КТ, МРТ при доброкачественной смешанной опухоли неба
Добавил пользователь Евгений Кузнецов Обновлено: 12.12.2025
Актуальность проблемы. Злокачественные опухоли полости рта и ротоглотки составляют по данным разных авторов около 2-5% от всех злокачественных новообразований и число новых случаев растет. Морфологически 90% таких опухолей приходится на плоскоклеточный рак (ПКР). Соотношение мужчин и женщин - 3:1. Средний возраст больных - 60 лет [1,2].
Несмотря на визуальную локализацию, диагностика злокачественных опухолей орофарингеальной зоны представляет определенные трудности. Оценка распространенности опухолевого процесса в полости рта производится при визуальном осмотре и пальпаторном исследовании, которое не позволяет оценить распространенность опухолевого инфильтрата за пределы видимых изменений слизистой [3]. Для оценки размера первичной опухоли, ее местного распространения в мышечную ткань и на слизистую оболочку, а также в шейные лимфатические узлы, клиническое обследование бывает недостаточным, т.к. часто недооценивается объем опухоли, особенно в случае поздней стадии заболевания ввиду склонности таких опухолей к распространению по подслизистой основе. В большинстве случаев сложно оценить поражение костных структур, протяженность поражения по нижней челюсти [4,5,6]. Изучение возможностей мультиспиральной компьютерной томографии (МСКТ), МСКТ с болюсным внутривенным контрастированием и магнитно-резонансной томографии (МРТ) при диагностике новообразований орофарингеальной зоны необходимо для долечебного стадирования опухолевого процесса, создания концепции консервативного (химиолучевого) лечения, а также дальнейшего планирования тактики и объема оперативного вмешательства. Также существует потребность в доработке и усовершенствовании алгоритма обследования пациентов с данной патологией.
Цель исследования. Оценить возможности МСКТ с внутривенным контрастированием и МРТ в выявлении и долечебном стадировании рака полости рта и ротоглотки. Усовершенствовать алгоритм лучевого обследования больных с опухолевым поражением орофарингеальной зоны.
Материалы и методы. МСКТ-исследования полости рта и ротоглотки проводились на аппарате Bright Speed 16 (General Electric). Сканирование выполнялось в спиральном режиме с толщиной томографического среза 2,5 мм, с шагом томографирования 2,5 мм до и поcле внутривенного болюсного введения контрастного вещества. Контрастное усиление достигалось путем введения 100 мл неионного контрастного вещества при скорости введения 3 мм/сек, время задержки сканирования 40 секунд. Зона сканирования включала в себя область от основания черепа до яремной вырезки. Сырые данные повторно реконструировали с шагом реконструкции 1.25 мм. В последующем выполнялось построение многоплоскостных реформаций изображений (МРR) на рабочей станции. МРТ проводилась на аппарате «Excelart Vantage» 1,5 Т (Toshiba). Исследования дна полости рта методом МРТ проводилось в режимах Т1-ВИ, Т2-ВИ, STIR в сагиттальной, коронарной и трансверзальной проекциях с толщиной среза 5 мм с использованием шейной катушки. В исследовании участвовали 50 пациентов (45 мужчин, 5 женщин) в возрасте от 41 до 73 лет. Результаты во всех случаях сопоставлялись с данными, полученными при патогистологических и интраоперационных исследованиях.
Результаты. Из 50 пациентов у 12 человек (24%) опухоль располагалась в области языка, у 15 пациентов (30%) в области дна полости рта, на миндалинах у 16 человек (32%), мягком небе - 5 человек (10%), слизистая щеки - 1 пациент (2%), альвеолярный отросток - 1человек (2%). По распространенности опухолевого процесса 29 пациентов были с Т3 стадией (58%), 7 пациентов с Т4 (14%), 12 пациентов с Т2 (24%), 2-с Т1(4%). По степени поражения лимфатических узлов 14 человек с N1(28%) стадией, 10 - с N2(20%), у 2 человек - N3 стадия (5%). В 2 случаях (4%) было выявлено поражение нижней челюсти.
Анализ результатов МСКТ и МРТ у больных с установленным диагнозом рака орофарингеальной зоны включал оценку размеров опухоли, распространенности опухолевого процесса по мышцам и костным структурам, переход за среднюю линию, степень инфильтрации межмышечной и подкожной клетчатки, поражение лимфатических узлов. Было установлено, что МСКТ - семиотика плоскоклеточного рака полости рта и ротоглотки соответствует МРТ-семиотике и включает в себя прямые и косвенные признаки. Прямыми признаками злокачественной опухоли являлись объемное разрастание патологической ткани, истончение жирового слоя или полная облитерация жировых пространств, инфильтрация мышечной ткани и костная деструкция. Косвенными признаками были структурная неоднородность ткани (при наличии некроза), изменение показателей плотности после введения контрастного вещества при МСКТ - исследовании и изменение сигнала при МРТ.
С помощью КТ сложно было выявлять опухоли малых размеров (Т1стадия) и их границы в результате низкой контрастности, а также новообразования с поверхностным распространением (рис. 1). Вместе с тем, 72,0% обследованных больных имели Т3, Т4 стадии опухолевого процесса и после болюсного введения контрастного вещества контрастность опухоли повышалась. С увеличением размера опухоли отмечалась неоднородность усиления из-за наличия некроза (рис. 2). Жировые пространства подъязычной области в нормальном состоянии представляют собой симметричную зону низкой плотности между челюстно-подъязычной и подбородочно-подъязычной мышцами. Облитерация жировых пространств подъязычной области служила основным показателем опухолевого поражения при выявлении небольших образований дна полости рта (рис. 3,4).

Рис.1. Пациент Ж., 58 лет. МСКТ ротоглотки в аксиальной проекции: А - нативное исследование, В - с внутривенным болюсным контрастированием. Небольшая инфильтративная опухоль ротоглотки (левой небной миндалины Т1 стадии). Границы опухоли не дифференцируются, накопление контраста слабое (показатели плотности в нативной фазе исследования 45 ед.Н, после внутривенного болюсного усиления - 56 ед.Н). Определяется смещение левой стенки ротоглотки, сглаженность контура (стрелки)
Рис. 2. Пациент К., 65 лет. МСКТ полости рта с внутривенным болюсным контрастированием в аксиальной проекции. Опухоль передних отделов дна полости рта Т4 стадии. Выявляется опухолевое образование размерами 4,5х3,5 см (стрелки) неоднородной структуры. Отмечается инвазия опухоли в нижнюю челюсть
Рис.3. Пациент Ч.,54 года. МСКТ в аксиальной проекции с внутривенным болюсным контрастированием. Небольшая опухоль дна полости рта с переходом за среднюю линию (стрелки). Инфильтрация жировых пространств дна полости рта
Рис.4. Пациент П., 48 лет. МСКТ полости рта с внутривенным болюсным контрастированием. В передних отделах дна полости рта центрально и слева дифференцируется участок низкой плотности размерами 0,8х0,4 см (стрелки). Накопление контраста слабое, показатели плотности 65-67 ед.Н. Границы опухоли четко не определяются, при этом распространения за среднюю линию не обнаружено. Отмечается облитерация жировой клетчатки подъязычной области слева. Справа жировые прослойки дифференцированы, мышцы не изменены. Лимфатические узлы шеи не увеличены
Сложно было выявлять опухоли малых размеров (Т1,Т2 стадии), расположенные в передних отделах дна полости рта из-за расположенных рядом костных тканей, зубов, наличия пломбировочного материала вследствие выраженных артефактов от плотных структур. В ряде случаев визуализацию облегчало наличие язвенного дефекта в структуре опухоли (рис. 5). При всех опухолях Т3, Т4 стадии определялось повышение плотности после введения контрастного вещества, их края четко визуализировались относительно окружающих тканей. Во всех случаях Т3, Т4 стадии удавалось определить размер опухоли и оценить инфильтрацию и распространение в соседние зоны, а также за среднюю линию (рис. 6).
Особенностью МРТ являлась высокая контрастность мягких тканей. Плотные костные ткани или зубоврачебный материал не создавали артефактов, что давало возможность получать четкое изображение опухоли полости рта, определять распространение в мягкие ткани, глубокие отделы орофарингеальной зоны, в область неба. На Т1-ВИ все опухоли имели ту же интенсивность сигнала, как у окружающих мышц или слабее (рис.7).
Рис. 5. Пациент З.,61 год. МСКТ ротоглотки в аксиальной проекции с внутривенным болюсным контрастированием. Опухоль Т2 стадии левой боковой поверхности языка в средней трети. Щелевидная язва, окруженная ободком повышенной плотности (стрелки)
Рис.6. Пациент З., 73года. МСКТ полости рта, ротоглотки в аксиальной проекции с внутривенным болюсным контрастированием. В области корня языка и средней трети визуализируется опухолевый узел размерами 6,4х4,5 см без признаков некроза, с инфильтрацией жировых пространств справа (стрелки). Опухоль накапливает контраст, повышая плотность до 80 ед.Н
Рис.7. Пациент С., 55 лет. МРТ ротоглотки в сагиттальной проекции в режиме Т1-ВИ. Опухоль дна полости рта с переходом на нижнюю поверхность языка (стрелки)
После введения контрастного вещества все опухоли показывали усиление сигнала. При локализации опухолевого процесса в области языка (12 пациентов) границы опухоли визуализировались более четко. В режиме Т2-ВИ опухолевые узлы проявлялись более высокой интенсивностью сигнала, чем у окружающих мышц (рис. 8).
Сложно было с помощью МРТ визуализировать опухоли любых размеров с поверхностным распространением, не выходящие за пределы слизистой оболочки. Опухоли малых размеров (Т1 стадия) в 2 наблюдениях были однородны, не имели центральной зоны некроза и сливались с мышцами. С увеличением размера опухолевого узла отмечалась неоднородность структуры. В наших исследованиях удалось выявить небольшие опухоли Т1 и Т2 стадий, локализованные в области языка и дна полости рта. В 9 наблюдениях опухоли Т2 стадии, не накапливающие контраст при МСКТ исследовании, хорошо визуализировались при МРТ в режимах Т2-ВИ, STIR, проявляясь сигналом высокой интенсивности. Можно было четко видеть границы опухоли и оценить ее размеры (рис. 9,10).
Рис. 8. Пациент П., 76 лет. МРТ полости рта в сагиттальной проекции в режиме Т2-ВИ. Опухоль языка, высокая интенсивность сигнала на фоне окружающих мышц (стрелки)

Рис. 9. Пациент А., 66 лет. МРТ дна полости рта в сагиттальной проекции в режиме Т2-ВИ. Опухоль дна полости рта размерами 2,0х1,8 см с распространением на основание языка Т1N0M0 (стрелки). Границы опухоли четко визуализируются, структура однородная
Не возникало сложностей в выявлении опухолевых узлов Т3, Т4 стадий, имевших все отмеченные выше признаки в различных сочетаниях в 36 исследованиях (рис. 11). Из 50 обследованных с помощью МСКТ и МРТ пациентов у 26 (52,0%) были выявлены метастазы в лимфатических узлах шеи. Поражались преимущественно лимфатические узлы I-II уровня. Признаками метастаза плоскоклеточного рака в лимфатических узлах были: увеличение размера лимфатического узла более 1,0 см, изменение формы лимфатического узла с бобовидной на округлую, структурные нарушения в узле, нечеткость наружных контуров узла, уплотнение окружающей жировой ткани на КТ или изменение сигнала на МРТ.

Рис. 10. А. Пациент Е., 52 года. МРТ полости рта, ротоглотки в аксиальной проекции, Т1-ВИ. Опухоль языка небольших размеров, границы визуализируются с трудом за счет перифокального отека (стрелки); В. Тот же пациент. МРТ в аксиальной проекции, Т2 с подавлением сигнала от жировой ткани. Визуализируются границы опухолевого узла, размеры опухоли языка четко определяются (стрелки)

Рис. 11: А. МРТ полости рта, ротоглотки в аксиальной проекции. Рецидив опухоли языка размерами 6,0х6,5 см с распространением на дно полости рта, правую боковую стенку ротоглотки (стрелки). Выявляется переход за среднюю линию; В. Тот же больной. МРТ полости рта, ротоглотки в коронарной проекции. Опухолевый узел показан стрелками. Просвет ротоглотки сужен, деформирован. Опухоль имеет низкий сигнал на Т1-ВИ, аналогичный сигналу от окружающих мышц, при этом размеры опухолевого узла, его объемные характеристики позволяют четко отграничить от интактных тканей. Также отмечается структурная неоднородность патологического образования за счет некроза
Большинство пораженных метастазами лимфатических узлов имели размеры более 1,0 см, округлую форму (рис. 12). Внутривенное контрастирование при оценке изменений в лимфатическом узле являлось обязательным условием для уточнения внутренней структуры и выявления зон некроза. В результате гипоксии и распада ткани формируется центральная зона некроза, не накапливающая контрастный препарат при внутривенном болюсном усилении. При этом отмечается повышение плотности в периферических отделах лимфатического узла (рис. 13).
Рис. 12. Пациент П., 68 лет. МРТ полости рта, ротоглотки в коронарной проекции. Выявляется увеличенный подчелюстной лимфатический узел округлой формы, неоднородной структуры (стрелки)
Рис. 13. Пациентка К.,64 года. МСКТ ротоглотки, шеи в аксиальной проекции с внутривенным болюсным контрастированием. Рак языка с метастазами в лимфатические узлы средней яремной группы. Отмечается контрастирование пораженных лимфатических узлов по периферии, низкой плотности центральная зона некроза (стрелки). Билатеральное поражение
Рис. 14. Пациент К., 56 лет. МСКТ полости рта в аксиальной проекции в костном режиме. Выявленная в мягкотканном режиме опухоль дна полости рта слева прилежит к слизистой оболочке альвеолярного края нижней челюсти. В костном режиме выявляется очаг деструкции кортикального слоя нижней челюсти слева
Клиническая оценка инвазии опухоли в нижнюю челюсть проводилась на основании клинических симптомов и признаков, а также выполняли пальпацию двумя руками для оценки степени подвижности опухоли относительно нижней челюсти. При этом результаты клинического осмотра всегда требовали корреляции с данными визуализирующих исследований. От степени распространения опухоли зависит объем резекции в соответствии с онкологическими требованиями.
В наших исследованиях у 4 пациентов (3,0%) с первично установленным диагнозом опухолевого поражения полости рта выявлена деструкция нижней челюсти. Очаги лизиса были представлены на КТ-изображениях в виде участков нарушения целости или эрозий кортикального слоя. Признаком поражения костного мозга при КТ была замена низкой плотности нормальной жировой ткани на плотность мягких тканей (рис. 14).
При МРТ-исследованиях оценка инфильтрации костной ткани проводилась по следующим показателям: отсутствие типичного гипоинтенсивного сигнала от кортикального слоя на Т1-ВИ и Т2-ВИ, появление сигнала высокой или средней интенсивности на Т1-ВИ и Т2-ВИ, соответствующего опухолевой ткани, появление гипоинтенсивного сигнала на Т1, гиперинтенсивного сигнала на Т2 или Т2 с подавлением сигнала от жировой ткани, что демонстрировало поражение костного мозга (рис. 15).

Рис. 15. Пациент С.,52 г. МРТ полости рта в аксиальной проекции в режиме Т2-ВИ (А) и Т1-ВИ (В). Рак дна полости рта с распространением на нижнюю челюсть, инфильтрацией мягких тканей щечной, подбородочной области слева. Выявляется деструкция кортикального слоя нижней челюсти слева, поражение костного мозга (стрелки)
Выводы. МСКТ и МРТ являются высокоэффективными методами в обнаружении опухолей полости рта и ротоглотки, а также в оценке степени распространения опухолевого процесса. Алгоритм лучевого обследования пациентов с опухолевым процессом данной локализации должен включать обязательное МСКТ-исследование с внутривенным болюсным контрастированием. МРТ следует рассматривать как метод выбора у пациентов с опухолями малых размеров, в случаях низкой контрастности опухоли на МСКТ-изображениях, а также при наличии выраженных артефактов от зубоврачебного материала, костей. Использование предложенного алгоритма обследования позволяет получать всю необходимую информацию за короткое время одного исследования, не удлиняя период обследования онкологического больного.
Список использованных источников:
1. Аксель Е.М. Злокачественные новообразования в странах СНГ// Матер. III съезда онкологов и радиологов СНГ. - Минск, 2004. - Ч. 1. - С. 210-211.
2. Чиссов В.И., Старинский В.В., Петрова Г.В. Злокачественные новообразования в России в 2007 году. - М. - 2009. - 244 с.
3. Lenz M., Greess H., Baum U., Dobritz M., Kersting-Sommerhoff B. Oropharynx, oral cavity, floor of the mouth: CT and MRI// Eur J Radiol. 2000 Mar;33(3):203-15.
4. Mukherji S.K., Isaacs D.L., Creager A., Shockley W., Weissler M., Armao D. CT detection of mandibular invasion by squamous cell carcinoma of the oral cavity// Am J Roentgenol. 2001 Jul;177(1):237-43.
5. Lenz M., Hermans R. Imaging of the oropharynx and oral cavity. Part II: pathology// Eur. Radiol. 1996;6:536-49.
6. Yuasa K., Kawazu T., Nagata T et al. Computed tomography and ultrasonography of metastatic cervical lymph nodes in oral squamous cell carcinoma// Ultrasound Q. 2010; 26(1):45-51.
Подписано в печать: 07.05.2013
Показывает ли МРТ головы опухоль?
"Показывает ли МРТ опухоль головы?" - этот вопрос часто задают пациенты, страдающие цефалгией - длительной и регулярной головной болью разной степени интенсивности. На сегодня магнитно-резонансная томография - один из лучших способов выяснить причину подобных жалоб. Более 15% пациентов безуспешно лечатся у разных специалистов с неправильным диагнозом (гипертоническая болезнь, эписиндром, дистония и пр.), и являются недообследованными. При условии медленного прогрессирования образования симптомов нет, так как головной мозг может смещаться. Это приводит к позднему выявлению онкологического процесса и ухудшает жизненный прогноз.
МРТ определяет опухоль на ранней стадии, до развития развернутых клинических проявлений. Окончательная верификация диагноза возможна после гистологического исследования (биопсии), по томограммам можно предположить характер новообразования.
Что такое опухоль головного мозга? Классификатор
Неопластический процесс в головном мозге бывает первичным и вторичным
Опухоль головного мозга - новообразование, которое появляется в результате неконтролируемого деления клеток: собственно церебральных (нейронов или глии) или какой-либо из окружающих структур - черепных нервов, сосудов, лимфоидной ткани, менингеальных оболочек, костей и хрящей черепа. Причины онкогенеза остаются дискутабельными.
Классификация основана на определении патоморфологических аспектов (гистологический тип клеток и дифференциация), взаимоотношения с окружающими тканями, оценки метастазирования, локализации (супратенториальная и субтенториальная). Не так давно для дифференциации в нейроморфологии начали использовать достижения иммуногистохимии и молекулярно-генетического анализа, что позволило более точно предсказать биологическое поведение опухоли, выбрать подходящий способ терапии.

Запишитесь на МРТ со скидкой 30%
Записаться на МРТ
со скидкой 30%
Мозг - орган-мишень для метастатического поражения, в этом случае говорят о вторичном процессе, расположение материнской опухоли вариативно. Диагностический поиск последней должен быть расширен, опираться на локализацию метастатических очагов.
Покажет ли МРТ опухоль?
МРТ с контрастированием - золотой стандарт в нейроонкологии для выявления опухоли головного мозга. Снимки производят в трех проекциях и разных режимах: Т1, Т2, Flair, спектроскопия и др.
МРТ показывает опухоль головного мозга, локализованную в любом, даже в самом труднодоступном его отделе. Объемные изображения, детализирующие анатомическую структуру и патологические процессы в органе, состоят из множества срезов, с толщиной от 1 мм. Магнитно-резонансное сканирование подразумевает выявление прямых и косвенных признаков новообразования. Изменение интенсивности сигнала при МРТ - достоверный показатель опухолевого процесса, как и размытость контуров, тип роста с инфильтрацией (проникновением в соседние структуры), обнаружение зон некроза, отложений кальция, кровоизлияний на фоне несовершенства опухолевого ангионеогенеза. К косвенным признакам относят:
- масс-эффект - дислокация срединных структур или сосудистого сплетения, сдвиг, сдавление, изменение контуров желудочков;
- гидроцефалию на фоне блокады ликворных путей;
- перитуморозный отек - чем больше он выражен, тем вероятнее злокачественность опухоли и пр.
МР-сканирование показывает и вторичные поражения головного мозга. По локализации метастатических очагов можно предположить расположение первичной опухоли, например, при обнаружении изменений в костях черепа и твердой оболочке необходимо дообследование на предмет выявления рака простаты, почки, меланомы; в веществе - смотрят желудок, легкие и т.п.
Можно ли распознать опухоль с помощью МРТ без контраста?
Нативная и контрастная МРТ: после усиления видны множественные мелкие метастазы головного мозга
Распознать опухоль головного мозга с помощью МРТ без контраста можно на продвинутой стадии. Малые новообразования скульптурируются значительно хуже или не видны совсем, что снижает ценность исследования. При высокой напряженности поля можно сделать нативную МРТ, снимки будут хорошего качества. Магнитно-резонансная томография выдает изображения в зависимости от запрограммированного типа сканирования, контрастирование упрощает выявление опухолей на любой стадии развития, проведение дифференциального диагноза между доброкачественным и злокачественным процессом. Побочные эффекты на введение препарата на основе хелатов гадолиния развиваются крайне редко, меньше чем у 1% людей. При наличии показаний отказываться от контрастного усиления не стоит. Пациентам, страдающим почечной или печеночной недостаточностью в декомпенсированной стадии, может быть выполнена обычная МРТ. Магнитно-резонансное сканирование без динамического контрастирования на томографе с небольшой мощностью обнаружит объемное поражение головного мозга значительных размеров. После внутривенного введения парамагнетика можно более точно определить локализацию, объем, степень инвазии, рассмотреть кровоснабжение опухоли, оценить индивидуальные особенности, что имеет значение для планирования лечения.
Показывает ли МРТ онкологию
Все клиники сети ЦМРТ оснащены современным высокоточным оборудованием. МРТ и другие виды диагностики проводят опытные и квалифицированные специалисты.
Консультация специалиста после диагностики со скидкой 50%.

Магнитно-резонансная томография играет важную роль в обнаружении опухолевых процессов различной локализации. Высокая детализация внутренних структур позволяет выявить рак на ранней стадии, что важно для прогноза. Лечением опухолевой патологии занимается онколог.
Можно ли на МРТ увидеть рак? Магнитно-резонансное сканирование особенно эффективно при обнаружении некоторых типов опухолей головного и спинного мозга, первичных новообразований костей, сарком мягких тканей. При раке шейки матки, мочевого пузыря МР-исследование лучше, чем КТ показывает, насколько глубоко новообразование проникло в соседние структуры, является ли ткань опухолевой или рубцовой.
Рассказывает специалист ЦМРТ
Дата публикации: 10 Ноября 2021 года
Дата проверки: 30 Ноября 2021 года
Содержание статьи
Показывает ли МРТ рак?
Пациенту с подозрением на онкологический процесс МРТ назначают в качестве первичной диагностики, для определения стадии рака, измерения кровотока. Результаты сканирования помогают онкологам планировать лечение — например, хирургическое вмешательство или лучевую терапию, своевременно выявить рецидив: продолженный рост опухоли, метастазирование.
"МРТ — высокочувствительный метод, основанный на анатомической и функциональной информации, поэтому он часто выявляет злокачественные изменения, которые не проявляются в клинических тестах или плохо определяются другими методами визуализации. Таким образом, МРТ является лучшим инструментом для обнаружения и оценки опухоли на начальной стадии заболевания."
Marcos Fernando de Lima Docema, Paulo Aguirre Costa, Felipe Eduardo Martins de Andrade etc. Magnetic resonance imaging-guided occult breast lesion localization and simultaneous sentinel lymph node mapping. World Journal of Surgical Oncology, №12, 2014
Как выглядит злокачественная опухоль на МРТ
По снимкам можно предположить зло- или доброкачественный потенциал новообразования, окончательная верификация диагноза подразумевает биопсию. Косвенные признаки, свидетельствующие об озлокачествлении:
- размытость контура, отсутствие визуализации четкой границы между опухолью и соседними тканями
- неоднородность структуры: очаги некроза, множественные кисты, отложение кальция и пр
- избыточное развитие сосудистой сети, множественные анастомозы, явная задержка контрастного вещества
- перифокальный отек в виде размытого ореола вокруг очагового образования, зоны некроза (омертвения)
- пораженные лимфатические узлы — опухолевая лимфаденопатия
Как выглядят метастазы на МРТ
Видны ли метастазы на МРТ, зависит от их размеров: МР-изображения показывают очаги более 1,5-2 мм, меньшие отсевы опухоли обнаруживает ПЭТ-КТ.
На снимках метастазы выглядят, как очаговые неоднородные образования, единичные или множественные, с тенденцией к слиянию, может присутствовать зона некротизации. Пораженный лимфатический узел чаще округлой формы, увеличен в размерах. Для лучшей визуализации используют контрастное вещество на основе солей гадолиния.
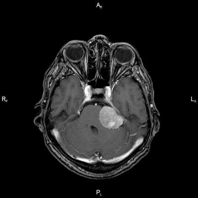
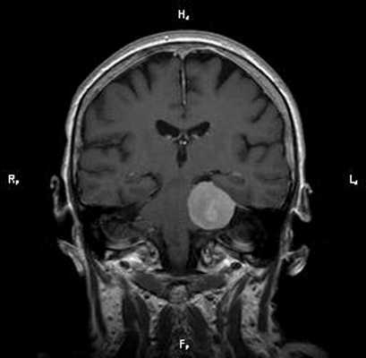
Пациент Р. 62 лет
Проблема: жалобы на частые головные боли, снижение слуха (левое ухо), а также шум в ушах (больше слева). Пациент был направлен на МРТ головного мозга в ЦМРТ с целью уточнения диагноза.
Диагноз: Онкология. Менингиома мосто-мозжечкового угла
Врач ЦМРТ
При МРТ головного мозга в левом мосто-мозжечковом углу определялось больших размеров округлой формы внемозговое патологическое образование, с четкими ровными контурами, широким основанием, прилежащее к твердой мозговой оболочке. После внутривенного контрастирования отмечалось равномерное, выраженное усиление интенсивности МР-сигнала от вышеописанного образования, а также твердой мозговой оболочки. Пациенту был поставлен диагноз (менингиома левого мосто-мозжечкового угла).


Какая МРТ покажет онкологию?
Для получения диагностически ценных результатов необходимо пройти обследование на оборудовании экспертного класса с напряженностью магнитного поля 1,5-3,0 Тесла. Наиболее информативна — мультипараметрическая МРТ. Если нет противопоказаний — аллергии на гадолиний, продвинутой стадии почечной недостаточности — магнитно-резонансную томографию в онкологической практике выполняют с контрастированием.
Особенности проведения МРТ при онкологии
Диагностическая процедура безболезненна и обычно длится 30-60 минут, в зависимости от области интереса. Особенной подготовки не требуется. Важно информировать врача о перенесенных операциях, установленном оборудовании: кардио-, мио-, нейростимуляторах, постоянных протезах, помпах для подачи лекарств, металлических имплантатах и пр.
Не забудьте взять с собой результаты ранее выполненных исследований, выписки из стационара, заключение онкоконсилиума.
Описание МРТ- снимка в ЦМРТ
В сети клиник ЦМРТ при неоднозначных результатах магнитно-резонансной томографии можно получить услугу “Второе мнение”: сделанные ранее снимки опишет опытный рентгенолог без учета имеющегося заключения. Мера позволяет уточнить диагноз. В сложных случаях данные анализируют коллегиально.
Доброкачественные и злокачественные опухоли
Опухоль - патологический очаг роста видоизмененной ткани в различных органах и структурах организма. Опухоли бывают доброкачественными и злокачественными. Они отличаются скоростью и характером роста, клеточным строением и влиянием на организм.
Акции

Полное обследование на онкологические заболевания для мужчин и женщин.

Онкоконсилиум может потребоваться как при лечении в «СМ-Клиника», так и пациентам других медицинских учреждений с целью получения альтернативного мнения.

«СМ-Клиника» предоставляет своим пациентам предоперационное обследование со скидкой до 72%!

Консультация врача-хирурга по поводу операции бесплатно!
Содержание статьи:
Опухоль (tumor, новообразование) - патологический очаг роста видоизмененной ткани в различных органах и структурах организма. Причины возникновения новообразований - бесконтрольное деление, рост и дифференцировка клеток. Опухоли бывают доброкачественными и злокачественными.
Доброкачественное новообразование - скопление клеток, характеризующееся медленным неинвазивным ростом, наличием капсулы, отсутствием или минимальным общим влиянием на организм. Клеточный состав доброкачественной опухоли качественно и функционально максимально схож с клетками здоровой ткани, из которой она развилась.
Злокачественные опухоли (cancer, рак) характеризуются быстрым инвазивным ростом, значительным отрицательным влиянием на организм. Клетки злокачественных новообразований активно делятся, по строению и функциям они отличаются от нормальных клеток, вплоть до невозможности определения - из какой ткани возник первичный очаг.
Виды доброкачественных и злокачественных опухолей
Доброкачественные новообразования появляются из клеток различных тканей, классифицируются и именуются по этому признаку. В их названии сочетаются латинское наименование ткани, из которой она возникла, и суффикс -ома, обозначающий опухоль.
Классификация доброкачественных опухолей
- . Состоит из клеток и волокон соединительной ткани. Часто встречается подкожная фиброма, новообразования этого типа в грудных железах, матке, яичниках. Если в состав опухоли входят и другие ткани, это отражается в названии: фиброаденома, фибромиома, фибролипома. . Доброкачественное образование, аналогичное по структуре жировой ткани. Его характерная особенность - наличие капсулы. Липомы нередко бывают болезненными, могут достигать значительных размеров. Чаще локализуются на поверхности кожи, но встречаются и на внутренних органах. Ангиолипомой называют липому, внутри которой прорастают кровеносные сосуды.
- Эпителиома. Развивается из плоскоклеточного эпителия кожи или слизистых оболочек. К доброкачественным эпителиомам относится базальноклеточная опухоль (базалиома).
- Хондрома. Одиночная или множественная доброкачественная опухоль бугорчатой структуры, развивающаяся из хрящевой ткани. Характеризуется очень медленным ростом, зачастую не проявляется никакими симптомами.
- Остеохондрома. Крупное неподвижное образование, развивающееся на костях вблизи крупных суставов.
- Остеома. Новообразование из костной ткани, возникшее в результате дефекта закладки скелета при эмбриогенезе. Может быть единичной или множественной, очень редко озлокачествляется.
- Миома. Капсулированное образование плотной консистенции, развивающееся из мышечной ткани. Часто наблюдается в матке. Может быть единичной, множественной, мелкой или крупного размера. Рабдомиома - новообразование из поперечнополосатой мышечной ткани, лейомиома - из гладкой. . Представляет собой красное или синее родимое пятно с расширенными капиллярами. Часто располагается на кожных покровах, значительно реже - на внутренних органах.
- Ангиома. Доброкачественная врожденная сосудистая опухоль. Образуется из венозных, артериальных или капиллярных сосудов. Часто локализуется на слизистых оболочках ротовой полости, губах, щеках. Множественные ангиомы могут разрастаться до больших размеров и причиняют эстетический дискомфорт. В случае развития новообразования в головном мозге существует опасность тромбоза, кровоизлияния. Частое травмирование или УФ-облучение увеличивают риск озлокачествления ангиомы.
- Лимфангиома. Болезненная припухлость, состоящая из расширенных лимфатических сосудов. Возникает в период внутриутробного развития, останавливается в росте и регрессирует после рождения.
- Ганглиома. Доброкачественная опухоль из нервной ткани. Нередко располагается в головном мозге и вызывает опасные для жизни симптомы. Характеризуется высоким риском озлокачествления.
- Невринома. Опухолевые образования в виде узелков на спинных, периферических, иногда - черепных нервах. Вызывают неврологическую симптоматику.
- Неврома. Доброкачественная опухоль, локализующаяся на различных структурах нервной системы. Для нее характерен болевой синдром.
- Менингиома. Образование, которое развивается в оболочках головного мозга. При значительной величине и быстром росте может сопровождаться различными признаками - слепотой, глухотой, изменением сознания.
- Нейрофиброма. Доброкачественное образование из оболочек нервов. Имеет характерный вид «кофейных пятен» на коже практически в любой области тела. Опухоли округлые, мягкой консистенции, безболезненные, в редких случаях могут вырастать до огромных размеров.
- Папиллома. Развивается из эпидермальных клеток. Папилломы на слизистых оболочках называются кондиломами. . Гормонозависимая и гормонопродуцирующая опухоль из железистой ткани. Нередко развивается в простате. Встречается и в других железах - молочных, щитовидной, сальных, слюнных, гипофизе.
- Киста. Полостное образование округлой формы без четких границ, заполненное жидкостью. Бывает врожденной и приобретенной, развивается в брюшной полости, головном мозге, костях, на внутренних и наружных половых органах.
- Невус (родинка). Доброкачественное образование, присутствующее практически у каждого человека. При частом травмировании и УФ-облучении существует риск их озлокачествления.
- Тератома. Врожденное новообразование, развивающееся на стадии эмбриогенеза. Локализуется в яичниках у женщин, в яичках у мужчин, в крестцово-копчиковой области у детей, а также в мозге. Включает различные ткани, ногти, волосы, фрагменты кишечника и других органов. Склонна к малигнизации.
Классификация злокачественных новообразований
Злокачественные опухоли делятся на две группы: эпителиального происхождения - рак (карцинома, cancer) и соединительнотканного - саркома.
При высокодифференцированных новообразованиях, когда возможно определить вид ткани, из которой развился рак, название уточняют: плоскоклеточный ороговевающий, фолликулярный, папиллярный cancer, аденокарцинома. При низкодифференцированных опухолях применяется конкретизация по опухолевой форме клеток: мелкоклеточный, перстневидноклеточный рак
Такой же подход используется при классификации сарком. Если злокачественная опухоль высокодифференцированная, ее название повторяет название ткани, из которой она развилась: мио-, фибро-, липосаркома и т. д.
Признаки доброкачественной и злокачественной опухолей
Развитию доброкачественных и злокачественных новообразований сопутствуют разные симптомы.
Симптоматика доброкачественных опухолей
Доброкачественное образование чаще растет медленно. Первым его проявлением, если опухоль располагается на видимых местах кожи и слизистых оболочек, обычно бывает небольшая припухлость (шишка), зачастую подвижная, не спаянная с кожей, безболезненная. Кожный покров на ее поверхности обычного цвета и структуры, не воспален.
Такие опухоли крайне редко оказывают общее отрицательное влияние на организм только в случае, если достигают значительных размеров, сдавливают лежащие рядом органы, сосуды или нервы. Если новообразование располагается в головном или спинном мозге, оно может быть опасным, так как вызывает сбой важных функций - зрения, слуха, обоняния, дыхания, или неврологическую симптоматику - нарушение двигательных функций, осязания, расстройство функций тазовых органов.
В основном доброкачественные опухоли доставляют пациентам психологический и физический дискомфорт из-за нахождения на видных местах тела, сдавливания одеждой, натирания, периодического травмирования.
Признаки злокачественных опухолей
Злокачественные новообразования растут быстро, при нахождении на коже или слизистых оболочках они зачастую выглядят как бугристые изъязвленные наросты, язвы с неровными краями и поверхностью, кровоточащим дном. В основном они плотные, мало- или неподвижные, спаяны с кожей. Для раковых опухолей характерна болезненность. Может наблюдаться увеличение регионарных лимфоузлов (расположенных рядом с первичным очагом).
Злокачественные опухоли оказывают негативное влияние на организм. Оно обусловлено как опухолевой интоксикацией, так и быстрым инвазивным ростом образования, прорастанием сосудов и нервов. Пациенты отмечают следующие симптомы:
- слабость, вялость, быстрая утомляемость;
- незначительное повышение температуры тела;
- потеря аппетита, извращение вкуса, тошнота, рвота;
- снижение массы тела;
- болевой синдром;
- кахексия - истощение.
Симптоматика будет зависеть и от того, в каком месте расположено злокачественное новообразование. Для опухолей пищевода характерны затруднение глотания, поперхивание, пищеводные кровотечения. При образованиях в дыхательных путях и легких отмечаются затруднение дыхания, кашель, одышка. Новообразования ЖКТ вызывают диспепсические расстройства, желудочные и кишечные кровотечения.
Отличия доброкачественных и злокачественных опухолей
Доброкачественные и злокачественные новообразования отличаются по ряду признаков - скорости и характеру роста, клеточному строению, влиянию на организм. Для удобства восприятия сравнительную характеристику доброкачественных и злокачественных опухолей можно представить в виде таблицы.
| Характеристика | Доброкачественная опухоль | Злокачественная опухоль |
| Скорость роста | медленная | быстрая |
| Характер роста | экспансивный - опухоль растет в капсуле, раздвигая окружающие ткани | инвазивный - новообразование прорастает окружающие ткани, расположенные рядом сосуды и нервы |
| Поверхность | чаще ровная, гладкая | бугристая |
| Граница | четкие | нет четких границ |
| Консистенция | мягко- или плотноэластичная | чаще твердые, неравномерной консистенции |
| Спаянность с кожей | не связаны с кожей | определяется спаянность с кожным покровом |
| Подвижность | сохранена | чаще отсутствует |
| Нарушение целостности кожи | не нарушает целостность кожи | возможны изъязвления |
| Дегенеративные изменения в ткани опухоли | отсутствуют или минимальные | возможны кровоизлияния в ткань опухоли, некрозы |
| Кровоснабжение новообразования | нормально сформированные кровеносные сосуды | атипичное кровоснабжение по типу капиллярного |
| Состояние регионарных лимфоузлов | не изменены | поражены |
| Общее влияние на организм | редко, при образованиях значительных размеров, сдавливающих расположенные рядом органы, сосуды,нервы, либо при образованиях в головном и спинном мозге | ухудшение общего состояния, опухолевая интоксикация |
| Кахексия (истощение) | нет | присутствует, в большинстве случаев на поздних стадиях |
| Степень дифференциации клеток | высокая, клетки внешне и функционально схожи со здоровыми | низкая, клетки значительно отличаются по строению и функции от нормальных |
| Энергообмен | в норме | ускорен |
| Метастазирование | не метастазируют | метастазы в регионарные лимфоузлы, отдаленные метастазы гемато- и лимфогенным путем |
| Вероятность рецидива | отсутствует, за исключением опухолей с основанием (т. н. «ножкой») | существует |
| Стабилизация процесса | возможна | нет |
| Прогноз | благоприятный | при своевременной диагностике и лечении - выздоровление (длительная ремиссия), при выявлении на поздних стадиях - ухудшение качества и уменьшение продолжительности жизни вплоть до летального исхода |
Диагностика доброкачественных и злокачественных опухолей
Самостоятельно отличить доброкачественное новообразование от злокачественного затруднительно, поэтому при любых признаках опухолевого процесса следует как можно быстрее обратиться к врачу. Ранняя диагностика и вовремя начатое лечение существенно повышают шансы на успех терапии. Поводом для обращения к доктору должны стать не только непосредственно обнаруженная на теле опухоль, но и другие симптомы, не имеющие явного объяснения: постоянная слабость, быстрая утомляемость, потеря веса, тошнота, болевой синдром, одышка, осиплость голоса, маточные кровотечения и др.
Первый этап диагностики, помимо осмотра и сбора анамнеза, включает общие исследования. К ним относятся:
- общий анализ крови, мочи;
- биохимический анализ крови;
- рентген или ФЛГ органов грудной клетки; , КТ или МРТ пораженной области.
Дополнительно, в зависимости от места локализации образования, могут быть назначены маммография, ФГДС, анализ кала на скрытую кровь, колоноскопия, ректороманоскопия, анализ крови на гормоны и другие исследования.
Основной способ дифференциальной диагностики доброкачественных и злокачественных опухолей - гистологическое исследование. Ему может подвергаться кусочек ткани, взятый при диагностической биопсии, жидкое содержимое кисты, непосредственно удаленное новообразование. Помимо гистологического анализа, применяются другие методы - цитологический, иммуногистохимический.
При некоторых доброкачественных или злокачественных опухолях шансы на излечение существенно повышает самодиагностика. Так, женщинам рекомендуется ежемесячно проводить самообследование груди, всем людям без исключения следует периодически осматривать имеющиеся или вновь появляющиеся родинки. Именно в этих зонах легко самостоятельно заметить даже малейшие изменения.
Может ли доброкачественная опухоль стать злокачественной?
Процесс перерождения доброкачественной опухоли в злокачественную называется малигнизацией. Ему подвержены не все доброкачественные новообразования. Некоторые не озлокачествляются никогда, какие-то из доброкачественных опухолей имеют более высокий риск малигнизации, другие - менее. Так, миомы, липомы, фибромы меньше подвержены озлокачествлению. Чаще перерождаются в рак аденомы, полипы в желудке, кишечнике.
Провоцирующие факторы для малигнизации разные, они зависят в том числе от вида доброкачественных образований, их расположения. В целом их можно разделить на внешние факторы - УФ-излучение, радиоволны, химические вещества, токсины, вирусы, механические повреждения, и внутренние - генетическая предрасположенность, гормональный, иммунный сбой.
Основные этапы превращения доброкачественной опухоли в злокачественную:
- дисплазия - трансформация здоровых клеток в атипичные;
- возникновение специальной микросреды, способствующей быстрому размножению клеток;
- активное деление измененных клеток, увеличение их количества;
- формирование стволовой линии - основы злокачественной опухоли, клеточный состав которой может изменяться;
- рак in situ - развитие злокачественного образования без внедрения в окружающие ткани;
- инвазия и появление метастазов.
Основной способ профилактики перерождения доброкачественных опухолей в злокачественные - это их ранняя диагностика, наблюдение и, при необходимости, удаление. Важно минимизировать воздействие внешних канцерогенных факторов, придерживаться здорового образа жизни, правильного питания, отказаться от вредных привычек.
Михайлов Алексей Геннадьевич оперирующий онколог, врач высшей квалификационной категории, к.м.н. стаж: 21 год
Информация в статье предоставлена в справочных целях и не заменяет консультации квалифицированного специалиста. Не занимайтесь самолечением! При первых признаках заболевания необходимо обратиться к врачу.
Аденома слюнной железы - симптомы и лечение
Что такое аденома слюнной железы? Причины возникновения, диагностику и методы лечения разберем в статье доктора Куфтарева Виталия Александровича, стоматолога со стажем в 10 лет.
Над статьей доктора Куфтарева Виталия Александровича работали литературный редактор Елизавета Цыганок , научный редактор Пётр Козлов и шеф-редактор Маргарита Тихонова
Определение болезни. Причины заболевания
Аденома слюнной железы (Salivary gland tumor) — это доброкачественная опухоль, которая развивается из эпителия выводных протоков больших и малых слюнных желёз.

Аденома постепенно увеличивается, и появляется безболезненная припухлость, из-за чего лицо становится асимметричным.
Исследователи склоняются к трём главным факторам риска появления аденомы слюнной железы:
- воздействие вредных веществ — радиация, работа на вредном производстве, например связанном с изготовлением резины и добычей асбеста, облучение при лечении рака головы и шеи [9][11] );
- влияние вирусов — вируса герпеса, Эпштейна — Барра;
- генетический фактор.
К факторам риска также косвенно относится воспаление слюнной железы, но явные причины аденомы медицине пока неизвестны.
Плеоморфная аденома слюнной железы
Опухоли слюнных желёз встречаются редко и в большинстве случаев они доброкачественные [9] . Чаще других доброкачественных опухолей развивается плеоморфная аденома (смешанная опухоль): в 70 - 80 % случаев, т. е. 2-3,5 случаях болезней слюнных желёз на 100 тыс. населения в год [6] [10] . Она может возникнуть в любом возрасте, но обычно развивается у людей от 20 до 49 лет. Мужчины и женщины болеют плеоморфной аденомой в соотношении 1,0:1,6 [1] [11] . Как правило, она развивается в околоушных, поднижнечелюстных и подъязычных железах. Часто поражает твёрдое и мягкое нёбо.
![Плеоморфная аденома [12]](https://probolezny.ru/media/bolezny/adenoma-slyunnoj-zhelezy/pleomorfnaya-adenoma-12_s.jpg)
При обнаружении схожих симптомов проконсультируйтесь у врача. Не занимайтесь самолечением - это опасно для вашего здоровья!
Симптомы аденомы слюнной железы
Часто протекает бессимптомно и медленно. Возникает в любых слюнных железах, но чаще поражает околоушные, чуть реже поднижнечелюстные и малые железы [2] .

В период быстрого роста опухоль за несколько месяцев увеличивается в 2-3 раза, из-за чего появляется припухлость, которая изменяет конфигурацию лица или шеи — это первый признак, на который обращают внимание. На ощупь она плотная и безболезненная, легко смещается.
Если опухоль достигает значительных размеров, слюнная железа не может работать как прежде, окружающие ткани отекают и воспаляются, из-за чего появляется боль. Когда проток слюнной железы полностью перекрывается, слюноотделение снижается, в связи с чем возникает сухость во рту.
Крупная аденома может сдавить кровеносные сосуды и нервы. В таком случае кожа начинает неметь и покалывать, иногда появляется чувство жжения или ползающих мурашек. Также возможен паралич некоторых мимических мышц. Если опухоль деформировала глотку, пациенту становится сложно глотать еду [2] [3] .
Патогенез аденомы слюнной железы
Под воздействием внешних и внутренних факторов риска клетки протоков слюнных желёз начинают быстрее расти и делиться. Как правило, они окружены от окружающих тканей капсулой, поэтому не поражают соседние здоровые клетки, как это происходит при развитии злокачественной опухоли. В результате скопления клеток образуется аденома.
Медленный рост может сменяться бурным развитием. Выросшая опухоль сдавливает окружающие ткани, нарушая тем самым их обмен веществ. Обычно имеет дольчатое строение [1] .
Классификация и стадии развития аденомы слюнной железы
Аденома слюнных желез делится на 12 видов:
- Плеоморфная аденома (или смешанная опухоль) — опухолевый узел круглой или овальной формы, который находится в капсуле и чётко отграничен от ткани слюнной железы. Толщина капсулы может меняться. На разрезе ткань белесоватая и блестящая, иногда с хрящевыми образованиями. Если рассмотреть опухоль под микроскопом, можно увидеть многообразие клеточных элементов, поэтому её назвали смешанной. Некоторые клетки могут оттесняться к капсуле, а на их месте образуются щели, заполненные жидкостью или коллагеновыми волокнами. Когда опухоль достигает больших размеров, обменный процесс в ткани может нарушиться, что приводит к кровоизлиянию и появлению очагов некроза. Изначально это доброкачественная разновидность аденомы, но она может стать злокачественной. Обычно это происходит через 15-20 лет от появления аденомы. После удаления возможен рецидив [1][2][7][8] .
- Аденолимфома (Уортина опухоль) — состоит из железистых структур и лимфатических клеток, оформленных клетками эпителия. Внешне опухоль бывает круглой и овальной формы с кистозными образованиями внутри (или просто пустотами). Такая аденома может содержать как много маленьких образований, похожих на ячейки, так и 3-4 крупные кисты, заполненные прозрачной или слизистой жидкостью. Кисты чередуются с плотными участками разного цвета (от белесовато-серого до бурого). Опухоль окружена очень тонкой эластичной оболочкой, шероховатой на ощупь. При прощупывании можно почувствовать, как содержимое опухоли движется под оболочкой. Иногда несколько опухолевых узлов объединяются под общей капсулой. Аденолимфома может быть инфарктной или инфицированной. Это случается, когда часть ткани внутри опухоли отмирает. Существует теория, что такая аденома зарождается в лимфатической ткани, которая постепенно врастает в ткань слюнной железы. Аденолимфома крайне редко рецидивирует и озлокачествляется, поэтому хирургическое лечение показывает хорошие результаты [1][2][4][7] .
- Онкоцитома — состоит из крупных эпителиальных клеток с большим количеством цитоплазмы. Встречается в основном у пожилых людей [1] . Имеет сферическую или овальную форму с гладкой поверхностью, но иногда бывает дольчатой или узловой. Размер варьируется от 1 до 5 см. Онкоцитома развивается под тонкой капсулой или без неё. Внутри есть мелкие кистозные включения с мутной жидкостью, но нет кровеносных сосудов. Опухоль проникает в окружающие ткани и органы, что сближает её со злокачественными образованиями. При этом её клетки устойчивы к рентгеновскому излучению, поэтому лучевая терапия в этом случае бесполезна. Однако грамотно проведённая операция с полным удалением опухолевой ткани поставит точку в лечении, так как онкоцитома редко рецидивирует [1][4][7] .
- Базальноклеточная аденома — делится на три типа: тубулярный, трабекулярный и мембранозный. Очень редкая опухоль, которая встречается в 1-3 % случаев аденом слюнных желёз. Чаще болеют люди старше 60 лет, при этом у женщин встречается в 2 раза чаще, чем у мужчин [1] . Опухоль поражает в основном крупные железы, особенно околоушную слюнную железу. На ощупь это твёрдый смещаемый узел. При разрезе имеет чёткую однородную структуру серого или коричневого цвета. Состоит из клеток, похожих на базальные клетки, из которых появляется весь эпителий кожи (его повреждение ведёт к появлению рубцов и шрамов). В отличие от здоровой ткани в этом случае из-за своего нетипичного расположения клетки образуют тяжи, трубки или тонкие мембраны. В одной опухоли могут сочетаться сразу несколько типов строения. В редких случаях аденома может стать злокачественной, при этом рецидивирует только мембранозный тип опухоли, но довольно часто (в 25 % случаев) [1] .
- Каналикулярная аденома — состоит из призматических эпителиальных клеток, которые соединяются между собой, образуя пучки, похожие на бусины. Встречается у пациентов старше 50 лет, женщины болеют в 2 раза чаще, чем мужчины. Как правило, поражает верхнюю губу или щёку [1] . Часто развивается в виде узла, чётко отграниченного от окружающих тканей (у мелких аденом она отсутствует). Рядом с крупной опухолью иногда можно увидеть мелкие узелки [1] .
- Сальная аденома — чрезвычайно редкая опухоль, составляет 0,1 % от случаев аденом слюнных желёз [1] . Состоит из гнёзд здоровых сальных клеток разных размеров. Представляет собой чётко отграниченную безболезненную опухоль до 3 см в диаметре. Эта аденома редко рецидивирует и становится злокачественной [1] .
- Лимфаденома — подразделяется на сальную и несальную опухоль, которая состоит из лимфоцитов и железистых клеток, ограниченных капсулой. Сальная лимфаденома похожа на сальную аденому, описанную выше, только к сальным клеткам добавляются лимфоидные фолликулы. В несальной лимфаденоме нет сальных клеток. Это плотная опухоль со множеством мелких полостей или одной большой полостью. Всего описано 10 случаев лимфоаденомы. Опухоль практически не озлокачествляется и не рецидивирует [1] .
- Протоковая папиллома — делится на инвертированную (преобразованную) протоковую и внутрипротоковую папиллому. Инвертированная папиллома — это плотное безболезненное образование, которое возникает в малых слюнных железах. Растёт не агрессивно. Состоит из большого количества эпителиальных клеток с протоком в центре, который может открываться на поверхность слизистой оболочки. Капсулы у такой опухоли нет. Внутрипротоковая папиллома обычно находится в крупных слюнных железах и представляет собой одну большую кисту, окружённую капсулой. В обоих случаях опухоль достаточно безобидна и после адекватного хирургического лечения обычно не рецидивирует [1] .
- Папиллярная сиалоаденома — экзотическая опухоль сосочкового или бородавчатого вида. Крепится на ножке или широком основании в виде полусферы. Состоит из множества железистых и эпителиальных клеток, расположенных в виде протоков. У сиалоаденомы нет капсулы, она может агрессивно расти, также часто рецидивирует (в 10-15 % случаев) [1] .
- Цистаденома — редкая доброкачественная опухоль. Представляет собой безболезненное и бесформенное образование. Состоит из одной крупной кисты или множества мелких кист, окружённых дольками слюнной железы и соединительной ткани. Характеризуется доброкачественным течением, медленным ростом и отсутствием рецидивов после удаления, однако описаны редкие случаи озлокачествления опухоли [1] .
- Миоэпителиома — состоит из миоэпителиальных клеток, т. е. клеток, похожих на мышечную ткань. Может состоять из разных клеточных структур, но в одной опухоли обычно находят один вид клеток, комбинации встречаются редко. Если долго не лечить опухоль, она может стать злокачественной. При удалении прогноз для миоэпителиомы благоприятный, рецидивы случаются редко [1] .
- Ацинозно-клеточная опухоль — это промежуточная опухоль между доброкачественной и злокачественной. Она активно прорастает в окружающие ткани, но не даёт метастазов. Её клинические проявления похожи на симптомы остальных аденом. Как правило, диагностировать ацинозно-клеточную опухоль получается только с помощью гистологического обследования. Врач оценивает её злокачественность и решает вопрос о необходимости лучевой терапии [2] .
Осложнения аденомы слюнной железы
Осложнения делятся на две группы:
- нарушения в органах, возникшие из-за опухоли;
- изменения внутри самой опухоли.
Нарушения в органах
Если аденома увеличивается, прорастает в железистую ткань слюнной железы и замещает её, снижается выделение слюны. Это приводит к появлению сухости во рту и нарушению процессов пищеварения, так как слюна — это важный компонент пищеварительной системы: она участвует в первичной обработке углеводов поступающей пищи.
При сдавливании кровеносного сосуда или нерва появляется сбой в передаче нервных импульсов и поступлении полезных веществ к мышцам лица, что приводит к нарушению их работы и болям. Также длительное сдавливание иногда становится причиной воспаления в сосудисто-нервном пучке, из-за чего могут развиться невралгии и невриты, которые сопровождаются сильной болью.
Изменения внутри опухоли
Доброкачественные опухоли в основном состоят из здоровых, но неправильно расположенных клеток организма. При длительном существовании опухоли может появиться нетипичная группа клеток с повреждённой ДНК. Чем больше таких клеток, тем выше риск, что опухоль станет злокачественной. Такой процесс перерождения аденомы называется малигнизацией.
При удалении крупной аденомы есть риск, что в организме останется небольшая часть клеток, из которых может вырасти новая опухоль, т. е. произойдёт рецидив.
Иногда в крупных опухолях появляются очаги погибших клеток — зоны некроза. Это происходит из-за нарушения обмена веществ внутри опухоли. Такой очаг может привести к серьёзному воспалению и осложнить лечение [1] .
Чем раньше опухоль найдут и прооперируют, тем ниже вероятность развития осложнений.
Диагностика аденомы слюнной железы
Первый признак аденомы — припухлость, но обычно она безболезненная, поэтому пациент попадает к врачу гораздо позже, чем нужно. На более поздней стадии к симптомам прибавляются сухость во рту и боли по ходу ветвей нерва.
![Припухлость при аденоме слюнной железы [13]](https://probolezny.ru/media/bolezny/adenoma-slyunnoj-zhelezy/pripuhlost-pri-adenome-slyunnoy-zhelezy-13_s.jpg)
При этом окончательный диагноз ставят только после удаления опухоли с помощью гистологического исследования, которое определяет тип аденомы по строению клеток.
Опрос и физикальный осмотр
Чтобы сформировать целостную картину, врач уточняет у пациента, когда появилась припухлость, как быстро она увеличивалась, какие изменения появились одновременно с ней, что предпринял пациент по поводу аденомы, есть ли хронические болезни и т. д.
После опроса проводится осмотр. Врач оценивает форму и размер образования, состояние слизистой оболочки над ним, анализирует целостность протоков крупных слюнных желёз и размер лимфатических узлов, проверяет, свободно ли открывается рот, есть ли признаки поражения нерва и сухость во рту.
При ощупывании врач определяет консистенцию образования, наличие болезненности, прилегание к окружающим тканям и подвижность опухоли.
Инструментальная диагностика
Далее используют дополнительные методы обследования:
- Цитологический метод — с помощью специальной иглы у пациента берут биологический материал и исследуют под микроскопом. У этого метода много недостатков: результаты зависят от условий взятия пункции и квалификации врача, проводящего исследование. Так как пункцию берут до операции, под обследование может попасть абсолютно любой участок опухоли, поэтому метод может дать неполную картину болезни. Часто проводят под контролем УЗИ.
- УЗИ — определяет точные размеры и положение опухоли, но иногда участки слюнных желёз перекрываются массивными костными образованиями, например ветвью нижней челюсти, и сигнал до них не доходит.
- Сиалография — очень информативный метод, при котором в проток слюнной железы вводят контрастное вещество, после чего делают рентгеновский снимок. Анализируя распространение контрастного вещества по слюнной железе, можно отличить опухоль от неопухолевой патологии, например слюннокаменной болезни, при которой тоже есть припухлость. Если контрастное вещество вытекает за пределы железы, это указывает на опухоль, так как нарушается структура оболочки железы или протока. Также по ряду признаков можно предположить, злокачественная опухоль или доброкачественная (если целостность железы не нарушена).
- КТ и МРТ — передают трёхмерное изображение слюнной железы и опухоли, что помогает точно определить её положение и размеры. Также с помощью МРТ можно узнать о строении опухоли, что сделает постановку диагноза более точной [1][2][3][4][5] .
![КТ аденомы слюнной железы [14]](https://probolezny.ru/media/bolezny/adenoma-slyunnoj-zhelezy/kt-adenomy-slyunnoy-zhelezy-14_s.jpg)
Лечение аденомы слюнной железы
Основным и единственным вариантом лечения аденомы слюнных желёз является операция. В большинстве случаев удаление опухоли сопровождается повреждением железы и нарушением её работы, поэтому железу тоже вырезают.
Если опухоль образовалась в малой слюнной железе, то её иссекают в пределах здоровых тканей. Иногда небольшую доброкачественную аденому удаляют в пределах её оболочки, но только если у опухоли есть капсула. Этот вариант операции является более щадящим, однако такой метод не используют при лечении плеоморфной аденомы. Это связано с тем, что такая опухоль может стать злокачественной. Также её капсула имеет неравномерную толщину и местами истончается, что затрудняет работу хирурга.
Послеоперационный период длится примерно неделю, дополнительные методы лечения аденомы (например, химио- или лучевая терапия) не требуются.
Хирургическое лечение слюнных желёз может оказаться довольно сложным, поскольку внутри и вокруг желёз находится несколько важных нервов, например лицевой нерв, который проходит через околоушную железу [9] . С этим связаны возможные послеоперационные осложнения, например парез лицевого нерва.
Прогноз. Профилактика
Прогноз благоприятный. При полном удалении железы вместе с опухолью рецидивы случаются крайне редко. В случае щадящего способа лечения есть вероятность повторного появления опухоли. В таком случае операцию проводят повторно и более радикально.
Профилактика аденомы слюнной железы
Как таковых мер профилактики не существует, однако стоит следовать общим рекомендациям:
Читайте также:
