КТ, МРТ при первичном синовиальном хондроматозе височно-нижнечелюстного сустава (ВНЧС)
Добавил пользователь Евгений Кузнецов Обновлено: 01.11.2025
Неотъемлемым компонентом стоматологического и, как следствие, общего здоровья, является нормальная функция височно-нижнечелюстных суставов (ВНЧС). На сегодняшний день распространенность заболеваний ВНЧС в популяции довольно высока.
Наиболее частая причина дисфункции ВНЧС - внутреннее повреждение и нарушение нормальных анатомических соотношений суставного диска и мыщелка нижней челюсти.
Клинически дисфункция проявляется как нарушение открывания рта, хруст при движении нижней челюсти, напряжение мышц головы, шеи, появление «триггерных точек», головная боль (причем боли могут быть такими сильными, что их часто путают с мигренью).
Точная локализация суставного диска очень важна в оценке повреждения ВНЧС и может быть легко определена с помощью метода МРТ.
При этом переднее смещение суставного диска определяется у 34% здоровых добровольцев, а нормальное положение суставного диска только у 16-23%.
На ранней стадии диск сохраняет свою форму. Со временем поврежденный диск деформируется.
Чаще деформация идет в виде утолщения задней зоны и истончения передней и промежуточной.
Каждое выполняемое исследование необходимо делать в 2-х положениях - с закрытым и открытым ртом.
Косо-сагиттальная проекция с закрытым ртом. Нормальный ВНЧС.

Суставной диск не дислоцирован, задняя его часть находится на 12 часах циферблата мыщелка.
Нормальная мобильность диска

Позиция с открытым ртом. Мыщелок сместился вентрально, на уровень суставной ямки. При этом суставной диск сохранил нормальное положение интерпозиции, не давая костным структурам напрямую контактировать друг с другом.
Смещения диска.
Выделяют переднее, передне-латеральное, передне-медиальное, латеральное, медиальное и заднее смещения; наиболее часто диагностируется переднее смещение диска.
Вывихи диска - фиксированный и перемежающийся (подвывих).
При фиксированном вывихе диск смещен кпереди от мыщелка и в положении открытого и при закрытом рте; при перемежающемся вывихе (подвывихе) диск смещен кпереди только при закрытом рте. При открывании рта диск возвращается в нормальное положение интерпозиции между мыщелком и суставным бугорком. При этом слышен характерный щелчок.
Перемежающийся (вправляемый) вывих /подвывих.

А. Закрытый рот. Переднее смещение диска.
Б. Рот открыт. Диск вернулся в нормальное положение между мыщелком и височной костью.
Фиксированный (невправляемый) вывих.

А. Рот закрыт. Переднее смещение диска.
Б. Рот открыт. Диск продолжает оставаться смещенным.
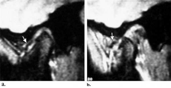
«Застрявший» диск.

«Застрявший» диск. PD sag изображения с открытым (А) и закрытым (Б) ртом - задний край диска (стрелка) остается в нижнечелюстной ямке височной кости. По этой причине открывание рта сильно ограничено. Вероятная причина - образование спаек.
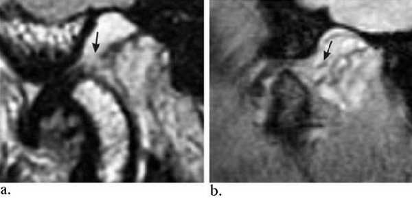
Заднее смещение диска.

Заднее смещение диска (составляет менее 0,01% всех патологий ВНЧС).
А. Положение с закрытым ртом. Суставной диск сместился дорзально.
Б.Положение с открытым ртом. Возвращение суставного диска на уровень мыщелка нижней челюсти. Движения челюсти очень ограничены в данном случае.
Синовит.
Кроме патологии суставного диска, существуют и другие причины дисфункции височно-нижнечелюстного сустава.

Небольшое количество выпота в полости сустава.
Остеоартроз ВНЧС .

Рот закрыт. Определяется уплощение мыщелка нижней челюсти.
Патология позадидисковых тканей.

Оба изображения (разные пациенты) показывают разрыв волокон дорзальных (задних верхней и нижней диско-темпоральных) связок.
Травматические изменения.

Двусторонний перелом мыщелковых отростков, гемартроз, изменения крыловидных мышц.
У пациентов с клиническими проявлениями внутренних нарушений ВНЧС ведущим методом лучевого исследования является функциональная МРТ. Наиболее информативными являются Pd- и Т2*-взвешенные изображения в кососагиттальных плоскостях.
Другие статьи по теме
Что может послужить поводом для МРТ простаты и как подготовиться к этой. О чём расскажет МРТ простаты?
За что в организме человека отвечает поджелудочная железа? Как в диагностике её. МРТ поджелудочной железы: когда она необходима?
Надпочечники — это «фабрика» по производству гормонов. Нарушения в работе надпочечников могут. МРТ надпочечников: кому может понадобиться такая диагностика?
Что показывает МРТ височно-нижнечелюстного сустава
МРТ височно-нижнечелюстного сустава (МРТ ВНЧС) - это современная аппаратная диагностика патологий парного сустава челюстно-лицевого скелета, соединяющего нижнюю челюсть с основанием черепа. Данный метод сканирования основан на воздействии на ткани электромагнитного поля (эффект ядерного магнитного резонанса). В ответ на действие радиочастотных импульсов в сильном магнитном поле атомы водорода в клетках тканей начинают совершать колебательные движения
МРТ височно-нижнечелюстного сустава (МРТ ВНЧС) - это современная аппаратная диагностика патологий парного сустава челюстно-лицевого скелета, соединяющего нижнюю челюсть с основанием черепа. Данный метод сканирования основан на воздействии на ткани электромагнитного поля (эффект ядерного магнитного резонанса). В ответ на действие радиочастотных импульсов в сильном магнитном поле атомы водорода в клетках тканей начинают совершать колебательные движения. Эти импульсы передаются компьютеру магнитно-резонансного томографа и преобразуются в черно-белые изображения в 3D формате. 3D формат значит, что сустав визуализируется в объемном виде, и его можно рассмотреть с различных сторон. Такие высококачественные снимки предоставляют исчерпывающую информацию о состоянии всех суставных структур, их функционировании, наличии патологических процессов и особенностях анатомического строения.
Преимущества
По своей информативности МРТ височно-нижнечелюстного сустава во много раз превосходит УЗИ и рентгенографию и имеет ряд диагностических преимуществ:
- Возможность выявлять любые заболевания височно-нижнечелюстного сустава на самых ранних стадиях развития. Это свойство наиболее применимо для диагностики опухолевых процессов. МРТ может обнаружить образование размером до 1 мм, что дает самые высокие шансы на эффективное лечение и выздоровление.
- Качественная визуализация на снимках хрящей и мягкотканных структур.
- Возможность проводить сканирование в динамике. За один сеанс делают снимки, когда пациент открывает и закрывает рот.
- Неинвазивность метода. МРТ является абсолютно атравматичным видом диагностики, не требующим никаких хирургических вмешательств в организм пациента.
- Безболезненность процедуры.
- Безопасность. За счет использования в работе полностью безвредного магнитного поля, не оказывающего облучения на пациента, МРТ ВНЧС может применяться многократно без пагубных последствий для организма.
- Имеет минимальные побочные явления и противопоказания, и не требуется восстановительного периода после проведения обследования.
Все эти достоинства методики делают магнитно-резонансную томографию челюстного сустава приоритетным способом диагностики состояний височно-нижнечелюстного сустава.
Показания к МРТ височно-нижнечелюстного сустава

Сведение об исследовании
- Продолжительность: 20-40 минут
- Требование к подготовке: Нет
- Назначение врача: Не требуется
- Применение контраста: По назначению врача
- Противопоказания и ограничения: Есть
- Рекомендуемая мощность аппарата: от 1.5 Тесла
- Время выдачи результатов: 30-40 минут
- Что входит в стоимость: заключение + запись снимков
МРТ нижнечелюстного сустава имеет довольно широкий спектр показаний. Обычно томографию назначает врач-стоматолог, травматолог или челюстно-лицевой хирург, однако при необходимости пациент может прийти на нее самостоятельно. Основными показаниями к исследованию являются:
- жалобы на болевые ощущения в суставе при движениях рта;
- чувство онемения области подбородка и щек;
- чувство щелчка или скрежет зубами при открывании рта;
- отек одной из половины лица (обычно бывает на стороне пораженного сустава); врожденные и приобретенные вывихи височно-нижнечелюстного сустава и другие его травматические повреждения;
- нарушения прикуса;
- воспалительные и аутоиммунные поражения сустава - артрит, артроз, подагра; нарушение нормальных функций суставов лица - закладывание в ушах, нарушение речи, сложности при жевании;
- предоперационная подготовка к хирургическому лечению травмы сустава;
- планируемая операция на лице;
- подготовка к протезированию в стоматологии;
- для оценки эффективности проводимого оперативного лечения.
Что покажет МРТ височно-нижнечелюстного сустава
МРТ височно-нижнечелюстного сустава позволяет с высокой точностью оценить: костную структуру сустава, хрящевые элементы, связочный аппарат и околосуставные мягкие ткани. С помощью томографии врачи могут вовремя диагностировать следующие патологии:
- врожденный вывих сустава;
- костные и суставные изменения травматического генеза;
- смещение суставных дисков;
- эрозию суставного хряща;
- мышечно-суставную дисфункцию;
- артриты и артрозы, а также воспалительные заболевания мягких тканей лица;
- анкилоз сустава;
- доброкачественные образования сустава;
- рак нижней челюсти.
МРТ височно-нижнечелюстного сустава с контрастированием
Для получения более четких снимков и более подробной информации о состоянии сустава иногда проводят МРТ височно-нижнечелюстного сочленения с контрастированием. Для этого в вену пациента перед сканированием вводится контрастный препарат на основе солей гадолиния. Он распространяется по системе кровотока и усиливает сигналы от тканей, что делает их визуализацию максимально точной. Такая методика томографии позволяет выявлять патологические очаги размером всего в несколько миллиметров, поэтому наиболее часто МРТ челюстного сустава с контрастом применяется для диагностики опухолевых процессов.
Подготовка
МРТ височно-нижнечелюстного сустава проводится без предварительной подготовки пациента, что очень удобно и позволяет пройти обследование даже ночью. При планировании томографии с контрастом рекомендуется за 2 часа до процедуры не принимать пищу для лучшей переносимости контрастного препарата.
Также пациенту необходимо будет оставить снаружи МРТ кабинета все металлические предметы одежды, украшения и мобильные устройства.
Процедура томографии
Процедура МР-сканирования височно-нижнечелюстного сустава проводится стандартно. Пациента в положении лежа на передвижной кушетке помещают в сканирующую зону аппарата. Если проводится МРТ с контрастом, то пациенту предварительно внутривенно вводится контрастное вещество. Важным условием для получения четких качественных снимков является полная неподвижность обследуемого. Отличительной особенностью данного исследования является проведение нескольких серий снимков: сначала с закрытым ртом, затем с полуоткрытым и широко открытым ртом. При возникновении дискомфорта или паники пациент в любую секунду может связаться с доктором при помощи тревожной кнопки.
Сколько длится томография
Продолжительность магнитно-резонансной томографии височно-нижнечелюстного сустава обычно составляет 20-40 минут. После проведения серии снимков процедура завершается, и врачи приступают к расшифровке результатов. Обычно МРТ снимки и заключение врача-рентгенолога готовы уже в день обследования и отдаются пациенту на руки для дальнейшей консультации специалиста и назначения необходимого лечения.
Противопоказания
Магнитно-резонансная томография височно-нижнечелюстного сустава противопоказана людям, имеющим:
- инородные металлические тела;
- кардиостимуляторы и слуховые аппараты не совместимые с МРТ;
- импланты в теле, изготовленные из никеля или стали;
- психические расстройства, не позволяющие пациенту сохранять спокойствие и неподвижность в ходе исследования.
Также к относительным противопоказаниям к МРТ обследованию относят беременность первого триместра. Магнитно-резонансная томография считается безопасной процедурой как для плода, так и для здоровья матери. Избегать ее в первом триместре рекомендуется из-за возможного волнения пациентки внутри закрытого томографа.
При проведении МРТ височно-нижнечелюстного сустава с контрастированием ограничением для исследования могут послужить почечная патология с нарушением выводящей функции почек и аллергические реакции на гадолиний в анамнезе.
Чтобы сделать качественную МРТ, пациенту нужно обратить внимание на несколько аспектов при записи на МРТ:
Спросить какой установлен шаг сканирования. На открытом аппарате он не должен быть более 3,5 мм. На закрытом томографе он не должен превышать 3,5 мм. Шаг исследования всегда можно проверить на МРТ снимках или в заключении врача в графе описания параметров обследования. Если он не совпадает с заявленным, требуйте повторной бесплатной диагностики.
Уточнить опыт и квалификацию врача-рентгенолога, который будет описывать Ваши снимки. От его знаний во многом зависит точность интерпретации полученных изображений. Помните, МРТ аппарат никогда не ошибается, ошибаются люди, которые работают с его данными.
Всегда требуйте запись МРТ исследования не на пленку, а на электронный носитель (диск или флешку). Порой для пациента изображения на рентгенологической пленке кажутся более наглядными, но их информационная ценность в разы ниже, чем у электронных сканов, которые врач может модифицировать любим образом при валидации и постановке диагноза.
Если обследование делают с целью выявления опухолевого образования, его нужно проводить с контрастом, поскольку на нативных изображениях не всегда видны мелкие образования, и не возможно судить в полной мере о злокачественности или доброкачественности опухоли.
МРТ височно-нижнечелюстного сустава, что показывает
МРТ челюстно-лицевого сустава — метод диагностики болезней височно-нижнечелюстного сустава, основанный на явлении магнитного резонанса. Безопасность и точность магнитно-резонансной томографии обусловлена отсутствием лучевой нагрузки — для получения снимков используются магнитные поля и обычные радиоволны. Метод идеально подходит для диагностики болезней височно-нижнечелюстного сустава.
Анатомия височно-нижнечелюстного сустава
Височно-нижнечелюстной сустав (ВНЧС) — комбинированный парный сустав, образованный головками нижней челюсти и суставными бугорками (ямками), расположенными на височной кости. В полости ВНЧС имеются мениски — хрящевые пластинки, выполняющие роль прокладок и амортизаторов, а также обеспечивающие функцию сочленения. Благодаря этому височно-нижнечелюстной сустав способен выдерживать значительные нагрузки, возникающие при пережевывании пищи. По этой же причине ВНЧС имеет мощный связочный аппарат, укрепляющий и стабилизирующий сочленение.

Сложное устройство височно-нижнечелюстного сустава и интенсивные нагрузки — причина, по которой в сочленении часто возникают дегенеративные процессы и болезни. Магнитно-резонансная томография, в отличие от других методов диагностики, “видит” не только кости, но и хрящи, связки и мениски. Вот почему МРТ — лучший метод диагностики болезней челюстно-лицевых суставов.
Показания к МРТ челюстно-лицевых (височно-нижнечелюстных) суставов
Височно-нижнечелюстной сустав, как и любое другое сочленение человеческого организма, подвержен ревматическим и дегенеративно-дистрофическим болезням. Исход этих патологий зависит от своевременной диагностики и лечения. В тяжелых случаях болезнь может стать причиной полной потери функции ВНЧС, что приводит к невозможности принимать твердую пищу и другим негативным последствиям.
В сложных и спорных случаях МРТ ВНЧС может проводиться с контрастированием. Для этого в локтевую вену пациента вводят специальный контрастный препарат, который поглощается больными тканями, облегчая диагностику. Контраст безопасен и только изредка может вызывать легкие аллергические реакции в виде сыпи или зуда на коже.
Заболевания ВНЧС, которые видно на МРТ снимках:
- Воспалительные заболевания (артриты);
- Дегенеративно-дистрофические патологии (артрозы, деформирующий остеоартроз);
- Анкилоз (сращение) ВНЧС;
- Дисфункции височно-нижнечелюстного сустава;
- Вывихи ВНЧС и другие травмы;
- Новообразования;
- Асептический некроз, остеомиелит кости;
- Врожденные аномалии ВНЧС.
Тревожные симптомы, при наличии которых рекомендуется сделать МРТ ВНЧС:
- Боль в области челюстно-лицевого сустава, усиливающаяся при движении нижней челюсти (при жевании) и отдающая в лицо, висок;
- Отек и покраснение области челюстно-лицевых суставов;
- Узлы, плотные или мягкие образования, шишки, определяющиеся в области ВНЧС визуально или при прощупывании;
- Нарушение подвижности ВНЧС, скованность, ограничение открытия рта;
- Спазм жевательных мышц;
- Щелчки в суставах, возникающие при жевании и движениях нижней челюсти;
- Дискомфорт, возникающий при широком открывании рта (пациенту тяжело закрыть рот, при этом могут возникать щелчки и боли в области ВНЧС).
Магнитно-резонансная томография челюстно-лицевого сустава противопоказана:
- Пациентам с кардиостимуляторами, нейростимуляторами, кохлеарными системами протезирования слуха, дефибрилляторами, имплантированными в организм больного (магнитные поля, использующиеся для проведения МР-томографии, могут выводить устройства из строя);
- Пациентам, в теле которых имеются металлические инородные тела (стальная или железная стружка в глазах, сосудистые клипсы на магистральных артериях, осколки и фрагменты боеприпасов);
- Детям до 5 лет;
- Беременным в период до 12 недели беременности;
- Лицам с избыточной массой более 130 кг и обхватом тела более 150 см (отсутствует физическая возможность разместить пациента в томографе).
Подготовка к МРТ височно-нижнечелюстного сустава
Процедура не требует какой-либо подготовки. Исследование проводится в любое удобное для пациента время, не сопровождается болевыми ощущениями и не требует проведения сложных медицинских манипуляций. Все, что требуется от больного — сохранять неподвижность до завершения обследования.
МР-томография ВНЧС — безопасная процедура, при условии соблюдения правил техники безопасности. Запрещается проносить на теле или в карманах, на одежде металлические предметы, элементы фурнитуры, ювелирные изделия, носимую электронику и гаджеты. Магнитные поля могут вызвать нагрев металла, приводя к ожогам. Массивные металлические предметы, притянутые магнитом томографа, могут послужить причиной травмы или поломки оборудования. Все лишнее можно оставить в камере хранения.
Как делают МРТ височно-нижнечелюстного сустава
Для проведения МР-томографии существуют специальные установки — МР-томографы. Они имеют вид большого цилиндрического блока, весом в несколько тысяч килограмм, в котором расположен сверхпроводящий магнит, генерирующий магнитное поле, приемники и передатчики радиоволн. В центре томографа имеется туннель, длиной и шириной около 60 см. Через туннель проходит узкий подвижный стол, на котором во время обследования лежит пациент.

Процедура начинается с укладки пациента на стол. Уложив пациента, ему предлагают надеть наушники — они приглушают шум, который идет от оборудования, и используются для связи с оператором и даже прослушивания музыки. Затем стол передвигается так, чтобы голова пациента находилась в центре туннеля установки. Вот почему некоторые пациенты, страдающие от клаустрофобии, могут испытывать дискомфорт во время обследования.
Во время процедуры нужно выполнять все рекомендации оператора, сохранять спокойствие и неподвижность. Шум, который издает оборудование, может напоминать удары, свист или звуки трубы. Он не является признаком поломки и говорит о нормальной работе томографа. После завершения процедуры пациенту необходимо немного подождать — 15-30 минут, до завершения расшифровки снимков. Для из хранения они записываются на компакт-диск (бесплатно), или по желанию пациента на флешку, распечатываются на пленке (платно). После завершения обследования врач-рентгенолог подробно рассказывает о результатах исследования.
Сколько по времени делают МРТ височно-нижнечелюстного сустава
Обычная длительность процедуры — 30 минут. При необходимости в контрасте — 45 минут. После обследования можно продолжить работу или другую деятельность — МРТ не влияет на способность управлять техникой и транспортом.
Что покажет магнитно-резонансная томография челюстно-лицевого сустава
МРТ, в отличие от КТ, прекрасно “видит” ткани всех типов. Компьютерная томография, в отличие от магнитно-резонансной, не способна давать четкие и разборчивые снимки хрящей, связок и сухожилий, но лучше подходит для исследования костей. Поэтому для диагностики болезней ВНЧС лучше делать МРТ.

На серии таких снимков, сделанных послойно в виде тонких срезов в нескольких плоскостях, легко распознать суставные хрящи, покрывающие головки нижней челюсти и суставной бугорок, образующие височно-нижнечелюстной сустав, мениск ВНЧС. Видны отдельные связки и сухожилия, жевательные мышцы. Любое возможное патологическое изменение, такое как воспаление сустава или новообразование, тут же будет видно на МРТ.
Компьютерная томография височно-нижнечелюстного сустава
КТ ВНЧС представляет собой неинвазивный метод диагностики, который основан на рентгеновском излучении. Характеризуется высоким уровнем информативности и небольшой дозой облучения, но проходить это обследование можно строго по назначению лечащего врача.
Патологии ВНЧС характеризуются нехарактерными симптомами, что усложняет процесс диагностики заболеваний. Пациент может испытывать повышенную чувствительность зубного ряда, боли в голове и нетипичную пульсацию в висках, что может указывать на целый ряд проблем. Все это может стать следствием некорректной диагностики и неправильного лечения. Характерный пример - это удаление зуба при непонятных причинах его сильной чувствительности. Чтобы этого избежать, используется компьютерная томография ВНЧС, которая позволяет дать максимально точную картину исследуемых участков.

Содержание
Особенности обследования
КТ височно-нижнечелюстного сустава позволяет получать снимки с послойным отображением внутренних структур. Сама суть метода основывается на способности тканей к накоплению и отражению электромагнитных волн. Излучаемые частицы способны достаточно глубоко проникать в слои организма пациента, что и дает отличные информативность результатов обследования.
КТ проводится с помощью специального аппарата - томографа. Он состоит из нескольких составляющих:
- ПК, который обрабатывает полученную информацию от аппарата. В итоге данные преображаются в 2D или 3D-снимки.
- Стол с выдвижным механизмом, на котором располагается пациент. Обратите внимание, что максимальный вес, который он может выдержать - это 160 кг, поэтому есть определенные ограничения к проведению процедуры для лиц с избыточным весом.
- Рентгеновские трубки. В зависимости от аппарата, их может быть до 64 штук. От их количества зависит длительность всего обследования.
- Гентри - это подвижная часть томографического оборудования.
Томография ВНЧС основывается на воздействии большого количества потоков рентген-лучей на исследуемую область. Датчики, размещенные на выдвижном столе (под телом больного), фиксируют накопление фотонов тканями человеческого организма. Вращение рентгеновских трубок позволяет проанализировать исследуемые участки во всем объеме.
В каких случаях проводится КТ?
Томография височно-нижнечелюстного сустава назначается при наличии следующих заболеваний и патологических состояний:
- Вывихи и подвывихи суставной головки.
- Анкилоз. Эта патология характеризуется практически полным отсутствием подвижности сустава. Происходит это по причине разросшейся соединительной ткани.
- Артрит, синовит и другие воспалительные заболевания.
- Посттравматические артропатии, которые отличаются нарушением функций суставов.
- Различные новообразования.
- Различные аномалии лицевого черепа ВНЧС. В частности, компьютерная томография используется для диагностики гипоплазии - недостаточного развития.
- Дегенеративные процессы, происходящие в суставах, которые практически не поддаются терапии. Отмирание костных структур может быть вызвано естественными возрастными изменениями или различными системными заболеваниями.
- Синдром Мебиуса, который диагностируется сразу же после рождения ребенка. Эта патология характеризуется отсутствием подвижности сустава, что является следствием разрастанием венечного отростка.
- Выявление последствий переломов и прочих травм.
- Болевой синдром в лицевой области.
- Проблемы с пережевыванием пищи, нарушение речи и закладывание в ушах.
Помимо этого, обследование показано тем пациентам, у которых открытие рта сопровождается характерным щелчком и наличием болей неясного происхождения, которые отдают в отдельные части головы.

Основные противопоказания
Компьютерная томография основывается на использовании рентгенологического облучения, поэтому есть противопоказаний к проведению этой процедуры. Кроме того, во время обследования пациент должен сохранять полную неподвижность в течение определенного временного промежутка.
В связи с этим, КТ противопоказана в следующих случаях:
- Избыточный вес обследуемого. Выдвижной стол может выдержать не более 160 кг.
- Измененное сознание пациента. Оно может быть вызвано алкогольным или наркотическим опьянением, либо различными психическими расстройствами.
- Детский возраст до 3 лет. При обследовании организм получает определенную дозу облучения, но особенно сильно это влияние происходит для детского организма. Могут замедлиться процессы обмена веществ и другие негативные последствия.
- Период вынашивания плода. Доказано, что рентген-лучи негативно сказываются на развитии ребенка.
Что касается беременности, то здесь важно одно уточнение. Если обследование нужно по причине жизненной необходимости и нет других альтернатив, то врач может принять положительное решение о проведении процедуры. Он должен оценить степень риска для плода, чтобы потенциальная польза для здоровья матери была не больше, чем вероятный вред для ребенка.
Правила подготовки
Подготовительные процедуры к КТ челюсти и ВНЧС зависят от того, будет ли использоваться контраст. Если да, то подготовка будет несколько основательнее, чем при обычном КТ.
Пациент должен сдать биохимию крови, чтобы узнать уровень мочевины и других важных показателей. Также стандартная процедура заключается в аллергической пробе, которая позволяет узнать реакцию организма на препарат, содержащий йод. В день самого обследования нужно воздержаться от еды и питья.
Если же речь идет о стандартной компьютерной томографии, то определенных правил подготовки к ней нет. Перед процедурой нужно будет снять с себя все металлические предметы (слуховой аппарат, серьги, украшения и т.д.).
Как проходит компьютерная томография височно-нижнечелюстного сустава?
Пациент ложится на специальный выдвижной стол аппарата. Специалист контролирует весь процесс обследования из соседнего помещения.
При включении томографа, стол заезжает внутрь самого аппарата. Его работа может сопровождаться шумом - это абсолютно нормально, поэтому нужно сохранять неподвижное состояние. Любое действие (открытие рта, поворот головы и т.д.) должно производиться только по команде врача.
Пациентам, страдающим от тревожных состояний или клаустрофобии, дается седативное средство перед процедурой. Делается это на случай возникновения панической атаки у человека.
Если у пациента резко ухудшится состояние внутри аппарата, он может сообщить об этом специалисту по встроенному микрофону.
КТ ВНЧС - что показывает обследование?
При проведении КТ, предполагаемая патология или дефект становятся хорошо видны на мониторе компьютера. Изображение может быть получено в нескольких проекциях - аксиальной, фронтальной или сагиттальной.
Полученный снимок может определить следующие виды отклонений:
- Изменение размеров суставной щели.
- Отклонения суставного диска.
- Изменение костных структур.
- Наличие новообразований.
- Смещение головок сустава.

Что лучше - МРТ или КТ?
Говоря об исследовании патологий ВНЧС, многие задаются вопросом, что выбрать МРТ или КТ? Для начала стоит отметить, что обе эти методики подходят для обследования состояния височно-нижнечелюстного сустава. И МРТ, и КТ, имеют свои преимущества и недостатки, поэтому однозначно ответить на вопрос о том, что лучше, достаточно проблематично.
МРТ лучше с точки зрения отсутствия определенных противопоказаний к ее проведению. Объясняется это тем, что в основе этого метода не лежит рентгеновское излучение, которое негативно влияет на организм человека при превышении допустимой дозы.
Говоря же именно об обследовании ВНЧС, то МРТ больше подходит для изучения суставных поверхностей (участков сочленения двух частей, покрытых хрящом). Что же касается изучения самого сустава, то в большинстве случаев назначает именно компьютерная томография. К тому же, стоимость КТ ниже, чем МРТ.
Разновидности обследования
КТ ВНЧС может проводиться с закрытым и открытым ртом, в зависимости от конкретного клинического случая. Во время проведения процедуры могут использоваться различные варианты этого обследования:
- Траснаксиальная методика. Это стандартная процедура (через ось тела). В ходе ее проведения получается порядка 25 снимков, идущих параллельно глазной ямке. Можно визуализировать отдельно левый и правый сустав.
- Саггитальное сканирование. Оно проводится строго параллельно ушной раковине. Ведется оценка состояния ВНЧС в трех фазах, т.е. пациента просят закрыть рот, приоткрыть его наполовину и полностью.
- Объемный 3D-режим. Получается пространственное изображение правого и левого сустава.
Как правило, во время диагностики используется комбинация из вышеуказанных вариантов обследования для получения наиболее точной картины.

Основные преимущества компьютерной томографии в диагностике патологий ВНЧС
- Идентичность съемки сустава с обеих сторон.
- Максимально точное воссоздание формы суставных поверхностей во всех плоскостях.
- Изучение состояния жевательных мышц и суставного диска.
- Отсутствие всяческих искажений, мешающих постановке диагноза.
- Минимальная доза облучения.
- Быстрая процедура обследования.
Те сведения и снимки, которые получается в результате КТ, имеют очень большую диагностическую ценность при составлении грамотной схемы лечения дисфункции височно-нижнечелюстного сустава, в протезировании и исправлении прикуса, а также при плановых хирургических вмешательствах (как подготовительная процедура).
Где можно сделать компьютерную томографию двух челюстей и ВНЧС в Санкт-Петербурге?
Диагностический рентген-центр «ЛУЧ» приглашает вас пройти компьютерную томографию 3D, которая успешно применяется для диагностики патологий ВНЧС. Объемность реконструкции исследуемой области придает диагностике необходимую точность и высокий уровень детализации.
Все это возможно, благодаря современному оборудованию нашего рентген-центра. Мы прекрасно понимаем, насколько важен правильно поставленный диагноз, поэтому тщательно подходим к выбору персонала.
Для наших клиентов возможна запись результатов исследования на цифровой носитель и курьерская доставка по Санкт-Петербургу. Чтобы записаться к нам на прием, нужно оставить онлайн-заявку на сайте, либо позвонить по указанному номеру телефона.
КТ височно-нижнечелюстных суставов, что показывает

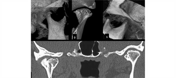
КТ височно-нижнечелюстных суставов представляет собой неинвазивный, безболезненный метод диагностики, основанный на способности тканей человеческого тела поглощать рентгеновские лучи с различной интенсивностью. Отличие КТ от рентгенографии заключается в применении специального сканера, способного исследовать челюстно-лицевую область. При этом томограф производит фиксацию изображения послойных тонких срезов (1-2 мм), которое транслируется на экран компьютера, где, при необходимости, реконструируется 3D-модель обследуемой зоны.
Изучение височно-нижнечелюстных суставов (ВНЧС) при помощи рентгеновского аппарата не дает полной информации об особенностях строения и структуры суставных поверхностей. Использование в дифференциальной диагностике компьютерной томографии повышает эффективность обследования. Интенсивность излучения при КТ височно-нижнечелюстных суставов гораздо ниже, что делает этот метод практически безопасным. Но специалисты рекомендуют проходить обследование только по назначению врача, это снизит риск негативного влияния рентгеновских лучей на организм человека.
Что покажет КТ височно-нижнечелюстных суставов
Качественное обследование челюстно-лицевой области помогает выявить ряд нарушений, которые являются признаками серьезных заболеваний. Метод КТ особенно эффективен в диагностике новообразований, показывая незначительные изменения в строении, структуре тканей исследуемой зоны.
Благодаря сканированию в аксиальной проекции, КТ височно-нижнечелюстных суставов позволяет воссоздать форму костных суставных поверхностей, оценить состояние сочленения и прилегающих тканей.
патологические изменения в структуре костной ткани суставных головок нижней челюсти;
состояние суставной щели (форма, ширина);
аномалии суставного диска;
толщину и структуру жевательных мышц;
кровоизлияния в область суставной капсулы, гематомы в районе сустава;
новообразования костей и окружающих мягких тканей;
смещение суставных головок нижней челюсти в расслабленном состоянии;
изменения формы и размера суставных поверхностей ВНЧС.
Патологические состояния височно-нижнечелюстного сустава сопровождаются специфическими рентгенологическими симптомами, которые отчетливо видны при КТ:
анкилоз - суставной отросток челюсти соединяется с височной костью посредством соединительной ткани, в этом случае на снимке отсутствует участок пониженной плотности, соответствующий суставной щели;
уплощение - потеря конгруэнтности (соответствия) суставных поверхностей, свидетельствует о наличии дегенеративных патологических процессов;
остеофиты - разрастания костной ткани вследствие деструктивных изменений суставного хряща;
субхондральная киста - полость, образуемая вследствие растворения костной ткани суставной головки, округлая, с четкими границами.
КТ височно-нижнечелюстных суставов в трех взаимно перпендикулярных проекциях дает возможность воссоздать достоверную 3D-модель, где будут отражены малейшие изменения суставных элементов, свидетельствующие о развивающихся патологических процессах.
КТ височно-нижнечелюстного сустава с контрастом
Введение контрастного вещества в кровеносную систему повышает точность, информативность изображения. КТ височно-нижнечелюстных суставов в этом случае проводят в несколько этапов.
Пациенту проводят нативное обследование, затем делают инъекцию и в сосудистое русло вводят йодсодержащий раствор. Ионы йода обладают способностью поглощать рентгенологическое излучение, поэтому на снимках, полученных во время процедуры, врач увидит четкий рисунок сети кровеносных сосудов в области ВНЧС.
Метод позволяет оценить состояние мягких тканей, окружающих височный сустав, поэтому КТ с контрастом проводят при патологии жевательной мускулатуры, связочного аппарата ВНЧС, подозрении на новообразования.
Контрастная томография не оказывает патологического воздействия на организм, единственным негативным влиянием является увеличение нагрузки на почки. Противопоказания к применению йодсодержащего вещества ограничены аллергией на компоненты препарата и почечной недостаточностью. В каждом из этих случаев решение о целесообразности применения КТ височно-нижнечелюстных суставов с контрастом принимает лечащий врач.
Что лучше: МРТ или КТ височно-нижнечелюстных суставов
Сравнивая два популярных метода исследования: МРТ и КТ височного сустава - нужно помнить о том, что они основаны на разных физико-химических явлениях. В основе магнитно-резонансной томографии ткани подвергаются воздействию электро-магнитного поля, на которое реагируют диполи воды, находящиеся в тканях организма. Поэтому МРТ информативнее в случае изучения строения и состояния мягких тканей, окружающих соединение.
Магнитно-резонансное обследование выявляет воспалительные и дегенеративные процессы, протекающие в мышечных волокнах, связочном аппарате ВНЧС, помогает оценить состояние околоушной железы и других рыхлых элементов рассматриваемой области.
КТ височно-нижнечелюстных суставов направлено на изучение плотности и структурных изменений в костной, хрящевой соединительной ткани. Рентгеновские лучи, проходя через исследуемую область, выявляют участки с повышенной или пониженной плотностью, что дает возможность обнаружить дегенеративные процессы и воспалительные изменения в костной и хрящевой ткани суставных поверхностей.
Метод обследования в случае диагностики заболеваний ВНЧС и челюстно-лицевой области выбирает лечащий врач на основе клинической картины и возможных противопоказаний у пациента.
Особенности КТ височно-нижнечелюстных суставов
Изучение височно-нижнечелюстного сустава с помощью КТ не требует сложной подготовки. Вся процедура занимает от 10 до 20 минут и проходит абсолютно безболезненно для пациента. Больного помещают на специальный передвижной стол, вокруг рассматриваемой области вращается кольцевая часть томографа, что обеспечивает сканирование в разных плоскостях. Во время процедуры необходимо сохранять неподвижность.
При проведении контрастной КТ височно-нижнечелюстных суставов после нативного обследования пациенту вводят йодсодержащее вещество. При склонности к аллергическим реакциям, особенно при непереносимости препаратов йода, необходимо проинформировать об этом врача. До введения рентгеноконтрастного раствора пациент сдает анализ на креатинин, что позволит избежать осложнений со стороны почек.
Особенностью КТ височно-нижнечелюстных суставов является комбинация различных методов сканирования:
прямое сагиттальное сканирование - оценивают состояние ВНЧС при смене положения, для чего пациента просят открыть рот, оставить полуоткрытым и закрыть полностью;
стандартное трансаксиальное сканирование через ось тела - показывает состояние каждого сустава в отдельности;
стандартное 3D-сканирование - с его помощью получают объемное изображение правого и левого ВНЧС.
Проведение КТ височно-нижнечелюстных суставов с использованием трех программ гарантирует полноту информации и дает возможность дифференцировать заболевание и поставить точный диагноз.
Читайте также:
