КТ, МРТ при опухоли Вартина
Добавил пользователь Владимир З. Обновлено: 13.12.2025
Патология. Вызванная курением доброкачественная опухоль, возникающая из лимфоидной ткани слюнной железы во внутрипаротидных и перипаротидных лимфоузлах. Предполагаемая гетеротопическая паренхима слюнных желез присутствует в уже существующих внутри- / перипаротидных лимфатических узлах. Околоушная железа подвергается поздней инкапсуляции, включающей узлы лимфоидной ткани в поверхностный слой глубокой шейной фасции. Опухоль Вартина возникает в этой лимфоидной ткани.
5-10% могут возникать в экстрапаротидных местах (перипаротидные и верхние лимфатические узлы шеи)
Терминология. Синонимы. Папиллярная цистаденома лимфоматозная, аденолимфома, лимфоматозная аденома
Определение. Доброкачественная околоушная опухоль с характерным гистопатологическим проявлением, состоящим из сосочковых структур, зрелого лимфоцитарного инфильтрата и кистозных изменений
Ультразвуковая визуализация. Общие особенности. Лучший диагностический признак на УЗИ слюнной железы - резко окаймленные, гетерогенные образования околоушного хвоста ± кистозные компоненты. Расположение. Интрапаротидное, чаще, чем периаротидое или верхние шейные лимфатическое узлы. Чаще всего в пределах околоушного хвоста поверхностно от угла нижней челюсти

Результаты ультразвукового исследования слюнных желез
- Серошкальное УЗИ дает специфичность 91%, точность 89%. Большая опухоль Вартина клинически очевидна. При ультразвуковом исследовании четко выраженная гипоэхогенная некальцинированная опухоль в верхушке поверхностной доли околоушной железы. Гетерогенная внутренняя архитектура с кистозными и солидными компонентами. Мультисептированное кистозное поражение с толстыми стенками и детритом ± заднее усиление. Имеет тенденцию оставаться эллиптической или почковидной формы даже при больших размерах. Маленькая опухоль Вартина: случайная находка. Небольшая, эллиптическая, плотная почковидная масса в известном месте внутрипаротидного лимфатического узла. Гетерогенная архитектура и эхогенные ворота. Имитирует внешний вид лимфатического узла. Множественность поражений, односторонних или двусторонних (20%). На УЗИ нет инфильтрации кожи или подкожной ткани
- Цветной допплер: видные внутропухолевые (при небольших солидных опухолях) и перегородочные (могут поражать) сосуды.
- Спектральный допплер: сосуды с низким сопротивлением [резистивный индекс (RI)
- Микрососудистая сонография: усиление центрального ± периферического микрососудистого кровотока.
- Эластография: низкая жесткость при эластографии деформационной или сдвиговой волной.
Результаты КТ. Одиночные мелкие яйцевидные некальцифицированные образования с гладкими краями в задней части поверхностной доли околоушной железы. Кистозный компонент в 30% с тонкими однородными стенками и перегородками. Минимальное усиление солидных компонентов. Множественные односторонние или двусторонние поражения, синхронные или метахронные в 20%
Результаты MРТ
- T1WI. Низкий сигнал как в солидных, так и в кистозных компонентах. Кистозные области могут показывать высокий сигнал вторичный по отношению к белковым остаткам ± кровотечение
- T2WI. От среднего до высокого сигнала T2 в солидном компоненте. Высокий сигнал Т2 в кистозных очагах
- STIR. Поражения более заметны, особенно кистозный компонент
- T1WI C +. Минимальное усиление контраста солидных компонентов
Результаты ядерной медицины
ПЭТ. Повышенное поглощение ФДГ ПЭТ. Может быть случайно диагностирован при поиске злокачественного новообразования
Тс-99м. Повышенное поглощение в богатых митохондриями онкоцитах опухолей Вартина
Рекомендации по визуализации
Лучший инструмент для визуализации. Проведение УЗИ идеально, так как большинство опухолей Вартина находятся в поверхностной доле. Для больших опухолей МРТ может оценить степень и анатомические отношения. УЗИ отлично подходит для наблюдения за пациентами, которые отказываются от операции (злокачественные изменения редко <1%). УЗИ легко комбинируется с ТАБ, который имеет чувствительность 83%, специфичность 86% и точность 85% для опухолей слюнных желез. При ультразвуковом сканировании необходимо использовать датчик высокого разрешения (частота сканирования ≥ 7,5 МГц). Используйте датчик низкого разрешения (5 МГц) с гелем-зазором для оценки размера и протяженности больших опухолей.

Дифференциальная диагностика
- Доброкачественная смешанная опухоль, околоушная железа. Обычно более дольчатое, однородное, твердое образование с усилением в задней части. На крупных поражениях могут наблюдаться кистозные изменения, имитирующие опухоль Вартина. Как правило, менее сосудистые по сравнению с опухолью Вартина.
- Злокачественная опухоль околоушных желез. Нечеткие, сплошные, неоднородные эхосигналы ± узлы и внегландулярная инфильтрация. Злокачественные новообразования околоушной железы низкой степени могут быть хорошо выраженными и однородными.
- Метастаз в лимфоузел. Первичная злокачественная опухоль вокруг кожи уха, рак носоглотки. Один или несколько гетерогенных внутрипаротидных лимфатических узлов с аномальной васкуляризацией.
- Доброкачественные лимфоэпителиальные поражения. Доброкачественные лимфоэпителиальные поражения (BLEL) могут сильно имитировать опухоль Вартина, когда они односторонние и одиночные. Увеличение миндалин и шейная лимфаденопатия могут помочь дифференцировать патологию
Патология. Общие особенности. Этиология. Вызванная курением доброкачественная опухоль, возникающая из лимфоидной ткани слюны в интрапаротидных и перипаротидных узлах. Теоретически гетеротопная паренхима слюнной железы присутствует в уже существующих внутри- / перипаротидных узлах. Сообщается о связи с вирусом Эпштейна-Барра, чаще всего у пациентов с мультифокальными или двусторонними поражениями.
Связанные аномалии. Повышенная заболеваемость у пациентов с аутоиммунными заболеваниями.
Эмбриология. Околоушная железа подвергается поздней инкапсуляции [в противоположность. подчелюстной железы], включающая узлы лимфоидной ткани в поверхностном слое глубокой шейной фасции. Опухоль Вартина возникает в этой лимфоидной ткани.
Макропатологические и хирургические особенности
Покажет ли МРТ головного мозга опухоль

Коротко отвечая на вопрос, покажет ли опухоль МРТ головного мозга, можно сказать уверенное ДА. Магнитно-резонансная томография является приоритетным методом дифференциальной диагностики различных объемных образований в головном мозге, оболочке головного мозга, гипофизе, нервных жилах, сосудах. Данная методика активно используется при онкопоиске, поскольку позволяет визуализировать не только первичный очаг образования, но и метастатические поражения вещества головного мозга.
Когда нужно сделать МРТ головного мозга при опухоли
Ранняя диагностика опухолей головного мозга - это трудная задача по двум основным причинам:
- Многие опухоли мозга на ранних этапах не дают никакой клинической симптоматики, поэтому пациенту заподозрить что-то неладное по изменению в своем самочувствии очень сложно;
- Неврологические симптомы опухоли носят разнообразный характер и сильно зависят от локализации новообразования.
Свидетельствовать о возможной патологии могут:
- головные боли непонятного происхождения;
- частые головокружения;
- резкие перепады давления и сопутствующие им тошнота, рвота;
- повторяющиеся боли в шее;
- нарушение зрения и слуха;
- обморочные состояния;
- спутанность сознания, ухудшение памяти;
- мигренеподобные приступы;
- нарушения сознания, эпилепсия и другие припадки.
При клиническом осмотре больного невролог или онколог не сможет диагностировать объемное образование. Для этого потребуется аппаратная диагностика, например, МРТ или КТ головного мозга.
Покажет ли МРТ опухоль головного мозга
В большинстве случаев приоритетным методом выявление опухолевых образований будет магнитно-резонансная томография, поскольку белое и серое вещество очень хорошо визуализируется на снимках МРТ. Физика получения изображений при магнитно-резонансной томографии основывается на эффекте ядерного магнитного резонанса. Когда тело пациента помещается внутрь сканера, на мозговые структуры оказывает влияние сильное магнитное поле и радиочастотные импульсы. Под их воздействием атомы водорода в клетках начинают совершать колебательные движения. Этот резонанс фиксирует компьютер томографа, оцифровывает и переводит в трёхмерные изображения обследуемой области. Поскольку структуры головы на 80% состоят из воды, аппарат поможет сделать снимки очень высокой контрастности и четкости. Это позволяет врачам оценить:
- местоположение опухоли;
- ее размеры и форму;
- степень инвазии в соседние структуры;
- тканевой состав.
Для того, чтобы лучше всего разглядеть очаги при подозрении на объемное образование, МРТ головного мозга проводится с контрастированием. В ходе этой процедуры пациенту через вену на локтевом сгибе вводят специальный контрастный препарат на базе солей редкоземельного металла гадолиния. Контрастный состав максимально увеличивает тканевую контрастность, а по типу накопления и сбрасывания контрастного препарата врачи могут провести виртуальную гистологию опухоли и сказать, носит ли образование доброкачественный или злокачественный характер.
Особенно хорошо МРТ головы с контрастом способно показать:
- опухоли мозжечка
- глиобластому
- эпендимому
- глиальные опухоли
- метастазы
- невриномы
- менингеальные опухоли
- новообразования ствола головного мозга.
Как выглядит опухоль головного мозга на МРТ- фото
| МРТ здорового головного мозга | Глиома | Глиобластома |
Признаки опухоли на МРТ снимках
- наличие зоны измененного МР-сигнала от тканей мозга;
- гиперинтенсивный МР сигнал, гипоинтенсивный МР сигнал, гетерогенно изменений МР сигнал, изоинтенсивный МР сигнал;
- ориентировочные размеры, форма, контуры объемного образования;
- смещение, давление или изменение величины и деформации желудочков;
- аксиальная дислокация;
- блокада ликворных путей с развитом окклюзионной гидроцефалии;
- наличие перифокального отека;
- латеральная дислокация срединных структур или сосудистого сплетения “масс-эффекта”.
Пример МРТ расшифровки опухоль головного мозга
На серии МР-томограмм, взвешенных по Т1 и Т2-ВИ, tirm, получены суб- и супратенториальные структуры, определяются округлое объёмное патологическое образование, располагающееся по конвекситальной поверхности левой лобной доли, размером до 20х17х19 мм. Образование имеет достаточно чёткие округлые контуры, прилежит широким основанием к твердой мозговой оболочке, структура его несколько неоднородная. Вокруг образования имеется небольшой ликворный ободок и умеренно выраженный перифокальный отек головного мозга. Менингеальная оболочка на этом уровне утолщена с признаками симптома «хвоста», что наиболее характерно для менингиомы.
Срединные структуры не смещены.
Субкортикально, паравентрикулярно в белом веществе головного мозга определяются единичные очаги глиоза, имеющие четкие контуры, характеризующиеся гиперинтенсивным сигналом на Т2 ВИ и Tirm ИП, гипо- изоинтенсивным на Т1 ВИ, размерами до 3-4 мм в диаметре.
Боковые желудочки обычной конфигурации, существенно не расширены, минимально асимметричны (D>S).
Вокруг боковых желудочков имеются небольшие глиозные изменения.
III-й, IV-й желудочки, базальные цистерны не деформирован.
Стволовые структуры мозга не деформированы, имеют не измененный МР-сигнал.
Субарахноидальное пространство вне зоны патологических изменений выражено неравномерно, умеренно расширено по конвекситальной поверхности лобных, теменных долей.
Супраселлярная не деформирована. Гипофиз обычного расположения и размеров. Топография перекреста зрительных нервов не изменена.
Мосто-мозжечковые цистерны не деформированы.
Миндалины мозжечка расположены обычно.
Определяется пристеночный отёк слизистой в клетках решетчатого лабиринта и левой верхнечелюстной пазухе, имеющий повышенный сигнала на Т2 ВИ.
МР-картина объемного образования левой лобной доли с небольшим перифокальным отеком головного мозга (менингиома?).
МР-картина немногочисленных очагов глиоза вещества головного мозга сосудистого характера.
Качественная МРТ диагностика опухолей головного мозга
Для качественной томографии и безошибочной диагностики при подозрении на опухоль рекомендуется:
- проводить МРТ головного мозга на аппарате мощностью не менее 1,5 Тесла;
- шаг сканирования должен быть не менее 3 мм;
- рекомендовано применение контрастного усиления.
Мощное магнитное поле томографа при обследовании головного мозга обуславливает ряд противопоказаний. Особенность поля МРТ аппарата взаимодействовать с объектами, содержащими металл, сдвигать их с места и нарушать работу электронных систем, ограничивает проведение МРТ процедуры для пациентов, в теле которых установлены любые металлические имплантаты. Поэтому к томографическому исследованию не допускаются пациенты, которые имеют:
- протезы из металла, пластины, хирургические скобки, шунты и штифты, сосудистые катетеры из ферромагнитных материалов, а также любые металлические предметы как пули, осколки, застрявшие в теле
- искусственные сердечный клапаны, стимуляторы сердечной деятельности и дефибрилляторы
- ушной кохлеарный имплант
- вшитые медицинские помпы для дозированной подачи медикаментов
- зажимы и клипсы на сосудах.
Обращаем Ваше внимание на то, что наличие зубных протезов в общем и целом не является противопоказанием для проведения МР-сканирование головного мозга. Исключением может стать лишь очень узкая группа протезов, которые вызывают искажение изображения во время диагностики.
Если у Вас есть сомнения в отношении возможности проведения томографического исследования, позвоните нам, и мы поможем найти приемлемое решение для Вашего индивидуального случая.
Вопросы



Покажет ли МРТ опухоль головного мозга без контраста
Крупные опухоли видны на нативных бесконтрастных снимках. Мелкие метастазные поражения на базовом обследовании могут плохо визуализироваться. Признаки опухоли почти всегда видны на нативном МРТ снимке, однако не достаточно четко, чтобы провести качественную дифференциальную диагностику. Поэтому врач-рентгенолог, обнаружив в ходе бесконтрастного обследования признаки объемного образования, предлагает пациенту дополнить исследование контрастной процедурой.
| Вид исследования | Минимальная Цена | Цена на 3 Тесла |
|---|---|---|
| МРТ головного мозга | от 2800 руб. | от 5200 руб. |
| МРТ сосудов головного мозга | от 2800 руб. | от 8200 руб. |
| МРТ гипофиза | от 2800 руб. | от 5200 руб. |
| МРТ пазух носа | от 2800 руб. | от 5200 руб. |
| МРТ орбит и зрительных нервов | от 3200 руб. | от 5200 руб. |
| МРТ уха и слуховых нервов | от 3200 руб. | от 5200 руб. |
| МРТ черепно-мозговых нервов | от 3200 руб. | от 5200 руб. |
| Стоимость введения контрастного вещества | от 3500 руб. | от 3500 руб. |
Как МРТ определяет злокачественную опухоль
Злокачественные опухоли составляют до 50% всех опухолей головного мозга. Эти опухоли врач определяет по:
- нечеткости и неровности контуров и формы опухоли;
- большому перифокальному отеку;
- наличию “масс-эффекта”;
- неоднородному накоплению контрастного усиления;
- типу накопления контраста.
Как часто нужно делать МРТ после удаления опухоли
Периодичность МРТ головного мозга после удаления опухоли обычно определяет лечащий врач. Чаще всего после оперативного вмешательства первое обследование проводят через один месяц. Далее контрольные сканирования осуществляют раз в полгода в течение 3 лет после хирургического вмешательства.
МРТ при опухоли спинного мозга и позвоночника
Онкология спинного мозга и позвонков - это направление, которое является одним из самых сложных с точки зрения раннего выявления новообразований, их дифференциальной диагностики и лечения. До сих пор онкологические болезни центральной нервной системы приводят к высокой смертности пациентов из-за поздней диагностики заболевания. В настоящее время медицинские клиники начали более активно и широко использовать возможности МРТ спинного мозга и МРТ позвоночника, чтобы диагностировать опухоли на ранних стадиях и повысить уровень выживаемости пациентов.
Магнитно-резонансная томография при опухоли спинного мозга и самих позвонков позволяет:
- обнаружить очаги поражения размером до 2-3 мм;
- судить о злокачественном потенциале объемного образования;
- дифференцировать опухолевое поражение первичного и вторичного типа;
- стадировать рак.
Симптомы опухоли спинного и головного мозга
Большинство опухолей позвоночника на начальных стадиях не дает никакой неврологической симптоматики. При появлении небольшого новообразования, которое является единичным, пациент может и не заметить особых изменений в состоянии здоровья. Только достигнув определенных размеров или распространившись в тканях, опухоли дают о себе знать:
- Большая часть опухолей в спинном мозге приводит к появлению боли и онемения из-за стеноза спинно-мозгового канала.
- Множественные метастазы способны вызвать компрессионный перелом позвоночника.
Из-за особенностей строения спинномозгового канала симптомы болезни в районе грудного отдела позвоночника появляются позже, чем в шейном и поясничном отделе, поскольку здесь канал анатомически шире, и новообразование должно достигнуть ощутимых размеров, чтобы начать перекрывать спинно-мозговой канал.
ЗАПИСЬ НА ПРИЕМ
Классификация опухолей
В медицине все новообразования принято делить на доброкачественные и злокачественные. Те и другие еще подразделяются на типы. Среди злокачественных новообразований выделяют первичные или метастатические. Доброкачественные опухоли бывают приобретенными и врожденными. Локация опухоли в позвоночнике может быть разнообразной. Она способна поражать спинной мозг, позвонки, мозговые оболочки, сосуды.
Опухоли сосудов позвоночника
Гемангиома позвоночника - это самая распространенная опухоль сосудов позвоночника. Она развивается из сосудов, создает большое количество кровяных полостей, связанных капиллярами. Это новообразование является доброкачественным, формируется чаще всего в верхних поясничных или нижних грудных позвонках. Возраст пациентов с данным недугом, как правило, варьируется от 40 до 60 лет. При такой опухоли у человека наблюдаются болезненные ощущения в спине, возможен перелом. Диагностика гемангиомы требует проведения МРТ позвоночника в ангиорежиме.
Опухоли позвонков
Большинство объёмных образований позвонков будут иметь приставку “остео” - (от греческого osteon - кость). Если в названии образования есть элемент “саркома”, это обычно указывает на злокачественный характер образования. Из чаще всего встречающихся доброкачественных опухолей позвонков можно отметить:
- хондрому;
- остеому;
- остеобластому;
- фиброму;
- остеоид-остеому;
- остеобластокластому.
Среди злокачественных новообразований позвонков чаще всего встречаются следующие:
- хондросаркома;
- фибросаркома;
- миеломная болезнь;
- саркома Юинга;
- остеогенная саркома.
Самыми распространенными злокачественными образованиями позвонков являются метастатические поражения. Позвоночник является наиболее распространенным местом скелетных метастазов (около двух третей всех опухолей кости). Преимущественно они локализуются в грудном и пояснично-крестцовом отделе позвоночника. Десять процентов пациентов с карциномой в ходе заболевания имеют метастазы в позвоночнике. Метастазирует в костные структуры позвоночника чаще всего рак молочной железы, рак предстательной железы, рак легких, рак щитовидной железы, рак почек.
Диагностировать опухолевые образования в позвонках лучше всего с помощью КТ позвоночника или МРТ позвоночника с контрастом.
Опухоли спинного мозга
Опухоли, появившиеся в спинно-мозговом канале или в спинном мозге, относят к внутриканальным новообразованиям. При этом их делят на врожденные и приобретенные.
Врожденные опухоли спинного мозга
В список врожденных образований спинного мозга входят:
- тератомы;
- липомы;
- ангиолипомы;
- менингоцеле;
- миеломенингоцеле;
- дермоидные и эпидермоидные кисты.
Как правило, липомы - это внемозговые образования. Они располагаются в позвоночных каналах равными частями. Диагноз характерен для детей и подростков не старше 15 лет.
Дермоидные кисты чаще всего бывают овальной или округлой формы. Они имеют толстые, но при этом неравномерные стенки. Нередко диагноз сопровождается еще одним дегенеративным проявлением - расщеплением позвоночника. Дермоидные кисты, как правило, обосновываются в люмбосакральном отделе, их делят на костномозговые или внемозговые.
Эпидермоидные кисты характерны для более зрелого возраста.
Тератомы - новообразования в крестцово-копчиковом отделе позвоночного столба. У детей чаще всего развивается доброкачественная опухоль. Она располагается снаружи, а также внутри костей таза. У зрелых мужчин диагностируют чаще злокачественные тератомы, которые дают множественные костные метастазы.
Миеломенингоцеле - это врожденный дефект спинного мозга. Эта грыжа чаще всего определяется в поясничной области младенца, как только он рождается на свет.
При диастематомиелии спинной мозг разделяет так называемая спикула или костный шип. Этот разделитель может быть образован хрящевой тканью.
| МРТ опухоль позвоночника | МРТ опухоль спинного мозга | МРТ киста спинного мозга |
Приобретенные опухоли спинного мозга
К приобретенным опухолям спинного мозга относят интрамедуллярные образования, опухоли внутреннего канала мозга и кисты.
- параглиомы;
- глиомы;
- астроцитомы;
- мультиформные глиобластомы;
- олигодендроглиомы;
- меланомы;
- ангиобластомы.
Астроцитомы чаще всего локализуются в шейном, а также грудном отделах позвоночника.
Эпендимомы обычно поражают конечную нить спинного мозга. Они способны привести к истончению позвонковой дуги, эрозии позвонка, в дальнейшем к переломам.
Внутриканальные внемозговые образования:
Для менингиомы характерно поражение грудной части позвоночного столба.
Нейрофибромы способны развиваться в абсолютно любом отделе позвоночного столба.
Сирингогидромиелия представляет собой образование спинномозговых кист.
КТ или МРТ при опухоли спинного мозга
Диагностику опухолевых заболеваний спинного мозга и позвонков чаще всего проводят при помощи КТ позвоночника или МРТ позвоночника с контрастом. Чтобы выяснить, какой из методов лучше справится с этой задачей, необходимо разобраться в механизме действия каждого из методов.
Компьютерная томография - это рентгенологический вид диагностики. Она дает прекрасную возможность определить новообразование в костных структурах даже на ранних стадиях развития. Однако на КТ визуально сложно разделить патологическую и здоровую ткань в спинном мозге. Для этих целей пациенту проводят процедуру КТ-миелографии с введением контрастного вещества. Использование йодосодержащего контраста не всегда приемлемо. У некоторых пациентов может быть аллергия на состав или серьезная болезнь почек, при которых контраст не применяют. Не стоит забывать и о лучевой нагрузке. В среднем при КТ всего позвоночника пациент получит дозу облучения, равную 5-8 мЗв. Поэтому при диагностике объёмных образований спинного мозга и оболочек приоритетным методом обследования будет МРТ позвоночника с программой миелография.
Магнитно-резонансный томограф лучше визуализирует мягкие и мозговые ткани и позволяет дифференцировать здоровую ткань и ткань патологическую. МРТ при опухоли поможет определить место очага, вид злокачественного новообразования и степень инвазии в соседние ткани. Кроме того, при МР-томографии не используются вредные рентгеновские лучи, и потому диагностику можно проводить неограниченное количество раз беременным женщинам и детям.
МРТ и КТ при раке головного мозга - что покажет
МРТ головного мозга с контрастом, КТ головного мозга с контрастом являются аппаратными методами диагностики рака головного мозга. Исходя из первичных симптомов, истории болезни, противопоказаний и диагностических целей, врач невролог назначает необходимые способы обследования.
В большинстве случаев, МРТ головного мозга с контрастом выбирается как первичный метод диагностики. Если результаты исследования носят тревожный или неясный характер, дополнительно назначается:
Рак головного мозга - это злокачественное новообразование в головном мозге. Рак отличается от доброкачественной опухоли головного мозга тем, что имеет тенденцию к более быстрому росту и образованию метастазов. Злокачественные опухоли головного мозга могут затрагивать небольшие или большие участки мозга, а тяжесть основного заболевания может варьироваться от незначительной до угрожающей жизни. Патологии чаще всего обнаруживается при визуализации мозга, например, при магнитно-резонансной томографии головного мозга или компьютерной томографии головного мозга. На КТ или МРТ злокачественные опухоли мозга выглядят как темные или светлые пятна, которые не похожи на нормальную ткань мозга. Если поражение головного мозга обнаружено при МРТ или КТ исследовании рентгенолог может порекомендовать обратиться к неврологу или онкологу для проведения специализированного обследования и сдачи дополнительных анализов и рекомендовать дальнейшие обследования для постановки диагноза или последующие визуализационные исследования - чаще всего это:
- МРТ головного мозга с контрастом
- КТ головного мозга с контрастом
- ПЭТ-КТ
- ПЭТ-МРТ.
Симптомы рака головного мозга
Симптомы злокачественной опухоли головного мозга зависят от того, где она находится. Общие симптомы включают:
- головные боли (чаще беспокоят по утрам, при кашле или натуживании);
- судороги;
- рвота;
- проблемы с памятью или изменения личности;
- слабость;
- проблемы со зрением или речью, которые ухудшаются.
Типы опухоли головного мозга
Выделяют несколько типов опухолей головного мозга. Как правило, их названия соответствуют той области мозга, где они расположены. Также они классифицируются по темпу роста и степени злокачественности. Чем выше число, тем серьезнее опухоль:
- Опухоли головного мозга 1 и 2 степени - это доброкачественные опухоли, которые имеют тенденцию к довольно медленному росту.
- Опухоли головного мозга 3 и 4 степени - это раковые злокачественные опухоли, которые растут быстрее и труднее поддаются лечению.
Опухоли головного мозга также могут быть первичными (начинаются в головном мозге) и вторичными (распространяются на мозг из другого органа).
МРТ и КТ в диагностике рака головного мозга
Пациент должен незамедлительно обратиться к неврологу, если у него есть симптомы опухоли головного мозга, которые не проходят или ухудшаются в течение некоторого времени. Наличие вышеперечисленных симптомов характерно для многих других неврологических заболеваний и не обязательно означает, что это рак мозга, но их следует проверить как можно быстрее. Для дифференциальной диагностики потребуется сделать МРТ головного мозга с контрастом. Данные магнитно-резонансной томографии позволяют провести диффернециальную диагностику рака головного мозга от других поражений мозга:
- аневризма головного мозга
- артериовенозная мальформация
- доброкачественная опухоль головного мозга
- энцефалит
- эпилепсия
- гидроцефалия
- рассеянный склероз
- инсульт
- травматическое повреждение головного мозга.
КТ часто используется как дополнительное обследование для стадирования рака головного мозга и выявления локации метастаз рака головного мозга в костных структурах, огранках грудной клетки и брюшной полости.
Разница между МРТ и КТ
Компьютерная томография и магнитно-резонансная томография используются для получения изображений органов и тканей в трехмерной проекции. Разница в томографии заключается в том, что при МРТ используются радиоволны, а при КТ - рентгеновские лучи для получения изображения. Хотя оба томографических метода имеют высокую информативность, есть диагностические различия, которые могут сделать каждый из них более подходящим вариантом в зависимости от обстоятельств.
КТ-сканирование более быстрая форма диагностики, чем магнитно-резонансная томография, и обычно используется для экстренного обследования. При использовании как КТ, так и МРТ существуют определенные риски. Они зависят от типа визуализации, а также от способа ее проведения. К рискам КТ относятся: вред для внутриутробного ребенка при беременности и доза радиации. Риски МРТ включают реакции на металлические импланты в теле из-за сильного магнитного поля, громкий шум от аппарата, повышенная, клаустрофобические риски.
Если врачу нужны более детальные изображения мягких тканей, связок или органов высоким состоянием воды, обычно назначается магнитно-резонансная томография. Если необходимо получить хорошие изображение костных структур и полых органов, обычно рекомендуется компьютерная томография.
Лечение злокачественных опухолей головного мозга
Лечение опухоли головного мозга направлено на то, чтобы удалить как можно большую часть опухоли и попытаться предотвратить ее повторное появление. Основные методы раковой терапии:
- Хирургическое лечение - при операции делается трепанация черепа, проводится резекция опухоли, а затем отверстие в черепе закрывается костной тканью.
- Лучевая терапия - облучение от внешнего аппарата используется для уничтожения раковых клеток мозга после операции.
- Химиотерапия - лекарственные препараты используются для уничтожения раковых клеток после операции или облегчения симптомов, если опухоль не может быть удалена хирургическим путем.
- Радиохирургия - множество лучей радиации направлено на раковое образование для уменьшения его роста.
- Имплантаты кармустина (глиальные пластины) - новый способ проведения химиотерапии для некоторых раков головного мозга высокой степени злокачественности.
Также может использоваться симптоматическая терапия для облегчения таких симптомов, как головные боли, судороги, тошнота, рвота.
Побочные эффекты лечения
У некоторых людей, перенесших злокачественную опухоль головного мозга, спустя месяцы или годы после лечения могут развиться побочные эффекты, такие как:
- катаракта;
- эпилепсия;
- проблемы с мышлением, памятью, языком;
- инсульт.
После лечения у некоторых онкологических больных могут возникнуть длительные проблемы, такие как:
- судорожные припадки;
- трудности при ходьбе;
- проблемы с речью.
В такой ситуации, возможно, потребуется трудотерапия и физиотерапия, чтобы помочь больному адаптироваться к любым возникшим осложнениям. Чтобы снизить риск инсульта, важно вести здоровый образ жизни, который предполагает отказ от курения, соблюдение сбалансированной диеты и регулярные физические упражнения.
Перспективы лечения рака головного мозга
Перспектива успешного лечения злокачественной опухоли головного мозга зависит от ряда факторов: ее расположения в головном мозге, размера и степени. Чем раньше обнаружено новообразование, тем лучше прогноз для пациента. Иногда рак можно вылечить, если он был обнаружен на ранней стадии, но часто опухоль головного мозга возвращается, что требует повторной терапии, или иногда ее невозможно удалить.
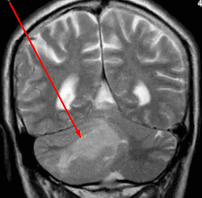
Опухоль головного мозга на МРТ

Опухоль мозжечка на МРТ (указана стрелкой)
Опухоли головного мозга долгое время диагностировали исключительно по клиническим признакам, часто слишком поздно. С появлением нейровизуализационных методов стало возможным выявление опасных патологий на ранних этапах их развития. Уже на первых стадиях формирования опухоль головного мозга на МРТ отчетливо видна, а врачи могут планировать дальнейшие действия. Ранняя диагностика увеличивает шансы на выздоровление даже при онкологических заболеваниях.
Злокачественные опухоли составляют почти половину выявленных внутричерепных новообразований. Общими проявлениями патологических изменений в мозге могут быть:
- головные боли, часто утренние, с тошнотой и рвотой;
- вертиго (головокружение центрального происхождения);
- нарушение координации движений;
- ухудшение зрения, слуха;
- речевые расстройства;
- раздражительность;
- сонливость;
- судороги;
- поведенческие расстройства;
- слабость в мышцах лица или конечностей;
- онемение, парестезии в отдельных частях тела;
- психические нарушения и др.
Клиника опухолей отличается в зависимости от локализации, размеров, типа новообразования. Патологию дифференцируют исходя из данных, полученных при инструментальном и лабораторном обследовании, гистологического анализа тканей.
По тому, как выглядит опухоль мозга на МРТ, врачи делают предположения о ее природе. Однозначных утверждений быть не может, так как верификацию образований осуществляют с помощью гистологического анализа. Характерными признаками злокачественных опухолей головного мозга на снимках МРТ являются:
- неправильная их форма;
- нечеткие контуры новообразований;
- выраженный перифокальный отек;
- масс-эффект (смещение близлежащих структур);
- гидроцефалия;
- неоднородное накопление контраста (иногда вообще не накапливают);
- "пестрота" опухоли (кровоизлияния, некрозы и/или кисты в структуре) и др.

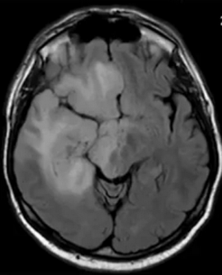
Глиобластома на МРТ головного мозга без контраста
Причины появления опухоли головного мозга
Точный механизм формирования злокачественных образований не установлен. Факторами риска признаны возраст старше 70 лет, принадлежность к мужскому полу. Чаще опухолевые патологии мозга обнаруживают у пациентов, которые имеют:
- отягощенный семейный анамнез;
- контакты с канцерогенными веществами;
- радиационное воздействие;
- черепно-мозговые травмы в анамнезе;
- перенесенные воспалительные патологии головного мозга.
У некоторых пациентов с обнаруженными опухолями врачам не удается выявить ни одного провоцирующего фактора, тогда как у лиц, которые регулярно подвергаются их воздействию, новообразований мозга нет. Такие сведения подвергают сомнению существующие гипотезы о происхождении онкопатологий ЦНС (центральной нервной системы).

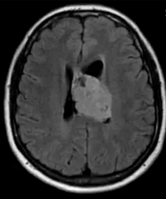
Эпендимома при МР-сканировании головного мозга
Опухоли головы часто по своей природе являются вторичными, т.е. метастазами. По локализации образования могут быть расположены в костях черепа, мягкой и твердой мозговых оболочках, в сером и белом веществе. В структуры головы чаще метастазируют меланомы, рак почки, простаты, легкого, молочной железы, желудка.

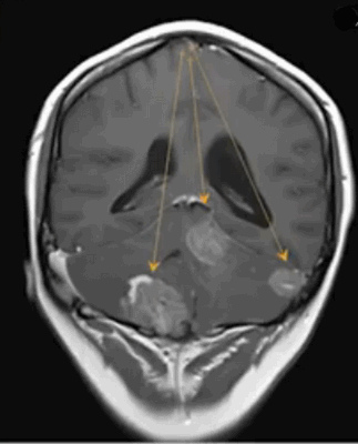
Метастазы в головном мозге на постконтрастном изображении (указаны стрелками)
Может ли МРТ показать опухоль головного мозга?
По результатам магнитно-резонансной томографии врачи могут выявить изменения структуры тканей. Опухоли головного мозга на МРТ определяют по прямым и косвенным признакам. Врачи подозревают патологическое образование по типу и равномерности изменений МР-сигнала:
- гипо- (более слабый, чем окружающие области) или гиперинтенсивный (отклик сильнее, чем от нормальных зон);
- гетероизмененный (смешиваются разные характеристики);
- изоинтенсивный (опухоль выглядит, как другие ткани, но отличается от нормальной архитектоники мозга).
Существуют и косвенные признаки. Последние дают основания подозревать новообразование головного мозга на фоне изоинтенсивного отклика тканей или подтверждают ее наличие при измененном МР-сигнале.

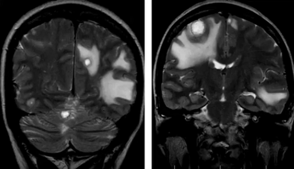
Множественные метастазы в вещество головного мозга на МРТ без контраста
Вторичными проявлениями патологии могут быть:
- латеральная дислокация срединных структур;
- смещение сосудистого пучка;
- изменение величины и деформации желудочков;
- аксиальная дислокация;
- окклюзионная гидроцефалия при блокаде ликворных путей;
- смещение или деформация базальных цистерн;
- отек мозга в зоне опухоли и вокруг нее (локальный, генерализованный, тотальный, перивентрикулярный).

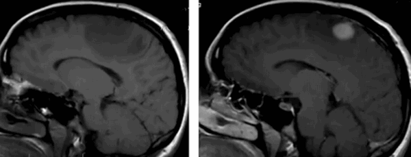
До- и постконтрастное изображение злокачественной опухоли головного мозга
С помощью МРТ при раке мозга выявляют локализацию опухоли, степень ее инвазии в соседние структуры, особенности кровоснабжения, стадию заболевания и наличие метастазов. Для получения дополнительных сведений, сканирование проводят в различных последовательностях (Т1, Т2, FLAIR, диффузно-взвешенное и пр.), в нативном режиме и после контрастирования.
Заключение МРТ при опухоли головного мозга
Пациент получает результаты сканирования на бумаге и/или на информационном носителе со снимками. Заключение составляет врач-рентгенолог. Он изучает снимки, замечает отклонения от нормы и фиксирует их.

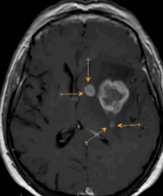
Опухоль головного мозга на МРТ с отсевами (указаны стрелками)
В заключении описывают зоны измененного МР-сигнала, их локализацию, размеры, контуры, наличие масс-эффекта, признаков перифокального отека и дислокационные явления. Выводы рентгенолога нельзя считать диагнозом. Результаты исследования должен изучить врач, который инициировал диагностику, или онколог. На поздних стадиях развития заболевания по структуре и характеристикам опухоли можно с большой долей вероятности определить ее тип. Окончательный диагноз ставят с учетом результатов других исследований.
Если МРТ покажет опухоль мозга, в диагностической клинике «Магнит» пациенты могут воспользоваться услугой «Второе мнение». Она актуальна при длительном анамнезе, в спорных ситуациях, при подозрениях на опасные патологии. Суть услуги заключается в изучении результатов МРТ вторым рентгенологом. Его мнение может подтвердить или опровергнуть выводы первого специалиста и скоординировать действия лечащего врача при назначении дальнейшего обследования.
Рак головного мозга на фото снимке МРТ
В зависимости от типа новообразования отличается его внешний вид. Изучая снимки, врач может лишь предположить природу основных вариантов опухолей по характерным признакам:
- астроцитомы — происходят из глиальной ткани, чаще выявляются в лобных и височных долях. Выглядят как зоны гипоинтенсивного МР-сигнала без четких контуров, плохо или почти не накапливают контраст, нередко содержат в своей структуре обызвествленные зоны и мелкие кисты;
- олигодендроглиомы — плотность снижена неравномерна, контуры относительно четкие, часто сливаются с отеком. Обнаруживаются в лобной или теменной долях.
- эпендимомы — предположительно образуются в эмбриональном периоде. Характеризуются четкими контурами, плотнее, чем здоровые ткани, редко вызывают отек, чаще обнаруживаются в полостях желудочков;
- глиобластомы — злокачественные опухоли, которые отличаются высокой скоростью роста и склонностью к инвазии. Выглядят на снимках, как образования неправильной формы, с нечеткими фестончатыми контурами и выраженным перифокальным отеком. Дают выраженный масс-эффект, смещают головной мозг в полости черепа, повреждая его на отдалении от своего местоположения;
- менингиомы (оболочечные опухоли). На снимках часто дают изоинтенсивный сигнал, отчетливо видны после контрастирования. Имеют четкие контуры, неправильную бугристую форму, обычно нет выраженной зоны перифокального отека;

Менингиома на МРТ
- метастазы. Выглядят, как множественные образования в тканях головного мозга различных размеров, неправильной формы, с неровными контурами, накапливающие контраст, с различной интенсивностью отека вокруг;
- невриномы — опухоли черепно-мозговых нервов. Чаще исходят из корешка VIII пары, реже V и остальных. На Т2-взвешенном изображении гиперинтенсивны по сравнению с окружающими тканями. Контуры неправильные, четкие, структура гомогенная, дают масс-эффект.

МР-изображение невриномы VIII пары черепно-мозговых нервов (стрелками указана часть опухоли, растущая из внутреннего слухового прохода)
В некоторых случаях МРТ диагностика опухолей головного мозга бывает затруднена. Гипоэхогенные образования без четких контуров могут быть перепутаны с признаками ишемического инсульта. Аппараты с низкой степенью напряжения магнитного поля и ограниченным пространственным разрешением могут «не увидеть» образование. Для диагностики патологий мозга применяют томографы мощностью от 1,5 Тл. Практически всегда дополнительно проводится МР-сканирование с контрастированием для улучшения визуализации новообразований.
В редких случаях опухоли малого размера не обнаруживают при первом обследовании. При наличии клинических проявлений заболевания врач назначает другие методы исследования или повторное сканирование.
МРТ ― безопасная и высоко информативная диагностическая процедура. Отсутствие лучевой нагрузки позволяет проводить ее столько раз, сколько нужно для контроля состояния больного. Метод актуален для предварительной оценки степени злокачественности образования, повреждения близлежащих структур, особенностей кровоснабжения опухоли. По результатам сканирования врач уточняет сохранность функций мозга, опасности заболевания и составляет план обследования или лечения. Своевременное выявление опухоли в мозге может спасти человеку жизнь. Поэтому роль МРТ в диагностике и лечении онкопатологии ЦНС чрезвычайно велика.
Читайте также:
- Хронический абсцесс легкого. Механизмы развития хронического абсцесса легкого
- Ложноположительное повышение ХГЧ (хорионического гонадотропина человека)
- Корни легких на рентгенограмме. Лимфатические узлы корней легких
- Рентгенограмма, КТ при центральной гемангиоме челюсти
- Поражение глаз жуками и земноводными. Секрет лягушек и жаб
