткани после активизации клеточной активности периодонтальной связки и закрытию пространство клетками на поверхности зуба. Passanzaei интерпретирует повышенную активность соединительной ткани как результат более активного деления мезенхимальной ткани, по сравнению с эпителиальной. Однако некоторые отчеты отрицают роль новой соединительной ткани в сокращении зондируемой глубины после ортодонтического лечения.
Несмотря на сокращение глубины зубо-десневого кармана, наши исследования не смогли найти разницу между новой соединительной тканью и эпителием соединения, так как для этой процедуры необходимы гистологические образцы, которые в приведенной ситуации получить было невозможно (однако исходя из наблюдений и рентгенологических снимков можно предположить формирование новой соединительной ткани).
Значительной разницы в расстояние между десневым сосочком и режущем краем не выявлено на всех этапах Т0, Т3 и Т6. В этом отношение влияние оказывают стабильные взаимоотношения с соседними зубами, стабильные результаты ортодонтического лечения и отсутствие рецессии. Аналогично с нашими исследованиями Re также не выявил рецессии, внешних изменений, а также улучшение состояние тканей пародонта в течение всего года после лечения у пациентов с агрессивными формами пародонтитов, подвергшихся терапии интрузии и фиксации ретейнеров. Однако Levin считает ретейнеры причиной десневой рецессии из-за ограниченного контроля гигиены, также в результате наблюдений в период 4-40 месяцев после лечения в 50% наблюдалась расфиксация ретейнера.
Длина корней оставалась стабильной в периодах Т0, Т3 и Т6 согласно рентгенографическим снимкам. При проведении интрузии зуба при помощи легких ортодонтических сил резорбция корней не наблюдалась. Силы при проведении интрузии концентрируются у апекса и окружающую кость, при этом в меньшей мере воздействуя на костный дефект, риск ишемического некроза сокращается, клетки пародонтальной связки активируются. С другой стороны имеются данные о признаках корневой рецессии в течение активной фазы ортодонтического лечения как результате натурального механизма сил интрузии, которые связаны с коническими характеристиками передних зубов и концентрации силы на апексе. Ишемический некроз связки, а также малая элиминация перицемента, цементобластов и колонии дентикластов могут быть последствием указанного механизма.
В настоящем исследовании также выявлено значительное сокращение глубины и ширины костного дефекта, особенно явно сокращение ширины произошло между Т3 и Т6. Повышенное образование костной ткани при ортодонтическом перемещении подтверждено разными механизмами, например натяжением периодонтальной связки , которая выступает натуральным барьером для эпителиальных клеток (Guided Bone Regeneration), а также повышенным образованием кости при участии клеток периодонтальных связок, эффект ортодонтических сил является здесь первым толчком в процессе остеогенезе, который начинается также в участках дефектов. После проведенного ортодонтического лечения сокращение внутрикостных дефектов наблюдалось на рентгеновских изображениях. Кроме того устранение феномена раскачивания при помощи ретейнеров позволяет уменьшить воспалительный процесс и снизить активность патогенной микрофлоры, что чрезвычайно важно при образовании и минерализации новой кости. Вдобавок ортодонтическое лечение может приводить к расширению периолонтальной щели с сокращение ремоделирования кости. После прекращения ортодонтической терапии и элиминации силы, периодонтальные связки возвращаются в нормальное состояние. Таким образом сокращение костных дефектов также вызвано переменами в строении периодонтальных структур.
Стабильные размеры дефектов на этапе Т3 и Т6 могут быть интерпретированы как полная костная минерализация на этапе Т3, отсюда можно сделать вывод, что структура периодонтальной щели и связки также возвращается к нормальным размерам в этот период.
Однако авторы утверждают, что для полноценных выводов также необходимы наблюдения отдаленных результатов.
Заключение
Со стороны проведенного лимитированного исследования можно сделать вывод, что добиться стабильных результатов терапии возможно регулярным наблюдением, контролем гигиены полости рта у пациентов с агрессивными формами пародонтитов. Особенность плана лечения такой категории людей состоит в комплексном подходе ведения пародонтальной и ортодонтической патологий.
Авторы:
Afshin Khorsand, Departments of Periodontology
Mojgan Paknejad, Departments of Periodontology
Siamak Yaghobee, Periodontology and Dental Implant Research Center
Amir Alireza Rasouli Ghahroudi, Periodontology and Dental Implant Research Center
Hourieh Bashizadefakhar, Oral and Maxillofacial Radiology, Dental Faculty, Tehran University of Medical Sciences, Tehran
Masoomeh Khatami, Department of Pediatrics Dentistry, Jondishapour University, Ahvaz
Mohsen Shirazi, Department of Orthodontic, Dental Faculty, Tehran University of Medical Sciences, Tehran, Iran
Читайте также:
