КТ, МРТ при холестериновой гранулеме среднего уха
Добавил пользователь Евгений Кузнецов Обновлено: 21.01.2026
Кафедра оториноларингологии Российской медицинской академии последипломного образования, Москва
Рентгенодиагностическое отделение ЦКБ гражданской авиации
Кафедра оториноларингологии учебно-научного медицинского центра Управления делами Президента России, Москва
Кафедра оториноларингологии РМАПО
МРТ в предоперационном обследовании и послеоперационном контроле при хроническом среднем отите с холестеатомой
Журнал: Вестник оториноларингологии. 2012;77(5): 14‑19
Косяков С.Я., Лазебный В.В., Коршок В.В., Пчеленок Е.В. МРТ в предоперационном обследовании и послеоперационном контроле при хроническом среднем отите с холестеатомой. Вестник оториноларингологии. 2012;77(5):14‑19.
Kosiakov SIa, Lazebnyĭ VV, Korshok VV, Pchelenok EV. The role of MRI in the preoperative examination and postoperative follow up of the patients presenting with a combination of chronic otitis media and cholesteatoma. Vestnik Oto-Rino-Laringologii. 2012;77(5):14‑19. (In Russ.).
Цель работы - изучить возможности определенных режимов МРТ в диагностике холестеатомы, а также определить критерии предлагаемых протоколов. Исследование проводилось в стандартных режимах Т1, Т2, а также в режиме non-EPI DWI. Нами были обследованы пациенты как с первичной холестеатомой, так и с резидуальной и рецидивирующей холестеатомой. Основной алгоритм радиологической диагностики холестеатомы заключался в следующем: низкоинтенсивный сигнал в режиме Т1, сигнал высокой интенсивности в режимах Т2 и non-EPI DWI. В статье представлены 3 клинических наблюдения. Всем пациентам была выполнена МРТ в режимах Т1, Т2 и non-EPI DWI. У 2 пациентов было подтверждено наличие холестеатомы и верифицирован данный факт на операции, а в одном из примеров данный метод позволил исключить наличие холестеатомы.
Холестеатома — это скопление кератина в матриксе чешуйчатого эпителия в полости среднего уха. Только в 2% случаев холестеатома может быть врожденной. В остальных же случаях это приобретенное заболевание, развивающееся на фоне хронического среднего отита в результате ретракции барабанной перепонки [1].
Холестеатома разрушает структуры среднего уха, нарушает такие функции последнего, как слух, равновесие, функцию лицевого нерва и вызывает осложнения.
Осложнения холестеатомы связаны с костной деструкцией в полости среднего уха, что обусловлено механическим давлением и активностью медиаторов воспаления, которые стимулируют остеокласты. Костная деструкция приводит к разрушению цепи слуховых косточек, развитию лабиринтных фистул, эрозиям канала лицевого нерва с развитием пареза и, наконец, к тяжелым внутричерепным осложнениям.
Лечение холестеатомы всегда только хирургическое. Хирургические подходы могут быть различными и включать операции с сохранением задней стенки наружного слухового прохода и ее удалением, с реконструкцией цепи слуховых косточек и стенок паратимпанальных пространств [2]. Закрытые типы операций длительное время применяли с большой осторожностью по причине высокого процента развития как резидуальных заболеваний, так и рецидива холестеатомы. В связи с этим «золотой стандарт» лечения включал обязательную ревизию через год после операции. Например, по данным клиники в Антверпене, повторные оперативные вмешательства у взрослых составляют 57%, из которых только в 7,2% случаев обнаружена резидуальная холестеатома, а в остальных случаях (92,8%) проводились необоснованные оперативные вмешательства [3].
В настоящее время для предоперационного обследования больных широко используется компьютерная томография (КТ) височных костей. Данный метод позволяет определить состояние слуховых косточек, сосцевидного отростка, надбарабанного пространства, стенок барабанной полости, состояние окон лабиринта и внутреннего уха [4]. Однако специфичность КТ в диагностике холестеатомы низка. В связи с этим КТ можно рассматривать только как «дорожную карту» для оценки состояния различных структур среднего уха (сохранены, повреждены, разрушены). Это дает возможность ориентироваться в наличии анатомических структур, определить костную деструкцию, но ни в коем случае не определить, за счет чего произошла деструкция. На КТ невозможно дифференцировать холестеатому, грануляционную, рубцовую ткань и опухоль. Исследования последних 15 лет это подтверждают [5]. Для послеоперационного контроля КТ имеет еще меньшее значение, так как вследствие низкой специфичности не позволяет дифференцировать послеоперационные рубцовые изменения от экссудата или резидуальной холестеатомы. КТ наиболее значима при определении аэрации среднего уха и сосцевидного отростка, но значимость ее снижается при наличии мягкотканных образований [6].
В течение последних нескольких лет было опубликовано несколько работ [5, 7—10] о диагностике холестеатомы с применением магнитно-резонансной томографии (МРТ) в различных режимах (Т1, Т2, EPI DWI и non-EPI DWI). Эти работы были опубликованы в основном врачами-радиологами в соавторстве с оториноларингологами и носят специфический характер, так как информация в них излагается с позиций рентгенологов с указанием массы технических характеристик оборудования и протоколов обследования.
Цель нашей работы — изучить возможности определенных режимов МРТ в диагностике первичной холестеатомы различных размеров в диагностически сложных случаях, резидуальной холестеатомы у пациентов, подвергнутых множественным оперативным вмешательствам. В конечном счете, предполагается популяризировать данный метод и сделать его доступным для лечебной практики.
Методика исследования
Все пациенты были обследованы на МР-томографе Signa HD GE («Helthcare», США) с напряженностью магнитного поля 1,5 Тесла. Обследование выполнялось без контрастирования в импульсных последовательностях:
— Т1 во фронтальной плоскости с подавлением сигнала от жировой ткани с толщиной среза 3 мм;
— Т2 во фронтальной и сагиттальной плоскостях с толщиной среза 3 мм;
— non-EPI DWI в аксиальной плоскости с толщиной среза 2 мм.
При наличии холестеатомы характерны следующие МРТ-признаки:
1. Сигнал низкой интенсивности в режиме Т1.
2. Гиперинтенсивный сигнал или сигнал средней интенсивности в режиме Т2.
3. Сигнал высокой интенсивности в режиме non-EPI DWI.
При наличии воспаления и грануляционной ткани выявляются следующие МРТ-признаки:
1. Сигнал низкой интенсивности в неконтрастном режиме Т1.
2. Cигнал высокой интенсивности в режиме T2.
3. Сигнал низкой интенсивности в режиме non-EPI DWI.
Для холестерол-гранулемы характерны следующие МРТ-признаки:
1. Сигнал высокой интенсивности в режиме Т1.
2. Сигнал высокой интенсивности в режиме Т2.
Основная проблема закрытых методов хирургии уха заключается в необходимости длительного наблюдения. Развитие резидуальной холестеатомы после первичной операции до момента клинических проявлений, как правило, занимает около 12—18 мес [7]. Учитывая огромные пространства нашей страны, повторная ревизия для иногороднего пациента часто представляет финансовую нагрузку. В то же время с широким распространением диагностического оборудования и, в частности, магнитно-резонансных томографов, появляется возможность, применив описанный метод, контролировать состояние заболевания, не прибегая к повторному хирургическому вмешательству.
Идеальным методом скрининга на сегодняшний день является применение МРТ в режиме non-EPI DWI. Преимуществом является отсутствие необходимости применения дорогого контраста (например, гадолиниума) и связанного с его применением возможного нефротоксического действия, сокращение времени обследования на 45 мин (ожидание поздней фазы контрастирования). Обследование только в режиме non-EPI занимает всего 3—6 мин [8].
Существует два диагностических исключения, которые могут маскироваться под наличие холестеатомы и демонстрировать те же закономерности. Это абсцесс (как правило, имеющий клинические признаки) и скопление серы в наружном слуховом проходе.
Метод МРТ обеспечивает высокую безопасность при хирургических вмешательствах, использующих облитерацию паратимпанальных пространств, что дает возможность контроля резидуального заболевания и позволяет диагностировать рецидивы холестеатомы. Проведение МРТ-исследования в режиме non-EPI DWI через 1 год и 5 лет позволяет, в зависимости от результата, планировать хирургическое вмешательство [10, 12].
Послеоперационный контроль заключается в тщательной отоскопии и наблюдении в течение 10 лет, при подозрении на рецидив холестеатомы необходимо проводить МРТ-исследование (в том числе в режиме non-EPI DWI).
Под нашим наблюдением находились 30 пациентов с подозрением на первичную холестеатому (где клиническая картина не была однозначна) и пациенты со сложностями в диагностике, ранее подвергнутые оперативным вмешательствам. Всем пациентам была проведена МРТ основания черепа в стандартных режимах (во фронтальной проекции) и режиме non-EPI DWI (в аксиальной проекции), без контрастного усиления.
Больная Ф., 30 лет, обратилась с жалобами на головокружение, снижение слуха на правое ухо, слизистое отделяемое из правого уха. Болеет в течение 6 лет, лечилась консервативно. При отомикроскопии визуализируется перфорация в верхнем отделе барабанной перепонки.

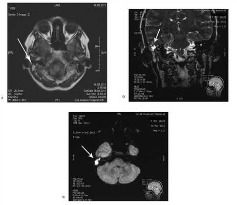
Пациентке была выполнена МРТ основания черепа по описанной методике (рис. 1). Рисунок 1. МРТ основания черепа больной Ф. с хроническим правосторонним гнойным средним отитом. Фистула лабиринта. Холестеатома. а — исследование в режиме Т1; б — в режиме Т2; в — в режиме non-EPI DWI.
В режиме Т1 справа определяется образование с низкой интенсивностью сигнала, а в режиме Т2 и non-EPI DWI — образование с гиперинтенсивным сигналом. Диагноз: хронический правосторонний гнойный средний отит; холестеатома; фистула лабиринта. Пациентка была подвергнута санирующей операции на правом ухе с тимпанопластикой и облитерацией паратимпанальных пространств. Были выявлены холестеатома, заполняющая аттик, адитус, антрум, деструкция цепи слуховых косточек, фистула латерального полукружного канала. Послеоперационный период протекал без особенностей, на 15-е сутки была удалена гемостатическая губка и силиконовая выстилка. При контрольном осмотре ухо сухое, отмечает улучшение слуха, головокружения нет. Через 12 мес проведено повторное МРТ-исследование. Признаков холестеатомы не обнаружено. Получен хороший функциональный результат — ухо толерантно к воде, самоочищается.
Больная У., 25 лет, обратилась с жалобами на снижение слуха на правое ухо, периодические выделения из правого уха. 18 лет назад была выполнена радикальная операция по поводу острого мастоидита, острого гнойного среднего отита справа. После операции развился парез лицевого нерва. В связи с продолжающимися обострениями через 8 лет была выполнена повторная операция с тимпанопластикой и мастоидопластикой. Частота обострений снизилась, но периодические выделения из уха продолжались. При отомикроскопии визуализируется неомембрана на задней стенке наружного слухового прохода с отверстием 2×4 мм, которое ведет в мастоидальную полость. Дно и стенки полости необозримы.

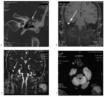
На КТ височных костей справа послеоперационная полость, заполненная мягкотканным образованием, определяется большой костный дефект в направлении сигмовидного синуса и мозжечка (рис. 2, а). Рисунок 2. КТ и МРТ височных костей больной У. с хроническим правосторонним средним отитом. Состояние после радикальной операции (1993 г.), санирующей операции с мастоидопластикой и тимпанопластикой (2003 г.). Холестеатома. Парез лицевого нерва. а — КТ; б — МРТ основания черепа в режиме Т1; в — в режиме Т2; г — в режиме non-EPI DWI.
Больной была выполнена МРТ (рис. 2, б—г).
В режимах Т2 и non-EPI DWI определяется сигнал высокой интенсивности, в режиме Т1 — низкоинтенсивный сигнал. Это может свидетельствовать о наличии холестеатомы мастоидальной полости и пирамиды височной кости. Диагноз: хронический правосторонний средний отит; состояние после радикальной операции в 1993 г. и санирующей операции с мастоидопластикой и тимпанопластикой в 2003 г.; холестеатома; парез лицевого нерва.
Больной произведена санирующая реоперация, в ходе которой удалена холестеатома больших размеров, заполняющая отшнурованную послеоперационную полость. Эта полость распространялась до верхушки сосцевидного отростка, граничила с твердой мозговой оболочкой и достигала верхушки пирамиды височной кости. Полость облитерирована. В послеоперационном периоде получен хороший функциональный результат. Ухо толерантно к воде, не было обострений, гноетечения, головокружений. Сохранилась кондуктивная тугоухость I степени. МРТ через 9 мес подтвердила отсутствие холестеатомы.
Больной А., 44 лет, обратился с жалобами на периодические (2 раза в год) гноетечения из правого уха. Ранее пациенту неоднократно предлагалось оперативное вмешательство.
При отомикроскопии определяется утолщение барабанной перепонки, перфорация не визуализируется, признаков холестеатомы нет.

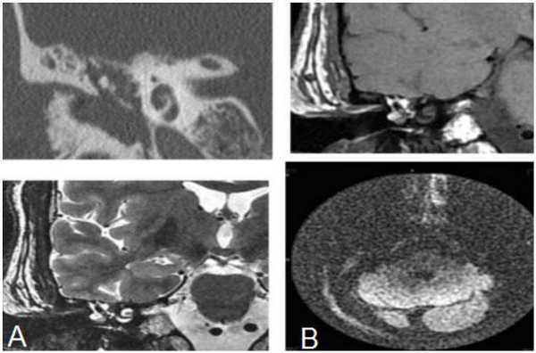
На КТ правой височной кости определяется затемнение в области аттика и антрума, цепь слуховых косточек сохранена (рис. 3, а). Рисунок 3. КТ и МРТ височных костей больного А. с адгезивным средним отитом справа, фиброзной облитерацией аттика. а — КТ; б — МРТ основания черепа в режиме Т1; в — в режиме Т2; г — в режиме non-EPI DWI.
Пациенту выполнена МРТ основания черепа по описанной методике (рис. 3, б—г).
В режиме Т1 и Т2 справа определяется очаг с высокой интенсивностью сигнала, тогда как в режиме non-EPI DWI патологических образований не выявлено. Диагноз: адгезивный средний отит справа, фиброзная облитерация аттика.
В связи с отсутствием данных о холестеатоме операция не производилась, выявленные изменения расценены как фиброзные изменения, оторея была обусловлена периодическим возникновением наружного отита. Больной получал консервативное лечение.
Результаты и обсуждение
Приведенные примеры характеризуют диагностически сложные ситуации, когда пациент перенес, например, несколько обострений, не было четко обозримой перфорации, когда можно было только заподозрить развитие холестеатомы, учитывая данные анамнеза, и, напротив, несколько перенесенных операций затрудняли дифференцирование холестеатомы от послеоперационных изменений.
Проведение пациентам КТ позволило определить мягкотканные образования, но они могли быть обусловлены грануляциями, полипами, рубцовой тканью, мозговой грыжей, а также холестеатомой. Предложенные нами клинические примеры можно разделить на 2 группы. 1-ю группу составили пациенты с хроническим гнойным средним отитом, где была заподозрена первичная холестеатома. Диагностическая сложность состояла в отсутствии явных клинических признаков, наличии косвенных признаков холестеатомы на КТ. 2-ю группу составили пациенты, которые были подвергнуты неоднократным оперативным вмешательствам, однако полного выздоровления не было достигнуто и было подозрение на развитие резидуальной холестеатомы в отшнурованных областях. Для определения наличия и точной локализации распространения резидуальной холестеатомы КТ не могла дать нам достоверной информации, потому что все патологические изменения выглядели абсолютно одинаково. Кроме того, у этих больных периодически возникали обострения, а это само по себе может давать затемнение на КТ. Поэтому нами было принято решение выполнить МРТ основания черепа. Это позволило в большинстве случаев с высокой степенью достоверности подтвердить наличие холестеатомы и верифицировать данный факт на операции, а в одном из примеров отвергнуть ее наличие.
В исследовании, проведенном P. Aikele и соавт. [9], была проведена оценка эффективности МРТ-исследования у пациентов, ранее оперированных по поводу холестеатомы. Из 17 пациентов у 13 холестеатома была выявлена на МРТ и верифицирована при повторном оперативном вмешательстве. Наименьший размер диагностированной холестеатомы составил 5 мм.
Согласно исследованиям B. De Foer и соавт. [10], режим non-EPI DWI позволяет определять холестеатому размером до 2 мм. По данным авторов, повторные оперативные вмешательства в послеоперационном контроле проводились в 62% случаев. С использованием новой методики этот процент снизился до 10%.
У нас в стране пока данный метод не получил широкого распространения, но результаты даже предварительных исследований показали, что МРТ — достоверный метод диагностики холестеатомы, но требуются дальнейшие исследования по определению его чувствительности и специфичности.
Заключение
Метод МРТ, особенно в режиме non-EPI DWI, эффективен в диагностически сложных случаях — при отсутствии явных клинических признаков холестеатомы, но существующем подозрении на нее. Метод также эффективен для диагностики резидуальной холестеатомы и рецидива и может применяться в качестве контроля у пациентов, ранее оперированных по поводу холестеатомы, не прибегая к повторным ревизиям.
Использование метода МРТ изменяет взгляд за закрытые типы операций, снимая последний сдерживающий фактор — трудность контроля. МРТ позволяет диагностировать рецидив холестеатомы и резидуальное заболевание и является абсолютно экономически эффективным методом [11].
Холестеатома уха
Холестеатома уха — это опухолевидное инкапсулированное образование среднего уха, состоящее преимущественно из клеток слущенного эпителия и кристаллов холестерина. Различают истинную (врожденную) и ложную холестеатому уха. Проявляется заболевание ощущением распирания и болями в ухе, снижением слуха смешанного типа, небольшим количеством имеющих гнилостный запах выделений из уха. Холестеатома уха диагностируется при помощи рентгенографии и КТ черепа, отоскопии, зондирования и промывания барабанной полости, исследований вестибулярного и слухового анализаторов. Лечение холестеатомы уха в большинстве случаев заключается в радикальном хирургическом удалении. Иногда возможно промывание надбарабанной полости с расположенной в ней холестеатомой.
МКБ-10



Общие сведения
Холестеатома - эмбриональное или (чаще) приобретенное псевдоопухолевое образование, происходящее из тканей среднего уха. В 90% случаев она появляется на фоне хронического гнойного среднего отита. В популяции частота гнойный отитов, осложненных холестеатомой, составляет 0,01%. Заболеванием чаще страдают дети старше 10 лет и взрослые 20-30 лет. У детей патология протекает более агрессивно с многократными рецидивами.

Причины
Холестеатома уха может иметь врожденный характер. В таких случаях она носит название истинной. Благодаря гладкой, напоминающей поверхность жемчужины, капсуле истинную холестеатому уха называют еще «жемчужной опухолью». Она возникает вследствие эмбриональных нарушений и располагается в пирамиде височной кости. Истинная холестеатома может также находиться в других костях черепа, в боковой цистерне и желудочках головного мозга.
Ложная холестеатома уха образуется в результате длительно протекающих отитов или как последствие травмы уха. Считается, что образование ложной холестеатомы уха возможно 2 путями. В первом случае происходит врастание плоского эпителия наружного слухового прохода в полость среднего уха через краевой разрыв барабанной перепонки. Второй механизм образования холестеатомы уха реализуется при нарушении проходимости слуховой трубы в связи с евстахиитом. В результате пониженного давления в барабанной полости происходит втяжение в нее части барабанной перепонки. Когда втяжение становится достаточно глубоким, в нем начинает накапливаться кератин и слущенный эпителий, что ведет к развитию холестеатомы уха.
Патогенез
Холестеатома уха не является истинной опухолью уха, хотя по своему внешнему виду и характеру роста напоминает опухолевое образование. Холестеатома уха имеет слоистую структуру. Сверху она покрыта капсулой из соединительной ткани, под которой находится ороговевающий плоский эпителий. Средний слой холестеатомы уха представлен наложенными одна на другую пластинами слущенного эпителия и расположенными между ними кристаллами холестерина. Центральную часть холестеатомы уха или ее ядро занимает имеющий гнилостный запах беловатый детрит.
Холестеатома уха может быть единичным образованием или представляет собой скопление большого количества узелков, имеющих плотную консистенцию и размер от 3 мм. Холестеатома уха выделяет специфические химические вещества, которые приводят к резорбции окружающих холестеатому костных тканей с образованием гладкостенной полости. Кроме того, эти вещества оказывают токсическое воздействие на рецепторный аппарат внутреннего уха, вызывая расстройство звуковосприятия и реактивный лабиринтит.
Симптомы холестеатомы уха
В начальном периоде холестеатома уха может иметь бессимптомное течение. Затем пациент начинает предъявлять жалобы на чувство распирания в ухе, появление тупой, давящей, ноющей или стреляющей ушной боли. Происходит понижение слуха. Возможны головные боли, при развитии лабиринтита — головокружения. Наблюдаются выделения из уха, которые обычно имеют гнилостный запах и носят скудный характер. Отличительной особенностью является обнаружение в отделяемом небольших комочков белого цвета.
При холестеатоме уха тугоухость имеет смешанный характер. С одной стороны она обусловлена нарушением звукопроведения в связи с ограничением подвижности слуховых косточек, а с другой — расстройством звуковосприятия в результате токсического поражения рецепторов лабиринта проникающими в него агрессивными выделениями холестеатомы.
Осложнения
Разрушая рядом расположенные костные образования, холестеатома уха увеличивается в размерах. Так она со временем заполняет ячейки сосцевидного отростка, доходит до капсулы лабиринта и способна разрушить его полукружные канальцы с образованием фистулы лабиринта. При разрушении коркового слоя сосцевидного отростка холестеатома уха выходит под кожу сосцевидной области.
Разрушение стенки косного канала лицевого нерва ведет к развитию пареза лицевого нерва, стенки сигмовидного синуса — к его тромбозу. Зачастую холестеатома уха достигает размера грецкого ореха и имеет расходящиеся в различных направлениях отростки. При этом она образует гигантскую полость, похожую на полость, остающуюся после общеполостной операции на ухе.
Старая холестеатома уха включает содержащие токсическую жидкость кисты, прорыв которых в подпаутинное пространство приводит к развитию асептического менингита, в вещество головного мозга — к появлению менингоэнцефалита. Эти осложнения могут привести к гибели больного от отека головного мозга. Обострение среднего отита часто сопровождается гнойным распадом холестеатомы уха, обуславливающим развитие гнойного лабиринтита и менингита, околосинусового и экстрадурального абсцесса, абсцесса головного мозга, отогенного сепсиса.
Диагностика
К диагностике холестеатомы уха могут привлекаться не только врачи-отоларингологи, но также неврологи и нейрохирурги. В современной отоларингологии используется комплекс визуализирующих и функциональных методик:
- Рентгенография височных костей. На рентгенограммах в проекции по Майеру, Шюллеру или Стенверсу холестеатома определяется как имеющая среднюю плотность однородная тень, которая находится в круглой патологической полости с гладкими и четко визуализирующимися краями. Более точную визуальную картину образования получают при проведении КТ и МСКТ черепа.

КТ височных костей. Деструкция сосцевидного отростка, сосцевидной пещеры, пирамиды и среднего уха правой височной кости, обусловленная холестеатомой
- Эндоскопия уха. При отоскопии возможно обнаружение краевой перфорации барабанной перепонки, признаков деструкции костной части слухового прохода, обусловленных разрастанием холестеатомы. При наличии краевой перфорации производят зондирование полости среднего уха пуговчатым зондом и промывание надбарабанного пространства. О наличии деструктивного процесса свидетельствует шероховатая при прощупывании поверхность кости. В пользу холестеатомы уха говорит присутствие в промывных водах включений и чешуек эпидермиса.
- Исследование слухового анализатора. Дополнительно у пациентов с холестеатомой уха проводят исследование слуха и вестибулярного анализатора. Аудиометрия выявляет снижение слуха, пороговая аудиометрия — смешанный тип тугоухости. Производят также исследование камертоном, определение проходимости слуховой трубы, электрокохлеографию, акустическую импедансометрию, отоакустическую эмиссию, вестибулометрию, электронистагмографию, стабилографию, непрямую отолитометрию.
- Неврологическая диагностика. В диагностике осложнений может применяться неврологический осмотр, МРТ головного мозга, люмбальная пункция и др.

МРТ головы. Гиперинтенсивный сигнал в области сосцевидной пещеры, сосцевидного отростка и пирамиды правой височной кости (холестеатома)
Холестеатому уха необходимо дифференцировать от опухолей и инородных тел уха, кохлеарного неврита, серной пробки, гломусной опухоли, адгезивного среднего отита, специфических гранулем при туберкулезе и сифилисе.
Лечение холестеатомы уха
Консервативная тактика
Консервативное лечение возможно лишь в случае небольшой холестеатомы уха, находящейся в надбарабанном пространстве. Терапия таких холестеатом заключается в промывании надбарабанного пространства растворами протеолитических ферментов и борной кислоты. Начинают и заканчивают процедуру промыванием полости изотоническим раствором. Подобную манипуляцию проводят ежедневно в течение недели.
Хирургическое лечение
При неэффективности консервативного лечения, большом размере холестеатомы уха, наличии осложнений показано радикальное удаление образования. В зависимости от распространенности холестеатомы хирургическое вмешательство может включать:
- санирующую операцию на среднем ухе;
- лабиринтотомию;
- транслабиринтное вскрытие пирамиды височной кости;
- тимпанпластику, мастоидопластику, мирингопластику и пр.
Прогноз и профилактика
В случае своевременного выявления, последовательного консервативного или радикального хирургического лечения холестеатомы прогноз благоприятный. В отдельных случаях возможны рецидивы процесса. В запущенных стадиях возможно развитие тугоухости, жизнеугрожающих внутричерепных осложнений. Профилактика холестеатомы заключается в предупреждении ХГСО, своевременном лечении воспаления среднего уха.
Что показывает КТ уха? КТ или МРТ что лучше? Подготовка, показания и противопоказания

При снижении слуха или полной его потери обосновано проведение КТ уха. Это современный высокоинформативный способ визуализации, использующий рентгеновские лучи и компьютерную обработку данных для построения объемного изображения. Контрастное усиление при выполнении КТ уха позволяет дать оценку не только костным структурам, но и мягким тканям, нервам и сосудам данной области, что важно для определения дальнейшей тактики действий - консервативной терапии или оперативного лечения.
Нормальная анатомия уха
Компьютерная томография дает исчерпывающую информацию о патологических процессах наружного и среднего уха. К КТ-сканированию прибегают при атрезии наружного слухового прохода (из-за отсутствия отверстия при отоскопии невозможно увидеть состояние барабанной перепонки и структур среднего уха). Необходимость визуализации, как дополнительного звена обследования, возникает при неэффективности терапии или при подозрении на развитие осложнений. Что показывает КТ среднего уха:
воспаление и его последствия;
патологические изменения височной кости;
опухоли (остеома, шваннома, параганглиома и пр.) и их инвазию в окружающие структуры ;
врожденные пороки развития;
состояние костного лабиринта;
деструктивно-дегенеративные процессы (остеодистрофия, фиброзная остеодисплазия, послевоспалительная оссификация, склеротические изменения и пр.);
инородные тела в ухе.
Компьютерное сканирование височной кости позволяет провести дифференциальную диагностику опухолей с воспалением, уточнить анатомические особенности, определить необходимость операции и ее объем. Исследование полезно в оценке осложнений после хирургических вмешательств.
КТ внутреннего уха показано при подозрении на патологический процесс в зоне, ограниченной височной костью. Чем раньше сделать компьютерное сканирование - тем больше шансов на выполнение успешной операции, в том числе - для восстановления или сохранения слуха. Структуры среднего и внутреннего уха спрятаны за барабанной перепонкой, что ограничивает прямую неинвазивную оценку. Выполнение отоскопии не дает полномасштабной картины, поэтому для определения степени заболевания, точного месторасположения патологического процесса, вовлеченных структур и возможных деструктивных изменений кости выполняют КТ и/или МРТ. Наиболее часто в данной области встречаются хронические и острые воспалительные заболевания (инфекционный и секреторный отит), реже - опухоли (шваннома среднего уха и параганглиома). КТ внутреннего уха с контрастом показывает евстахиеву трубу, улитку, слуховой и вестибулярный нервы, сосуды и кости, что позволяет выявить причину неблагополучия при соответствующих жалобах.
Как делают КТ уха

Положение пациента при обследовании
Пациента укладывают на стол (положение горизонтальное). Для удобства и фиксации используют упругие валики и ремни, эта мера необходима чтобы на полученных томограммах не было артефактов (размытостей, как на снимках обычным фотоаппаратом движущегося объекта). В середине исследования для лучшей визуализации мельчайших деталей внутривенно вводят контрастное вещество. Это делает медсестра одномоментно, или радиофармпрепарат поступает автоматически с помощью инжектора в определенные фазы исследования (болюсное усиление). Стол скользит вглубь томографа, вокруг головы в кольце аппарата с характерным пощелкиванием начинают вращаться датчики, улавливающие ответ органов и структур на поток рентгеновских частиц, испускаемых излучателем. Информация передается на компьютер, а специальная программа восстанавливает полученные срезы в единое целое.
Под рукой пациента есть “тревожная кнопка”: об ухудшении самочувствия (липкий пот, предобморочное состояние, резкая нехватка воздуха) следует немедленно поставить в известность персонал. При использовании современных контрастных препаратов генерализованные реакции гиперчувствительности встречаются крайне редко, менее, чем в 1-5% случаев.
Что лучше: КТ или МРТ уха

КТ (А) и МРТ(В) - картина холестериновой гранулемы
Эта дилемма волнует многих пациентов, но вид исследования выбирает лечащий врач, опираясь на результаты предыдущей диагностики и на конкретные жалобы. Отказываться от КТ уха из-за ложных соображений о вреде процедуры не стоит, современные мультидетекторные томографы позволяют минимизировать влияние лучевой нагрузки для большей категории лиц (исключение - беременные и дети, не достигшие 14 лет). В ряде наблюдений, особенно, если визуализируется опухолевый процесс, может понадобиться и МРТ, и КТ уха - эти способы взаимодополняют друг друга. Выполнение магнитно-резонансного сканирования обосновано, если после проведенной КТ остались сомнения в диагнозе. МРТ лучше демонстрирует менингоцеле, холестеатому, неврит лицевого нерва, внутричерепную патологию, вызванную процессами в среднем ухе, что не всегда показывает компьютерная томография высокого разрешения. КТ среднего уха часто не способна визуализировать степень возможной облитерации улитки после перенесенного воспаления или отдаленные последствия перелома височной кости. Точная оценка состояния имеет решающее значение для планирования кохлеарной имплантации.
Компьютерная томография ребенку или беременной женщине может быть выполнена по жизненным показаниям. Предпочтительнее в период гестации - МРТ, которое не использует рентгеновское облучение, а магнитное поле не представляет опасности для организма.
Подготовка к КТ-исследованию уха

Неплотный перекус за 40 минут до КТ нейтрализует вегетативные симптомы
Длительной подготовки КТ уха не подразумевает, достаточно выбрать удобную одежду без металлических деталей и оставить все украшения дома. Съемные зубные протезы, пирсинг Вас также попросят убрать. Если планируется введение контрастного вещества, необходимо обратить внимание на следующие аспекты:
Анализ крови на креатинин. Его можно сдать в поликлинике и принести результат с собой (не позднее 10-дневного срока выполнения), или сделать непосредственно перед компьютерной диагностикой. В центре “Магнит” такая услуга предусмотрена, но на обследование следует явиться на 15 минут раньше.
Перерыв в приеме Метформина и его аналогов. Пациенты с сахарным диабетом, контролирующие уровень глюкозы медикаментозно, за 48 часов до диагностической процедуры должны прекратить лечение сахароснижающими средствами. Перед этим обязательна консультация и разрешение эндокринолога.
Лактация. В этот период исследование не приведет к негативным последствиям, если сделать запас молока на два последующих кормления. После компьютерной томографии для избежания мастита рекомендовано сцеживание.
Неплотный перекус. Введение контрастного вещества могут сопровождать ряд вегетативных реакций (металлический привкус, тошнота, головокружение). Чтобы этого не произошло, нужно съесть легкий завтрак за 40 минут до диагностической процедуры.
КТ уха с контрастом

В диагностическом центре “Магнит” используют современный контрастный препарат с максимальным профилем безопасности
Нативная КТ уха показывает преимущественно костные структуры. Для оценки сосудов, мягких тканей, распространенности патологического процесса и определения степени вовлеченности соседних областей необходимо выполнение контрастирования. Усиленная компьютерная томография обеспечивает превосходную визуализацию разницы между костными структурами, воздухом и мягкими тканями в сочетании с высоким пространственным разрешением, и является методом выбора для исследования структур среднего уха. КТ височной кости с контрастированием позволяет дифференцировать воспалительные изменения, холестеатому и опухоль. Цена на КТ уха с усилением несколько выше, так как включает стоимость радиофармпрепарата.
Показания и противопоказания

На КТ уха направляет ЛОР-врач, если первичные способы диагностики показали неоднозначные результаты
При всех необъяснимых симптомах обосновано прохождение диагностики. Показания к КТ уха следующие:
ухудшение/потеря слуха с оценкой ее возможных причин;
выделения из слухового канала;
длительно существующее воспаление в среднем или внутреннем ухе, не поддающееся лечению;
головокружения, шаткость походки, нистагм;
травма уха, височной кости;
подозрение на опухолевый процесс;
выявление аномалий развития;
динамическое наблюдение изменений после консервативной терапии или хирургического вмешательства;
диагностика осложнений: петрозита, лабиринтита, лабиринтного свища, внутричерепного абсцесса или абсцесса мозга, менингита.
Общим противопоказанием к нативному КТ уха является беременность, при контрастировании к этому добавляются:
отягощенный аллергологический анамнез: генерализованная аллергическая реакция на радиофармпрепарат по типу отека Квинке или анафилатического шока;
урологическая и нефрологическая патология, сопровождаемая хронической почечной недостаточностью;
гиперфункция щитовидной железы.
Пациентам с выраженной степенью ожирения (масса тела выше 150 кг) исследование не проводят по техническим причинам.
Фото томографии уха
Расшифровкой полученных данных занимается врач-рентгенолог, на руки пациенту выдают заключение и снимки в электронном виде. Представляем Вашему вниманию несколько фото КТ уха, с типичными патологическими процессами:

Шваннома лицевого нерва: осевое КТ-изображение (костное окно) демонстрирует расширение ганглия, присутствует однородная масса мягких тканей (стрелка)

Хроническое воспаление среднего уха с холестеатомой: коронарная КТ показывает боковой свищ полукруглого канала (стрелка), вызванный эрозией кости из-за роста новообразования

Хроническое воспаление среднего уха: осевая КТ демонстрирует очаговую кальцификацию (стрелка) в барабанной полости - тимпаносклероз.
МРТ уха что показывает

Строение уха
Орган слуха состоит из 3 отделов:
- внешнего - ушная раковина и костно-хрящевой канал, распространяющийся до барабанной перепонки;
- среднего - евстахиева труба, пространство барабанной полости, костные образования (стремечко, молоточек, наковальня);
- внутреннего - лабиринты из каналов и полостей, содержащие рецепторные аппараты слухового и вестибулярного анализаторов.
Патологии, касающиеся наружной части органа, в основном, не представляют опасности. Проблемы со средним отделом при отсутствии лечения приводят к серьезным осложнениям от неврита лицевого нерва до менингита или внутричерепного абсцесса.
МРТ уха выполняют в процессе изучения головного мозга, орбит, височных костей, височно-нижнечелюстного сустава. Компактное размещение и взаимовлияние вышеназванных структур делает возможной комплексную диагностику. При наличии симптомов, указывающих на конкретную патологию органа слуха, проводят узкоспециализированное исследование. Для изучения онкологического процесса или оценки сосудов осуществляют магнитно-резонансное сканирование с контрастным веществом.
Делают ли МРТ ушей?
Функция акустического анализатора - улавливать, проводить звук, формировать слуховое ощущение. Во внутреннем ухе расположен вестибулярный аппарат, контролирующий координацию движений и ориентацию человека в пространстве.
Компьютерную и магнитную томографию делают, если пациент жалуется на:
- шум в ушах;
- ухудшение или потерю слуха;
- зуд, боли, припухлость, покраснение ушных раковин, выделение из прохода гноя, крови и т.п.;
- частые головокружения, обмороки, тошноту, не связанную с пищеварением;
- нистагм (резкие маятникообразные движения глазных яблок, возникающие при взгляде в сторону);
- боли в ушах, горле, носоглотке, сопровождающиеся высокой температурой;
- неустойчивость походки;
- трудности с ориентацией в пространстве;
- онемение одной стороны или асимметрию лица, изменение тонуса мышц;
- появление стойких головных болей на фоне отита.
Обследование среднего и внутреннего уха назначают при:
- подозрении на опухоли (диагностика покажет стадию и распространение онкологического процесса);
- поражении лицевого нерва;
- аномалиях развития уха;
- врожденном или приобретенном снижении/отсутствии слуха;
- нарушениях в сосудах;
- острых или хронических воспалениях, не поддающихся терапии, и др.

Невринома слухового нерва на МРТ
МРТ среднего и внутреннего уха показывает осложнения отитов, позволяет выполнить дифференциальную диагностику болезней внутри- и внечерепного пространства. Исследование дает возможность выявить патологические изменения, подобрать действенный метод терапии, осуществить динамическое наблюдение, определить местоположение пораженных участков при планировании операций.
В некоторых случаях показана томография с контрастированием. Пациенту внутривенно вводят препарат на основе гадолиния, способный усиливать сигнал ядер водорода под воздействием магнитного поля. МРТ внутреннего и среднего уха с контрастом показывает недостаточность кровотока в отдельных участках, воспалительные и опухолевые процессы, поражающие органы слуха. Видео о том, как проходит процедура, можно посмотреть на нашем сайте.
МРТ при звоне в ушах
Данное состояние называют тиннитус. Явление характеризуется ощущением посторонних звуков при отсутствии источника шума извне. При тиннитусе человек может слышать звон, гул, жужжание, гудение, треск, писк, шипение и т.д. Появление подобных “эффектов” провоцируют заболевания внутреннего уха, нарушения в вестибулярном аппарате, неврологические расстройства. Причиной вышеназванных ощущений могут быть следующие проблемы с органами слуха:
- недостаточность кровоснабжения;
- воспаление;
- наличие в ухе инородного предмета, пробки из серы;
- болезнь Меньера;
- сенсоневральная тугоухость;
- отосклероз (патологический рост костной ткани);
- новообразование внутри барабанной полости, поражение слухового нерва и др.
Гул в ушах может стать следствием внезапного воздействия резкого звука или баротравмы. Шумы наблюдаются из-за сосудистых нарушений у больных сахарным диабетом, при гипертонии, стенозах (сужении) артерий и вен, атеросклерозе, аневризмах. Тиннитус иногда встречается при:
- остеохондрозе и других патологиях верхней части позвоночника;
- заболеваниях височно-нижнечелюстного сустава;
- психоневрологических расстройствах;
- переутомлении, истощении организма;
- интоксикации некоторыми медикаментами и ядовитыми веществами.
При шуме в ушах необходимо посетить терапевта, отоларинголога или невролога. Врач соберет анамнез, проведет осмотр. Диагностика включает проверку слуха, определение состояния барабанной перепонки, пневматическую отоскопию, камертональные тесты, изучение функций черепно-мозговых нервов, полное обследование головы и шеи. Магнитно-резонансная томография при звоне в ушах - крайняя мера, применяемая в последнюю очередь. При низкой информативности других методов пациенту назначают МРТ головного мозга - сначала нативную, а если обнаружатся очаги патологии, делают дополнительное сканирование с контрастом.
Подготовка к МРТ уха
Перед нативной диагностикой ничего специально делать не нужно. Больной может употреблять привычную пищу и принимать назначенные врачом лекарства. Если планируют магнитно-резонансную томографию уха с контрастом, перед процедурой желательно слегка перекусить. Последнее поможет предупредить тошноту и другие возможные реакции на препарат.
Женщинам в период лактации следует подготовить питание для ребенка на 6-12 часов. Столько времени потребуется для выхода контрастного средства из организма.
Как проходит МРТ внутреннего и среднего уха?

Подготовка пациентки к МРТ
До того, как начнется диагностика, пациент снимает вещи с металлическими деталями: предметы гардероба, аксессуары, очки, украшения. В раздевалке оставляют кошелек, мобильный телефон и т.п. В помещении, где будет проводиться процедура, обследуемый проходит краткий инструктаж и ложится на стол томографа. Конечности закрепляют ремешками - это необходимо для исключения случайных движений, которые могут испортить снимки. Транспортер заезжает внутрь капсулы аппарата и начинается сканирование. После получения необходимого количества фото процедуру прекращают либо вводят в вену контрастный препарат и повторяют съемку.
Стандартное исследование занимает 15 минут. Диагностика с усилением длится полчаса, так как состоит из двух этапов - нативного и с применением дополнительных средств визуализации. На протяжении сканирования пациент должен лежать спокойно и не шевелиться, если из-за болевого синдрома либо по другим причинам указанное сделать сложно, необходимо заранее проконсультироваться с доктором по поводу приема соответствующих медикаментов.
В результате исследования получают посрезовые изображения области интереса. Фото записывают на диск и вместе с заключением передают больному. Окончательный диагноз ставит лечащий врач.
МРТ или КТ уха, что лучше?
Выбор вида обследования определяет предполагаемый диагноз. КТ и МРТ - разные способы визуализации. Компьютерная томография четко показывает повреждения костных структур, магнитно-резонансное сканирование является незаменимым при изучении мягких тканей, включая нервные стволы и сосуды.
При назначении диагностики принимают во внимание не только информативность метода, но и противопоказания. В основе КТ - воздействие на зону интереса ионизирующего излучения, являющегося потенциальным канцерогеном. Компьютерную томографию уха нельзя проходить при беременности, нежелательно - в раннем детском возрасте, использование рентгеноконтрастных веществ, кроме указанных категорий пациентов, запрещено людям с почечной недостаточностью, принимающим Метформин или страдающим гиперфункцией щитовидной железы. Для предупреждения нежелательных эффектов влияния Х-лучей КТ рекомендуют делать не чаще двух раз в год с интервалом между процедурами 6 месяцев.
Магнитно-резонансную томографию выполняют по показаниям детям с 4 недель, будущим мамам со второго триместра. Ограничений по частоте проведения диагностики не существует. Но есть противопоказания, не позволяющие сделать МРТ уха:
- Наличие у пациента кардиостимулятора, имплантата внутреннего уха, помпы для подачи лекарственных препаратов или иных электроприборов.
- Металлические элементы в теле (эндопротезы, сосудистые клипсы, спицы, пластины, ферромагнитные осколки и т.п.).

Кохлеарный имплантат
Относительными запретами являются состояния, мешающие сохранять неподвижность, клаустрофобия и вес более 120 кг. Последние два обстоятельства допускают выполнение диагностики на агрегате открытого типа. Но надо иметь в виду, что подобные устройства не покажут мелких патологических очагов.
Компьютерную томографию назначают, если выполнение магнитно-резонансного сканирования невозможно или в следующих случаях:
- требуется изучить костные элементы среднего уха (содержание незначительного количества атомов водорода препятствует четкой визуализации при МРТ);
- после травм;
- есть подозрение на наличии в ухе экссудата, инородного тела, воспалительного, инфекционного процесса, новообразования;
- необходимо определить причину глухоты или тугоухости.
Результаты МРТ и КТ дополняют друг друга. Совместив полученную информацию, врач может составить полную картину заболевания и подобрать оптимальное лечение.
Что покажет КТ желчного пузыря с контрастированием? КТ или МРТ?

Компьютерная томография желчного пузыря - неинвазивный высокоинформативный метод диагностики патологий органов билиарной системы, выполняется для выяснения причины неблагополучия или с целью исключить альтернативные диагнозы.
Исследование подразумевает использование рентгеновского излучения и специальных компьютерных программ; полученные снимки имеют высокую детализацию, минимальное количество искажений и артефактов по сравнению с применяемыми ранее способами. До усовершенствования лучевой диагностики использовали эндоскопическую ретроградную холангиопанкреатографию (РХПГ). Метод и сегодня считается «золотым стандартом» в диагностировании камней, блокирующих желчные протоки, к нему есть свои показания. Из-за высокой инвазивности, риска осложнений, выраженного дискомфорта и высокой лучевой нагрузки в настоящее время РХПГ выполняют значительно реже, преимущественно, если планируется удалить небольшие конкременты, препятствующие оттоку желчи. Достоверность метода не может быть оспорена.
Что лучше - КТ желчного пузыря, МРТ или УЗИ - определяет врач на основании предполагаемого диагноза. Ультразвуковую сонографию используют на начальном этапе диагностики, особенно, если есть подозрение на неплотные камни или мелкие конкременты, которые не визуализируются при компьютерном сканировании.
Возможности ультразвукового исследования ограничены техническими параметрами аппарата, подготовкой специалиста и ожирением пациента. На сонограмме нельзя дифференцировать структуру камня и патологию внутрипеченочных желчевыводящих путей.
КТ билиарной системы не является альтернативным методом, но может использоваться в качестве дополнения.
Что покажет КТ желчного пузыря
Врач видит структуру органов и тканей, четкость контуров, уплотнение стенок, присутствие, размеры и локализацию патологического объекта. Если исследование проводили по поводу травмы, в пользу разрыва протоков свидетельствует затек контраста за их пределы с возможным формированием гематомы (скопление однородной по плотности жидкости между тканями)
Абсцесс выглядит как локализованное образование, ограниченное капсулой.
Опухоль и метастатические поражения на КТ видны в виде участков различной плотности.
О воспалении судят по уплотнению стенок желчного пузыря (холецистит) и желчных протоков (холангит).
Аномалии развития на томограмме представлены дополнительными желчными путями, их сужением, деформацией и пр., изменениями конфигурации и анатомического расположения органа.
Видны ли камни на КТ исследовании желчного пузыря

Конкременты в желчном пузыре при КТ

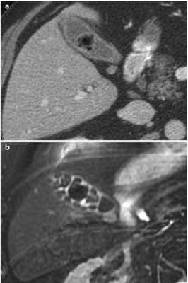
Вид конкрементов у одного и того же пациента в желчном пузыре при КТ (а) и МРТ (b)
КТ обнаруживает примерно 75% камней в желчном пузыре и протоках. Чувствительность способа зависит от состава конкрементов.
Результаты компьютерного сканирования не позволяют увидеть мягкие камни, но плотные конкременты визуализируются на томограммах хорошо.
Стандартом обследования при желчнокаменной болезни (ЖКБ) является ультразвуковая диагностика.
УЗИ и КТ - взаимодополняющие методы, компьютерная томография при ЖКБ выполняется для уточнения, нужна ли операция или нет (при холестериновых камнях достаточно консервативной терапии).
Как определяется плотность камней при КТ желчного пузыря

Конкременты в желчном пузыре вариативны по составу, размерам, количеству и форме
Не каждый конкремент можно растворить, поэтому изначально важно определить его плотность. Для этого используют специальную шкалу рентгеновской радиоденсивности Хаунсфилда. Камень плотностью более 100 HU (единиц Хаунсфилда), провоцирующий воспалительный процесс, рецидивирующую желчную колику, с большой вероятностью осложнений - показание к активной хирургической тактике.
Какие заболевания показывает КТ желчного пузыря
Патологии желчного пузыря
При компьютерном сканировании врач получает четкие томограммы, что позволяет увидеть:
взвесь (конденсированная желчь при застое) или плотные камни;
обтурацию (закупорку) протока камнем или новообразованием и ее степень выраженности, что неоценимо в диагностике причин желтухи;
воспалительный процесс в органах билиарной системы: холецистит, холангит;
инородное тело при ранении и его отношение к окружающим структурам;
гемангиому (сосудистую доброкачественную опухоль) печени;
рак желчного пузыря или протоков и оценить его распространение;
образования метастатического характера;
аномалии строения: добавочную перегородку желчного пузыря, атрезию, эктопию, удвоение или гипоплазию;
осложнения: разрыв органа, кальцификацию, гематому, абсцесс и пр.;
Показания к исследованию многообразны:
характерные жалобы: боль и/или тяжесть в правом подреберье, появление кала белого цвета (ахоличный стул - один из симптомов обтурации желчного протока), диспепсические явления (горечь во рту, метеоризм, тошнота, рвота, дискомфорт после потребления жирной пищи, запор или диарея), пожелтение склер и кожных покровов, увеличение печени, желчные колики;
изменения в клинико-лабораторных показателях (повышение печеночных ферментов);
определение плотности конкрементов для выработки дальнейшей тактики ведения: открытого хирургического вмешательства, консервативной терапии или литотрипсии (дробления);
дискомфорт, отрицательная динамика после выполненного оперативного лечения.
Если у Вас появились подобные жалобы или рутинные методы обследования не принесли желаемого результата - запишитесь на КТ желчного пузыря в диагностический центр «Магнит» - чем раньше удалось выявить заболевание и начать терапию, тем больше шансов на благоприятный прогноз.
КТ желчного пузыря с контрастом

В диагностическом центре “Магнит” диагностику проводят на
Введение йодсодержащего контраста способствует лучшей визуализации. Нативная КТ желчного пузыря малоинформативна и выполняется при реакциях гиперчувствительности на радиофармпрепарат, при полной обтурации или при противопоказаниях к МРТ.
В момент введения контраста допустимы головокружение, легкая тошнота, которые через некоторое время купируются самостоятельно.
Обязательно предупредите врача о возможной беременности и аллергии на йод.
Специалисты не рекомендуют рентгенодиагностику во время вынашивания ребенка, так как даже минимальная лучевая нагрузка рассматривается в качестве провоцирующего фактора для развития врожденных аномалий у плода. При лактации КТ желчного пузыря возможна, но специалисты после процедуры настоятельно советуют как минимум на 12 часов отказаться от кормления грудью. Перед диагностикой можно сделать запас молока.
Сканирование с контрастированием не показано, если пациент страдает заболеваниями почек и печени в стадии декомпенсации.
КТ желчного пузыря с введением радиофармпрепарата нельзя выполнять при гиперфункции щитовидной железы и при приеме Метформина для лечения сахарного диабета. Препарат отменяют за 48 часов до диагностической процедуры, предварительно действие согласовывают с эндокринологом (обязательно!).
Общие относительные ограничения к компьютерному сканированию:
некоторые психические заболевания;
Так как для получения качественных снимков необходима полная неподвижность, данной категории лиц может быть выполнена седация (введение успокаивающих препаратов) при проведении исследования в отделении анестезии и реанимации стационара . В частных центрах диагностику при подобных условиях не выполняют.
КТ желчного пузыря детям назначают по строгим показаниям и направлению врача. Учитывая негативное воздействие лучей на организм ребенка, лучше выбрать МРТ.
Подготовка к исследованию с контрастным усилением включает следующее:
отказ от тяжелой пищи и продуктов, усиливающих метеоризм, за 2-3 дня до процедуры;
голод за 4-6 часов до исследования;
сдача анализа на креатинин для уточнения сохранности функции почек;
избавление от металлических деталей, которые могут привести к артефактам на снимках.
Каких-либо болевых ощущений во время диагностики нет, длительность КТ желчного пузыря - до 20 минут.
Через 2 часа можно будет получить заключение и CD-диск с результатами исследования. Кадры, представляющие наибольшую диагностическую ценность, могут распечатать на пленке. Данная услуга оплачивается отдельно.
Читайте также:

