КТ, МРТ при кисте Торнвальда
Добавил пользователь Владимир З. Обновлено: 28.12.2025
Киста Торнвальда — это редкая врожденная патология, которая характеризуется углублением слизистой оболочки задней стенки носоглотки (отсюда другое название — сумка Торнвальдта).
Углубление слизистой оболочки часто изолировано от полости носоглотки, что создает условия для воспалительного процесса. В результате формируется полость с гнойным содержимым, ограниченная слизистой оболочкой носоглотки (в таком случае данная патология называется болезнью Торнвальда).
В некоторых случаях киста Торнвальда прорывается в полость носоглотки, что приводит к постоянному гноетечению по задней стенке глотки и воспалению окружающих тканей.
Заболевание в большинстве случаев протекает бессимптомно.
Симптомы кисты Торнвальда
- Нарастающая носовая обструкция (нарушение носового дыхания) в результате увеличения размеров кисты, которая выступает в полость носоглотки.
- Длительные и стойкие головные боли, чаще всего в теменной и затылочной областях - в результате воспалительного процесса в полости кисты (нагноения содержимого). Как правило, симптоматическое лечение (препараты от головной боли) не имеет стойкого положительного эффекта.
- Передняя и задняя гнойная ринорея - течение гнойного содержимого кисты из носа (передняя ринорея), а также течение гноя по задней стенке носоглотки (задняя ринорея), что часто сопровождается неприятным запахом изо рта и ощущением дискомфорта в ротовой полости, неприятным привкусом во рту.
- Боли в горле и носоглотке (часто усиливаются при глотании, кашле, чихании) — вследствие воспалительного процесса.
- Двустороннее снижение слуха - из-за воспалительного процесса и обструкции (нарушения проходимости) в евстахиевых трубах (соединяют полость носоглотки и полости среднего уха, выполняет роль резонатора при проведении звука).
- Повышение температуры тела (чаще 37-38°C) при обострении сопутствующих хронических заболеваний уха, горла, носа.
- Гнусавость - вследствие носовой обструкции (нарушения проходимости воздуха через носоглотку).
Сумка Торнвальда является врожденным дефектом слизистой носоглотки, поэтому симптомы могут проявиться в любом возрасте, но наибольший пик воспаления кисты наблюдается у пациентов 15-20 лет. Также киста может существовать бессимптомно в течение всей жизни.
Основной метод лечения кисты Торнвальда - хирургический.
Практически во всех случаях после резекции (иссечение) кисты эндоскопическим доступом (с использованием хирургических эндоскопов) и ее опорожнения происходит полное исчезновение клинической симптоматики.
Мы выполняем:
-эндоскопическое удаление кисты Торнвальда
— иссечение кисты Торнвальда с применением хирургического лазера
ФИЛИАЛ №1 (СУРДОЛОГИЧЕСКИЙ ЦЕНТР)
КЛИНИЧЕСКИЙ КОРПУС
ДЕТСКИЙ СУРДОЛОГИЧЕСКИЙ ЦЕНТР
Клиническое наблюдение: киста Торнвальдта у ребенка

В предлагаемой читателям статье приводится клинический пример Кисты Торнвальдта у ребенка 11- ти лет, представляющий профессиональный интерес для врачей педиатров, оториноларингологов.
Ключевые слова: киста Торнвальдта, компьютерная томография (КТ), клинический пример.
The article presents a clinical example of Thornwald Cyst in an 11 — year-old child, which is of professional interest for pediatricians and otorhinolaryngologists.
Keywords: Thornvaldt cyst, computed tomography (CT), clinical example.
Приводим историю болезни ребенка 11-ти лет с кистой Торнвальдта.
Врожденные аномалии носоглотки у детей встречаются достаточно редко (около 2 %) и зачастую протекают бессимптомно. Данная патология связана с нарушениями процессов эмбриогенеза на 5-10 неделях гестации. При неудачном слиянии в процессе развития нервных и костных структур возможно развитие энцефалоцеле или менингоцеле, распространяющихся через клиновидную кость в носоглотку или полость носа. Хордальные остатки, заканчиваясь у места прикрепления щечно-глоточной мембраны, могут остаться в виде плотных масс или кисты, известной как киста Торнвальдта, или киста носоглоточной сумки 4. Первое описание данной патологии дал Mayer в1842 году. Это углубление слизистой оболочки глотки, образующее полость в задневерхней стенке эпифарингса, расположено между носовой перегородкой и вентральной поверхностью первого шейного позвонка. В 1885 г. немецкий врач Гюстав Людвиг Торнвальдт описал окклюзию кисты и воспаление («болезнь Торнвальдта»). В классическом примере болезнь Торнвальдта включает носовую обструкцию, головную боль в теменной и затылочной области, гнойную ринорею, боль в горле, снижение слуха 6.
Стоит отметить, что отечественной литературе данная патология освещена недостаточно 3. В связи с этим, данное наблюдение представляет интерес и демонстрирует высокую диагностическую значимость компьютерной томографии в диагностике патологии.
Пациент К. 11 лет поступил в соматическое отделение с жалобами на боль в области сосцевидного отростка, височно-нижнечелюстного сустава слева, боль при открывании рта, лихорадку до фебрильных цифр, слабость, вялость, снижение аппетита, затруднение носового дыхания, головная боль в затылочной области. Из анамнеза известно, что ребенок около 3 лет получал лечение у невролога по поводу головной боли без четкой положительной динамики. Заболел остро с подъема температуры до фебрильных цифр, боль в области сосцевидного отростка слева. На вторые сутки от начала заболевания обратились к участковому педиатру. Была назначена антибактериальная терапия (цефазолин в/м). На 10 сутки был сдан общеклинический анализ крови, в котором выявлен лейкоцитоз до 14*10/9, нейтрофилез, ускоренное СОЭ до 43 мм/ч. В связи с сохраняющимися жалобами на боль в области сосцевидного отростка ребенок на десятые сутки был амбулаторно консультирован врачом- оториноларингологом и хирургом, патологии выявлено не было. С явлениями острой респираторной инфекции был госпитализирован в инфекционный стационар. Тогда же был осмотрен повторно оториноларингологом, заподозрен острый синусит и мастоидит слева. Проведена рентгенография придаточных пазух носа — патологии не выявлено, мастоидит также был исключен. На 15-е сутки от начала заболевания ребенок был переведен в отделение педиатрии. При поступлении состояние ребенка средней степени тяжести, вялый, аппетит снижен, лихорадил на субфебрильных и фебрильных цифрах. Физическое развитие среднее, гармоничное. В зеве- неяркая гиперемия, миндалины за дужками, рыхлые, налетов нет, отек в области левой дужки. Дыхание через нос свободное, отделяемого нет. Периферические узлы- подчелюстные, передне- и заднешейные до 2 размера, безболезненные, не спаяны с собой и окружающей тканью. В соматическом статусе- в пределах возрастной нормы.
По данным клинико-лабораторных и биохимических исследований выявлено: лейкоцитоз до 14*10/9, умеренный нейтрофилез (75,1 %), ускорение СОЭ до 37 мм/ч, СРБ 4+. Уровень АСЛО, ревматойидного фактора- в пределах референтных значений. Для исключения аутоиммунной патологии пациенту было проведено HLA- типирование на антиген В27 — отрицательно. Аутоиммунная патология была исключена. Таким образом, важно отметить, что клинико- лабораторные признаки кисты Тонрнвальдта неспецифичны и диагностика базируется на проведении радиологических методов исследования.
Пациенту была проведена компьютерная томография, на которой выявлено: в затылочном пространстве слева образование с четкими контурами, распространяющееся от основания черепа до С3 и височно-нижнечелюстного сустава 53*41*20 мм., гиперэхогенной структуры. Специалистами лучевой диагностики было выдвинуто предположении о наличии у пациента кисты Торнвальда. Полученное описание (а именно- образование правильной формы с четкими контурами, гиперэхогенной структуры) позволило дифференцировать данную патологию от других образований носоглотки (злокачественные новообразования, ретенционные кисты носоглотки и т. д.) 2,5.
Пациент был переведен в отделение оториноларингологии, прооперирован. Послеоперационный период протекал без осложнений. Ребенок выписан из стационара в удовлетворительном состоянии на седьмые сутки после оперативного лечения.
Данное наблюдение представляет интерес ввиду редкости развития кист Торнвальдта в детском возрасте и свидетельствует о широких возможностях современной медицинской технологии в их диагностике 1.
- Лопатин А. С. Эндоскопическая функциональная ринохирургия // Рос. ринология. — 1993. — No1. — С. 71.
- Пискунов Г. З., Морозов С. А., Косяков С. Я. Современная амбулаторная хирургия в оториноларингологии. Пособие для врачей. — Москва: Б.и., 2007. — С. 12-16.
- Ben Salem D., Duvillard C., Assous D., Ballester M., Krause D., Ricolfi F.. Imaging of nasopharyngeal cysts and bursae // Eur. Radiol. — 2006. — No 16 (10). — Р. 2249-2258.
- Lin J. H., Tai C. F., Lee K. W., Ho K. Y., Kuo W. R., Wang L. F. Huge Thornwaldt's cyst: a case report // Kaohsiung J. Med. Sci. — 2006. — No 22(10). — Р. 524-528.
- Magliulo G., Fusconi M., D'Amico R., de Vincentiis M. Tornwaldt's cyst and magnetic resonance imaging //Ann. Otol. Rhinol. Laryngol. — 2001. — No 110(9). — Р. 895-896.
- Robson C. D. Cysts and tumors of the oral cavity, oropharynx, and nasopharynx in children // Neuroimaging Clin. N. Am. — 2003. — No 13(3). — Р. 427-442.
Основные термины (генерируются автоматически): компьютерная томография, сосцевидный отросток, HLA, аутоиммунная патология, боль, височно-нижнечелюстной сустав, головная боль, затылочная область, киста, патология, ребенок, сутки.
Киста Торнвальдта
Киста Торнвальдта - врожденное кистоподобное образование, расположенное на задней стенке носоглотки. Ведущие клинические признаки - головная боль с распространением в теменную и затылочную область, неприятный запах изо рта, ухудшение дыхания через нос, повышение температуры тела. Диагноз устанавливается на основе анамнестических данных, жалоб, результатов риноэндоскопии, фарингоскопии, биопсии, МРТ и КТ области носоглотки и дифференциальной диагностики с другими вариантами новообразований носоглотки. Основной способ лечения заболевания - хирургический, путем эндоназального эндоскопического удаления кисты.


Общие сведения
Киста Торнвальдта (назофарингеальная сумка или сумка Люшки) - редкое заболевание, которое встречается у 1,5-2% населения. Впервые морфологические изменения носоглоточной сумки были описаны в 1885 году немецким врачом Густавом Людвигом Торнвальдтом. У большей части людей патология протекает бессимптомно. Клиническая симптоматика развивается только в 10% случаев. Зачастую первые признаки проявляются в возрасте от 15 до 25 лет. Патология с одинаковой частотой встречается среди представителей мужского и женского пола. В регионах с высокой частотой близкородственных браков показатель заболеваемости несколько выше.
Причины
Носоглоточная сумка возникает в результате аномалий развития энтодермы. До конца этиология формирования носоглоточной кисты в современной отоларингологии не изучена. Доказано, что подобные нарушения могут вызывать следующие тератогенные факторы:
- Генетические мутации. Назофарингеальная сумка чаще встречается среди лиц, рожденных в близкородственных браках или при позднем наступлении первой беременности (после 35 лет). В некоторых случаях возникновение патологии определяется наследственной предрасположенностью.
- Физические факторы. Чрезмерная инсоляция, переохлаждение, действие ионизирующего излучения во время беременности способны потенцировать развитие назофарингеальной сумки.
- Интоксикация. Установлено, что хроническая интоксикация парами бензола, солями тяжелых металлов и нитратами существенно повышает риск возникновения данной патологии.
- Пагубные привычки матери. Употребление спиртных напитков, наркотических веществ или курение негативно влияют на внутриутробное развитие плода, в т. ч. вызывают пороки развития.
- Прием медикаментов. Отдельные фармакологические препараты из групп антикоагулянтов, антипсихотических и антибактериальных средств обладают тератогенным действием в отношении энтодермы.
Патогенез
В основе патогенеза кисты Торнвальдта лежит явление дисэмбриогенеза. При нормальном внутриутробном развитии плода в промежутке с 5-й по 10-ю акушерскую неделю путем отшнуровывания глоточной энтодермы от краниального отдела нотохорда формируется носоглоточная сумка. Она представляет собой парный, разделенный на сегменты, карман, расположенный с двух сторон от хорды. В дальнейшем из него образуются тимус, полость среднего уха, щитовидная и паращитовидные железы. В норме, начиная с 10-й недели, это образование редуцируется. Но в ряде случаев происходит слипание энтодермы и нотохорда. Последний, поднимаясь до уровня будущего черепа, «затягивает» с собой часть слизистой ткани глотки. Это приводит к образованию полости, выстланной нормальной слизистой оболочкой - сумки Торнвальдта.
Симптомы
Клиническая картина заболевания связана с инфицированием кистозной полости. Способствующими факторами могут служить травмы лицевого черепа, хирургические вмешательства (ринопластика, септопластика, удаление аденоидных вегетаций), длительные тампонады носовой полости, воспалительные или инфекционные патологии носоглотки. Первым признаком заболевания выступает нарастающая постоянная или пульсирующая головная боль, иррадиирущая в затылочную и теменную область. При движениях головы болевые ощущения усиливаются. Также ухудшается носовое дыхание. Возникает ринорея, закрытая гнусавость, кашель и храп. Часто наблюдается двухстороннее снижение слуха, чувство «заложенности» ушей. Одновременно повышается температура тела до 37,5-38 о С, появляются болевые ощущения в области носа и горла, которые усиливаются при глотании и чихании. У большинства больных формируется неприятный «гнилостный» запах изо рта.
Осложнения
Длительное течение кисты Торнвальдта и отсутствие полноценного лечения в подавляющем большинстве случаев приводит к осложнениям. Со временем головная боль становится все интенсивнее и не купируется приемом анальгетиков. Нарушение носового дыхания и дренажа носовой полости приводит к рецидивирующему риниту и синуситу, реже - среднему отиту. Разрастание кисты способствует искривлению носовой перегородки с дальнейшим ухудшением клинической картины. Стекание гнойного содержимого в ротоглотку и далее по дыхательным путям приводит к развитию хронических воспалительных заболеваний - ларингита, тонзиллита, фарингита, бронхита и аспирационных пневмоний.
Диагностика
Сложность диагностики кисты Торнвальдта заключается в отсутствии специфических клинических симптомов. Зачастую для постановки правильного диагноза данных объективного осмотра отоларинголога недостаточно - требуется применение радиологических методов исследования. Помимо сбора анамнестических сведений и жалоб пациента, диагностическая программа включает в себя:
- Риноэндоскопию. Позволяет выявить округлое, гиперемированное, плотное образование с четкими краями в задневерхних отделах носоглотки. При надавливании выделяется гнойное или слизистое содержимое.
- Фарингоскопию. При осмотре ротовой полости выявляется постназальный синдром - стекание гнойных или слизистых масс по задней стенке глотки. Также могут присутствовать воспалительные изменения слизистых оболочек, миндалин.
- Лучевые методы диагностики. Результаты КТ и МРТ носоглотки отображают наличие круглого полостного образования размером от 0,5 до 4,5 см с четкими контурами и гладкой внутренней поверхностью, расположенного по срединной линии глотки. У некоторых больных эта структура может иметь дренирующее отверстие.
- Биопсия. Гистологически слизистая оболочка внутри назофарингеальной сумки представляет собой цилиндрический мерцательный эпителий. Стенки полости в незначительной степени инфильтрированы лимфоцитами и содержат небольшое количество лимфоидных фолликулов.

Дифференциальная диагностика проводится с внутриаденоидными кистами, кистами кармана Ратке, менингоэнцефалоцеле, носоглоточной карциномой и другими опухолевыми заболеваниями. Основными критериями служат результаты гистологического исследования биоптата, компьютерной или магнитно-резонансной томографии. Аденоидные кисты имеют аналогичное расположение, но размер их полости редко превышает 5 мм. Сумка Ратке расположена у соединения сошника и клиновидной кости и состоит эпителиальной ткани. Менингоэнцефалоцеле характеризуется деструкцией костных структур и соединением с внутричерепными тканями. Носоглоточная карцинома, как правило, занимает латеральное положение, имеет неровную поверхность и склонна к кровотечениям.
Лечение кисты Торнвальдта
Основной метод лечения носоглоточной сумки - трансназальная эндоскопическая лазерная марсупиализация. Цель операции - обеспечение достаточного дренажа полости кисты и, при возможности, полное удаление ее выстилки. Это оперативное вмешательство благодаря использованию Nd:YAG и полупроводниковых лазеров позволяет провести полноценное удаление кисты без повреждения прилегающих тканей, минимизировать кровопотерю и предотвратить повреждение устьев слуховых труб. В качестве обезболивания используется аппликационная анестезия. После вскрытия кисты под контролем эндоскопа и при помощи аспиратора удаются все слизистые и гнойные массы. Для удаления лимфоидной ткани стенок кисты используется лазериндуцированная интерстициальная термотерапия. После операции назначается антибактериальная терапия с использованием препаратов широкого спектра действия.
Прогноз и профилактика
Прогноз при кисте Торнвальдта благоприятный. Своевременная диагностика и полноценное лечение более чем в 96% случаев предотвращает развитие осложнений и приводит к полному выздоровлению. Специфической профилактики этого заболевания не разработано. К первичным неспецифическим превентивным мерам относятся медико-генетическое консультирование семейных пар, антенатальная охрана плода, рациональное питание матери во время вынашивания ребенка, соблюдение режима сна и бодрствования. Вторичная профилактика заключается в укреплении общих защитных сил организма, профилактических осмотрах отоларинголога, раннем лечении инфекционных и бактериальных заболеваний полости носа и носоглотки.
Как выявить кисту Торнвальдта на снимках КТ и МРТ носоглотки
Какие заболевания имеют симптомы, схожие с глоточной сумкой
Аденоиды
- Диффузная, обычно расположенная около средней линии гиперплазия лимфоидной ткани
- Пересекается полосами усиления сигнала
Ретенционная киста глоточной миндалины (слизистая киста)
- Низкая интенсивность сигнала на Т1-взвешенном изображении
- Часто расположена в латеральных карманах
- По форме напоминает сердце или грушу
Ретроназальный полип
- Низкая интенсивность сигнала на Т1 -взвешенном изображении
- Обструкция носоглоточного пространства спереди
Киста кармана Ратке
- Неполная окклюзия кармана Ратке в эмбриональном периоде
- Обычно располагается в клиновидной кости
Цефалоцеле
- Может обнаруживаться в носоглотке, но определяется связь со структурами мозга
Лечение
- При бессимптомном течении лечение не показано
- Антибактериальная терапия
- Удаление через рот или марсупиализация при хроническом инфекционном процессе или болезненных кистах.
Врачи каких специальностей диагностируют и лечат кисту Торнвальда
- ЛОР врач (первичный осмотр, хирургическое вмешательство)
Прогноз
- Пациенты со случайно обнаруженными кистами не нуждаются в наблюдении
- Оперативное лечение приводит к полному выздоровлению.
Возможные осложнения и последствия
Киста носоглотки всегда требует ее удаление , так как может произойти прорыв ее содержимого в полость носоглотки, что повлечет за собой постоянное гноетечение и воспалению рядом расположенных тканей.

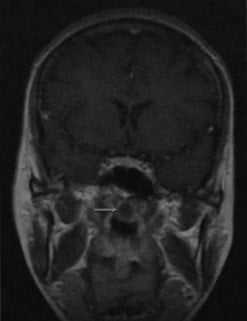
МРТ без контрастного усиления. На Т2-взвешенном изображении визуализируется киста Торнвальдта, расположенная по передней срединной линии в крыше носоглотки между брюшками длинной мышцы шеи. Содержимое кисты обычно гиперинтенсивно на Т2-взвешенном изображении.

Т1 -взвешенное изображение после введения гадолиния. Здесь содержимое кисты выглядит изо- или гипоинтенсивно по отношению к мышце. Гиперинтенсивное кольцо вокруг кисты представляет собой стенку кисты и усиленную слизистую оболочку глотки после введения гадолиния (стрелка)
Киста Торнвальдта: диагностика и лечение
Киста Торнвальдта — достаточно редко встречаемая патология. Однако с внедрением эндоскопических методов исследования стало возможным более тщательно выявлять имеющуюся патологию носоглотки. Приведенный клинический случай указывает на необходимость эндоскопического исследования носоглотки у всех пациентов с заболеваниями полости носа, околоносовых пазух и уха.
По данным литературы, врожденные аномалии носоглотки встречаются у 1,9—7,0% практически здоровых людей обоего пола в возрасте от 15 до 30 лет и в большинстве случаев протекают бессимптомно [1—7]. Некоторые авторы считают, что у мужчин кисты носоглотки встречаются несколько чаще, чем у женщин [8].
В 1885 г. немецкий врач Гюстав Людвиг Торнвальдт описал клинические признаки кистозной трансформации и воспаления, а также методы лечения 26 носоглоточных кист. Впоследствии было доказано, что киста, или сумка, Торнвальда формируется в месте, где нотохорда сохраняет связь с глоточной энтодермой. Этот симптомокомплекс получил название по имени автора, описавшего его, — «болезнь Торнвальдта».
Причины развития этой патологии до сих пор до конца не изучены. Выделены лишь факторы, которые могут служить сопутствующими причинами образования кисты Торнвальдта в дородовом периоде. К ним относятся наличие наследственной предрасположенности, влияние радиации и некоторых лекарственных препаратов, возраст роженицы, браки между близкими родственниками, работа с токсическими веществами и некоторые другие. Киста Торн-вальдта на протяжении длительного периода может не проявляться клинически.
Спровоцировать развитие болезни Торнвальдта могут удаление аденоидов, тампонада носовых ходов, травма носа, снижение защитных функций организма при переохлаждении или стрессе.
Для данного заболевания характерны жалобы на затрудненное носовое дыхание, стекание гнойного отделяемого по задней стенке глотки в ротовую полость, зловонный запах изо рта, появление гнусавости, болевые ощущения в горле и гортани, снижение остроты слуха.
Данная симптоматика может появиться у больного в любом возрасте, но чаще наблюдается у молодых людей. Учитывая неспецифичность клинических признаков заболевания, его диагностика, как правило, базируется на данных эндоскопического, лучевого и гистологического исследований. В типичных случаях при риноэндоскопии в задневерхнем отделе носоглотки определяется плотное, округлое образование с четкими контурами, содержащее воспалительный экссудат [13]. При рентгенологическом исследовании (компьютерная и магнитно- резонансная томографии) киста выглядит как округлое гиперэхогенное образование правильной формы с четкими контурами, не связанное с мышцами глотки [14, 15].
Лечение кисты Торнвальдта заключается в ее хирургическом удалении под контролем эндоскопии. Как считают многие авторы, такое лечение высокоэффективно и в 96% случаев наблюдается полный регресс ринологической симптоматики [1, 4, 12].
Приводим собственное клиническое наблюдение кисты Торнвальдта. Больной А., 27 лет, обратился к лор-врачу консультативной поликлиники с жалобами на затрудненное носовое дыхание, стекание по задней стенке глотки гнойного отделяемого с неприятным запахом, периодические головные боли, появление гнусавости и некоторое снижение остроты слуха правым ухом. Больным себя считает в течение нескольких лет, наблюдался у участкового терапевта, стоматолога, гастроэнтеролога, лор-врача поликлиники. Однако назначаемое лечение не приводило к положительному окончательному результату.
Больной был госпитализирован в отделение оториноларингологии РГБ ЛПУ «Карачаево-Чер-кесская республиканская клиническая больница», где при видеофиброэндоскопическом исследовании в задне-верхнем отделе носоглотки справа было обнаружено округлое, плотное образование размерами 2,0×2,0 см, с четкими контурами и выраженной инъекцией сосудов (рис. 1).
Рис. 1. Больной А., 27 лет. Эндоскопия носоглотки. Определяется округлое, плотное образование справа, рядом с глоточным устьем слуховой трубы.
Слизистая оболочка в области глоточного отверстия слуховой трубы справа несколько гиперемирована, на задней стенке носоглотки — слизисто-гнойное отделяемое. Носовое дыхание затруднено.
Барабанная перепонка справа втянута, ее подвижность снижена. Барабанная перепонка слева неизменена. Острота слуха снижена справа по типу нарушения звукопроведения. Другие лор-органы — без патологий. Анализы крови и мочи — в пределах нормы. На основании результатов обследования у пациента диагностирована киста Торнвальдта.
Под видеоэндоскопическим контролем радио-волновым скальпелем аппарата «Сургитрон» в режиме «резание—коагуляция» кистовидное образование было удалено. В качестве обезболивания применялся интубационный наркоз. Операцию больной перенес удовлетворительно. Кровотечение минимальное.
Заключение патогистологического исследования оболочки кисты: в срезах препарата оболочка кисты Торнвальдта, выстланная изнутри призматическими клетками (рис. 2). Элементы хронического воспалительного процесса.
Рис. 2. Оболочка кисты Торнвальдта. Внутренняя стенка выстлана призматическими клетками. Окраска гематоксилином и эозином. Ув. 400.
Приведенный клинический случай свидетельствует о необходимости эндоскопического исследования носоглотки у всех пациентов с заболеваниями полости носа, околоносовых пазух и уха.
Читайте также:
- Как поднять гемоглобин? Продукты, повышающие гемоглобин
- О чем рассказывают его объятия? Значение объятий
- Рак коры надпочечника
- Клиника кислородного отравления легких. Рентгенография при кислородном отравлении легких
- Конструктивный метаболизм ( пластический обмен ). Углеродные соединения для биосинтетических реакций бактерий. Биосинтез аминокислот и белков бактериями.
